Repeated haploidentical allogeneic hematopoietic stem cell transplantation with TCR αβ/CD19 depletion in patient with primary myelofibrosis. Case report
- Authors: Kolgaeva E.I.1, Vasilyeva V.A.1, Kuzmina L.A.1, Drokov M.Y.1, Dovydenko M.V.1, Konova Z.V.1, Chebotarev D.I.1, Kovrigina A.M.1, Kamelskih D.V.1, Gaponova T.V.1, Sokolova M.A.1, Subortseva I.N.1, Melikyan A.L.1, Maschan M.A.2, Parovichnikova E.N.1, Savchenko V.G.1
-
Affiliations:
- National Research Center for Hematology
- Rogachev National Medical Research Center of Pediatric Hematology, Oncology and Immunology
- Issue: Vol 93, No 7 (2021)
- Pages: 805-810
- Section: Case reports
- Submitted: 20.07.2021
- Accepted: 20.07.2021
- Published: 23.07.2021
- URL: https://ter-arkhiv.ru/0040-3660/article/view/76327
- DOI: https://doi.org/10.26442/00403660.2021.07.200948
- ID: 76327
Cite item
Full Text
Abstract
Indications of allogeneic hematopoietic stem cell transplantation (allo-HSCT) in patients with primary myelofibrosis are intermediate-2 and high-risk group of DIPSS (Dynamic International Prognostic Scoring System), beginning of the disease in childhood. The other adverse factors affect engraftment and survival after allo-HSCT, example partialy matched donor. But the result of allo-HSCT from matched related donors and result of allo-HSCT from haploidentical donors are comparable. The method for haploidentical hematopoietic stem cell transplantation is αβT-cell-depletion. This is clinical case of αβT-cell-depleted haploidentical hematopoietic stem cell transplantation in patient with primary myelofibrosis, the diagnosis was established in childhood.
Full Text
Первичный миелофиброз (ПМФ) – Ph-негативное миелопролиферативное новообразование, которое характеризуется клональной пролиферацией клеток миелопоэза с избыточной экспрессией цитокинов, фиброзом костного мозга, гепатоспленомегалией в результате экстрамедуллярного миелопоэза, изменениями в периферической крови в виде анемии, прогрессированием заболевания с исходом в острый лейкоз [1].
По материалам зарубежных регистров, заболеваемость ПМФ составляет 0,1–1,0 случая на 100 тыс. населения в год, средний возраст пациентов на момент установления диагноза – 60 лет [2]. У пациентов младше 21 года это заболевание встречается еще реже. В литературе описаны только 100 случаев ПМФ у детей и подростков [3].
Для определения терапевтической тактики у больных ПМФ разработаны прогностические шкалы, которые позволяют прогнозировать общую выживаемость и время до бластной трансформации.
По данным многоцентрового ретроспективного исследования с участием пациентов, стратифицированных по DIPSS (Dynamic International Prognostic Scoring System – Динамическая международная шкала оценки прогноза), которым выполнена трансплантация аллогенных гемопоэтических стволовых клеток (алло-ТГСК), и пациентов без трансплантации отмечено, что алло-ТГСК является наиболее оправданным методом лечения у больных ПМФ из групп промежуточного-2 и высокого риска. Для пациентов с низким и промежуточным-1 риском подходят неагрессивные методы лечения, такие как циторедуктивная терапия гидроксикарбамидом и/или интерфероном α. При выраженной спленомегалии пациентам показаны ингибиторы JAK2 [4].
В настоящее время, согласно европейскому и американскому протоколам лечения, а также протоколам алло-ТГСК в ФГБУ «НМИЦ гематологии», показаниями к алло-ТГСК у пациентов с ПМФ является определение промежуточного-2 и высокого риска в соответствии с DIPSS и DIPSS+. Также в качестве кандидатов для алло-ТГСК рассматриваются пациенты с риском промежуточный-1: в случае рефрактерной к другим методам лечения трансфузионнозависимой анемии, или обнаружения бластных клеток в крови 2% и более, или неблагоприятного кариотипа [5–7].
