Aseptic nasal septal abscess in patients with ulcerative colitis: two case reports. Case report
- Authors: Polyakova I.N.1, Miroshnichenko A.P.2, Aleksandrova M.I.2, Stryuk R.I.1
-
Affiliations:
- Yevdokimov Moscow State University of Medicine and Dentistry
- Inozemtsev City Clinical Hospital
- Issue: Vol 94, No 7 (2022)
- Pages: 884-890
- Section: Case reports
- Submitted: 20.10.2021
- Published: 12.08.2022
- URL: https://ter-arkhiv.ru/0040-3660/article/view/83440
- DOI: https://doi.org/10.26442/00403660.2022.07.201736
- ID: 83440
Cite item
Full Text
Abstract
Ulcerative colitis (UC) may be associated with different extra-intestinal manifestations (EIM), which are often difficult to diagnose and treat, and may complicate the course of the disease. EIM are a multidisciplinary problem encountered by doctors of various specializations. However, many incidences of EIM in patients with UC remain unknown. The coexistence of UC and aseptic nasal abscess (ANA) is uncommon. Here, we describe two cases of ANA in young female patients with UC. ANA run in parallel with intestinal disease activity and led to necrosis of the septal cartilage. Moreover, pyoderma gangrenosum was described in one of them. Aseptic abscess syndrome should be kept in mind when a microbial factor is not identified, the diagnosis is not clear or a patient is not improving on appropriate antibacterial therapy. ANA can present as a rare complication of UC.
Full Text
Список сокращений
АА – асептический абсцесс
ВЗК – воспалительные заболевания кишечника
ВКП – внекишечные проявления
ГКС – глюкокортикостероиды
ГП – гангренозная пиодермия
КТ – компьютерная томография
MCH – содержание гемоглобина в эритроцитах
САА – синдром асептического абсцесса
СРБ – С-реактивный белок
ЯК – язвенный колит
Нb – гемоглобин
MCV – средний объем эритроцитов
РСТ – прокальцитонин
Введение
Абсцесс носовой перегородки – это ограниченная полость, заполненная гноем, которая располагается между хрящевой (чаще) или костной частью перегородки и их соединительнотканными оболочками – надхрящницей или надкостницей [1]. Это редкое, но опасное заболевание, которое может привести не только к косметической деформации носа, но и к потенциально опасным для жизни внутричерепным осложнениям (абсцесс головного мозга, менингит, тромбоз кавернозного синуса и др.) [2].
В большинстве случаев (75–85,7%) абсцесс формируется в результате нагноения посттравматической гематомы и основным патогеном является Staphylococcus aureus, иногда другие бактерии (Streptococcus pneumoniae, Streptococcus viridans, Staphylococcus epidermalis, Haemophilus influenzae, Klebsiella pneumonia) [1–3]. Реже абсцессы обусловлены иными причинами: синуситами, стоматологической патологией, фурункулами или рожистым воспалением носа, хирургическими вмешательствами на носовой перегородке [4], иммуносупрессивными состояниями на фоне злокачественных болезней крови [5, 6], ВИЧ-инфекции [7], сахарного диабета [8]. У иммунокомпрометированных больных гнойный процесс может быть вызван грибковой инфекцией [6]. Лечебная тактика при этом предполагает сочетание хирургического вмешательства и антимикробной терапии.
Гораздо менее известны и изучены стерильные асептические абсцессы (АА), которые впервые описаны M. Andre и соавт. в 1995 г. [9]. Мы наблюдали двух пациенток с АА носовой перегородки на фоне впервые диагностированного язвенного колита (ЯК). ЛОР-патология в обоих случаях доминировала в клинической картине и явилась причиной госпитализации. При анализе литературы в базе данных MEDLINE мы нашли лишь одно описание подобного случая [10]. Приводим наши клинические наблюдения.
Клинический случай 1
Пациентка 38 лет госпитализирована в ЛОР-отделение с диагнозом «Абсцесс перегородки носа. Состояние после вскрытия абсцесса перегородки носа от 07.11.2020». При поступлении предъявляла жалобы на боли в области носа, слабость, головную боль, повышение температуры тела до 39,5°С.
