Heart arrhythmias and conduction disorders in patients with acromegaly: the role of cardiac magnetic resonance imaging
- Authors: Melkozerov K.V.1, Przhiyalkovskaya E.G.1, Tarbaeva N.V.1, Almaskhanova A.A.1, Kuklina M.D.1, Alferova P.A.1, Gomova I.S.1, Belousov L.A.1, Belaya Z.E.1, Vorontsov A.V.1, Kalashnikov V.Y.1
-
Affiliations:
- Endocrinology Research Centre
- Issue: Vol 92, No 10 (2020)
- Pages: 70-77
- Section: Original articles
- Submitted: 23.11.2020
- Accepted: 23.11.2020
- Published: 15.10.2020
- URL: https://ter-arkhiv.ru/0040-3660/article/view/50984
- DOI: https://doi.org/10.26442/00403660.2020.10.000787
- ID: 50984
Cite item
Full Text
Abstract
Cardiovascular complications including arrhythmias and cardiac conduction disorders are one of the main reasons of high mortality rate in acromegaly, while they have not been well explored.
Aim. To estimate arrhythmias frequency in acromegaly, identify risk factors leading to the development of arrhythmia and cardiac conduction disorder, to determine the role of cardiac MRI in detecting structural and functional changes.
Materials and methods. A single-center prospective cohort study, which included 461 patients (151 men and 310 women) with acromegaly, was conducted. All the patients underwent a standard medical examination, including hormonal blood test, electrocardiogram, echocardiography, electrocardiogram daily monitoring. 18 patients with arrhythmias (11 men and 7 women) had cardiac MRI with gadolinium-based contrast.
Results. The results of our research show high frequency of arrhythmias and cardiac conduction disorders in patients with acromegaly – 42%. Most frequent kinds of arrhythmias and cardiac conduction disorders were sinus bradycardia – 19.1% of the cases and conduction disorders of bundle branch blocks – 14.5%. Men were more likely to suffer from arrhythmias and cardiac conduction disorders than women (54.2% and 37.4%, respectively, p=0.0005). Not acromegaly activity but duration of the disease was a main risk factor of arrhythmias and cardiac conduction disorders. Patients with arrhythmias had a long anamnesis of acromegaly (10 and 7 years, respectively, p=0.04). Meanwhile, cardiac conduction disorders were commonly observed in the patients who were treated with somatostatin analogs comparing to the patients who didn’t undergo this therapy (50% and 38.6% respectively, p=0.004). We showed that 61% of patients with acromegaly and cardiac conduction disorders who underwent magnetic resonance imaging (MRI) had the signs of myocardial fibrosis. The value of the ejection fraction of the left ventricle according to MRI was higher than with echocardiography (p=0.04).
Conclusion. Arrhythmias and cardiac conduction disorders are often observed in patients with acromegaly even with remission of the disease. High risk group need careful diagnostic and monitoring approaches. Cardiac MRI is the «gold» standard for visualization of structural and morphological changes in the heart. Use of cardiac MRI in acromegalic patients expands our understanding of arrhythmias and cardiac conduction disorders in this disease. There are no specific laboratory markers of diffuse myocardial fibrosis, and the role of myocardial fibrosis in the occurrence of cardiac arrhythmias and conduction disorders needs further studying.
Full Text
АВ – атриовентрикулярный
АГ – артериальная гипертензия
ЖТ – желудочковая тахикардия
ЖЭ – желудочковая экстрасистолия
ИЛ – интерлейкин
ИМТ – индекс массы тела
ИФР-1 – инсулиноподобный фактор роста-1
КДО – конечно-диастолический объем
КСО – конечно-систолический объем
ЛЖ – левый желудочек
ЛПНП – липопротеиды низкой плотности
МЖП – межжелудочковая перегородка
ММЛЖ – масса миокарда левого желудочка
МРТ – магнитно-резонансная томография
НЖТ – наджелудочковая тахикардия
НРПС – нарушение ритма и проводимости сердца
СРБ – C-реактивный белок
СССУ – синдром слабости синусового узла
СТГ – соматотропный гормон
Т4св. – свободный тироксин
ТТГ – тиреотропный гормон
УО – ударный объем
ФВ – фракция выброса
ЭКГ – электрокардиограмма
ЭхоКГ – эхокардиография
NTproBNP – N-концевой мозговой натрийуретический пептид
TI – время инверсии
Введение
Акромегалия – это тяжелое нейроэндокринное заболевание, обусловленное хронической гиперпродукцией гормона роста (соматотропного гормона – СТГ) у лиц с закончившимся физиологическим ростом. Повышенный уровень СТГ и, как следствие, увеличение выработки в печени инсулиноподобного фактора роста-1 (ИФР-1) приводят к характерным изменениям внешности пациентов с акромегалией, диспропорциональному периостальному росту костей, увеличению внутренних органов, а также системным и обменным нарушениям. Смертность больных акромегалией превышает общепопуляционные значения более чем в 2 раза. Около 50% пациентов, не достигших ремиссии заболевания, умирают в возрасте до 50 лет. Низкая продолжительность жизни пациентов с акромегалией обусловлена осложнениями со стороны сердечно-сосудистой и дыхательной системы, повышением частоты онкологических заболеваний [1].
