Right ventricle free wall rupture during transcatheter occluder implantation in a patient with postinfarction rupture of the interventricular septum and COVID-19-associated myocarditis. Case report
- Authors: Pevzner D.V.1, Sukhinina T.S.1, Anufriev E.N.1, Kostritca N.S.1, Avetisyan E.A.1, Shitov V.N.1, Kurilina E.V.1, Osiev A.G.2, Merkulov E.V.1, Tereshchenko A.S.1, Boytsov S.A.1
-
Affiliations:
- Chazov National Medical Research Center of Cardiology
- MEDSI Group of Companies
- Issue: Vol 95, No 7 (2023)
- Pages: 574-579
- Section: Case reports
- Submitted: 29.09.2023
- Accepted: 29.09.2023
- Published: 29.09.2023
- URL: https://ter-arkhiv.ru/0040-3660/article/view/595929
- DOI: https://doi.org/10.26442/00403660.2023.07.202330
- ID: 595929
Cite item
Full Text
Abstract
Intraventricular septum rupture is a rare mechanic complication of myocardial infarction associated with high mortality. This case describes STEMI in recovered patient after COVID 19 associated pneumonia, which was complicated by ventricular septum rupture followed by cardiogenic shock. It was managed by percutaneous occluder implantation. The procedure was complicated by right ventricular wall rupture. Postmortem examination of myocardium showed the signs of inflammation infiltrate and myocyte necrosis, according to histopathological Dallas criteria diagnosis of COVID-19 associated myocarditis was established. The COVID-19 pandemic has contributed to increasing cardiovascular mortality. This is typically attributed to diminishing resources for timely and appropriate medical care, and patients’ late presentations for fear of contracting the infection. Cardiovascular complication of COVID-19 may be another contributing factor. Further research is needed to improve our understanding of the mechanisms and long-term sequelae of myocardium damage in COVID-19, to optimize treatment strategy and subsequent follow-up in such patients.
Full Text
Список сокращений
АД – артериальное давление
ИМ – инфаркт миокарда
КАГ – коронароангиография
МЖП – межжелудочковая перегородка
мМЖП – мышечный окклюдер межжелудочковой перегородки
ОМПП – окклюдер дефекта межпредсердной перегородки
ПИ-мМЖП – постинфарктный мышечный окклюдер межжелудочковой перегородки
ПНА – передняя нисходящая артерия
ТКИО – транскатетерная имплантация окклюдера
ЧКВ – чрескожное коронарное вмешательство
ЭКГ – электрокардиограмма
ЭхоКГ – эхокардиография
Введение
Разрыв межжелудочковой перегородки (МЖП) – это редкое механическое осложнение инфаркта миокарда (ИМ), сопровождающееся высокой летальностью [1]. В отсутствие реперфузионной терапии разрыв МЖП развивается в 1–2% случаях ИМ [2]. При проведении первичного чрескожного коронарного вмешательства (ЧКВ) и тромболизиса частота данного осложнения составляет 0,17–0,31% [3]. Смертность среди пациентов с разрывом МЖП остается высокой (41–80%) и существенно не меняется в течение последних нескольких десятилетий [3].
Своевременная диагностика внутрисердечного разрыва является ключевым фактором выбора успешной тактики лечения. У всех пациентов с острым ИМ следует проводить оценку возможных механических осложнений [2] при объективном осмотре и трансторакальной эхокардио- графии (ЭхоКГ).
Хирургическое закрытие дефекта МЖП является методом выбора, однако его сроки остаются предметом дискуссии. Согласно рекомендациям Европейского общества кардиологов по лечению больных с острым коронарным синдромом с подъемом сегмента ST раннее хирургичес- кое вмешательство ассоциировано с высоким риском повторного разрыва и высокой летальностью, достигающей 20–40%. Отсроченная операция позволяет легче восстановить перегородку в рубцовой ткани, но несет в себе риск увеличения размеров дефекта и смерти во время ожидания операции [1]. У пациентов с разрывом МЖП, находящихся на медикаментозной терапии, летальность составляет 24% через 72 ч и увеличивается до 75% через 3 нед [4]. В ранние сроки ИМ хирургическое вмешательство обычно проводится у более тяжелой категории больных, как правило, с выраженной гемодинамической нестабильностью, что может увеличивать летальность [4].
В последние годы у больных высокого риска для закрытия дефекта МЖП используется транскатетерная имплантация окклюдера (ТКИО) в качестве альтернативы открытой операции для полного закрытия дефекта либо в качестве метода стабилизации гемодинамики, для уменьшения сброса крови слева направо с целью проведения последующего отсроченного хирургического вмешательства [5]. В 10–25% случаев после ТКИО сохраняется сброс крови [1].
