Peculiarities of sonoelastographic imaging of thyroid papillary cancer in presence of autoimmune thyroiditis
- Authors: Khachatryan A.R.1, Vardanyan G.J.2, Avetisyan G.A.2, Chomoyan A.S.3, Baghdasaryan S.E.2, Porksheyan K.A.2
-
Affiliations:
- Medical Center “Dialab”
- Mkhitar Heratsi Yerevan State Medical University
- Medical Center “Nairi”
- Issue: Vol 93, No 4 (2021)
- Pages: 369-375
- Section: Original articles
- Submitted: 01.06.2021
- Accepted: 01.06.2021
- Published: 15.04.2021
- URL: https://ter-arkhiv.ru/0040-3660/article/view/71158
- DOI: https://doi.org/10.26442/00403660.2021.04.200675
- ID: 71158
Cite item
Full Text
Abstract
Aim. To determine the features of visualization of papillar thyroid cancer (PTC) in presence of autoimmune thyroiditis (AIT) according to sonoelastography data.
Materials and methods. 155 patients were examined (75 – PTC, 30 – AIT, 20 – PTC in presence of AIT and 30 – with diffuse parenchymal changes) and 30 patients of the control group. Among patients with PTC 68 (90.7%) were represented by female (mean age 46.7±13.12 years) and 7 (9.3%) – by male (average age – 48.1±4.05 years) patients, PTC in presence of AIT – by 19 female (average age 46.9±16.98 years) and 1 male (22 years) patients. Ultrasound investigation was performed with devices Toshiba Aplio-400 and Toshiba Aplio-500 (Japan) by the standard method and using elastography. A surface transducer with a frequency of 10–14 MHz was used. An analysis of the thyroid ultrasound image was performed in correspondence with TI-RADS. For a qualitative assessment of the elastographic picture of thyroid foci, the Tsukuba–Ueno assessment visual standardized system was implemented.
Results. According to the TI-RADS scale, most nodular formations are assigned to category 4. With TPC with an unchanged thyroid gland, category 4 was determined in 52 patients (69.3%), and with PR in presence of AIT – 15 patients (75%). When determining the qualitative criteria for Tsukuba – Ueno, the majority of tumors were assigned to types 3b and 4: cancers in presence of AIT – 95% and cancers with no changes to thyroid gland – 81.3%. Sonoelastographic criteria for thyroid parenchyma with AIT with a high degree of confidence are significantly higher than in the control group (p<0.000). In a comparative analysis of thyroid sonoelastography in PTC with unchanged parenchyma and AIT, changes according to compression elastography are statistically unreliable. In shear wave elastography, sonoelastographic criteria for PTC are significantly higher in patients with AIT (p<0.02 when measured in kPa, p<0.01 when measured in m/s).
Conclusion. Sonoelastography data can be used as additional criteria in the differential diagnosis of focal thyroid formations.
Full Text
Введение
Среди всей патологии щитовидной железы (ЩЖ) наиболее распространены узловые образования (УО) – до 40–60%. Особенно это характерно для эндемичных районов [1]. Данные литературы о частоте встречаемости УО ЩЖ весьма вариабельны. В 2–6% случаев они случайно выявляются при пальпации, 19–35% – при ультразвуковом исследовании (УЗИ) и 8–65% – при аутопсии [2–4]. УЗИ является самым распространенным и доступным методом визуализации ЩЖ. S. Guth и соавт. (2009 г.) считают, что использование современных аппаратов с высокой разрешающей способностью (13 МГц) позволяет диагностировать УО ЩЖ у 68% случайно отобранных людей, в то время как при исследованиях датчиком 7,5 МГц выявляемость составляет 33% [5]. В России нет точной информации о распространенности узловой патологии ЩЖ, однако, по данным статистического отчета Минздрава России за 2016 г., у взрослого населения заболевания ЩЖ, не сопровождавшиеся тиреотоксикозом, выявлены с частотой 355,1 на 100 тыс. населения*.
Большинство УО ЩЖ являются доброкачественными. Злокачественный характер имеют не более 5–15% тиреоидных узлов [6]. Рак ЩЖ (РЩЖ) занимает доминирующее место среди злокачественных новообразований эндокринной системы и значительно чаще встречается у женщин (3:1). Ежегодно выявляется около 8000–9500 случаев РЩЖ в России [7]. Исследования последних лет показывают рост частоты РЩЖ [8]. В США в 2015 г. диагностировано 62 450 случаев злокачественных образований ЩЖ (среди них 75,6% – у женщин). У лиц женского пола злокачественные образования ЩЖ стоят на 5-м месте (6%) в десятке наиболее часто встречающихся локализаций [9].