Анамнез заболевания: в 2018 г. впервые без видимых причин периодически стали появляться жидкий стул, иногда с небольшой примесью крови и слизи до 3–4 раз в сутки, вздутие живота. За медицинской помощью не обращалась. На фоне беременности (2019 г.) стул нормализовался, однако после родов диарея с примесью крови возобновилась, появились тенезмы. К врачу не обращалась, так как хотела продолжить грудное вскармливание. За 10 дней до настоящей госпитализации повысилась температура до 39,5°С, появилась боль в носу, обратилась в медицинский центр, где диагностирован и вскрыт абсцесс перегородки носа. Амбулаторно получала лечение цефтриаксоном, Кетановом и ацетилсалициловой кислотой без эффекта, в связи с чем госпитализирована.
Анамнез жизни: росла и развивалась нормально. Перенесенные заболевания: хронический геморрой; хроническая герпетическая инфекция, лабиальная форма (редкие обострения); октябрь 2020 г. – COVID-19 (аносмия, компьютерная томография – КТ-1, амбулаторное лечение – цефтриаксон 2 г/сут). Травму носа отрицает. Наследственность: у отца сахарный диабет. Аллергоанамнез: атопическая форма бронхиальной астмы (сенсибилизация к шерсти кролика). Акушерско-гинекологический анамнез: в течение 7 лет обследовалась по поводу бесплодия неясного генеза, не лечилась, забеременела самостоятельно и 6 мес назад через естественные родовые пути в срок родила здорового ребенка.
При поступлении: общее состояние средней тяжести. Сознание ясное. Рост 181 см. Масса тела 60 кг. Индекс массы тела 18,3 кг/м2. Кожные покровы и видимые слизистые чистые, обычного цвета и влажности. Периферические лимфоузлы не пальпируются. Со стороны органов дыхания и сердечно-сосудистой системы – без патологии. Частота сердечных сокращений – 78 уд/мин. Артериальное давление – 120/70 мм рт. ст. Язык чистый, влажный. Живот мягкий, безболезненный. Стул обычного цвета, кашицеобразный, с примесью крови и слизи до 6 раз в сутки.
Локальный статус: форма наружного носа не изменена. Область проекции околоносовых пазух визуально не изменена, безболезненна при пальпации и перкуссии. Слизистая носа гиперемирована, пастозна. Перегородка носа искривлена, в области перегородки имеются гиперемированный инфильтрат с признаками флуктуации, линейные incisio с установленными резиновыми дренажами, дренажи состоятельны. Выполнена тампонада полости носа.
В отделении проводилось лечение: левофлоксацин, ватные тампоны с мазью Левомеколь. На 2-е сутки от момента госпитализации появились боль и отечность в области левой стопы. В связи с нарастающими явлениями интоксикации проведена коррекция антибактериальной терапии (Меронем). Данные в пользу сепсиса не подтвердились. При колоноскопии выявлена картина субтотального ЯК, к лечению добавлен сульфасалазин. В дальнейшем отмечалось нарастание отека и болезненности при пальпации периартикулярных мягких тканей по тыльной поверхности левой стопы, с локальной гиперемией и гипертермией кожных покровов; диагностирована флегмона, и пациентка переведена в отделение гнойной хирургии для продолжения лечения.
Анализы крови: гемоглобин (Нb) – 99 г/л, эритроциты – 3,46×1012/л, гематокрит – 30,2%, MCV (средний объем эритроцитов) – 87 фл, MCH (содержание гемоглобина в эритроцитах) – 28,5 пг, тромбоциты – 576×109/л, лейкоциты – 8,3×109/л, нейтрофилы – 44,5%, лимфоциты – 39,7%, моноциты – 12,5%, эозинофилы – 2,2%, базофилы – 1,1%; С-реактивный белок (СРБ) – 199,51 (норма ≤5,00) мг/л, фибриноген – 6,1 (норма 2,76–4,71) г/л, D-димер – 1196 (норма 0–243) нг/мл, РСТ (прокальцитонин) – 0 (норма ≤0,5) нг/мл, общий белок – 66,6 (норма 57,0–82,0) г/л, ревматоидный фактор – 7,6 (норма ≤14,0) МЕ/мл. В динамике: СРБ – 257,05 мг/л, общий белок – 52,4 г/л, альбумин – 21,5 (норма 35,0–52,0) г/л. Спиральная КТ придаточных пазух носа: КТ-признаки пристеночного утолщения слизистой основной пазухи. Рентгенография левой стопы в одной проекции: костно-травматических и деструктивных изменений не выявлено; вальгусная деформация I пальца; деформирующий артроз 1-го плюснефалангового сустава. Эзофагогастродуоденоскопия: атрофический гастрит; хроническая эрозия препилорического отдела желудка. Колоноскопия: при визуальном осмотре перианальной области изменений не выявлено. В области ануса определяются внутренние геморроидальные узлы, умеренно напряженные, без признаков воспаления, венозный сосудистый рисунок отсутствует. Слизистая матовая, сосудистый рисунок смазан, местами не визуализируется, определяются полигональные продольные крипто-абсцессы. Аппарат проведен до средней трети восходящей ободочной кишки. В просвете осмотренных отделов ободочной кишки – обильное количество промывной жидкости бурого цвета с фрагментами сгустков измененной крови. В проекции средней трети восходящей ободочной кишки и от уровня нижней трети сигмовидной кишки до средней трети нисходящей ободочной кишки определяется сегментарное поражение толстой кишки с циркулярным изменением слизистой на протяжении. Форма просвета на пораженных участках не соответствует осмотренным отделам, расправляется при инсуфляции, складки на пораженных участках местами отсутствуют, создавая вид трубки, местами выраженно отечные, тонус кишки снижен. Перистальтика отсутствует. Слизистая отечна, инфильтрирована, имеет цвет различных оттенков красного и бурого, поверхность шероховатая, покрыта слизью, сосудистый рисунок не дифференцируется. В нижней трети нисходящей ободочной и сигмовидной кишки и видимой части восходящей ободочной кишки определяются множественные обширные изъязвления неправильной формы, площадь эрозированной поверхности увеличена за счет сливных язв и эрозий неправильной формы, напоминает «географическую карту» с вкраплениями «глыбок» грануляционной ткани и псевдополипов неправильной формы, размером 3–9 мм. Выполнена биопсия. Отмечается умеренная контактная кровоточивость. Заключение: субтотальный ЯК 3-й степени, выраженная степень активности (по D. Rachmilewitz); состоявшееся кишечное кровотечение; хронический внутренний геморрой вне обострения. При морфологическом исследовании биоптатов выявлены язвенные дефекты слизистой оболочки толстой кишки до мышечного слоя, смешанно-клеточная воспалительная инфильтрация (рис. 1, 2). При посеве содержимого абсцесса носовой перегородки и раневого отделяемого из области флегмоны левой стопы роста микрофлоры не получено. Посев крови из вены: проба стерильна.
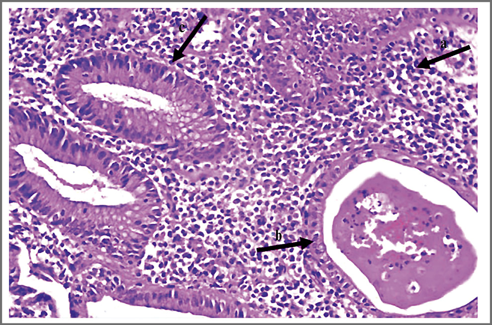
Рис. 1. Фрагмент слизистой оболочки толстой кишки с очаговым некрозом поверхностного эпителия. Покровный эпителий частично представлен незрелыми регенерирующими эпителиоцитами, лишенными муцина (a). Плотный инфильтрат, состоящий из лимфоцитов и плазматических клеток, нейтрофильных лейкоцитов в пределах слизистой оболочки (b) и поверхностных отделах подслизистого слоя; наличие небольших эрозий меду криптами (c). Железы с кистозным расширением (d) и наличием в просвете гомогенного содержимого с примесью лейкоцитов; формирование крипт-абсцессов. Окраска гематоксилином и эозином ×200.
Рис. 2. Фрагмент слизистой оболочки толстой кишки при большом увеличении, с выраженной полиморфноклеточной воспалительной инфильтрацией (a), отеком, железы толстой кишки с частичным нарушением архитектоники, некоторые из них с кистозным расширением, наличием в просвете гомогенного содержимого с примесью лейкоцитов (b), уменьшение числа бокаловидных клеток (c). Окраска гематоксилином и эозином ×400.
