Side effects and ineffectiveness of standard therapy for idiopathic recurrent pericarditis: status of the problem and description of clinical cases. Case report
- Authors: Petrukhina A.A.1, Safiullina A.А.1, Osmolovskaya Y.F.1, Zhirov I.V.1,2, Stukalova O.V.1, Shitov V.N.1, Tereshchenko S.N.1,2
-
Affiliations:
- Chazov National Medical Research Center of Cardiology
- Russian Medical Academy of Continuous Professional Education
- Issue: Vol 97, No 8 (2025): Treatment issues
- Pages: 719-726
- Section: Case reports
- Submitted: 28.08.2025
- Accepted: 28.08.2025
- Published: 28.08.2025
- URL: https://ter-arkhiv.ru/0040-3660/article/view/689943
- DOI: https://doi.org/10.26442/00403660.2025.08.203342
- ID: 689943
Cite item
Full Text
Abstract
Idiopathic recurrent pericarditis is a rare pathology characterised by recurrent inflammation in the cardiac cavity. Treatment of recurrent pericarditis is empirical and based on the use of drugs with anti-inflammatory properties. First-line drugs are non-steroidal anti-inflammatory drugs and colchicine, second-line drugs are glucocorticosteroids. This is associated with the development of undesirable side effects, which makes it impossible to continue therapy in a number of patients. This article presents two clinical cases, describes the course of the disease and the development of complications at different stages. This article demonstrates the complexity of selecting the optimal therapy in real clinical practice.
Full Text
Список сокращений
ГКС – глюкокортикостероид
ИЛ – интерлейкин
ИРП – идиопатический рецидивирующий перикардит
ЛЖ – левый желудочек
МЖП – межжелудочковая перегородка
МРТ – магнитно-резонансная томография
НПВС – нестероидное противовоспалительное средство
ОРВИ – острая респираторная вирусная инфекция
ПЖ – правый желудочек
СРБ – С-реактивный белок
ФВ – фракция выброса
ЧСС – частота сердечных сокращений
ЭКГ – электрокардиография
ЭхоКГ – эхокардиография
Введение
Идиопатический рецидивирующий перикардит (ИРП) – орфанная патология, характеризующаяся аутовоспалительным рецидивирующим (повторным эпизодом клинической симптоматики, возникающей через 4–6 нед бессимптомного периода после купирования первого эпизода) воспалением в полости сердечной сорочки [1].
Частота встречаемости ИРП может составлять примерно 5–35 случаев на 10 тыс. человек в год [2]. В Российской Федерации исходя из имеющейся расчетной модели число пациентов с ИРП составляет 1,1 случая на 100 тыс. населения [3]. В то же время истинная распространенность перикардитов среди различных групп пациентов остается неясной ввиду отсутствия специфичных симптомов, которые часто маскируются под клиническую картину других заболеваний или не вызывают настороженности как у пациентов, так и у врачей. Это приводит к тому, что постановка правильного диагноза происходит только в 0,2% случаев [4], в то время как признаки перикардита (активного или перенесенного в прошлом) обнаруживаются на аутопсиях в 1–6,1% случаев [5]. Принципиальным моментом в диагностике ИРП и определении дальнейшей тактики ведéния пациента является исключение невирусных причин данного заболевания [6].
В настоящее время принято относить данное заболевание к аутовоспалительной патологии, ключевую роль в патогенезе которой играют генетически детерминированные нарушения врожденного иммунитета [7, 8].
При активации врожденного иммунитета отсутствуют специфические антигены, и распознавание специфического агента происходит с помощью универсальных рецепторов, в том числе toll-подобных рецепторов [9]. Активация этих рецепторов на поверхности клеток моноцитарного ряда запускает сборку макромолекулярного цитозольного комплекса – инфламмасомы, регулирующей протеолитический процессинг про-интерлейкина (ИЛ)-1β и про-ИЛ-18 [10]. Наиболее изученной инфламмасомой является NLRP3 [11]. Инфламмасома NLRP3 – сложный мультибелковый компонент врожденной иммунной системы, который включает сенсор (NLRP3), каркасный белок (ASC, ассоциированный с апоптозом спекоподобный белок, содержащий домен активации каспазы COOH-конца) и эффектор каспазы 1 [12]. Этот компонент преимущественно встречается у макрофагов и в эндотелии сосудов и активируется при различных сигналах «опасности»: PAMPs (патоген-ассоциированные молекулярные паттерны) и DAMPs (повреждение-ассоциированные молекулярные паттерны). Активация инфламмасомы запускает стимулирование каспаза 1-обусловленным расщеплением про-ИЛ-1β до его активной формы, что приводит к системной секреции ИЛ-1β, а в дальнейшем – к привлечению нейтрофилов, макрофагов и моноцитов в область повреждения [13] (рис. 1).
Рис. 1. Каскадный цикл рецидивов заболевания [14].
Fig. 1. The cascade cycle of disease recurrence [14].
В ряде исследований демонстрируется, что рецидивирующий перикардит может являться одним из основных признаков целого ряда аутовоспалительных заболеваний, таких как средиземноморская лихорадка, периодический синдром, ассоциированный с мутацией гена рецептора фактора некроза опухоли α (TRAPS), болезнь Стилла и многих других [15–17].
