Contrast-enhanced ultrasound: history, application and perspectives
- Authors: Mironova O.I.1, Isaikina M.A.1, Isaev G.O.1, Berdysheva M.V.1, Fomin V.V.1
-
Affiliations:
- Sechenov First Moscow State Medical University (Sechenov University)
- Issue: Vol 95, No 4 (2023)
- Pages: 354-358
- Section: History of medicine
- Submitted: 31.05.2023
- Accepted: 31.05.2023
- Published: 31.05.2023
- URL: https://ter-arkhiv.ru/0040-3660/article/view/472057
- DOI: https://doi.org/10.26442/00403660.2023.04.202157
- ID: 472057
Cite item
Full Text
Abstract
The article discusses the stages of formation and development of ultrasound diagnostics, including those with contrast enhancement. The main types of contrast agents and their mechanism of action are presented. Examples of the use of contrast-enhanced ultrasound in various fields of medicine are given. The prospects of the method and its place in clinical practice are discussed.
Full Text
Ультразвуковые исследования (УЗИ) являются незаменимым методом диагностики в клинической практике. Сложно представить современную медицину без использования УЗИ. УЗИ используется практически во всех областях медицины. Благодаря своему удобству, простоте в освоении, отсутствию лучевой нагрузки и низкой себестоимости данный метод применяется повсеместно. Использование внутривенных контрастных агентов значительно повысило разрешающие способности УЗИ, что вывело ультразвуковую диагностику на новый уровень, ставя ее порой по диагностической точности в один ряд с магнитно-резонансной (МРТ) и компьютерной томографией.
История развития УЗИ
История открытия ультразвуковых лучей берет начало с 1794 г., когда Лаззаро Спалланцани, итальянский биолог и естествоиспытатель, исследуя поведение летучих мышей, предположил, что их ориентирование в пространстве связано не со зрением, а с излучением и последующим улавливанием звуковых волн [1].
В 20-х годах ХХ в. начинается активное изучение биологических эффектов ультразвуковых волн. Так, румынский физик Неда Маринеско в 1927 г. в Париже защищает диссертацию по молекулярной биофизике под руководством Жана Перрена и организует первую ультразвуковую лабораторию [2], специализирующуюся на эхолокации. Свои результаты он публикует в двух частях в 1937 г. [3].
В медицине первые попытки использования ультразвука принадлежат Карлу Теодору Дюссику, австрийскому психоневрологу. В 1942 г. он опубликовал статьи, основанные на его исследованиях мозга и визуализации в нем опухолей [4, 5].
В 1949 г. американский ученый Дуглас Хоури начал эксперименты со своим аппаратом УЗИ, представляющим резервуар с жидкостью, куда погружался пациент [6]. На протяжении нескольких лет он совершенствовал методику и создал прототип современного двухкамерного УЗИ-аппарата, работающего в В-режиме (рис. 1).
Рис. 1. Второе поколение «Сомаскопа», ультразвукового аппарата, созданного Дугласом Хоури и его компанией [7].
Fig. 1. Ultrasonic device created by Douglas Howry and Joseph Holmes, from the University of Colorado [7].
Сфера клинического применения УЗИ расширяется, и в 1955 г. Ларс Лескелл начинает его использование в А-режиме (основан на фиксации амплитуды) для получения эхоэнцефалограмм [8]. В 1954 г. кардиолог Инге Эдлер и физик Хельмут Герц из Швеции вводят УЗИ в диагностику сердца и используют уже М-режим, который является усовершенствованным А-режимом с усилением яркости и возможностью получать изображение органа в движении [9], положив начало эхокардиографии (ЭхоКГ). А через год в 1955 г. японский физик Шигео Сатомура со своей командой применяет эффект Допплера в медицине и использует его для измерения пульсации сердца и кровеносных сосудах [10]. В конце 1960-х годов Джин Странднесс с группой инженеров разрабатывает первые устройства для диагностики сосудистых заболеваний, используя дуплексную визуализацию и добившись возможности исследования структур и получения гемодинамических данных в режиме реального времени [7].
В 1982 г. компания Aloka разрабатывает и выпускает первую установку с возможностью цветовой визуализации для оценки сосудистой анатомии и гемодинамики и через несколько лет публикует результаты своих исследований [11].
