Features of the Spee curve on radiographs and its changes in the treatment of patients with the "straight" arc technique
- Authors: Shkarin V.V.1, Dmitrienko T.D.1, Mikhalchenko A.D.1
-
Affiliations:
- Volgograd State Medical University
- Issue: Vol 22, No 3 (2025)
- Pages: 81-89
- Section: Articles
- Published: 05.10.2025
- URL: https://ter-arkhiv.ru/2658-4514/article/view/692109
- DOI: https://doi.org/10.19163/2658-4514-2025-22-3-81-89
- ID: 692109
Cite item
Full Text
Abstract
Determining the features of the Spee occlusal curve is an urgent task in prosthetic dentistry and orthodontics. In most cases, the curvature of the occlusal plane is determined on plaster models of the jaws. At the same time, there is very little information about the methods of constructing the Spee occlusal curve on the TRG in the lateral projection. Purpose. To develop a method for constructing the Spee curve on a lateral telerentgenogram and to analyze it in people with physiological and pathological occlusion, as well as to evaluate the change in the occlusal curve in the treatment of patients with the "straight" arc technique. Materials and methods. The study was multifaceted and included the analysis of telerentgenograms and orthopantomograms of young people with physiological variants of the occlusal relationship of antagonists. This study was a retrospective cohort study. The distance between the anterior and posterior occlusal points through which the occlusal line passed was measured. Using PowerPoint programs, it was possible to draw a circle along the line of closure of the teeth through the occlusal points. The radius of the circle was measured. The ratio of the radius of the circle to the length of the sagittal size of the occlusal line was evaluated. The depth of the occlusal curve was measured from the point of the largest bulge to the occlusal line. The statistical analysis included the calculation of averages (M) and the error of representativeness (±m). Results and discussion. In the course of the analysis, a method was developed for constructing the Spee curve on the TRG in a lateral projection based on the proportionality of the sagittal size of the occlusal line, measured between the anterior and posterior occlusal points of the inferior dental arch and the radius of the occlusal circle. The radius exceeded the sagittal distance of the occlusal line by an amount corresponding to the Fibonacci number (1.618) and the golden ratio principle. The performed treatment with the "straight" arc technique contributed to the normalization of occlusal balance and the anterior teeth edge, however, it did not correspond to the optimal occlusal status characterizing physiological occlusion. Conclusion. The data obtained formed the basis for the differential diagnosis of physiological and pathological variants of the Spee curve. It should be noted that the treatment of patients with the "straight" (flat) arc technique, regardless of the severity of the Spee curve before treatment, does not correspond to achieving the optimal occlusal status characterizing physiological occlusion.
Full Text
Особенностям построения и анализа кривой Spee посвящены исследования отечественных и зарубежных специалистов [1, 2]. При этом авторы оценивают важность и необходимость анализа положения окклюзионной плоскости и выраженность кривой Spee. Специалисты акцентируют внимание на особенности анализа окклюзионного статуса на телерентгенограммах в боковой проекции [3].
В приведенном исследовании авторы отмечают необходимость проведения комплекса мероприятий для диагностики патологии челюстно-лицевой области и приводят сведения о взаимозависимости и взаимосвязи морфологических методов с рентгенологическими. Из рентгенологических методов особое значение имеют телерентгенографические и ортопантомографические.
Данные методы не заменимы при исследовании височно-нижнечелюстных суставов и при определении особенностей врожденной и наследственной патологии челюстно-лицевой области [4, 5].
Необходимость анализа окклюзионного состояния обусловлена выбором методом протетического и ортодонтического лечения в различные возрастные периоды [6, 7]. В указанных источниках авторы обращают внимание на изменение окклюзионной линии. В периоде молочного прикуса практически все зубы касаются окклюзионной плоскости, и на рентгенограммах отмечается отсутствие кривой Spee. Формирование кривой начинается после прорезывания первых моляров с последующим увеличением глубины после прорезывания остальных дистально расположенных зубов. Не исключено влияние дефектов твердых тканей зубов на формирование окклюзионной линии и на деформацию зубочелюстных дуг [8].
В настоящее время при анализе окклюзионной плоскости и кривой Spee специалисты рекомендуют использовать биометрические методы исследования на гипсовых моделях челюстей [9–11]. При этом уделяют внимание одонтометрии, соразмерностям частей зуба, торковым и ангуляционным наклонам зубов.
