Platypnea: оne more type position shortness of breath
- Authors: Dvoretskiy L.I.1, Rezvan V.V.1
-
Affiliations:
- Sechenov First Moscow State Medical University (Sechenov University)
- Issue: Vol 92, No 3 (2020)
- Pages: 92-97
- Section: Original articles
- Submitted: 26.04.2020
- Published: 27.03.2020
- URL: https://ter-arkhiv.ru/0040-3660/article/view/33912
- DOI: https://doi.org/10.26442/00403660.2020.03.000436
- ID: 33912
Cite item
Full Text
Abstract
The article presents modern data on the causes of platypnea, methods of its diagnosis and treatment. The data on the development of platypnea syndrome are given not only in cardiac pathology, but also in severe liver diseases with the development of hepatopulmonary syndrome and chronic obstructive pulmonary disease of a severe course.
Full Text
АМПП – аневризма межпредсердной перегородки
ВЛШ – внутрилегочный шунт
ГПС – гепатопульмональный синдром
ДМПП – дефект межпредсердной перегородки
ЕК – евстахиев клапан
ЛП – левое предсердие
НОО – незаращенное овальное окно
ПОД – платипноэ с ортодеоксией
ПП – правое предсердие
ХОБЛ – хроническая обструктивная болезнь легких
ШПЛ – шунт справа налево
ЭхоКГ – эхокардиография
Введение
Среди большого числа пациентов, обращающихся к врачу в связи с дыхательным дискомфортом и предъявлявших жалобы на одышку, некоторые отмечают определенную связь одышки с положением тела. При перемене положения тела состояние улучшается, а ощущение одышки становится менее выраженным либо одышка исчезает совсем. Одним из хорошо известных врачам проявлений позиционной одышки является ортопноэ (от греч. orthos – стоя и pnoe – дыхание), буквально обозначающее дыхание стоя. Ортопноэ характеризуется появлением или усилением затрудненного дыхания в положении лежа и исчезающим после придания сидячего или полусидячего положения. Чаще всего оно наблюдается при застойной сердечной недостаточности (главным образом левожелудочковой). В положении сидя кровь перераспределяется в нижерасположенные области тела, что приводит к уменьшению венозного возврата и снижению преднагрузки на правый и левый желудочки. Следовательно, ортопноэ – это быстрый и эффективный механизм устранения застоя крови в малом круге кровообращения, «флеботомия для бедных». Менее известно врачам другое, более редко встречающееся проявление позиционного диспноэ – платипноэ (от греч. platy – плоско и pnoe – дыхание). Платипноэ представляет собой клинический симптом, характеризующийся возникновением или усилением одышки в вертикальном положении (стоя или сидя) и улучшением дыхания при принятии больным горизонтального положения. Обычно платипноэ сопровождается снижением парциального содержания кислорода в крови (ортодеоксия), причем показатели оксигенации снижаются достаточно быстро, в течение 2–3 мин стояния, и начинают повышаться после принятия больным горизонтального положения.
Эпидемиология, основные механизмы, диагностика
Впервые синдром платипноэ был описан в 1949 г. у больного легочной гипертензией [1] и вначале обозначался как «ортостатический цианоз». Термины «платипноэ» и «ортодеоксия» были официально приняты для описания данного вида позиционного диспноэ в 1969 и 1976 г. соответственно [2, 3].
Платипноэ с ортодеоксией (ПОД) является редким клиническим феноменом, в связи с чем его истинную частоту трудно установить. Приводимые показатели встречаемости ПОД, колеблющиеся, по разным данным, от 13 до 47%, не всегда подтверждаются верификацией конкретной сердечной или легочной патологии [4]. В то же время вероятность ПОД-синдрома при некоторых ситуациях может недооцениваться из-за недостаточного знакомства врачей с подобным и кажущимся парадоксальным проявлением диспноэ [5].
