AL-амилоидоз с преимущественным поражением сердца. Алгоритм неинвазивной диагностики амилоидной кардиомиопатии
- Авторы: Гудкова А.Я.1,2, Лапекин С.В.1, Бежанишвили Т.Г.1, Трукшина М.А.2, Давыдова В.Г.2, Крутиков А.Н.1,2, Куликов А.Н.1,3, Стрельцова А.А.2, Андреева С.Е.1, Грозов Р.В.2, Полякова А.А.1,2, Костарева А.А.2, Салогуб Г.Н.1,2, Шляхто Е.В.1,2
-
Учреждения:
- ФГБОУ ВО «Первый Санкт-Петербургский государственный медицинский университет им. акад. И.П. Павлова» Минздрава России
- ФГБУ «Национальный медицинский исследовательский центр им. В.А. Алмазова» Минздрава России
- ФГБВОУ ВО «Военно-медицинская академия им. С.М. Кирова» Минобороны России
- Выпуск: Том 93, № 4 (2021)
- Страницы: 487-496
- Раздел: Обзоры
- Статья получена: 03.06.2021
- Статья одобрена: 03.06.2021
- Статья опубликована: 15.04.2021
- URL: https://ter-arkhiv.ru/0040-3660/article/view/71263
- DOI: https://doi.org/10.26442/00403660.2021.04.200689
- ID: 71263
Цитировать
Полный текст
Аннотация
Приводятся сведения литературы и описание клинического течения заболевания при изолированном/преимущественном поражении сердца амилоидозом. Амилоидная кардиомиопатия является самой распространенной фенокопией гипертрофической кардиомиопатии. Подробно изложены современные возможности остеосцинтиграфии при проведении дифференциального диагноза между амилоидной кардиомиопатией, вызванной AL-амилоидозом, и транстиретиновым амилоидозом.
Ключевые слова
Полный текст
К амилоидозу сердца приводит гетерогенная группа заболеваний, характеризующихся структурно-функциональными нарушениями сердца вследствие отложения во внеклеточном матриксе аномального фибриллярного белка (амилоида). К амилоидным кардиомиопатиям (фенокопиям гипертрофической кардиомиопатии – ГКМП) наиболее часто приводят AL-амилоидоз, а также наследственные и ненаследственные формы транстиретинового амилоидоза [1, 2]. Самой распространенной формой системного амилоидоза на протяжении многих десятилетий является AL-амилоидоз, на долю которого приходится около 67–68% всех случаев [1]. AL-амилоидоз встречается c частотой от 5 до 12 человек на 1 млн в год [3].
Поражение сердца при AL-амилоидозе варьируется от 50 до 90% случаев [4, 5] и, как правило, приводит к прогрессированию хронической сердечной недостаточности (ХСН). Чем ярче и многочисленнее внесердечные проявления и лабораторные признаки плазмоклеточной дискразии при AL-амилоидозе, тем короче путь к диагнозу [4, 5]. Наибольшие трудности диагностики до сегодняшнего дня возникают при «изолированном/преимущественном» поражении сердца при AL-амилоидозе, которое встречается у 5% больных [1, 6].
Приводим описание клинического случая.
Пациент – мужчина 59 лет.
История заболевания. Более 20 лет – анамнез гипертонической болезни, корригируемой, с редкими подъемами артериального давления (АД) до 170/90 мм рт. ст. (максимальное), «рабочее» 130/80 мм рт. ст. В последний год отметил уменьшение потребности в гипотензивной терапии для достижения целевых значений АД. На фоне настоящего ухудшения наблюдается нормотония, без гипотензивной терапии.
Ранее в течение 3 лет наблюдались редкие приступы давящих болей за грудиной при физической нагрузке (ФН), самостоятельно купирующиеся в покое. В июне 2018 г. больной госпитализирован в связи c клиникой острого коронарного синдрома (ОКС).
На коронароангиографии (КАГ) выявлен стеноз передней межжелудочковой артерии (ПМЖА) 80% и огибающей артерии (ОА) 70%. Выполнено стентирование ОА (1DES), ПМЖА (1BMS). На контрольной КАГ: области стентирования без признаков диссекций и тромбоза, кровоток по ОА и ветвям удовлетворительный, кровоток по ПМЖА, а также ее ветвям удовлетворительный.
На фоне терапии состояние пациента стабилизировалось. Через 3–4 мес (сентябрь 2018 г.) – повторное ухудшение: появление и прогрессирование одышки, быстрое снижение толерантности к ФН, эпизоды удушья в ночное время, отеки нижних конечностей.
Больной направлен на консультацию в ФГБОУ ВО «ПСПбГМУ им. акад. И.П. Павлова».
Жалобы:
- одышка при минимальной ФН;
- редкие приступы давящих болей за грудиной при ФН, самостоятельно купирующиеся в покое;
- общая слабость, потеря массы тела (3 кг) при сохраненном аппетите.
Объективно. Состояние относительно удовлетворительное. Нормотония (АД 120 и 80 мм рт. ст.), при переходе из вертикального положения в горизонтальное (на 1-й минуте 110/80, на 3-й минуте 105/75), пульс ритмичный, симметричный, удовлетворительного наполнения, 78 уд/мин. Проявления сердечной недостаточности (легкий цианоз губ, дыхание жесткое, гипостатические влажные храпы в нижних отделах обоих легких. Печень выступает из-под края реберной дуги на 2 см. Легкая пастозность стоп).
Выполнено (электрокардиография – ЭКГ, суточное мониторирование ЭКГ, трансторакальная эхокардиография – ЭхоКГ)
ЭКГ: ритм синусовый, правильный. Низковольтажный характер ЭКГ (без динамики по сравнению с 06.2018). Признаки блокады передневерхнего разветвления левой ножки пучка Гиса. Атриовентрикулярная (АВ)-проводимость на верхней границе нормы.
Признаки увеличения левого (ЛП) и правого предсердия (ПП). Косвенные признаки гипертрофии левого (ЛЖ) и правого желудочка (ПЖ). Ненарастание зубца R в отведениях V1, V2, V3. Изменения процессов реполяризации в области переднебоковой стенки ЛЖ (-), зубцы Т в отведениях I, avL и (-+) V5–6; рис. 1.
Рис. 1. ЭКГ больного 60 лет с AL-амилоидозом с преимущественным поражением сердца, лямбда-вариант
Данные ЭхоКГ представлены в табл. 1 и на рис. 2–5.