Биометрические и рентгенологические методы анализа окклюзионного статуса, как правило, лежат в основе моделирования зубных дуг как в учебных целях, так и в клинической практике [12].
Моделирование окклюзионной плоскости необходимо при протезировании дефектов и при прогнозировании формы зубочелюстных дуг при выборе методов ортодонтического лечения.
С помощью методов биометрической диагностики определяется тактика ортодонтического лечения, в особенности выбор прописи брекетов с учетом типологических особенностей лица и зубочелюстных дуг [13, 14]. С учетом прописей брекетов определяется этапность смены и выбора размеров металлических дуг техники эджуайс [15, 16].
Авторы рекомендуют осуществлять контроль за кривизной окклюзионной плоскости Spee на всех этапах лечения. Однако многие практические врачи ограничиваются лечением техникой «прямой» дуги, как наиболее удобным и простым методом лечения. В то же время требуются исследования, направленные на изучение динамики изменения окклюзионной кривой при лечении техникой «прямой» дуги. Все выше изложенное предопределяет цель настоящей работы.
ЦЕЛЬ РАБОТЫ
Разработать метод построения кривой Spee на боковой телерентгенограмме и провести анализ у людей с физиологической и патологической окклюзией, а также оценить изменение окклюзионной кривой при лечении пациентов техникой «прямой» дуги.
МЕТОДИКА ИССЛЕДОВАНИЯ
Исследование было многоплановым и включало анализ телерентгенограмм (ТРГ) и ортопантомограмм (ОПТГ) людей молодого возраста с физиологическими вариантами окклюзионного взаимоотношения антагонистов. Данное исследование носило ретроспективный кагортный характер. Проанализированы результаты 62 ТРГ и ОПТГ с физиологическим прикусом (1-я группа исследования).
Следующим этапом исследования был анализ боковых телерентгенограмм 16 пациентов с дистальной окклюзией (2-я группа исследования), полученных до лечения и после лечения техникой эджуайс – «прямой» (плоской) дуги.
В 1-ю подгруппу 2-й группы вошли пациенты, у которых до лечения отмечались варианты патологической кривой Spee. Во 2-й подгруппе 2-й группы до лечения кривая Spee соответствовала оптимальной норме.
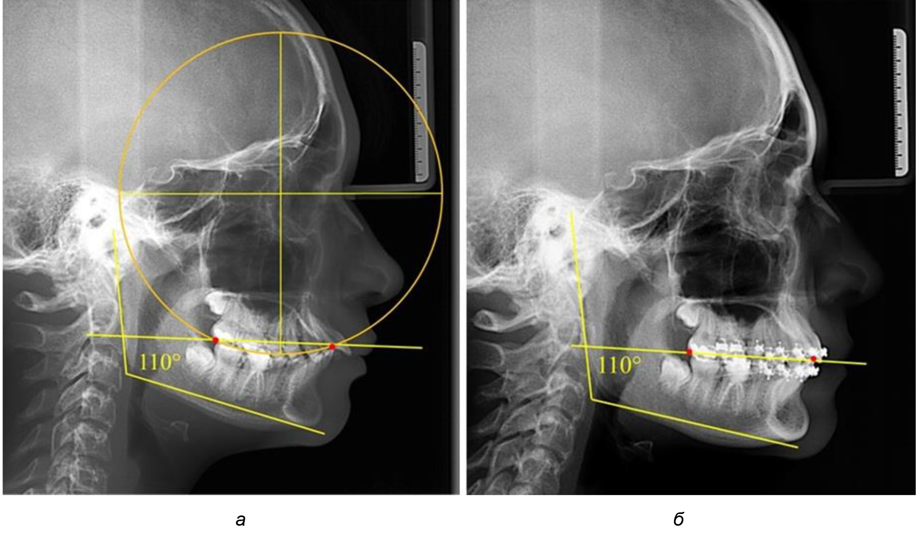
При анализе латеральных ТРГ устанавливали реперный окклюзионные точки в переднем и боковом отделе. Передняя точка устанавливалась на режущем крае нижнего медиального резца, которую в клинике ортодонтии обозначают как vPOcP. Дистальная точка второго нижнего моляра обозначалась как hPOcP. Измеряли расстояние между окклюзионными точками, что определяло сагиттальный размер окклюзионной линии. Использование программ PowerPoint позволило проводить окружность, проходящую по линии смыкания зубов через окклюзионные точки. Измеряли радиус окружности. Учитывая вариабельность размеров окклюзионной линии и радиуса окружности, определяли относительный показатель через отношение радиуса круга к длине сагиттального размера окклюзионной линии. Глубину окклюзионной кривой измеряли от точки наибольшей выпуклости до окклюзионной линии (рис. 1). На ортопантомограмме (ОПТГ) также соединяли окклюзионные точки правой и левой стороны и измеряли глубину окклюзионной кривой от точки наибольшей выпуклости до окклюзионной прямой линии. Результаты глубины кривой Spee сравнивали по данным ТРГ и ОПТГ.