Интерес к ПОД-синдрому постепенно возрастает в связи с очевидной необходимостью понимания и расшифровки механизмов развития, а также оценки клинического значения данного вида диспноэ. Если во 2-й половине ХХ в., после первого описания, ежегодно публиковалось менее 1 случая ПОД [6], то к 2012 г. было опубликовано 105 статей, в которых сообщалось о 188 случаях ПОД-синдрома при различных заболеваниях [7], а в более поздней публикации сообщалось уже о 239 больных с верифицированным ПОД-синдромом [8].
Спустя 70 лет после первого описания данного клинического феномена точные механизмы ПОД-синдрома остаются неизвестными, хотя постулируются три основных механизма [6]:
- внутрисердечное шунтирование крови;
- внутрилегочное, анатомически обусловленное сосудистое шунтирование;
- вентиляционно-перфузионные нарушения (паренхиматозное легочное шунтирование);
- смешанные механизмы.
Критериями ПОД-синдрома принято считать следующие проявления:
- одышка, возникающая в вертикальном положении и исчезающая в положении лежа;
- снижение сатурации (sPO2<90%) или парциального давления кислорода (pO2<60 mmHg) в вертикальном положении и нормализация указанных показателей в положении лежа;
- верифицированное межпредсердное сообщение с наличием шунта справа налево (ШПЛ) при отсутствии легочной гипертензии и повышения давления в правом предсердии (ПП) [7, 9].
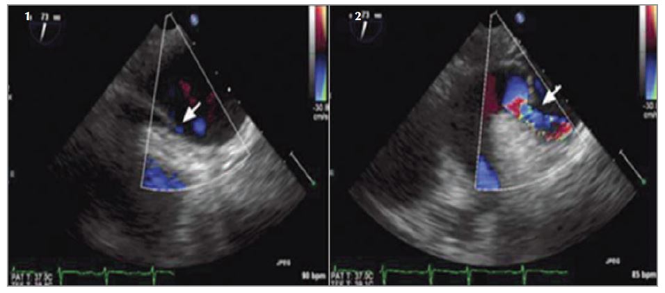
Наличие ШПЛ подтверждается с помощью трансторакальной контрастной эхокардиографии (ЭхоКГ). Раннее появление контраста (в течение 3 сердечных сокращений) в левых отделах сердца свидетельствует о наличии внутрикардиального шунта, в то время как при более позднем появлении (после 6 сокращений) можно думать об экстракардиальном шунтировании [10, 11]. Данный метод используется также в качестве скрининга у больных с наличием гипоксии при различных легочных заболеваниях с целью выявления и локализации анатомических ШПЛ [12–14]. Кроме того, метод позволяет визуализировать внутрилегочные сосудистые мальформации, которые не всегда удается выявить даже с помощью ангиопульмонографии [3]. Трансэзофагеальная ЭхоКГ позволяет более точно анатомически оценить состояние предсердия и межпредсердной перегородки, например наличие незаращенного овального окна (НОО), аневризмы межпредсердной перегородки (АМПП), персистирующего евстахиева клапана – ЕК [15, 16] (см. рис. 1 на цветной вклейке).
Рис. 1 Трансэзофагеальная ЭхоКГ показывает существенную позиционную зависимость внутрисердечного шунтирования: 1 – пациент находится в положении лежа на спине, стрелка указывает на открытое овальное отверстие, через которое не на- блюдается значительного шунтирования; 2 – пациент сидит под углом 90°, через несколько секунд после перехода в вертикальное положение стрелка показывает заметное изменение геометрии перегородки и шунтирование справа налево [31].
Выраженность ШПЛ и особенно ее связь с положением тела должны быть подтверждены с помощью стандартной пульсоксиметрии или, при возможности, газовым анализом крови. Несмотря на то что неинвазивное измерение сатурации общепринято в распознавании ранних стадий ПОД-синдрома, «золотым стандартом» диагностики является непосредственное измерение сатурации в левом предсердии (ЛП) и легочных венах при катетеризации. Снижение сатурации между легочными венами и ЛП подтверждает наличие ШПЛ и указывает на кардиальную природу ПОД-синдрома. Чувствительность данного метода может повышаться при использовании некоторых провоцирующих клинических маневров, например пробы Вальсальвы (увеличивает степень ШПЛ в вертикальном положении). В обычной клинической практике достаточно использования неинвазивных методов диагностики ПОД, однако инвазивная диагностика приобретает важное значение при оценке величины ШПЛ и принятии решения об оперативном закрытии НОО – самой частой причины ПОД-синдрома. Кроме того, катетеризация ПП сердца позволяет оценить величину давления в легочной артерии, поскольку тяжелая легочная гипертензия может привести к клиническому ухудшению состояния пациента после закрытия НОО, несмотря на коррекцию ШПЛ.