Таблица 1. Динамика ЭхоКГ-показателей за период наблюдения
Показатели | 29.06.2018 | 10.08.2018 | 17.11.2018 |
Толщина МЖП, мм | 24 | 24 | 24 |
Толщина ЗСЛЖ, мм | 18 | 18 | 24 |
КДР ЛЖ, мм | 51 | 49 | 49 |
Индекс КДР ЛЖ, мм/м2 | 25,4 (N 2,2–3,0) | 24,4 | 24,4 |
ЛП, мм | 56 | 56 | 60 |
ПП, мм | 55×51 | 43×52 | 54×52 |
Индекс ПП, мл | 60 | 63 | 63 |
ПЖ, мм | 43 (N до 40) | 45 | 47 |
ПСПЖ, мм | 4 | 10 | 11 |
Индекс массы миокарда ЛЖ, г/м2 | 261 | 289 | 298 |
ФВ, % | 47 | 33 | 28 |
СДЛА, мм рт. ст. | 44 | 55 | 57 |
Кинетика миокарда ЛЖ | Диффузная гипокинезия | Диффузная гипокинезия | Диффузная гипокинезия |
Диастолическая дисфункция | Рестриктивный тип наполнения ЛЖ | Рестриктивный тип наполнения ЛЖ | Рестриктивный тип наполнения ЛЖ |
Жидкость в полости перикарда | Небольшое количество | Небольшое количество | Небольшое количество |
Примечание. КДР – конечно-диастолический размер, СДЛА – сердечное давление в легочной артерии.
Рис. 2. ЭхоКГ пациента (парастернальная длинная ось ЛЖ и апикальное 4-камерное изображение)
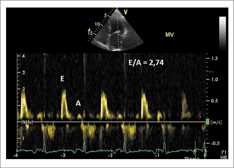
Рис. 3. Допплерограмма трансмитрального кровотока (Е – скорость раннего наполнения ЛЖ; А – скорость наполнения ЛЖ в фазу систолы предсердий). Паттерн свидетельствует о рестриктивном типе наполнения ЛЖ (Е/А>2), т.е. повышено давление в ЛП
Рис. 4. Тканевая допплерограмма латеральной части митрального кольца (s’, e’, a’ – скорости движения кольца митрального клапана в фазы систолы ЛЖ, раннего наполнения ЛЖ и систолы предсердий соответственно)
Рис. 5. Показатели продольной деформации на 17-сегментной схеме ЛЖ
Как представлено в табл. 1 и на рис. 2, при ЭхоКГ-исследовании обнаружено:
- гипертрофия миокарда ЛЖ и ПЖ, индекс массы миокарда ЛЖ 261 г/м2, толщина межжелудочковой перегородки (МЖП) 24 мм, толщина задней стенки ЛЖ (ЗСЛЖ) 18 мм → 24 мм, МЖП/ЗСЛЖ 1,33–1,0, что соответствует ГКМП-фенотипу. Размер полости ЛЖ не увеличен. Дилатация обоих предсердий (предсердно-желудочковое отношение 1,09–1,22), что соответствует осложненному ремоделированию, смешанный фенотип (ГКМП + рестриктивная кардиомиопатия – РКМП);
- прогрессирующая систолическая дисфункция ЛЖ (фракция выброса – ФВ ЛЖ: 47%→33%→28%). МЖП обращена выпуклостью в сторону ЛЖ. Нарастание толщины передней стенки ПЖ – ПСПЖ (4 мм → 10 мм → 11 мм). Расчетное систолическое давление в легочной артерии умеренно повышено (55–57 мм рт. ст.). Дилатация ПЖ. Выявлено небольшое количество свободной жидкости в полости перикарда;
- митральная и трикуспидальная регургитация 1–2 степени, незначительная приклапанная аортальная регургитация;
- выраженная диастолическая дисфункция ЛЖ: рестриктивный тип наполнения ЛЖ (повышено конечно-диастолическое давление ЛЖ), Е/e’=35; максимальная скорость трикуспидальной регургитации 3,2 м/с (см. рис. 3, 4).
Резко снижена систолическая скорость движения кольца митрального клапана, низкие показатели деформации ЛЖ (средний 2D-strain=-4,4%, в большей степени нарушение кинетики задней, боковой и передней стенок ЛЖ, в меньшей степени снижены показатели деформации верхушки ЛЖ). Систолическая дисфункция ПЖ: TAPSE – 16 мм, TAVS – 7–8 см/с.
При суточном мониторировании ЭКГ:
- Синусовый ритм со средней частотой сердечных сокращений (ЧСС) 79 уд/мин (от 68 до 107).
- Желудочковая эктопическая активность 5 градации по Ryan в виде парных и групповых экстрасистол и пароксизмов желудочковой мономорфной тахикардии с ЧСС до 135 уд/мин общей длительностью 6 с.
- Наджелудочковая эктопическая активность в виде одиночных, парных и групповых экстрасистол, пароксизмов предсердной тахикардии, 1 эпизод комбинации желудочковых и наджелудочковых экстрасистол (4 комплекса). Зарегистрировано удлинение корригированного QT-интервала до 488 мс в течение 437 мин, что может являться прогностически неблагоприятным признаком у пациентов с сердечной недостаточностью.
- АВ-блокада 2-й степени 2-го типа (Мобитц 2), паузы 2,2 с, не сопровождавшиеся обмороком Морганьи–Эдемса–Стокса (МЭС) (-).
Таким образом, у больного с длительным анамнезом корригируемой АГ и адекватной приверженностью терапии, ишемической болезнью сердца (ИБС), перенесшего ОКС, выявлены синдром быстропрогрессирующей бивентрикулярной ХСН, опасные для жизни желудочковые нарушения сердечного ритма и проводимости. Важно отметить наличие у пациента смешанного фенотипа ГКМП+РКМП, диастолической дисфункции ЛЖ (рестриктивный тип наполнения ЛЖ) и низковольтажной ЭКГ.
Дифференциальная диагностика проводилась между несемейной, необструктивной ГКМП и фенокопиями ГКМП, в первую очередь поражением сердца при различных формах амилоидоза.
Шаг №1. На основании анализа особенностей клинического течения заболевания, данных ЭКГ и трансторакальной ЭхоКГ можно сделать следующие выводы:
- Прогрессирующая бивентрикулярная сердечная недостаточность с ФВ ЛЖ<50% в отсутствие дилатационной фазы нетипична для ГКМП – болезни саркомера.
- Прогрессирующее увеличение толщины ЗСЛЖ и ПСПЖ, смешанный фенотип (ГКМП+РКМП) характеризуют особенности ремоделирования сердца при инфильтративных заболеваниях миокарда и болезнях накопления.
- Комбинация 2 признаков – низкий вольтаж QRS на ЭКГ + увеличение толщины стенок ЛЖ≥12 мм по данным ЭхоКГ указывает на принадлежность пациента к когорте риска амилоидной кардиомиопатии (чувствительность 75%, специфичность 67%) [4, 5].
- Для ГКМП не характерен паттерн деформации ЛЖ (2D-strain), выявленный у пациента при ЭхоКГ.
- Для амилоидоза характерно снижение продольной деформации в базальных и срединных сегментах ЛЖ при относительной сохранности верхушки, что имеет место у данного пациента и представлено на рис. 5.
