Сardiac myxoma: challenge in diagnostics. Case report
- Authors: Fomin V.V.1, Kogan E.A.1, Morozova N.S.1, Chichkova N.V.1, Komarov R.N.1, Kurasov N.O.1, Dgengera N.A.1, Romanova V.I.1, Sedov A.V.1, Sarkisova N.D.1, Shelukha P.A.1
-
Affiliations:
- Sechenov First Moscow State Medical University (Sechenov University)
- Issue: Vol 93, No 4 (2021)
- Pages: 470-477
- Section: Case reports
- Submitted: 03.06.2021
- Accepted: 03.06.2021
- Published: 15.04.2021
- URL: https://ter-arkhiv.ru/0040-3660/article/view/71258
- DOI: https://doi.org/10.26442/00403660.2021.4.200685
- ID: 71258
Cite item
Full Text
Abstract
Cardiac myxoma is the most common primary benign cardiac tumor (up to 50% of all primary cardiac neoplasms). The implementation of the modern imaging techniques into the clinical practice, particularly, 2D e–chocardiography, computed tomography and magnetic resonance tomography (MRI) results to the prompt diagnosis of the myxoma. However, the absence of specific clinical features, insufficient awareness of this condition among the physicians along with a rare prevalence, may lead to a misdiagnosis. This case report is notable for the relatively late diagnosis of a giant left atrial myxoma due to a number of circumstances but with successful surgical treatment.
Keywords
Full Text
Введение
Первичные новообразования сердца, несмотря на их редкость (согласно статистическим данным составляют 0,001–0,02% в структуре кардиальной патологии и до 0,2% у кардиохирургических больных) [1], в последние десятилетия привлекают внимание исследователей различных медицинских специальностей, в первую очередь кардиологов и кардиохирургов. Это связано с тем, что внедрение в клиническую практику таких методов исследования, как двухмерная эхокардиография, компьютерная томография (КТ) и магнитно-резонансная томография, а также развитие кардиохирургии позволяют осуществлять своевременную диагностику и успешное хирургическое лечение этой патологии. В специализированных кардиохирургических клиниках накоплен достаточно большой опыт по хирургическому лечению этого вида патологии. В опубликованных работах в основном приводятся сведения о клинической картине, диагностике и результатах хирургического лечения опухолей сердца (Л.В. Шхвацабая, 1984; Б.В. Петровский и соавт, 1985; С.Ф. Серов, 1986; В.Т. Селиваненко и соавт., 1987; В.С. Задионченко и соавт., 1990; A. Kandoria и соавт., 2014; L. Shi и соавт., 2016; A. Li и соавт., 2017).
Первичные опухоли сердца, как известно, подразделяются на доброкачественные и злокачественные. Последние составляют около 25% от всех опухолей. Это обычно саркомы. Чаще всего описываются ангиосаркомы, недифференцированные саркомы, рабдомиосаркомы, лейомиосаркомы. Доброкачественные опухоли: миксома, липома, папиллярная фиброэластома, фиброма, рабдомиома. Миксома – наиболее частая первичная кардиальная опухоль (до 50% всех первичных новообразований сердца) [2]. Локализуется преимущественно в области овального отверстия межпредсердной перегородки (МПП), что объясняют физиологической склонностью этой зоны к тканевой пролиферации, сохраняющейся в неонатальном периоде и даже у взрослых.
Все опухоли сердца, в том числе гистологически доброкачественные, несут потенциальную опасность возникновения смертельно опасных осложнений – сердечной недостаточности, аритмий, перикардита, тампонады сердца, системных эмболий. Ранее опухоли сердца случайно обнаруживали при операциях на сердце, и, как правило, диагноз устанавливали при аутопсии. За последние десятилетия с введением новых методов обследования, особенно эхокардиографии, прижизненная диагностика опухолей сердца стала встречаться гораздо чаще, однако в ряде случаев представляет существенные трудности ввиду в первую очередь неспецифических клинических проявлений, а также отсутствия настороженности практикующих врачей вследствие редкой встречаемости данного заболевания, и как результат – достаточно позднее направление больного на данное исследование [3].
Далее мы представляем клиническое наблюдение, демонстрирующее сложности в диагностике новообразования сердца.
Мужчина С. 56 лет поступил в отделение кардиологии №2 Университетской клинической больницы №1 ФГАОУ ВО «Первый МГМУ им. И.М. Сеченова» (Сеченовский Университет) с жалобами на одышку при незначительной физической нагрузке и в покое, усиливающуюся в горизонтальном положении тела, сухой непродуктивный кашель, отеки голеней, повышение температуры тела до 38,7ºС, ощущение учащенного ритмичного сердцебиения, боли в правом подреберье, увеличение объема живота.
По данным анамнеза в течение жизни считал себя здоровым человеком, рос и развивался соответственно возрасту. В 1980 г. имел контакт со сверхвысокими частотами и радиационным облучением. Курил в течение 40 лет по 1/2 пачки в день, бросил курить за 3 мес до госпитализации. Индекс курящего человека – 20 пачка/лет.
