Adenoma of the parathyroid gland in a young woman with chronic kidney disease: primary or tertiary hyperparathyroidism?
- Authors: Vetchinnikova O.N.1, Prokopenko E.I.1, Voronkova I.A.1,2
-
Affiliations:
- Vladimirsky Moscow Regional Research Clinical Institute
- Endocrinology Research Centre
- Issue: Vol 92, No 10 (2020)
- Pages: 78-82
- Section: Case reports
- Submitted: 23.11.2020
- Accepted: 23.11.2020
- Published: 15.10.2020
- URL: https://ter-arkhiv.ru/0040-3660/article/view/50985
- DOI: https://doi.org/10.26442/00403660.2020.10.000557
- ID: 50985
Cite item
Full Text
Abstract
Clinical observation of a young woman with chronic kidney disease IV stage and hyperparathyroidism is presented. Ultrasound and 99mTc-sestamibi scintigraphy of the anterior surface of the neck visualized a tumor of the left upper parathyroid gland. In a histological examination of distant education was diagnosed a solid parathyroid adenoma. The difficulty of differential diagnosis between primary and secondary/tertiary hyperparathyroidism in chronic kidney disease is discussed.
Full Text
АД – артериальное давление
ГПТ – гиперпаратиреоз
ОФЭКТ – однофотонная эмиссионная компьютерная томография
ОЩЖ – околощитовидная железа
ПТГ – паратиреоидный гормон
ПТЭ – паратиреоидэктомия
СКФ – скорость клубочковой фильтрации
УЗИ – ультразвуковое исследование
ХБП – хроническая болезнь почек
Первичный гиперпаратиреоз (ГПТ) относится к распространенным эндокринопатиям. В большинстве случаев он является спорадическим заболеванием, вызываемым доброкачественной моноклональной опухолью – аденомой околощитовидных желез (ОЩЖ), в 5–10% – наследственным заболеванием, обусловленным генетическими аномалиями, очень редко – карциномой ОЩЖ. Заболеваемость первичным ГПТ стабильно нарастает после 25 лет, достигает своего максимума в 50–55 лет и двукратно преобладает у женщин [1]. Накопленный опыт показывает, что первичный ГПТ в молодом возрасте встречается редко, носит спорадический характер, чаще обусловлен солитарной аденомой ОЩЖ и имеет клиническое течение в виде манифестных форм [2].
Определенный интерес представляет развитие первичного ГПТ у пациентов, страдающих хронической болезнью почек (ХБП). Описаны отдельные случаи, в том числе и собственное наблюдение, аденомы ОЩЖ у пациентки с ХБП [3]. У некоторых больных прослеживается четкая связь между первичным ГПТ и вызванной им почечной патологией (мочекаменная болезнь, хронический интерстициальный нефрит, нефрокальциноз); у других не исключается конкурентное сосуществование двух заболеваний – первичного ГПТ и не связанной с ним ХБП. Возможно также сочетание первичного ГПТ и вторичного на фоне почечной патологии [4–6].
Вторичный ГПТ – характерное и распространенное осложнение при ХБП. Его появление обусловлено комплексом гормонально-метаболических нарушений, наблюдаемых при снижении почечной функции, таких как нарушение соотношения сывороточного уровня морфогенетических белков – фактора роста фибробластов 23 (FGF23) и Klotho, положительный баланс в обмене фосфора с последующей гиперфосфатемией, гипокальциемия, дефицит активной формы витамина D, а также аномальный кальциемический ответ кости на действие паратиреоидного гормона (ПТГ). Вторичный ГПТ развивается с ранних стадий ХБП: поначалу ответная реакция ОЩЖ, выражающаяся в повышении синтеза и секреции ПТГ, является адаптивной. Дальнейшая утрата почечной функции и непрерывная стимуляция ОЩЖ перечисленными факторами «выключает» механизмы отрицательной обратной связи, что приводит к необратимой клеточной пролиферации и диффузной/диффузно-узловой гиперплазии ОЩЖ. Следующим этапом может быть образование автономного узла ОЩЖ с автономной секрецией ПТГ, свидетельствующее о формировании третичного ГПТ [7, 8].
