Pleiotropic effects of netakimab in patients with psoriatic arthritis, spondylitis and comorbid metabolic syndrome or a new opportunity for weight control? Case report
- Authors: Karibova A.K.1, Akhmedkhanov S.S.2, Kudaev M.T.2, Azizova E.A.1
-
Affiliations:
- City Clinical Hospital
- Dagestan State Medical University
- Issue: Vol 96, No 12 (2024): Vario (various)
- Pages: 1230-1237
- Section: Case reports
- Submitted: 17.06.2024
- Accepted: 16.02.2025
- Published: 27.12.2024
- URL: https://ter-arkhiv.ru/0040-3660/article/view/633489
- DOI: https://doi.org/10.26442/00403660.2024.12.202837
- ID: 633489
Cite item
Full Text
Abstract
The article presents the results of studying the efficacy of netakimab (Efleira) in the complex treatment of patients with psoriasis, psoriatic arthritis, spondylitis and concomitant metabolic syndrome. The study included observations of clinical manifestations of diseases and changes after the use of netakimab. As a result of treatment, there was an improvement not only in clinical symptoms, but also in the metabolic syndrome parameters. In all 3 patients treated with netakimab, there was a decrease in the activity of sacroileitis, accompanied by weight loss, which indicates pleiotropic effect of this drug. The described clinical cases are of interest to rheumatologists, dermatologists, endocrinologists, therapists, general practitioners, and illustrate the successful use of netakimab as an interleukin-17 inhibitor.
Full Text
Список сокращений
АД – артериальное давление
АС – аксиальный спондилоартрит
БС – болевой синдром
ГИБП – генно-инженерный биологический препарат
ГКС – глюкокортикостероиды
ИЛ – интерлейкин
ИМТ – индекс массы тела
МРТ – магнитно-резонансная томография
МС – метаболический синдром
МТ – масса тела
НПВП – нестероидные противовоспалительные препараты
ОТ – окружность талии
ПсА – псориатический артрит
РС – рассеянный склероз
СД 2 – сахарный диабет 2-го типа
СОЭ – скорость оседания эритроцитов
СРБ – С-реактивный белок
ТБС – тазобедренный сустав
ФНО-α – фактор некроза опухоли α
DLQI (Dermatology Life Quality Index) – дерматологический индекс качества жизни
NAPSI (Nail Psoriasis Severity Index) – индекс тяжести псориаза ногтей
PASI (Psoriasis Area and Severity Index) – индекс распространенности и тяжести псориаза
Th17 – T-хелперы 17-го типа
treg – регуляторные Т-клетки
Введение
Псориаз – хроническое воспалительное неинфекционное заболевание кожи, которое развивается при наличии генетической предрасположенности, нарушений метаболизма и воздействии факторов риска. Известно, что псориаз связан с развитием псориатического артрита (ПсА), ожирения, сердечно-сосудистых заболеваний и метаболического синдрома (МС) [1, 2]. По различным данным, распространенность МС среди общего населения составляет около 15–25%, однако у пациентов с псориазом этот показатель может быть в 3 раза выше [3]. Для диагностики МС необходимо наличие 3 и более критериев из 5, таких как: абдоминальное ожирение (окружность талии – ОТ>102 см у мужчин и >88 см у женщин), уровень триглицеридов ≥150 мг/дл (≥1,8 ммоль/л), уровень холестерина липопротеидов высокой плотности <40 мг/дл у мужчин и <50 мг/дл у женщин, артериальное давление – АД≥130/85 мм рт. ст., уровень глюкозы натощак ≥110 мг/дл. Следует помнить о том, что МС связан с 5-кратным увеличением риска развития сахарного диабета 2-го типа (СД 2) [4].
Гены, играющие роль в развитии псориаза, также оказывают влияние на развитие МС [5]. Важно отметить, что ожирение, как один из основных признаков МС, напрямую влияет на эффективность лечения. Известно, что у пациентов с псориазом и сопутствующим ожирением эффективность инфликсимаба на 60% ниже, чем у больных без ожирения [6]. Следует отметить, что коморбидность псориаза и МС непосредственно связана с тяжестью течения кожного заболевания.
Согласно одной из гипотез о сопутствующем течении псориаза и МС псориаз является хроническим системным воспалительным заболеванием, что приводит к инсулинорезистентности из-за снижения регуляции инсулиновых рецепторов. Цитокин интерлейкин (ИЛ)-6 производится адипоцитами и имеет прямую связь с ожирением и инсулинорезистентностью. ИЛ-17 играет значимую роль в развитии инсулинорезистентности и СД 2 [7].
Фактор некроза опухоли α (ФНО-α) также играет критическую роль в развитии воспаления и инсулинорезистентности при МС. Его уровень прямо коррелирует с уровнем ожирения [8, 9]. Т-хелперы 17-го типа (Th17) имеют важное значение в развитии МС и влияют на баланс между Th17 и регуляторными Т-клетками (treg), играющими ключевую роль в иммунологическом гомеостазе.
ИЛ-17, продуцируемый Th17-клетками, активирует макрофаги и другие клетки иммунной системы, внося вклад в воспалительный ответ, а также участвует в развитии МС и поддерживает хроническое воспаление в жировой ткани. Исследования на мышах показали, что Th17 усиливает инсулинорезистентность путем продукции ИЛ-17 [9–11]. Адипоциты при ожирении могут способствовать увеличению синтеза ИЛ-17 за счет усиленного производства провоспалительных цитокинов, таких как ИЛ-6 и ФНО-α.
