Primary aldosteronism: The Mayo Clinic approach
- Authors: Young W.1, Ladygina D.O.2, Balutina O.V.3, Beltsevich D.G.4
-
Affiliations:
- Mayo Clinic
- Department of Presidential Affairs Clinic
- Mukhin Clinical Hospital
- Endocrinology Research Centre
- Issue: Vol 92, No 10 (2020)
- Pages: 83-87
- Section: Case reports
- Submitted: 23.11.2020
- Accepted: 23.11.2020
- Published: 15.10.2020
- URL: https://ter-arkhiv.ru/0040-3660/article/view/50987
- DOI: https://doi.org/10.26442/00403660.2020.10.000754
- ID: 50987
Cite item
Full Text
Abstract
Primary aldosteronism (PA) is the most common reason of secondary hypertension, that can be cured surgically or treated with targeting medical treatment. In many cases PA is not diagnosed on time, leading to aldosterone-specific cardiovascular and nephritic lesions. Effective methods of treatment make it reasonable to perform case detection testing for PA at least once in all patients with hypertension. Mayo Clinic approach is aimed to simplify primary case detection testing. There is no need to use plasma aldosterone concentration/plasma renin activity ratio, all tests can be completed, whilst the patient is taking antihypertensive and other medications. The next step is confirmatory testing. The choice of pharmacological or surgical therapy depends on the results of computed tomography scans of the adrenal glands and adrenal venous sampling. The last one is performed only after discussing with patient the advantages and disadvantages of all therapy methods and positive intention to surgery. Laparoscopic unilateral adrenalectomy is the procedure of choice in patients with unilateral adrenal disease. In patients with bilateral aldosterone hypersecretion, the optimal is a low-sodium diet and lifelong treatment with a mineralocorticoid receptor antagonist administered at a dosage to reach a high-normal serum potassium concentration.
Full Text
АГ – артериальная гипертензия
АД – артериальное давление
АКТГ – адренокортикотропный гормон
АПА – альдостеронпродуцирующая аденома
БКК – блокатор кальциевых каналов
БРА – блокатор рецепторов ангиотензина
ИАПФ – ингибитор ангиотензинпревращающего фермента
ИГА – идиопатическая гиперплазия надпочечников
ИЛ – индекс латерализации
КТ – компьютерная томография
НВ – надпочечниковая вена
НПВ – нижняя полая вена
ПГА – первичный гиперальдостеронизм
СВЗК – селективный венозный забор крови
Введение
Сердечно-сосудистые заболевания по-прежнему остаются лидирующей причиной смертности по всему миру. Среди эндокринных причин вторичной артериальной гипертензии (АГ) лидерство принадлежит первичному гиперальдостеронизму (ПГА), который наблюдается у 5% пациентов с гипертензией [1].
ПГА – это синдром, характеризующийся повышенным уровнем альдостерона, который относительно автономен от ренин-ангиотензиновой системы. Повышение уровня альдостерона является причиной АГ, снижения уровня ренина плазмы, задержки натрия и ускоренного выведения калия [2]. Подтверждение диагноза дает врачу уникальную возможность либо полностью излечить АГ, либо использовать эффективную специфическую терапию. Однако в силу различных причин врачи часто не уделяют достаточного внимания диагностике этого заболевания и диагноз ставят с опозданием, после многих лет жизни с неконтролируемой АГ и развитием необратимых осложнений – почечной недостаточности и заболеваний сердца.
К сожалению, современные клинические рекомендации не оказали значимого влияния на частоту диагностирования ПГА. Возможно, причина кроется в сложностях соблюдения правил отмены антигипертензивных препаратов при выполнении рекомендованных протоколов гормонального обследования, а также в выделении определенных групп пациентов, кому показана диагностика.
Поэтому мы хотим представить подход к диагностике ПГА, разработанный доктором медицинских наук, профессором У. Янгом, применяемый в эндокринологическом отделении клиники Мэйо, которая признана лучшей клиникой по лечению эндокринных заболеваний в США в 2019 г. Основная задача, по мнению доктора Янга, состоит в максимальном упрощении алгоритма диагностики, чтобы уменьшить количество барьеров перед врачом. Отсутствие как такового клинического фенотипа диктует необходимость исключать ПГА у всех пациентов с АГ, как минимум однократно (рис. 1).
Рис. 1. Алгоритм диагностики ПГА [3].
Особенности первичной диагностики
- Первичная диагностика заключается в определении уровня альдостерона и ренина плазмы.
- Забор крови осуществляют до 10 ч утра на фоне либерализованной по соли диеты, пациент необязательно должен приходить натощак.
