Tachicardia-induced cardiomyopathy. Case report
- Authors: Atabegashvili M.R.1, Shchekochikhin D.Y.1,2,3, Gromyko G.A.4, Pershina E.S.1, Bogdanova A.A.1,3, Nesterov A.P.1,3, Shilova A.S.1,3, Gilyarov M.Y.1,2,3, Svet A.V.1,2
-
Affiliations:
- Pirogov City Clinical Hospital №1
- Sechenov First Moscow State Medical University (Sechenov University)
- Pirogov Russian National Research Medical University
- Vishnevsky 3 Central Military Clinical Hospital
- Issue: Vol 93, No 4 (2021)
- Pages: 465-469
- Section: Case reports
- Submitted: 02.06.2021
- Accepted: 02.06.2021
- Published: 15.04.2021
- URL: https://ter-arkhiv.ru/0040-3660/article/view/71250
- DOI: https://doi.org/10.26442/00403660.2021.04.200803
- ID: 71250
Cite item
Full Text
Abstract
The tachycardia-induced cardiomyopathy is a rare case of reversible heart failure and left ventricle disfunction. The diagnostic approach and treatment strategy are described in this article. Also the clinical case of heart failure compensation in the patient with left ventricle dilatation and atrial flutter after the reverse to sinus rhythm is after catheter ablation presented.
Full Text
Нарушения сердечного ритма часто сопутствуют хронической сердечной недостаточности (ХСН), как со сниженной, так и с сохранной фракцией выброса (ФВ) левого желудочка (ЛЖ). Однако в ряде случаев аритмия, чаще всего предсердная тахикардия, является причиной обратимой дисфункции ЛЖ. Данное состояние именуется кардиомиопатия, индуцированная тахикардией, или тахикардиомиопатия (ТКМП). Критерии диагноза ТКМП:
1) несинусовый ритм с частотой сердечных сокращений (ЧСС) >100 уд/мин;
2) исключение других причин ХСН;
3) полное или частичное восстановление функции ЛЖ после восстановления синусового ритма или достижения целевой ЧСС [1].
Первые описания развития ХСН на фоне тахисистолической формы фибрилляции предсердий (ФП) датированы 1913 г. [2]. Модель развития ТКМП у животных при частой электрокардиостимуляции впервые продемонстрирована в 1962 г. [3]. В дальнейшем в ряде экспериментальных работ оценивалась вероятность развития ТКМП в зависимости от частоты, длительности и локализации стимуляции. Наибольший риск развития ТКМП связан с постоянной частой стимуляцией желудочков [4].
К развитию ТКМП может привести широкий спектр нарушений ритма: ФП, трепетание предсердий, суправентрикулярные тахикардии, желудочковая тахикардия и частая желудочковая экстрасистолия. Точная распространенность ТКМП среди пациентов с ХСН неизвестна в связи со сложностью ее диагностики: основной диагностический критерий – восстановление функции ЛЖ после восстановления ритма. Таким образом, часто диагноз становится очевидным post factum.
У пациентов с непрерывно рецидивирующей наджелудочковой тахикардией (>90% ритма в течение суток) ТКМП возникает в 10% случаев [5]. При анализе крупного регистра пациентов с трепетанием предсердий исходное снижение ФВ ЛЖ выявлено в 15% случаев. При этом после выполнения радиочастотной абляции (РЧА) трепетания предсердий у 1/2 (56%) пациентов с исходно сниженной функцией ЛЖ отмечалось ее полное восстановление [6]. По всей вероятности, встречаемость ТКМП составляет 8–10% всех пациентов с постоянными формами предсердных аритмий.
По данным наиболее крупного из опубликованных к настоящему времени регистров ТКМП с включением 189 пациентов, заболевание чаще развивается у мужчин (84%), средний возраст составил 62 года. Наиболее частой аритмией-субстратом ТКМП оказалась ФП (84%) [7].
