Celiac crisis in patients with celiac disease. Case report
- Authors: Babanova A.V.1, Krums L.M.1, Bykova S.V.1, Parfenov A.I.1, Dudina G.A.1, Sabelnikova E.A.1, Khomeriki S.G.1, Lesko K.A.1, Dbar S.R.1
-
Affiliations:
- Loginov Moscow Clinical Research Center
- Issue: Vol 93, No 8 (2021)
- Pages: 943-948
- Section: Case reports
- Submitted: 04.09.2021
- Accepted: 04.09.2021
- Published: 15.08.2021
- URL: https://ter-arkhiv.ru/0040-3660/article/view/79548
- DOI: https://doi.org/10.26442/00403660.2021.08.200972
- ID: 79548
Cite item
Full Text
Abstract
Celiac crisis (CC) is a rare life-threatening course of celiac disease, observed mainly in children. In adults, CK can be the first manifestation of the disease and, very rarely, a relapse that occurs in patients who do not follow the gluten-free diet (AGD). Triggers can be stress, surgery, childbirth, etc. A clinical observation of CC developed in a 49-year-old patient with previously established latent celiac disease with subtotal villous atrophy, stage Marsh III C is presented. The patient did not comply with AHD. After severe angina, she developed anorexia, diarrhea, emaciation, coagulopathy, bilateral pulmonary embolism, infarction pneumonia, and enterogenic sepsis. As a result of intensive therapy with prednisolone, Fraxiparine, antibiotics, fresh frozen plasma and strict adherence to hypertension, remission of the disease was achieved.
Keywords
Full Text
Термин «целиакия» происходит от греческого слова «coeliakia» (кoiliakos – кишечный, страдающий расстройством кишечника, koilia – брюшная полость). Классическое представление о целиакии связано с генетически детерминированной связью с глютеном и включает хроническую диарею, синдром нарушенного всасывания – СНВ (задержка роста, потеря массы тела, отеки и другие трофические расстройства), атрофию ворсинок с гиперплазией крипт слизистой оболочки тонкой кишки (СОТК), возникающую у людей с лейкоцитарным антигеном человека (HLA) класса II DQ2 и DQ8. Назначение больному аглютеновой диеты (АГД) ведет к постепенному восстановлению СОТК и выздоровлению. Несоблюдение АГД обязательно приводит к рецидиву болезни. Клиническая картина целиакии зависит от степени чувствительности к глютену и аутоиммунного ответа. Классическая форма болезни с тяжелым СНВ и субтотальной атрофией ворсинок встречается редко – от 1 до 6 на 1 тыс. населения. Атипичные варианты с преобладанием аутоиммунных проявлений встречаются приблизительно в 10 раз чаще [1].
Очень редко целиакия манифестирует крайне тяжелым СНВ, приобретающим картину криза. Целиачный криз (ЦК) проявляется диареей, гипопротеинемией, гиповолемией, истощением, нарушениями функции почек, метаболическими/электролитными нарушениями. Это опасное для жизни тяжелое течение болезни встречается у детей и взрослых, может быть как ее дебютом, так и осложнением. Триггером в этом случае служат тяжелая травма, роды и стрессы у пациентов, не соблюдающих АГД [2–6].
