Chronic intestinal pseudoobstruction: difficulties in diagnosis and treatment. Case report
- Authors: Khatkov I.E.1, Tsvirkun V.V.1, Parfenov A.I.1, Akhmadullina O.V.1, Krums L.M.1, Subbotin V.V.1, Bykova S.V.1, Kuzmina T.N.1, Novikova E.V.1, Shishin K.V.1, Khomeriki S.G.1, Degterev D.A.1, Lashchenkova Z.P.1
-
Affiliations:
- Loginov Moscow Clinical Scientific Center
- Issue: Vol 93, No 8 (2021)
- Pages: 936-942
- Section: Case reports
- Submitted: 04.09.2021
- Accepted: 04.09.2021
- Published: 15.08.2021
- URL: https://ter-arkhiv.ru/0040-3660/article/view/79546
- DOI: https://doi.org/10.26442/3660.2021.08.200976
- ID: 79546
Cite item
Full Text
Abstract
The article presents a clinical case of a 23-year-old patient with an extremely severe congenital form of chronic intestinal pseudoobstruction coupled with a neuromyopathy,colon malrotation, malabsorption, bacterial overgrowth syndrome, cholelithiasis and gastrostasis, which excluded bowel transplantation. Long-term treatment in the intensive care unit with combined, mainly parenteral nutrition for 6 months, using antibiotics, prokinetics, intestinal decompression allowed to achieve partial stabilization of the patient’s condition and transfer to home treatment with the continuation of adequate complex therapy.
Full Text
Хроническая интестинальная псевдообструкция (ХИПО) – редкая форма патологии мышечного аппарата тонкой кишки (ТК), обусловленная врожденной или приобретенной нейро-, мио- или нейромиопатией. Заболевание характеризуется рецидивами кишечной непроходимости при отсутствии препятствий, мешающих прохождению кишечного содержимого. Первыми описали ХИПО H. Dudley и соавт. в 1958 г. [1]. Среди взрослых пациентов частота ХИПО составляет 1,0 и 0,8 случая на 100 тыс. мужчин и женщин соответственно [2]. Различают первичную ХИПO, неизвестной этиологии (идиопатическая псевдообструкция), связанную с дефектами нервов и мышц, обеспечивающих моторику кишки. Первичная ХИПО тесно связана с ДНК-маркерами хромосомы Xq28 [3, 4]. Большинство взрослых случаев являются спорадическими и вторичными [5]. Причина вторичной псевдообструкции – системные, метаболические и органические формы патологии. К ним относятся аутоиммунные болезни (склеродермия, волчанка, дерматомиозит, ревматоидный артрит, целиакия); эндокринные расстройства (сахарный диабет, гипотиреоз); неврологические нарушения (болезнь Паркинсона, болезнь Гирсшпрунга); некоторые виды рака, вызывающие неопластические синдромы; миопатии (мышечная дистрофия Дюшена, миотоническая дистрофия); амилоидоз, митохондриальная нейрогастроинтестинальная энцефалопатия. К вторичной ХИПО могут привести инфекции, некоторые лекарства, например, трициклические антидепрессанты, антихолинергические средства или наркотические вещества [6].
ХИПO делится на две основные формы, в зависимости от того, включает ли заболевание мышцы или нервы желудочно-кишечного тракта (ЖКТ), участвующие в перистальтике. Если нарушение приводит к ослаблению или отсутствию перистальтики, то оно рассматривается как миопатическое. Миопатическая ХИПО вызвана повреждением гладких мышц ЖКТ. Причиной нейропатической псевдообструкции служит повреждение кишечной нервной системы, участвующей в разных процессах, в том числе в пищеварении и перистальтике [7]. В некоторых случаях ХИПО вызывается повреждением клеток Кахаля. В 1893 г. нейрогистолог С. Рамон-и-Кахаль описал клетки, расположенные в мышечной стенке ЖКТ, являющиеся элементами интрамуральных нервных сплетений, регулирующих моторику ЖКТ. Интерстициальные клетки Кахаля помогают генерировать и поддерживать электрическую ритмическую активность ЖКТ. Они также имеют значение в передаче сигналов от нейронов к гладкомышечным клеткам [8]. Исследование тканей кишечника больных ХИПO показало, что поражаются как мышцы, так и нервы. При этом может пострадать любая часть ЖКТ, но чаще всего поражается ТК.
Диагноз ХИПО очень сложен. В экстренных ситуациях, особенно при первом эпизоде непроходимости, дифференциальная диагностика очень трудна и ответственна, так как при ХИПО, в отличие от механической кишечной непроходимости, не требуется выполнения оперативного вмешательства. Поэтому в этих ситуациях необходимо особенно тщательно изучить историю болезни пациента и сопутствующие заболевания, способствующие псевдообструкции [9]. Выполнение лапаротомии и ревизии брюшной полости лишь ухудшит ее прогноз в связи с последующим спаечным процессом [6].