Сложной клинической задачей является выявление ТКМП как потенциально обратимой причины развития ХСН по типу дилатационной кардиомиопатии у пациентов с персистирующей аритмией. Показано, что диагноз ТКМП вероятен у таких пациентов при наличии диссоциации между степенью снижения ФВ ЛЖ и его размерами (конечно-диастолический размер – КДР). Так, согласно опубликованным данным, при ФВ ЛЖ<30% и КДР<66 мм ТКМП вероятна с чувствительностью 100% и специфичностью 83% [8]. Отсутствие отсроченного контрастирования в миокарде ЛЖ при проведении магнитно-резонансной томографии (МРТ) сердца также может указывать на преимущественно «электрический» генез кардиомиопатии. Нормализация функции ЛЖ обычно регистрируется в течение 14 дней после восстановления ритма [8]. Несмотря на тяжелые нарушения гемодинамики, вплоть до кардиогенного шока, в дебюте заболевания, после восстановления функции ЛЖ прогноз у этих пациентов хороший [7].
РЧА относится к I классу показаний при типичном трепетании предсердий, согласно современным рекомендациям [9]. Опубликованные в 2018 г. результаты исследований CABANA [10] и CASTLE-AF [11] показали эффективность электрофизиологических методов лечения не только в удержании синусового ритма и снижении выраженности симптомов, но и позволили говорить об улучшении прогноза и преимуществе абляции аритмии перед медикаментозной терапией, в особенности в группе пациентов с нарушениями ритма сердца и сниженной ФВ ЛЖ.
Представленное клиническое наблюдение демонстрирует случай ТКМП.
Пациент К., 56 лет, госпитализирован в ГБУЗ «ГКБ №1 им. Н.И. Пирогова» в связи с явлениями нарастающей дыхательной недостаточности с направительным диагнозом «тромбоэмболия легочных артерий (ТЭЛА)». Из анамнеза известно, что около года до госпитализации впервые начал отмечать появление и нарастание слабости, потливости, одышки при умеренных физических нагрузках, однако повседневную нагрузку (подъемы по лестнице, ходьба) больной переносил удовлетворительно. В течение полугода периодически отмечал возникающее учащенное неритмичное сердцебиение. За медицинской помощью не обращался, лекарственные препараты не принимал. Около 2 мес до госпитализации, со слов пациента, переболел простудным заболеванием, сопровождаемым высокой лихорадкой (до 39°С). Лечился амбулаторно. Назначен курс антибиотикотерапии с умеренным положительным эффектом. В дальнейшем отметил нарастание одышки вплоть до удушья, что и послужило причиной вызова скорой медицинской помощи.
При поступлении в ГБУЗ «ГКБ №1 им. Н.И. Пирогова» состояние пациента расценено как тяжелое. Кожный покров землистого цвета, холодный на ощупь – признаки централизации кровотока. Отеки голеней, стоп. Частота дыхательных движений – 35 в минуту, инспираторная одышка. Сатурация кислорода на атмоферном воздухе 92%. Тоны сердца глухие, ритм правильный. Пульс на магистральных артериях слабого наполнения, пульс на периферических артериях нитевидный. Артериальное давление (АД) 90/40 мм рт. ст.; ЧСС 78 уд/мин. Живот мягкий, увеличен в объеме за счет асцита. Печень увеличена, выступает из-под края реберной дуга на 2 см. По мочевому катетеру мочи не получено. ЭКГ при поступлении – синусовый ритм (рис. 1).
Рис. 1. ЭКГ при поступлении в стационар: синусовый ритм
В ходе обследования получены следующие данные: при мультиспиральной компьютерной томографии–ангиопульмонографии выявлены признаки субмассивной ТЭЛА, компьютерно-томографические признаки двустороннего гидроторакса, инфильтративных изменений в нижних долях легких с обеих сторон, жидкости в брюшной полости. При ультразвуковом исследовании вен нижних конечностей выявлен окклюзивный тромбоз глубоких вен левой голени как причина ТЭЛА. При ультразвуковом исследовании органов брюшной полости в последней определялось умеренное количество свободной жидкости. При эхокардиографии (ЭхоКГ) кроме признаков легочной гипертензии (повышение систолического давления в легочной артерии до 56 мм рт. ст., дилатация правого желудочка до 4,6 см и правого предсердия до 150 мл) выявлена тяжелая дисфункция ЛЖ: его значимая дилатация до 6,2 см со снижением его ФВ до 33%, митральная регургитация 2-й степени, трикуспидальная регургитация 2-й степени. Нарушений локальной сократимости не выявлено. Таким образом, имело место сочетание изменений по типу дилатационной кардиомиопатии и ТЭЛА. В качестве фактора риска развития последней рассмотрена имеющаяся ХСН.
