Breathing freely is possible! How to help patients with bronchial asthma and polyposis rhinosinusitis?
- Issue: Vol 93, No 8 (2021)
- Pages: 991-998
- Section: Conference proceedings
- Submitted: 04.09.2021
- Accepted: 04.09.2021
- Published: 15.08.2021
- URL: https://ter-arkhiv.ru/0040-3660/article/view/79599
- DOI: https://doi.org/10.26442/00403660.2021.08.201050
- ID: 79599
Cite item
Full Text
Abstract
On June 23–25, under the auspices of the Year of Science and Technology in Russia, the 17th International Interdisciplinary Congress of Allergology and Rhinosinusitis was held in Moscow. The 17th International Interdisciplinary Congress of Allergology and Immunology, where the results of current research, approaches to therapy and prevention of diseases based on modern clinical guidelines were presented. The event included a symposium "Breathe freely – it is possible! How to help patients with bronchial asthma and polyposis rhinosinusitis?" with the participation of leading Russian specialists.
Full Text
«GINA 2021: что важно знать практикующему врачу»
Авдеев Сергей Николаевич – член-корреспондент РАН, доктор медицинских наук, профессор, заведующий кафедрой пульмонологии, главный внештатный специалист-пульмонолог Минздрава России
ФГАОУ ВО «Первый МГМУ им. И.М. Сеченова» (Сеченовский Университет)
В 2021 г. Глобальной инициативой по борьбе с астмой (GINA) опубликованы полное [1] и карманное [2] руководства, содержащие обновленные данные по лечению и профилактике одного из самых распространенных заболеваний органов дыхания. Среди изменений, по мнению д-ра мед. наук, профессор С.Н. Авдеева, ключевыми являются:
- временные рекомендации по ведению пациентов с астмой в условиях пандемии COVID-19;
- предложение об исключении различий по лечению интермиттирующей и персистирующей легкой астмы;
- уточнение определения тяжелой астмы;
- новые понятия «трек/путь лечения» – для пациентов 12 лет и старше, уже получающих лечение. В основе 2 вариантов (предпочтительный и альтернативный) лежит выбор скоропомощного препарата.
Детально С.Н. Авдеев рассмотрел вопросы, касающиеся дефиниции, диагностики и лечения тяжелой бронхиальной астмы (БА). При ее определении более не используется привязка к ступеням GINA. Тяжелая БА – астма, которая не контролируется, несмотря на лечение высокими дозами ингаляционных кортикостероидов (ИКС) – в комбинации с длительно действующими β2-агонистами (ИКС-ДДБА), или требует лечения высокими дозами ИКС-ДДБА для сохранения контроля.
Критерии выявления тяжелой БА:
- частое использование пероральных глюкокортикостероидов (ПГКС): два и более обострения в год, требующие применения пероральных кортикостероидов;
- нарушение функции легких;
- серьезные обострения (одно и более обострения, требующие госпитализации);
- недостаточный контроль симптомов.
При выявлении любого из 4 перечисленных критериев у пациента подтверждают тяжелую БА, несмотря на лечение [1]. В современных рекомендациях (GINA 2021, EPOS 2020 и других научных публикациях) отражено положение о ключевой роли Т2-воспаления в ряде заболеваний, таких как БА, эозинофильный эзофагит, атопический дерматит, хроническая обструктивная болезнь легких с признаками Т2-воспаления, хронический полипозный риносинусит (ХПРС), аллергический ринит, аспирин-индуцированное респираторное заболевание, пищевая аллергия. У пациента они могут встречаться как изолированно, так и сопутствовать друг другу [3–5].
В качестве биомаркеров Т2-воспаления при БА установлены повышенные уровни эозинофилов (ЭОЗ), фракции оксида азота в выдыхаемом воздухе (FeNO) и общего/специфического иммуноглобулина (Ig) E [1].
Ни один из них по отдельности не может охватить весь спектр проявлений Т2-воспаления при БА [6]:
ЭОЗ [6, 7] – созревание и дифференцировка, управляемые интерлейкином (ИЛ)-5; миграция в дыхательные пути, управляемая в основном ИЛ-4 и ИЛ-13; вовлечены в поддержание длительного процесса воспаления; ассоциированы с обструкцией дыхательных путей; индикатор восприимчивости к кортикостероидам;
IgE [3, 7] – секреция IgE B-клетками, индуцированная ИЛ-4 и ИЛ-13; связь с аллергией;
FeNO [6, 8] – индикатор управляемого ИЛ-13 воспаления; продукция, индуцированная ИЛ-4 и ИЛ-13; позволяет прогнозировать ответ на стероидную терапию и оптимизировать дозу ИКС, а также оценить приверженность пациента лечению ИКС.
Оценка FeNO помогает в некоторых аспектах ведения пациентов с БА (прогноз ответа на стероидную терапию, оптимизация дозы ИКС). При лечении биологическими препаратами его повышенное значение помогает определиться с выбором подходящего биологического препарата с таргетным действием на Т2-воспаление [9].
В популяции пациентов с аллергической и эозинофильной БА, протекающей по Т2-эндотипу, к ним относятся блокаторы IgE, ИЛ-5/ИЛ-5R, ИЛ-4R [1, 3, 6, 10].
С.Н. Авдеев представил участникам симпозиума рекомендации GINA 2021 по выбору биологического препарата для терапии Т2-астмы (рис. 1) и таргетные препараты для терапии тяжелой БА (рис. 2).
