Assessment of exo- and endocrine function of pancreas following distal pancreatectomy
- Authors: Malykh M.V.1, Dubtsova E.A.1, Vinokurova L.V.1, Les’ko K.A.1, Dorofeev A.S.1, Kiryukova M.A.1, Savina I.V.1, Tsvirkun V.V.1, Bordin D.S.1,2,3
-
Affiliations:
- Loginov Moscow Clinical Scientific and Practical Center
- Yevdokimov Moscow State University of Medicine and Dentistry
- Tver State Medical University
- Issue: Vol 94, No 2S (2022)
- Pages: 343-348
- Section: Conference proceedings
- Submitted: 05.09.2022
- Accepted: 05.09.2022
- Published: 05.09.2022
- URL: https://ter-arkhiv.ru/0040-3660/article/view/110778
- DOI: https://doi.org/10.26442/00403660.2022.02.201386
- ID: 110778
Cite item
Full Text
Abstract
Aim. The assessment of pancreatic resection volume influence on exo- and endocrine pancreatic functions.
Materials and methods. The resected pancreatic volume influence was assessed in 47 patients: 31 (66%) patients after resections of pancreatic body and tail, and 16 (34%) patients after distal resections. The exocrine pancreatic function was assessed by pancreatic fecal elastase 1 as well as endocrine pancreatic function was assessed by C-peptide level measurement. Computed tomography with intravenous contrast enhancement and postprocessing was used for pre- and postoperative pancreatic volume assessment. All tests were performed before and 1, 3, and 6 months after surgery.
Results. Type of surgery had no influence on C-peptide and pancreatic fecal elastase 1 levels (p>0.05). Exo- and endocrine pancreatic functions markers tended to decrease in 1st month after surgery with consequent functions restoration towards 6 months after surgery. There were 15 (35.7%) patients from 42 patients with normal exocrine pancreatic function with a fecal elastase 1 level decrease to 114.7±61.8 μg/g; exocrine insuficiency remained only in 2 (4.8%) patients after 6 months after surgery. C-peptide concentration decrease before surgery to less than 1.1 ng/ml was noticed only in 8 (17%) patients. C-peptide concentration decreased in 30 (63.8%) patients in 1st month after surgery, but after 6 months after surgery, C-peptide level decrease was only in 7 (14.9%) patients.
Conclusion. The exo- and endocrine function of the pancreas is restored in more than 80% of patients after DR. Probably it could be associated with the activation of the pancreatic compensatory abilities.
Full Text
Введение
Поджелудочная железа (ПЖ) является органом двойной секреции: внешнесекреторной, заключающейся в продукции пищеварительных ферментов и бикарбонатов, и внутрисекреторной – синтезе гормонов, регулирующих прежде всего углеводный и другие составляющие гомеостаза. Экзокринную функцию (ЭкзФ) выполняют ацинусы долек железы, в которых образуются гидролитические ферменты, а эндокринную функцию (ЭндоФ) – пептиды, секретирующиеся в островках Лангерганса (ОЛ) [1]. Плотность расположения ОЛ в ПЖ более чем в 2 раза выше в хвосте по сравнению с головкой и телом ПЖ [2].Современные методы лучевой диагностики позволяют выявлять новообразования тела и хвоста ПЖ, которые обычно характеризуются поздней клинической манифестацией, на более ранних стадиях [3]. Соответственно, в последние годы все больше пациентов подвергаются хирургическому лечению по причине наличия указанных новообразований [4]. Объем операции определяется локализацией, размером и характером образований ПЖ [5, 6].
Резекционные операции на ПЖ по поводу злокачественных и доброкачественных образований приводят к формированию функциональной недостаточности железы [7, 8]. В зависимости от основного заболевания, типа и объема резекции ПЖ формируется неодинаковая по частоте и степени тяжести внешнесекреторная недостаточность ПЖ (ВНПЖ). Несмотря на большое число работ, касающихся общих послеоперационных осложнений, хорошо спланированных исследований, посвященных пострезекционной ВНПЖ, недостаточно. Это усложняет оценку частоты и степени ВНПЖ после операции, ее оптимального метода диагностики и тактики лечения [9]. Тяжесть ВНПЖ и развитие сахарного диабета (СД) априори связано с объемом резекции и состоянием ПЖ до и после операции [10].