Сердечно-сосудистые осложнения – ведущий фактор, определяющий прогноз при акромегалии, они являются основной причиной смерти и составляют более 60% от всех летальных исходов [2–5]. Акромегалическая кардиомиопатия – специфическое поражение сердца, обусловленное длительной гиперпродукцией СТГ и ИФР-1. Данное состояние характеризуется кардиомегалией, бивентрикулярной гипертрофией миокарда, фиброзом и дегенерацией кардиомиоцитов [6–9]. Клинические проявления акромегалической кардиомиопатии присутствуют у большинства пациентов, а на аутопсии гипертрофия миокарда выявляется более чем в 90% случаев. Характерная особенность данного поражения – развитие гипертрофии миокарда даже у молодых лиц с нормальными показателями артериального давления [10]. Помимо акромегалической кардиомиопатии приблизительно у 50% пациентов с активной стадией акромегалии встречается артериальная гипертензия (АГ). Атеросклероз, ишемическая болезнь сердца, гипертрофия межжелудочковой перегородки (МЖП) и сердечная недостаточность также распространены при акромегалии и, по разным данным, могут быть выявлены более чем у 20% пациентов [11].
Нарушения ритма и проводимости сердца (НРПС) встречаются при акромегалии чаще, чем в общей популяции (приблизительно у 7–40% пациентов), и являются основной причиной внезапной смерти пациентов с акромегалией. Среди нарушений ритма при акромегалии описаны фибрилляция (ФП) и трепетание предсердий, синдром слабости синусового узла (СССУ), атриовентрикулярные (АВ) блокады, желудочковая экстрасистолия (ЖЭ) и тахикардия (ЖТ) [12, 13]. Развитие аритмий связано с прогрессированием фиброза миокарда, что обусловливает его электрическую неоднородность и нестабильность [2]. Сопутствующий синдром ночного апноэ – дополнительный фактор риска возникновения жизнеугрожающих нарушений ритма сердца [14]. Следует отметить, что осложнения акромегалии часто необратимы и некоторые виды сердечно-сосудистой патологии сохраняются, несмотря на достижение целевых показателей СТГ и ИФР-1 при успешном лечении [11]. Таким образом, очевидна необходимость выявить группу пациентов с акромегалией, имеющих высокий риск развития жизнеугрожающих НРПС, с целью своевременного назначения лечения и длительного мониторинга.
Наиболее часто используемым методом оценки изменений структуры и функции сердца, в том числе у больных акромегалией, является эхокардиография (ЭхоКГ). ЭхоКГ представляет собой доступный, безопасный и недорогой способ диагностики, позволяющий выявить значимые структурные изменения сердца, нарушения локальной сократимости миокарда, однако он имеет ряд ограничений [15]. Магнитно-резонансная томография (МРТ) сердца характеризуется более высоким пространственным разрешением, а также меньшей вариабельностью показателей по сравнению с ЭхоКГ. Этот метод дает более точное представление об анатомических структурах, функциональных и органических изменениях, поэтому считается «золотым стандартом» диагностики гипертрофии и фиброза миокарда. Отсроченное накопление контраста гадолиния при МРТ сердца является специфичным признаком миокардиального фиброза [16, 17]. Поскольку именно фиброз миокарда обусловливает развитие нарушений ритма и проводимости сердца у пациентов с акромегалией, мы предполагаем, что МРТ сердца может стать оптимальным диагностическим методом для раннего выявления морфологических и функциональных изменений, лежащих в основе нарушений работы сердца у данной категории больных.
Чтобы выявить факторы риска, которые определяют развитие НРПС, мы проанализировали различные особенности пациентов с акромегалией, как имеющих данные сердечно-сосудистые осложнения, так и без них.
Цель исследования – оценить роль МРТ сердца в выявлении структурных и функциональных изменений, проанализировав результаты МРТ сердца у пациентов с акромегалией и сопоставив полученные данные с другими методами инструментальной диагностики.
Материалы и методы
В одноцентровое проспективное когортное исследование включили 461 пациента с акромегалией (151 мужчина и 310 женщин), госпитализированных в ФГБУ «НМИЦ эндокринологии» Минздрава России в период с января 2018 г. по март 2020 г. Диагноз акромегалии подтвержден на основании анамнестических, лабораторных и инструментальных методов исследования в соответствии с клиническими рекомендациями [18]. Всем пациентам проведено стандартное медицинское обследование. При наличии изменений на электрокардиограмме (ЭКГ) покоя и/или при наличии жалоб на перебои в работе сердца проводились ЭхоКГ, холтеровское мониторирование ЭКГ. В период с сентября 2018 г. по март 2020 г. 18 пациентам (11 мужчин и 7 женщин) с НРПС проведено МРТ сердца с контрастированием гадолинием.
Все участники исследования подписали добровольное информированное согласие на проведение МРТ сердца с контрастированием. В исследование не включались пациенты, имеющие аллергическую реакцию на гадолиний, тяжелые нарушения почечной и печеночной функций, клаустрофобию, анамнестические данные имплантации металлов, ограничивающих возможность проведения МРТ.
Общая характеристика пациентов
На основании данных историй болезни пациентов с акромегалией проведен анализ следующих показателей: демографические (пол, возраст) и антрометрические данные (индекс массы тела – ИМТ), длительность акромегалии и ее активность, наличие АГ и ее степень, наличие нарушений углеводного обмена, лечение аналогами соматостатина.
Лабораторные показатели
Среди лабораторных показателей проанализировали гормональные параметры: СТГ и ИФР-1, тиреотропный гормон (ТТГ), свободный тироксин (Т4св.). Лабораторное исследование крови с определением СТГ, ИФР-1 проводилось на автоматизированной системе Liason (DiaSorin, Италия), ТТГ – на Cobas 6000 (Roche/Hitachi, Швейцария). Для ИФР-1 использовались референсные значения в соответствии с возрастом: от 18 до 25 лет – 96–250 нг/мл, старше 25 лет – 82–283 нг/мл; для тиреоидных гормонов – референсные показатели лаборатории: ТТГ – 0,25–3,5 мМЕ/л, Т4св. – 9–19 пмоль/л. Для выявления нарушений липидного обмена принимались во внимание показатели липопротеидов низкой плотности (ЛПНП).