В 2012 г. американские ученые в своем исследовании представили анализ течения ПМФ у детей [8]. В связи с редкостью заболевания у этой группы пациентов отсутствуют четкие рекомендации по лечению. Детям с легким течением проводят поддерживающую терапию и динамическое наблюдение в ожидании спонтанной ремиссии [9, 10]. Однако, когда наблюдается прогрессирующее, стойкое, тяжелое течение заболевания, по мнению авторов, таким пациентам рекомендована алло-ТГСК [8].
Из-за возможных осложнений (несостоятельность трансплантата, тяжелые инфекционные осложнения, реакция «трансплантат против хозяина» – РТПХ) принимать решение о выполнении алло-ТГСК следует для каждого больного индивидуально. Необходимо оценить риск–пользу от проведения этого метода лечения.
Также существуют специфические проблемы для больных ПМФ, которые нужно учитывать перед алло-ТГСК. В результате спленомегалии развивается синдром гиперспленизма, который может привести к значительному уменьшению количества донорских стволовых клеток и нарушению приживления трансплантата. В нескольких ретроспективных исследованиях спленэктомия перед алло-ТГСК приводила к лучшему приживлению трансплантата [11, 12].
Серьезными осложнениями у больных ПМФ являются артериальные и венозные тромбозы. Несмотря на успехи в лечении пациентов с тромбозами, после алло-ТГСК сохраняется риск смерти от тромботических осложнений [13].
Для уменьшения вероятности развития осложнений после алло-ТГСК необходимо обратить внимание и на выбор донора. По данным ретроспективного исследования с участием 95 больных ПМФ приживление трансплантата и выживаемость после алло-ТГСК у лиц с неродственной трансплантацией были значительно хуже, чем у больных с трансплантацией от полностью совместимых сиблингов: летальность в течение 1-го года после алло-ТГСК составила 56 и 31% соответственно. Основными причинами смерти стали рецидивы основного заболевания и инфекционные осложнения. У пациентов с неродственным донором в 3 раза чаще констатирован смешанный химеризм. В этом исследовании проводилось сравнение результатов алло-ТГСК от полностью совместимых родственных и гаплоидентичных доноров; результаты сопоставимы [14].
В настоящее время все более распространенным видом гаплоидентичной ТГСК (гапло-ТГСК) становится гапло-ТГСК с αβT-клеточной и CD19-деплецией. Этот метод активно используют в детской практике. Полученные данные указывают на то, что частота приживления донорских стволовых клеток у этих пациентов составляет 98%, а частота как острой, так и хронической РТПХ низкая [15, 16]. В ФГБУ «НМИЦ гематологии» есть опыт выполнения алло-ТГСК с αβT-клеточной/CD19-деплецией у взрослых. По результатам анализа 32 больных (острым миелоидным лейкозом – 12, острым лимфобластным лейкозом – 11, миелодиспластическими синдромами – 6, хроническим миелолейкозом – 1, ПМФ – 1, лимфопролиферативным заболеванием – 1), которым выполнена алло-ТГСК в сочетании с αβT-клеточной/CD19-деплецией, получены оптимистичные результаты. Первичное приживление зарегистрировано у 96,8% пациентов. Вероятность общей и безрецидивной выживаемости в течение 12 мес составила 94,1 и 70,5% соответственно. Вероятность развития рецидива – 24,4%. Частота развития острой РТПХ составила 18,75%, включая 1–2-ю степень. Только у 1 пациента развилась хроническая РТПХ [17].
Цель – представить клиническое наблюдение больного ПМФ, у которого заболевание дебютировало в детском возрасте и которому выполнена повторная алло-ТГСК с αβT-клеточной/CD19-деплецией.