Рис. 1. Метод определения кривой Spee на ТРГ (а) и на ОПТГ (б)
Статистический анализ проводили с использованием программы Microsoft Excel. Оценивали средние значения показателей (М) и ошибку репрезентативности (±m).
РЕЗУЛЬТАТЫ ИССЛЕДОВАНИЯ И ИХ ОБСУЖДЕНИЕ
В ходе исследования установлено, что в 1-й подгруппу вошли ТРГ и ОПТГ 18 человек 1-й группы, что составило (29,03 ± 5,78) % от всех пациентов, рентгенограммы которых были проанализированы. У всех пациентов величина угла нижней челюсти была более 125° и в среднем составила (129,89 ± 3,62)° и характеризовала вертикальный тип нижней челюсти.
Учитывая существенную вариабельность линейных показателей, обусловленных типологическими (гнатическими и дентальными) вариантами зубочелюстных дуг, анализ проводили только при измерении глубины кривой Spee в наиболее углубленном месте и оценивали относительный показатель через отношение радиуса круга к сагиттальному расстоянию окклюзионной линии.
Анализ результатов показал, что глубина кривой Spee в среднем по подгруппе составил (4,12 ± 0,53) мм как при анализе ТРГ, так и ОПТГ.
Деление величины радиуса круга к длине окклюзионной линии составило 1,623 ± 0,02. Таким образом, для определения радиуса окружности, соответствующей кривизне окклюзионного контура боковой ТРГ, необходимо измерить расстояние между передней и задней окклюзионными точками и последующим умножением полученной величины на число Фибоначчи (рис. 2).
Рис. 2. Особенности кривой Spee на ТРГ (а) и ОПТГ (б) у людей с признаками вертикального роста
На рентгенограммах людей 2-й подгруппы (30 человек с нейтральным типом роста) величина угла нижней челюсти в среднем составила (120,34 ± 2,19) ° и характеризовала нейтральный тип нижней челюсти.
Глубина кривой Spee в среднем по 2-й подгруппе составил (3,54 ± 0,58) мм, что было незначительно меньше, чем при анализе аналогичного показателя 1-й подгруппы.
Достоверных различий с показателями, полученными при анализе ТРГ и ОПТГ, нами не отмечено (р ˃ 0,05). Деление величины радиуса круга к длине окклюзионной линии составило 1,612 ± 0,02, что, так же как и в 1-й подгруппе, было близким по значению к числу Фибоначчи (1, 618).
В 3-ю подгруппу вошли ТРГ и ОПТГ 14 человек 1-й группы, что составило (22,58 ± 5,31) % от общего количества людей 1-й группы. Величина угла нижней челюсти в среднем составила (114,85 ± 2,87)° и характеризовала горизонтальный тип нижней челюсти.
Глубина кривой Spee в среднем по 2-й подгруппе составил (2,94 ± 0,47) мм, что было меньше, чем в других подгруппах. Деление величины радиуса круга к длине окклюзионной линии составило 1,616 ± 0,02 (рис. 4).
Рис. 3. Особенности кривой Spee на ТРГ (а) и ОПТГ (б) при нейтральном типе роста нижней челюсти
Рис. 4. Особенности кривой Spee на ТРГ (а) и ОПТГ (б) у людей с горизонтальным типом лица
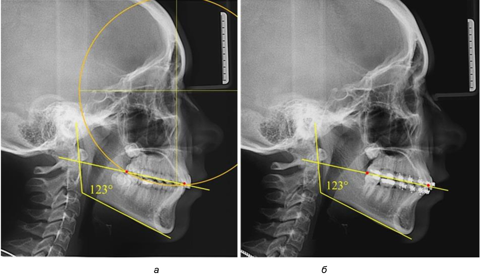
У людей с аномалиями окклюзии по сагиттали в 1-й подгруппе обследовано 9 человек. Обращает на себя внимание увеличение глубины кривой Spee, что нами расценивалось, как патологическая форма кривой линии окклюзии.
