History of the study of amyloidosis: from the Rokitansky’s theory to the present day
- Authors: Rameev V.V.1, Lysenko L.V.1
-
Affiliations:
- Sechenov First Moscow State Medical University (Sechenov University)
- Issue: Vol 96, No 6 (2024): Issues of nephrology
- Pages: 635-640
- Section: History of medicine
- Submitted: 07.07.2024
- Accepted: 07.07.2024
- Published: 07.07.2024
- URL: https://ter-arkhiv.ru/0040-3660/article/view/634101
- DOI: https://doi.org/10.26442/00403660.2024.06.202732
- ID: 634101
Cite item
Full Text
Abstract
In the history of amyloidosis studying the concept of liquids dyscrasia has been predominated and finally it is resulted in accepting a serum protein-precursor as a leading amyloidogenic factor in the disease pathogenesis. Consequently basic diagnostic and treatment strategy was aimed to find and eliminate this protein from the blood and this approach evidenced high effectiveness in most frequent AA and AL-amyloidosis characterized with anomaly high levels of precursors in the blood. At the same time there are less frequent and slower progressing inheritant forms of systemic amyloidosis including transthyretin induced, which are less depending on amyloidogenecity of amyloid precursor and because of that, in example, the effectiveness of transthyretin stabilizers or blockers of its synthesis is limited comparing with the precursor elimination in AA or AL. Developed in the middle of XX century a theory of local synthesis by macrophages is more preferable to describe the pathogenesis of these forms. And modern proteome analysis using give rise to confirm the key meaning of macrophage in the amyloidogenesis and proves necessity to know deeply mechanisms of macrophagial autophagia – basic tool of maintaining intracellular protein homeostasis. That is why it is difficult to hope on high effectiveness of chemical amyloid solvents in vivo, which being under macrophages regulation never could realize its chemical activities.
Full Text
Список сокращений
АФ – амилоидная фибрилла
СА – синтез амилоида
СБ – сальная болезнь
СВ – сальное вещество
ФА – фибрилла амилоида
AA-амилоидоз – вторичный амилоидоз
AL-амилоидоз – первичный амилоидоз
Введение
Традиционно амилоидоз считают редким заболеванием, проблемой узкой специализации. Тем не менее рассматриваемая проблема имеет важное общетеоретическое значение, поскольку амилоидоз непосредственно сопрягает клиническую практику с вопросами молекулярной патобиологии, теории воспаления, пенетрантности наследуемых и приобретенных мутаций. Редкость амилоидоза с учетом современных достижений в его диагностике и лечении вызывает большие сомнения.
В настоящее время амилоидоз рассматривают как группу заболеваний, общим признаком которых является отложение в тканях и органах фибриллярного гликопротеида амилоида. Фибриллярная структура амилоида доказана A. Cohen и E. Calkins [1] с помощью электронного микроскопа в 1959 г. Свойством амилоида, отличающим его от других фибриллярных протеидов тканей (коллагена, эластина), является способность к двойному лучепреломлению в поляризованном свете, обусловленному кросс-β-складчатой конформацией амилоидной фибриллы (АФ). Выявление указанного свойства с помощью окраски гистологических препаратов конго красным с последующей микроскопией в поляризованном свете лежит в основе диагностики любого типа амилоидоза.
Первые описания амилоидоза
По мнению R. Kyle, первым аутопсийным описанием амилоидоза является публикация голландского врача и поэта из Амстердама N. Fonteyn в 1639 г. [2], наблюдавшего молодого мужчину с асцитом, желтухой и носовыми кровотечениями, у которого выявлены абсцесс печени и гигантская селезенка, содержащая множество белых камней («саговая селезенка»). Приведенное и похожее наблюдение T. Bartholin включены в известную энциклопедию-коллекцию образцов различных патологических процессов T. Boneti “Sepulchretum sive Anatomia Practica” (1679 г.) [2, 3]. Третьим сообщением об амилоиде считают публикацию J. Wainewright (1722 г.), описавшего глиноподобное вещество в составе гигантской печени у больного с плотными отеками ног. Позднее, в 1789 г., первый медик короля Людовика XVIII, инициатор создания Парижской медицинской академии барон A. Portal, проведя аутопсию умерших от туберкулеза пожилой женщины и 8-летнего мальчика, назвал найденное им в печени и селезенке вещество сальным (СВ), о чем и писал в своих письмах друзьям (в 1803, 1818 гг.).
