Heart transplantation for transthyretin amyloidosis. Clinical case
- Authors: Nasonova S.N.1, Zhirov I.V.1, Shoshina A.A.1, Osmolovskaya Y.F.1, Tchaikovskaya O.Y.1, Dobrovolskaya S.V.1, Saidova M.A.1, Butorova E.A.1, Ansheles A.A.1, Kazieva M.S.2, Grishina D.A.2, Krougly L.B.3, Mozheiko N.P.3, Koloskova N.N.3, Tereshchenko S.N.1
-
Affiliations:
- Chazov National Medical Research Center of Cardiology
- Scientific Center of Neurology
- Shumakov National Medical Research Center for Transplantology and Artificial Organs
- Issue: Vol 97, No 9 (2025): Issues of cardiology
- Pages: 806-813
- Section: Case reports
- Submitted: 02.07.2025
- Accepted: 02.07.2025
- Published: 20.10.2025
- URL: https://ter-arkhiv.ru/0040-3660/article/view/686551
- DOI: https://doi.org/10.26442/00403660.2025.09.203367
- ID: 686551
Cite item
Full Text
Abstract
Amyloid cardiomyopathy is an infiltrative disease with extremely adverse prognosis. New treatments are now emerging, however they are not aimed at eliminating the existing deposits of amyloid, but at preventing new ones. Given the difficulties of diagnosing the disease at an early stage, patients often end up in the hospital with advanced heart failure. In such cases, the efficacy of a pathogenic therapy is extremely low, which makes the treatment of an advanced stage of the disease very important. The article discusses the possibility of heart transplantation for patients with amyloid cardiomyopathy. A clinical case of a patient with hereditary transthyretin amyloidosis who was performed biatric orthotopic heart transplantation is presented.
Full Text
Список сокращений
АКМП – амилоидная кардиомиопатия
ЛЖ – левый желудочек
ЛП – левое предсердие
МЖП – межжелудочковая перегородка
МРТ – магнитно-резонансная томография
ОЭКТ – однофотонная эмиссионная компьютерная томография
ПП – правое предсердие
РФП – радиофармпрепарат
СН – сердечная недостаточность
ЭКГ – электрокардиограмма
ЭхоКГ – эхокардиография
AL-амилоидоз – амилоидоз легких цепей
ATTR-АКМП – транстиретиновая амилоидная кардиомиопатия
Введение
Амилоидная кардиомиопатия (АКМП) – инфильтративное заболевание с крайне неблагоприятным прогнозом [1]. Несмотря на системность поражения органов при амилоидозе, именно поражение сердца обусловливает неблагоприятный прогноз и зачастую ассоциируется с ожиданием скорого фатального исхода вне зависимости от типа амилоидоза [2].
В настоящее время появляются новые перспективные методы лечения АКМП, белком-предшественником которой является транстиретин (ATTR-АКМП): селективные стабилизаторы транстиретина [3, 4], препараты на основе РНК-интерференции [5]. Однако стоит отметить, что весь существующий спектр специфических препаратов направлен на предотвращение прогрессирования заболевания и никак не влияет на уже имеющиеся депозиты амилоида в тканях органов. В связи с этим остро встает вопрос ранней диагностики заболевания и лечения продвинутой стадии заболевания.
К сожалению, многие пациенты попадают в поле зрения специалистов уже на далеко зашедшей стадии с терминальной сердечной недостаточностью (СН), когда эффективность патогенетического лечения оказывается крайне низкой [6]. В подобных случаях применение в качестве долгосрочной терапии устройств механической поддержки левого желудочка (ЛЖ) из-за малого объема полости ЛЖ ограничено и единственной опцией терапевтической стратегии остается трансплантация сердца [7].
В мировой практике существуют противоречивые мнения относительно трансплантации сердца у пациентов с АКМП. В ранних исследованиях амилоидоз рассматривался как противопоказание вследствие гипотезы о возможности поражения амилоидом уже и донорского сердца [8]. При анализе данных 24 центров у 10 пациентов диагностирован амилоидоз сердца после трансплантации по данным гистологического исследования биоптатов сердец реципиентов. При последующем наблюдении у 4 из 10 пациентов диагностировано амилоидное поражение аллотрансплантата, у двоих – бессимптомное [8]. В настоящее время назначение в послеоперационном периоде препаратов, замедляющих амилоидогенез, позволяет решить эту проблему.