Среди возможных причин роста частоты РЩЖ обсуждается фактор улучшения диагностики опухолевых заболеваний за счет широкого использования УЗИ, тонкоигольной пункционной аспирационной биопсии (ТАПБ), цитологического исследования и методов молекулярной биологии [10, 11]. Ряд авторов отстаивают истинный рост распространенности РЩЖ преимущественно за счет повышения частоты выявления папиллярного РЩЖ (ПРЩЖ). ПРЩЖ, будучи ведущим морфологическим вариантом РЩЖ, составляет, по разным данным, от 55 до 75% всех случаев заболевания. Более 90% впервые выявленных случаев РЩЖ приходится на дифференцированный вариант, к которому относят папиллярный и фолликулярный раки [12, 13].
Клиническая значимость УО ЩЖ основывается прежде всего на необходимости получения надежных критериев риска злокачественности, наличие которых во многом определяет дальнейшую тактику ведения пациентов и, таким образом, ставит перед клиницистами задачу объективной оценки их реальной онкологической опасности [14, 15].
В настоящее время аутоиммунный тиреоидит (АИТ) – распространенная патология, которой страдают от 5 до 40% человек в популяции, чаще женщины. Диагноз этот ставится в основном эндокринологами на основании совокупности признаков [16]. Фоновые процессы, в частности АИТ, могут быть дополнительными факторами, повышающими риск малигнизации опухолей ЩЖ [17]. Это связывают с хроническим воспалением, ассоциированным с продукцией митогенных цитокинов и факторов роста, а также с развитием гипотиреоза, который стимулирует продукцию тиреотропного гормона [18]. Клиническая диагностика узлообразования у больных АИТ сложна. Диагностические трудности обусловлены прежде всего структурными особенностями железы при АИТ. Асимметричное увеличение доли ЩЖ, имитирующее узел, также нередко является причиной диагностических ошибок [19]. По данным И.В. Суздальцева и соавт. (2009 г.), у большинства (91%) больных УО ЩЖ на фоне АИТ протекают под масками другой тиреоидной патологии. На долю истинного узлообразования, требующего хирургического лечения, приходится более 1/2 (58,6%) случаев [19].
Среди больных РЩЖ, оперируемых по поводу УО в неонкологических стационарах, правильный дооперационный диагноз устанавливается в 54–61% случаев, что приводит к выполнению нерадикальных операций. Это обусловливает необходимость разработки более эффективных диагностических алгоритмов для выявления ранних форм злокачественных новообразований ЩЖ [20]. Единственным дооперационным методом прямой оценки структурных изменений в ЩЖ является ТАПБ. Однако, по данным О.А. Нечаевой и соавт. (2018 г.), для категории Bethesda IV специфичность ТАПБ составила 46,3% (35,1–58%), что диктует необходимость поиска других методов верификации РЩЖ [15].
Цель исследования – определение особенностей визуализации ПРЩЖ на фоне АИТ по данным соноэластографии.
Материалы и методы
В исследование включены 155 больных (75 – с ПРЩЖ, 30 – АИТ, 20 – ПРЩЖ на фоне АИТ, 30 больных с диффузными изменениями паренхимы ЩЖ) и 30 пациентов контрольной группы, прошедших обследование в МЦ «Диалаб» (Ереван, Армения). Диагноз АИТ поставлен на основании больших диагностических признаков [21]. Пациенты контрольной группы были сопоставимы по возрасту и полу с основными группами. Обследованы 75 больных с ПРЩЖ: 68 (90,7%) женщин (средний возраст 46,7±13,12 года) и 7 (9,3%) мужчин (средний возраст – 48,1±4,05 года). Из 20 больных ПРЩЖ на фоне АИТ женщин было 19 (средний возраст – 46,9±16,98 года), мужчина – 1 (22 года).
