Adrenal incidentaloma. Part 2. Modern concepts of computed tomography semiotics of adrenal gland incidentalomas: algorithm of differential diagnosis
- Authors: Buryakina S.A.1, Tarbaeva N.V.1, Volevodz N.N.1, Karmazanovsky G.G.2, Kovalevich L.D.1, Shestakova M.V.1, Dedov I.I.1
-
Affiliations:
- Endocrinology Research Centre
- Vishnevsky National Medical Research Center of Surgery
- Issue: Vol 93, No 11 (2021)
- Pages: 1381-1388
- Section: Reviews
- Submitted: 28.01.2022
- Accepted: 28.01.2022
- Published: 15.11.2021
- URL: https://ter-arkhiv.ru/0040-3660/article/view/99715
- DOI: https://doi.org/10.26442/00403660.2021.11.201169
- ID: 99715
Cite item
Full Text
Abstract
While accidentally detecting an adrenal gland lesion (incidentaloma) during a routine computed tomography (CT) scan, the radiologist should correctly interpret revealed changes. The most common lesion is adenoma with high lipid content, but a lipid poor adenoma, pheochromocytoma, adrenocortical cancer, metastasis and other less common adrenal diseases are also worth of attention and require detailed knowledge of their CT semiotics. The article presents criteria of differential diagnosis of the adrenal incidentalomas on the basis of which an algorithm of differential diagnosis was proposed for the most common adrenal lesions.
Full Text
Введение
Инциденталомы надпочечников объединяют гетерогенную группу образований, являющихся «случайной находкой» у пациентов, которым проводилось исследование не по поводу болезни данного органа, и обладающих разными компьютерно-томографическами (КТ) признаками. Ключевая задача врача-рентгенолога – дифференцировать злокачественное и доброкачественное образование надпочечников. При впервые выявленном по данным КТ-исследования объемном образовании надпочечника целесообразно проведение внутривенного болюсного контрастного усиления для получения детальной характеристики образования. Эта процедура сокращает необходимость повторного вызова пациента на дообследование [1]. В то же время при оценке образования необходимо учитывать КТ-признаки, а также возраст и клинические данные пациента. Такие образования надпочечника, как аденома с высоким содержанием жира, киста, феохромоцитома, имеют патогномоничные признаки, которые позволяют установить диагноз с высокой точностью.
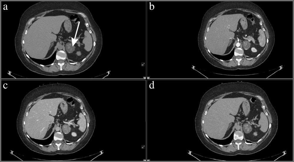
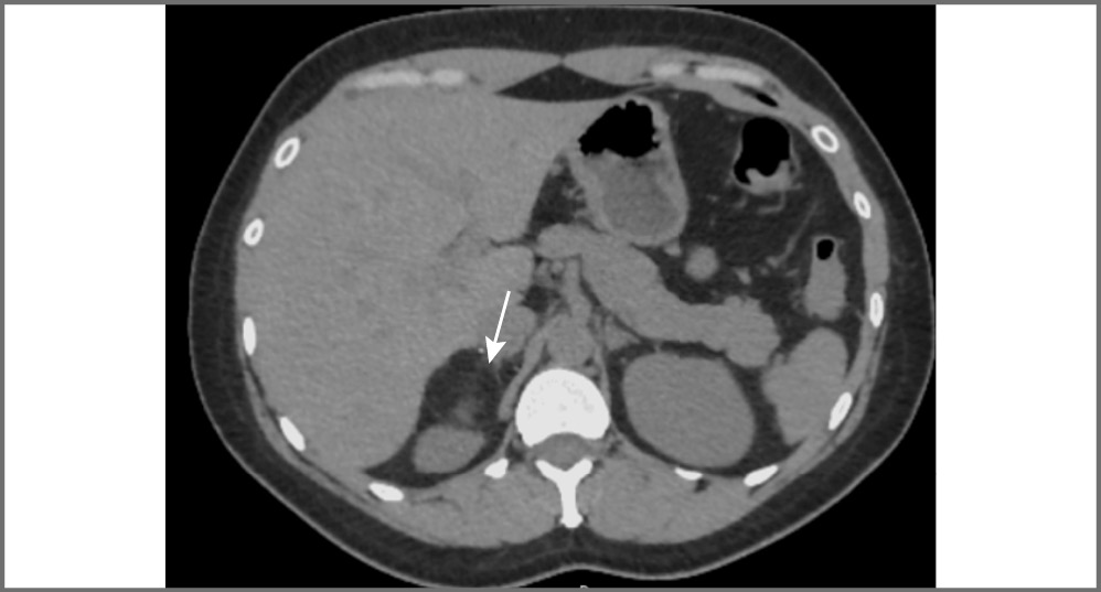
Аденома – доброкачественное образование надпочечника, она составляет около 80% всех образований надпочечников. На КТ-изображениях аденомы обычно представляют собой образования с четкими ровными контурами овальной формы, однородной структуры, размером, как правило, менее 3 см. При динамическом наблюдении размер аденом не меняется или медленно увеличивается в пределах нескольких миллиметров в год (рис. 1) [2].
Рис. 1. Аденома надпочечника с низким содержанием жира (стрелка). МСКТ, аксиальная проекция: а – нативная фаза; b – артериальная фаза; c – венозная фаза; d – отсроченная фаза. Примечание. МСКТ – мультиспиральная компьютерная томография.
В зависимости от количества внутриклеточных жировых включений различают аденомы с высоким (80%) и низким (20%) содержанием жира, что проявляется характерной КТ-картиной. Так, аденомы с высоким содержанием жира представлены на нативных изображениях образованиями плотностью до 10 ед. Н.
