Clinical case of mucormycosis in patient COVID-19. Case report
- Authors: Nurtdinova G.M.1, Suleymanov A.M.2, Bayazitov I.I.3, Khismatullina Z.R.1, Shamigulov F.B.4, Gumerov R.M.1,4, Agaidarova G.M.2, Zagidullin S.Z.1, Shchekin S.V.2, Shchekin V.S.2, Absalyamova D.F.4, Pavlov V.N.1, Zagidullin N.S.1
-
Affiliations:
- Bashkir State Medical University
- City Clinical Hospital №21
- City Clinical Hospital №13
- City Clinical Hospital Demsky district of Ufa
- Issue: Vol 94, No 11 (2022)
- Pages: 1320-1325
- Section: Case reports
- Submitted: 26.11.2021
- Published: 26.12.2022
- URL: https://ter-arkhiv.ru/0040-3660/article/view/89222
- DOI: https://doi.org/10.26442/00403660.2022.11.201942
- ID: 89222
Cite item
Full Text
Abstract
The COVID-19 epidemic is being revealed from a new angle every month. In particular, with the appearance of the delta strain, mucormycosis began to manifest in some patients, which had previously been extremely rare. Mucormycosis is a rare, aggressive infection caused by filamentous fungi of the Mucorales family and associated with high morbidity and mortality rates. The main risk factors for the mucormycosis in patients with COVID-19 are diabetes mellitus and diabetic ketoacidosis, uncontrolled hyperglycemia and massive use of glucocorticoids, vascular damage, thrombosis, lymphopenia, which often occur against the background of COVID-19 and make a person vulnerable to secondary or opportunistic fungal infection. We present a clinical case of mucormycosis in a 21-year-old female patient with COVID-19-associated severe pneumonia and concomitant type I diabetes mellitus. The patient was hospitalized and received standard therapy during inpatient treatment, including glucocorticosteroids in accordance with the severity of the course of COVID-19. On the 12th day from the hospitalization, the patient's condition deteriorated significantly, and the visible changes in the skin and soft tissues of the face, characteristic of mucormycosis appeared. Despite the drug therapy correction, the patient died because of the acute respiratory failure in combination with septic fungal damage of the brain stem.
Keywords
Full Text
Список сокращений
ГКС – глюкокортикостероиды
КТ – компьютерная томография
СД – сахарный диабет
СД 1 – сахарный диабет 1-го типа
Быстрое глобальное распространение коронавирусной болезни привело к объявлению COVID-19 пандемией 11 марта 2020 г. (Всемирная организация здравоохранения, 2020 г.). COVID-19 – это вирусное заболевание с поражением дыхательных путей, которое продолжает оставаться серьезной проблемой здравоохранения во всем мире. Заболевание проявляется общими симптомами, такими как лихорадка, сухой кашель, усталость и одышка, иногда в тяжелых случаях приводит к острому респираторному дистресс-синдрому [1]. С другой стороны, применение глюкокортикостероидов (ГКС) для уменьшения повреждения легких и снижения смертности у пациентов с COVID-19 может повысить риск развития условно-патогенных бактериальных и грибковых инфекций [2]. По мере того как во всех странах мира принимаются усилия по нормализации существующей ситуации с COVID-19, возникла угроза мукормикоза, ассоциированного с COVID-19 [3]. Мукормикоз – редкая агрессивная инфекция, вызываемая нитевидными грибами семейства Mucorales и ассоциирующаяся с высокими показателями заболеваемости и смертности. Наиболее частыми возбудителями мукормикоза являются Rhizopus spp., Lichtheimia spp., Apophysomyces spp., Rhizomucor spp. и др. [4, 5]. Пациенты с сахарным диабетом (СД), длительной нейтропенией и трансплантацией органов особенно подвержены риску развития мукормикоза [6, 7]. С начала пандемии COVID-19 регистрировались единичные случаи мукормикоза, в особенности в Индии [8, 9].