ВНПЖ развивается при снижении секреции липазы более 90% от нормы [7, 8], что приводит к ее поздней клинической манифестации. Тем не менее постепенное нарастание симптомов ВНПЖ, таких как стеаторея, метеоризм, изменение частоты и консистенции стула, приводит не только к ухудшению нутритивного статуса и снижению качества жизни больных, но и сокращению ее продолжительности [7, 11].
Оптимальным методом оценки ЭкзФ ПЖ, с учетом диагностических (не требует специального соблюдения диеты) и экономических критериев, считается иммуноферментный тест на фекальную панкреатическую эластазу (ФПЭ) 1 [9, 12]. Эластаза является продуктом секреции ПЖ, который остается относительно стабильным при прохождении через желудочно-кишечный тракт, результаты теста не зависят от проведения ферментозаместительной терапии (ФЗТ) [13].
Частота эндокринной недостаточности после дистальной резекции (ДР), по данным литературы, достигает 73,3% [7]. Однако вопрос обязательного развития СД после ДР остается спорным. В исследовании N. Yepuri и соавт. заболеваемость СД варьирует от 4,8 до 8% [14]. По данным других исследований, частота вновь выявленного СД может достигать 10–15% и выше [15, 16]. Послеоперационное изменение ЭндоФ ПЖ, возможно, связано с утратой значительного ее объема. Для оценки ЭндоФ рекомендуется определение концентрации глюкозы в плазме натощак и уровня С-пептида [7].
В ГБУЗ «МКНЦ им. А.С. Логинова» в 2018–2020 гг. проведено клиническое исследование, целью которого явилась оценка влияния объема резекции тела и хвоста ПЖ при новообразованиях на ее ЭкзФ и ЭндоФ в различные сроки послеоперационного периода.
Материалы и методы
В исследование ретроспективно включены 47 пациентов в возрасте от 20 до 80 лет, оперированных по поводу добро-качественных и злокачественных новообразований тела и хвоста ПЖ, у которых имелись результаты специального до- и послеоперационного лабораторного и инструментального обследования.
В исследование не включались пациенты:
- с первично-множественными злокачественными новообразованиями;
- имеющие острые хирургические состояния и хронические заболевания в стадии декомпенсации;
- с индексом массы тела >30 кг/м2 и метаболическим синдромом;
- с послеоперационной панкреатической фистулой.
Из 47 пациентов 31 (66%) произведены корпорокаудальная резекция (ККР) ПЖ и 16 (34%) – ДР. Распределение исследуемых пациентов на основании данных морфологической картины новообразования представлено в табл. 1.
Таблица 1. Распределение пациентов по морфологическому типу новообразования / Table 1. Distribution of patients by morphological type of neoplasm
Тип новообразования | Число пациентов | |
n=47 | 100% | |
Протоковая аденокарцинома | 16 | 34,1 |
Нейроэндокринная опухоль | 14 | 29,8 |
Муцинозная цистаденома | 7 | 14,9 |
Серозная цистаденома | 5 | 10,6 |
Солидная псевдопапиллярная опухоль | 2 | 4,2 |
Внутрипротоковая папиллярная муцинозная опухоль 2-го типа | 3 | 6,4 |
Лабораторные и инструментальные методы исследования
Для количественной оценки ЭкзФ ПЖ определяли уровень ФПЭ-1 методом иммуноферментного анализа по стандартной методике производителя (ScheBo, Германия). Оценку уровня глюкозы плазмы крови проводили ферментативным гексокиназным методом. В качестве показателя ЭндоФ ПЖ проводили определение уровня С-пептида иммунохроматографическим методом по стандартной методике производителя (Siemens, Германия). Материал для исследования – сыворотку крови – собирали до и после операции; послеоперационный забор крови проводили через 1, 3 и через 6 мес после оперативного вмешательства.
