Chronic small bowel obstruction in a patient with post-radiation enteropathy. Case report
- Authors: Leontiev A.V.1,2, Indejkina L.K.1,3, Danilov M.A.1, Sabelnikova E.A.1,4, Orlyuk M.A.2, Abramov K.O.1, Makarova A.A.1, Parfenov A.I.1
-
Affiliations:
- Loginov Moscow Clinical Scientific Center
- Moscow University for Industry and Finance “Synergy”
- Research Institute for Healthcare Organization and Medical Management
- Russian University of Medicine
- Issue: Vol 97, No 2 (2025): Вопросы гастроэнтерологии
- Pages: 193-197
- Section: Case reports
- Submitted: 06.11.2024
- Accepted: 20.01.2025
- Published: 26.03.2025
- URL: https://ter-arkhiv.ru/0040-3660/article/view/641650
- DOI: https://doi.org/10.26442/00403660.2025.02.203119
- ID: 641650
Cite item
Full Text
Abstract
Сase report of late radiation damage to the small intestine in a patient who underwent laparoscopic extirpation of uterine cancer and radiation therapy is presented. The article shows the clinical manifestations of chronic post-radiation enteritis with a long progressive course and the development of partial intestinal obstruction, demonstrating the importance of timely diagnosis and the implementation of a multidisciplinary approach in the treatment of patients with late radiation damage to the intestine.
Full Text
Список сокращений
ЗО – злокачественная опухоль
КТ – компьютерная томография
КТ-энтерография – компьютерная энтерография
ЛТ – лучевая терапия
МТ – малый таз
РОД – разовая очаговая доза
РТМ – рак тела матки
СО – слизистая оболочка
СОД – суммарная очаговая доза
ТК – тонкая кишка
ХЛ – хирургическое лечение
Введение
Успехи онкологии в лечении пациентов со злокачественными опухолями (ЗО) матки, простаты и прямой кишки позволили многим больным достигнуть полного регресса ЗО на фоне проведенной лучевой терапии (ЛТ) в рамках комплексного лечения [1, 2]. В то же время, несмотря на применение современного оборудования для проведения ЛТ и методики прицельного контурирования опухоли, поздние постлучевые осложнения со стороны кишечника возникают достаточно часто [1]. В связи с этим число пациентов с гастроэнтерологическими осложнениями ЛТ с каждым годом увеличивается [3–5], однако из-за отсутствия рецидива и прогрессии ЗО они выпадают из поля зрения онкологов и радиотерапевтов специализированных центров, что требует от врачей общей практики, гастроэнтерологов и хирургов современных знаний о патогенезе, клинических проявлениях, характере течения и методах лечения поздних лучевых повреждений кишечника [1, 5].
За последние 5 лет в России разработаны и усовершенствованы методики лечения пациентов с хроническим постлучевым проктитом. Однако сведения о постлучевых повреждениях тонкой кишки (ТК) почти отсутствуют [5–8]. Между тем толерантная доза облучения для ТК значительно ниже, чем для прямой кишки (35 и 45 Гр соответственно), что объясняется более высокой чувствительностью слизистой оболочки (СО) ТК к ионизирующему облучению [1, 5]. Соответственно, у пациенток, перенесших экстирпацию матки и получивших ЛТ после хирургического лечения (ХЛ), лучевые повреждения ТК возникают достаточно часто [8]. Петли тощей и подвздошной кишки занимают в полости малого таза (МТ) место ранее удаленной матки и непременно попадают в зону облучения. Под действием ионизирующего излучения происходит массивное разрушение эпителиоцитов СО ТК. В результате активируется цитокиновая система, запускающая каскад реакций, приводящих к воспалительным изменениям стенок сосудов в виде облитерирующего эндартериита. Возникающие при этом асептические воспалительные реакции прогрессируют, приводят к критической ишемии, прогрессирующей атрофии СО ТК, фиброзу с образованием язв и стриктур ТК [1, 4, 9]. Следовательно, проблема формирования постлучевой энтеропатии заключается в прогрессирующем характере течения, вплоть до развития стриктур и перфораций ТК.