Теория дискразии жидкостей и сальная болезнь Рокитанского
Широкому кругу медицинской общественности проблема амилоидоза стала известна благодаря работам знаменитого австрийского патолога чешского происхождения К. Рокитанского. В своем учебнике патологической анатомии (“Handbuch der speciellen pathologischen Anatomica”), изданном в Вене в 1842 г. под названием «Сальная печень» (“Die speckige Leber”), он описал увеличение печени вследствие ее инфильтрации веществом серого цвета, напоминающим альбумин или желатин, которое могло выявляться также в селезенке и почках у больных скрофулой (туберкулезом шейных лимфоузлов), сифилисом и другими хроническими гнойно-воспалительными заболеваниями [2, 3]. Внимание К. Рокитанского к проблеме амилоидоза обусловлено тем, что данная патология являлась яркой иллюстрацией теоретических воззрений ученого, одного из ведущих представителей гуморального направления в патологии. Основной причиной любых болезненных изменений, по его мнению, является нарушение состава «соков» (жидкостей) организма – дискразия.
Приведенная концепция на первый взгляд произрастает из средневековых воззрений Ибн Сины, господствовавших в Европе вплоть до XVII в., согласно которым все болезни обусловлены неправильным уравновешиванием основных «соков» организма, а на более глубинном уровне – античных 4 элементов (земли, воды, воздуха и огня). Однако если основным локомотивом данного смешивания (уравновешивания) Ибн Сина считал эманацию (излияние) божественной воли [4], то К. Рокитанский избавился от идеалистической с элементами восточного мистицизма теории Ибн Сины и рассматривал «соки» организма как сугубо материальные субстанции, тщательно описывая их макро- и микроскопические признаки. По его мнению, способностью инициировать болезнь обладает химическая субстанция – СВ (гуморальный продукт дискразии Рокитанского), которое инфильтрирует органы, нарушая их деятельность. В современных воззрениях на амилоидогенез принцип активно действующей амилоидогенной субстанции продолжает доминировать. Такой субстанцией считают белок-предшественник амилоидоза, борьба с которым позволила в настоящее время добиться значительных успехов в лечении амилоидоза, прогноз которого во многих случаях перестал быть фатальным. Положительной стороной концепции дискразии стало понимание болезни как общей реакции организма, а местный патологический процесс рассматривали как проявление общего заболевания. При всей своей архаичности приведенная концепция отражает свойственную многим формам амилоидоза системность поражения, что может создавать немалые трудности в его диагностике из-за узкой медицинской специализации или пресловутого стандарта обследования [2, 3].
От патологоанатомической проблемы к становлению амилоидоза как клинической проблемы
Во второй половине XIX в. внимание исследователей было направлено на уточнение природы СВ. Так, в 1853 г. Р. Вирхов после экспозиции СВ в растворе йода и последующей обработки серной кислотой обнаружил, что исследуемый материал изменил окраску сначала на коричневую, а затем на голубую, что позволило предположить полисахаридную, крахмалистую природу СВ и назвать его амилоидом (в пер. с лат. яз. – «крахмалоподобный»). Хотя в результате исследований XX в. (O. Hanssen, 1908 г.) показано, что полисахариды составляют не более 4% массы амилоида, термины «амилоид» и «амилоидоз» закрепились, в том числе вследствие научного авторитета Р. Вирхова, которого в дальнейшем P. Schwartz сравнивал с Х. Колумбом, открывшим Америку, а не Индию. Однако на самом деле гораздо важнее то, что Р. Вирхов открыл принципиальное свойство амилоида – метахромазию, или свойство двойного лучепреломления, и в этом смысле амилоид действительно напоминает крахмал [2, 3, 5].
Работы Р. Вирхова положили начало широкой дискуссии о природе амилоида среди исследователей. Термин «амилоидная дегенерация» поддержал G. Budd, которому принадлежит первое наиболее подробное клиническое описание вторичного (AA)-амилоидоза у 5 больных разными формами туберкулеза. В своей монографии “On diseases of the liver” (1845 г.) он подробно описывает морфологию и клинические проявления амилоидоза печени, при этом замечает, что одновременно имеется более выраженное поражение почек, несмотря на то что в них амилоида обычно меньше по сравнению с печенью. В 3-м издании своей монографии (1857 г.) он посвятил амилоидозу целую главу из 25 страниц, в которой подтвердил данные Р. Вирхова собственными гистохимическими исследованиями, при этом впервые указал на то, что амилоид имеет скорее альбуминоподобную природу [2, 3].