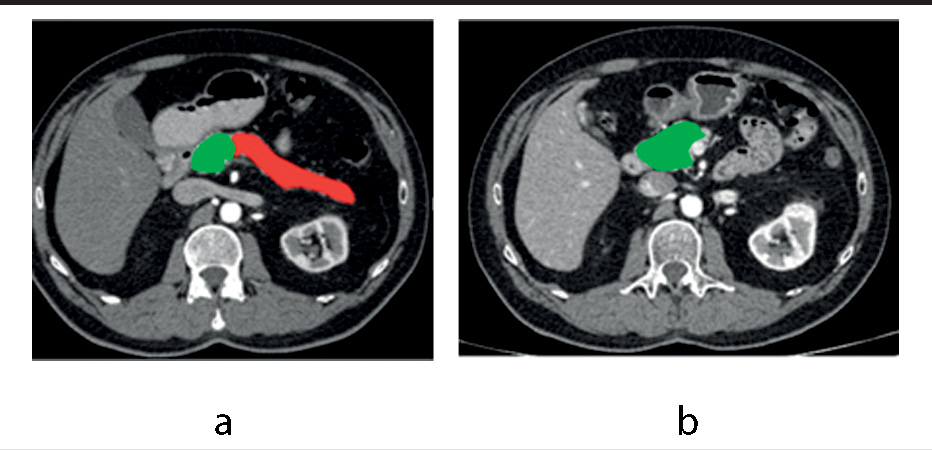
Объем удаляемой и остающейся ткани ПЖ определяли по данным мультисрезовой компьютерной томографии (МСКТ) с болюсным контрастированием, выполненной до операции и через 3, 6 мес после нее. Анализ полученных диагностических изображений и волюметрия выполнялись с помощью лицензионного программного обеспечения Vitrea и Видар-Инфорад 3.0 Dicom Viewer. Объем удаляемой ткани представлял разность между исходным объемом и остаточным. Результаты получены у 39 (81,3%) пациентов (рис. 1).
Рис. 1. Пример результатов МСКТ: а – предоперационное исследование, аксиальный срез на уровне L1 (КТ-срез с неполной визуализацией головки железы для демонстрации дистальных ее отделов), поздняя артериальная (панкреатическая) фаза, волюметрия – зеленым выделена сохраняемая часть ПЖ, красным – удаляемая; b – через 6 мес после операции, аксиальный срез на уровне L2 (головка железы визуализирована в наибольшей ее площади), поздняя артериальная (панкреатическая) фаза, волюметрия – зеленым выделена культя ПЖ. / Fig. 1. CT processing: a – preoperative analysis. Axial CT scan, late arterial (pancreatic) phase: green – pancreatic remnant, red – resected part; b – CT scan at 6 months after the operation. Axial CT scan, late arterial (pancreatic) phase: green – pancreatic remnant.
Статистическую обработку проводили при помощи Microsoft Office Excel 2013, JASP 0.14.1 и IBM SPSS Statistics 23.0. При анализе полученных данных для распределения значений в выборке использовали тест Колмогорова–Смирнова. Применяли парный корреляционный анализ с вычислением коэффициента корреляции Спирмена (rho). С целью определения достоверности и оценки значимости межгрупповых различий независимых выборок применяли непараметрические тесты Краскела–Уоллиса и Манна–Уитни. Для попарного анализа зависимых выборок использовали тест Вилкоксона. Доверительный интервал составил 95%, различия считали статистически значимыми при р<0,05.
Результаты
Отличия до- и послеоперационного объема ПЖ
При анализе данных МСКТ получены статистически значимые различия в объеме ПЖ до и после операции: средний объем ПЖ до операции 57,1±28,5 см3, после операции – 42,6±23,9 см3 (p<0,001). Удаленная ткань ПЖ составляла в среднем 25,9±11,2% от общего объема железы до операции. При этом значимой разницы в объеме удаленной (p=0,79) и остаточной (p=0,65) ткани ПЖ при ККР и ДР не получено (рис. 2).
Рис. 2. Диаграммы размаха: распределение значений объема удаленной ткани ПЖ в зависимости от вида операции. / Fig. 2. Values of the volume of removed pancreatic tissue depending on the type of operation.
