Сочетанная герпесвирусная инфекция у реципиентов почечного трансплантата
- Авторы: Джумабаева Б.Т.1, Тихомиров Д.С.1, Бирюкова Л.С.1, Туполева Т.А.1, Нестеренко И.В.1, Пурло Н.В.1, Чеботарев Д.И.1
-
Учреждения:
- ФГБУ «Национальный медицинский исследовательский центр гематологии» Минздрава России
- Выпуск: Том 93, № 11 (2021)
- Страницы: 1264-1270
- Раздел: Оригинальные статьи
- Статья получена: 25.01.2022
- Статья одобрена: 25.01.2022
- Статья опубликована: 15.11.2021
- URL: https://ter-arkhiv.ru/0040-3660/article/view/98404
- DOI: https://doi.org/10.26442/00403660.2021.11.201164
- ID: 98404
Цитировать
Полный текст
Аннотация
Цель. Оценить функцию почечного трансплантата при сочетанной герпесвирусной инфекции.
Материалы и методы. В исследование включены 32 пациента (мужчин – 21, женщин – 11) с хронической болезнью почек терминальной стадии (ХБПС5). Медиана возраста 43 года. Методом иммуноферментного анализа определяли противовирусные иммуноглобулины, методом полимеразной цепной реакции – концентрацию ДНК цитомегаловируса, вируса Эпштейна-Барр (ВЭБ) и вируса герпеса человека 6-го типа (ВГЧ-6) в периферической крови, моче у реципиента до и через 1, 2, 4, 6 мес, 1 год после трансплантации аллогенной почки (ТАП) и в биоптате трансплантата донора. Концентрация ДНК менее 500 коп/105 клеток или в 1 мл мочи считалась низкой, более 1000 коп – высокой.
Результаты. В 1-й месяц после ТАП выявлена ДНК ЦМВ в 50% случаев, ДНК ВЭБ – в 40% и ДНК ВГЧ-6 – в 33%. У 12 реципиентов обнаружены одновременно маркеры двух или трех вирусов. Из них у 5 реципиентов – ДНК ЦМВ, ВЭБ и ВГЧ-6, у 4 – ДНК ЦМВ и ВЭБ, у 2 – ДНК ЦМВ и ВГЧ-6, у 1 – ВЭБ и ВГЧ-6. Повышение концентрации ДНК выявлялось прежде всего в моче, при этом в крови концентрация оставалась низкой или вообще не определялась. У 9 пациентов наблюдалось нарушение функции трансплантата при высокой концентрации ДНК одного или сразу двух/трех вирусов в моче. При низкой вирусной нагрузке как в моче, так и в крови не отмечалась дисфункция трансплантата, но у 8 из 12 реципиентов на фоне низкой концентрации одного вируса выявлялось повышение концентрации другого или присоединение бактериальной, грибковой инфекции.
Заключение. Высокая концентрация ДНК в моче одного или нескольких герпесвирусов указывает на дисфункцию почечного трансплантата. Низкая вирусная нагрузка может служить фоном для присоединения другой вирусной и бактериальной инфекции.
Полный текст
Введение
Трансплантация аллогенной почки (ТАП) является высокоэффективным радикальным способом замещения утраченной функции почек, улучшает качество и продлевает продолжительность жизни у больных с терминальной стадией почечной недостаточности. Выживаемость реципиента почечного трансплантата и продолжительность функционирования донорской почки зависят от многих факторов: хирургических и урологических осложнений, развития реакции отторжения, токсичности применяемых лекарственных препаратов и инфекционных осложнений. Совершенствование иммуносупрессивной терапии сократило вероятность и частоту отторжения трансплантата, но не снизило вероятность и частоту возникновения инфекционных осложнений, которые по-прежнему являются серьезной проблемой. Среди инфекционных осложнений особое место занимают герпесвирусные инфекции. Специфика герпесвирусов такова, что первичное инфицирование обычно происходит в детском возрасте, после чего вирус сохраняется в организме пожизненно, как правило, ничем себя не проявляя [1, 2]. Однако в случае нарушений со стороны иммунной системы, например после пересадки солидного органа, повышается вероятность реактивации вирусной инфекции, протекающей с клинически значимыми симптомами [3, 4]. Среди всех герпесвирусов человека у реципиентов почки после трансплантации наиболее часто обнаруживаются маркеры цитомегаловируса (ЦМВ), который нередко служит причиной реакции отторжения трансплантата [5–10]. Клиника ЦМВ-инфекции после ТАП разнообразна, может протекать как латентно, так и с выраженной клинической симптоматикой, что, вероятно, зависит от свойств вирусного штамма и вирусной нагрузки. Однако это предположение требует подтверждающих исследований.