В данной статье нами представлен клинический случай риноцеребральной формы мукормикоза у больной COVID-19-ассоциированной пневмонией.
Клинический случай
Больная Ф., 21 год, поступила с жалобами на одышку в покое, сухой кашель, общую слабость, повышение температуры до 38,5°С. До поступления в стационар находилась на амбулаторном лечении по назначению врача – принимала умифеновир 200 мг 4 раза в сутки и парацетамол 500 мг 1–2 раза в день. В мазках со слизистой оболочки носоглотки методом полимеразной цепной реакции на 3-й день заболевания обнаружена РНК коронавируса ТОРС (SARS-CoV-2). Одышка в покое и гипертермия нарастали, и пациентка госпитализирована в стационар по линии скорой медицинской помощи. Объективный статус при поступлении: состояние средней степени тяжести, в сознании, температура тела 38,0°С, частота сердечных сокращений 79 уд/мин, артериальное давление 124/82 мм рт. ст., частота дыхания 22 в минуту. В анамнезе в течение 5 лет определялся СД 1-го типа (СД 1), и она принимала инсулин. В течение последнего года контроль гликемии являлся недостаточным.
В стационаре пациентка стала получать лечение в соответствии с тяжестью состояния и методическими рекомендациями Минздрава России: противовирусную (фавипиравир 1600 мг 2 раза в день внутрь в 1-й день и далее по 600 мг 2 раза в день во 2–10-й дни), противовоспалительную (парентеральные ГКС – дексаметазон 8 мг 2 раза в день в течение 14 дней), антикоагулянтную (Фраксипарин 0,4 мл 1 раз в день подкожно) и комбинированную антибактериальную терапию широкого спектра (цефтриаксон 1,0 г внутримышечно 2 раза в день №5, ванкомицин 1,0 г 2 раза в день внутривенно капельно, Метрогил 500 мг 3 раза в день внутривенно капельно, имипенем 1,0 г 3 раза в день) и кислород через носовую канюлю и далее посредством неинвазивной вентиляции легких в соответствии с тяжестью. По поводу СД больная продолжала инсулинотерапию по схеме 60–100 Ед/сут в зависимости от гликемии и в последующем в отделении реанимации 4 Ед/ч внутривенно через инфузомат.
В течение госпитализации отмечалась отрицательная динамика гематологических и биохимических показателей сыворотки крови: нарастал лейкоцитоз до 49,9×109/л, лимфопения с 20,07 до 2,43% и ускорение скорости оседания эритроцитов с максимальным показателем 22 мм/ч. Биохимические воспалительные показатели крови значительно увеличены: С-реактивный белок – до 505,1 мг/л, прокальцитонин – 1,2 нг/мл, D-димер – 4000 нг/мл. Также, несмотря на корректировку инсулинотерапии, гипергликемия возросла до 37,19 ммоль/л. Выявлены электролитные нарушения в сыворотке крови в виде гипокалиемии и гипонатриемии. Снижение рН и концентрация бикарбоната (НСО3) крови свидетельствовали о метаболическом ацидозе.
Визуализация:
1-й день в стационаре. Компьютерная томография (КТ) органов грудной клетки. Заключение: двусторонняя полисегментарная пневмония; поражения легочной ткани 42%.
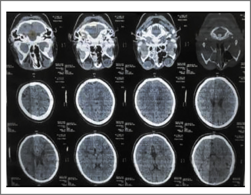
14-й день. КТ головного мозга с болюсным контрастированием. Заключение: отек мягких тканей парабульбарной клетчатки; левосторонний верхнечелюстной синусит; этмоидит; не исключается формирование отека головного мозга (рис. 1).
Рис. 1. КТ головного мозга пациентки Ф. с COVID-19 и мукормикозом: отек мягких тканей парабульбарной клетчатки; левосторонний верхнечелюстной синусит, этмоидит. / Fig. 1. Brain computed tomography scan of the patient F. with COVID-19 and mucormycosis. Edema of soft tissues of peribulbar space. Left-sided maxillary sinusitis, ethmoiditis.
