Extracorporeal cytokine removal in chimeric antigen receptor T-cell therapy associated cytokine release syndrome in patient with acute lymphoblastic leukemia. Case report
- Authors: Shchekina A.E.1, Galstyan G.M.1, Gavrilina O.A.1, Arapova N.M.1, Bronyakina S.I.1, Kotova E.S.1, Troitskaya V.V.1, Parovichnikova E.N.1, Maschan M.A.2, Savchenko V.G.1
-
Affiliations:
- National Research Center for Hematology
- Dmitry Rogachev National Medical Research Center of Pediatric Hematology, Oncology and Immunology
- Issue: Vol 93, No 7 (2021)
- Pages: 811-817
- Section: Case reports
- Submitted: 21.07.2021
- Accepted: 21.07.2021
- Published: 23.07.2021
- URL: https://ter-arkhiv.ru/0040-3660/article/view/76355
- DOI: https://doi.org/10.26442/00403660.2021.07.200931
- ID: 76355
Cite item
Full Text
Abstract
Сytokine release syndrome is the common complication of CAR-T therapy. We report a case of patient with B-cell acute lymphoblastic leukemia developing сytokine release syndrome with shock and multiple organ failure and requiring cytokine removal and hemodiafiltration. Remission of the disease was achieved after CAR-T therapy.
Full Text
Введение
Терапия T-клетками с химерным антигенным рецептором (Chimeric Antigen Receptor T-Cell – CAR-T-терапия) – это новый метод лечения рефрактерных к химиотерапии онкогематологических заболеваний, основанный на извлечении T-лимфоцитов из организма больного или донора, их генно-инженерной модификации, приводящей к экспрессии на поверхности химерного рецептора, способного распознавать опухолевый антиген и индуцировать цитотоксичность, и последующем их введении в организм больного, где они пролиферируют и разрушают опухолевые клетки [1]. Эффективность CAR-T-терапии достигает 82% при рефрактерном течении или рецидивах В-острого лимфобластного лейкоза (В-ОЛЛ) [2]. Однако CAR-T-терапия сопряжена с рядом побочных эффектов, которые могут привести к полиорганной дисфункции и смерти больного. Экспансия CAR-T-клеток в организме приводит к иммунной активации моноцитов, лимфоцитов, миелоидных клеток и высвобождению цитокинов, в частности провоспалительных интерлейкинов (ИЛ)-6, ИЛ-10, интерферона γ [3]. Системный иммунный ответ проявляется синдромом высвобождения цитокинов (СВЦ) и синдромом нейротоксичности, ассоциированной с иммунными эффекторными клетками.
Частота возникновения СВЦ у больных В-ОЛЛ составляет 77–93%, тяжелого течения СВЦ – 18,5% [2]. Симптомы СВЦ неспецифичны. Выделяют общеинтоксикационные симптомы (лихорадка, слабость, миалгии) и симптомы, обусловленные поражением различных органов и систем (гипоксемия, гипотензия, аритмия, олигурия), а также лабораторные биохимические и коагулогические изменения. Разработана классификация тяжести СВЦ [4]. Для лечения СВЦ применяют антицитокиновые препараты и глюкокортикостероидные гормоны (ГКС). Одним из ключевых медиаторов в патогенезе СВЦ является ИЛ-6, что обусловливает применение для лечения СВЦ тоцилизумаба, связывающего растворимый и мембранный рецепторы ИЛ-6. Причинами резистентности к тоцилизумабу могут быть недостаточная для блокады ИЛ-6 доза препарата и гиперцитокинемия, вызванная иными провоспалительными цитокинами [5]. В единичных наблюдениях сообщается об успешном применении для лечения СВЦ экстракорпоральной сорбции цитокинов [6, 7]. Применение экстракорпоральной сорбции цитокинов ранее описано при других состояниях – септическом шоке [8, 9], кардиохирургических операциях [10], новой коронавирусной инфекции [11].
Цель исследования – представить успешное применение экстракорпоральной сорбции цитокинов для лечения СВЦ, возникшего после CAR-T-терапии.
