A little bit about sphingolipidoses in cardiology: a clinical case of Fabry disease
- Authors: Vedernikov A.A.1, Mezhonov E.M.1,2, Shirokov N.E.3, Adamchuk A.M.1, Balina V.A.1, Reitblat O.M.1, Larionova V.I.4, Shalaev S.V.1,2
- 
							Affiliations: 
							- Regional Clinical Hospital №1
- Tyumen State Medical University
- Tomsk National Research Medical Center
- Mechnikov North-Western State Medical University
 
- Issue: Vol 97, No 7 (2025): Vario (various)
- Pages: 593-599
- Section: Case reports
- Submitted: 02.10.2024
- Accepted: 31.07.2025
- Published: 31.07.2025
- URL: https://ter-arkhiv.ru/0040-3660/article/view/636660
- DOI: https://doi.org/10.26442/00403660.2025.07.203352
- ID: 636660
Cite item
Full Text
Abstract
The article presents a clinical case of Fabry disease in a woman, characterized by multisystemic lesions, late onset and predominant clinical picture of heart failure. The features of this pathology are described in detail with an emphasis on instrumental studies of the cardiovascular system, and the progressive course of Fabry disease is analyzed. This clinical observation illustrates the importance of family screening and detailed anamnesis, shows the process of supervision of a patient with an orphan disease by a cardiologist of a regional hospital in real clinical practice, thereby increasing awareness of the Russian medical community about this pathology.
Full Text
Список сокращений
БФ – болезнь Фабри
ГКМП – гипертрофическая кардиомиопатия
ГЛЖ – гипертрофия левого желудочка
ГМ – головной мозг
ИММЛЖ – индекс массы миокарда левого желудочка
КВ – контрастное вещество
ЛА – легочная артерия
ЛЖ – левый желудочек
ЛП – левое предсердие
МЖП – межжелудочковая перегородка
МРТ – магнитно-резонансная томография
ПЖ – правый желудочек
СКФ – скорость клубочковой фильтрации
ФВ – фракция выброса
ФЗТ – ферментозаместительная терапия
ЭКГ – электрокардиограмма
ЭхоКГ – эхокардиография
Gb3 – глоботриозилцерамид
Lyso-Gb3 – глоботриаозилсфингозин
Введение
Болезнь Фабри (БФ) – наследственное Х-сцепленное полиэтническое заболевание с доминантным типом наследования с неполной пенетрантностью у женщин, входящее в перечень орфанных, относящееся к лизосомным болезням накопления, обусловленное нарушением метаболизма сфинголипидов. Основной характеристикой БФ является дефицит активности α-галактозидазы А, отщепляющей терминальные остатки галактозы.
Недостаточность этого фермента, обусловленная одной из сотен разных по значимости мутаций в гене GLA, вызывает накопление сфинголипидов в плазме крови и лизосомах различных тканей человеческого организма. Основным накапливаемым сфинголипидом является глоботриозилцерамид (Gb3), называемый также церамидтригексотидом, и глоботриаозилсфингозин (Lyso-Gb3). В организме здорового человека Gb3, являющийся одним из продуктов деградации эритроцитов, расщепляется α-галактозидазой А на лактозу и лактазилцерамид. У человека, страдающего БФ, Gb3 накапливается в большинстве клеток организма, что приводит к нарушениям функций сердечно-сосудистой системы, почек, нервной системы, желудочно-кишечного тракта, кожи, органов зрения, слуха.
Мутации GLA, вызывающие практически нулевую ферментативную активность (<5% от нормального среднего значения), связаны с тяжелыми и ранними классическими фенотипами, более характерными для мужского пола, которые характеризуются развитием симптомов в детском или подростковом возрасте, а именно – акропарестезий, нейропатических болей, гипо- и агидроза, непереносимости жары, холода и физической нагрузки, вихревидной кератопатии, ангиокератомы, желудочно-кишечных нарушений и протеинурии. В зрелом возрасте пациенты могут страдать от кардиомиопатии, сердечной недостаточности, стенокардии (преимущественно микроваскулярной и вазоспастической) [1], аритмий, блокад сердечной проводимости, почечной недостаточности, поражения белого вещества головного мозга (ГМ), цереброваскулярных нарушений и нейросенсорной глухоты. Мутации GLA, приводящие к остаточной ферментативной активности, связаны с поздними фенотипами, которые встречаются в основном у женщин и характеризуются развитием изолированных сердечных, почечных и/или цереброваскулярных проявлений.