15-й день. КТ органов грудной клетки. Заключение: двусторонняя полисегментарная вирусная пневмония; КТ-4; поражения легочной ткани 65%; левосторонний гидроторакс.
16-й день. КТ головного мозга. Заключение: отек мягких тканей парабульбарной клетчатки; левосторонний верхнечелюстной синусит, этмоидит; ультразвуковое исследование сосудов головного мозга с болюсным контрастированием. Заключение: аневризматические деформации, окклюзии, тромбоз синусов не определяется.
На 12-й день стационарного лечения у пациентки появились изменения на коже щеки слева в виде темного пятна диаметром 0,5 см, которое расценено как повреждение кожи кислородной маской. В течение следующих дней пятно увеличилось в диметре до 4–5 см. На 14-й день госпитализации отмечено ухудшение состояния – появился отек мягких тканей лица слева, снижение остроты зрения, потемнение цвета кожных покровов лица слева. При осмотре признаки отека века и птоз слева. При пальпации болезненности и напряжения мягких тканей нет, флуктуации нет. Экзофтальм 1,5 мм. Глазное дно: рефлекс ослабленный. Конфигурация лица изменена за счет незначительного отека мягких тканей слева. В подглазничной области слева визуализируется измененный участок кожи с четкими неровными контурами черного цвета (рис. 2, а).
Рис. 2. Конфигурация лица изменена за счет отека мягких тканей слева, в подглазничной области слева визуализируется измененный участок кожи с четкими неровными контурами черного цвета на 14 (a) и 16-й дни (b) от начала госпитализации пациентки Ф. / Fig. 2. The configuration of the face has been changed due to soft tissue edema on the left, in the subglacial region on the left, an altered area of skin with clear uneven black contours is visualized on days on 14th (a) and 16th (b) days from the hospitalization in patient F.
В связи с подозрением на тромбоз венозного кавернозного синуса/параорбитальную флегмону/мукормикоз проведена коррекция терапии и дополнительно назначен противогрибковый препарат Sol. Amphotericin В 50 000 Ед внутривенно капельно через день.
На 16-й день выполнена пункция и катетеризация левой верхнечелюстной пазухи, получено умеренное слизистое отделяемое. Установлен катетер в левой верхнечелюстной пазухе для дренирования пазухи.
Выставлен диагноз:
COVID-19, вирус идентифицирован; двусторонняя полисегментарная внебольничная пневмония тяжелой степени тяжести с поражением 65%; сепсис тяжелой степени тяжести.
Осложнения: дыхательная недостаточность 3-й степени; респираторный дистресс-синдром; сепсис; диссеминированная легочная эмболия; полиорганная недостаточность (почечная, печеночная, сердечно-сосудистая недостаточность).
Сопутствующие: риноцеребральная форма мукормикоза; отек мягких тканей парабульбарной клетчатки; левосторонний верхнечелюстной синусит, этмоидит; реактивный отек век слева; частичная атрофия зрительного нерва слева; диабетическая ретиноангиопатия; птоз верхнего века слева; левосторонний отечно-катаральный верхнечелюстной синусит; офтальмоплегия; вторичный менингоэнцефалит с правосторонним параличом III, IV, VI пар черепных нервов, тотальной офтальмоплегией слева, общемозговым синдромом; тромбоз кавернозного синуса; СД 1, инсулинзависимый, декомпенсация; диабетическая полинейропатия, нефропатия; кетоацидоз.