Эхокардиография
ЭхоКГ выполнялась при помощи аппарата ультразвуковой диагностики VIVID E95 s/n VE95003297. Всем пациентам проведена оценка стандартных параметров, а именно измерение объемов левого и правого предсердий; толщины МЖП, задней стенки левого желудочка (ЛЖ), массы миокарда ЛЖ (ММЛЖ), также определены конечно-диастолический (КДО), конечно-систолический (КСО), ударный (УО) объемы; исследованы фракция выброса (ФВ) ЛЖ по Симпсону (%); регургитация аортального, митрального, трикуспидального клапанов сердца.
Магнитно-резонансная томография
МРТ сердца выполнялась на томографах General Electric Optima MR450w GEM 1,5Т и Pioneer 3,0T с использованием поверхностной кардиальной катушки и применением контрастного средства гадолиния с содержанием активного вещества 1 ммоль/мл, в дозировке 0,2 мл/кг. Синхронизация с сердечным ритмом проводилась в стандартных VCG-отведениях. Исследование выполнялось в стандартных плоскостях: 2-камерной, 4-камерной и по короткой оси с применением последовательностей с кинопетлей во время задержек дыхания пациентами. Для расчета стандартных функциональных показателей ЛЖ (ФВ, КДО, КСО, УО, масса миокарда, размеров левого и правого предсердий, толщины МЖП, задней стенки ЛЖ, толщины правого желудочка, размеров аорты и легочных ствола, артерий) использовалась программа постобработки МР-изображений – Cardio VX. МРТ сердца выполнялась с отсроченным контрастированием гадолинием на 10–25-й минуте от момента введения контрастного препарата, что позволило получить изображения с большой разницей в интенсивности МР-сигнала между пораженным (очаги фиброза/воспаления) и здоровым миокардом. Для оптимальной контрастности изображения у каждого пациента перед выполнением отсроченного контрастирования индивидуально подбиралось время инверсии (TI) с использованием сегментированной последовательности inversion-recovery. Визуализация зон отека в миокарде желудочков также проводилась при помощи получения последовательностей «Black Blood» c и без подавления сигнала от жировой ткани на 4-камерной проекции и по короткой оси сердца.
Статистический анализ
Статистический анализ выполнялся при помощи программы Statistica Version 13.3.
Описательная статистика представлена медианами, 25 и 75% перцентилями. Оценка номинальных переменных проводилась при помощи критерия Пирсона χ2. Проверка равенства медианных значений в группах проведена по критерию Манна–Уитни. Корреляционный анализ выполнен при помощи критерия Спирмена. Критический уровень значимости принимался как p<0,05.
Результаты
Общая характеристика пациентов с акромегалией
В исследование включен 461 пациент с акромегалией (310 женщин и 151 мужчина), медиана возраста – 52 года (от 19 до 82 лет). Длительность заболевания от момента появления первых симптомов до участия в исследовании составила в среднем 8 лет. Большинство пациентов (73,3%) имели активную стадию акромегалии, 42% получали терапию длительно действующими аналогами соматостатина; 62,2% пациентов, принявших участие в исследовании, имели АГ различной степени выраженности. Приблизительно у 1/3 (34,5%) пациентов присутствовали нарушения углеводного обмена.
Характеристика пациентов с нарушениями ритма и проводимости сердца
НРПС выявлены у 194 из 461 больного акромегалией, что составило 42% от общего числа госпитализированных пациентов. Медиана возраста среди исследуемых с НРПС составила 53 года.
Самым частым видом НРПС явилась синусовая брадикардия, которая зарегистрирована у 88 (19,1%) пациентов (рис. 1). На втором месте по частоте регистрировались нарушения проводимости по ножкам пучка Гиса – 67 (14,5%). Значительно реже наблюдались: АВ-блокада 1-й степени (2,6%), ФП (2,2%), СССУ и ЖТ (по 1,5%). Встречались единичные случаи синоатриальной (СА) блокады 2-й степени, АВ-блокады 2-й степени, ЖЭ и наджелудочковой тахикардии (НЖТ). У 13% пациентов отмечалось сочетание двух и более видов НРПС.
Рис. 1. Виды нарушений ритма и проводимости сердца у пациентов с акромегалией (число пациентов, процент от 461 пациента с акромегалией).
Примечание. АВ 1 – АВ-блокада 1-й степени, АВ 2 – АВ-блокада 2-й степени, СА 2 – СА-блокада 2-й степени, БНПГ – блокады ножек пучка Гиса, СБ – синусовая брадикардия.
Статистически значимых различий частоты тех или иных видов НРПС в зависимости от пола не выявлено.
Трем пациентам с НРПС потребовалась имплантация электрокардиостимулятора: одному пациенту в связи с наличием АВ-блокады 2-й степени 2-го типа и двум пациентам в связи с развитием СССУ. Кардиовертер-дефибриллятор имплантирован одному пациенту в связи с устойчивой ЖТ.
Факторы риска, определяющие развитие НРПС
Для выявления факторов риска развития НРПС проведено сравнение пациентов с акромегалией, имевших НРПС и без НРПС по ряду параметров (табл. 1). Несмотря на то, что в исследуемой группе преобладали женщины, НРПС чаще встречались у мужчин, чем у женщин (54,2 и 37,4% соответственно, р=0,0005), различий по возрасту не выявлено. НРПС преобладали у пациентов с длительным анамнезом акромегалии (10 и 7 лет соответственно, p=0,04). Наличие активной стадии акромегалии не оказывало значимого влияния на развитие НРПС, наоборот, у пациентов с НРПС наблюдались более низкие гормональные показатели активности акромегалии СТГ и ИФР-1. При этом НРПС чаще выявляли у больных, получавших терапию аналогами соматостатина, по сравнению с пациентами, не получавшими данный вид медикаментозной терапии (50 и 38,6% соответственно, р=0,004).