Другим существенным ограничением является проблема дефицита донорских органов, что в совокупности с худшим прогнозом пациентов с АКМП делает этот подход спорным. Так, например, Испанский регистр по трансплантации сердца включает 25 пациентов с АКМП. Выживаемость пациентов с АКМП сердца после трансплантации сопоставима с выживаемостью пациентов без амилоидоза в ранние сроки, однако уже через 5 лет она значимо снижается (46% против 78%; p<0,02) – как правило, вследствие прогрессирования системных проявлений [9]. В большинстве случаев летальные исходы отмечались у пациентов с амилоидозом легких цепей (AL-амилоидозом) в эпоху до появления эффективной специфической терапии.
В 2024 г. клиникой Мэйо опубликованы результаты наблюдения пациентов с АКМП, перенесших трансплантацию сердца за период с 1 января 2007 по 31 декабря 2020 г. (n=55). Выживаемость пациентов оказалась сопоставима с выживаемостью пациентов без амилоидоза, перенесших трансплантацию сердца за аналогичный период (n=1436). Так, в когорте пациентов с АКМП выживаемость через 1, 3, 5, 10 лет составила 96,4, 90,8, 84,3, 64,4% соответственно. В когорте пациентов без амилоидоза – 92,9, 88,0, 83,8, 67,7%. Статистически значимых различий не получено (55 vs 1436; p=0,816). Худшая выживаемость пациентов с AL-амилоидозом нивелирована применением комбинированной высокодозовой химиотерапии [10].
Таким образом, трансплантация сердца у пациентов с АКМП с появлением препаратов, замедляющих амилоидогенез, является перспективным направлением. В связи с этим нам представляется интересным описать клинический случай наблюдения пациента после ортотопической трансплантации сердца с диагнозом наследственного транстиретинового амилоидоза.
Клинический случай
Пациент Б., 61 год. Заболевание манифестировало в 2018 г. в виде нарушений ритма сердца: пароксизмальной тахисистолической формы фибрилляции предсердий. С этого же времени стала беспокоить одышка при физических нагрузках, появились отеки нижних конечностей. Медикаментозная антиаритмическая терапия эффекта не имела, в последующем наблюдался синдром тахикардии-брадикардии, потребовавший имплантации постоянной системы электрокардиостимуляции.
Неоднократно госпитализировался в стационар в связи с явлениями декомпенсации СН. В 2019 г. по данным эхокардиографии (ЭхоКГ) обращали на себя внимание утолщение межжелудочковой перегородки (МЖП) до 28 мм, нарушения диастолической функции по рестриктивному типу. Выставлен диагноз гипертрофической кардиомиопатии. Несмотря на проводимую терапию, состояние продолжало ухудшаться, и в 2020 г. на фоне очередного эпизода декомпенсации СН у пациента развивается кардиогенный шок. В экстренном порядке в апреле 2020 г. в ФГБУ «НМИЦ ТИО им. акад. В.И. Шумакова» пациенту выполнена биатриальная ортотопическая трансплантация сердца. По настоящее время регулярно проходит ежегодное обследование. Таким образом, наиболее вероятно, у пациента имела место АКМП, протекавшая по гипертрофическому фенотипу, в связи с чем в дальнейшем выполнена трансплантация сердца. Проведено гистологическое исследование биоптатов сердца реципиента – выявлены глыбки амилоида, однако типирование амилоида не проводилось.