Клиническое наблюдение
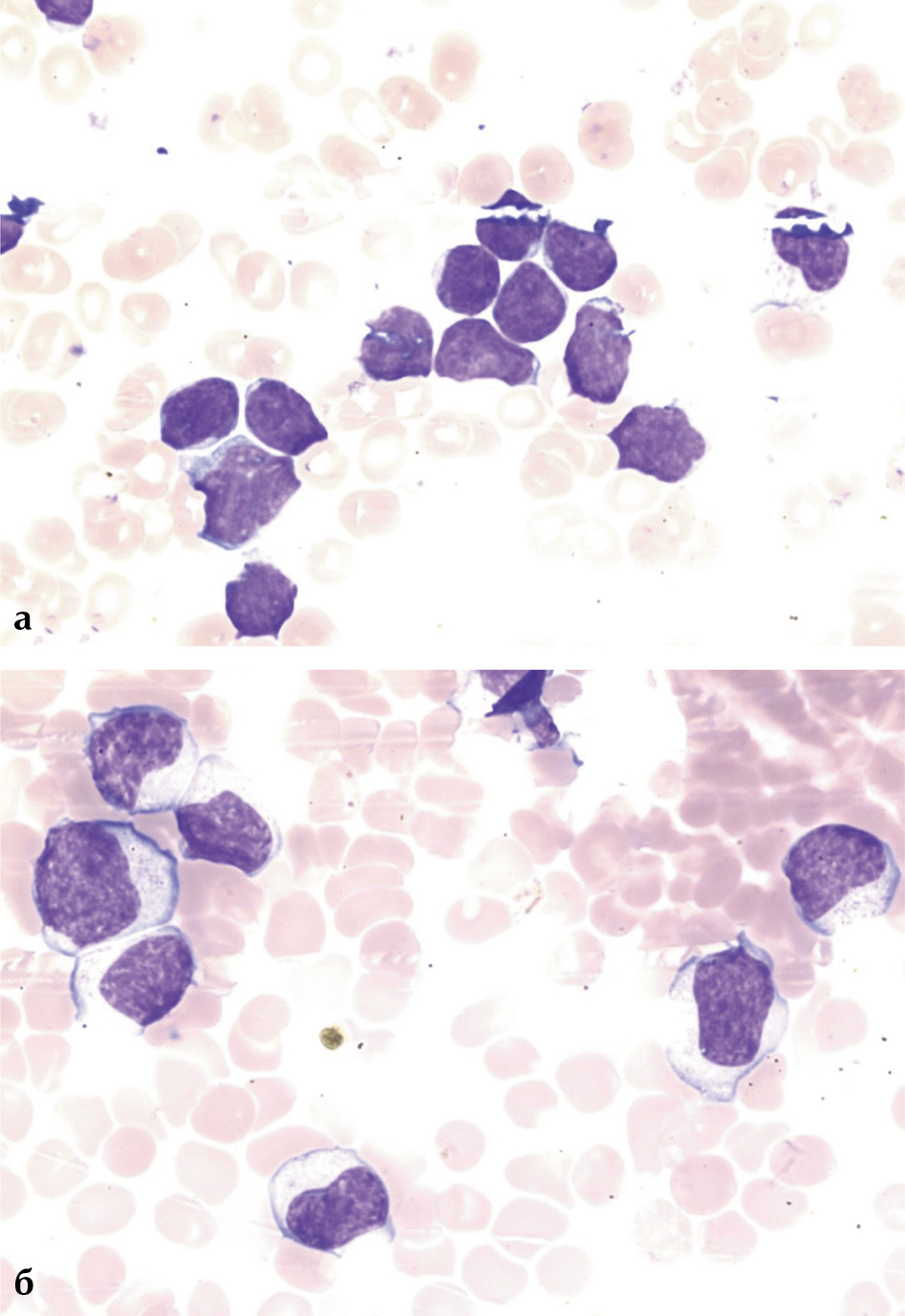
У больного А. в 2017 г. в возрасте 16 лет диагностирован В-ОЛЛ, B-II вариант, протекающий с комплексными изменениями кариотипа. После 1-го курса химиотерапии по протоколу ALL-MB-2015 достигнута ремиссия, продолжена терапия согласно протоколу. В 2020 г. возник рецидив В-ОЛЛ, протекавший с поражением костного мозга, периферических лимфатических узлов и гепатоспленомегалией. Проведен блок F1 по протоколу ALL-REZ-BFM-2002, но ремиссия достигнута не была. Проведены еще 2 противорецидивных курса: химиотерапия блинатумомабом в сочетании с венетоклаксом и по программе ICE. В связи с дальнейшей прогрессией заболевания (в гемограмме лейкоцитоз 92×109/л, 92% бластных клеток, оссалгии, гепатоспленомегалия) проведена терапия дексаметазоном и ритуксимабом, в результате которой отмечено развитие лейкопении до 0,3×109/л (92% лимфоцитов), но при этом в костном мозге бластные клетки составляли 92% (рис. 1, а). Учитывая резистентное течение рецидива В-ОЛЛ, принято решение о проведении CAR-T-терапии. В качестве агента для терапии выбраны аутологичные биспецифические анти-CD19/анти-CD22 CAR-T-лимфоциты с учетом иммунофенотипа опухолевых клеток больного (CD20+CD19+CD22+) и предшествующей терапии блинатумомабом. Индивидуальный клеточный продукт изготовлен на базе ФГБУ «НМИЦ ДГОИ им. Дмитрия Рогачева». У больного выявлены нарушения ритма и проводимости (синдром Клерка–Леви–Кристеско, пробежки суправентрикулярной и желудочковой тахикардии, удлиненный интервал QT), поэтому перед проведением CAR-T-терапии он переведен в отделение реанимации и интенсивной терапии (ОРИТ).
Рис. 1. Цитологическая картина костного мозга. Окраска по Май-Грюнвальду. Ув. 1000: а – перед проведением CAR-T-терапии: 92% бластных клеток; б – на 11-й день после проведения CAR-T-терапии: 98,8% лимфоцитов. / Fig. 1. Bone marrow cytology. May-Grunwald staining. Magnification 1000: a – before chimeric antigen receptor (CAR)-T cell therapy (CAR-T-therapy): 92% blast cells; b – on the 11th day after CAR-T therapy: 98,8% of lymphocytes.
