The role of cardiac magnetic resonance imaging (cardiovascular magnetic resonance) in defining the prognosis of patients with acute ST-segment elevation myocardial infarction. Part 1. Indications and contraindications to cardiovascular magnetic resonance
- Authors: Terenicheva M.A.1, Stukalova O.V.1, Shakhnovich R.M.1, Ternovoy S.K.1,2
-
Affiliations:
- Myasnikov Institute of Clinical Cardiology, National Medical Research Center of Cardiology
- Sechenov First Moscow State Medical University (Sechenov University)
- Issue: Vol 93, No 4 (2021)
- Pages: 497-501
- Section: Reviews
- Submitted: 03.06.2021
- Accepted: 03.06.2021
- Published: 15.04.2021
- URL: https://ter-arkhiv.ru/0040-3660/article/view/71267
- DOI: https://doi.org/10.26442/00403660.2021.04.200687
- ID: 71267
Cite item
Full Text
Abstract
Recently, the role of cardiac magnetic resonance imaging (cardiovascular magnetic resonance) in the diagnosis of coronary artery disease and acute myocardial infarction has increased significantly. This method is defined as the “gold standard” for differentiation between ischemic vs non-ischemic and acute vs chronic myocardial injury. This part of the review summarizes the main methods of cardiovascular magnetic resonance, its safety, indications and contraindications.
Full Text
Введение
В последнее время все большее значение в изучении состояния миокарда при инфаркте миокарда (ИМ) приобретает магнитно-резонансная томография (МРТ) сердца. Ранее МРТ использовалась, в основном, в качестве метода 2-й линии диагностики [1]. Однако уже в 4-м универсальном определении ИМ МРТ сердца рекомендована в качестве основного инструмента дифференциальной диагностики ишемического и неишемического, острого и хронического повреждений миокарда [2]. Метод постоянно совершенствуется и позволяет выявить очагово-рубцовые изменения миокарда даже вследствие небольших субэндокардиальных инфарктов массой от 1 г [3], оценить перфузию миокарда [4]. В настоящее время наиболее распространенными показаниями к выполнению МРТ сердца являются: уточнение наличия ишемического повреждения миокарда либо зон ишемии, диагностика миокардита, определение жизнеспособности миокарда, а также подозрение на наличие врожденных пороков сердца, заболеваний перикарда, опухолей сердца и патологий крупных сосудов (рис. 1).
Рис. 1. Основные показания к выполнению МРТ сердца [5, 6]
Помимо диагностических возможностей МРТ сердца позволяет детально оценивать зону ИМ: размер некроза, выраженность отека, микрососудистой обструкции (МСО), наличие и выраженность интрамиокардиального кровоизлияния (ИМК), состояние невовлеченного миокарда [3]. Развитие этого направления МРТ в перспективе может способствовать разработке новых методов и направлений лечения дисфункции миокарда. Таким образом, МРТ сердца занимает одно из ведущих мест среди методов изучения состояния миокарда после перенесения инфаркта.
В первой части данного обзора описаны основные современные методики МРТ сердца, которые используются в диагностике повреждения миокарда и стратификации риска у больных с ИМ с подъемом сегмента ST (ИМпST), основные показания, противопоказания и ограничения проведения исследования.
Безопасность МРТ
Большинство МР-томографов, использующихся для исследования сердца, имеет напряженность магнитного поля 1,5 Тл. В настоящее время в клинической практике применяются томографы с полем до 3 Тл включительно. Воздействие магнитного поля безопасно, однако имеет свои ограничения у отдельных категорий пациентов (табл. 1).
Таблица 1. Абсолютные противопоказания к выполнению МРТ
МР-несовместимый искусственный водитель ритма |
Кардиовертер-дефибриллятор, устройства для гемодинамической поддержки, устройства для ресинхронизирующей терапии |
Металлические инородные тела (особенно расположенные интракраниально, интраорбитально) |
Различные металлические устройства на сосудах головного мозга |
Потенциально влияние магнитного поля может привести к смещению имплантированных металлических устройств, а радиочастотное излучение томографа может вызвать их нагревание. В связи с этим в первые годы появления коронарных стентов проведение МРТ было рекомендовано только после завершения процессов их эндотелизации, не ранее чем через 6–8 нед после стентирования [4]. Однако многочисленные последующие исследование, как экспериментальные, так и клинические, убедительно показали безопасность выполнения МРТ даже в значительно более ранние сроки после имплантации стентов.