Клиническое наблюдение
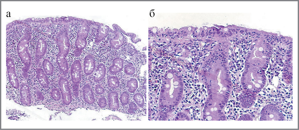
Больная С., 49 лет. В детстве отставала в физическом развитии и имела пристрастие к употреблению мела, сохранившееся до настоящего времени. Первая беременность в возрасте 20 лет закончилась мертворождением. В апреле 2019 г. по скорой помощи госпитализирована в районную больницу в связи с внезапной потерей сознания (обмороком). Обнаружили калькулезный холецистит, гипопротеинемию и жировой гепатоз с высокой степенью активности. Назначены Урсосан и Гептрал, но вскоре появились поносы и отеки ног, пропал аппетит. Госпитализирована в инфекционную больницу. Связи с инфекцией не установлено, но нарастала анорексия, обнаружены признаки асцита, снижение белка до 42,9 г/л, повышение аланинаминотрансферазы до 133 Ед/л и аспартатаминотрансферазы до 66 Ед/л, щелочной фосфатазы до 245 Ед/л. Осмотрена психиатром, который объяснил анорексию дисциркуляторной энцефалопатией. Дальнейшее обследование и лечение проводились в ГБУЗ «МКНЦ им. А.С. Логинова», куда поступила 04.03.20 с жалобами на обильный стул до 3–4 раз в сутки, анорексию, отрыжку пищей, вздутие и урчание в животе, резкую слабость, похудение на 7 кг за месяц. В отделении патологии кишечника – быстро ухудшающееся состояние, обусловленное диареей, водно-электролитными нарушениями и гипопротеинемией, объяснено симптомами мальабсорбции, возможно, целиакией. Диагноз подтвердился повышенными значениями титра антител к тканевой трансглутаминазе до 200 МЕ (норма до 10 МЕ) и дуоденальной биопсией. На рис. 1 показана микрофотография слизистой оболочки залуковичного отдела двенадцатиперстной кишки. Кишечные ворсины отсутствуют. Эпителий на большей части поверхности десквамирован либо отсутствует. Количество межэпителиальных лимфоцитов в эпителии увеличено. Число бокаловидных клеток резко снижено. Крипты глубокие. В эпителии базальных отделов крипт встречаются панетовские клетки. Собственная пластинка обильно инфильтрирована лимфоцитами и плазмоцитами. Заключение: гистологическая картина атрофического дуоденита, характерная для целиакии, стадия Marsh III C.
Рис. 1. Гистологическая картина слизистой оболочки двенадцатиперстной кишки при первичном обследовании: а – кишечные ворсины отсутствуют; крипты глубокие; количество бокаловидных клеток в эпителии крипт снижено; собственная пластинка сильно инфильтрирована лимфоцитами и плазмоцитами, ×120; б – число межэпителиальных лимфоцитов существенно увеличено; окраска гематоксилином и эозином, ×300.
Fig. 1. Histological image of the duodenal mucosa at the initial examination: a – the intestinal villi are absent; crypts are deep; the number of goblet cells in the crypt epithelium is reduced; the lamina propria is heavily infiltrated with lymphocytes and plasma cells, ×120; b – the number of intraepithelial lymphocytes is significantly increased; staining with hematoxylin and eosin, ×300.
Установлен диагноз: целиакия, латентная форма, СНВ 3-й степени тяжести, с нарушением белкового, водно- электролитного, витаминного обменов; кахексия; гипопротеинемия; гипопротеинемические отеки; гипокалиемия, гипокальциемия, гипомагниемия; хроническая железодефицитная анемия; неалкогольная жировая болезнь печени в стадии стеатоза, с умеренной ферментативной активностью.
Больной назначены АГД и коррекция метаболических нарушений. После выписки больная соблюдала диету, анорексия и диарея прекратились, прибавила в массе тела 7 кг. Вскоре вернулась к работе (преподавала музыку в детском саду) и перестала придерживаться АГД.
В феврале 2020 г. заболела ангиной. В течение 2 нед лечилась Амоксиклавом и нестероидными противовоспалительными препаратами. Возобновились поносы, тошнота, рвота, анорексия, потеряла в массе тела 6 кг, появились отеки ног, гипотония (артериальное давление 80/60 мм рт. старший), обезвоживание. Вновь госпитализирована в ГБУЗ «МКНЦ им. А.С. Логинова». При поступлении: состояние средней тяжести. Рост 147 см, масса тела 32 кг, индекс массы тела 15,2 кг/м2. Кожа сухая, слизистые оболочки бледные. Отеки голеней и стоп. В легких дыхание везикулярное, ослабленное в нижних отделах, больше справа. Тоны сердца ясные, ритмичные. Артериальное давление 120/75 мм рт. старший, частота сердечных сокращений – 75 уд/мин. Живот слегка вздут, при пальпации мягкий, безболезненный, кишечные петли тестоватые, с трудом пальпируются. Печень у края реберной дуги, селезенка не пальпируется. Мочеиспускание свободное. Стул 2 раза, кашицеобразный, обильный, до 800 мл/сут.