Лечение рецидивирующего перикардита – эмпирическое, и оно основано на применении препаратов с противовоспалительными свойствами. В качестве препаратов 1-й линии терапии используются нестероидные противовоспалительные средства (НПВС) и колхицин, 2-й линии – глюкокортикостероиды (ГКС). Доза ГКС зависит от клинической картины и тяжести симптомов заболевания, но не должна превышать 0,5 мг/кг веса пациента. Положительные результаты на фоне приема ГКС, назначаемых в случае неэффективности препаратов терапии 1-й линии, реализуются путем блокирования транскрипционных факторов, таких как NF-κB (нуклеарный фактор каппа-би), AP-1 (активатор протеина 1), что в свою очередь снижает синтез провоспалительных цитокинов. К преимуществам этой группы относится их высокая эффективность, быстрое купирование симптомов ИРП и отсутствие нежелательных лекарственных взаимодействий. Однако необходимо отметить, что в большинстве случаев эффект от терапии стероидами кратковременный, а их длительный прием приводит к формированию стероидной зависимости и нежелательных побочных явлений. В ретроспективном исследовании M. Imazio и соавт. на примере 100 пациентов с ИРП, получающих стероидную терапию, зафиксированы 4 случая компрессионного перелома позвоночника, 4 случая тяжелого остеопороза и 5 случаев медикаментозного синдрома Иценко–Кушинга [18].
С учетом необходимости применения длительного курса терапии (≥ 3 нед) при ИРП лечение сопряжено со значительными побочными эффектами.
Понимание этиологии и патофизиологии ИРП дало возможность разработать новый подход к лечению данного заболевания. В результате предложены и показали свою эффективность конкурентные ингибиторы короткого действия, предотвращающие взаимодействие ИЛ-1α и ИЛ-1β с рецептором ИЛ-1. Этот рецептор продуцируется клетками врожденного иммунитета, включая макрофаги, моноциты и дендритные клетки. Цитокины ИЛ-1α и ИЛ-1β, взаимодействуя с рецептором, проявляют свои провоспалительные эффекты путем связывания домена рецептора ИЛ-1 в цитоплазматической части и запуска передачи сигнала. Таким образом, ИЛ-1 стал чрезвычайно эффективной мишенью при лечении ИЛ-1-опосредованных аутовоспалительных расстройств [19].
Представляем описание клинических случаев, иллюстрирующих невозможность/неэффективность применения препаратов 1-й/2-й линии в реальной клинической практике.
Описание клинических случаев
Клинический случай 1
Пациент К. 27 лет поступил в ФГБУ «НМИЦК им. акад. Е.И. Чазова» 21.11.2024 с жалобами на боль, тяжесть в груди и области лопаток, изменяющимися при смене положения тела без четкой связи с физическими нагрузками. Отмечались также частые носовые кровотечения, ощущение «приливов» к голове, повышенная утомляемость.
Из анамнеза известно, что летом 2023 г. впервые стал отмечать боли в области груди, в связи с чем эпизодически принимал препарат Мидокалм. Ухудшение состояния отмечено с февраля 2024 г., когда после эпизода острой респираторной вирусной инфекции (ОРВИ) появились выраженные боли в области сердца. Пациент обратился в поликлинику, где выполнена электрокардиография (ЭКГ) – без значимых изменений, по данным эхокардиографии (ЭхоКГ) – сепарация листков перикарда до 5 мм, фракция выброса (ФВ) составляла 49%. В ходе обследования также выявлена жидкость в плевральных полостях. Впервые инициирована терапия комбинацией колхицина – 1 мг и ибупрофена – 1200 мг/сут. На фоне терапии болевой синдром купировался, пациент выписан с улучшением. Однако через 4 нед после выписки на фоне приема назначенной терапии состояние больного ухудшилось. Пациент госпитализирован скорой медицинской помощью в отделение анестезиологии-реанимации ГБУЗ г. Москвы «ГКБ №67 им. Л.А. Ворохобова», где проведена пункция и дренирование плевральных полостей. После проведения пункции в мае 2024 г. у пациента отмечалось кровохарканье, по результатам мультиспиральной компьютерной томографии с контрастированием выявлена тромбоэмболия легочной артерии правого легкого (концентрация D-димеров – 5,219 мкг/мл), тромбоцитопения легкой степени и повышение С-реактивного белка (СРБ), креатинина – 123 мкмоль/л. Обнаружен волчаночный антикоагулянт (в количестве 1,210 усл. ед.). В дальнейшем следовали неоднократные госпитализации в ФГБУ «НМИЦ ССХ им. А.Н. Бакулева», где проводили повторные пункции плевральных полостей. В ходе обследования исключены аутоиммунные заболевания, инфекционные причины, в том числе туберкулез, эозинофильный гранулематоз с полиангиитом, генетическое, ревматологические заболевания. По данным магнитно-резонансной томографии (МРТ): перикард уплотнен с мелкими спайками на уровне трабекулярной части правого желудочка (ПЖ), в карманах и полости перикарда – жидкое содержимое с сепарацией листков перикарда до 16–17 мм. По этим результатам нельзя исключить миокардит, в связи с чем к терапии добавлен преднизолон 50 мг/сут, на фоне чего состояние больного улучшилось. Пациент выписан. Болевой синдром периодически беспокоил, однако не влиял на качество жизни, возможность заниматься физической нагрузкой (ездой на велосипеде, плаванием). Однако на фоне проводимой терапии отмечалось увеличение уровня креатинина до 203,7 мкмоль/л. Терапия ибупрофеном отменена, продолжен прием колхицина и преднизолона. Вместе с тем на фоне приема преднизолона развились симптомы синдрома Иценко–Кушинга (с такими характерными признаками, как лунообразное лицо, стрии на передней брюшной стенке). В сентябре 2024 г. принято решение об отмене преднизолона в течение 20 дней, на фоне чего произошел рецидив перикардита. В октябре была госпитализация пациента в ФГБУ «НМИЦ ССХ им. А.Н. Бакулева», где возобновлена терапия преднизолоном 40 мг/сут. По ЭхоКГ отмечалось снижение ФВ до 46,7 %, выпот в полости перикарда, плевральных полостях. На фоне инициации терапии ибупрофеном – повторное увеличение креатинина до 200 мкмоль/л.