Рис. 1. Рекомендации экспертов GINA 2021: какой биологический препарат выбрать первым для терапии Т2-астмы? [1]
Примечание. ИЛ-4(5)R – рецептор интерлейкина-4(5).
Fig. 1. GINA 2021 expert recommendations: which biologic should be the first choice for T2 asthma therapy? [1]
Примечание. ВЛК2 – врожденная лимфоидная клетка 2-го типа, Th2 – Т-хелпер 2-го типа. Инструкция по медицинскому применению лекарственного препарата Дупиксент® (дупилумаб). Инструкция по медицинскому применению лекарственного препарата Ксолар® (омализумаб). Инструкция по медицинскому применению лекарственного препарата Нукала® (меполизумаб). Инструкция по медицинскому применению лекарственного препарата Синкейро® (реслизумаб). Инструкция по медицинскому применению лекарственного препарата Фазенра® (бенрализумаб).
Fig. 2. T2-targeted drugs for therapy of severe bronchial asthma [3, 11–15].
«Путь к долгосрочному контролю тяжелой бронхиальной астмы»
Ненашева Наталья Михайловна – доктор медицинских наук, профессор, заведующая кафедрой аллергологии и иммунологии ФГБОУ ДПО РМАНПО
Согласно рекомендациям Европейской академии аллергологии и клинической иммунологии (EAACI) 2020 г. решение о выборе того или иного биологического препарата для пациента с тяжелой БА должно основываться на 3 компонентах: фенотипические характеристики, биомаркеры, ожидаемые клинические исходы терапии. Также необходимо учитывать профиль безопасности препарата, фармакоэкономические и регуляторные аспекты [16]. В докладе «Путь к долгосрочному контролю тяжелой бронхиальной астмы» доктор медицинских наук, профессор Н.М. Ненашева представила результаты исследований эффективности и безопасности дупилумаба, рекомендованного EAACI в качестве дополнительной поддерживающей терапии у взрослых и детей 12–17 лет с неконтролируемой тяжелой Т2-астмой, несмотря на оптимальную базисную терапию, с целью снижения количества тяжелых обострений астмы (сильная рекомендация), уменьшения или отмены пероральных кортикостероидов (сильная рекомендация), улучшения функции легких (сильная рекомендация), улучшения качества жизни и контроля астмы (условная рекомендация) [16].
TRAVERSE: международное открытое продленное исследование (OLE) безопасности и эффективности дупилумаба [17, 18] проводилось с июля 2014 по октябрь 2019 г., включало более 2200 пациентов в 365 центрах. Цели исследования – оценка долгосрочной безопасности и эффективности дупилумаба в субпопуляции пациентов (всех пациентов, получавших препарат, и пациентов с Т2-воспалением) из исследования QUEST, завершивших период наблюдения в течение 96 нед в исследовании TRAVERSE и получавших дупилумаб в течение полных 3 лет. Дизайн исследования представлен на рис. 3.
Рис. 3. Открытое продленное исследование (OLE) [17, 18].
Примечание: к2н – каждые 2 нед, к4н – каждые 4 нед. Количество пациентов, указанное для родительских исследований, представляет собой количество пациентов, которые были включены в исследование OLE и получали в нем лечение.
Fig. 3.Ole liberty asthma traverse (nct02134028) [17, 18].
Частота нежелательных явлений (НЯ) в ITT-популяциях в исходных исследованиях DRI, QUEST и VENTURE составляла 75–83, 81–83 и 62–64% соответственно. Наиболее частыми НЯ, возникающими в любой группе лечения во время OLE, были назофарингит и эритема в месте инъекции, у 9–13% пациентов наблюдались серьезные НЯ, количество пациентов с НЯ, приводившими к окончательному прекращению лечения, было низким.
На исходном уровне в исследованиях DRI (исследование IIb фазы) и QUEST среднее число обострений за последний год в группах лечения в общей ITT-популяции составляло 1,85–2,37 и 2,02–2,31 соответственно. По окончании лечения в исходном исследовании нескорректированная годовая частота тяжелых обострений для пациентов, получавших плацебо и дупилумаб, составляла 1,07 и 0,31–0,69 для DRI и 0,98–1,09 и 0,48–0,56 для QUEST соответственно. В исследовании TRAVERSE низкая частота годовых тяжелых обострений, наблюдаемая в исходных исследованиях, варьировала от 0,31 до 0,35 [18].
На применение дупилумаба пациенты ответили быстрым приростом объема форсированного выдоха за 1-ю секунду (ОФВ1): изменение средних значений на 13–22% по сравнению с исходным уровнем в предыдущих исследованиях (200–300 мл – ощутимый объем для пациента, сохранявшийся на протяжении всех 3 лет терапии) [18].
Н.М. Ненашева отметила, что включение пациентов во II и III фазы исследований происходило без учета показателей биомаркеров: в них входили пациенты с не контролируемой на традиционной фармакотерапии среднетяжелой и тяжелой астмой. В исследовании TRAVERSE проанализированы данные пациентов с Т2-астмой, имеющих эозинофилию крови выше 150 кл/мкл или FeNO≥25 ppb на исходном уровне, оценено влияние дупилумаба на уровень биомаркеров. В исследовании LIBERTY ASTHMA TRAVERSE снижение уровня общего IgE по сравнению с исходным уровнем в предшествующем исследовании сохранялось на 96-й неделе наблюдения. Дупилумаб, блокируя сигнальный путь ИЛ-4 и ИЛ-13, к 48-й неделе приводил к значимому снижению уровня общего IgЕ, продолжающемуся до 96-й недели, чем объясняется эффективность дупилумаба и у пациентов с аллергической астмой. ИЛ-4 и ИЛ-13 – ключевые цитокины, индуцирующие переключение синтеза Ig в B-клетках на синтез IgE при аллергической БА [3, 19], а также обусловливающие миграцию ЭОЗ в ткани и участвующие в процессах ремоделирования дыхательных путей, поэтому их блокада играет ключевую роль во влиянии на Т2-воспаление.