В связи с прогрессированием тяжести состояния больная на 17-й день переведена в отделение интенсивной терапии. Состояние тяжелое, с отрицательной динамикой. В оглушении. Температура 36,8°С. Наблюдаются отек века и птоз слева, конфигурация лица изменена за счет отека мягких тканей слева. В подглазничной области слева визуализируется измененный участок кожи с четкими неровными контурами черного цвета (рис. 2, b). Дыхание самостоятельное, частота дыхания 24–23 в минуту, SpO2 93–94% на фоне инсуфляции кислорода. Позднее – на 17-й день госпитализации – зарегистрирована клиническая, а после безуспешной реанимации – биологическая смерть.
Патологоанатомический диагноз:
Вирусная инфекция COVID-19: двусторонняя субтотальная геморрагическая пневмония.
Сопутствующие: СД 1.
Осложнения: оппортунистическое грибковое поражение слизистой гайморовых пазух и решетчатой кости слева, мягких тканей лица слева, параорбитальной клетчатки слева, трахеобронхиального дерева, легких, внутригрудных лимфатических узлов; тромбоз кавернозного синуса; сепсис, септикопиемия (септические очаги в сосудах головного мозга, ножки мозжечка с нарушением регионального кровоснабжения), межуточный миокардит, гепатит, нефрит, миелоз селезенки; острый респираторный дистресс-синдром, фаза II–III; отек легких; отек головного мозга; дистрофия и полнокровие паренхиматозных органов.
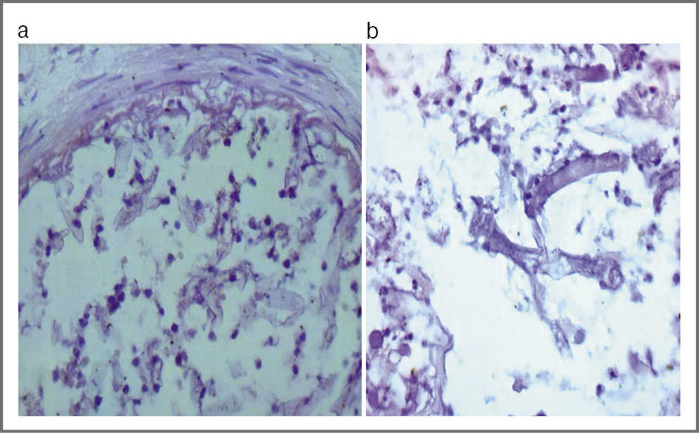
После проведения гистологического обследования (рис. 3, 4) определена риноцеребральная форма мукормикоза (Rhizopus spp.).
Рис. 3. Макроскопическое патологоанатомическое исследование: a – ткань легких. Отек и уплотнение ткани легкого с полнокровием, снижением воздушности, кровоизлияниями, как проявление экссудативной стадии диффузного альвеолярного поражения; b – оболочки головного мозга. Отмечается полнокровие мягких мозговых оболочек с мутным желтоватым экссудатом между борозд; с – мозговой ствол. Регистрируются мелкоточечные кровоизлияния в структуру продолговатого мозга с очаговым размягчением ткани; d – верхнечелюстная пазуха со стороны средней черепной ямки. В просвете пазухи визуализируются массы темного цвета. / Fig. 3. Macroscopic autopsy of the patient F. with COVID-19 and mucormycosis: a – lung tissue. Edema and compaction of lung tissue with plethora, decreased airiness, hemorrhages, as a manifestation of the exudative stage of diffuse alveolar damage; b – cerebral meninges. There is a plethora of the soft meninges with a cloudy yellowish exudate between the furrows; c – brain stem. Small-point hemorrhages in the structures of the medulla oblongata with focal softening of the tissue; d – maxillary sinus from the side of the middle cranial fossa. Dark masses are visualized in the base of the maxillary sinus.