Однако многие исследователи по-прежнему настаивали на термине «сальная болезнь» (СБ). S. Wilks в 2 статьях (1856 и 1865 гг.) представил 96 подробных наблюдений СБ, причем 2 из них считают первым описанием первичного (AL)-амилоидоза. На основе своих наблюдений S. Wilks и его сподвижники W. Marcet, J. Bristowe, J. Andrew, W. Dickinson 16 мая 1871 г. издали отчет комитета по СБ, в котором доказывали принадлежность амилоида к веществу сальной (липидной) природы, содержащему холестерин [2, 3].
В рассматриваемой дискуссии не обращено внимание на работы N. Friedreich, A. Kekulé, которые еще в 1859 г. показали, что амилоид не только не относится к веществам липидной природы, но и не является целлюлозой или крахмалом. Изучая химические свойства амилоидных депозитов, они еще тогда установили их белковую природу. Тем не менее их исследования остались незамеченными и не повлияли на ход дискуссии. Кроме того, оставалось вне внимания и сделанное S. Wilks допущение возможности развития AL-амилоидоза [6].
Несмотря на то что S. Wilks описал 2 наблюдения амилоидоза в качестве первичной болезни (1856, 1865 гг.), представления о клиническом портрете больного амилоидозом во второй половине XIX в. основывались главным образом на работах Meckel (1853), утверждавшего, что амилоидоз обычно является второй болезнью [2, 3].
До 1920-х годов все исследования амилоидоза проводили на аутопсийном материале, а прижизненная диагностика стала возможной только в 1922 г. благодаря методу, предложенному H. Bennhold, который вводил краситель конго красный внутривенно и по клиренсу красителя с мочой судил о степени его задержки в организме вследствие наличия амилоидоза. В настоящее время метод не применяется, однако он дал возможность широкого изучения проблемы амилоидоза в условиях клиники внутренних болезней, в том числе в России (исследователями О.М. Виноградовой, В.В. Серовым, В.А. Варшавским, И.А. Шамовым, Н.А. Мухиным и др.), и открыть многообразие форм амилоидоза [2, 3].
O. Lubarsch в 1929 г. выделил первичный амилоидоз в самостоятельную форму и предложил следующие диагностические критерии, отличающие его от вторичного амилоидоза:
1) отсутствие предшествующего или сопутствующего заболевания;
2) преимущественное поражение мезодермальной ткани, непостоянство окрасочных реакций на амилоид (часто отрицательная проба с конго красным);
3) склонность к образованию узловатых депозитов [2, 3].
По заключению О.М. Виноградовой (1980 г.) [7], проанализировавшей литературу, посвященную проблеме амилоидоза за много лет, уже первые клинические обзоры, опубликованные в 1930-е годы, привлекли внимание медицинской общественности к поразительному клинико-морфологическому сходству амилоидоза при множественной миеломе и первичного амилоидоза. A. Magnus-Levy (1931 г.) наблюдал амилоидоз у 20% больных множественной миеломой и высказал предположение о том, что амилоид синтезируется плазматическими клетками. K. Apitz (1940 г.) подтвердил данную гипотезу, обнаружив в костном мозге больных первичным амилоидозом увеличенное количество плазматических клеток [2, 3].
H. Reimann и соавт. (1935 г.) описали локальную опухолевидную форму амилоидоза, при которой отложения амилоида в виде узлов поражали только одну систему, чаще всего респираторный тракт, мочевой пузырь, реже – другие органы. В 1949 г. D. Dahlin опубликовал свои 25-летние наблюдения больных амилоидозом, среди них 30 случаев вторичного амилоидоза, 7 – первичного амилоидоза, 3 – старческого, 1 – опухолевидного амилоидоза [7].