Неспецифическая картина постлучевой энтеропатии в виде неопределенных болей в животе и хронической диареи зачастую ведет врачей по ложному диагностическому пути. Пациентов лечат от спаечной болезни брюшной полости, синдрома раздраженного кишечника и других предполагаемых заболеваний. Между тем полноценно собранный анамнез, целенаправленное назначение лабораторно-инструментальных исследований, включающих колоноилеоскопию с биопсией и компьютерную энтерографию – КТ-энтерографию, позволяют своевременно распознать постлучевую энтеропатию [1, 9–11].
Клинический случай
Пациентка И., 65 лет, в феврале 2024 г. обратилась к гастроэнтерологу ГБУЗ «МКНЦ им. А.С. Логинова» с жалобами на боли в околопупочной области, усиливающиеся после приема пищи, вздутие и урчание в животе, стул до 2–3 раз в день, кашицеобразный/жидкий, без видимых патологических примесей. Из анамнеза заболевания известно, что в феврале 2018 г. у больной обнаружен рак тела матки (РТМ) pT1bN0M0 IВ стадии.
На I этапе лечения пациентке выполнены лапароскопическая экстирпация матки с придатками и тазовая лимфаденэктомия.
На II этапе лечения проведена ЛТ по расщепленному курсу.
С 9 по 28 апреля 2018 г. выполнен I этап лечения: 3D-конформная дистанционная ЛТ на аппарате Elekta Synergy в режиме 1 раз в день, 5 раз в неделю, с использованием индивидуального фиксирующего устройства под визуальным контролем. Объем облучения: влагалище, подвздошные лимфатические узлы, разовая очаговая доза (РОД) – 2,5 Гр, суммарная ОД (СОД) – 40 Гр (эквивалентно 44 Гр классического фракционирования).
С 8 по 18 мая 2018 г. проведен 2-й курс СОД (этап II): внутриполостная гамма-терапия на брахиотерапевтическом аппарате Multisours, 3 раза в неделю через день, кольпостат диаметром 2,0 см вдоль влагалища с РОД 5 Гр на глубину 0,5 см от СО, 3 раза в неделю, до СОД 15 Гр, 8 позиций с шагом 1,0 см. Овоиды диаметром 2,0 см, положение 1,0–0–1,0 к культе влагалища, с РОД 5 Гр на глубину 1 см до СОД 10 Гр.
Пациентка перенесла ЛТ удовлетворительно. Клинически значимые острые лучевые реакции отсутствовали. Находилась под динамическим наблюдением у онколога в центре амбулаторной онкологической помощи. Данные, подтверждающие рецидив и прогрессирование рецидива РТМ, отсутствуют. Спустя 5 лет, в 2023 г., больная снята с диспансерного наблюдения у онколога.
Через год после окончания ЛТ у пациентки стали появляться боли в околопупочной области, урчание и вздутие живота. Неоднократно обращалась к терапевту и гастроэнтерологу в поликлинику по месту жительства. Врачи объясняли клиническую картину проявлением спаечной болезни брюшной полости. Пациентка соблюдала щадящую диету, принимала спазмолитические препараты, кишечные антисептики, полиферментные препараты, не содержащие желчных кислот. Тем не менее состояние больной прогрессивно ухудшалось, боли в животе становились сильнее, периодически появлялись тошнота и рвота. За год похудела на 10 кг. Дважды лечилась в хирургических стационарах с клиническими проявлениями тонкокишечной непроходимости, которые разрешались консервативно.
