Effect of dapagliflozin on the dynamics of magnetic resonance imaging in patients with heart failure and atrial fibrillation
- Authors: Saipudinova K.M.1, Uskach T.M.1,2, Shariya M.А.1,3, Ustyuzhanin D.V.1, Dobrovolskaya S.V.1, Tereshchenko S.N.1
-
Affiliations:
- Chazov National Medical Research Center of Cardiology
- Russian Medical Academy of Continuous Professional Education
- Sechenov First Moscow State Medical University (Sechenov University)
- Issue: Vol 95, No 9 (2023)
- Pages: 776-781
- Section: Original articles
- Submitted: 20.04.2023
- Published: 25.09.2023
- URL: https://ter-arkhiv.ru/0040-3660/article/view/340857
- DOI: https://doi.org/10.26442/00403660.2023.09.202368
- ID: 340857
Cite item
Full Text
Abstract
Aim. To determine the effect of dapagliflozin therapy on myocardial remodeling and fibrosis according to magnetic resonance imaging (MRI) with contrast in patients with chronic heart failure (CHF) and atrial fibrillation (AF).
Materials and methods. In the group of 22 patients with a combination of CHF and AF we analyzed the dynamics of remodeling parameters and assessed myocardial fibrosis during 6-month therapy with dapagliflozin according to cardiac MRI with contrast.
Results. After 6 months of dapagliflozin therapy there was a statistically significant increase in LVEF (27 [23-32]-32 [26.5-36.5] p-0.04) and a tendency to decrease volume and linear dimensions of LV, LP. There was no progression of myocardial fibrosis according to the results of cardiac MRI with contrast in patients with HFrFV and AF.
Conclusions. Dapagliflozin therapy in patients with HFrEF and AF led to favorable myocardial remodeling changes.
Full Text
Список сокращений
Введение
Хроническая сердечная недостаточность (ХСН) со сниженной фракцией выброса (ФВ) левого желудочка (ЛЖ) – серьезная проблема здравоохранения, риск развития которой возрастает по мере старения населения [1]. Вследствие роста населения и распространения сопутствующих заболеваний ожидается увеличение частоты госпитализаций по поводу сердечной недостаточности (СН) на 50% в течение следующих 25 лет [2]. Среди сопутствующих сердечно- сосудистых заболеваний фибрилляция предсердий (ФП) является наиболее частым нарушением ритма у пациентов с ХСН, а в свою очередь ХСН – наиболее частая причина смерти у пациентов с клинически выраженной ФП. Между этими двумя состояниями существует сложное взаимодействие, поскольку ХСН предрасполагает к ФП, а появление ФП у пациентов с ХСН ухудшает симптомы и усложняет терапевтическое лечение. По данным крупного международного регистра пациентов с ФП, ХСН встречается в 33% случаев пароксизмальной, в 44% случаев – персистирующей и в 56% случаев – постоянной формы ФП [3]. В австралийском регистре впервые выявленная ХСН диагностирована у 11,7% больных с ФП, при этом риск смерти у данной категории больных возрастает в 3 раза [4]. Также вероятность госпитализации пациентов с ФП в 2 раза выше, чем у пациентов без ФП [5]. Таким образом, пациенты с ХСН и ФП имеют более неблагоприятный прогноз по сравнению с пациентами с синусовым ритмом [6]. На протяжении многих лет оптимальной для лечения ХСН считалась трехкомпонентная терапия: β-адреноблокаторы, ингибиторы ангиотензинпревращающего фермента (АПФ)/ингибиторы рецепторов ангиотензина-неприлизина (АРНИ)/блокаторы рецепторов ангиотензина, антагонисты рецепторов минералокортикоидов (АМКР), в первую очередь по причине положительного влияния этих препаратов на прогноз, а также на симптоматику и частоту госпитализаций в рандомизированных контролируемых исследованиях [7]. С 2021 г. неотъемлемым компонентом оптимальной терапии ХСН согласно европейским и американским регламентирующим документам [1, 8, 9] стали ингибиторы натрий-зависимого переносчика глюкозы 2-го типа (иНГЛТ-2), так как в крупных рандомизированных плацебо-контролируемых исследованиях как для дапаглифлозина, так и для эмпаглифлозина доказано снижение комбинированного риска смерти от сердечно-сосудистых заболеваний или госпитализации по поводу СН у пациентов с ХСН с сахарным диабетом (СД) или без него. При применении этого класса препаратов отмечена хорошая переносимость [10]. Как известно, ключевым предиктором смерти и неблагоприятных событий у пациентов с ХСН считается ремоделирование ЛЖ, характеризующееся дилатацией его полости и снижением сократительной функции, в то время как обратное ремоделирование характеризуется улучшением симптомов, снижением риска госпитализации и смерти пациентов с ХСН [11]. Увеличение размеров левого предсердия (ЛП) при ХСН, особенно при наличии ФП, является важным прогностическим фактором. Эффективность терапии ХСН определяется в том числе влиянием на процессы ремоделирования миокарда камер сердца [12].