Настоящая госпитализация в связи с ухудшением состояния пациента. Лекарственная терапия на момент поступления включала следующие препараты: преднизолон – 40 мг/сут, колхицин – 1 мг/сут, торасемид – 10 мг/сут, ривароксабан – 20 мг/сут, бисопролол – 5 мг/сут, Верошпирон – 25 мг/сут.
В лабораторных анализах при поступлении отмечался лейкоцитоз (на фоне приема преднизолона), СРБ не повышен – 2,1 мг/л, тропонин – 3,1 пг/мл, N-концевой фрагмент предшественника мозгового натрийуретического пептида повышен значительно – до 1318 пг/мл.
По данным ЭКГ регистрированы изменения предсердного компонента (рис. 2).
Рис. 2. Электрокардиограмма пациента К. при поступлении. ЧСС – 92 уд/мин, отклонение электрической оси сердца вправо. Изменения предсердного компонента.
Fig. 2. Patient K’s electrocardiogram at admission. Heart rate was 92 bpm; the right axis deviation. Changes in the atrial component.
По данным трансторакальной ЭхоКГ: признаки констриктивно-экссудативного перикардита. Умеренное количество жидкости с признаками организации выпота. Сепарация листков перикарда в диастолу максимально до 1,2–1,7 см у боковой стенки ПЖ из субкостального доступа, до 1,0 см – у верхушки сердца, до 0,8 см – у задней стенки левого желудочка (ЛЖ) из парастернального доступа, до 0,5 см (выпот с признаками организации, гиперэхогенностью) – у правого предсердия, у нижней стенки ЛЖ и боковой стенки ЛЖ. Объем выпота составлял примерно 300 мл. Наблюдалось небольшое расширение левого предсердия. Нарушение продольной систолической деформации. ФВ – 55%. Признаки констриктивного перикардита: смещение межжелудочковой перегородки (МЖП) на вдохе в сторону ЛЖ; респираторная вариабельность диастолического потока на митральном клапане равна 25% (> 14,5%); отношение ретро- и антеградного потоков в печеночных венах в конце диастолы на выдохе составляло 1,28 (> 0,78); диастолическая скорость движения МЖП: e’ = 21 см/с (> 8 см/с); e’ МЖП/e’ бок. = 1,6 (> 0,9); признаки выраженного повышения давления в нижней полой вене, центральное венозное давление – 15–20 мм рт. ст.; гиперэхогенность и небольшое утолщение париетального листка перикарда – до 3–4 мм. Двусторонний умеренный гидроторакс (больше справа), небольшой асцит (рис. 3).
Рис. 3. Данные ЭхоКГ пациента К.: a – парастернальная проекция по длинной оси ЛЖ; b – апикальная проекция по короткой оси ЛЖ на уровне базальных сегментов.
Fig. 3. Patient K’s echocardiogram data: a – parasternal view along the long axis of the LV; b – apical view along the short axis of the LV at the level of the basal segments.
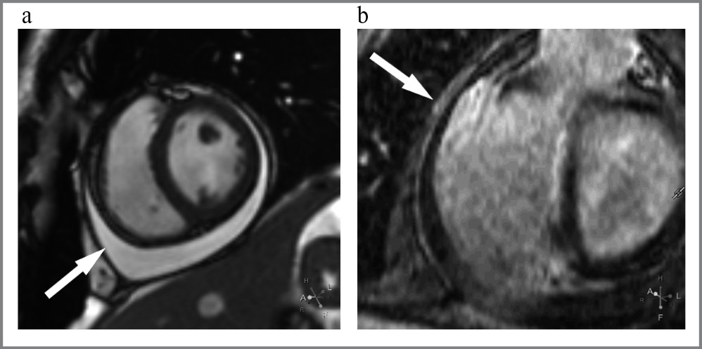
По данным кино-МРТ определялось уменьшение размеров обоих желудочков (индекс конечного диастолического объема ЛЖ = 44 мл/м2 (N = 56–80), индекс конечного диастолического объема ПЖ = 35 мл/м2 (N = 45–114). Сократимость миокарда ПЖ была в пределах нормы (48%), ЛЖ – умеренно снижена (47%). После введения контрастного препарата отмечалось его накопление в листках перикарда, наиболее выраженно оно наблюдалось вдоль правых отделов сердца в висцеральном листке перикарда. Участков патологического накопления контрастного препарата в миокарде желудочков не выявлено. Признаков отека перикарда и миокарда не обнаружено. В полости перикарда определялось повышенное скопление жидкости, максимальная толщина которого (на уровне основания сердца) – до 18 мм (рис. 4).
Рис. 4. Результаты МРТ пациента К.: a – кино-МРТ, короткая ось ЛЖ, определяется скопление жидкости между листками перикарда; b – отсроченное контрастирование, короткая ось ЛЖ. Стрелка указывает на контрастирование листка перикарда вдоль базального сегмента свободной стенки ПЖ.
Fig. 4. Patient K’s MRI results: a – cine-MRI, short axis of the LV, fluid accumulation between the pericardial layers; b – delayed contrast-enhanced MRI, short axis of the LV. The arrow indicates the contrast uptake of the pericardial layer along the basal segment of the free wall of the RV.