Дифференциальный диагноз первичного и вторичного/третичного ГПТ, особенно на этапе почечной недостаточности и при отсутствии динамического исследования параметров минерально-костного обмена, весьма затруднителен [3, 9]. Приводим собственное клиническое наблюдение: молодая женщина, страдающая врожденной аномалией развития мочевыводящих путей, у которой при прогрессировании почечной недостаточности и выявлении ГПТ визуализировано одиночное образование в проекции левой верхней ОЩЖ, позволившее предположить первичный ГПТ; гистологическое исследование данного образования в послеоперационном периоде подтвердило наличие спорадической аденомы ОЩЖ.
Клиническое наблюдение
Пациентка Г., 1984 г.р. Наблюдается в ГБУЗ МО «МОНИКИ им. М.Ф. Владимирского» с 2004 г. Семейный анамнез по заболеваниям почек, эндокринной патологии и гиперкальциемии отсутствует. В 3-летнем возрасте (1987 г.) перенесла антирефлюксную операцию справа по поводу пузырно-мочеточникового рефлюкса. В последующие годы наблюдалась урологом. Весной 2004 г. обследована в урологическом стационаре. Общий анализ крови и мочи, анализ мочи по Нечипоренко и Зимницкому нормальные. Мочевина крови 7,7 ммоль/л, креатинин – 93 мкмоль/л (расчетная скорость клубочковой фильтрации – СКФ по CKD-EPI 80 мл/мин). По результатам ультразвукового исследования (УЗИ) и обзорной рентгенографии почек: двусторонняя поясничная дистопия, чашечно-лоханочная система не изменена; динамической реносцинтиграфии: небольшое уменьшение размеров и нарушение выделительной и накопительной функций средней степени правой почки; микционной цистографии: данных об активном и пассивном пузырно-мочеточниковом рефлюксе не получено. Заключение. Поясничная дистопия почек. Гипоплазия правой почки. Хронический пиелонефрит. Состояние после антирефлюксной операции справа. ХБП II стадии. Рекомендованы: продолжение наблюдения у уролога, регулярный посев мочи и прием антиуросептических препаратов, консультация нефролога.
В последующие 10 лет пациентка нерегулярно наблюдалась у уролога по месту жительства, информация о функции почек отсутствует. Первое обращение к нефрологу летом 2015 г. во время беременности сроком 17 нед. Функция почек (СКФ) соответствовала ХБП IIIа стадии и оставалась стабильной до родов (табл. 1). Содержание в крови общего кальция, пересчитанного на альбумин, а также фосфора находилось в референсном диапазоне, от исследования сывороточных уровней витамина D и ПТГ пациентка отказалась. Первые оперативные роды при сроке беременности 35–36 нед в связи с наличием синдрома задержки роста и хронической внутриутробной гипоксии плода проведены 27 января 2016 г.
Таблица 1. Клинико-лабораторные показатели пациентки Г. в период беременности | |||
Параметр | 2015–2016 г./срок беременности | ||
август/17 нед | ноябрь/25–26 нед | январь/33–34 нед | |
АД, мм рт. ст. | 120/80 | 120/80 | 110/80 |
Общий анализ крови | |||
Гемоглобин, г/л | 94 | 98 | – |
СОЭ, мм | 28 | 58 | 119 |
Биохимический анализ крови | |||
Общий белок, г/л | 68 | 69 | 56 |
Глюкоза, ммоль/л | 4,3 | 4,4 | 4,3 |
Мочевина, ммоль/л | 6,3 | 6,5 | 7,6 |
Креатинин, мкмоль/л | 142 | 137 | 156 |
Кальций/сывороточный альбумин, ммоль/л | 2,4 | 2,3 | 2,3 |
Фосфор, ммоль/л | 1,07 | 1,22 | 1,17 |
Общий анализ мочи | |||
Белок, г/л | 0,7 | 0,5 | 0,3 |
Лейкоциты, п/зр. | 10–15 | 1–2 | 3–4 |
Эритроциты, п/зр. | 30 | 40–50 | 0 |
Посев мочи, КОЕ/мл | Энтерококк, протей, 103 | – | Роста нет |
СКФ, мл/мин (проба Реберга) | 58 | 57 | 52 |
После родов пациентка продолжила наблюдение у нефролога. Через 2 года отмечены нарастание артериального давления (АД), протеинурии и резкое снижение функции почек (табл. 2). Исследован сывороточный уровень ПТГ, который составил 742 пг/мл (целевое значение ПТГ при ХБП IV стадии 70–110 пг/мл [10]). Пациентка направлена на УЗИ, сцинтиграфию и однофотонную эмиссионную компьютерную томографию (ОФЭКТ) передней поверхности шеи. Заключение УЗИ передней поверхности шеи: щитовидная железа без особенностей; за верхним полюсом левой доли щитовидной железы определяется гипоэхогенное образование 16×14×9 мм с четкими контурами, неоднородной структуры, обильно васкуляризированное – образование левой верхней ОЩЖ. Заключение ОФЭКТ передней поверхности шеи: через 20–40 мин после введения индикатора определяется очаг патологической гиперфиксации радиофармпрепарата позади верхнего полюса левой доли щитовидной железы; признаки новообразования (аденомы) левой верхней ОЩЖ в ортотопическом положении (рис. 1). Заключение двухэнергетической рентгеновской абсорбциометрии: минеральная плотность костной ткани в шейке бедра и поясничном отделе позвоночника находится в пределах ожидаемых по возрасту значений.
