Pulmonary health: From neonatology to gerontology
- Authors: Chuchalin A.G.1
-
Affiliations:
- Pirogov Russian National Research Medical University (Pirogov University)
- Issue: Vol 97, No 3 (2025): Пульмонология
- Pages: 222-227
- Section: Editorial article
- Submitted: 08.04.2025
- Accepted: 08.04.2025
- Published: 15.04.2025
- URL: https://ter-arkhiv.ru/0040-3660/article/view/678254
- DOI: https://doi.org/10.26442/00403660.2025.03.203235
- ID: 678254
Cite item
Full Text
Abstract
Pulmonary health is a key aspect of modern medicine, covering all age groups, from neonatology to gerontology. The article addresses the impact of genetic factors, environment, and human lifestyle on the development of respiratory diseases. Particular attention is paid to the role of genetic predisposition, embryonic disorders, and external factors such as air pollutants and tobacco smoking in the development of chronic lung diseases. Data on the structural and functional development of the respiratory system, its age-related changes, and the risks associated with the involution of the lung tissue are presented. An interdisciplinary approach, including cooperation between pediatricians, therapists, and pulmonologists, is essential for the early diagnosis and effective treatment of respiratory diseases. Particular attention is paid to the impact of new scientific advances, including genomic research and artificial intelligence systems, on diagnosing and treating respiratory diseases.
Keywords
Full Text
Список сокращений
Введение
Клиническая медицина находится под большим влиянием исследований, которые проводятся по программе генома человека, технологии редактирования генома на основе взаимодействия с системами искусственного интеллекта. Так, можно констатировать, что теперь уже на постоянной основе довольно часто описываются новые болезни, синдромы, биологические маркеры, значительно расширен перечень редких болезней и с некоторым опозданием внедряются орфанные лекарственные средства. Этот процесс диктует изменение парадигмы подготовки врача нового поколения.
Педиатрия исторически развивалась под влиянием терапии. Современный врач-педиатр для того, чтобы глубже разобраться в проблеме больного ребенка, должен быть хорошо осведомлен о проблемах здоровья матери и отца, в то же самое время врач-терапевт, пульмонолог, аллерголог должны быть хорошо ориентированы в педиатрическом анамнезе своего пациента. Определенная группа болезней относится к периоду развития эмбриона и может быть рассмотрена как аномалия внутриутробного периода или иметь генетическую природу своего происхождения. Этот принцип касается не только респираторной медицины, он актуален и для нефрологии, гастроэнтерологии, кардиологии и многих других дисциплин внутренней медицины. Данная статья сфокусирована на проблеме легочного здоровья.
Актуальность легочного сердца в контексте глобального здравоохранения
Стратегия Всемирной организации здравоохранения привлекает внимание к группе хронических неспецифических заболеваний человека, к которым относят сердечно-сосудистую патологию, включая и болезни мозга, а также онкологические и эндокринологические заболевания. Особую тревогу вызывает легочное здоровье. Так, если удалось добиться существенного снижения смертности от сердечно-сосудистых заболеваний, также наметилась позитивная тенденция и в группе онкологических заболеваний, то следует констатировать, что в мире смертность по причине легочной патологии только возрастает.
Рис. 1. Основные причины смертности современной популяции.
Fig. 1. The main causes of death in the modern population.
На рис. 1 представлены официальные данные Всемирной организации здравоохранения по причинам смертности населения и тех тенденций и рисков заболеваемости, которые сложились в настоящее время в большинстве стран.
Генетические и экологические факторы, влияющие на легочное сердце
Легочное здоровье человека в значительной мере предопределено наследственностью и обусловлено влиянием различных социально-гигиенических факторов. Дети часто болеют бронхиальной астмой (БА), если эта болезнь была у их родителей. Так, генетическая предрасположенность ребенка к БА будет равна 50%, в случае если его мать имеет это заболевание. В том случае, когда оба родителя больны аллергическим заболеванием, ребенок на 75% наследует аллергическую аномальную конституцию. Разумеется, фатальная зависимость часто и не прослеживается, но иметь данные о здоровье родителей для врача-педиатра весьма важно.
Большую роль в развитии респираторной системы играют аэрополлютанты. Они часто оказывают негативную роль на развитие эмбриона, включая как морфологические, так и функциональные изменения его респираторной системы. Академик В.А. Таболин провел исследование по влиянию табакокурения и употребления алкогольных напитков на развитие плода и смог убедительно показать их негативное влияние на легочное здоровье ребенка. Недоношенность плода, маловесность при рождении играют существенную роль в предрасположенности ребенка к частым инфекционным заболеваниям дыхательных путей, что нередко является и причиной развившихся хронических заболеваний у человека.