Эндоваскулярное лечение разрывов МЖП предпочтительнее проводить при дефектах менее 1,5 см в диаметре, что обусловлено имеющимися размерами устройств и размерами МЖП [1, 2]. Выполнить ТКИО передних (расположенных апикальней) дефектов МЖП значительно легче, чем задненижних (базальных) [2]. В литературе описано использование различных типов устройств для ТКИО при разрывах МЖП. В частности, большинство исследований описывает использование Amplatzer трех типов – окклюдер дефекта межпредсердной перегородки (ОМПП или ASD), мышечный окклюдер МЖП (мМЖП) и постинфарктный мышечный окклюдер МЖП (ПИ-мМЖП). ОМПП не является лучшим вариантом, особенно в острой фазе ИМ [6]. Конструкция ОМПП обладает высокой податливостью и не предназначена для закрытия дефектов с высоким градиентом давления. Его использование при разрывах МЖП часто не приводит к достаточной окклюзии разрыва МЖП [7]. ММЖП и ПИ-мМЖП показали лучшие результаты [8]. Наибольший успех продемонстрировал ПИ-мМЖП [9]. У этого устройства шире талия, больше диски и плотнее конструкция, что ведет к более быстрой окклюзии над более широкой септальной областью [7]. Устройство выпускается в размерах от 16 до 24 мм с шагом 2 мм. Диаметры используемых устройств должны значительно превышать размер дефекта МЖП, что особенно важно при закрытии разрыва в острой фазе ИМ. Талия окклюдера должна превосходить растянутый диаметр дефекта на 4 мм и выше [6]. Некоторые авторы утверждают, что при закрытии разрыва МЖП в острой стадии ИМ оптимальный диаметр окклюдера должен быть в 2 раза больше измеренного размера дефекта или по крайней мере больше на 10 мм [7]. Несмотря на очевидные преимущес- тва ПИ-мМЖП, продемонстрировано успешное чрескожное закрытие постинфарктных разрывов МЖП и двумя другими типами устройств [7]. Тактику лечения постинфарктного разрыва МЖП, метод и сроки хирургического вмешательства определяет мультидисциплинарная команда (Heart Team), включающая кардиолога, кардиоторакального и эндоваскулярного хирурга, анестезиолога-реаниматолога. Перед принятием решения желательно проведение чреспищеводной ЭхоКГ или мультиспиральной компьютерной томографии для определения анатомии дефекта.
В данном клиническом случае представлен больной с кардиогенным шоком на фоне трансмурального переднего ИМ, сопровождавшегося разрывом МЖП. Одной из вероятных причин разрыва стенки правого желудочка рассматривается COVID-19-ассоциированный миокардит.
Клинический случай
У пациента 68 лет с артериальной гипертонией 14.01.2021 в 15:00 впервые развилась давящая боль за грудиной без иррадиации, сопровождавшаяся выраженной слабостью, холодным потом. На электрокардиограмме (ЭКГ), снятой через час бригадой скорой медицинской помощи, – элевация сегмента ST во всех грудных отведениях до 0,7 мВ. Заподозрен ИМ с подъемом сегмента ST. Учитывая недоступность ЧКВ-центра, принято решение о проведении тромболитической терапии. Догоспитально введена тенектеплаза 7000 Ед. ЭКГ после тромболизиса – без признаков реперфузии.