Проведенный в США анализ, включающий 5491 пациента с гипертрофией левого желудочка (ГЛЖ) и/или гипертрофической кардиомиопатией (ГКМП), прошедших скрининг на БФ, выявил распространенность патогенных вариантов GLA на уровне 0,9% [2]. По данным С.В. Моисеева и соавт., ГЛЖ неясного происхождения диагностирована у 16 (8,6%) из 187 пациентов с БФ (у 4,3% мужчин и 15,3% женщин) [3]. Недавно наши соотечественники привели данные о взрослых пациентах, обследованных в Клинике ревматологии, нефрологии и профпатологии им. Е.М. Тареева ФГАОУ ВО «Первый МГМУ им. И.М. Сеченова» (Сеченовский Университет) с 2010 по 2024 г., кардиальный фенотип упоминается как редко встречающийся вариант БФ – 16 (7,3%) из 219 пациентов [4].
Описание клинического случая
Женщина, 62 года, получает ферментозаместительную терапию (ФЗТ) каждые 2 нед в условиях кардиологического отделения №2 ГБУЗ ТО «ОКБ №1».
Объективный статус: общее состояние удовлетворительное. Несколько увеличены подбородок и губы, высокая линия роста волос. Индекс массы тела – 33,8 кг/м2. Кожные покровы чистые, физиологической окраски, ангиокератомы не визуализируются. Периферических отеков нет. Число дыхательных движений – 16 в минуту. Сатурация – 97%. Дыхание везикулярное, хрипов нет. Перкуторно левая граница относительной сердечной тупости смещена на 2 см влево от срединно-ключичной линии. Пульс ритмичный – 72 уд/мин. Артериальное давление – 120/80 мм рт. ст. Тоны сердца ритмичные, ясные, несколько усилен первый тон на верхушке. Шумы сердца не выслушиваются. Печень – по краю реберной дуги, безболезненная.
Из анамнеза болезни пациентки. Тонзиллэктомия в 1979 г. на фоне появившихся неангинозных болей в грудной клетке, выставлялась ревматическая болезнь сердца, проводилась антибиотикопрофилактика в последующие 7 лет. В дальнейшем не обследовалась. В возрасте 42 лет отмечался однократный эпизод нарушения речи, при магнитно-резонансной томографии (МРТ) ГМ признаков инсульта не выявлено, со слов пациентки, обнаружены очаги в белом веществе без уточнения их характера. В 2009 г. после перенесенной острой респираторной вирусной инфекции выявлено повышение скорости оседания эритроцитов до 70 мм/ч, изменения других лабораторных показателей отрицает, специфических жалоб не предъявляла. Выставлялись диагнозы системной красной волчанки, ревматоидного васкулита; назначалась терапия преднизолоном. Даны рекомендации обратиться в ФГБНУ «НИИ ревматологии им. В.А. Насоновой» (г. Москва), где диагнозы аутоиммунных заболеваний сняты, отменена терапия глюкокортикостероидами. В 2009 г. отмечает несколько эпизодов выраженных болей в ступнях («горели огнем»). Пациентка всегда страдала метеочувствительностью, данные боли также может связать с переменой погоды. Боли в дистальных отделах конечностей вплоть до настоящего времени не повторялись. С 2011 г. в возрасте 50 лет начали беспокоить одышка и неангинозные боли в грудной клетке. В 2022 г. на фоне диагностированной БФ у сына проведено молекулярно-генетическое исследование, выявлена мутация с.88А>Т, повышение Lyso-Gb3 до 10,9 нг/мл (референс – 0,05–3 нг/мл), α-галактозидаза в норме – 5,2 (референс – 0,8–15). С 18.07.2022 по 28.08.2022 находилась на стационарном лечении в Клинике ревматологии, нефрологии и профпатологии им. Е.М. Тареева ФГАОУ ВО «Первый МГМУ им. И.М. Сеченова» (Сеченовский Университет). МРТ ГМ от 24.07.2022: микроангиопатия, умеренное количество очагов; болезнь мелких сосудов ГМ; Fazekas 1; компрессия правых вентро-латеральных отделов ствола правой позвоночной артерии. Осмотрена врачом-офтальмологом, верифицирована вихревидная кератопатия. Диагноз БФ сомнений не вызывал, а учитывая клинические проявления болезни, рекомендовано начать терапию агалсидазой-β с частотой введения 1 раз в 2 нед по жизненным показаниям. Артериальная гипертензия отмечается длительно. Постоянно принимает лозартан 50 мг/сут, торасемид 10 мг/сут, эплеренон 50 мг/сут, дапаглифлозин 10 мг/сут, розувастатин 40 мг/сут, эзетимиб 10 мг/сут, бисопролол 5 мг/сут, ацетилсалициловую кислоту 100 мг/сут.
