Aggressive course of ectopic ACTH syndrome due to adrenal medulla hyperplasia. Case report
- Authors: Kats M.V.1, Lugovskaya A.Y.1, Komerdus I.V.1, Britvin T.A.1, Gurevich L.E.1, Ilovayskaya I.A.1
-
Affiliations:
- Vladimirsky Moscow Regional Research Clinical Institute
- Issue: Vol 97, No 10 (2025): Issues of endocrinology
- Pages: 867-874
- Section: Case reports
- Submitted: 13.03.2025
- Accepted: 02.07.2025
- Published: 11.11.2025
- URL: https://ter-arkhiv.ru/0040-3660/article/view/677066
- DOI: https://doi.org/10.26442/00403660.2025.10.203376
- ID: 677066
Cite item
Full Text
Abstract
The article presents a description of a clinical case of an ectopic focus of adrenocorticotropic hormone (ACTH) hypersecretion located in the adrenal medulla in a 64-year-old obese woman without other characteristic clinical signs of hypercorticism, with complaints of rapidly progressing lower limb edema, severe muscle weakness, loss of appetite, weight loss by 4 kg, as well as stage 2 arterial hypertension and type 2 diabetes mellitus. The patient's blood biochemistry showed severe hypokalemia, up to 2.2 mmol/l, despite infusion and oral therapy with potassium preparations. Taking into account the clinical picture and ECG and Echo-CG results, coronary heart disease, functional class II angina, and stage II A chronic heart failure, functional class II according to the New York Heart Association scale were diagnosed. During the laboratory and instrumental examination, endogenous hypercorticism was confirmed, high ACTH values were revealed, there were no visualized pituitary formations – ACTH ectopic syndrome was diagnosed. The patient's severe condition (severe hypokalemia, myopathy, progressive edema of the lower extremities) against the background of the added SARS-CoV-2 infection did not allow for a full topical diagnosis, and therefore the patient underwent a life-saving operation in the amount of bilateral adrenalectomy. In the postoperative period, a significant decrease in the ACTH level was noted, which became the basis for searching for the primary focus of ACTH ectopia in the removed adrenal tissue. According to the results of the immunohistochemical study, ACTH -secreting cells were detected in the medulla of both adrenal glands. This clinical case demonstrates the need for clinical alertness regarding endogenous hypercorticism and demonstrates the uniqueness of the localization of the primary focus of ACTH ectopia.
Full Text
Список сокращений
АГ – артериальная гипертензия
АД – артериальное давление
АКТГ – адренокортикотропный гормон
ИГХ – иммуногистохимический
ИМТ – индекс массы тела
КТ – компьютерная томография
МРТ – магнитно-резонансная томография
МСКТ – мультиспиральная компьютерная томография
ПЭТ/КТ – комбинированная позитронно-эмиссионная и рентгеновская компьютерная томография
СД – сахарный диабет
HbA1c – гликированный гемоглобин
Введение
Эндогенный гиперкортицизм – редкий симптомокомплекс, формирующийся вследствие хронической гиперсекреции кортизола и ассоциированный с повышенной смертностью и значительным снижением качества жизни. Наиболее характерными клиническими проявлениями гиперкортицизма считаются ожирение центрального типа, общая и мышечная слабость, «лунообразное» гиперемированное лицо, широкие стрии, репродуктивные нарушения – эти симптомы встречаются более чем у 1/2 пациентов [1–3], хотя этим список возможных симптомов не ограничивается.
Наиболее распространенной причиной эндогенного гиперкортицизма (до 80% случаев) является автономная гиперсекреция адренокортикотропного гормона (АКТГ) аденомой гипофиза (этот вариант заболевания получил название болезни Иценко–Кушинга). В более редких случаях к эндогенному гиперкортицизму приводит автономная АКТГ-независимая гиперсекреция кортизола образованиями коры надпочечника. Среди наиболее редких причин эндогенного гиперкортицизма – эктопическая гиперсекреция АКТГ опухолями внегипофизарной локализации (АКТГ-эктопический синдром) [1–3].