Рис. 1. Результат радиоизотопной сцинтиграфии и ОФЭКТ шеи и средостения. Очаг патологической гиперфиксации радиофармпрепарата позади верхнего полюса левой доли щитовидной железы; признаки новообразования (аденомы) левой верхней ОЩЖ в ортотопическом положении.
Пациентка консультирована хирургом-эндокринологом. По результатам УЗИ и ОФЭКТ передней поверхности шеи и высокому сывороточному уровню ПТГ выставлен диагноз: первичный ГПТ; новообразование верхней левой ОЩЖ; рекомендовано плановое хирургическое лечение. 19 ноября 2018 г. выполнена операция «селективная паратиреоидэктомия» (ПТЭ). Интраоперационно визуализированы 3 ОЩЖ: увеличенная (опухоль) левой верхней ОЩЖ плотноватой консистенции, розово-коричневого цвета и размером 15¥10 мм; левая нижняя ОЩЖ и правая нижняя ОЩЖ нормальных размеров (соответственно 3¥4 и 5¥8 мм) и нормального (визуально) строения, желтого цвета, мягко-эластической консистенции. Удалены опухоль левой верхней ОЩЖ и правая нижняя ОЩЖ.
Течение раннего послеоперационного периода без осложнений, регистрировались снижение сывороточного содержания ПТГ до целевого уровня и гипокальциемия (табл. 3). Коррекция последней включала прием карбоната кальция (2,5 г/сут), нативного и синтетического аналога витамина D (колекальциферол 20 мкг/сут, альфакальцидол 0,5–1,0 мкг/сут), продолжена антианемическая терапия. Через 3 мес после операции отмечены нарастающее снижение функции почек, повышение сывороточных концентраций ПТГ, фосфора, сохраняющаяся анемия. Проведена коррекция медикаментозной терапии, сформирована артериовенозная фистула, начато лечение программным гемодиализом. Состояние пациентки улучшилось и стабилизировалось, она включена в «лист ожидания» трансплантации почки (см. табл. 3).
Результат морфологического исследования
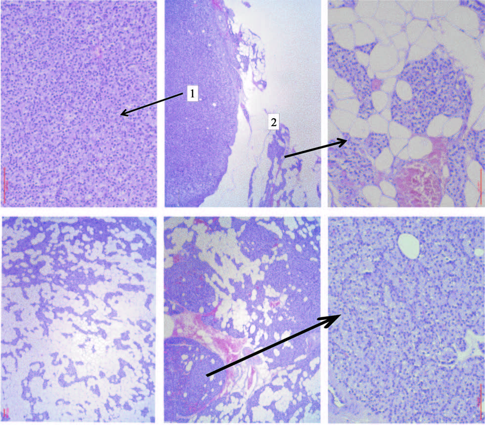
Макроскопическое описание: первое образование (левая верхняя ОЩЖ) имеет размеры 1,3¥0,7¥0,5 см и массу менее 2 г, второе (правая нижняя ОЩЖ) – размеры 0,8¥0,5¥0,4 см и массу менее 2 г. Микроскопическое исследование (рис. 2). Первое образование окружено тонкой фиброзной капсулой, имеет солидное строение из главных клеток в разных фазах секреторного цикла с преобладанием клеток с морфологическими признаками функциональной активности; к описанному узлу прилежит ободок остатка ткани ОЩЖ, состоящий преимущественно из главных клеток с морфологическими признаками отсутствия функциональной активности и стромы, содержащей адипоциты. Второе образование представлено тканью ОЩЖ, состоящей преимущественно из главных клеток с неравномерным распределением стромального жира по площади железы: один полюс – с долей адипоцитов в 40–50% от площади указанной области железы, второй – с меньшим их количеством и более выраженной паренхимой, где на небольшом участке главные клетки, группируясь, демонстрируют некоторую тенденцию к узлообразованию и около 1/2 из них имеют морфологические признаки отсутствия функциональной активности (окраска гематоксин-эозином, ¥200). Электронная микроскопия и гистохимическое исследование (судан III) на замороженных срезах, не прошедших обработку спиртами, не проводилось из-за малого объема образований. Заключение. Морфологическое строение первого образования и небольшой фокус функциональной активности во втором образовании более всего соответствуют солитарной аденоме ОЩЖ (левая верхняя), и ОЩЖ (правая нижняя) без патологических изменений.