Выполнена коронароангиография от 15.11.2022: атеросклероз коронарных артерий без значимых стенозов. С 21.11.2022 в условиях кардиологического отделения №2 ГБУЗ ТО «ОКБ №1» инициирована ФЗТ. Все последующие инфузии ферментозаместительного препарата, вводимого через инфузомат и систему с фильтром, переносила удовлетворительно. Во время очередной госпитализации 13.10.2023 пациентка предъявила жалобы на прогрессирование одышки при физической активности, появление отеков лица в утренние часы. Холтеровское мониторирование электрокардиограммы (ЭКГ) от 16.10.2023: ритм синусовый 52–129–64 уд/мин, полиморфная желудочковая эктопическая активность в виде 2458 одиночных и 9 парных экстрасистол и неустойчивая желудочковая тахикардия с высокой частотой сердечных сокращений (2 эпизода) до 130 уд/мин и общей длительностью 6 с, 4 пробежки предсердной тахикардии, удлинение корригированного QT-интервала. МРТ сердца с внутривенным контрастированием от 21.10.2023: межжелудочковая перегородка (МЖП) – до 20 мм, боковая стенка – 27 мм. Толщина стенок правого желудочка (ПЖ) – до 9 мм. Поперечный размер ПЖ в диастолу – 79×32 мм. Продольный размер ПЖ – 63 мм. Фракция выброса (ФВ) – 64%, масса миокарда ЛЖ – 235 г. На постконтрастных изображениях участков замедленного вымывания контрастного вещества (КВ) не выявлено. Заключение: МР-картина симметричной гипертрофии миокарда ЛЖ; стеноз аортального клапана; средняя степень аортальной регургитации; эктазия ствола легочной артерии (ЛА), расширение ветвей ЛА; интрамиокардиального фиброза на момент исследования не получено. Пациентка консультирована сердечно-сосудистым хирургом, документы направлены в ФГБУ «НМИЦ им. акад. Е.Н. Мешалкина» для определения дальнейшей тактики ведения и лечения. Получен ответ 24.10.2023: показания к операции миоэктомии пути оттока ЛЖ сомнительны, продолжить специфическую терапию заболевания. Получены результаты из ФГБНУ «МГНЦ им. акад. Н.П. Бочкова» 26.10.2023: Lyso-Gb3 повышена – 5,04 нг/мл (норма – 0,05–3 нг/мл); 18.04.2024 впервые зафиксирован PQ/PR менее 120 мс (рис. 1). МРТ сердца с внутривенным контрастированием от 19.05.2024: МЖП – до 20 мм, боковая стенка – 10–12 мм. Конечно-диастолический размер ЛЖ – 45 мм, конечно-систолический размер ЛЖ – 26 мм, продольный размер ЛЖ – 97 мм. Толщина стенок ПЖ – до 4–5 мм, ФВ – 74%, масса миокарда ЛЖ – 287 г. На постконтрастных изображениях определяются интрамиокардиальные участки замедленного вымывания КВ по боковой стенке ЛЖ на уровне среднего и апикального сегмента, МЖП апикально соответствует зонам фиброзных изменений. Заключение: МР-картина асимметричной гипертрофии миокарда ЛЖ с признаками фиброзных изменений. Стеноз аортального клапана, аортальная регургитация 1-й степени. Эктазия ствола ЛА, расширение ветвей ЛА. В ФГБНУ «МГНЦ им. акад. Н.П. Бочкова» 30.07.2024 определена концентрация Lyso-Gb3 – 4,27 нг/мл (норма – 0,05–3 нг/мл). Динамика лабораторных исследований представлена в виде графиков (рис. 2, а, b). Данные эхокардиографии (ЭхоКГ) за 2 года наблюдения представлены в табл. 1.
Рис. 1. ЭКГ от 18.04.2024, впервые зафиксировано укорочение интервала PQ/PR <120 мс.
Fig. 1. ECG from 04/18/2024, shortening of the PQ/PR interval <120 ms was recorded for the first time.
Рис. 2. Динамика лабораторных показателей у пациентки: а – динамика почечных показателей у пациентки; b – динамика сердечных маркеров у пациентки.
Fig. 2. Dynamics of laboratory parameters in the patient: а – dynamics of renal parameters in the patient; b – dynamics of cardiac markers in a patient.