При тщательном расспросе удалось выяснить, что снижение толерантности к физической нагрузке и появление одышки (в основном во время интенсивной физической нагрузки – больной увлекается зимней рыбалкой) стал отмечать в течение последних 5–6 лет. Около 2,5 года назад обратил внимание на постепенное нарастание одышки, а также появление болей в эпигастральной области и правом подреберье, в основном, как больному казалось, после погрешностей в диете. В течение 2017 г. состояние прогрессивно ухудшалось. На фоне постоянно сохраняющейся одышки, слабости и кашля периодически повышалась температура. Неоднократно обращался к врачам, состояние расценивалось как пневмония, проводилась антибактериальная терапия с относительным эффектом. Температура снижалась на какое-то время, общее состояние не улучшалось. К врачам обратился только в январе 2018 г., когда на фоне выраженной физической нагрузки значительно возросли одышка, сердцебиение, усилились боли в правом подреберье, появились отеки ног и увеличение живота в объеме. Так как к одышке больной адаптирован, а на первый план в клинической картине вышли абдоминальные и диспептические жалобы, он обратился к гастроэнтерологу. В общем анализе крови от 27.01.2018 определялись умеренная гипохромная анемия, нормальный уровень лейкоцитов и СОЭ, в биохимическом анализе – повышение уровня глюкозы до 6,90 ммоль/л, мочевины до 8,5 ммоль/л. Остальные параметры биохимического анализа крови оставались в пределах нормальных значений. При ультразвуковом исследовании (УЗИ) брюшной полости от 30.01.2018 выявлены умеренная гепатомегалия, диффузные изменения печени, небольшое утолщение стенок желчного пузыря. Заподозрен острый холецистит, в связи с чем рекомендована госпитализация в стационар, предлагалось оперативное лечение, от которого больной отказался. Состояние продолжало прогрессивно ухудшаться. В основном отмечал усиление болей в правом подреберье, тошноту, рвоту, не приносящую облегчение, отсутствие аппетита, увеличение объема живота. 02.02.2018 при повторной сдаче биохимического анализа крови и коагулограммы уже выявлены существенные изменения в виде снижения уровня общего белка, альбумина, протромбина, повышение уровня общего билирубина за счет прямой фракции, γ-глютамилтранспептидазы, щелочной фосфатазы. В анализах мочи – протеинурия, наличие билирубина, повышение уробилиногена. Пациент вновь обратился за консультацией к гастроэнтерологу. При осмотре обращали на себя внимание увеличение печени (+6 см из-под края реберной дуги), боли в правом подреберье. К этому времени больному дважды в разных медицинских учреждениях проводилось УЗИ брюшной полости, выявлявшее признаки «острого холецистита». Тем не менее пациент вновь срочно направлен на УЗИ органов брюшной полости, где помимо гепатомегалии, утолщения стенок желчного пузыря и наличия небольшого количества свободной жидкости в брюшной полости обратило на себя внимание расширение нижней полой вены до 28–29 мм (норма – до 25 мм), а также при исследовании в режиме спектральной допплерографии в воротной вене определялся аномальный кровоток в виде пульсирующего двунаправленного кровотока, что могло быть связано с повышением давления в правых отделах сердца. Больной срочно направлен на эхокардиографию (ЭхоКГ): выявлено крупное образование в левом предсердии – ЛП (миксома? тромб?), пролабирующее в диастолу в левый желудочек (ЛЖ), расширение всех камер сердца. Полость ЛЖ – 6,0–6,2 см (N – до 5,5 см), конечно-диастолический объем – 105 мл, полость правого желудочка (ПЖ) – 3,0 см (N – до 2,6 см) на боку из парастернального доступа, 4,8 см из апикального доступа (N – до 3,5 см), предсердий – значительное (левое 5,0×7,3×6,1 см – 156 мл, правое – 7,0×5,5 см – 129 мл) [по Simpson], расширение ствола легочной артерии – 3,0 см, значительная легочная гипертензия (среднее давление в легочной артерии – СДЛА 78,5 мм рт. ст.), трикуспидальная недостаточность и легочная недостаточность 2–3-й степени, митральная недостаточность 1-й степени (рис. 1).
Рис. 1. ЭхоКГ: крупное образование в ЛП (миксома? тромб?), пролабирующее в диастолу в ЛЖ
Больной срочно консультирован кардиохирургами. Рекомендовано оперативное лечение в ближайшие сроки. Однако в тот же день у пациента повысилась температура тела до 38,7ºС, появился кашель, усилилась одышка.
По данным КТ органов грудной клетки от 05.02.2018: диффузный хронический бронхит, распространенный бронхиолит, правосторонняя полисегментарная пневмония, правосторонний гидроторакс. Учитывая наличие пневмонии, а также выраженных признаков недостаточности кровообращения по обоим кругам, больной госпитализирован в отделение кардиологии №2 для дообследования, лечения и подготовки к оперативному лечению.
При поступлении состояние больного расценено как тяжелое. Температура тела 38,7ºС. Телосложение астеническое. Кожные покровы бледно-розовой окраски, обычной влажности. Отеки голеней. В легких дыхание жесткое, над всей поверхностью легких выслушиваются диффузные сухие свистящие хрипы, усиливающиеся в фазе выдоха, влажные мелкопузырчатые хрипы в базальных отделах. Частота дыхательных движений – 24 в минуту. Тоны сердца ритмичны, приглушены. Частота сердечных сокращений (ЧСС) – 92 уд/мин. Артериальное давление – 115/80 мм рт. ст. Живот мягкий, увеличен в размерах, болезненный в правом подреберье. Печень увеличена (нижняя граница печени +4 см из-под края реберной дуги). Селезенка нормальных размеров.