В 1920–30-е годы описаны семейные формы амилоидоза. Наиболее подробное описание более частого нейропатического варианта наследственного амилоидоза сделано в 1952 г. C. Andrade. К 1970 г. он изучил 696 лиц из 173 семей, среди которых идентифицированы 284 больных семейным аутосомно-доминантным нейропатическим амилоидозом с преимущественным поражением нижних конечностей. Наряду с нейропатическим описано множество других вариантов наследственного амилоидоза – кардиопатического, нефропатического, причем некоторые из них характерны для определенных эндемичных зон, в частности португальский, датский, шведский, японский, финский и другие ареалы [2, 3, 7].
Предложены многочисленные классификации амилоидоза, однако исчерпывающего объяснения многообразию его форм они не давали. В 1968 г. изданы материалы 1-го симпозиума по амилоидозу, состоявшегося 24–28 сентября 1967 г. в университете г. Гронинген в Нидерландах [6]. В работе симпозиума и подготовке итоговых материалов участвовали ученые, внесшие существенный вклад в изучение амилоидоза, среди них C. Andrade, S. Battaglia, E. Calkins, A. Cohen, G. Glenner, T. Muckle, P. Schwartz, G. Teilum и др. Во вводной статье E. Letterer сравнил проблему амилоидоза с древней загадкой Сфинкса, изучением которой занимаются более полутора столетий, однако неизменно остается больше вопросов, чем ответов [6].
В 1969 г. совершен значительный прорыв в методологии изучения амилоида. Израильский ученый M. Pras и соавт. [8] показали, что белки из нерастворимого фибриллярного амилоида могут быть выделены в растворимом виде, что дало возможность изучения химического состава амилоида. Уже в 1971 г. G. Glenner и соавт. [9, 10] получили подтверждение того, что амилоид при AL-амилоидозе образован легкими цепями иммуноглобулинов, тем самым объяснив выявленную ранее Osserman (1964 г.) частую ассоциацию AL-амилоидоза с протеинурией Бенс-Джонса. В том же 1971 г. E. Benditt и соавт. [11] показали, что при AA-амилоидозе амилоид образован другим белком, который он назвал амилоидным А-белком. Впоследствии они нашли аналог данного белка в крови, названный сывороточным амилоидным А-белком (Serum Amyloid A-protein – SAA) [11].
Потребовалось еще около 30 лет, чтобы установить связь каждого варианта амилоидоза с преимущественной депозицией какого-либо одного белка-предшественника, специфичного для рассматриваемой формы амилоидоза [12–24]. После этого принята современная классификация амилоидоза Всемирной организации здравоохранения (последняя редакция 2014 г. [25]), в основу которой положен принцип специфичности основного белка-предшественника амилоида (в настоящее время известно около 30 таких белков). Согласно данной классификации вначале приводится тип амилоида, в аббревиатуре которого указывается известный белок-предшественник, а затем уже клинические формы амилоидоза с перечислением преимущественных органов-мишеней. Во всех названиях типов амилоида первой буквой является прописная буква А, означающая слово «амилоид», за которой следует обозначение конкретного фибриллярного белка амилоида – А (амилоидный А-протеин), L (легкие цепи иммуноглобулинов), TTR (транстиретин), β2М (β2-микроглобулин), В (В-протеин), IAPP (островковый амилоидный полипептид). Используют также производ- ные наименования – иммуноглобулиновый (AL), транстиретиновый амилоидоз (ATTR) и др.
Современная классификация окончательно закрепила приоритетное значение белка-предшественника в возникновении и прогрессировании амилоидоза и, соответственно, продолжила традицию объяснения амилоидогенеза через концепцию диспротеиноза, исходящую из концепции дискразии жидкостей Рокитанского. В связи с этим диагностика амилоидоза предполагает не только выявление амилоида в биоптате ткани с помощью окраски конго красным с последующей микроскопией в поляризованном свете, но и определение типа амилоида иммуногистохимическим методом с помощью антител к белкам-предшественникам амилоида или методом протеомного анализа [26], а также стремление обнаружить предпосылки для появления такого аномального амилоидогенного белка в крови (выявление амилоидогенного клона плазматических клеток, установление персистирующего характера хронического воспаления и его причин, обнаружение мутантных форм белка-предшественника). Концепция диспротеиноза доказала свою правоту в обосновании современных эффективных подходов к лечению наиболее распространенных форм системного амилоидоза. Так, по нашим данным [27], при АА-амилоидозе, обусловленном персистенцией активности хронических воспалительных заболеваний, применение эффективных методов лечения хронического воспаления позволило увеличить продолжительность жизни больных до 19 лет, что соответствует выживаемости больных с воспалительными заболеваниями, не осложненными амилоидозом. В структуре причин АА-амилоидоза после появления антибиотиков доля нагноений снизилась с 61,7% в середине ХХ в. до 8,96% в настоящее время [27]. С появлением современных антицитокиновых препаратов стала резко уменьшаться доля АА-амилоидоза в структуре форм системного амилоидоза. Современная классификация окончательно обосновала связь AL-амилоидоза с плазмаклеточными дискразиями. Теперь применение методов антиклональной антиплазмацитарной терапии превратило указанную форму амилоидоза из заболевания с абсолютно фатальным прогнозом на начало 1990-х годов в излечимое заболевание как минимум у 50% больных [28].