Состояние пациента было тяжелым, обусловлено цитопенией (в гемограмме: гемоглобин 69 г/л, тромбоциты 33×109/л, лейкоциты 0,4×109/л, представлены лимфоцитами), двусторонней пневмонией. Больной был в ясном сознании, отеков, гипоксемии, гипертермии не было, гемодинамические параметры были стабильными. Регистрировали синусовую аритмию с частотой сокращений сердца 55–115 в минуту. Концентрация креатинина сыворотки – 90 мкмоль/л, концентрации трансаминаз, билирубина, лактатдегидрогеназы (ЛДГ), тропонина I, N-концевого фрагмента натрийуретического пептида (NT-pro-BNP) были в пределах референсных значений. Концентрация прокальцитонина – 0,1 нг/мл, С-реактивного белка (СРБ) – 1,4 мг/л, ИЛ-6 – 3 пкг/мл, ферритина – 1667 нг/мл. Активированное частичное тромбопластиновое время (АЧТВ) – 39 с, протромбин по Квику – 82%, активность протеина С – 96%, антитромбина III – 114%, фибриноген – 3,8 г/л.
После назначения антиаритмической терапии лидокаином и β-блокаторами больному проведена лимфодеплеция «флударабин + циклофосфамид» в течение 4 дней, нарушений ритма сердца не было. Спустя 1 сут после лимфодеплеции профилактически подкожно введен тоцилизумаб 8 мг/кг и выполнена трансфузия 0,2×106/кг массы тела аутологичных биспецифических анти-CD19/анти-CD22 CAR-T-лимфоцитов (табл. 1, рис. 2). Количество введенных CAR-T-лимфоцитов составило 20% целевой дозы, учитывая большую опухолевую массу и высокий риск развития СВЦ. Первая неделя после трансфузии CAR-T-лимфоцитов протекала без осложнений, однако спустя 7 дней развился СВЦ 1-й степени, проявлявшийся лихорадкой до 39,7ºС, тахикардией до 100 уд/мин, головной болью, слабостью, миалгией, увеличением сывороточных концентраций ферритина до 4948 нг/мл, ИЛ-6 – до 2296 пг/мл, СРБ – до 14 мг/л. Обследование не выявило инфекционных осложнений. В связи с лихорадкой и увеличением концентрации ИЛ-6 до 7280 пг/мл на 8-й день после трансфузии CAR-T-клеток внутривенно введен тоцилизумаб 8 мг/кг, однако состояние больного продолжало ухудшаться. На 9-й день после трансфузии CAR-T-лимфоцитов появилась гипотензия до 80/50 мм рт. ст., для коррекции которой потребовалось увеличение объема инфузий до 5000 мл/сут. На следующий день развились шок и полиорганная дисфункция: лихорадка 40,5ºС, артериальная гипотензия 68/32 мм рт. ст., потребовавшая для коррекции артериального давления введения норадреналина со скоростью 0,6 мкг/кг/мин, повышение концентрации лактата артериальной крови до 5,9 ммоль/л, острое повреждение почек – ОПП (анурия, креатинин 218 мкмоль/л, гиперкалиемия 6,1 ммоль/л), печеночная дисфункция (аланинаминотрансфераза 169 ед/л, аспартатаминотрансфераза 2556 ед/л, аммиак 133,5 мкг/л, асцит), коагулопатия (АЧТВ 115 с, фибриноген 0,7 г/л, протромбин по Квику 30%, антитромбин III 47%, протеин C 15%), повреждение миокарда (концентрация тропонина I 0,75 нг/мл, развитие синдрома слабости синусового узла), повышение миоглобина сыворотки до 2479 мкг/л, гипонатриемия 122 ммоль/л. Концентрация ИЛ-6 составила 69 250 пг/мл, ферритина – 97 697 нг/мл, СРБ – 49 мг/л.