Больные основных групп прошли полное клинико-лабораторное обследование с определением показателей свободного тироксина, тиреотропного гормона, антител к тиреопероксидазе, тиреоглобулина и кальцитонина в сыворотке крови. Диагнозы верифицированы при цитологическом исследовании по данным ТАПБ и при гистологическом исследовании по данным хирургических вмешательств у всех больных основных групп.
УЗИ проводилось на аппаратах Toshiba Aplio-400 и Toshiba Aplio-500 (Япония) стандартным методом и с применением эластографии. Использовался поверхностный датчик с частотой 10–14 МГц. Проводился анализ ультразвукового изображения ЩЖ по системе TI-RADS. Режим эластографии (компрессионная эластография и эластография сдвиговой волной – Shear Wave Elasticity Imaging – SWEI) использовался после сканирования в серошкальном и допплерографических режимах. Измерения проводились в одинаковых по размерам зонах интереса (Q-box); узел – окружающая паренхима. Для качественной оценки различной эластографической картины очагов в ЩЖ нами применялась система оценки по визуальной стандартизированной системе Tsukuba–Ueno (2006 г.) [22].
Статистический анализ полученных результатов проводился с использованием стандартных методов математической статистики. Для анализа использованы средние величины, медиана, максимальное (max) и минимальное (min) значения модуля Юнга. С целью оценки достоверности различий применяли критерий χ2, точный критерий Фишера, критерий Уилкоксона для непараметрических данных, t-критерий Стьюдента, дисперсионный анализ (ANOVA). Достоверным считалось общепринятое в медицинских исследованиях значение p<0,05.
Результаты и обсуждение
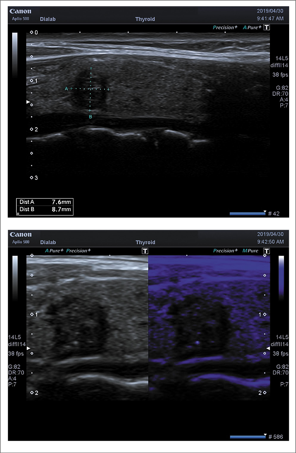
При определении риска злокачественности узлов ЩЖ по системе TI-RADS получены следующие данные: при ПР к категории 3 отнесены 13 (17,3%), 4а – 21 (28%), 4б – 31 (41,3%), 5 – 10 (13,4%) пациентов (рис. 1). При ПР на фоне АИТ в категорию 3 вошли 3 (15%), 4а – 7 (35%), 4б – 8 (40%), 5 – 2 (10%) больных (рис. 2).
Рис. 1. ПР, TI-RADS 4B (2D-режим). Небольшой узел с микрокальцификатами и преобладанием вертикального размера
Рис. 2. ПР на фоне АИТ, TI-RADS 4B (2D-режим). Изоэхогенный узел с неровными нечеткими контурами, микрокальцификатами, с единичным перинодулярным кровотоком.
При определении качественных критериев по системе Tsukuba–Ueno большинство больных ПР отнесены к 3-му типу – 49 (65,3%): 3а – 10 (13,3%); 3б – 39 (52%). Тип 4 определен у 24 (32%), тип 5 – у 2 (2,7%) больных (рис. 3). В группе больных ПР на фоне АИТ преобладающее большинство отнесены к 3б типу – 14 (70%), 5 (25%) – к 4-му типу и 1 больной – ко 2-му типу (рис. 4).
Рис. 3. ПР. Компрессионная эластография, по системе Tsukuba–Ueno 4-й тип. Количественный показатель Strain Ratio – 1,86.
Рис. 4. ПР на фоне АИТ. Компрессионная эластография, по системе Tsukuba–Ueno 5-й тип (характерно для жестких тканей).
Таким образом, при определении качественных критериев по системе Tsukuba–Ueno большинство больных собственно ПР на фоне неизмененной паренхимы и на фоне АИТ отнесены к типам 3б и 4. Однако при ПР на фоне АИТ они составляют 95%, а на фоне неизмененной паренхимы – 81,3% (табл. 1).
Таблица 1. Качественная оценка очагов по визуальной стандартизированной системе Tsukuba–Ueno при ПРЩЖ на фоне неизмененной паренхимы и на фоне АИТ
Нозологические формы | Типы качественной оценки | ||||||
1 | 2 | 3a | 3б | 4 | 5 | 6 | |
ПР | – | – | 12 (16%) | 37 (49,3%) | 24 (32%) | 2 (2,7%) | – |
ПР на фоне АИТ | – | 1 (5,0%) | – | 14 (70%) | 5 (25%) | – | – |
Для достижения цели нашей работы, т.е. определения особенностей визуализации ПРЩЖ на фоне АИТ, необходимо было сравнить соноэластографические критерии паренхимы ЩЖ в контрольной группе и у больных АИТ. Затем мы провели сравнительный анализ данных при ПР и ПР на фоне АИТ (табл. 2).