Пациенту показан прием квадротерапии хронической сердечной недостаточности, однако назначение ингибиторов ангиотензинпревращающего фермента / антагонистов рецепторов ангиотензина / ангиотензиновых рецепторов и неприлизина ингибитора в связи с гипотонией не представлялось возможным. Рекомендовано продолжить прием антагонистов минералокортикоидных рецепторов, β-адреноблокаторов, ингибиторов натрий-глюкозного котранспортера 2-го типа. Обращала на себя внимание также стойкая гипокалиемия (калий – 3,1 ммоль/л), вероятно ассоциированная с приемом преднизолона. В связи с этим доза спиронолактона увеличена до 150 мг/сут, к терапии добавлена таблетированная форма калия и магния аспарагината (6 таблеток в сутки).
Таким образом, терапия комбинацией НПВС и колхицина у пациента не в состоянии полностью купировать воспалительный процесс в полости сердечной сорочки, кроме того, на фоне приема ибупрофена отмечается значимое повышение концентрации креатина, в связи с чем препарат ранее был отменен. По данным проведенного обследования у пациента подтвержден диагноз ИРП. Вследствие частых рецидивов перикардита на фоне противовоспалительной терапии колхицином, преднизолоном больному показана специфическая противовоспалительная терапия высокоактивным ингибитором ИЛ-1 для снижения риска повторных рецидивов, развития тампонады сердца и конструктивного перикардита.
Клинический случай 2
Пациентка С. 49 лет поступила в ФГБУ «НМИЦК им. акад. Е.И. Чазова» 07.02.2025 с жалобами на боли в эпигастральной области, за грудиной с иррадиацией в левое плечо, лопатку без связи с провоцирующими факторами длительностью примерно несколько минут, общую слабость, сопровождающуюся повышенной потливостью, снижение толерантности к нагрузкам, одышку при ускорении темпа ходьбы.
По поводу аденокистозного рака левой околоушной железы в 2009, 2011, 2016 г. проводилось оперативное лечение, в 2016 г. – дистанционная фокусная лучевая терапия. В декабре 2021 г. перенесла ОРВИ, получен отрицательный результат на COVID-19 методом полимеразной цепной реакции. В январе 2022 г. регистрировано немотивированное снижение веса на 5 кг за 2 нед. С этого времени пациентка отмечала повышенную утомляемость, ночную потливость, одышку. В мае 2022 г. больная госпитализирована по месту жительства. При обследовании выявлено: гемоглобин – 65 г/л, скорость оседания эритроцитов – 16 мм/ч, железо – 2,4 мкмоль/л, повышение уровня креатинфосфокиназы – до 626,8 Ед/л. По данным ЭКГ: ритм синусовый с частотой сердечных сокращений (ЧСС) 60 уд/мин. По данным ЭхоКГ: жидкость в полости перикарда без количественного определения объема, глобальная и локальная сократимость – в норме. По результатам мультиспиральной компьютерной томографии органов грудной клетки и органов брюшной полости данных, подтверждающих наличие объемных образований, не получено. Установлен диагноз: «Железодефицитная анемия тяжелой степени». Проведен онкопоиск в связи с анемией, данных, свидетельствующих об онкологическом процессе, не получено. По результатам позитронной эмиссионной томографии от 2022 г. данных о наличии опухолевой ткани с гетерометаболической активностью радиофармпрепарата 18F-ФДГ не получено. Назначены: Верошпирон, торасемид, препараты железа с некоторым эффектом.
Повторное ухудшение состояния зафиксировано в начале мая 2023 г. (после перенесенной ОРВИ). Рецидивировали жалобы на общую слабость, профузную потливость при привычной физической нагрузке и ночью во время сна, дискомфорт, давящие боли в левой половине грудной клетки, озноб. Повышение температуры тела отрицает. Назначена терапия ибупрофеном 1200 мг, колхицином 1 г – клинически без эффекта. Через 6 мес по данным ЭхоКГ наблюдалось расхождение листков перикарда более 10 мм. В сентябре 2023 г. пациентка госпитализирована в отделение ревматологии ФГБОУ ВО «СЗГМУ им. И.И. Мечникова» г. Санкт-Петербурга. В ходе обследования выявлены: антинуклеарный фактор (март 2023 г.) – 1:160. Других критериев, подтверждающих наличие системных заболеваний соединительной ткани, не получено. С учетом отсутствия эффекта от лечения к терапии НПВС и колхицином добавлены азатиоприн – 100 мг/сут, метилпреднизолон – 16 мг/сут. На фоне снижения дозы препаратов (метилпреднизолона – 8 мг, азатиоприна – 100 мг) клинически отмечала ухудшение общего самочувствия. В сентябре 2024 г. по результатам ЭхоКГ зарегистрировано расхождение листков перикарда до 8 мм с нитями фибрина по нижней стенке. Скорость оседания эритроцитов составляла 67 мм/ч. Увеличена доза ГКС. В настоящее время принимает азатиоприн – 100 мг/сут, метилпреднизолон – 14 мг/сут. По данным ЭхоКГ от июня 2024 г. – сепарация листков перикарда до 5 мм. Неоднократно консультирована ревматологом, онкологом, фтизиатром, инфекционистом – все сопутствующие заболевания исключены. Госпитализация в ФГБУ «НМИЦК им. акад. Е.И. Чазова» осуществлена в связи с перечисленными жалобами. Лекарственная терапия на момент поступления: метилпреднизолон – 14 мг/сут, азатиоприн – 100 мг/сут, омепразол – 20 мг/сут.
Для дифференциации генеза заболевания амбулаторно проведено обследование: выполнены анализы методом полимеразной цепной реакции на выявление специфических агентов, таких как парвовирусы В19, цитомегаловирус, вирус простого герпеса 1 и 2-го типа, вирус герпеса 6-го типа, вирус Эпштейна–Барр, антитела к возбудителям иксодовых клещевых боррелиозов – отрицательные. Вирусная этиология перикардита исключена. Пациентка консультирована онкологом: данных, свидетельствующих об онкологическом процессе, в ходе дообследования не получено. Анализ крови на антинуклеарный фактор, антитела к нативной ДНК, ревматоидный фактор, квантифероновый тест – отрицательные. При обследовании в отделении по данным ЭКГ, холтеровского мониторирования ЭКГ значимых нарушений сердечного ритма не выявлено (рис. 5).
