Histological remission of ulcerative colitis with combined anti-cytokine and cell therapy
- Authors: Knyazev O.V.1,2,3, Khomeriki S.G.1, Kagramanova A.V.1, Lishchinskaya A.A.1, Smirnova O.A.1, Noskova K.K.1, Parfenov A.I.1
-
Affiliations:
- Loginov Moscow Clinical Scientific Center
- Ryzhykh National Medical Research Center of Coloproctology
- Research Institute of Health Organization and Medical Management
- Issue: Vol 93, No 12 (2021)
- Pages: 1435-1442
- Section: Original articles
- Submitted: 14.01.2022
- Accepted: 14.01.2022
- Published: 15.12.2021
- URL: https://ter-arkhiv.ru/0040-3660/article/view/96434
- DOI: https://doi.org/10.26442/00403660.2021.12.201212
- ID: 96434
Cite item
Full Text
Abstract
Aim. To conduct comparative analysis of histological remission in patients with moderate and severe ulcerative colitis (UC), receiving biological therapy vedolizumab, mesenchymal stem cell (MSC) treatment and combined stem cells and vedolizumab therapy.
Materials and methods. We studied biopsies of 75 patients with total or left-sided moderate and severe ulcerative colitis, divided into groups depending on treatment. The first group of UC patients (n=29) received stem cell therapy 2 mln per kg; the second group of UC patients (n=27) received vedolizumab and the third group (n=19) – MSC and vedolizumab. The efficacy of treatment was assessed by C reactive protein (CRP), Mayo score (MS), fecal calprotectin (FC) and Geboes score (GS).
Results. We determined medium correlation between basic FC and MS before treatment (r=0.6605, p<0.05). After 12 weeks of treatment in the first group of UC patients (n=29) CRP was 7.8±2.1 mg/l, FC 409.3±44.85 µg/g, medium GS 1.2±0.1 points. After 12 weeks of treatment in the second group of UC patients (n=27) CRP was 8.4±1.4 mg/l, FC 435.5±47.3 µg/g, medium GS 1.35±0.15 points. After 12 weeks of treatment in the third group of UC patients (n=19) CRP was 6.4±1.1 mg/l, FC 290.6±17.5 µg/g, medium GS 0.9±0.1 points. We proved strong direct relationship between FC and GS after 12 weeks of treatment in UC patients, receiving MSC (r=0.8392, p<0.05). The statistically significant majority of patients, achieved histological remission, have less than 5-year duration of disease.
Conclusion. Our study showed that clinical and endoscopic remission in UC patients does not always correlate with histological remission. Combined anti-cytokine and stem cells therapy contributes to achieve deep remission and decrease mucosa inflammation rather than single MSC or vedolizumab treatment. Deep remission could be achieved by earlier start of biological therapy. FC could be a predictor and marker of mucosa healing and histological remission
Full Text
Список сокращений
ВДБ – ведолизумаб
ГИБП – генно-инженерные биологические препараты
ИГ – индекс Гебса
ИЛ – интерлейкин
ИМ – индекс Мейо
МСК – мезенхимальные стволовые клетки
СОТК – слизистая оболочка толстой кишки
СОЭ – скорость оседания эритроцитов
СРБ – С-реактивный белок
ФКП – фекальный кальпротектин
ФНО-α – фактор некроза опухоли α
ЯК – язвенный колит
STRIDE – Selecting Therapeutic Targets in Inflammatory Bowel Disease
Введение
Язвенный колит (ЯК) – хроническое воспалительное заболевание неизвестной этиологии, характеризующееся диффузным воспалением слизистой оболочки толстой кишки (СОТК), распространяющимся от прямой кишки в проксимальном направлении, и внекишечными (системными) проявлениями [1].
Цели лечения пациентов с ЯК претерпели значительные изменения с момента разработки концепции «treat to target» («лечение до цели»). До появления концепции заживления СОТК терапевтической целью терапии ЯК был простой контроль симптомов, таких как общее самочувствие пациента, абдоминальная боль, ректальное кровотечение, частота стула [2]. Так как имеет место несоответствие между клиническими симптомами и эндоскопической активностью, в настоящее время концепция «treat to target» в соответствии с положением Selecting Therapeutic Targets in Inflammatory Bowel Disease I (STRIDE-I) предполагает не только достижение клинической ремиссии, но и эндоскопическое заживление СОТК (индекс Мейо – ИМ 0–1), нормализацию лабораторных маркеров воспаления (скорости оседания эритроцитов – СОЭ, С-реактивного белка – CРБ и уровня фекального кальпротектина – ФКП) [2]. STRIDE-II подтвердило долгосрочные цели STRIDE-I по клинической ремиссии и эндоскопическому заживлению СОТК [3].
Гистологическая ремиссия в настоящее время не является конечной мишенью терапии ЯК, но должна оцениваться как показатель глубины ремиссии. Так как гистологическая ремиссия связана с эндоскопическим заживлением, это может быть предиктором долгосрочных результатов терапии ЯК [4].
Клинические рекомендации и конечные точки клинических исследований предлагают клиницистам оценивать эффективность терапии, помимо разрешения клинических симптомов, эндоскопическим заживлением СОТК. Многочисленные исследования показали, что гистологическая ремиссия является наиболее благоприятным фактором прогноза у пациентов с ЯК и позволяет значительно уменьшить дозу и частоту приема глюкокортикостероидов [5–7].