История развития контрастно-усиленных исследований
В 1968 г. Клод Джойнер отметил усиление сигнала при УЗИ аорты в М-режиме при введении контрастного вещества [12]. Исследования продвинулись дальше и доказали, что усиление сигнала также наблюдается при оттягивании поршня шприца на себя и смешении вводимой жидкости с кровью, что объясняется стабилизацией вводимого вещества альбуминами крови [13].
Создание качественного контрастного препарата сопровождалось рядом сложностей: необходимое время циркуляции в крови, стабильность, безопасность, проходимость тонких капилляров сосудов во избежание тромбоэмболии.
В 1984 г. С. Фейнштейн и соавт. смогли справиться с этой задачей и создать контрастный препарат I поколения, представляющий собой стабильные инкапуслированные пузырьки путем ультразвуковой обработки раствора альбумина сыворотки крови человека, которые впервые применились в ЭхоКГ [14, 15]. C этого момента началась эра контрастных препаратов. Созданы успешные современные ультразвуковые контрастные вещества II поколения, которые не диффундируют в интерстициальные ткани, являясь исключительно внутрисосудистыми агентами. Благодаря этому возможно многократное введение препарата без паренхиматозного контрастного усиления [16]. В качестве контрастного агента используются микропузырьки газа, имеющего высокую эхогенность и низкую растворимость в крови. Размер пузырьков колеблется от 1 до 6 µm. В качестве газа используются перфторуглеводы или гексафторид серы, инкапсулированный в мембрану из монослоя липидов или альбумина, что препятствует мгновенной диффузии газа [17]. Контрастирование достигается за счет явления ультразвуковой кавитации – микропузырьки под действием ультразвуковых волн начинают колебаться (сужаться и расширяться), что создает ультразвуковой сигнал, который улавливается датчиком (рис. 2).
Рис. 2. Явление кавитации микропузырьков, наблюдаемое при видеомикроскопии [18].
Fig. 2. The phenomenon of microbubbles cavitation observed in videomicroscopy [18].
Применение микропузырьков в качестве контрастного агента абсолютно безопасно и оказывает отрицательное влияние в минимальном количестве наблюдений (0,01%), безопасность метода доказана при многих клинических состояниях, в том числе в педиатрической практике [18–20]. Еще одним преимуществом данного исследования является безопасность для почек, так как после циркуляции оболочка начинает растворяться и метаболизируется в основном в печени, а газ, находящийся внутри пузырьков, выдыхается легкими [21]. Проходя мимо участка визуализации, микропузырьки отражают сигнал, отличный от окружающей ткани, тем самым контрастируя с ней.
Область применения УЗИ с контрастированием
Данная методика получила широкое применение в онкологии, позволив определять метастатические поражения паренхиматозных органов, первичные опухоли, их количество и размер, локализацию и отношение к сосудистым структурам, изменения на микроциркуляторном уровне, помогая дифференцировать воспалительные изменения от доброкачественных находок. Учитывая безопасность и доступность методики, данный вид исследования широко используется для оценки эффективности химиотерапии, а также активности кровотока, например у пациентов после трансплантации почки.
Большую роль контрастно-усиленное УЗИ играет в нефрологии: в определении почечной микрососудистой перфузии при хронической болезни почек и степени фиброза [21–23]. Данный вид УЗИ имеет преимущество и перед цветовой допплерографией, которая может отображать кровеносные сосуды размером до 100 мкм, а УЗИ с контрастированием может визуализировать сосуды размером до 40 мкм [24].
УЗИ органов брюшной полости и, в частности, печени является рутинным исследованием в клинической практике. Контрастное усиление может значительно улучшить качество получаемых результатов, что в особенности требуется для пациентов, которым противопоказано проведение МРТ или компьютерно-томографических исследований органов брюшной полости, для которых УЗИ остается единственным доступным вариантом. С помощью введения контрастного вещества повышается качество диагностики злокачественных новообразований печени благодаря феномену позднего контрастирования опухолей, также при применении контрастного вещества значительно повышается чувствительность в отношении гемангиом, которые становятся отчетливо видны при проведении исследования [24, 25].