Рис. 5. Электрокардиограмма при поступлении пациентки С.: ЧСС – 58 уд/мин, нормальное положение электрической оси сердца. Особенности внутрижелудочкового проведения.
Fig. 5. Patient C’s electrocardiogram at admission: Heart rate was 58 bpm, normal axis. Features of intraventricular conduction.
По данным трансторакальной ЭхоКГ: регистрировалась сепарация листков перикарда в области атриовентрикулярной борозды, по переднебоковым стенкам правых камер – до 5–6 мм. Объем жидкости составлял приблизительно 200 мл. ФВ – 60%, зон нарушения локальной сократимости нет (рис. 6, a, b).
Рис. 6. Результаты ЭхоКГ пациентки С.: a – парастернальная проекция по длинной оси ЛЖ, жидкость по задней стенке ЛЖ; b – апикальная позиция по короткой оси ЛЖ, гиперэхогенность листков перикарда.
Fig. 6. Patient C’s echocardiogram results: a – parasternal view along the long axis of the LV, fluid along the posterior wall of the LV; b – apical position along the short axis of the LV, hyperechogenicity of the pericardial layers.
Для исключения гемодинамически значимого поражения коронарных артерий 12.02.2025 больной проведена коронароангиография, по результатам которой коронарные артерии интактны.
Пациентка консультирована эндокринологом. С учетом развития стероидного остеопороза рекомендовано постепенное снижение дозы ГКС под контролем клинической симптоматики перикардита и перевод на альтернативную терапию. Ревматологом исключены системные заболевания соединительной ткани как причина развития перикардита, а также постлучевой перикардит. Рекомендована инициация терапии блокаторами ИЛ-1, при положительном эффекте – постепенное снижение метилпреднизолона с сохранением приема азатиоприна.
Таким образом, по данным проведенного обследования, у пациентки подтвержден диагноз ИРП. Принимая во внимание наличие рефрактерности к лечению препаратами группы НПВС (ибупрофеном) и колхицином, рецидивирование перикардита при попытках снижения доз метилпреднизолона и азатиоприна, а также развитие осложнений на фоне длительной терапии метилпреднизолоном (синдрома Иценко–Кушинга и стероидного остеопороза), для снижения риска повторных рецидивов, развития тампонады сердца и констриктивного перикардита пациентке показана специфическая противовоспалительная терапия ингибитором ИЛ-1 гофликицептом.
Обсуждение
Представленные нами примеры описывают возможные трудности, возникающие на фоне назначения стандартной терапии ИРП, связанные с неэффективностью базисной терапии и развитием побочных эффектов.
Первый случай демонстрирует развитие побочных эффектов на фоне длительного приема НПВС, в частности нарушение функции почек. Кроме сердечно-сосудистых и желудочно-кишечных осложнений, возникающих при длительном применении НПВС, может наблюдаться ряд других осложнений [20]. Они могут быть вызваны как острым повреждением почек, встречающимся в 1% случаев, так и хронической болезнью почек, что включает в себя электролитные нарушения, гломерулонефрит и другие патологические состояния [21]. В то же время длительный прием ГКС ассоциирован с развитием таких осложнений, как синдром Иценко–Кушинга. Синдром Кушинга характеризуется повышенной смертностью и различными сопутствующими заболеваниями с выраженным влиянием на качество жизни, например метаболическими и нейропсихиатрическими расстройствами, нарушениями репродуктивной сферы, дерматологическими проявлениями, а также осложнениями со стороны опорно-двигательного аппарата [22]. К последним относятся остеопороз, переломы и миопатия [22, 23]. ГКС способствуют развитию остеопороза за счет апоптоза в остеобластах и остеоцитах из-за активации протеолитического фермента каспазы-3 [24] и могут также влиять на метаболизм и функцию остеоцитов [25], изменяя модуль упругости, окружающий лакуны остеоцитов, и вызывая снижение соотношения минералов к матриксу в тех же областях с увеличением размера лакун. Степень нарушений со стороны опорно-двигательного аппарата зависит в основном от времени воздействия и концентрации ГКС [26].
Во 2-м случае представлено нередкое развитие рефрактерности к НПВС. Однако нельзя исключить того, что ухудшение состояния пациента, связанное с железодефицитной анемией, усугубилось на фоне приема НПВС в связи с развитием гастропатии. Наиболее частым проявлением НПВС-индуцированной энтеропатии может являться наличие железодефицитной анемии [27]. По результатам нескольких метаанализов представлены данные об увеличении относительного риска развития тяжелых осложнений со стороны желудочно-кишечного тракта при приеме НПВС: так, у пациентов, принимающих НПВС, этот риск в 3–4 раза выше по сравнению с таковым у больных, не получающих терапию препаратами данной группы [28, 29]. Частота встречаемости НПВС-ассоциированных осложнений на фоне длительной терапии представлена в табл. 1 [27].
Таблица 1. Частота развития осложнений на фоне приема НПВС
Table 1. Complication rate with NSAIDs
Осложнения | Количество осложнений, % | Патогенез |
НПВС-ассоциированная диспепсия | 10–40 | Повышение проницаемости слизистой оболочки желудка для Н+, контактное действие НПВС |
Артериальная гипертензия | 2–10 | Блокада ЦОГ-2 в почках, снижение синтеза ПГ и простациклина |
НПВС-нефропатия | ~ 1 | Блокада ЦОГ-1/ЦОГ-2-зависимого синтеза ПГ в тканях почек |
НПВС-энтеропатия | 0,5–1 | Блокада ЦОГ-1, подавление синтеза ПГ в слизистой оболочке кишки, повышение ее проницаемости и развитие воспаления, связанного с транслокацией бактерий |
Послеоперационные кровотечения | 0,5–1 | Блокада ЦОГ-1 и снижение синтеза тромбоксана А2 |
Примечание. ЦОГ – циклооксигеназа, ПГ – простагландин.