Возможные причины синдрома ПОД [4]
Анатомические или функциональные изменения | Патофизиологические механизмы | Нозологические формы |
Внутрисердечный шунт: • открытое овальное отверстие • ДМПП | Временный ШПЛ без увеличения градиента давления | • Сжатие ПП аортой при ее удлинении или аневризме • Перикардиальный выпот или констриктивный перикардит • Пульмонэктомия • Эозинофильно-эндомиокардиальная болезнь • Неправильно лежащий ЕК или сеть Киари • Миксома ПП • Гипертрофия, липоматоз ПП • Кифоз |
АМПП с фенестрацией | Временный ШПЛ с увеличением градиента давления | • Тромбоэмболия легочной артерии • Идиопатическая легочная гипертензия • Правосторонний гидроторакс • Длительное заболевание легких, вызывающее легочную гипертензию • Состояние после пневмонэктомии |
Заболевания легких с нарушением отношения вентиляция/перфузия | Высокое соотношение вентиляция /перфузия | • Эмфизема • ХОБЛ • Интерстициальные болезни легких |
Низкое соотношение вентиляция/перфузия | • Гепатопульмональный синдром • Легочные артериовенозные мальформации или фистулы – синдром Ренду–Ослера–Вебера |
ПОД-синдром наблюдается при различных патологических состояниях, которые могут быть объединены в несколько групп (см. таблицу):
- сердечно-сосудистые;
- легочные;
- печеночные;
- неврологические;
- смешанные.
ПОД-синдром может развиваться при следующих заболеваниях сердца:
- предсердная патология (НОО, АМПП, дефект межпредсердной перегородки – ДМПП, миксома предсердия);
- клапанная патология (стеноз отверстия трикуспидального клапана);
- патология крупных сосудов (транспозиция крупных артерий, удлинение аорты, аневризма аорты);
- болезни миокарда (эозинофильная миокардиальная болезнь);
- болезни перикарда (констриктивный перикардит, перикардиальный выпот);
- сочетанная кардиальная патология (болезнь перикарда, перикардиальный выпот, ремоделирование правого желудочка, ЕК, удлинение аорты).
Наиболее частой кардиальной патологией, сопровождающейся развитием ПОД-синдрома, является наличие межпредсердного соустья, в частности НОО и ДМПП [17, 18]. Обращает внимание, что при наличии вышеуказанной предсердной патологии ПОД развивается преимущественно у лиц среднего и пожилого возраста, хотя в большинстве случаев речь идет о врожденных пороках (НОО, ДМПП, другие пороки). Так, НОО, согласно данным аутопсии, встречается в 25% случаев в общей популяции [19], в то время как в качестве причины ПОД-синдрома данный порок составляет лишь около 2% [20]. Действительно, у большинства больных с НОО развитие ПОД-синдрома не наблюдается, так как давление в ЛП на 5–6 мм рт. ст. выше, чем в ПП, и межпредсердная перегородка оказывается «функционально закрытой». Предполагается, что ПОД-синдром может возникать у больных с НОО лишь при наличии сопутствующей патологии, способной также вызывать ПОД (аневризма и удлинение аорты, пневмонэктомия, перикардиальный выпот и др.). ШПЛ может возникать в случаях повышения давления в ПП при различных клинических ситуациях (анатомические сосудистые нарушения, нарушения гемодинамики и др.) [9, 21].