В июле 2023 г. пациентке выполнена КТ-энтерография, по результатам которой в МТ обнаружены плотно расположенные петли дистальных отделов подвздошной кишки, а также сегмент ТК с суженным просветом до 1–2 мм, протяженностью до 4 см. Кишечная стенка не утолщена. Рецидива РТМ не обнаружено. Выявленные изменения расценены в рамках послеоперационного спаечного процесса брюшной полости. Продолжена консервативная терапия спазмолитическими препаратами. Несмотря на проводимое лечение, у пациентки сохранялись описанные жалобы. 14 февраля 2024 г. гастроэнтерологом частного медицинского центра принято решение провести ей видеокапсульную эндоскопию ТК. Общее время работы капсулы составило 14 ч 43 мин. Выход капсулы в двенадцатиперстную кишку отмечен на 35-й минуте 35-й секунде, выхода в толстую кишку не произошло. Доступная осмотру СО желудка без особенностей. Перистальтика ТК снижена, складчатость выражена обычно. СО проксимальной и средней трети тощей кишки розовая, ворсины выражены обычно. Начиная с дистальной трети тощей кишки и на всем протяжении осмотренной подвздошной кишки (с 3 ч 16 мин 53 с) видны множественные изъязвления линейной и звездчатой формы диаметром 5–15 мм, на разной стадии эпителизации (от активной стадии до стадии рубца). Дно изъязвлений покрыто фибрином, без признаков кровотечения. Просвет кишки в зоне изъязвлений сужен, что затрудняет пассаж капсулы по ТК. СО на данном участке гиперемирована и отечна. Эндоскопические изменения СО объяснены ишемическим генезом, консервативная терапия продолжена в прежнем объеме. Проводимое медикаментозное лечение не оказывало эффекта, и больная обратилась за помощью к колопроктологу ГБУЗ «МКНЦ им. А.С. Логинова». При объективном осмотре пациентка нормостенического телосложения. Кожные покровы бледные. На передней брюшной стенке в околопупочной и подвздошных областях обнаружены послеоперационные рубцы диаметром до 2,0 см без признаков воспаления. При пальпации живот безболезненный. Шум плеска не определялся. Печень и селезенка не увеличены. В клиническом и биохимическом анализах крови показатели в рамках референсных значений.
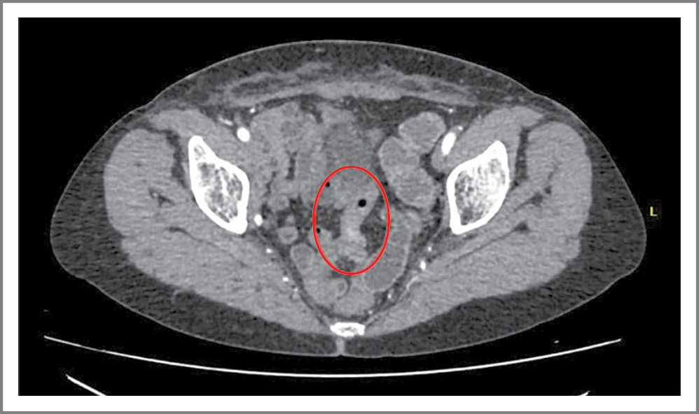
С целью исключения рецидива РТМ пациентке выполнены КТ органов грудной, брюшной полостей и МТ с контрастированием, колоноилеоскопия. В прямой кишке выявлены единичные телеангиоэктазии – проявления постлучевого проктита. По данным КТ во всех отделах визуализирована ТК. Рельеф ее СО сохранен. В МТ в средних петлях ТК визуализирован сегмент с суженным просветом до 1–2 мм, протяженностью до 40 мм, с циркулярно утолщенными до 5 мм стенками (рис. 1).
Рис. 1. КТ брюшной полости. Постлучевая стриктура тощей кишки.
Fig. 1. Abdominal CT scan. Post-radiation stricture of the jejunum.
Отмечено некоторое повышение накопления контрастного препарата стенками кишки на этом уровне. Проксимальнее описанной зоны определено инородное тело плотностью 14000 HU – видеокапсула (рис. 2).
Рис. 2. КТ брюшной полости. Видеокапсула в просвете тощей кишки.
Fig. 2. Abdominal CT scan. Video capsule in the lumen of the jejunum.