Клинический случай
Больной З., 26 лет, впервые обратился в ФГБУ «НМИЦ гематологии» в 2014 г. Из анамнеза известно, что в августе 2006 г. в возрасте 12 лет при ультразвуковом исследовании выявлена спленомегалия (158×80 мм), дальнейшее обследование не проводили. В июле 2009 г. в возрасте 15 лет повторно обследован в гематологическом отделении с предварительным диагнозом «спленомегалия неуточненного генеза». В гемограмме повышены показатели крови: гемоглобин – 169 г/л, лейкоциты – 10×109/л, тромбоциты до 880×109/л. При гистологическом исследовании трепанобиоптата заподозрено миелопролиферативное заболевание. Выполнено молекулярно-генетическое исследование, специфическая мутация в гене JAK2V617F не выявлена. Проводили мониторинг анализов крови, размеров селезенки, специфической терапии пациент не получал. В марте 2014 г. в возрасте 20 лет госпитализирован в гематологическое отделение Университетской клинической больницы №1 ФГАОУ ВО «Первый Московский государственный медицинский университет им. И.М. Сеченова» Минздрава России (Сеченовский Университет), где на основании спленомегалии (по данным ультразвукового исследования селезенка 220×70 мм), гистологического исследования костного мозга в патологоанатомическом отделении ФГБУ «НМИЦ гематологии» (рис. 1, 2), а также определения в 20% клеток мутации в гене JAK2V617F установлен диагноз ПМФ, низкий риск по DIPSS. Для определения тактики лечения направлен в ФГБУ «НМИЦ гематологии», где пациенту рекомендована терапия препаратами интерферона α2b. Терапия продолжалась в течение 1 мес, после чего пациент самостоятельно отменил препарат в связи с плохой переносимостью (отмечал выраженный гриппоподобный синдром). Учитывая отсутствие клинических проявлений болезни, дальнейшее лечение не проводили.
Рис. 1. Трепанобиоптат костного мозга, 2014 (первичное обследование). Костный мозг гиперклеточный, что обусловлено расширением гранулоцитарного ростка. Выражена пролиферация атипичных мегакариоцитов обычных размеров, формирующих рыхлые и плотные кластеры. Эритроидный росток в умеренном количестве. Окраска гематоксилин-эозином. Ув. 100. / Fig. 1. Bone marrow trephine biopsy, 2014 (initial examination). The bone marrow is hypercellular owing to the expansion of granulocytic lineage. There is a marked proliferation of atypical megakaryocytes of normal size which form loose and dense clusters. Erythroid lineage is in moderate amount. Hematoxylin-eosin staining. Magnification 100.
Рис. 2. Трепанобиоптат костного мозга, 2014 (первичное обследование). Степень фиброза стромы MF-1. Окраска по Гомори. Ув. 200. / Fig. 2. Bone marrow trephine biopsy, 2014 (initial examination). The degree of fibrosis of the stroma MF-1. Gomori staining. Magnification 200.
В 2016 г. появился болевой синдром в левом подреберье. В гемограмме гемоглобин составлял 151 г/л, лейкоциты – 5,4×109/л, тромбоциты – до 590×109/л. Начата циторедуктивная терапия гидроксикарбамидом в дозировке 500–1000 мг/сут, под контролем показателей периферической крови. При контрольном обследовании в июле 2017 г. размеры селезенки сохранялись увеличенными – 204×145 мм, мутация в гене JAK2V617F выявлена в 16% клеток от общего числа клеток в образце. С октября 2017 г. пациенту начата терапия руксолитинибом (20 мг/сут), в результате которой отмечалось кратковременное уменьшение размеров селезенки (160×50 мм). С апреля 2018 г. размеры селезенки вновь начали увеличиваться (189×63 мм), появился болевой синдром в левом подреберье.
Учитывая длительное течение заболевания, молодой возраст пациента, постепенное увеличение селезенки, отсутствие HLA-идентичных сиблингов, несмотря на низкий риск по DIPSS, пациент рассмотрен в качестве кандидата на трансплантацию аллогенного костного мозга от неродственного донора. В Российском регистре найден неродственный частично совместимый донор (несовместимость по локусу DR).
С 21.09.2018 по 30.09.2018 пациенту проведено предтрансплантационное кондиционирование в немиелоаблативном режиме: флударабин (180 мг/м2) + бусульфан (8 мг/кг); 01.10.2018 выполнена трансплантация аллогенного костного мозга от неродственного частично совместимого донора. Всего перелито 5,1×106 CD34+ клеток/кг. Иммуносупрессивную терапию проводили по схеме: антитимоцитарный иммуноглобулин с -4 по -1-й дни, циклофосфамид в +3 и +4-й дни, циклоспорин А и микофенолата мофетил с +5-го дня.