Имеются данные о том, что применение ингибиторов ФНО-α при ожирении приводит к снижению общего холестерина, улучшению показателей МС и повышению чувствительности рецепторов к инсулину [12]. Однако одновременно есть некоторые сведения, указывающие на увеличение уровня липидов крови у пациентов с МС и псориазом, принимающих препараты данной группы [13]. Сдерживание активности Th17 и увеличение активности treg являются важными стратегиями для контроля хронического воспаления и профилактики развития МС. Исследования в области метаболических нарушений активно исследуют возможности снижения уровня воспаления и восстановления иммунологического баланса через метаболический контроль Th17 и treg. В связи с этим препараты, способствующие ремиссии ПсА, могут оказаться эффективными в лечении МС.
Приведенные исследования показывают, что хроническое воспаление при псориазе, снижение регуляции инсулиновых рецепторов и другие факторы могут предрасполагать к развитию МС. Многие воспалительные маркеры начинают формироваться в коже пациентов с псориазом и могут в дальнейшем способствовать развитию МС [14]. Таким образом, имеются данные, указывающие на сходство патофизиологии обоих состояний. В свете перечисленного следует представить несколько клинических случаев успешного применения ингибитора ИЛ-17 нетакимаба у пациентов с псориазом, спондилитом и ожирением, которое привело к снижению массы тела (МТ). Нетакимаб является оригинальным инновационным ингибитором ИЛ-17А российской компании «Биокад» и представляет собой гуманизированное моноклональное антитело с высокой прочностью связывания (аффинностью) и низкой иммуногенностью.
Цель исследования – изучение связей между динамикой МТ, индексом МТ (ИМТ), показателями воспаления (скоростью оседания эритроцитов, содержанием C-реактивного белка – СРБ, лейкоцитоза) и эффективностью лечения пациентов, страдающих псориазом и МС, с применением препарата нетакимаб.
Материалы и методы
Для проведения исследования выбрано ревматологическое отделение стационара ГБУ РД ГКБ г. Махачкалы. В исследование включены 3 пациента с диагнозами псориаза, артрита и спондилита, которые также имели диагностические признаки МС. Динамику показателей воспаления и МТ оценивали до и после лечения препаратом нетакимаб. Препарат вводили подкожно в дозе 120 мг 1 раз в неделю на неделях 0, 1 и 2, затем каждые 2 нед до недели 10 включительно. Далее с недели 14 препарат вводили 1 раз в 4 нед. Эффективность терапии оценивали с помощью индекса распространенности и тяжести псориаза (Psoriasis Area and Severity Index – PASI), индекса тяжести псориаза ногтей (Nail Psoriasis Severity Index – NAPSI), дерматологического индекса качества жизни (Dermatology Life Quality Index – DLQI) на различных этапах лечения [15]. Наличие МС у пациентов определяли по рекомендациям Минздрава России (2013 г.) [15, 16]. Для изучения антропометрических и биохимических параметров крови пациентов проводили соответствующие исследования. Для оценки степени ожирения использовали информацию о МТ, ИМТ и ОТ у пациентов.
Клинический случай 1
Пациент О., 37 лет, госпитализирован весной 2023 г. с жалобами на боли смешанного характера в коленных и тазобедренных суставах (ТБС). Умеренная интенсивность болей также наблюдалась в проксимальных, плюснефаланговых и голеностопных суставах, а также в поясничном отделе позвоночника. У пациента имелось распространенное поражение кожи в результате псориаза. В истории его болезни отмечаются постоянное наблюдение у дерматолога и лечение в стационаре. В качестве терапии использовались инъекции глюкокортикостероидов – ГКС (дексаметазон в дозе 8 мг) и местные препараты. Однако состояние кожи продолжало ухудшаться, в результате чего принято решение увеличить дозу дексаметазона до 12 мг. С 2015 г. пациент лечился амбулаторно, посещая дерматолога. В ходе лечения применялись препараты, такие как дексаметазон, Белосалик и салициловая мазь, однако положительная динамика была незначительной. Базисная терапия, включающая циклоспорин и метотрексат, не назначена. За последние 3 года пациент отмечал усиление псориаза с его распространением по всему телу и развитием псориатической эритродермии. С 2020 по 2022 г. пациент периодически принимал нестероидные противовоспалительные препараты (НПВП), но не проходил полное обследование. В 2022 г. он обратился за медицинской помощью в ФГБУ «НМИЦ ТО им. Р.Р. Вредена», где запланировали протезирование ТБС. Однако из-за активности основного заболевания и высоких острофазовых тестов пациенту отказано в протезировании и показано обращение к профильному специалисту для лечения. После достижения частичной ремиссии будет рассмотрена возможность протезирования суставов. Учитывая высокую активность заболевания и прогрессирование суставного синдрома у пациента, страдающего псориазом уже 11 лет, рекомендовано начать целенаправленную иммунотерапию. Пациент госпитализирован для подбора терапии в ревматологическое отделение ГБУ РД ГКБ г. Махачкалы.
