Transcatheter transfemoral aortic valve replacement in a patient with acromegaly and severe left ventricular myocardial hypertrophy. Case report
- Authors: Maslennikova N.S.1, Bulkina O.S.1, Kolegaev A.S.1, Makeev M.I.1, Ustyuzhanin D.V.1, Nasonova S.N.1, Komlev A.E.1, Kozlova E.V.1, Lopukhova V.V.1, Petukhova M.V.1, Pronin V.S.2, Imaev T.Е.1, Karpov Y.А.1
-
Affiliations:
- Chazov National Medical Research Center of Cardiology
- Russian Medical Academy of Continuous Professional Education
- Issue: Vol 96, No 4 (2024): Issues of diagnostics of internal diseases
- Pages: 378-385
- Section: Case reports
- Submitted: 02.10.2023
- Accepted: 28.03.2024
- Published: 02.05.2024
- URL: https://ter-arkhiv.ru/0040-3660/article/view/601820
- DOI: https://doi.org/10.26442/00403660.2024.04.202682
- ID: 601820
Cite item
Full Text
Abstract
Main causes of secondary hypertrophic cardiomyopathy include acromegalic cardiomyopathy. Heart damage in patients with the acromegaly is mediated both by the direct action of growth hormone and insulin-like growth factor-1, and increased deposition of collagen and lymphomononuclear cells in the myocardium, which leads to architectural changes, disturbances in fluid and electrolyte balance, severe left ventricular myocardial hypertrophy, diastolic and systolic left ventricular dysfunction and chronic heart failure. This article presents the world's first described observation demonstrating the possibility of successful transfemoral aortic valve repair to a comorbid patient with severe aortic stenosis according to the potential risks caused by the active form of the acromegaly.
Full Text
Список сокращений
АВ-блокада – атриовентрикулярная блокада
АГ – артериальная гипертония
АД – артериальное давление
АК – аортальный клапан
АР – аортальная регургитация
ГКМП – гипертрофическая кардиомиопатия
ГЛЖ – гипертрофия левого желудочка
ЗСЛЖ – задняя стенка левого желудочка
ИФР-1 – инсулиноподобный фактор роста-1
КДО – конечно-диастолический объем
КТИ – кардио-торакальный индекс
ЛЖ – левый желудочек
ЛП – левое предсердие
мГДсАК – максимальный систолический градиент давления на аортальном клапане
МЖП – межжелудочковая перегородка
ММЛЖ – масса миокарда левого желудочка
МРТ – магнитно-резонансная томография
ПБЛНПГ – полная блокада левой ножки пучка Гиса
СОАС – синдром обструктивного апноэ–гипопноэ сна
ТИАК – транскатетерная имплантация аортального клапана
ФВ – фракция выброса
ХСН – хроническая сердечная недостаточность
ЧСС – частота сердечных сокращений
ЭКГ – электрокардиограмма
ЭхоКГ – эхокардиография
Гипертрофическая кардиомиопатия (ГКМП) – это утолщение стенки любого из сегментов левого желудочка сердца более 15 мм, которое не может быть объяснено только повышенной нагрузкой [1]. Помимо идиопатической генетически обусловленной ГКМП, для которой характерны относительно ранний дебют и отягощенный семейный анамнез, существует множество причин вторичной ГКМП, в том числе гипертрофия левого желудочка (ГЛЖ), опосредованная эндокринологическими заболеваниями [2].
Акромегалия – редкое хроническое заболевание, вызванное гиперсекрецией гормона роста, характеризующееся чрезмерным разрастанием тканей, что приводит к развитию серьезных осложнений и прогрессированию сопутствующих заболеваний. Наиболее часто у пациентов с акромегалией развиваются сердечно-сосудистые осложнения, примерно у 50% пациентов с активным заболеванием выявляется вторичная артериальная гипертония (АГ) [3]. Патофизиология акромегалической кардиомиопатии [4] помимо прямого действия гормона роста и инсулиноподобного фактора роста-1 (ИФР-1) включает повышенное отложение в миокарде коллагена и лимфомононуклеарных клеток, что приводит к гипертрофии, дегенерации и фиброзу, нарушениям водного баланса, последующей ГЛЖ, диастолической и систолической дисфункции ЛЖ с развитием хронической сердечной недостаточности (ХСН) [5]. Поражение проводящей системы сердца влечет за собой нарушения ритма и проводимости.
Первая стадия акромегалической кардиомиопатии представляет собой прогрессирование гипертрофии межжелудочковой перегородки (МЖП) и задней стенки ЛЖ (ЗСЛЖ). Гипертрофия может возникать при отсутствии АГ, что отражает влияние самого избытка гормона роста и ИФР-1 на миокард. Систолическая функция у большинства пациентов нормальная и на ранних стадиях может даже повышаться, что связано с положительными инотропными эффектами гормона роста и/или ИФР-1 и со сдвигом в характере экспрессии изомиозина [6].