Таблица 2. Соноэластографические критерии ЩЖ обследуемых групп больных
Группы | Strain ratio (y.e.) | Shear wave | |
М±m (max, min) | М±m (max, min) | ||
кПа | м/с | ||
Контрольная группа | 1,08±0,07*# | 15,9±0,87**# | 2,27±0,01**# |
(2,0; 0,4) | (29,5; 10,0) | (3,1; 1,85) | |
Диффузные изменения паренхимы | 1,1±0,07# | 18,9±1,37# | 2,5±0,09# |
(2,0; 0,44) | (42,4; 10,0) | (3,75; 1,67) | |
АИТ | 1,52±0,08* | 32,05±2,14** | 3,25±0,1** |
(2,6; 0,72) | (64,0; 16,0) | (4,5; 2,34) | |
ПР | 2,9±0,07# | 67,0±1,9## | 5,1±0,08### |
(4,1; 1,2) | (135,0; 34,0) | (7,38; 3,1) | |
ПР на фоне АИТ | 3,11±0,14# | 72,03±1,09## | 5,62±0,14### |
(4,35; 1,98) | (83,5; 65,2) | (6,95; 4,55) | |
*t=3,14; p<0,005; **t=7,4; p<0,000; #t=1,3; p>0,05; ##t=2,32; p<0,02; ###t=2,7; p<0,01.
Учитывая, что в литературе имеется достаточный разброс количественных показателей эластографии нормальной ткани ЩЖ, мы сочли необходимым определить их в контрольной группе. Среднее значение коэффициента деформации (SR) составило 1,08±0,07 у.е. (max – 2,0; min – 0,4). Проводилась также эластография SWEI, средние показатели которой следующие: в кПа (kPa) – 15,9±0,87 (max – 29,5; min – 10), в м/с (m/s) – 2,27±0,01 (max – 3,15; min – 1,85); см. табл. 2.
Учитывая, что УО часто выявляются на фоне диффузных изменений паренхимы ЩЖ (терапия амиодароном, противовирусными препаратами, сахарный диабет и т.д.), нам представилось интересным определить, насколько последние изменяют эластографические критерии паренхимы ЩЖ. Для выполнения этой задачи результаты соноэластографии в группе больных с диффузными изменениями ЩЖ сопоставлены с результатами контрольной группы. Среднее значение SR при диффузных изменениях составило 1,1±0,07 у.е. (max – 2,0; min – 0,44). Данные эластографии сдвиговой волной SWEI следующие: в кПа – 18,9±1,37 (max – 42,4; min – 10), в м/с – 2,5±0,09 (max – 3,75; min – 1,67); см. табл. 2. При сравнительной оценке результатов контрольной группы и группы сравнения больных с диффузными изменениями ЩЖ статистически достоверной разницы не выявлено (t=1,79; p>0,05). Таким образом, диффузные изменения ЩЖ, как фоновые, не могут вызвать искажения соноэластографических параметров паренхимы ЩЖ, следовательно, их наличие можно игнорировать.
Из табл. 2 видно, что соноэластографические критерии паренхимы ЩЖ при АИТ с высокой степенью достоверности выше, чем в контрольной группе, что говорит об изменении жесткости паренхимы: SR – в 1,4 раза (t=3,14; p<0,005), при эластографии SWEI коэффициент упругости в кПa – в 2,1 раза (t=7,04; p<0,000), в м/с – в 1,4 раза (t=7,0; p<0,000).
При сравнительном анализе данных соноэластографии ЩЖ при ПР на фоне неизмененной паренхимы и на фоне АИТ изменения по данным компрессионной эластографии статистически недостоверны, а при эластографии SWEI разница критериев жесткости статистически достоверна (p<0,02 при измерении в кПа, p<0,01 при измерении в м/с).