В 2021 г. отметил появление и постепенное нарастание «мурашек», покалывания, жжения, онемения в стопах, а затем и в кистях. С 2022 г. возникла слабость в ногах, появились трудности при ходьбе, вплоть до потребности в дополнительной односторонней опоре. Через год нарушилась мелкая моторика в кистях (трудности при застегивании пуговиц, пересчитывании монет), в них появилась мышечная слабость. Пациент неоднократно консультирован неврологами, диагностирована сенсомоторная дистальная полинейропатия верхних и нижних конечностей неуточненного генеза. В качестве лечения использовалась нейрометаболическая и противоболевая терапия. Однако явления полинейропатии продолжили прогрессировать. С 2024 г. присоединилась клиника поражения вегетативной нервной системы в виде атонии мочевого пузыря, ортостатической гипотензии с синкопальными эпизодами. У пациента также наблюдается клиника поражения желудочно-кишечного тракта: за время болезни масса тела снизилась на 30 кг, с 2024 г. присоединилось частое ощущение тошноты. Запоры пациента беспокоят около 10 лет, однако этому не придавалось особого значения.
Осенью 2024 г. выполнено молекулярно-генетическое исследование: методом прямого секвенирования всей кодирующей последовательности нуклеотидов в экзоне 2 гена TTR выявлен патогенный вариант – с.157Т>С (p.(Phe53Leu), р. F53L) в гетерозиготном состоянии. В связи с выявленной мутацией направлен в Экспертный центр по амилоидозу сердца ФГБУ «НМИЦК им. акад. Е.И. Чазова» для уточнения степени вовлечения донорского сердца в амилоидный процесс. Пациент обследован согласно существующему алгоритму каскадной диагностики ATTR-АКМП. Анамнез представлен на рис. 1.
Рис. 1. Анамнез заболевания пациента Б.
Примечание. ЭКС – электрокардиостимулятор, ОДСН – острая декомпенсация СН, ФП – фибрилляция предсердий, ГКМП – гипертрофическая кардиомиопатия.
Fig. 1. Patient B.’s medical history.
Следует отметить, что семейный анамнез по линии матери по кардиомиопатиям, хронической СН, неврологическим заболеваниям, внезапной сердечной смерти не отягощен, а со стороны отца семейный анамнез собрать не удалось.
При поступлении – состояние средней степени тяжести. Объективно признаков декомпенсации хронической СН не выявлено.
В лабораторных анализах отмечалось повышение концентрации N-концевого натрийуретического пропептида до 1003 пг/мл, тропонина – до 38,53 пг/мл.
На электрокардиограмме (ЭКГ) – синусовая тахикардия с частотой сердечных сокращений 95 уд/мин (рис. 2).
Рис. 2. ЭКГ пациента Б.
Fig. 2. Patient B.’s ECG.
Выполнена ЭхоКГ, по результатам которой утолщения стенок донорского сердца не выявлено (толщина МЖП и задней стенки ЛЖ 9 мм), глобальная сократимость ЛЖ удовлетворительная. Расширение полостей предсердий. Нарушение диастолической функции по 1-му типу. Признаков отторжения трансплантата не выявлено. По данным speckle-tracking ЭхоКГ – глобальная продольная деформация снижена (-15%), сегментарное распределение не типично для амилоидоза (рис. 3).
Рис. 3. Параметры деформации миокарда пациента Б.
Fig. 3. Patient B.’s myocardial deformation parameters.