Таблица 1. Общая характеристика больных акромегалией с нарушениями и без нарушений ритма сердца | |||
Параметр | Пациенты с НРПС (n=198) | Пациенты без НРПС (n=263) | p-value |
Женщины (n=310) | 116 (37,4%) | 194 (62,6%) | 0,016 |
Мужчины (n=151) | 82 (54,3%) | 69 (45,7%) | |
Возраст, лет | 53 [40; 62] | 51 [39; 60] | 0,13 |
ИМТ, кг/м2 | 0,53 | ||
Длительность заболевания, годы | 10 [4; 15] | 7 [4;13] | 0,04 |
СТГ, нг/мл | 0,0003 | ||
ИФР-1, отношение к норме | 0,0009 | ||
ЛПНП, ммоль/л | 0,61 | ||
ТТГ, мМЕ/л | 0,28 | ||
Т4св., пмоль/л | 0,79 | ||
Ремиссия акромегалии | 61 (30,8%) | 62 (23,5%) | 0,08 |
Терапия аналогами соматостатина | 99 (50%) | 97 (38,6%) | 0,004 |
Артериальная гипертензия | 130 (65,6%) | 157 (59,7%) | 0,19 |
Нарушения углеводного обмена | 66 (33,3%) | 94 (35,7%) | 0,59 |
Примечание. Статистический метод – критерий Пирсона χ2 или критерий Манна–Уитни. | |||
Статистически значимых различий в ИМТ, наличии АГ, нарушений углеводного обмена, в показателях тиреоидного и липидного статуса между группами пациентов, имевших НРПС и без них, не выявлено.
МРТ сердца у пациентов с НРПС при акромегалии
МРТ сердца проведено 18 пациентам с НРПС (7 женщинам и 11 мужчинам), медиана возраста которых составила 55,5 года. У 5 пациентов (2 женщин и 3 мужчин) диагностирована блокада ножек пучка Гиса, у 3 пациентов наблюдался СССУ (1 женщины и 2 мужчин), также зафиксировано по 1 случаю СА-блокады 2-й степени, ФП, ЖТ среди мужчин и 1 случай НЖТ среди женщин.
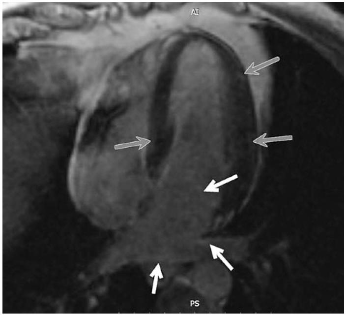
Для определения фиброза миокарда при МРТ оценивалось накопление контрастного вещества (рис. 2). Диффузное или локальное накопление контрастного вещества выявлено у большинства пациентов – в 11 (61%) случаях, у 4 женщин и 7 мужчин. Накопление контрастного вещества преимущественно в области эндокарда, митрального и трикуспидального клапанов наблюдалось в 8 случаях, у 3 пациентов отмечено сочетание диффузного и очагового накопления, у 1 пациента определено локальное накопление и у 7 пациентов не наблюдалось накопления контрастного вещества в отсроченную фазу. Достоверных различий между пациентами с наличием и отсутствием накопления контрастного вещества при МРТ по возрасту, длительности заболевания, ИМТ, уровню тиреоидных гормонов, СТГ, ИФР-1, частоте ремиссии, получаемой терапии аналогами соматостатина не выявлено.
Рис. 2. МРТ сердца пациента с НРПС при акромегалии. Серыми стрелками указано диффузно-очаговое накопление контрастного препарата боковой стенкой ЛЖ, белыми стрелками – диффузное накопления контрастного препарата эндокардом левого предсердия и клапанов).
Структурно-морфологическая характеристика сердца при МРТ у пациентов с накоплением гадолиния миокардом в отсроченную фазу контрастирования статистически значимо не отличалась от параметров у больных без признаков фиброза миокарда, однако отмечена тенденция к более высоким значениям ФВ ЛЖ, ударного объема ЛЖ, ММЛЖ, толщины МЖП при наличии отсроченного накопления (табл. 2).
Таблица 2. Структурно-морфологическая характеристика сердца по данным МРТ | ||||
Параметр | Норма | Диффузное и/или локальное накопление (n=11) | Отсутствие накопления (n=7) | p-value |
ФВ, % | 57–75 | 70 [43; 71] | 66 [63; 70] | 0,7 |
УО, мл | 78–134 | 81,5 [62; 124] | 0,5 | |
КДО, мл | 119–203 | 110 [97; 196] | 127 [99; 187] | 1 |
КСО, мл | 33–77 | 0,8 | ||
ММЛЖ, г | 107–187 | 193 [148; 393] | 179 [126; 263] | 0,6 |
МЖП, мм | Менее 11 мм | 11,5 [9; 14] | 11 [9; 13] | 0,9 |
АК, мм | 18,6–29,2 | 0,63 | ||
Синус Вальсальвы, мм | 24,3–39,5 | 0,56 | ||
ВОА, мм | 18,7–33,3 | 0,68 | ||
НОА, мм | 14,7–25,5 | 0,61 | ||
Примечание. АК – аортальный клапан, ВОА – восходящий отдел аорты, НОА – нисходящий отдел аорты. Статистический метод – критерий Манна–Уитни. | ||||
При сравнении структурно-морфологических характеристик, полученных при ЭхоКГ и МРТ сердца, не выявлено статистически значимых отличий, за исключением значений фракции выброса ЛЖ, которая оказалась выше по данным МРТ (p=0,04); табл. 3.