Однако, несмотря на эндоскопические признаки заживления СОТК, при гистологическом исследовании, как правило, отмечается активность заболевания у 30–40% пациентов [8–10]. Согласно исследованиям, сохраняющаяся гистологическая активность воспалительного процесса у пациентов с ЯК увеличивает риск колоректальной неоплазии [11, 12].
S. Truelove и W. Richards впервые ввели гистологическую систему подсчета баллов для пациентов с ЯК в 1956 г. [13]. В настоящее время используется система подсчета баллов, созданная K. Geboes и соавт. [14] (индекс Гебса – ИГ), но она имеет ограничения, связанные с валидацией. В рамках регистрационных клинических исследований новых генно-инженерных биологических препаратов (ГИБП) осуществляется оценка достижения гистологической ремиссии по ИГ и индексу Робартса [15].
Наряду с ГИБП одним из новых перспективных методов лечения больных ЯК является биологическая терапия с использованием мезенхимальных стромальных клеток (МСК) костного мозга. В некоторых случаях одновременно с МСК пациенты получают сопутствующую антицитокиновую или иммуносупрессивную терапию. В настоящее время имеются данные о том, что новая стратегия терапии ЯК с применением МСК, как в комбинации с ГИБП, так и без них, способствует достижению гистологической ремиссии ЯК [16–18].
В научных публикациях, посвященных изучению достижения гистологической ремиссии воспалительных заболеваний кишечника, уделяется внимание выявлению статистически значимых корреляций между эндоскопической и гистологической активностью, а также с концентрацией ФКП и другими иммунобиологическими маркерами, но при этом в работах нет разделения на группы в зависимости от характера проводимой противовоспалительной терапии ЯК [10, 19, 20].
Цель исследования – сравнительный анализ степени гистологической ремиссии у больных ЯК средней степени тяжести и тяжелой степени, получающих биологическую терапию ведолизумабом (ВДБ), МСК, а также комбинированную терапию с применением МСК и ВДБ.
Материалы и методы
Исследован биопсийный материал 75 пациентов с тотальным или левосторонним ЯК средней степени тяжести и тяжелой степени в возрасте от 22 до 56 лет (средний возраст 31±2,5 года). Пациенты были разделены на группы в зависимости от проводимой терапии:
- 1-я группа пациентов с ЯК (n=29) в возрасте от 22 до 51 года (медиана – Ме 32) получила противовоспалительную терапию с использованием МСК 2 млн/кг по схеме;
- 2-я группа пациентов с ЯК (n=27) в возрасте от 24 до 56 лет (Ме 38) получила ВДБ по схеме;
- 3-я группа пациентов с ЯК (n=19) в возрасте от 27 до 52 лет (Ме 31) получила МСК+ВДБ.
Характеристика пациентов. Данное исследование проводилось в отделении лечения воспалительных заболеваний кишечника ГБУЗ «МКНЦ им. А.С. Логинова». В исследование включались пациенты старше 18 лет с диагнозом ЯК. Демографическая, клиническая информация и медикаментозная терапия на момент включения в исследование были получены из медицинских карт и интервью с пациентами (табл. 1, 2).
Таблица 1. Клиническая характеристика пациентов с ЯК (n=75) / Table 1. Clinical characteristics of UC patients (n=75)
Показатель | 1-я группа (n=29) | 2-я группа (n=27) | 3-я группа (n=19) |
Мужской/женский пол, абс. (%) | 12 (41,4)/ 17 (58,6) | 16 (59,2)/ 13 (40,8) | 8 (42,1)/ 11 (57,9) |
Ме возраста, лет | 32 | 38 | 31 |
Курение, абс. (%) | |||
Да | 6 (20,7) | 8 (29,6) | 2 (10,5) |
Нет | 12 (41,4) | 10 (37,0) | 12 (63,1) |
Курили ранее | 11 (37,9) | 9 (33,3) | 5 (26,3) |
Длительность заболевания, годы, абс. (%) | |||
<5 лет | 14 (48,3) | 10 (37,0) | 9 (55,5) |
>5 лет | 15 (51,7) | 17 (62,9) | 10 (55,5) |
Оценка по общей шкале Мейо, абс. (%) | |||
0–3 | 0 (0,0) | 0 (0,0) | 0 (0,0) |
4–6 | 0 (0,0) | 0 (0,0) | 0 (0,0) |
7–9 | 19 (65,5) | 18 (66,7) | 11 (55,5) |
10–12 | 10 (34,5) | 9 (33,3) | 8 (55,5) |
Протяженность поражения, абс. (%) | |||
Проктит | 0 (0,0) | 0 (0,0) | 0 (0,0) |
Левосторонний колит | 10 (34,5) | 13 (48,1) | 9 (55,5) |
Тотальный колит | 19 (65,5) | 14 (51,8) | 12 (63,1) |
Наличие кишечных осложнений | 5 (17,2) | 3 (11,1) | 5 (26,3) |
Внекишечные проявления, абс. (%) | |||
Всего | 14 (48,3) | 4 (14,8) | 11 (57,9) |
Скелетно-мышечные поражения | 10 (34,5) | 4 (14,8) | 7 (36,8) |
Поражение кожи и слизистых | 4 (13,8) | 0 (0,0) | 3 (15,8) |
Другое | 0 (0,0) | 0 (0,0) | 1 (5,3) |
Таблица 2. Характеристика терапии у пациентов с ЯК (n=75) / Table 2. Treatment in UC patients (n=75)
Показатель | 1-я группа (n=29) | 2-я группа (n=27) | 3-я группа (n=19) |
5-АСК, абс. (%) | 29 (100,0) | 27 | 19 |
Иммуномодуляторы, абс. (%) | 16 (55,2) | 22 (81,5) | 11 (57,9) |
Топические кортикостероиды, абс. (%) | 15 (51,7) | 14 (51,8) | 7 (36,8) |
Кортикостероиды, абс. (%) | 25 (86,2) | 23 (85,2) | 16 (84,2) |
Стероидозависимость, абс. (%) | 11 (37,9) | 8 (29,6) | 9 (47,4) |
Стероидорезистентность, абс. (%) | 3 (10,3) | 3 (11,1) | 6 (31,6) |
Бионаивные, абс. (%) | 13 (44,8) | 11 (40,7) | 5 (26,3) |
ГИБП, абс. (%), в том числе: | |||
Инфликсимаб | 16 (55,2) | 16 (59,2) | 14 (73,7) |
Адалимумаб | 5 (17,2) | 8 (29,6) | 4 (21,1) |
Голимумаб | 0 (0,0) | 3 (11,1) | 0 (0,0) |
Тофацитиниб | 0 (0,0) | 0 (0,0) | 0 (0,0) |
Количество ГИБП в анамнезе, абс. (%) | |||
1 | 11 (37,9) | 8 (29,6) | 10 (52,6) |
2 | 5 (17,2) | 5 (18,5) | 4 (21,1) |
3 | 0 (0,0) | 3 (11,1) | 0 (0,0) |
Примечание. 5-АСК – 5-аминосалициловая кислота.