Таблица 1. Эхокардиографическая динамика у пациентки
Table 1. Echocardiographic dynamics in the patient
| Показатель | 12.04.2022 | 16.10.2023 | 09.08.2024 | 
| ЛП М/В-режим, мм | 43 | 45 | 48 | 
| МЖП, мм | 13 | 15 | 19 | 
| ЗС ЛЖ, мм | 12 | 13 | 20 | 
| ИММЛЖ, г/м2 | 113,6 | 167,0 | 209,72 | 
| GLS, % | – | – | 12,2 | 
| СДЛА, мм рт. ст. | 28 | 27 | 44 | 
| Пиковый градиент ВТЛЖ в покое, мм рт. ст. | 43 | 36 | 50,5 | 
Примечание. ЗС ЛЖ – задняя стенка ЛЖ, СДЛА – систолическое давление в ЛА, ВТЛЖ – выходной тракт ЛЖ.
Осмотрена офтальмологом 15.08.2024, помимо вихревидной кератопатии выявлена начальная субкапсулярная катаракта Фабри. В плановом порядке осмотрена 16.08.2024 неврологом, выявлен некоторый гиперкинез лицевых мышц и логоневроз. МРТ ГМ: МР-картина острого лакунарного инфаркта ГМ в бассейне центральных ветвей задней мозговой артерии слева (левый таламус). Очаги в белом веществе, вероятнее, сосудистого генеза (микроангиопатия), Fazekas 2. Выставлен диагноз: перивентрикулярная лейкодистрофия; умеренная кортикальная атрофия; лакунарный ишемический инсульт в бассейне левой задней мозговой артерии (асимптомный), неуточненной давности. Назначена двойная антиагрегантная терапия.
Из семейного анамнеза. Мать умерла в возрасте 82 лет, отец – в 37 лет в связи с онкологическим заболеванием. Сын пациентки: в 1989 г. в возрасте 5 лет манифестировали боли в нижних конечностях, преимущественно стопы, на фоне эпизодов повышения температуры тела. С каждым годом взросления эпизоды болей учащались, дистальные отделы ног «горели огнем, выворачивало от боли». Выставлялся диагноз «плоскостопие». Анализы крови не имели особенностей. В 2017 г. в возрасте 33 лет выявлена массивная протеинурия. За помощью не обращался. Стойкий эпизод повышения артериального давления 08.03.2020, 17.03.2020 креатинин составил 1500 мкмоль/л. С мая 2020 г. – программный гемодиализ (г. Ноябрьск), в 2022 г. проведен селективный скрининг на БФ, мутация подтверждена. Начата инфузионная терапия агалсидазой-β с частотой введения 1 раз в 2 нед. Проведена трансплантация почки от умершего донора 14.02.2023, а 15.04.2024 на фоне присоединившегося септического процесса сын пациентки умер. Есть данные, что на аутопсии имелась гипертрофия миокарда. Пациентка категорически отрицает наличие ангиокератом у сына, возможно, имеют место единичные кожные элементы в прикрытых одеждой местах. Сын пациентки имел двух сыновей 2007 и 2011 г. рождения, что исключает возможность носительства гена Х-сцепленного заболевания у мальчиков. Младшая сестра пациентки: пациентка помнит выраженные боли в ногах у своей младшей сестры, которые манифестировали примерно в возрасте 5 лет . В 2003 г. в возрасте 38 лет перенесла первый инсульт, в возрасте 48 лет – повторный. В 2022 г. на фоне диагностированной БФ у родной старшей сестры и племянника проведен генетический тест на БФ, мутация подтверждена. Учитывая клинические проявления болезни, начата регулярная ФЗТ. Имеет двух детей (сын 1987 и дочь 1995 г. рождения), сын сестры – двух детей (дочь 2012 и сын 2019 г. рождения). О состоянии здоровья детей и внуков сестра пациентки не сообщает. На данный момент БФ у сестры проявляется массивной протеинурией, скорость клубочковой фильтрации (СКФ) по цистатину С от 23.07.2024 – 29,1 мл/мин/1,73 м2. Генеалогическое древо пациентки представлено на рис. 3.
Рис. 3. Генеалогическое древо пациентки.
Fig. 3. Genealogical tree of the patient.
Обсуждение
Диагноз БФ устанавливается на основании наличия патогенной мутации гена GLA в сочетании со снижением активности α-галактозидазы А (у мужчин), повышением содержания Lyso-Gb3 в высушенных пятнах крови и/или по крайней мере одного типичного проявления заболевания (нейропатическая боль, ангиокератомы и вихревидная кератопатия).