При объективном осмотре выявлен слабоположительный признак поперечной сдавливаемости кистей и стоп. При пальпации остистых отростков позвоночника отмечается болезненность. Сомнительный признак Кушелевского. Обнаружена болезненность при пальпации ахилловых сухожилий. Дактилиты III и I пальцев на левой кисти. Ограничение подвижности в плечевых и локтевых суставах. МТ пациента – 94 кг, рост – 166 см, ИМТ – 34,1, ОТ – 112 см. В лабораторных тестах уровень гемоглобина составил 107 г/л, скорость оседания эритроцитов (СОЭ) – 41 мм/ч, уровень СРБ – 66 мг/л, уровень глюкозы – 7,2 ммоль/л, уровни аспартатаминотрансферазы и аланинаминотрансферазы – в пределах нормы. Индекс Хома – 2,9. Гепатоспленомегалии по данным ультразвукового исследования не выявлено. Рентгенография таза с оценкой ТБС показала наличие состояния после интрамедуллярного остеосинтеза левой бедренной кости (рис. 1). Неполностью консолидированный межпозвонковый перелом. Остеоартроз левого ТБС 3-й степени. Асептический некроз головки правой бедренной кости в стадии фрагментации. Магнитно-резонансная томография (МРТ) грудного отдела позвоночника позволила выявить снижение высоты позвонков ThVII, ThVIII с умеренным отеком костного мозга в позвонке ThVII и формированием углового кифоза.
Рис. 1. Состояние после интрамедуллярного протезирования левой бедренной кости.
Fig. 1. Condition after intramedullary prosthesis of the left femoral bone.
Клинический диагноз у пациента: ПсА с поражением периферических суставов. Рентгенологическая стадия по Штейнброкеру – IV. Клинико-лабораторная активность – III. Индекс DAPSA, отражающий активность ПсА, составил 78, что указывает на высокую активность заболевания. Индекс PASI 90, оценивающий степень поражения кожи псориазом, выявил 3-ю степень, что свидетельствует о значительной площади поражения кожи. У пациента также диагностированы вторичный остеопороз, связанный с продолжительным приемом ГКС, и переломы ThVI–ThVIII. Из сопутствующей патологии привлекает внимание наличие МС. Пациенту, ввиду активности и непрерывного прогрессирования основного заболевания, проведена инициация терапии препаратом ингибитором ИЛ-17 нетакимабом.
В ходе повторной госпитализации весной спустя 1,5 мес у пациента наблюдались выраженное клиническое улучшение состояния, снижение суставного болевого синдрома (БС) и сокращение утренней скованности до 30 мин. Имелась частичная регрессия по псориазу, при этом индекс PASI составлял 53. В лабораторных исследованиях отмечено уменьшение острофазовых показателей, таких как: уровень гемоглобина – 137 г/л, СОЭ – 10 мм/ч, СРБ – 12 мг/л, уровень глюкозы в крови – 6,2 ммоль/л. Обращало на себя внимание снижение МТ с 94 до 85 кг, несмотря на то что пациент не изменил свой образ жизни, не занимался спортом, не придерживался диеты и не принимал анорексигенные средства. При объективном обследовании ОТ составила 104 см, АД снизилось с 145–150/90 до 120–115/70 мм рт. ст.
Во время третьей госпитализации пациента 27 июня 2023 г. для проведения инъекции нетакимаба отмечены положительная динамика по суставному синдрому и ремиссия по кожным проявлениям псориаза при индексе PASI, равном 4. Следует отметить, что, несмотря на отсутствие мероприятий по снижению МТ, у пациента наблюдались снижение МТ до 79 кг и ОТ, равная 95 см. В лабораторных тестах отмечена нормализация СОЭ и СРБ, а уровень глюкозы в крови составил 5,8 ммоль/л. Пациент отмечал нормализацию АД. В связи с проведением эндопротезирования правого ТБС пациент с июля по сентябрь 2023 г. не получал терапию генно-инженерными биологическими препаратами (ГИБП).
В октябре пациент поступил для продолжения терапии ГИБП на фоне отсутствия обострения симптомов псориаза, несмотря на перерыв в приеме препаратов ГИБП. При объективном обследовании не выявлено симптомов поперечного сжатия кистей и стоп, остистые отростки позвоночника пальпаторно безболезненны, симптом Кушелевского 1-й степени отрицательный. Дактилиты III и I пальцев левой кисти находились в ремиссии. Ограничения в объеме движений в плечевых и локтевых суставах отсутствовали. Наблюдалась положительная динамика как по течению ПсА, так и по показателям лабораторных исследований: СОЭ – 6 мм/ч, СРБ – 10 мг/л, глюкоза – 5,8 ммоль/л, а также по показателям МС. Отмечены дальнейшее снижение МТ, ИМТ, ОТ, нормализация АД и гликемии натощак (см. рис. 1).
Клинический случай 2
Пациент А., 39 лет, поступил в отделение с диагностированным аксиальным спондилоартритом (АС), характеризующимся двусторонним сакроилеитом III стадии по классификации Келлгрена и наличием антигена HLA-B27. Клинико-лабораторные показатели активности соответствуют 2-й степени. Индекс оценки активности АС (ASDAS) составлял 2,5 балла, шкала оценки активности болезни при АС (BASDAI) – 6,5 балла, функциональный индекс Накенса – 2-я степень. Пациент также имел избыточную МТ (ИМТ – 27,16).
При поступлении пациент предъявлял жалобы на интенсивные боли в грудном и поясничном отделах позвоночника, сопровождающиеся воспалительным ритмом. Утренняя скованность продолжалась до 3 ч. Боли смешанного ритма в ТБС были умеренной интенсивности, в правом лучезапястном суставе отмечалась умеренная боль. Других жалоб пациент активно не предъявлял.
Согласно анамнезу пациент находился под наблюдением с диагнозом АС с 2014 г. Впервые симптомы появились в виде болей воспалительного ритма в нижней части спины и ТБС, иррадиирущих по задней поверхности бедра. Пациент обратился к терапевту по месту жительства, который направил его к неврологу с диагнозом остеохондроза.