Хроническая гиперсекреция гормона роста и/или избыток ИФР-1, усугубляемая влиянием сопутствующих факторов, таких как продолжительность заболевания в отсутствие ремиссии, возраст и курение, приводит к увеличению объема циркулирующей крови, стимуляции пролиферации гладкомышечных клеток, повышению жесткости артерий и эндотелиальной дисфункции, увеличению толщины комплекса интима–медиа, что в свою очередь способствует развитию АГ и ишемической болезни сердца. Повышенная чувствительность сосудов к ангиотензину II, задержка натрия и воды, а также увеличение сердечного выброса приводят к повышению периферического сопротивления и усугубляют течение АГ. Увеличение сердечного выброса, концентрическая ГЛЖ, а также систолическая и диастолическая дисфункция являются ключевыми моментами в развитии акромегалической кардиомиопатии, которая в конечном итоге приводит к ХСН. Другие типичные изменения у пациентов с акромегалией включают поражение клапанов, характерную эктазию восходящего отдела аорты, развитие тяжелых форм синдрома обструктивного апноэ–гипопноэ сна (СОАС). Инсулинорезистентность, ожирение и дислипидемия могут также способствовать прогрессированию сердечно-сосудистых изменений (рис. 1).
Рис. 1. Схематическое изображение основных сердечно- сосудистых заболеваний, встречающихся у пациентов с акромегалией, и ключевых механизмов их развития. Адаптировано из [5].
Примечание: ОЦК – объем циркулирующей крови, ГКМ – гладкомышечные клетки, ТИМ – толщина интима–медиа.
Fig. 1. Schematic representation of the main cardiovascular diseases occurring in patients with acromegaly and their key development mechanisms. Adapted from [5].
Лечение акромегалической кардиопатии напрямую связано с лечением основного заболевания и достижением полной ремиссии. Длительный адекватный контроль уровня гормона роста и ИФР-1 приводит к регрессу симптоматики и связан с улучшением прогноза.
Пациент Л. (1943 г. рождения) с 1990 г. отмечал головные боли и эпизодические подъемы артериального давления (АД), нарушения ритма сердца по типу частой наджелудочковой экстрасистолии, однако не обследовался и регулярной медикаментозной терапии не получал. Примерно с того же времени в течение нескольких лет постепенно стал замечать изменения во внешности – укрупнение нижней челюсти, губ, увеличение и изменение формы носа, изменение овала лица с преобладанием нижнего контура (рис. 2). Стоматолог, регулярно наблюдавший пациента, отметил деформацию нижней челюсти и изменение прикуса.
Рис. 2. Изменения во внешности пациента до момента верификации акромегалии, фото публикуется с согласия пациента.
Fig. 2. Changes in the patient's appearance before the verification of acromegaly, the photo is published with the patient's consent.
В 2003 г. верифицирована эндоселлярная аденома гипофиза и диагностирована акромегалия, по поводу чего проведено хирургическое лечение в объеме трансназальной аденомэктомии. Основное заболевание, вероятнее всего, привело к увеличению щитовидной железы, в связи с чем II этапом выполнены тотальная тиреоидэктомия и подбор заместительной терапии. В 2014 г. при эндокринологическом обследовании диагностирована акромегалия в активной стадии, уровень ИФР-1 – 331 нг/мл (N 91–205 нг/мл). Магнитно-резонансная томография (МРТ) головного мозга подтвердила наличие фрагмента остаточной аденоматозной ткани размером 16×15×13 мм в проекции гипофиза. Таким образом, у больного с резидуальной соматотрофной опухолью сохранялась активность заболевания, что подтверждается высоким уровнем ИФР-1 и отсутствием снижения выработки гормона роста на фоне глюкозной нагрузки. Инициирована вторичная медикаментозная терапия аналогами соматостатина 1-й генерации, которая через год прервана пациентом.
В том же году в связи с развитием гипертонического криза с повышением АД до 190/100 мм рт. ст. впервые обследован по кардиологическому профилю. Из сохранившейся медицинской документации известно, что на электрокардиограмме (ЭКГ) в 2014 г. регистрировался синусовый ритм, продолжительность комплекса QRS составляла 100 мс. По данным суточного мониторирования АД отмечалось недостаточное снижение систолического АД в ночное время (профиль «нондиппер») при нормальных среднесуточных величинах. По результатам эхокардиографического исследования (ЭхоКГ) впервые выявлена ГЛЖ с утолщением МЖП до 1,7 см, ЗСЛЖ – до 1,6 см. Клапанной и другой патологии не отмечалось. Пациенту подобрана гипотензивная терапия, которая позволила в течение длительного времени поддерживать целевые значения АД. В течение последующих лет плановое обследование пациента ограничивалось ежегодной ЭКГ, по данным которой отмечалось постепенное увеличение продолжительности комплекса QRS вплоть до установления полной блокады левой ножки пучка Гиса – ПБЛНПГ (рис. 3, 4).