Одним из наиболее распространенных гистологических признаков ХСН является фиброз миокарда, который приводит к неблагоприятным эффектам, таким как расширение камер сердца, повышенная жесткость миокарда и диастолическая дисфункция. Миокардиальный фиброз играет ключевую роль в развитии и прогрессировании нарушений ритма при ХСН [13]. Выявление миокардиального фиброза имеет важное значение для стратификации риска, помогает оптимизировать терапию, способствует пониманию механизмов, ответственных за инициацию, прогрессирование и разрешение процесса, и, в конечном счете, позволяет разрабатывать новые антифибротические методы лечения. Магнитно-резонансная томография (МРТ) сердца с контрастным усилением является «золотым стандартом» для визуализации миокарда у пациентов с ХСН. МРТ не только позволяет точно оценить структуру и функцию сердца, но и имеет уникальное преимущество в неинвазивной характеристике тканей миокарда [14].
В связи с этим целью данного исследования явилось определение влияния терапии дапаглифлозином на показатели ремоделирования и фиброза миокарда по данным МРТ сердца с контрастированием у пациентов с ХСН и ФП.
Материалы и методы
В исследовании участвовали 22 пациента, подписавшие информированное согласие. Критериями включения служили: документально подтвержденная ХСН со сниженной ФВЛЖ (≤40%) II–III функционального класса (ФК) по классификации Нью-Йоркской кардиологической ассоциации (New York Heart Association – NYHA) длительностью более 3 мес в сочетании с ФП как пароксизмальной, так и постоянной формы, стабильное состояние в течение последних 30 дней и более. Пациенты до включения в исследование как минимум в течение 3 мес получали 3-компонентную медикаментозную терапию: ингибиторы АПФ/АРНИ, β-адреноблокаторы, АМКР в максимально переносимых дозировках, а также петлевые диуретики.
Основными критериями исключения из исследования стали наличие абсолютных и относительных противопоказаний к проведению МРТ сердца с контрастированием (кардиостимулятор или другие имплантируемые устройства, металлические клипсы на сосудах мозга, металл в костях черепа, беременность, клаустрофобия, аллергия на гадолиниевые контрастные препараты), а также перенесенный инфаркт миокарда в течение предыдущих 90 дней, или чрескожное коронарное вмешательство, или операция на сердце в течение предыдущих 3 мес, клинически значимые нарушения функции почек (скорость клубочковой фильтрации <25 мл/мин/1,73 м2, креатинин крови >130 ммоль/л, протеинурия).
Всем пациентам проведено стандартное клиническое обследование. Длительность наблюдения составила 6 мес.
МРТ сердца с контрастированием выполнялась исходно и через 6 мес после назначения терапии дапаглифлозином в дозировке 10 мг/сут.
Исследование проводилось на магнитно-резонансном томографе с напряженностью поля 1,5 Тл Siemens Magnetom Aera (Германия). Протокол МРТ включал мультифазные последовательности TrueFISP в режиме кинопетли в двух- и четырехкамерной проекции по длинной оси ЛЖ с толщиной среза 6 мм, а также по короткой оси с толщиной среза 8 мм. Количество срезов по короткой оси подбиралось таким образом, чтобы обеспечить охват всей полости ЛЖ.
МРТ сердца с отсроченным контрастированием выполнялась с помощью последовательностей «инверсия- восстановление», а также программ PSIR с толщиной среза 3 мм после подбора оптимального значения времени TI для достижения наилучшего контраста между миокардом и фиброзом. Постконтрастные программы проводились через 10 мин от введения гадолиниевого препарата, содержащего гадодиамид, в дозировке 0,3 мл/кг массы тела пациента.