Таблица 3. Результаты ЭхоКГ и МРТ у больных акромегалией с НРПС | |||
Параметр | ЭхоКГ | МРТ | p-value |
МЖП, мм | 0,26 | ||
ФВ, % | 0,04 | ||
УО, мл | 0,11 | ||
КДО, мл | 0,34 | ||
КСО, мл | 0,51 | ||
ЗС, мм | 0,12 | ||
ММЛЖ, г | 0,14 | ||
ЛС, мм | 0,07 | ||
Примечание. ЗС – задняя стенка ЛЖ, ЛС – легочный ствол. Статистический метод – критерий Манна–Уитни. | |||
Результаты и обсуждение
Сердечно-сосудистые осложнения являются основной причиной смертности больных акромегалией, они могут быть выявлены даже при отсутствии клинических проявлений и других сердечно-сосудистых факторов риска. В данной работе мы проанализировали частоту встречаемости аритмий у 461 пациента с акромегалией, определили факторы риска развития НРПС, проанализировали структурные изменения сердца по данным МРТ.
Результаты нашего исследования демонстрируют высокую встречаемость нарушений ритма и проводимости сердца среди пациентов с акромегалией – 42%. Полученные сведения о встречаемости НРПС сопоставимы с другими опубликованными данными. По мнению ряда авторов, частота НРПС существенно варьирует и может составлять от 9 до 89% случаев [13, 19]. Настолько широкий диапазон частоты НРПС у больных акромегалией, вероятно, обусловлен относительно небольшим количеством исследований, малым объемом выборок, гетерогенностью пациентов, принявших в них участие.
Преобладание синусовой брадикардии среди НРПС в нашем исследовании (почти в 1/2 случаев пациентов с НРПС) характерно для пациентов с акромегалией. Определенную роль в этом может играть и терапия аналогами соматостатина [20], которые использовались у 1/2 наших больных с НРПС.
Необходимость имплантации антиаритмических устройств у больных акромегалией остается недостаточно изученной. По нашим данным, 2% пациентов с НРПС нуждались в антиаритмическом устройстве. Чаще всего в литературе встречаются описания развития желудочковых нарушений ритма и имплантации больным акромегалией кардиовертеров-дефибрилляторов [21, 22], а в случае злокачественных желудочковых нарушений ритма – и пересадки сердца [23]. Вместе с тем небольшое количество публикаций посвящено клиническим случаям имплантации электрокардиостимуляторов пациентам с акромегалией [21–26].
Поскольку нарушения ритма являются ведущей причиной внезапной смерти при акромегалии, но в то же время могут не сопровождаться клиническими проявлениями, особое значение приобретает поиск факторов, определяющих развитие НРПС у пациентов с акромегалией. Большая часть исследований сердечно-сосудистого риска при акромегалии посвящена изучению риска гипертрофии миокарда ЛЖ, атеросклероза, развития сердечной недостаточности, в то время как НРПС при акромегалии изучены значительно меньше.
Согласно нашим данным, основной фактор риска развития НРПС при акромегалии – это длительность заболевания. Результаты предыдущих исследований, касающихся влияния продолжительности заболевания на развитие НРПС, противоречивы. Так, B. Herrmann и соавт. в своей работе 2001 г. [27] не обнаружили связи длительности течения акромегалии и наличия поздних желудочковых потенциалов, в то время как P. Maffei и соавт. (2005 г.) [2] показали, что длительность заболевания играет ведущую роль. Полученные нами данные можно считать ожидаемыми, так как в основе НРПС при акромегалии лежит фиброз миокарда, который чаще встречается у длительно страдающих акромегалией пациентов. Известно, что от момента появления первых симптомов заболевания и до установления диагноза акромегалии проходит, как правило, около 5 лет.
В настоящее время недостаточно литературных данных о влиянии активности акромегалии на развитие НРПС. Известно, что даже при достижении ремиссии заболевания структурные изменения сердца могут быть необратимыми и приводить к развитию НРПС. Среди наших пациентов частота ремиссии акромегалии отмечена невысокая – 26,7%, при этом влияния активности акромегалии на развитие НРПС в нашем исследовании не выявлено. Наоборот, пациенты с НРПС имели более низкие уровни СТГ и ИФР-1. Определенную роль в таком распределении сыграла медикаментозная терапия аналогами соматостатина, которую получали 1/2 пациентов с НРПС. Действительно, к нежелательным явлениям данных препаратов относят НРПС. В нашем исследовании доля пациентов, получавших эту терапию, отмечена выше в группе с НРПС. Пациенты, госпитализированные с впервые выявленной акромегалией, оказались менее подвержены развитию НРПС, чем больные, которые уже получили лечение и достигли более низких уровней СТГ и ИФР-1, однако болели дольше и принимали аналоги соматостатина. В то же время такие факторы риска, как ИМТ, дислипидемия, АГ, нарушения углеводного обмена, тиреоидный статус, не оказывали влияния на развитие НРПС при акромегалии. Это наблюдение, вероятно, свидетельствует о том, что акромегалия – независимый фактор развития НРПС.
МРТ сердца является «золотым стандартом» визуализации структурно-морфологических изменений сердца при различных сердечно-сосудистых заболеваниях, в том числе при акромегалии. Отсроченное накопление контраста позволяет верифицировать фиброз миокарда. В исследовании X. Guo и соавт. (2020 г.), участки фиброза миокарда по данным МРТ сердца выявлены у 14,8% из 61 пациента с акромегалией. Чаще накопление контраста являлось интрамуральным. Признаки фиброза миокарда изолированно в свободной стенке ЛЖ одинаково часто отмечались у больных с сочетанным поражением МЖП и свободной стенки ЛЖ [16]. В работе А.С. Абраменко и соавт. (2015 г.) [28] ни у одного из 27 пациентов с акромегалией отсроченного накопления контраста при МРТ сердца не выявлено. Мы продемонстрировали, что 61% пациентов с акромегалией и НРПС, которым проведено МРТ сердца, имели признаки фиброза миокарда, накопление контраста преимущественно было диффузным, определялось в миокарде свободной стенки ЛЖ, межпредсердной перегородке и МЖП, однако чаще наблюдалось в области митрального и трикуспидального клапанов. Высокая частота выявленного нами фиброза миокарда может быть связана с наличием НРПС у больных, которым проведена МРТ.