Клиническое наблюдение
Больная А., 23 года, поступила в МКНЦ им. А.С. Логинова в августе 2019 г. переводом из городской клинической больницы (ГКБ) г. Москвы с жалобами на систематическую обильную рвоту съеденной пищей в объеме около 5 л/сут в вечернее и ночное время, тошноту, чувство распирания, метеоризм и громкое урчание в животе, эпизодически обильный кашицеобразный стул от 3 до 1 раза в 3–4 дня, отсутствие аппетита, выраженную слабость, особенно в правой нижней конечности, уменьшение массы тела на 18 кг за 6 мес и лихорадку до 38°С.
С детства беспокоили боли в животе, запоры и вздутия живота после еды, заставлявшие искать вынужденное положение. Два года назад стали появляться эпизоды метеоризма с последующей диареей, периоды выраженной слабости, начали выпадать волосы. В декабре 2018 г. прекратился самостоятельный стул. С предполагаемой кишечной непроходимостью госпитализирована в ГКБ г. Москвы. При рентгенологическом исследовании, включая мультиспиральную компьютерную томографию (МСКТ), обнаружены тотальная дилатация ТК и камни в желчном пузыре. После консервативной терапии самочувствие улучшилось, выписана с рекомендацией выполнить холецистэктомию в плановом порядке. При повторной госпитализации 21.01.19 подтвержден калькулезный холецистит, выполнена лапароскопическая холецистэктомия, во время которой выявлено равномерное расширение всей ТК до 6–8 см с вялой перистальтикой. Выполнена срединная лапаротомия. При ревизии обнаружено: корень брыжейки ТК короткий, купол слепой кишки находился в подпеченочном пространстве, илеоцекальный угол и правые отделы толстой кишки имели длинную подвижную брыжейку, общую с ТК. Обнаружен также неполный заворот ТК без признаков странгуляции. Выполнена назоинтестинальная интубация ТК. Эвакуировано 4500 мл зловонного содержимого. Стенка ТК утолщена, инфильтрирована. Перистальтика не определялась, обнаружена эмбриональная спайка, которая сдавливала брыжейку и дистальные отделы ТК. Спайка рассечена. Послеоперационный период осложнился септическим шоком. В вечернее время возникала рвота желудочным содержимым. Установлен назогастральный зонд. Состояние стабилизировалось, но на 13-е сутки появились вздутие живота, шум плеска с отсутствием перистальтики, лейкоцитоз, нарастали гипопротеинемия, гипоальбуминемия. При МСКТ с внутривенным контрастированием подтверждены признаки непроходимости с расширением всей ТК до 6–7 см. По решению консилиума срочно выполнена релапаротомия. При ревизии брюшной полости обнаружены массивные хрящевидные спайки петель ТК с формированием множественных «двухстволок», нарушавших ее проходимость. Спайки рассечены. В послеоперационном периоде вновь развился септический шок, проводились липополисахаридная сорбция, антибактериальная терапия и медикаментозная стимуляция кишечника. Через 24 ч появились двигательные нарушения конечностей по типу трипареза. При магнитно-резонансной томографии выявлен очаговый отек спинного мозга с вовлечением нижнешейного и грудного отделов. Диагностирована токсическая миелопатия с развитием нижнего парапареза, чувствительных и тазовых нарушений. Сформулирован диагноз: врожденный незавершенный поворот кишечника (мальротация). Осложнения: частичный заворот ТК; хроническая субкомпенсированная кишечная непроходимость; синдром микробной транслокации; сепсис; септический шок; полиорганная недостаточность; диссеминированное внутрисосудистое свертывание (ДВС-синдром); ранняя спаечная тонкокишечная непроходимость; миелопатия токсического генеза с развитием интерстициального отека спинного мозга.
В течение последующих месяцев 1 раз в неделю, затем 1 раз в 2 нед госпитализировалась в ГКБ, где проводилась декомпрессия желудка – удаление зондом застойной жидкости из верхних отделов ЖКТ. С января 2019 г. у больной нарушился менструальный цикл (вторичная аменорея). В феврале и марте рецидивировала полисегментарная аспирационная пневмония, леченная антибиотиками с положительным эффектом. С марта 2019 г. в связи с прогрессирующим падением массы тела с 55 до 37 кг стала получать курсы парентерального питания.
Для дальнейшего лечения переведена в МКНЦ им. А.С. Логинова, в котором находилась в течение 6 мес. При поступлении состояние тяжелое, обусловлено тяжелой белково-энергетической недостаточностью (кахексией). Рост 172 см, масса тела 37 кг (с отеками), индекс массы тела 12,5 кг/м2, окружность плеча 16,5 см. Астенического телосложения. Положение вынужденное – на каталке. В сознании, вялая, заторможена, ослаблена, астенизирована. Кожа и слизистые бледные, сухие, тургор снижен, отеки стоп и голеней. Периферические лимфатические узлы не увеличены. Дыхание над легкими ослаблено. Тоны сердца приглушены, ритм правильный. Пульс 84 уд/мин. Артериальное давление 90/70 мм рт. старший Язык сухой, без налета. Живот равномерно вздут, при пальпации мягкий, безболезненный, перистальтика вялая, перистальтические шумы выслушиваются, вызывается шум «плеска». Границы печени 9–8–7 см, край мягкий, у реберной дуги. Селезенка не пальпируется. Органы мочевыделения без особенностей. Стул оформленный, скудный 1 раз в 7–10 дней, без видимых примесей.