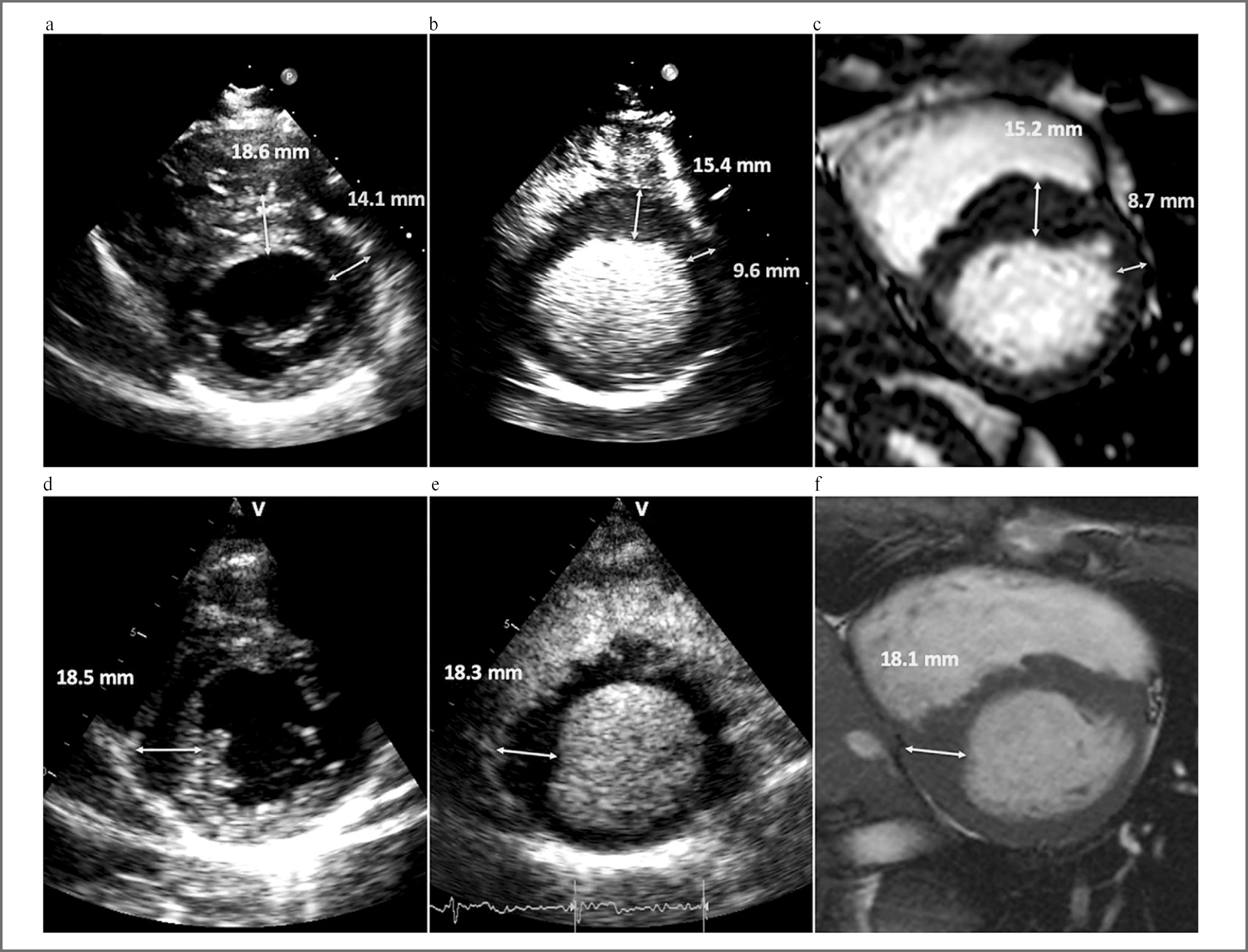
Одним из наиболее перспективных направлений использования контрастирования в ЭхоКГ является контрастирование левого желудочка [19]. Контрастирование полости левого желудочка способно улучшить качество диагностики целого ряда клинических состояний: определение нарушений локальной сократимости, оценка фракции выброса, выявление внутриполостных образований (тромб, миксома), диагностика гипертрофической кардиомиопатии, эозинофильного миокардита, псевдоаневризмы, некомпактного миокарда [19, 26–30]. В некоторых случаях (например, при оценке фракции выброса и функции левого желудочка) чувствительность метода может сравниться с проведением МРТ сердца (рис. 3) [28].