ЭкзФ ПЖ до и после хирургического лечения
В дооперационном периоде у 5 (10,6%) пациентов вы-явлена ВНПЖ [17, 18]: 3 (6,4%) пациента с тяжелой степенью ВНПЖ и 2 (4,3%) со средней степенью тяжести ВНПЖ. Средний уровень ФПЭ составлял 25,8±10,5 и 65,3±21,6 мкг/г соответственно. У остальных 42 человек ЭкзФ до операции была сохранена. Через 1 мес после операции у 15 (35,7%) из этих больных отмечено снижение ФПЭ до 114,7±61,8 мкг/г. Спустя 3 мес после резекции ПЖ снижение ФПЭ сохранялось у 6 (14,3%) пациентов из 42 и составляла 126,6±53,5 мкг/г. Через 6 мес после операции у 2 (4,8%) пациентов сохранялась ВНПЖ: у 1 (2,4%) средняя степень тяжести перешла в легкую, у 1 (2,4%) тяжелая степень перешла в среднюю. Диаграммы размаха с распределением значений концентрации ФПЭ в до- и после-операционном периоде представлены на рис. 3.
Рис. 3. Диаграммы размаха: распределение значений концентрации ФПЭ-1 в до- и послеоперационном периоде. / Fig. 3. Fecal pancreatic elastase-1 concentration values in the pre- and postoperative period.
В послеоперационном периоде пациенты получали ФЗТ от 30 до 75 тыс. Ед липазы в сутки. Через 1, 3 и 6 мес после операции проводилась коррекция ФЗТ в зависимости уровня ФПЭ и, следовательно, степени тяжести ВНПЖ: пациенты с сохранной ЭкзоФ ПЖ (ФПЭ>200 мкг/г) получали 30–50 тыс. Ед липазы в сутки, с легкой (уровень ФПЭ от 100 до 200 мкг/г) и средней степенью (уровень ФПЭ от 50 до 100 мкг/г) – 95–150 тыс. Ед липазы в сутки, при ВНПЖ тяжелой степени (ФПЭ<50 мкг/г) пациенты получали 150–170 тыс. Ед липазы в сутки.
В послеоперационном периоде наблюдается сходная с описанной выше тенденцией картина – после снижения концентрации в 1-м месяце после операции она постепенно возрастает (табл. 2). Средние значения концентрации ФПЭ статистически значимо отличались в зависимости от срока после операции (см. рис. 2).
Таблица 2. Распределение концентраций С-пептида и ФПЭ-1 в пред- и послеоперационном периоде / Table 2. Concentrations of C-peptide and fecal pancreatic elastase-1 in the pre- and postoperative period
Показатель | Концентрация в материале | p | |||
до операции | 1 мес | 3 мес | 6 мес | ||
С-пептид, нг/мл | 2,0±0,9 | 1,0±0,5 | 1,5±0,7 | 1,9±0,9 | <0,01 |
ФПЭ мкг/г | 406,5±145,6 | 235,1±140,8 | 314,6±150,9 | 358,9±152,7 | <0,01 |
ЭндоФ ПЖ до и после хирургического лечения
Уровень глюкозы плазмы крови статистически значимо не отличался в группах пациентов с ККР и ДР как до операции (p=0,79), так и после нее (p=0,22). Вариант проведенной операции не влиял на уровень С-пептида независимо от этапа исследования (p>0,05).
В исследованной группе пациентов до хирургического лечения среднее значение концентрации С-пептида в сыворотке крови составило 2±0,9 нг/мл. Значения концентрации С-пептида в сыворотке крови в послеоперационном периоде представлено в табл. 2. СД до хирургического лечения диагностирован у 3 (6,4%) пациентов. В послеоперационном периоде СД развился еще у 4 (8,5%) лиц. Полученные нами результаты сопоставимы с данными в исследовании N. Yepuri и соавт. [14]. При этом уровень глюкозы в до- и послеоперационном периоде составил 5,4±1,1 и 6±1,9 ммоль/л соответственно, получены статистически значимые отличия средних концентраций глюкозы до и после операций (p=0,001).