Клинико-лабораторные исследования: общий анализ крови: гемоглобин – 133 г/л, эритроциты – 5,46×1012/л, цветовой показатель – 0,73, гематокрит – 42,2%, лейкоциты – 5,9×109/л, нейтрофилы – 62,2%, лимфоциты – 19,8%, моноциты – 13,6%, 0,8×109/л, эозинофилы – 0,4%, базофилы – 0,7%, СОЭ – 4 мм/ч, тромбоциты – 220×109/л. Анизо-, микроцитоз.
Биохимический анализ крови: общий белок – 62,7 г/л, альбумин – 39,4 г/л, креатинин – 122,6 мколь/л (скорость клубочковой фильтрации – 56,3 мл/мин/1,73 м2), глюкоза – 5,4 ммоль/л, азот мочевины – 9,9 ммоль/л, мочевая кислота – 448 мкмоль/л, общий билирубин – 29,7 мкмоль/л, прямой билирубин – 21,2 мкмоль/л, натрий – 139 мэкв/л, калий – 4,4 мэкв/дл, железо – 5,7 мкмоль/л. Ферменты сыворотки: аспартатаминотрансфераза – 104 ед/л, аланинаминотрансфераза – 80 ед/л, γ-глутамилтранспептидаза – 123 ед/л, креатинфосфокиназа общая – 510 ед/л, щелочная фосфатаза – 386 ед/л, холинэстераза – 4495 ед/л. Липидный спектр: триглицериды – 0,83 ммоль/л, общий холестерин – 3,02 ммоль/л, липопротеиды высокой плотности – 1,01 ммоль/л, липопротеиды низкой плотности – 1,63 ммоль/л, липопротеиды очень низкой плотности – 0,38 ммоль/л, коэффициент атерогенности – 1,99.
Коагулограмма при поступлении: активированное частичное тромбопластиновое время – 0,97%, протромбин по Квику – 57%, международное нормализованное отношение – 1,48, фибриноген – 3,26 г/л.
В общем анализе мочи – без особенностей.
На электрокардиограмме (ЭКГ): ритм синусовый, ЧСС – 76 уд/мин. Отклонение электрической оси сердца вправо. Признаки перегрузки правых отделов сердца, увеличения обоих предсердий и ПЖ (высокие зубцы R в V1–V2); рис. 2.
Рис. 2. ЭКГ: ритм синусовый, ЧСС – 76 уд/мин. Отклонение электрической оси сердца вправо. Признаки перегрузки правых отделов сердца, увеличения обоих предсердий и ПЖ (высокие зубцы R в V1–V2)
При суточном мониторировании ЭКГ по Холтеру значимых нарушений ритма и проводимости не зарегистрировано.
Эзофагогастродуоденоскопия выявила недостаточность кардии, хронический поверхностный гастрит и очаговый бульбит.
В отделении кардиологии проводилось лечение: раствор Лазикса 60 мг внутривенно струйно, затем фуросемид – 60 мг/сут, бисопролол – 2,5 мг/сут, Верошпирон – 50 мг/сут. Выполнялось лечение пневмонии: цефтриаксон – 2 г/сут внутривенно капельно, ипратропия бромид + фенотерол и амброксол через небулайзер, далее амброксол в таблетках – 90 мг/сут.
На фоне проводимой терапии отмечалось улучшение состояния в виде уменьшения одышки, отеков нижних конечностей. В общей сложности масса тела больного уменьшилась на 15 кг, отмечена нормализация температуры тела, постепенно регрессировала аускультативная картина в легких. Несмотря на положительную клиническую картину, положительной динамики на КТ органов грудной клетки, по сравнению с исследованием от 05.02, не выявлено. Подтверждено наличие образования неоднородной плотности с четкими контурами размером 62×45 мм на короткой ножке диаметром 14 мм, исходящей из МПП. Образование в диастолу на 2/3 смещается в полость ЛЖ (рис. 3).
Рис. 3. КТ сердца. Наличие образования неоднородной плотности с четкими контурами размером 62x45 мм на короткой ножке диаметром 14 мм, исходящей из МПП. Образование в диастолу на 2/3 смещается в полость ЛЖ
На фоне продолжающейся антибактериальной, бронхолитической, мочегонной терапии отмечены положительная динамика, улучшение общего состояния. На контрольной КТ органов грудной клетки – небольшая положительная динамика.
На ЭхоКГ при выписке из отделения кардиологии выявлено снижение СДЛА до 58,3 мм рт. ст., диастолического давления в легочной артерии – до 22,8 мм рт. ст., а также снижение легочной и трикуспидальной регургитации до 2-й степени.
Таким образом, клинический диагноз сформулирован следующим образом.
Основное комбинированное заболевание:
1) фибромиксома (?) сердца;
2) внебольничная правосторонняя полисегментарная пневмония. Хроническая обструктивная болезнь легких, смешанный вариант, средняя степень бронхиальной обструкции с редкими обострениями. Двусторонний бронхиолит.
