Multisystem lesions in orphan diseases: rheumatological aspects of Fabry's disease. Case report
- Authors: Mashkunova O.V.1,2, Isabekova A.H.2, Botabekova A.Z.1, Novikov P.I.3
-
Affiliations:
- Asfendiyarov Kazakh National Medical University
- Research Institute of Cardiology and Internal Medicine
- Sechenov First Moscow State Medical University (Sechenov University)
- Issue: Vol 95, No 6 (2023)
- Pages: 505-510
- Section: Case reports
- Submitted: 03.04.2022
- Published: 17.08.2023
- URL: https://ter-arkhiv.ru/0040-3660/article/view/105851
- DOI: https://doi.org/10.26442/00403660.2023.06.202244
- ID: 105851
Cite item
Full Text
Abstract
Fabry–Andersen disease is a genetically determined, progressive disease related to lysosomal storage diseases, linked to the X chromosome, characterized by impaired glycosphingolipid metabolism, due to the deficiency or absence of the enzyme α-galactosidase A. Fabry disease is a multisystem disease and is characterized by damage to vital organs – kidneys, heart, brain, with the occurrence of complications that cause an unfavorable prognosis. Autoinflammation mechanisms with signs of chronic inflammation are involved in the pathogenesis of the disease. One of the features of Fabry disease are clinical manifestations in the form of arthralgia, fever, skin lesions, which are similar to rheumatological diseases. The article presents a clinical observation of the classical type of Fabry disease with multiple organ manifestation, which required differential diagnosis with rheumatological diseases. Rheumatologists are specialists who are involved in the early diagnosis of Fabry disease, so they should have a high awareness of this sphingolipidosis.
Full Text
Список сокращений
АНЦА – антинейтрофильные цитоплазматические антитела
БФ – болезнь Фабри
ЛЖ – левый желудочек
НПВП – нестероидный противовоспалительный препарат
ОАК – общий анализ крови
ОАМ – общий анализ мочи
СКВ – системная красная волчанка
СКФ – скорость клубочковой фильтрации
СРБ – С-реактивный белок
ФЗТ – фермент-заместительная терапия
ХБП – хроническая болезнь почек
ЧЛС – чашечно-лоханочная система
ЭКГ – электрокардиограмма
α-Gal A – α-галактозидаза
Ig – иммуноглобулин
lyso-Gb3 – глоботриазилсфингозин
Введение
Наследственный сфинголипидоз Фабри–Андерсена относится к орфанным лизосомальным болезням накопления. Описанный двумя учеными-дерматологами Андерсеном и Фабри в 1898 г., он характеризуется Х-сцепленным типом наследования, гетерогенностью и мультистемностью поражения, что требует вовлечения в диагностику заболевания многих специалистов, в том числе ревматологов [1]. Немало научных исследований описывают наличие у пациентов с болезнью Фабри (БФ) скелетно-мышечных болей, которые имитируют акропарестезии вследствие отложения сфинголипидов в периферических нервных окончаниях [2, 3]. Нарушение метаболизма сфинголипидов связано с мутацией гена GLA и нарушением синтеза фермента α-галактозидазы (α-Gal A), которая нужна для их расщепления [4]. В результате недостаточной выработки α-Gal A в органах и тканях накапливаются продукты обмена в виде глоботриаозилцерамидов, которые аккумулируются в сосудистом эндотелии, коже, гладкомышечных клетках, невральных клетках головного мозга, ганглиях, подоцитах почек, мезангиальных и канальцевых клетках, сердечной мышце и клетках проводящей системы сердца. Этим и обусловлена полиорганность поражения при БФ, при этом превалирование клинического синдрома или дебют поражения зависят от наличия определенной мутации гена GLA, обусловливающей преобладающий фенотип развития картины заболевания [5, 6]. Характерными проявлениями являются поражения жизненно важных органов: почек, сердца, головного мозга, характеризующие тяжесть и прогноз сфинглипидоза [7]. Костно-мышечные симптомы в виде артралгий, акропарестезий, лихорадки, сосудистых расстройств по типу синдрома Рейно, поражения кожи в виде специфических ангиокератом, поражение почек, наличие вихревидной кератопатии уводит врачей общего звена в сторону поиска системных иммуновоспалительных заболеваний, особенно у детей и подростков, что удлиняет «окно возможностей» для своевременной диагностики БФ до 10–15 лет и приводит к необратимым исходам [8]. Это стимулирует генетиков и клинических исследователей проводить ранний