Несколько реже, чем ЦМВ, у реципиентов почечного трансплантата выявляется инфекция, вызванная вирусом Эпштейна–Барр (ВЭБ), которая может быть причиной различных осложнений, от спонтанно регрессирующих до развития посттрансплантационных лимфопролиферативных заболеваний. Патогенетическое значение ВЭБ в развитии посттрансплантационных лимфопролиферативных заболеваний отмечено в ряде работ [10, 11]. Значение ЦМВ в онкогенезе малоизучено, как и роль вируса герпеса человека 6-го типа (ВГЧ-6) в развитии инфекций у реципиентов почечного трансплантата.
Малоизученным также является значение комбинированной герпесвирусной инфекции, когда в организме имеет место одновременная репликация нескольких вирусов герпетической группы. Их сочетанное влияние на функцию трансплантата практически не освещено в данных литературы. В частности, имеются работы, описывающие взаимное влияние ЦМВ и BK-вируса (полиомавирус), приводящие к дисфункции трансплантата [12]. В единичных работах описано сочетание ЦМВ и ВЭБ, но данные о характере их взаимодействия противоречивы. Авторы указывают как на синергизм, так и на интерференцию вирусов, при которой идет их взаимное подавление [12–15]. Влияние ассоциированной вирусной инфекции на развитие дисфункции трансплантата тоже неясно. Сведения о клинически значимом взаимодействии ЦМВ, ВЭБ и ВГЧ-6 практически отсутствуют.
Цель исследования – мониторинг появления маркеров репликации ЦМВ, ВЭБ и ВГЧ-6 у реципиентов почечного трансплантата в течение 1 года после трансплантации на фоне иммуносупрессивной терапии, оценка потенциального взаимодействия между вирусами, их сочетанного влияния на функцию трансплантата.
Материалы и методы
В исследование включены 32 пациента (мужчин – 21, женщин – 11) с хронической болезнью почек терминальной стадии (ХБПС5). Медиана возраста составила 43 года. Методом непрямого твердофазного иммуноферментного анализа в сыворотке крови больных определяли противовирусные иммуноглобулины (Ig) различных классов: антитела острой фазы ЦМВ-инфекции (IgM) и ВЭБ-инфекции (IgM к вирусному капсидному и IgG к раннему антигенам ВЭБ), а также титр анамнестических антител к ЦМВ и ВЭБ: суммарные анти-ЦМВ IgG и IgG к ядерному антигену ВЭБ I класса (IgG-EBNA-1).
Методом полимеразной цепной реакции в режиме реального времени определяли концентрацию вирусной ДНК ЦМВ, ВЭБ и ВГЧ-6 в биоптате артерии и вены трансплантата донора и в периферической крови и моче реципиента до и через 1, 2, 4, 6 мес и через 1 год после ТАП. Концентрация ДНК вируса менее 500 копий геном-эквивалент/105 ядросодержащих клеток (коп/105 клеток) или в 1 мл образца мочи (коп) считалась низкой, более 1000 коп/105 клеток – высокой.
По риску развития посттрансплантационной вирусной инфекции и на основании панели вирусных маркеров пациенты до трансплантации почки разделены на 2 группы: высокого и стандартного риска. В группу высокого риска включены серонегативные пациенты (без анамнестических антител в крови), пациенты, у которых в материале биоптата (артерия или мочеточник) донора выявлены вирусные ДНК, либо пациенты, у которых до ТАП выявлялись вирусные ДНК или антитела острой фазы инфекции. Так, в группе высокого риска выделены 4 варианта сочетаний: Донор(Д)+/Реципиент(Р)+, Д+/Р-, Д-/Р+ и Д-/Р- серонегативные. В группу стандартного риска включались пациенты с наличием анамнестических антител, но без маркеров активной инфекции до ТАП (Д-/Р- серопозитивные – наличие анамнестических IgG); табл. 1.
Таблица 1. Распределение пациентов по группам риска в зависимости от выявления вирусных маркеров у них и в биоматериале донора Table 1. Distribution of patients by risk groups depending on the detection of viral markers in them and in the donor biomaterial | ||||
Группа риска | Сочетания наличия маркеров у Д и Р | Наличие маркеров вирусной репликации и анамнестических антител | ||
ЦМВ (n=32) | BЭБ (n=32) | ВГЧ-6 (n=32) | ||
Высокий | Д+/Р+ | 0 | 2 | 3 |
Д+/Р- | 2 | 8 | 7 | |
Д-/Р+ | 1 | 6 | 6 | |
Д-/Р-, серонегативные | 8 | 4 | Не исследовалось | |
Всего, абс. (%) | 11 (34,4) | 20 (62,5) | 16 (50) | |
Стандартный | Д-/Р-, серопозитивные | 21 (65,6%) | 12 (37,5%) | Не исследовалось |
Примечание. Д – донор, P – пациент, Д+/Р+ – наличие вирусной ДНК в трансплантате донора и у пациента, Д+/Р- – наличие вирусной ДНК только в биоптате трансплантата у донора, Д-/Р+ – наличие вирусной ДНК только у пациента, Д-/Р-, серонегативные – пациенты, у которых не выявлено анамнестических антител, а также вирусных ДНК ни в биоптате донора, ни у пациента, Д-/Р-, серопозитивные – пациенты, у которых выявлены анамнестические антитела, но не выявлена ДНК ни в биоптате донора, ни у пациента. | ||||
После ТАП проводилась индукционная иммуносупрессивная терапия, которая включала:
1) Солу-Медрол 1000 мг;
2) моноклональное антитело – анти-CD25 (базиликсимаб) 20 мг в 1 и 4-й день после ТАП.