В контрольные сроки через 1 мес после алло-ТГСК в гемограмме сохранялась цитопения, гемоглобин составлял 83 г/л, лейкоциты – 0,46×109/л, тромбоциты – 20×109/л. По данным исследования молекулярного химеризма популяции клеток костного мозга определялось 75% ДНК реципиента. Таким образом, у больного констатирована первичная несостоятельность трансплантата, в связи с этим отменена иммуносупрессивная терапия. Размеры селезенки оставались как перед алло-ТГСК (189×63 мм). Учитывая несостоятельность трансплантата, принято решение о выполнении спленэктомии и повторной алло-ТГСК.
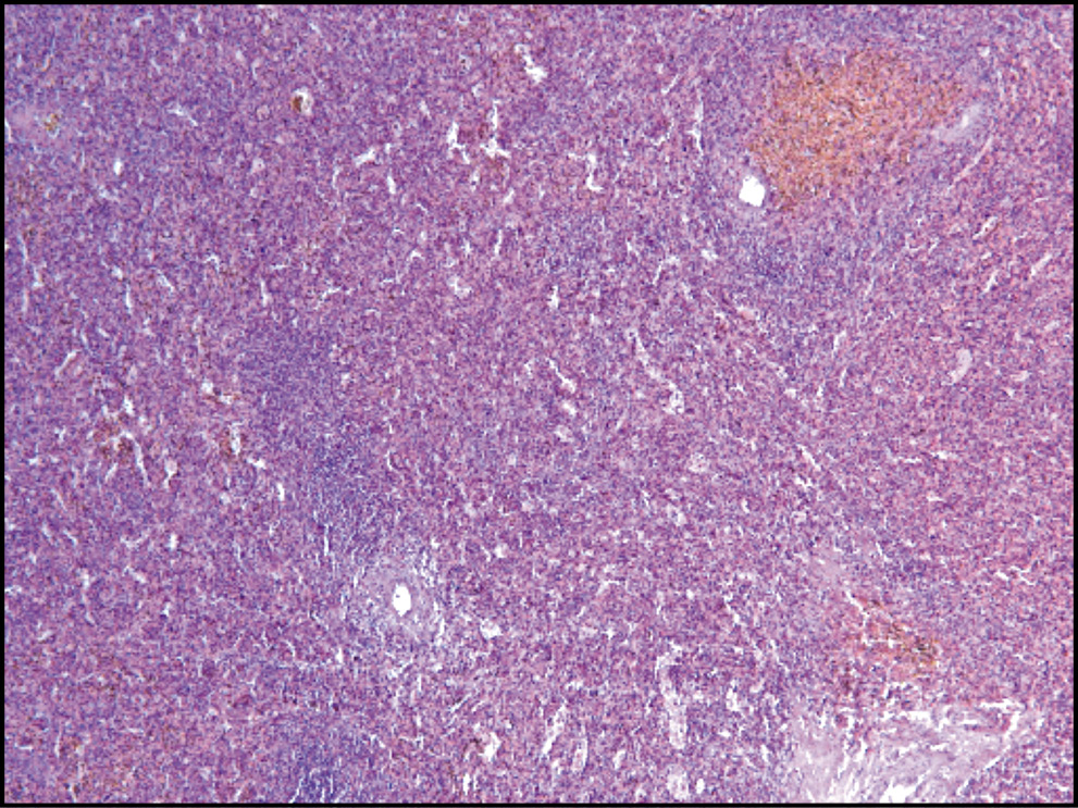
Лапароскопическая спленэктомия с краевой биопсией левой доли печени выполнена 13.11.2018. При гистологическом исследовании селезенки и печени данных в пользу субстрата экстрамедуллярного миелопоэза не обнаружено (рис. 3).
Рис. 3. Операционный материал селезенки. Красная пульпа гипоклеточная, выражены утолщение и фиброз селезеночных тяжей. Морфологическая картина фиброконгестивной селезенки. Окраска гематоксилин- эозином. Ув. 200. / Fig. 3. Spleen surgical material. The red pulp is hypocellular, there is a marked thickening and fibrosis of the splenic cords. Morphological picture of the fibrocongestive spleen. Hematoxylin-eosin staining. Magnification 200.