Теория локального макрофагального СА
АА- и AL-типы амилоидоза характеризуются аномально высокими концентрациями белка-предшественника в крови, соответственно, это дает возможность таким белкам проявлять себя в качестве очень активной субстанции, что вполне согласуется с концепцией диспротеиноза, а борьба с высокой концентрацией такого белка в крови дает существенный клинический эффект при лечении. Однако при других формах амилоидоза, например при наследственных, концентрация мутантного белка-предшественника остается нормальной, а тактика лечения только путем воздействия на такой белок оказывается недостаточной, предполагая наличие дополнительных механизмов амилоидогенеза, нивелирующих роль белка-предшественника.
Так, в 1950–60-е годы G. Teilum [29] выдвинул концепцию локального синтеза амилоида (СА) клетками ретикулоэндотелиальной системы. По его мнению, СА предшествует накопление пиронинофильных клеток, обладающих высоким синтетическим потенциалом. В следующую фазу данные клетки накапливали PAS-позитивный материал с последующим выходом его из клеток в окружающую среду.
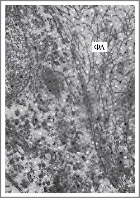
Наиболее веские аргументы в пользу рассматриваемой теории получены по итогам электронно-микроскопических исследований. Так, В.В. Серов в 1974–1977 гг. демонстрировал СА купферовыми клетками печени, при этом «можно было видеть, как вакуоли, содержащие электронно-плотное вещество, мигрируют из околоядерной зоны на периферию, подходят к плазмолемме и сливаются с ней. В результате в плазматической мембране клетки, на стороне, обращенной к пространству Диссе, образуются инвагинаты, в которых появляются фибриллы амилоида (ФА). Создается впечатление непосредственной связи фибрилл с цитолеммой, поскольку целостность ее на дне инвагинатов проследить не удается» (рис. 1, 2) [30]. В последующем многие исследователи подтверждали приведенные данные, находили конгофильный материал со свойством двойного лучепреломления внутри макрофагов [31].
Рис. 1. Синтез ФА клетками селезенки. ×10 тыс.
Fig. 1. Synthesis of amyloid fibrils (AF) by spleen cells. ×10 000.
Рис. 2. Синтез ФА купферовскими клетками. ×10 тыс. ЭС – эндоплазматическая сеть.
Fig. 2. Synthesis of AF by Kupffer cells. ×10 000.
Уже в современный период результаты молекулярно-биологических протеомных исследований показали, что в составе амилоида помимо основного белка-предшественника и белков так называемой «амилоидной сигнатуры» (сывороточного амилоидного Р-компонента, аполипопротеина Е, аполипопротеина А4) содержатся минорные фракции белков, помогающие понять эволюцию АФ в процессе ее складывания. При этом R. Gomes и соавт. (2012 г.) выяснили, что в составе транстиретинового амилоида содержатся шапероны HSР70, FKSP, CYPH, как допустимое свидетельство попытки макрофага восстановить нормальную структуру транстиретина. Найден и дисбаланс компонентов убиквитиновой протеасомы (UBX1↓, HSP70↑; BMH2↓, DUG1↑; SMT3↑), указывающий на то, что макрофаг, будучи не способным восстановить структуру транстиретина, осуществляет попытку также разрушить его до простейших олигопротеинов. По-видимому, приведенная «стратегия» макрофага также может оказаться непродуктивной, т.к. в итоге синтезируется амилоид [32, 33]. Для объяснения фундаментальной роли макрофага имеются и другие, в том числе «термодинамические», аргументы, в частности: белок-предшественник амилоида, вступая в состав фибриллы, должен преодолеть определенный энергетический барьер прежде, чем утратит существенную часть свободной энергии Гиббса в составе фибриллы (рис. 3) [34]. Для вступления в приведенную термодинамическую трансформацию ей in vitro требуется катализатор, а in vivo – активный клеточный посредник.