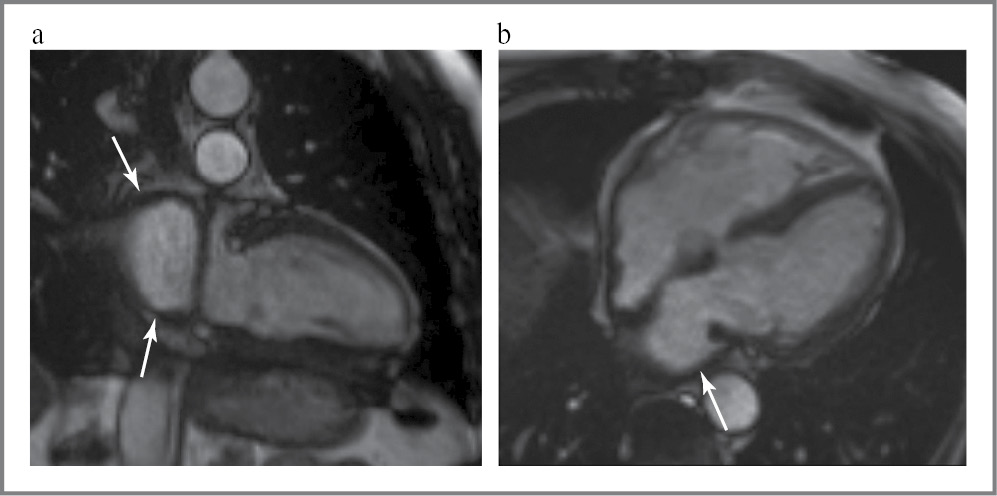
Выполнена магнитно-резонансная томография (МРТ) сердца и магистральных сосудов – визуализируется деформация левого предсердия – ЛП (состояние после ортотопической трансплантации сердца). Стенка ЛП утолщена до 4 мм в верхних отделах на уровне устьев легочных вен (рис. 4). ЛЖ небольших размеров: конечно-диастолический объем ЛЖ – 72,4 мл/м2 (N 103–192 мл), индекс конечно-диастолического объема ЛЖ – 32 мл/м2 (N 49–97 мл/м2). Правое предсердие (ПП) расширено: поперечный размер ПП – 56 мм. Данных за гипертрофию миокарда желудочков не получено. Грудная аорта имеет ровные контуры, отмечается однородный сигнал от кровотока в ее просвете. Ветви легочной артерии расширены.
Рис. 4. МРТ сердца. Кино-последовательность: а – двухкамерная длинная ось сердца, конечно-диастолическая фаза; b – четырехкамерная ось сердца, конечно-систолическая фаза. Стрелками указано деформированное ЛП с утолщенной стенкой.
Fig. 4. Cardiac MRI. Cine-MRI sequence: a – two-chamber long axis of the heart, end-diastolic phase; b – four-chamber axis of the heart, end-systolic phase. The arrows indicate a deformed LA with a thickened wall.
При кино-МРТ нарушение локальной сократимости миокарда желудочков не выявлено. Глобальная сократимость несколько снижена: фракция выброса ЛЖ ~51%.
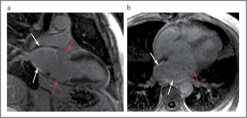
Проведена МРТ сердца с контрастированием. После введения контрастного препарата данных за его патологическое накопление миокардом желудочков не получено. Отмечается накопление контрастного препарата в утолщенной стенке верхних отделах ЛП (в остаточной части предсердия реципиента) в сравнении с частью предсердия (трансплантированной части) на уровне атриовентрикулярного кольца (рис. 5). Тромбы в камерах сердца не выявлены.
Рис. 5. МРТ сердца с контрастным усилением. Последовательность с отсроченным контрастированием: а – длинная ось сердца; b – четырехкамерная ось сердца. Белыми стрелками указано накопление контрастного препарата в верхних отделах ЛП (в остаточной части предсердия реципиента). Красными стрелками указано отсутствие накопление в миокарде ЛП нижних отделов на уровне атриовентрикулярного кольца (трансплантированной части).
Fig. 5. Contrast-enhanced cardiac MRI. Sequence with delayed contrast enhancement: a – long axis of the heart; b – four-chamber axis of the heart. The white arrows indicate the contrast agent uptake in the upper parts of the LA (in the residual part of the recipient’s atrium). The red arrows indicate the absence of uptake in the myocardium of the lower parts of the LA at the level of the atrioventricular ring (transplanted part).
Заключение: состояние после ортотопической трансплантации сердца от 2020 г. Деформация ЛП (постоперационные изменения), небольшое утолщение стенки ЛП в верхних отделах с накоплением контрастного препарата (в остаточной части предсердия реципиента). Накопление контрастного препарата в ЛП – неопределенного характера: с учетом клинико-лабораторных данных может соответствовать амилоидной инфильтрации, а также нельзя исключить накопление контраста в фиброзно измененном миокарде ЛП постоперационного генеза. Данных за очаговое поражение трансплантированных желудочков сердца не получено. Расширение ПП. Умеренное снижение сократимости миокарда ЛЖ. Расширение ветвей легочной артерии.