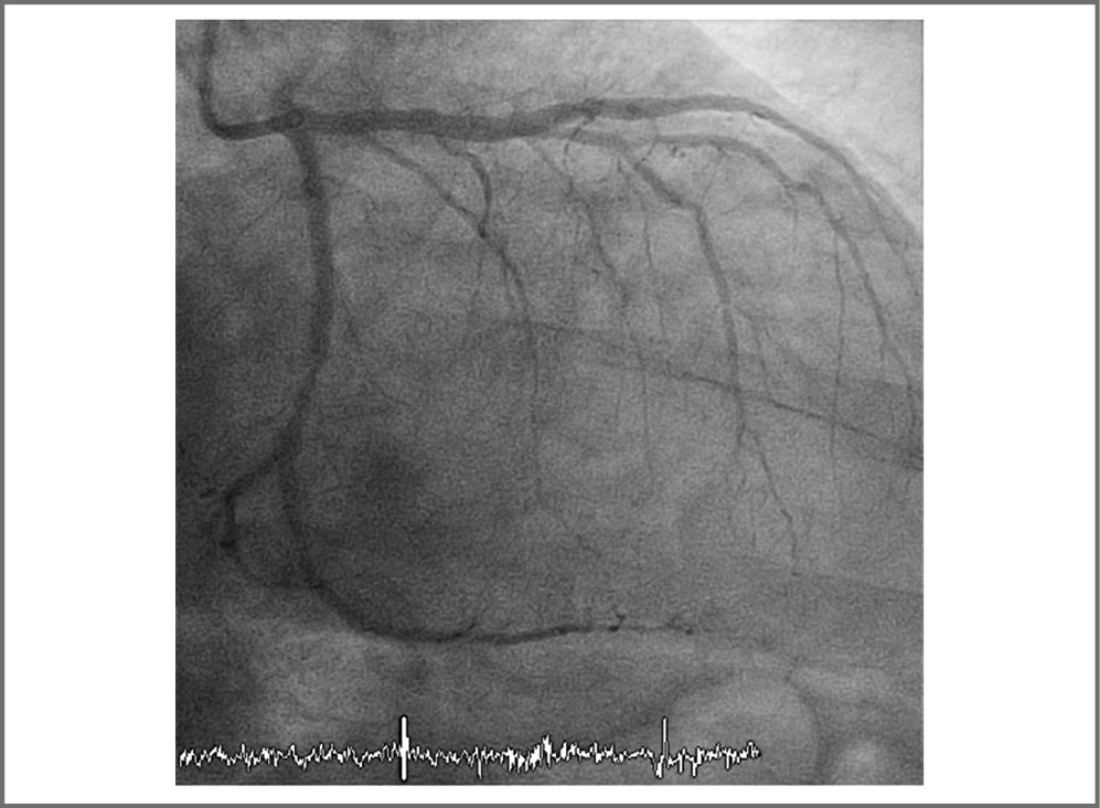
Пациент госпитализирован в региональный сосудис- тый центр. В связи с отсутствием признаков реперфузии на ЭКГ выполнена экстренная коронароангиография (КАГ), при которой выявлена окклюзия передней нисходящей артерии (ПНА) в проксимальном сегменте. Одномоментно выполнено ЧКВ со стентированием ПНА двумя стентами с лекарственным покрытием (рис. 1, 2). Процедура прошла без осложнений, кровоток по ПНА после вмешательства – TIMI III. По данным ЭКГ после вмешательства отмечаются признаки реперфузии в виде снижения элеваций сегмента ST.
Рис. 1. КАГ: до ЧКВ.
Рис. 2. КАГ: после ЧКВ.
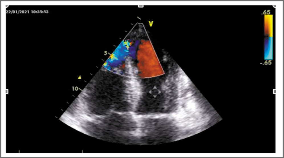
На следующий день выполнена ЭхоКГ, при которой впервые выявлен дефект МЖП в области верхушки диаметром 13 мм со сбросом крови слева направо (рис. 3). Фракция выброса левого желудочка – 42,4%, акинез верхушечных сегментов всех стенок.
Рис. 3. Дефект МЖП по данным ЭхоКГ в четырехкамерной позиции.
В дальнейшем отмечалось клиническое ухудшение состояния в виде развития отека легких, развития почечного повреждения, печеночной недостаточности, потребности в инотропной поддержке добутамином.
Для дальнейшего лечения и решения вопроса о проведении операции больной переведен в палату реанимации и интенсивной терапии 1-го кардиологического отделения ФГБУ «НМИЦ кардиологии им. акад. Е.И. Чазова». При осмотре наблюдались признаки левожелудочковой сердечной недостаточности, десатурация до 79%, гипотония, тахикардия, требовавшие инотропной и вазопрессорной поддержки.
Выявлены признаки полиорганной недостаточности. В анализах крови отмечалось повышение печеночных ферментов [аланинаминотрансфераза – 174 Ед/л, аспартатаминотрансфераза – 187 ЕД/л, билирубин – до 43,2 мкмоль/л, мочевина – 42 ммоль/л, креатинин – 221 мкмоль/л (CKD EPI – 25 мл/мин/1,73 м2)]. В общем анализе крови – лейкоцитоз до 25×109/л, нейтрофилы – 20 тыс./мкл, моноциты – 2,34 тыс./мкл, гемоглобин – 12,06 г/дл. При исследовании газов артериальной крови обнаружен компенсированный лактат ацидоз: pH – 7,435, pCO2 – 19,3, pO2 – 67, BE – 9, HCO3 – 13,0, sO2 – 94, Lac – 4,57.