Таблица 1. Динамика клинических и лабораторных проявлений СВЦ после инфузии CAR-T-лимфоцитов / Table 1. Dynamics of clinical and laboratory manifestations of cytokine release syndrome (CRS) after infusion of CAR-T lymphocytes
День CAR-T | Событие | ИЛ-6, пг/мл | СРБ, мг/л | Ферритин, нг/мл | Прокальцитонин, нг/мл | Лактат, ммоль/л | Аспартатаминотраснфераза, Ед/л | ЛДГ, Ед/л | Тропонин, нг/мл |
Референсные значения | 0–7 | 0–5 | 24–336 | 0–0,5 | 0,5–1,6 | 5–40 | 0–248 | 0,03–0,05 | |
0 | Трансфузия CAR-T | 3 | 71,8 | 1820 | 0,37 | 0,4 | 15 | 138 | 0,02 |
7 | Начало СВЦ | 2296 | 2,5 | 4948 | 0,4 | 0,5 | 18 | 329 | 0,04 |
8 | СВЦ 1, тоцилизумаб | 7280 | 14,3 | 12546 | 0,57 | 1,5 | 37 | – | 0,07 |
9 | СВЦ 2 | 7997 | 34 | – | 2,1 | 2,0 | 96 | – | – |
10 | СВЦ 3, до ГДФ и сорбции | 69 250 | 49 | 97 697 | 21,1 | 5,9 | 1655 | – | – |
СВЦ 3, 1,5 ч ГДФ и сорбции | 22 470 | 67,8 | – | 18 | 3,8 | 1957 | – | – | |
СВЦ 3, 4,5 ч ГДФ и сорбции | 10 600 | 65,2 | – | 22 | 3 | 2277 | – | – | |
СВЦ 3, 9,5 ч ГДФ и сорбции | 11 810 | 154,3 | – | 33 | 2,2 | – | – | – | |
11 | Стабилизация состояния, ГДФ | 6244 | 69 | – | 44 | 0,7 | 2556 | 16 864 | 0,75 |
14 | ГД | 616 | 9,9 | – | 20,6 | 0,4 | 96 | – | – |
15 | ГД | 543 | 6,7 | 16 651 | 3,8 | 0,5 | 67 | 2255 | 0,14 |
27 | Восстановление диуреза | 42 | 7,3 | 1944 | 0,23 | 0,5 | 13 | 367 | 0,03 |
Рис. 2. Динамика клинических и лабораторных проявлений СВЦ после инфузии CAR-T-лимфоцитов. / Fig. 2. Dynamics of clinical and laboratory manifestations of CRS after infusion of CAR-T-lymphocytes.
Помимо СВЦ у больного были признаки синдрома лизиса опухоли (мочевая кислота 770 ммоль/л, ЛДГ 16800 Ед/л). Острой дыхательной недостаточности, признаков нейротоксичности не было, сохранялась панцитопения (гемоглобин 53 г/л, тромбоциты 18×109/л, лейкоциты 0,4×109/л). Эти проявления расценены как СВЦ 3-й степени [4]. В то же время с учетом схожести картины сепсиса и СВЦ проводилась противомикробная терапия. Выполнялась заместительная терапия компонентами крови (криопреципитатом, свежезамороженной плазмой, концентратом тромбоцитов). Катетеризирована бедренная артерия, по данным транспульмональной термодилюции индекс общего периферического сосудистого сопротивления уменьшен до 595 дин с см-5/м2, сердечный индекс увеличен до 9,3 л/мин/м2.
Учитывая шок, метаболические нарушения, ОПП, начата высокообъемная вено-венозная гемодиафильтрация (ГДФ), проведение которой в течение 2 ч не улучшило состояние больного. Принято решение об экстракорпоральной сорбции цитокинов. Поскольку проведение заместительной почечной терапии (ЗПТ) планировалось на более длительный срок, чем сорбция цитокинов, а, кроме того, скорость кровотока для высокообъемной ГДФ значительно больше, чем требуется для сорбции, использовано 2 независимых экстракорпоральных контура. ГДФ осуществлялась аппаратом 5008 (Fresenius Medical Care) через перфузионный катетер диаметром 12 Fr, скорость кровотока составляла 400 мл/мин. Для проведения сорбции в контур диализного аппарата 5008 в линию забора крови до гемофильтра подключен аппарат MultiFiltrate (Fresenius Medical Care), в контур которого подключена колонка для сорбции цитокинов «Эфферон ЦТ» (ООО «Нанолек», Россия), скорость кровотока в этом контуре 100 мл/мин. Возврат крови после гемосорбции осуществлялся в контур после гемофильтра перед воздушной ловушкой (рис. 3). Учитывая гипокоагуляцию, повышенную кровоточивость из мест пункции, экстракорпоральная детоксикация проводилась без антикоагулянтов. Однако спустя 2 ч после начала процедуры отмечены начальные признаки тромбирования в контуре колонки для сорбции цитокинов, в связи с чем начато введение в этот контур нефракционированного гепарина в дозе 300 МЕ/ч, в контур ГДФ антикоагулянты не добавляли. Сорбцию цитокинов проводили в течение 9 ч на одной колонке, ГДФ выполняли в течение 24 ч. В результате сорбции цитокинов в сочетании с ГДФ достигнута нормализация артериального давления, инфузия норадреналина прекращена через 2 ч после начала, а к окончанию процедуры снизилась концентрация лактата артериальной крови до 2,2 ммоль/л, температура тела – до 37,7ºС. Через 1 сут после начала сорбции цитокинов сердечный индекс уменьшился до 4,8 л/мин/м2, нормализовалось периферическое сосудистое сопротивление. Концентрация ИЛ-6 через 4,5 ч от начала процедуры уменьшилась в 7 раз и составила 10 600 пкг/мл. В течение последующих 5 дней концентрации воспалительных маркеров продолжали уменьшаться: ИЛ-6 – до 543 пкг/мл, СРБ – до 6,7 мг/л, ферритина – до 16 651 нг/мл (см. табл. 1, рис. 2), что сопровождалось нормализацией функции печени, регрессом геморрагического синдрома, аритмии, уменьшением концентрации тропонина I до 0,14 нг/мл.
Рис. 3. Подключение гемофильтра и сорбционной колонки «Эфферон ЦТ» на двух аппаратах. / Fig. 3. Connecting a hemofilter and a sorption apparatus "Efferon CT" with two devices.