По данным радиоизотопного исследования с технеция пирофосфатом (99mTc-PYP) соотношение накопления радиофармпрепарата (РФП) в миокарде относительно контралатеральной зоны (H/Cl) составило <1. При оценке сцинтиграмм в режиме однофотонной эмиссионной компьютерной томографии (ОЭКТ/КТ) визуализируется пул крови левого и правого желудочка, накопление РФП в стенках левого и правого желудочка не визуализируется. Полуколичественная оценка по данным ОЭКТ – Grade 0 (рис. 6, 7).
Рис. 6. Сцинтиграмма пациента Б. в режиме планарного исследования.
Fig. 6. Patient B.’s scintigram in planar imaging mode.
Рис. 7. Сцинтиграмма пациента Б. в режиме ОЭКТ/КТ.
Fig. 7. Patient B.’s scintigram in SPECT mode.
По данным МРТ сердца с контрастированием обращает на себя внимание накопление гадолиния, характерное для амилоидоза, в области собственных предсердий, в донорском сердце признаков накопления контрастного препарата на момент исследования нет. По данным ЭхоКГ признаков утолщения МЖП, задней стенки ЛЖ нет, по данным спекл-трекинг ЭхоКГ паттерн не типичен. По данным сцинтиграфии миокарда с пирофосфатным комплексом также накопления РФП не выявлено. Отмечается повышение маркеров повреждения миокарда, СН, что может являться следствием трансплантации сердца в отдаленные сроки. Выполнена эндомиокардиальная биопсия донорского сердца, при гистологическом исследовании амилоида не выявлено. В настоящее время убедительных данных за вовлечение донорского сердца в амилоидный процесс нет.
Таким образом, на первое место в клинической картине выступает тяжело инвалидизирующий синдром прогрессирующей полинейропатии, значимо ухудшающий качество жизни пациента.
В неврологическом статусе у пациента присутствует вялый тетрапарез со снижением силы (измерялась по шкале MRC, Medical Research Council, где 0 – полное отсутствие движения; 1 – только минимально заметное сокращение мышцы; 2 – движение, осуществляемое тестируемой мышцей, возможно только при устранении силы тяжести; 3 – движение, осуществляемое тестируемой мышцей, возможно против силы тяжести; 4 – мышечная сила снижена, но движение против сопротивления возможно; 5 – сила мышцы не снижена): в проксимальных отделах рук – до 4 баллов, в проксимальных отделах ног – до 3 баллов, в дистальных отделах рук – до 3 баллов, в дистальных отделах ног – до 1 балла. Отмечается полное выпадение глубоких рефлексов в ногах и стилорадиальных рефлексов, снижение глубоких рефлексов, вызываемых с проксимальных отделов рук. Поверхностная чувствительность нарушена в руках и ногах по полиневритическому типу, преимущественно в стопах, где выявляется аналгезия. Глубокая чувствительность (суставно-мышечное чувство и вибрационная чувствительность) умеренно нарушена в ногах. В пробе Ромберга не стоит из-за слабости в ногах и неустойчивости. На носки и пятки не встает. С положения сидя на стуле встает при помощи рук. Пациент передвигается на расстояние до 50 м с односторонней опорой, на более дальние расстояния использует ходунки или инвалидное кресло.
По данным электронейромиографии (сентябрь 2024 г.) выявляются нейрофизиологические признаки грубого сенсомоторного неврального поражения длинных нервов верхних и нижних конечностей (более грубо в нижних конечностях) первично аксонального характера (рис. 8).
Рис. 8. Данные электронейромиографии пациента Б.
Fig. 8. Patient B.’s electroneuromyography data.
Кроме поражения сердечно-сосудистой системы и периферической нервной системы, у пациента имеются признаки вовлечения вегетативной нервной системы (ортостатическая гипотензия, атония мочевого пузыря, запоры), признаки системности в виде поражения желудочно-кишечного тракта (увеличение жесткости печени по данным эластографии, тошнота, потеря массы тела более 30 кг).