Глубина кривой Spee в среднем по 2-й подгруппе составила (5,69 ± 1,57) мм, что было достоверно больше, чем у людей с физиологической окклюзией (р ˂ 0,05). Достоверных различий с показателями, полученными при анализе ТРГ и ОПТГ, нами не отмечено (р ˃ 0,05). Отношение радиуса окружности к сагиттальному размеру окклюзионной линии в среднем по подгруппе составляло 1,372 ± 0,042 и не соответствовало числу Фибоначчи, что может быть использовано в качестве диагностического критерия определения патологической формы кривой Spee. После лечения пациентов техникой «прямой» дуги было отмечено незначительное увеличение сагиттального размера окклюзионной лини в среднем на (2,12 ± 0,77) мм. Однако окклюзионная линия практически касалась окклюзионного контура всех жевательных зубов, и отмечалось практически полное отсутствие кривой Spee.
Таким образом, проведенное лечение техникой «прямой» дуги способствует нормализации окклюзионного равновесия и торку передних зубов, однако не соответствует оптимальному окклюзионному статусу, характеризующему физиологическую окклюзию. При этом величина нижнечелюстного угла оставалась на прежнем уровне (рис. 5).
Рис. 5. Особенности ТРГ при патологической кривой Spee до лечения (а) и после лечения (б) техникой «прямой» дуги
Во 2-й подгруппе 2-й группы было обследовано 7 человек.
Указанная величина не имела достоверного отличия с 1-й подгруппой (р ˃ 0,05), что определяло однородность групп по количественному признаку.
Обращает на себя внимание, что глубина кривой Spee в анализируемой подгруппе практически не отличалась от показателей, полученных у людей с физиологической окклюзией, и составляла (4,23 ± 1,58) мм. Отношение радиуса окружности к сагиттальному размеру окклюзионной линии в среднем по подгруппе составляло 1,623 ± 0,02 и соответствовало числу Фибоначчи.
После лечения пациентов техникой «прямой» дуги, так же как и в 1-й подгруппе, было отмечено увеличение сагиттального размера окклюзионной лини в среднем на (2,38 ± 0,83) мм. Окклюзионная линия практически касалась окклюзионного контура всех жевательных зубов, и отмечалось практически полное отсутствие кривой Spee, так же как и у людей 1-й подгруппы 2-й группы (рис. 6).
Рис. 6. Особенности ТРГ при оптимальной кривой Spee до лечения (а) и после лечения (б) техникой «прямой» дуги
Таким образом, проведенное лечение техникой «прямой» дуги способствует нормализации окклюзионного равновесия и торку передних зубов, однако не соответствует оптимальному окклюзионному статусу, характеризующему физиологическую окклюзию. При этом величина нижнечелюстного угла оставалась на прежнем уровне.
ЗАКЛЮЧЕНИЕ
В ходе проведенного анализа разработан метод построения кривой Spee на ТРГ в боковой проекции, основанный на соразмерности сагиттального размера окклюзионной линии, измеряемой между передней и задней окклюзионными точками нижней зубной дуги и радиуса окклюзионного круга. Величина радиуса превышала сагиттальное расстояние окклюзионной линии на величину, соответствующую числу Фибоначчи (1,618) и принципу «золотого сечения». Полученные данные легли в основу дифференциальной диагностики физиологических и патологических вариантов кривой Spee. Следует отметить, что лечение пациентов техникой «прямой» (плоской) дуги, вне зависимости от выраженности кривой Spee до лечения, не соответствует достижению оптимального окклюзионного статуса, характеризующего физиологическую окклюзию.
About the authors
Vladimir V. Shkarin
Volgograd State Medical University
Email: vishkarin@mail.ru
ORCID iD: 0000-0001-7158-0282
Doctor of Medical Sciences, Professor
Russian Federation, VolgogradTatyana D. Dmitrienko
Volgograd State Medical University
Author for correspondence.
Email: svdmitrienko@volgmed.ru
ORCID iD: 0000-0002-0935-5575
Candidate of Medical Sciences, Associate Professor
Russian Federation, VolgogradAlexey D. Mikhalchenko
Volgograd State Medical University
Email: lehasik.m@yandex.ru
ORCID iD: 0009-0002-6601-1856
graduate student
Russian Federation, VolgogradReferences
- Mozharov V. N., Korobkeev A. A., Domenyuk D. A., Kochkonyan T. S. Features of the orientation of the occlusal plane in people with different types of gnathic part of the face. Medicnsriy vestnik Severnogo Kavkaza = Medical Bulletin of the North Caucasus. 2021;16(1):42–45. doi: 10.14300/mnnc.2021.16011. (In Russ.).