Возрастные изменения легочной системы
Альвеологенез проходит несколько этапов формирования в период эмбрионального развития, в последующий период жизни человека респираторная система развивается до 30-летнего возраста, и далее наступает этап ее инволюции. Ежегодно регистрируется снижение вентиляционных показателей легочной функции, она значительно снижается в геронтологической популяции.
Таблица 1. Изменения размеров структур легких в процессе роста [1].
Table 1. Changes in the size of lung structures during growth
Возраст | Число | Площадь | Число генераций | Площадь |
Новорожденный | 24 | 2,8 | – | 0 |
3 мес | 77 | 7,2 | 21 | 0,29 |
7 мес | 112 | 8,4 | – | 0,38 |
13 мес | 129 | 12,2 | 22 | 0,45 |
22 мес | 160 | 14,2 | – | 0,5 |
4 года | 257 | 22,2 | – | 0,67 |
8 лет | 280 | 32,0 | 23 | 0,92 |
Молодой взрослый человек | 296 | 75,0 | 23 | 1,9 |
Увеличение с момента рождения, раз | ||||
10 | 21 | – | 9 | |
На табл. 1 представлены данные по динамике альвеолярной поверхности легких ребенка.
Число альвеол с периода младенчества возрастает более чем в 10 раз у взрослого человека; активный период альвеологенеза приходится на подростковый период развития. Морфологическая эволюция респираторный системы человека тесно связана с ее функциональной способностью.
Рис. 2. Защита легких в детстве.
Fig. 2. Lung protection in childhood.
На рис. 2 представлена характеристика вентиляционной функции легких. Низкие показатели функционального состояния легких у детей являются одной из причин, почему они оказываются так восприимчивы к респираторным инфекционным заболеваниям как вирусной, так и бактериальной природы. Многие факторы риска оказывают предельно негативное влияние на функциональное развитие респираторной системы. К ним следует отнести внешние и внутренние поллютанты, табакокурение (включая и такие их современные формы, как электронные сигареты, вейпы), а также наркоманию и др.
Как видно из графического изображения динамики вентиляционной функции легких, ее пик приходится на возраст приблизительно 30 лет; в последующий период жизни человека наступает ее инволюция.
Этапы эмбрионального и постнатального развития легких: от псевдожелезистой до альвеолярной стадии
Особое место в патологии органов дыхания занимают эмбриопатии. Формы данной патологии носят разнообразный характер; они классифицируются как мальформация, секвестрация и бронхогенные кисты. На рис. 3 графически изображены стадии развития респираторной системы [2].
Рис. 3. Этапы развития легких.
Fig. 3. Stages of lung development.
Наиболее часто эмбриопатия респираторной системы приходится на 17–36-ю неделю беременности, т.е. на канальцевый и мешотчатый периоды развития плода.
Клинические проявления врожденной гипоплазии легочной ткани
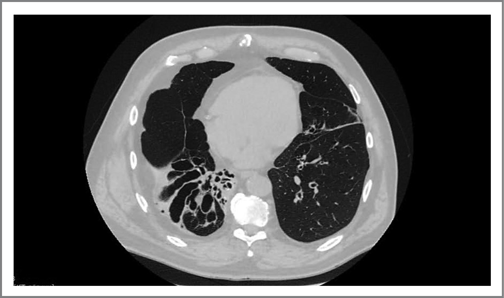
В клинике наблюдается мужчина 75 лет, который с раннего детства страдал частыми инфекционными заболеваниями дыхательных путей; каждое обострение сопровождалось усилением кашля, увеличивалось отхождение слизисто-гнойной мокроты и усиливалась одышка. Более 30 лет назад пациент прошел обследование в клинике. При проведении компьютерной томографии (КТ) органов грудной клетки обнаружена гипоплазия нижней доли правого легкого, кистозная дегенерация бронхов, адгезивный плеврит.
Рис. 4. КТ больного с врожденной гипоплазией легочной ткани.
Fig. 4. CT scan of a patient with congenital hypoplasia of pulmonary tissue.
На рис. 4 представлены данные КТ наблюдаемого больного. В мокроте постоянно высевалась Pseudomonas aeruginosa. Многократно проводили антибактериальную терапию, к которой возбудитель заболевания – синегнойная палочка – стал резистентен. В программу лечения пациента включены бактериофаги, и в лабораторных условиях приготовлена индивидуально вакцина против P. aeruginosa. В конечном счете инфекционный процесс удалось стабилизировать и минимизировать число обострений инфекционных заболеваний исследуемого лица. Однако возникает вопрос о природе рецидивирующей инфекции дыхательных путей данного больного. В этом случае речь идет о врожденных гипоплазии нижней доли правого легкого и кистозных бронхоэктазов, что следует отнести к области эмбриопатий.