Значительное снижение продольной деформации, в большей степени задней, боковой и передней стенок ЛЖ. При ГКМП деформация снижена в максимально гипертрофированных сегментах, у пациента – в менее гипертрофированных.
Шаг №2. Для подтверждения амилоидоза «золотым стандартом» является биопсия клинически пораженного органа (сердце, почки). Однако в связи с инвазивностью процедуры в качестве альтернативы может использоваться биопсия подкожного жира передней брюшной стенки [7, 8].
Результаты морфологического исследования подкожно-жировой клетчатки представлены на рис. 6.
Рис. 6. Результаты морфологического исследования
Вокруг микрососудов в стенке артерий имеют место гомогенные эозинофильные массы, окрашиваемые конго-красным в красно-кирпичный цвет, в поляризованном свете – зеленое свечение (эффект двойного лучепреломления), что свидетельствует об отложении масс амилоида. При иммуногистохимическом исследовании обнаружена экспрессия лямбда-подтипа легких цепей иммуноглобулинов с рестрикцией каппа-цепи (см. рис. 6, в, г).
С целью исключения множественной миеломы проведено дополнительное обследование [9].
Амилоидогенный белок при AL-амилоидозе представляет собой легкую цепь иммуноглобулинов или фрагмент легкой цепи, который продуцируется клональной популяцией плазматических клеток в костном мозге или при моноклональной гаммапатии неопределенного значения (MGUS) или в связи с множественной миеломой (приблизительно у 10–15% пациентов). Соотношение каппа к лямбда варьируется от 0,26 до 1,65. Если этот показатель превышает 1,65, предполагается избыток каппа-цепей, а при соотношении менее 0,26 – избыток лямбда-цепей [6].
При постановке диагноза AL-амилоидоза обращают внимание на изменение лабораторных показателей, характеризующих плазмоклеточную дискразию:
- наличие моноклонального белка (иммуноглобулин/легкая цепь) в сыворотке крови/моче, определяемого методом капиллярного электрофореза/иммунофиксации;
- повышение концентрации одной из свободных легких цепей иммуноглобулинов (вовлеченная цепь) в сыворотке крови и/или моче (нефелометрический метод, FreeliteTM, Бирмингем, Великобритания) с нарушением их нормального соотношения κ/λ;
- увеличение количества плазматичесих клеток в миелограмме (обычно от 5 до 10% по данным аспирационной биопсии).
Оценка уровня свободных легких цепей иммуноглобулинов каппа и лямбда в сыворотке крови и моче подтвердила повышенное содержание легких цепей лямбда как основу для формирования амилоида (табл. 2).
Таблица 2. Результаты определения свободных легких цепей иммуноглобулинов в сыворотке крови и моче
Свободные легкие цепи каппа и лямбда-цепи иммуноглобулинов в сыворотке крови | Свободные легкие цепи каппа и лямбда-цепи иммуноглобулинов в моче |
Каппа-цепи 4,52 мкг/мл (3,25–15,81) | Каппа-цепи 0,44 мкг/мл (0,4–20) |
Лямбда-цепи 342,70 мкг/мл (3,23–28,05) | Лямбда-цепи 0,12 мкг/мл (0,3–5,0) |
Соотношение κ/λ 0,013. Отмечена моноклональная продукция свободной цепи λ с нарушением соотношения κ/λ | |
Повышенный уровень легких цепей лямбда в сочетании с уровнем тропонина и натрийуретического пептида позволяет отнести пациента к группе высокого прогностического риска (табл. 3).
Таблица 3. Результаты определения креатина, СКФ, сердечного тропонина и содержания белка в моче. Динамика лабораторных показателей
17.11.2018 | 20.11.2018 | 21.11.2018 | 27.11.2018 | |
Креатинин, мкмоль/л | 109,0 | 96,0 | 91,0 | - |
СКФ (CKD-EPI), мл/мин/1,73 м2 | 63 | 74 | 79 | - |
Протеинурия (по ОАМ), г/л | 0,10 | - | 0,25 | - |
Сердечный тропонин, нг/мл | 0,26 | 0,33 | 0,60 | 0,24 |
Гемоглобин, г/л | 151,7 | 148,6 | 141,2 | 151,0 |
NT-proBNP, пг/мл | 2500 | - | - | - |
Изменений в общем анализе мочи (ОАМ) не выявлено. Уровень креатинина 107,6 мкмоль/л, суточная микроальбуминурия 2,4 мг/сут. Скорость клубочковой фильтрации (СКФ) незначительно снижена – 64 мл/мин/1,73 м2 (CKD-EPI), что свидетельствует о хронической болезни почек С2А1, которую можно объяснить наличием у пациента гипертонической болезни и сахарного диабета, хронического пиелонефрита. Не получено данных в пользу поражения печени и других органов амилоидозом.
По данным миелограммы (аспирационная биопсия костного мозга) количество плазматических клеток в костном мозге не превышало 10% (6,3%).
У пациента отсутствовали типичные внесердечные проявления системного амилоидоза, такие как: периорбитальная пурпура (15%), макроглоссия (отмечается у 9–20% больных), ногтевая дистрофия, туннельный карпальный синдром (отмечается у 21% больных) и др. [1]. Не складывается впечатления о поражении почек как критерия CRAB [9].
С целью исключения поражения костей при множественной миеломе проведена комбинированная позитронно-эмиссионная и рентгеновская компьютерная томография всего тела с фтордезоксиглюкозой: признаков костного деструктивного синдрома, а также патологического накопления радиофармпрепарата (РФП) в зоне исследования не выявлено. Аденопатия лимфоузлов средостения с низкой метаболической активностью. Уровень ионизированного Са – 1,17 ммоль/л в пределах референтных значений (1,16–1,32 ммоль/л).
Таким образом, данных в пользу множественной миеломы не получено. При этом значительное повышение уровня одной из легких цепей иммуноглобулинов (лямбда), а также ее доминирование при иммуногистохимическом исследовании биоптата подкожного жира передней брюшной стенки свидетельствует о развитии у пациента AL-амилоидоза. Подозрение на вовлечение в патологический процесс сердца сформулировано на основании особенностей клинического течения и анализа ЭКГ, ЭхоКГ, тканевой допплерографии.
Шаг №3. Важность своевременной постановки этиологического диагноза амилоидоза (AL vs ATTR) определяется принципиально разными подходами к терапии, тем более что в настоящее время существует ряд новых эффективных препаратов для лечения и того, и другого типа амилоидоза [10, 11]. При секвенировании гена транстиретина мутаций не обнаружено.
Согласно рекомендациям Европейского общества кардиологов (2014 г.) по ГКМП для пациентов, имеющих симптомы, признаки и неинвазивные маркеры амилоидоза, рекомендовано проведение остеосцинтиграфии (ОСГ) с биcфосфонатами.