Большой размер, обызвествления в структуре, кровоизлияния или появление жидкостных включений являются редкими КТ-признаками, однако также могут быть выявлены в аденомах [3].
Все аденомы имеют патогномоничное накопление контрастного препарата с быстрым «вымыванием» его после внутривенного болюсного контрастирования, что позволяет дифференцировать аденомы с другими заболеваниями надпочечника, например злокачественными новообразованиями и феохромоцитомами.
Для оценки характера контрастирования в большинстве случаев проводится четырехфазное КТ-сканирование с болюсным введением неионного йодсодержащего контрастного препарата со скоростью введения 2–4 мл/с, дозой контрастного вещества с концентрацией 300–350 мг йода/мл (60–76%) не менее 1 мл/кг массы тела пациента (лучше – 100–140 мл). Исследование проводят в нативную, артериальную (18–25 с после начала введения болюса контрастного препарата или 10 с после достижения пика 100–150 ед. Н на болюс-трекере), венозную (55–65 с от начала введения болюса) и отсроченную (15 мин после введения контрастного препарата) фазы. Для аденом максимальное накопление контрастного препарата в большинстве наблюдений определяется в венозную фазу.
Измерение плотности образования (HU) во все фазы исследования и расчет абсолютного (APW) и относительного (RPW) процента вымывания контрастного вещества производятся по следующим формулам:
APW=(HU 60 с - HU 10 мин)/(HU 60 с - HU без контраста)×100%;
RPW=(HU 60 с - HU 10 мин)/HU 60 с×100%.
Если APW более 60% (чувствительность и специфичность 88 и 96% соответственно) и RPW превышает 40% (чувствительность и специфичность 83 и 95% соответственно), объемное образование рассматривается как доброкачественное [2, 4–6].
Если APW менее 60% и RPW ниже 40%, то это признак, позволяющий подозревать наличие злокачественной природы образования надпочечника [1, 4–6].
По данным отечественных и зарубежных авторов, выявлено, что размер образования 4 см является пограничным и вызывает подозрение на злокачественную природу образования, ввиду чего требуется дальнейшее дообследование [1, 7–9].
Миелолипома представляет собой доброкачественную опухоль надпочечника, состоящую из макроструктурных жировых включений и гемопоэтической ткани. Размер образований обычно от нескольких миллиметров до 4 см с четкими ровными контурами, неоднородной структуры. Для миелолипомы характерно наличие тонкой псевдокапсулы, возможны обызвествления, обусловленные последствиями кровоизлияний (обнаруживаются в 27% случаев) [10, 11].
Наличие макроструктурного жира (плотность от -30 до -100 ед. Н) является ключевым признаком в диагностике данного образования [12]. При этом количество жировой и гемопоэтической ткани вариабельно (рис. 2). При КТ-диагностике возможна установка ложноположительного диагноза, так как в редких случаях аденома, адренокортикальный рак (АКР) и феохромоцитома могут содержать включения макроструктурного жира [13]. Установка ложноотрицательного диагноза возможна при незначительном количестве жира и преобладании гемопоэтической ткани в опухоли. Кроме того, подобную структуру может иметь и липосаркома, поэтому в случае быстрого увеличения размеров и изменения структуры образования при динамическом КТ-исследовании, а также появлении признаков инвазивного роста необходимо заподозрить данное заболевание и выполнить пункционную биопсию с дальнейшим морфологическим исследованием [11].
Рис. 2. Миелолипома правого надпочечника, окруженная тонкой псевдокапсулой (стрелка). МСКТ, аксиальная проекция, нативная фаза.
Также миелолипомы, как и образования надпочечника другой этиологии, могут сочетаться с наличием в надпочечнике других образований, например аденомой, АКР с формированием коллизионной (от лат. collisio – столкновение) опухоли, что также может вызвать затруднения при установке верного диагноза.
При наличии только макроструктурного жира в образовании, ограниченном тонкой капсулой, следует заподозрить липому.
Кровоизлияние в надпочечник (гематома). Острое или подострое кровоизлияние характеризуется наличием высокой плотности (60–90 ед. Н) округлого или овального образования разного размера, не накапливающего контрастный препарат. Наиболее часто встречается у новорожденных. При динамическом наблюдении размер данного образования уменьшается, а плотность снижается, что обусловлено лизированием гематомы. Через год данное образование может обызвествляться. Для хронической гематомы характерно наличие жидкостного образования с тонкой псевдокапсулой по периферии и кальцинатами в структуре. Двустороннее расположение гематом чаще определяется при системных патологических процессах (шок, сепсис), в то время как одностороннее кровоизлияние чаще является следствием тупой травмы. При этом чаще кровоизлияние при травме обнаруживают в правом надпочечнике, что связано со сдавлением его между печенью и правой почкой.