скрининг на БФ пациентов из групп семейного риска, а также находящихся на заместительной почечной терапии, с гипертрофической кардиомиопатией и инсультами у молодых пациентов [9]. В практику внедряется неонатальный скрининг на БФ [10, 11]. Если ранее считалось, что все клинические проявления обусловлены только накоплением субстрата и вызываемым им фиброзом органов и тканей, то в настоящее время доказана роль аутовоспаления в прогрессировании клинических проявлений БФ [12]. Накопление гликосфинголипидов в сосудистом эндотелии вызывает активацию хронического воспаления в виде оксидативного стресса, повышение 3-нитротирозина как маркера васкулопатии, что приводит к пролиферации эндотелия, повышению трансформирующего фактора роста β, превращению мезенхимальных клеток в фиброзные и формированию тотального интерстициального фиброза. Это вызывает повышение острофазовых маркеров воспаления – высокочувствительного С-реактивного белка (СРБ), провоспалительных цитокинов при отсутствии подтверждающих органоспецифических аутоантител. Кроме того, БФ сейчас рассматривают как аутовоспалительный синдром с криопиринзависимым механизмом патогенеза, в основе которого лежит выработка инфламмасом. Это приводит к выработке каскада цитокинов воспаления – интерлейкинов-1β, 6, 8, фактора некроза опухоли α, выработка которых увеличивается с течением времени, вызывая необратимые изменения со стороны жизненно важных органов и систем [13, 14].
Ревматологическими «масками» БФ могут быть такие иммуновоспалительные системные заболевания, как системные васкулиты, системная красная волчанка (СКВ), ювенильный идиопатичекий артрит, болезнь Стилла, острая и хроническая ревматическая болезнь сердца, ревматическая полимиалгия и др. [15]. Основным методом лечения БФ является пожизненная фермент-заместительная терапия (ФЗТ) агалсидазой α или β, дающая положительный ответ прежде всего на регресс неврологических проявлений в виде уменьшения интенсивности акропарестезий и скелетно-мышечных симптомов, а также замедления прогрессирования хронической болезни почек (ХБП) [16–18].
Цель – описание случая поздней диагностики классического варианта БФ у мужчины с лихорадкой, полиорганностью поражения почек, сердца, кожи, периферической нервной системы в виде жгучих акропарестезий, артралгий для привлечения внимания врачей разных специальностей к проблеме ревматологических проявлений орфанного заболевания БФ.
Пациент Б., 28 лет, госпитализирован в терапевтическое отделение НАО «НИИ кардиологии и внутренних болезней» Республики Казахстан с подозрением на системное заболевание с предварительным диагнозом: ХБП G4A3 (скорость клубочковой фильтрации – СКФ 25 мл/мин/1,73 м2 по ЕРІ). Нефритический синдром. Предъявлял жалобы на ноющие боли в крупных и мелких суставах без хроноритмов, без утренней скованности, при отсутствии их припухания, покраснения области суставов, периодические подъемы температуры каждые 1–2 нед до 38–39°С, проходящие самостоятельно, жжение в кистях и стопах, мелкоточечные высыпания на коже туловища, бедер и живота без зуда, боли в мышцах плечевого пояса, верхних и нижних конечностей, колющие и ноющие боли в области сердца, не связанные с физической нагрузкой, слабость, похудение на 7 кг за последние 6 мес, снижение работоспособности. Из анамнеза жизни выяснено, что в 2019 г. во время нахождения в районной больнице по поводу аппендицита впервые выявлены изменения со стороны общего анализа крови (ОАК), общего анализа мочи (ОАМ) и биохимических показателей. ОАК: тромбоциты – 109×109/л, ОАМ: белок – 0,5 г/л, суточная потеря белка – 1,3 г, эритроциты – 10–11 в п/зр, общий белок – 58 г/л, мочевина – 14,9 ммоль/л, креатинин – 305 мкмоль/л, холестерин – 3,2 ммоль/л. На догоспитальном уровне выставлен диагноз: гломерулярная болезнь почек, нефритический синдром. ХБП 4.
Выявлены другие особенности анамнеза заболевания и жизни: с 6-летнего возраста появились единичные ангиокератомы в околопупочной области, к 16 годам сыпь распространилась на поясничную область, ягодицы, паховую область. Наряду с ангиокератомами появились боли жгучего характера в кистях и стопах, боли в крупных и мелких суставах, возникающие при физической нагрузке, а также при необъяснимых ежемесячных эпизодах лихорадки с повышением температуры тела до 38–39°С.