ОСГ позволяет дифференцировать AL- и ТТ-амилоидоз по интенсивности поглощения миокардом РФП (99mTc-пирофосфат и 99mTc-DPD; класс IIа, уровень доказательности В) [12]. Более выраженный захват РФП наблюдается при ТТР-амилоидозе, более слабый – при AL-амилоидозе. Кроме того показано, что при неамилоидных формах кардиомиопатий захват РФП миокардом отсутствует [13–15].
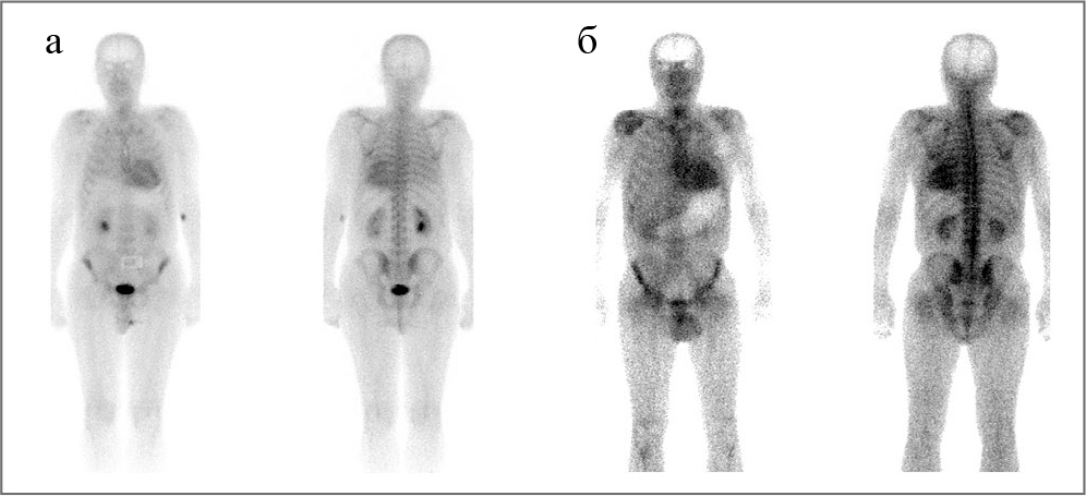
Проведена статическая полипозиционная ОСГ с 99mTc-фосфотех (этидроновая кислота; «НПО Диамед», Москва) костей скелета в режиме «все тело» – очаги патологической фиксации РФП у пациента не выявлены. В проекции миокарда ЛЖ определяется среднеинтенсивное накопление РФП, что может свидетельствовать о наличии амилоидных отложений в миокарде (рис. 7, а).
Для сравнения приведены данные статической полипозиционной сцинтиграфии костей скелета в режиме «все тело» больного 60 лет с доказанным ATTR-амилоидозом, опубликованные нами ранее [16]. Индекс сердце/контрлатеральная область ˃1,5 характерен для транстиретинового амилоидоза, соответственно ˂1,5 – для AL-амилоидоза, что продемонстрировано на рис. 7.
Рис. 7. Результаты ОСГ пациента: изолированный кардиальный AL-амилоидоз (а) и при генетически обусловленном не-V30M-транстиретиновом амилоидозе (б); больной с AL-амилоидозом с преимущественным поражением сердца; а – коэффициент дифференциального накопления 1:1,43); б – больной с не-V30M ATTR с преимущественным поражением сердца. Коэффициент дифференциального накопления 1:1,99 [8, 9]
Таким образом, результаты обследования больного свидетельствуют в пользу диагноза:
AL-амилоидоз с преимущественным поражением сердца.
Сопутствующая патология: ИБС: стенокардия напряжения II функционального класса (ФК). ОКС (2018 г.). КАГ со стентированием ОА и ПМЖА. Гипертоническая болезнь III стадии, риск сердечно-сосудистых осложнений 4.
Осложнения: ХСН III ФК, 2б стадия. АВ-блокада 2-й степени 2-го типа (Мобитц 2). Желудочковые нарушения сердечного ритма V градации по Lown, MЭС (-).
Важность отбора пациентов с AL-амилоидозом для проведения этиопатогенетического лечения диктуется более высоким уровнем посттрансплантационной смертности по сравнению с пациентами с миеломой (до 12–40% против 5% по данным различных авторов). Необходимо соблюдать баланс между эффективностью выбранного режима и способностью пациента перенести его токсичность [17–20].
S. Kumar и соавт. (2012 г.) показана прогностическая значимость еще одного показателя – разности между вовлеченными и невовлеченными легкими цепями (dFLC≥180 мг/л) [21], на основании чего создана и валидирована новая прогностическая модель, где каждый показатель оценивается в 1 балл: сTnT≥0,025 нг/мл, мозговой натрийуретический пептид (NT-proBNP) ≥1800 пг/мл, dFLC≥180 мг/дл [21].
Выделено 4 стадии (I, II, III, IV) в зависимости от количества баллов (табл. 4, 5).
Таблица 4. Балльный метод оценки лабораторных показателей
Характеристика | Баллы |
Разница между вовлеченными и невовлеченными свободными легкими цепями иммуноглобулинов (dFLC)≥180 мг/л | 1 |
Сердечный тропонин (cTnT)˃0,025 | 1 |
NT-proBNP ˃1800 пг/мл | 1 |
Таблица 5. Стадии AL-амилоидоза и медиана выживаемости (адаптировано [21])
Стадия | Баллы | % пациентов | Медиана общей выживаемости, мес |
I (0 баллов) | 0 | 25 | 94,1 |
II (1 балл) | 1 | 27 | 40,3 |
III (2 балла) | 2 | 25 | 14 |
IV (3 балла) | 3 | 23 | 5,8 |
К определяющим критериям относятся: физиологический возраст менее 70 лет (пациенту 59 лет), общесоматический статус ХСН≤II ФК (шкала Нью-Йоркской ассоциации сердца – NYHA), у пациента тяжесть ХСН на фоне проводимой терапии соответствует III ФК (NYHA), уровень сердечного тропонина Т<0,06 нг/мл (уровень сердечного тропонина варьируется от 0,24 до 0,6 нг/мл), систолическое АД более 90 мм рт. ст. (у пациента АД 120–110/80), клиренс креатинина ≥30 мл/мин/1,73 м2 (у пациента СКФ – CKD-EPI – варьируется от 63 до 79 мл/мин/1,73 м2), а также менее чем 3 органа значительного поражения [22]. Наилучшие результаты достигаются у пациентов группы низкого риска [21], к которым относятся 15–20% пациентов [23]. Пациент не относится к группе низкого риска, которым показана аутологичная трансплантация стволовых периферических клеток крови. Ожидаемая медиана продолжительности жизни нашего пациента составляет 5,8 мес. Для сравнения, по данным S. Dubrey и соавт., медиана выживаемости пациентов после постановки диагноза в среднем составляла 1,08 года (0,83–1,25) [5]. Наш пациент относится к пациентам высокого риска (IV стадия).