Попытка присоединения к терапии ГКС привела к развитию остеопороза у пациента, что делает невозможным продолжение данного лечения.
Колхицин традиционно используется в терапии перикардитов, противовоспалительный эффект данного препарата реализуется посредством совершенно иных патофизиологических механизмов по сравнению с ГКС и НПВС. Кроме того, колхицин подавляет хемотаксис и активность нейтрофилов в ответ на сосудистое повреждение, подавляет сигнализацию инфламмасом и снижает выработку активного ИЛ-1β, снижает взаимодействие и агрегацию нейтрофилов и тромбоцитов, тем самым оказывает быстрое противовоспалительное действие [30–32]. В метаанализе рандомизированных контролируемых исследований показана частота развития осложнений на фоне длительной терапии колхицином при ряде заболеваний, в том числе и при перикардитах. Всего в исследовании проанализированы данные 8659 пациентов. Перечень побочных эффектов, по данным метаанализа, представлен в табл. 2 [32, 33]. В связи с этим нельзя отрицать наличие сложностей при применении колхицина в определенных группах риска, в том числе у больных с нарушением функции печени и почек.
Таблица 2. Частота развития осложнений на фоне приема колхицина
Table 2. Complication rate with colchicine
Осложнения | Показатель, % |
Диарея | 19,0 |
Другие расстройства желудочно-кишечного тракта | 17,6 |
Нарушения функции печени | 1,9 |
Миопатии, мышечная слабость, боли в мышцах | 4,2 |
Гематологические нарушения | 0,6 |
Сенсорные нарушения | 1,1 |
Инфекционные заболевания | 0,4 |
Заключение
Таким образом, патогенетическая терапия ИРП, основанная на гиперактивации каскадного пути ИЛ-1, представляется крайне важной не только из-за того, что такой вид лечения позволяет добиться значимого улучшения клинических исходов, но и вследствие частого развития побочных эффектов на фоне длительного использования колхицина, НПВС и ГКС. Противовоспалительная терапия ингибитором ИЛ-1 может рассматриваться в качестве препарата терапии 1-й линии. Соответственно, определенным группам пациентов с высоким риском возникновения специфических нежелательных явлений гофликицепт может рекомендоваться как препарат терапии 1-й линии.
Конфликт интересов. Авторы заявляют об отсутствии личных, профессиональных или финансовых отношений, которые могли бы быть расценены как конфликт интересов в рамках данного исследования. Независимость научной оценки, интерпретации данных и подготовки рукописи сохранялась на всех этапах работы, включая этап финансирования проекта со стороны компании «Р-фарм».
Conflict of interest. The authors declare no personal, professional, or financial relationships that could be regarded as a conflict of interest for this study. The independence of the scientific assessment, data interpretation, and manuscript writing was maintained at all stages of work, including the stage of financing by the company R-Pharm.
Вклад авторов. Авторы декларируют соответствие своего авторства международным критериям ICMJE. Все авторы в равной степени участвовали в подготовке публикации: разработка концепции статьи, получение и анализ фактических данных, написание и редактирование текста статьи, проверка и утверждение текста статьи.
Authors’ contribution. The authors declare the compliance of their authorship according to the international ICMJE criteria. All authors made a substantial contribution to the conception of the work, acquisition, analysis, interpretation of data for the work, drafting and revising the work, final approval of the version to be published and agree to be accountable for all aspects of the work.
Источник финансирования. Материал подготовлен при финансовой поддержке компании «Р-фарм». Спонсор не участвовал в сборе, анализе данных, интерпретации результатов. При подготовке рукописи авторы сохранили независимость мнений.
Funding source. The paper was prepared with the financial support of the company R-Pharm. The sponsor was not involved in the data collection and analysis and the interpretation of results. In preparing the manuscript, the authors maintained the independence of opinion.
Информированное согласие на публикацию. Пациенты подписали форму добровольного информированного согласия на публикацию медицинской информации.
Consent for publication. Written consent was obtained from the patients for publication of relevant medical information and all of accompanying images within the manuscript.
About the authors
Angelina A. Petrukhina
Chazov National Medical Research Center of Cardiology
Email: a_safiulina@mail.ru
ORCID iD: 0000-0002-4570-3258
канд. мед. наук, мл. науч. сотр. отд. заболеваний миокарда и сердечной недостаточности
Russian Federation, MoscowAlfia А. Safiullina
Chazov National Medical Research Center of Cardiology
Author for correspondence.