После операции наблюдается падение уровня С-пептида в сыворотке крови в течение первых 3 мес после операции, с последующим его постепенным ростом. При сравнении уровней концентрации С-пептида выявлены статистически значимые отличия между исследованными группами в зависимости от срока после операции (p<0,01). В дооперационном периоде снижение уровня С-пептида ниже 1,1 нг/мл определялось у 8 (17%) пациентов. Через 1 мес после операции снижение концентрации С-пептида ниже 1,1 нг/мл зафиксировано у 30 (63,8%) пациентов. Через 3 мес после операции оставалось 12 (25,5%) пациентов с понижением уровня С-пептида, а через 6 мес число пациентов со снижением концентрации С-пептида уменьшилось до 7 (14,9%). Диаграммы размаха с распределением значений концентрации С-пептида в сыворотке крови в до- и послеоперационном периоде представлены на рис. 4.
Рис. 4. Диаграммы размаха: распределение значений концентрации С-пептида в сыворотке крови в до- и послеоперационном периоде. / Fig. 4. Serum C-peptide concentrations in the pre- and postoperative period.
Постепенное восстановление значений концентрации С-пептида и ФПЭ, фиксируемое начиная с 3 мес послеоперационного периода, вероятнее всего, связаны с активизацией компенсаторных возможностей оставшейся ткани ПЖ. При этом снижение значений концентрации С-пептида и ФПЭ на 1-м месяце послеоперационного периода, очевидно, связаны с потерей при операции функционально активной ткани ПЖ и недостаточным сроком для компенсации (рис. 5).
Рис. 5. График изменения значений концентрации С-пептида и ФПЭ в пред- и послеоперационном периоде. / Fig. 5. Changes in the concentration of C-peptide and fecal pancreatic elastase-1 in the pre- and postoperative period.
Влияние характера новообразования на ЭкзФ и ЭндоФ ПЖ в послеоперационном периоде
Исследованные пациенты были распределены по при-знаку наличия злокачественного (протоковая аденокарцинома и нейроэндокринная карцинома) или доброкачественного образования: 16 (34%) и 31 (66%) соответственно.
Средний уровень ФПЭ был статистически значимо меньше у пациентов со злокачественными образованиями – 371,4±166,2 мкг/г, чем при доброкачественных – 432,4±125,1 мкг/г (p<0,0001). Значения ФПЭ в послеоперационном периоде не отличались в группах с доброкачественными и злокачественными образованиями (p>0,05).
Статистически значимые колебания уровня глюкозы при доброкачественных и злокачественных образованиях вы-явлены только для послеоперационных значений (p<0,0001) – 5,7±1,8 и 6,4±1,9 ммоль/л. До операции значения уровня глюкозы в этих двух группах не отличались (p=0,86) – 5,3±0,8 и 5,6±1,3 ммоль/л соответственно. Статистически значимые отличия между средними значениями концентраций С-пептида в группах с доброкачественными и злокачественными образованиями зафиксированы только для уровня С-пептида через 1 мес после операции (p<0,0001). На более поздних этапах послеоперационного периода статистически значимых отличий не выявлено (p>0,05).
Обсуждение
Представленные данные позволяют заключить, что объем резекции ПЖ и характер новообразования ПЖ не влияют на концентрации ФПЭ после операции. Пострезекционная ВНПЖ диагностирована только у 2 (4,8%) пациентов.
Значимое снижение уровня С-пептида зафиксировано только на 1-м месяце послеоперационного периода. Также определялись изменения уровня глюкозы у пациентов с доброкачественными и злокачественными образованиями в послеоперационном периоде (p<0,0001) – 5,7±1,8 и 6,4±1,9 ммоль/л. При этом только у 3 (6,4%) пациентов в дальнейшем диагностирован послеоперационный СД. Среди пациентов с доброкачественными заболеваниями после-операционный СД установлен только у 1 (2,1%) пациента. Таким образом, в послеоперационном периоде СД развился только у 4 (8,5%) пациентов. J. King и соавт. продемонстрировали сходные значения частоты возникновения СД в послеоперационном периоде после ДР – 10 (9%), однако авторами описана связь между наличием хронического панкреатита и развитием СД, не обнаруженная в нашем исследовании [19]. Развитие СД de novo у пациентов, перенесших ДР по поводу рака ПЖ, вероятно, обусловлено сочетанием потери островков ПЖ с дисфункцией оставшихся β-клеток, влияния адипокинов и реализацией других факторов предшествующего влияния опухоли на ткань ПЖ [20]. Согласно полученным данным в нашем исследовании значение удаленного объема ПЖ не оказывало влияния на вероятность возникновения СД.