Несмотря на высокий риск неблагоприятного исхода, принято решение о проведении терапии, однако до начала терапии наступила внезапная сердечная смерть (ВСС).
Заключение
Изолированное/преимущественное поражение сердца амилоидозом до настоящего времени остается недооцененной причиной ХСН. Диагноз амилоидоза сердца должен быть исключен у всех пациентов с быстропрогрессирующей сердечной недостаточностью с изначальной сохранной далее сниженной ФВ ЛЖ, ассоциированной с осложненным ремоделированием (ГКМП+РКМП). По нашим данным и исследованиям других авторов показано, что до верификации диагноза больные наблюдаются под кодами других заболеваний (ИБС, миоперикардит, различные идиопатические кардиомиопатии), обращаются к пяти и более врачам [24, 25]. За последние 10 лет отмечается рост публикаций, посвященных описанию отдельных пациентов с амилоидной кардиомиопатией (рис. 8).
Рис. 8. Количество описанных клинических случаев поражения сердца при AL-амилоидозе в России по данным E-library за последние 10 лет
Практически все авторы описывают клинический статус пациента с амилоидной кардиомиопатией на далеко зашедшей стадии заболевания [26–29] либо случаи посмертной диагностики AL-амилоидоза с преимущественным поражением сердца [30, 31].
В работе В.В. Рамеева и соавт. (2019 г.) показано, что у пациентов с AL-амилоидозом наиболее неблагоприятное влияние на течение заболевания и риск летального исхода оказывали ХСН и ортостатическая гипотензия, а также основные структурно-функциональные параметры миокарда: толщина миокарда >14 мм, рестриктивный тип наполнения ЛЖ, снижение сократимости миокарда [32]. По нашим данным [25, 31] и сведениям литературы [32], наиболее агрессивные темпы прогрессирования неблагоприятного варианта ремоделирования (англ. adverse remodeling) характерны для поражения сердца при AL-амилоидозе.
Согласно рекомендациям экспертов (2019 г.) серьезным вызовом для клиницистов является создание алгоритма действий врача, которые приведут к выявлению амилоидных кардиомиопатий при транстиретиновом (mt wt) и AL-амилоидозе на более ранних сроках (рис. 9).
Рис. 9. Алгоритм выявления амилоидных кардиомиопатий (адаптировано [33])
В первую очередь это относится к случаям «изолированного/преимущественного» поражения сердца амилоидозом. При AL-амилоидозе промежуток времени между выявлением «беспричинной гипертрофии ЛЖ» и продвинутой стадией заболевания, характеризующейся смешанным фенотипом (ГКМП+РКМП), тяжелой сердечной недостаточностью, опасными для жизни желудочковыми нарушения ритма и проводимости, так называемое «окно возможностей», может составлять от 3 до 6 мес. Без лечения от появления первых симптомов поражения сердца (часто недиагностируемых) до летального исхода при AL-амилоидозе проходит от 6–12 мес. Риск ВСС увеличивается в зависимости от стадии заболевания. Имплантация кардиовертера-дефибриллятора пациентам с амилоидозом сердца менее эффективна, и влияние на долгосрочный прогноз, в отличие от ГКМП – болезни саркомера, не доказано [34]. Описаны случаи электромеханической диссоциации как причины ВСС при амилоидных кардиомиопатиях у пациентов с имплантированным кардиовертером-дефибриллятором [35]. Наличие у нашего пациента коронарной болезни сердца являлось дополнительным негативным фактором, утяжеляющим течение и прогноз заболевания. Необходимо учитывать, что при AL-амилоидозе с поражением сердца возможно также наличие выраженной ишемии миокарда и инфаркта миокарда, обусловленных обструктивным поражением интрамуральных коронарных артерий [36]. Набор фармакологических препаратов ограничен мочегонными. β-Адреноблокаторы не рекомендуются для долгосрочной терапии и могут усугубить симптоматику из-за относительно быстрого развития проаритмогенных побочных эффектов и прогрессирования ХСН. Из-за выраженного увеличения жесткости ЛЖ резерв увеличения ударного объема (УО) при нагрузке крайне мал, поэтому сердечный выброс при амилоидозе зависит от ЧСС. Снижение ЧСС на фоне терапии β-адреноблокаторами приводит к снижению сердечного выброса и нарастанию ХСН [36, 37]. Внезапная сердечная смерть и застойная сердечная недостаточность являются наиболее частыми причинами смерти.
Однако при ранней диагностике современная медицина в состоянии помочь и продлить жизнь пациентам на годы.
Каждый шаг в патогенезе AL-амилоидоза, начиная от продукции белка-предшественника и заканчивая формированием амилоидных отложений, может быть точкой приложения для терапии. На протяжении последних десятилетий основной целью терапии является подавление клональной продукции легких цепей иммуноглобулинов плазматическими клетками, являющимися субстратом для формирования данного вида амилоидоза. С этой целью могут быть использованы препараты, зарегистрированные для лечения множественной миеломы. Наиболее эффективными признаны химиотерапевтические режимы на основе протеосомного ингибитора I поколения бортезомиба (комбинации с глюкокортикостероидами, Циклофосфаном/мелфаланом) [17–20], позволяющие достигать гематологического ответа у 24–65% больных, что может способствовать снижению темпов прогрессии органных дисфункций [21]. Терапия на основе иммуномодулирующего препарата леналидомид не продемонстрировала высокой эффективности (гематологический ответ у 8–25% больных). Важно отметить необходимость проведения высокодозной химиотерапии мелфаланом в дозе 140–200 мг/м2 с последующей аутологичной трансплантацией стволовых периферических клеток крови в 1-й линии терапии у пациентов, удовлетворяющих критериям возможности проведения данной процедуры [22]. Важность отбора пациентов диктуется более высоким уровнем посттрансплантационной смертности по сравнению с пациентами с миеломой (до 12–40% против 5% по данным различных авторов) [23].
Внедрение ОСГ в кардиологическую клиническую практику существенно увеличивает возможности неинвазивной диагностики поражения сердца различными формами амилоидоза. Возможно, это позволит сократить время до постановки диагноза, способствовать своевременному началу этиопатогенетического лечения и, следовательно, сделать первые шаги к улучшению прогноза.
Работа выполнена в рамках Государственного задания Минздрава России по теме: «Молекулярно-генетические предикторы и морфо-функциональные фенотипы сердечной недостаточности с сохраненной фракцией выброса левого желудочка при кардиомиопатиях различного генеза», № госрегистрации АААА-А18-118070690073-2.
The study is preformed within the Governmental Task force of the Ministry of Health of the Russian Federation “Molecular and genetic predictors and morphological and functional phenotypes of heart failure with preserved left ventricular ejection fraction in various cardiomyopathies” № АААА-А18-118070690073-2.
Авторы заявляют об отсутствии конфликта интересов.