Послеоперационный период осложнился развитием тромбоза культи селезеночной вены, тромбоза дистального отдела верхней брыжеечной вены, ствола воротной вены и ее правой и левой долевых ветвей. Помимо мутации в гене JAK2V617F, которая связана с риском возникновения венозного тромбоза [18], у пациента выявлены гетерозиготные мутации в генах PAI-1 и MTHFR. Развитие тромбоза потребовало проведения гепаринотерапии в виде постоянной инфузии в дозировке 1200–1400 МЕ/ч. При повторном исследовании тромбоз практически полностью регрессировал. Далее антикоагулянтную терапию продолжали ривароксабаном в дозе 15 мг/сут.
На 2-й день после спленэктомии в гемограмме отмечено восстановление показателей: лейкоциты – до 9×109/л, тромбоциты – более 100×109/л. В миелограмме на +2-й месяц хозяйское кроветворение составляло 100%, мутация в гене JAK2V617F выявлена в 5% клеток от общего числа клеток в образце.
Учитывая несостоятельность трансплантата от неродственного донора, а также отсутствие ремиссии заболевания (наличие клеток с мутацией в гене JAK2V617F), несмотря на восстановление показателей периферической крови, в связи с неблагоприятным прогнозом по основному заболеванию, молодой возраст больного и наличие доступного гаплоидентичного донора (сестра), через 5 мес после первой алло-ТГСК решено провести повторную алло-ТГСК, но в другом варианте – с αβТ-клеточной/CD19-деплецией от родственного гаплоидентичного донора.
С 28.02.2019 по 05.03.2019 проведено кондиционирование в миелоаблативном режиме: флударабин (150 мг/м2) + треосульфан (42 г/м2) + тиотепа (10 мг/кг). Алло-ТГСК с αβТ-клеточной/CD19-деплецией от родственного гаплоидентичного донора выполнена 07.03.2020, перелито 2,16×106 CD34+ клеток с последующей трансфузией CD45RA-деплетированного лейкоконцентрата.
Восстановление числа лейкоцитов отмечено на +9-й день после алло-ТГСК. На +1-й месяц диагностировано приживление трансплантата: по данным цитогенетического исследования 99% XX, 1% XY, молекулярного исследования – 100% ДНК донора, мутация V617F в гене JAK2 не обнаружена.
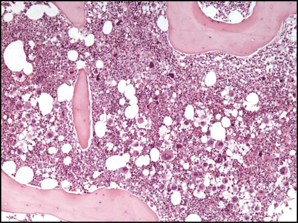
В течение 27 мес после повторной алло-ТГСК у пациента мутация V617F в гене JAK2 не выявляется, 100% ДНК донора. В трепанобиоптате (март 2020 г.) морфологическая картина характеризует гистологическую ремиссию ПМФ (рис. 4, 5). В контрольные сроки выполнено 4 введения селектированных Т-хелперов памяти в качестве адоптивной терапии. Признаков острой и хронической РТПХ нет.
Рис. 4. Трепанобиоптат костного мозга, 2020 (через год после повторного выполнения алло-ТГСК). Костный мозг гипоклеточный (относительно возрастной нормы). Гранулоцитарный росток сужен. Мегакариоциты немногочисленны, небольших размеров с гиполобулярными гиперхромными ядрами. Эритроидный росток умеренно сужен. Морфологическая картина ремиссии миелопролиферативного заболевания (согласно критериям ELN 2013). Окраска гематоксилин-эозином. Ув. 100. / Fig. 4. Bone marrow trephine biopsy, 2020 (one year after repeated allo-HSCT). The bone marrow is hypocellular (relatively to the age norm). The granulocytic lineage is reduced. Megakaryocytes are few in number, small in size with hypolobular hyperchromic nuclei. The erythroid lineage is moderately reduced. Morphological picture of remission of myeloproliferative disease (according to ELN 2013 criteria). Hematoxylin-eosin staining. Magnification 100.
Рис. 5. Трепанобиоптат костного мозга, 2020 (через год после повторного выполнения алло-ТГСК). Степень фиброза стромы MF-0. Окраска по Гомори. Ув. 200. / Fig. 5. Bone marrow trephine biopsy, 2020 (one year after repeated allo-HSCT). The degree of stromal fibrosis is MF-0. Gomori staining. Magnification 200.