При анализе полученных результатов нами обнаружена тенденция к постепенному восстановлению значений концентрации С-пептида и ФПЭ, фиксируемая начиная с 3-го месяца послеоперационного периода – ЭкзФ ПЖ была сохранна у 74,5% пациентов. Более длительный период регресса ВНПЖ описан в работе J. Speicher и соавт., который составил около 2 лет. Однако у 88% пациентов внешнесекреторная функция ПЖ восстановилась через 3 мес после ДР [21]. Это созвучно с нашими результатами, согласно которым ЭкзФ не была снижена через 3 мес после ДР ПЖ.
Заключение
Уровень С-пептида и ФПЭ-1 в послеоперационном периоде не зависит от характера новообразования.
Полученные данные свидетельствуют, что в послеоперационном периоде после резекций тела и хвоста ПЖ по поводу новообразований, при возникновении нарушений ее экзо- и ЭндоФ более чем у 80% пациентов происходит восстановление функционального состояния ПЖ. Вероятно, это связано с активацией функций в оставшейся части ПЖ.
Раскрытие интересов. Авторы декларируют отсутствие явных и потенциальных конфликтов интересов, связанных с публикацией настоящей статьи.
Disclosure of interest. The authors declare that they have no competing interests.
Вклад авторов. Авторы декларируют соответствие своего авторства международным критериям ICMJE. Все авторы в равной степени участвовали в подготовке публикации: разработка концепции статьи, получение и анализ фактических данных, написание и редактирование текста статьи, проверка и утверждение текста статьи.
Authors’ contribution. The authors declare the compliance of their authorship according to the international ICMJE criteria. All authors made a substantial contribution to the conception of the work, acquisition, analysis, interpretation of data for the work, drafting and revising the work, final approval of the version to be published and agree to be accountable for all aspects of the work.
Источник финансирования. Авторы декларируют отсутствие внешнего финансирования для проведения исследования и публикации статьи.
Funding source. The author declares that there is no external funding for the exploration and analysis work.
Список сокращений
ВНПЖ – внешнесекреторная недостаточность поджелудочной железы
ККР – корпорокаудальная резекция
МСКТ – мультисрезовая компьютерная томография
ОЛ – островки Лангерганса
ПЖ – поджелудочная железа
СД – сахарный диабет
ФЗТ – ферментозаместительная терапия
ФПЭ – фекальная панкреатическая эластаза
ЭкзФ – экзокринная функция
ЭндоФ – эндокринная функция
About the authors
Marina V. Malykh
Loginov Moscow Clinical Scientific and Practical Center
Author for correspondence.
Email: m.malykh@mknc.ru
ORCID iD: 0000-0002-2480-5191
мл. науч. сотр. отд-ния патологии поджелудочной железы и желчевыводящих путей
Russian Federation, MoscowElena A. Dubtsova
Loginov Moscow Clinical Scientific and Practical Center
Email: m.malykh@mknc.ru
ORCID iD: 0000-0002-6556-7505
д-р мед. наук, зав. отд-нием патологии поджелудочной железы и желчных путей
Russian Federation, MoscowLyudmila V. Vinokurova
Loginov Moscow Clinical Scientific and Practical Center
Email: m.malykh@mknc.ru
ORCID iD: 0000-0002-4556-4681
д-р мед. наук, вед. науч. сотр. отд-ния патологии поджелудочной железы и желчевыводящих путей
Russian Federation, MoscowKonstantin A. Les’ko
Loginov Moscow Clinical Scientific and Practical Center
Email: m.malykh@mknc.ru
ORCID iD: 0000-0001-9814-0172
канд. мед. наук, врач-рентгенолог рентгеновского отд-ния
Russian Federation, MoscowAlexey S. Dorofeev
Loginov Moscow Clinical Scientific and Practical Center
Email: m.malykh@mknc.ru
ORCID iD: 0000-0002-8515-6658
мл. науч. сотр. лаб. научно-диагностических исследований
Russian Federation, MoscowMaria A. Kiryukova
Loginov Moscow Clinical Scientific and Practical Center
Email: m.malykh@mknc.ru
ORCID iD: 0000-0002-6946-3826
мл. науч. сотр. отд-ния патологии поджелудочной железы и желчевыводящих путей
Russian Federation, MoscowIrina V. Savina
Loginov Moscow Clinical Scientific and Practical Center
Email: m.malykh@mknc.ru
ORCID iD: 0000-0001-7142-3885
врач-гастроэнтеролог отд-ния патологии поджелудочной железы и желчевыводящих путей
Russian Federation, MoscowVictor V. Tsvirkun
Loginov Moscow Clinical Scientific and Practical Center
Email: m.malykh@mknc.ru
ORCID iD: 0000-0001-5169-2199
д-р мед. наук, проф., гл. науч. сотр.