Анализы крови: гемоглобин – 81 г/л, эритроциты – 2,42×1012/л, лейкоциты – 8,90×109/л, анизоцитоз, общий белок – 46 г/л, альбумины – 28,4 г/л, – калий 2,86 ммоль/л, кальций – 1,63 ммоль/л, железо – 7,3 ммоль/л, аланинаминотрансфераза – 61,8 Ед/л, аспартатаминотрансфераза – 54,3 Ед/л, креатинин – 117 ммоль/л, С-реактивный белок (СРБ) – 5,18 мг/мл. Коагулограмма: активированное частичное тромбопластиновое время – 33,3 (25,4–36,9) с; международное нормализованное отношение (МНО) 2,08 (0,90–1,20); протромбин по Квику 39,0 (70–130,0) %, протромбиновое время 23,1 (9,4–12,5) с.
Иммунологическое исследование: антитела к глиадину иммуноглобулина (Ig) A – 200 (0,0–12,0) Ед/мл, IgG – 100 (0,0–12) Ед/мл; антитела к тканевой трансглутаминазе IgA – 200 (0,0–10) Ед/мл, IgG – 5,4 (0,0–10) Ед/мл.
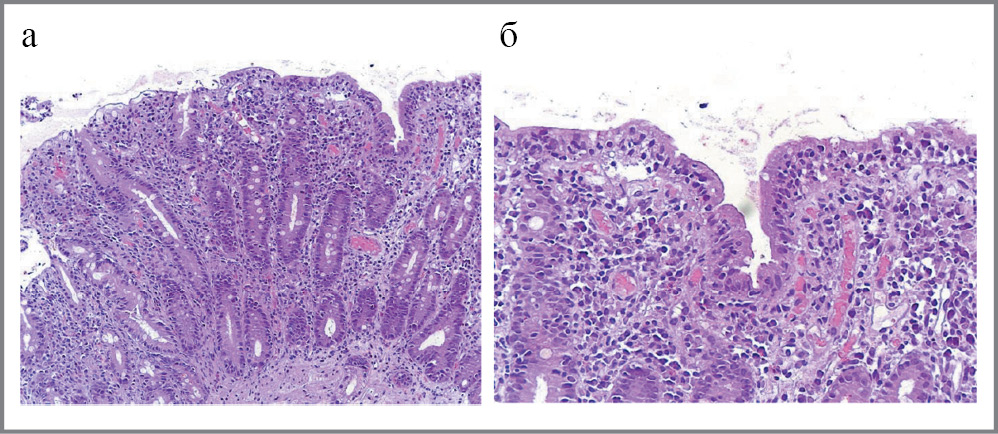
Ультразвуковое исследование: диффузные изменения печени, поджелудочной железы, признаки свободной жидкости в малом тазу (около 200 мл). При повторно выполненном экстракраниальном дуплексном сканировании с дуоденальной биопсией (4 фрагмента из разных отделов двенадцатиперстной кишки) морфологическая картина существенно не изменилась (рис. 2).
Рис. 2. Состояние слизистой оболочки двенадцатиперстной кишки при повторном обследовании: а – сохраняются явления гиперрегенераторной атрофии (отсутствие кишечных ворсин и углубление крипт), ×120; б – в поверхностном эпителии большое число межэпителиальных лимфоцитов; окраска гематоксилином и эозином, ×300.
Fig. 2. The state of duodenal mucosa at a second examination: a – sings of hyperregenerative atrophy (absence of intestinal villi and deepening of crypts) persist, ×120; b – there is a large number of intraepithelial lymphocytes in the superficial epithelium; staining with hematoxylin and eosin, ×300.