Базисная иммуносупрессивная терапия включала:
1) преднизолон 0,5 мг/кг;
2) ингибиторы кальцийневрина (такролимус) по 0,2–0,3 мг/кг в сутки;
3) азатиоприн 100 мг/сут.
Пациенты группы высокого риска получали профилактическую противовирусную терапию валганцикловиром 450 мг/сут в течение 3 мес.
Результаты
При исследовании биоптата артерии и вены трансплантата донора ДНК ЦМВ обнаружена в 2 (6%), ДНК ВЭБ – в 10 (31%) и ДНК ВГЧ-6 – в 10 (31%) образцах (см. табл. 1). Маркеры, указывающие на репликацию ЦМВ до трансплантации почки, обнаружены у 1 (3%) из 32 пациентов, маркеры ВЭБ – у 8 (25%), ДНК ВГЧ-6 – у 9 (28%). Анамнестические антитела к ЦМВ выявлены в крови у 21 (65,6%) пациентов, ВЭБ – у 12 (37,5%).
Учитывая полученные результаты, в группу высокого риска включены 11 пациентов с положительными результатами по ЦМВ, 20 пациентов с положительными результатами по ВЭБ и 16 пациентов, у которых выявлена ДНК ВГЧ-6. В группу стандартного риска включен серопозитивный по ЦМВ 21 пациент и по ВЭБ 12 пациентов, в крови которых обнаружены анамнестические антитела анти-ЦМВ и анти-ВЭБ-антитела, но отсутствовали маркеры вирусной репликации (см. табл. 1).
Через 1 мес после ТАП на фоне иммуносупрессивной терапии у 15 (50%) из 30 реципиентов обнаружена репликация ДНК ЦМВ. Из этих 15 реципиентов 7 принадлежали группе высокого риска, а 8 – группе стандартного риска (табл. 2). У 4 пациентов из группы высокого риска зафиксирован профиль маркеров, соответствующих первичной ЦМВ-инфекции. Новые случаи репликации ДНК ЦМВ зафиксированы через 2 мес у 1, а через 6 мес – у 3 реципиентов почечного трансплантата.
Таблица 2. Мониторинг частоты появления новых случаев маркеров активной герпесвирусной инфекции в течение 1 года наблюдения Table 2. Monitoring the incidence of new cases of markers of active herpesvirus infection during 1 year of follow-up | |||||||
Тип вируса | Группа риска | Число новых случаев появления вирусной ДНК, % | Всего за время наблюдения | ||||
1 мес (n=30) | 2 мес (n=29) | 4 мес (n=25) | 6 мес (n=25) | 1 год (n=16) | |||
ЦМВ | Высокий | 7 | 0 | 0 | 0 | 0 | 7 |
Стандартный | 8 | 1 | 0 | 3 | 0 | 12 | |
Всего | 15 (50%) | 1 (3,4%) | 0 | 3 (12%) | 0 | 19 | |
ВЭБ | Высокий | 9 | 3 | 1 | 0 | 0 | 13 |
Стандартный | 3 | 0 | 1 | 0 | 1 | 5 | |
Всего | 12 (40%) | 3 (10%) | 2 (8%) | 0 | 1 (6%) | 18 | |
ВГЧ-6 | Высокий | 10 (33%) | 3 (10%) | 0 | 0 | 1 (6%) | 14 |
ДНК ВЭБ через 1 мес после ТАП обнаружена у 12 (40%) из 30 пациентов: у 9 из группы высокого и 3 из группы стандартного риска (см. табл. 2). У 1 пациента из группы высокого риска зафиксирован профиль вирусных маркеров, соответствующий первичной ВЭБ-инфекции. Новые случаи репликации ВЭБ выявлены через 2 мес после ТАП у 3 реципиентов из группы высокого риска, через 4 мес – у 2 (1 из группы высокого и 1 из группы стандартного риска). Через 6 мес не зарегистрированы новые случаи репликации ВЭБ, но через 1 год зафиксирован 1 случай у реципиента из группы стандартного риска.
ДНК ВГЧ-6 через 1 мес после ТАП выявлена у 10 (33%) из 30 реципиентов, все пациенты из группы высокого риска. Новые случаи репликации ДНК вируса обнаружены через 2 мес после ТАП у 3 и через 1 год у 1 реципиента почечного трансплантата, все пациенты также из группы высокого риска (см. табл. 2).