Рис. 3. Сравнение стандартной ЭхоКГ (a, d), контраст-усиленной ЭхоКГ (b, e) и МРТ сердца у пациентов с гипертрофической кардиомиопатией (c, f) [31].
Fig. 3. Comparison of standard EchoCG (a, d), contrast-enhanced EchoCG (b, e) and MRI in patients with hypertrophic cardiomyopathy (c, f) [31].
Перспективы
Перспективным является использование микропузырьков в качестве транспортировщиков лекарств непосредственно к месту поражения. Микропузырьки, заполненные лекарством, под действием ультразвука могут разрушаться, создавая местно наибольшую концентрацию препарата, что может быть использовано для усиления таргетной терапии онкологических заболеваний, а также при необходимости локальных инвазий, например для ослабления степени кровотечения при внутричерепных геморрагиях [32–34].
Активно проводятся опыты по превращению микропузырьков в биомаркеры, способные крепиться к определенным структурам или тканям. Для этого в оболочку пузырька включают лиганды, способные связываться с определенными белками или рецепторами клеточной стенки. Микропузырьки связываются с мишенями и тем самым позволяют лучше контрастировать искомое образование при УЗИ. В зависимости от лиганд-рецепторного взаимодействия возможно контрастирование опухолей, зон ишемии, воспаления и т.д. [32, 34].
С появлением высокочастотных ультразвуковых датчиков, способных выдавать до 1000 изображений в секунду (для сравнения: обычные датчики – около 30 с) стало возможным получение ультразвуковых изображений высокого качества. Применение высокочастотных датчиков вкупе с контрастированием перспективно для оценки гемодинамики, фракции выброса левого желудочка и стенотических поражений сосудов благодаря оценке распределения микропузырьков по руслу сосуда/полости сердца, улучшенное качество изображения с большим количеством кадров в секунду позволяет уменьшить операторозависимость метода, делая его более объективным [31].
Заключение
УЗИ с контрастным усилением имеет богатую историю развития и перспективное будущее. Вышло множество работ, показывающих эффективность данной методики, однако она до сих пор не нашла широкого клинического применения. Мы считаем, что данный метод необоснованно бедно представлен в практике врачей, особенно в нашей стране, и требует активного внедрения в практическую медицину в связи с его высокой диагностической точностью и специфичностью.
Раскрытие интересов. Авторы декларируют отсутствие явных и потенциальных конфликтов интересов, связанных с публикацией настоящей статьи.
Disclosure of interest. The authors declare that they have no competing interests.
Вклад авторов. Авторы декларируют соответствие своего авторства международным критериям ICMJE. Все авторы в равной степени участвовали в подготовке публикации: разработка концепции статьи, получение и анализ фактических данных, написание и редактирование текста статьи, проверка и утверждение текста статьи.
Authors’ contribution. The authors declare the compliance of their authorship according to the international ICMJE criteria. All authors made a substantial contribution to the conception of the work, acquisition, analysis, interpretation of data for the work, drafting and revising the work, final approval of the version to be published and agree to be accountable for all aspects of the work.
Источник финансирования. Авторы декларируют отсутствие внешнего финансирования для проведения исследования и публикации статьи.
Funding source. The authors declare that there is no external funding for the exploration and analysis work.
Список сокращений
About the authors
Olga Iu. Mironova
Sechenov First Moscow State Medical University (Sechenov University)
Email: mironova_o_yu@staff.sechenov.ru
ORCID iD: 0000-0002-5820-1759
доктор мед. наук, проф. каф. факультетской терапии №1
Russian Federation, MoscowMaria A. Isaikina
Sechenov First Moscow State Medical University (Sechenov University)
Email: mironova_o_yu@staff.sechenov.ru
ORCID iD: 0000-0001-6440-8636
канд. мед. наук, ассистент каф. факультетской терапии №1 Институт клинической медицины им. Н.В. Склифосовского
Russian Federation, MoscowGeorgy O. Isaev
Sechenov First Moscow State Medical University (Sechenov University)
Author for correspondence.