Конечно-диастолический объем (КДО), конечно- систолический объем (КСО) и ФВЛЖ рассчитывалась суммационным методом на основании полуавтоматического оконтуривания полости в систолу и диастолу на каждом из срезов кино-МРТ по короткой оси ЛЖ с помощью программного обеспечения Philips Intellispace Portal (Нидерланды). Объемы левого и правого предсердий определялись методом «площадь-длина» на изображениях двухкамерной и четырехкамерной проекции по длинной оси ЛЖ.
Проведено определение фиброза миокарда с применением 5-балльной шкалы визуальной оценки. В каждом сегменте ЛЖ оценивался фиброз визуально по 5-балльной шкале. При объеме фиброза от 0–20% присваивался 1 балл, 20–40% – 2 балла, 40–60% – 3 балла, 60–80% – 4 балла, 80–100% – 5 баллов. По каждому пациенту вычислялся суммарный балл фиброза по 17 сегментам миокарда ЛЖ.
Кроме того, проводился количественный анализ объема фиброза миокарда по данным изображений с отсроченным контрастированием. Оптимальная проекция для оценки фиброза (короткая ось, двухкамерное или четырехкамерное сечение по длинной оси) выбиралась для каждого пациента исходя их локализации фиброза. Объем фиброза рассчитывался как сумма площадей контрастирующегося миокарда на всех срезах одной проекции через весь объем ЛЖ, умноженная на толщину среза и межсрезовый промежуток.
Статистический анализ данных осуществляли с помощью пакета прикладных программ Excel 2010 и статистических программ Statistica 10 (StatSoft Inc., США). Качественные величины представлены как абсолютные значения и проценты. Использовались следующие методы статистического анализа: двусторонний F-критерий Фишера, U-критерий Манна–Уитни. Корреляционный анализ проводился с применением рангового критерия Спирмена. Выборочные параметры, приводимые в таблице, представлены в виде M (sd) и Me [Lq; Uq], где M – среднее, sd – стандартное отклонение, Ме – медиана, Lq; Uq – межквартильный размах. За минимальный уровень значимости принято p<0,05.
Результаты
Таблица 1. Клинико-демографическая характеристика включенных пациентов Table 1. Clinical and demographic characteristics of included patients | |
Показатель | Значение |
Возраст, лет | |
Мужчина/женщина, абс. (%) | 19 (19)/3 (3) |
ФК ХСН (NYHA), абс. (%) | II ФК – 45,4 (45,4) III ФК – 54,6 (54,6) |
Длительность ХСН, мес | 24 [12–36] |
Длительность ФП, мес | 32 [12–48] |
ФВ ЛЖ по данным эхокардиографии, % | 31 [28–37] |
Постоянная форма ФП, абс. (%) | 72,8 (72,8) |
Пароксизмальная форма ФП, абс. (%) | 27,2 (27,2) |
СД 2-го типа, абс. (%) | 8 (8) |
Участники исследования наблюдались в ФГБУ «НМИЦ кардиологии имени акад. Е.И. Чазова». Клинико-демографическая характеристика включенных пациентов представлена в табл. 1. Медиана возраста пациентов (n=22) составила 60 [49, 0–65, 0] лет, мужчин – 86,4%, женщин – 13,6%. II ФК ХСН зарегистрирован у 45,4% пациентов, III ФК – у 54,6%, пациентов с пароксизмальной формой ФП – 27,2%, с постоянной формой ФП – 72,8%.
Медикаментозная терапия на момент включения в исследование представлена в табл. 2.
Таблица 2. Частота назначения и дозы лекарственных препаратов до начала исследования Table 2. Frequency of prescription and dosage of drugs prior to the study | ||
Препарат | Процент назначения | Доза, мг |
Валсартан+сакубитрил/периндоприл/эналаприл | 86,3/4,5/9 | 200±100/4/15 |
Бисопролол/метопролол/соталол | 86,3/4,5/4,5/4,5 | 5±2,5/25/80 |
Эплеренон/ спиронолактон | 28,8/72,2 | 50±12,5/50±12,5 |
Фуросемид/торасемид | 54,6/45,4 | 40±20/10±5 |
Ривароксабан/дабигатран/апиксабан | 59/13,6/27,2 | 20/300/10 |
Дигоксин | 27,2 | 0,1875 |
Большое число пациентов исходно получали АРНИ. Все пациенты получали α-адреноблокаторы и АМКР. Принимая во внимание имеющиеся нарушения ритма сердца, всем пациентам назначили антикоагулянтную терапию с целью профилактики тромбоэмболических осложнений. В качестве диуретической терапии назначены фуросемид и торасемид.