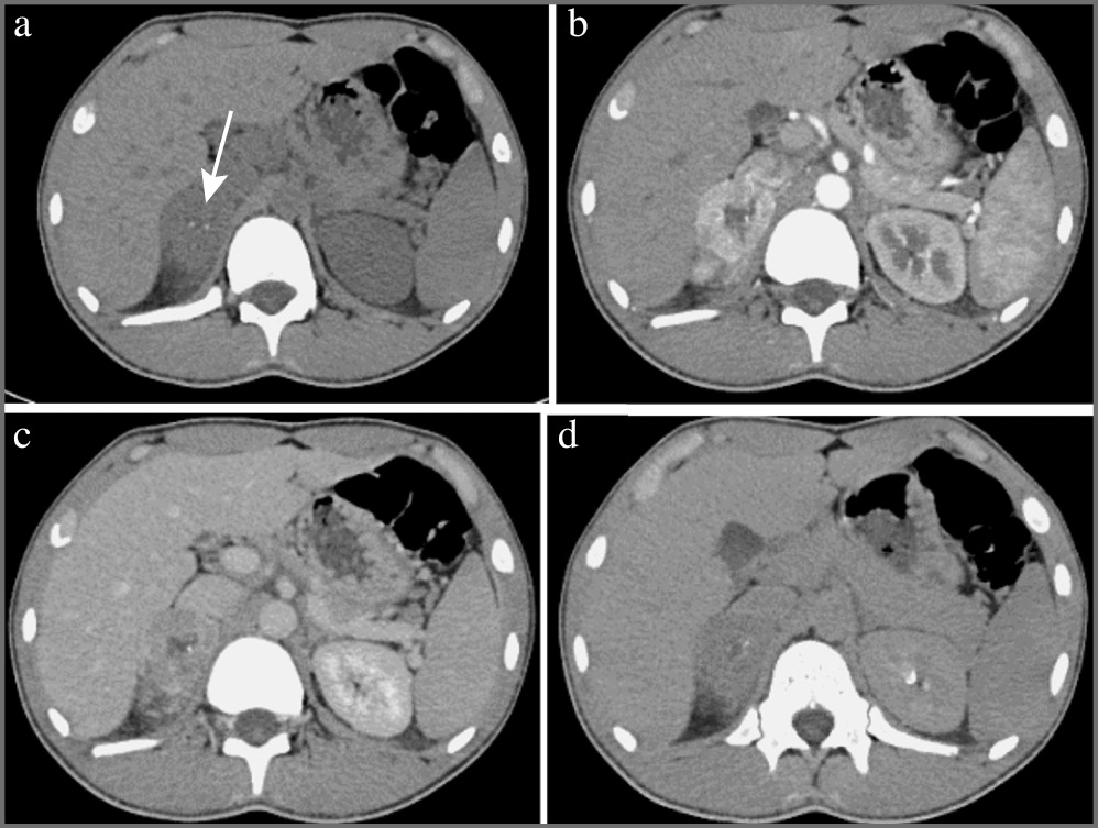
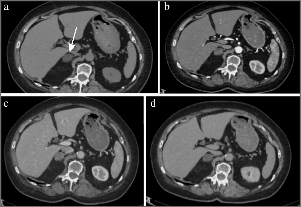
Феохромоцитома – опухоль, происходящая из хромаффинных клеток мозгового вещества надпочечников, и примерно в 90% случаев она секретирует катехоламины, что сопровождается повышенным уровнем метанефринов (метаболитов катехоламинов) в сыворотке крови и моче. Феохромоцитомы вненадпочечниковой локализации называются параганглиомами. КТ-картина феохромоцитом имеет разные признаки. Размер может варьировать от 1,2 до 15 см, в среднем около 5 см. Небольшие образования чаще однородны, в то время как более крупные обычно неоднородны с участками жидкостной плотности (зонами некроза), зонами кровоизлияний, внутренними перегородками, а также обызвествлениями. Большинство опухолей интенсивно накапливает контрастный препарат в артериальную фазу с последующим умеренным его вымыванием к отсроченной фазе. Контуры образования, как правило, четкие, ровные за счет наличия капсулы (рис. 3). В редких случаях феохромоцитомы могут в структуре иметь включения макроструктурного жира, что также характерно и для миелолипом [14].
Рис. 3. Феохромоцитома правого надпочечника (стрелка). МСКТ, аксиальная проекция: a – нативная фаза; b – артериальная фаза; c – венозная фаза; d – отсроченная фаза.
Следует отметить, что, несмотря на то, что выраженное вымывание контрастного препарата для феохромоцитом нехарактерно, в редких случаях они могут иметь характеристики вымывания, аналогичные аденомам (APW более 60% и RPW более 40%), что затрудняет установку диагноза [14, 15].
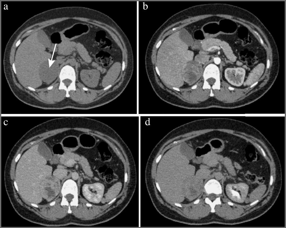
Адренокортикальный рак является наиболее частой первичной злокачественной опухолью, исходящей из коркового слоя надпочечника, и составляет менее 5% всех инциденталом [1]. Как правило, АКР представляет собой крупное образование (от 2 до 40 см, в среднем 11–12 см) с неровными нечеткими контурами, повышенной плотности (более 10 ед. Н). При болюсном контрастном усилении образование умеренно неоднородно накапливает контрастный препарат со слабым его вымыванием в отсроченную фазу. Для данного образования характеры зоны некроза и кровоизлияний, а также кальцинаты, которые встречаются в 30% случаев [16]. При контрастировании возможно обнаружение тонкого капсулоподобного ободка контрастирования (рис. 4) [17]. Необходимо учитывать, что АКР также может быть выявлен в структуре таких доброкачественных образований, как аденомы (в структуре коллизионной опухоли); рис. 5.
Рис. 4. Рак правого надпочечника. МСКТ, аксиальная проекция: а – нативная фаза; b – артериальная фаза; c – венозная фаза; d – отсроченная фаза. В теле правого надпочечника определяется округлой формы образование (стрелка) с четкими ровными контурами, неоднородной структуры, неравномерно накапливающее контрастный препарат.