- В течение 2 ч до анализа желательно, чтобы пациент находился в вертикальном положении, непосредственное взятие крови проводится в положении сидя.
Что касается специальной подготовки, то она не требуется. Пациент может принимать любые антигипертензивные препараты, в том числе антагонисты минералокортикоидных рецепторов, так как ни один препарат не может вызывать ложноположительный результат, если использовать определенный уровень cut-off для альдостерона плазмы. В качестве такой точки в клинике Мэйо используется уровень альдостерона более 10 нг/дл (277 пмоль/л) в сочетании с низкой активностью ренина (менее 1 нг/мл в час) либо уровнем прямого ренина ниже референсных значений.
- Положительный первичный тест = альдостерон > 10 нг/дл + активность ренина <1 нг/мл в час или прямой ренин ниже референса.
Использование ренин-альдостеронового соотношения может ввести в заблуждение, так как его значение в большой мере зависит от величины делителя. Например, при уровне альдостерона плазмы 3 нг/дл и активности ренина 0,1 нг/мл в час соотношение будет равняться 30, что является ложноположительным значением. Очевидно, что у пациента нет ПГА. Более того, еще в школе нас учили, что на 0 делить нельзя, и при активности ренина меньше 0,1 нг/мл в час вопрос о соотношении отпадает сам собой уже с позиций арифметики. Поэтому в клинической практике удобнее использовать абсолютные величины.
Положительный первичный тест делает диагноз ПГА весьма вероятным, после чего можно переходить к следующему шагу – подтверждающему тесту.
Исключением являются пациенты со спонтанной гипокалиемией, уровнем альдостерона более 20 нг/дл и активности ренина менее 1 нг/мл в час. Такое сочетание позволяет установить диагноз ПГА без проведения подтверждающего теста [4]. Всем остальным пациентам показано проведение одного из следующих его вариантов:
- тест с натриевой нагрузкой;
- тест с физиологическим раствором;
- супрессивный тест с флудрокортизоном;
- тест с каптоприлом.
В клинике Мэйо используется тест с натриевой нагрузкой, в ходе которого проводят контроль альдостерона и натрия в суточной моче на фоне свободной солевой диеты. В норме при соблюдении таковой уровень натрия в суточной моче должен быть более 200 ммоль/л, а уровень альдостерона, соответственно, должен быть менее 12 мкг.
- Положительный подтверждающий тест= натрий в суточной моче >200 ммоль/л + альдостерон >12 мкг.
Следующий этап – установление источника гиперпродукции альдостерона. Заблуждением является мнение о том, что лидирующая причина ПГА – описанная в 1955 г. Джеромом Конном односторонняя альдостеронпродуцирующая аденома (АПА). Альдостерома, как причина функционально автономной гиперпродукции альдостерона, выявляется лишь в 30% случаев, тогда как двусторонняя идиопатическая гиперплазия надпочечников – в 60% [3]. Односторонняя адреналэктомия является методом выбора при наличии альдостеромы. Нормализация калия и улучшение течения АГ происходят практически у всех пациентов, выздоровление наступает в 40% случаев [5]. В случае идиопатической двусторонней гиперпродукция альдостерона показано консервативное лечение антагонистами минералокортикоидных рецепторов.
Всем пациентам с установленным диагнозом ПГА проводится компьютерная томография (КТ) надпочечников. Для альдостеромы характерны небольшой размер (до 2 см) и невысокая плотность (менее 10 HU). Однако информативность КТ в латерализации источника ПГА составляет около 57%, что недостаточно, если речь идет о дальнейшей перспективе оперативного лечения [3].
Именно поэтому при положительном настрое пациента на хирургическое лечение и отсутствии абсолютных противопоказаний к таковому «золотым стандартом» определения причины ПГА является селективный венозный забор крови (СВЗК). Единственное исключение – случаи визуализации односторонних образований надпочечников у пациентов моложе 35 лет с тяжелым течением ПГА (сочетание спонтанной гипокалиемии с уровнем альдостерона более 30 нг/дл) [4, 6]. В этой очень редкой ситуации пациент может быть сразу направлен на оперативное лечение без проведения СВЗК. Однако более 95% пациентов с ПГА старше 35 лет и не имеют описанной КТ-картины, поэтому им показано дообследование. В представленном ниже клиническом случае наглядно отражены все этапы диагностики ПГА, а также важность проведения СВЗК при подготовке к оперативному вмешательству.