Рис. 3. ЭКГ пациента Л. в 2017 г. Скорость записи – 50 мм/с, вольтаж – 10 мм/мВ. Синусовый ритм с ЧСС – 53 в минуту, АВ-блокада 1-й степени, продолжительность QRS – 120 мс.
Fig. 3. ECG of patient L. in 2017. Recording speed – 50 mm/s, voltage – 10 mm/mV. Sinus rhythm with heart rate of 53 beats per minute, 1st degree AV block, QRS duration 120 ms.
Рис. 4. ЭКГ пациента Л. в 2022 г. Скорость записи – 25 мм/с, вольтаж – 5 мм/мВ. Синусовая брадикардия с ЧСС – 50 в минуту, АВ-блокада 1-й степени, ПБЛНПГ, продолжительность QRS – 120 мс, ЭКГ-признаки ГЛЖ при ПБЛНПГ (критерии Kafka, Baranowski).
Fig. 4. ECG of patient L. in 2022. Recording speed – 25 mm/s, voltage – 5 mm/mV. Sinus bradycardia with heart rate of 50 per minute, 1st degree AV block, CLBBB, QRS duration 120 ms, ECG signs of LVH in CLBBB (Kafka, Baranowski criteria).
В середине декабря 2022 г. у пациента появились одышка при минимальной физической нагрузке, симметричные отеки голеней, по поводу чего проводилась симптоматическая диуретическая терапия. По данным ЭхоКГ по месту жительства заподозрена зона гипоакинезии верхушечных сегментов ЛЖ с формированием пристеночного тромба, пациент направлен на обследование в ФГБУ «НМИЦK им. акад. Е.И. Чазова». При проведении ЭхоКГ в ФГБУ «НМИЦK им. акад. Е.И. Чазова» выявлено расширение левых камер сердца: индекс конечного диастолического объема ЛЖ – 83,8 мл/м2, индекс объема левого предсердия (ЛП) – 51 мл/м2. Зон нарушения локальной сократимости не выявлено, отмечалось асинхронное движение МЖП, обусловленное БЛНПГ. Тромб в полости ЛЖ не определялся. Подтверждена выраженная гипертрофия с неоднородной эхогенностью миокарда ЛЖ (рис. 5) без признаков обструкции выносящего тракта ЛЖ.
Рис. 5. ЭхоКГ. Слева – апикальная четырехкамерная позиция с выраженной гипертрофией миокарда ЛЖ. Справа – апикальная трехкамерная позиция с кальцинозом АК.
Fig. 5. Echocardiography. On the left: the apical four-chamber with pronounced hypertrophy of the LV myocardium. On the right: the apical three-chamber with AV calcification.
Вместе с этим выявлен стеноз устья аорты с максимальным систолическим градиентом давления на аортальном клапане (мГДсАК) 90 мм рт. ст., средним градиентом давления 54 мм рт. ст., площадью отверстия по уравнению непрерывности потока 0,9–1,0 см2, что соответствует тяжелой степени стеноза устья аорты. Также отмечалась аортальная регургитация (АР) 2–3-й степени (рис. 6).
Рис. 6. Трансторакальная ЭхоКГ. Время полуспада диастолического градиента на АК – слева и показатели стеноза устья аорты – справа.
Fig. 6. Transthoracic echocardiography. On the left: the half-life of the diastolic gradient on the AV; on the right: the indicators of aortic valve stenosis.
Основные ЭхоКГ-параметры представлены в табл. 1. Обращают на себя внимание значительное увеличение массы миокарда ЛЖ (ММЛЖ), расчетная величина индексированного значения – 243 г/м2. Диастолическая функция, несмотря на столь выраженную гипертрофию миокарда, нарушена по типу замедленной релаксации. По данным тканевой миокардиальной допплерографии Еml=8 см/с (N>10 см/с), Ems=6,3 см/с (N >7 см/с), E/Em=16–17.
Таблица 1. Исходные значения трансторакальной ЭхоКГ ТМЖП Table 1. Transthoracic echocardiogram baseline values | ||
Показатель | Значение | Норма, муж. |
КДР ЛЖ, см | 6,4 | 4,2–5,8 |
Индекс КДО ЛЖ, мл/м2 | 83,8 | До 74 |
КСР ЛЖ, см | 4,7 | 2,5–4,0 |
Индекс КСО ЛЖ, мл/м2 | 41,7 | До 31 |
ФВ ЛЖ (биплан, Симпсон), % | 48 | 52–72 |
ТМЖП | 1,5–1,9 | 0,6–1,0 |
ТЗСЛЖ | 1,5 | 0,6–1,0 |
ММЛЖ, по Devereux, г | 556 | До 224 |
Индекс ММЛЖ, г/м2 | 243 | До 115 |
мГДсАК, мм рт. ст. | 90 | – |
срГДсАК, мм рт. ст. | 54 | – |
AVA, см2 (по VTI) | 1,0 | 2–4 |
PHT АР, мс | 390 | >500 |
СДЛА, мм рт. ст. | 39 | До 30 |
Нижняя полая вена, см | 1,8/0,5 | – |
Примечание. КДР – конечно-диастолический размер, КСР – конечно-систолический размер, КСО – конечно-систолический объем, ТМЖП – толщина МЖП, ТЗСЛЖ – толщина ЗСЛЖ, срГДсАК – средний систолический градиент давления на АК, AVA – площадь отверстия АК, PHT – время полуспада градиента давления на АК, СДЛА – систолическое давление в легочной артерии. | ||
Для проведения углубленного обследования и определения тактики лечения пациент госпитализирован в ФГБУ «НМИЦK им. акад. Е.И. Чазова». Антропометрические характеристики пациента на момент госпитализации представлены в табл. 2.