Email: a_safiulina@mail.ru
ORCID iD: 0000-0003-3483-4698
д-р мед. наук, ст. науч. сотр. отд. заболеваний миокарда и сердечной недостаточности
Russian Federation, MoscowYulia F. Osmolovskaya
Chazov National Medical Research Center of Cardiology
Email: a_safiulina@mail.ru
ORCID iD: 0000-0002-7827-2618
канд. мед. наук, зав. кардиологическим отд-нием заболеваний миокарда и сердечной недостаточности
Russian Federation, MoscowIgor V. Zhirov
Chazov National Medical Research Center of Cardiology; Russian Medical Academy of Continuous Professional Education
Email: a_safiulina@mail.ru
ORCID iD: 0000-0002-4066-2661
д-р мед. наук, вед. науч. сотр. отд. заболеваний миокарда и сердечной недостаточности; проф. каф. кардиологии
Russian Federation, Moscow; MoscowOlga V. Stukalova
Chazov National Medical Research Center of Cardiology
Email: a_safiulina@mail.ru
ORCID iD: 0000-0001-8377-2388
д-р мед. наук, ст. науч. сотр. лаб. магнитно-резонансной томографии
Russian Federation, MoscowVictor N. Shitov
Chazov National Medical Research Center of Cardiology
Email: a_safiulina@mail.ru
ORCID iD: 0000-0002-8878-7340
мл. науч. сотр. отд. ультразвуковой диагностики
Russian Federation, MoscowSergey N. Tereshchenko
Chazov National Medical Research Center of Cardiology; Russian Medical Academy of Continuous Professional Education
Email: a_safiulina@mail.ru
ORCID iD: 0000-0001-9234-6129
д-р мед. наук, проф., рук. отд. заболеваний миокарда и сердечной недостаточности; зав. каф. кардиологии
Russian Federation, Moscow; MoscowReferences
- Brucato A, Imazio M, Cremer PC, et al. Recurrent pericarditis: Still idiopathic? The pros and cons of a well-honoured term. Intern Emerg Med. 2018;13(6):839-44. doi: 10.1007/s11739-018-1907-x
- Imazio M, Belli R, Brucato A, et al. Efficacy and safety of colchicine for treatment of multiple recurrences of pericarditis (CORP-2): A multicentre, double-blind, placebo-controlled, randomised trial. Lancet. 2014;383(9936):2232-7. doi: 10.1016/S0140-6736(13)62709-9
- Мячикова В.Ю., Маслянский А.Л., Моисеева О.М. Идиопатический рецидивирующий перикардит – новое орфанное аутовоспалительное заболевание? Ретроспективный анализ случаев идиопатического рецидивирующего перикардита и план рандомизированного, плацебо-контролируемого исследования для оценки терапевтической эффективности и безопасности блокатора ИЛ-1 (RPH-104). Кардиология. 2021;61(1):727 [Myachikova VYu, Maslyansky AL, Moiseeva OM. Is idiopathic recurrent pericarditis a new orphan autoinflammatory disease? A retrospective analysis of cases of idiopathic recurrent pericarditis and a plan for a randomized, placebo-controlled trial to evaluate the therapeutic efficacy and safety of an IL-1 blocker (RPH-104). Cardiology. 2021;61(1):72-7 (in Russian)]. doi: 10.18087/cardio.2021.1.n1475
- Chiabrando JG, Bonaventura A, Vecchié A, et al. Management of acute and recurrent pericarditis: JACC state-of-the-art review. J Am Coll Cardiol. 2020;75(1):76-92. doi: 10.1016/j.jacc.2019.11.021
- Imazio M, Gaita F. Diagnosis and treatment of pericarditis. Heart. 2015;101(14):1159-68. doi: 10.1136/heartjnl-2014-306362
- Zipes D, Libby P, Bonow R, et al. Braunwald's heart disease: A textbook of cardiovascular medicine. 2-Volume Set, 11th Ed. Philadelphia: Elsevier, 2019.
- Моисеев С.В., Рамеев В.В. Дифференциальный диагноз системных аутовоспалительных заболеваний. Клиническая фармакология и терапия. 2022;31(2):5-13 [Moiseev S, Rameev V. Differential diagnosis of systemic autoinflammatory diseases. Klinicheskaya farmakologiya i terapiya = Clin Pharmacol Ther. 2022;31(2):5-13 (in Russian)]. doi: 10.32756/0869-5490-2022-2-5-132
- Lazaros G, Antonatou K, Vassilopoulos D. The therapeutic role of interleukin-1 inhibition in idiopathic recurrent pericarditis: Current evidence and future challenges. Front Med (Lausanne). 2017;4:78. doi: 10.3389/fmed.2017.00078
- De Nardo D. Toll-like receptors: Activation, signalling and transcriptional modulation. Cytokine. 2015;74(2):181-9. doi: 10.1016/j.cyto.2015.02.025
- Latz E, Xiao TS, Stutz A. Activation and regulation of the inflammasomes. Nat Rev Immunol. 2013;13(6):397-411. doi: 10.1038/nri3452
- Rieber N, Gavrilov A, Hofer L, et al. A functional inflammasome activation assay differentiates patients with pathogenic NLRP3 mutations and symptomatic patients with low penetrance variants. Clin Immunol. 2015;157(1):56-64. doi: 10.1016/j.clim.2015.01.003
- Swanson KV, Deng M, Ting JP. The NLRP3 inflammasome: molecular activation and regulation to therapeutics. Nat Rev Immunol. 2019;19(8):477-89. doi: 10.18087/cardio.2021.1.n1475
- van Kempen TS, Wenink MH, Leijten EF, et al. Perception of self: Distinguishing autoimmunity from autoinflammation. Nat Rev Rheumatol. 2015;11(8):483-92. doi: 10.1038/nrrheum.2015.60
- Cavalli G, Colafrancesco S, Emmi G, et al. Interleukin 1α: A comprehensive review on the role of IL-1α in the pathogenesis and treatment of autoimmune and inflammatory diseases. Autoimmun Rev. 2021;20(3):102763. doi: 10.1016/j.autrev.2021.102763