Полагают, что межпредсердная перегородка и овальное окно приобретают такие конформационные изменения, которые при вертикальном положении тела способствуют кровотоку из ПП в ЛП даже при отсутствии значительного градиента давления между ПП и ЛП [6, 20]. По-видимому, эти конформационные изменения являются транзиторными, поскольку при переходе больного в горизонтальное положение вышеуказанный эффект исчезает. Хотя конкретные анатомические изменения в перегородке и механизмы динамического воздействия этих изменений точно не установлены и не были описаны, могут иметь значение такие факторы, как кифосколиоз, расширение аорты, аневризма аорты, подъем правой половины диафрагмы, легочный фиброз [20, 22, 23].
Другая гипотеза заключается в том, что некоторые факторы (персистирующий ЕК или компрессия перикарда) могут создавать при вертикальном положении больного условия для направления потока крови из нижней полой вены в ЛП через НОО, как это было описано при перикардиальном выпоте [24].
Как известно, ЕК представляет собой заслонку (складка эндокарда в форме полулунного клапана шириной до 1 см) в ПП в месте впадения нижней полой вены. Эта структура необходима для обеспечения кровообращения у плода без участия легких и направляет кровоток из ПП в ЛП через открытое овальное отверстие. Если после рождения часть заслонки остается (удлиненная заслонка), то во взрослом возрасте эта аномалия может стать одним из факторов риска развития некоторых осложнений, особенно при сочетании с другими аномалиями (НОО), при наличии коморбидности [25]. Показано, что кроме существования какого-либо анатомического фактора ШПЛ может возникать у больных с нормальным давлением в ПП и ЛП в раннюю фазу систолы, особенно при вдохе, когда венозный возврат к правому сердцу больше, чем к левому [26]. Правомерно предположить, что у пациентов с ДМПП, а также легочной патологией с большими дыхательными объемами легких имеется повышенный риск развития ПОД-синдрома, поскольку дыхательные объемы обычно больше в вертикальном положении, чем в положении лежа [27].
Косвенным подтверждением ведущей роли НОО в развитии ПОД-синдрома могут быть клинические наблюдения эффективности эндоскопического закрытия овального отверстия при ПОД-синдроме у больных с НОО в сочетании с различной сердечной и легочной патологией. Так, в одном из сообщений о 8 больных с наличием ПОД-синдрома (сатурация кислорода 81% в вертикальном положении) НОО сочеталось с аневризмой аорты (n=3), трансплантацией сердца (n=2), дилатацией левого желудочка (n=1), легочным фиброзом (n=1), рецидивирующим плевритом и перикардитом (n=1). У всех больных в положении ортостаза верифицировался ШПЛ. После хирургической процедуры закрытия овального отверстия средние показатели сатурации составили 96±2% наряду с уменьшением выраженности одышки [28]. Клинический эффект в виде уменьшения одышки и увеличения показателей сатурации наступал непосредственно после чрескожного оперативного закрытия овального отверстия у 78 больных с НОО с развитием ПОД-синдрома [29]. Результаты другого наблюдения свидетельствуют о значительном уменьшении или полном исчезновении одышки у 64,8% больных с ПОД-синдромом и повышении показателей сатурации после закрытия овального окна [30]. Примечательно, что у больных с отсутствием вышеуказанных положительных эффектов после инвазивного устранения НОО основной причиной ПОД-синдрома была легочная патология с наличием легочной гипертензии.
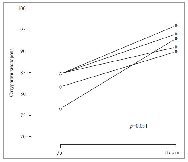
Многочисленные клинические наблюдения свидетельствуют об улучшении сатурации и уменьшении одышки у больных с ПОД-синдромом после закрытия овального отверстия эндоваскулярным методом (рис. 2) [20].
Рис. 2. Динамика показателей сатурации в вертикальном положении до и после инвазивного закрытия НОО [20].
Заболевания легких
ПОД-синдром описан при самых разнообразных легочных заболеваниях, среди которых наиболее часто указывается на следующие:
- тромбоэмболия легочной артерии;
- легочная гипертензия при синдроме ночного апноэ;
- респираторный дистресс-синдром у взрослых;
- хроническая обструктивная болезнь легких (ХОБЛ);
- послеоперационные состояния (пневмонэктомия);
- интерстициальные заболевания легких (интерстициальный фиброз, криптогенный фиброзирующий альвеолит, амиодароновое легкое);
- истинные сосудистые легочные шунты;
- легочные артериовенозные мальформации;
- рак легкого.