В отделении гнойной хирургии помимо перечисленной симптоматики выявлено болезненное уплотнение в нижней трети левого предплечья размером 2×3 см без гиперемии кожи с четкими контурами (флуктуация?); при ультразвуковом исследовании мягких тканей этой области получены признаки жидкостного образования с неоднородным густым содержимым. Ультразвуковое исследование селезенки: изменения структуры селезенки с наличием в ней небольших Эхо-негативных участков (скопления жидкости? септические очаги?). КТ с внутривенным контрастированием: гиподенсивные образования в селезенке (наиболее вероятно – кисты), субкапсулярно – небольшие отграниченные скопления с неоднородным содержимым. В анализах крови сохранялись анемия (Нb 72–82 г/л) и воспалительные сдвиги: лейкоциты – 11,3×109/л, СРБ – 306,9 г/л. Уровень РСТ оставался в норме: 0,19–0,15 нг/мл. Повторные посевы крови и раневого отделяемого роста микрофлоры не выявили. В отделении продолжались антибактериальная терапия (линезолид, меропенем), местная обработка послеоперационной раны. Однако состояние больной ухудшалось за счет прогрессирования диареи, нарастания общей слабости. В анализе кала в динамике обнаружены антигены токсинов А и В Clostridium difficile; назначен ванкомицин per os. С учетом ведущей симптоматики пациентка проконсультирована колопроктологом, диагностирована сверхтяжелая атака ЯК, рекомендована системная гормональная терапия (преднизолон 120 мг/сут). На 3-и сутки от начала приема глюкокортикостероидов (ГКС) отмечено клинико-лабораторное улучшение: уменьшение общей слабости, появление аппетита, уменьшение кратности стула до 2–3 раз в сутки, нормализация уровня лейкоцитов, снижение СРБ до 37,9 г/л. Для дальнейшего лечения пациентка переведена в специализированный стационар, где сформулирован окончательный диагноз: ЯК, тотальное поражение, острое течение, тяжелая атака. Внекишечные проявления (ВКП): гангренозная пиодермия – ГП нижних конечностей. Продолжалась системная и местная ГКС-терапия (парентерально, per os, микроклизмы). Ретроспективный анализ данных обследования показал, что уже через неделю от начала приема стероидов очаги в селезенке, а также инфильтрат в нижней трети левого предплечья полностью регрессировали. Однако активность колита сохранялась, и в качестве альтернативы хирургическому лечению начата терапия препаратом тофацитиниб 20 мг/сут (тофацитиниб, торговое название в Российской Федерации – Яквинус – селективный иммунодепрессант, селективный ингибитор семейства янус-киназ, обладающий также высокой активностью в отношении других киназ генома человека, что приводит к модулированию иммунного ответа и выраженному противовоспалительному эффекту. Основное показание – ревматоидный артрит). Через 2 мес от начала комбинированной противовоспалительной терапии (преднизолон, тофацитиниб, месалазин) достигнута ремиссия ЯК. Выписана с рекомендациями продолжить прием Метипреда 40 мг/сут с постепенным снижением вплоть до полной отмены, тофацитиниба 20 мг/сут со снижением до 10 мг/сут (постоянно), месалазина 4 г/сут (в течение года). В течение 3 мес после выписки из стационара сохраняется ремиссия. Установлена III общая группа инвалидности.
Клинический случай 2
Пациентка, 19 лет, поступила в стационар с диагнозом «Острый гайморит». Жалобы при поступлении на затрудненное носовое дыхание, выделения из носа, боль в области переносицы, повышение температуры тела до 38,2°С, частый жидкий стул, общую слабость, головокружение.
По данным анамнеза, считает себя больной около 2 нед, когда появились жидкий стул с примесью крови до 6 раз в сутки, боли в животе (перед дефекацией), повышение температуры тела 38,7°С. Одновременно возникли заложенность носа и ринорея с прозрачным отделяемым. В течение недели по назначению участкового терапевта принимала Смекту, Энтерофурил, Полисорб, Ингавирин, Супрастин, Терафлю без эффекта. В связи с сохраняющейся диареей госпитализирована в инфекционную больницу с диагнозом: кишечная инфекция неясной этиологии, синусит. Данные в пользу КИНЭ не подтвердились, и с диагнозом «Острый гайморит» переведена в ЛОР-отделение нашей клиники.
Анамнез жизни: в 10-летнем возрасте перенесла пневмонию. Травму носа отрицает. Наследственность: у отца – язвенная болезнь желудка, у брата – атопическая форма бронхиальной астмы. Аллергоанамнез не отягощен, непереносимость лекарственных препаратов отрицает. Гинекологический анамнез: менструации с 14 лет, цикл нерегулярный. В возрасте 17 лет диагностировано преждевременное истощение яичников, вторичная дисменорея, назначена гормональная терапия (Дюфастон, Дивигель) с восстановлением цикла.