Коронарные стенты (так же как и стенты периферических артерий, большинство клапанных протезов и стент-графты) являются «пассивными» устройствами, в которых отсутствуют компоненты, активируемые электрическими и магнитными воздействиями. Они изготавливаются из неферромагнитного материала, в состав которого обычно входят титан, титановый сплав, нитинол. В исследованиях, изучавших возможность нагревания стентов при МР-исследовании, наблюдалось увеличение их температуры менее чем на 1ºС для одного стента и менее чем на 2ºС для двух длинных, перекрывающих друг друга стентов [7]. В клинических исследованиях показано, что проведение МРТ даже сразу после имплантации стентов на томографах с напряженностью магнитного поля до 3 Тл включительно безопасно [8]. Ни в одном исследовании, как голометаллических стентов, так и стентов с лекарственным покрытием, не отмечено их смещения и связанного со смещением риска тромбоза [9]. На сегодняшний день не зарегистрировано ни одного осложнения в ходе проведения МРТ, в том числе в отдаленном периоде. Таким образом, проведение МРТ сердца у пациентов с имплантированными голометаллическими стентами и стентами с лекарственным покрытием безопасно и может быть выполнено сразу после имплантации [10].
В последние десятилетия ведется активная разработка МР-совместимых устройств. Так, уже с 2008 г. внедрены в клиническую практику МР-совместимые модели электрокардиостимуляторов (ЭКС). Большинство крупных фирм в настоящее время выпускает МР-совместимые модели ЭКС (Medtronic, St. Jude Medical, Boston Scientific, Biotronik). Однако проведение МРТ у пациентов с МР-совместимыми ЭКС не является рутинной процедурой и требует выполнения определенных правил (табл. 2).
Таблица 2. Условия возможности выполнения МРТ у пациентов с МР-совместимым кардиостимулятором [11]
С момента имплантации ЭКС должно пройти более 6 нед |
Пекторальная локализация имплантата (предпочтительно правая) |
Отсутствие других противопоказаний к МРТ (например, МР-несовместимые электроды) |
Отсутствие переходников и адаптеров электродов in situ |
Подготовка такого пациента к МРТ требует предварительного обследования (например, рентгенография органов грудной клетки для уточнения положения и целостности электрода, наличия рентгеноконтрастных маркеров МР-совместимости) и мультидисциплинарного сотрудничества врачей различных специальностей (рентгенолога, интервенционного аритмолога/сердечно-сосудистого хирурга).
Устройства для гемодинамической поддержки, включая внутриаортальный баллонный контрапульсатор, устройства поддержки левого (ЛЖ) и правого желудочка (ПЖ) относятся к «активным» устройствам и являются сложными механизмами, состоящими из деталей, обладающих в разной степени ферромагнитными свойствами, а также подвижных частей и электрических компонентов. Их использование является абсолютным противопоказанием к проведению МРТ [8].
Наличие у пациентов металлических однородных тел в глазнице, в веществе головного мозга, металлические устройства на сосудах головного мозга являются абсолютным противопоказанием к выполнению МРТ любой части тела вследствие высокого риска их смещения и повреждения окружающих тканей.
Перечень относительных противопоказаний к МРТ значительно больше и включает в себя клаустрофобию, психические расстройства, другие (не перечисленные в таблице) имплантируемые устройства, состояние гипертермии, беременность и др. В каждом случае вопрос возможности выполнения исследования решается индивидуально, решение принимается совместно лечащим врачом-кардиологом и рентгенологом.
Протокол МРТ сердца у больного с острым ИМ требует введения контрастных препаратов, содержащих соединения гадолиния. Такие контрастные вещества являются более безопасными по сравнению с йодсодержащими в отношении их влияния на функцию почек. Однако применение гадолинийсодержащих контрастных препаратов у пациентов со сниженной функцией почек (скорость клубочковой фильтрации менее 30 мл/мин/1,73 м²) в редких случаях ассоциируется с развитием нефрогенного системного фиброза (фиброзирование кожи с формированием контрактур и внутренних органов – сердце, легкие, печень, скелетная мускулатура – у больных с терминальными стадиями хронической почечной недостаточности). Поэтому у больных с тяжелой почечной недостаточностью рекомендуется избегать исследований, требующих введения гадолинийсодержащих контрастных препаратов [12, 13], а при невозможности – использовать контрастные препараты с макроциклическим строением молекулы [14]. Имеющиеся данные о возможном депонировании гадолиния в веществе мозга, коже у больных с тяжелой хронической почечной недостаточностью при повторных контрастных исследованиях также указывают на целесообразность применения у этой категории больных макроциклических контрастных препаратов [15].