Механизмы ортодеоксии при легочном и внутрисердечном шунтировании различны. Принято считать, что в вертикальном положении у больных тяжелой ХОБЛ и циррозом печени увеличивается кровоток через артериовенозные мальформации (легочное шунтирование) вследствие гравитационного эффекта и увеличения тем самым степени ШПЛ [11, 32]. В основе возникновения ПОД при легочной патологии лежит нарушение вентиляционно-перфузионных соотношений, что может наблюдаться при ряде заболеваний с поражением легочной паренхимы и интерстиция (пневмонии, ХОБЛ, легочные фиброзы), а также сосудов (тромбоэмболия легочной артерии, сосудистые мальформации). Внутрилегочное шунтирование с развитием ПОД-синдрома может возникать при болезни Рандю–Ослера и при тяжелых легочных (паренхиматозных) заболеваниях [33]. Факторами, благоприятствующими развитию ПОД-синдрома у этих больных с различной патологией, являлись следующие сочетания:
- кифосколиоз, дилатация аорты, АМПП;
- диафрагмальный паралич, персистирующий ЕК;
- рестриктивные дыхательные нарушения, персистирующий ЕК, АМПП;
- диафрагмальный паралич, АМПП;
- расширение аорты, персистирующий ЕК.
Механизм ПОД-синдрома при легочных заболеваниях может быть обусловлен гравитационным эффектом на региональный легочный артериальный кровоток. Альтернативным механизмом считается гиповолемия, вызывающая постуральные вентиляционно-перфузионные нарушения [33, 34].
Заболевания печени
У больных с тяжелой печеночной патологией, в частности циррозом печени, могут возникать функциональные нарушения со стороны легких – гепатопульмональный синдром (ГПС), с развитием ПОД-синдрома. ГПС характеризуется дилатацией внутрилегочных сосудов и шунтированием крови, что приводит к артериальной дезоксии [35]. Частота развития ПОД при ГПС колеблется от 13 до 47% [36], определяется как снижение парциального напряжения кислорода по меньшей мере на 5% или на 4 мм рт. ст. в вертикальном положении, считается высокоспецифичным признаком у больных с ГПС [6, 37]. Летальность при ГПС высокая, средняя продолжительность жизни составляет 0,6 мес [36, 38]. ГПС включает триаду: хроническое заболевание печени, повышение альвеолярно-артериального градиента кислорода, наличие внутрилегочного шунта (ВЛШ). Верификация ВЛШ осуществляется с помощью «пузырьковой» ЭхоКГ, сцинтиграфии с введением макроагрегатов альбумина, меченных Тс-99, ангиопульмонографии. Хотя ЭхоКГ является чувствительным скрининг-тестом, сцинтиграфия может количественно определять протяженность шунтирования. В ряде случаев метод сцинтиграфии сТс-99 может иметь диагностические преимущества перед трансторакальной ЭхоКГ в диагностике ПОД-синдрома при ГПС, так как трансэзофагеальная ЭхоКГ противопоказана при наличии варикозно-расширенных вен у больных циррозом печени.
Другие причины ПОД-синдрома:
- инфекции (гидатидные кисты, цитомегаловирусная и пневмоцистная инфекции);
- болезнь Паркинсона;
- диабетическая нейропатия [39].
Описан случай развития ПОД у больного паркинсонизмом в сочетании с выраженной постуральной гипотензией, хорошо ответившего на терапию глюкокортикоидами [33].
Смешанные причины
Наряду с сердечно-сосудистой и легочной патологией причинами ПОД-синдрома могут быть разнообразные патологические состояния, при которых развивается ШПЛ:
- односторонний паралич диафрагмы [39, 40];
- травмы (травма грудной клетки) [41];
- постлучевой стеноз бронха [42];
- бронхоплевральная фистула [43];
- жировая эмболия [44];
- передозировка пропафенона у больного с аномалией Эбштейна [45];
- патология скелета (остеопороз и выраженный кифоз позвоночника) [46];
- острое отравление фосфор-органическими соединениями [47].