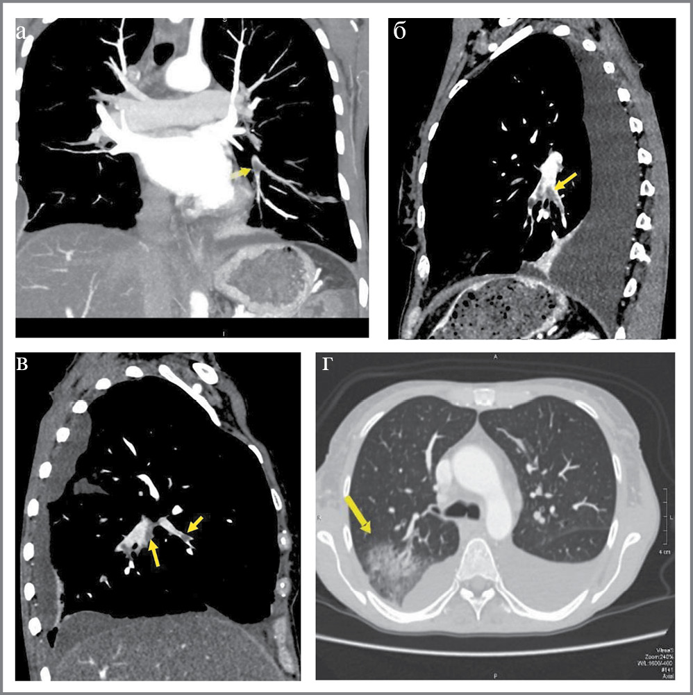
При компьютерной томографической (КТ) ангиопульмонографии обнаружены признаки тромбоэмболии ветвей легочной артерии с развитием инфаркт-пневмонии; двусторонний гидроторакс с признаками осумкования справа; центрилобулярная эмфизема легких (рис. 3).
Рис. 3. КТ-ангиопульмонография: тромбоэмболия ветвей легочной артерии с развитием инфаркт-пневмонии:
а – мультипланарная реконструкция, корональная плоскость, дефект контрастирования (тромбоэмбол) в просвете левой нижнедолевой легочной артерии и ее сегментарных ветвях (стрелка); б – мультипланарная реконструкция, сагиттальная плоскость, дефект контрастирования (тромбоэмбол) в просвете левой нижнедолевой легочной артерии и ее ветвей (стрелка); в – мультипланарная реконструкция, сагиттальная плоскость, дефект контрастирования (тромбоэмбол) в просвете правой нижнедолевой легочной артерии и ее ветвей (стрелка); г – аксиальная плоскость, легочное электронное окно, зона консолидации легочной ткани – инфаркт-пневмония (стрелка) и дефект контрастирования (частично реканализированный тромбоэмбол) в задней сегментарной ветви верхнедолевой легочной артерии.
Fig. 3. CT-angiopulmonography: thromboembolism of the branches of the pulmonary artery with the development of infarction pneumonia:
a – multiplanar reconstruction, coronal plane, contrast defect (thromboembolism) in the lumen of the left lower lobe pulmonary artery and its segmental branches (arrow); b – multiplanar reconstruction, sagittal plane, contrast defect (thromboembolism) in the lumen of the left inferior lobe pulmonary artery and its branches (arrow); c – multiplanar reconstruction, sagittal plane, contrast defect (thromboembolism) in the lumen of the right lower lobe pulmonary artery and its branches (arrow); d – axial plane, pulmonary electron window, zone of pulmonary tissue consolidation: infarction-pneumonia (arrow) and contrast defect (partially recanalized thromboembolism) in the posterior segmental branch of the upper lobe pulmonary artery.
В связи с выявленной тромбоэмболией ветвей легочной артерии, изменениями в коагулограмме и анамнестическими данными о завершении 1-й беременности мертворождением предполагался антифосфолипидный синдром, ассоциированный с целиакией, но не подтвердившийся серологическими исследованиями.