Рис. 4: a – микроскопия сосудов мозговой оболочки с окраской гематоксилин-эозином (×400). В просвете сосуда видны форменные элементы крови и элементы мицелия грибов. Нити грибов располагаются как свободно в просвете сосуда, так и в состоянии фиксации к интиме сосуда; b – микроскопия верхнечелюстного синуса с окраской гематоксилин-эозином. Скопление мицелия грибов, который располагается в отечной строме с небольшой лимфоидной инфильтрацией. / Fig. 4: a – microscopy of the vessels of the meninges stained with hematoxylin-eosin (×400). In the lumen of the vessel, blood elements and fungi mycelium could be observed. The filaments of mushrooms are located both freely in the lumen of the vessel and fixed at the intima of the vessel; b – microscopy of the maxillary sinus. An accumulation of fungi mycelium, which is located in the edematous stroma with a some lymphoid infiltration.
Обсуждение
Мукормикоз, вызываемый группой плесневых грибов, называемых мукормицетами, является редкой, но потенциально смертельной инфекцией. Заболеваемость мукормикозом выросла более быстрыми темпами во время второй и последующих «волн» COVID-19 по сравнению с первой. Инфекция обычно возникает из околоносовых пазух с последующим разрушением костей и пенетрацией в орбиту, а также в головной мозг, вызывая риноорбитальные и/или носоглоточные инфекции [10].
Выделяют риноцеребральную, легочную, кожную, гастроинтестинальную и диссеминированную формы мукормикоза. При СД чаще всего (в 80% случаев) встречается риноцеребральный мукоромикоз [11]. Входными воротами для грибов является носоглотка. Инвазия гриба сопровождается повреждением носа и близлежащих тканей. Классический клинический признак мукормикоза – быстрое начало некроза тканей с повышением температуры тела. Характерные симптомы риноцеребрального мукормикоза: односторонний отек лица, головная боль и боль в области лица, заторможенность, которые развиваются на фоне выраженной декомпенсации СД с явлениями кетоацидоза [11]. Типичны также поражения черного цвета на коже переносицы или в верней части рта, которые быстро разрастаются, и появляются серозно-кровянистые выделения из носа. При осмотре видны кровянистые выделения из носа (см. рис. 2, а, b), характерные черные струпья на небе (проявление геморрагического некроза, обусловленного инвазией микроорганизмов в кровеносные сосуды, их окклюзией, развитием артериита). До внедрения комбинации радикальной хирургии и терапии амфотерицином В смертность превышала 90%, но и в настоящее время она остается достаточно высокой, достигая, по некоторым данным, 50–85% [12].
Одной из причин, почему пациенты, переболевшие и в процессе болезни COVID-19, становятся мишенью для грибов семейства Mucorales, является прием ГКС. Препараты этой группы активно применяют для лечения пациентов с тяжелым течением коронавирусной болезни. Стероиды эффективно устраняют тяжелое воспаление легких, но в то же время сопровождаются иммунодепрессивным эффектом. Длительная терапия ГКС нарушает функциональные способности бронхоальвеолярных макрофагов, в результате чего они не могут предотвратить прорастание спор после инфицирования. Адгезия и повреждение эндотелиальных клеток зигомицетами приводят к ангиоинвазии гриба, сосудистому тромбозу, последующему некрозу тканей и распространению грибковой инфекции. СД является еще одним из основных факторов риска развития мукормикоза [13]. По данным литературы, именно высокий уровень заболеваемости СД и стремительное распространение COVID-19 послужили главными факторами высокой частоты развития мукормикоза [14]. Основными триггерами развития мукормикоза после перенесенного COVID-19 являются: СД и диабетический кетоацидоз, неконтролируемая гипергликемия на фоне приема ГКС, низкий уровень pH крови (ацидоз), снижение фагоцитарной активности лейкоцитов на фоне приема стероидов, эндотелиит, тромбоз, лимфопения, которые часто возникают на фоне COVID-19 и делают пациента легко уязвимым к присоединению вторичной или условно-патогенной грибковой инфекции [15].