Рис. 2. Аденома левой верхней ОЩЖ
Рис. 2. Аденома левой верхней ОЩЖ: а аденома левой верхней ОЩЖ из главных клеток в разных фазах секреторного цикла (Ґ200); б аденома левой верхней ОЩЖ (1), отделенная от ободка остатка ОЩЖ (2) тонкой фиброзной капсулой (Ґ40); в остаток левой верхней ОЩЖ: паренхиматозный компонент представлен в основном главными клеткам с морфологическими признаками отсутствия функциональной активности, строма богата адипоцитами (Ґ200); г, д, е правая нижняя ОЩЖ (окраска гематоксилин-эозином): г один из полюсов правой нижней ОЩЖ с долей стромального жира 40 50% от площади указанной области железы (Ґ40); д противоположный полюс правой нижней ОЩЖ содержит меньшее количество жировых клеток, а паренхиматозные элементы демонстрируют тенденцию к формированию узлов (Ґ40); е полюс правой нижней ОЩЖ с тенденцией к формированию узлов, в которых около 50% главных клеток имеет морфологические признаки отсутствия функциональной активности (Ґ200).
Обсуждение
Впервые ГПТ тяжелого течения у пациентки, с детства страдающей почечной патологией, диагностирован при ХБП IV стадии, его длительность неизвестна, поскольку не проводился динамический мониторинг состояния минерального и костного обмена. Косвенным свидетельством небольшой продолжительности ГПТ может служить результат двухэнергетической рентгеновской абсорбциометрии скелета, не выявившей потерю минеральной костной массы. Визуализация одиночного образования в проекции левой верхней ОЩЖ при УЗИ и ОФЭКТ передней поверхности шеи явилась основанием для дифференциальной диагностики между третичным и первичным ГПТ. Вторичный ГПТ представляется менее вероятным: в этом случае, как правило, визуализируется несколько увеличенных ОЩЖ вследствие неравномерно развивающейся гиперплазии, причем наиболее активно данный процесс происходит в нижних железах [11, 12]. Однако объективно судить о функции ОЩЖ на ранних стадиях ХБП невозможно из-за отсутствия данных о сывороточном уровне ПТГ и визуализации желез.
В качестве диагностических критериев третичного ГПТ предлагаются длительно существующая хроническая почечная недостаточность, протекающая с вторичным субкомпенсированным/некомпенсированным ГПТ, и появление гиперкальциемии, свидетельствующей о формировании автономного узла ОЩЖ [7, 8]. Наша пациентка имела многолетнюю историю почечного заболевания, но продолжительность тяжелой почечной недостаточности (ХБП IV стадии) невелика, содержание общего кальция в крови стабильно находилось в референсном интервале, что позволило исключить третичный ГПТ.