Рис. 5. Коллизионная опухоль левого надпочечника (рак в структуре аденомы). МСКТ, аксиальная проекция: а – нативная фаза; b – артериальная фаза; c – венозная фаза; d – отсроченная фаза. В левом надпочечнике определяется округлое образование (стрелка) пониженной плотности с четкими ровными контурами, неоднородной структуры за счет наличия мягкотканых включений, интенсивно накапливающих контрастный препарат, со слабым его вымыванием в венозную и отсроченную фазы.
Для АКР характерны признаки злокачественности: инвазивный рост с вовлечением окружающих структур и органов или метастазы. Вовлечение почечной вены (9–19% наблюдений) чаще встречается при опухоли правого надпочечника и проявляется распространением опухоли в просвете данной вены, далее в нижней полой вене до правого предсердия [16, 18].
Метастазы являются наиболее частым злокачественным образованием, выявляемым в надпочечниках. КТ-картина метастатического поражения сходна с таковой при АКР. Для метастазов характерны нечетко очерченные контуры, высокая плотность образования (более 15 ед. Н), неоднородность структуры, а также слабое вымывание контрастного препарата при болюсном контрастном усилении. Однако небольшие по размеру метастазы могут быть однородными, в то время как атипичные аденомы, наоборот, могут быть неоднородными. Двустороннее поражение надпочечников более характерно для метастазов, чем для аденом (50% против 10–20%) [1]. Кроме того, в отличие от аденом, метастазы значительно быстрее растут при динамическом КТ-контроле через 6 мес. Гиперконтрастные метастазы (например, рака почки) следует дифференцировать с феохромоцитомой, в подобных ситуациях важен сбор анамнеза пациента.
Нейробластома – злокачественная опухоль, возникающая при нарушении эмбриональной закладки симпатической нервной системы. Наиболее часто встречается в детском возрасте [19].
Нейробластомы представляют собой крупные образования неоднородной структуры. КТ-картина сходна с АКР и лимфомой. Для нейробластомы характерен выраженный инвазивный рост. Наиболее часто метастазы этой опухоли обнаруживают в печени и костях.
Ганглионеврома является редкой доброкачественной, медленно растущей опухолью, исходящей из клеток нервного гребня симпатической нервной системы, и гистологически состоит из шванновских клеток, ганглионарных клеток и фиброзной стромы. В большинстве случаев ганглионевромы расположены в заднем средостении и забрюшинном пространстве, реже – в мозговом веществе надпочечника [20–22]. На КТ-изображениях они выглядят как четко очерченные опухоли овальной формы, с ровными или дольчатыми контурами, низкой плотности, однородной или слабо неоднородной структуры. На нативных КТ-изображениях плотность составляет около 40 ед. Н. При болюсном контрастном усилении плотность повышается и достигает максимума в отсроченную фазу [23, 24]. Размер ганглионевром варьирует от 1 до 22 мм (в среднем около 6,2 мм). Кальцинаты, по данным литературы, составляют до 29% случаев [25–28].
Шванномы представляют собой доброкачественные опухоли нервной оболочки, которые исходят из шванновских клеток периферических нервов.
На КТ-изображениях шваннома не имеет специфических признаков и представляет собой образование с четкими ровными контурами, однородной структуры, окруженное тонкой фиброзной капсулой. Для длительно существующих шванном характерна кистозная дегенерация, что представляет собой появление жидкостных включений. Кальцинаты, кровоизлияния и гиалинизация также могут быть выявлены при длительном существовании шванном. При болюсном контрастном усилении накопление контрастного препарата умеренное, с постепенным накоплением его к отсроченной фазе [29]. Наиболее сходная КТ-картина у данного образования с ганглионевромами. При наличии кальцинатов, жидкостных включений и кровоизлияний в опухоли ее необходимо дифференцировать с феохромоцитомой и другими злокачественными образованиями, такими как злокачественная фиброзная гистиоцитома и липосаркома.
Тератома – это образование, исходящее из первичных половых клеток, происходящих из эмбриональных плюрипотентных клеток, которые не мигрировали в гонады. Большинство опухолей на КТ-изображениях четко очерчены, имеют жировые включения. В структуре возможно наличие уровня «жир–жидкость», а также солидного компонента. Точечные, оскольчатые или линейные кальцинаты представлены чаще в зрелых тератомах. Если плотность выявленных кальцинатов выше плотности кортикального слоя костей пациента, то высоковероятно они являются зубами [30].
Таким образом, при выявлении жирового, солидного, жидкостного компонентов, а также кальцинатов высокой плотности необходимо думать о тератоме. При выявлении жирового компонента необходимо проводить дифференциальный диагноз с миелолипомой, липомой и липосаркомой (последние два встречаются крайне редко).
Гладкомышечные опухоли (лейомиома и лейомио- саркома). Первичные гладкомышечные опухоли надпочечника встречаются крайне редко (менее 10 наблюдений) [31]. Чаще они выявляются в сочетании с опухолями других локализаций: печени, толстой и тонкой кишки, перикарда, лимфатических узлов. Частота встречаемости опухоли у пациентов со СПИДом, а также после трансплантации органов выше. На КТ-изображениях картина образований неспецифична и представляет собой четко очерченное образование, неоднородно накапливающее контрастный препарат.
Ангиосаркома надпочечника встречается крайне редко. В литературе описано всего несколько наблюдений [32–34]. Данное образование не имеет специфических КТ-признаков и представляет собой солидное образование неоднородной структуры, интенсивно неравномерно накапливающее контрастный препарат. В структуре также могут быть выявлены точечные кальцинаты и зоны некроза [35].