Диагностика эндогенного гиперкортицизма проводится в несколько этапов. На I этапе подтверждается гиперсекреция кортизола 2 любыми методами из 3:
1) повышение суточной экскреции свободного кортизола с мочой;
2) повышение уровня свободного кортизола в 23:00 в слюне;
3) отсутствие подавления уровня кортизола после приема 1 мг дексаметазона в 23:00 накануне («малая» дексаметазоновая проба).
После подтверждения гиперсекреции кортизола определяют уровень АКТГ для дифференциальной диагностики АКТГ-зависимых и АКТГ-независимых вариантов заболевания: «низконормальные» и подавленные показатели свидетельствуют в пользу АКТГ-независимой автономной гиперсекреции кортизола образованиями надпочечников, в связи с чем рекомендуется проведение мультиспиральной компьютерной томографии (МСКТ) надпочечников. «Высоконормальные» и повышенные концентрации АКТГ (АКТГ-зависимая форма гиперкортицизма) являются показанием для проведения магнитно-резонансной томографии (МРТ) гипофиза с контрастированием для поиска АКТГ-секретирующей аденомы гипофиза, при отсутствии визуализации образований проводится дальнейший поиск эктопического очага гиперсекреции АКТГ [1–3].
Наиболее часто эктопическими источниками АКТГ становятся мелкоклеточный рак легкого (10–40%), нейроэндокринные неоплазии с локализацией в бронхах (20–40%), поджелудочной железе (10–20%) или тимусе (5–10%); среди более редких причин можно назвать медуллярный рак щитовидной железы (2–10%) и феохромоцитому (2–6%) [3–6]. Однако в 19–20% случаев АКТГ-эктопического синдрома установить первичный очаг не удается [1–4, 6], что представляет собой диагностическую и терапевтическую проблему.
АКТГ-эктопический синдром чаще ассоциирован со среднетяжелыми и тяжелыми клиническими проявлениями гиперкортицизма, и у большинства больных встречаются такие проявления, как артериальная гипертензия (АГ), прогрессирующая мышечная слабость, выраженная гипокалиемия, остеопороз и/или низкотравматичные переломы, нарушения углеводного обмена [4, 6]. Описаны различные варианты течения АКТГ-эктопического синдрома – «вялотекущий» и «агрессивный» [7]. В случае «вялотекущего» варианта заболевания клиническая картина в значительной степени похожа на таковую при болезни Иценко–Кушинга, уровни кортизола и АКТГ умеренно повышены, клиническая симптоматика прогрессирует постепенно, есть возможность провести дифференциальную диагностику и выявить первичный очаг [7]. В случаях «агрессивного» варианта течения заболевания клиническая картина может быть атипичной, преобладают признаки и симптомы катаболизма белков, уровни кортизола и АКТГ чрезвычайно высоки, а состояние пациента быстро ухудшается [7]. В последнем случае провести топический поиск первичного очага АКТГ-эктопии не представляется возможным в связи с тяжелым состоянием пациентов, и билатеральная адреналэктомия становится методом спасения жизни [8, 9].
Мы представляем клинический случай агрессивного течения тяжелого АКТГ-зависимого синдрома эндогенного гиперкортицизма, потребовавшего двусторонней адреналэктомии по витальным показаниям. Последующее обследование пациентки показало, что эктопическим источником АКТГ была диффузная гиперплазия мозгового слоя надпочечников с эктопией АКТГ-продуцирующих клеток – крайне редко встречающийся феномен.
Описание клинического случая
Пациентка К. 64 лет в марте 2021 г. после сильного эмоционального стресса и физического перенапряжения отметила ухудшение самочувствия: появление и быстрое прогрессирование отеков нижних конечностей, выраженной мышечной слабости, снижение аппетита, снижение массы тела на 4 кг, в связи с чем обратилась к терапевту по месту жительства.