Основные методики контрастной МРТ сердца
Протокол МРТ сердца с контрастированием состоит из бесконтрастной части, включающей кино-МРТ и Т2-взвешенные изображения (Т2-ВИ) в стандартных проекциях, и контрастной МРТ. Контрастная часть включает оценку раннего (через 2 мин после внутривенного введения контрастного препарата) и отсроченного контрастирования (через 10–20 мин после внутривенного введения контрастного препарата); табл. 3.
Таблица 3. Протокол МРТ сердца с отсроченным контрастированием
Бесконтрастная часть | |
Кино-МРТ | Оценка структурной патологии камер сердца, размеров камер сердца и объемных показателей, фракции выброса ЛЖ и ПЖ, нарушений локальной сократимости |
Т2-ВИ | Выявление отека (повышение ИС более чем в 2 раза в сравнении с неповрежденным миокардом) |
Контрастная часть | |
Раннее контрастирование (через 2 мин после внутривенного введения контрастного препаратa) | Выявление муральных тромбов ЛЖ и выявление и определение степени повреждения микрососудистого русла |
Отсроченное контрастирование (через 10–20 мин после внутривенного введения контрастного препарата) | Количественная оценка размера инфаркта, гетерогенной зоны. Оценка устойчивых очагов МСО и ИМК |
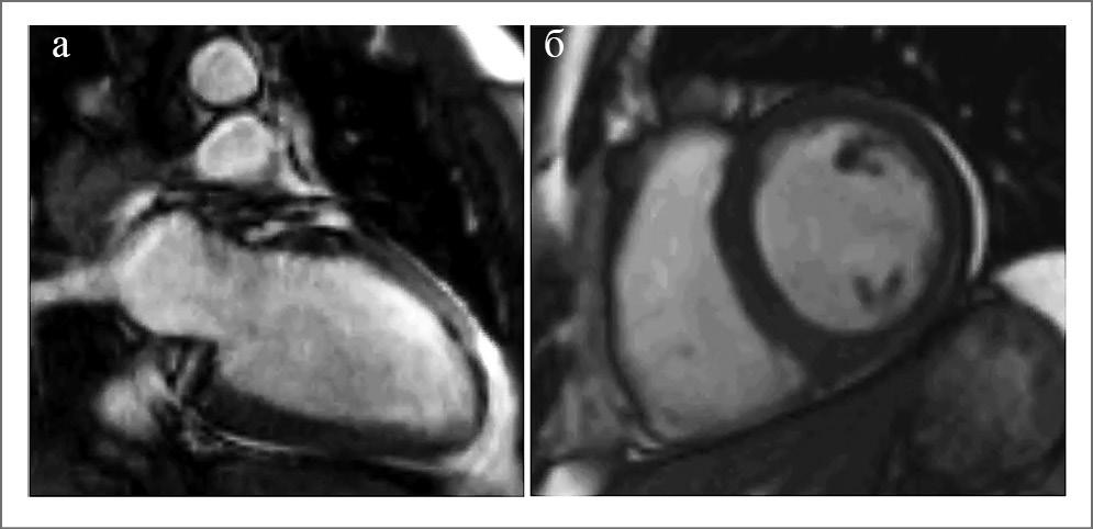
Кино-МРТ – это импульсная последовательность, позволяющая получить изображения сердца в стандартных проекциях (2- и 4-камерная длинные оси, короткая ось ЛЖ) в виде кинопетли. Этот режим является эталоном оценки объемов, глобальной и региональной сократимости ЛЖ и ПЖ (рис. 2).
Рис. 2. Кино-МРТ: а – 2-камерная длинная ось ЛЖ; б – 2-камерная короткая ось ЛЖ
Благодаря четкой визуализации границ эндокарда, высокой воспроизводимости и операторонезависимости метод кино-МРТ позволяет точно выявить и оценить зоны нарушения локальной сократимости, в том числе при повторных исследованиях.
МРТ позволяет точно оценить процессы патологического ремоделирования на фоне различных сердечно-сосудистых патологий и обратного ремоделирования вследствие проводимой терапии. Эти показатели играют важную роль в оценке прогноза больных с острым ИМ и контроле эффективности лечения [16].