В связи с наличием патогенной мутации в гене транстиретина обследованы близкие родственники пациента: мать, единоутробный брат, племянник. Мутаций у обследованных родных не выявлено.
Обсуждение
Данный клинический пример демонстрирует возможность трансплантации сердца у пациентов с АКМП. Несомненно, такие пациенты требуют более тщательного скрининга, в особенности при наличии гипертрофического или смешанного фенотипа, а также персонализированного подхода к отбору кандидатов. Существуют ограничения в виде системного поражения органов, в особенности при AL-амилоидозе. Однако в настоящее время применение новых методов лечения с достижением гематологической ремиссии, проведение трансплантации стволовых клеток позволяют нивелировать эти ограничения.
Нельзя не подчеркнуть важность междисциплинарного взаимодействия врачей-специалистов. В данном случае появление неврологической симптоматики стало ключом к правильному диагнозу пациента.
В случае пациентов с ATTR-АКМП наибольшую важность после трансплантации приобретает вопрос о назначении селективного стабилизатора транстиретина – тафамидиса [11]. В настоящее время в зависимости от наличия/отсутствия поражения основным патологическим процессом сердца назначаются разные дозы этого препарата.
Наш пациент имеет патогенную мутацию в гене транстиретина, в связи с чем в печени синтезируется мутантный нестабильный белок – транстиретин, распад которого приводит к формированию и отложению амилоидных фибрилл [12]. Решение о рекомендуемой дозе препарата основано на следующих соображениях. На момент обследования признаков поражения донорского сердца амилоидозом не выявлено, поэтому, учитывая преобладание клиники полинейропатии, назначен тафамидис в дозе 20 мг/сут.
С другой стороны, есть понимание, что основное звено патогенеза по-прежнему не устранено, в связи с чем отложение амилоида в донорском сердце – вопрос времени. В мировой практике вопрос профилактического назначения тафамидиса в дозе 61 мг не изучался, в связи с этим назначение такой дозы не является обоснованным. Пациенту рекомендовано прохождение регулярного обследования в отношении амилоидоза сердца для своевременного принятия решения об увеличении суточной дозы тафамидиса до 61 мг.
Заключение
Пациентам с далеко зашедшей стадией АКМП, терминальной СН может быть рассмотрена трансплантация сердца с учетом персонализированного подхода. Как показывает представленный клинический случай, трансплантант сердца после операции пациенту с семейной АКМП может функционировать достаточно эффективно. Тем не менее, когда в основе заболевания лежит генетический дефект, основной патологический процесс продолжает прогрессировать. В представленном нами случае это реализовалось в присоединении неврологической симптоматики в виде дистальной симметричной сенсомоторной полинейропатии.
Продемонстрировано отсроченное установление корректного диагноза пациенту. На момент выполнения трансплантации сердца по поводу АКМП в стране отсутствовала возможность выполнения соответствующих генетических тестов. Только через несколько лет, когда стала прогрессировать неврологическая симптоматика, проведено сопоставление всех имеющихся системных проявлений. Применен алгоритм отбора пациентов на генетических скрининг ТТР-САП по системе «красных флагов»: прогрессирующая полинейропатия в сочетании с кардиомиопатией. Только на этом этапе диагноз наследственного амилоидоза установлен, и назначена патогенетическая терапия. Как показывает представленный клинический случай, трансплантация сердца продлила пациенту жизнь и обеспечила ее лучшее качество. Требуются дальнейшие исследования для детального изучения данного вопроса.
Раскрытие интересов. Авторы декларируют отсутствие явных и потенциальных конфликтов интересов, связанных с публикацией настоящей статьи.
Disclosure of interest. The authors declare that they have no competing interests.
Вклад авторов. Авторы декларируют соответствие своего авторства международным критериям ICMJE. Все авторы в равной степени участвовали в подготовке публикации: разработка концепции статьи, получение и анализ фактических данных, написание и редактирование текста статьи, проверка и утверждение текста статьи.