Назначение дапаглифлозина после комплексного обследования пациентов и проведения МРТ сердца с контрастированием проводилось в стандартной дозировке 10 мг/сут.
В течение наблюдения не зафиксировано летальных исходов. У 3 пациентов зарегистрировано ухудшение течения ХСН, потребовавшее коррекции доз диуретиков, и отмечена 1 госпитализация по поводу декомпенсации ХСН.
По результатам наблюдения через 6 мес отмечается увеличение числа пациентов, отнесенных к II ФК, с 45,5 до 59% и снижение числа пациентов с III ФК с 54,5 до 41%. На фоне применения дапаглифлозина статистически значимо улучшились показатели толерантности к физической нагрузке и качества жизни (табл. 3).
Таблица 3. Динамика толерантности к нагрузке и качества жизни пациентов в ходе наблюдения Table 3. Dynamics of patient load tolerance and quality of life during observation | |||
Показатель | Исходно | Через 6 мес | p |
Тест 6-минутной ходьбы, м | 295 [250–338] | 370 [308–400] | 0,045 |
Миннесотский опросник качества жизни, баллы | 44 [35–40] | 30 [28–32] | 0,005 |
Динамика ремоделирования и сократимости миокарда у пациентов с ХСН по данным МРТ сердца с контрастированием представлена в табл. 4.
Таблица 4. Показатели ремоделирования сердца по данным МРТ в ходе исследования Table 4. Сardiac remodeling according to MRI data | |||
Показатель | Исходно | Через 6 мес | p |
ФВЛЖ, % | 27 [23–32] | 0,04 | |
КДР, мм | 0,06 | ||
КСР, мм | 56,5 [52–59] | 54 [48–58] | 0,05 |
КДО, мл | 239 [202–280] | 220 [188–235] | 0,06 |
КСО, мл | 180 [143–191] | 150 [125–174] | 0,05 |
ЛП, мм | 49 [44–53] | 0,05 | |
Примечание. Здесь и дале на рис. 1: КДР – конечно-диастолический размер, КСР – конечно-систолический размер. | |||
При анализе результатов МРТ сердца через 6 мес на фоне терапии дапаглифлозином отмечена четкая тенденция к снижению линейных и объемных параметров сердца и статистически значимое увеличение ФВЛЖ.
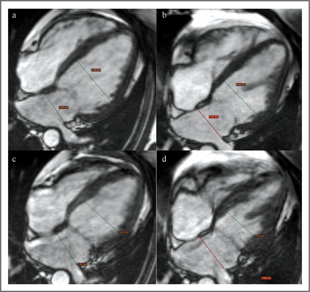
Пример динамики объемных показателей и сократимости по данным МРТ представлен на рис. 1.
Рис. 1. МРТ сердца, кино-МРТ (импульсная последовательность True FISP). Четырехкамерное сечение. Диастола (a, b), систола (c, d). Изображения до лечения (a, c) и после лечения (b, d).
Исследование МРТ показало, уменьшение размеров полости ЛЖ как в диастолу (КДР ЛЖ уменьшился с 7,3 до 6,3 см), так и в систолу (КСР снизился с 6,1 до 4,5 см), в результате снижение ФВ ЛЖ отмечалось с 34 до 43%. При этом полость ЛП достоверно не изменилась.
Fig. 1. Cardiac MRI, Cine MRI (pulse sequence True FISP). Four-chamber section. Diastole (a, b), systole (c, d). Images before treatment (a, c) and after treatment (b, d).
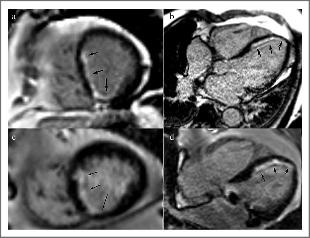
При оценке по 5-балльной шкале оценивалось наличие фиброза по данным МРТ сердца с контрастированием до и после терапии дапаглифлозином, по данным которой не отмечается прогрессирование фиброза (рис. 2).
Рис. 2. МРТ сердца с отсроченным контрастированием после введения гадолиний-содержащего препарата (импульсная последовательность PSIR). Сечение по короткой оси ЛЖ (a, c) и четырехкамерная проекция (b, d). Стрелками обозначен постинфарктный рубец. Изображения до лечения (a, b) и после лечения (c, d).
МРТ показало отсутствие динамики размеров и конфигурации зоны фиброза миокарда при сравнении снимков до и после лечения.