Пациенту назначена терапия НПВП, которая дала кратковременный положительный эффект. В связи с усилением БС в суставах пациент обратился в ФГБНУ «НИИ ревматологии им. В.А. Насоновой». Учитывая вовлечение в воспалительный процесс периферических суставов, назначена базисная терапия: сульфасалазин 2,0 г/сут на регулярной основе, Аркоксиа 90 мг/сут. Однако при данной терапии положительной динамики не наблюдалось, у пациента сохранялся БС воспалительного характера в пояснице и периферических суставах. В связи с этим 20 июня 2023 г. пациент госпитализирован в ГБУ РД ГКБ, где ему проведена инициация ГИБП. В качестве препарата выбора назначен нетакимаб в дозировке 120 мг. Ему инициирована терапия по схеме, далее продолжено лечение препаратом нетакимаб 120 мг каждые 2 нед. На фоне терапии достигнута положительная динамика. В настоящее время перерыв составляет более 2 мес (по немедицинским показаниям).
Дата следующей плановой госпитализации для продолжения терапии ГИБП – 25 августа 2023 г. Объективный осмотр: выраженный грудной кифоз. Положительный симптом поперечного сжатия кистей и стоп. Болезненность при пальпации плантарной фасции с обеих сторон. Пальпаторная болезненность коленных и голеностопных суставов. Болезненная пальпация ахилловых сухожилий. Положительный симптом Кушелевского 1-й степени. Болезненность при пальпации в зоне крестцово-подвздошного сочленения. Болезненность при пальпации остистых отростков позвоночника и паравертебральных мышц. Ограничение объема движений в ТБС, болезненность при внутренней и наружной ротации. Тест Шобера: 2 см. Экскурсия грудной клетки: 1 см. Тест Отта: 0 см. Тест Томайера: 1 см. Антропометрические данные: рост – 180 см, МТ – 88 кг, ИМТ – 27,16, ОТ – 93 см. Лабораторные показатели на момент госпитализации: СОЭ – 35 мм/ч, СРБ – 25 мг/л, уровень глюкозы – 6,1 ммоль/л. Индекс Хома – 2,7. Пациент получал данную терапию регулярными инъекциями с августа 2023 г., придерживаясь графика каждые 2 нед. Во время последующей госпитализации в октябре клиническое наблюдение врача и субъективная оценка пациента продемонстрировали положительную динамику. Отмечены значительное уменьшение БС в области крестцово-подвздошного сочленения и полное исчезновение боли в периферических суставах. Лабораторные анализы выявили нормализацию показателей СОЭ и СРБ, которые составили 14 мм/ч и 9 мг/л соответственно. Кроме того, пациент сообщил о снижении МТ с 88 до 72 кг. Важно отметить, что, как и в предыдущем случае, пациент не контролировал режим питания и не занимался спортивной активностью, что исключает приведенные факторы из причин улучшения состояния.
Клинический случай 3
Пациентка К., 61 год, наблюдается с диагнозом ПсА с поражением периферических суставов, спондилитом, двусторонним сакроилеитом рентгенологической стадии II, двусторонним кокситом, поражением периферических энтезитов. BASDAI – 8,5, DAPSA 28 – 65, функциональный индекс Накенса – 2–3-я степень. Бляшечный псориаз, распространенная форма, с достигнутой медикаментозной ремиссией. Псориатическая ониходистрофия кистей и стоп с частичным регрессом. Сопутствующий диагноз: хронический гастрит, вне обострения. Ожирение 2-й степени.
При обращении пациентка предъявляет жалобы на боли в области проксимальных и дистальных межфаланговых суставов кистей и стоп (рис. 2, 3), которые характеризуются воспалительным ритмом, высокой интенсивностью и выраженным ограничением объема движений.
Рис. 2. Стопы пациента с ПсА.
Примечание. Здесь и на рис. 3: фотографии из личного архива авторов.
Fig. 2. Feet of a patient with PsA.
Рис. 3. Кисти пациентки с ПсА.
Fig. 3. Hands of a patient with PsA.
Отмечаются боли смешанного ритма в области коленных и плечевых суставов, боли воспалительного ритма в голеностопных и лучезапястных суставах, выраженная утренняя скованность, сохраняющаяся в течение всего дня. Наблюдаются псориатические бляшки на локтях, сгибательных поверхностях верхних и нижних конечностей.