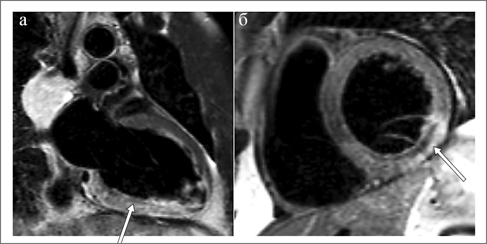
Изображения Т2-ВИ – импульсная последовательность, позволяющая визуализировать отек ткани любой этиологии. Миокард в зоне острого ишемического повреждения на Т2-ВИ выглядит ярким по сравнению с неповрежденным миокардом за счет повышения интенсивности сигнала (ИС) в зоне отека (рис. 3).
Рис. 3. Отек миокарда на Т2-взвешенных изображениях: а – 2-камерная длинная ось ЛЖ, б – 2-камерная короткая ось ЛЖ
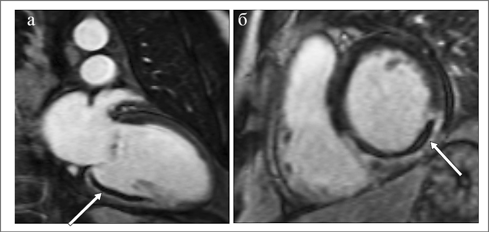
Изображения с отсроченным контрастированием (рис. 4) получают через 10–20 мин после введения гадолинийсодержащего контрастного вещества в дозировке 0,1–0,2 ммоль/кг массы тела больного.
Соединения гадолиния являются парамагнетиками и относятся к позитивным контрастным агентам, повышающим ИС за счет сокращения времени релаксации Т1. Гадолиний имеет внеклеточный характер распределения и не может проникнуть сквозь интактные клеточные мембраны [17]. В острой фазе ИМ мембраны кардиомиоцитов разрушаются, позволяя контрастному веществу проникать внутрь клетки. Впоследствии в сформировавшемся рубце также наблюдается увеличение внеклеточного пространства за счет снижения количества интактных кардиомиоцитов в зоне некроза и отложения депозитов коллагена, что способствует накоплению гадолиния.
Основными параметрами, которые оцениваются в фазу отсроченного контрастирования у больных с острым ИМпST, являются размер инфаркта, гетерогенность зоны, наличие и выраженность МСО, ИМК.
Размер инфаркта определяется как объем (или масса) зоны острого очагового повреждения (а в последующем фиброза), накапливающей контрастное вещество. Зона инфаркта является морфологически неоднородной. В ее структуру входит ядро, представленное в остром периоде ИМ некротизированными кардиомиоцитами, а в последующем – фиброзной тканью, и гетерогенная зона, состоящая из некротизированных, находящихся в состоянии ишемии и интактных кардиомиоцитов [18–20]. Результаты электрофизиологических исследований и гистологического анализа гетерогенной зоны показали одновременное сосуществование в этой зоне процессов апоптоза и активной репарации [18]. На изображениях МРТ с отсроченным контрастированием гетерогенная зона представляет собой область, где ИС составляет менее 50% от максимальной ИС в зоне инфаркта, но больше максимальной ИС интактной зоны (рис. 4, 5).
Рис. 4. МРТ с отсроченным контрастированием: а – 2-камерная длинная ось ЛЖ; б – 2-камерная короткая ось ЛЖ. Зона накопления контрастного препарата выглядит яркой, низкоинтенсивная область внутри зоны накопления (указано стрелкой) – участок внутрисосудистой обструкции
Рис. 5. Тканевой анализ изображений в фазу отсроченного контрастирования (а) и на Т2-ВИ (б)
Результатом нарушения коронарной микроциркуляции в бассейне инфарктсвязанной артерии, даже несмотря на восстановление кровотока, может стать МСО. Патофизиологическим механизмом МСО является вазоконстрикция микроциркуляторного русла в сочетании с дистальной эмболизацией элементами атеросклеротической бляшки, частицами фибрина, тромбоцитов и эритроцитов [21]. На МР-изображениях МСО определяется как темное (гипоинтенсивное) ядро внутри накопивших контрастный препарат участков с высокой ИС, как в фазу раннего контрастирования с гадолинием (ранняя МСО), так и в фазу отсроченного контрастирования (поздняя МСО); рис. 4.
Если повреждение коронарного микроциркуляторного русла в результате ИМпST достаточно велико и целостность сосудов нарушена, то возникает экстравазация эритроцитов в миокард, или ИМК. МР-оценка ИМК осуществляется с помощью Т2*-ВИ или Т2*-картирования, чувствительных к выявлению продуктов распада гемоглобина [1]. По аналогии с МСО на T2*-ВИ (T2*-картах) продукты распада гемоглобина в миокарде визуализируются в виде гипоинтенсивных ядер в зоне ИМ [22].