Клиническая и эндоскопическая оценка активности заболевания. Клиническую активность заболевания оценивали на момент первоначальной регистрации с помощью ИМ. Клиническая ремиссия определена как ≥2 баллов.
Всем пациентам проводилось эндоскопическое обследование с биопсией через 12 нед с момента включения в исследование. Эндоскопическая оценка проводилась по шкале K. Schroeder [21].
Оценка гистологической активности. Биопсийный материал взят во время эндоскопического исследования воспаленной или зажившей СОТК. Эксперт-патолог оценивал гистологическую активность заболевания по ИГ [14]. Степень гистологической ремиссии оценивали через 12 нед от момента включения пациента в исследование. Наибольшую степень воспаления в любом из сегментов СОТК считали максимальным ИГ. Гистологическая ремиссия определялась как ИГ≤1.
Измерение ФКП. При включении в исследование пациентам определяли уровень ФКП с помощью количественного иммуноферментного анализа в соответствии с инструкциями производителя (Ridascreen Calprotectin, Darmstadt, Germany).
Исходные показатели. Исходные уровни CРБ, ФКП, ИМ, ИГ представлены в табл. 3.
Таблица 3. Исходные уровни CРБ, ФКП, ИМ, ИГ / Table 3. Basic level of CRP, fecal calprotectin, Mayo score and Geboes score
Показатель | 1-я группа (n=29) | 2-я группа (n=27) | 3-я группа (n=19) |
CРБ, мг/л | 24,6±1,8 | 25,5±2,0 | 24,8±2,1 |
ФКП, мкг/г | 1090±88,8 | 1000±83,9 | 1010±120,5 |
ИГ, баллы | 4,6±0,4 | 4,35±0,25 | 4,5±0,3 |
ИМ, баллы | 9,17±1,7 | 9,14±1,6 | 9,47±1,6 |
Статистический анализ проводили с помощью компьютерной программы IBM SPSS Statistics 24.0. Inc. и Stastica 7.0.
Эффективность проводимой терапии оценивали по индексам клинической, эндоскопической активности, иммунобиологическим и гистологическим маркерам воспаления: ИМ, уровню CРБ, ИГ и уровню ФКП. Глубокая ремиссия определялась как комбинация ИМ 0–1 балл и ИГ≤1 балла.
Трансплантация МСК осуществлена до вступления в силу постановления Правительства РФ от 25.08.2017 №1015 «Об утверждении Правил аккредитации медицинских организаций на право проведения клинических исследований биомедицинских клеточных продуктов». В соответствии с этическими стандартами Хельсинкской декларации 1964 г. пациенты давали письменное информированное согласие перед участием в исследовании.
Результаты
У 71 (94,7%) пациента с ЯК перед включением в исследование выполнена биопсия СОТК с определением ИГ.