В процессе лечения дупилумабом происходило транзиторное повышение уровня ЭОЗ в периферической крови на 4, 12, 24-й неделе, затем практически во всех группах терапии (плацебо/дупилумаб и дупилумаб/дупилумаб) из разных исследований наблюдалось его снижение. Проведенный анализ показал, что рост ЭОЗ не влияет на клинический эффект, являясь лишь отражением действия дупилумаба. Мониторирование биохимических и общеклинических данных анализов крови не выявило значимых изменений. Говоря о таких проявлениях, как острые респираторные вирусные инфекции, ларингиты и бронхиты, как наиболее частых НЯ, следует отметить, что они являются таковыми во всех клинических исследованиях, в том числе и по биологическим препаратам, поскольку это наиболее распространенные явления. В группе плацебо и в группе дупилумаба они выявлялись с одинаковой частотой.
Таким образом, длительное исследование TRAVERSE убедительно продемонстрировало безопасность, хорошую переносимость и сохраняющуюся на протяжении 3 лет высокую эффективность дупилумаба у пациентов – подростков и взрослых со среднетяжелой и тяжелой Т2-БА, не контролируемой на традиционной фармакотерапии.
«Единое решение для Т2-ассоциированных заболеваний дыхательных путей»
Курбачева Оксана Михайловна – доктор медицинских наук, профессор, заведующая отделением бронхиальной астмы ФГБУ «ГНЦ Институт иммунологии» ФМБА России
Развивая тему возможности «свободного дыхания», доктор медицинских наук, профессор О.М. Курбачева сделала акцент на сопутствующих заболеваниях у пациентов с БА, связанных общим механизмом развития воспаления при Т2-ассоциированных процессах. Специалисты часто сталкиваются у пациентов с БА с сопутствующей патологией верхних дыхательных путей, в том числе ХПРС, также относящемуся к числу Т2-опосредованных воспалительных хронических заболеваний. Отмечено, что при сочетании ХПРС и БА у пациентов хуже качество жизни, связанное с общим состоянием здоровья (например, имеются ограничения физической активности, снижена жизненная активность [20], выше потребность в использовании системных ГКС – СГКС и риск связанных с их применением НЯ [21, 22]), в 1,7 раза выше частота рецидива полипов полости носа после хирургического вмешательства [23], примерно в 3 раза выше частота повторных хирургических вмешательств [24, 25]. Сочетание БА и ХПРС сопряжено с ухудшением клинических симптомов заболевания, изменением функции внешнего дыхания – ОФВ1 (основной маркер дыхания при БА), показатели которого существенно ниже в этой группе пациентов [26]. Врачам необходимо знать клинические признаки и симптомы ХПРС, поскольку своевременная диагностика и лечение данной сопутствующей патологии очень важны для каждого пациента. Основной жалобой помимо заложенности носа, ринореи и снижения обоняния являются боль и чувство распирания в голове [1, 27]. При их выявлении врач любой специальности должен провести дополнительное обследование на предмет сопутствующего ХПРС.
Частое сочетание БА и ХПРС связано с единым механизмом воспаления: под действием как специфических аллергенов, так и неспецифических раздражителей (вирусы, бактериальные инфекции, поллютанты, табачный дым и др.) происходит инициация воспалительного процесса, возникающего при нарушении барьерной функции эпителия слизистой оболочки верхних и нижних дыхательных путей, приводящего в дальнейшем к иммунному ответу, связанному прежде всего с работой ИЛ-4 и ИЛ-13 [28, 29]. Представляя собой замкнутый круг, воспалительный процесс обладает возможностями самоподдержания: чем больше нарушена барьерная функция, тем активнее работают медиаторы в инициации воспаления, связанного врожденными лимфоидными клетками 2-го типа, что в свою очередь вызывает дополнительный дефект барьерной функции эпителия [29–31]. Определенный вклад в развитие и поддержание Т2-воспаления вносит эозинофильное воспаление: ИЛ-4, ИЛ-13 способствуют привлечению и миграции ЭОЗ в ткани, ИЛ-5 отвечает за их синтез в костном мозге, выход в кровеносное русло, а затем их активацию и реализацию воспаления в шоковом органе [3, 6, 32–42]. Блокируя работу ИЛ, можно контролировать определенные звенья воспалительного ответа: при дезактивации ИЛ-4 и ИЛ-13 ЭОЗ остаются в системном кровотоке, не реализуя свои возможности воспаления в шоковом органе, – симптомы отсутствуют, пациент чувствует себя хорошо. Это объясняет и транзиторный прирост ЭОЗ в периферическом кровотоке на фоне эффективного лечения с применением анти-ИЛ-4Rα -препаратов.