При тщательном расспросе пациента выяснено, что он плохо переносит жару и практически не потеет. Пациент в течение 10 лет регулярно при болях в суставах, мышцах, жгучих болях в кистях и стопах, головной боли, для снижения температуры принимал преимущественно кетопрофен и другие нестероидные противовоспалительные препараты – НПВП (диклофенак, индометацин, ибупрофен, нимесулид). При этом к врачам не обращался и не обследовался. Из семейного анамнеза известно, что родной брат имеет сходную клиническую картину, а сестра имеет минимальные клинические проявления в виде ангиокератом, акропарестезий. Мама пациента клинически была здорова. С целью верификации диагноза больной госпитализирован в НАО «НИИ кардиологии и внутренних болезней».
При осмотре обращала на себя внимание сыпь «псевдогеморрагического» характера на коже нижней половины туловища, вокруг пупка, паховой области (рис. 1). Экссудативных явлений в суставах не наблюдалось, при пальпации и при движении суставы безболезненны, мышцы плечевого и тазового поясов безболезненны при пальпации, лимфатические узлы не увеличены. Живот мягкий при пальпации, печень, селезенка не увеличены. Область почек не изменена, пальпация в проекции почек безболезненна.
Рис. 1. Ангиокератомы на коже передней брюшной стенки, в околопупочной области у пациента Б.
Fig. 1. Angiokeratoma on the skin of anterior abdominal wall in the paraumbilical area in patient B.
На госпитальном уровне обследован.
ОАК: эритроциты – 2,95×1012/л, тромбоциты – 123×109/л, лейкоциты – 3,2×109/л, цветовой показатель – 0,71, скорость оседания эритроцитов – 13 мм/ч.
Биохимический анализ крови: общий белок – 57 г/л, альбумин – 23 г/л, холестерин – 3,04 ммоль/л, креатинин – 342,65 ммоль/л, мочевина – 23,85 ммоль/л, калий – 4,9 ммоль/л.
ОАМ: цвет – светло-желтый, прозрачность – полная, удельный вес – 1010, реакция – 5,0, белок – 0,96 г/л, лейкоциты – 0–1 в п/зр, эритроциты – 10–11 в п/зр, цилиндры – 0–1 в п/зр.
Суточная протеинурия в моче – 1,693 г/сут.
Иммуноферментный анализ на аутоимунные антитела: определение антинейтрофильных цитоплазматических иммуноглобулинов(Ig)G (АНЦА) – 0,17 (N-1); антитела к миелопероксидазе – отрицательно, антитела к протеиназе 3 – отрицательно, определение антинуклеарных аутоантител в сыворотке крови иммуноферментным методом – 0,42 (N-1); определение антител к двуспиральной (неденатурированной) ДНК – 3,77 (N-25); антитела к базальной мембране клубочков почек – не обнаружены; C3 – 1,2 г/л (N), C4 – 0,2 г/л (N), ревматоидный фактор – 5 ЕД/мл (N), антитела к циклическому цитруллинсодержащему пептиду – отрицательно, ферритин – 53,6 мкг/л (N), высокочувствительный СРБ – 1,2 мг/л (N), поверхностный антиген вирусного гепатит B – отрицательно.
Ультразвуковое исследование почек: правая почка размером 9,3×3,7 см; толщина паренхимы – неоднородная, повышенной эхогенности. Левая почка размером 9,5×4,2 см; толщина паренхимы – повышенной эхогенности. Чашечно-лоханочная система (ЧЛС) – гиперэхогенные включения в ЧЛС с обеих сторон.
Заключение: отсутствие дифференциации паренхимы – ЧЛС. Повышение эхогенности паренхимы обеих почек.
Офтальмолог: признаков вихревидной кератопатии не обнаружено.
На электрокардиограмме (ЭКГ): синусовый ритм с частотой сердечных сокращений 90/мин; признаки гипертрофии левого желудочка (ЛЖ); рис. 2.
Рис. 2. ЭКГ больного Б.: синусовый ритм с частотой сердечных сокращений 90/мин. V2–V6, признаки гипертрофии миокарда ЛЖ. Интервалы РQ – 0,13 с, QRS – 0,06 с, QT – 0,36 с.
Fig. 2. ECG of Patient B.: sinus rhythm with a heart rate of 90/min. V2–V6, signs of left ventricular hypertrophy. Intervals PQ 0.13 seconds, QRS – 0.06 seconds, QT – 0.36 seconds.