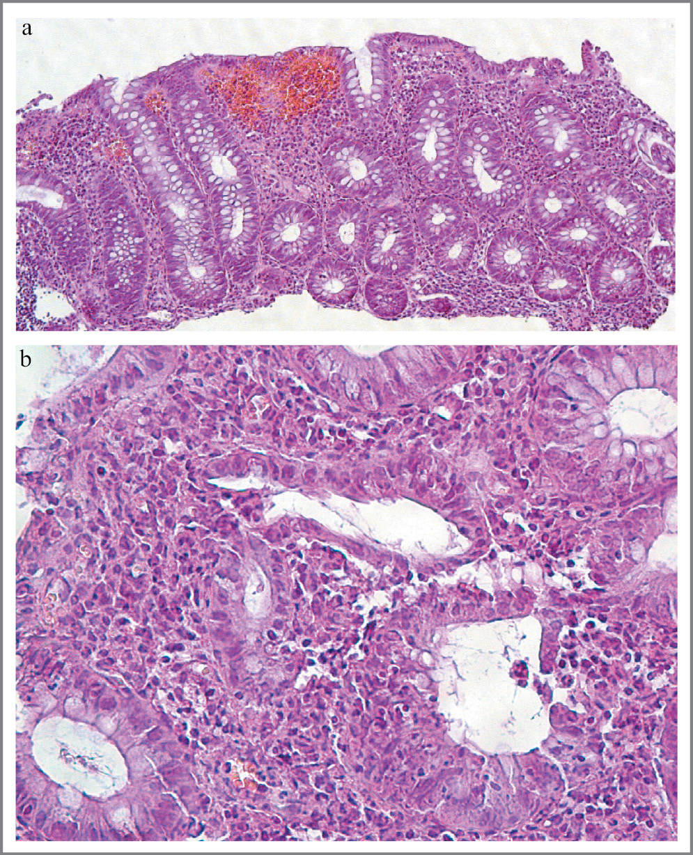
У большинства пациентов имелись структурные нарушения крипт (укорочение, деформация, уменьшение количества и/или неравномерное распределение бокаловидных клеток), отмечались хроническая слабо или умеренно выраженная воспалительная лимфо-плазмоклеточная инфильтрация и базальный плазмоцитоз (очаговый или диффузный) собственной пластинки СОТК. При этом они выявлялись в сочетании со структурными нарушениями крипт, в составе инфильтрата обнаруживались нейтрофильные лейкоциты. Также было характерно повышенное содержание в нем эозинофильных лейкоцитов, местами проникающих в покровный эпителий и эпителий отдельных крипт (рис. 1).
Рис. 1. ЯК, умеренная активность: а – дистрофия и участки десквамации поверхностного эпителия. Количество бокаловидных клеток снижено. Умеренная инфильтрация собственной пластинки, ×120; b – нейтрофилы между клетками эпителия и деструкция отдельных крипт, ×500. Окраска гематоксилином и эозином. / Fig. 1. Moderate ulcerative colitis: a – dystrophy and desquamation of surface epithelial cells. Decrease of Goblet cells. Moderate infiltration of lamina propria, ×120; b – neutrophils between epithelial cells and destruction of crypts, ×500. Hematoxylin and eosin staining.
Обнаружение единичных нейтрофилов в составе инфильтрата или интраэпителиально в покровном эпителии не учитывалось.
Для того чтобы установить причинно-следственные связи между значениями ИМ, ИГ, уровнями CРБ, ФКП, перед проведением противовоспалительной терапии выполнен корреляционный анализ между вышеуказанными показателями.
Выявлена прямая корреляция средней силы между исходными значениями уровня ФКП и ИГ перед проведением противовоспалительной терапии ЯК (r=0,6605, p<0,05); рис. 2.
Рис. 2. Корреляционная зависимость между уровнем ФКП и ИГ у больных ЯК до проведения терапии. / Fig. 2. Correlation between FC and GS in UC patients before the treatment.
Также установлена прямая корреляция между исходными значениями ИМ и ИГ перед проведением противовоспалительной терапии ЯК (r=0,7531, p<0,05). Однако между исходными значениями уровня CРБ и ИГ перед проведением терапии ЯК установлена слабая связь (r=0,3202, p<0,05).
В 1-й группе пациентов с ЯК (n=29) на фоне проводимой терапии МСК у 21 (72,4%) пациента на 8-й неделе терапии была зарегистрирована клиническая ремиссия по шкале Мейо, 6 (20,7%) пациентов достигли показателей клинического ответа, у 2 (6,9%) не выявлено положительной динамики.
Большинство пациентов с клинической ремиссией на 8-й неделе к 12-й неделе достигли также заживления слизистой оболочки. На 12-й неделе эндоскопическое исследование было проведено 23 (79,3%) пациентам, из них у 19 (65,5%) была диагностирована эндоскопическая ремиссия (ИМ 0–1), у 4 (13,8%) – неполная эндоскопическая ремиссия.
В связи с отсутствием ответа на проводимую терапию, а именно сохраняющейся или незначительно уменьшившейся кровавой диареей, анемией, лейкоцитозом, сохраняющимся высоким уровнем СРБ, СОЭ и ФКП, пациентам, которые не ответили на терапию МСК, были назначены ГИБП.
Через 12 нед от начала терапии в 1-й группе больных (n=29) уровень CРБ составил 7,8±2,1 мг/л, уровень ФКП – 409,3±44,85 мкг/г, средний ИГ – 1,2±0,1 балла.
Гистологическое заживление по ИГ≤1 балла зарегистрировано у 10 (27,6%) пациентов, что выше, чем результаты многочисленных исследований, оценивающих степень гистологической ремиссии у больных ЯК, получающих стандартную терапию. Это может быть связано с тем, что аллогенные МСК костного мозга обладают как иммуномодулирующим, так и высоким регенеративным потенциалом, направленным на восстановление поврежденных тканей организма [22, 23].