В остальных отделах кишечная стенка не утолщена (до 2–2,5 мм). Участков локального утолщения, зон ригидности и патологической васкуляризации не обнаружено. Брыжейка ТК не изменена. Сосудистый рисунок ее типичный. Атеросклеротического поражения аорты и артерий, кровоснабжающих органы брюшной полости, не выявлено, что исключало первичный генез ишемических изменений в стенке ТК.
В отношении пациентки проведен мультидисциплинарный консилиум в составе гастроэнтеролога, колоректальных хирургов и эндоскопистов. Клинико-рентгенологическая картина расценена как позднее лучевое повреждение тощей кишки с формированием стриктуры. Принято решение о ХЛ. 12 августа 2024 г. выполнена лапароскопическая резекция тощей кишки с формированием изоперистальтического тонко-тонкокишечного анастомоза «бок в бок». Спаечного процесса в брюшной полости не обнаружено. Петли тощей кишки располагались в полости МТ. На расстоянии 100 см от илеоцекального перехода в ТК определен участок стриктуры протяженностью 2,5–3,0 см, серозная оболочка в данном месте умеренно гиперемирована.
Проведено макроскопическое исследование операционного препарата – резецированного участка ТК длиной 25 см, на расстоянии 7 см от ближнего и 16 см от дальнего края, определен участок стеноза кишки на протяжении 1,5 см. Проксимальнее стриктуры в просвете кишки обнаружен инородный предмет – видеокапсула (рис. 3, 4).
Рис. 3. Резецированный участок ТК со стриктурой.
Fig. 3. Resected jejunum section with stricture.
Рис. 4. Макропрепарат. Область стриктуры ТК.
Fig. 4. Gross specimen. Jejunum stricture zone.
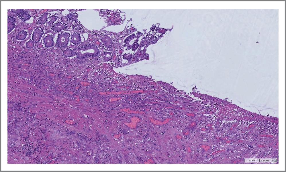
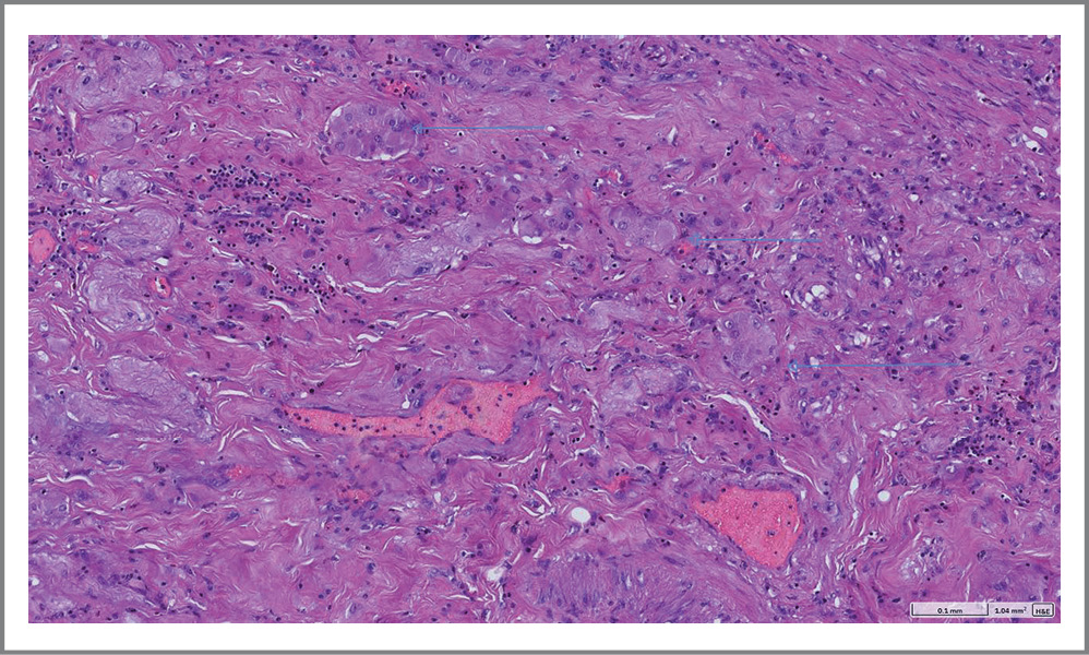
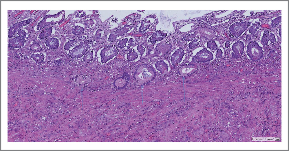
Проведено микроскопическое исследование операционного препарата. Обнаружены фрагменты стенки ТК с язвенным дефектом глубиной до подслизистой основы, занимающим около 50% окружности СО. Дно дефекта представлено фиброзно-склеротической тканью со зрелой грануляционной тканью, наложениями фибрина и гранулоцитов по поверхности. СО в краях дефекта с очагами псевдопилорической метаплазии. Артерии и артериолы в дне дефекта с очагами гиалиноза. Мышечный слой стенки и серозная оболочка типичного морфологического строения. В жировой клетчатке брыжейки обнаружен лимфоузел с реактивными изменениями.