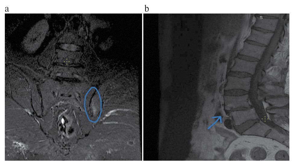
Анамнез заболевания: пациентка впервые обратилась к врачу-ревматологу в 2009 г. с жалобами на боли в правом голеностопном и левом лучезапястном суставах воспалительного характера. Позже (точные сроки не установлены) появились бляшки в волосистой части головы, безболезненные, сопровождающиеся умеренным зудом и шелушением. Поставлен диагноз: ПсА. Назначена терапия метотрексатом в дозировке 2,5 мг/нед с последующим увеличением до 5 мг/нед. Терапия не привела к улучшению состояния. В связи с развитием побочных эффектов (тошноты, не устраняемой Церукалом) препарат отменен. С 2009 по 2019 г. пациентка принимала НПВП и ГКС, что привело к слабовыраженной положительной динамике. В 2019 г. после обращения к ревматологу в связи с выраженным обострением ей назначен лефлуномид (Арава) в дозе 20 мг/сут однократно. Несмотря на шестимесячный непрерывный прием, у пациентки сохранялся суставной БС, а псориатические высыпания усилились. В 2022 г. госпитализирована в ФГБНУ «НИИ ревматологии им. В.А. Насоновой», где также проконсультирована врачом-дерматологом. Поставлен диагноз: обыкновенный псориаз, распространенная форма, прогрессирующая стадия. Дистрофия ногтей (псориатическая ониходистрофия кистей и стоп). Пациентке рекомендованы: Такролимус 0,1% мазь 2 раза в сутки, на верхние и нижние конечности – Дайвобет 2 раза в сутки в течение 8 нед, на волосистую часть головы – Ксамиол гель 1 раз в сутки на протяжении 4 нед. При госпитализации в отделение ревматологии ФГБНУ «НИИ ревматологии им. В.А. Насоновой» в лабораторных тестах отмечены высокие титры острофазовых тестов: СОЭ – 30 мм/ч, СРБ – 58 мг/л, гемоглобин – 85 г/л. По данным МРТ выявлены признаки сакроилеита и спондилита. Назначена терапия адалимумабом (Хумира) в дозе 40 мг 2 раза в неделю. На фоне этого лечения отмечалась положительная динамика. Однако из-за отсутствия в регионе ГИБП у пациентки произошло очередное обострение заболевания. В июле 2022 г. ее перевели на препарат цертолизумаба пэгол (Симзия) в дозе 200 мг подкожно 1 раз в 2 недели. Пациентка получала регулярную терапию препаратом Симзия до декабря 2022 г. Несмотря на проводимую терапию, у нее сохранялся суставной БС с утренней скованностью до полудня и высокими острофазовыми показателями (СРБ – 70 мг/л, СОЭ – 65 мм/ч). С декабря по август 2023 г. на регулярной основе лечение не получала. В июле 2023 г. повторно выполнена МРТ крестцово-подвздошных суставов и поясничного отдела позвоночника, выявлено сохранение признаков активного воспаления наряду с хроническим воспалением суставов (рис. 4).
Рис. 4. Передний спондилит LIV–LV: a – фронтальная плоскость; b – сагиттальная плоскость.
Fig. 4. Anterior spondylitis LIV–LV: a – frontal plane; b – sagittal plane.
В связи с высокой активностью основного заболевания, вовлечением периферических суставов и прогрессированием поражения в августе 2023 г. госпитализирована в отделение ревматологии ГБУ РД ГКБ, инициирован препарат нетакимаб 120 мг подкожно. Пациентка с псориатическими кожными поражениями на верхних и нижних конечностях. Рост – 158 см, МТ – 90 кг на начало терапии (ОТ – 90 см). При объективном осмотре выявлен резко положительный симптом поперечного сжатия кистей и стоп. Пальпаторно отмечается болезненность в области правого локтевого сустава. Имеются ограничение объема движений в плечевых суставах, деформация лучезапястных и голеностопных суставов, а также деформация пальцев кистей с разнонаправленным поражением. Наблюдается сгибательная контрактура пальцев рук. До начала лечения лабораторные показатели были следующими: общий холестерин – 7,5 ммоль/л, липопротеиды низкой плотности – 4,2 ммоль/л, СРБ – 34 мг/л, СОЭ – 40 мм/ч. Другие показатели соответствовали возрастной норме. Индекс Хома – 3,0. В течение 6-недельной терапии достигнут клинический эффект по псориазу с индексом PASI 0, что соответствует полной ремиссии. Однако сохранялся умеренной интенсивности БС в периферических суставах воспалительного характера с утренней скованностью до 2 ч. Индексы активности заболевания DAPSA 28 и BASDAI составили 45 и 6,0 соответственно. В динамике лабораторных показателей отмечено улучшение: общий холестерин снизился до 5,1 ммоль/л, липопротеиды низкой плотности – до 3,8 ммоль/л, СРБ – до 11,0 мг/л, СОЭ – до 25 мм/ч. Наблюдались снижение МТ до 84 кг и уменьшение ОТ до 87 см на момент осмотра.
Обсуждение
Нетакимаб представляет собой рекомбинантное гуманизированное моноклональное антитело, нацеленное на ИЛ-17А – провоспалительный цитокин, чрезмерное производство которого в первую очередь связано с активацией Th17. При хронических иммуновоспалительных заболеваниях патологическая активация Th17-клеток и гиперпродукция ИЛ-17А усиливают клеточный иммунный ответ и повышают выработку других медиаторов воспаления, таких как ИЛ-1 и 6, ФНО-α [17]. Th17-клетки играют важную роль в защите организма от определенных патогенов, включая внеклеточные бактерии и грибы. Однако в последнее время они привлекли пристальное внимание из-за своей центральной роли в патогенезе различных воспалительных процессов, в том числе аутоиммунных заболеваний. Механизм действия нетакимаба заключается в нейтрализации ИЛ-17А, что приводит к подавлению активации Th17-клеток и уменьшению высвобождения медиаторов воспаления. Это делает нетакимаб эффективной терапевтической стратегией при хронических иммуновоспалительных заболеваниях, таких как псориаз, ПсА, анкилозирующий спондилит и болезнь Крона. В представленных клинических случаях продемонстрировано, что применение нетакимаба, обладающего основным иммуносупрессивным механизмом действия на ИЛ-17, приводило не только к уменьшению системной воспалительной реакции, но и к снижению выраженности ожирения как одного из компонентов МС. Одним из возможных терапевтических подходов является блокада ИЛ-17 с использованием антител или ингибиторов сигнального пути ИЛ-17. Такой подход может привести к снижению уровня воспаления и улучшению метаболических параметров у пациентов с МС [18].