Нервно-психический статус: сознание ясное, выраженная слабость, адинамия; ориентирована в месте, времени и пространстве; патологических симптомов нет.
На обзорных рентгенограммах органов брюшной полости в положении полулежа петли ТК расширены до 66,3 мм; скопление газа и жидкости в подвздошной и восходящем отделе ободочной кишки (рис. 1).
Рис. 1. Рентгенограмма брюшной полости больной А.
Fig. 1. X-ray of the abdominal cavity of patient A.
По данным МСКТ брюшной полости выявлены дилатация желудка и двенадцатиперстной кишки, расширение петель тощей и проксимальных отделов подвздошной кишки до 50–60 мм, которые заполнены жидкостью и газом с формированием уровней. Дистальная половина подвздошной кишки диаметром до 20–25 мм (рис. 2).
Рис. 2. МСКТ брюшной полости больной А.
Fig. 2. Multispiral computed tomography of the abdominal cavity of patient A.
Лабораторные анализы приведены в табл. 1.
На основании имеющихся данных установлена хроническая интестинальная псевдообструкция с тяжелой белково-энергетической недостаточностью.
Таблица 1. Лабораторные анализы больной А.
Table 1. Laboratory analyses of patient A.
Показатели | При поступлении | Сроки наблюдения, мес | |||||
1-й | 2-й | 3-й | 4-й | 5-й | 6-й | ||
Общий белок, г/л | 49,1 | 51,4 | 48,2 | 49,4 | 68,8 | 58,0 | 73,8 |
Альбумин, г/л | 30,7 | 35,7 | 31,2 | 29,9 | 44,6 | 34,5 | 44,7 |
АЛТ, ЕД/л | 85,6 | 772,3 | 85,6 | 68,3 | 97,7 | 244,8 | 151,5 |
АСТ, ЕД/л | 70,3 | 824,1 | 59,8 | 71,0 | 84,0 | 48,8 | |
Билирубин общий, мкмоль/л | 9,8 | 18,4 | 7,5 | 21,1 | 43,1 | 12,0 | 19,0 |
Глюкоза, ммоль/л | 5,7 | 4,9 | 5,1 | 5,2 | 5,82 | ||
Креатинин, мкмоль/л | 39 | 39 | 42 | 46 | 42 | 52 | |
Мочевина, ммоль/л | 4,48 | 3,01 | 4,55 | 4,87 | 4,73 | 7,7 | 10,2 |
Калий, ммоль/л | 4,16 | 4,25 | 4,05 | 3,85 | 4,2 | ||
Натрий, ммоль/л | 131,1 | 134 | 138 | 135 | 136 | ||
Хлор, ммоль/л | 101 | 104 | 101 | 105 | 103 | 104 | |
Кальций общий, ммоль/л | 2,48 | 2,45 | 2,38 | 2,4 | 2,5 | 2,5 | |
Железо, мкмоль/л | 6,0 | 12,6 | 7,4 | 6,6 | 16,9 | 14,6 | |
Триглицериды, ммоль/л | 0,64 | 1,78 | 3,02 | 2,01 | 1,03 | 2,02 | |
Холестерин общий, ммоль/л | 1,21 | 3,83 | 5,06 | ||||
ã-Глутамилтрансфераза, ЕД/л | 36 | 309 | 405 | 188 | |||
Щелочная фосфатаза, ЕД/л | 111,3 | 868,6 | |||||
Мочевая кислота, мкмоль/л | 110,7 | 271,4 | |||||
СРБ, мг/л | 1,68 | 92,4 | 9,94 | 48,58 | 28,24 | 12,7 | 5,83 |
На 2-е сутки после начала минимально возможной нутритивной заместительной терапии у больной развился синдром возобновленного питания (рефидинг-синдром), вызванный длительным вынужденным голоданием. Указанный синдром появляется при возобновлении питания (через пищеварительный тракт либо парентерально) после длительного голодания и проявляется астенией, печеночной дисфункцией (повышение уровня аспартатаминотрансферазы – АСТ, аланинаминотрансферазы – АЛТ), истощением депо фосфора, гипокалиемией [10].
Выполнена коррекция питания: щадящий диетический рацион, дробно по 150 мл 6 раз в сутки (исключили клетчатку, легкоусвояемые углеводы, цельное молоко, тугоплавкие животные жиры). Парентерально назначены сбалансированные электролитные растворы, комплексы водорастворимых витаминов и микроэлементов из расчета на 1 кг фактической массы тела, препараты «3 в 1», содержащие аминокислоты, жировые эмульсии и глюкозу.
С целью минимизации проявлений печеночной недостаточности проводилась терапия адеметионином и урсодезоксихолевой кислотой в дозах, соответствующих массе тела больной (адеметионин в суточной дозе 400 мг инфузионно, урсодезоксихолевая кислота в дозе 300 мг в сутки, внутрь).