Осложнения основного заболевания: недостаточность трикуспидального клапана 2-й степени. Недостаточность клапана легочной артерии 2-й степени. Хроническая сердечная недостаточность 2Б стадии, IV функционального класса (NYHA).
Сопутствующие заболевания: гастроэзофагеальнорефлюксная болезнь, эндоскопически негативная форма. Недостаточность кардии. Хронический поверхностный гастрит, бульбит.
12.03.2018 пациент госпитализирован в клинику сердечно-сосудистой и аортальной хирургии.
14.03.2018 выполнена операция: удаление образования ЛП в условиях нормотермического искусственного кровообращения и кровяной тепловой кардиоплегии по Калафиори (рис. 4, 5).
Рис. 4. Операция: удаление образования ЛП в условиях нормотермического искусственного кровообращения и кровяной тепловой кардиоплегии по Калафиори
Рис. 5. Удаленное образование имело большие размеры – более 6 см (6,5х4х4 см), занимало практически всю полость ЛП
Удаленное образование имело большие размеры более 6 см (6,5×4×4 см), занимало практически всю полость ЛП. Отправлено на патологоанатомическое исследование.
Применяемые визуализирующие методики (ЭхоКГ, КТ), безусловно, являются основными в диагностике образований сердца и даже помогают предварительно провести дифференциальную диагностику между миксомой и тромбом. Однако точная дифференциальная диагностика возможна только на основании гистологического исследования операционного материала. Биопсию миксом не проводят в связи с высоким риском эмболии при травме опухоли. Морфологическая постановка диагноза является жизненно важной для дальнейшего лечения пациентов.
Макропрепарат миксомы на разрезе слоистого вида с участками студнеобразной консистенции и коричневыми массами.
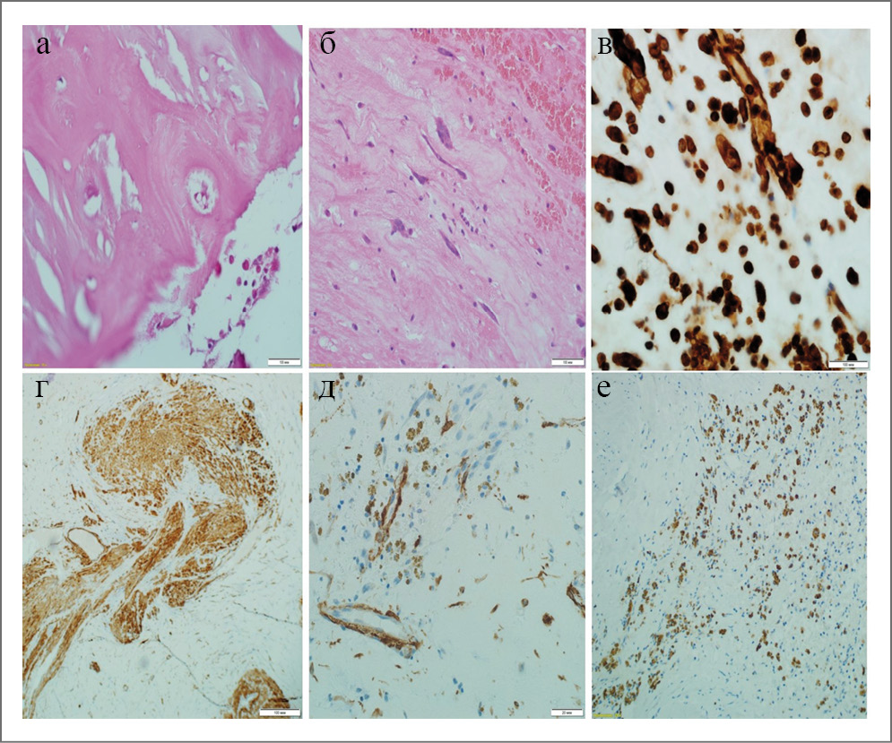
В микропрепаратах (рис. 6, а, б) морфология миксомы с некрозом, очаговыми кровоизлияниями, отложениями гемосидерина и кальцинозом. Наличие многоядерных клеток в препарате оставляло подозрение на злокачественную опухоль, например на саркому или лейосаркому, в связи с чем проведены следующие иммуногистохимические исследования:
- На виментин – выявлена диффузная реакция цитоплазмы клеток образования в реакции с антителами к этому белку, что свидетельствует о наличии в составе опухоли фибробластов (типично для миксомы); рис. 6, в.
- На SMA (актин гладкомышечных клеток) – положительная реакция получена только в пучках гладкомышечных клеток и в стенках сосудов, но не в ткани опухоли (рис. 6, г).
- На мезенхимальные стволовые клетки АЕ1/АЕ3 (выявление цитокерантов) – в клетках опухоли реакция негативная (рис. 6, д).
- На Ki-67 – индекс пролиферативной активности более 2% в клетках опухоли (повышен в очагах воспалительной инфильтрации) свидетельствует о крайне низкой пролиферативной активности, соответственно, о низкой степени злокачественности образования. Таким образом, морфологически подтверждено наличие миксомы ЛП (рис. 6, е).