В представленном клиническом случае у больной Ф. имелись все предпосылки для присоединения и развития мукормикоза. Пациентка страдала СД 1 более 5 лет, при этом гликемия плохо контролировалась еще до начала COVID-19. В стационаре, несмотря на коррекцию дозы инсулина, снижения уровня глюкозы достичь не удалось на фоне введения больной больших доз ГКС по жизненным показаниям. При этом гипергликемия достигала своего пика на уровне 37,19 ммоль/л. На фоне отсутствия контроля СД отмечены явления полинейропатии, нефропатии и кетоацидоза. В первые 10 дней наблюдалась закономерная динамика COVID-19 c поражением легких до 42% и далее до 65%. Однако с 12-го дня состояние стало резко ухудшаться (повышение температуры до 38,5°C, нарастали одышка, слабость и снизилась сатурация). Во время стационарного лечения пациентка получала стандартную противоковидную терапию, включая парентеральное введение дексаметазона 16 мг в день. На 12-й день стационарного лечения появились видимые изменения со стороны кожного покрова и мягких тканей лица, характерные для мукормикоза: отек мягких тканей левой щеки и век левого глаза, птоз верхнего века слева, а также в подглазничной области слева – участок кожи с четкими неровными контурами черного цвета, который с каждым днем увеличивался в размерах. Диагноз определен лишь на 15-й день заболевания, и назначена противогрибковая терапия Sol. Amphotericin В. Однако состояние продолжало ухудшаться, и больная скончалась на 17-й день госпитализации.
Таким образом, в связи с прогрессирующим ростом COVID-19 у пациентов, имеющих факторы риска (СД, неконтролируемая гликемия, высокие дозы ГКС, гипоксия, тяжелое течение основного заболевания), возможно развитие оппортунистической инфекции, такой как мукормикоз. Уровень летальности при мукормикозе составляет 50–85%. В определенных случаях, прежде всего при диссеминированной патологии или поражении головного мозга на фоне декомпенсации СД, как в представленном случае, показатель летальности возрастает почти до 100%. Быстрое прогрессирование заболевания, низкая эффективность противогрибковых препаратов и отсутствие ранних эффективных методов диагностики в настоящее время способствуют высокой частоте летальных случаев. Рациональное применение ГКС у пациентов с тяжелой формой COVID-19 и факторами риска, а также скрининг и оптимальный контроль гипергликемии могут предотвратить мукормикоз.
Раскрытие интересов. Авторы декларируют отсутствие явных и потенциальных конфликтов интересов, связанных с публикацией настоящей статьи.
Disclosure of interest. The authors declare that they have no competing interests.
Вклад авторов. Авторы декларируют соответствие своего авторства международным критериям ICMJE. Г.М. Нуртдинова – написание и редактирование текста статьи; А.М. Сулейманов – лечащий врач, получение и анализ фактических данных; Я.И. Баязитов – анализ патологоанатомического исследования; З.Р. Хисматуллина – редактирование текста статьи, экспертный анализ; Ф.Б. Шамигулов – организация исследования; Р.М. Гумеров – лечащий врач, получение и анализ фактических данных; Г.М. Агайдарова – лечащий врач, получение и анализ фактических данных; Ш.З. Загидуллин – проверка и утверждение текста статьи; С.В. Щекин – анализ патологоанатомического исследования; В.С. Щекин – анализ патологоанатомического исследования; Д.Ф. Абсалямова – лечащий врач, получение и анализ фактических данных; В.Н. Павлов – организация исследования; Н.Ш. Загидуллин – разработка концепции статьи, написание и редактирование текста статьи.
Authors’ contribution. The authors declare the compliance of their authorship according to the international ICMJE criteria. G.M. Nurtdinova – writing, editing the manuscript; A.M. Suleymanov – the patient's investigation, treatment, analysis; Ia.I. Bayazitov – autopsy analysis; Z.R. Khismatullina – editing the text of the article, expert analysis; F.B. Shamigulov – organization of the study; R.M. Gumerov – the patient's investigation, treatment, analysis; G.M. Agaidarovа – the patient's investigation, treatment, analysis; Sh.Z. Zagidullin – grammatic editing; S.V. Shchekin – autopsy analysis; VS Shchekin – autopsy analysis; D.F. Absalyamova – the patient's investigation, treatment, analysis; V.N. Pavlov – organization of the study; N.Sh. Zagidullin – conception of the work, writing and editing of the manuscript.