При анализе нарушения функции трансплантата в зависимости от вирусной нагрузки отмечено, что у пациентов с низкой концентрацией вирусных ДНК – менее 500 коп/105 клеток клинические симптомы вирусной инфекции и признаки дисфункции почек не наблюдались.
У 12 реципиентов после ТАП выявлялись лабораторные признаки одновременной репликации двух или трех вирусов. У 5 из 12 реципиентов одновременно обнаружены ДНК ЦМВ, ВЭБ и ВГЧ-6, у 4 – ДНК ЦМВ и ВЭБ, у 2 – ДНК ЦМВ и ВГЧ-6, у 1 – ВЭБ и ВГЧ-6. На фоне низкой концентрации одного из вирусов через 1 мес у 8 из 12 реципиентов отмечалось значительное повышение концентрации другого вируса.
При высокой концентрации ДНК (от 2500 до 1 854 500 коп/105 клеток) одного или сразу двух вирусов при их одновременном выявлении наблюдалась дисфункция трансплантата (табл. 3). Повышение концентрации ДНК ЦМВ у 8 из 10 реципиентов зафиксировано сначала в моче (более 2500 копий на мл), при этом в крови вирусная нагрузка составляла менее 500 коп/105 клеток или не определялась вовсе. Только в 1 случае отмечено повышение ДНК ЦМВ в крови при отсутствии в моче. Высокая вирусная нагрузка ДНК ВЭБ определена также в моче в 4 случаях, в то время как в крови этот показатель также не превышал 500 коп/105 клеток или являлся нулевым. Концентрация ДНК ВГЧ-6 оказалась высокой только в 1 случае, а в остальных вирусная нагрузка находилась в области низких значений и во всех случаях выявлялась в моче.
Таблица 3. Дисфункция трансплантата при высокой концентрации маркера одного или одновременно двух вирусов Table 3. Graft dysfunction with a high concentration of a marker of one or two viruses at once | |||||||||||||
Код пациента | ДНК ЦМВ, копий | ДНК ВЭБ, копий | ДНК ВГЧ-6, копий | Общий анализ крови | Креатинин, мкмоль/л | Дисфункция трансплантата | |||||||
моча | кровь | моча | кровь | моча | кровь | RBC, 1012/л | HGB, г/л | PLT, 109/л | WBC, 109/л | СОЭ, мм/ч | |||
6 | 15 000 | >500 | н | н | н | н | 3,0 | 89 | 241 | 8,2 | 32 | 190 | Да |
9 | 8700 | >500 | 5100 | >500 | >500 | н | 4,1 | 121 | 212 | 14,8 | 20 | 180 | Да |
10 | н | 2500 | н | н | >500 | н | 3,4 | 79 | 156 | 6,2 | 54 | 154 | Да |
12 | 9000 | >500 | н | н | >500 | н | 3,2 | 100 | 159 | 5,2 | 20 | 379 | Да |
8 | 19 600 | 0 | н | н | н | н | 3,6 | 110 | 194 | 8,8 | 24 | 140 | Да |
15 | 9500 | >500 | н | н | >500 | н | 4,0 | 93 | 332 | 8,5 | 12 | 156 | Да |
28 | 5000 | >500 | 9000 | 500 | н | н | 2,95 | 83 | 141 | 2,8 | 25 | 184 | Да |
32 | 9100 | >500 | 5000 | н | н | н | 2,6 | 77 | 243 | 14 | 30 | 224 | Да |
31 | 2700 | н | н | н | >500 | н | 2,7 | 103 | 318 | 14 | 32 | 172 | Да |
Примечание. н – маркеры вируса не обнаружены, RBC (red blood cells) – эритроциты, HGB (hemoglobin) – гемоглобин, PLT (platelets) – тромбоциты, WBC (white blood cells) – лейкоциты. | |||||||||||||
У 4 пациентов на фоне наличия вирусной ДНК наблюдалась тяжелая комбинированная инфекция (табл. 4). У 1 реципиента выявлены высокая концентрация ДНК ЦМВ, ВЭБ и наличие бактериальной инфекции с поражением трансплантата. У другого пациента также выявлено инфицирование трансплантата по данным биопсии почки и бактериального исследования, но из вирусных маркеров в крови выявлена только ДНК ВЭБ в низкой концентрации. В обоих описанных случаях генерализация инфекции потребовала выполнения трансплантатэктомии. В 3-м случае на фоне низкой вирусной нагрузки ЦМВ и ВЭБ через 1 мес после трансплантации установлена пневмония туберкулезной, грибковой и пневмоцистной этиологии. Приводим клинические наблюдения.