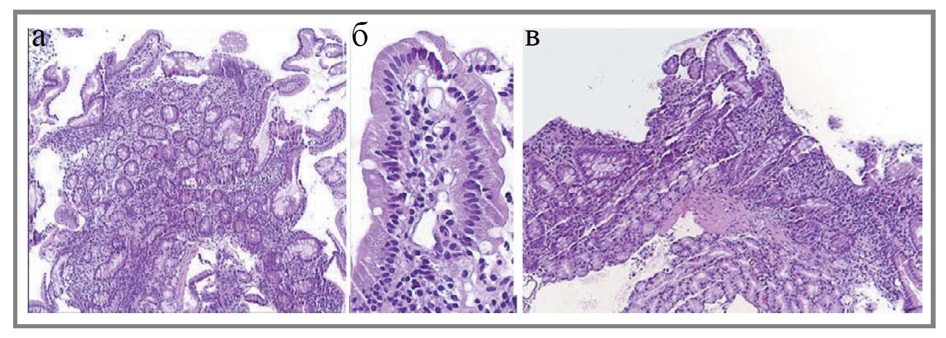
Больной выполнена энтероскопия с биопсией. Осмотрена ТК на протяжении 2 м. Просвет желудка и ТК расширен до 20 см, перистальтика отсутствует. Из желудка и тощей кишки эвакуировано до 6 л темно-зеленого застойного полуоформленного содержимого. Эндоскопическая картина соответствовала хроническому воспалению слизистой оболочки желудка и ТК. На рис. 3 показаны патогистологические изменения слизистой оболочки ТК, подтверждающие признаки хронического эрозивного дуоденита и еюнита.
Рис. 3. Гистологическая картина слизистой оболочки двенадцатиперстной кишки больной А.: а – деструкция кишечных ворсин, крипты деформированы, собственная пластинка умеренно инфильтрирована лимфоцитами и плазмоцитами, ×120; б – сохранившиеся ворсины выстланы клетками цилиндрического эпителия, контуры щеточной каймы размыты, количество межэпителиальных лимфоцитов не увеличено, в строме – дилатированные лимфатические капилляры, ×500; в – хроническая эрозия, зоны фибриноидного некроза в собственной пластинке, бруннеровы железы, ×120. Окраска гематоксилином и эозином.
Fig. 3. Histological image of the duodenal mucosa in patient A.: a – destruction of intestinal villi, the crypts are deformed, the lamina propria is moderately infiltrated with lymphocytes and plasma cells, ×120; b – the remaining villi are lined with cells of the columnar epithelium, the brush border contours are blurred, the number of intraepithelial lymphocytes is not increased, there are dilated lymphatic capillaries in the stroma, ×500; c – chronic erosion, zones of fibrinoid necrosis in the lamina propria, Brunner's glands, ×120. Staining with hematoxylin and eosin.
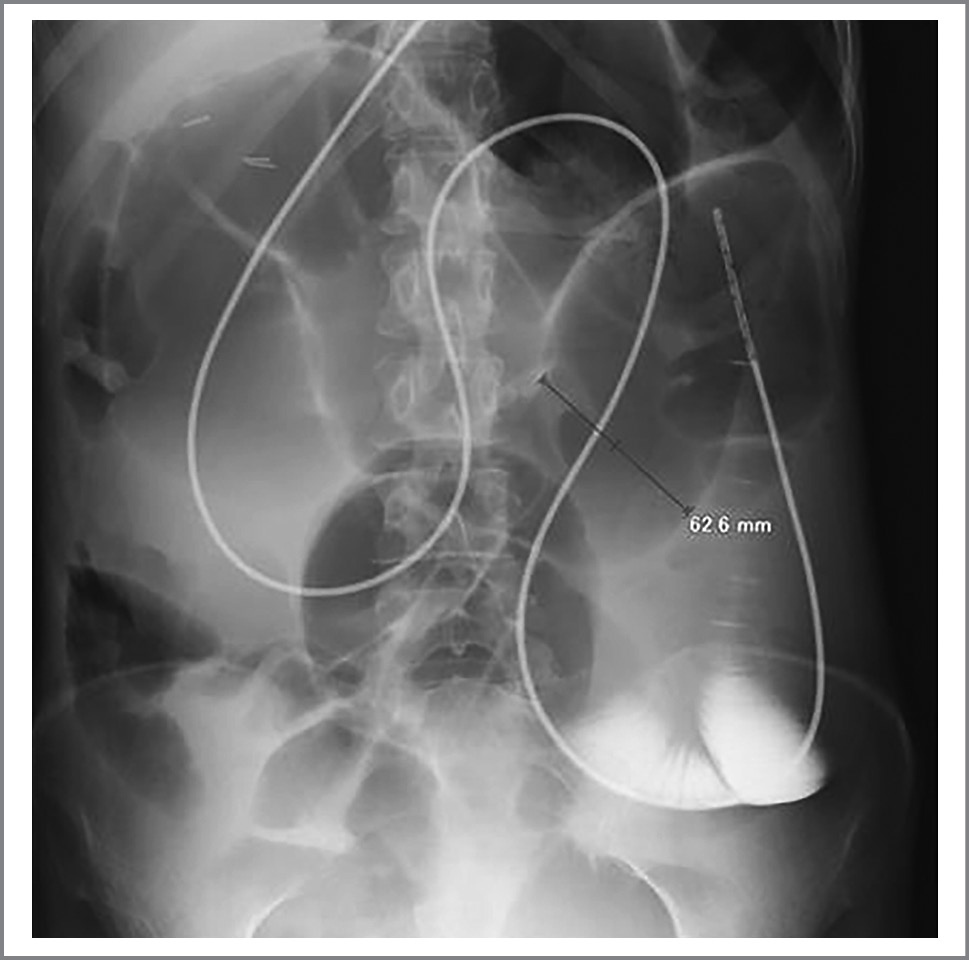
Для обеспечения адекватного энтерального питания больной установлен назоинтестинальный зонд. На рис. 4 показано положение зонда. Через зонд контрастированы петли тощей кишки, диаметр которой неравномерно расширен от 30 до 63 мм, в них определяются скопление газа и жидкости (горизонтальные уровни). Петли толстой кишки не расширены, спавшиеся. Заключение: рентгенологическая картина тонкокишечной непроходимости.