Источник финансирования. Исследование выполнено за счет гранта Российского научного фонда №22-25-00019.
Funding source. The study was carried out at the expense of a grant from the Russian Scientific Fund 22-25-00019.
Информированное согласие на публикацию. Авторы получили письменное согласие законных представителей пациента на анализ и публикацию медицинских данных и фотографий.
Consent for publication. The authors obtained written consent from the patient's legal representatives to analyze and publish medical data and photographs.
About the authors
Guzel M. Nurtdinova
Bashkir State Medical University
Author for correspondence.
Email: guzel-doc@mail.ru
ORCID iD: 0000-0002-1662-821X
канд. мед. наук, доц. каф. пропедевтики внутренних болезней
Russian Federation, UfaAzat M. Suleymanov
City Clinical Hospital №21
Email: suleimanov_azat@mail.ru
ORCID iD: 0000-0002-9496-9618
канд. мед. наук, зав. отд-нием челюстно-лицевой хирургии
Russian Federation, UfaIan I. Bayazitov
City Clinical Hospital №13
Email: ianian1987@mail.ru
ORCID iD: 0000-0002-8319-2356
врач-патологоанатом патологоанатомического отд-ния
Russian Federation, UfaZarema R. Khismatullina
Bashkir State Medical University
Email: hzr07@mail.ru
ORCID iD: 0000-0001-8674-2803
д-р мед. наук, проф., зав. каф. дерматовенерологии с курсами дерматовенерологии и косметологии
Russian Federation, UfaFanil B. Shamigulov
City Clinical Hospital Demsky district of Ufa
Email: fb.shamigulov@ya.ru
ORCID iD: 0000-0001-6597-6950
д-р мед. наук, проф., глав. врач
Russian Federation, UfaRuslan M. Gumerov
Bashkir State Medical University; City Clinical Hospital Demsky district of Ufa
Email: rmgumerov@gmail.com
ORCID iD: 0000-0002-6110-0377
ассистент каф. пропедевтики внутренних болезней, зав. терапевтическим отд-нием
Russian Federation, Ufa; UfaGulmira M. Agaidarova
City Clinical Hospital №21
Email: gulmir.ag@mail.ru
ORCID iD: 0000-0003-3792-5210
челюстно-лицевой хирург отд-ния челюстно-лицевой хирургии
Russian Federation, UfaShamil Z. Zagidullin
Bashkir State Medical University
Email: zshamil@inbox.ru
ORCID iD: 0000-0002-7249-3364
д-р мед. наук, проф. каф. пропедевтики внутренних болезней
Russian Federation, UfaSergey V. Shchekin
City Clinical Hospital №21
Email: schekinsv@yandex.ru
ORCID iD: 0000-0001-8339-7135
зав. патологоанатомическим отд-нием
Russian Federation, UfaVlas S. Shchekin
City Clinical Hospital №21
Email: vlas-s@mail.ru
ORCID iD: 0000-0003-2202-7071
врач-патологоанатом патологоанатомического отд-ния
Russian Federation, UfaDina F. Absalyamova
City Clinical Hospital Demsky district of Ufa
Email: absdina@yandex.ru
ORCID iD: 0000-0001-6286-5307
канд. мед. наук, зав. отд-нием
Russian Federation, UfaValentin N. Pavlov
Bashkir State Medical University
Email: pavlov@bashgmu.ru
ORCID iD: 0000-0003-2125-4897
чл.-кор. РАН, д-р мед. наук, проф., ректор
Russian Federation, UfaNaufal Sh. Zagidullin
Bashkir State Medical University
Email: znaufal@mail.ru
ORCID iD: 0000-0003-2386-6707