Имеются данные, что на развитие миокардиального фиброза влияют возраст, ИМТ, длительность заболевания и степень АГ [16]. Однако мы не выявили статистически достоверных различий в указанных признаках. Многие исследователи пришли к выводу, что высокие уровни СТГ и ИФР-1 не увеличивают риск развития гипертрофии ЛЖ, АГ и других сердечно-сосудистых осложнений [16, 17, 29]. В нашей работе НРПС, АГ, толщина стенки ЛЖ статистически достоверно не зависели от уровней СТГ и ИФР-1. В то же время считается, что нормализация показателей СТГ и ИФР-1 способствует уменьшению морфологических и функциональных изменений в сердце, в том числе за счет компенсации углеводного и липидного обмена, уменьшения тяжести ночного апноэ и АГ [29].
ЭхоКГ является доступным и неинвазивным методом диагностики, зависящим от специалиста, проводящего исследование, что накладывает ряд ограничений на достоверность получаемых данных об изменениях сердца [30]. При сравнении структурно-морфологических характеристик сердца, полученных с помощью ЭхоКГ и МРТ сердца, мы обнаружили занижение фракции выброса ЛЖ по данным ЭхоКГ, что в свою очередь может приводить к гипердиагностике кардиомиопатии. В то же время фиброз миокарда, выявленный при МРТ сердца и свидетельствующий о наличии кардиомиопатии, встречался у больных, данные ЭхоКГ которых имели незначительные отклонения от нормы. Этот факт демонстрирует необходимость проведения МРТ сердца больным акромегалией при наличии высокого риска кардиомиопатии по данным ЭхоКГ или при наличии НРПС.
В настоящее время не существует специфических лабораторных маркеров диффузного миокардиального фиброза, а также не определены показания для проведения МРТ сердца больным акромегалией и НРПС. Все больше обсуждается патогенетическая роль воспалительных явлений в развитии аритмии в общей популяции [31]. Известно, что маркеры воспаления, такие как интерлейкины (ИЛ-6, ИЛ-1), миелопероксидаза и фактор некроза опухоли α, могут оказывать влияние на ремоделирование миокарда и, как следствие, приводить к развитию нарушений ритма сердца [32, 33]. Существует несколько биомаркеров, которые могут быть использованы в клинической практике для определения индивидуального сердечно-сосудистого риска, среди них: высокочувствительный C-реактивный белок (СРБ), стимулируемый провоспалительным цитокином – ИЛ-6, а также N-концевой мозговой натрийуретический пептид (NTproBNP), который используется в качестве диагностического маркера хронической сердечной недостаточности. В разных исследованиях проводилась оценка влияния активности акромегалии на уровни СРБ и NTproBNP, в некоторых из них сообщалось о более низких значениях данных показателей среди пациентов с активной акромегалией. Более низкие уровни NT-proBNP и СРБ могут свидетельствовать о меньшей встречаемости ишемической болезни сердца и хронической сердечной недостаточности (от 1 до 4%) у пациентов с акромегалией, но не отражать истинной картины наличия других сердечно-сосудистых факторов риска [34].
Заключение
Сердечно-сосудистые осложнения, включая НРПС, являются одной из основных причин высокой летальности при акромегалии. Достижение лабораторной ремиссии заболевания не всегда приводит к регрессу сформировавшихся нарушений и не исключает возможности возникновения новых осложнений. Пациенты с длительным анамнезом акромегалии нуждаются в тщательной диагностике и мониторинге НРПС даже при успешном лечении основного заболевания. МРТ сердца значительно расширяет изучение НРПС у пациентов с акромегалией. В настоящее время отсутствуют специфические факторы риска развития аритмии у больных акромегалией, а роль фиброза миокарда в возникновении нарушений ритма и проводимости сердца и его влияния на прогноз у данной группы больных требует уточнения. Однако очевидно, что частота развития аритмий при акромегалии существенно выше, чем в общей популяции, что диктует необходимость большего внимания как врачей, так и ученых.
About the authors
K. V. Melkozerov
Endocrinology Research Centre
Author for correspondence.