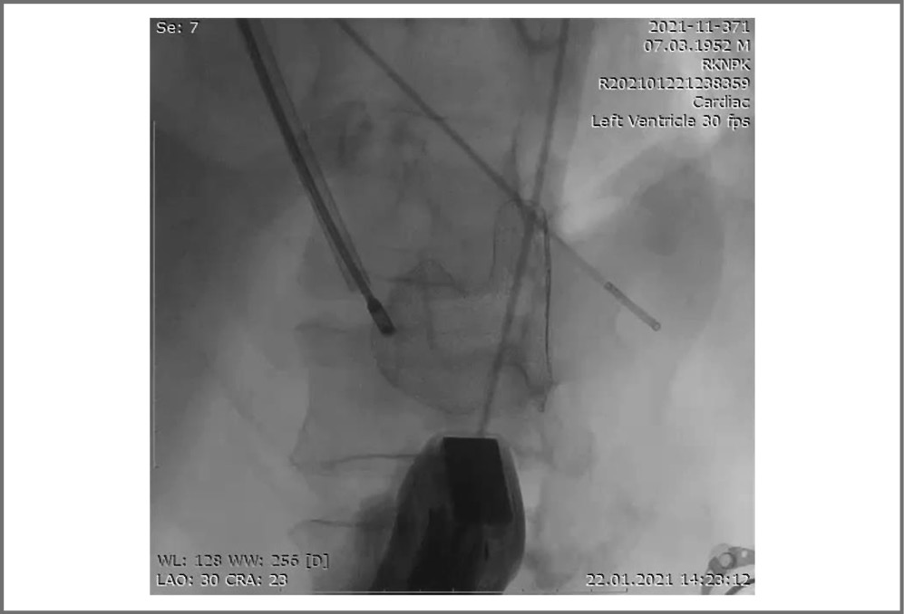
Учитывая тяжесть состояния пациента, консилиумом Heart Team принято решение об экстренном выполнении закрытия разрыва МЖП эндоваскулярным путем. Пациент переведен в рентгеноперационную. Продолжалась вазопрессорная поддержка норадреналином. Проведена вентрикулография. Определен размер разрыва МЖП – 2,1 см. Выполнено эндоваскулярное закрытие МЖП ОМПП – Flex II ASD Occluder (рис. 4). При ультразвуковом контроле положение окклюдера удовлетворительное, определялся минимальный парапротезный сброс крови слева направо, в полости перикарда свободной жидкости не выявлено. Гемодинамические показатели в пределах нормальных значений (артериальное давление – АД – 105/70 мм рт. ст., среднее – АД 71 мм рт. ст.). Однако во время осуществления гемостаза и наложения давящих повязок у больного наблюдались внезапная остановка дыхания, электромеханическая диссоциация с переходом в асистолию. Проводились реанимационные мероприятия, включая искусственную вентиляцию легких, в течение 35 мин. При повторном ЭхоКГ-контроле – окклюдер стоит в прежней позиции, в полости перикарда визуализируется большое количество свободной жидкости со сдавлением правых камер сердца. Выполнен перикардиоцентез, начато удаление крови из полости перикарда со скоростью активного удаления более 100 мл/мин. При ультразвуковом контроле в полости перикарда сохранялось прежнее количество жидкости.
Рис. 4. Установка окклюдера МЖП.
Через 35 мин сохранялась стойкая асистолия, отсутствовали самостоятельное дыхание, арефлексия. В связи с неэффективными реанимационными мероприятиями в течение 35 мин констатирована смерть пациента.
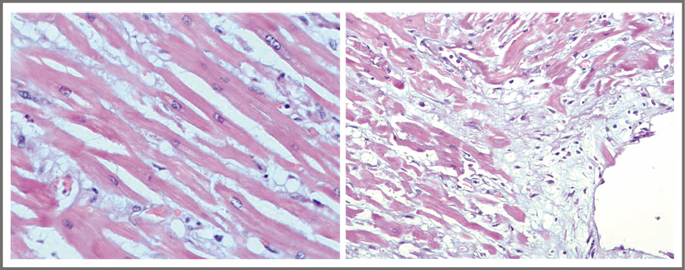
При проведении патологоанатомического исследования выявлен выраженный отек стромы миокарда с воспалительной лимфоцитарной инфильтрацией. Гистологическая картина соответствовала иммунологическим критериям острого миокардита (≥14 лейкоцитов/мм2, включая до 4 моноцитов/мм2, при наличии CD3-положительных Т-лимфоцитов в количестве ≥7 клеток на мм2) и далласским критериям миокардита (рис. 5). Помимо этого выявлена полисегментарная пневмония в стадии организации.
Рис. 5. Значительный отек стромы миокарда, лейкоцитарная инфильтрация.