Fig. 2. Cardiac MRI with delayed contrast after introduction of gadolinium containing drug (pulse sequence PSIR). A section on the short axis of the left ventricle (a, c) and a four-chamber projection (b, d). The arrows mark the postinfarction cicatricial changes. Images before treatment (a, b) and after treatment (c, d).
При расчете показателя количественной оценки фиброза миокарда через 6 мес наблюдалось меньшее по сравнению с исходным значение объема фиброза миокарда. Изменения не являлись статистически значимыми (табл. 5).
Обсуждение
Таблица 5. Расчетные показатели количественной оценки фиброза миокарда Table 5. Fibroid heart quantification estimates | |||
Показатель | Исходно | Через 6 мес | p |
Объем фиброза, см2 | 0,6 | ||
5-балльная шкала | 2 | 2 | – |
Процесс ремоделирования миокарда является центральным звеном в патофизиологии прогрессирования ХСН и важнейшим фактором развития нарушений ритма и проводимости сердца, в частности ФП. Современная медикаментозная терапия – основной метод лечения пациентов с ХСН, под воздействием которого размеры и объемы камер сердца могут сокращаться. В ходе крупного международного рандомизированного плацебо-контролируемого исследования DAPA-HF показано, что иНГЛТ-2 дапаглифлозин снижает комбинированный риск смерти от сердечно-сосудистых заболеваний или госпитализации по поводу СН у пациентов с ХСН и сниженной ФВЛЖ [15].
В нашей работе на фоне терапии дапаглифлозином в течение 6 мес произошло улучшение клинического течения ХСН, повышение толерантности к физической нагрузке и качества жизни пациентов с ХСН и ФП. Аналогичные результаты зарегистрированы в исследовании DAPA-HF [15].
В проведенном нами исследовании применение дапаглифлозина в течение 6 мес оказало значительное влияние на процессы ремоделирования и сократимость миокарда в динамике. По результатам анализа данных МРТ с контрастированием отмечается значимое улучшение сократительной способности миокарда ЛЖ и тенденция к снижению линейных и объемных показателей камер сердца. В ретроспективном анализе 104 пациентов с рефрактерной ХСН со сниженной ФВЛЖ – ADD DAPA [16] при применении дапаглифлозина в дополнение к терапии АРНИ через 6 мес продемонстрировано улучшение клинического состояния и значительное увеличение средней ФВЛЖ с 29±4 до 38±5% 9,00±0,62 (p<0,001) по данным эхокардиографии. Параметры размеров и объемов камер не оценивались.
В другом исследовании, проведенном в Китае, изучено влияние дапаглифлозина на объем и сократительную способность ЛЖ у пациентов с инфарктом миокарда с подъемом сегмента ST в сочетании с СД 2-го типа после чрескожного коронарного вмешательства [17]. Через 12 мес в группе дапаглифлозина зарегистрированы значимо меньшие КСО и КДО ЛЖ по сравнению с группой контроля, а также большее увеличение ФВЛЖ. Стоит отметить что ХСН не являлась критерием включения в данное исследование.
В целом, несмотря на большое количество работ, посвященных терапии иНГЛТ-2 у различных групп пациентов, имеются лишь единичные данные о влиянии этих препаратов на процессы ремоделирования у пациентов с ХСН, а у пациентов с сочетанием ХСН и ФП такие работы не проводились.
У пациентов с ХСН и ФП важное значение имеет прогрессирование фиброза миокарда. В настоящее время опубликованы данные нескольких исследований, касающихся влияния иНГЛТ-2 на процессы в миокарде. Описан механизм действия дапаглифлозина на миокардиальный фиброз путем опосредованной поляризации миокардиальных макрофагов через сигнальный путь активации STAT3, который является одним из белков-посредников, обеспечивающих ответ клетки на сигналы, поступающие через рецепторы интерлейкинов и фактора роста [18]. В экспериментальных исследованиях показаны положительные эффекты дапаглифлозина по снижению миокардиального фиброза посредством подавления эндотелиально-мезенхимального перехода и активации фибробластов у крыс с СД [19]. Кроме того, обнаружено, что эмпаглифлозин уменьшает фиброз и ослабляет окислительный стресс у мышей с диабетом [20].
Механизмом возможного положительного влияния иНГЛТ-2 на развитие и прогрессирование ФП является их участие в процессах ремоделирования и фиброзирования миокарда у пациентов с ХСН.