Рис. 4. Рентгенограмма больной А.: брюшная полость с назоинтестинальным зондом.
Fig. 4. X-ray of patient A.: abdominal cavity with nasointestinal probe.
После эндоскопии у больной развилась картина септического шока с повышением температуры тела до 40°С и гипотонией, причиной которых явилась, по-видимому, микробная транслокация. Больной проводились антибактериальная терапия, инотропная поддержка адреналином.
Состояние улучшилось, температура тела нормализовалась. Больная продолжала получать инотропную поддержку в связи с сохранением выраженной гипотонии. Однако через 4 сут вновь отмечено повышение температуры тела до 39°С, причиной которого послужила рецидивирующая полисегментарная двухсторонняя аспирационная пневмония с очагами абсцедирования, подтвержденная компьютерной томографией, бронхоскопией с микробиологическим исследованием мокроты и бронхиального лаважа. Назначена антибактериальная терапия в соответствии с данными микробиологических анализов крови, кала, мочи (метронидазол, ципрофлоксацин, цефтазидим), противогрибковая терапия (вориконазол) – с хорошим эффектом. Температура тела снизилась до нормы, при повторной компьютерной томографии в легких отмечены уменьшение воспалительно-инфильтративных изменений и очагов воздушных полостей, сформировавшихся вследствие абсцессов, появление фиброзных участков в области воспалительных инфильтратов.
Для повышения эффективности декомпрессии больной выполнена гастростомия с введением зонда в тощую кишку. Через гастростому и интестинальный зонд у больной происходил сброс застойного кишечного содержимого в общем объеме от 800 до 3600 мл/сут. При уменьшении количества эвакуируемой жидкости у больной усиливалось вздутие живота, повышалась температура тела. Периодически декомпрессионная функция зондов прекращалась и требовались коррекция их положения в ЖКТ и повторные глубокие интестиноскопии, при каждой из которых эвакуировали от 2 до 4 л жидкого кишечного содержимого.
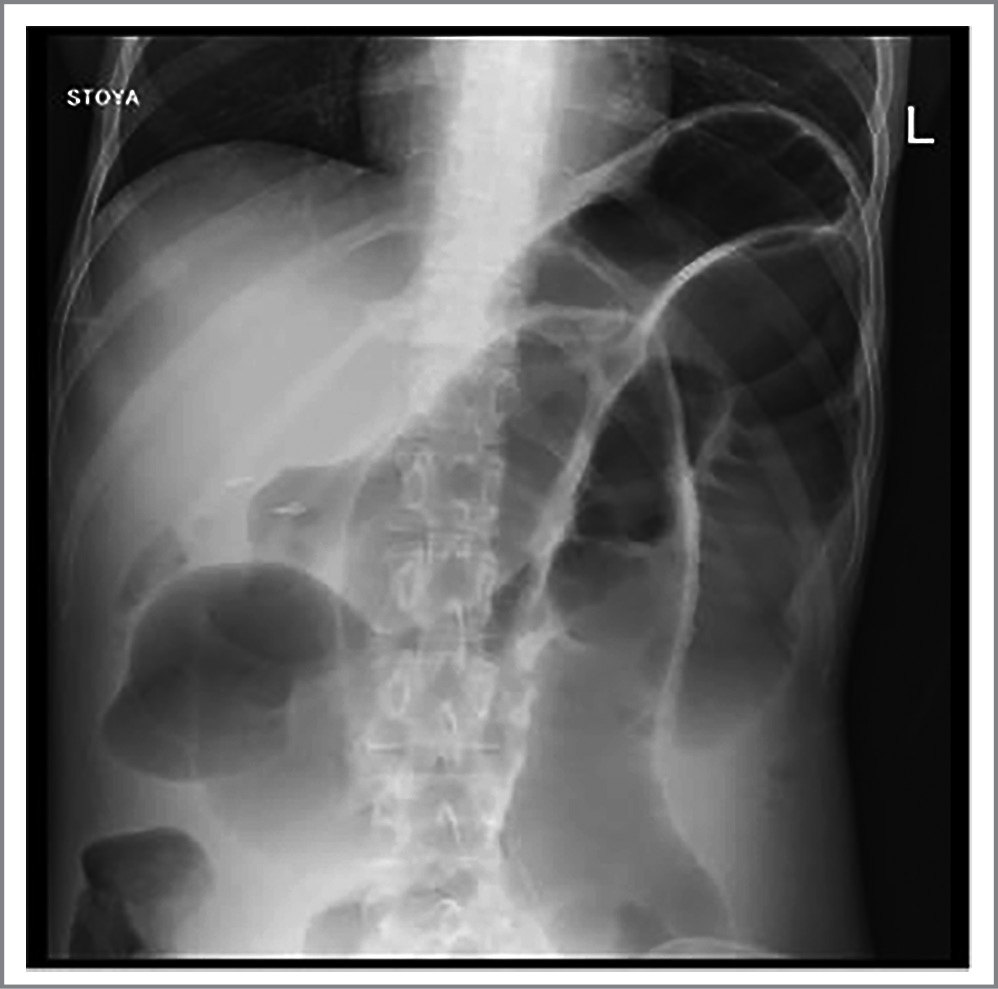
Рис. 5. Рентгенологическая картина брюшной полости у больной А. после 5 мес лечения.