Больной назначена АГД, преднизолон 30 мг внутривенно с переходом на пероральный прием через 7 дней с постепенным снижением, внутривенно альбумин, аминокислоты, электролиты, препараты железа, Верошпирон. Состояние больной оставалось тяжелым: сохранялись кахексия (масса тела 32 кг), сосудистая недостаточность, диарея, отеки стоп, голеней, двухсторонний гидроторакс, жидкость в малом тазу. Сохранялись анемия, гипопротеинемия, снижение уровня калия, кальция, магния. По заключению междисциплинарного консилиума тяжесть состояния больной обусловлена целиакией с тяжелым СНВ, двухсторонней тромбоэмболией ветвей легочной артерии с развитием правосторонней инфарктной пневмонии, двухстороннего осумкованного (справа) гидроторакса. Отмечено повышение D-димера до 3,48 мг/мл (норма 0,00–0,50). Ультразвуковая допплерография вен нижних конечностей без особенностей, повышение МНО до 2,06, снижение протромбина по Квику до 61,0%, протромбинового времени до 16,1 с и антитромбина II до 53,0.
Таким образом, у пациентки с установленной ранее целиакией, но не соблюдавшей АГД, после тяжелой ангины развился ЦК. Он характеризовался острой диареей, СНВ с гипопротеинемией, отеками, вторичной коагулопатией, возможно, с диссеминированным внутрисосудистым свертыванием (ДВС-синдром). Развитию ЦК предшествовали тяжелая ангина и несоблюдение АГД. Назначены подкожно введение Фраксипарина по 0,15 мл 1 раз в сутки внутривенно, свежезамороженная плазма 10 мл/кг массы тела (320 мл) до повышения антитромбина III выше 60%. Выполнена плевральная пункция. В плевральной полости слева значительное количество свободной жидкости, легкое поджато. В правой полости жидкости нет. Из левой плевральной полости получено 350 мл серозной светло-желтой прозрачной жидкости. Легкое расправлено.
В плевральной жидкости белок 17,5 г/л, альбумин 12,7 г/л, глюкоза 7,63 ммоль/л, СРБ 1,5 мг/л, гистиоцитоз.
В процессе лечения у больной появились лихорадка до 39,4°С, лейкоцитоз, нейтрофилез, повысился СРБ и снизился уровень гемоглобина. Выполнено переливание 2 доз эритроцитарной взвеси. При посеве мочи и крови обнаружен рост кишечной палочки до 107 КОЕ/мл. Установлен энтерогенный сепсис, обусловленный транслокацией кишечной микрофлоры. Закончен курс гормональной терапии. Назначены имипенем по 2 г/сут внутривенно, Флуконазол 50 мл (100 мг) в сутки.
Состояние постепенно улучшилось: нормализовалась температура, прекратились поносы, появился аппетит, исчезли асцит, гидроторакс, уменьшились отеки ног. Уровень гемоглобина повысился до 9,6 г/дл, белок – до 60 г/л, альбумин – до 35 г/л, калий – до 4,0 ммоль/л, но сохранялся лейкоцитоз до 15,60×109/л. По данным коагулограммы достигнут целевой уровень протромбина III – 70%, МНО – 1,27, D-димер снизился до 2,46.
Выписана с диагнозом: целиакия, латентная форма; ЦК с нарушением белкового, электролитного, витаминного обмена, кахексией, обезвоживанием, гипотонией; коагулопатия: ДВС-синдром, тромбоэмболия мелких ветвей легочной артерии; инфарктная пневмония справа, разрешившаяся; центрилобулярная эмфизема легких; хронический бронхит; энтерогенный сепсис.
Рекомендовано строго пожизненно соблюдать АГД, закончить курс лечения преднизолоном по заданной схеме, продолжить прием ферментных препаратов, ингибиторов протонной помпы на период приема преднизолона, а также препаратов кальция D3 и дабигатрана 150 мг 2 раза в день 3 мес.