На серии ЭКГ в стационаре отмечены неоднократные пароксизмы фибрилляции и трепетания предсердий (рис. 2, 3).
Рис. 2. ЭКГ в стационаре: трепетание предсердий
Рис. 3. ЭКГ в стационаре: ФП
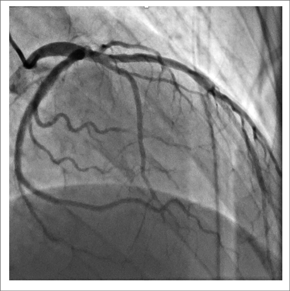
При лабораторном обследовании обращал на себя внимание лейкоцитоз до 17 тыс. со сдвигом лейкоцитарной формулы влево. Повышение уровня креатинина до 189 мкмоль/л, аланинаминотрансферазы до 3165 Ед/л, аспартатаминотрансферазы 4130 Ед/л, билирубин общий до 78 мкмоль/л, билирубин прямой до 24,5 мкмоль/л, лактатдегидрогеназа до 3700,0 Ед/л, повышение международного нормализованного отношения до 2,73. Поражение печени интерпретировано как ишемический гепатит на фоне малого сердечного выброса, в пользу чего указывало преимущественное повышение лактатдегидрогеназы по сравнению с трансаминазами. В отделении интенсивной терапии инициирована внутривенная инфузия нефракционированного гепарина под контролем активированного частичного тромбопластинового времени с переводом на ривароксабан в дозировке 30 мг/сут; диуретическая терапия. Сохранялось трепетание предсердий с тахисистолией желудочков. Попытки кардиоверсии безуспешны, аритмия тут же возобновлялась. Терапия амиодароном и β-адреноблокаторами не приводила к снижению ЧСС менее 140 уд/мин. Сохранялись относительно низкие цифры АД, менее 95/60 мм рт. ст. Тем не менее на фоне проводимой терапии состояние пациента стабилизировалось, разрешились острое почечное повреждение и ишемический гепатит. Одышка сохранялась на уровне II–III функционального класса по шкале Нью-Йоркской ассоциации сердца (NYHA). Обсуждались также ишемический, миокардитический генез ХСН. Пациенту проведена коронароангиография: коронарные артерии интактны (рис. 4).
Рис. 4. Коронароангиография: интактные коронарные артерии
Пациент ранее перенес вирусную инфекцию, однако отсутствие болевого синдрома, нормальный уровень кардиоспецифических ферментов (тропонин Т менее 50 нг/л), нормальный уровень острофазовых белков, отсутствие длительной лихорадки ставят диагноз миокардита под сомнение. В связи с сохраняющейся тахисистолией трепетания предсердий (до 200 по данным холтеровского мониторирования ЭКГ), несмотря на проводимую лекарственную терапию, решено провести РЧА. В связи с особенностями логистики изначально предполагалось проведение РЧА в другом стационаре с последующей регоспитализацией с целью дальнейшей компенсации ХСН. Проведена процедура эндокардиального электрофизиологического исследования сердца и РЧА типичного трепетания предсердий. Через 1 сут после проведения РЧА отмечалась стабилизация гемодинамики, АД на уровне 120/70 мм рт. ст., одышка менее I функционального класса NYHA, в связи с чем решено продолжить амбулаторное наблюдение. Динамика изменения показателей ЭхоКГ представлена в табл. 1.