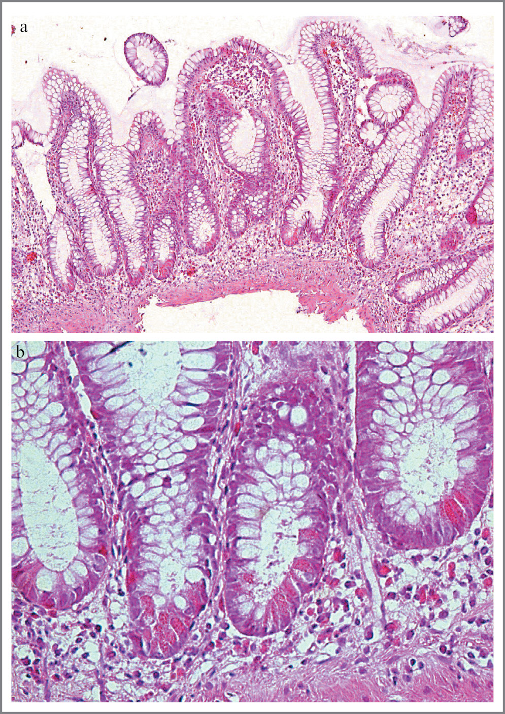
В биопсийном материале отмечались слабая воспалительная инфильтрация собственной пластинки, большое количество бокаловидных клеток. Однако сохранялись признаки хронизации воспаления: деформация и расщепление концевых отделов крипт (рис. 3).
Рис. 3. ЯК, ремиссия: a – слабая воспалительная инфильтрация собственной пластинки. Много бокаловидных клеток. Выражены признаки хронизации воспаления: деформация и расщепление концевых отделов крипт, ×120; b – панетовская метаплазия, ×500. Окраска гематоксилином и эозином. / Fig. 3. UC, remission: a – mild inflammatory infiltration of lamina propria. Increase of Goblet cells. Signs of chronic inflammation: deformation and splitting of end parts of the crypts, ×120; b – Paneth cell metaplasia, ×500. Hematoxylin and eosin staining.
На 8-й неделе обследованы 27 (100,0%) пациентов из 2-й группы, которая получала ВДБ по схеме, рекомендуемой в инструкции по применению препарата.
На фоне проводимой терапии ВДБ у 20 (74,1%) пациентов на 8-й неделе терапии была зарегистрирована клиническая ремиссия по шкале Мейо, 4 (14,8%) пациента достигли показателей клинического ответа, у 3 (11,1%) положительная динамика отсутствовала. Следует отметить, что все пациенты, не ответившие на терапию ВДБ, уже получали терапию ГИБП.
Большинство пациентов с клинической ремиссией на 8-й неделе к 12-й неделе также достигли заживления слизистой оболочки. На 12-й неделе было проведено эндоскопическое исследование 21 (77,8%) пациенту, из них у 14 (51,8%) была диагностирована эндоскопическая ремиссия (ИМ 0–1), у 7 (25,9%) – неполная эндоскопическая ремиссия.
Через 12 нед от начала терапии во 2-й группе больных (n=27) уровень CРБ составил 8,4±1,4 мг/л, уровень ФКП – 435,5±47,3 мкг/г, средний ИГ – 1,35±0,15 балла.
Гистологическая ремиссия по ИГ≤1 балла зарегистрирована у 6 (22,2%) пациентов, продемонстрировавших заживление слизистой оболочки при ЯК на 52-й неделе: в общей популяции – 39,7% и в популяции, ранее получавшей ингибиторы фактора некроза опухоли α (ФНО-α), – 26,6%.
На фоне проводимой терапии ВДБ+МСК у 15 (78,9%) пациентов на 8-й неделе терапии была зарегистрирована клиническая ремиссия по шкале Мейо, 4 (21,1%) пациента достигли показателей клинического ответа. Пациентов, у которых отсутствовала положительная динамика, в 3-й группе не было; 14 (73,7%) пациентов с ЯК уже получали предшествующую терапию одним или более ГИБП.
Большинство пациентов с клинической ремиссией на 8-й неделе к 12-й неделе также достигли заживления слизистой оболочки. На 12-й неделе эндоскопическое исследование было проведено 19 (100,0%) пациентам, из них у 12 (63,2%) была диагностирована эндоскопическая ремиссия (ИМ 0–1), у 7 (36,8%) – неполная эндоскопическая ремиссия.
Через 12 нед от начала терапии в 3-й группе больных (n=19) уровень CРБ составил 6,4±1,1 мг/л, уровень ФКП – 290,6±17,5 мкг/г, средний ИГ – 0,9±0,1 балла.
Гистологическое заживление по ИГ≤1 балла было зарегистрировано у 8 (42,1%) пациентов, что значительно выше, чем результаты многочисленных исследований, демонстрирующих заживление СОТК у больных ЯК в 10–19,5% случаев [10, 15, 19]. Большая частота достижения гистологической ремиссии в данной группе больных, видимо, связана с потенцированием противовоспалительного эффекта МСК и ВДБ.
Динамика основных клинико-лабораторных показателей в группах больных ЯК через 12 нед от начала терапии представлена в табл. 4.
Таблица 4. Динамика клинико-лабораторных показателей в группах больных ЯК через 12 нед от начала терапии / Table 4. Dynamics of clinical and laboratory characteristics in groups of UC patients after 12 weeks of treatment
Показатель | 1-я группа (n=29) | 2-я группа (n=27) | 3-я группа (n=19) |
ИМ (клинико- эндоскопический), баллы | 2,9±0,24 | 2,8±0,25 | 2,7±0,25 |
Гемоглобин, г/л | 119,6±1,05 | 120,2±1,01 | 121,7±1,05 |
Лейкоциты, ×109/л | 8,6±0,26 | 8,4±0,3 | 7,6±0,2 |
Тромбоциты, ×109/л | 312,26±10,5 | 312,3±10,6 | 342,26±11,3 |
СОЭ, мм/ч | 16,1±0,6 | 15,9±0,6 | 15,1±0,5 |
СРБ, мг/л | 8,04±0,6 | 8,0±0,56 | 7,4±0,5 |
Сывороточное железо, мкмоль/л | 13,3±0,5 | 13,2±0,5 | 15,6±0,7 |
ФКП, мкг/г | 409,3±44,85 | 435,5±47,3 | 290,6±17,5* |
ИГ, баллы | 1,2±0,1 | 1,35±0,15 | 0,9±0,1* |
*p<0,05 – между 1 и 3-й группой, между 2 и 3-й группой.