Через месяц больная приступила к работе. Чувствует себя хорошо, находится под наблюдением гастроэнтеролога ГБУЗ «МКНЦ им. А.С. Логинова».
Обсуждение
Представленное клиническое наблюдение относится к редкому угрожающему жизни осложнению целиакии – ЦК. В данном случае оно включало коагулопатию с развитием ДВС-синдрома, тромбоэмболию ветвей легочной артерии, инфаркт-пневмонию с развитием сепсиса, гемодинамическую нестабильность, электролитный дисбаланс, гипоальбуминемию и ацидоз. В литературе подобное осложнение целиакии описывается как ЦК.
Если ЦК является первым проявлением болезни, то диагноз очень сложный, так как требуется сначала заподозрить целиакию. У пациентов с установленной ранее целиакией к подобному осложнению предрасполагают прежде всего отказ от АГД, беременность и роды, тяжелые интеркуррентные заболевания [4, 5]. У наблюдаемой нами больной целиакия протекала латентно: СНВ с диареей и гипопротеинемическими отеками появились в возрасте 39 лет. Хотя имелись предикторы болезни – отставание в физическом развитии и нарушения фертильности [7]. Наиболее убедительным триггером послужила тяжелая ангина на фоне полного отказа от соблюдения АГД, приведшая к профузной диарее, потере массы тела вплоть до кахексии, резкой слабости, безбелковым отекам, гипотонии, обезвоживанию, тяжелым электролитным нарушениям, гиповитаминозу, железодефицитной анемии, повышению креатинина. Кроме того, у больной развилась тяжелая коагулопатия с тромбоэмболией мелких ветвей легочной артерии и инфарктной пневмонией. Похожее наблюдение описали E. Forrest и соавт. [8], наблюдавшие пациентку 43 лет с целиакией, у которой развился двухсторонний тромбоз легочной артерии, осложнившийся инфарктной пневмонией, расцененный как ЦК. S. Becker и соавт. описали пациента, у которого целиакия впервые дебютировала кровотечением из верхних отделов желудочно-кишечного тракта [3].
Одним из осложнений целиакии является сепсис. M. Lodhi и соавт. описали женщину 57 лет, страдавшую ревматоидным артритом, у которой на фоне появившейся острой диареи развился сепсис, вызванный кишечной палочкой. При дальнейшем обследовании у нее диагностирована целиакия [9].
В нашем случае у больной целиакией с атрофией ворсинок СОТК на стадии Marsh III С обращали на себя внимание десквамация эпителия или полное его отсутствие. Эти повреждения являются входными воротами инфекции и могут быть причиной развития энтерогенного сепсиса [10]. Однако мнение исследователей о причинах возникновения сепсиса при целиакии неоднозначно. Так, A. Sapone и соавт. считают, что причиной сепсиса при целиакии являются повышение проницаемости, уменьшение барьерной функции СОТК [6]. Некоторые авторы объясняют связь развития сепсиса у больных целиакией с гипоспленизмом [9, 11]. Имеются также сообщения, что на фоне соблюдения АГД гипоспленизм уменьшается и риск развития сепсиса снижается [12].
У наблюдаемой нами пациентки ЦК предшествовали несоблюдение АГД и перенесенная инфекции. Криз проявился СНВ 3-й степени тяжести и тяжелой коагулопатией. Атрофия ворсинок с нарушением целостности СОТК явилась входными воротами для развития энтерогенного сепсиса. Интенсивная терапия с учетом всех особенностей заболевания привела к быстрому купированию симптомов.