Таблица 1. Динамика параметров гемодинамики при серии ЭхоКГ-исследований
До РЧА | 1-е сутки после РЧА | Через 4 мес | |
ФВ ЛЖ, % | 33 | 36 | 53 |
КДР, см | 6,2 | 6,1 | 5,5 |
КДО, мл | 182 | 174 | 149 |
КСО, мл | 122 | 111 | 69 |
СДЛА, мм рт. ст. | 56 | 34 | 28 |
Примечание. КДО – конечно-диастолический объем, КСО – конечно-систолический объем, СДЛА – сердечное давление в легочной артерии.
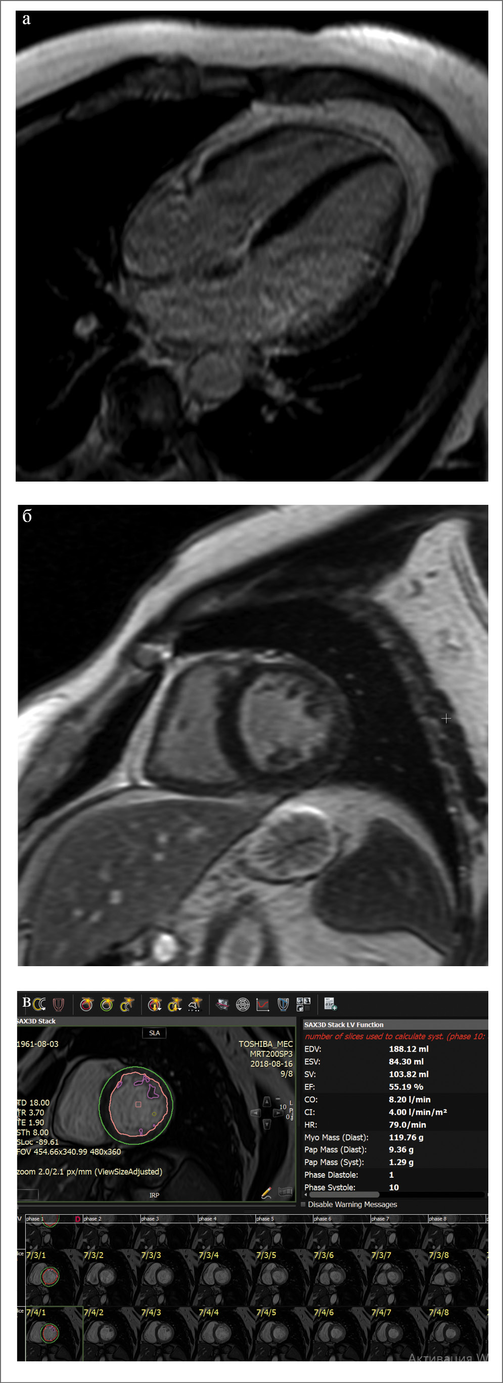
Спустя 5 нед с целью исключения структурной патологии миокарда пациенту проведена МРТ сердца, не выявившая каких-либо патологических изменений (рис. 5).
Рис. 5. МРТ сердца: а, б – отсутствие отсроченного контрастирования, в – сохранная ФВ
Отсутствие отсроченного контрастирования указывало на отсутствие структурных изменений миокарда (поствоспалительного фиброза, постишемических рубцов) и преимущественно «электрический» генез ХСН. При дальнейшем наблюдении явления ХСН не рецидивировали на фоне отмены диуретической терапии. В связи с выявленной артериальной гипертензией продолжается терапия ингибиторами ангиотензинпревращающего фермента и β-адреноблокаторами, амиодароном и ривароксабаном в дозе 20 мг. В данном случае показанием для длительного приема антикоагулянтов является как вторичная профилактика ТЭЛА, так и нарушения ритма (трепетание и ФП) при значении риска по шкале CHA2-DS-VAC 1 балл (артериальная гипертензия). Пациент смог вернуться к трудовой деятельности. В динамике через 4 мес после проведенного РЧА при суточном мониторировании ЭКГ по Холтеру у пациента в течение всего исследования определялся синусовый ритм с ЧСС 47–103 уд/мин, за сутки зарегистрировано 119 наджелудочковых экстрасистол. Пауз, нарушений ритма и проводимости не зарегистрировано.