Authors’ contribution. The authors declare the compliance of their authorship according to the international ICMJE criteria. All authors made a substantial contribution to the conception of the work, acquisition, analysis, interpretation of data for the work, drafting and revising the work, final approval of the version to be published and agree to be accountable for all aspects of the work.
Источник финансирования. Авторы декларируют отсутствие внешнего финансирования для проведения исследования и публикации статьи.
Funding source. The authors declare that there is no external funding for the exploration and analysis work.
Информированное согласие на публикацию. Пациент подписал форму добровольного информированного согласия на публикацию медицинской информации.
Consent for publication. Written consent was obtained from the patient for publication of relevant medical information and all of accompanying images within the manuscript.
About the authors
Svetlana N. Nasonova
Chazov National Medical Research Center of Cardiology
Author for correspondence.
Email: dr.nasonova@mail.ru
ORCID iD: 0000-0002-0920-7417
канд. мед. наук, ст. науч. сотр. отд. заболеваний миокарда и сердечной недостаточности
Russian Federation, MoscowIgor V. Zhirov
Chazov National Medical Research Center of Cardiology
Email: dr.nasonova@mail.ru
ORCID iD: 0000-0002-4066-2661
д-р мед. наук, вед. науч. сотр. отд. заболеваний миокарда и сердечной недостаточности
Russian Federation, MoscowAnastasia A. Shoshina
Chazov National Medical Research Center of Cardiology
Email: dr.nasonova@mail.ru
ORCID iD: 0000-0002-9519-7373
аспирант отд. заболеваний миокарда и сердечной недостаточности
Russian Federation, MoscowYulia F. Osmolovskaya
Chazov National Medical Research Center of Cardiology
Email: dr.nasonova@mail.ru
ORCID iD: 0000-0002-7827-2618
канд. мед. наук, науч. сотр. отд. заболеваний миокарда и сердечной недостаточности
Russian Federation, MoscowOlga Ya. Tchaikovskaya
Chazov National Medical Research Center of Cardiology
Email: dr.nasonova@mail.ru
ORCID iD: 0000-0002-2251-1675
врач функциональной диагностики отд-ния ультразвуковой диагностики
Russian Federation, MoscowSvetlana V. Dobrovolskaya
Chazov National Medical Research Center of Cardiology
Email: dr.nasonova@mail.ru
ORCID iD: 0000-0003-0580-393X
канд. мед. наук, мл. науч. сотр. отд. ультразвуковых методов исследования
Russian Federation, MoscowMarina A. Saidova
Chazov National Medical Research Center of Cardiology
Email: dr.nasonova@mail.ru
ORCID iD: 0000-0002-3233-1862
д-р мед. наук, проф., рук. отд. ультразвуковых методов исследования
Russian Federation, MoscowEkaterina A. Butorova
Chazov National Medical Research Center of Cardiology
Email: dr.nasonova@mail.ru
ORCID iD: 0000-0001-9706-7049
канд. мед. наук, врач-рентгенолог, зав. отд-нием лучевой диагностики
Russian Federation, MoscowAlexey A. Ansheles
Chazov National Medical Research Center of Cardiology
Email: dr.nasonova@mail.ru
ORCID iD: 0000-0002-2675-3276
д-р мед. наук, вед. науч. сотр. отд. радионуклидной диагностики и позитронно-эмиссионной томографии
Russian Federation, MoscowMaria S. Kazieva
Scientific Center of Neurology
Email: dr.nasonova@mail.ru
ORCID iD: 0009-0007-5683-0934
врач-невролог
Russian Federation, MoscowDaria A. Grishina
Scientific Center of Neurology
Email: dr.nasonova@mail.ru
ORCID iD: 0000-0002-7924-3405