При поступлении: общее состояние – средней тяжести. Сознание ясное. Температура тела 37,6°С. Рост 148 см. Масса тела 48 кг. Индекс массы тела 21,9 кг/м2. Кожные покровы бледные, обычной влажности, высыпаний нет. Со стороны органов дыхания и сердечно-сосудистой системы без патологии. Частота сердечных сокращений – 76 уд/мин. Артериальное давление – 110/70 мм рт. ст. Язык чистый, влажный. Живот мягкий, безболезненный. Стул жидкий с примесью крови до 4 раз в сутки.
Локальный статус: форма наружного носа не изменена. Область проекции околоносовых пазух визуально не изменена, безболезненна при пальпации и перкуссии. Слизистая носа гиперемирована, пастозна, слизистое отделяемое в носовых ходах. В области перегородки носа с 2 сторон имеется гиперемированный инфильтрат с признаками флуктуации (рис. 3). Носовое дыхание резко затруднено. Полость носа не обозрима.
Рис. 3. Абсцесс перегородки носа.
С целью санации гнойного очага произведено вскрытие абсцесса перегородки носа, получено гнойное отделяемое 4 мл, установлен резиновый дренаж, тампонада носа с 2 сторон турундой с мазью Левомеколь. Проводилась антибактериальная терапия (цефотаксим + метронидазол).
С учетом сохраняющейся диареи с диагностической целью выполнена колоноскопия с биопсией слизистой оболочки, диагностирован ЯК, к лечению добавлен сульфасалазин.
Анализы крови: Нb – 108 г/л, эритроциты – 4,21×1012/л, гематокрит – 33,3%, MCV – 79 фл, MCH – 25,7 пг, тромбоциты – 478×109/л, лейкоциты – 15,1×109/л, нейтрофилы – 75,7%, лимфоциты – 10,6%, моноциты – 11,9%, эозинофилы – 1,0%, базофилы – 0,8%; СРБ – 172,83 мг/л, фибриноген – 7,56 г/л, РСТ – 0,5 нг/мл, общий белок – 43,1 г/л. Посев содержимого абсцесса носовой перегородки: рост Staphylococcuc epidermidis в низком титре (по-видимому, контаминация материала при заборе пробы). Рентгенография придаточных пазух носа: лобные/гайморовы пазухи носа прозрачны. Видеоколоноскопия: слизистая оболочка в доступных осмотру отделах гиперемирована, отечна, с зернистой поверхностью, множественными эрозиями, покрытыми фибрином, вязкой слизью. Отмечается контактная кровоточивость. Выполнена биопсия. Заключение: эндоскопическая картина ЯК средней степени активности. Гистологическое заключение (рис. 4, 5): фрагменты слизистой оболочки толстой кишки с очаговым некрозом поверхностного эпителия и инфильтрацией соединительнотканной стромы до собственной пластинки лимфоцитами, плазматическими клетками в умеренном количестве, местами с участками формирования небольших лимфоидных фолликулов.
Рис. 4. Фрагмент слизистой оболочки толстой кишки с очаговым некрозом поверхностного эпителия (a). Край язвенного дефекта. Воспалительный инфильтрат проникает через мышечную пластинку в подслизистый слой, с участками формирования лимфоидных фолликулов без светлых центров (b). Формирование воспалительного полипа (c). Окраска гематоксилином и эозином ×200.
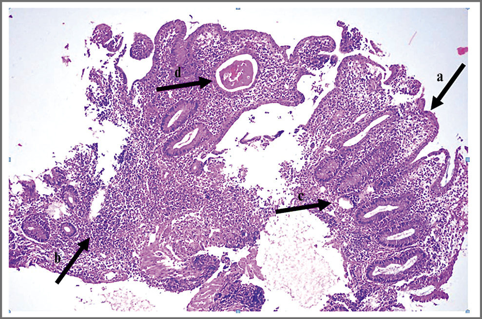
Рис. 5. Фрагмент слизистой оболочки толстой кишки с очаговым некрозом поверхностного эпителия. Покровный эпителий частично представлен незрелыми регенерирующими эпителиоцитами, лишенными муцина (a). Плотный инфильтрат, состоящий из лимфоцитов и плазматических клеток, нейтрофильных лейкоцитов в пределах слизистой оболочки (b) и поверхностных отделах подслизистого слоя; наличие небольших эрозий меду криптами (c). Железы с кистозным расширением (d) и наличием в просвете гомогенного содержимого с примесью лейкоцитов; формирование крипт-абсцессов. Окраска гематоксилином и эозином ×200.