Таблица 4. Инфекционные осложнения на фоне выявления маркеров вирусной инфекции Table 4. Infectious complications under detection of viral infection markers | |||||||
Код пациента | Возраст/пол | Концентрация вирусной ДНК, коп | Бактериальная инфекция | Инфекционные осложнения | Исход эпизода инфекционного осложнения после антибактериальной и противовирусной терапии | ||
ЦМВ | ВЭБ | ВГЧ-6 | |||||
С | 25/ж | 11 000 | 0 | >500 | K. pneumoniae, E. coli, Acinetobacter baumanii | Пневмония, сепсис, инфицирование трансплантата | Удаление трансплантата |
Се | 33/ж | 0 | >500 | 0 | Enterococcus faecium | Инфицирование трансплантата | Удаление трансплантата |
З | 63/м | >500 | >500 | 0 | Туберкулез, пневмоцисты, антитела к маннану | Пневмония | Положительный эффект. Удовлетворительная функция трансплантата |
Ст | 44/ж | >500 | 28000 | >500 | Флора неизвестна | Сепсис | Смерть |
Клиническое наблюдение 1
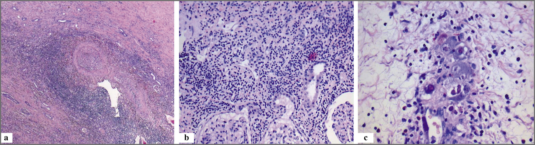
Пациентка С., 26 лет, диагноз: хронический гломерулонефрит, ХБПС5. На программном гемодиализе с 2015 г. В 2016 г. выполнена трансплантация аллогенной трупной почки. На 4-е сутки после ТАП на фоне индукционной иммуносупрессивной терапии отмечено уменьшение темпа диуреза. Уровень креатинина составлял 527 мкмоль/л, мочевина – 31,4 ммоль/л. По данным ультразвукового исследования отмечено повышение индекса резистентности артерий почечного трансплантата, IR=1. При гистологическом исследовании биоптата трансплантата обнаружена картина острого гуморального отторжения (рис. 1).
Рис. 1: a – крупный участок некроза. На границе с некротизированной тканью присутствует артерия крупного калибра инфильтрацией стенки лимфоидными клетками, значительным сужением просвета за счет пролиферации эндотелия. Выражена периваскулярная лимфоидная инфильтрация с примесью единичных гранулоцитов, окраска гематоксин-эозином, ×50; b – в ткани почки лимфоидная инфильтрация носит очаговый, периваскулярный характер, присутствуют мелкие фокусы тубулита, окраска гематоксин-эозином, ×200; c – артериола с наличием в стенке гигантских клеток с эозинофильными внутриядерными включениями (косвенные признаки активной ЦМВ-инфекции), окраска гематоксин-эозином, ×400.
После проведенных 6 сеансов плазмообмена с замещением свежезамороженной плазмой по 2000 мл и введения антитимоцитарного Ig в дозе 750 мг №6 в течение 12 дней функция почечного трансплантата восстановлена, концентрации азотистых метаболитов снизились до нормальных значений. Однако через 1 мес после выписки из стационара появилась лихорадка до 38,4°C, эмпирически назначенная антибактериальная терапия и редукция иммуносупрессивной терапия оказались неэффективны. Пациентка в тяжелом состоянии с продолжающейся лихорадкой, анемией (гемоглобин 65 г/л), тромбоцитопенией (104×109/л), лейкопенией (1,5×109/л) госпитализирована в клинику, где при обследовании выявлена нижнедолевая правосторонняя пневмония (на основании исследования методом компьютерной томографии). Обнаружена высокая концентрация ДНК ЦМВ в крови – 11 тыс. коп/105 клеток и в моче 5800 коп/мл. При бактериологическом исследовании в крови выявлена Escherichia coli, в моче – E. coli и Klebsiella pneumoniae. Функция трансплантата удовлетворительная (креатинин 100 мкмоль/л, мочевина 5,4 ммоль/л). Проводилась противовирусная (ганцикловир 10 мг/кг в сутки) и антибактериальная терапия (имипенем 2 г/сут, колистин 2 млн ЕД/сут). Проведена замена такролимуса на циклоспорин с минимизацией дозы. Однако состояние пациентки ухудшалось, нарастала дыхательная недостаточность. Пациентка переведена в реанимационное отделение, где ей начата искусственная вентиляция легких. Учитывая тяжесть состояния пациентки, обусловленную развитием пневмонии, сепсиса, дыхательной недостаточности, инфицирование трансплантата, отменена иммуносупрессивная терапия и выполнена трансплантатэктомия. В послеоперационный период в течение 1 мес продолжена антибактериальная, противовирусная терапия на фоне программного гемодиализа. Пациентка выписана домой в удовлетворительном состоянии.