Заключение
ПОД-синдром является редким и сложным клиническим феноменом, который должен быть заподозрен у больных с необъяснимой позиционной одышкой. Основными механизмами ПОД являются внутрисердечное шунтирование крови, легочное сосудистое шунтирование и вентиляционно-перфузионные нарушения. ПОД-синдром кардиальной причины должен быть подтвержден контрастной трансторакальной или трансэзофагеальной ЭхоКГ, верифицирующей наличие шунтирования справа налево, а также снижением сатурации в вертикальном положении больного. При подтверждении ПОД-синдрома кардиальной причины может обсуждаться возможность инвазивного закрытия НОО, в том числе и при сопутствующей легочной и другой патологии. Практический врач должен тщательно анализировать все случаи неясного позиционного диспноэ с целью обогащения своего врачебного опыта и накопления случаев ПОД-синдрома для изучения их клинического значения.
About the authors
L. I. Dvoretskiy
Sechenov First Moscow State Medical University (Sechenov University)
Author for correspondence.
Email: vladimir.rezvan@mail.ru
д.м.н., проф.. зав. каф. госпитальной терапии №2
Russian Federation, MoscowV. V. Rezvan
Sechenov First Moscow State Medical University (Sechenov University)
Email: vladimir.rezvan@mail.ru
ORCID iD: 0000-0002-8111-1305
д.м.н., доц., проф. каф. госпитальной терапии №2.
Russian Federation, MoscowReferences
- Burchell HB, Hemholz HF, Wood EH. Reflector static dyspnea associated with pulmonary hypotension. Am J Physiol. 1949;159:563-4.
- Altman M, Robin ED. Platypnea diffuse zone I phenomenon? N Engl J Med. 1969;281:1347-8. doi: 10.1056/NEJM196912112812408
- Robin ED, Lamon D, Horn BR, et al. Platypnea related to orthodeoxia caused by true vascular lung shunts. N Engl J Med. 1976;294:941-3. doi: 10.1056/NEJM197604222941711
- De Vecchish R, Baldi C, Ariano C. Platypnea-orthodeoxia syndrome: multiple pathophysiological interpretations of a clinical picture primarily consisting of orthostatic dyspnea. J Clin Med. 2016;5:85. doi: 10.3390/jcm5100085
- Godart F, Rey C. Platypnea Orthodeoxia Syndrome: a probably underestimated syndrome? Chest. 2001;5:1624-25. doi: 10.1378/chest. 119.5.1624-a
- Cheng TO. Mechanisms of platypnea-orthodeoxia: what causes water to flow uphill? Circulation. 2002;12:105-47. doi: 10.1161/circ.105.6.e47
- Rodrigues P, Palma P, Sousa-Pereira L. Platypnea-orthodeoxia syndrome in review: defining a new disease? Cardiology. 2012;123:15-23. doi: 10.1159/000339872
- Agrawal A, Palkar A, Talwar A. The multiple dimensions of platypnea-orthodeoxia syndrome. Respir Med. 2017;129:31-38. doi: 10.1016/j.rmed.2017.05.016
- Akin E, Krüger U, Braun P, et al. The platypnea-orthodeoxia syndrome. Eur Rev Med Pharmacol Sci. 2014;18:2599-604.
- Lewis AB, Gates GF, Stanley P. Echocardiography and perfusion scintigraphy in the 68 diagnosis of pulmonary arteriovenous fistula. Chest. 1978;73:675-7. doi: 10.1378/chest.73.5.675
- Gin KG, Fenwick JC, Pollick C, et al. The diagnostic utility of contrast echography in patients with refractory hypoxemia. Am Heart J. 1993;125:1136-41. doi: 10.1016/0002-8703(93)90126-t
- Thakur CT, Nanda NC, Malhotra S, et al. Combined interatrial and intrapulmonary shunting in orthodeoxia detected by transoesophageal echocardiography. Echocardiography. 2007;15:101-4. doi: 10.1111/j. 1540-8175.1998.tb00584.x
- Gallet B, Guerin Y, Saudemont JP, et al. Intrapulmonary right-left shunt associated with liver cirrhosis: diagnosis by contrast echocardiography. Arch Mal Coeur Vaiss. 1987;80:1939-43.