- Kougkas N, Fanouriakis A, Papalopoulos I, et al. Canakinumab for recurrent rheumatic disease associated-pericarditis: A case series with long-term follow-up. Rheumatology (Oxford). 2018;57(8):1494-5. doi: 10.1093/rheumatology/key077
- García-García G, Fernández-Auzmendi V, Olgado-Ferrero F, et al. Acute miopericarditis as the presenting feature of adult-onset Still’s disease. Reumatología Clínica (English Edition). 2012;8(1):31-3 (in Spanish). doi: 10.1016/j.reumae.2011.03.002
- Мячикова В.Ю., Маслянский А.Л., Гайдукова И.З., и др. Трудности диагностики и лечения болезни Стилла взрослых, протекавшей с экссудативным перикардитом в качестве ведущего клинического проявления. Современная ревматология. 2016;10(1):31-6 [Myachikova VYu, Maslyansky AL, Gaydukova IZ, et al. Difficulties in diagnosis and treatment of adult-onset Still’s disease concurrent with pericardial effusion as a leading clinical manifestation. Sovremennaya Revmatologia = Modern Rheumatology Journal. 2016;10(1):31-6 (in Russian)]. doi: 10.14412/1996-7012-2016-1-31-36
- Imazio M, Brucato A, Cumetti D, et al. Corticosteroids for Recurrent pericaditis: High versus Low doses: A nonrandomized observation. Circulation. 2008;118(6):667-71. doi: 10.1161/CIRCULATIONAHA.107.761064
- Cantarini L, Lucherini OM, Frediani B, et al. Bridging the gap between the clinician and the patient with cryopyrin-associated periodic syndromes. Int J Immunopathol Pharmacol. 2011;24(4):827-36. doi: 10.1177/039463201102400402
- Lucas GNC, Leitao ACC, Alencar RL, et al. Pathophysiological aspects of nephropathy caused by non-steroidal anti-inflammatory drugs. J Bras Nefrol. 2019;41(1):124-30. doi: 10.1590/2175-8239-JBN-2028-0107
- Ziya Şener Y, Okşul M. Effects of NSAIDs on kidney functions and cardiovascular system. J Clin Hypertens (Greenwich). 2020;22(2):302. doi: 10.1111/jch.13769
- Pivonello R, Isidori AM, De Martino MC, et al. Complications of Cushing's syndrome: Current state. Lancet Diabetes Endocrinol. 2016;4(7):611-29. doi: 10.1016/S2213-8587(16)00086-3
- Reinke M. Myopathy associated with Cushing's syndrome: It's time for a change. Endocrinol Metab (Seoul). 2021;36(3):564-71. doi: 10.3803/EnM.2021.1069
- O'Brien CA, Jia D, Plotkin LI, et al. Glucocorticoids act directly on osteoblasts and osteocytes, causing their apoptosis and reducing bone formation and strength. Endocrinology. 2004;145(4):1835-41. doi: 10.1210/en.2003-0990
- Lane NE, Yao W, Balooch M, et al. In mice treated with glucocorticoid therapy, local changes in the properties of trabecular bone material and the size of osteocyte lacunae were observed, which were not observed in mice treated with placebo or deficient in estrogen. J Bone Miner Res. 2006;21(3):466-76. doi: 10.1359/JBMR.051103
- Canalis E, Delany AM. Mechanisms of action of glucocorticoids in bones. Ann NY Acad Sci. 2002;966:73-81. doi: 10.1111/j.1749-6632.2002.tb04204.x
- Каратеев А.Е., Насонов Е.Л., Яхно Н.Н., и др. Клинические рекомендации «Рациональное применение нестероидных противовоспалительных препаратов (НПВС) в клинической практике». Современная ревматология. 2015;9(1):4-23 [Karateev AE, Nasonov EL, Yakhno NN, et al. Clinical recommendations "Rational use of nonsteroidal anti-inflammatory drugs (NSAIDs) in clinical practice". Modern Rheumatology. 2015;9(1):4-23 (in Russian)]. doi: 10.14412/1996-7012- 2015-1-4-23
- Moskowitz RW, Abramson SB, Berenbaum F, et al. Coxibs and NSAIDs – is the air any clearer? Perspectives from the OARSI/International COX-2 Study Group Workshop 2007. Osteoarthritis Cartilage. 2007;15(8): 849-56. doi: 10.1016/j.joca.2007.06.012
- Каратеев А.Е., Мороз Е.В. Влияют ли глюкокортикоиды на развитие язв и эрозий верхних отделов желудочно-кишечного тракта у больных, принимающих НПВС? Терапевтический архив. 2018;90(5):50-4 [Karateev AE, Moroz EV. Do glucocorticoids affect the development of ulcers and erosions of the upper gastrointestinal tract in patients taking NSAIDs? Terapevticheskii Arkhiv (Ter. Arkh.). 2018;90(5):50-4 (in Russian)]. DOI:10.26442/ terarkh201890550-54
- Deftereos S, Giannopoulos G, Papoutsidakis N, et al. Colchicine and the heart: Going beyond the limits. J Am Coll Cardiol. 2013;62(20):1817-25. doi: 10.1016/j.jacc.2013.08.726
- Leung YY, Yao Hui LL, Kraus VB. Colchicine – Updated information on the mechanisms of action and therapeutic use. Semin Arthritis Rheum. 2015;45(3):341-50. doi: 10.1016/J.semarthrit.2015.06.013
- Stewart S, Yang KCK, Atkins K, et al. Side effects of oral colchicine: A systematic review and meta-analysis of randomized controlled trials. Arthritis Res Ther. 2020;22(1):28. doi: 10.1186/s13075-020-2120-7
- Tardif JC, Bouabdallaoui N, L'Allier PL, et al. Colchicine for community-treated patients with COVID-19 (COLCORONA): a phase 3, randomised, double-blinded, adaptive, placebo-controlled, multicentre trial. Lancet Respir Med. 2021;9(8):924-32. doi: 10.1016/S2213-2600(21)00222-8
Supplementary files