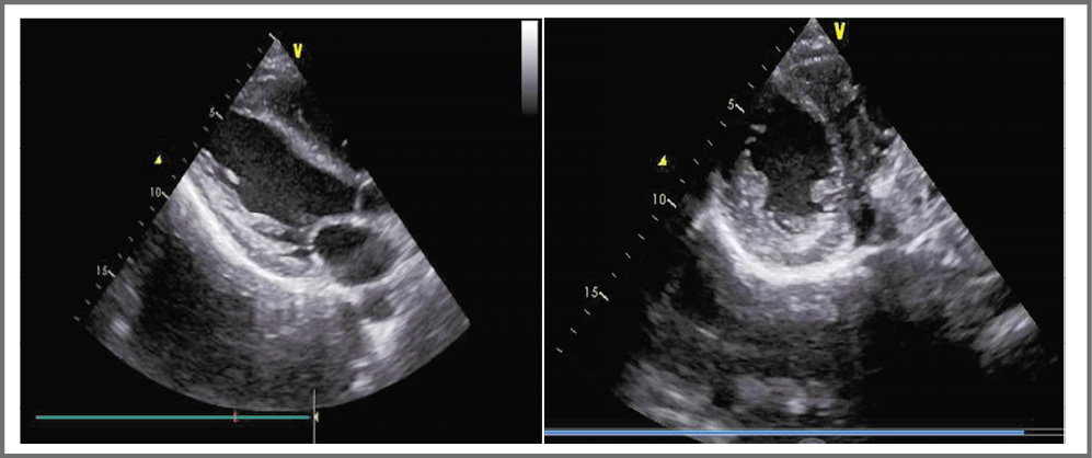
Эхокардиографическое исследование выявило существенные изменения, характерные для БФ: гипертрофия ЛЖ, толщина задней стенки ЛЖ в диастолу составила 13 мм, толщина межжелудочковой перегородки в диастолу – 13 мм, индекс массы миокарда – 127 г/м2 (рис. 3). Глобальная сократимость ЛЖ сохранена (фракция выброса по Simpson – 60%), отсутствуют нарушения локальной сократимости и признаки диастолической дисфункции желудочков; крупные сосуды, клапанный аппарат и перикард – без особенностей. Данные допплеровской кардиографии: митральная регургитация 1-й степени, трикуспидальная регургитация 1-й степени. Давление в легочной артерии не изменено (17 мм рт. ст.). При проведении исследования обращала на себя внимание повышенная эхогенность миокарда (см. рис. 3).
Рис. 3. Трансторакальная эхокардиография больного Б.: гипертрофия стенки ЛЖ.
Fig. 3. Transthoracic echocardiography of Patient B.: left ventricular hypertrophy.
При холтеровском мониторировании ЭКГ выявлены в небольшом количестве предсердные экстрасистолы, а по данным суточного мониторирования артериального давления не обнаружено данных о наличии гипертензивного состояния. С учетом клинико-лабораторной картины заподозрена БФ, и ввиду мультиорганности поражения проводилась дифференциальная диагностика с системными васкулитами, СКВ и другими аутовоспалительными синдромами. По результатам молекулярно-генетического и ферментного анализов крови методом сухого пятна диагностировано снижение активности α-Gal A<0,8 мкмоль/л/ч (норма ≥15,0 мкмоль/л/ч) и увеличение концентрации глоботриазилсфингозина lyso-Gb3 до 62 нг/мл (норма ≤1,8 нг/мл), при молекулярно-генетическом исследовании выявлена мутация в гене GLA с гомизиготным носительством [NM_000169.2:c.679C>T (p.Arg227*)]. На основании клинико-лабораторных и молекулярно-генетических исследований выставлен диагноз: Е 75.2 Сфинголипидоз. БФ, классический вариант, впервые выявленная с поражением почек ХБП G4A3 (СКФ 25 мл/мин/1,73 м2), болезнь кожи (ангиокератомы), сердца (гипертрофия миокарда ЛЖ), экзокринных желез (гипогидроз), периферической нервной системы (периферическая нейропатия, акропарестезии), полиартралгии, миалгии, лихорадочный синдром; генетическая мутация в гене GLА [NM_000169.2:c.679C>T (p.Arg227*)], сниженная активность α-Gal A<0,8; патологическое повышение концентрации биомаркера lyso-Gb3; НПВП-нефропатия, гипохромная ренальная анемия, вторичная лейкопения, тромбоцитопения. Носителем мутантного гена является мама пробанда. По результатам дальнейшего скрининга у брата и сестры обнаружены патогенные мутации гена GLA.