Первичная меланома надпочечника. Меланома надпочечника также встречается крайне редко, и основная задача диагностики – это исключить метастатическое поражение надпочечника при меланоме кожи или другой локализации (наиболее часто – многослойного плоского эпителия слизистых оболочек и сетчатки глаза). КТ-признаки меланомы неспецифичны и сходны с другими злокачественными образованиями надпочечника. Поражается, как правило, один надпочечник. Структура образования неоднородна, могут быть выявлены зоны некроза. Кальцинаты нехарактерны, однако также могут присутствовать в структуре образования [35].
Киста. Кисты надпочечников выявляются крайне редко. В соответствии с гистопатологической картиной выделяют 4 основных типа кист: эндотелиальные, псевдокисты, паразитарные и эпителиальные.
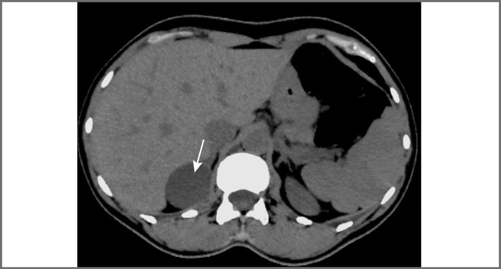
На КТ-изображениях киста представляет собой одно- (чаще ангиоматозные) или многокамерное (чаще лимфангиомы) образование с тонкими стенками, не накапливающее контрастный препарат (рис. 6). В стенках возможно наличие кальцинатов. Плотность содержимого лакун может быть повышенной ввиду наличия кровоизлияний или белкового компонента. Эхинококковая киста, феохромоцитома, нейробластома, шваннома, кистозные метастазы (например, рака молочной железы, яичников), первичная лимфома надпочечника – опухоли, которые могут иметь кистозный компонент и должны быть включены в дифференциальный ряд.
Рис. 6. Простая киста правого надпочечника (стрелка). МСКТ, аксиальная проекция, нативная фаза.
Псевдокисты (39% случаев) образуются в результате перенесенного инфаркта или кровоизлияния. Несмотря на низкую плотность, они могут иметь фиброзную ткань, толстые стенки, внутренние перегородки и обызвествления в структуре. Обызвествления встречаются чаще в псевдокистах (20%), чем в эндотелиальных кистах (9,5%), преимущественно локализуются в стенках [30].
Паразитарная природа кисты (гидатидная киста при эхинококкозе) в зависимости от стадии заболевания может быть либо единичной кистой, либо поликистозным образованием за счет дочерних пузырей, с несколько утолщенными стенками. При подозрении на паразитарную природу кисты необходима также детальная оценка других органов (например, печени, легких), где также могут быть выявлены патологические изменения паразитарного генеза.
Внутренние перегородки и кальцинаты в стенках могут быть выявлены при всех заболеваниях.
При обнаружении в образовании жидкостного компонента дифференциальную диагностику следует проводить с кистозными метастазами, феохромоцитомой и раком надпочечника с зонами некроза в структуре.
При неравномерном утолщении стенок, накапливающих контрастный препарат, и повышении плотности содержимого кисты необходимо заподозрить злокачественную природу образования. Феохромоцитома, нейробластома, шваннома, кистозные метастазы (например, рака молочной железы, яичников), первичная лимфома надпочечника, у которых присутствует кистозный компонент, должны быть включены в дифференциальный ряд.
Гемангиома имеет тонкую капсулу, многочисленные полости, расположенные по периферии, которые активно контрастируются при болюсном контрастном усилении. В центре можно выявить зону некроза, фиброза, кальцинаты и участки кровоизлияния. Центрипетальный характер контрастирования встречается реже ввиду более часто возникающих зон некроза и фиброза [35]. Таким образом, наиболее типичными признаками гемангиомы являются контрастирование периферических сосудистых «озер» и наличие флеболитов. Эти признаки также могут выявляться у гемангиобластомы, с которой следует дифференцировать гемангиому [36]. Кроме того, при наличии зоны некроза необходимо проводить дифференциальную диагностику с остальными образованиями надпочечника. При подозрении на гемангиому рекомендовано оперативное вмешательство [35].
Лимфома. Наличие крупных объемных образований в обоих надпочечниках без наличия в анамнезе онкологического заболевания вызывает подозрение на лимфому [37]. На ранней стадии для лимфомы характерно значительное увеличение размеров надпочечников с сохранением их формы [30], поэтому лимфома может выглядеть как диффузная гиперплазия. Узловое увеличение характерно при прогрессировании заболевания [29]. КТ-картина представляет собой наличие в надпочечниках образований размером в среднем около 8 см округлой, овальной или узловой формы [38, 39]. Наличие зон некроза и кистозных компонентов затрудняет дифференциальную диагностику от АКР, метастазов и феохромоцитомы [40]. Характер вымывания контрастного препарата при лимфоме аналогичен злокачественной опухоли.
Поражение надпочечника при грибковом и гранулематозном поражении. Туберкулез, гистоплазмоз и другие гранулематозные заболевания часто поражают оба надпочечника. КТ-картина может включать в себя как увеличение надпочечников, так и напоминать мягкотканые образования с наличием кистозного компонента и обызвествлений. КТ-картина острого туберкулезного аденита порой неотличима от саркоидоза, гистоплазмоза, цитомегаловирусного поражения, а также АКР и метастазов. В этой ситуации ключевую роль в верной интерпретации полученных данных играет анамнез пациента. В стадии выздоровления надпочечники выглядят атрофичными с наличием кальцинатов в структуре [41].