Через 12 нед после проведения противовоспалительной терапии нами также выполнен корреляционный анализ между ИМ, уровнем CРБ, уровнем ФКП, ИГ и указанными выше показателями.
Подтверждена прямая связь между значениями уровня ФКП и ИГ через 12 нед от момента проведения терапии МСК (r=0,8392, p<0,05); рис. 4.
Рис. 4. Корреляционная зависимость между уровнем ФКП и ИГ у больных ЯК через 12 нед от начала терапии. / Fig. 4. Correlation between FC and GS in UC patients after 12 weeks of treatment.
Однако между исходными значениями уровня ИМ и ИГ через 12 нед от начала проведения терапии ЯК установлена слабая связь (r=0,3618, p<0,05). Между значениями CРБ и ИГ через 12 нед от начала противовоспалительной терапии пациентов с ЯК связи не установлено (p>0,05).
Результаты лабораторных исследований играют существенную роль в прогнозировании эффективности проводимой терапии.
Результаты и обсуждение
Тенденция современной терапии ЯК направлена в сторону достижения гистологической ремиссии, а не только на эндоскопическое заживление слизистой оболочки кишки, уменьшение активности воспалительного процесса, увеличение продолжительности ремиссии, уменьшение частоты рецидивов заболевания.
Стратегия биологической терапии основана на концепции ведущей роли воспалительных цитокинов (ФНО-α, интерлейкинов – ИЛ-1, ИЛ-12, ИЛ-23, интерферона γ и др.) в патогенезе воспаления в кишечной стенке и возможной их блокаде биологическими агентами [18, 23]. В нашем исследовании проведена сравнительная оценка эффективности биологической терапии аллогенными МСК костного мозга, селективным антиинтегриновым ГИБП ВДБ, а также комбинированной терапии МСК+ВДБ на степень заживления СОТК.
Ключевым критерием эффективности биологической терапии в нашей работе явилась гистологическая ремиссия, оцениваемая ИГ.
Механизм действия МСК, характерный как для аутологичных, так и для аллогенных трансплантированных клеток, заключается в их паракринной активности. Мигрируя в места повреждения и воспаления, МСК секретируют большое количество цитокинов (в основном противовоспалительных) и ростовых факторов (VEGF, FGF, IGF, PDGF и др.) и таким образом способствуют уменьшению воспаления, активизации собственных механизмов регенерации и восстановлению поврежденных тканей [24]. МСК снижают секрецию провоспалительных (ИЛ-1β, ИЛ-6, ФНО-α, интерферон γ) и увеличивают секрецию противовоспалительных цитокинов (ИЛ-4 и ИЛ-10), что приводит к уменьшению иммунного воспаления, активации ангиогенеза, ингибированию апоптоза и уменьшению степени окислительного стресса [22, 23]. Два биологических агента – МСК и ВДБ – потенцируют противовоспалительный эффект друг друга, тем самым способствуя более глубокому заживлению СОТК и достижению гистологической ремиссии.
Тем не менее не существует однозначного ответа на вопрос о том, должна ли гистологическая ремиссия быть целью лечения больных ЯК в реальной клинической практике. Во-первых, нет единой унифицированной формулировки понятия «гистологическая ремиссия». Во-вторых, ни один из предлагаемых гистологических индексов еще не валидирован и не стандартизирован.
В данной работе мы также провели проспективное наблюдательное исследование оценки возможной роли ФКП как биомаркера – предиктора гистологической ремиссии у больных ЯК. Более того, полученные результаты подчеркивают особенную ценность рутинного гистологического исследования при наблюдении пациентов с ЯК.
Концепция STRIDE определила эндоскопическое заживление СОТК как цель терапии ЯК, но некоторые исследователи считают, что заживление слизистой также включает отсутствие гистологических признаков воспаления, так как существует большое количество исследований, показывающих взаимосвязь гистологической ремиссии с благоприятными исходами заболевания [2, 9, 11, 15, 24–26].
Гистологическая оценка является ресурсозатратным методом исследования, что требует поиска неинвазивных биомаркеров, сравнимых по информативности с колоноскопией. В некоторых исследованиях было показано, что ФКП тесно коррелирует со степенью гистологической активности у пациентов с ЯК [27]. В данном исследовании мы наблюдали, что низкий уровень ФКП связан с гистологической ремиссией.
Заключение
Результаты нашего исследования подтвердили тот факт, что клиническая и эндоскопическая ремиссия у больных ЯК не всегда соответствует гистологической ремиссии. Гистологическая ремиссия с учетом современных терапевтических возможностей может стать достижимой, а также явиться «золотым стандартом» эффективности терапии больных ЯК. Биологическая терапия и клеточная терапия как наиболее эффективный и современный метод противовоспалительной терапии воспалительных заболеваний кишечника позволяют достичь целей новой концепции STRIDE. Комбинированная терапия с применением МСК и ВДБ у пациентов с ЯК способствует достижению более глубокой ремиссии и уменьшению степени воспаления слизистой оболочки кишки, чем монотерапия МСК и ВДБ.