Таблица 2. Антропометрические характеристики пациента Л. Table 2. Patient L. anthropometric characteristics | |
Показатель | Значение |
Рост, м | 1,8 |
Масса тела, кг | 115 |
ИМТ, кг/м2 | 35,5 |
Площадь поверхности тела, м2 | 2,33 |
ОТ, см | 128 |
Размер обуви | 44 |
Примечание. ИМТ – индекс массы тела, ОТ – окружность талии. | |
В биохимическом анализе крови – гиперхолестеринемия до 7,65 ммоль/л, холестерин липопротеидов низкой плотности до 5,51 ммоль/л при нормальном уровне триглицеридов и липопротеида (а) – гиперлипидемия IIа типа. Про данным рентгенографии органов грудной клетки – признаки венозного застоя в легких 1-й степени, артериальной легочной гипертензии и расширение сердца в поперечнике за счет левых отделов (кардио-торакальный индекс – КТИ 60% при норме <50%).
По данным ЭКГ – синусовый ритм с частотой сердечных сокращений (ЧСС) 65 уд/мин, изменение предсердного компонента по типу p-mitrale, замедление АВ-проведения, ПБЛНПГ, ГЛЖ, продолжительность комплекса QRS – 200 мс (рис. 7).
Рис. 7. ЭКГ, февраль 2023 г.
Fig. 7. ECG, Feb. 2023.
Для уточнения характера поражения миокарда выполнена МРТ сердца с контрастированием, подтверждено выраженное увеличение ММЛЖ. ГЛЖ оказалась более выражена в средних сегментах ЛЖ, достигая максимальных значений до 21 мм в области МЖП. Примечательно, что базальный сегмент МЖП демонстрирует постепенное утолщение с 12 до 21 мм, чем обусловлено отсутствие обструкции выносящего тракта, подтвержденное в режиме кино-МРТ. Также по данным МРТ выявлено увеличение конечно-диастолического объема (КДО) ЛЖ, объема ЛП, однако при пересчете результатов на площадь поверхности тела больного (индексированные объемы) полученные данные соответствовали референсным значениям (табл. 3).
Таблица 3. Расчетные показатели размеров и функции сердца по данным МРТ с контрастированием Table 3. Estimated cardiac size and function by contrast-enhanced MRI | ||
Показатель | Значение | Норма |
КДО ЛЖ, мл | 253 | 83–207 |
КДОи ЛЖ, мл/м2 | 99 | 47–107 |
ММЛЖ, г | 372 | 66–176 |
иММЛЖ, г/м2 | 146 | 39–85 |
ФВ ЛЖ, % | 42 | 52–72 |
КСОи ЛП, мл/м2 | 40 | 17–59 |
Примечание. КДОи – КДО, индексированный к площади тела, иММЛЖ – индекс ММЛЖ , КСОи – конечно-систолический объем, индексированный к площади тела. | ||
Контрастное исследование выявило интрамиокардиальное накопление препарата по всем стенкам ЛЖ, в большей степени выраженное в максимально гипертрофированных участках миокарда (рис. 8).
Рис. 8. МРТ сердца с контрастированием, стрелками обозначены участки интрамиокардиального фиброза.
Fig. 8. Contrast-enhanced cardiac MRI, arrows indicate areas of intramyocardial fibrosis.
Учитывая абсолютные показания для коррекции аортального порока, у пациента с выраженной гипертрофией миокарда ЛЖ оценивались критерии риска развития SAM-феномена (передне-систолическое движение створок митрального клапана, в послеоперационном периоде приводящее к обструкции выносящего тракта ЛЖ). По данным чреспищеводной ЭхоКГ из 7 возможных критериев в данном случае наблюдался один – митрально-аортальный угол составил 94° (SAM-критерий менее 130°; рис. 9). Также оценивался риск возможной дислокации протеза в аорту на фоне устранения постнагрузки на ЛЖ и развития гиперкинеза гипертрофированного миокарда в послеоперационном периоде.
Рис. 9. SAM-критерий, митрально-аортальный угол <130° (расчетное значение 94°).
Fig. 9. SAM-criterion, aorto-mitral angle <130° (estimated value 94°).