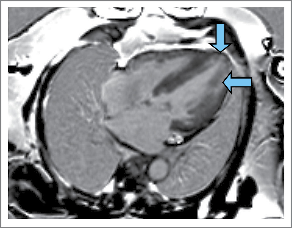
В настоящее время для диагностики поражения сердца при БФ широко используется МРТ. ГЛЖ является наиболее распространенным структурным изменением, зарегистрированным при БФ. У пациентов преимущественно наблюдается концентрическая ГЛЖ с гипертрофией папиллярных мышц в начале, а асимметричная гипертрофия с грубо утолщенной перегородкой по сравнению с нижнебоковой стенкой развивается на поздних стадиях – заместительный фиброз вызывает истончение стенки последней. До 50% пациентов с БФ при МРТ будут иметь признаки контрастирования миокарда базального сегмента заднебоковой стенки ЛЖ в отсроченную фазу [5]. У нашей пациентки наблюдается замедленное вымывание контраста по боковой стенке ЛЖ на уровне среднего и апикального сегментов, МЖП апикально (рис. 4, 5, a, b). Также в случае нативного Т1-картирования при БФ отмечается значимое снижение глобального Т1-времени релаксации, что обусловлено накоплением гликосфинголипидов в кардиомиоцитах. При Т2-картировании повышение Т2-времени релаксации отмечается изолированно в заднебоковом сегменте ЛЖ, где чаще всего при БФ выявляется отсроченное накопление гадолинийсодержащего контрастного препарата. Повышение Т2 в данном сегменте объясняется очаговым отеком миокарда, а он, в свою очередь, связан с аномалиями на ЭКГ, которые могут провоцировать аритмии, включая измененный интервал PQ/PR, блокаду ножек пучка Гиса и удлинение интервала QTc. Данный отек и выброс высокочувствительного тропонина у пациентов с БФ связаны именно с локальным воспалением миокарда [6].
Рис. 4. МРТ сердца пациентки. Четырехкамерное сердце по длинной оси. Позднее усиление гадолиния отражает заместительный фиброз и помогает дифференцировать кардиомиопатию БФ от ишемической и других ГКМП. На постконтрастных изображениях стрелками показаны интрамиокардиальные участки замедленного вымывания КВ.
Fig. 4. Cardiac MRI of the patient. Four-chambered heart in long axis. Late gadolinium enhancement reflects substitution fibrosis and helps differentiate FD cardiomyopathy from ischemic and other hypertrophic cardiomyopathies. In post-contrast images, arrows indicate intramyocardial areas of delayed contrast washout.
Рис. 5. МРТ сердца пациентки. Двухкамерное сердце по короткой оси: a – на постконтрастных изображениях отсутствуют очаги замедленного вымывания КВ; b – на постконтрастных изображениях в динамике определяются интрамиокардиальные очаги замедленного вымывания КВ (указан стрелкой).
Fig. 5. MRI of the patient's heart. Two-chambered heart along the short axis: a – post-contrast images show absence of delayed contrast washout foci; b – the dynamic post-contrast images show the appearance of an intramyocardial focus of delayed contrast agent washout (indicated by the arrow).
Изменение длительности интервала PQ/PR наряду с гипертрофией миокарда является одним из патогномоничных признаков болезней накопления в целом, в частности при БФ происходит ускорение проведения по АВ-соединению в связи с аккумуляцией сфинголипидов в проводящей системе сердца. Укорочение времени проведения импульса способно мимикрировать под синдромы Вольфа–Паркинсона–Уайта и Клерка–Леви–Кристеско, что может привести к неверной тактике ведения пациента [7].
Наиболее содержательная морфофункциональная характеристика БФ при проведении ЭхоКГ, на наш взгляд, представлена R. Lillo и соавт. Часто ввиду концентрической ГЛЖ в сочетании с гипертрофией папиллярных мышц встречается динамическая обструкция выводного тракта и средней части полости ЛЖ. Избыточному накоплению сфинголипидов подвержены корень и восходящая часть аорты, что приводит к ее дилатации [8]. Подвержены утолщению створки аортального и митрального клапана, однако гемодинамически значимые пороки формируются только у 15% больных [9]. При оценке региональной деформации миокарда ЛЖ наиболее часто выявляется угнетение контрактильности базальных заднебоковых отделов ЛЖ. Обнаружены корреляции с локализацией и степенью фиброза ЛЖ, выявленными при помощи МРТ [10]. Диастолическая дисфункция, повышение давления заполнения ЛЖ, снижение деформации фазы резервуара левого предсердия (ЛП), дилатация ЛП встречаются наиболее часто. Указанные изменения связаны как с неспособностью миокарда ЛЖ к адекватному растяжению, так и с накоплением гликолипидов в миокарде ЛП [8].
В представленном нами случае выраженная циркулярная ГЛЖ приводит к динамической обструкции выводного тракта, средней и апикальной частей ЛЖ. Обращает на себя внимание сочетание сложных пороков аортального и митрального клапана, отсутствие дилатации аорты. Вероятно, приобретенные пороки значимо влияют на морфофункциональное ремоделирование левых отделов, поэтому указание на характерные для БФ особенности по данным ЭхоКГ затруднено.