Другой механизм развития воспаления при ХПРС, имеющий место и при БА, связан с эффекторным звеном клеток иммунной системы. ЭОЗ с помощью медиаторов приводят к пропотеванию плазмы, и в подслизистом пространстве откладывается превращающийся в фибриноген фибрин, образующий впоследствии при посредничестве фактора свертываемости крови XIIIа жесткую структуру, ткань ремодулируется в полип [28, 29, 43–46]. Блокируя сигнальный путь ИЛ-4 и ИЛ-13 соответствующими препаратами, можно добиться уменьшения полипа. Хирургическое лечение, не влияющее на каскад развития воспаления, играет роль лишь паллиативного облегчения состояния носового дыхания.
Эффективность ингибитора ИЛ-4Rα дупилумаба подтверждена в ряде исследований (LIBERTY NP SINUS-24 и LIBERTY NP SINUS-52): при определении уровня биомаркеров в назальном секрете в группе, получавшей в стандартной дозе + ИГКС (для ПРС – 300 мг 1 раз в 2 недели)*, по сравнению с группами, получавшими интраназальные ГКС и плацебо, было выявлено снижение IgE на 74%, эозинофильного катионного протеина – на 53% и ИЛ-5 – на 78%. Таким образом, адекватная блокировка этого пути воспаления приводит к достаточно универсальному действию на биомаркеры, характеризующие разные варианты Т2-воспаления при БА [47].
В исследовании QUEST, продолжавшемся в течение 52 недель, было отмечено, что дупилумаб значимо снижал частоту тяжелых обострений в подгруппе пациентов с БА и сопутствующим хроническим риносинуситом (ХРС), они имели более выраженную динамику (63 и 61% против 42 и 40% по сравнению с пациентами без ХРС), наступало улучшение и по спирометрической функции (ОФВ1), при этом пациенты с ХПРС демонстрировали более высокий прирост ОФВ1 [48, 49]. Дупилумаб значимо улучшал качество жизни, связанное со здоровьем при ХРС в подгруппе пациентов с БА и сопутствующим ХПРС, отмечено значимое улучшение исходов со стороны полости носа и придаточных пазух (SNOT-22) [48]. В подтверждение эффективности дупилумаба при лечении ХПРС в сочетании с БА Оксана Михайловна привела случай из собственной практики.
Клинический пример. Пациент Ж., 30 лет. Обратился с жалобами на одышку при физической нагрузке, приступы затрудненного дыхания, кашель с трудноотделяемой светлой мокротой, заложенность носа, боли и «чувство распирания» в области левого глаза, отсутствие обоняния. Страдает БА и ПРС в течение последних 12 лет. На момент обращения в качестве базисной ингаляционной терапии получал будесонид/формотерол (960/27 мкг/сут), монтелукаст (10 мг/сут) и СГКС (дипроспан 1,0 мл внутримышечно 4 раза в год), при этом не было контроля ни по одному из состояний: перечисленные жалобы сохранялись. Потребность в короткодействующих бронходилятаторах – до 3 раз в сутки. ИГКС в высоких дозах – постоянно. За текущий год отмечено 3 обострения по БА, по поводу чего пациент был дважды госпитализирован, количество курсов СГКС – 8 за год, перенес 7 хирургических вмешательств на околоносовых пазухах. На картине компьютерной томографии (КТ) у пациента практически нет воздушного пространства в околоносовых пазухах, процесс распространен и в полости носа, и в решетчатых лабиринтах верхнечелюстных пазух. В процессе хирургических вмешательств у пациента была разрушена бумажная пластинка решетчатого лабиринта, что привело к прорастанию полипов в область левой глазницы, вызывающему ощущение распирания в левом глазу, колоссальный отек, односторонний экзофтальм и косоглазие. Пациент практически не жаловался на присутствие БА, так как главную роль, определяющую качество его жизни, играл ПРС.
Основной диагноз: БА, смешанная форма, тяжелого течения, частично контролируемая; аллергический ринит, персистирующая форма; аллергический конъюнктивит, интермиттирующая форма; сенсибилизация к бытовым, эпидермальным и пыльцевым (аллергены из пыльцы деревьев и сложноцветных трав) аллергенам.
Сопутствующий диагноз: рецидивирующий ПРС с разрушением стенок левой орбиты и прорастанием в полость левой орбиты; лекарственная непереносимость нестероидных противовоспалительных препаратов.
Мониторирование состояния пациента и оценка эффективности лечения дупилумабом проводились в течение 9 мес от начала терапии. За прошедший период обострений БА и применения СГКС не было зарегистрировано, улучшился контроль астмы, уменьшилась одышка, снизилось количество приступов затрудненного дыхания, увеличилась толерантность к физической нагрузке (табл. 1).
Таблица 1. Результаты лечения
Table 1. Results of treatment
Показатели | До лечения | Через 1 мес | Через 2 мес | Через 3 мес | Через 4 мес | Через 6 мес | Через 8 мес | Через 9 мес |
ФЖЕЛ, л (% от должного) | 3,40 (77,3) | 3,60 (83,4) | 4,25 (96,6) | 4,29 (97,5) | 4,30 (97,8) | 5,02 (93) | 4,86 (90) | 4,96 (92) |
ОФВ1, л (% от должного) | 2,82 (62,1) | 4,08 (91,0) | 4,50 (99,3) | 4,52 (99,8) | 4,51 (99,6) | 4,23 (95) | 4,18 (94) | 4,26 (96) |
Индекс Тиффно (ОФВ1/ФЖЕЛ), % от должного | 82,9 | 113,3 | 105,6 | 105,4 | 104,9 | 95 | 98 | 97 |
ПСВ, % от должного | 72,3 | 73,1 | 87,8 | 89,8 | 93,7 | 95 | 93 | 97 |
ЭОЗ, кл/мкл | 450 | 1100 | 1560 | 2000 | 2190 | 2120 | 1620 | 1730 |
Примечание. ПСВ – пиковая скорость выдоха, ФЖЕЛ – форсированная жизненная емкость легких.