Заключение. Микроскопическая картина характерна для хронической язвы ТК с активным воспалением, началом формирования фиброзной стриктуры (рис. 5–8).
Рис. 5. Микроскопические изменения в стенке резецированной ТК. Псевдопилорическая метаплазия в краях язвенных дефектов ТК на фоне хронического воспаления.
Fig. 5. Microscopic changes in the wall of the resected jejunum. Pseudopyloric metaplasia in the edges of ulcerative defects of the jejunum with chronic inflammation.
Рис. 6. Микроскопические изменения в стенке резецированной ТК. Фиброзно-склеротические изменения распространяются сквозь мышечный слой в субсерозный (признак формирования стриктуры).
Fig. 6. Microscopic changes in the wall of the resected jejunum. Fibrosclerotic changes extend through the muscle layer into the subserosa (a sign of stricture formation).
Рис. 7. Микроскопические изменения в стенке резецированной ТК. Псевдопилорическая метаплазия в краях язвенных дефектов ТК на фоне хронического воспаления.
Fig. 7. Microscopic changes in the wall of the resected jejunum. Pseudopyloric metaplasia in the edges of ulcerative defects of the jejunum with chronic inflammation.
Рис. 8. Микроскопические изменения в стенке резецированной ТК. Гиперплазия стволиков нервного (Мейсснерова) сплетения подслизистой основы ТК (встречается в дне хронических язвенных дефектов).
Fig. 8. Microscopic changes in the wall of the resected jejunum. Hyperplasia of the trunks of the Meissner's plexus of the submucous layer of the jejunum (observed in the bottom of chronic ulcerative defects).
При контрольном обследовании через 3 мес после ХЛ отмечено значительное улучшение состояния пациентки, боли в животе полностью прошли. Больная расширила рацион питания, прибавка в весе составила 4 кг.
Заключение
Диагностировать поздние лучевые повреждения кишечника может быть трудно из-за неспецифичности клинических проявлений, морфологических критериев и небольшой встречаемости в общей популяции.
Отсутствие специальных знаний о постлучевой энтеропатии у терапевтов, гастроэнтерологов и хирургов приводит к диагностическим ошибкам и позднему обнаружению жизнеугрожающих состояний у данной категории пациентов.
Своевременная диагностика, понимание патогенеза и разработка новых методов консервативного лечения поздних постлучевых повреждений кишечника позволят улучшить результаты лечения пациентов, перенесших онкологические заболевания.
Таким образом, увеличение продолжительности жизни больных с ЗО тазовой локализации за счет применения современных методов комбинированного лечения и ЛТ диктует необходимость углубленного изучения лучевых повреждений кишечника.
Раскрытие интересов. Авторы декларируют отсутствие явных и потенциальных конфликтов интересов, связанных с публикацией настоящей статьи.
Disclosure of interest. The authors declare that they have no competing interests.