На фоне проводимой терапии состояние больной улучшилось, и она выписана под наблюдение специалистов по месту жительства. Через 3 мес – повторная госпитализация в связи с рецидивом ЯК; выявлено тотальное поражение толстой кишки, тяжелая атака. Начаты системная терапия ГКС (преднизолон), коррекция водно-электролитных нарушений, переливание свежезамороженной плазмы, альбумина. На фоне лечения состояние стабилизировалось, выписана под наблюдение гастроэнтеролога по месту жительства с рекомендациями продолжить прием преднизолона 50 мг/сут (с постепенной полной отменой), Салофалька (таблетки, ректальные свечи).
Обсуждение
Главной особенностью представленных клинических наблюдений является необычное сочетание ЯК с абсцессом носовой перегородки. В обоих случаях гнойный процесс носил асептический характер, развился на фоне активной стадии ЯК и привел к перфорации septum nasi.
Синдром АА (САА) впервые описан M. Andre и соавт. в 1995 г. [9]: у 25-летнего пациента с неосложненным анамнезом выявлены абсцессы в селезенке, сопровождавшиеся болями в животе, похудением, лихорадкой и лейкоцитозом. В последующем отмечалось появление подобных очагов в других органах (печень, мезентериальные лимфоузлы, поджелудочная железа, легкие, головной мозг). При морфологическом исследовании содержимого абсцессов выявили нейтрофильный лейкоцитоз со скоплением гистиоцитов по границе абсцессов, при посеве гноя роста микрофлоры не получено. В крови отмечался высокий уровень интерлейкина-6. Эмпирическая терапия антибиотиками оказалась неэффективной, временное улучшение наступило после спленэктомии и последующего назначения высоких доз преднизолона. Через 3 года от начала заболевания у пациента манифестировала болезнь Крона.
Насколько нам известно, в литературе описано всего 64 случая САА, включая единственное сообщение об АА носовой перегородки у 34-летней пациентки с длительным течением ЯК [9]: развитие абсцесса у данной больной так же, как и в наших наблюдениях, произошло на фоне обострения кишечного процесса, посевы отделяемого из абсцесса роста микрофлоры не дали, антибактериальная терапия оказалась неэффективной, стабилизация состояния как со стороны ЛОР-органов, так и кишечника достигнута через 7 дней от начала лечения преднизолоном в дозировке 1 мг/кг в день.
В настоящее время САА рассматривается как редкое воспалительное заболевание неизвестной этиологии. Патогенез также не изучен, основное значение уделяется аутоиммунным нарушениям с активацией нейтрофилов, которым отводится основная роль в образовании гнойников, а также генетической предрасположенности [11, 12]. Отмечена взаимосвязь между САА и воспалительными заболеваниями кишечника (ВЗК), рецидивирующим полихондритом и нейтрофильными дерматозами (ГП, синдром Свита), хотя описан и идиопатический вариант заболевания [11].
САА, как правило, возникает у молодых пациентов (в возрасте около 30 лет) без гендерных различий, чаще наблюдается интраабдоминальная локализация гнойных очагов с поражением селезенки, печени, внутрибрюшных лимфоузлов, поджелудочной железы. Значительно реже АА имеют экстраабдоминальную локализацию: легкие, головной мозг, кожа, мышцы, глотка, яички, периферические лимфоузлы [9, 13–15].
Патогномоничных критериев САА не установлено. Диагноз основывается на клинических проявлениях (лихорадка, боли, похудение), данных лучевой диагностики, воспалительных сдвигах в анализах крови и гистологической картине нейтрофильного воспаления, при исключении альтернативных заболеваний, прежде всего инфекционной природы [16].
В связи с асептическим характером данный процесс не поддается лечению антибактериальными препаратами, но быстро регрессирует при назначении системных ГКС.
Учитывая частую ассоциацию АА с ВЗК, они внесены в перечень ВКП, сформулированных в материалах Первого европейского консенсуса по ВКП [17]. В отечественных рекомендациях ассоциаций гастроэнтерологов и колопроктологов по ВЗК упоминание об этой патологии отсутствует [18, 19].