канд. мед. наук, рук. Центра заболеваний периферической нервной системы Института клинической и профилактической неврологии
Russian Federation, MoscowLev B. Krougly
Shumakov National Medical Research Center for Transplantology and Artificial Organs
Email: dr.nasonova@mail.ru
ORCID iD: 0000-0002-1365-3970
канд. мед. наук, врач-кардиолог отд-ния кардиологии
Russian Federation, MoscowNatalia P. Mozheiko
Shumakov National Medical Research Center for Transplantology and Artificial Organs
Email: dr.nasonova@mail.ru
ORCID iD: 0000-0002-4841-7070
канд. мед. наук, зав. отд-нием патологической анатомии
Russian Federation, MoscowNadegda N. Koloskova
Shumakov National Medical Research Center for Transplantology and Artificial Organs
Email: dr.nasonova@mail.ru
ORCID iD: 0000-0002-5819-9046
д-р мед. наук, зав. отд-нием кардиологии
Russian Federation, MoscowSergey N. Tereshchenko
Chazov National Medical Research Center of Cardiology
Email: dr.nasonova@mail.ru
ORCID iD: 0000-0001-9234-6129
д-р мед. наук, проф., рук. отд. заболеваний миокарда и сердечной недостаточности
Russian Federation, MoscowReferences
- Brito D, Albrecht FC, de Arenaza DP, et al. World Heart Federation Consensus on Transthyretin Amyloidosis Cardiomyopathy (ATTR-CM). Glob Heart. 2023;18(1):59. doi: 10.5334/gh.1262
- Gertz MA, Dispenzieri A. Systemic Amyloidosis Recognition, Prognosis, and Therapy: A Systematic Review. JAMA. 2020;324(1): 79-89. doi: 10.1001/jama.2020.5493
- Maurer MS, Schwartz JH, Gundapaneni B, et al. Tafamidis Treatment for Patients with Transthyretin Amyloid Cardiomyopathy. N Engl J Med. 2018;379(11):1007-16. doi: 10.1056/NEJMoa1805689
- Gillmore JD, Judge DP, Cappelli F, et al. Efficacy and Safety of Acoramidis in Transthyretin Amyloid Cardiomyopathy. N Engl J Med. 2024;390(2):132-42. doi: 10.1056/NEJMoa2305434
- Fontana M, Berk JL, Gillmore JD, et al. Vutrisiran in Patients with Transthyretin Amyloidosis with Cardiomyopathy. N Engl J Med. 2025;392(1):33-44. doi: 10.1056/NEJMoa2409134
- Gillmore JD, Damy T, Fontana M, et al. A new staging system for cardiac transthyretin amyloidosis. Eur Heart J. 2018;39(30):2799-806. doi: 10.1093/eurheartj/ehx589
- Sousa M, Monohan G, Rajagopalan N, et al. Heart transplantation in cardiac amyloidosis. Heart Fail Rev. 2017;22(3):317-27. doi: 10.1007/s10741-017-9601-z
- Hosenpud JD, DeMarco T, Frazier OH, et al. Progression of systemic disease and reduced long-term survival in patients with cardiac amyloidosis undergoing heart transplantation. Follow-up results of a multicenter survey. Circulation. 1991;84(5 Suppl.):III338-43.
- Roig E, Almenar L, González-Vílchez F, et al., Spanish Register for Heart Trasplantation. Outcomes of heart transplantation for cardiac amyloidosis: subanalysis of the spanish registry for heart transplantation. Am J Transplant. 2009;9(6):1414-9. doi: 10.1111/j.1600-6143.2009.02643.x
- Lyle MA, Farina JMM, Wiedmeier-Nutor E, et al. Amyloidosis and Heart Transplantation in a New Era. Clin Transplant. 2025;39(1):e70070. doi: 10.1111/ctr.70070
- Ghoneem A, Bhatti AW, Khadke S, et al. Real-World Efficacy of Tafamidis in Patients With Transthyretin Amyloidosis and Heart Failure. Curr Probl Cardiol. 2023;48(6):101667. doi: 10.1016/j.cpcardiol.2023.101667
- Porcari A, Fontana M, Gillmore JD. Transthyretin cardiac amyloidosis. Cardiovasc Res. 2023;118(18):3517-35. doi: 10.1093/cvr/cvac119
Supplementary files