Рис. 6. Гистологическая и иммуногистохимическая характеристика миксомы: а, б – морфология миксомы с некрозом, очаговыми кровоизлияниями, отложениями гемосидерина и кальцинозом; в – исследование на виментин – наличие в составе опухолей фибробластов (типично для миксомы); г – положительная реакция на SMA в пучках гладкомышечных клеток и стенках сосудов; д – негативная реакция на мезенхимальные стволовые клетки АЕ1/АЕ; е – Кi-67 в клетках миксомы
Ранний послеоперационный период протекал без особенностей. Проводилась антибактериальная, противовоспалительная терапия (цефтриаксон 1 г 2 раза в день, кетопрофен 100 мг 2 раза в день). Отмечена полная нормализация показателей биохимического анализа крови. При ЭхоКГ также выявлена существенная положительная динамика.
ЭхоКГ от 20.03.2018: ЛП 80–81 мл (исходно – 156 мл), правое предсердие – 44–65 мл (исходно – 129 мл); ЛЖ: конечно-диастолический объем 90–94 мл (исходно – 105 мл), конечный систолический объем – 43 мл, фракция изгнания – 54%. Глобальная и локальная сократимость ЛЖ не снижена. Митральный клапан: средний градиент 1,3 мм рт. ст., регургитация 1-й степени. Трикуспидальный клапан: регургитация 1-й степени (исходно – 3-й степени). СДЛА 50 мм рт. ст. (исходно – 78 мм рт. ст.). Жидкости в полости перикарда, обеих плевральных полостях не выявлено.
В последующем состояние больного постепенно улучшалось, практически исчезли одышка, сердцебиение, отеки голеней, все абдоминальные жалобы, нормализовались размеры печени. Через полгода после операции состояние удовлетворительное. Жалобы в основном на периодически возникающие болевые ощущения в области грудины. При ЭхоКГ от 28.05.2018 камеры сердца не увеличены. Глобальная и локальная сократимость ЛЖ не снижены. Клапанный аппарат без грубой патологии. Значимых регургитаций на клапанах не выявлено. Свободной жидкости в полости перикарда также не выявлено.
Обсуждение
Трудности в диагностике миксом сердца описываются многими авторами. Визуализирующие сердце различные инструментальные методики, и в первую очередь неинвазивное доступное высокочувствительное эхокардиографическое исследование, позволяют выявить различные образования сердца, в том числе миксомы. Стандартные парастернальный и субкостальный подходы не дают возможности диагностировать лишь мелкие миксомы размером менее 1–3 мм. С этой целью применяют чреспищеводную ЭхоКГ. Однако существует проблема, которая заключается в несвоевременном направлении пациентов на данное исследование. Как уже отмечалось ранее, клиническая картина опухолей сердца, и в частности миксом, неспецифична, патогномоничные симптомы отсутствуют. В течение длительного периода миксомы могут протекать бессимптомно, особенно если опухоль маленького размера. Основными клиническими проявлениями миксом являются: обструктивные нарушения внутрисердечной гемодинамики, эмболический синдром, конституциональные или системные признаки, обусловленные иммунологическими нарушениями.
В обнаруженных нами описаниях клинических случаев до проведения эхокардиографического исследования больным с миксомой сердца ставились разнообразные диагнозы. При наличии кардиальной симптоматики, вызванной обструктивными нарушениями внутрисердечной гемодинамики, направление на данное ставшее рутинным исследование остается обязательным, и наличие объемного внутрисердечного образования выявляется достаточно быстро, без особых проблем. Могут возникать сомнения, является ли это образование миксомой или тромбом, что требует дообследования, проведения, в частности, КТ, хотя точная дифференциальная диагностика миксомы от других объемных образований в полостях сердца возможна только на основании гистологического исследования операционного материала. Дооперационную биопсию миксом не выполняют из-за риска эмболии при травме опухоли.
Частота эмболических осложнений достаточно высока и, по данным разных авторов, составляет 30–40%. Эмболии не зависят от размеров миксомы, а обусловлены в основном ее рыхлой ворсинчатой структурой. Чаще встречаются у мужчин. В зависимости от локализации миксомы в ЛП или правом предсердии могут быть клинические проявления эмболии мозговых сосудов (транзиторная ишемическая атака, ишемический инсульт), а также эмболии сосудов нижних и верхних конечностей, паренхиматозных органов, легких (вплоть до массивных тромбоэмболий) и сердца с развитием инфаркта органа [4–6].
Интерес представляют системные проявления: лихорадка, которая появляется внезапно и не купируется антибиотиками, снижение массы тела, анемия, повышение СОЭ, изменения состава белков крови [7]. Также могут отмечаться артралгии, синдром Рейно, эритроцитоз, лейкоцитоз, тромбоцитоз или тромбоцитопения. Авторы, описывавшие данные проявления как паранеопластический синдром считают, что они могут быть обусловлены аутоиммунной реакцией организма на высвобождение в кровь полисахаридных и белковых субстанций опухоли. Несмотря на то что опухоль доброкачественная, морфологически в миксомах встречались признаки хронического воспаления с инфильтрацией стромы лимфоидными клетками, в которых наблюдали экспрессию фактора некроза опухолей, интерлейкина-2 [8]. Встречаются системные проявления в 90% случаев и, как правило, исчезают после удаления опухоли.