Дифференциально-диагностическими критериями первичного ГПТ при ХБП рассматриваются гиперкальциемия и высокий уровень ПТГ в крови при небольшой длительности почечного заболевания. Нормальный и даже сниженный уровень кальция в крови не исключает первичного ГПТ у пациентов с ХБП [13, 14]. Такие случаи описаны и объясняются тем фактом, что при сниженной функции почек повышение в крови ПТГ не вызывает увеличения реабсорбции кальция [15]. Кроме того, существует нормокальциемическая форма первичного ГПТ. Верификация диагноза первичного ГПТ проводится после гистологического исследования удаленной ОЩЖ, в которой наличие капсулы и ободка неизменной ткани служит основным дифференциально-диагностическим критерием аденомы железы [16, 17]. Именно это имело место у нашей пациентки: сывороточное содержание кальция при длительном наблюдении в пределах физиологической нормы, а ионизированный кальций, определенный накануне оперативного вмешательства (1,33 ммоль/л), оказался всего лишь чуть выше верхней границы референсного диапазона (1,15–1,29 ммоль/л); пациентка имела высокий уровень ПТГ при недлительном течении ХБП IV стадии. В целом диагностическими критериями первичного ГПТ явились:
а) результаты инструментального обследования (УЗИ и ОФЭКТ) в предоперационном периоде – одиночное опухолевидное образование в проекции левой верхней ОЩЖ;
б) интраоперационные «находки» – опухоль левой верхней ОЩЖ и практически не измененные левая и правая нижние ОЩЖ;
в) данные гистологического исследования удаленного опухолевидного образования левой верхней ОЩЖ, характерные для солитарной аденомы: наличие тонкой фиброзной капсулы и прилежащего к узлу ободка остатка ткани ОЩЖ, состоящего преимущественно из главных клеток с морфологическими признаками отсутствия функциональной активности и стромы, содержащей адипоциты;
г) данные гистологического исследования удаленной второй (правой нижней) ОЩЖ: фокус клеток очень маленьких размеров с морфологическими признаками гормональной продукции, несопоставимый с большой площадью паренхимы, имеющей морфологические признаки «подавленной» функции.
Наследственные формы первичного ГПТ – синдромные формы (множественная эндокринная неоплазия, гиперпаратиреоидный челюстно-опухолевый синдром), неонатальный первичный ГПТ, семейный изолированный ГПТ, аутосомный доминантный мягкий ГПТ – менее вероятны, поскольку информация о других эндокринных опухолях у пациентки и членов ее семьи отсутствует, вопрос же о необходимости молекулярно-генетического скрининга до сих пор остается открытым [18, 19].
С некоторой долей вероятности можно предположить, что аденома ОЩЖ развилась на фоне ранее имеющейся гиперфункции желез, хотя лабораторного подтверждения этому нет. Главные клетки с оптически светлой цитоплазмой, которые обнаружены в остатке ободка ткани ОЩЖ, прилежащей к узлу, могут быть двоякого происхождения: с одной стороны, они характерны для светлоклеточной аденомы, с другой – очень похожи на главные клетки с вакуолизированной цитоплазмой, которые являются морфологической особенностью, свойственной вторичному ГПТ [20, 21]. Думается, что определенным стимулом в развитии аденомы ОЩЖ у нашей пациентки могли послужить беременность и роды, описано небольшое число подобных наблюдений [22]. Но в нашем случае информация о динамике содержания в крови ПТГ и витамина D на тот момент отсутствует, а сывороточное содержание кальция находилось в пределах референсного диапазона.
Еще один интересный аспект нашего наблюдения за пациенткой – быстрая утрата почечной функции (снижение СКФ вдвое менее чем за год), по времени совпавшая с определением высокого уровня ПТГ. Причинно-следственная связь этого совпадения остается неясной. С одной стороны, снижение почечной функции могло быть причиной усиления тяжести ГПТ, с другой – прогрессирование ГПТ со свойственным ему дефицитом витамина D, напрямую и опосредованно связанного с почечным воспалением и развитием гломерулосклероза и, возможно, развитием острого почечного повреждения при нарастающей сывороточной концентрации кальция (ионизированный кальций перед операцией 1,33 ммоль/л) привели к нарастающему ухудшению функции почек [16, 23–25].
Заключение
Представленное клиническое наблюдение демонстрирует возможность развития спорадического первичного ГПТ при ХБП, имеющей «самостоятельное» происхождение, не связанное с характерным для аденомы ОЩЖ нарушением кальций-фосфорного гомеостаза. Первичный ГПТ у пациентов с ХБП может протекать без гиперкальциемии, существенно затрудняя его диагностику. Залогом успешного наблюдения за такими пациентами является активное динамическое наблюдение с комплексным обследованием и определением биохимических маркеров минерального и костного обмена, своевременным принятием решения о хирургическом лечении.