Рис. 3. Схематическая диаграмма свободной энергии в процессе конформационной перестройки белка-предшественника на примере прионовых белков.
Fig. 3. Schematic free energy diagram during conformational rearrangement of the amyloid precursor protein illustrated by prion proteins.
Таким образом, амилоидоз в существенной части своего патогенеза является макрофагальной болезнью. Соответственно, поиск эффективных методов лечения амилоидоза предполагает не только воздействие на белок-предшественник, но и стабилизацию механизмов белкового гомеостаза в макрофаге. Такой подход обоснован в первую очередь пониманием роли механизмов аутофагии как главной основы белковых конформационных превращений гомеостаза в макрофаге.
Заключение
История изучения амилоидоза к настоящему времени подводит к пониманию того, что в развитии всех его форм ведущее значение имеет активная амилоидогенная форма белка-предшественника. На современном этапе знаний данное понимание согласуется со старым представлением об амилоидозе как о белковой дискразии или диспротеинозе с циркуляцией в крови аномально высоких концентраций конформационно измененного белка-предшественника. Такие формы амилоидоза (к ним относятся в первую очередь АА- и AL-амилоидоз, диализный Aβ2M-амилоидоз) характеризуются более быстрыми темпами прогрессирования и шире распространены.
Формы амилоидоза, главным образом наследственные, при которых концентрации белков-предшественников в крови остаются нормальными, отличаются менее существенной амилоидогенностью и более медленными темпами прогрессирования. В их патогенезе основное значение имеет макрофагальная дисфункция, наследующая концепции локального клеточного синтеза, сформулированная в середине ХХ в. Поиск воздействия на механизмы белкового гомеостаза в макрофаге следует рассматривать как наиболее перспективное направление дальнейших исследований. Следовательно, менее перспективными можно считать попытки растворения АФ, а реальная клиническая практика показывает, что у больных, достигших клинической ремиссии, АФ сохраняются в тканях в качестве вечного напоминания о минувшей патологической драме.
Раскрытие интересов. Авторы декларируют отсутствие явных и потенциальных конфликтов интересов, связанных с публикацией настоящей статьи.
Disclosure of interest. The authors declare that they have no competing interests.
Вклад авторов. Авторы декларируют соответствие своего авторства международным критериям ICMJE. Все авторы в равной степени участвовали в подготовке публикации: разработка концепции статьи, получение и анализ фактических данных, написание и редактирование текста статьи, проверка и утверждение текста статьи.
Authors’ contribution. The authors declare the compliance of their authorship according to the international ICMJE criteria. All authors made a substantial contribution to the conception of the work, acquisition, analysis, interpretation of data for the work, drafting and revising the work, final approval of the version to be published and agree to be accountable for all aspects of the work.
Источник финансирования. Авторы декларируют отсутствие внешнего финансирования для проведения исследования и публикации статьи.
Funding source. The authors declare that there is no external funding for the exploration and analysis work.
About the authors
Vilen V. Rameev
Sechenov First Moscow State Medical University (Sechenov University)
Author for correspondence.
Email: vvrameev@mail.ru
ORCID iD: 0000-0003-4260-0226
д-р мед. наук, проф. каф. внутренних, профессиональных болезней и ревматологии Института клинической медицины им. Н.В. Склифосовского
Russian Federation, MoscowLidia V. Lysenko
Sechenov First Moscow State Medical University (Sechenov University)
Email: vvrameev@mail.ru
ORCID iD: 0000-0002-1166-7308
д-р мед. наук, проф. каф. внутренних, профессиональных болезней и ревматологии Института клинической медицины им. Н.В. Склифосовского
Russian Federation, MoscowReferences
- Cohen AS, Calkins E. Electron microscopic observations on a fibrous component in amyloid of diverse origins. Nature. 1959;183(4669):1202-3. doi: 10.1038/1831202a0
- Kyle RA. Amyloidosis: a convoluted story. Br J Haematol. 2001;114(3):529-38. doi: 10.1046/j.1365-2141.2001.02999.x
- Nienhuis HL, Bijzet J, Hazenberg BP. The Prevalence and Management of Systemic Amyloidosis in Western Countries. Kidney Dis (Basel). 2016;2(1):10-9. doi: 10.1159/000444206
- Абу Али Ибн Сина. Канон врачебной науки. Ташкент: Фан, 1981 [Abu Ali Ibn Sina. Kanon vrachebnoi nauki. Tashkent: Fan, 1981 (in Russian)].