Из анамнеза известно, что масса тела длительное время была избыточной (при росте 155 см вес был стабильно 82 кг, индекс массы тела – ИМТ составлял 34,1 кг/м2), однако по этому поводу к врачам не обращалась. С 50 лет (с 2007 г.) отмечала единичные эпизоды повышения артериального давления (АД) до 150 и 100 мм рт. ст., возникающие преимущественно на фоне эмоционального стресса, которые купировались самостоятельно. С 55 лет (с 2012 г.) подъемы АД участились до 1–2 раз в месяц, максимальные значения возросли до 170 и 100 мм рт. ст., терапевтом назначена терапия препаратами эналаприл – 10 мг/сут (принимала постоянно), бисопролол – 2,5 мг/сут (принимала ситуационно при повышении АД). Со слов пациентки, до возраста 64 лет (до 2021 г.) при ежегодном амбулаторном обследовании АД фиксировалось в пределах целевых значений, других заболеваний не выявлено.
При физикальном осмотре (март 2021 г.): рост – 155 см, масса тела – 78 кг, ИМТ – 32,5 кг/м2, подкожно-жировая клетчатка развита избыточно, распределена равномерно; сухость кожных покровов, выраженные отеки голеней и стоп, дыхание везикулярное, ослабленное, частота дыхательных движений – 14 в минуту, тоны сердца глухие, ритм правильный, частота сердечных сокращений – 64 уд/мин, АД – 120 и 80 мм рт. ст. Дизурии нет, стул регулярный.
При лабораторно-инструментальном обследовании (март 2021 г.):
- впервые выявлена гипергликемия натощак до 7,1–8,0 ммоль/л, гликированный гемоглобин (HbA1c) – 6,4%;
- исключен первичный гипотиреоз как причина отеков: тиреотропный гормон – 2,1 мМЕ/л (референсные значения – 0,3–4,2 мкМЕ/мл), свободный тироксин – 15,48 пмоль/л (референсные значения – 11,5–22,7 пмоль/л);
- ультразвуковое исследование брюшной полости: выявлены камни желчного пузыря.
Установлен диагноз «Сахарный диабет 2-го типа (СД 2), целевой уровень HbA1c – менее 7,5%. АГ 2-й степени. Желчнокаменная болезнь, острый холецистит? Ожирение 1-й степени по классификации Всемирной организации здравоохранения».
К проводимой терапии добавлена пероральная сахароснижающая терапия (эмпаглифлозин – 25 мг/сут), по поводу желчнокаменной болезни проведено оперативное лечение в апреле 2021 г.
После холецистэктомии самочувствие пациентки не улучшилось: прогрессировала мышечная слабость, продолжала снижаться масса тела на фоне отсутствия аппетита, нарастали отеки нижних конечностей, которые распространились до нижней трети бедер, появилась спутанность сознания, пациентка почти утратила возможность самостоятельно передвигаться.
В мае 2021 г. пациентка консультирована эндокринологом, впервые диагностировано значимое снижение уровня калия в крови до 2,6 ммоль/л (при референсных значениях – 4,0–5,5). С учетом прогрессирующей мышечной слабости, выраженной гипокалиемии, впервые выявленного СД 2 заподозрен синдром эндогенного гиперкортицизма: выполнены малая дексаметазоновая проба и оценка суточной экскреции кортизола с мочой, которые подтвердили выраженную гиперсекрецию кортизола (результаты представлены в табл. 1). Пациентке назначены препараты калия – до 1000 мг/сут и спиронолактон –150 мг/сут.
Таблица 1. Лабораторное обследование пациентки К. 64 лет (май 2021 года)
Table 1. Laboratory examination of patient K., 64 years old (May, 2021)
Показатель | Значение | Референсный интервал |
Кортизол суточной мочи, нмоль/л | 7364,6 | 57,7–806,8 |
Кортизол крови в ходе малой дексаметазоновой пробы, нмоль/л | 1641,2 | <50 |
АКТГ крови, пг/мл | ||
8:00 | 661,0 | 5–46 |
23:00 | 434,6 | 5–46 |
Кортизол крови, нмоль/л | ||
8:00 | 1739,0 | 101,2–535,7 |
23:00 | 1236,6 | 79–447,8 |
На следующем этапе дифференциальной диагностики эндогенного гиперкортицизма выявлено значительное повышение уровня АКТГ, что указывало на АКТГ-зависимый вариант эндогенного гиперкортицизма (см. табл. 1).