В 1950–80-е годы больных с подобной патологией органов дыхания относили к категории имеющих хроническую пневмонию. По инициативе академика Ф.Г. Углова они подвергались хирургическим методам лечения. Долгое время считалось, что эта группа больных должна быть отнесена к раритетам. Однако широкое внедрение в клиническую практику современных методов имидж-диагностики существенно повысило уровень выявляемости пациентов с аномалией развития респираторной системы.
Учитывая современные прогрессивные тенденции в неонатологии, которые позволили добиться выхаживания новорожденных детей с низкой массой тела, врожденной дисплазией бронхолегочной системы, можно ожидать, что число больных с эмбриопатией респираторной системы будет возрастать.
В клинике накопился опыт по наблюдению за больными с мальформацией, дивертикулом трахеи и крупных бронхов, а также секвестрацией. Сегодня это единичные наблюдения, но, как уже было указано ранее, научный прогноз свидетельствует о возможном росте данной когорты больных. Нужно отметить, что аномалиям в развитии легких способствуют такие факторы риска, как табакокурение беременных, их алкоголизация, употребление наркотических средств, а также перенесенные вирусные инфекции в период вынашивания ребенка.
Особую группу заболеваний респираторной системы составляют генетически детерминированные, к которым следует отнести муковисцидоз, дефицит α-1-антитрипсина [3], синдром Янга, первичную цилиарную дискинезию, синдром Картагенера (situs inversus, врожденные бронхоэктазы), врожденную эмфизему легких, лимфангиолеймиоматоз и другие заболевания.
Необходимо подчеркнуть, что постоянно ведется поиск новых генетических стигм, особенно у той категории больных, родители которых находятся в кровном браке. Так, нами описана уникальная форма немалиновой миопатии, осложненной гиперкапнической дыхательной недостаточностью, у молодого мужчины-чуваша, родители которого были братом и сестрой [4].
Особое место занимают больные муковисцидозом. Значительный прогресс в лечении этой категории генетического заболевания достигнут за счет внедрения патогенетической терапии. В серии больных муковисцидозом, которые наблюдаются в клинике, легочная трансплантация в течение последних 10 лет проведена у 43 больных. В настоящее время как метод лечения она практически не рассматривается, так как под влиянием патогенетической терапии удалось значительно улучшить качество жизни этой категории больных. Нами описана редкая форма сочетания муковисцидоза с дефицитом α-1-антитрипсина. Больной наблюдался в клинике свыше 20 лет [3].
Генетические заболевания часто раскрываются как полиморбидные, демонстрируя выраженные антропометрические изменения скелета, сочетание патологии сердечно-сосудистой системы с респираторной и другими признаками генетического заболевания. Далее приводится описание случая легочного фенотипа синдрома Марфана (СМ) [5]. Эта патология впервые описана парижским педиатром А. Марфаном, который наблюдал девочку 5 лет астенического сложения и выраженными признаками дисплазии соединительной ткани [6].
Рис. 5. Антуан Бернар-Жан Марфан (1858–1942).
Fig. 5. Antoine Bernard-Jean Marfan (1858–1942).
А. Марфан, определивший аутосомное доминантное генетическое заболевание у девочки 5 лет, изображен на рис. 5.
СМ: клинические проявления и легочный фенотип
В клинике наблюдается молодой мужчина 22 лет, студент медицинского университета, который поступил по каналу скорой помощи с клинической картиной правостороннего пневмоторакса.
Пневмотораксы чередовались у пациента один за другим, носили двусторонний характер. При осмотре больного обратили внимание на астеническую конституцию; антропометрическое исследование выявило долихостеномелию, арахнодактилию, килевидную деформацию грудной клетки, готическую форму твердого неба. На рис. 6 можно видеть признаки долихостеномелии, арахнодактилии. Левая плевральная полость дренирована вследствие рецидивирующего пневмоторакса.
Рис. 6. Клиническое наблюдение пациента с СМ.
Fig. 6. A clinical case of a patient with Marfan syndrome.
Диспластический характер поражения соединительной ткани демонстрируется таким признаком, как арахнодактилия (рис. 7).
Считается, что СМ наблюдался у таких выдающихся личностей, какими были Н. Паганини, Х.К. Андерсон, К.И. Чуковский. Подчеркивается, что среди людей с этой формой генетического заболевания часто встречаются высокоодаренные индивидуумы.