Russian Federation, MoscowDmitry S. Bordin
Loginov Moscow Clinical Scientific and Practical Center; Yevdokimov Moscow State University of Medicine and Dentistry; Tver State Medical University
Email: m.malykh@mknc.ru
ORCID iD: 0000-0003-2815-3992
д-р мед. наук, зав. отд. патологии поджелудочной железы, желчевыводящих путей и патологии верхних отделов пищеварительного тракта, проф. каф. пропедевтики внутренних болезней и гастроэнтерологии, проф. каф. поликлинической терапии и семейной медицины ФПДО
Russian Federation, Moscow; Moscow; TverReferences
- Марьянович А.Т. Общая теория пептидной регуляции физиологических функций: гематоэнцефалический барьер и эволюция связей между периферией и мозгом. СПб: Изд-во СЗГМУ им.И.И. Мечникова, 2014 [Mar'ianovich AT. Obshchaia teoriia peptidnoi reguliatsii fiziologicheskikh funktsii: gematoentsefalicheskii bar'er i evoliutsiia sviazei mezhdu periferiei i mozgom. Saint Petersburg: Izd-vo SZGMU im. I.I. Mechnikova, 2014 (in Russian)].
- Wang X, Misawa R, Zielinski MC, et al. Regional differences in islet distribution in the human pancreas-preferential beta-cell loss in the head region in patients with type 2 diabetes. PLoS One. 2013;8(6):e67454. doi: 10.1371/journal.pone.0067454
- Megibow AJ, Baker ME, Morgan DE, et al. Management of Incidental Pancreatic Cysts: A White Paper of the ACR Incidental Findings Committee. J Am Coll Radiol. 2017;14(7):911-23. doi: 10.1016/j.jacr.2017.03.010
- Gaujoux S, Brennan MF, Gonen M, et al. Cystic lesions of the pancreas: changes in the presentation and management of 1,424 patients at a single institution over a 15-year time period. J Am Coll Surg. 2011;212(4):590-600. doi: 10.1016/j.jamcollsurg.2011.01.016
- Birkmeyer JD, Finlayson SR, Tosteson AN, et al. Effect of hospital volume on in-hospital mortality with pancreaticoduodenectomy. Surgery. 1999;125(3):250-6.
- Tempero MA, Malafa MP, Al-Hawary M, et al. Pancreatic Adenocarcinoma, Version 2.2021, NCCN Clinical Practice Guidelines in Oncology. J Natl Compr Canc Netw. 2021;19(4):439-57. doi: 10.6004/jnccn.2021.0017
- Хатьков И.Е., Маев И.В., Абдулхаков С.Р., и др. Российский консенсус по экзо- и эндокринной недостаточности поджелудочной железы после хирургического лечения. Терапевтический архив. 2018;90(8):13-26 [Khatkov IE, Maev IV, Abdulkhakov SR, et al. Russian consensus on exoand endocrine pancreatic insufficiency after surgical treatment. Terapevticheskii Arkhiv (Ter. Arkh.). 2018;90(8):13-26 (in Russian)]. doi: 10.26442/terarkh201890813-26
- Löhr JM, Dominguez-Munoz E, Rosendahl J, et al; HaPanEU/UEG Working Group. United European Gastroenterology evidence-based guidelines for the diagnosis and therapy of chronic pancreatitis (HaPanEU). United Eur Gastroenterol J. 2017;5(2):153-99. doi: 10.1177/2050640616684695
- Sabater L, Ausania F, Bakker OJ, et al. Evidence-based Guidelines for the Management of Exocrine Pancreatic Insufficiency After Pancreatic Surgery. Ann Surg. 2016;264(6):949-58. doi: 10.1097/SLA.0000000000001732
- Goess R, Ceyhan GO, Friess H. Pancreatic exocrine insufficiency after pancreatic surgery. Panminerva Med. 2016;58(2):151-9.