Клиническое наблюдение
Пациент 67 лет. В анамнезе АГ в течение 20 лет. Уровень артериального давления (АД) в пределах 130/80 мм рт. ст. на четырех антигипертензивных препаратах: карведилол 25 мг 2 раза в сутки (β-адреноблокатор), ирбесартан 300 мг/сут (блокатор рецепторов ангиотензина – БРА), амлодипин 5 мг/сут (блокатор кальциевых каналов – БКК), гидрохлоротиазид 12,5 мг/сут (тиазидный диуретик). Пациент также принимает препараты калия в дозе 6 г хлорида калия в сутки. При объективном осмотре уровень АД 140/80 мм рт. ст., пульс 64 уд/мин, индекс массы тела 35 кг/м2. При лабораторном исследовании определялась гипокалиемия до 3,4 ммоль/л, функция почек в норме (креатинин 1,0 мг/дл). Уровень альдостерона плазмы составлял 21 нг/дл, уровень ренина подавлен (менее 0,6 нг/мл в час). Таким образом, первичный тест – положительный.
При проведении подтверждающего теста уровень натрия суточной мочи на свободной солевой диете составил более 200 ммоль/л, в то время как альдостерона – 27 мкг, что однозначно подтвердило наличие ПГА.
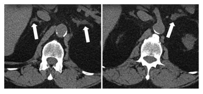
При проведении КТ выявлены узелок в левом надпочечнике, а также небольшое утолщение в правом надпочечнике (рис. 2).
Рис. 2. КТ-снимки 67-летнего пациента с ПГА в аксиальной проекции. Узелок в левом надпочечнике и участок утолщения в правом надпочечнике [3].
Следующий этап предоперационной подготовки – проведение селективного забора крови из надпочечниковых вен (НВ). В клинике Мэйо забор проводится на фоне введения препарата адренокортикотропного гормона (АКТГ) короткого действия (козинтропин 50 мкг/ч). Точность катетеризации каждой из НВ подтверждается градиентом по кортизолу ≥5 в каждой из сторон по отношению к нижней полой вене (НПВ). Чаще всего кортизол в надпочечниках на стимуляции в 10, 20, 30 раз выше, так же как в данном клиническом случае (см. таблицу). Необходимо отметить, что на момент написания статьи кортикотропин короткого действия недоступен в России, поэтому СВЗК выполняется по протоколу без стимуляции.
Результаты СВЗК | ||||
Вена | Альдостерон (А), нг/дл | Кортизол (С), мкг/дл | Альдостерон/кортизол | ИЛ |
Правая НВ | 9000 | 742 | 12,1 | 11,5:1 |
Левая НВ | 480 | 457 | 1,05 | |
НПВ | 40 | 20 | 2,0 | |
Уровень кортизола в левой НВ всегда ниже, чем справа, вследствие впадения нижней диафрагмальной вены и разведения. Скорректировать последнее позволяет расчет соотношения альдостерона к кортизолу во всех трех точках (правая, левая НВ). Затем для получения индекса латерализации (ИЛ) необходимо разделить соотношение альдостерон/кортизол доминирующей стороны (в данном случае справа) на это же соотношение слева. Таким образом, правый надпочечник вырабатывает в 11,5 раза больше альдостерона, чем левый. ИЛ≥4 доказывает одностороннюю гиперпродукцию альдостерона.
На представленном графике отражены результаты анализа протоколов СВЗК 194 пациентов, проведенные в клинике Мэйо (рис. 3).
Рис. 3. Распределение пациентов с ПГА на группы в зависимости от ИЛ и причины развития заболевания [7].
Примечание. ИГА – идиопатическая двусторонняя гиперплазия надпочечников, ОНГ – односторонняя надпочечниковая гиперплазия.
Пунктирная линия на графике соответствует значению ИЛ≥4. Группа пациентов с АПА отображена слева (n=102), закрашенные круги обозначают прооперированных пациентов. Как видно из графика, были пациенты с альдостеромой, у кого ИЛ равнялся менее 4:1, однако они излечились в ходе оперативного вмешательства. Центральная группа – пациенты с идиопатической гиперпродукцией альдостерона, с индексом менее 4:1 (n=84). Закрашенные круги обозначают 2 пациентов, чей индекс близок к 4:1, они прооперированы, однако добиться выздоровления не удалось. Двум другим пациентам проведено оперативное лечение по особым обстоятельствам. Справа редкая группа пациентов с односторонней надпочечниковой гиперплазией (n=8), у которых достигнут диагностический порог латерализации, они прооперированы, однако имела место гиперплазия надпочечника, и эти пациенты выздоровели в ходе длительного наблюдения. Селективный забор крови, конечно, не совершенен, как и любой другой тест, но остается «золотым стандартом» диагностики.