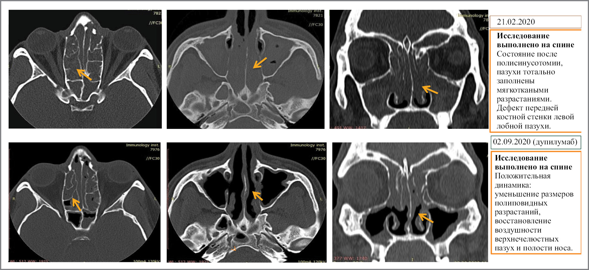
При оценке проявлений ХПРС: практически не беспокоит заложенность носа, после 4 мес лечения появилось обоняние, сократилась потребность в топических ГКС эндоназально. После осмотра оториноларинголога не было отмечено полипозных вегетаций (полипотомия не проводилась). SNOT-22 перешла в пределы нормальных значений (от 98 до 18 баллов). Четкая динамика видна на КТ за прошедший период: очистились верхнечелюстные пазухи, что привело к восстановлению носового дыхания (рис. 4). Благодаря применению дупилумаба у пациента радикально изменилось качество жизни.
Рис. 4. Результаты лечения. Мультиспиральная КТ околоносовых пазух в динамике.
Fig. 4. Treatment results. Multispiral computer tomography scan of the paranasal sinuses in dynamics.
«Полипозный риносинусит: можно ли обойтись без хирургического вмешательства?»
Свистушкин Валерий Михайлович – доктор медицинских наук, профессор, заведующий кафедрой, директор клиники болезней уха, горла и носа ФГАОУ ВО «Первый МГМУ им. И.М. Сеченова» (Сеченовский Университет), главный внештатный оториноларинголог по ЦФО России
Завершающим аккордом симпозиума стало выступление оториноларинголога, д-ра мед. наук, профессор В.М. Свистушкина, начавшего свое выступление с констатации факта: в настоящее время ни консервативное, включающее применение ГКС, ни хирургическое лечение не дают длительного безрецидивного эффекта ПРС. Присоединение БА или непереносимости нестероидных противовоспалительных средств только ухудшает ситуацию. Все способы медикаментозной коррекции, которые проводятся с первых дней послеоперационного периода, не способны длительно поддерживать полученные результаты, и в среднем через 2–3 года возникает необходимость повторного хирургического вмешательства или, как средства последней надежды, – использования СГКС. Современные руководства EPOS 2020, EUFOREA рекомендуют минимизировать НЯ их применения, что возможно только лишь при уменьшении частоты данной терапии. Появление биологических препаратов и положительные результаты их применения при терапии БА и атопического дерматита вселяли надежды на возможность их использования в оториноларингологической практике. Результаты клинических исследований дупилумаба у пациентов с ХПРС – исследований, ставших в настоящее время эталонными, SINUS-24 и SINUS-52, длительностью 24 и 52 нед, с большим количеством пациентов (276 и 448 пациентов соответственно), многоцентровых (67 и 117 центров соответственно) – дали убедительные результаты оценки его эффективности и безопасности. В России в данных исследованиях принимали участие несколько центров, включая НИИ уха, горла, носа и речи (г. Санкт-Петербург) и Клиника болезней уха горла и носа Сеченовского Университета (г. Москва), что дало возможность самостоятельного изучения действия дупилумаба при применении 2 раза в месяц подкожно (п/к) на фоне постоянного использования мометазона. В результате у пациентов с тяжелым неконтролируемым ХПРС добавление дупилумаба к терапии мометазона фуроатом (назальный спрей) привело к значимому улучшению всех оцениваемых исходов: уменьшению размеров назальных полипов, снижению тяжести назальной обструкции, уменьшению симптомов риносинусита, уменьшению или исчезновению аносмии и повышению связанного со здоровьем качества жизни пациентов, снижению потребности в применении системных стероидов и/или хирургического удаления полипов. Улучшение всех исходов было отмечено уже в начале лечения (в течение первых 4–8 нед) и сохранялось на протяжении всего периода лечения. Динамику процесса лечения наглядно демонстрируют картины риноскопии и КТ больных. Был сделан принципиальный вывод: время до первого применения системных кортикостероидов и/или проведения хирургического вмешательства по поводу ХПРС в период лечения снизилось более, чем на 70%. Такой блестящий эффект – это революция в ведении пациентов с ХПРС, но возникает вопрос: можно ли их оставить без хирургического вмешательства? В ряде случаев биологическая терапия становится методом выбора для пациентов с:
- сопутствующей тяжелой астмой – таргетная биологическая терапия может обеспечить комплексное влияние на воспалительный процесс как в нижних, так и в верхних дыхательных путях;
- тяжелым ХПРС, у которых существует ограниченный доступ к специалистам-ринологам, или для тех, у кого время ожидания операции составляет более 6 мес, – старт с биологической терапии может быть лучшим подходом для немедленного облегчения симптомов;
- ограничениями для проведения хирургического вмешательства и/или у кого хирургия связана с более высокой частотой осложнений, чем в среднем. Кроме того, биологическая терапия сразу после операции может быть рассмотрена у пациентов, у которых в анамнезе был рецидив назального полипоза в течение 12 месяцев после предыдущей операции.