Возвращаясь к нашим наблюдениям, следует отметить, что в первом случае помимо абсцесса носовой перегородки выявлены очаги в селезенке и нижней трети правого предплечья, подозрительные на абсцессы. Учитывая, что эти проявления полностью регрессировали на фоне ГКС-терапии, можно предположить, что они также являлись признаками САА. Кроме того, у этой же больной диагностировано известное ВКП ВЗК – ГП, первоначально ошибочно расцененная как флегмона. ГП – это редкое воспалительное заболевание кожи из группы нейтрофильных дерматозов, этиопатогенез которого не изучен. Несмотря на название, ГП не является инфекционным процессом, а, как правило, связана с различными формами аутоиммунной патологии, особенно часто с ВЗК и ревматоидным артритом. Для лечения применяют ГКС и/или циклоспорин, описана эффективность некоторых биологических препаратов (в частности, антител к фактору некроза опухоли α) [20, 21].
Заключение
На практике диагностика АА вызывает затруднения: результаты микробиологического исследования недооцениваются, назначается неэффективная антибактериальная терапия, что приводит к прогрессированию заболевания, нежелательным побочным реакциям и неоправданным экономическим затратам. Наши наблюдения подтверждают возможность развития стерильных абсцессов перегородки носа и демонстрируют ассоциацию последних с активной стадией ЯК и ГП. Мы считаем, что представленные данные следует учитывать при дифференциальной диагностике у пациентов с нетипичным для абсцесса носовой перегородки анамнезом, отсутствием ожидаемого ответа на стандартную антибактериальную терапию, особенно при наличии ВЗК.
Раскрытие интересов. Авторы декларируют отсутствие явных и потенциальных конфликтов интересов, связанных с публикацией настоящей статьи.
Disclosure of interest. The authors declare that they have no competing interests.
Вклад авторов. Авторы декларируют соответствие своего авторства международным критериям ICMJE. Все авторы в равной степени участвовали в подготовке публикации: разработка концепции статьи, получение и анализ фактических данных, написание и редактирование текста статьи, проверка и утверждение текста статьи.
Authors’ contribution. The authors declare the compliance of their authorship according to the international ICMJE criteria. All authors made a substantial contribution to the conception of the work, acquisition, analysis, interpretation of data for the work, drafting and revising the work, final approval of the version to be published and agree to be accountable for all aspects of the work.
Источник финансирования. Авторы декларируют отсутствие внешнего финансирования для проведения исследования и публикации статьи.
Funding source. The authors declare that there is no external funding for the exploration and analysis work.
Информированное согласие на публикацию. Пациенты подписали форму добровольного информированного согласия на публикацию медицинской информации.
Consent for publication. Written consent was obtained from the patients for publication of relevant medical information and all of accompanying images within the manuscript.
About the authors
Irina N. Polyakova
Yevdokimov Moscow State University of Medicine and Dentistry
Author for correspondence.
Email: medtrud.irina@mail.ru
ORCID iD: 0000-0002-1941-425X
канд. мед. наук, доц. каф. внутренних болезней стоматологического фак-та
Russian Federation, MoscowAndrei P. Miroshnichenko
Inozemtsev City Clinical Hospital
Email: medtrud.irina@mail.ru
ORCID iD: 0000-0001-5571-3241
канд. мед. наук, зав. отд-нием оториноларингологии
Russian Federation, MoscowMariia I. Aleksandrova
Inozemtsev City Clinical Hospital
Email: medtrud.irina@mail.ru
врач-патологоанатом
Russian Federation, MoscowRaisa I. Stryuk
Yevdokimov Moscow State University of Medicine and Dentistry
Email: medtrud.irina@mail.ru
ORCID iD: 0000-0002-2848-046X
д-р мед. наук, проф., зав. каф. внутренних болезней стоматологического фак-та
Russian Federation, MoscowReferences
- Jalaludin MA. Nasal septal abscess–retrospective analysis of 14 cases from University Hospital, Kuala Lumpur, 1993.