На 11-й день после трансфузии CAR-T-лимфоцитов в гемограмме отмечено увеличение количества лейкоцитов до 2,0×109/л, среди которых Т-лимфоциты составили 98,8%, а CAR-T-лимфоциты – 36,3% Т-лимфоцитов, в миелограмме бластные клетки составили 0%, а лимфоциты – 98,8% (см. рис. 1, б). При иммунофенотипировании лимфоцитов выявлена популяция цитотоксических Т-лимфоцитов CD3+CD8+CD16-CD56-, В-лимфоциты и бластная популяция не обнаружены. Однако через 3 дня вновь отмечено уменьшение количества лейкоцитов до 0,33×109/л (T-лимфоциты составили 95%, CAR-T-лимфоциты – 55% T-лимфоцитов), а в миелограмме бластные клетки составили 1%, лимфоциты – 92% (табл. 2).
Таблица 2. Динамика изменений гемограммы и миелограммы после введения CAR-T-лимфоцитов / Table 2. Dynamics of hemogram and myelogram after administration of CAR-T lymphocytes
Время от введения CAR-T-лимфоцитов | Количество | ||||
бластных клеток в костном мозге, % | лимфоцитов в костном мозге, % | лейкоцитов в гемограмме, ×109/л | Т-лимфоцитов в гемограмме, % | CAR-T-лимфоцитов в гемограмме, % Т-лимфоцитов | |
До введения | 92 | 6,8 | 0,3 | – | – |
11-й день | 0 | 98,8 | 2,0 | 98,8 | 36,3 |
14-й день | 1 | 92 | 0,3 | 95 | 54,6 |
28-й день | 7,6 | 20 | 0,1 | 78,1 | 42 |
40-й день | 1,4 | 1,4 | 8,2 | 2,4 | 19 |
54-й день | 3,2 | 2 | 4,7 | 2,9 | 0 |
На протяжении последующих 3 нед сохранялась анурия, проводился гемодиализ (ГД). Через 33 дня после трансфузии CAR-T-лимфоцитов восстановилась функция почек. Спустя 1,5 мес после трансфузии CAR-T-клеток в миелограмме бластные клетки составили 1,4%, по данным иммунофенотипического исследования опухолевые клетки не обнаружены, в гемограмме: лейкоциты 8,2×109/л (представлены в основном зрелыми формами нейтрофилов; Т-лимфоциты составили 2,4%, CAR-T-лимфоциты – 19% T-лимфоцитов), тромбоциты – 114×109/л, гемоглобин – 91 г/л. Персистенция CAR-T-лимфоцитов составила 54 дня. Общая длительность агранулоцитоза (с момента рецидива заболевания до восстановления абсолютного значения числа нейтрофилов >0,5×109/л) составила 6 мес. Период агранулоцитоза после трансфузии CAR-T-клеток – 32 дня. Таким образом, достигнута ремиссия В-ОЛЛ. Спустя 2 мес после трансфузии CAR-T-клеток у больного сохранялась ремиссия, минимальная резидуальная болезнь не выявлялась.
Обсуждение
CAR-T-терапия позволяет добиться успеха в случаях, когда химиотерапия оказывается безуспешной, однако у 47% больных развиваются угрожающие жизни осложнения [12]. Ранняя летальность в ОРИТ у перенесших CAR-T-терапию составляет 6%, 90-дневная летальность – 22,5% [13]. До 27% больных после CAR-T-терапии вследствие СВЦ нуждаются в вазопрессорной терапии [13], 44% – в оксигенотерапии, 13% – в искусственной вентиляции легких (ИВЛ) [2]. Риск развития СВЦ зависит от объема опухоли, типа клеточного продукта, поскольку конструкция химерных клеток и технология их производства влияют на способность клеток к пролиферации и на их активность, а также дозы химерных клеток, предшествующей лимфодеплетирующей химиотерапии, сопутствующей патологии [14]. В приведенном наблюдении у больного был высокий риск развития СВЦ, поскольку имелась большая опухолевая масса. Конструкция химерных клеток также оказывает влияние на сроки развития и продолжительность СВЦ [5]. Медиана времени развития СВЦ после трансфузии CAR-Т-клеток II поколения, Yescarta и Kimriah, составила 2–3 дня, медиана продолжительности клинических проявлений – 8 дней [15]. Больному А. выполнено введение биспецифических анти-CD19/анти-CD22 CAR-Т-клеток. В I фазе клинического исследования биспецифических CAR-T-клеток СВЦ манифестировал на 5-й день после введения, симптомы сохранялись на протяжении 7 дней, не отмечено СВЦ 3 и 4-й степени [16]. Мы наблюдали развитие СВЦ на 7-й день после трансфузии анти-CD19/анти-CD22 CAR-Т-клеток, еще через 3 дня СВЦ достиг 3-й степени.
ОПП при СВЦ чаще всего обусловлено гипоперфузией вследствие гиповолемии и гипотензии. Частота ОПП при СВЦ достигает 19% [17]. До 9% больных нуждаются в проведении ЗПТ [2]. В описываемом клиническом случае развитию ОПП помимо гипоперфузии почек способствовали повышение миоглобина в результате ишемического повреждения во время шока и синдром лизиса опухоли, о чем свидетельствовали гиперурикемия и гиперкалиемия.