Email: mironova_o_yu@staff.sechenov.ru
ORCID iD: 0000-0002-4871-8797
аспирант каф. факультетской терапии №1 Институт клинической медицины им. Н.В. Склифосовского
Russian Federation, MoscowMaria V. Berdysheva
Sechenov First Moscow State Medical University (Sechenov University)
Email: mironova_o_yu@staff.sechenov.ru
ORCID iD: 0000-0002-3393-6863
студентка
Russian Federation, MoscowVictor V. Fomin
Sechenov First Moscow State Medical University (Sechenov University)
Email: mironova_o_yu@staff.sechenov.ru
ORCID iD: 0000-0002-2682-4417
чл.-кор. РАН, доктор мед. наук, проф., проректор по клинической работе и дополнительному профессиональному образованию, зав. каф. факультетской терапии №1 Институт клинической медицины им. Н.В. Склифосовского
Russian Federation, MoscowReferences
- Wiener WR, Lausen GD. Audition for the Traveler Who Is Visually Impaired. In: Eds. BB Blasch, WR Wiener, RL Welsch. Foundations of Orientation and Mobility. New York: AFB Press, 1997; p. 146.
- Marinesco N, Trillat JJ. Action des ultrasons sur les plaques photographique. C R Acad Sci. 1933;196:858-60.
- Marinesco N. Propriétés piézo-chimiques, physiques et biophysiques des ultrasons. I et II. Actualités scientifiques et industrielles. 522 & 523. Paris: Hermann, 1937.
- Dussik K. Über die Möglichkeit hochfrequente mechanische Schwingungen als diagnostiches Hilfsmittel zi verwenden. Z Neur. 1942;174:153.
- Dussik K. Ultraschallanwendung in der Diagnostik und Therapie des Erkrankungen des zentralen Nervensus-sytems. Ultrasch in der Med. 1949;1:283.
- Howry DH, Bliss WR. Ultrasonic visualization of soft tissue structures of the body. J Lab Clin Med. 1952;40:579-92.
- Strandness DE Jr., McCutcheon EP, Rushmer RF. Application of a transcutaneous Doppler flowmeter in evaluation of occlusive arterial disease. Surg Gynecol Obstet. 1966;122(5):1039-45.
- Leksell L. Echoencephalography I. Detection of intracranial complications following head injury. Acta Chir Scandinav. 1955;110:301.
- Edler I, Hertz CH. The use of ultrasonic reflectoscope for the continuous recording of movements of heart walls. Kungl Fysiogr Sällsk i Lund firhandl. 1954;24:5.
- Satomura S. Ultrasonic Doppler Method for the Inspection of Cardiac Functions. J Acoust Soc Am. 1957;29(11):1181-5. doi: 10.1121/1.1908737
- Kasai C, Namekawa K, Koyano A, Omoto R. Real-Time Two-Dimensional Blood Flow Imaging Using an Autocorrelation Technique. IEEE Transactions on Sonics and Ultrasonics. 1985;32(3):458-64. doi: 10.1109/T-SU.1985.31615
- Gramiak R, Shah P. Echocardiography of the aortic root. Invest Radiol. 1968;3:356-66.
- Enhancing the Role of Ultrasound with Contrast Agents. Ed. R Lencioni. Springer, 2006; p. 262.
- Feinstein SB, Shah PM, Bing RJ, et al. Microbubble dynamics visualized in the intact capillary circulation. J Am Coll Cardiol. 1984;4(3):595-600. doi: 10.1016/s0735-1097(84)80107-2
- Schürmann R, Schlief R. Saccharide-based contrast agents. Characteristics and diagnostic potential. Radiol Med. 1994;87(5 Suppl. 1):15-23.