По результатам проведенной в нашей работе визуальной оценки фиброза ЛЖ, который оценивался по 5-балльной шкале, в течение наблюдения не отмечается прогрессирования фиброза. Количественная оценка очагового фиброза миокарда показала отсутствие значимой динамики, что свидетельствует о замедлении процессов фиброзирования на фоне применения дапаглифлозина. Подобные результаты по влиянию на миокардиальный фиброз продемонстрированы в недавнем метаанализе 6 исследований, в котором эмпаглифлозин оказал положительное влияние на сердечно-сосудистую систему, уменьшая диффузный фиброз миокарда [21].
Заключение
МРТ считается наиболее точным методом оценки параметров ремоделирования сердца. С помощью данного метода показано, что у пациентов с ХСН и ФП терапия дапаглифлозином оказывает положительное влияние на процессы обратного ремоделирования за счет снижения размеров как ЛЖ, так и ЛП, а также способствует улучшению сократительной функции ЛЖ. Учитывая рост заболеваемости ХСН и ФП во всем мире, необходимо дальнейшее изучение влияния иНГЛТ-2 в составе оптимальной медикаментозной терапии у этой группы пациентов в крупных исследованиях.
Раскрытие интересов. Авторы декларируют отсутствие явных и потенциальных конфликтов интересов, связанных с публикацией настоящей статьи.
Disclosure of interest. The authors declare that they have no competing interests.
Вклад авторов. Авторы декларируют соответствие своего авторства международным критериям ICMJE. Все авторы в равной степени участвовали в подготовке публикации: разработка концепции статьи, получение и анализ фактических данных, написание и редактирование текста статьи, проверка и утверждение текста статьи.
Authors’ contribution. The authors declare the compliance of their authorship according to the international ICMJE criteria. All authors made a substantial contribution to the conception of the work, acquisition, analysis, interpretation of data for the work, drafting and revising the work, final approval of the version to be published and agree to be accountable for all aspects of the work.
Источник финансирования. Авторы декларируют отсутствие внешнего финансирования для проведения исследования и публикации статьи.
Funding source. The authors declare that there is no external funding for the exploration and analysis work.
Информированное согласие на публикацию. Пациенты подписали форму добровольного информированного согласия на публикацию медицинской информации.
Consent for publication. Written consent was obtained from the patients for publication of relevant medical information and all of accompanying images within the manuscript.
About the authors
Karina M. Saipudinova
Chazov National Medical Research Center of Cardiology
Author for correspondence.
Email: saiputdinova93@mail.ru
ORCID iD: 0000-0002-3757-1160
doctor-graduate student dept. myocardial diseases and heart failure
Russian Federation, MoscowTatiana M. Uskach
Chazov National Medical Research Center of Cardiology; Russian Medical Academy of Continuous Professional Education
Email: tuskach@mail.ru
ORCID iD: 0000-0003-4318-0315
Doctor of Medical Sciences, Ved. Researcher Dept. myocardial diseases and heart failure, professor of the Department of Cardiology
Russian Federation, Moscow; MoscowMerab А. Shariya
Chazov National Medical Research Center of Cardiology; Sechenov First Moscow State Medical University (Sechenov University)
Email: mershar@yandex.ru
ORCID iD: 0000-0002-0370-5204
Doctor of Medical Sciences, Ved. Researcher at the Department of Tomography, Professor at the Department of Radiation Diagnostics and Radiation Therapy
Russian Federation, Moscow; MoscowDmitry V. Ustyuzhanin
Chazov National Medical Research Center of Cardiology
Email: d-ust@yandex.ru
ORCID iD: 0000-0002-0402-3977
Candidate of Medical Sciences, Senior Researcher, Tomography Department
Russian Federation, MoscowSvetlana V. Dobrovolskaya
Chazov National Medical Research Center of Cardiology
Email: S_dobrovolskaya@mail.ru
ORCID iD: 0000-0003-0580-393X
junior researcher dept. ultrasound research methods
Russian Federation, MoscowSergey N. Tereshchenko
Chazov National Medical Research Center of Cardiology
Email: tereschenko@yandex.ru
ORCID iD: 0000-0001-9234-6129
Doctor of Medical Sciences, Professor, Head of Department. myocardial diseases and heart failure
Russian Federation, MoscowReferences
- McDonagh TA, Metra M, Adamo M, Gardner RS, Baumbach A, Böhm M, et al.; ESC Scientific Document Group. 2021 ESC Guidelines for the diagnosis and treatment of acute and chronic heart failure: Developed by the Task Force for the diagnosis and treatment of acute and chronic heart failure of the European Society of Cardiology (ESC). With the special contribution of the Heart Failure Association (HFA) of the ESC. Eur J Heart Fail. 2022; 24(1):4-131. doi: 10.1002/ejhf.2333
- Savarese G, Lund LH. Global Public Health Burden of Heart Failure. Card Fail Rev. 2017 Apr;3(1):7-11. doi: 10.15420/cfr.2016:25:2.