Список сокращений
АВ – атриовентрикулярный АД – артериальное давление ВСС – внезапная сердечная смерть ГКМП – гипертрофическая кардиомиопатия ЗСЛЖ – задняя стенка левого желудочка ИБС – ишемическая болезнь сердца КАГ – коронароангиография ЛЖ – левый желудочек ЛП – левое предсердие МЖП – межжелудочковая перегородка ОА – огибающая артерия ОКС – острый коронарный синдром ОСГ – остеосцинтиграфия ПЖ – правый желудочек | ПМЖА – передняя межжелудочковая артерия ПП – правое предсердие ПСПЖ – передняя стенка правого желудочка РКМП – рестриктивная кардиомиопатия РФП – радиофармпрепарат СКФ – cкорость клубочковой фильтрации ФВ – фракция выброса ФК – функциональный класс ФН – физическая нагрузка ХСН – хроническая сердечная недостаточность ЧСС – частота сердечных сокращений ЭКГ – электрокардиография ЭхоКГ – эхокардиография NT-proBNP – мозговой натрийуретический пептид |
Об авторах
Александра Яковлевна Гудкова
ФГБОУ ВО «Первый Санкт-Петербургский государственный медицинский университет им. акад. И.П. Павлова» Минздрава России; ФГБУ «Национальный медицинский исследовательский центр им. В.А. Алмазова» Минздрава России
Автор, ответственный за переписку.
Email: alexagood-1954@mail.ru
ORCID iD: 0000-0003-0156-8821
д.м.н., зав. лаб. кардиомиопатий НИИ сердечно-сосудистых заболеваний НКИЦ, проф. каф. факультетской терапии ФГБОУ ВО «ПСПбГМУ им. акад. И.П. Павлова», вед. науч. сотр. Института молекулярной биологии и генетики ФГБУ «НМИЦ им. В.А. Алмазова»
Россия, Санкт-ПетербургСергей Владимирович Лапекин
ФГБОУ ВО «Первый Санкт-Петербургский государственный медицинский университет им. акад. И.П. Павлова» Минздрава России
Email: alexagood-1954@mail.ru
ORCID iD: 0000-0003-4437-6969
врач высшей категории отд-ния радиологии
Россия, Санкт-ПетербургТинатин Гелаевна Бежанишвили
ФГБОУ ВО «Первый Санкт-Петербургский государственный медицинский университет им. акад. И.П. Павлова» Минздрава России
Email: alexagood-1954@mail.ru
ORCID iD: 0000-0002-3167-6340
мл. науч. сотр. лаб. кардиомиопатий НИИ сердечно-сосудистых заболеваний НКИЦ, ассистент каф. факультетской терапии
Россия, Санкт-ПетербургМария Александровна Трукшина
ФГБУ «Национальный медицинский исследовательский центр им. В.А. Алмазова» Минздрава России
Email: alexagood-1954@mail.ru
ORCID iD: 0000-0003-3597-6794
вед. науч. сотр. НИО сердечной недостаточности
Россия, Санкт-ПетербургВиктория Германовна Давыдова
ФГБУ «Национальный медицинский исследовательский центр им. В.А. Алмазова» Минздрава России
Email: alexagood-1954@mail.ru
ORCID iD: 0000-0002-0233-5555
аспирант
Россия, Санкт-ПетербургАлександр Николаевич Крутиков
ФГБОУ ВО «Первый Санкт-Петербургский государственный медицинский университет им. акад. И.П. Павлова» Минздрава России; ФГБУ «Национальный медицинский исследовательский центр им. В.А. Алмазова» Минздрава России
Email: alexagood-1954@mail.ru
ORCID iD: 0000-0001-6897-6171
к.м.н., вед. науч. сотр. НИО инфильтративных заболеваний сердца Института молекулярной биологии и генетики ФГБУ «НМИЦ им. В.А. Алмазова», м.н.с. лаб. кардиомиопатий НИИ сердечно-сосудистых заболеваний НКИЦ ФГБОУ ВО «ПСПбГМУ им. акад. И.П. Павлова»
Россия, Санкт-ПетербургАлександр Николаевич Куликов
ФГБОУ ВО «Первый Санкт-Петербургский государственный медицинский университет им. акад. И.П. Павлова» Минздрава России; ФГБВОУ ВО «Военно-медицинская академия им. С.М. Кирова» Минобороны России
Email: alexagood-1954@mail.ru
ORCID iD: 0000-0002-4544-2967
д.м.н., рук. отд. клинической физиологии и функциональной диагностики, зам. глав. врача по медицинской части (по терапии) ФГБОУ ВО «ПСПбГМУ им. акад. И.П. Павлова», проф. каф. пропедевтики внутренних болезней ФГБВОУ ВО «ВМА им. С.М. Кирова»
Россия, Санкт-ПетербургАнна Алексеевна Стрельцова
ФГБУ «Национальный медицинский исследовательский центр им. В.А. Алмазова» Минздрава России
Email: alexagood-1954@mail.ru
ORCID iD: 0000-0002-2766-8946
врач ультразвуковой диагностики
Россия, Санкт-ПетербургСофия Евгеньевна Андреева
ФГБОУ ВО «Первый Санкт-Петербургский государственный медицинский университет им. акад. И.П. Павлова» Минздрава России
Email: alexagood-1954@mail.ru
ORCID iD: 0000-0001-7306-9525
студент лечебного фак-та
Россия, Санкт-ПетербургРоман Викторович Грозов
ФГБУ «Национальный медицинский исследовательский центр им. В.А. Алмазова» Минздрава России
Email: alexagood-1954@mail.ru
ORCID iD: 0000-0001-8016-7692
к.м.н., врач-патологоанатом, зав. патологоанатомическим отд.