Говоря о биологической терапии и хирургии, необходимо оценивать ситуацию и учесть ряд факторов (тяжесть, снижение контроля, коморбидность, Т2-ХПРС, предыдущий опыт и результаты стандартной терапии). Важно совместное принятие решения врачом и пациентом с обсуждением кратко- и долгосрочных ожиданий, последствий, побочных эффектов, осложнений.
В заключительной части выступления В.М. Свистушкин привел собственное клиническое наблюдение.
Клинический случай. Пациент К., 27 лет. Жалобы на выраженное затруднение носового дыхания, заложенность носа, слизистые выделения из носа беспокоят около 5 лет. В анамнезе – эндоскопическая полисинусотомия в 2016 г. Впоследствии проходил курсы ИГКС с недостаточным положительным эффектом. Принимал Назонекс® спрей по 2 дозы 2 раза в день в обе ноздри.
При осмотре: носовое дыхание значительно затруднено через правую половину носа и отсутствует через левую, тяжелая гипосмия. При риноскопии: общий носовой ход справа прослеживается только в нижних отделах, в верхних и средних – обтурирован полипами, исходящими из среднего носового хода. Левый общий носовой ход тотально обтурирован полипозной тканью. Полипы мягкоэластической консистенции, серо-розового цвета, не кровоточат при дотрагивании. Обоняние практически отсутствует. Остальные ЛОР-органы без особенностей.
Диагноз: ПРС, тяжелая форма; состояние после двусторонней полисинусотомии (2016 г.).
01.04.2021 начато лечение дупилумабом: 300 мг п/к начальная доза, далее 300 мг п/к каждые 2 нед. Назонекс® спрей продолжили по 2 дозы 2 раза в день в обе ноздри.
Через 2 нед при риноскопии видно резкое сокращение полипов в объеме в обеих половинах носа, больной получил возможность дышать левой половиной носа, существенно улучшилось дыхание через правую половину уже после одной инъекции. Через 2 мес отмечено дальнейшее сокращение полипов. Через 3 мес после начала терапии дупилумабом пациент отметил существенное улучшение по всем симптомам заболевания: восстановилось носовое дыхание, обоняние, значительно уменьшились выделения из носа, включая постназальный затек.
Через 16 нед соответственно рекомендации EPOS 2020 проведена оценка ответа на терапию биологическими препаратами у пациента с ХПРС для принятия решения о продолжении/прекращении лечения. Данному пациенту однозначно рекомендовано продолжать лечение дупилумабом.
В целом при положительной динамике назначается пожизненное применение, обеспечивающее хорошее качество жизни при заболевании, которое еще до конца 2020 г. для оториноларингологов не имело решения.
Современная стратегия лечения ПРС не является оптимальной и сопряжена с высокой частотой рецидива заболевания. Хирургическое вмешательство на околоносовых пазухах проводится пациентам с тяжелой формой ПРС, но полипы рецидивируют у 80%.
В руководствах EPOS 2020 и EUFOREA 2020 предложен алгоритм ведения пациентов с диффузным/двусторонним хроническим риносинуситом, включая возможность назначения биологической терапии и критерии оценки ответа на лечение.
Таргетная биологическая терапия является современной стратегией ведения пациентов с тяжелым ХПРС и открывает новые возможности для долгосрочного контроля над заболеванием.
Лечение дупилумабом приводит к снижению выраженности назального полипоза, уменьшению назальной обструкции, улучшению обоняния и снижению потребности в применении системных стероидов и/или хирургического удаления полипов у пациентов с тяжелым ХПРС. Дупилумаб характеризуется благоприятным профилем безопасности.
Препарат включен в международные клинические рекомендации EPOS 2020 с уровнем доказательности 1а. Результатом программы международных клинических исследований дупилумаба у пациентов с ПРС стала регистрация данного показания в США в июне 2019 г., в Европе – в сентябре 2019 г., в России – 17 июля 2020 г.
*Инструкция по медицинскому применению лекарственного препарата Дупиксент® РУ №ЛП-005440 от 04.04.19 с изменениями от 12.08.20.
Список сокращений
References
- Global Initiative for Asthma. Global Strategy for Asthma Management and Prevention, 2021. Available at: https://ginasthma.org/wp-content/uploads/2021/04/GINA-2021-Main-Report_FINAL_21_04_28-WMS.pdf. Accessed: 16.06.2021.
- GINA. Pocket Guide for asthma management and prevention for adults and children older than 5 years. Updated 2021. Available at: https://ginasthma.org/wp-content/uploads/2021/04/Main-Pocket-Guide-2021-FINAL-WM.pdf. Accessed: 16.06.2021.
- Gandhi NA, Bennett BL, Graham NMH, et al. Targeting key proximal drivers of type 2 inflammation in disease. Nat Rev Drug Discov. 2016;15(1):35-50. doi: 10.1038/nrd4624
- Carr S, Watson W. Eosinophilic esophagitis. Allergy Asthma Clin Immunol. 2011;7(Suppl. 1):S8.