Email: melkozerovkv@gmail.com
ORCID iD: 0000-0002-7328-6316
к.м.н., врач-кардиолог отд-ния хирургического лечения сложных нарушений ритма сердца и электрокардиостимуляции отд. кардиологии и сосудистой хирургии
Russian Federation, MoscowE. G. Przhiyalkovskaya
Endocrinology Research Centre
Email: melkozerovkv@gmail.com
ORCID iD: 0000-0001-9119-2447
к.м.н., ст. науч. сотр. отд-ния нейроэндокринологии и остеопатий
Russian Federation, MoscowN. V. Tarbaeva
Endocrinology Research Centre
Email: melkozerovkv@gmail.com
ORCID iD: 0000-0001-7965-9454
к.м.н., зав. отд-нием компьютерной и магнитно-резонансной томографии
Russian Federation, MoscowA. A. Almaskhanova
Endocrinology Research Centre
Email: melkozerovkv@gmail.com
ORCID iD: 0000-0002-2320-2532
аспирант
Russian Federation, MoscowM. D. Kuklina
Endocrinology Research Centre
Email: melkozerovkv@gmail.com
ORCID iD: 0000-0001-5802-3000
к.м.н., зав. отд-нием функциональной диагностики
Russian Federation, MoscowP. A. Alferova
Endocrinology Research Centre
Email: melkozerovkv@gmail.com
ORCID iD: 0000-0002-8679-2859
к.м.н., врач-кардиолог отд. кардиологии и сосудистой хирургии, врач функциональной диагностики отд-ния функциональной диагностики
Russian Federation, MoscowI. S. Gomova
Endocrinology Research Centre
Email: melkozerovkv@gmail.com
ORCID iD: 0000-0001-6318-1345
к.м.н., врач-кардиолог отд. кардиологии и сосудистой хирургии, врач функциональной диагностики отд-ния функциональной диагностики
Russian Federation, MoscowL. A. Belousov
Endocrinology Research Centre
Email: melkozerovkv@gmail.com
ORCID iD: 0000-0003-4917-1743
врач-кардиолог отд. хирургического лечения сложных нарушений ритма сердца и электрокардиостимуляции отд. кардиологии и сосудистой хирургии
Russian Federation, MoscowZ. E. Belaya
Endocrinology Research Centre
Email: melkozerovkv@gmail.com
ORCID iD: 0000-0002-6674-6441
д.м.н., гл. науч. сотр., зав. отд-нием нейроэндокринологии и остеопатий
Russian Federation, MoscowA. V. Vorontsov
Endocrinology Research Centre
Email: melkozerovkv@gmail.com
ORCID iD: 0000-0003-3074-6930
д.м.н., проф., зав. отд. лучевой диагностики
Russian Federation, MoscowV. Y. Kalashnikov
Endocrinology Research Centre
Email: melkozerovkv@gmail.com
ORCID iD: 0000-0001-5573-0754
чл.-кор. РАН, д.м.н., проф., зав. отд. кардиологии и сосудистой хирургии
Russian Federation, MoscowReferences
- Дедов И.И., Молитвословова Н.Н., Рожинская Л.Я., Мельниченко ГА. Федеральные клинические рекомендации по клинике, диагностике, дифференциальной диагностике и методам лечения акромегалии. Проблемы эндокринологии. 2013;59(6):4-18 [Dedov II, Molitvoslovova NN, Rozhinskaia LY, Melnichenko GA. Federal clinical guidelines for the clinic, diagnosis, differential diagnosis and treatment of acromegaly. Endocrinological problems. Problemy endokrinologii. 2013;59(6):4-18. (In Russ.)].
- Maffei P, Martini C, Milanesi A, et al. Late potentials and ventricular arrhythmias in acromegaly. Int J Cardiol. 2005;30;104(2):197-203. doi: 10.1016/j.ijcard.2004.12.010
- Dekkers OM, Biermasz NR, Pereira AM, et al. Mortality in acromegaly: a metaanalysis. J Clin Endocrinol Metab. 2008;93(1):61-7. doi: 10.1210/jc.2007-1191
- Katznelson L, Laws ER, Melmed S, et al. Endocrine Society. Acromegaly: an endocrine society clinical practice guideline. J Clin Endocrinol Metab. 2014;99(11):3933-51. doi: 10.1210/jc.2014-2700
- Ritvonen E, Löyttyniemi E, Jaatinen P, et al. Mortality in acromegaly: a 20-year follow-up study. Endocr Relat Cancer. 2016;23(6):469-80. doi: 10.1530/ERC-16-0106
- López-Velasco R, Escobar-Morreale HF, Vega B, et al. Cardiac involvement in acromegaly: specific myocardiopathy or consequence of systemic hypertension? J Clin Endocrinol Metab. 1997;82(4):1047-53. doi: 10.1210/jcem.82.4.3876
- Losa M, von Werder K. The heart in acromegaly. In: Giustina A. Growth Hormone and the Heart. Boston: Kluwer Academic, 2001; p. 33-43. doi: 10.1007/978-1-4615-1579-1_5
- Isgaard J, Arcopinto M, Karason K, Cittadini A. GH and the cardiovascular system: an update on a topic at heart. Endocrine. 2015;48(1):25-35. doi: 10.1007/s12020-014-0327-6
- Abreu A, Tovar AP, Castellanos R, et al. Challenges in the diagnosis and management of acromegaly: a focus on comorbidities. Pituitary. 2016;19(4):448-57. doi: 10.1007/s11102-016-0725-2
- Исмаилов С.И., Халимова З.Ю., Холикова А.О., Сафарова Ш.М. Сердечно-сосудистые осложнения акромегалии. Междунар. эндокринологический журн. 2010;7(31) [Ismailov SI, Xalimova ZY, Xolikova AO, Safarova SM. Cardiovascular complications of acromegaly. International endocrinological journal. 2010;7(31) (In Russ.)].