Динамика снижения МТ у 3 пациентов с анкилозирующим спондилитом и МС после курса терапии нетакимабом приведена на рис. 5. Отмечается выраженная тенденция к снижению МТ у всех 3 пациентов. Снижение МТ составило у пациентов О. и А. 16 кг (-17,0 и -18,2% соответственно) через 32 нед терапии, у пациента К. – 6 кг (-6,7%).
Рис. 5. Динамика МТ после введения нетакимаба, кг.
Fig. 5. BW change after administration of netakimab, kg.
Факт снижения МТ послужил основой для гипотезы о том, что применение нетакимаба может сопровождаться плейотропными эффектами, в том числе способствовать снижению МТ путем воздействия на ключевое иммунное звено патогенеза ожирения – ингибирование ИЛ-17 или его рецепторов. Это может приводить к уменьшению воспаления и улучшению метаболического профиля при ожирении и МС (рис. 6).
Рис. 6. Динамика СРБ после введения нетакимаба, мг/л.
Fig. 6. CRP change after administration of netakimab, mg/L.
ИЛ-17 играет значительную роль в патогенезе и прогрессировании МС посредством модуляции воспалительных и метаболических путей. Механизмы влияния ИЛ-17 на МС многообразны.
Одними из основных механизмов являются активация воспалительного ответа и повышение продукции провоспалительных цитокинов, включая ИЛ-6 и туморнекротизирующий ФНО-α. Данная усиливающаяся воспалительная реакция способствует инсулинорезистентности и другим метаболическим нарушениям [19].
Кроме того, установлено, что ИЛ-17 стимулирует выработку других цитокинов, включая межклеточную молекулу адгезии 1 (ICAM-1), которая играет роль в развитии атеросклероза и гипертензии [20]. Исследования на животных и клинические исследования подтверждают существенную роль ИЛ-17 в патогенезе и прогрессировании МС. Блокирование ИЛ-17 или его сигнального пути может привести к снижению воспаления и улучшению метаболических параметров у экспериментальных моделей МС [21]. Аналогичные результаты получены в клинических исследованиях, где у пациентов с МС терапия, нацеленная на снижение уровня ИЛ-17, приводила к улучшению метаболических показателей [22].
Заключение
Перепрофилирование лекарств представляет собой эффективный метод использования существующих фармацевтических препаратов для новых терапевтических показаний, отличающихся от первоначальных. В отличие от разработки новых препаратов перепрофилирование экономит время и ресурсы, поскольку имеющиеся данные о безопасности и фармакологии могут быть использованы для новых применений.
Приведенный подход включает выявление новых мишеней для действующих лекарств и оценку их потенциала в лечении рассеянного склероза (РС). Существуют многочисленные примеры успешного перепрофилирования лекарств для лечения РС.
Одним из примеров является метформин – препарат, первоначально используемый для лечения СД 2. Исследования продемонстрировали его эффективность в лечении ожирения и МС. Метформин улучшает чувствительность к инсулину, подавляет аппетит и регулирует уровень глюкозы в крови организма [23].
Тиазолидиндионы, традиционно применяемые для лечения диабета, обладают способностью уменьшать активацию тромбоцитов и воспаление, что может принести пользу при РС [24]. Кроме того, ингибиторы ангиотензинпревращающего фермента способствуют снижению инсулинорезистентности и улучшению функции поджелудочной железы [25].
Таким образом, перепрофилирование существующих лекарственных средств для новых терапевтических целей в лечении МС представляет собой перспективный подход, позволяющий использовать существующий фармакологический потенциал. Известно, что МС является комплексом нарушений, включающим избыточный вес, инсулинорезистентность, гипертензию и дислипидемию [26].
Рассматриваемые нарушения обусловлены не только метаболическими факторами, но и иммунологическими механизмами. Понимание взаимодействия между ИЛ-17 и метаболическими факторами открывает новые возможности для разработки терапевтических подходов к лечению МС. Известно, что снижение МТ благоприятно влияет на уменьшение сосудистого риска и восстановление эндотелиальной дисфункции.
ИЛ-17 является ключевым цитокином, продуцируемым Th17-лимфоцитами – одним из подтипов Т-хелперных клеток. В последние годы обнаружено, что ИЛ-17, проинфламматорный цитокин, играет важную роль в развитии и прогрессировании МС [27].
ИЛ-17 – ключевой цитокин, участвующий в воспалительном ответе, который активирует макрофаги, нейтрофилы и другие иммунные клетки. В последние годы накопились свидетельства, связывающие повышенные уровни ИЛ-17 со значительным ухудшением метаболического профиля, предрасполагающего к развитию ожирения, инсулинорезистентности и других компонентов МС [28]. Показано, что снижение концентрации ИЛ-17 при приеме добавок калия и улучшение инсулинорезистентности могут быть связаны со снижением концентрации ИЛ-17A [28].
Роль ИЛ-17 в патогенезе МС подчеркивает существенную роль иммунологических механизмов в развитии данного заболевания. Конкретные механизмы, с помощью которых ИЛ-17 регулирует адипогенез и метаболизм адипоцитов, потребуют дальнейшего изучения, но, вероятно, в этом будет участвовать ряд механизмов. Ингибирование ИЛ-17 с помощью препарата нетакимаб, таргетирующего звенья патогенеза воспаления, представляется нам перспективным терапевтическим подходом в лечении коморбидных пациентов, у которых помимо ПсА имеются сопутствующий МС и его осложнения.
Взаимодействие ИЛ-17 с метаболическими факторами открывает новые возможности для разработки терапевтических стратегий для МС. Дальнейшие исследования в этой области могут расширить спектр доступных лекарственных средств и улучшить результаты лечения пациентов с МС.