На Евразийском форуме по РЩЖ (2016 г.) ведущие специалисты по патоморфологии, эндокринологии, радиологии приводили доводы за и против применения системы TI-RADS, указывали на недостатки системы цитологических заключений Bethesda в виде нечетких формулировок по тактике при категориях 3–4, на низкую воспроизводимость УЗИ, достаточно большое количество ложноположительных и ложноотрицательных результатов и др. [23]. Mногообразие ультразвуковой семиотики опухолей ЩЖ создает определенные трудности их интерпретации. В целом чувствительность УЗИ в диагностике РЩЖ составляет 46–93%, специфичность – 50–92%, точность – 74–87% [3, 24, 25]. Необходимо помнить, что ни один из УЗ-признаков или способов обследования не позволяет отличить доброкачественные УО от злокачественных. Так, в одном из исследований выявлено, что в 66% доброкачественных УО определялся как минимум один признак РЩЖ по данным УЗИ, а в 66% случаев ПРЩЖ определялся как минимум один признак, характерный для доброкачественного УО [26]. Это указывает на необходимость поиска новых дополнительных возможностей дифференциальной диагностики УО ЩЖ, особенно на фоне АИТ.
В литературе имеются единичные работы, посвященные этой проблеме. Так, F. Magri и соавт. (2012 г.) сравнили индекс эластичности нормальной ткани ЩЖ и при АИТ (24,0±10,5 кПа против 20,8±10,4 кПа; p=0,206). Авторы не получили также достоверных различий при соноэластографии доброкачественных УО при неизмененной паренхиме и на фоне АИТ [27]. По данным наших исследований модуль Юнга при АИТ составляет 32,05±2,14 кПа, что с высокой степенью достоверности (p<0,000) отличается от неизмененной паренхимы (15,9±0,87 кПа). При ПРЩЖ модуль Юнга достоверно выше (p<0,02), когда последний выявляется на фоне АИТ, чем без наличия фоновой патологии (72,03±1,09 и 67,0±1,9 соответственно); см. табл. 2, рис. 5, 6. Данные результатов наших исследований относительно доброкачественных УО (аденома, коллоидный зоб) показали те же закономерности и приведены в других публикациях.
Рис. 5. ПР. Shear Wave – 77,6 кПа
Рис. 6. ПР на фоне АИТ. Shear Wave – 96,2 кПа
Наши данные относительно показателей жесткости неизменной паренхимы ЩЖ в контрольной группе практически совпадают с данными литературы. Так, по данным А.Н. Катрич и соавт. [28], значение модуля Юнга составило 13,75 кПа, В.В. Митькова и соавт. [29] – 12,5 кПа, по данным В.С. Паршина и соавт. [30] – 15,60 кПа. Значение модуля Юнга в злокачественных образованиях ЩЖ по данным А.Н. Катрич и соавт. [28] составило 48,78 кПа (13,67–60,0 кПа), по результатам наших исследований – несколько выше – 67,0±1,9 кПА (135,0; 34,0 кПА); рис. 7, 8.
Рис. 7. ПР. Shear Wave – 5,05 м/с
Рис. 8. ПР на фоне АИТ. Shear Wave – 5,51 м/с
Необходимо отметить, что в нашей работе при проведении эластографии сдвиговой волной измерение модуля Юнга проводилось также в м/с. При этом получены такие же закономерности, как и при измерении в кПа (см. табл. 2). Однако в большинстве работ измерения проведены в кПа, в связи с чем и обсуждались показатели именно в этих единицах.
Заключение
Таким образом, полученные нами результаты свидетельствуют о том, что фоновые изменения ЩЖ в виде АИТ изменяют соноэластографические показатели ПРЩЖ. Отмечается достоверное повышение модуля Юнга при сопутствующем АИТ. Имеется высокая достоверность разницы соноэластографических критериев неизмененной паренхимы ЩЖ и при АИТ. Обычные же диффузные изменения не изменяют соноэластографические показатели паренхимы ЩЖ. Данные, полученные нами, могут быть использованы в качестве дополнительных диагностических критериев в ультразвуковой диагностике очаговых образований ЩЖ. Возможно, в скором будущем соноэластография займет достойное место в алгоритме обследования больных с УО ЩЖ.
Авторы заявляют об отсутствии конфликта интересов.