Особенность данного клинического случая состоит в том, что больной очень длительное время не обращался к врачам, несмотря на то, что клиническая симптоматика в виде нарастающей одышки, кашля и снижения толерантности к физической нагрузке появилась достаточно давно. По-видимому, вследствие медленного роста миксомы происходила постепенная адаптация организма к возникавшим гемодинамическим изменениям у пациента с хорошими исходными физическими данными, невзирая на длительное курение. Прогрессирующее ухудшение состояния в течение последнего года обусловлено тем, что опухоль выросла до больших размеров и привела к формированию значительной легочной гипертензии, повышению давления в правых отделах сердца и появлению признаков декомпенсации по большому кругу кровообращения – болей в правом подреберье, увеличения живота в объеме, отеков нижних конечностей. Кроме этого, появились признаки конституционального синдрома как реакции организма на опухоль: повышение температуры, снижение массы тела, прогрессирующая астенизация, В сочетании с кашлем и одышкой данная симптоматика врачами по месту жительства расценивалась как пневмония, однако неоднократное лечение антибиотиками не давало стойкого эффекта.
К врачам больного заставили обратиться интенсивные болевые ощущения в правом подреберье, эпигастральной области, диспептические проявления, которые обусловлены выраженным застоем по большому кругу, увеличением печени, появлением асцитической жидкости, отеком стенок желчного пузыря и желчевыводящих путей. Преобладание у пациента гастроэнтерологических жалоб в сочетании с системными проявлениями привело к ошибочной диагностике острого холецистита, панкреатита и чуть ли не к оперативному вмешательству по этому поводу, что могло бы стать фатальным для пациента. Надо отметить, что ранее больному неоднократно проводилось УЗИ органов брюшной полости и ни разу не предлагалось проведение ЭхоКГ. Правильная диагностика оказалась возможной благодаря высокой квалификации УЗИ-специалиста, проводившего исследование также органов брюшной полости и обратившего внимание на расширение нижней полой вены и определение в ней в режиме спектральной допплерографии аномального пульсирующего двунаправленного кровотока, что могло быть связано с повышением давления в правых отделах сердца. Последующее эхокардиографическое исследование тут же выявило наличие большого образования в ЛП (тромб?, миксома?), после чего тактика ведения больного пошла совсем в другом направлении.
Несмотря на редкость данной патологии, мы нашли несколько клинических описаний, в которых также указывалось на трудности диагностики миксомы сердца до проведения ЭхоКГ.
При преобладании тромбоэмболического или конституционального синдрома чаще всего выставлялись предварительно такие диагнозы, как «инфекционный эндокардит», «коллагеноз» или «злокачественное новообразование». Описан случай сочетания миксомы сердца и инфекционного эндокардита, что существенно утяжелило течение заболевания. При операции проведены одновременное удаление миксомы и протезирование пораженного клапана. Больной в стабильном состоянии выписан под наблюдение кардиолога [9].
Описаны также клинические случаи, в которых системные и гемодинамические проявления расценивались на догоспитальном этапе как обострение хронического бронхита [10–12], бронхиальная астма [13], внебольничная пневмония [14], хроническая железодефицитная анемия. На ЭхоКГ больные направлялись, как правило, после безуспешных попыток лечения данных заболеваний. Сроки от обращения пациентов к врачам до постановки правильного диагноза были различными – от нескольких дней до нескольких месяцев.
Также описан клинический случай, когда больная 53 лет с жалобами на слабость, снижение массы тела, анемию, ускорение СОЭ (50–58 мм/ч), ежедневную высокую лихорадку (до 39ºС) госпитализирована в гастроэнтерологическое отделение, где после обследования выставлены диагнозы: хронический пангастрит, эрозия желудка, дивертикулярная болезнь кишечника, хроническая железодефицитная анемия. Лечение данных заболеваний не привело к улучшению состояния, и, учитывая сохраняющуюся выраженную слабость, анемию и увеличение СОЭ, лихорадку, заподозрили инфекционный эндокардит. Выполнено трансторакальное, а затем и чреспищеводное эхокардиграфическое исследование, выявившее миксому правого предсердия, после больная успешно прооперирована. В послеоперационном периоде отмечались регресс клинической симптоматики, существенное улучшение состояния больной [9].
Заключение
Анализируя данное клиническое наблюдение, сделаем определенные выводы: у пациента с превалирующими гастроэнтерологическими жалобами только тщательный сбор анамнеза и всестороннее обследование у высококвалифицированных специалистов позволили в кратчайшие сроки установить верный диагноз, начать предоперационную подготовку и успешно прооперировать пациента.
Как мы уже отмечали, редкость встречаемости, отсутствие специфических клинических проявлений существенно снижают настороженность врачей в отношении данного заболевания. Поэтому хотелось бы рекомендовать в случаях с неясным диагнозом, подозрением на заболевания других органов и систем, но с наличием одышки и неопределенных кардиальных жалоб подвергать больных более детальному обследованию с применением доступных визуализирующих методик, в частности ЭхоКГ, а также расширить показания к применению данного метода в протоколах и медицинских экономических стандартах. Медицинское сопровождение пациентов с образованиями в сердце должно осуществляться группой врачей, включая кардиолога, кардиохирурга, специалистов ультразвуковой и лучевой диагностики, анестезиолога, морфолога. Представленный клинический случай демонстрирует то, что своевременная диагностика позволяет проводить радикальное успешное хирургическое лечение, тогда как при отсутствии лечения отмечается неуклонное прогрессирование недостаточности кровообращения, и чрезвычайно высок риск внезапной эмболической смерти.