Клиническое наблюдение 2
Пациент З., 63 года. Болен с 2012 г., когда установлен диагноз: врожденная ангиомиолипома обеих почек; интерстициальный нефрит, ХБПС5; диффузная В-крупноклеточная лимфома non-GCB тип, BCL-2 позитивная с высоким уровнем митотической и пролиферативной активностью с поражением печени, кожи, мягких тканей, периферических и висцеральных лимфатических узлов. Программный гемодиализ с 2012 г. Состояние после 6 курсов R-CHOP. Полная ремиссия от 2013 г. В 2016 г. обследован, абсолютных противопоказаний к выполнению трансплантации почки не выявлено. Выполнена ТАП 30.01.2017. В течение 1-го месяца после ТАП купирована уремия (креатинин 106 мкмоль/л, мочевина 6,6 ммоль/л), восстановлена функция трансплантата, концентрация азотистых метаболитов снижена до референсных значений. Однако в крови обнаруживались маркеры вирусной репликации (ДНК ЦМВ и ДНК ВЭБ менее 500 коп/105 клеток), в связи с чем проводилась профилактическая противовирусная терапия (валганцикловир 450 мг/сут). Через 1 мес после ТАП (с 10.02.2017) наблюдалось повышение температуры тела в утренние часы до 38°С, сопровождавшееся ознобом, периодически сухим кашлем. При контрольном вирусологическом исследовании концентрация ДНК ЦМВ и ДНК ВЭБ оставалась низкой (менее 500 коп/105 клеток), но в крови выявлены антитела к маннану, что указывало на развитие кандидозной инфекции. К лечению добавлена противогрибковая терапия (флуконазол). На компьютерной томографии органов грудной клетки (10.02.2017) обнаружено уплотнение легочной ткани с неровными контурами в 3, 4, 9, 10-м сегментах правого легкого, в прикорневой зоне в 1, 2, 6-и сегментах, в язычковых сегментах левого легкого. Размеры лимфатических узлов: паратрахеальных 0,6 см, аортопульмонального окна – 1,7 см. Обнаруживались бронхопульмональные лимфоузлы с обеих сторон, конгломерат лимфоузлов ниже бифуркации трахеи. Костальная плевра справа в нижней доле утолщена до 1,2 см. При исследовании промывных вод из нижней доли правого легкого обнаружены ДНК микобактерии туберкулеза и пневмоцисты. Методом иммуноферментного анализа выявлены противотуберкулезные антитела в высоком титре. Пациент переведен в специализированное учреждение, где под наблюдением врачей- фтизиатров получал противотуберкулезную терапию (пиразинамид, этамбутол, протионамид) в течение 6 мес на фоне иммуносупрессивной, антибактериальной, противогрибковой и профилактической противовирусной терапии. В течение 1 мес терапии купированы температурная реакция, кашлевой синдром. При обследовании через 1 год после терапии: отмечено фиброзирование с участками кальцинирования уплотнений в прикорневой зоне и верхней доле правого легкого. Маркеры туберкулезной и вирусной инфекции не выявлялись. Состояние пациента в настоящее время удовлетворительное. Функция трансплантата удовлетворительная (креатин 113 мкмоль/л, мочевина 6,8 ммоль/л). Показатели общего анализа крови в пределах референсных значений. Пациент продолжает принимать иммуносупрессивную терапию, находится под наблюдением врача-гематолога, нефролога и фтизиатра.
В описанном первом случае наличие высокой концентрации ДНК ЦМВ свидетельствовало об активном вирусном процессе. Пневмония, развитие сепсиса на фоне бактериальной и вирусной инфекции привели к тяжелой дыхательной недостаточности. Несмотря на интенсивную противовирусную, антибактериальную терапию, состояние пациентки прогрессивно ухудшалось, нарастала дыхательная недостаточность, что послужило основанием для отмены иммуносупрессивной терапии и выполнения трансплантатэктомии.
Во втором случае на фоне незначительной концентрации вирусных ДНК и иммуносупрессивной терапии у пациента развилась пневмония пневмоцистной, грибковой и туберкулезной этиологии. Ранняя диагностика и своевременная терапия позволили купировать специфический процесс в легких и сохранить удовлетворительную функцию трансплантата. Следовательно, в части случаев низкая концентрация репликации ДНК одного вируса служит фоном для реактивации другого, а также присоединением бактериальной инфекции.
Обсуждение
В данной работе проанализирована частота выявления маркеров ЦМВ-, ВЭБ- и ВГЧ-6-инфекции в течение первого года после ТАП и их влияние на функцию трансплантата. Отмечено, что наиболее часто в 1-й месяц после трансплантации обнаруживаются маркеры ЦМВ и ВЭБ, реже ВГЧ-6 – 50, 40 и 33% соответственно. Профиль маркеров герпесвирусных инфекций соответствовал реактивации эндогенного вируса на фоне иммуносупрессивной терапии, нежели передаче вируса с донорским органом. Предположение о последнем требует доказательств с применением секвенирования для подтверждения идентичности штаммов у донора (в материале трансплантата). Первичная вирусная инфекция встречается редко в связи с высокой степенью серопозитивности реципиентов.