Раскрытие интересов. В подготовке материала принимала участие компания «Биокад». При подготовке рукописи авторы сохранили независимость мнений.
Disclosure of interest. The company «Biocad» took part in the preparation of the article. During the preparation of the manuscript, the authors maintained their independence of opinion.
Вклад авторов. Авторы декларируют соответствие своего авторства международным критериям ICMJE. Все авторы в равной степени участвовали в подготовке публикации: разработка концепции статьи, получение и анализ фактических данных, написание и редактирование текста статьи, проверка и утверждение текста статьи.
Authors’ contribution. The authors declare the compliance of their authorship according to the international ICMJE criteria. All authors made a substantial contribution to the conception of the work, acquisition, analysis, interpretation of data for the work, drafting and revising the work, final approval of the version to be published and agree to be accountable for all aspects of the work.
Источник финансирования. Материал подготовлен при финансовой поддержке компании «Биокад».
Funding source. This article was prepared with support by «Biocad».
Соответствие принципам этики. Протокол исследования был одобрен локальным этическим комитетом ФГБОУ ВО ДГМУ (протокол №04 от 04.02.2023). Одобрение и процедуру проведения протокола получали по принципам Хельсинкской декларации.
Compliance with the principles of ethics. The study was approved by the local ethics committee of Dagestan State Medical University (protocol №04 dated from 04.02.2023). Approval and protocol procedure was obtained according to the principles of the Declaration of Helsinki.
Информированное согласие на публикацию. Пациенты подписали форму добровольного информированного согласия на публикацию медицинской информации.
Consent for publication. Written consent was obtained from the patients for publication of relevant medical information and all of accompanying images within the manuscript.
About the authors
Alida K. Karibova
City Clinical Hospital
Author for correspondence.
Email: solomon687@gmail.com
ORCID iD: 0009-0003-3690-3041
аспирант каф.
Russian Federation, MakhachkalaSeypula Sh. Akhmedkhanov
Dagestan State Medical University
Email: solomon687@gmail.com
ORCID iD: 0000-0002-8935-220X
д-р мед. наук, проф., врач высшей категории, зав. каф.
Russian Federation, MakhachkalaMagomed T. Kudaev
Dagestan State Medical University
Email: solomon687@gmail.com
ORCID iD: 0000-0001-5446-1775
д-р мед. наук, проф., врач высшей категории
Russian Federation, MakhachkalaEkaterina A. Azizova
City Clinical Hospital
Email: solomon687@gmail.com
ORCID iD: 0009-0006-9124-9910
зав. отд-нием эндокринологии
Russian Federation, MakhachkalaReferences
- Ruiz de Morales JMG, Puig L, Daudén E, et al. Critical role of interleukin (IL)-17 in inflammatory and immune disorders: An updated review of the evidence focusing in controversies. Autoimmun Rev. 2020;19(1):102429. doi: 10.1016/j.autrev.2019.102429
- Корсакова Ю.Л., Коротаева Т.В., Логинова Е.Ю., и др. Клинико-инструментальная характеристика псориатического артрита у мужчин и женщин. Данные когортного наблюдательного исследования. Терапевтический архив. 2024;96(5):479-85 [Korsakova YL, Korotaeva TV, Loginova EI, et al. Clinical and instrumental characteristics of psoriatic arthritis in men and women. Data from a cohort observational study. Terapevticheskii Arkhiv (Ter. Arkh.). 2024;96(5):479-85 (in Russian)]. doi: 10.26442/00403660.2024.05.202703
- Zindancı I, Albayrak O, Kavala M, et al. Prevalence of metabolic syndrome in patients with psoriasis. ScientificWorldJournal. 2012;2012:312463. doi: 10.1100/2012/312463
- Merola JF, Kavanaugh A, Lebwohl MG, et al. Clinical Efficacy and Safety of Psoriasis Treatments in Patients with Concomitant Metabolic Syndrome: A Narrative Review. Dermatol Ther (Heidelb). 2022;12(10):2201-26. doi: 10.1007/s13555-022-00790-2
- Wu JJ, Kavanaugh A, Lebwohl MG, et al. Psoriasis and metabolic syndrome: implications for the management and treatment of psoriasis. J Eur Acad Dermatol Venereol. 2022;36(6):797-806. doi: 10.1111/jdv.18044
- Singh S, Facciorusso A, Singh AG, et al. Obesity and response to anti-tumor necrosis factor-α agents in patients with select immune-mediated inflammatory diseases: A systematic review and meta-analysis. PLoS One. 2018;13(5):e0195123. doi: 10.1371/journal.pone.0195123
- Abdel-Moneim A, Bakery HH, Allam G. The potential pathogenic role of IL-17/Th17 cells in both type 1 and type 2 diabetes mellitus. Biomed Pharmacother. 2018;101:287-92. doi: 10.1016/j.biopha.2018.02.103