Заключение
МРТ сердца является точным и безопасным методом, обладающим высокой разрешающей способностью, операторонезависимостью. Данный метод позволяет не только диагностировать грубые механические осложнения ИМ (такие как разрывы миокарда, тромбы в полостях сердца и т.д.), но и выявить и оценить ряд важных прогностически неблагоприятных характеристик инфаркта (размер ИМ, отек миокарда, МСО, ИМК, гетерогенность зоны ИМ), значение которых будет освещено в части 2 данного обзора.
Авторы заявляют об отсутствии конфликта интересов.
Список сокращений
ИМ – инфаркт миокарда ИМК – интрамиокардиальное кровоизлияние ИМпST – инфаркт миокарда с подъемом сегмента ST ИС – интенсивность сигнала ЛЖ – левый желудочек | МРТ – магнитно-резонансная томография МСО – микрососудистая обструкция ПЖ – правый желудочек Т2-ВИ – Т2-взвешенные изображения ЭКС – электрокардиостимулятор |
About the authors
Mariya A. Terenicheva
Myasnikov Institute of Clinical Cardiology, National Medical Research Center of Cardiology
Author for correspondence.
Email: starcad@bk.ru
ORCID iD: 0000-0002-6064-4663
аспирантка отд. неотложной кардиологии, врач-кардиолог палаты реанимации и интенсивной терапии 1-го кардиологического отд-ния ИКК
Russian Federation, MoscowOlga V. Stukalova
Myasnikov Institute of Clinical Cardiology, National Medical Research Center of Cardiology
Email: olgastukalova@mail.ru
ORCID iD: 0000-0001-8377-2388
к.м.н., ст. науч. сотр. отд. томографии
Russian Federation, MoscowRoman M. Shakhnovich
Myasnikov Institute of Clinical Cardiology, National Medical Research Center of Cardiology
Email: shakhnovich@mail.ru
ORCID iD: 0000-0003-3248-0224
д.м.н., вед. науч. сотр. отд. неотложной кардиологии
Russian Federation, MoscowSergey K. Ternovoy
Myasnikov Institute of Clinical Cardiology, National Medical Research Center of Cardiology; Sechenov First Moscow State Medical University (Sechenov University)
Email: prof_ternovoy@list.ru
ORCID iD: 0000-0003-4374-1063
акад. РАН, д.м.н., проф., гл. науч. сотр. отд. томографии, ИКК им. А.Л. Мясникова ФГБУ «НМИЦ кардиологии», зав. каф. лучевой диагностики и лучевой терапии ФГАОУ ВО «Первый МГМУ им. И.М. Сеченова»
Russian Federation, MoscowReferences
- Стукалова О.В. Магнитно-резонансная томография в диагностике ИБС. Российский электронный журнал лучевой диагностики. 2011;1(3):82-7 [Stukalova OV. MRI in diagnosis of ischemic heart disease. Russian Electronic Journal of Radiology. 2011;1(3):82-7 (In Russ.)].
- Thygesen K, Alpert JS, Jaffe AS, et al. Fourth universal definition of myocardial infarction (2018). Eur Heart J. 2019;40(3):237-69. doi: 10.1093/eurheartj/ehy462
- Kim HW, Farzaneh-Far A, Kim RJ. Cardiovascular magnetic resonance in patients with myocardial infarction: current and emerging applications. J Am Coll Cardiol. 2009;55:1-16. doi: 10.1016/j.jacc.2009.06.059
- Bulluck H, Dharmakumar R, Arai AE, et al. Cardiovascular Magnetic Resonance in Acute ST-Segment-Elevation Myocardial Infarction: Recent Advances, Controversies, and Future Directions. Circulation. 2018;137(18):1949-64. doi: 10.1161/CIRCULATIONAHA.117.030693
- Bruder O, Wagner A, Lombardi M, et al. European Cardiovascular Magnetic Resonance (EuroCMR) registry – multinational results from 57 centers in 15 countries. J Cardiovasc Magn Reson. 2013;15. doi: 10.1186/1532-429X-15-9
- Vasquez M, Nagel E. Clinical indications for cardiovascular magnetic resonance. Heart. 2019;105:1755-62. doi: 10.1136/heartjnl-2018-312971
- Shellock FG, Forder JR. Drug eluting coronary stent: in vitro evaluation of magnet resonance safety at 3 Tesla. J Cardiovasc Magn Reson. 2005;7(2):415-9. doi: 10.1081/jcmr-200053588