Определение уровня ФКП может стать предиктором и маркером заживления СОТК и степени гистологической ремиссии. Однако уровень ФКП целесообразно рассматривать не как альтернативный метод оценки эффективности проводимой терапии, а как дополнительный метод обследования. Поскольку гистологические особенности ЯК варьируют в зависимости от стадии заболевания, для объективной оценки гистологической активности необходимы гистологические балльные системы. Соответственно, для установления гистологической ремиссии как важнейшего маркера прогноза больных ЯК необходимы многоцентровые проспективные исследования, включающие большое число пациентов.
Конфликт интересов. Авторы декларируют отсутствие явных и потенциальных конфликтов интересов, связанных с публикацией настоящей статьи.
Competing interests. The authors declare that they have no competing interests.
About the authors
Oleg V. Knyazev
Loginov Moscow Clinical Scientific Center; Ryzhykh National Medical Research Center of Coloproctology; Research Institute of Health Organization and Medical Management
Email: asfold@mail.ru
ORCID iD: 0000-0001-7250-0977
д-р мед. наук, зав. отд-нием воспалительных заболеваний кишечника, проф. научно-образовательного отд., вед. специалист организационно-методического отд. по колопроктологии, вед. науч. сотр.
Russian Federation, Moscow; Moscow; MoscowSergey G. Khomeriki
Loginov Moscow Clinical Scientific Center
Email: asfold@mail.ru
ORCID iD: 0000-0003-4308-8009
д-р мед. наук, проф., рук. научно-исследовательского отд. патоморфологии
Russian Federation, MoscowAnna V. Kagramanova
Loginov Moscow Clinical Scientific Center
Email: asfold@mail.ru
ORCID iD: 0000-0002-3818-6205
канд. мед. наук, ст. науч. сотр. отд-ния воспалительных заболеваний кишечника
Russian Federation, MoscowAlbina A. Lishchinskaya
Loginov Moscow Clinical Scientific Center
Email: asfold@mail.ru
ORCID iD: 0000-0001-7891-2702
канд. мед. наук, ст. науч. сотр. отд-ния воспалительных заболеваний кишечника
Russian Federation, MoscowOlga A. Smirnova
Loginov Moscow Clinical Scientific Center
Email: asfold@mail.ru
ORCID iD: 0000-0002-0088-4075
мл. науч. сотр. лаб. нутрициологии
Russian Federation, MoscowKarina K. Noskova
Loginov Moscow Clinical Scientific Center
Email: asfold@mail.ru
ORCID iD: 0000-0001-5734-0995
канд. мед. наук, зав. клинико-диагностической лаб.
Russian Federation, MoscowAsfold I. Parfenov
Loginov Moscow Clinical Scientific Center
Author for correspondence.
Email: asfold@mail.ru
ORCID iD: 0000-0002-9782-4860
д-р мед. наук, проф., рук. отд. патологии кишечника
Russian Federation, MoscowReferences
- Хатьков И.Е., Парфенов А.И., Князев О.В., и др. Воспалительные заболевания кишечника в практике терапевта и хирурга. М.: Вита-ПРЕСС, 2017 [Khat’kov IE, Parfenov AI, Knyazev OV, et al. Vospalitel’nye zabolevaniia kishechnika v praktike terapevta i khirurga. Moscow: Vita-PRESS, 2017 (in Russian)].
- Peyrin-Biroulet L, Sandborn W, Sands BE, et al. Selecting Therapeutic Targets in Inflammatory Bowel Disease (STRIDE): determining therapeutic goals for treat-to-target. Am J Gastroenterol. 2015;110:1324-38. doi: 10.1038/ajg.2015.233
- Turner D, Ricciuto A, Lewis A, et al.; International Organization for the Study of IBD. STRIDE-II: An Update on the Selecting Therapeutic Targets in Inflammatory Bowel Disease (STRIDE) Initiative of the International Organization for the Study of IBD (IOIBD): Determining Therapeutic Goals for Treat-to-Target strategies in IBD. Gastroenterology. 2021;160(5):1570-83. doi: 10.1053/j.gastro.2020.12.031
- Ungaro R, Colombel JF, Lissoos T, et al. A Treat-to-Target Update in Ulcerative Colitis: A Systematic Review. Am J Gastroenterol. 2019;114(6):874-83. doi: 10.14309/ajg.0000000000000183
- Ardizzone S, Cassinotti A, Duca P, et al. Mucosal healing predicts late outcomes after the first course of corticosteroids for newly diagnosed ulcerative colitis. Clin Gastroenterol Hepatol. 2011;9(6):483-9.e3. doi: 10.1016/j.cgh.2010.12.028
- Zenlea T, Yee EU, Rosenberg L, et al. Histology grade is independently associated with relapse risk in patients with ulcerative colitis in clinical remission: a prospective study. Am J Gastroenterol. 2016;111:685-90. doi: 10.1038/ajg.2016.50
- Bryant RV, Burger DC, Delo J, et al. Beyond endoscopic mucosal healing in UC: histological remission better predicts corticosteroid use and hospitalisation over 6 years of follow-up. Gut. 2016;65:408-14. doi: 10.1136/gutjnl-2015-309598