- Rochlani Y, Pothineni NV, Kovelamudi S, Mehta JL. Metabolic syndrome: pathophysiology, management, and modulation by natural compounds. Ther Adv Cardiovasc Dis. 2017;11(8):215-25. doi: 10.1177/1753944717711379
- Mohamed SM, Shalaby MA, El-Shiekh RA, et al. Metabolic syndrome: risk factors, diagnosis, pathogenesis, and management with natural approaches. Food Chemistry Advances. 2023;3:100335. doi: 10.1016/j.focha.2023.100335
- Schmidleithner L, Thabet Y, Schönfeld E, et al. Enzymatic Activity of HPGD in Treg Cells Suppresses Tconv Cells to Maintain Adipose Tissue Homeostasis and Prevent Metabolic Dysfunctio. Immunity. 2019;50(5):1232-48.e14. doi: 10.1016/j.immuni.2019.03.014
- Hao Y, Zhu YJ, Zou S, et al. Metabolic Syndrome and Psoriasis: Mechanisms and Future Directions. Front Immunol. 2021;12:711060. doi: 10.3389/fimmu.2021.711060
- Su L, Xu C, Huang H, et al. Effects of tumor necrosis factor-alpha inhibitors on lipid profiles in patients with psoriasis: a systematic review and meta-analysis. Front Immunol. 2024;15:1354593. doi: 10.3389/fimmu.2024.1354593
- Borska L, Kremlacek J, Andrys C, et al. Systemic Inflammation, Oxidative Damage to Nucleic Acids, and Metabolic Syndrome in the Pathogenesis of Psoriasis. Int J Mol Sci. 2017;18(11). doi: 10.3390/ijms18112238
- Fredriksson T, Pettersson U. Severe psoriasis – oral therapy with a new retinoid. Dermatologica. 1978;157(4):238-44. doi: 10.1159/000250839
- Рекомендации по ведению больных с метаболическим синдромом Министерства здравоохранения Российской Федерации. М. 2013. Режим доступа: mzdrav.rk.gov.ru/file/mzdrav_18042014_Klinicheskie_rekomendacii_Metabolicheskij_sindrom.pdf. Ссылка активна на 06.03.2024 [Rekomendatsii po vedeniiu bol'nykh s metabolicheskim sindromom Ministerstva zdravookhraneniia Rossiiskoi Federatsii. Moscow. 2013. Available at: mzdrav.rk.gov.ru/file/mzdrav_18042014_Klinicheskie_rekomendacii_Metabolicheskij_sindrom.pdf. Accessed: 06.03.2024 (in Russian)].
- Shahrara S, Huang Q, Mandelin AM 2nd, Pope RM. TH-17 cells in rheumatoid arthritis. Arthritis Res Ther. 2008;10(4):R93. doi: 10.1186/ar2477
- Каратеев Д.Е., Лучихина Е.Л. Современное лечение спондилоартритов: фокус на нетакимаб. Терапевтический архив. 2024;96(5):543-50 [Karateev DE, Luchikhina EL. Current treatment for spondyloarthritis: focus on netakimab. A review. Terapevticheskii Arkhiv (Ter. Arkh.). 2024;96(5)543-50 (in Russian)]. doi: 10.26442/00403660.2024.05.202794
- Kaur S, Atri S. Interleukin-17 (IL-17) family cytokines and their receptors in cardiovascular diseases: a potential therapeutic target? Cytokine Growth Factor Rev. 2018;39:137-144.
- Marzolla V, Armani A, Mammi C, et al. Essential role of ICAM-1 in aldosterone-induced atherosclerosis. Int J Cardiol. 2017;232:233-42. doi: 10.1016/j.ijcard.2017.01.013
- Jhun JY, Yoon BY, Park MK, et al. Combined treatment with a long-acting form of FGF21 and LXR agonist improves lipid metabolism in ob/ob mice. Int J Obes (Lond). 2016;40(11):1737-44.
- Xu R, Tao A, Zhang S, Zhang M. Neutralization of interleukin-17 attenuates high fat diet-induced non-alcoholic fatty liver disease in mice. Acta Biochim Biophys Sin (Shanghai). 2013;45(9):726-33. doi: 10.1093/abbs/gmt065
- Herman R, Kravos NA, Jensterle M, et al. Metformin and Insulin Resistance: A Review of the Underlying Mechanisms behind Changes in GLUT4-Mediated Glucose Transport. Int J Mol Sci. 2022;23(3). doi: 10.3390/ijms23031264
- Colca JR, Scherer PE. The metabolic syndrome, thiazolidinediones, and implications for intersection of chronic and inflammatory disease. Mol Metab. 2022;55:101409. doi: 10.1016/j.molmet.2021.101409
- Bitkin EC, Boyraz M, Taşkın N, et al. Effects of ACE inhibitors on insulin resistance and lipid profile in children with metabolic syndrome. J Clin Res Pediatr Endocrinol. 2013;5(3):164-9. doi: 10.4274/Jcrpe.1020
- Grundy SM, Cleeman JI, Daniels SR, et al. Diagnosis and management of the metabolic syndrome: an American Heart Association/National Heart, Lung, and Blood Institute Scientific Statement. Circulation. 2005;112(17):2735-52. doi: 10.1161/CIRCULATIONAHA.105.169404
- Mohamed R, Jayakumar C, Chen F, et al. Low-Dose IL-17 Therapy Prevents and Reverses Diabetic Nephropathy, Metabolic Syndrome, and Associated Organ Fibrosis. J Am Soc Nephrol. 2016;27(3):745-65. doi: 10.1681/ASN.2014111136
- Winer S, Chan Y, Paltser G, et al. Normalization of obesity-associated insulin resistance through immunotherapy. Nat Med. 2009;15(8):921-9. doi: 10.1038/nm.2001
- Wen W, Wan Z, Zhou D, et al. The Amelioration of Insulin Resistance in Salt Loading Subjects by Potassium Supplementation is Associated with a Reduction in Plasma IL-17A Levels. Exp Clin Endocrinol Diabetes. 2017;125(8):571-7. doi: 10.1055/s-0042-101793
Supplementary files