Россия, Санкт-ПетербургАнжелика Александровна Полякова
ФГБОУ ВО «Первый Санкт-Петербургский государственный медицинский университет им. акад. И.П. Павлова» Минздрава России; ФГБУ «Национальный медицинский исследовательский центр им. В.А. Алмазова» Минздрава России
Email: alexagood-1954@mail.ru
ORCID iD: 0000-0002-6655-5274
к.м.н., врач-кардиолог, м.н.с. лаб. кардиомиопатий НИИ сердечно-сосудистых заболеваний НКИЦ, ассистент каф. факультетской терапии
Россия, Санкт-ПетербургАнна Александровна Костарева
ФГБУ «Национальный медицинский исследовательский центр им. В.А. Алмазова» Минздрава России
Email: alexagood-1954@mail.ru
ORCID iD: 0000-0002-9349-6257
к.м.н., дир. Института молекулярной биологии и генетики
Россия, Санкт-ПетербургГалина Николаевна Салогуб
ФГБОУ ВО «Первый Санкт-Петербургский государственный медицинский университет им. акад. И.П. Павлова» Минздрава России; ФГБУ «Национальный медицинский исследовательский центр им. В.А. Алмазова» Минздрава России
Email: alexagood-1954@mail.ru
ORCID iD: 0000-0001-8951-1680
к.м.н., доц. каф. факультетской терапии ФГБОУ ВО «ПСПбГМУ им. акад. И.П. Павлова», зав. каф. внутренних болезней Института медицинского образования ФГБУ «НМИЦ им. В.А. Алмазова»
Россия, Санкт-ПетербургЕвгений Владимирович Шляхто
ФГБОУ ВО «Первый Санкт-Петербургский государственный медицинский университет им. акад. И.П. Павлова» Минздрава России; ФГБУ «Национальный медицинский исследовательский центр им. В.А. Алмазова» Минздрава России
Email: alexagood-1954@mail.ru
ORCID iD: 0000-0003-2929-0980
акад. РАН, засл. деят. науки РФ, ген. дир. ФГБУ «НМИЦ им. В.А. Алмазова», Президент Российского кардиологического общества, гл. кардиолог Санкт-Петербурга и Северо-Западного федерального округа, зав. каф. факультетской терапии ФГБОУ ВО «ПСПбГМУ им. акад. И.П. Павлова»
Россия, Санкт-ПетербургСписок литературы
- Wechalekar AD, Gillmore JD, Hawkins PN. Systemic amyloidosis. Lancet. 2016;387(10038):2641-54. doi: 10.1016/S0140-6736(15)01274-X
- Sipe JD, Benson MD, Buxbaum JN, et al. Amyloid fibril proteins and amyloidosis: chemical identification and clinical classification International Society of Amyloidosis 2016 Nomenclature Guidelines. Amyloid. 2016;23(4):209-13. doi: 10.1080/13506129.2016.1257986
- Skinner M, Sanchorawala V, Seldin DC, et al. High-Dose Melphalan and Autologous Stem-Cell Transplantation in Patients with AL Amyloidosis: An 8-Year Study. Ann Intern Med. 2004;140(2). doi: 10.7326/0003-4819-140-2-200401200-00008
- Cacoub P, Axler O, De Zuttere D, et al. Amyloidosis and cardiac involvement. Ann Med Interne (Paris). 2000;151(8):611-7
- Dubrey SW, Hawkins PN, Falk RH. Amyloid diseases of the heart: Assessment, diagnosis, and referral. Heart. 2011;97(1):75-84. doi: 10.1136/hrt.2009.190405
- Ryšavá R. AL amyloidosis: advances in diagnostics and treatment. Nephrol Dial Transplant. 2019;34(9):1460-6. doi: 10.1093/ndt/gfy291
- van Gameren II, Hazenberg BPC, Bijzet J, van Rijswijk MH. Diagnostic accuracy of subcutaneous abdominal fat tissue aspiration for detecting systemic amyloidosis and its utility in clinical practice. Arthritis Rheum. 2006;54(6):2015-21. doi: 10.1002/art.21902
- Picken MM. Amyloidosis. Where are we now and where are we heading? Arch Pathol Lab Med. 2010;134(4):545-51. doi: 10.1043/1543-2165-134.4.545
- Rajkumar SV, Dimopoulos MA, Palumbo A, et al. International Myeloma Working Group updated criteria for the diagnosis of multiple myeloma. Lancet Oncol. 2014;15(12):e538-48. doi: 10.1016/S1470-2045(14)70442-5
- Adams D, Suhr OB, Hund E, et al. First European consensus for diagnosis, management, and treatment of transthyretin familial amyloid polyneuropathy. Curr Opin Neurol. 2016;29:S14-26. doi: 10.1097/WCO.0000000000000289
- Dispenzieri A, Lacy MQ, Zeldenrust SR, et al. The activity of lenalidomide with or without dexamethasone in patients with primary systemic amyloidosis. Blood. 2007;109(2):465-70. doi: 10.1182/blood-2006-07-032987
- Zamorano JL, Anastasakis A, Borger MA, et al. 2014 ESC guidelines on diagnosis and management of hypertrophic cardiomyopathy: The task force for the diagnosis and management of hypertrophic cardiomyopathy of the European Society of Cardiology (ESC). Eur Heart J. 2014;35(39):2733-79. doi: 10.1093/eurheartj/ehu284
- Ryzhkova DV, Makurova TV, Kozlenok AV, Mitrofanova LB. Scintigraphic diagnosis of transthyretin cardiac amyloidosis (clinical case demonstration). Russ Electron J Radiol. 2017;7(1):117-22. doi: 10.21569/2222-7415-2017-7-1-117-122
- Bokhari S, Castaño A, Pozniakoff T, et al. 99mTc-pyrophosphate scintigraphy for differentiating light-chain cardiac amyloidosis from the transthyretin-related familial and senile cardiac amyloidoses. Circ Cardiovasc Imaging. 2013;6(2):195-201. doi: 10.1161/CIRCIMAGING.112.000132
- Gillmore JD, Maurer MS, Falk RH, et al. Nonbiopsy diagnosis of cardiac transthyretin amyloidosis. Circulation. 2016;133(24):2404-12. doi: 10.1161/CIRCULATIONAHA.116.021612
- Гудкова А.Я., Полякова А.А., Амелин А.В., и др. Не val30met-транстиретиновая амилоидная кардиомиопатия. Обзор сведений литературы и клиническое наблюдение. Рос. кардиол. журн. 2018;2:21-128 [Gudkova AYa, Polyakova AA, Amelin AV, et al. Non-Val30Met-transthyretin amyloid cardiomyopathy. Literature review and clinical case. Ros. kardiol. zhurn. 2018;2:21-128 (In Russ.)]. doi: 10.15829/1560-4071-2018-2-121-128
- Kastritis E, Dimopoulos MA. Recent advances in the management of AL Amyloidosis. Br J Haematol. 2016;172(2):170-86. doi: 10.1111/bjh.13805
- Sanchorawala V. Light-chain (AL) amyloidosis: diagnosis and treatment. Clin J Am Soc Nephrol. 2006;1(6):1331-41. doi: 10.2215/CJN.02740806
- Reece DE, Hegenbart U, Sanchorawala V, et al. Long-term follow-up from a phase 1/2 study of single-agent bortezomib in relapsed systemic AL amyloidosis. Blood. 2014;124(16):2498-506. doi: 10.1182/blood-2014-04-568329
- Kastritis E, Wechalekar AD, Dimopoulos MA, et al. Bortezomib with or without dexamethasone in primary systemic (light chain) amyloidosis. J Clin Oncol. 2010;28(6):1031-7. doi: 10.1200/JCO.2009.23.8220
- Kumar S, Dispenzieri A, Lacy MQ, et al. Revised prognostic staging system for light chain amyloidosis incorporating cardiac biomarkers and serum free light chain measurements. J Clin Oncol. 2012;30(9):989-95. doi: 10.1200/JCO.2011.38.5724
- D’Souza A, Dispenzieri A, Wirk B, et al. Improved Outcomes After Autologous Hematopoietic Cell Transplantation for Light Chain Amyloidosis: A Center for International Blood and Marrow Transplant Research Study. J Clin Oncol. 2015;33(32):3741-9. doi: 10.1200/JCO.2015.62.4015
- Sharpley FA, Petrie A, Mahmood S, et al. A 24-year experience of autologous stem cell transplantation for light chain amyloidosis patients in the United Kingdom. Br J Haematol. 2019;5187(5):642-52. doi: 10.1111/bjh.16143
- Lousada I, Comenzo RL, Landau H, Guthrie S, Merlini G. Light Chain Amyloidosis: Patient Experience Survey from the Amyloidosis Research Consortium. Adv Ther. 2015;32(10):920-8. doi: 10.1007/s12325-015-0250-0
- Cемернин Е., Полякова А., Крутиков А., и др. Системные формы амилоидоза в когорте пациентов с рефрактерной хронической сердечной недостаточностью в Санкт-Петербурге. Редкие орфанные заболевания и врожденные пороки развития. Современные возможности диагностики, профилактики, лечения и реабилитации. СПб., 2014; с. 204-18 [Semernin E, Polyakova A, Krutikov A, et al. Sistemnye formy amiloidoza v kogorte patsientov s refrakternoi khronicheskoi serdechnoi nedostatochnost’yu v Sankt-Peterburge. Redkie orfannye zabolevaniya i vrozhdennye poroki razvitiya. Sovremennye vozmozhnosti diagnostiki, profilaktiki, lecheniya i reabilitatsii. Sankt-Peterburg, 2014; p. 204-18 (In Russ.)].