About the authors
O. N. Vetchinnikova
Vladimirsky Moscow Regional Research Clinical Institute
Author for correspondence.
Email: olg-vetchinnikova@yandex.ru
ORCID iD: 0000-0002-1888-8090
д.м.н., проф. каф. трансплантологии, нефрологии и искусственных органов, ст. науч. сотр. хирургического отд-ния трансплантации почки, фак-т усовершенствования врачей ГБУЗ МО «МОНИКИ им. М.Ф. Владимирского»
Russian Federation, MoscowE. I. Prokopenko
Vladimirsky Moscow Regional Research Clinical Institute
Email: olg-vetchinnikova@yandex.ru
ORCID iD: 0000-0002-7686-9816
д.м.н., проф. каф. трансплантологии, нефрологии и искусственных органов, ст. науч. сотр. хирургического отд-ния трансплантации почки, фак-т усовершенствования врачей ГБУЗ МО «МОНИКИ им. М.Ф. Владимирского»
Russian Federation, MoscowI. A. Voronkova
Vladimirsky Moscow Regional Research Clinical Institute; Endocrinology Research Centre
Email: olg-vetchinnikova@yandex.ru
ORCID iD: 0000-0001-6687-3240
врач патологоанатомического отд-ния ГБУЗ МО «МОНИКИ им. М.Ф. Владимирского», врач отд-ния патологии околощитовидных желез ФГБУ «НМИЦ эндокринологии»
Russian Federation, MoscowReferences
- Iacobone M, Carnaille B, Palazzo FF, Vriens M. Hereditary hyperparathyroidism - a consensus report of the European Society of Endocrine Surgeons (ESES). Langenbeck Arch Surg. 2015;400:867-86. doi: 10.1007/s00423-015-1342-7
- Мамедова Е.О., Мокрышева Н.Г., Рожинская Л.Я. Особенности первичного гиперпаратиреоза у пациентов молодого возраста. Проблемы эндокринологии. 2018;64(3):163-9 [Mamedova EO, Mokrysheva NG, Rozhinskaya LYa. Characteristics of primary hyperparathyroidism in young patients. Problemi endokrinolgii. 2018;64(3):163-9 (In Russ.)]. doi: 10.14341/probl9399
- Ветчинникова О.Н., Денисова Л.Б., Гаганов Л.Е. Трудности дифференциальной диагностики тяжелого гиперпаратиреоза, выявленного на стадии терминальной почечной недостаточности (Клиническое наблюдение). Нефрология и диализ. 2015;17(1):78-88 [Vetchinnnkova ON, Denisova LB, Gaganov LE. Difficulties in differentiation for the diagnosis of severe hyperparathyroidism at the stage end-stage renal failure (Clinical observation). -Nefrologiya i dializ. 2015;17(1):78-88 (In Russ.)].
- Grube M, Bech JN, Pedersen EB. Primary hyperparathyroidism as a cause of chronic renal failure. Ugeskr Laeger. 2012;174(8):502-3.
- Jimbo-Saito R, Ubara Y, Kadoguchi H, et al. A case of primary hyperparathyroidism with severe bone and renal changes. J Bone Miner Metab. 2009;27(6):727-32. doi: 10.1007/s00774-009-0053-y
- Ruggeri RM, Calamoneri E, Russo A, et al. Supra-acetabular brown tumor due to primary hyperparathyroidism associated with chronic renal failure. Sci World J. 2010;4(10):799-805. doi: 10.1100/tsw.2010.86
- Cunningham J, Locatelli F, Rodriguez M. Secondary hyperparathyroidism: pathogenesis, disease progression and therapeutic options. Clin J Am Soc Nephrol. 2011;6:913-21. doi: 10.2215/CJN.06040710
- Jamal SA, Miller PD. Secondary and Tertiary Hyperparathyroidism. J Clin Densitometry. 2013;16(1):64-8. doi: 10.1016/j.jocd.2012.11.012
- Błazejewska A, Flisiński M, Pypkowski J, Manitius J. Patient with chronic kidney disease and primary or tertiary hyperparathyroidism – case report. Pol Merkur Lekarski. 2009;27(162):484-7.