Представленное клиническое наблюдение демонстрирует ТКМП с полным восстановлением функции ЛЖ после восстановления синусового ритма, несмотря на исходные пограничные показатели гемодинамики.
Авторы заявляют об отсутствии конфликта интересов.
Список сокращений
АД – артериальное давление КДР – конечно-диастолический размер ЛЖ – левый желудочек МРТ – магнитно-резонансная томография РЧА – радиочастотная абляция ТКМП – тахикардиомиопатия | ТЭЛА – тромбоэмболия легочных артерий ФВ – фракция выброса ФП – фибрилляция предсердий ХСН – хроническая сердечная недостаточность ЧСС – частота сердечных сокращений ЭхоКГ – эхокардиография |
About the authors
Maria R. Atabegashvili
Pirogov City Clinical Hospital №1
Author for correspondence.
Email: maria.atabegashvili@hotmail.com
ORCID iD: 0000-0002-2420-6543
врач-кардиолог
Russian Federation, MoscowDmitry Yu. Shchekochikhin
Pirogov City Clinical Hospital №1; Sechenov First Moscow State Medical University (Sechenov University); Pirogov Russian National Research Medical University
Email: maria.atabegashvili@hotmail.com
ORCID iD: 0000-0002-8209-2791
к.м.н., врач-кардиолог ГБУЗ «ГКБ №1 им Н.И. Пирогова», доц. каф. профилактической и неотложной кардиологии лечебного фак-та, рук. научно-исследовательского отд. кардиологии ФГАОУ ВО «Первый МГМУ им. И.М. Сеченова» (Сеченовский Университет), доц. каф. интервенционной кардиологии и кардиореабилитации ФДПО ФГАОУ ВО «РНИМУ им. Н.И. Пирогова».
Russian Federation, MoscowGrigory A. Gromyko
Vishnevsky 3 Central Military Clinical Hospital
Email: maria.atabegashvili@hotmail.com
ORCID iD: 0000-0002-7942-9795
к.м.н, зав. отд. кардиохирургии (хирургического лечения нарушений ритма сердца)
Russian Federation, KrasnogorskEkaterina S. Pershina
Pirogov City Clinical Hospital №1
Email: maria.atabegashvili@hotmail.com
ORCID iD: 0000-0002-3952-6865
к.м.н, рук. центра лучевой диагностики
Russian Federation, MoscowAlexandra A. Bogdanova
Pirogov City Clinical Hospital №1; Pirogov Russian National Research Medical University
Email: maria.atabegashvili@hotmail.com
ORCID iD: 0000-0001-5509-8023
к.м.н, доц., зав. отд. функциональной диагностики ГБУЗ «ГКБ №1 им. Н.И. Пирогова», каф. интервенционной кардиологии и кардиореабилитации ФГАОУ ВО «РНИМУ им. Н.И. Пирогова»
Russian Federation, MoscowAlexey P. Nesterov
Pirogov City Clinical Hospital №1; Pirogov Russian National Research Medical University
Email: maria.atabegashvili@hotmail.com
ORCID iD: 0000-0002-5602-8809
к.м.н, доц., рук. Регионального сосудистого центра ГБУЗ «ГКБ №1 им. Н.И. Пирогова», каф. интервенционной кардиологии и кардиореабилитации ФГАОУ ВО «РНИМУ им. Н.И. Пирогова»
Russian Federation, MoscowAlexandra S. Shilova
Pirogov City Clinical Hospital №1; Pirogov Russian National Research Medical University
Email: maria.atabegashvili@hotmail.com
ORCID iD: 0000-0002-4092-5222
к.м.н., зав. 15-м отд-нием реанимации и интенсивной терапии ГБУЗ «ГКБ №1 им Н.И. Пирогова», доц. каф. интервенционной кардиологии и кардиореабилитации ФДПО ФГАОУ ВО «РНИМУ им. Н.И. Пирогова»
Russian Federation, MoscowMihail Yu. Gilyarov