- Ramos-Leví AM, Marazuela M. Cardiovascular comorbidities in acromegaly: an update on their diagnosis and management. Endocrine. 2017;55(2):346-59. doi: 10.1007/s12020-016-1191-3
- Kahaly G, Olshausen KV, Mohr-Kahaly S, et al. Arrhythmia profile in acromegaly. Eur Heart J. 1992;13(1):51-6. doi: 10.1093/oxfordjournals.eurheartj.a060047
- Mosca S, Paolillo S, Colao A, et al. Cardiovascular involvement in patients affected by acromegaly: an appraisal. Int J Cardiol. 2013;1;167(5):1712-8. doi: 10.1016/j.ijcard.2012.11.109
- Weiss V, Sonka K, Pretl M, et al. Prevalence of the sleep apnea syndrome in acromegaly population. J Endocrinol Invest. 2000;23(8):515-9. doi: 10.1007/BF03343767
- Marques dos Santos Silva C, Gottlieb I, Volschan I, et al. Low Frequency of Cardiomyopathy Using Cardiac Magnetic Resonance Imaging in an Acromegaly Contemporary Cohort. J Clin Endocrinol Metab. 2015;100(12):4447-55 doi: 10.1210/jc.2015-2675
- Xiaopeng Guo, Jian Cao, Peijun Liu, et al. Cardiac Abnormalities in Acromegaly Patients: A Cardiac Magnetic Resonance Study. Int J Endocrinol. 2020;1-10. doi: 10.1155/2020/2018464
- Bogazzi F, Lombardi M, Strata E, et al. High prevalence of cardiac hypertophy without detectable signs of fibrosis in patients with untreated active acromegaly: anin vivostudy using magnetic resonance imaging. Clin Endocrinol (Oxf). 2008;68(3):361-8. doi: 10.1111/j.1365-2265.2007.03047
- Федеральные клинические рекомендации. Акромегалия: клиника, диагностика, дифференциальная диагностика, методы лечения. М., 2014 [Federal clinical guidelines. Clinic, diagnosis, differential diagnosis, methods of treatment of acromegaly. Moscow, 2014 (In Russ.)].
- Pivonello R, Auriemma RS, Grasso LFS, et al. Complications of acromegaly: cardiovascular, respiratory and metabolic comorbidities. Pituitary. 2017;20(1):46-62. doi: 10.1007/s11102-017-0797-7
- Lima-Martínez MM, López-Méndez G, Mangupli R. Octreotide-induced sinus bradycardia in a male patient with acromegaly. Endocrinol Nutr. 2013;60(8):e7-9. doi: 10.1016/j.endonu.2012.09.016
- Arias MA, Pachón M, Rodríguez-Padial L. Ventricular tachycardia in acromegaly. Rev Port Cardiol. 2011;30(2):223-6.
- An Z, He Y, Liu GH, et al. Malignant ventricular tachycardia in acromegaly: a case report. Sao Paulo Med J. 2015;133(1):55-9. doi: 10.1590/1516-3180.2012.6410005
- Doimo S, Miani D, Finato N, et al. Acromegalic Cardiomyopathy With Malignant Arrhythmogenic Pattern Successfully Treated With Mechanical Circulatory Support and Heart Transplantation. Can J Cardiol. 2017;33(6):830.e9-830.e11. doi: 10.1016/j.cjca.2017.02.006
- Tan TT, Gangaram HB, Yusoff K, Khalid BA. Third degree heart block in acromegaly. Postgrad Med J. 1992;68(799):389. doi: 10.1136/pgmj.68.799.389
- Maffei P, Martini C, Mioni R, et al. Emergency pacemaker implantation in acromegaly. Int J Cardiol. 2004;97(1):161-4. doi: 10.1016/j.ijcard.2003.11.062
- Yamamoto T, Nakamura H, Ogawa T, et al. Acromegaly with multiple cardiovascular complications – cardiomyopathy, chordae rupture of mitral valve, myocardial infarction and sick sinus syndrome. Intern Med. 2003;42(8):700-3. doi: 10.2169/internalmedicine.42.700
- Herrmann BL, Bruch C, Saller B, et al. Occurrence of ventricular late potentials in patients with active acromegaly. Clin Endocrinol (Oxf). 2001;55(2):201-7. doi: 10.1046/j.1365-2265.2001.01319.x
- Абраменко А.С., Вишнякова М.В., Древаль А.В., Ковалева Ю.А. Магнитно-резонансная томография в диагностике поражений сердца у больных акромегалией. Альманах клинической медицины. 2015;43 [Abramenko AS, Vishnyakova MV, Dreval’ AV, Kovaleva YuA. Magnetic resonance imaging in the diagnosis of the heart lesions in patients with acromegaly. Almanac of Clinical Medicine. 2015;(43):19-26 (In Russ.)]. doi: 10.18786/2072-0505-2015-43-19-26
- Ramos-Leví AM, Marazuela M. Bringing Cardiovascular Comorbidities in Acromegaly to an Update. How Should We Diagnose and Manage Them? Front Endocrinol (Lausanne). 2019;7(10):120. doi: 10.3389/fendo.2019.00120
- Васюк Ю.А., Школьник Е.Л. Современные возможности и ограничения эхокардиографии при заболеваниях сердечно-сосудистой системы. Рос. кардиологический журн. 2013;4(102):28-32 [Vasyuk YuA, Shkolnik EL. Strengths and limitations of modern echocardiography in cardiovascular disease diagnostics. Russ J Cardiol. 2013;4(102):28-32 (In Russ.)]. doi: 10.15829/1560-4071-2013-4-28-32
- Chen G, Chelu MG, Dobrev D, Li N. Cardiomyocyte Inflammasome Signaling in Cardiomyopathies and Atrial Fibrillation: Mechanisms and Potential Therapeutic Implications. Front Physiol. 2018;13;9:1115. doi: 10.3389/fphys.2018.01115
- Liu M, Li W, Wang H, et al. CTRP9 Ameliorates Atrial Inflammation, Fibrosis, and Vulnerability to Atrial Fibrillation in Post-Myocardial Infarction Rats. J Am Heart Assoc. 2019;5;8(21):e013133. doi: 10.1161/JAHA.119.013133
- Scott L, Li N, Dobrev D. Role of inflammatory signaling in atrial fibrillation. Int J Cardiol. 2019;15;287:195-200. doi: 10.1016/j.ijcard.2018.10.020
- Colao A, Grasso LFS, Somma DC, Pivonello R. Acromegaly and Heart Failure. Heart Fail Clin. 2019;15(3):399-408. doi: 10.1016/j.hfc.2019.03.001
Supplementary files