Рис. 7. Арахнодактилия у пациента с СМ.
Fig. 7. Arachnodactyly in a patient with Marfan syndrome.
СМ связывают с мутацией гена, кодирующего гликопротеин фибриллин-1 (FBN-1), что и обусловливает дисплазию соединительной ткани. В настоящее время отсутствует орфанное лекарственное средство для коррекции мутации гена, кодирующего фибриллин-1. Учитывается высокая эндогенная продукция адреналина, поэтому этой категории больных рекомендуется принимать пожизненно блокаторы адренергических рецепторов. Данное клиническое наблюдение представляет клинический интерес: во-первых, запоздалой диагностикой СМ, во-вторых, легочным фенотипом синдрома, проявлением которого явились рецидивирующие пневмотораксы – это редкая форма заболевания. Основной причиной смерти больных с СМ является расслаивающаяся аневризма аорты.
Ожирение и его влияние на респираторную систему
Междисплинарной всеобъемлющей проблемой в современной медицинской практике является избыточная масса тела как у детей, так и у взрослых. Ожирение – фактор риска таких патологий, как сахарный диабет, сердечно-сосудистые и онкологические заболевания, синдром гипопноэ/апноэ во время сна, остеоартиты и целый ряд других также социально значимых заболеваний человека. По официальной информации Минздрава России, избыточная масса тела среди девочек с 1975 по 2016 г. выросла с 0,7 до 5,6%, у мальчиков за этот же период – с 0,9 до 7,8%. Последние эпидемиологические исследования по проблеме ожирения свидетельствуют о том, что более чем у 25% детского населения регистрируется избыточная масса тела. Ожирение как медико-биологическая и социальная проблема вышло на одно из первых мест в структуре заболеваемости и смертности современного общества. Как болезнь ожирение имеет гетерогенную природу происхождения, и часто она своим началом уходит в детский период развития человека. Сегодня известна целая группа генетических синдромов, которые предрасполагают к развитию ожирения. К таковым относят синдромы Прадера–Вилли, Барде–Бидля, Альстрёма, Паллистера (ульнарно-маммарный синдром), Бёрьесона–Форсмана–Лемана, Карпентера, Коэна [7]. Для них характерна разная локализация мутирующего гена в геноме человека, что лишний раз подчеркивает гетерогенную природу ожирения как болезни, часто своими корнями уходящую в генетическую природу. Для успешного лечения больных с ожирением необходима тесная кооперация врачей разных специальностей; в контексте данной статьи хотелось бы подчеркнуть тесное взаимодействие врача-педиатра и врача-терапевта и пульмонолога в разработке эффективных и результативных программ лечения и профилактики ожирения.
БА и ХОБЛ: возрастные аспекты развития
Среди многочисленных хронических заболеваний органов дыхания лидирующее место принадлежит БА и хронической обструктивной болезни легких (ХОБЛ). БА обычно дебютирует в детском возрасте и со временем может трансформироваться во взрослую форму заболевания. В клинической картине БА детского возраста и у человека во взрослом состоянии имеется целый ряд отличий; они затрагивают клинические проявления самой болезни и существенно зависят от морфофункциональных особенностей возраста человека, а также от природы этиологических факторов болезни. Однако суть болезни сохранена, и успешная реализация лечебной программы зависит часто от кооперации как педиатра и терапевта, так и врача-пульмонолога.
ХОБЛ традиционно считается болезнью человека, возраст которого чаще всего превышает 40-летний рубеж. Современная концепция ХОБЛ исходит из принципа контролируемости заболевания (или первичной и вторичной профилактики): болезнь можно предотвратить и успешно ее лечить. Иначе говоря, остро стоит проблема ранней диагностики ХОБЛ, т.е. предХОБЛ. В таком случае возникает необходимость выявлять начальные признаки этой социально значимой болезни уже в подростковый период. Это положение основано на том факте, что, к большому сожалению, дети подросткового возраста начинают курить. В этот период их жизни легочные структуры особенно чувствительны к повреждающему действию химических субстанций, входящих в состав табачного дыма.