Таким образом, у пациента с полиорганным поражением почек, кожи, сердца, артралгиями, миалгиями, лихорадочным синдромом, акропарестезиями кистей и стоп при отсутствии маркеров воспаления острой фазы и органоспецифических аутоантител, положительном семейном анамнезе заподозрена и диагностирована БФ, классический вариант. Инициирована ФЗТ агалсидазой α в дозе 0,2 мг/кг, на фоне проведения которой через 8 нед нормализовалась температура, появились признаки положительной динамики в виде уменьшения акропарестезий, артралгий и миалгий.
Обсуждение
Ревматологические манифестации и костно-мышечные проявления БФ описаны многими исследователями. Так, по данным O. Lidove и соавт., БФ часто является причиной скелетно-мышечных симптомов, наиболее распространенными из которых являются боли в конечностях и остеопороз [19]. По их наблюдениям пациенты с БФ страдали асептическими аваскулярными некрозами конечностей, остеопоротическими переломами, тендовагинитами. Часто пациентам в дебюте выставлялись синдром Шегрена ввиду сухости кожи и гипогидроза, системного склероза и периодической болезни, ревматической лихорадки из-за наличия поражения клапанного аппарата и гипертрофии ЛЖ. Бразильские ученые N. Rosa Neto и соавт. описывают высокую частоту ревматологических манифестаций в бразильской когорте пациентов [20]. Ошибочные диагнозы имели место у 64,8% больных с БФ, чаще всего это были ревматологические диагнозы, среди которых превалировала ревматическая лихорадка. Среднее время постановки правильного диагноза составило 16 лет. Кроме того, ими было сделано наблюдение, что ревматологические проявления часты у лиц с классическими мутациями R118C и A143T гена GLA. По данным российских исследователей С.В. Моисеева и соавт., ревматологические «маски» БФ наблюдались у 26,8% из 82 исследуемых пациентов с БФ и включали: васкулиты (7,3%), артрит (6,1%), болезнь Рандю–Ослера (4,9%), ревматическую лихорадку (4,9%), СКВ (3,7%), периодическую болезнь (1,2%) [21]. R. James и соавт. описывают многочисленные случаи поздней диагностики БФ у детей, протекающей под «маской» ювенильного ревматоидного артрита. Одним из характерных сосудистых расстройств при БФ описывают лимфедему, обусловленную морфологическими изменениями эндотелия лимфатических сосудов [18, 22].
Описан случай сочетания БФ и гранулематоза с полиангиитом исследователями H. Hanaoka и соавт. у японского пациента [23]. R. Manna и соавт. в 2017 г. предложили включить БФ в алгоритм диагностики лихорадки неясного генеза [24].
R. Cimaz и соавт. провели исследование по осведомленности о БФ среди ревматологов и выявили, что, несмотря на частые ревматологические проявления при данном сфинголипидозе, осведомленность о соответствующих диагностических тестах низка. Чтобы повысить осведомленность ревматологов о скелетно-мышечных аспектах БФ, международная рабочая группа по скелетно-мышечным нарушениям проанализировала имеющиеся знания и предложила алгоритм диагностики БФ при выраженной акропарестезии для мультисистемной команды специалистов [25].