- Ambrus PS, Peter SE, Roland D, et al. Management of nasal septal abscess. Laryngoscope. 1981;4(91):575-82. doi: 10.1288/00005537-198104000-00010
- Cheng LH, Wu PC, Shih CP, et al. Nasal septal abscess: a 10-year retrospective study. Eur Arch Otorhinolaryngol. 2019;276(2):417-20. doi: 10.1007/s00405-018-5212-0
- Cain J, Roy S. Nasal septal abscess. Ear Nose Throat J. 2011;4(90):144-7. doi: 10.1177/014556131109000403
- Hong CX, Husain S, Hamizan AKW, et. al. Recurrent nasal septal hematoma and abscess: A rare manifestation of leukemia. Clin Med Res. 2021;1(19):35-8. doi: 10.3121/cmr.2020.1552
- Debnam JM, Gillenwater AM, Ginsberg LE. Nasal septal abscess in patients with immunosuppression. Am J Neuroradiol. 2007;10(28):1878-9. doi: 10.3174/ajnr.A0708
- Henry K, Sullivan C, Crossley K. Nasal Septal Abscess Due to Staphylococcus aureus in a Patient with AIDS. Clin Infect Dis. 1988;2(10):428-30. doi: 10.1093/clinids/10.2.428
- Dinesh R, Avatar S, Haron A, et al. Nasal septal abscess with uncontrolled diabetes mellitus: Case reports. Med J Malaysia. 2011;3(66):253-4
- Andre M, Aumaitre O, Marcheix JC, et al. Aseptic systemic abscesses preceding diagnosis of Crohn’s disease by three years. Dig Dis Sci. 1995;40(3):525-7. doi: 10.1007/BF02064360
- Yilmaz B, Yüksel O, Çoban Ş, et al. Rare complication of ulcerative colitis: Aseptic nasal septal abscess. Inflamm Bowel Dis. 201;17:7. doi: 10.1002/ibd.21732
- André M, Aumaître O. Le syndrome des abcès aseptiques. Rev Med Interne. 2011;32(11):678-88. doi: 10.1016/j.revmed.2011.02.001
- Marzano AV, Ortega-Loayza AG, Ceccherini I, et al. LPIN2 gene mutation in a patient with overlapping neutrophilic disease (pyoderma gangrenosum and aseptic abscess syndrome). JAAD Case Rep. 2018;4(2):120-2. doi: 10.1016/j.jdcr.2017.08.020
- André MFJ, Piette JC, Kémény JL, et al. Aseptic abscesses: A study of 30 patients with or without inflammatory bowel disease and review of the literature. Medicine. 2007;86(3):145-61. doi: 10.1097/md.0b013e18064f9f3
- Agirgol S,Ustaoglu E, Demir FT, et al. Aseptic Abscess Syndrome with Severe Skin Involvement: Case Report. Indian J Dermatol. 2020;65(5):434-6. doi: 10.4103/ijd.IJD_259_18
- Kukimoto N, Honda N, Yokogawa N, et al. Sterile subconjunctival abscess in an HLA-B51-positive patient with ulcerative colitis. Am J Ophthalmol Case Rep. 2021;22:101033. doi: 10.1016/j.ajoc.2021.101033
- Fillman H, Riquelme P, Sullivan PD, et al. Aseptic abscess syndrome. BMJ Case Rep. 2020;13(10):e236437. doi: 10.1136/bcr-2020-236437
- Harbord M, Annese V, Vavricka SR, et al. The first european evidence-based consensus on extra-intestinal manifestations in inflammatory bowel disease. J Crohn’s Colitis. 2016;10(3):239-54. doi: 10.1093/ecco-jcc/jjv213
- Ивашкин В.Т., Шелыгин Ю.А., Абдулганиева Д.И., и др. Рекомендации Российской гастроэнтерологической ассоциации и Ассоциации колопроктологов России по диагностике и лечению взрослых больных язвенным колитом. Российский журнал гастроэнтерологии, гепатологии, колопроктологии. 2015;1:48-65 [Ivashkin VT, Shelygin YA, Abdulganiyeva DI, et al. Guidelines of the Russian gastroenterological association and Russian Association of Coloproctology on diagnostics and treatment of ulcerative colitis in adults. Rossiiskii zhurnal gastroenterologii, gepatologii, koloproktologii. 2015;1:48-65 (in Russian)].
- Ивашкин В.Т., Шелыгин Ю.А., Белоусова Е.А., и др. Проект клинических рекомендаций по диагностике и лечению язвенного колита. Колопроктология. Российская ассоциация колопроктологов. 2019;18(4):7-36 [Ivashkin VT, Shelygin YA,Belousova EA, et al. Project: Clinical guidelines for the diagnostics and treatment of ulcerative colitis. Koloproktologia. Russian Association of Coloproctology. 2019;18(4):7-36 (in Russian)]. doi: 10.33878/2073-7556-2019-18-4-7-36
- Fletcher J, Alhusayen R, Alavi A. Recent advances in managing and understanding pyoderma gangrenosum. F1000Research. 2019;8:2092. doi: 10.12688/f1000research.19909.1
- Maverakis E, Marzano A, Le S, et al. Pyoderma gangrenosum. Nat Rev Dis Prim. 2020;6(1):1-19. doi: 10.1038/s41572-020-0213-x
Supplementary files