Другим органом, вовлеченным в СВЦ, явилась печень. Печеночную коагулопатию, синдром цитолиза, гипераммониемию можно объяснить воздействием CAR-T-клеток на пораженную лимфоидной опухолью печень.
В различных исследованиях тоцилизумаб в качестве 1-й линии терапии применялся у 27–43% больных с СВЦ [2, 15]. Реверсия симптомов после его назначения происходила в течение 1–3 дней. Повторное введение тоцилизумаба потребовалось у 9–13% больных [2]. В нашем случае введение тоцилизумаба оказалось неэффективным. В подобных ситуациях в качестве терапии «2-й линии» возможно применение ГКС, однако имеются данные, что они могут негативно влиять на активность CAR-T-лимфоцитов и их противо- опухолевый эффект [18]. Тем не менее в различных центрах при СВЦ после CART-терапии у 8–23% больных проводили терапию ГКС [2], а в работе китайских исследователей [19] показано, что применение ГКС не влияло на пролиферацию, длительность функционирования CAR-T-клеток и исходы лечения больных В-ОЛЛ. Мы воздержались от введения ГКС, поскольку у больного при развитии СВЦ отсутствовали признаки нейротоксичности, и эффект в конечном итоге достигнут другими методами лечения.
Принимая во внимание роль гиперцитокинемии в патогенезе СВЦ [6, 7, 20], мы применили у больного экстракорпоральную сорбцию цитокинов. Принцип сорбции заключается в использовании картриджа из биосовместимого материала, представляющего собой сополимер стирола и дивинилбензола, способного неселективно в пространствах большого количества пор адсорбировать молекулы средней молекулярной массы (8–75 кДа), в том числе цитокины, путем «просеивания» через поры и гидрофобных взаимодействий. Размер пор составляет 300–400 мкм, их общая поверхность – более 40 тыс. м2, площадь этой поверхности определяет сорбционную емкость. Колонка может использоваться изолированно либо в сочетании с ЗПТ. В качестве антикоагулянтов используют гепарины или цитрат натрия. Скорость кровотока, в зависимости от рекомендаций производителя, варьирует от 150 до 700 мл/мин. Терапевтическое действие подобных колонок заключается в выведении цитокинов из организма и, тем самым, восстановлении нормального соотношения провоспалительных и противовоспалительных молекул [20], причем клиренс цитокинов зависит от их концентрационного градиента: чем выше концентрация цитокинов в крови, тем быстрее они сорбируются [21].
В экспериментах показана эффективность сорбции цитокинов при различных состояниях, сопровождающихся повышением их концентрации в крови, однако результаты клинического применения сорбции цитокинов неоднозначны. В контролируемых рандомизированных клинических исследованиях не установлено влияния этой процедуры на концентрацию цитокинов в крови и на летальность у больных с септическим шоком [8] и кардиохирургическими осложнениями [10], хотя она позволяла уменьшить дозу используемых вазопрессорных препаратов, предотвратить прогрессию полиорганной дисфункции [21].
Впервые об успешном применении сорбции цитокинов при развитии СВЦ после CAR-Т-терапии сообщили G. Bottari и соавт. [6]. Они описали больного В-ОЛЛ 14 лет, которому выполнена CAR-T-терапия, осложнившаяся тяжелым СВЦ, что потребовало проведения ИВЛ, вазопрессорной терапии. Больному проведена терапия метилпреднизолоном и сорбция цитокинов с помощью колонки Cytosorb в комбинации с ЗПТ. Тоцилизумаб введен через 6 ч после поступления в ОРИТ, затем на 3 и 4-е сутки начала гемосорбции. В результате отмечено уменьшение сывороточной концентрации ИЛ-6 с 4048 до 248 пг/мл. На 12-й день прекращена ИВЛ, на 19-й день больной выписан из ОРИТ.
K. Stahl и соавт. [7] применили сорбцию цитокинов для лечения СВЦ 4-й степени тяжести после CAR-T-терапии у мужчины 64 лет с рецидивом диффузной В-крупноклеточной лимфомы. В качестве терапии 1-й линии применили тоцилизумаб. Однако спустя 24 ч развился шок, проводилась вазопрессорная, инотропная терапия, ЗПТ, ИВЛ. Выполнено еще 2 введения тоцилизумаба. Учитывая отсутствие эффекта от проводимого лечения, подключена колонка Cytosorb. После 24 ч процедуры отмечено уменьшение концентрации в крови цитокинов, достигнута стабилизация гемодинамики, успешно завершена ИВЛ.