Клинические критерии ЦК включают острое начало, быстрое снижение массы тела, прогрессирование кишечных симптомов, связанных с целиакией, требующих госпитализации и парентерального питания, а также тяжелое обезвоживание, гемодинамическую нестабильность и/или ортостатическую гипотензию, неврологические нарушения, повышение креатинина, метаболический ацидоз (pH<7,35), альбумин <30,0 г/л; гипер/гипонатриемию, гипокальциемию, гипокалиемию или гипомагниемию [2–6]. Механизм развития ЦК остается не до конца ясным. Описанные триггерные факторы включают: хирургическое вмешательство, беременность, иммуносупрессивную терапию, инфекции, несоблюдение АГД [5]. Предполагаемый механизм включает сочетание тяжелого воспаления слизистой оболочки, с активацией иммунной системы. Одним из симптомов ЦК является коагулопатия, которая развивается из-за тяжелой мальабсорбции витамина K в тонком кишечнике, что приводит к нарушению активации витамин K-зависимых факторов свертывания крови, таких как фактор II, VII, IX и X [13]. Бессимптомная легкая коагулопатия относительно часто встречается при целиакии. Исследование показало, что у 18,5% пациентов с целиакией МНО превышало 1,4 [14]. Тяжелая коагулопатия с клиническими признаками кровотечения или тромбозами наблюдается крайне редко [15].
Основу лечения ЦК составляют АГД, интенсивная патогенетическая терапия СНВ и его осложнений, при отсутствии противопоказаний – кортикостероиды.
Конфликт интересов. Авторы заявляют об отсутствии конфликта интересов.
Conflict of interests. The authors declare no conflict of interest.
Список сокращений
About the authors
Aleksandra V. Babanova
Loginov Moscow Clinical Research Center
Author for correspondence.
Email: a.babanova@mknc.ru
ORCID iD: 0000-0001-9263-8324
лаборант-исследователь
Russian Federation, MoscowLarisa M. Krums
Loginov Moscow Clinical Research Center
Email: a.babanova@mknc.ru
ORCID iD: 0000-0003-0692-7133
доктор медицинских наук, старший научный сотрудник, врач-гастроэнтеролог
Russian Federation, MoscowSvetlana V. Bykova
Loginov Moscow Clinical Research Center
Email: a.babanova@mknc.ru
ORCID iD: 0000-0001-9576-2953
кандидат медицинских наук, врач-гастроэнтеролог, заведующий отделением невоспалительной патологии кишечника
Russian Federation, MoscowAsfold I. Parfenov
Loginov Moscow Clinical Research Center
Email: a.babanova@mknc.ru
ORCID iD: 0000-0002-9782-4860
доктор медицинских наук, профессор, руководитель отделения патологии кишечника
Russian Federation, MoscowGalina A. Dudina
Loginov Moscow Clinical Research Center
Email: a.babanova@mknc.ru
ORCID iD: 0000-0001-9673-1067
доктор медицинских наук, врач-гематолог, заведующий гематологическим отделением
Russian Federation, MoscowElena A. Sabelnikova
Loginov Moscow Clinical Research Center
Email: a.babanova@mknc.ru
ORCID iD: 0000-0001-7519-2041
доктор медицинских наук, заместитель директора по научной работе
Russian Federation, MoscowSergei G. Khomeriki
Loginov Moscow Clinical Research Center
Email: a.babanova@mknc.ru
ORCID iD: 0000-0003-4308-8009
доктор медицинских наук, профессор, руководитель лаборатории патоморфологии
Russian Federation, MoscowKonstantin A. Lesko
Loginov Moscow Clinical Research Center
Email: a.babanova@mknc.ru
ORCID iD: 0000-0001-9814-0172
кандидат медицинских наук, врач-рентгенолог
Russian Federation, MoscowSaria R. Dbar
Loginov Moscow Clinical Research Center
Email: a.babanova@mknc.ru
ORCID iD: 0000-0001-6516-7782
младший научный сотрудник врач-гастроэнтеролог
Russian Federation, MoscowReferences
- Парфенов А.И. Целиакия. Эволюция представлений о распространенности, клинических проявлениях и значимости этиотропной терапии. М.: Анахарсис, 2007 [Parfenov AI. Celiac disease. Evolution of ideas about the prevalence, clinical manifestations and significance of etiotropic therapy. Moscow: Anacharsis, 2007 (in Russian)].