- Steinke JW, Wilson JM. Aspirin-exacerbated respiratory disease: pathophysiological insights and clinical advances. J Asthma Allergy. 2016;9:37-43. doi: 10.2147/JAA.S88739
- Robinson D, Humbert M, Buhl R, et al. Revisiting Type 2-high and Type 2-low airway inflammation in asthma: current knowledge and therapeutic implications. Clin Exp Allergy. 2017;47(2):161-75. doi: 10.1111/cea.12880
- Carr TF, Berdnikovs S, Simon HU, et al. Eosinophilic bioactivities in severe asthma. World Allergy Organ J. 2016;9:21. doi: 10.1186/s40413-016-0112-5
- Narendra D, Blixt J, Hanania NA. Immunological biomarkers in severe asthma. Semin Immunol. 2019;46:101332. doi: 10.1016/j.smim.2019.101332
- Heffler E, Carpagnano GE, Favero E, et al. Fractional Exhaled Nitric Oxide (FENO) in the management of asthma: a position paper of the Italian Respiratory Society (SIP/IRS) and Italian Society of Allergy, Asthma and Clinical Immunology (SIAAIC). Multidiscip Resp Med. 2020;15:36. doi: 10.4081/mrm.2020.36
- Katial RK, Bensch GW, Busse WW, et al. Changing Paradigms in the Treatment of Severe Asthma: The Role of Biologic Therapies. J Allergy Clin Immunol Pract. 2017;5(2S):S1-S14. doi: 10.1016/j.jaip.2016.11.029
- Schleimer RP. Immunopathogenesis of Chronic Rhinosinusitis and Nasal Polyposis. Annu Rev Pathol. 2017;12:331-57. doi: 10.1146/annurev-pathol-052016-100401
- Global Initiative for Asthma. GINA Report, Global Strategy for Asthma Management and Prevention, 2018.
- Israel E, Reddel HK. Severe and Difficult-to-Treat Asthma in Adults. N Engl J Med. 2017;377:965-76. doi: 10.1056/NEJMra1608969
- McLeod JJA, Baker B, Ryan JJ. Mast cell production and response to IL-4 and IL-13. Cytokine. 2015;75:57-61. doi: 10.1016/j.cyto.2015.05.019
- Kaur D, Hollins F, Woodman L, et al. Mast cells express IL-13R alpha 1: IL-13 promotes human lung mast cell proliferation and Fc epsilon RI expression. Allergy. 2006;61:1047-53. doi: 10.1111/j.1398-9995.2006.01139.x
- Agache I, Akdis CA, Akdis M, et al. EAACI Biologicals Guidelines – Recommendations for severe asthma. Allergy. 2021;76(1):14-44. doi: 10.1111/all.14425
- Long-Term Safety Evaluation of Dupilumab in Patients With Asthma (LIBERTY ASTHMA TRAVERSE). Available at: https://clinicaltrials.gov/ct2/show/NCT02134028. Accessed: 19.04.2021.
- Wechsler ME, Ford LB, Maspero JF, et al. Late Breaking Abstract – Dupilumab long-term safety and efficacy in patients with asthma: LIBERTY ASTHMA TRAVERSE. Eur Respir J. 2020;56(Suppl. 64):4613. doi: 10.1183/13993003.congress-2020.4613
- Platts-Mills TA. The role of immunoglobulin E in allergy and asthma. Am J Respir Crit Care Med. 2001;164(8):S1-S5. doi: 10.1164/ajrccm.164.supplement_1.2103024
- Alobid I, Benítez P, Bernal-Sprekelsen M, et al. Nasal polyposis and its impact on quality of life: comparison between the effects of medical and surgical treatments. Allergy. 2005;60:452-8. doi: 10.1111/j.1398-9995.2005.00725.x
- Canonica GW, Malvezzi L, Blasi F, et al. Chronic rhinosinusitis with nasal polyps impact in severe asthma patients: Evidences from the Severe Asthma Network Italy (SANI) registry. Respir Med. 2020;166:105947. doi: 10.1016/j.rmed.2020.105947
- Heffler E, Bagnasco D, Canonica GW, et al. Strategies to reduce corticosteroid-related adverse events in asthma. Curr Opin Allergy Clin Immunol. 2019;19:61-7. doi: 10.1097/ACI.0000000000000493
- Bassiouni A, Wormald PJ. Role of frontal sinus surgery in nasal polyp recurrence. Laryngoscope. 2013;123:36-41. doi: 10.1002/lary.23610
- Loftus C, Soler ZM, Koochakzadeh S, et al. Revision surgery rates in chronic rhinosinusitis with nasal polyps: meta-analysis of risk factors. Int Forum Allergy Rhinol. 2020;10:199-207. doi: 10.1002/alr.22487
- Sella GCP, Tamashiro E, Sella JA, et al. Asthma Is the Dominant Factor for Recurrence in Chronic Rhinosinusitis. J Allergy Clin Immunol Pract. 2020;8(1):302‐9. doi: 10.1016/j.jaip.2019.08.007
- Bilodeau L, Boulay ME, Prince P, et al. Comparative clinical and airway inflammatory features of asthmatics with or without polyps. Rhinology. 2010;48:420-5. doi: 10.4193/Rhino09.095
- Fokkens WJ, Lund VJ, Hopkins C, et al. European Position Paper on Rhinosinusitis and Nasal Polyps 2020. Rhinology. 2020;58(Suppl. S29):1-464. doi: 10.4193/Rhin20.600
- Schleimer RP, Berdnikovs S. Etiology of epithelial barrier dysfunction in patients with type 2 inflammatory diseases. J Allergy Clin Immunol. 2017;139(6):1752-61. doi: 10.1016/j.jaci.2017.04.010
- Hulse KE, Stevens WW, Tan BK, Schleimer RP. Pathogenesis of nasal polyposis. Clin Exp Allergy. 2015;45(2):328-46. doi: 10.1111/cea.12472
- Saatian B, Rezaee F, Desando S, et al. Interleukin-4 and interleukin-13 cause barrier dysfunction in human airway epithelial cells. Tissue Barriers. 2013;1(2):e24333. doi: 10.4161/tisb.24333
- Sugita K, Steer CA, Martinez-Gonzalez I, et al. Type 2 innate lymphoid cells disrupt bronchial epithelial barrier integrity by targeting tight junctions through IL-13 in asthmatic patients. J Allergy Clin Immunol. 2018;141(1):300-10. doi: 10.1016/j.jaci.2017.02.038
- Shinkai A, Yoshisue H, Koike M, et al. A novel human CC chemokine, eotaxin-3, which is expressed in IL-4-stimulated vascular endothelial cells, exhibits potent activity toward eosinophils. J Immunol. 1999;163(3):1602-10.