Авторы заявляют об отсутствии конфликта интересов.
Список сокращений
КТ – компьютерная томография ЛЖ – левый желудочек ЛП – левое предсердие МПП – межпредсердная перегородка ПЖ – правый желудочек | СДЛА – среднее давление в легочной артерии УЗИ – ультразвуковое исследование ЧСС – частота сердечных сокращений ЭКГ – электрокардиограмма ЭхоКГ – эхокардиография |
About the authors
Victor V. Fomin
Sechenov First Moscow State Medical University (Sechenov University)
Email: morozova-ns@mail.ru
ORCID iD: 0000-0002-2682-4417
чл.-кор. РАН, д.м.н., проф., зав. каф., проректор по клинической работе и дополнительному профессиональному образованию, факультетской терапии №1 Института клинической медицины им. Н.В. Склифосовского
Russian Federation, MoscowEvgeniya A. Kogan
Sechenov First Moscow State Medical University (Sechenov University)
Email: morozova-ns@mail.ru
ORCID iD: 0000-0002-1107-3753
д.м.н., проф., зав. каф. патологической анатомии
Russian Federation, MoscowNatalia S. Morozova
Sechenov First Moscow State Medical University (Sechenov University)
Author for correspondence.
Email: morozova-ns@mail.ru
ORCID iD: 0000-0002-4262-5020
к.м.н., доц. каф. факультетской терапии №1 Института клинической медицины им. Н.В. Склифосовского
Russian Federation, MoscowNatalia V. Chichkova
Sechenov First Moscow State Medical University (Sechenov University)
Email: morozova-ns@mail.ru
ORCID iD: 0000-0002-6962-3260
д.м.н., проф. каф. факультетской терапии №1 Института клинической медицины им. Н.В. Склифосовского
Russian Federation, MoscowRoman N. Komarov
Sechenov First Moscow State Medical University (Sechenov University)
Email: morozova-ns@mail.ru
ORCID iD: 0000-0002-3904-6415
д.м.н., проф., дир. клиники сердечно-сосудистой хирургии
Russian Federation, MoscowNikolay O. Kurasov
Sechenov First Moscow State Medical University (Sechenov University)
Email: morozova-ns@mail.ru
ORCID iD: 0000-0001-6269-2207
врач-кардиохирург отд-ния сердечно-сосудистой хирургии Университетской клинической больницы №1
Russian Federation, MoscowNadezhda A. Dgengera
Sechenov First Moscow State Medical University (Sechenov University)
Email: morozova-ns@mail.ru
ORCID iD: 0000-0002-4846-5566
к.м.н., зав. отд-нием ультразвуковой диагностики Университетской клинической больницы №1
Russian Federation, MoscowVera I. Romanova
Sechenov First Moscow State Medical University (Sechenov University)
Email: morozova-ns@mail.ru
ORCID iD: 0000-0001-5673-4984
к.м.н., врач отд-ния ультразвуковой диагностики Университетской клинической больницы №1
Russian Federation, MoscowAlexey V. Sedov
Sechenov First Moscow State Medical University (Sechenov University)
Email: morozova-ns@mail.ru
ORCID iD: 0000-0003-4722-8136
к.м.н., врач отд-ния кардиологии №2 факультетской терапевтической клиники им. В.Н. Виноградова Университетской клинической больницы №1
Russian Federation, MoscowNatalia D. Sarkisova
Sechenov First Moscow State Medical University (Sechenov University)
Email: morozova-ns@mail.ru
ORCID iD: 0000-0002-5979-1180
к.м.н., зав. отд-нием кардиологии №2 факультетской терапевтической клиники им. В.Н. Виноградова Университетской клинической больницы №1
Russian Federation, MoscowPolina A. Shelukha
Sechenov First Moscow State Medical University (Sechenov University)
Email: morozova-ns@mail.ru
ORCID iD: 0000-0002-0194-5749
аспирант каф. факультетской терапии №1 Института клинической медицины им. Н.В. Склифосовского
Russian Federation, MoscowReferences
- Шонбин А.Н., Мизинцова М.А., Миролюбова О.А., Антонов А.Б. Опухоли сердца: анализ хирургического лечения. Кардиология и сердечно-сосудистая хирургия. 2016;4:39-42 [Shonbin AN, Mizintsova MA, Mirolyubova OA, Antonov A.B. Cardiac tumors: analysis of surgical treatment. Cardiologia i serdechno-sosudistaia hirurgia. 2016;4:39-42 (In Russ.)]. doi: 10.17116/kardio20169439-42
- Frizell AW, Higgins GL. Cardiac myxoma as a mimic: a diagnostic challenge. Am J Emerg Med. 2014;32(11):1399-404. doi: 10.1016/j.ajem.2014.08.044