- Gilliland TM, Villafane-Ferriol N, Shah KP, et al. Nutritional and Metabolic Derangements in Pancreatic Cancer and Pancreatic Resection. Nutrients. 2017;9(3):243. doi: 10.3390/nu9030243
- Lekkerkerker SJ, Hoogenboom SA, et al. Correlation Between the Standard Pancreatic Elastase-1 Enzyme-Linked Immunosorbent Assay Test and the New, Rapid Fecal Pancreatic Elastase-1 Test for Diagnosing Exocrine Pancreatic Insufficiency. Pancreas. 2019;48(4):e26-e27. doi: 10.1097/MPA.0000000000001291
- Lim JH, Park JS, Yoon DS. Preoperative Fecal elastase-1 Is a Useful Prognostic Marker Following Curative Resection of Pancreatic Cancer. HPB (Oxford). 2017;19(5):388-95. doi: 10.1016/j.hpb.2016.12.007
- Yepuri N, Naous R, Meier AH, et al. A systematic review and meta-analysis of predictors of recurrence in patients with Solid Pseudopapillary Tumors of the Pancreas. HPB (Oxford). 2020;22(1):12-9. doi: 10.1016/j.hpb.2019.06.005
- Лебедева А.Н. Хирургическое лечение заболеваний поджелудочной железы: метаболические последствия, диагностика и периоперационное ведение, прогноз. Автореф. дис. … д-ра мед. наук. М., 2017 [Lebedeva AN. Khirurgicheskoe lechenie zabolevanii podzheludochnoi zhelezy: metabolicheskie posledstviia, diagnostika i perioperatsionnoe vedenie, prognoz. Avtoref. dis. … d-ra med. nauk. Moscow, 2017 (in Russian)].
- Slezak LA, Andersen DK. Pancreatic resection: effects on glucose metabolism. World J Surg. 2001;25(4):452-60. doi: 10.1007/s002680020337
- Domínguez-Muñoz JE, D Hardt P, Lerch MM, Löhr MJ. Potential for Screening for Pancreatic Exocrine Insufficiency Using the Fecal Elastase-1 Test. Dig Dis Sci. 2017;62(5):1119-30. doi: 10.1007/s10620-017-4524-z
- Löser C, Möllgaard A, Fölsch UR. Faecal elastase 1: a novel, highly sensitive, and specific tubeless pancreatic function test. Gut. 1996;39(4):580-6. doi: 10.1136/gut.39.4.580
- King J, Kazanjian K, Matsumoto J, et al. Distal pancreatectomy: incidence of postoperative diabetes. J Gastrointest Surg. 2008;12(9):1548-53. doi: 10.1007/s11605-008-0560-5
- Hart PA, Bellin MD, Andersen DK, et al; Consortium for the Study of Chronic Pancreatitis, Diabetes, and Pancreatic Cancer(CPDPC). Type 3c (pancreatogenic) diabetes mellitus secondary to chronic pancreatitis and pancreatic cancer. Lancet Gastroenterol Hepatol. 2016;1(3):226-37. doi: 10.1016/S2468-1253(16)30106-6
- Speicher JE, Traverso LW. Pancreatic exocrine function is preserved after distal pancreatectomy. J Gastrointest Surg. 2010;14(6):1006-11. doi: 10.1007/s11605-010-1184-0
Supplementary files