Обсуждение
Нами описан случай успешного выполнения повторной гапло-ТГСК в сочетании с αβT-клеточной/CD19-деплецией пациенту с ПМФ после несостоятельности трансплантата при проведении алло-ТГСК от неродственного донора.
В настоящее время во всем мире существуют строгие показания для алло-ТГСК у взрослых пациентов с ПМФ, в педиатрической практике такие показания отсутствуют. Детям проводят поддерживающую терапию и динамическое наблюдение в ожидании спонтанной ремиссии.
Дебют заболевания у нашего пациента был в детстве, однако клинические проявления сохранялись до молодого возраста, риск по шкале DIPSS являлся низким. Учитывая стойкое течение заболевания, несмотря на низкий риск по DIPSS, принято решение о выполнении алло-ТГСК.
Таким образом, пациентам с ПМФ из групп промежуточного-2 или высокого риска, согласно европейскому, американскому, российскому протоколам лечения, рекомендована алло-ТГСК.
Перед алло-ТГСК необходимо учесть все факторы, которые могут приводить к тяжелым осложнениям: выбор донора, режим кондиционирования и иммуносупрессивной терапии, источник трансплантата, необходимость спленэктомии, сопроводительную терапию.
При отсутствии полностью совместимого донора рекомендуется рассмотреть гаплоидентичного, так как, по данным исследований, результаты таких ТГСК у пациентов с ПМФ сопоставимы с трансплантациями от идентичных сиблингов [14]. В настоящее время все более распространенным видом гапло-ТГСК становится гапло-ТГСК с αβT-клеточной/CD19-деплецией, полученные данные указывают на то, что частота приживления донорских стволовых клеток у этих пациентов составляет более 90%, а частота острой и хронической РТПХ низкая.
Необходимо отметить, что перед проведением второй алло-ТГСК пациенту из описанного клинического случая выполнена спленэктомия с целью профилактики повторного отторжения.
Конфликт интересов. Авторы заявляют об отсутствии конфликта интересов.
Conflict of interests. The authors declare no conflict of interest.
Список сокращений
Алло-ТГСК – трансплантация аллогенных гемопоэтических стволовых клеток
Гапло-ТГСК – гаплоидентичная трансплантация гемопоэтических стволовых клеток
ПМФ – первичный миелофиброз
РТПХ – реакция «трансплантат против хозяина»
DIPSS (Dynamic International Prognostic Scoring System) – Динамическая международная шкала оценки прогноза
About the authors
Elmira I. Kolgaeva
National Research Center for Hematology
Author for correspondence.
Email: kolgaeva@inbox.ru
ORCID iD: 0000-0002-1491-620X
клинический ординатор отд-ния интенсивной высокодозной химиотерапии и трансплантации костного мозга с круглосуточным стационаром
Russian Federation, MoscowVera A. Vasilyeva
National Research Center for Hematology
Email: kolgaeva@inbox.ru
ORCID iD: 0000-0003-0904-7385
канд. мед. наук, врач-гематолог, зав. отд-нием иммунохимиотерапии с дневным стационаром для больных после трансплантации костного мозга
Russian Federation, MoscowLarisa A. Kuzmina
National Research Center for Hematology
Email: kolgaeva@inbox.ru
ORCID iD: 0000-0001-6201-6276
канд. мед. наук, зав. отд-нием трансплантации костного мозга
Russian Federation, MoscowMikhail Yu. Drokov
National Research Center for Hematology
Email: kolgaeva@inbox.ru
ORCID iD: 0000-0001-9431-8316
канд. мед. наук, врач-гематолог, рук. сектора по изучению иммунных воздействий и осложнений после трансплантации костного мозга
Russian Federation, MoscowMariya V. Dovydenko
National Research Center for Hematology
Email: kolgaeva@inbox.ru
ORCID iD: 0000-0002-6082-0110
канд. мед. наук, врач-гематолог отд-ния интенсивной высокодозной химиотерапии и трансплантации костного мозга с круглосуточным стационаром
Russian Federation, MoscowZoya V. Konova
National Research Center for Hematology
Email: kolgaeva@inbox.ru
ORCID iD: 0000-0002-5569-0155
врач-гематолог отд-ния интенсивной высокодозной химиотерапии и трансплантации костного мозга с круглосуточным стационаром
Russian Federation, MoscowDmitry I. Chebotarev
National Research Center for Hematology
Email: kolgaeva@inbox.ru
ORCID iD: 0000-0003-2146-0818
патологоанатом патологоанатомического отд-ния
Russian Federation, MoscowAlla M. Kovrigina
National Research Center for Hematology
Email: kolgaeva@inbox.ru
ORCID iD: 0000-0002-8422-0689