Согласно плану предоперационного обследования пациенту выполнена коронароангиография (выявлен начальный атеросклероз коронарных артерий), мультиспиральная компьютерная томография-аортография с внутривенным контрастированием и определением количественных параметров АК. По данным мультиспиральной компьютерной томографии обращала на себя внимание эктазия восходящего отдела аорты до 4,5 см при небольшом (1,3 см) диаметре бифуркации, что сопряжено с потенциальными техническими сложностями при манипуляциях системой доставки биопротеза АК. Принимая во внимание наличие у пациента рисков, связанных с выраженной ГЛЖ, в качестве эндопротеза АК выбрано саморасширяющееся устройство с нитиноловым каркасом, створки которого независимо от степени деформации каркаса в фиброзном кольце находятся супрааннулярно, обеспечивая максимальную запирательную функцию, а герметичная манжета позволяет минимизировать эндоподтекания на уровне фиброзного кольца.
Обеспечение проходимости дыхательных путей является критическим аспектом общей анестезии перед хирургической операцией, в том числе транскатетерной имплантации АК (ТИАК). Известно, что из-за гипертрофических изменений мягких тканей гортаноглотки и макроглоссии у пациентов с акромегалией трудности с интубацией трахеи при инициации общей анестезии встречаются до 3 раз чаще, чем у других хирургических больных [7]. Кроме того, наличие акромегалии удлиняет время интубации трахеи, снижает вероятность успеха интубации трахеи и увеличивает частоту легочной инфекции и отдаленную смертность [8]. Предикторами интубационных трудностей в исследованиях являлись повышенный уровень ИФР-1 и высокий индекс апноэ–гипопноэ сна. Для стратификации риска трудной интубации пациенту Л. перед проведением ТИАК выполнены МРТ мягких тканей головы и шеи и оценка проходимости дыхательных путей по модифицированной шкале Маллампати. Также выполнено кардиореспираторное мониторирование, выявившее характерный для акромегалии СОАС тяжелой степени – на фоне ночной гипоксемии средний уровень сатурации оказался значительно снижен 87%, опускаясь минимально до 61%, индекс апноэ–гипопноэ составил 42 при норме менее 5. Пациенту подобран режим CPAP-терапии.
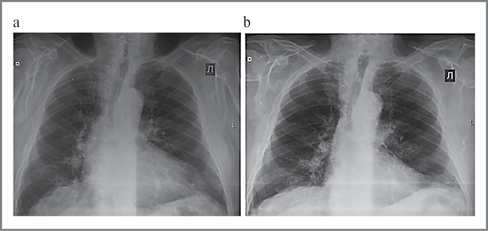
Интубация выполнена с 1-й попытки, пациенту успешно имплантирован биологический протез Acurate Neo размера L с сохранением минимальной остаточной регургитации. Послеоперационный период протекал без осложнений. По данным контрольного обследования запирательная функция протеза удовлетворительная, парапротезная регургитация минимальна. Отмечаются нормализация легочной гемодинамики, прирост фракции выброса (ФВ) ЛЖ, по данным рентгенографии легких – нормализация КТИ (рис. 10).
Рис. 10. Рентгенография органов грудной клетки, слева до операции, справа – спустя неделю после. Отмечаются отсутствие нарушений легочной гемодинамики, уменьшение размеров сердца.
Fig. 10. Chest X-ray. On the left: before the surgery; on the right: a week after the surgery. A decrease in the size of the heart and no pulmonary hemodynamics disorders were observed.
Динамика основных клинико-инструментальных показателей представлена в табл. 4.
Таблица 4. Динамика клинико-инструментальных показателей до и после операции Table 4. Change over time of clinical and instrumental parameters before and after the surgery | ||
Показатель | До операции | После операции |
СДЛА, мм рт. ст. | 39 | 28 |
АР, степень | 2≥3 | 1 |
мГДсАК, мм рт. ст. | 89 | 27 |
срГДсАК, мм рт. ст. | 53 | 16 |
ФВ, % | 48 | 55–57 |
Венозный застой в легких, степень | 1 | 0 |
КТИ, % | 60 | 50 |
NT-ProBNP, пг/мл | 989,7 | 297,7 |
Основной диагноз сформулирован следующим образом. Приобретенный сочетанный порок сердца: дегенеративный стеноз устья аорты тяжелой степени, кальциноз АК 3-й степени, недостаточность АК 3-й степени; операция ТИАК от 21.03.2023. Фоновое заболевание: эндоселлярная аденома гипофиза, акромегалия. Состояние после нерадикальной трансфеноидальной аденомэктомии, резидуальная макроаденома гипофиза (соматотропинома), тиреоидэктомия в 2003 г., первичный гипотиреоз, медикаментозно компенсированный (тиреотропный гормон – 2,52 мМЕ/мл); гипертоническая болезнь III стадии, контролируемая АГ, риск сердечно-сосудистых осложнений очень высокий (4). Осложнения: концентрическая ГЛЖ; вторичная митральная недостаточность 2-й степени; нарушение ритма и проводимости сердца: атриовентрикулярная блокада (АВ-блокада) 1-й степени, ПБЛНПГ, частая наджелудочковая экстрасистолия; ХСН IIб стадии, II функционального класса; легочная гипертензия 1-й степени ≥0; гипертрофия ножек диафрагмы, динамический стеноз чревного ствола; атеросклероз аорты с расширением восходящего отдела, брахиоцефальных артерий, артерий нижних конечностей; окклюзия передней большеберцовой артерии слева; гиперхолестеринемия 2а типа; СОАС тяжелой степени; ожирение 2-й степени; хроническая болезнь почек 3а стадии ≥2 cт. (скорость клубочковой фильтрации – 59≥80 мл/мин/1,73 см2).