Амилоидоз. Основным КТ-признаком амилоидоза надпочечника является его выраженное увеличение. Однако данный признак неспецифичен и определяется также при диффузной гиперплазии и разных гранулематозных заболеваниях надпочечников [42].
Заключение
На основании ключевых КТ-признаков предложен алгоритм проведения дифференциальной диагностики наиболее часто встречающихся образований. Результаты представлены в табл. 1 и на рис. 7. Однако, к сожалению, остальные, реже встречающиеся образования (например, гамартома, шваннома и пр.) имеют признаки, совпадающие с другими заболеваниями, что усложняет установку точного «гистологического» диагноза, поэтому целесообразно указывать такие заболевания в заключении в дифференциальном диагнозе. Необходимо дальнейшее накопление наблюдений данных образований и анализ их КТ-признаков.
Таблица 1. Ключевые КТ-признаки образований надпочечников разной этиологии Table 1. Key CT-findings of adrenal masses of different etiology | ||
Образование | КТ-признаки | Дифференциальный диагноз |
Аденомы | Небольшие (до 4 см) Наиболее часто однородны Плотность на нативных КТ-изображениях от -10 до 10 ед. Н (характерно для аденом с высоким содержанием жира) APW>60% RPW>40% Редко Са2+ | Дифференцировать с метастазами, содержащими жировую ткань (анамнез) Исключить коллизионную опухоль При плотности от 1 до 10 ед. Н исключить кисту (проведение контрастного усиления) При наличии Са2+ и плотности образования более 20 ед. Н исключить АКР, грибковую, гранулематозную природу образования |
Миелолипома | Макроструктурный жир (плотность от -30 ед. Н и ниже) | При малом количестве жира исключить АКР и аденому |
Гематома | Высокая плотность образования на бесконтрастных КТ-изображениях (60–90 ед. Н) | Исключить объемное образование с кровоизлиянием в структуре (аденому, АКР, феохромоцитому) |
Киста | Тонкостенное образование плотностью до 15 ед. Н, не накапливающее контрастный препарат ±Са2+ | Исключить кистозное образование |
АКР | Как правило, ≥4 см Неоднородной структуры Умеренное накопление контрастного препарата APW<60% RPW<40% ±Са2+ ± зоны некроза, кровоизлияния | Оценка почечных вен, нижней полой вены (инвазия, наличие тромбов) Оценка распространенности (метастазов) |
Метастаз | Обычно ≥4 см Неоднородной структуры APW<60% RPW<40% ± зоны некроза, кровоизлияния | При отсутствии в анамнезе злокачественного образования нехарактерно для поражения надпочечников |
Феохромоцитома | От 1,2 до 15 см (~5 см) Плотность более 20 ед. Н Раннее интенсивное накопление контрастного препарата в артериальную фазу APW<60% RPW<40% Неоднородной структуры (± кистозный компонент) | Необходимо сопоставление с клиническими данными |
Лимфома | Плотность более 20 ед. Н Наличие кальцинатов после проведенного лечения Сохранение формы надпочечника Умеренное накопление контрастного препарата APW<60% RPW<40% | Первичная встречается крайне редко, метастатическая природа более характерна |
Нейробластома | Чаще болеют дети Как правило, ≥4 см Неоднородной структуры Са2+ Умеренное накопление контрастного препарата APW<60% RPW<40% Выраженный инвазивный рост | Оценка распространенности (метастазов) В основном болеют дети Дифференцировать с нефробластомой, АКР, лимфомой |
Примечание. Са2+ – обызвествления в структуре. | ||
Рис. 7. Алгоритм КТ-оценки опухолевых заболеваний (инциденталом) надпочечников.
Конфликт интересов. Авторы заявляют об отсутствии конфликта интересов.
Conflict of interests. The authors declare no conflict of interest.
Список сокращений
АКР – адренокортикальный рак
КТ – компьютерно-томографический
МСКТ – мультиспиральная компьютерная томография
APW – абсолютный процент вымывания контрастного вещества
RPW – относительный процент вымывания контрастного вещества
About the authors
Svetlana A. Buryakina
Endocrinology Research Centre
Author for correspondence.