д-р биол. наук, зав. патологоанатомическим отд-нием
Russian Federation, MoscowDenis V. Kamelskih
National Research Center for Hematology
Email: kolgaeva@inbox.ru
ORCID iD: 0000-0002-1118-6969
врач-трансфузиолог отд-ния забора гемопоэтических стволовых клеток, обработки и хранения костного мозга и/или гемопоэтических стволовых клеток
Russian Federation, MoscowTatyana V. Gaponova
National Research Center for Hematology
Email: kolgaeva@inbox.ru
ORCID iD: 0000-0002-9684-5045
канд. мед. наук, врач-гематолог, зам. ген. дир. по трансфузиологии, зав. отд. процессинга клеток крови и криоконсервирования
Russian Federation, MoscowManana A. Sokolova
National Research Center for Hematology
Email: kolgaeva@inbox.ru
ORCID iD: 0000-0003-1682-7005
канд. мед. наук, врач-гематолог, ст. науч. сотр. консультативного гематологического отд-ния с дневным стационаром по проведению интенсивной высокодозной химиотерапии
Russian Federation, MoscowIrina N. Subortseva
National Research Center for Hematology
Email: kolgaeva@inbox.ru
ORCID iD: 0000-0001-9045-8653
канд. мед. наук, врач-онколог, ст. науч. сотр. научно-клинического отд-ния стандартизации методов лечения
Russian Federation, MoscowAnait L. Melikyan
National Research Center for Hematology
Email: kolgaeva@inbox.ru
ORCID iD: 0000-0002-2119-3775
д-р мед. наук, врач-гематолог, зав. научно-клиническим отд-нием стандартизации методов лечения
Russian Federation, MoscowMikhail A. Maschan
Rogachev National Medical Research Center of Pediatric Hematology, Oncology and Immunology
Email: kolgaeva@inbox.ru
ORCID iD: 0000-0003-1735-0093
д-р мед. наук, врач-гематолог, зам. ген. дир. – дир. Высшей школы молекулярной и экспериментальной медицины
Russian Federation, MoscowElena N. Parovichnikova
National Research Center for Hematology
Email: kolgaeva@inbox.ru
ORCID iD: 0000-0001-6177-3566
д-р мед. наук, зав. отд-нием химиотерапии гемобластозов, депрессий кроветворения и ТКМ
Russian Federation, MoscowValerii G. Savchenko
National Research Center for Hematology
Email: kolgaeva@inbox.ru
ORCID iD: 0000-0001-8188-5557
акад. РАН, д-р мед. наук, проф., ген. дир.
Russian Federation, MoscowReferences
- Меликян А.Л. Ковригина А.М. Суборцева И.Н., и др. Национальные клинические рекомендации по диагностике и терапии Ph-негативных миелопролиферативных заболеваний (истинная полицитемия, эссенциальная тромбоцитемия, первичный миелофиброз). Гематология и трансфузиология. 2018;63(3):275-315 [Melikyan AL, Kovrigina AM, Subortseva IN, et al. National clinical recommendation for diagnosis and therapy of PH-negative myeloproliferative neoplasms (polycythemia vera, essential trombocythemia, primary myelofibrosis) (edition 2018). Russian journal of hematology and transfusiology. 2018;63(3):275-315 (in Russian)]. doi: 10.25837/HAT.2019.51.88.001
- Vannucchi AM, Barbui T, Cervantes F, et al. Philadelphia chromosome-negative chronic myeloproliferative neoplasms: ESMO Clinical Practice Guidelines for diagnosis, treatment and follow-up. Ann Oncol. 2015;26(5):85-99. doi: 10.1093/annonc/mdv203
- Saksena A, Arora P, Khurana N, et al. Paediatric Idiopathic Myelofibrosis. Indian J Hematol Blood Transfus. 2014;30(1):363-5. doi: 10.1007/s12288-014-0412-2
- Kröger N, Giorgino T, Scott BL, et al. Impact of allogeneic stem cell transplantation on survival of patients less than 65 years of age with primary myelofibrosis. Blood. 2015;125(21):3347-50. doi: 10.1182/blood-2014-10-608315
- Duarte RF, Labopin M, Bader P, et al. and European Society for Blood and Marrow Transplantation (EBMT). Indications for haematopoietic stem cell transplantation for haematological diseases, solid tumours and immune disorders: current practice in Europe, 2019. Bone Marrow Transpl. 2019;54(10):1525-52. doi: 10.1038/s41409-019-0516-2
- Majhail NS, Farnia SH, Carpenter PA, et al. Indications for Autologous and Allogeneic Hematopoietic Cell Transplantation: Guidelines from the American Society for Blood and Marrow Transplantation. Biol Blood Marrow Transplant. 2015;21:1863-9. doi: 10.1016/j.bbmt.2015.07.032
- Савченко В.Г. Протоколы трансплантации аллогенных гемопоэтических стволовых клеток. М.: Практика, 2020 [Savchenko VG. Protocols of allogeneic hematopoietic stem cell transplantation. Moscow: Practice, 2020 (in Russian)].