*Заболеваемость взрослого населения России в 2016 году. Статистические материалы. Часть III. Режим доступа: https://www.rosminzdrav.ru/ministry/61/22/stranitsa-979/statisticheskie-i-informatsionnye-materialy/statisticheskiy-sbornik-2016-god
Список сокращений
АИТ – аутоиммунный тиреоидит ПРЩЖ – папиллярный рак щитовидной железы РЩЖ – рак щитовидной железы ТАПБ – тонкоигольная пункционная аспирационная биопсия УЗИ – ультразвуковое исследование | УО – узловые образования ЩЖ – щитовидная железа SR – коэффициент деформации SWEI – Shear Wave Elasticity Imaging – эластография сдвиговой волной |
About the authors
Anna R. Khachatryan
Medical Center “Dialab”
Email: g.vardanyan11@mail.ru
ORCID iD: 0000-0003-1865-4144
врач-радиолог МЦ «Диалаб»
Armenia, YerevanGoar J. Vardanyan
Mkhitar Heratsi Yerevan State Medical University
Author for correspondence.
Email: g.vardanyan11@mail.ru
ORCID iD: 0000-0002-1972-5373
д.м.н., проф. каф. лучевой диагностики ЕГМУ им. М. Гераци
Armenia, YerevanGarnik A. Avetisyan
Mkhitar Heratsi Yerevan State Medical University
Email: g.vardanyan11@mail.ru
ORCID iD: 0000-0001-8745-0060
к.м.н., доц., проректор по постдипломному и непрерывному образованию, зав. каф. лучевой диагностики ЕГМУ им. М. Гераци
Armenia, YerevanAram S. Chomoyan
Medical Center “Nairi”
Email: g.vardanyan11@mail.ru
ORCID iD: 0000-0001-9425-6733
эндокринный хирург
Armenia, YerevanSatenik E. Baghdasaryan
Mkhitar Heratsi Yerevan State Medical University
Email: g.vardanyan11@mail.ru
ORCID iD: 0000-0002-2632-9416
к.м.н., доц., рук. центра постдипломного и непрерывного образования, доц. каф. эндокринологии ЕГМУ им. М. Гераци
Armenia, YerevanKristina A. Porksheyan
Mkhitar Heratsi Yerevan State Medical University
Email: g.vardanyan11@mail.ru
ORCID iD: 0000-0002-7227-0320
к.м.н., преподаватель каф. лучевой диагностики ЕГМУ им. М. Гераци
Armenia, YerevanReferences
- Состояние онкологической помощи населению России в 2014 году. Под ред. А.Д. Каприна, В.В. Старинского, Г.В. Петровой. М.: МНИОИ им. П.А. Герцена – филиал ФГБУ «НМИРЦ» Минздрава России, 2015 [The state of cancer care in the population of Russia in 2014. Kaprin AD, Starinskii VV, Petrova GV (Eds.) Moscow: P.A. Gertsen MNIOI, 2015 (In Russ.)].
- Dean DS, Gharib H. Epidemiology of thyroid nodules. Best Pract Res Clin Endocrinol Metab. 2008;22(6):901-11. doi: 10.1016/j.beem.2008.09.019
- Gharib H, Papini E, Paschke R, et al. American Association of Clinical Endocrinologists, Associazione Medici Endocrinologi, and European Thyroid Association Medical Guidelines for Clinical Practice for the Diagnosis and Management of Thyroid Nodules. Endocr Pract. 2010;16(Suppl. 1):1-43. doi: 10.4158/10024.GL
- Дедов И.И. Российские клинические рекомендации. Эндокринология. Под ред. И.И. Дедова, Г.А. Мельниченко. М.: ГЭОТАР-Медиа, 2016. Режим доступа: http://www.rosmedlib.ru/book/ISBN9785970436837.html Ссылка активна на: 21.04.2021 [Dedov II. Russian clinical recommendations. Endocrinology. Dedov II, Melnichenko GA (Eds.) Moscow: GEOTAR-Media, 2016. Available at: http://www.rosmedlib.ru/book/ ISBN9785970436837. Accessed: 21.04.2021 (In Russ.)]