К экстракардиальным «красным флагам» у пациентки можно отнести: в 2003 г. на фоне однократного нарушения речи (предположительно, транзиторная ишемическая атака) обнаружены очаги в ГМ, вероятно, носящие вторичный характер и связанные, возможно, с «тихими» инфарктами; нетипичный эпизод нейропатической боли в 2009 г.; вихревидная кератопатия в 2022 г., катаракта Фабри в 2024 г.; протеинурия в 2022 г.; в 2024 г. верифицирован лакунарный ишемический инсульт; отягощенный семейный анамнез.
К сердечным «красным флагам» БФ отнесем: гипертрофию миокарда ЛЖ с нормальной систолической функцией, утолщение митрального и аортального клапана с легкой и умеренной регургитацией, имеющиеся у пациентки еще в 2022 г.; укорочение интервала PQ/PR и снижение глобальной продольной деформации, расширение корня аорты (до 37 мм), обнаруженные в 2024 г.
Вероятно, заподозрить БФ было возможно еще в 2003 г. при внимательном сборе семейного анамнеза и должной осведомленности врачей, когда пациентка перенесла транзиторную ишемическую атаку, а у ее младшей сестры незадолго до этого впервые развился инсульт в еще более раннем возрасте. Вариант постановки диагноза и инициации лечения, когда у сына пациентки в возрасте 5 лет манифестировали акропарестезии, невозможен, так как данная симптоматика началась в 1989 г., а первой в гене GLA человека описана мутация 1066C-T также в 1989 г., специфической терапии не существовало. Трудности в дифференциальной диагностике ревматологического характера при БФ отражены в публикации наших коллег [11]. Последующее постепенное появление клинических симптомов и характерный анамнез могли быть рассмотрены на предмет БФ в более ранние сроки.
Прогноз БФ в отношении перспективы выздоровления неблагоприятный. S. Waldek и соавт. приводят данные, в соответствии с которыми предполагаемая продолжительность жизни у пациентов мужского пола составляет 40–60 лет, у женщин – 40–70 лет [12]. Прогноз для жизни во многом зависит от своевременности верификации диагноза и назначения лечения.
Создано медикаментозное лечение БФ, а именно агалсидаза-α и β, а также новая шаперонная терапия (Мигаластат), пока не одобренная на территории Российской Федерации. Находится в разработке не менее четырех других препаратов на разных фазах клинических исследований, в том числе пероральный ингибитор глюкозилцерамидсинтазы, предлагающий потенциально новый подход к лечению БФ [13].
Опыт применения давно представленных на мировом рынке агалсидазы-α и β есть и в нашей стране. По данным А.С. Моисеева и соавт., по выборке из 29 пациентов с БФ, получающих длительно ФЗТ (медиана 5 лет), индекс массы миокарда ЛЖ (ИММЛЖ) снизился с 96,0 до 77,0 г/м2 (p<0,01) [14].
У нашей пациентки мы видим положительный нефропротективный эффект (снижение уровня микроальбуминурии, стабильный уровень СКФ); см. рис. 2, а; но, несмотря на это, происходит увеличение ИММЛЖ, а также натрийуретического пептида и тропонина I (см. рис. 2, b), что, предположительно, говорит о продолжении накопления сфинголипидов и воспаления в миокарде, которые ведут к прогрессированию сердечной недостаточности с сохраненной ФВ. Повышенный ИММЛЖ – один из достоверных предикторов летального исхода и комбинированной конечной точки, по данным С.В. Моисеева и соавт. [15]. Прогрессия утолщения МЖП с формированием значимой обструкции выносящего тракта, а также сомнения специалистов федерального центра в целесообразности септальной миоэктомии подтолкнули лечащего врача к мультидисциплинарному консилиуму, на котором решено провести спиртовую септальную аблацию.
Заключение
БФ относится к редким заболеваниям из группы болезней накопления, характеризуется гетерогенностью клинических проявлений даже в рамках одной семьи, дебютирует в разных возрастных периодах, характеризуется неспецифичностью ранних признаков, а также неуклонным прогрессированием болезни и при отсутствии специфического лечения – значительным сокращением продолжительности жизни. Своевременная генетическая диагностика и скрининг на БФ у пациентов с критериями ГКМП имеют ряд трудностей и усугубляются малой информированностью врачей разных специальностей о данном заболевании. Ранняя диагностика БФ приведет к назначению генотип-специфической терапии с целью снижения скорости прогрессирования заболевания.
Раскрытие интересов. Авторы декларируют отсутствие явных и потенциальных конфликтов интересов, связанных с публикацией настоящей статьи.