Заключение
Современная клиническая медицина основана на парадигме, которая, с одной стороны, включает исторически сложившие принципы классической медицинской науки, с другой стороны, основана на тех научных достижениях, которые привнесли исследования по геному человека и его редактированию на основе взаимодействия с системами искусственного интеллекта. Открылись новые горизонты в познании человека в период его болезни. Под влиянием современных диагностических программ, которые охватывают широкий круг методов: молекулярно-биологических, генетического типирования, имидж-диагностики и других, – открылась возможность описывать новые болезни, синдромы, активно выявлять диагностические и лечебные биологические маркеры. Результатом этого направления является значительное расширение круга редких болезней и создания орфанных лекарственных средств. В связи с этим возникает необходимость оптимизировать подготовку врачей по специальностям «педиатрия» и «терапия». На современном этапе врач-педиатр должен быть хорошо осведомлен о состоянии здоровья родителей своего маленького пациента; в то же самое время врачи терапевт, пульмонолог, аллерголог должны владеть медицинской информацией о здоровье своего взрослого пациента начиная с периода его детства. С учетом современных достижений в неонатологии врач все чаще будет встречаться с патологией респираторной системы пациента, возникшей у него еще на этапе эмбрионального развития. Накапливается все больше данных о генетической природе заболеваний органов дыхания, позволяющих разрабатывать индивидуальные подходы к их диагностике и лечению. Наконец, такие самые распространенные заболевания дыхательной системы, какими являются БА и ХОБЛ, имеют педиатрический анамнез, что и должен учитывать современный врач-терапевт.
Раскрытие интересов. Автор декларирует отсутствие явных и потенциальных конфликтов интересов, связанных с публикацией настоящей статьи.
Disclosure of interest. The author declare that he has no competing interests.
Вклад автора. Автор декларирует соответствие своего авторства международным критериям ICMJE.
Author’s contribution. The author declare the compliance of his authorship according to the international ICMJE criteria.
Источник финансирования. Автор декларирует отсутствие внешнего финансирования для проведения исследования и публикации статьи.
Funding source. The author declare that there is no external funding for the exploration and analysis work.
About the authors
Alexander G. Chuchalin
Pirogov Russian National Research Medical University (Pirogov University)
Author for correspondence.
Email: i.batova@omnidoctor.ru
ORCID iD: 0000-0002-5070-5450
акад. РАН, доктор медицинских наук, профессор, зав. каф. госпитальной терапии педиатрического фак-та
Russian Federation, MoscowReferences
- Polgar G, Weng TR. The functional development of the respiratory system from the period of gestation to adulthood. Am Rev Respir Dis. 1979;120(3):625-95. PMID: 384853
- Шемяков С.Е., Федосов А.А. Анатомия и гистология легких. В кн.: Респираторная медицина: руководство: в 5 т. Под ред. А.Г. Чучалина. 3-е изд., доп. и перераб. М.: ПульмоМедиа, 2024. Т. 1 [Shemiakov SE, Fedosov AA. Anatomiia i gistologiia legkikh. V kn.: Respiratornaia meditsina: rukovodstvo: v 5 t. Pod red. AG Chuchalina. 3-e izd., dop. i pererab. Moscow: Pul'moMedia, 2024. T. 1 (in Russian)].
- Чучалин А.Г., Кронина Л.А., Воронина Л.М., Самильчук Е.И. Случай сочетания муковисцидоза с дефицитом альфа-1-антитрипсина. Пульмонология. 1994;(3):82-4 [Chuchalin AG, Kronina LA, Voronina LM, Samilchuk EI. A case of combination of cystic fibrosis with alfa-1-antitripsin deficitis. Pulmonologiya. 1994;(3):82-4 (in Russian)].
- Чучалин А.Г., Амирова Т.О., Бродская О.Н., и др. Гиперкапническая форма дыхательной недостаточности у больного с немалиновой миопатией. Пульмонология. 2023;33(2):279-86 [Chuchalin AG, Amirova TO, Brodskaya ON, et al. Hypercapnic respiratory failure in a patient with nemaline myopathy. Pulmonologiya. 2023;33(2):279-86 (in Russian)]. doi: 10.18093/0869-0189-2023-33-2-279-286
- Чучалин А.Г. Энциклопедия редких болезней. М.: ГЭОТАР-Медиа; Литтерра, 2014 [Chuchalin A.G. Entsiklopediia redkikh boleznei. Moscow: GEOTAR-Media; Litterra, 2014 (in Russian)].
- Marfan AB. Un cas de déformation congénital des quatre members plus pronouncée aux extrémitiés charactérisée par l'allongement des os avec un certain degré d'amonassesment. Bull Mém Soc Méd Hôpital (Paris). 1896;13:220-6.
- Респираторная медицина. Руководство. Под ред. А.Г. Чучалина. М.: ГЭОТАР-Медиа, 2018. Т. 3 [Respiratornaia meditsina. Rukovodstvo. Pod red. AG Chuchalina. Moscow: GEOTAR-Media, 2018. T. 3 (in Russian)].
Supplementary files