- Нефрология. Клинические рекомендации. Под ред. Е.М. Шилова, А.В. Смирнова, Н.Л. Козловской. М.: ГЭОТАР-Медиа, 2016; с. 687-709 [Nephrology. Clinical guidelines. Ed. EM Shilova, AV Smirnova, NL Kozlovskaya. Moscow: GEOTAR-Media; 2016; p. 687-709 (In Russ.)].
- Tanaka R, Kakuta T, Koiwa F, et al. Long-term prognosis of parathyroid function in chronic dialysis patients after PEIT – a single-centre trial. Nephrol Dial Transplant Plus. 2008;1(Suppl. 3):iii29-iii34. doi: 10.1093/ndtplus/sfn084
- Matsushita H. Different responses between the upper and the lower parathyroid gland in a state of secondary hyperfunction. A study on chronic renal failure by morphometry and nuclear DNA analysis. Virchows Arch A Pathol Anat Histopathol. 1989;414(4):331-7. doi: 0.1007/BF00734088
- Dusilova Sulkova S, Horacek J, Zivny P, et al. Primary hyperparathyroidism associated with hypocalcemia in a patient presenting with kidney disease. Int Urol Nephrol. 2010;42(3):835-9. doi: 10.1007/s11255-010-9743-6
- Silverberg SJ, Lewiecki EM, Mosekilde L, et al. Presentation of asymptomatic primary hyperparathyroidism: proceedings of the third international workshop. J Clin Endocrinol Metab. 2009;94:351-65. doi: 10.1210/jc.2008-1760
- Phelps KR, Stote KS, Mason D. Tubular calcium reabsorption and other aspects of calcium homeostasis in primary and secondary hyperparathyroidism. Clin Nephrol. 2014;82(2):83-91. doi: 10.5414/CN108223
- Ruda JM, Hollenbeak CS, Stack BC Jr. A systematic review of the diagnosis and treatment of primary hyperparathyroidism from 1995 to 2003. Otolaryngol Head Neck Surg. 2005;132:359-72.
- Lunn MR, Mendoza JM, Pasche LJ, et al. Hyperparathyroidism with hypercalcaemia in chronic kidney disease: primary or tertiary? Nephrol Dial Transplant Plus. 2010;3:366-71. doi: 10.1093/ndtplus/sfq077
- Skandarajah A, Barlier A, Morlet-Barlat N, et al. Should routine analysis of the MEN1 gene be performed in all patients with primary hyperparathyroidism under 40 years of age? World J Surg. 2010;34(6):1294-8. doi: 10.1007/s00268-009-0388-5
- Giusti F, Cavalli L, Cavalli T, Brandi ML. Hereditary hyperparathyroidism syndromes. J Clin Densitom. 2013;16(1):69-74. doi: 10.1016/j.jocd. 2012.11.003
- DeLellis RA. Parathyroid tumors and related disorders. Modern Pathology. 2011;24(2):78-93. doi: 10.1038/modpathol.2010.132
- Rosai J, DeLellis RA, Carcangiu MA, et al. Tumours of the thyroid and parathyroid glands. AFIP Atlas of tumor pathology. Series 4. Maryland. Silver Spring. 2014;579-80.
- Dochez V, Ducarme G. Primary hyperparathyroidism during pregnancy. Arch Gynecol Obstet. 2015;291:259-63. doi: 10.1007/s00404-014-3526-8
- Kim SM, Choi HJ, Lee JP, et al. Prevalence of vitamin D deficiency and effects of supplementation with cholecalciferol in patients with chronic kidney disease. J Renal Nutr. 2014;24(10):20-5. doi: 10.1053/j.jrn.2013.07.003
- Scillitani A, Guarnieri V, De Geronimo S, et al. Blood ionized calcium is associated with clustered polymorphisms in the carboxyl-terminal tail of the calcium-sensing receptor. J Clin Endoctinol Metab. 2004;89:5634-8. doi: 10.1210/jc.2004-0129
- Wang W, Li C, Kwon T-H. Reduce expression of renal Na+ transporterin rats with PTH-induced hypercalcemia. Am J Physiol Renal Physiol. 2004;286:534-45. doi: 10.1152/ajprenal.00044.2003
Supplementary files