- DeLario MR, Sheehan AM, Ataya R, et al. Clinical, histopathologic, and genetic features of pediatric primary myelofibrosis – An entity different from adults. Am J Hematol. 2012;87(5):461-4. doi: 10.1002/ajh.23140
- Sekhar M, Prentice HG, Popat U, et al. Idiopathic myelofibrosis in children. Br J Haematol. 1996;93:394-7. doi: 10.1046/j.1365-2141.1996.5051046.x
- Domm J, Calder C, Becky Manes RN, et al. Unrelated stem cell transplant for infantile idiopathic myelofibrosis. Pediatr Blood Cancer. 2009;52:893-5. doi: 10.1002/pbc.21910
- Robin M, Tabrizi R, Mohty M, et al. Allogeneic haematopoietic stem cell transplantation for myelofibrosis: a report of the Société Française de Greffe de Moelle et de Thérapie Cellulaire (SFGM-TC). Br J Haematol. 2011;152:331-9. doi: 10.1111/j.1365-2141.2010.08417.x
- Ballen KK, Shrestha S, Sobocinski KA, et al. Outcome of transplantation for myelofibrosis. Biol Blood Marrow Transpl. 2010;16:358-67. doi: 10.1016/j.bbmt.2009.10.025
- Devendra KC, Falchi L, Verstovsek S. The underappreciated risk of thrombosis and bleeding in patients with myelofibrosis: A review. Ann Hematol. 2017;96(10):1595-604. doi: 10.1007/s00277-017-3099-2
- Bregante S, Dominietto A, Ghiso A, et al. Improved outcome of alternative donor transplantations in patients with myelofibrosis: from unrelated to haploidentical family donors. Biol Blood Marrow Transpl. 2016;22(2):324-9. doi: 10.1016/j.bbmt.2015.09.028
- Maschan M, Shelikhova L, Ilushina M, et al. TCR-alpha/beta and CD19 depletion and treosulfan-based conditioning regimen in unrelated and haploidentical transplantation in children with acute myeloid leukemia. Bone Marrow Transplant. 2016;51:668-74. doi: 10.1038/bmt.2015.343
- Locatelli F, Merli P, Pagliara D, et al. Outcome of children with acute leukemia given HLA-haploidentical HSCT after αβ T-cell and B-cell depletion. Blood. 2017;130(5):677-85. doi: 10.1182/blood-2017-04-779769
- Dovydenko MV, Parovichnikova EN, Kuzmina LA, et al. Haploidentical stem cell transplantation with TCR alpha/beta and CD19 depletion in adult patients with hematological malignancies. Blood. 2019;134(1):5648. doi: 10.1182/blood-2019-131316
- Borowczyk M, Wojtaszewska M, Lewandowski K, et al. The JAK2 V617F mutational status and allele burden may be related with the risk of venous thromboembolic events in patients with Philadelphia-negative myeloproliferative neoplasms. Thromb Res. 2015;135:272-80. doi: 10.1016/j.thromres.2014.11.006
Supplementary files