Всем пациентам группы высокого риска назначена профилактическая противовирусная терапия. Эффективность профилактической терапии при ЦМВ-инфекции хорошо известна и не вызывает сомнений, но в отношении ее эффективности против ВЭБ и ВГЧ-6 имеются противоречивые данные [15]. Тем не менее, по данным нашего исследования, на фоне профилактической противовирусной терапии отмечено снижение частоты реактивации ЦМВ и ВЭБ у реципиентов почечного трансплантата начиная с 4-го месяца до 1 года, а реактивация ВГЧ-6 начиная с 4-го месяца вовсе не наблюдалась.
При сочетанной вирусной инфекции механизм взаимного влияния ЦМВ, ВЭБ и ВГЧ-6 до конца неясен. С одной стороны, тропизм вирусов, а следовательно, и клетки-мишени у этих вирусов отличаются: ЦМВ пантропен и способен поражать практически все ядросодержащие клетки, а следовательно, и системы организма, ВЭБ преимущественно размножается в CD21-позитивных лимфоцитах, а ВГЧ-6 – преимущественно в Т-лимфоцитах. В нашем исследовании у некоторых реципиентов обнаруживалась высокая вирусная нагрузка одного или одновременно двух вирусов (ЦМВ и ДНК ВЭБ или ВЭБ и ВГЧ-6), что сопровождалось дисфункцией трансплантата. В то же время на фоне низкой концентрации ДНК вируса нарушение функции трансплантата не отмечалось. Но на фоне такой низкой вирусной нагрузки нескольких вирусов в более поздние сроки наблюдалось либо повышение концентрации ДНК одного из вирусов и появление клинической симптоматики инфекции, либо присоединение бактериальной инфекции с тяжелыми клиническими проявлениями, влекущими за собой потерю трансплантата. Полученные данные указывают на синергизм одновременной репликации герпесвирусов на фоне иммуносупрессивной терапии, что требует дальнейшего изучения. Отмечено, что у реципиентов почечного трансплантата первоначально повышение концентрации ДНК вируса прежде всего выявляется в моче, что может быть начальным признаком активации вирусной инфекции, инфицирования трансплантата и развития дисфункции трансплантата.
Заключение
Повышение концентрации ДНК вирусов у реципиентов почечного трансплантата прежде всего выявляется в моче, что может быть начальным признаком активации вирусной инфекции, инфицирования трансплантата и развития его дисфункции. Нарушение функции трансплантата наблюдается при высокой концентрации ДНК одного или нескольких вирусов в случаях одновременной репликации ЦМВ и ВЭБ или ВЭБ и ВГЧ-6, что указывает на синергизм вирусов. При низкой концентрации ДНК вируса у реципиентов почечного трансплантата не наблюдаются клинические симптомы вирусной инфекции и признаки дисфункции почки, но низкая вирусная нагрузка может служить фоном для активации другой вирусной инфекции и присоединения бактериальной и грибковой инфекции. Следовательно, при низкой вирусной нагрузке следует проводить противовирусную терапию в профилактических дозах, а при высокой вирусной нагрузке оправданно назначение препаратов в лечебной дозе.
Конфликт интересов. Авторы заявляют об отсутствии конфликта интересов.
Conflict of interests. The authors declare no conflict of interest.
Список сокращений
ВГЧ-6 – вирус герпеса человека 6-го типа
ВЭБ – вирус Эпштейна–Барр
ТАП – трансплантация аллогенной почки
ХБПС5 – хроническая болезнь почек терминальной стадии
ЦМВ – цитомегаловирус
Ig – иммуноглобулин
Об авторах
Болдукыз Толгонбаевна Джумабаева
ФГБУ «Национальный медицинский исследовательский центр гематологии» Минздрава России
Email: bola.blood@yandex.ru
ORCID iD: 0000-0002-7390-2190
д-р мед. наук, вед. науч. сотр. научно-организационного отд. по гематологии, трансфузиологии, донорству
Россия, МоскваДмитрий Сергеевич Тихомиров
ФГБУ «Национальный медицинский исследовательский центр гематологии» Минздрава России
Email: bola.blood@yandex.ru
ORCID iD: 0000-0002-2553-6579
канд. мед. наук, ст. науч. сотр. научной лаб. вирусной безопасности трансфузий крови и ее компонентов
Россия, МоскваЛюдмила Семеновна Бирюкова
ФГБУ «Национальный медицинский исследовательский центр гематологии» Минздрава России
Email: bola.blood@yandex.ru
ORCID iD: 0000-0003-2774-1805
д-р мед. наук, консультат, врач-нефролог отд-ния хирургии
Россия, Москва
Татьяна Алексеевна Туполева
ФГБУ «Национальный медицинский исследовательский центр гематологии» Минздрава России
Email: bola.blood@yandex.ru
ORCID iD: 0000-0003-4668-9379
д-р мед. наук, зав. отд. вирусологической диагностики
Россия, Москва
Игорь Викторович Нестеренко
ФГБУ «Национальный медицинский исследовательский центр гематологии» Минздрава России
Email: bola.blood@yandex.ru
ORCID iD: 0000-0002-1634-3724
д-р мед. наук, врач-хирург отд-ния хирургии
Россия, Москва
Наталья Владимировна Пурло
ФГБУ «Национальный медицинский исследовательский центр гематологии» Минздрава России
Email: bola.blood@yandex.ru
ORCID iD: 0000-0002-2905-5959
канд. мед. наук, врач-нефролог отд-ния анестезиологии и реанимации
Россия, Москва
Дмитрий Ильич Чеботарев
ФГБУ «Национальный медицинский исследовательский центр гематологии» Минздрава России
Автор, ответственный за переписку.