- Фурсов А.А., Гордеев В.В., Демко И.В., и др. Миксома сердца – сложности диагностики. Российский кардиологический журнал. 2016;11:87-9 [Fursov АА, Gordeev VV, Demko IV, et al. Cardiac myxoma – challenge in diagnostics. Russian Journal of Cardiology. 2016, 11 (139):87-9 (In Russ.)]. doi: 10.15829/1560-4071-2016-11-87-89
- Kohno N, Kawakami Y, Hamada C, et al. Cerebral embolism associated with left atrial myxoma that was treated with thrombolytic therapy. Case Rep Neurol. 2012;4:38-42. doi: 10.1159/00033617
- Messouak M, Zaam A, Maaroufi M, et al. Cardiac myxoma complicated with cerebral aneurysms and revealed by an ischemic stroke. Rev Neurol (Paris). 2011;167:150-4. doi: 10.1016/j.neurol.2010.07.031
- Стогний Н.Ю., Приходько В.В., Арутюнян Л.А., и др. Клинический случай нетипичной легочной эмболии при миксоме правого предсердия. Кардиология и сердечно-сосудистая хирургия. 2018;2:68-70 [Stogniy NYu, Prikhodko VV, Arutyunyan LA, et al. Clinical case of right atrial myxoma followed by atypical pulmonary embolism, Cardiology and Cardiovascular Surgery. 2018;2:68-70 (In Russ.)]. doi: 10.17116/kardio201811268-70
- Желтовский Ю.В., Батеха В.И., Подкаменный В.А., и др. Диагностика и лечение миксом сердца. Acta Biomedica Scientifica. 2017;2(6):21-6 [Zheltovskiy YuV, Batekha VI, Podkamenniy VA, et al. Diagnosis and treatment of cardiac myxoma. Acta Biomedica Scientifica. 2017;2(6):21-6 (In Russ.)]. doi: 10.12737/article_5a0a7ef348ea58.75839252
- Ильинский И.М., Луговский М.К., Иванов А.С., и др. Морфологическая характеристика миксом сердца: 25-летний опыт операций в ФНЦ трансплантологии и искусственных органов имени академика В.И. Шумакова. Вестник трансплантологии и искусственных органов. 2017;XIX(2):104-13 [Iljinsky IM, Lugovsky MK, Ivanov AS, et al. Morphological characteristic of surgically removed cardiac myxomas: 25-year experience in V.I. Shumakov federal research center of transplantology and artificial organs. Russian Journal of Transplantology and Artificial Organs. 2017;19(2):104-13 (In Russ.)]. doi: 10.15825/1995-1191-2017-2-104-113
- Захарьян Е.А. Клинические случаи миксомы левого предсердия: особенности клинического течения, диагностики, лечения. Таврический медико-биологический вестник. 2012; с. 389-93 [Zakharyan EA. Clinical cases of left atrial myxoma: clinical features, diagnosis, treatment. Tavricheskiy medico-biologicheskiy vestnic. 2012; p. 389-93 (In Russ.)].
- Фурсов А.А., Гордеев В.В., Демко И.В., и др. Миксома сердца – сложности диагностики. Российский кардиологический журнал. 2016;11(139):87-9 [Fursov AA, Gordeev VV, Demko IV, et al. Cardiac myxoma-challenge in diagnostics. Russ. J Cardiol. 2016;11(139):87-9 (In Russ.)]. doi: 10.15829/1560-4071-2016-11-87-89
- Сухорукова О.А., Левина И.М., Павлова Н.Г., Макаркин А.С. Миксома правого предсердия: клинический случай. Вестник клинической больницы. 2017;51:30-2 [Sukhorukova OA, Levina IM, Pavlova NG, Makarkin AS. Myxoma of the right atrium: clinical case. Vestnic of the Clinical Hospital. 2017;51:30-2 (In Russ.)].
- Ревишвили А.Ш., Сергуладзе С.Ю., Шмуль А.В., и др. Одномоментное хирургическое удаление миксомы левого предсердия и устранение пароксизмальной формы фибрилляции предсердий. Анналы аритмологии. 2013;10(1):10-4 [Revishvili ASh, Serguladze SYu, Shmul’ AV, et al. Concomitant surgical removal of left atrial myxoma and ablation of paroxysmal atrial fibrillation. Annals of Arrhythmology. 2013;10(1):10-4 (In Russ.)]. doi: 10.15275/annaritmol.2013.1.2
- Шиленко А.Н., Бачинская И.Н., Матаев В.С., Урванцева И.А. Клинический случай: гигантская миксома левого предсердия. Российский кардиологический журнал. 2014;5(109):88-9 [Shilenko AN, Bachinskaya IN, Mataev VS, Urantseva IA. A clinical case: a giant myxoma of the left atrium. Russ J Cardiol. 2014;5(109):88-9 (In Russ.)].
- Трисветова Е.Л., Гусева М.И., Каминский К.М., Шкребнева Э.И. Миксома сердца – трудные случаи диагностики. Неотложная кардиология и кардиоваскулярные риски. 2018;2(2):413-7 [Trisvetova EL, Guseva MI, Kaminsky KM, Shkrebneva EL. Cardiac myxoma – difficult diagnosis cases. Emergency Cardiology and Cardiovascular Risks. 2018;2(2):413-7 (In Russ.)].
Supplementary files