Disclosure of interest. The authors declare that they have no competing interests.
Вклад авторов. Авторы декларируют соответствие своего авторства международным критериям ICMJE. Все авторы в равной степени участвовали в подготовке публикации: разработка концепции статьи, получение и анализ фактических данных, написание и редактирование текста статьи, проверка и утверждение текста статьи.
Authors’ contribution. The authors declare the compliance of their authorship according to the international ICMJE criteria. All authors made a substantial contribution to the conception of the work, acquisition, analysis, interpretation of data for the work, drafting and revising the work, final approval of the version to be published and agree to be accountable for all aspects of the work.
Источник финансирования. Авторы декларируют отсутствие внешнего финансирования для проведения исследования и публикации статьи.
Funding source. The authors declare that there is no external funding for the exploration and analysis work.
Информированное согласие на публикацию. Пациентка подписала форму добровольного информированного согласия на публикацию медицинской информации.
Consent for publication. Written consent was obtained from the patient for publication of relevant medical information and all of accompanying images within the manuscript.
About the authors
Artyom A. Vedernikov
Regional Clinical Hospital №1
							Author for correspondence.
							Email: barterer55@yandex.ru
				                	ORCID iD: 0009-0002-1297-5035
				                																			                								
врач-кардиолог кардиологического отд-ния №2
Russian Federation, TyumenEvgeny M. Mezhonov
Regional Clinical Hospital №1; Tyumen State Medical University
														Email: barterer55@yandex.ru
				                	ORCID iD: 0000-0002-6086-4578
				                																			                								
д-р мед. наук, врач-кардиолог, проф. каф. кардиологии и кардиохирургии с курсом скорой медицинской помощи Института клинической медицины
Russian Federation, Tyumen; TyumenNikita E. Shirokov
Tomsk National Research Medical Center
														Email: barterer55@yandex.ru
				                	ORCID iD: 0000-0002-4325-2633
				                																			                								
канд. мед. наук, врач ультразвуковой диагностики, науч. сотр. лаб. инструментальной диагностики научного отд. инструментальных методов исследования Тюменского кардиологического научного центра
Russian Federation, TyumenAlexandra M. Adamchuk
Regional Clinical Hospital №1
														Email: barterer55@yandex.ru
				                	ORCID iD: 0009-0008-6056-2183
				                																			                								
врач-рентгенолог отд-ния лучевой диагностики
Russian Federation, TyumenValentina A. Balina
Regional Clinical Hospital №1
														Email: barterer55@yandex.ru
				                	ORCID iD: 0009-0005-2586-9217
				                																			                								
канд. мед. наук, зав. кардиологическим отд-нием
Russian Federation, TyumenOleg M. Reitblat
Regional Clinical Hospital №1
														Email: barterer55@yandex.ru
				                	ORCID iD: 0000-0002-9407-5497
				                																			                								
канд. мед. наук, рук. Регионального сосудистого центра
Russian Federation, TyumenValentina I. Larionova
Mechnikov North-Western State Medical University
														Email: barterer55@yandex.ru
				                	ORCID iD: 0000-0002-3128-8102
				                																			                								
д-р мед. наук, проф. каф. мед. генетики
Russian Federation, Saint PetersburgSergey V. Shalaev
Regional Clinical Hospital №1; Tyumen State Medical University
														Email: barterer55@yandex.ru
				                	ORCID iD: 0000-0003-2724-4016
				                																			                								
чл.-кор. РАН, д-р мед. наук, проф., начальник Центра сердца и сосудов, зав. каф. кардиологии и кардиохирургии с курсом скорой медицинской помощи Института клинической медицины
Russian Federation, Tyumen; TyumenReferences
- Kitani Y, Nakagawa N, Sakamoto N, et al. Unexpectedly High Prevalence of Coronary Spastic Angina in Patients With Anderson-Fabry Disease. Circ J. 2019;83(2):481-4. doi: 10.1253/circj.CJ-18-0734