- Dansky HM, Schwinger ME, Cohen MV. Using contrast material-enhanced echocardiography to identify abnormal pulmonary arteriovenous connections in patients with hypoxemia. Chest. 1992;102:1690-2. doi: 10.1378/chest.102.6.1690
- Hirai N, Fukunaga T, Kawano H, et al. Platypnea-orthodeoxia syndrome with atrial septal defect. Circ J. 2003;67:172-5.
- Acharya SS, Kartan R. A case of orthodeoxia caused by an atrial septalaneurysm. Chest. 2000;118:871-4. doi: 10.1378/chest.118.3.871
- Seward JB, Hayes DL, Smith HC, et al. Platypnea-orthodeoxia: clinical profile, diagnostic workup, management and report of seven cases. Mayo Clin Proc. 1984;59:221-31. doi: 10.1016/s0025-6196(12)61253-1
- Robin ED, Mc Cauley F. An analysis of platypnea-orthodeoxia syndrome including a “new” therapeutic approach. Chest. 1997;112:1449-51. doi: 10.1378/chest.112.6.1449
- Hagen PT, Scholz DG, Edwards WD. Incidence and size of patent foramen ovale during the first 10 decades of life: an autopsy study of 965 normal hearts. Mayo Clin Proc. 1984;59:17-20. doi: 10.1016/s0025-6196(12)60336-x
- Blanche C, Noble S, Roffi M, et al. Platypneaorthodeoxia syndrome in the elderly treated by percutaneous patent foramen ovale closure: a case series and literature review. Eur J Intern Med. 2013;24:813-7. doi: 10.1016/j.ejim.2013.08.698
- Bovelli D, Khoury G, Consalvi G, et al. An unusual type of dyspnea. G Ital Cardiol. 2008;9:367–71.
- Sanikommu V, Lasorda D, Poornima I. Anatomical factors triggeringplatypnea–orthodeoxia in adults. Clin Cardiol. 2009;32(11):55-7. doi: 10.1002/clc.20461
- Toffart AC, Bouvaist H, Feral V, et al. Hypoxemia-orthodeoxiarelated to patent foramen ovale without pulmonary hypertension. Heart Lung. 2008;37(5):385-9. doi: 10.1016/j.hrtlng.2007.09.006
- Adolph EA, Lacy WO, Hermoni YI, et al. Reversible orthodeoxia and Platypnea due to right-to-left intracardiac shunting related to pericardial effusion. Ann Intern Med. 1992;116(2):138-9. doi: 10.7326/0003-4819-116-2-138
- Bashour T, Kabbani S, Saalouke M, Cheng TO. Persistent eustachian valve causing severe cyanosis in atrial septal defect with normal right heart pressures. Angiology. 1983;34:79-83.
- Strunk BL, Cheitlin MD, Stulbarg MS, Schiller NB. Right-to-left interatrialshunting through a patent foramen ovale despite normal intra cardiac pressures. Am J Cardiol. 1987;60(4):413-15. doi: 10.1016/0002-9149(87)90271-2
- Ceridon ML, Morris NR, Olson TP, et al. Effect of supineposture on airway blood flow and pulmonary function in stable heart failure. Respir Physiol Neurobiol. 2011;178(2):269-74. doi: 10.1016/j.resp. 2011.06.021. Epub 2011 Jun 30
- Pedersen TA, Larsen SH, Nielsen-Kudsk JE. Closure of a patent foramen ovale in patients with platypnoea-orthodeoxia: a rare and overlooked cause of dyspnoea and hypoxaemia. Scand Cardiovasc J. 2015;49(6):357-60. doi: 10.3109/14017431.2015.1071874
- Guґerin P, Lambert V, Godart F, et al. Transcatheter closure of patent foramen ovale in patients with platypnea-orthodeoxia: results of a multicentric French registry. CardioVasc Interv Radiol. 2005;28(2):164–8. doi: 10.1007/s00270-004-0035-3
- Mojadidi MK, Gevorgyan R, Noureddin N, Tobis JM. The effect of patent foramenovale closure in patients with platypnea-orthodeoxia syndrome. Cathet Cardiovasc Intervent. 2015;86(4):701-7. doi: 10.1002/ ccd.25953
- Klein MR, Todd L, Kiefer TL, Velazquez EJ. Platypnea-Orthodeoxia Syndrome: To Shunt or Not to Shunt, That is the Question. Tex Heart Inst J. 2016;43(3):264-6. doi: 10.14503/THIJ-15-5280
- Miller WC, Heard JG, Unger KM. Enlarged pulmonary arterio-venous vessels in COPD. Another possible mechanism of hypoxemia. Chest. 1984;86:704-6. doi: 10.1378/chest.86.5.704
- Hussain SF, Mekan SF. Platypnea-orthodeoxia: report of two cases and a review of the literature. South Med J. 2004;97(7):657-2.