Из анамнеза известно, что за 2 мес до описанной госпитализации больной перенес двустороннюю вирусную SARS-CoV-2-полисегментарную пневмонию. При поступ- лении в ФГБУ «НМИЦ кардиологии им. акад. Е.И. Чазова» выполнен иммуноферментный анализ: иммуноглобулин M SARS-CoV-2 – 4,895 (>1,21 положительный), иммуноферментный анализ: иммуноглобулин G SARS-CoV-2 – 16,2, при полимеразной цепной реакции РНК SARS-CoV-2 не обнаружена.
Таким образом, выявленные изменения соответствовали патологоанатомическому диагнозу – «перенесенная новая коронавирусная инфекция. Двусторонняя полисегментарная пневмония в стадии организации. Вирусный миокардит с васкулитом и очаговым некрозом кардиомиоцитов».
Обсуждение
Лечение разрыва МЖП сводится к комбинации терапевтического и хирургического подходов. Основным направлением медикаментозной терапии является снижение постнагрузки с целью уменьшения сброса слева направо и увеличения сердечного выброса при помощи вазодилататоров, таких как нитроглицерин или нитропруссид натрия, предпочтительно с проведением гемодинамического мониторинга [4]. Для поддержания адекватного сердечного выброса могут быть необходимы инотропные препараты. Для снижения постнагрузки и увеличения сердечного выброса можно использовать механическую поддержку кровообращения [3].
В представленном клиническом случае мультидисциплинарной командой принято решение о проведении ТКИО в связи с прогрессирующим ухудшением состояния пациента, усугублением явлений кардиогенного шока, высоким риском оперативного лечения с использованием аппарата искусственного кровообращения. От механической поддержки кровообращения решено воздержаться из-за высокого риска кровотечений на фоне тройной антитромботической терапии, большого количества сосудистых доступов. Кроме того, ее инициация привела бы к потере времени в условиях декомпенсации состояния больного. В связи с достаточно большим размером дефекта – 21 мм – выбран окклюдер ОМПП (ASD). Максимально возможный размер окклюдеров ОМПП – 40 мм, мМЖП и ПИ-мМЖП – 24 мм. Несмотря на очевидные преимущества ПИ-мМЖП, в нашем случае имплантация такого устройства сопряжена с высоким риском развития резидуального сброса и дислокации окклюдера. ТКИО допустима при размерах дефекта МЖП до 35 мм. H. Thiele и соавт. одними из первых опубликовали данные об использовании ТКИО для экстренного лечения разрывов МЖП в остром периоде ИМ. Попытка ТКИО выполнена у 29 пациентов, 16 из которых находились в состоянии кардиогенного шока. До настоящего времени это исследование остается одним из наиболее крупных по числу пациентов, которым ТКИО проводилась в остром периоде ИМ. Использовались различные типы окклюдеров в зависимости от размера и морфологии дефектов [5]. Четверо больных умерли до завершения имплантации устройства. Из 25 пациентов, которым имплантировали окклюдер, 7 установили ОМПП и 18 – окклюдеры МЖП. Через 730 дней наблюдения 8 пациентов живы, 3 из них имплантирован ОМПП. Высокая смертность обусловлена выбранной категорией больных. При больших размерах дефекта имплантация ОМПП представляется оправданной.
Осложнениями ТКИО являются дислокация устройства, эмболизация, остаточный гемодинамически значимый сброс крови слева направо, аритмии, гемолиз, развитие трикуспидальной недостаточности вследствие разрыва хорды [6, 10]. При использовании ОМПП часто сохраняется остаточное шунтирование крови, что может потребовать последующей операции с использованием аппарата искусственного кровообращения. В ряде случаев сохраняющееся шунтирование крови из-за дисфункции или частичной дислокации устройства ведет к инфекционному эндокардиту [11]. Иногда ТКИО осложняется разрывом свободной стенки ЛЖ и тампонадой сердца во время манипуляции или в ближайшем послеоперационном периоде. Этому может способствовать увеличение размеров дефекта МЖП при имплантации устройства и некротизированная ткань ЛЖ [11]. У нашего пациента процедура осложнилась разрывом стенки ПЖ, не вовлеченной в ИМ, несмотря на оптимальную позицию окклюдера по данным ЭхоКГ и вентрикулографии. На основании данных патологоанатомического исследования мы предполагаем, что этому способствовало воспаление миокарда вирусного генеза, вероятней всего, связанное с перенесенной ранее COVID 19-ассоциированной инфекцией. По данным литературы, в редких случаях острый миокардит может осложняться разрывом миокарда [11–14]. В частности, описана смерть 66-летней женщины от тампонады сердца. Прижизненно ей ставился диагноз острого ИМ, проводилась тромболитическая терапия. На КАГ выявлены неизменные коронарные артерии. Больная умерла от разрыва свободной станки ЛЖ. При патологоанатомическом исследовании выявлены признаки острого некротизирующего эозинофильного миокардита [12].