- Guth S, Theune U, Aberle J, et al. Very high prevalence of thyroid nodules detected by high frequency (13 MHz) ultrasound examination. Eur J Clin Invest. 2009;39(8):699-706. doi: 10.1111/j.1365-2362.2009.02162.x
- Cooper DS, Doherty GM, Haugen BR, et al. Revised American Thyroid Association management guidelines for patients with thyroid nodules and differentiated thyroid cancer. Thyroid. 2009;19(11):1167-214. doi: 10.1089/thy.2009.0110
- Ракитина Д.А., Беляев А.М., Раджабова З.А., и др. Оптимизация диагностических мероприятий и лечебной тактики при распространенном раке щитовидной железы. Современные проблемы науки и образования. 2016;6. Режим доступа: http://www.science-education.ru/ru/article/view?id=25875. Ссылка активна на: 21.04.2021 [Rakitin DA, Beliaev AM, Radzhabova ZA, et al. Оptimization of diagnostic measures and therapeutic tactics in the previous thyroid cancer. Modern problems of science and education. 2016;6. Available at: http://www.science-education.ru/ru/article/view?id=25875. Accessed: 21.04.2021 (In Russ.)].
- Nguyen QT, Lee EJ, Huang MG, et al. Diagnosis and treatment of patients with thyroid cancer. Am Health Drug Benefits. 2015;8(1):30-40.
- Siegel RL, Miller KD, Jemal A. Cancer statistics. 2015. CA Cancer J Clin. 2015;65(1):5-29. doi: 10.3322/caac.21254
- Guo A, Kaminoh Y, Forward T, et al. Fine needle aspiration of thyroid nodules using the Bethesda system for reporting thyroid cytopathology: an institutional experience in a rural setting. Int J Endocrinol. 2017;2017:9601735. doi: 10.1155/2017/9601735
- Ahn HS, Kim HJ, Kim KH, et al. Thyroid Cancer Screening in South Korea Increases Detection of Papillary Cancers with No Impact on Other Subtypes or Thyroid Cancer Mortality. Тhyroid. 2016;26(11):1535-40. doi: 10.1089/thy.2016.0075
- Nabhan F, Ringel MD. Thyroid nodules and cancer management guidelines: comparisons and controversies. Endocr Relat Cancer. 2017;24(2):R13-26. doi: 10.1530/ERC-16-0432
- Lin JD, Hsueh C, Huang BY. Papillary thyroid carcinoma with different histological patterns. Chang Gung Med J. 2011;34(1):23-34.
- Тимофеева Л.А., Алешина Т.Н. Диагностическая тактика при узловых образованиях щитовидной железы на основе системы TI-RADS. Acta Medica Eurasica. 2017;4:37-44 [Timofeeva LA, Aleshina TN Diagnostic tactics for nodular thyroid formations based on the TI-RADS system. Acta Medica Eurasica. 2017;4:37-44 (In Russ.)]. doi: 10.17750/KMJ2017-632
- Нечаева О.А., Бавыкина Л.Г., Глазков А.А., Бритвин Т.А. Опыт применения системы Bethesda в оценке результатов тонкоигольной аспирационной биопсии узловых образований щитовидной железы. РМЖ. 2018;1(1):23-7 [Nechaeva OA, Bavykina LG, Glazkov AA, Britvin TA. Experience of using the Bethesda system in evaluating the results of fine needle biopsy of thyroid nodules. RMJ. 2018;1(1):23-7 (In Russ.)].
- Романчишен А.Ф. Хирургия щитовидной и паращитовидных желез. СПб.: Вести, 2009 [Romanchishen AF. Surgery of the thyroid and parathyroid glands. Saint Petersburg: Vesti, 2009 (In Russ.)].
- Haugen BR, Alexander EK, Bible KC, et al. 2015 American Thyroid Association management guidelines for adult patients with thyroid nodules and differentiated thyroid cancer: The American Thyroid Association Guidelines task force on thyroid nodules and differentiated thyroid cancer. Thyroid. 2016;26(1):1–133. doi: 10.1089/thy.2015.0020
- Jemal A, Bray F, Center MM, et al. Global cancer statistics. CA Cancer J Clin. 2011;61(2):69-90. doi: 10.3322/caac.20107
- Суздальцев И.В., Пыхтин Ю.Ю., Кубанов С.И. Диагностика узловых образований щитовидной железы на фоне аутоиммунного тиреоидита. Кубанский научный медицинский вестник. 2009;1(106):115-8 [Suzdal’tsev IV, Pykhtin IuIu, Kubanov SI. Nodal Diagnostics thyroid formations on the background of autoimmune thyroiditis. Kuban Scientific Medical Bulletin. 2009;1(106):115-8 (In Russ.)].