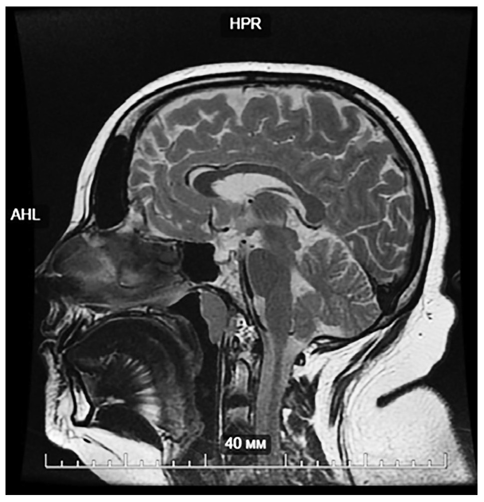
Пациентке была выполнена МРТ гипофиза с контрастированием (напряженность магнитного поля – 3Т): вертикальный размер гипофиза 2 см – «пустое» турецкое седло; аденомы гипофиза не выявлено (рис. 1).
Рис. 1. МРТ гипоталамо-гипофизарной области с контрастированием, Т2-взвешенное изображение, сагиттальная проекция. Вещество аденогипофиза располагается в виде тонкой полоски равномерной толщины вдоль дна турецкого седла, верхний контур железы ровный, вогнутый. Вещество гипофиза достигает максимальной толщины 2,4 мм. Воронка гипофиза определяется в сагиттальной плоскости. Хиазма определяется, не деформированна. Супраселлярная цистерна выраженно расширена, пролабирует в полость турецкого седла.
Fig. 1. Magnetic resonance imaging of the hypothalamic-pituitary region with contrast, T2-weighted image, sagittal projection. The substance of the adenohypophysis is located in the form of a thin strip of uniform thickness along the bottom of the sella turcica, the upper contour of the gland is smooth, concave. The substance of the pituitary gland reaches a maximum thickness of 2.4 mm. The pituitary infundibulum is determined in the sagittal plane. The chiasm is determined, not deformed. The suprasellar cistern is significantly expanded, prolapses into the cavity of the sella turcica.
С учетом подтвержденного эндогенного гиперкортицизма на фоне почти 14-кратного повышения АКТГ, отсутствия визуализации опухоли гипофиза установлен предварительный диагноз «АКТГ-эктопический синдром (без подтвержденного первичного очага), гиперкортицизм тяжелого течения. Осложнения: вторичный СД (целевой уровень HbA1c – менее 7,5%). Сердечная недостаточность? АГ 2-й степени. Ожирение 1-й степени по классификации Всемирной организации здравоохранения. Стероидная миопатия».
В связи с ухудшением состояния пациентка экстренно госпитализирована в отделение эндокринологии ГБУЗ МО «МОНИКИ им. М.Ф. Владимирского».
При физикальном осмотре (май 2021 г.): рост – 155 см, масса тела – 74 кг, ИМТ – 30,8 кг/м2, подкожно-жировая клетчатка развита избыточно, распределена равномерно, стрий нет, сухость кожных покровов, отеки нижних конечностей (до верхней трети бедер), частота дыхательных движений – 15 в минуту, дыхание везикулярное ослабленное, хрипов нет, тоны сердца глухие, ритм правильный, частота сердечных сокращений – 70 уд/мин, АД – 130 и 80 мм рт. ст., дизурии нет, стул регулярный.