Email: bola.blood@yandex.ru
ORCID iD: 0000-0003-2146-0818
врач-патологоанатом патологоанатомического отд-ния
Россия, Москва
Список литературы
- Le Page AK, Mackie FE, McTaggart SJ, Kennedy SE. Cytomegalovirus & Epstein–Barr virus serostatus as a predictor of the long-term outcome of kidney transplantation. Nephrology (Carlton). 2013;18(12):813-9. doi: 10.1111/nep.12149
- Babel N, Volk HD, Reinke P. BK polyomavirus infection and nephropathy: the virus – immune system interplay. Nat Rev Nephrol. 2011;7(7):399-406. doi: 10.1038/nrneph.2011.59
- Egli A, Binggeli S, Bodaghi S. Cytomegalovirus and polyomavirus BK posttransplant. Nephrol Dial Transplant. 2008;23(1):426. doi: 10.1093/ndt/gfm648
- Petrara MR, Giunco S, Serraino D, et al. Post-transplant lymphoproliferative disorders: from epidemiology to pathogenesis-driven treatment. Cancer Lett. 2015;369(1):37-44. doi: 10.1016/j.canlet.2015.08.007
- Инфекции в трансплантологии. Под ред. С.В. Готье. М.–Тверь, 2010 [Infections in transplantation. Edited by SV Gautier. Moscow–Tver, 2010 (in Russian)].
- Горяйнов В.А., Каабак М.М., Бабенко Н.Н., и др. Влияние цитомегаловируса на результаты трансплантации почек. Клин. медицина. 2015;93(11):42-5 [Goryainov VA, Kaabak MM, Babenko NN, et al. Effect of cytomegalovirus on the outcome of renal transplantation. Clinical medicine. 2015;93(11):42-5 (in Russian)].
- Nguyen JM, Daguin P, Hourmant M, et al. Mycophenolate mofetil does not modify the incidence of cytomegalovirus (CMV) disease after kidney transplantation but prevents CMV-induced chronic graft dysfunction. J Am Soc Nephrol. 2001;12(8):1758-63. doi: 10.1681/ASN.V1281758
- Guirado L, Rabella N, Díaz JM, et al. Prophylactic and pre-emptive therapy for cytomegalovirus infection in kidney transplant patients using oral valganciclovir. Nefrología. 2008;28(3):293-300.
- Fehr T, Cippà PE, Mueller NJ. Cytomegalovirus post kidney transplantation: prophylaxis versus pre-emptive therapy? Transpl Int. 2015;28(12):1351-6. doi: 10.1111/tri.12629
- Le J, Durand CM, Agha I, Brennan DC. Epstein–Barr virus and renal transplantation. Transplant Rev (Orlando). 2017;31(1):55-60. doi: 10.1016/j.trre.2016.12.001
- Ng SB, Khoury JD. Epstein–Barr virus in lymphoproliferative processes: an update for the diagnostic pathologist. Adv Anat Pathol. 2009;16(1):40-55. doi: 10.1097/PAP.0b013e3181916029
- Blazquez-Navarro A, Dang-Heine C, Wittenbrink N, et al. BKV, CMV, and EBV interactions and their effect on graft function one year post-renal transplantation: results from a large multi-centre Study. EBioMedicine. 2018;34:113-21. doi: 10.1016/j.ebiom
- Meyer T, Scholz D, Warnecke G, et al. Importance of simultaneous active cytomegalovirus and Epstein–Barr virus infection in renal transplantation. Clin Diagn Virol. 1996;6(2-3):79-91. doi: 10.1016/0928-0197(96)00230-9
- Mañez R, Breinig MC, Linden P, et al. Posttransplant lymphoproliferative disease in primary Epstein–Barr virus infection after liver transplantation: the role of cytomegalovirus disease. J Infect Dis. 1997;176(6):1462-7. doi: 10.1086/514142
- Paulsen G, Cumagun P, Mixon E, et al. Cytomegalovirus and Epstein–Barr virus infections among pediatric kidney transplant recipients at a center using universal Valganciclovir Prophylaxis. Pediatr Transplant. 2019;23(3):e13382. doi: 10.1111/petr.13382
Дополнительные файлы