Вклад авторов. Авторы декларируют соответствие своего авторства международным критериям ICMJE. Все авторы в равной степени участвовали в подготовке публикации: разработка концепции статьи, получение и анализ фактических данных, написание и редактирование текста статьи, проверка и утверждение текста статьи.
Authors’ contribution. The authors declare the compliance of their authorship according to the international ICMJE criteria. All authors made a substantial contribution to the conception of the work, acquisition, analysis, interpretation of data for the work, drafting and revising the work, final approval of the version to be published and agree to be accountable for all aspects of the work.
Источник финансирования. Авторы декларируют отсутствие внешнего финансирования для проведения исследования и публикации статьи.
Funding source. The authors declare that there is no external funding for the exploration and analysis work.
Информированное согласие на публикацию. Пациентка подписала форму добровольного информированного согласия на публикацию медицинской информации.
Consent for publication. Written consent was obtained from the patient for publication of relevant medical information and all of accompanying images within the manuscript.
About the authors
Aleksandr V. Leontiev
Loginov Moscow Clinical Scientific Center; Moscow University for Industry and Finance “Synergy”
Author for correspondence.
Email: A.Leontev@mknc.ru
ORCID iD: 0000-0003-3363-6841
д-р мед. наук, врач-колопроктолог, доц. каф. хирургических болезней медицинского фак-та
Russian Federation, Moscow; MoscowLilia K. Indejkina
Loginov Moscow Clinical Scientific Center; Research Institute for Healthcare Organization and Medical Management
Email: A.Leontev@mknc.ru
ORCID iD: 0000-0002-3829-3211
канд. мед. наук, зав. лаб. функциональной диагностики заболеваний кишечника, вед. специалист
Russian Federation, Moscow; MoscowMikhail A. Danilov
Loginov Moscow Clinical Scientific Center
Email: A.Leontev@mknc.ru
ORCID iD: 0000-0001-9439-9873
канд. мед. наук, зав. колопроктологическим отд-нием
Russian Federation, MoscowElena A. Sabelnikova
Loginov Moscow Clinical Scientific Center; Russian University of Medicine
Email: A.Leontev@mknc.ru
ORCID iD: 0000-0001-7519-2041
д-р мед. наук, зам. дир. по научной работе, проф. каф. пропедевтики внутренних болезней и гастроэнтерологии
Russian Federation, Moscow; MoscowMariia A. Orlyuk
Moscow University for Industry and Finance “Synergy”
Email: A.Leontev@mknc.ru
ORCID iD: 0009-0000-0176-4588
канд. мед. наук, зав. каф. хирургических болезней медицинского фак-та
Russian Federation, MoscowKonstantin O. Abramov
Loginov Moscow Clinical Scientific Center
Email: A.Leontev@mknc.ru
ORCID iD: 0009-0006-8006-7871
врач-патологоанатом
Russian Federation, MoscowAlina A. Makarova
Loginov Moscow Clinical Scientific Center
Email: A.Leontev@mknc.ru
ORCID iD: 0000-0003-1050-2437
мл. науч. сотр. лаб. функциональной диагностики заболеваний кишечника
Russian Federation, MoscowAsfold I. Parfenov
Loginov Moscow Clinical Scientific Center
Email: A.Leontev@mknc.ru
ORCID iD: 0000-0002-9782-4860
д-р мед. наук, проф., зав. отд. патологии кишечника
Russian Federation, MoscowReferences
- Jian W, Danhua Y, Lei Z, Yuhua H. Chronic intestinal radioactive damnification surgery expert consensus (2019 edition). Chin J Pract Surg. 2019;33(4):307-11.
- Состояние онкологической помощи населению России в 2023 году. Под ред. А.Д. Каприна, В.В. Старинского, А.О. Шахзадовой. М.: МНИОИ им. П.А. Герцена – филиал ФГБУ «НМИЦ радиологии» Минздрава России, 2024 [Sostoianie onkologicheskoi pomoshchi naseleniiu Rossii v 2023 godu. Pod red. AD Kaprina, VV Starinskogo, AO Shakhzadovoi. Moscow: MNIOI im. P.A. Gertsena – filial FGBU “NMITs radiologii” Minzdrava Rossii, 2024 (in Russian)].