В настоящее время возможность развития COVID-19- ассоциированного миокардита не вызывает сомнений [15, 16]. В основе его патогенеза аналогично патогенезу других вирусных миокардитов лежит как непосредственное повреждение миоцитов при цитокиновом шторме, так и цитотоксичность, опосредованная Т-лимфоцитами [15, 17].
Частота встречаемости вирусного миокардита среди пациентов с новой коронавирусной инфекцией отличается в различных исследованиях: так, в раннем сообщении E. Driggin и соавт. сообщается, что 7% летальных исходов у пациентов с COVID-19 связаны с вирусным миокардитом [18]. Другие сообщения говорят о том, что 5–25% пациентов, госпитализированных по поводу COVID-19, имели повышенный уровень тропонина Т, что, однако, нельзя считать непосредственным отражением частоты встречаемости COVID-19-ассоциированного миокардита. При проведении патологоанатомических исследований или миокардиальных биопсий при COVID-19 признаки миокардита находят в 4,5–7,2% [16].
В настоящее время известно, что COVID-19 может быть триггером других острых сердечно-сосудистых заболеваний, в том числе обострения ишемической болезни сердца, артериальной гипертонии, хронической сердечной недос- таточности, нарушений ритма сердца, а также развития тромбозов и тромбоэмболических осложнений, острого ИМ за счет тромбоза как измененных, так и неизмененных коронарных артерий [19–22]. У больных COVID-19 возможно также развитие стресс-индуцированной кардио- миопатии Такоцубо, острого перикардита [19], сепсис- ассоциированной кардиомиопатии. При этом клиническая картина COVID-19 может маскировать течение различных сердечно-сосудистых осложнений, в том числе ИМ, затрудняя их своевременную диагностику [23].
Таким образом, своевременная диагностика и лечение сердечно-сосудистых осложнений имеют большое значение у пациентов с COVID-19 независимо от тяжести течения коронавирусной инфекции. В частности, может быть рациональным проведение рутинного лабораторного исследования на маркеры повреждения миокарда (высокочувствительные тропонины, мозговой натрийуретический пептид), а в случае подозрения на наличие миокардита – выполнение ЭхоКГ и магнитно-резонансной томографии сердца с внутривенным контрастированием [15, 24].
В данном случае своевременная диагностика миокардита и ишемической болезни сердца у пациента со среднетяжелым течением коронавирусной инфекции, возможно, предотвратила бы развитие таких фатальных осложнений, как трансмуральный ИМ, последующий разрыв МЖП, а также разрыв свободной стенки ПЖ.
Заключение
Разрыв МЖП является редким, но потенциально фатальным осложнением трансмурального ИМ. В данном клиническом примере развитию этого осложнения могли способствовать поздняя реваскуляризация и наличие у пациента вирусного миокардита. Для гемодинамически нестабильных пациентов с ранними сроками после ИМ и высокими рисками хирургического вмешательства ТКИО может стать спасительной процедурой. Разрыв свободной стенки ПЖ в данном клиническом примере, вероятнее всего, обусловлен вирусным миокардитом.
Таким образом, новая коронавирусная инфекция может стать причиной или триггером большого количества сердечно-сосудистых патологических процессов, включая вирусный миокардит, ИМ, а также сочетания различных осложнений, что требует кардиологической настороженности при ведении таких пациентов.
Работа выполнена в отделе неотложной кардиологии ФГБУ «НМИЦ кардиологии им. акад. Е. И. Чазова» Мин- здрава России.
The study was done in the Chazov National Medical Research Center of Cardiology, emergency department of cardiology, Moscow, Russia.
Раскрытие интересов. Авторы декларируют отсутствие явных и потенциальных конфликтов интересов, связанных с публикацией настоящей статьи.
Disclosure of interest. The authors declare that they have no competing interests.
Вклад авторов. Авторы декларируют соответствие своего авторства международным критериям ICMJE. Все авторы в равной степени участвовали в подготовке публикации: разработка концепции статьи, получение и анализ фактических данных, написание и редактирование текста статьи, проверка и утверждение текста статьи.
Authors’ contribution. The authors declare the compliance of their authorship according to the international ICMJE criteria. All authors made a substantial contribution to the conception of the work, acquisition, analysis, interpretation of data for the work, drafting and revising the work, final approval of the version to be published and agree to be accountable for all aspects of the work.
Источник финансирования. Авторы декларируют отсутствие внешнего финансирования для проведения исследования и публикации статьи.
Funding source. The authors declare that there is no external funding for the exploration and analysis work.