- Shkarin V. V., Kochkonyan Т. S., Domenyuk D. A. Occlusal plane orientation in patients with dentofacial anomalies based on morphometric cranio-facial measurements. Archiv EuroMedica. 2021;11(1):116–121. doi: 10.35630/ 2199-885Х/2021/11/1/116-119.
- Domenyuk D. A., Davydov B. N., Vedeshina E. G. Radiological and morphometric methods in the comprehensive assessment of the cephalo-odontological status of dental patients. Part I. Institut stomatologii = Institute of Dentistry. 2017;75(2):58–61. (In Russ.).
- Domenyuk D. A., Kharatyunyan Yu., Domenyuk S. D. Structural arrangement of the temporamandibular joint in view of the constitutional anatomy. Archiv EuroMedica. 2020;10(1):128–138. doi: 10.35630/2199-885Х/2020/10/1/128-138.
- Harutyunyan Yu., Kondratyeva T. S., Domenyuk D. A. Undifferentiated connective tissue dysplasia as a key factor in pathogenesis of maxillofacial disorders in children and adolesce. Archiv EuroMedica. 2020;10(2):83–94. doi: 10.35630/2199-885Х/2020/10/2/83-94.
- Dmitrienko S. V. Orthopedic treatment of children with dental defects. Stomatologiya detskogo vosrasta I profilaktika = Pediatric Dentistry and Prevention. 2001;1(1):47–50. (In Russ.).
- Klimova N. N., Filimonova E. V., Dmitrienko D. S. Application of aesthetic prosthetic structures in the pediatric dentistry clinic. Ortodontiya = Orthodontics. 2007;69(4):25–28. (In Russ.).
- Dmitrienko S. V., Ivanov L. P., Milikevich V. Yu. The incidence of caries in baby teeth and the need for preventive prosthetics in preschoolers with functional indigestion. Stomatologiya = Dentistry. 1999;3:37. (In Russ.).
- Dmitrienko S. V., Shkarin V. V., Dmitrienko T. D. Methods of biometric study of dentofacial arches. Volgograd: VolgSMU Publishing House, 2022. 220 р. (In Russ.).
- Shkarin V. V., Fomin I. V., Dmitrienko T. D. Comparative analysis of the results of various dental arch biometrics methods. Volgogradskie naucyno-medicinskiy jurnal = Volgograd Scientific Medical Journal. 2023;20(1):40–43. (In Russ.).
- Goncharov V. V., Krayushkin A. I. Methods of measuring teeth. Volgograd, 1998. 48 p. (In Russ.).
- Domenyuk D. A., Davydov B. N., Budaichiev G. M.-A., Ivanyuta S. O. Mathematical modeling of the shape and size of dental arches for choosing tactics and volume of orthodontic treatment of patients with anomalies of the dental system. Medicinskij alfavit = The Medical alphabet. 2018;2.8(345):7–13. (In Russ.).
- Davydov B. N., Davydov B. N., Vedeshina E. G. Biometric substantiation of the basic linear dimensions of dental arches for determining the tactics of orthodontic treatment with the edgeways technique. Рart I. Institut stomatologii = Institute of Dentistry. 2016;70(1):76–78. (In Russ.).
- Davydov B. N., Davydov B. N., Vedeshina E. G. Biometric substantiation of the basic linear dimensions of dental arches for determining the tactics of orthodontic treatment with the edgeways technique. Рart II. Institut stomatologii = Institute of Dentistry. 2016;71(2):66–67. (In Russ.).
- Domenyuk D. A., Davydov B. N., Vedeshina E. G., Gagloeva N. F., Nalbandian L. V. Determination of the features of the choice of metal arches and braces in the treatment of edgeways. Part I. Institut stomatologii = Institute o Dentistry. 2015;69(4):92–93. (In Russ.).
- Domenyuk D. A., Davydov B. N., Vedeshina E. G., Gagloeva N. F., Nalbandian L. V. Determination of the features of the choice of metal arches and braces in the treatment of edgeways. Part II. Institut stomatologii = Institute of Dentistry. 2016;70(1):54–57. (In Russ.).
Supplementary files