Мы применили для лечения СВЦ колонку «Эфферон ЦТ». Применение этих колонок с дополнительно иммобилизированным липополисахарид-селективным лигандом было эффективно при лечении больных с септическим шоком [9]. В настоящем наблюдении экстракорпоральная детоксикация и сорбция цитокинов начаты через 4 ч после развития шока. Отмечены нормализация параметров гемодинамики в течение первых часов сорбции цитокинов и быстрое уменьшение сывороточной концентрации ИЛ-6, что можно объяснить изначально высоким ее значением (70 тыс. пкг/мл) и более высоким концентрационным градиентом в сравнении с исследованиями других авторов [6, 7]. Причем 7-кратное уменьшение концентрации ИЛ-6 произошло в первые 4,5 ч, а в последующие 4,5 ч проведения сорбции цитокинов концентрация ИЛ-6 существенно не менялась, вероятно, вследствие сатурации мембраны. Состояние больного стабилизировалось в течение суток. В результате CAR-T-терапии достигнута ремиссия основного заболевания, которая сохранялась при сроке наблюдения 2 мес после данной терапии.
Заключение
Таким образом, сорбция цитокинов может служить альтернативным или дополнительным вариантом лечения СВЦ тяжелой степени при проведении CAR-T-терапии, способствующим стабилизации гемодинамики и позволяющим предотвратить дальнейшее прогрессирование синдрома полиорганной дисфункции.
Конфликт интересов. Авторы заявляют об отсутствии конфликта интересов.
Conflict of interests. The authors declare no conflict of interest.
Работа не имела финансовой поддержки. Колонка «Эфферон ЦТ» безвозмездно предоставлена компанией ООО «Нанолек» (Россия).
The paper had no any financial support. The "Efferon CT" column was donated by LLC "Nanolek" (Russia).
Список сокращений
АЧТВ – активированное частичное тромбопластиновое время
B-ОЛЛ – острый B-лимфобластный лейкоз
ГД – гемодиализ
ГДФ – гемодиафильтрация
ГКС – глюкокортикостероиды
ЗПТ – заместительная почечная терапия
ИВЛ – искусственная вентиляция легких
ИЛ – интерлейкин
ЛДГ – лактатдегидрогеназа
ОПП – острое повреждение почек
ОРИТ – отделение реанимации и интенсивной терапии
СВЦ – синдром высвобождения цитокинов
CРБ – C-реактивный белок
CAR-T-терапия (Chimeric Antigen Receptor T-Cell) – терапия T-клетками с химерным антигенным рецептором
About the authors
Antonina E. Shchekina
National Research Center for Hematology
Author for correspondence.
Email: shekina_ae@mail.ru
ORCID iD: 0000-0002-7916-2322
аспирант ОРИТ
Russian Federation, MoscowGennadii M. Galstyan
National Research Center for Hematology
Email: shekina_ae@mail.ru
ORCID iD: 0000-0001-8818-8949
д-р мед. наук, зав. ОРИТ
Russian Federation, MoscowOlga A. Gavrilina
National Research Center for Hematology
Email: shekina_ae@mail.ru
ORCID iD: 0000-0002-9969-8482
канд. мед. наук, врач отд-ния интенсивной высокодозной химиотерапии гемобластозов
Russian Federation, MoscowNatalia M. Arapova
National Research Center for Hematology
Email: shekina_ae@mail.ru
ORCID iD: 0000-0002-6026-5989
врач группы диализа ОРИТ
Russian Federation, MoscowSvetlana Iu. Bronyakina
National Research Center for Hematology
Email: shekina_ae@mail.ru
ORCID iD: 0000-0003-1492-1735
врач экспресс-лаборатории ОРИТ
Russian Federation, MoscowEkaterina S. Kotova
National Research Center for Hematology
Email: shekina_ae@mail.ru
ORCID iD: 0000-0002-7968-1923
аспирант
Russian Federation, MoscowVera V. Troitskaya
National Research Center for Hematology
Email: shekina_ae@mail.ru
ORCID iD: 0000-0002-4827-8947
канд. мед. наук, зам. дир. по лечебной работе, зав. отд-нием высокодозной химиотерапии гемобластозов и депрессий кроветворения
Russian Federation, MoscowElena N. Parovichnikova
National Research Center for Hematology
Email: shekina_ae@mail.ru
ORCID iD: 0000-0001-6177-3566
д-р мед. наук, зав. отд-нием химиотерапии гемобластозов, депрессий кроветворения и ТКМ
Russian Federation, MoscowMikhail A. Maschan
Dmitry Rogachev National Medical Research Center of Pediatric Hematology, Oncology and Immunology
Email: shekina_ae@mail.ru
ORCID iD: 0000-0003-1735-0093
д-р мед. наук, врач-гематолог, зам. ген. директора – дир. Высшей школы молекулярной и экспериментальной медицины
Russian Federation, MoscowValerii G. Savchenko
National Research Center for Hematology
Email: shekina_ae@mail.ru
ORCID iD: 0000-0001-8188-5557
акад. РАН, д-р мед. наук, проф., генеральный дир.