- Schwartz P. Amyloidosis, expression and cause of presenile and senile mental and physical regression. A revision of the amyloid problem (author's transl). Zentralbl Allg Pathol. 1975;119(6):533-48 (in German).
- Amyloidosis. Proceedings of the symposium on amyloidosis, University of Groningen, the Netherlands, September 24–28, 1967. Amsterdam: Excepta Medica Foundation, 1968.
- Виноградова О.М. Первичный и генетические варианты амилои- доза. М.: Медицина, 1980 [Vinogradova O.M. Pervichnyi i geneticheskie varianty amiloidoza. Moscow: Meditsina, 1980 (in Russian)].
- Pras M, Zucker-Franklin D, Rimon A, Franklin EC. Physical, chemical, and ultrastructural studies of water-soluble human amyloid fibrils. Comparative analyses of nine amyloid preparations. J Exp Med. 1969;130(4):777-96. doi: 10.1084/jem.130.4.777
- Glenner GG, Terry W, Harada M, et al. Amyloid fibril proteins: proof of homology with immunoglobulin light chains by sequence analyses. Science. 1971;172(3988):1150-1. doi: 10.1126/science.172.3988.1150
- Glenner GG, Ein D, Eanes ED, et al. Creation of "amyloid" fibrils from Bence Jones proteins in vitro. Science. 1971;174(4010):712-4. doi: 10.1126/science.174.4010.712
- Benditt EP, Eriksen N, Hermodson MA, Ericsson LH. The major proteins of human and monkey amyloid substance: Common properties including unusual N-terminal amino acid sequences. FEBS Lett. 1971;19(2):169-73. doi: 10.1016/0014-5793(71)80506-9
- Sletten K, Westermark P, Natvig JB. Characterization of amyloid fibril proteins from medullary carcinoma of the thyroid. J Exp Med. 1976;143(4):993-8. doi: 10.1084/jem.143.4.993
- Costa PP, Figueira AS, Bravo FR. Amyloid fibril protein related to prealbumin in familial amyloidotic polyneuropathy. Proc Natl Acad Sci U S A. 1978;75(9):4499-503. doi: 10.1073/pnas.75.9.4499
- Cohen DH, Feiner H, Jensson O, Frangione B. Amyloid fibril in hereditary cerebral hemorrhage with amyloidosis (HCHWA) is related to the gastroentero-pancreatic neuroendocrine protein, gamma trace. J Exp Med. 1983;158(2):623-8. doi: 10.1084/jem.158.2.623
- Nichols WC, Dwulet FE, Liepnieks J, Benson MD. Variant apolipoprotein AI as a major constituent of a human hereditary amyloid. Biochem Biophys Res Commun. 1988;156(2):762-8. doi: 10.1016/s0006-291x(88)80909-4
- Benson MD, Liepnieks JJ, Yazaki M, et al. A new human hereditary amyloidosis: the result of a stop-codon mutation in the apolipoprotein AII gene. Genomics. 2001;72(3):272-7. doi: 10.1006/geno.2000.6499
- Benson MD, Liepnieks J, Uemichi T, et al. Hereditary renal amyloidosis associated with a mutant fibrinogen alpha-chain. Nat Genet. 1993;3(3):252-5. doi: 10.1038/ng0393-252
- Maury CP, Baumann M. Isolation and characterization of cardiac amyloid in familial amyloid polyneuropathy type IV (Finnish): relation of the amyloid protein to variant gelsolin. Biochim Biophys Acta. 1990;1096(1):84-6. doi: 10.1016/0925-4439(90)90016-i
- Pepys MB, Hawkins PN, Booth DR, et al. Human lysozyme gene mutations cause hereditary systemic amyloidosis. Nature. 1993;362(6420):553-7. doi: 10.1038/362553a0
- Gejyo F, Yamada T, Odani S, et al. A new form of amyloid protein associated with chronic hemodialysis was identified as beta 2-microglobulin. Biochem Biophys Res Commun. 1985;129(3):701-6. doi: 10.1016/0006-291x(85)91948-5