- Kalantarinia K, Okusa MD. Ultrasound contrast agents in the study of kidney function in health and disease. Drug Discov Today Dis Mech. 2007;4(3):153-8. doi: 10.1016/j.ddmec.2007.10.006
- Qin S, Caskey CF, Ferrara KW. Ultrasound contrast microbubbles in imaging and therapy: physical principles and engineering. Phys Med Biol. 2009;54(6):R27-57. doi: 10.1088/0031-9155/54/6/R01
- Wei K, Mulvagh SL, Carson L, et al. The safety of deFinity and Optison for ultrasound image enhancement: a retrospective analysis of 78,383 administered contrast doses. J Am Soc Echocardiogr. 2008;21(11):1202-6. doi: 10.1016/j.echo.2008.07.019
- Lindner JR. Contrast echocardiography: current status and future directions. Heart. 2021;107(1):18-24. doi: 10.1136/heartjnl-2020-316662
- Porter TR, Mulvagh SL, Abdelmoneim SS, et al. Clinical Applications of Ultrasonic Enhancing Agents in Echocardiography: 2018 American Society of Echocardiography Guidelines Update. J Am Soc Echocardiogr. 2018;31(3):241-74. doi: 10.1016/j.echo.2017.11.013
- Levey AS, Cattran D, Friedman A, et al. Proteinuria as a surrogate outcome in CKD: report of a scientific workshop sponsored by the National Kidney Foundation and the US Food and Drug Administration. Am J Kidney Dis. 2009;54(2):205-26. doi: 10.1053/j.ajkd.2009.04.029
- Jeong S, Park SB, Kim SH, et al. Clinical significance of contrast-enhanced ultrasound in chronic kidney disease: a pilot study. J Ultrasound. 2019;22(4):453-60. doi: 10.1007/s40477-019-00409-x
- Wang L, Xia P, Lv K, et al. Assessment of renal tissue elasticity by acoustic radiation force impulse quantification with histopathological correlation: preliminary experience in chronic kidney disease. Eur Radiol. 2014;24(7):1694-9. doi: 10.1007/s00330-014-3162-5
- Claudon M, Dietrich CF, Choi BI, et al. Guidelines and good clinical practice recommendations for contrast enhanced ultrasound (CEUS) in the liver – update 2012: a WFUMB-EFSUMB initiative in cooperation with representatives of AFSUMB, AIUM, ASUM, FLAUS and ICUS. Ultraschall Med. 2013;34(1):11-29. doi: 10.1055/s-0032-1325499
- Erlichman DB, Weiss A, Koenigsberg M, Stein MW. Contrast enhanced ultrasound: A review of radiology applications. Clin Imaging. 2020;60(2):209-15. doi: 10.1016/j.clinimag.2019.12.013
- Bansal M, Kasliwal RR. Echocardiography for left atrial appendage structure and function. Indian Heart J. 2012;64(5):469-75. doi: 10.1016/j.ihj.2012.07.020
- Eriksson MJ, Sonnenberg B, Woo A, et al. Long-term outcome in patients with apical hypertrophic cardiomyopathy. J Am Coll Cardiol. 2002;39(4):638-45. doi: 10.1016/s0735-1097(01)01778-8
- Hoffmann R, Barletta G, von Bardeleben S, et al. Analysis of left ventricular volumes and function: a multicenter comparison of cardiac magnetic resonance imaging, cine ventriculography, and unenhanced and contrast-enhanced two-dimensional and three-dimensional echocardiography. J Am Soc Echocardiogr. 2014;27(3):292-301. doi: 10.1016/j.echo.2013.12.005
- Kurt M, Shaikh KA, Peterson L, et al. Impact of contrast echocardiography on evaluation of ventricular function and clinical management in a large prospective cohort. J Am Coll Cardiol. 2009;53(9):802-10. doi: 10.1016/j.jacc.2009.01.005
- Ogbogu PU, Rosing DR, Horne MK 3rd. Cardiovascular manifestations of hypereosinophilic syndromes. Immunol Allergy Clin North Am. 2007;27(3):457-75. doi: 10.1016/j.iac.2007.07.001
- Vos HJ, Voorneveld JD, Groot Jebbink E, et al. Contrast-Enhanced High-Frame-Rate Ultrasound Imaging of Flow Patterns in Cardiac Chambers and Deep Vessels. Ultrasound Med Biol. 2020;46(11):2875-90. doi: 10.1016/j.ultrasmedbio.2020.07.022
- Frinking P, Segers T, Luan Y, Tranquart F. Three Decades of Ultrasound Contrast Agents: A Review of the Past, Present and Future Improvements. Ultrasound Med Biol. 2020;46(4):892-908. doi: 10.1016/j.ultrasmedbio.2019.12.008
- Nittayacharn P, Yuan HX, Hernandez C, et al. Enhancing Tumor Drug Distribution With Ultrasound-Triggered Nanobubbles. J Pharm Sci. 2019;108(9):3091-8. doi: 10.1016/j.xphs.2019.05.004
- Chong WK, Papadopoulou V, Dayton PA. Imaging with ultrasound contrast agents: current status and future. Abdom Radiol (NY). 2018;43(4):762-72. doi: 10.1007/s00261-018-1516-1.
Supplementary files