Pirogov City Clinical Hospital №1; Sechenov First Moscow State Medical University (Sechenov University); Pirogov Russian National Research Medical University
Email: maria.atabegashvili@hotmail.com
ORCID iD: 0000-0002-2870-3301
д.м.н., проф., зам. глав. врача, зав. кафедрой ГБУЗ «ГКБ №1 им. Н.И. Пирогова», каф. профилактической и неотложной кардиологии ФГАОУ ВО «Первый МГМУ им. И.М. Сеченова» (Сеченовский Университет), каф. интервенционной кардиологии и кардиореабилитации ФГАОУ ВО «РНИМУ им. Н.И. Пирогова»
Russian Federation, MoscowAlexey V. Svet
Pirogov City Clinical Hospital №1; Sechenov First Moscow State Medical University (Sechenov University)
Email: maria.atabegashvili@hotmail.com
ORCID iD: 0000-0002-2278-7292
к.м.н., глав. врач ГБУЗ «ГКБ №1 им Н.И. Пирогова», доц. каф. кардиологии, функциональной и ультразвуковой диагностики ФГАОУ ВО «Первый МГМУ им. И.М. Сеченова» (Сеченовский Университет)
Russian Federation, MoscowReferences
- Mohamed H. Tachycardia-Induced Cardiomyopathy (Tachycardiomyopathy). Libyan J Med. 2007;2(1):26-9. doi: 10.4176/061226
- Phillips E, Levine SA. Auricular fibrillation without other evidence of heart disease. Am J Med. 1949;7(4):478-89. doi: 10.1016/0002-9343(49)90397-6
- Greenberg BH. The Medical Management of Chronic Congestive Heart Failure. Congestive Heart Failure. 1994:628-44. doi: 10.1007/978-1-4613-8315-4_34
- Gopinathannair R, Etheridge SP, Marchlinski FE, et al. Arrhythmia-Induced Cardiomyopathies. J Am Coll Cardiol. 2015;66(15):1714-28. doi: 10.1016/j.jacc.2015.08.038
- Cruz FES, Cheriex EC, Smeets JLRM, et al. Reversibility of tachycardia-induced cardiomyopathy after cure of incessant supraventricular tachycardia. J Am Coll Cardiol. 1990;16(3):739-44. doi: 10.1016/0735-1097(90)90368-y
- Brembilla-Perrot B, Ferreira JP, Manenti V, et al. Predictors and prognostic significance of tachycardiomyopathy: insights from a cohort of 1269 patients undergoing atrial flutter ablation. Eur J Heart Fail. 2016;18(4):394-401. doi: 10.1002/ejhf.482
- Mueller KAL, Heinzmann D, Klingel K, et al. Histopathological and Immunological Characteristics of Tachycardia-Induced Cardiomyopathy. J Am Coll Cardiol. 2017;69(17):2160-72. doi: 10.1016/j.jacc.2017.02.049
- Jeong Y-H, Choi K-J, Song J-M, et al. Diagnostic Approach and Treatment Strategy in Tachycardia-induced Cardiomyopathy. Clin Cardiol. 2008;31(4):172-8. doi: 10.1002/clc.20161
- Kirchhof P, Benussi S, Kotecha D, et al. 2016 ESC guidelines for the management of atrial fibrillation developedin collaboration with eacts. Russian Journal of Cardiology. 2017;(7):7-86. doi: 10.15829/1560-4071-2017-7-7-86
- Packer DL, Mark DB, Robb RA, et al. Catheter Ablation versus Antiarrhythmic Drug Therapy for Atrial Fibrillation (CABANA) Trial: Study Rationale and Design. Am Heart J. 2018;199:192-9. doi: 10.1016/j.ahj.2018.02.015
- Marrouche NF, Brachmann J, Andresen D, et al. Catheter Ablation for Atrial Fibrillation with Heart Failure. N Engl J Med. 2018;378(5):417-27. doi: 10.1056/NEJMoa1707855
Supplementary files