- Glenner GG, Wong CW. Alzheimer's disease: initial report of the purification and characterization of a novel cerebrovascular amyloid protein. Biochem Biophys Res Commun. 1984;120(3):885-90. doi: 10.1016/s0006-291x(84)80190-4
- Masters CL, Gajdusek DC, Gibbs CJ Jr. The familial occurrence of Creutzfeldt-Jakob disease and Alzheimer's disease. Brain. 1981;104(3):535-58. doi: 10.1093/brain/104.3.535
- Levin M, Pras M, Franklin EC. Immunologic studies of the major nonimmunoglobulin protein of amyloid. I. Identification and partial characterization of a related serum component. J Exp Med. 1973;138(2):373-80. doi: 10.1084/jem.138.2.373
- Husby G, Natvig JB. A serum component related to nonimmunoglobulin amyloid protein AS, a possible precursor of the fibrils. J Clin Invest. 1974;53(4):1054-61. doi: 10.1172/JCI107642
- Sipe JD, Benson MD, Buxbaum JN, et al. Amyloid fibril proteins and amyloidosis: chemical identification and clinical classification International Society of Amyloidosis 2016 Nomenclature Guidelines. Amyloid. 2016;23(4):209-13. doi: 10.1080/13506129.2016.1257986
- Picken MM. Proteomics and mass spectrometry in the diagnosis of renal amyloidosis. Clin Kidney J. 2015;8(6):665-72. doi: 10.1093/ckj/sfv087
- Рамеев В.В., Козловская Л.В., Рамеева А.С., и др. Анализ современной этиологии АА-амилоидоза и оценка влияния ее изменений на диагностику и подходы к лечению. Терапевтический архив. 2021;93(6):672-8 [Rameev VV, Kozlovskaya LV, Rameeva AS, et al. The analysis of secondary AA-amyloidosis current etiology and its influence on the approaches for diagnosis and treatment. Terapevticheskii Arkhiv (Ter. Arkh.). 2021;93(6):672-8 (in Russian)]. doi: 10.26442/00403660.2021.06.200851
- Рамеева А.С., Рамеев В.В., Бобкова И.Н., и др. Ведущие факторы прогрессирования амилоидоза сердца. Рациональная фармакотерапия в кардиологии. 2022;18(2):143-52 [Rameeva AS, Rameev VV, Bobkova IN, et al. Leading factors of progression in patients with cardiac amyloidosis. Rational Pharmacotherapy in Cardiology. 2022;18(2):143-52 (in Russian)]. doi: 10.20996/1819-6446-2022-04-02
- Teilum G. Origin of amyloidosis from PAS-positive reticuloendothelial cells in situ and basic factor in pathogenesis. Amyloidosis. Amsterdam. 1968.
- Серов В.В., Шамов И.А. Амилоидоз. М.: Медицина, 1977 [Serov VV, Shamov IA. Amiloidoz. Moscow: Meditsina, 1977 (in Russian)].
- Kluve-Beckerman B, Liepnieks JJ, Wang L, Benson MD. A cell culture system for the study of amyloid pathogenesis. Amyloid formation by peritoneal macrophages cultured with recombinant serum amyloid A. Am J Pathol. 1999;155(1):123-33. doi: 10.1016/S0002-9440(10)65107-3
- Gomes RA, Franco C, Da Costa G, et al. The proteome response to amyloid protein expression in vivo. PLoS One. 2012;7(11):e50123. doi: 10.1371/journal.pone.0050123
- Chen B, Retzlaff M, Roos T, Frydman J. Cellular strategies of protein quality control. Cold Spring Harb Perspect Biol. 2011;3(8):a004374. doi: 10.1101/cshperspect.a004374
- Baskakov IV. Thermodynamics and Protein Folding. Amyloid proteins. The beta-sheet conformation and disiease. Weinheim: WILEY-VCH, 2005.
Supplementary files