После выписки пациент обследовался у эндокринолога, уровень ИФР-1 составил 318 нг/мл (возрастная норма – до 185 нг/мл), подтверждена активная форма акромегалии с наличием резидуальной макроаденомы по данным МРТ головного мозга и назначено специфическое лечение, направленное на подавление избыточной секреции гормона роста и ИФР-1 и уменьшение тяжести системных нарушений.
Спустя 4 мес проведена трансторакальная ЭхоКГ. Функция протеза АК сохранялась удовлетворительной в отсутствие значимой АР. Отмечалось уменьшение конечно-диастолического размера ЛЖ с 6,4 до 5,7 см, конечно-систолического размера ЛЖ – с 4,7 до 4,1 см, прирост ФВ ЛЖ – до 56%, уменьшение индекса ММЛЖ – с 243 до 174 г/м2. Субъективно пациент отмечал существенное улучшение самочувствия, увеличение толерантности к физическим нагрузкам, улучшение сна, работоспособности и качества жизни в целом.
Принимая решение о возможности и целесообразности проведении ТИАК у пациента Л., врачи применили комплексный подход к оценке основных рисков, ассоциированных с неблагоприятными периоперационными исходами, в частности риск дислокации протеза вследствие выраженной гипертрофии миокарда, деформации на уровне фиброзного кольца, риск развития SAM-феномена и потенциальные риски интубации.
В процессе предоперационной подготовки обсуждался вопрос генеза ГЛЖ у данного пациента. В плане дифференциальной диагностики рассматривались основные возможные причины: тяжелый аортальный стеноз, гипертоническое сердце, идиопатическая ГКМП и ее фенотипы, амилоидоз сердца и, собственно, акромегалическая кардиопатия.
Стеноз устья аорты тяжелой степени и сопутствующая перегрузка давлением внесли свой вклад в степень выраженности ГЛЖ. Однако согласно анамнестическим данным ГЛЖ у данного пациента впервые выявлена в 2014 г. при отсутствии порока клапана. Кроме того, через 4 мес после успешного протезирования АК по данным ЭхоКГ толщина стенок ЛЖ осталась без изменений, несмотря на улучшение внутрисердечной гемодинамики, а уменьшение расчетной ММЛЖ в большей степени связано с уменьшением полости ЛЖ.
Наличие у пациента анамнеза АГ, которая длительно успешно контролировалась медикаментозно, не дает оснований предполагать изолированное поражение по типу гипертонического сердца, что может быть подтверждено отсутствием значимого нарушения диастолической функции миокарда и выраженной ангиоретинопатии, однако вклад АГ и сопутствующих нарушений нейрогуморальной регуляции, перегрузки объемом неоспорим.
Амилоидоз сердца также рассматривался в качестве возможной причины выраженного утолщения стенок ЛЖ. По данным литературы, амилоидоз сердца встречается примерно у 16% пациентов, перенесших ТИАК [9], но в большей степени характерен для тяжелого фенотипа аортального стеноза (low-flow low-gradient по данным ЭхоКГ), чего не наблюдалось у пациента Л. Кроме того, по данным спекл-трекинг ЭхоКГ и при оценке глобальной продольной деформации миокарда ЛЖ не выявлено характерного паттерна на диаграмме «бычий глаз» в виде базально-апикального градиента деформации. Отсутствие амилоидной кардиопатии подтверждено данными МРТ с контрастированием. Для отложения амилоида характерно диффузное субэндокардиальное контрастирование во всех отделах ЛЖ, тогда как в данном случае имел место интрамиокардиальный фиброз, более выраженный в участках максимального утолщения стенки ЛЖ. Пожилой возраст и неотягощенный семейный анамнез практически исключали вероятность наличия у пациента генетически обусловленной ГКМП. Методом массового параллельного секвенирования исследованы таргетные области 17 генов синтеза саркомерных и других белков, в которых наиболее часто встречаются мутации, ответственные за идиопатическую ГКМП и ее основные фенокопии (болезнь Андерсона–Фабри, болезнь Данона) – гены ACT1, DES, FLNC, GLA, LAMP2, MYBPC3, MYH7, MYL2, MYL3, PLN, PRKAG2, PTPN11, TNNC1, TNNI3, TNNT2, TPM1 и TTR, мутаций не обнаружено.