- Levine GN, Gomes AS, Arai AE, et al. American Heart Association Committee on Diagnostic and Interventional Cardiac Catheterization; American Heart Association Council on Clinical Cardiology; American Heart Association Council on Cardiovascular Radiology and Intervention. Safety of magnetic resonance imaging in patients with cardiovascular devices: an American Heart Association scientific statement from the Committee on Diagnostic and Interventional Cardiac Catheterization, Council on Clinical Cardiology, and the Council on Cardiovascular Radiology and Intervention: endorsed by the American College of Cardiology Foundation, the North American Society for Cardiac Imaging, and the Society for Cardiovascular Magnetic Resonance. Circulation. 2007;116(24):2878-91. doi: 10.1161/CIRCULATIONAHA.107.187256
- Porto I, Selvanayagam J, Ashar V, et al. Safety of magnetic resonance imaging one to three days after bare metal and drug-eluting stent implantation. Am J Cardiol. 2005;96(3):366-8. doi: 10.1016/j.amjcard.2005.03.077
- Patel MR, Albert TS, Kandzari DE, et al. Acute myocardial infarction: safety of cardiac MR imaging after percutaneous revascularization with stents. Radiology. 2006;240(3):674-80. doi: 10.1148/radiol.2403050740
- Глушко Л.А., Бокерия О.Л. Системы для электротерапии сердца, совместимые с магнитно-резонансной томографией. Анналы аритмологии. 2015;12(4):225-33 [Glushko O, Bockeria L. The devices for electrotherapy of the heart, compatible with magnetic resonance tomography. Annaly aritmologii. 2015;12:225-33 (In Russ.)]. doi: 10.15275/annaritmol.2015.4.4
- Thomsen HS. Nephrogenic systemic fibrosis: A serious late adverse reaction to gadodiamide. Eur Radiol. 2006;16(12):2619-21. doi: 10.1007/s00330-006-0495-8
- Thomsen HS (Ed.) Contrast media. Safety issues and ESUR guidelines. Berlin: Heidelberg; New York: Springer, 2006.
- Cowling T, Frey N. Macrocyclic and Linear Gadolinium Based Contrast Agents for Adults Undergoing Magnetic Resonance Imaging: A Review of Safety. Ottawa (ON): Canadian Agency for Drugs and Technologies in Health, 2019.
- Choi JW, Moon WJ. Gadolinium Deposition in the Brain: Current Updates. Korean J Radiol. 2019;20(1):134-47. doi: 10.3348/kjr.2018.0356
- Zhang L, Gooya A, Pereanez M, et al. Automatic Assessment of Full Left Ventricular Coverage in Cardiac Cine Magnetic Resonance Imaging with Fisher Discriminative 3D CNN. IEEE Trans Biomed Eng. 2018;66(7):1975-86. doi: 10.1109/TBME.2018.2881952
- Kim RJ, Fieno DS, Parrish TB, et al. Relationship of MRI delayed contrast enhancement to irreversible injury, infarct age, and contractile function. Circulation. 1999;100(19):1992-2002. doi: 10.1161/01.cir.100.19.1992
- Breithardt G, Borggrefe M, Martinez-Rubio A, Budde T. Pathophysiological mechanisms of ventricular tachyarrhythmias. Eur Heart J. 1989;10(Suppl. E):9-18. doi: 10.1093/eurheartj/10.suppl_e.9
- Castellanos A Jr, Lemberg L, Arcebal AG. Mechanisms of slow ventricular tachycardias in acute myocardial infarction. Dis Chest. 1969;56(6):470-6. doi: 10.1378/chest.56.6.470
- Schmidt A, Azevedo CF, Cheng A, et al. Infarct tissue heterogeneity by magnetic resonance imaging identifies enhanced cardiac arrhythmia susceptibility in patients with left ventricular dysfunction. Circulation. 2007;115(15):2006-14. doi: 10.1161/CIRCULATIONAHA.106.653568
- Abbas A, Matthews GH, Brown IW, et al. Cardiac MR assessment of microvascular obstruction. Br J Radiol. 2015;88(1047):20140470. doi: 10.1259/bjr.20140470
- Bulluck H, Rosmini S, Abdel-Gadir A, et al. Diagnostic performance of T1and T2mapping to detect intra myocardial hemorrhage in reperfused ST segment elevation myocardial infarction (STEMI) patients. J Magn Reson Imaging. 2017;46:877-86. doi: 10.1002/jmri.25638
Supplementary files