Email: sburyakina@yandex.ru
ORCID iD: 0000-0001-9065-7791
канд. мед. наук, врач-рентгенолог консультативно-диагностического отд-ния ФГБУ «НМИЦ эндокринологии»
Russian Federation, MoscowNatalia V. Tarbaeva
Endocrinology Research Centre
Email: sburyakina@yandex.ru
ORCID iD: 0000-0001-7965-9454
канд. мед. наук, врач-рентгенолог, зав. отд-нием компьютерной и магнитно-резонансной томографии ФГБУ «НМИЦ эндокринологии
Russian Federation, MoscowNatalia N. Volevodz
Endocrinology Research Centre
Email: sburyakina@yandex.ru
ORCID iD: 0000-0001-6470-6318
д-р мед. наук, проф., зам. дир. по научной и консультативно-диагностической работе ФГБУ «НМИЦ эндокринологии»
Russian Federation, MoscowGrigorii G. Karmazanovsky
Vishnevsky National Medical Research Center of Surgery
Email: sburyakina@yandex.ru
ORCID iD: 0000-0002-9357-0998
чл.-кор. РАН, д-р мед. наук, проф., зав. отд-нием рентгенологии и магнитно-резонансных исследований ФГБУ «НМИЦ хирургии им. А.В. Вишневского»
Russian Federation, MoscowLiliia D. Kovalevich
Endocrinology Research Centre
Email: sburyakina@yandex.ru
ORCID iD: 0000-0001-8958-8223
врач-рентгенолог лечебно-реабилитационного отд. ФГБУ «НМИЦ эндокринологии»
Russian Federation, MoscowMarina V. Shestakova
Endocrinology Research Centre
Email: sburyakina@yandex.ru
ORCID iD: 0000-0002-5057-127X
акад. РАН, д-р мед. наук, проф., зав. каф. диабетологии и диетологии, зам. дир. – дир. Института диабета ФГБУ «НМИЦ эндокринологии»
Russian Federation, MoscowIvan I. Dedov
Endocrinology Research Centre
Email: sburyakina@yandex.ru
ORCID iD: 0000-0002-8175-7886
акад. РАН, д-р мед наук, проф., президент ФГБУ «НМИЦ эндокринологии»
Russian Federation, MoscowReferences
- Low G, Dhliwayo H, Lomas DJ. Adrenal neoplasms. Clin Radiol. 2012;67(10):988-1000. doi: 10.1016/j.crad.2012.02.005
- Кузнецов Н.С., Бельцевич Д.Г., Ванушко В.Э., и др. Дифференциальная диагностика инциденталом надпочечников. Эндокринная хирургия. 2011;1:5-16 [Kuznetsov NS, Beltsevich DG, Vanushko VE, et al. Differential diagnostics of adrenal incedentaloma. Endocrine surgery. 2011;1:5-16 (in Russian)]. doi: 10.14341/2306-3513- 2011-1-5-16
- Johnson PT, Horton KM, Fishman EK. Adrenal imaging with multidetector CT: evidence-based protocol optimization and interpretative practice. Radiographics. 2009;29(5):1319-31. doi: 10.1148/rg.295095026
- Pena CS, Boland GW, Hahn PF, et al. Characterization of indeterminate (lipid-poor) adrenal masses: use of washout characteristics at contrastenhanced CT. Radiology. 2000;217(3):798-802. doi: 10.1148/radiology.217.3.r00dc29798
- Caoili EM, Korobkin M, Francis IR, et al. Delayed enhanced CT of lipid-poor adrenal adenomas. Am J Roentgenol. 2000;175(5):1411-5. doi: 10.2214/ajr.175.5.1751411
- Caoili EM, Korobkin M, Francis IR, et al. Adrenal masses: characterization with combined unenhanced and delayed enhanced CT. Radiology. 2002;222(3):629-33. doi: 10.1148/radiol.2223010766
- Араблинский А.В., Сидорова Ю.В. Компьютерная и магнитно-резонансная томография в диагностике заболеваний надпочечников. Сибирский онкологический журнал. 2011;2:8-9 [Arablinsky AV, Sidorova YuV. Computer and magnetic resonance tomography in the diagnosis of adrenal diseases. Sibirskij onkologicheskij zhurnal. 2011;2:8-9 (in Russian)].
- Berland LL, Silverman SG, Gore RM, et al. Managing incidental findings on abdominal CT: White Paper of the American College of Radiology Incidental Findings Committee. J Am Coll Radiol. 2010;7(10):754-73. doi: 10.1016/j.jacr.2010.06.013
- Taffel M, Haji-Momenian S, Nikolaidis P, Miller FH. Adrenal imaging: a comprehensive review. Radiol Clin North Am. 2012;50(2):219-43. doi: 10.1016/j.rcl.2012.02.009
- Daneshmand S, Quek ML. Adrenal myelolipoma: diagnosis and management. Urol J. 2006;3(2):71-4.
- Дубова Е.А., Щеголев А.И., Кармазановский Г.Г., и др. Миелолипома надпочечника. Медицинская визуализация. 2006;1:22-8 [Dubova EA, Shchegolev AI, Karmazanovsky GG, et al. Mielolipoma adrenal gland. Meditsinskaya vizualizatsiya. 2006;1:22-8 (in Russian)].
- Cyran KM, Kenney PJ, Memel DS, Yacoub I. Adrenal myelolipoma. Am J Roentgenol. 1996;166(2):395-400. doi: 10.2214/ajr.166.2.8553954
- Johnson PT, Horton KM, Fishman EK. Adrenal mass imaging with multidector CT: pathologic conditions, pearls and pitfalls. Radiographics. 2009;29(5):1333-51. doi: 10.1148/rg.295095027
- Blake MA, Kalra MK, Maher MM, et al. Pheochromocytoma: an imaging chameleon. Radiographics. 2004;24(1):87-99. doi: 10.1148/rg.24si045506
- Boland GW. Adrenal imaging: from Addison to algorithms. Radiol Clin North Am. 2011;49(3):511-28. doi: 10.1016/j.rcl.2011.02.010
- Bharwani N, Rockall AG, Sahdev A, et al. Adrenocortical carcinoma: the range of appearances on CT and MRI. Am J Roentgenol. 2011;196(6):706-14. doi: 10.2214/AJR.10.5540
- Fishman EK, Deutch BM, Hartman DS, et al. Primary adrenocortical carcinoma: CT evaluation with clinical correlation. Am J Roentgenol. 1987;148(3):531-5. doi: 10.2214/ajr.148.3.531
- Ng L, Libertino JM. Adrenocortical carcinoma: diagnosis, evaluation and treatment. J Urol. 2003;169:5-11. doi: 10.1097/01.ju.0000030148.59051.35
- Park JR, Eggert A, Caron H. Neuroblastoma: biology, prognosis, and treatment. Hematol Oncol Clin North Am. 2010;24(1):65-86. doi: 10.1016/j.hoc.2009.11.011
- Enzinger FM, Weiss SW. Ganglioneuroma. In: Soft Tissue Tumors. 3rd ed. Mosby-Year Book, St Louis, 1995; p. 929-64.