- Chiang CE, Naditch-Brule L, Murin J, Goethals M, Inoue H, O'Neill J, Silva-Cardoso J, Zharinov O, Gamra H, Alam S, Ponikowski P, Lewalter T, Rosenqvist M, Steg PG. Distribution and risk profile of paroxysmal, persistent, and permanent atrial fibrillation in routine clinical practice: insight from the real-life global survey evaluating patients with atrial fibrillation international registry. Circulation: Arrhythmia and Electrophysiology. 2012;5(4):632-639.
- Weber C, Hung J, Hickling S, Nedkoff L, Murray K, Li I, Briffa TG. Incidence, predictors and mortality risk of new heart failure in patients hospitalised with atrial fibrillation. Heart (British Cardiac Society). 2021;107(16):1320-1326. doi: 10.1136/heartjnl-2020-318648.
- Kim MH, Johnston SS, Chu BC, Dalal MR, Schulman KL. Estimation of total incremental health care costs in patients with atrial fibrillation in the United States. Circ Cardiovasc Qual Outcomes. 2011 May;4(3):313-20. doi: 10.1161/CIRCOUTCOMES.110.958165.
- Mamas MA, Caldwell JC, Chacko S, Garratt CJ, Fath-Ordoubadi F, Neyses L. A meta-analysis of the prognostic significance of atrial fibrillation in chronic heart failure. Eur J Heart Fail. 2009 Jul;11(7):676-83. doi: 10.1093/eurjhf/hfp085.
- Ponikowski P, Voors AA, Anker SD, Bueno H, Cleland JGF, Coats AJS, Falk V, González-Juanatey JR, Harjola VP, Jankowska EA, Jessup M, Linde C, Nihoyannopoulos P, Parissis JT, Pieske B, Riley JP, Rosano GMC, Ruilope LM, Ruschitzka F, Rutten FH, van der Meer P; ESC Scientific Document Group. 2016 ESC Guidelines for the diagnosis and treatment of acute and chronic heart failure: The Task Force for the diagnosis and treatment of acute and chronic heart failure of the European Society of Cardiology (ESC)Developed with the special contribution of the Heart Failure Association (HFA) of the ESC. Eur Heart J. 2016 Jul 14;37(27):2129-2200. doi: 10.1093/eurheartj/ehw128
- Терещенко С. Н., Галявич А. С., Ускач Т.М. и др. Хроническая сердечная недостаточность. Клинические рекомендации 2020. Российский кардиологический журнал. 2020;25(11): 4083 [Tereshchenko S.N., Galyavich A.S., Uskach T.M. 2020 Clinical practice guidelines for Chronic heart failure. Russian Journal of Cardiology. 2020;25(11):4083. (In Russ.)] doi: 10.15829/1560-4071-2020-4083
- Maddox TM, Januzzi JL, Larry A, Butler LAJ, Davis LL, Fonarow GC, Ibrahim, Jessup NEM, Lindenfeld JA, Maddox TM, Masoudi FA, Motiwala SR, Patterson JH, Walsh MN, Wasserman A. 2021 Update to the 2017 ACC Expert Consensus Decision Pathway for Optimization of Heart Failure Treatment: Answers to 10 Pivotal Issues About Heart Failure With Reduced Ejection Fraction: A Report of the American College of Cardiology Solution Set Oversight Committee. Journal of the American College of Cardiology. 2021;77(6):772-810. https://doi.org/10.1016/j.jacc.2020.11.022 18. Global, regional, and national burden of chronic kidney disease
- McMurray JJV, Solomon SD, Inzucchi SE, Køber L, Kosiborod MN, Martinez FA, Ponikowski P, Sabatine MS, Anand IS Bělohlávek J, Böhm M, Chiang CE, Chopra VK, de Boer RA, Desai AS, Diez M, Drozdz J, Dukát A, Ge J, Howlett JG, Katova T, Kitakaze M, Ljungman CEA, Merkely B, Nicolau JC, O'Meara E, Petrie MC, Vinh PN, Schou M, Tereshchenko S, Verma S, Held C, DeMets DL, Docherty KF, Jhund PS, Bengtsson O, Sjöstrand M, Langkilde AM; DAPA-HF Trial Committees and Investigators. Dapagliflozin in Patients with Heart Failure and Reduced Ejection Fraction. N Engl J Med. 2019 Nov 21; 381(21):1995-2008. doi: 10.1056/NEJMoa1911303.