- Kim TG, Park B, Song YG, et al. Patient-related risk factors for late rectal bleeding after hypofractionated radiotherapy for localized prostate cancer: a single-center retrospective study. Radiat Oncol. 2022;17(1):30. doi: 10.1186/s13014-022-01998-4
- Spampinato S, Jensen NBK, Pötter R, et al. Severity and Persistency of Late Gastrointestinal Morbidity in Locally Advanced Cervical Cancer: Lessons Learned From EMBRACE-I and Implications for the Future. Int J Radiat Oncol Biol Phys. 2022;112(3):681-93. doi: 10.1016/j.ijrobp.2021.09.055
- Гришина Е.А., Леонтьев А.В., Шишин К.В., Данилов М.А. Методы лечения пациентов с хроническим лучевым проктитом при помощи эндоскопических технологий. Хирургическая практика. 2023;8(3):6-18 [Grishina EA, Leontev AV, Shishin KV, Danilov MA. Methods of endoscopic treatment of chronic radiation proctitis. Surgical Practice (Russia). 2023;8(3):6-18 (in Russian)]. doi: 10.38181/2223-2427-2023-3-1
- Леонтьев А.В., Гришина Е.А., Данилов М.А., и др. Эндоскопические инъекции аутоплазмы, богатой тромбоцитами, в лечении постлучевых язв прямой кишки. Колопроктология. 2023;22(3):85-93 [Leontev AV, Grishina EA, Danilov MA, et al. Endoscopic injections of autoplasma rich in platelets in the treatment of postradiation ulcers of the rectum. Koloproktologia. 2023;22(3):85-93 (in Russian)]. doi: 10.33878/2073-7556-2023-22-3-85-93
- Леонтьев А.В., Гришина Е.А., Данилов М.А., и др. Применение аутологичной микрофрагментированной адипозной ткани в лечении постлучевого язвенного проктита. Вестник современной клинической медицины. 2023;16(3):42-7 [Leontiev AV, Grishina EA, Danilov MA, et al. Application of autological microfragmented adipose tissue in the treatment of post-radiation ulcerative proctitis. The Bulletin of Contemporary Clinical Medicine. 2023;16(3):42-7 (in Russian)]. doi: 10.20969/VSKM.2023.16(3).42-7
- Леонтьев А.В., Гришина Е.А., Шишин К.В., и др. Применение эндоскопической радиочастотной абляции в лечении хронического лучевого проктита: опыт МКНЦ им. А.С. Логинова. Эндоскопическая хирургия. 2022;28(1):20-5 [Leontiev AV, Grishina EA, Shishin KV, et al. Endoscopic radiofrequency ablation for chronic radiation proctitis treatment: Loginov Moscow Clinical Scientific Center experience. Endoscopic Surgery. 2022;28(1):20-5 (in Russian)]. doi: 10.17116/endoskop20222801120
- Jiang HH, Li XF, Wang JL. Relationship between chronic radiation enteritis of cervical cancer and gut microbiota. Beijing Da Xue Xue Bao Yi Xue Ban. 2023;55(4):619-24 (in Chinese). doi: 10.19723/j.issn.1671-167X.2023.04.008
- Loge L, Florescu C, Alves A, Menahem B. Radiation enteritis: Diagnostic and therapeutic issues. J Visc Surg. 2020;157(6):475-85. doi: 10.1016/j.jviscsurg.2020.08.012
- Парфенов А.И. Современные подходы к диагностике и лечению энтеропатий. Терапевтический архив. 2014;86(2):4-12 [Parfenov AI. Current approaches to the diagnosis and treatment for enteropathies. Terapevticheskii Arkhiv (Ter. Arkh.). 2014;86(2):4-12 (in Russian)].
Supplementary files