- Боберь Е.Е., Фролова И.Г., Чойнзонов Е.Л., и др. Возможности высокопольной магнитно-резонансной томографии в диагностике узловых образований щитовидной железы. Сибирский онкологический журнал. 2013;3(57):14-9 [Bober EE, Frolova IG, Choinzonov EL, et al. Possible high field magnetic resonance tomography in the diagnosis of nodular formations of thyroid gland. Sibirski oncologicheski journal. 2013;3(57):14-9 (In Russ.)].
- Дедов И.И., Мельниченко Г.А., Герасимов Г.Л., и др. Клинические рекомендации российской ассоциации эндокринологов по диагностике и лечению аутоиммунного тиреоидита у взрослых. Проблемы эндокринологии. 2003;49(6):51 [Dedov II, Melnichenko GA, Gerasimov GL, et al. Clinical recommendations of the Russian Association endocrinologists for the diagnosis and treatment of autoimmoon thyroiditis in adults. Problems of Endocrinology. 2003;49(6):5 (In Russ.)].
- Борсуков А.В. Комментарии и обсуждение Всемирных рекомендаций 2015 года по эластографии щитовидной железы. Эндокринная хирургия. 2017;11(2):61-9 [Borsukov AV. Comments and discussion on the thyroid gland elastography World Recommendations 2015. Endocrine Surgery. 2017;11(2):61-9 (In Russ.)]. doi: 10.14341/serg201726169
- Борсуков А.В. Быть или не быть TI-RADS: полемические заметки с Евразийского форума по раку щитовидной железы. Эндокринная хирургия. 2016;10(3):33-6 [Borsukov AV. TI-RADS: to be or not to be. Polemic notes from the Eurasian Forum on thyroid cancer. Endocrine Surgery. 2016;10(3):33-6 (In Russ.)]. doi: 10.14341/serg2016333_36
- Reading CC, Charboneau JW, Hay ID, Sebo TJ. Sonography of thyroid nodules: a “classic pattern” diagnostic approach. Ultrasound Q. 2005;21:157-65.
- Malterling RR, Andersson R, Falkmer S, et al. Differentiated thyroid cancer in a Swedish county-long-term results and qualityof life. Acta Oncol. 2010;49(4):454-9. doi: 10.3109/02841860903544600
- Gürsoy A, Erdoğan MF. Ultrasonographic Approach to Thyroid Nodules: State of Art. Thyroid Intl. 2012;3:3-14.
- Magri F, Chytiris S, Capelli V, et al. Shear wave elastography in the diagnosis of thyroid nodules: feasibility in the case of coexistent chronic autoimmune Hashimoto’s thyroiditis. Clin Endocrinol (Oxf). 2012;76(1):137-41. doi: 10.1111/j.1365-2265.2011.04170.x
- Катрич А.Н., Охотина А.В., Квасова А.А., Рябин Н.С. Оценка эффективности компрессионной эластографии в диагностике рака щитовидной железы. Инновационная медицина Кубани. 2017;1(5):17-22 [Katrich АN, Okhotina AV, Kvasova A.A, Riabin NS. Strain elastography efficiency for thyroid gland cancer diagnosis. Innovatsionnaia meditsina Kubani. 2017;1(5):17-22 (In Russ.)].
- Митьков В.В., Иванишина Т.В., Митькова М.Д. Эластография сдвиговой волной в диагностике доброкачественных образований щитовидной железы. Ультразвуковая и функциональная диагностика. 2015;1:10-21 [Mit’kov VV, Ivanishina TV, Mit’kova MD. Shear Wave Elastography in Multiparametric Ultrasound of Malignant Thyroid Nodules. Ul’trazvukovaia i funktsional’naia diagnostika. 2015;1:10-21 (In Russ.)].
- Паршин В.С., Тарасова Г.П., Павлинова Е.С. Эластография сдвиговой волны в дифференциальной диагностике доброкачественной и злокачественной природы узловых образований щитовидной железы. Радиация и риск. 2014;23(2):72-84 [Parshin VS, Tarasova GP, Pavlinova ES. Shear wave elastography in the differential diagnosis of benign and malignant thyroid nodules. Radiatsiia i risk. 2016;23(2):72-84 (In Russ.)].
Supplementary files