- Doheny D, Srinivasan R, Pagant S, et al. Fabry Disease: prevalence of affected males and heterozygotes with pathogenic GLA mutations identified by screening renal, cardiac and stroke clinics, 1995–2017. J Med Genet. 2018;55(4):261-8. doi: 10.1136/jmedgenet-2017-105080
- Моисеев С.В., Тао Е.А., Моисеев А.С., и др. Болезнь Фабри как причина гипертрофической кардиомиопатии. Клиническая фармакология и терапия. 2023;32(1):36-41 [Moiseev SV, Tao EA, Moiseev AS, et al. Fabry disease as a cause of hypertrophic cardiomyopathy. Klinicheskaya farmakologiya i terapiya. 2023;32(1):36-41 (in Russian)]. doi: 10.32756/0869-5490-2023-1-36-41
- Тао Е.А., Моисеев А.С., Буланов Н.М., и др. Клинические фенотипы болезни Фабри у 219 взрослых пациентов. Клиническая фармакология и терапия. 2024;33(2):56-62 [Tao EA, Moiseev AS, Bulanov NM, et al. Clinical phenotypes of Fabry disease in 219 adult patients. Klinicheskaya farmakologiya i terapiya. 2024;33(2):56-62 (in Russian)]. doi: 10.32756/0869-5490-2024-2-56-62
- Caredda G, Bassareo PP, Cherchi MV, et al. Anderson-fabry disease: role of traditional and new cardiac MRI techniques. Br J Radiol. 2021;94(1124):20210020. doi: 10.1259/bjr.20210020
- Roy A, Cumberland MJ, O'Shea C, et al. Arrhythmogenesis in Fabry Disease. Curr Cardiol Rep. 2024;26(6):545-60. doi: 10.1007/s11886-024-02053-2
- Злобина П.Д., Калемберг А.А., Мясников Р.П., и др. Укороченный интервал PQ в дифференциальной диагностике болезни Андерсона-Фабри. Российский кардиологический журнал. 2022;27(7):5123 [Zlobina PD, Kalemberg AA, Myasnikov RP, et al. Shortened PQ interval in the differential diagnosis of Anderson-Fabry disease: a case report. Russian Journal of Cardiology. 2022;27(7):5123 (in Russian)]. doi: 10.15829/1560-4071-2022-5123
- Lillo R, Pieroni M, Camporeale A, et al. Echocardiography in Anderson-Fabry Disease. Rev Cardiovasc Med. 2022;23(6):201. doi: 10.31083/j.rcm2306201
- Linhart A, Kampmann C, Zamorano JL, et al. Cardiac manifestations of Anderson-Fabry disease: results from the international Fabry outcome survey. Eur Heart J. 2007;28(10):1228-35. doi: 10.1093/eurheartj/ehm153
- Krämer J, Niemann M, Liu D, et al. Two-dimensional speckle tracking as a non-invasive tool for identification of myocardial fibrosis in Fabry disease. Eur Heart J. 2013;34(21):1587-96. doi: 10.1093/eurheartj/eht098
- Машкунова О.В., Исабекова А.Х., Ботабекова А.Ж., и др. Поражения при орфанных заболеваниях: ревматологические аспекты болезни Фабри. Терапевтический архив. 2023;95(6):505-10 [Mashkunova OV, Isabekova AH, Botabekova AZ, et al. Multisystem lesions in orphan diseases: rheumatological aspects of Fabry's disease. Case report. Terapevticheskii Arkhiv (Ter. Arkh.). 2023;95(6):505-10 (in Russian)]. doi: 10.26442/00403660.2023.06.202244
- Waldek S, Patel MR, Banikazemi M, et al. Life expectancy and cause of death in males and females with Fabry disease: findings from the Fabry Registry. Genet Med. 2009;11(11):790-6. doi: 10.1097/GIM.0b013e3181bb05bb
- Pieroni M, Moon JC, Arbustini E, et al. Cardiac Involvement in Fabry Disease: JACC Review Topic of the Week. J Am Coll Cardiol. 2021;77(7):922-36. doi: 10.1016/j.jacc.2020.12.024
- Моисеев А.С., Буланов Н.М., Тао Е.А., и др. Эффективность и безопасность длительной ферментозаместительной терапии агалсидазой альфа и агалсидазой бета у взрослых пациентов с болезнью Фабри. Клиническая фармакология и терапия. 2022;31(4):28-34 [Moiseev AS, Bulanov NM, Tao EA, et al. Efficacy and safety of long-term enzyme replacement therapy with agalsidase alfa or agalsidase beta in adult patients with Fabry disease. Klinicheskaya farmakologiya i terapiya. 2022;31(4):28-34 (in Russian)]. doi: 10.32756/0869-5490-2022-4-28-34
- Моисеев С.В., Каровайкина Е.А., Буланов Н.М., и др. Предикторы клинических исходов болезни Фабри: роль хронической болезни почек. Терапевтический архив. 2019;91(6):40-4 [Moiseev SV, Karovaikina EA, Bulanov NM, et al. Predictors of clinical outcomes in Fabry disease: the role of chronic kidney disease Terapevticheskii Arkhiv (Ter. Arkh.). 2019;91(6):40-6 (in Russian)]. doi: 10.26442/00403660.2019.06.000251
Supplementary files
 
				
			 
					 
						 
						 
				
 
  
  
  Email this article
			Email this article 