- Yamada T, Miyabe Y, Ueki S, et al. Eotaxin-3 as a plasma biomarker for mucosal eosinophil infiltration in chronic rhinosinusitis. Front Immunol. 2019;10:74.
- Kong DH, Kim YK, Kim MR, et al. Emerging Roles of Vascular Cell Adhesion Molecule-1 (VCAM-1) in Immunological Disorders and Cancer. Int J Mol Sci. 2018;19(4):1057. doi: 10.3390/ijms19041057
- Doran E, Cai F, Holweg CTJ, et al. Interleukin-13 in Asthma and Other Eosinophilic Disorders. Front Med (Lausanne). 2017;4:139. doi: 10.3389/fmed.2017.00139
- Yoshifuku K, Matsune S, Ohori J, et al. IL-4 and TNF-alpha increased the secretion of eotaxin from cultured fibroblasts of nasal polyps with eosinophil infiltration. Rhinology. 2007;45(3):235-41.
- Kato A. Immunopathology of chronic rhinosinusitis. Allergol Int. 2015;64(2):121-30. doi: 10.1016/j.alit.2014.12.006
- de Vries IJ, Langeveld-Wildschut EG, van Reijsen FC, et al. Adhesion molecule expression on skin endothelia in atopic dermatitis: effects of TNF-alpha and IL-4. J Allergy Clin Immunol. 1998;102(3):461-8.
- Boyce JA, Mellor EA, Perkins B, et al. Human mast cell progenitors use alpha4-integrin, VCAM-1, and PSGL-1 E-selectin for adhesive interactions with human vascular endothelium under flow conditions. Blood. 2002;99(8):2890-6. doi: 10.1182/blood.v99.8.2890
- Rosenberg HR, Phipps S, Foster PS, et al. Eosinophil trafficking in allergy and asthma. J Allergy Clin Immunol. 2007;119(6):1303-10. doi: 10.1016/j.jaci.2007.03.048
- Borchers MT, Ansay T, DeSalle R, et al. In vitro assessment of chemokine receptor-ligand interactions mediating mouse eosinophil migration. J Leukoc Biol. 2002;71(6):1033-41. doi: 10.1189/jlb.71.6.1033
- Nonaka M, Ogihara N, Fukumoto A, et al. Combined stimulation with Poly(I:C), TNF-alpha and Th2 cytokines induces TARC production by human fibroblasts from the nose, bronchioles and lungs. Int Arch Allergy Immunol. 2010;152(4):327-41. doi: 10.1159/000288286
- Van Dyken SJ, Locksley RM. Interleukin-4- and interleukin-13-mediated alternatively activated macrophages: roles in homeostasis and disease. Annu Rev Immunol. 2013;31:317-43. doi: 10.1146/annurev-immunol-032712-095906
- Takabayashi T, Kato A, Peters AT, et al. Excessive fibrin deposition in nasal polyps caused by fibrinolytic impairment through reduction of tissue plasminogen activator expression. Am J Respir Crit Care Med. 2013;187:49-57. doi: 10.1164/rccm.201207-1292OC
- Takabayashi T, Kato A, Peters AT, et al. Increased expression of factor XIII-A in patients with chronic rhinosinusitis with nasal polyps. J Allergy Clin Immunol. 2013;132:584-92. doi: 10.1016/j.jaci.2013.02.003
- Bachert C, et al. World Allergy Organ J. 2014;7:2.
- Bachert C, Han JK, Desrosiers M, et al. Efficacy and safety of dupilumab in patients with severe chronic rhinosinusitis with nasal polyps (LIBERTY NP SINUS-24 and LIBERTY NP SINUS-52): results from two multicentre, randomised, double-blind, placebocontrolled, parallel-group phase 3 trials. Lancet. 2019;394(10209):1638-50. doi: 10.1016/S0140-6736(19)31881-1
- Maspero JF, Katelaris CH, Busse WW, et al. Dupilumab Efficacy in Uncontrolled, Moderate-to-Severe Asthma with Self-Reported Chronic Rhinosinusitis. J Allergy Clin Immunol Pract. 2020;8(2):527-39. doi: 10.1016/j.jaip.2019.07.016
- Tepper RS, Wise RS, Covar R, et al. Asthma outcomes: pulmonary physiology. J Allergy Clin Immunol. 2012;129(Suppl. 3):S65-S87. doi: 10.1016/j.jaci.2011.12.986.
Supplementary files