- Geoerger B, Hero B, Harms D, et al. Metabolic activity and clinical features of primary ganglioneuromas. Cancer. 2001;91(10):1905-13. doi: 10.1002/1097-0142(20010515)91:10<1905::aid-cncr1213>3.0.co;2-4
- Lonergan GJ, Schwab CM, Suarez ES, Carlson CL. From the archives of the AFIP: neuroblastoma, ganglioneuroblastoma, and ganglioneuroma: radiologic-pathologic correlation. Radiographics. 2002;22(4):911-34. doi: 10.1148/radiographics.22.4.g02jl15911
- Sasaki S, Yasuda T, Kaneto H, et al. Large adrenal ganglioneuroma. Inter Med. 2012;51(17):2365-70. doi: 10.2169/internalmedicine.51.7726
- Ichikawa T, Ohtomo K, Araki T, et al. Ganglioneuroma: computed tomography and magnetic resonance imaging features. Br J Radiol. 1996;69(818):114-21. doi: 10.1259/0007-1285-69-818-114
- Rondeau G, Nolet S, Latour M, et al. Clinical and biochemical features of seven adult adrenal ganglioneuromas. J Clin Endocrinol Metab. 2010;95(7):3118-25. doi: 10.1210/jc.2009-2775
- Qing Y, Bin X, Jian W, et al. Adrenal ganglioneuromas: a 10-year experience in a Chinese population. Surgery. 2010;147(6):854-60. doi: 10.1016/j.surg.2009.11.010
- Maweja S, Materne R, Detrembleur N, et al. Adrenal ganglioneuroma. A neoplasia to exclude in patients with adrenal incidentaloma. Acta Chir Belg. 2007;107(6):670-4. doi: 10.1080/00015458.2007.11680144
- Linos D, Tsirlis T, Kapralou A, et al. Adrenal ganglioneuromas: incidentalomas with misleading clinical and imaging features. Surgery. 2011;149(1):99-105. doi: 10.1016/j.surg.2010.03.016
- Hussain HK, Korobkin M. MR imaging of the adrenal glands. Magn Reson Imaging Clin N Am. 2004;12(3):515-44. doi: 10.1016/j.mric.2004.03.008
- Guo YK, Yang ZG, Li Y, et al. Uncommon adrenal masses: CT and MRI features with histopathologic correlation. Eur J Radiol. 2007;62(3):359-70. doi: 10.1016/j.ejrad.2006.12.011
- Rosenfeld DL, Girgis WS, Underberg-Davis SJ. Bilateral smoothmuscle tumors of the adrenals in a child with AIDS. Pediatr Radiol. 1999;29(5):376-8. doi: 10.1007/s002470050611
- Travis WD, Oertel JE, Lack EE. Miscellaneous tumors and tumefactive lesions of the adrenal gland. In: Pathology of the Adrenal Glands. New York: Churchill Livingstone, 1990: p. 351-78.
- Nakagawa N, Takahashi M, Maeda K, et al. Case report: adrenal haemangioma coexisting with malignant haemangioendothelioma. Clin Radiol. 1986;37(1):97-9. doi: 10.1016/s0009-9260(86)80185-4
- Kareti LR, Katlein S, Siew S, Blauvelt A. Angiosarcoma of the adrenal gland. Arch Pathol Lab Med. 1988;112(11):1163-5.
- Otal P, Escourrou G, Mazerolles C, et al. Imaging features of uncommon adrenal masses with histopathologic correlation. Radiographics. 1999;19(3):569-81. doi: 10.1148/radiographics.19.3.g99ma07569
- Vargas AD. Adrenal hemangioma. Urology. 1980;16(4):389-90. doi: 10.1016/0090-4295(80)90145-4
- Li Y, Sun H, Gao S, Bai R. Primary bilateral adrenal lymphoma: two case reports. J Comput Assist Tomogr. 2006;30(5):791-3. doi: 10.1097/01.rct.0000216112.15564.0c
- Zhou L, Peng W, Wang C, et al. Primary adrenal lymphoma: radiological; pathological, clinical correlation. Eur J Radiol. 2012;81(3):401-5. doi: 10.1016/j.ejrad.2010.11.026
- Aziz SA, Laway BA, Rangreze I, et al. Primary adrenal lymphoma: differential involvement with varying adrenal function. Indian J Endocrinol Metab. 2011;15(3):220-3. doi: 10.4103/2230-8210.83414
- Kato H, Itami J, Shiina T, et al. MR imaging of primary adrenal lymphoma. Clin Imaging. 1996;20(2):126-8. doi: 10.1016/0899-7071(95)00007-0
- Lerttumnongtum P, Muttarak M, Visrutaratna P, Ya-In C. Imaging features of unusual adrenal masses. Australias Radiol. 2004;48(2):107-13. doi: 10.1111/j.1440-1673.2004.01268.x
- Kawashima A, Alleman WG, Takahashi N, et al. Imaging evaluation of amyloidosis of the urinary tract and retroperitoneum. Radiographics. 2011;31(6):1569-82. doi: 10.1148/rg.316115519
Supplementary files