- Загребнева А.И., Потешкина Н.Г., Кузнеченко Д.И., Бабак В.В. Системный амилоидоз, ассоциированный с множественной миеломой: клиническое наблюдение. РМЖ. 2018;12(II):107-9 [Zagrebneva AI, Poteshkina NG, Kuznechenko DI, Babak VV. Sistemnyi amiloidoz, assotsiirovannyi s mnozhestvennoi mielomoi: klinicheskoe nablyudenie. RMZh. 2018;12(II):107-9 (In Russ.)].
- Назипова З.М., Халиуллина Л.Р., Ахмадеев А.Р., и др. Клинический случай AL-амилоидоза. Практ. медицина. 2017;8(109):99-101 [Nazipova ZM, Khaliullina LR, Akhmadeev AR, et al. Clinical case of AL-type amyloidosis. Prakt. meditsina. 2017;8(109):99-101 (In Russ.)].
- Галеева З.М., Галявич А.С., Балеева Л.В., и др. Случай амилоидоза в кардиологической практике. Кардиология. 2019;59(1):93-6 [Galeeva ZM, Galyavich AS, Baleeva LV, et al. The Case of Amyloidosis in Cardiological Practice. Kardiologiya. 2019;59(1):93-6 (In Russ.)]. doi: 10.18087/cardio.2019.1.10221
- Смирнова Е.А. Филоненко С.П. Хроническая сердечная недостаточность у больной с системным амилоидозом, ассоциированным с множественной миеломой (клиническое наблюдение). Сердечная недостаточность. 2016;11(5):376-80 [Smirnova EA. Filonenko SP. Chronic heart failure in a female patient with systemic amyloidosis associated with multiple myeloma (case report). Serdechnaya nedostatochnost’. 2016;11(5):376-80 (In Russ.)]. doi: 10.18087/rhfj.2016.5.2253
- Пашковкина О.В., Путинцев В.А., Богомолов Д.В., и др. Случай посмертной диагностики плазмoцитомы и системного AL-амилоидоза с преимущественным поражением сердца. Литературная справка. Кремлевская медицина. Клин. вестник. 2018;4(2):2-61 [Pashkovkina OV, Putintsev VA, Bogomolov DV, et al. The case of post-mortem diagnosis of plasmacytoma and systemic AL-amyloidosis with primary сardiac involvement. Literary references. Kremlevskaya meditsina. Klin. vestnik. 2018;4(2):52-61 (In Russ.)]. doi: 10.26269/9hyn-vw44
- Рыбакова М.Г., Семернин Е.Н., Кузнецова И.А., Гудкова А.Я. Кардиальные проявления амилоидоза. Архив патологии. 2009;71(2):3-7 [Rybakova MT, Semernin EN, Gudkova AYa, Kuznetsova IA. Cardiac manifestations of amyloidosis. Arkhiv patologii. 2009;71(2):3-7 (In Russ.)].
- Рамеев В.В., Козловская Л.В., Рамеева А.С., и др. Особенности эволюции и прогностическое значение поражения сердца у больных системным AL-амилоидозом. Клин. фармакология и терапия. 2019;28(2):49-56 [Rameev VV, Kozlovskaya LV, Rameeva AS, e al. Evolution and prognostic significance of heart involvement in patients with systemic AL-amyloidosis. Klin. farmakologiia i terrapiia. 2019;28(2):49-56 (In Russ.)]. doi: 10.32756/ 0869-5490-2019-2-49-56
- Maurer MS, Bokhari S, Damy T, et al. Expert Consensus Recommendations for the Suspicion and Diagnosis of Transthyretin Cardiac Amyloidosis. Circ Heart Fail. 2019;12(9):e006075. doi: 10.1161/CIRCHEARTFAILURE.119.006075
- Banypersad SM, Moon JC, Whelan C, et al. Updates in cardiac amyloidosis: A review. J Am Heart Assoc. 2012;1(2). doi: 10.1161/JAHA.111.000364
- Grogan M, Dispenzieri A. Natural history and therapy of AL cardiac amyloidosis. Heart Fail Rev. 2015;20(2):155-62. doi: 10.1007/s10741-014-9464-5
- Tsai SB, Seldin DC, Wu H, et al. Myocardial infarction with “clean coronaries” caused by amyloid light-chain AL amyloidosis: a case report and literature review. Amyloid. 2011;18(3):160-4. doi: 10.3109/13506129.2011.571319
- Семернин Е.Н., Баранова Е.И., Кузнецова И.А., и др. Под ред. Е.В. Шляхто. Алгоритмы диагностики и врачебная тактика при поражении сердечно-сосудистой системы различными формами амилоидоза. Пособие для врачей. СПб.: Изд-во СПбГМУ, 2009; с. 95 [Semernin EN, Baranova EI, Kuznetsova IA, et al. Ed. E.V. Shlyakhto. Algoritmy diagnostiki i vrachebnaya taktika pri porazhenii serdechno-sosudistoi sistemy razlichnymi formami amiloidoza. Posobie dlya vrachei. Saint Petersburg: Izdatel’stvo SPbGMU, 2009; p. 95 (In Russ.)].
Дополнительные файлы