Fig. 5. X-ray image of the abdominal cavity in patient A. after 5 months of treatment.
Эффективность терапии оценивали по данным рентгенологического исследования с контрастированием желудочного и интестинального зондов. На протяжении всего периода наблюдения происходило постепенное уменьшение просвета желудка, двенадцатиперстной и начального отдела тощей кишки до 2–2,5 см. Средние и дистальные отделы ТК оставались расширенными до 7 см (рис. 5). Перистальтика отсутствовала на всем протяжении ТК, что подтверждало тяжелую форму интестинальной псевдообструкции. Попытки восстановить моторику ее регуляторами – метоклопрамидом, домперидоном и итопридом не оказывали эффекта. Тегасерод и прукалоприд – селективные агонисты серотониновых рецепторов – вызывали сильные боли в животе и были отменены.
Регулярные исследования крови, в том числе на пресепсин и С-реактивный белок (СРБ), подтверждали продолжающиеся воспаление и нарушение обмена веществ (см. табл. 1).
Динамика уровня АЛТ и АСТ в крови (рис. 6) служила показателем изменения питания больной. В первые дни госпитализации уровень активности АЛТ был повышен в 2 раза. В последующем ее активность повышалась до 770 ЕД/л, что являлось признаком развития синдрома возобновленного питания (рефидинг-синдром). Его появление – следствие длительного нарушения ассимиляции пищевых веществ в ЖКТ. В результате коррекции доз вводимых нутриентов и применения гепатопротективной терапии препаратами адеметионина и урсодезоксихолевой кислоты активность трансаминаз (АЛТ, АСТ) постепенно снижалась. Но при попытках увеличения объема нутриентов парентеральным и энтеральным путями вновь наблюдалось повышение активности АЛТ и АСТ (см. рис. 6).
Рис. 6. Активность АЛТ и АСТ у больной А.
Fig. 6. Alanine aminotransferase and aspartate aminotransferase activity in patient A.
Течение заболевания неоднократно осложнялось бактериальной транслокацией с развитием системной воспалительной реакции. Источником осложнений служил избыточный бактериальный рост в ТК вследствие снижения ее барьерной функции и отсутствия пропульсивной перистальтической деятельности [11]. На рис. 7 показаны изменения маркеров воспалительной реакции в течение всего периода пребывания больной в стационаре. Тенденция к снижению показателей воспаления достигалась применением комбинированной антибактериальной терапии, проводимой с учетом микробиологического исследования крови и кишечного содержимого.
Рис. 7. Концентрация пресепсина и СРБ в крови у больной А.
Fig. 7. Blood concentration of presepsin and C-reactive protein in patient A.
Потеря белковых соединений вследствие ежедневного сброса кишечного содержимого по желудочному и интестинальному зондам требовала поддержания его на необходимом уровне путем ежедневного введения аминокислот и альбумина (рис. 8).
Рис. 8. Концентрация альбумина и общего белка в крови у больной А.
Fig. 8. Blood concentration of albumin and total protein in patient A.
Комплексная терапия также включала антибактериальные, противогрибковые препараты, кишечные антисептики и пробиотики, направленные на подавление системной воспалительной реакции и синдрома избыточного бактериального роста в ТК.
В результате длительного стационарного лечения удалось достигнуть частичной стабилизации состояния пациентки. Она стала принимать пищу в небольшом количестве, но питание остается по сей день частично парентеральным. Масса тела находится в пределах 35–37 кг. Уменьшились вздутия живота, появился регулярный оформленный стул в небольшом количестве.
У больной оставлены желудочный и интестинальный зонды, по которым сохраняется ежедневный сброс застойного кишечного содержимого в объеме до 1 л/сут. При попытке прекращения декомпрессии и эвакуации кишечного содержимого состояние ее ухудшается, что объясняется накоплением содержимого в ТК. Сохраняется потребность в заместительной терапии электролитными растворами, парентеральном питании, симптоматической терапии.