Возвратимся к клиническому случаю. На 3-й день пациенту проведена лапароскопическая правосторонняя адреналэктомия. По результатам морфологического исследования в правом надпочечнике подтверждено наличие 6 мм аденомы. На следующий день после операции уровень альдостерона – ниже границы определения, что говорит об излечении пациента от ПГА.
В послеоперационном периоде рекомендовано:
- отменить АМКР, а также ингибиторы ангиотензинпревращающего фермента (ИАПФ) и БРА, которые могут вызвать гиперкалиемию;
- дозу антигипертензивных препаратов уменьшить на 50% под контролем АД;
- контроль уровня калия 1 раз в неделю на протяжении 4 нед. Если калий более 5,2 ммоль/л временно назначается флудрокортизон 0,1 мг/сут, дозу флудрокортизона можно уменьшить в 2 раза, как только уровень калия снизится менее 4,5 ммоль/л. Спустя 2–4 нед флудрокортизон отменяется [8];
- эффект от операции можно оценить окончательно через 2–3 мес.
Через 3 года после операции уровень систолического давления у пациента находился в целевом диапазоне 120– 140 мм рт. ст. на фоне приема 5 мг амлодипина, 12,5 мг гипотиазида, сниженной по сравнению с предоперационным периодом в 2 раза дозы β-адреноблокаторов, отмены БРА и препаратов хлорида калия. Также отсутствовала необходимость пожизненного приема АМКР. Таким образом, можно смело говорить об улучшении качества жизни и снижении сердечно-сосудистых рисков.
Дополнительные аспекты диагностики и лечения ПГА
Еще раз важно подчеркнуть, что проведение первичного тестирования ПГА не требует специальной подготовки и отмены антигипертензивных препаратов. Однако врач может столкнуться с определенными клиническими ситуациями, которые требуют разъяснения.
Некоторые лекарственные препараты так же, как и наличие некомпенсированной гипокалиемии, могут вызывать ложноотрицательный результат при проведении первичной диагностики. Например, при приеме петлевых диуретиков или больших доз ИАПФ возможно повышение активности ренина. Поэтому в описанных ситуациях либо на фоне приема β-адреноблокаторов, дигидропиридиновых БКК, АМКР, при получении уровня ренина в пределах референса показано проведение повторной диагностики. Перед этим необходимо компенсировать гипокалиемию, отменить ИАПФ, БРА, петлевые диуретики, дигидропиридиновые БКК на 2 нед, АМКР на 4 нед. Возможно назначение препаратов с минимальным влиянием на альдостерон-рениновую систему (верапамил, доксазозин).
У пациентов, получающих глюкокортикоиды в относительно небольших дозах, несмотря на некоторое снижение АКТГ и кортизола за счет минералокортикоидного действия препарата, также возможна диагностика ПГА. Если у пациента на фоне приема глюкокортикоидов уровень ренина низкий, а альдостерон выше 10 нг/дл – это интерпретируется как положительный результат теста.
Проведение подтверждающего теста и СВЗК также не требует отмены антигипертензивных препаратов, если уровень ренина подавлен. При наличии хронической болезни почек со снижением скорости клубочковой фильтрации менее 60 мл/мин/1,73 м2 при проведении СВЗК должна проводиться профилактика контраст-индуцированной нефропатии согласно существующим протоколам и минимизацией количества вводимого контраста.
В связи с отсутствием на территории Российской Федерации синактена короткого действия важно отметить, что без стимуляции оптимально провести забор крови из обеих НВ во время СВЗК одновременно. В этом случае уровень эндогенного АКТГ не будет значимо влиять на результаты забора, а диагностическим градиент по кортизолу между НВ и НПВ будет считаться при значении ≥1:3.
Переходя к вопросу консервативной терапии ПГА, отметим, что правильная доза АМКР спиронолактона (назначается однократно в сутки) или эплеренона (назначается 2 раза в день) – это та доза, которая позволяет добиться высоконормального уровня калия, – выше 4,5 ммоль/л.
На протяжении последних полутора лет опубликованы результаты исследований, сравнивающих эффективность оперативного и консервативного методов лечения ПГА. В одном из них проводилось сравнение качества жизни [9], в другом – оценивались сердечно-сосудистые исходы и динамика функции почек у пациентов с ПГА [10]. В обоих исследованиях достоверно подтверждены преимущества хирургического лечения. Частично это может быть обусловлено назначением недостаточной дозы АМКР и как следствие – отсутствием должной блокады минералокортикоидных рецепторов.
Заключение
Представленный клинический случай и обзор состояния проблемы ПГА, как наиболее частой причины вторичной АГ, демонстрируют отсутствие обоснованных препятствий для внедрения в клиническую практику врачей разных специальностей диагностики данного состояния.