- Kramer DG, Trikalinos TA, Kent DM, et al. Quantitative evaluation of drug or device effects on ventricular remodeling as predictors of therapeutic effects on mortality in patients with heart failure and reduced ejection fraction: a meta-analytic approach. J Am Coll Cardiol. 2010;56:392-406. doi: 10.1016/j.jacc.2010.05.011.
- Triposkiadis F, Pieske B, Butler J, et al. Global left atrial failure in heart failure. Eur J Heart Fail. 2016;18:1307-20. doi:10.1002/ ejhf.645.
- The pathogenesis of cardiac fibrosis, Ping Kong, Panagiota Christia, Nikolas G. Frangogiannis, Cellular and Molecular Life Sciences volume 71, pages549–574 (2014)
- Flett AS, Hasleton J, Cook C, Hausenloy D, Quarta G, Ariti C, Muthurangu V, Moon JC. Evaluation of techniques for the quantification of myocardial scar of differing etiology using cardiac magnetic resonance. JACC Cardiovasc Imaging. 2011 Feb;4(2):150-6. doi: 10.1016/j.jcmg.2010.11.015.
- Zannad F, Ferreira JP, Pocock SJ, Anker SD, Butler J, Filippatos G, Brueckmann M, Ofstad AP, Pfarr E, Jamal W, Packer M. SGLT2 inhibitors in patients with heart failure with reduced ejection fraction: a meta-analysis of the EMPEROR-Reduced and DAPA-HF trials. Lancet. 2020 Sep 19;396(10254):819-829. doi: 10.1016/S0140-6736(20)31824-9.
- Jariwala P, Jadhav K, Punjani A, Boorugu H, Mari AR. ADDition of DAPAgliflozin, Sodium-Glucose Cotransporter-2 Inhibitor to Angiotensin Receptor Blocker-Neprilysin Inhibitors Non-Responders in Patient with Refractory Heart Failure with Reduced Ejection Fraction (ADD DAPA trial). Indian Heart J. 2021 Sep-Oct;73(5):605-611. doi: 10.1016/j.ihj.2021.07.005.
- Xue L, Yuan X, Zhang S, Zhao X. Investigating the Effects of Dapagliflozin on Cardiac Function, Inflammatory Response, and Cardiovascular Outcome in Patients with STEMI Complicated with T2DM after PCI. Evid Based Complement Alternat Med. 2021 Oct 15;2021:9388562. doi: 10.1155/2021/9388562
- Wang H, Ding L, Tian L, Tian Y, Liao L, Zhao J. Empagliflozin reduces diffuse myocardial fibrosis by extracellular volume mapping: A meta-analysis of clinical studies. Front Endocrinol (Lausanne). 2022 Aug 11;13:917761. doi: 10.3389/fendo.2022.917761.
- Lee TM, Chang NC, Lin SZ. Dapagliflozin, a selective SGLT2 Inhibitor, attenuated cardiac fibrosis by regulating the macrophage polarization via STAT3 signaling in infarcted rat hearts. Free Radic Biol Med. 2017 Mar;104:298-310. doi: 10.1016/j.freeradbiomed.2017.01.035.
- Tian J, Zhang M, Suo M, Liu D, Wang X, Liu M, Pan J, Jin T, An F. Dapagliflozin alleviates cardiac fibrosis through suppressing EndMT and fibroblast activation via AMPKα/TGF-β/Smad signalling in type 2 diabetic rats. J Cell Mol Med. 2021 Aug;25(16):7642-7659. doi: 10.1111/jcmm.16601.
- Li C, Zhang J, Xue M, Li X, Han F, Liu X, Xu L, Lu Y, Cheng Y, Li T, Yu X, Sun B, Chen L. SGLT2 inhibition with empagliflozin attenuates myocardial oxidative stress and fibrosis in diabetic mice heart. Cardiovasc Diabetol. 2019 Feb 2;18(1):15. doi: 10.1186/s12933-019-0816-2.
Supplementary files