Таким образом, причиной ГЛЖ у пациента Л. являлась метаболическая кардиомиопатия на фоне длительно текущей активной формы акромегалии. Сопутствующее дегенеративное поражение АК, АГ усугубили степень ГЛЖ, чем обусловлена клиническая манифестация ХСН в виде эпизода декомпенсации в декабре 2022 г. Для улучшения прогноза и качества жизни пациенту Л. проведено протезирование АК, инициирована терапия синтетическими аналогами соматостатина (Октреотид-Депо 30 мг внутримышечно 1 раз в 28 дней), направленная на достижение медикаментозной ремиссии акромегалии, совместно с подбором адекватной гипотензивной, гиполипидемической и СРАР-терапии.
Данный клинический случай по результатам анализа доступной литературы – первое в мире описанное наблюдение, демонстрирующее возможность успешной трансфеморальной имплантации АК коморбидному пациенту с активной акромегалией и выраженной ГЛЖ.
Раскрытие интересов. Авторы декларируют отсутствие явных и потенциальных конфликтов интересов, связанных с публикацией настоящей статьи.
Disclosure of interest. The authors declare that they have no competing interests.
Вклад авторов. Авторы декларируют соответствие своего авторства международным критериям ICMJE. Все авторы в равной степени участвовали в подготовке публикации: разработка концепции статьи, получение и анализ фактических данных, написание и редактирование текста статьи, проверка и утверждение текста статьи.
Authors’ contribution. The authors declare the compliance of their authorship according to the international ICMJE criteria. All authors made a substantial contribution to the conception of the work, acquisition, analysis, interpretation of data for the work, drafting and revising the work, final approval of the version to be published and agree to be accountable for all aspects of the work.
Источник финансирования. Авторы декларируют отсутствие внешнего финансирования для проведения исследования и публикации статьи.
Funding source. The authors declare that there is no external funding for the exploration and analysis work.
Информированное согласие на публикацию. Пациент подписал форму добровольного информированного согласия на публикацию медицинской информации.
Consent for publication. Written consent was obtained from the patient for publication of relevant medical information and all of accompanying images within the manuscript.
About the authors
Nadezhda S. Maslennikova
Chazov National Medical Research Center of Cardiology
Author for correspondence.
Email: nsmaslenn@gmail.com
ORCID iD: 0000-0002-8232-1750
канд. мед. наук, врач-кардиолог 4 кардиологического отд-ния Научно-исследовательского института клинической кардиологии им. А.Л. Мясникова
Russian Federation, MoscowOlga S. Bulkina
Chazov National Medical Research Center of Cardiology
Email: nsmaslenn@gmail.com
ORCID iD: 0000-0003-4773-6966
канд. мед. наук, ст. науч. сотр. отд. ангиологии Научно-исследовательского института клинической кардиологии им. А.Л. Мясникова
Russian Federation, MoscowAlexander S. Kolegaev
Chazov National Medical Research Center of Cardiology
Email: nsmaslenn@gmail.com
ORCID iD: 0000-0002-5054-1310
канд. мед. наук, ст. науч. сотр. отд. сердечно-сосудистой хирургии, сердечно-сосудистый хирург Научно-исследовательского института клинической кардиологии им. А.Л. Мясникова
Russian Federation, MoscowMaxim I. Makeev
Chazov National Medical Research Center of Cardiology
Email: nsmaslenn@gmail.com
ORCID iD: 0000-0002-4779-5088
врач отд. ультразвуковых методов исследования Научно-исследовательского института клинической кардиологии им. А.Л. Мясникова
Russian Federation, MoscowDmitry V. Ustyuzhanin
Chazov National Medical Research Center of Cardiology
Email: nsmaslenn@gmail.com
ORCID iD: 0000-0002-0402-3977
канд. мед. наук, ст. науч. сотр., отд. томографии
Russian Federation, MoscowSvetlana N. Nasonova
Chazov National Medical Research Center of Cardiology
Email: nsmaslenn@gmail.com
ORCID iD: 0000-0002-0920-7417
канд. мед. наук, ст. науч. сотр. отд. заболеваний миокарда и сердечной недостаточности Научно-исследовательского института клинической кардиологии им. А.Л. Мясникова
Russian Federation, MoscowAlexey E. Komlev
Chazov National Medical Research Center of Cardiology
Email: nsmaslenn@gmail.com
ORCID iD: 0000-0001-6908-7472
врач-кардиолог отд. сердечно-сосудистой хирургии Научно-исследовательского института клинической кардиологии им. А.Л. Мясникова