Информированное согласие на публикацию. Авторы получили письменное согласие законных представителей пациента на анализ и публикацию медицинских данных.
Consent for publication. The authors obtained written consent from the patient's legal representatives to analyze and publish medical data.
About the authors
Dmitry V. Pevzner
Chazov National Medical Research Center of Cardiology
Author for correspondence.
Email: pevsner@mail.ru
ORCID iD: 0000-0002-5290-0065
канд. мед. наук, ст. науч. сотр., зав. блоком интенсивной терапии отд. неотложной кардиологии
Russian Federation, MoscowTatiana S. Sukhinina
Chazov National Medical Research Center of Cardiology
Email: pevsner@mail.ru
ORCID iD: 0000-0002-5509-6623
канд. мед. наук, ст. науч. сотр. отд. неотложной кардиологии
Russian Federation, MoscowEgor N. Anufriev
Chazov National Medical Research Center of Cardiology
Email: pevsner@mail.ru
ORCID iD: 0000-0002-9660-9851
врач-кардиолог отд. неотложной кардиологии
Russian Federation, MoscowNatalia S. Kostritca
Chazov National Medical Research Center of Cardiology
Email: pevsner@mail.ru
ORCID iD: 0000-0002-8746-8727
врач-ординатор отд. неотложной кардиологии
Russian Federation, MoscowEric A. Avetisyan
Chazov National Medical Research Center of Cardiology
Email: pevsner@mail.ru
ORCID iD: 0000-0002-0331-2179
врач-кардиолог отд. неотложной кардиологии
Russian Federation, MoscowVictor N. Shitov
Chazov National Medical Research Center of Cardiology
Email: pevsner@mail.ru
ORCID iD: 0000-0002-8878-7340
врач-кардиолог блока интенсивной терапии отд. неотложной кардиологии, врач ультразвуковой диагностики
Russian Federation, MoscowElla V. Kurilina
Chazov National Medical Research Center of Cardiology
Email: pevsner@mail.ru
ORCID iD: 0000-0002-3208-534X
зав. отд-нием патанатомии
Russian Federation, MoscowAleksandr G. Osiev
MEDSI Group of Companies
Email: pevsner@mail.ru
ORCID iD: 0000-0001-5263-0387
д-р мед. наук, проф., зав. отд-нием рентгенхирургии
Russian Federation, MoscowEvgeny V. Merkulov
Chazov National Medical Research Center of Cardiology
Email: pevsner@mail.ru
ORCID iD: 0000-0001-8193-8575
д-р мед. наук, ст. науч. сотр., зав. 1-м отд-нием рентгенхирургических методов диагностики и лечения
Russian Federation, MoscowAndrew S. Tereshchenko
Chazov National Medical Research Center of Cardiology
Email: pevsner@mail.ru
ORCID iD: 0000-0002-4198-0522
канд. мед. наук, ст. науч. сотр. отд. рентгенэндоваскулярных методов диагностики и лечения
Russian Federation, MoscowSergey A. Boytsov
Chazov National Medical Research Center of Cardiology
Email: pevsner@mail.ru
ORCID iD: 0000-0001-6998-8406
акад. РАН, д-р мед. наук, проф., ген. дир
Russian Federation, MoscowReferences
- Mubarik A, Iqbal AM. Ventricular Septal Rupture. 2022 Feb 14. In: StatPearls. Treasure Island (FL): StatPearls Publishing; 2022.
- Birnbaum Y, Fishbein MC, Blanche C, Siegel RJ. Ventricular septal rupture after acute myocardial infarction. N Engl J Med. 2002;347(18):1426-32. doi: 10.1056/NEJMra020228
- Jones BM, Kapadia SR, Smedira NG, et al. Ventricular septal rupture complicating acute myocardial infarction: a contemporary review. Eur Heart J. 2014;35(31):2060-8. doi: 10.1093/eurheartj/ehu248
- Mahajan K, Shah N, Patel H. Post Infarct Ventricular Septal Rupture. 2021 Sep 28. In: StatPearls. Treasure Island (FL): StatPearls Publishing, 2022.