Обсуждение
ХИПО проявляется патологией нервно-мышечного аппарата неясной этиологии. Она может возникнуть вследствие генетически детерминированного первичного нарушения развития или вторичного поражения у больных диабетом, амилоидозом или системными заболеваниями сосудов [2, 12].
Первичные нервно-мышечные расстройства ЖКТ свойственны детям с патогенными мутациями в гене, кодирующем актингамма 2 (ACTG2) – сократительный белок гладких мышц кишечника. Мутации в гене ACTG2 вызывают аутосомно-доминантную семейную висцеральную миопатию и нарушение ротации кишечника. Клинические проявления включают интестинальную псевдообструкцию, нарушение функции мочевого пузыря, желчного пузыря (холелитиаз) и пищевые интолерантности [13]. Кишечная непроходимость, первоначально связанная с псевдообструкцией, в дальнейшем может усугубляться также из-за спаек, вызванных операциями на брюшной полости.
Заключение
Представлена больная с крайне тяжелой врожденной формой ХИПО с гастростазом, исключавшим выполнение трансплантации кишечника, требующая постоянного парентерального питания в связи с отсутствием восстановления моторной функции ЖКТ. Псевдообструкция у больной сочеталась с мальротацией кишечника и холелитиазом, а в последующем, вскоре после лапаротомии, и со спаечной болезнью брюшной полости. Длительное лечение в отделении реанимации и интенсивной терапии с комбинированным, преимущественно парентеральным питанием в течение 6 мес. позволило добиться частичной стабилизации состояния и перевода пациентки на домашнее лечение с продолжением адекватной комплексной терапии. Она включала жировые эмульсии с омега-3,6-жирными кислотами; специализированный диетический рацион с ограничением клетчатки, простых углеводов, цельных молочных продуктов; мониторинг клинико-лабораторных показателей (3 раза в неделю), антропометрических (1 раз в неделю) и гемодинамических показателей (ежедневно).
Конфликт интересов. Авторы заявляют об отсутствии конфликта интересов.
Conflict of interests. The authors declare no conflict of interest.
Список сокращений
About the authors
Igor E. Khatkov
Loginov Moscow Clinical Scientific Center
Email: asfold@mail.ru
ORCID iD: 0000-0003-3107-3731
член-кор. РАН, доктор медицинских наук, профессор, директор
Russian Federation, MoscowViktor V. Tsvirkun
Loginov Moscow Clinical Scientific Center
Email: asfold@mail.ru
ORCID iD: 0000-0001-5169-2199
доктор медицинских наук, профессор, главный научный сотрудник
Russian Federation, MoscowAsfold I. Parfenov
Loginov Moscow Clinical Scientific Center
Author for correspondence.
Email: asfold@mail.ru
ORCID iD: 0000-0002-9782-4860
доктор медицинских наук, профессор, заведующий отд. патологии кишечника
Russian Federation, MoscowOlga V. Akhmadullina
Loginov Moscow Clinical Scientific Center
Email: asfold@mail.ru
ORCID iD: 0000-0002-4010-6761
кандидат медицинских наук, мл. научный сотрудник отделения невоспалительной патологии кишечника
Russian Federation, MoscowLarisa M. Krums
Loginov Moscow Clinical Scientific Center
Email: asfold@mail.ru
ORCID iD: 0000-0003-0692-7133
доктор медицинских наук, старший научный сотрудник отделения невоспалительной патологии кишечника
Russian Federation, MoscowValerii V. Subbotin
Loginov Moscow Clinical Scientific Center
Email: asfold@mail.ru
ORCID iD: 0000-0002-0921-7199
доктор медицинских наук, заведующий отделения Центра анестезиологии и реанимации
Russian Federation, MoscowSvetlana V. Bykova
Loginov Moscow Clinical Scientific Center
Email: asfold@mail.ru
ORCID iD: 0000-0001-9576-2953
кандидат медицинских наук, заведующий отделением невоспалительной патологии кишечника
Russian Federation, MoscowTatiana N. Kuzmina
Loginov Moscow Clinical Scientific Center
Email: asfold@mail.ru
ORCID iD: 0000-0003-2800-6503
кандидат медицинских наук, научный сотрудник лаб. нутрициологии
Russian Federation, MoscowElena V. Novikova
Loginov Moscow Clinical Scientific Center
Email: asfold@mail.ru
ORCID iD: 0000-0001-9118-4017
врач-реаниматолог отделения анестезиологии и реанимации
Russian Federation, MoscowKirill V. Shishin
Loginov Moscow Clinical Scientific Center
Email: asfold@mail.ru
ORCID iD: 0000-0003-0010-5294
доктор медицинских наук, заведующий отделением эндоскопии
Russian Federation, MoscowSergei G. Khomeriki
Loginov Moscow Clinical Scientific Center
Email: asfold@mail.ru
ORCID iD: 0000-0003-4308-8009
доктор медицинских наук, профессор, руководитель отделения патологической анатомии
Russian Federation, MoscowDaniil A. Degterev
Loginov Moscow Clinical Scientific Center
Email: asfold@mail.ru
ORCID iD: 0000-0002-4550-1509
кандидат медицинских наук, заведующий отделением неврологии
Russian Federation, MoscowZoia P. Lashchenkova
Loginov Moscow Clinical Scientific Center
Email: asfold@mail.ru
врач-рентгенолог
Russian Federation, MoscowReferences
- Dudley HA, Sinclair IS, Mclaren IF, et al. Intestinal pseudo-obstruction. J R Coll Surg Edinb. 1958;3(3):206-17.