В представленном клиническом случае системными проявлениями БФ, требующими дифференциальной диагностики с иммуновоспалительными ревматическими заболеваниями, были все мультисистемные признаки: костно-мышечные симптомы в виде артралгий и миалгий, лихорадочный синдром в виде регулярных периодических подъемов температуры, кожные высыпания – ангиокератомы, имитирующие геморрагическую сыпь, которую часто приписывают геморрагическому IgA-васкулиту, поражение почек в виде нефритического синдрома, нарастающей протеинурии с исходом в ХБП, конституционального синдрома в виде похудения, поражения сердца в виде гипертрофии ЛЖ, клапанной митральной и трикуспидальной регургитации 1-й степени. Такая полиорганность поражения требовала дифференциальной диагностики, прежде всего с АНЦА-васкулитами, при которых поражение почек является ведущим критерием диагностики, IgA-васкулитом, с подозрением на геморрагическую сыпь, узелковый полиартериит, при котором наблюдаются миалгии, лихорадка, похудение, и, конечно, с СКВ. В поле зрения и краеугольным камнем диагностики было поражение почек, наблюдаемое при всех указанных заболеваниях. Отсутствие повышения острофазовых маркеров воспаления, СРБ, ревматоидного фактора, ферритина, нормальная формула крови, без сдвигов лейкограммы влево, из биохимических отклонений – только повышение креатинина до 342,65 мкмоль/л и мочевины до 23,85 ммоль/л – все это вызывало сомнения в наличии иммуновоспалительного заболевания. А отсутствие антинуклеарного фактора, АНЦА методом непрямой иммунофлуоресценции, антител к протеиназе 3 и миелопероксидазе, антител к двуспиральной ДНК, нормальных уровней компонентов комплемента С3, С4, неимение в анамнезе вирусных гепатитов и поверхностного антигена вируса гепатита В в отсутствие поражения легких, встречаемых при всех АНЦА-васкулитах, полисерозитов, привели нас к заключению об отсутствии системного васкулита и СКВ у пациента. Микрогематурия, возможно, обусловлена регулярным приемом НПВП в течение длительного времени, что привело к развитию НПВП-нефропатии. Наличие классических ангиокератом, поражение почек, гипертрофия ЛЖ у молодого человека, семейный анамнестический скрининг привели нас к мысли о наличии у пациента орфанного заболевания – БФ, классического варианта, которая подтверждена генетическим исследованием, обнаружением патологической мутации NM_000169.2:c.679C>T (p.Arg227*), снижением уровня α-Gal A и накоплением субстрата глоботриаозилцерамида lyso-Gb3. Инициация ФЗТ агалсидазой α из расчета 0,2 мг/кг привела к исчезновению лихорадки и уменьшению интенсивности акропарестезий, артралгий, миалгий уже через 8 нед от начала лечения. Назначение карбамазепина и антидепрессантов также уменьшило мучительные акропарестезии конечностей. Описанный клинический случай имеет предикторы неблагоприятного исхода БФ с учетом наличия ХБП 4, СКФ 25 мл/мин, повышения индекса массы миокарда ЛЖ [26].
Заключение
Лизосомальные болезни накопления, относящиеся к орфанным заболеваниям, характеризуются полиорганностью и мультисистемностью поражения вследствие отложения субстратов обмена сфинголипидов во всех органах и тканях. Одними из клинических признаков дебюта болезни являются ревматологические костно-мышечные проявления, лихорадка, ангиокератомы, напоминающие гемаррагическую сыпь, при этом не происходит органического поражения и деструкции суставов, а данные проявления лишь имитируют системные проявления и являются ревматологическими «масками» БФ. Многоликость БФ одними из первых вовлекает в орбиту диагностики ревматологов, что требует от них особой осведомленности об особенностях клинического течения БФ для своевременной диагностики и назначения ФЗТ.
Раскрытие интересов. Авторы декларируют отсутствие явных и потенциальных конфликтов интересов, связанных с публикацией настоящей статьи.
Disclosure of interest. The authors declare that they have no competing interests.
Вклад авторов. Авторы декларируют соответствие своего авторства международным критериям ICMJE. Все авторы в равной степени участвовали в подготовке публикации: разработка концепции статьи, получение и анализ фактических данных, написание и редактирование текста статьи, проверка и утверждение текста статьи.
Authors’ contribution. The authors declare the compliance of their authorship according to the international ICMJE criteria. All authors made a substantial contribution to the conception of the work, acquisition, analysis, interpretation of data for the work, drafting and revising the work, final approval of the version to be published and agree to be accountable for all aspects of the work.
Источник финансирования. Авторы декларируют отсутствие внешнего финансирования для проведения исследования и публикации статьи.
Funding source. The authors declare that there is no external funding for the exploration and analysis work.
Информированное согласие на публикацию. Пациент подписал форму добровольного информированного согласия на публикацию медицинской информации и фотографий.
Consent for publication. Written consent was obtained from the patient for publication of relevant medical information and all of accompanying images within the manuscript.
About the authors
Olga V. Mashkunova
Asfendiyarov Kazakh National Medical University; Research Institute of Cardiology and Internal Medicine
Author for correspondence.