Russian Federation, MoscowEkaterina V. Kozlova
Chazov National Medical Research Center of Cardiology
Email: nsmaslenn@gmail.com
ORCID iD: 0000-0002-6847-4080
канд. мед. наук, мл. науч. сотр. отд. ангиологии Научно-исследовательского института клинической кардиологии им. А.Л. Мясникова
Russian Federation, MoscowVeronika V. Lopukhova
Chazov National Medical Research Center of Cardiology
Email: nsmaslenn@gmail.com
ORCID iD: 0000-0002-7667-9043
канд. мед. наук, ст. науч. сотр. отд. ангиологии Научно-исследовательского института клинической кардиологии им. А.Л. Мясникова
Russian Federation, MoscowMaria V. Petukhova
Chazov National Medical Research Center of Cardiology
Email: nsmaslenn@gmail.com
клин. ординатор отд. ангиологии Научно-исследовательского института клинической кардиологии им. А.Л. Мясникова
Russian Federation, MoscowVyatcheslav S. Pronin
Russian Medical Academy of Continuous Professional Education
Email: nsmaslenn@gmail.com
ORCID iD: 0000-0003-0452-9465
д-р мед. наук, проф. каф. эндокринологии
Russian Federation, MoscowTimur Е. Imaev
Chazov National Medical Research Center of Cardiology
Email: nsmaslenn@gmail.com
ORCID iD: 0000-0002-5736-5698
д-р мед. наук, рук. лаб. гибридных методов лечения сердечно-сосудистых заболеваний отд. сердечно-сосудистой хирургии, сердечно-сосудистый хирург Научно-исследовательского института клинической кардиологии им. А.Л. Мясникова
Russian Federation, MoscowYuri А. Karpov
Chazov National Medical Research Center of Cardiology
Email: nsmaslenn@gmail.com
ORCID iD: 0000-0003-1480-0458
д-р мед. наук, проф., гл. науч. сотр., рук. отд. ангиологии Научно-исследовательского института клинической кардиологии им. А.Л. Мясникова
Russian Federation, MoscowReferences
- Arbelo E, Protonotarios A, Gimeno JR, et al. 2023 ESC Guidelines for the management of cardiomyopathies: Developed by the task force on the management of cardiomyopathies of the European Society of Cardiology (ESC). Eur Heart J. 2023;ehad194. doi: 10.1093/eurheartj/ehad194
- Шляхто Е.В., Полякова А.А., Семернин Е.Н., и др. Акромегалическая кардиомиопатия с динамической обструкцией выносящего тракта левого желудочка. Российский кардиологический журнал. 2018;2:115-20 [Shlyakhto EV, Poliakova AA, Semernin EN, et al. Acromegalic cardiomyopathy with dynamic obstruction of the left ventricle outflow tract. Russian Journal of Cardiology. 2018;2:115-20 (in Russian)]. doi: 10.15829/1560-4071-2018-2-115-120
- Мелкозеров К.В., Пржиялковская Е.Г., Тарбаева Н.В., и др. Нарушение ритма и проводимости сердца у больных акромегалией: роль магнитно-резонансной томографии сердца. Терапевтический архив. 2020;92(10):70-7 [Melkozerov KV, Przhiyalkovskaya EG, Tarbaeva NV, et al. Heart arrhythmias and conduction disorders in patients with acromegaly: the role of cardiac magnetic resonance imaging. Terapevticheskii Arkhiv (Ter. Arkh.). 2020;92(10):70-7 (in Russian)]. doi: 10.26442/00403660.2020.10.000787
- López-Velasco R, Escobar-Morreale HF, Vega B, et al. Cardiac involvement in acromegaly: specific myocardiopathy or consequence of systemic hypertension? J Clin Endocrinol Metab. 1997;82(4):1047-53. doi: 10.1210/jcem.82.4.3876
- Ramos-Leví AM, Marazuela M. Bringing Cardiovascular Comorbidities in Acromegaly to an Update. How Should We Diagnose and Manage Them? Front Endocrinol. 2019;10. Available at: https://www.frontiersin.org/articles/10.3389/fendo.2019.00120. Accessed: 04.10.2023. doi: 10.3389/fendo.2019.00120
- Timsit J, Riou B, Bertherat J, et al. Effects of chronic growth hormone hypersecretion on intrinsic contractility, energetics, isomyosin pattern, and myosin adenosine triphosphatase activity of rat left ventricle. J Clin Invest. 1990;86(2):507-15.
- Zhang Y, Guo X, Pei L, et al. High levels of IGF-1 predict difficult intubation of patients with acromegaly. Endocrine. 2017;57(2):326-34. doi: 10.1007/s12020-017-1338-x
- Melmed S. Acromegaly pathogenesis and treatment. J Clin Invest. 2009;119:3189-202. doi: 10.1172/JCI39375
- Castaño A, Narotsky DL, Hamid N, et al. Unveiling transthyretin cardiac amyloidosis and its predictors among elderly patients with severe aortic stenosis undergoing transcatheter aortic valve replacement. Eur Heart J. 2017;38(38):2879-87. doi: 10.1093/eurheartj/ehx350
Supplementary files