- Di Nardo G, Di Lorenzo C, Lauro A, et al. Chronic intestinal pseudo-obstruction in children and adults: diagnosis and therapeutic options. Neurogastroenterol Motil. 2017;29(1). doi: 10.1111/nmo.12945
- Auricchio A, Brancolini V, Casari G, et al. The locus for a novel syndromic form of neuronal intestinal pseudoobstruction maps to Xq28. Am J Hum Genet. 1996;58(4):743-8.
- Wangler MF, Beaudet AL. ACTG2-Related Disorders. 2015 Jun 11. In: Adam MP, Ardinger HH, Pagon RA, Wallace SE, Bean LJH, Stephens K, Amemiya A, editors. GeneReviews® [Internet]. Seattle (WA): University of Washington, Seattle; 1993–2020. PMID: 26072522
- Miazga A, Osiński M, Cichy W, Żaba R. Current views on the etiopathogenesis, clinical manifestation, diagnostics, treatment and correlation with other nosological entities of SIBO. Adv Med Sci. 2015;60(1):118-24. doi: 10.1016/j.advms.2014.09.001
- Collins RRJ, Barth B, Megison S, et al. ACTG2-associated visceral myopathy with chronic intestinal pseudoobstruction, intestinal malrotation, hypertrophic pyloric stenosis, choledochal cyst, and a novel missense mutation. Int J Surg Pathol. 2019;27(1):77-83. doi: 10.1177/1066896918786586
- Cogliandro RF, Antonucci A, De Giorgio R, et al. Patient-reported outcomes and gut dysmotility in functional gastrointestinal disorders. Neurogastroenterol Motil. 2011;23(12):1084-91. doi: 10.1111/j.1365-2982.2011.01783.x
- Wu JJ, Rothman TP, Gershon MD. Development of the interstitial cell of Cajal: origin, kit dependence and neuronal and nonneuronal sources of kit ligand. J Neurosci Res. 2000;59(3):384-401. doi: 10.1002/(SICI)1097-4547(20000201)59:3<384::AID-JNR13>3.0.CO;2-4
- Парфенов А.И., Крумс Л.М., Быкова С.В., Ахмадуллина О.В. Хроническая интестинальная псевдообструкция. Терапевтический архив. 2020;92(12):4-9 [Parfenov AI, Krums LM, Bykova SV, Ahmadullina OV. Chronic intestinal pseudo-obstruction. Terapevticheskii Arkhiv (Ter. Arkh.). 2020;92(12):4-9 (in Russian)]. doi: 10.26442/00403660.2020.12.200426
- Ярошецкий А.И., Конаныхин В.Д., Степанова С.О., Резепов Н.А. Гипофосфатемия и рефидинг-синдром при возобновлении питания у пациентов в критических состояниях (обзор литературы). Вестник интенсивной терапии им. А.И. Салтанова. 2019;2:82-91 [Yaroshetskiy AI, Konanykhin VD, Stepanova SO, Rezepov NA. Hypophosphatemia and refeeding syndrome in the resumption of nutrition in critical care patients (review). Vestnik intensivnoy terapii im. A.I. Saltanova. 2019;2:82-91 (in Russian)]. doi: 10.21320/1818-474X-2019-2-82-91
- Zhu CZ, Zhao HW, Lin HW, et al. Latest developments in chronic intestinal pseudo-obstruction. World J Clin Cases. 2020;8(23):5852-65. doi: 10.12998/wjcc.v8.i23.5852
- Аверьянова Ю.В., Разумовский А.Ю., Степанов А.Э. Этиология и патофизиология хронического интестинального псевдообструктивного синдрома у детей. II часть. Первичные и вторичные хронические псевдообструктивные синдромы у детей и взрослых. Российский вестник детской хирургии, анестезиологии и реанимации. 2016;6(2):102-11 [Averyanova YuV, Razumovsky AYu, Stepanov AE. Etiology and pathophysiology of chronic intestinal syndrome of pseudo-obstruction in children. Part II. Primary and secondary chronic syndrome of pseudo-obstruction in children and adults. Russian journal of pediatric surgery, anesthesia and intensive. 2016;6(2):102-11 (in Russian)].
- Klar J, Raykova D, Gustafson E, et al. Phenotypic expansion of visceral myopathy associated with ACTG2 tandem base substitution. Eur J Hum Genet. 2015;23(12):1679-83. doi: 10.1038/ejhg.2015.49.
Supplementary files