Email: omashkun@mail.ru
ORCID iD: 0000-0002-8548-8281
канд. мед. наук, проф. каф. внутренних болезней НАО КазНМУ им. С.Д. Асфендиярова, вед. консультант АО «НИИ кардиологии и внутренних болезней», врач-кардиолог высшей категории
Kazakhstan, Almaty; AlmatyAsel H. Isabekova
Research Institute of Cardiology and Internal Medicine
Email: isabekova.ah@mail.ru
ORCID iD: 0000-0002-3172-3610
канд. мед. наук, доц. каф. внутренних болезней АО «НИИ кардиологии и внутренних болезней», врач-кардиолог высшей категории
Kazakhstan, AlmatyAigerim Z. Botabekova
Asfendiyarov Kazakh National Medical University
Email: botabekova_ncvb@mail.ru
ORCID iD: 0000-0001-6694-2664
ассистент каф. внутренних болезней НАО КазНМУ им. С.Д. Асфендиярова, врач-ревматолог первой категории
Kazakhstan, AlmatyPavel I. Novikov
Sechenov First Moscow State Medical University (Sechenov University)
Email: novikov-pavel@mail.ru
ORCID iD: 0000-0003-0148-5655
канд. мед. наук, зав. ревматологическим отд. УКБ № 3, Клиника ревматологии, нефрологии и профпатологии им. Е.М. Тареева ФГАОУ ВО «Первый МГМУ им. И.М. Сеченова» (Сеченовский Университет)
Russian Federation, MoscowReferences
- Tuttolomondo A, Pecoraro R, Simonetta I, et al. Anderson-Fabry disease: a multiorgan disease. Curr Pharm Des. 2013;19(33):5974-96. doi: 10.2174/13816128113199990352
- Manger B, Mengel E, Schaefer RM. Rheumatologic aspects of lysosomal storage diseases. Clin Rheumatol. 2007;26(3):335-41. doi: 10.1007/s10067-006-0299-x
- Paira SO, Roverano S, Iribas JL, et al. Joint manifestations of Fabry’s disease. Clin Rheumatol. 1992;11(4):562-5. doi: 10.1007/BF02283120
- Michaud M, Mauhin W, Belmatoug N, et al. When and how to diagnose Fabry disease in clinical practice. Am J Med Sci. 2020;3:1-9. doi: 10.1016/j.amjms.2020.07.011
- Ortiz A, Germain GP, Desnick RJ, et al. Fabry disease revisited: management and treatment recommendations for adult patients. Mol Genet Metab. 2018;123(4):416-27. doi: 10.1016/j.ymgme.2018.02.014
- Новиков П.В., Асанов А.Ю., Копишинская С.В., и др. Федеральные клинические рекомендации по диагностике и лечению болезни Фабри. М., 2013 [Novikov PV, Asanov AYu, Kopishinskaya SV, et al. Federal'nye klinicheskie rekomendatsii po diagnostike i lecheniiu bolezni Fabri. Moscow, 2013 (in Russian)].
- Arends M, Wanner Ch, Mehta A, et al. Characterization of Classical and Nonclassical Fabry Disease: A Multicenter Study. JASN. 2017;28(5):1631-41. doi: 10.1681/ASN.2016090964
- Schiffmann R, Hughes DA, Linthorst GE, et al. Screening, diagnosis, and management of patients with Fabry disease: conclusions from a “Kidney Disease: Improving Global Outcomes” (KDIGO) Controversies Conference. Kidney Int. 2017;91(2):284-93. doi: 10.1016/j.kint.2016.10.004
- Trachoo O, Jittorntam P, Pibalyart S, et al. Screening of Fabry disease in patients with end-stage renal disease of unknown etiology: the first Thailand study. J Biomed Res. 2016;31(1):17-24. doi: 10.7555/JBR.31.20160063
- Spada M, Pagliardini S, Yasuda M, et al. High incidence of later-onset Fabry disease revealed by newborn screening. Am J Hum Genet. 2006;79:31-40. doi: 10.1086/504601
- Vedder AC, Strijland A, vd Bergh Weerman MA, et al. Manifestations of Fabry disease in placental tissue. J Inherit Metab Dis. 2006;29(1):106-11. doi: 10.1007/s10545-006-0196-0
- Chen KH, Chien Y, Wang KL, et al. Evaluation of proinflammatory prognostic biomarkers for Fabry cardiomyopathy with enzyme replacement therapy. Can J Cardiol. 2016;32:1221.e1-9. doi: 10.1016/j.cjca.2015.10.033