Russian Federation, MoscowReferences
- June CH, O’Connor RS, Kawalekar OU, et al. CAR T cell immunotherapy for human cancer. Science. 2018;359(6382):1361-5. doi: 10.1126/science.aar6711
- Maude SL, Laetsch TW, Buechner J, et al. Tisagenlecleucel in Children and Young Adults with B-Cell Lymphoblastic Leukemia. N Engl J Med. 2018;378(5):439-48. doi: 10.1056/nejmoa1709866
- Gutierrefz C, Brown ART, Herr MM, et al. The chimeric antigen receptor-intensive care unit (CAR-ICU) initiative: Surveying intensive care unit practices in the management of CAR T-cell associated toxicities. J Crit Care. 2020;58:58-64. doi: 10.1016/j.jcrc.2020.04.008
- Lee DW, Santomasso BD, Locke FL, et al. ASTCT Consensus Grading for Cytokine Release Syndrome and Neurologic Toxicity Associated with Immune Effector Cells. Biol Blood and Marrow Transplant. 2019;25(4):625-38. doi: 10.1016/j.bbmt.2018.12.758
- Si S, Teachey DT. Spotlight on tocilizumab in the treatment of car-t-cell-induced cytokine release syndrome. Ther Clin Risk Manag. 2020;16:705-14. doi: 10.2147/TCRM.S223468
- Bottari G, Merli P, Guzzo I, et al. Multimodal Therapeutic Approach of Cytokine Release Syndrome Developing in a Child Given Chimeric Antigen Receptor-Modified T Cell Infusion. Crit Care Explor. 2020;2(1):e0071. doi: 10.1097/cce.0000000000000071
- Stahl K, Schmidt BMW, Hoeper MM, et al. Extracorporeal cytokine removal in severe CAR-T cell associated cytokine release syndrome. J Crit Care. 2020;57:124-9. doi: 10.1016/j.jcrc.2020.02.010
- Schädler D, Pausch C, Heise D, et al. The effect of a novel extracorporeal cytokine hemoadsorption device on IL-6 elimination in septic patients: A randomized controlled trial. Plos ONE. 2017;12(10):e018715. doi: 10.1371/journal.pone.0187015
- Magomedov MA, Kim TG, Masolitin SV, et al. Use of sorbent based on hypercrosslinked styrene-divinylbenzene copolymer with immobilized LPS-selective ligand in hemoperfusion for treatment of patients with septic shock. Obshchaya Reanimatologiya. 2021;16(6):31-53. doi: 10.15360/1813-9779-2020-6-31-53
- Bernardi MH, Rinoesl H, Dragosits K, et al. Effect of hemoadsorption during cardiopulmonary bypass surgery – a blinded, randomized, controlled pilot study using a novel adsorbent. Crit Care. 2016;20(1):96. doi: 10.1186/s13054-016-1270-0
- Al Shareef K, Bakouri M. Cytokine Blood Filtration Responses in COVID-19. Blood Purif. 2020;50(2):141-9. doi: 10.1159/000508278
- Azoulay E, Shimabukuro-Vornhagen A, Darmon M, et al. Critical care management of chimeric antigen receptor T cell-related toxicity be aware and prepared. Am J Respir Crit Care Med. 2019;200(1):20-3. doi: 10.1164/rccm.201810-1945ED
- Azoulay E, Castro P, Maamar A, et al. Critical Care Management of CAR-T Cell Recipients: The CARTTAS International Study. Lancet Haematol. 2021;8(5):e355-64. doi: 10.1016/S2352-3026(21)00060-0
- Gutierrez C, McEvoy C, Mead E, et al. Management of the critically ill adult chimeric antigen receptor-t cell therapy patient: A critical care perspective. Crit Care Med. 2018;46(9):1402-10. doi: 10.1097/CCM.0000000000003258
- Neelapu SS, Locke FL, Bartlett NL, et al. Axicabtagene ciloleucel CAR T-cell therapy in refractory large B-Cell lymphoma. N Engl J Med. 2017;377(26):2531-44. doi: 10.1056/NEJMoa1707447
- Dai H, Wu Z, Jia H, et al. Bispecific CAR-T cells targeting both CD19 and CD22 for therapy of adults with relapsed or refractory B cell acute lymphoblastic leukemia. J Hematol Oncol. 2020;13(1):30. doi: 10.1186/s13045-020-00856-8
- Gupta S, Seethapathy H, Strohbehn IA, et al. Acute Kidney Injury and Electrolyte Abnormalities After Chimeric Antigen Receptor T-Cell (CAR-T) Therapy for Diffuse Large B-Cell Lymphoma. Am J Kidney Dis. 2020;76(1):63-71. doi: 10.1053/j.ajkd.2019.10.011
- Davila ML, Riviere I, Wang X, et al. Efficacy and toxicity management of 19-28z CAR T cell therapy in B cell acute lymphoblastic leukemia. Sci Transl Med. 2014;6(224):224ra45. doi: 10.1126/scitranslmed.3008226
- Liu S, Deng B, Yin Z, et al. Corticosteroids do not influence the efficacy and kinetics of CAR-T cells for B-cell acute lymphoblastic leukemia. Blood Cancer J. 2020;10(2):15. doi: 10.1038/s41408-020-0280-y
- Ankawi G, Xie Y, Yang B, et al. What Have We Learned about the Use of Cytosorb Adsorption Columns? Blood Purif. 2019;48(3):196-202. doi: 10.1159/000500013
- Kogelmann K, Jarczak D, Scheller M, et al. Hemoadsorption by CytoSorb in septic patients: A case series. Crit Care. 2017;21(1):74. doi: 10.1186/s13054-017-1662-9
Supplementary files