- Тертычный А.С., Ахриева Х.М., Маев И.В., и др. Проблемы диагностики гистологической ремиссии у больных с воспалительными заболеваниями кишечника. Архив патологии. 2017;79(3):3-9 [Tertychnyi AS, Akhrieva KhM, Maev IV, et al. Problemy diagnostiki gistologicheskoi remissii u bol’nykh s vospalitel’nymi zabolevaniiami kishechnika. Arkhiv patologii. 2017;79(3):3-9 (in Russian)]. doi: 10.17116/patol20177933-9
- Narang V, Kaur R, Garg B, et al. Association of endoscopic and histological remission with clinical course in patients of ulcerative colitis. Intest Res. 2018;16:55-61. doi: 10.5217/ir.2018.16.1.55
- Mosli MH, Feagan BG, Zou G, et al. Development and validation of a histological index for UC. Gut. 2017;66:50-8. doi: 10.1136/gutjnl-2015-310393
- Bopanna S, Roy M, Das P, et al. Role of random biopsies in surveillance of dysplasia in ulcerative colitis patients with high risk of colorectal cancer. Intest Res. 2016;14:264-9. doi: 10.5217/ir.2016.14.3.264
- Colman RJ, Rubin DT. Histological inflammation increases the risk of colorectal neoplasia in ulcerative colitis: a systematic review. Intest Res. 2016;14:202-10. doi: 10.5217/ir.2016.14.3.202
- Truelove SC, Richards WC. Biopsy studies in ulcerative colitis. Br Med J. 1956;1:1315-8. doi: 10.1136/bmj.1.4979.1315
- Geboes K, Riddell R, Ost A, et al. A reproducible grading scale for histological assessment of inflammation in ulcerative colitis. Gut. 2000;47:404-9. doi: 10.1136/gut.47.3.404
- Löwenberg M, Vermeire S, Mostafavi N, et al. Vedolizumab Induces Endoscopic and Histologic Remission in Patients With Crohn’s Disease. Gastroenterology. 2019;157(4):997-1006.e6. doi: 10.1053/j.gastro.2019.05.067
- Knyazev O, Kagramanova A, Kulakov D, et al. Combined therapy with adalimumab and mesenchymal stromal cells contributes to reduction in the degree of inflammation in ulcerative colitis. J Crohns Colitis. 2019;13(Suppl. 1):S350. doi: 10.1093/ecco-jcc/jjy222.600
- Knyazev O, Kagramanova A, Lishchinskaya A, et al. Combined therapy with mesenchymal stromal cells and vedolizumab contributes to deep remission in ulcerative colitis. United European Gastroenterol J. 2019;7(8S):628. doi: 10.1177/2050640619854663/journals.sagepub.com/home/ueg
- Князев О.В., Парфенов А.И. Клеточные технологии и биологическая терапия хронических воспалительных заболеваний кишечника. М.: Вита-ПРЕСС, 2020; с. 310 [Knyazev OV, Parfenov AI. Kletochnye tekhnologii i biologicheskaia terapiia khronicheskikh vospalitel’nykh zabolevanii kishechnika. Moscow: Vita-PRESS, 2020; p. 310 (in Russian)].
- Malvão LDR, Madi K, Esberard BC, et al. Fecal calprotectin as a noninvasive test to predict deep remission in patients with ulcerative colitis. Medicine (Baltimore). 2021;100(3):e24058. doi: 10.1097/MD.0000000000024058
- Щукина О.Б., Кондрашина Э.А., Харитидис А.М., и др. Оценка гистологических показателей у больных с клинической ремиссией язвенного колита. Acta Biomedica Scientifica. 2014;(6):39-43 [Shchukina OB, Kondrashina EA, Kharitidis AM, et al. Evaluation of histological parameters in patients with clinical remission of ulcerative colitis. Acta Biomedica Scientifica. 2014;(6):39-43 (in Russian)].
- Schroeder KW, Tremaine WJ, Ilstrup DM. Coated oral 5-aminosalicylic acid therapy for mildly to moderately active ulcerative colitis. A randomized study. N Engl J Med. 1987;317(26):1625-9. doi: 10.1056/NEJM198712243172603
- Bernardo ME, Fibbe WE. Mesenchymal stromal cells: sensors and switchers of inflammation. Cell Stem Cell. 2013;13(4):392-402. doi: 10.1016/j.stem.2013.09.006
- Terai S, Tsuchiya A. Status of and candidates for cell therapy in liver cirrhosis: overcoming the “point of no return” in advanced liver cirrhosis. J Gastroenterol. 2017;52(2):129-40. doi: 10.1007/s00535-016-1258-1
- Colombel JF, Rutgeerts P, Reinisch W, et al. Early mucosal healing with infliximab is associated with improved long-term clinical outcomes in ulcerative colitis. Gastroenterology. 2011;141:1194-201. doi: 10.1053/j.gastro.2011.06.054
- Patel A, Panchal H, Dubinsky MC. Fecal calprotectin levels predict histological healing in ulcerative colitis. Inflam Bowel Dis. 2017;23:1600-4. doi: 10.1097/MIB.0000000000001157
- Zittan E, Kelly OB, Kirsch R, et al. Low fecal calprotectin correlates with histological remission and mucosal healing in ulcerative colitis and colonic Crohn’s disease. Inflam Bowel Dis. 2016;22:623-30. doi: 10.1097/MIB.0000000000000652
- Bunn SK, Bisset WM, Main MJ, et al. Fecal calprotectin: validation as a noninvasive measure of bowel inflammation in childhood inflammatory bowel disease. J Pediatr Gastroenterol Nutr. 2001;33:14-22. doi: 10.1097/00005176-200107000-00003
Supplementary files