- Carnicer-Cáceres C, Arranz-Amo JA, Cea-Arestin C, et al. Biomarkers in Fabry Disease. Implications for Clinical Diagnosis and Follow-up. J Clin Med. 2021;10(8):1664. doi: 10.3390/jcm10081664
- Тао Е.А., Моисеев А.С., Буланов Н.М., и др. Терминальная хроническая почечная недостаточность у пациентов с болезнью Фабри. Клиническая фармакология и терапия. 2020;29(4):36-43 [Tao E, Moiseev A, Bulanov N, et al. End-stage renal disease in patients with Fabry disease. Clin Pharmacol Ther. 2020;29(4):36-43 (in Russian)]. doi: 10.32756/0869-5490-2020-4-36-43
- Моисеев С.В., Тао Е.А., Моисеев А.С., и др. Клинические проявления и исходы болезни Фабри у 150 взрослых пациентов. Клиническая фармакология и терапия. 2021;30(3):43-51 [Moiseev S, Tao E, Moiseev A, et al. Clinical manifestations and outcomes of Fabry disease in 150 adult patients. Clin Pharmacol Ther. 2021;30(3):43-51 (in Russian)]. doi: 10.32756/0869-5490-2021-3-43-51
- Моисеев С.В., Новиков П.И., Фомин В.В. Лечение болезни Фабри. Клиническая фармакология и терапия. 2016;25(4):63-70 [Moiseev SV, Novikov PI, Fomin VV. Treatment of Fabry disease. Clin Pharmacol Ther. 2016;25(4):63-70 (in Russian)].
- Hoffmann B, Beck M, Mehta A, et al. Nature and prevalence of pain in Fabry disease and its response to enzyme replacement therapy – a retrospective analysis from the Fabry Outcome Survey. Clin J Pain. 2007;23(6):535-42. doi: 10.1097/AJP.0b013e318074c986
- Reisin R, Perrin A, García-Pavía P. Time delays in the diagnosis and treatment of Fabry disease. Int J ClinPract. 2017;71(1). doi: 10.1111/ijcp.12914
- Lidove O, Zeller V, Chicheportiche V, et al. Musculoskeletal manifestations of Fabry disease: A retrospective study. Joint Bone Spine. 2016;83(4):56-61. doi: 10.1016/j.jbspin.2015.11.001
- Rosa Neto NS, Bento JCB, Pereira RMR. Higher rate of rheumatic manifestations and delay in diagnosis in Brazilian Fabry disease patients. Adv Rheumatol. 2020;60(1):7. doi: 10.1186/s42358-019-0111-7
- Моисеев С.В., Новиков П.И., Буланов Н.М., и др. Болезнь Фабри в практике ревматолога. Клиническая фармакология и терапия. 2018;27(1):39-45 [Moiseev SV, Novikov PI, Bulanov NM, et al. Fabry disease in rheumatology practice. Clin Pharmacol Ther. 2018;27(1):39-45 (in Russian)].
- James RA, Singh-Grewal D, Lee SJ, et al; Australian Paediatric Rheumatology Group. Lysosomal storage disorders: A review of the musculoskeletal features. J Paediatr Child Health. 2016;52(3):262-71. doi: 10.1111/jpc.13122. PMID: 27124840
- Hanaoka H, Hashiguchi A, Konishi K, et al. A rare association between Fabry’s disease and granulomatosis with polyangiitis: a potential pathogenic link. BMC Nephrol. 2014;15:157. doi: 10.1186/1471-2369-15-157
- Manna R, Cauda R, Feriozzi S, et al. Recommendations for the inclusion of Fabry disease as a rare febrile condition in existing algorithms for fever of unknown origin. Intern Emerg Med. 2017;12:1059-67. doi: 10.1007/s11739-017-1704-y
- Cimaz R, Guillaume S, Hilz MJ, et al. Awareness of Fabry disease among rheumatologists – current status and perspectives. Clin Rheumatol. 2011;30:467-75. doi: 10.1007/s10067-010-1445-z
- Моисеев С.В., Каровайкина Е.А., Буланов Н.М., и др. Предикторы клинических исходов болезни Фабри: роль хронической болезни почек. Терапевтический архив. 2019;91(6):40-6 [Moiseev SV, Karovaikina EA, Bulanov NM, et al. Predictors of clinical events in patients with Fabry disease: the role of chronic kidney disease. Terapevticheskii Arkhiv (Ter. Arkh.). 2019;91(6):40-6 (in Russian)]. doi: 10.26442/00403660.2019.06.000251
Supplementary files