- Thiele H, Kaulfersch C, Daehnert I, et al. Immediate primary transcatheter closure of postinfarction ventricular septal defects. Eur Heart J. 2009;30(1):81-8. doi: 10.1093/eurheartj/ehn524
- Faccini A, Butera G. Techniques, Timing, and Prognosis of Transcatheter Post Myocardial Infarction Ventricular Septal Defect Repair. Curr Cardiol Rep. 2019;21(7):59. doi: 10.1007/s11886-019-1142-8
- Risseeuw F, Diebels I, Vandendriessche T, et al. Percutaneous occlusion of post-myocardial infarction ventricular septum rupture. Neth Heart J. 2014;22(2):47-51. doi: 10.1007/s12471-013-0498-4
- Shabestari MM, Ghaderi F, Hamedanchi A. Transcatheter Closure of Postinfarction Ventricular Septal Defect: A Case Report and Review of Literature. J Cardiovasc Thorac Res. 2015;7(2):75-7. doi: 10.15171/jcvtr.2015.17
- Holzer R, Balzer D, Amin Z, et al. Transcatheter closure of postinfarction ventricular septal defects using the new Amplatzer muscular VSD occluder: Results of a U.S. Registry. Catheter Cardiovasc Interv. 2004;61(2):196-201. doi: 10.1002/ccd.10784
- Dawson AG, Williams SG, Cole D. Does the placement of an Amplatzer septal occluder device confer benefit in patients with a post-infarction ventricular septal defect? Interact Cardiovasc Thorac Surg. 2014;19(6):1040-7. doi: 10.1093/icvts/ivu293
- Shahreyar M, Akinseye O, Nayyar M, et al. Post-Myocardial Infarction Ventricular Septal Defect: A Comprehensive Review. Cardiovasc Revasc Med. 2020;21(11):1444-9. doi: 10.1016/j.carrev.2018.11.017
- Fragkouli K, Mitselou A, Boumba V, et al. An autopsy case of necrotizing eosinophilic myocarditis causing left ventricular wall rupture. Forensic Sci Med Pathol. 2011;7(4):350-4. doi: 10.1007/s12024-011-9235-8
- Kondo T, Nagasaki Y, Takahashi M, et al. An autopsy case of cardiac tamponade caused by a ruptured ventricular aneurysm associated with acute myocarditis. Leg Med (Tokyo). 2016;18:44-8. doi: 10.1016/j.legalmed.2015.12.002
- Stock E, Lubbe T. Rupture of the right ventricle in acute myocarditis. Br Heart J. 1968;30(1):135-7. doi: 10.1136/hrt.30.1.135
- Siripanthong B, Nazarian S, Muser D, et al. Recognizing COVID-19-related myocarditis: The possible pathophysiology and proposed guideline for diagnosis and management. Heart Rhythm. 2020;17(9):1463-71. doi: 10.1016/j.hrthm.2020.05.001
- Greenberg A, Pemmasani G, Yandrapalli S, Frishman WH. Cardiovascular and Cerebrovascular Complications With COVID-19. Cardiol Rev. 2021;29(3):143-9. doi: 10.1097/CRD.0000000000000385
- Lee DW, Gardner R, Porter DL, et al. Current concepts in the diagnosis and management of cytokine release syndrome. Blood. 2014;124:188-95. doi: 10.1182/blood-2014-05-552729
- Driggin E, Madhavan MV, Bikdeli B, et al. Cardiovascular Considerations for Patients, Health Care Workers, and Health Systems During the COVID-19 Pandemic. J Am Coll Cardiol. 2020;75(18):2352-71. doi: 10.1016/j.jacc.2020.03.031
- Zheng YY, Ma YT, Zhang JY, Xie X. COVID-19 and the cardiovascular system. Nat Rev Cardiol. 2020;17(5):259-60. doi: 10.1038/s41569-020-0360-5
- Rey JR, Jiménez Valero S, Poveda Pinedo D, et al. COVID-19 y trombosis simultánea en dos arterias coronarias [COVID-19 and simultaneous thrombosis of two coronary arteries]. Rev Esp Cardiol. 2020;73(8):676-8. doi: 10.1016/j.recesp.2020.05.004
- Bangalore S, Sharma A, Slotwiner A, et al. ST-Segment Elevation in Patients with Covid-19 – A Case Series. N Engl J Med. 2020;382(25):2478-80. doi: 10.1056/NEJMc2009020
- Lang JP, Wang X, Moura FA, et al. A current review of COVID-19 for the cardiovascular specialist. Am Heart J. 2020;226:29-44. doi: 10.1016/j.ahj.2020.04.025
- Lakhdar S, Buttar Ch, Perez L, et al. ST Elevation Myocardial Infarction in Patients with COVID-19: Case Series. EMJ. 2022;7:38-46.
- Kociol RD, Cooper LT, Fang JC, et al. American Heart Association Heart Failure and Transplantation Committee of the Council on Clinical Cardiology. Recognition and Initial Management of Fulminant Myocarditis: A Scientific Statement From the American Heart Association. Circulation. 2020;141(6):e6992. doi: 10.1161/CIR.0000000000000745
Supplementary files