About the authors
W. Young
Mayo Clinic
Email: ladygina.do@gmail.com
ORCID iD: 0000-0001-5481-4884
д.м.н., магистр наук, проф., врач-эндокринолог отд-ния эндокринологии, диабетологии, метаболизма и питания клиники Мэйо
United States, RochesterD. O. Ladygina
Department of Presidential Affairs Clinic
Author for correspondence.
Email: ladygina.do@gmail.com
ORCID iD: 0000-0001-6418-7060
к.м.н., зав. отд-нием эндокринологии ФГБУ «ЦКБ с поликлиникой», гл. внештатный эндокринолог Главного медицинского управления Управления делами Президента РФ
Russian Federation, MoscowO. V. Balutina
Mukhin Clinical Hospital
Email: ladygina.do@gmail.com
ORCID iD: 0000-0003-4938-1871
врач-эндокринолог ГБУЗ «ГКБ им. Е.О. Мухина»
Russian Federation, MoscowD. G. Beltsevich
Endocrinology Research Centre
Email: ladygina.do@gmail.com
ORCID iD: 0000-0001-7098-4584
проф. РАН, д.м.н., гл. науч. сотр. отд-ния хирургии ФГБУ «НМИЦ эндокринологии»
Russian Federation, MoscowReferences
- The Management of Primary Aldosteronism: Case Detection, Diagnosis, and Treatment: An Endocrine Society Clinical Practice Guideline, 2016, W.Young. doi: 10.1210/jc.2015-4061
- Мельниченко Г.А., Платонова Н.М., Бельцевич Д.Г. и др. Первичный гиперальдостеронизм: диагностика и лечение. Новый взгляд на проблему. По материалам Проекта клинических рекомендаций Российской ассоциации эндокринологов по диагностике и лечению первичного гиперальдостеронизма. Consilium Medicum. 2017;19 (4):75-85 [Melnichenko GA, Platonova NM, Beltsevich DG, et al. Primary hyperaldosteronism: diagnosis and treatment. A new look at the problem. According to the materials of the Russian Association of Endocrinologists clinical guidelines for primary hyperaldosteronism diagnosis and treatment. Consilium Medicum. 2017;19(4):75-85 (In Russ.)].
- Young WF Jr. Diagnosis and treatment of primary aldosteronism: practical clinical perspectives. J Intern Med. 2019;285(2):126-48. doi: 10.1111/joim.12831
- Ситкин И.И., Фадеев В.В., Бельцевич Д.Г. и др. Дифференциальная диагностика первичного гиперальдостеронизма: роль и место сравнительного селективного забора крови из надпочечниковых вен. Проблемы эндокринологии. 2011;57(2):52-6 [Sitkin II, Fadeev VV, Bel’tsevich DG, et al. Differential Diagnostics of Primary Hyperaldosteronism: The Role and Significance of Comparative Selective Blood Sampling from Adrenal Veins. Problemy Endokrinologii = Problems of Endocrinology. 2011;57(2):52-6 (In Russ.)]. doi: 10.14341/probl201157252-56
- Williams TA, et al. Outcomes after adrenalectomy for unilateral primary aldosteronism: an international consensus on outcome measures and analysis of remission rates in an international cohort. Lancet Diabetes Endocrinol. 2017;5:689-99. doi: 10.1016/S2213-8587(17)30135-3
- Lim V, et al. Accuracy of adrenal imaging and adrenal venous sampling in predicting surgical cure of primary aldosteronism. J Clin Endocrinol Metab. 2014;99:2712-9. doi: 10.1210/jc.2013-4146
- Young WF, Stanson AW, Thompson GB, et al. Role for adrenal venous sampling in primary aldosteronism. Surgery. 2004;136:1227-35. doi: 10.1016/j.surg.2004.06.051
- Shariq OA, et al. Contralateral suppression of aldosterone at adrenal venous sampling predicts hyperkalemia following adrenalectomy for primary aldosteronism. Surgery. 2018;163(1):183-90. doi: 10.1016/j.surg.2017.07.034
- Velema M, Dekkers T, Hermus A, et al. Quality of life in primary aldosteronism: a comparative effectiveness study of adrenalectomy and medical treatment. J Clin Endocrinol Metab. 2018;103:16-24. doi: 10.1210/jc.2017-01442
- Hundemer GL, Curhan GC, Yozamp N, et al. Cardiometabolic outcomes and mortality in medically treated primary aldosteronism: a retrospective cohort study. Lancet Diabetes Endocrinol. 2018;6:51-9. doi: 10.1016/S2213-8587(17)30367-4
Supplementary files