- Jamma S, Rubio-Tapia A, Kelly CP, et al. Celiac crisis is rare but a serious complication of celiac disease in adults. Clin Gastroenterol Hepatol. 2010;8(7):587-90. doi: 10.1016/j.cgh.2010.04.009/
- da Becker CSC, da Silva MCA, D’Incao RB, et al. Celiac crisis and hemorrhagic diathesis in an adult. Scientia Medica. 2014;24(3):284-7. doi: 10.15448/1980-6108.2014.3.16890
- Bul V, Sleesman B, Boulay B. Celiac disease presenting as profound diarrhea and weight loss – A celiac crisis. Am J Case Rep. 2016;17:559-61. doi: 10.12659/ajcr.898004/
- Mrad RA, Ghaddara HA, Green PH, et al. Celiac crisis in a 64-year-old woman: An unusual cause of severe diarrhea, acidosis, and malabsorption. ACG Case Rep J. 2015;2(2):95-7. doi: 10.14309/crj.2015.16
- Sapone A, Lammers KM, Casolaro V, et al. Divergence of gut permeability mucosa immune gene expression in two gluten-associated conditions: coeliac disease and gluten sensivity. BMC Med. 2011;9:23. doi: 10.1186/1741-7015-9-23
- Быкова С.В, Парфенов А.И., Тетруашвили Н.К., и др. Распространенность глютенчувствительной целиакии у женщин с нарушениями репродуктивной функции. Терапевтический архив. 2012;83(2):31-5 [Bykova SV, Parfenov AI, Tetruashvili NK, et al. Prevalence of celiac disease in women with reproductive disorders. Terapevticheskii Arkhiv (Ter. Arkh.). 2012;83(2):31-5 (in Russian)].
- Forrest E, Wong M, Sharma S. Coeliac crisis, a rare profound presentation: a case report. BMC. Gastroenterol. 2019;18:59. doi: 10.1186/s12876-018-0784-0
- Lodhi MU, Stammann T, Kuzel AR, et al. Coeliac disease and concomitan conditions: a case- based review. Cureus. 2018;10(2):2143. doi: 10.7759/cureus.2143
- Крумс Л.М., Сабельникова Е.А. Хронические болезни тонкой кишки: клиника, диагностика, лечение. М., 2014 [Krums LM, Sabelnikova EA. Chronic diseases of the small intestine: clinical picture, diagnosis, treatment. Moscow, 2014 (in Russian)].
- Sebatino AD, Brunetti L, Maffe GC, et al. Is it worth investigating splenic function in with celiac disease. World J Gastroenterol. 2013;19:2313-8. doi: 10.3748/wjg.v19.i15.2313
- Corrazza GR, Frissone M, Vaira D, Casbarrini G. Effect gluten free diet on splenic hypofunction of adalt coelic disease. Gut. 1983;24:2313-8. doi: 10.1136/gut.24.3.228
- Chen CS, Cumbler EU, Triebling AT. Coagulopathy due to celiac disease presenting as intramuscular hemorrhage. J Gen Intern Med. 2007;22(11):1608-12. doi: 10.1007/s11606-007-0297-y
- Cavallaro R, Iovino P, Castiglione F, et al. Prevalence and clinical associations of prolonged prothrombin time in adult untreated coeliac disease. Eur J Gastroenterol Hepatol. 2004;16(2):219-23. doi: 10.1097/00042737-200402000-00016
- Gonzalez JJ, Elgama M, Mishra S, Adekolujo OS. Severe Coagulopathy as a Rare Feature of Celiac Crisis in a Patient Previously Diagnosed with Celiac Disease. Am J Case Rep. 2019;20:290-3. doi: 10.12659/AJCR.913731.
Supplementary files