- Palma DT, Fallon MB. The hepatopulmonary syndrome. J Hepatol. 2006;45:617-25. doi: 10.1016/j.jhep.2006.07.002
- Fallon MB, Mulligan DC, Gish RG, Krowka MJ. Model for end-stage liver disease exception for hepatopulmonary syndrome. Liver Transpl. 2006;12:105-7. doi: 10.1002/lt.20971
- Lange PA, Stoller JK. The hepatopulmonary syndrome. Ann Intern Med. 1995;122:521–9. doi: 10.7326/0003-4819-122-7-199504010-00008
- Rodriguez-Roisin R, Krowka MJ. Hepatopulmonary syndrome – a liver-induced lung vascular disorder. N Engl J Med. 2008;358:2378–87. doi: 10.1056/NEJMra0707185
- Lee CH, Cheng ST. Shortness of breath while sitting up: Hepatopulmonary syndrome. Candian Med Assoc J. 2011;183:80. doi: 10.1503/cmaj.090576.
- Ferry TG, Naum CC. Orthodeoxia-platypnea due to diabetic autonomic neuropathy. Diabetes Care. 1999;22:857-9. doi: 10.2337/diacare. 22.5.857
- Cordero PJ, Morales P, Mora V, et al. Transient right-to-left shunting through a patent foramen ovale secondary to unilateral diaphragmatic paralysis. Thorax. 1994;49:933-4. doi: 10.1136/thx.49.9.933
- Somers C, Slabbynck H, Paelinck BP. Echocardiographic diagnosis of platypnoea-orthodeoxia syndrome after blunt chest trauma. Acta Cardiol. 2000;55:199-201. doi: 10.2143/AC.55.3.2005741
- Awan AN, Ashraf R, Meyerson MB, et al. Radiation-induced bronchial stenosis: a new cause of platypnea-orthodeoxia. South Med J. 1999;92:720-4.
- Komatsu T, Bethune D. Platypneaorthodeoxia syndrome and bronchopleural fistula following right pneumonectomy. Int J Surg Case Rep. 2011;2:47-8. doi: 10.1016/j.ijscr.2010.12.004
- Gourgiotis S, Aloizos S, Gakis C, et al. Platypnea-orthodeoxia due to fat embolism. Int J Surg Case Rep. 2011;2:147-9. doi: 10.1016/j.ijscr. 2011.02.015
- Pavoni D, Ragazzo S, Driussi M, et al. Transient platypnea-orthodeoxia-like syndrome induced by propafenone overdose in a young woman with Ebstein’s anomaly. Ital Heart J. 2003;4:891-4.
- Teupe CH, Groenefeld GC. Platypnea-orthodeoxia due to osteoporosis and severe kyphosis: a rare cause for dyspnea and hypoxemia. Heart Int. 2011;6:13. doi: 10.4081/hi.2011.e13
- Bouros D, Agouridakis P, Tsatsakis A, et al. Orthodeoxia and platypnoea after acute 62 organophosphorus poisoning reversed by CPAP: a newly described cause and review of the literature. Respir Med. 1995;89:625-8.
Supplementary files