д-р мед. наук, проф., зав. каф. пропедевтики внутренних болезней
Russian Federation, UfaReferences
- Gibson PG, Qin L, Puah S. COVID-19 acute respiratory distress syndrome (ARDS): clinical features and differences from typical pre-COVID-19 ARDS. Med J Aust. 2020;213(2):54-6. doi: 10.5694/mja2.50674
- Szarpak L, Wisco J, Boyer R. How healthcare must respond to ventilatorassociated pneumonia (VAP) in invasively mechanically ventilated COVID-19 patients. Am J Emerg Med. 2021;48:361-2. DOI:10.1016/j. ajem.2021.01.074
- Prakash H, Chakrabarti A. Global epidemiology of mucormycosis. J Fungi. 2019;5:26. doi: 10.3390/jof5010026
- Roden MM, Zaoutis TE, Buchanan WL, et al. Epidemiology and outcome of zygomycosis: A review of 929 reported cases. Clin Infect Dis. 2005;41(5):634-53. doi: 10.1086/432579
- Jeong W, Keighley C, Wolfe R, et al. The epidemiology and clinical manifestations of mucormycosis: a systematic review and metaanalysis of case reports. Clin Microbiol Infect. 2019;25:26-34. doi: 10.1016/j.cmi.2018.07.011
- Farmakiotis D, Kontoyiannis DP. Mucormycoses. Infect Dis Clin North Am. 2016;30:143-63. doi: 10.1016/j.idc.2015.10.011
- Cornely OA, Alastruey-Izquierdo A, Arenz D, et al. Global guideline for the diagnosis and management of mucormycosis: an initiative of the European Confederation of Medical Mycology in cooperation with the Mycoses Study Group Education and Research Consortium. Lancet Infect Dis. 2019;19:405-21. doi: 10.1016/S1473-3099(19)30312-3
- Mehta S, Pandey A. Rhino-orbital mucormycosis associated with COVID-19. Cureus. 2020;12(9):e10726. doi: 10.7759/cureus.10726
- Werthman-Ehrenreich A. Mucormycosis with orbital compartment syndrome in a patient with COVID-19. Am J Emerg Med. 2021;42:264.e5-8. doi: 10.1016/j.ajem.2020.09.032
- Skiada A, Pavleas I, Drogari-Apiranthitou M. Epidemiology and diagnosis of mucormycosis: an update. J Fungi. 2020;6(4):265. doi: 10.3390/jof6040265
- Ferguson BJ. Mucormycosis of the nose and paranasal sinuses. Otolaryngol Clin North Am. 2000;33(2):349-65. doi: 10.1016/s0030-6665(00)80010-9
- Challa S. Mucormycosis: Pathogenesis and pathology. Current Fungal Infection Reports. 2019;13(1):11-20. doi: 10.1007/s12281-019-0337-1
- Moorthy A, Gaikwad R, Krishna S, et al. SARS-CoV-2, uncontrolled diabetes and corticosteroids – an unholy trinity in invasive fungal infections of the maxillofacial region? A retrospective, multi-centric analysis. J Maxillofac Oral Surg. 2021;73:1-8. doi: 10.1007/s12663-021-01532-1
- Nehara HR, Puri I, Singhal V, et al. Rhinocerebral mucormycosis in COVID-19 patient with diabetes a deadly trio: case series from the north-western part of India. Indian J Med Microbiol. 2021;39(3):380-3. doi: 10.1016/j.ijmmb.2021.05.009
- Singh A, Singh R, Joshi S, Misra A. Mucormycosis in COVID-19: A systematic review of cases reported worldwide and in India. Diabetes Metab Syndr. 2021;15(4):102146. doi: 10.1016/j.dsx.2021.05.019
Supplementary files