При лабораторно-инструментальном обследовании (май 2021 г.):
- в биохимическом анализе крови калий – 2,2 ммоль/л (4,0–5,2), общий кальций – 1,91 ммоль/л (2,2–2,65), альбумин – 31 г/л, глюкоза натощак – 9,5 ммоль/л;
- данные электрокардиографии: синусовая брадикардия – до 56 уд/мин, мелкоочаговые поражения миокарда, субэндокардальная ишемия, парные и одиночная парасистолы, преходящая блокада правой ножки пучка Гиса;
- данные эхокардиографии: глобальная сократимость миокарда не нарушена, фракция выброса левого желудочка – 74%, нарушение диастолической функции миокарда по 1-му типу, умеренная гипертрофия миокарда левого желудочка, умеренное количество жидкости в полости перикарда, начальные признаки повышения давления в легочной артерии, регургитация на трикуспидальном клапане 1-й степени;
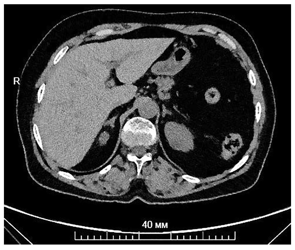
- МСКТ органов шеи, грудной клетки, брюшной полости и малого таза выявила: очаговое образование в легких – S1/2 доли слева, округлой формы, ровными контурами, размерами 9×6 мм; гиперплазия обоих надпочечников (рис. 2).
Рис. 2. МСКТ органов брюшной полости с контрастированием. Надпочечники: обычно расположены, диффузно утолщены, плотностью в нативную фазу – 28 HU, в артериальную – 97 HU, в венозную – 111 HU, в выделительную – 62 HU.
Fig. 2. Multispiral computed tomography of abdominal organs with contrast. Adrenal glands: usually located, diffusely thickened, density in the native phase – 28 HU, in the arterial phase – 97 HU, in the venous phase – 111 HU, in the excretory phase – 62 HU.
По результатам дообследования дополнен диагноз: «АКТГ-эктопический синдром (нейроэндокринная неоплазия левого легкого?), гиперкортицизм тяжелого течения. Осложнения: вторичный СД (целевой уровень HbA1c – менее 7,5%). АГ 2-й степени. Ожирение 1-й степени по классификации Всемирной организации здравоохранения. Ишемическая болезнь сердца, стенокардия напряжения II функционального класса, хроническая сердечная недостаточность IIA-стадии, II функционального класса по шкале NYHA (New York Heart Association). Стероидная миопатия».
Скорректировано лечение: увеличена дозировка препаратов калия – до 5000 мг/сут (внутривенное введение 3 г 4% раствора калия хлорид, пероральная терапия – 525 мг калия аспарагинат и 1500 мг калия оротат) и спиронолактона – до 200 мг/сут, также добавлена ацетилсалициловая кислота – 100 мг/сут; в связи с развитием брадикардии бисопролол отменен.
Учитывая ухудшающееся состояние пациентки, отсутствие стабилизации уровня калия на фоне массивной инфузионной и пероральной терапии, для определения дальнейшей тактики лечения 18.05.2021 проведен врачебный консилиум, в результате которого принято решение о проведении хирургического лечения в объеме двусторонней адреналэктомии по витальным показаниям.
Однако 19.05.2021 при переводе в хирургическое отделение у пациентки выявлен положительный мазок на SARS-CoV-2. Ее перевели в инфекционное отделение ГБУЗ МО «МОНИКИ им. М.Ф. Владимирского», повторно выполнена компьютерная томография (КТ) органов грудной клетки, где выявлена двусторонняя пневмония со степенью поражения легких до 25%. К проводимой терапии добавлены противовирусные, антибактериальные препараты и антикоагулянтная терапия.
20.05.2021 выполнена двусторонняя эндоскопическая адреналэктомия. После операции пациентке проводили заместительную терапию глюко- и минералокортикостероидами – внутривенные инфузии преднизолона по 60 мг с последующим переводом на пероральную форму 15 мг/сут, флудрокортизон – 0,2 мкг/сут.
В течение 10 дней отмечалось постепенное улучшение самочувствия пациентки: значительное уменьшение отеков нижних конечностей, регресс мышечной слабости, повышение аппетита; по данным лабораторного обследования было отмечено повышение уровня калия до 3,5 ммоль/л на фоне приема препаратов калия, АД было в пределах целевых значений. Пациентка выписана с улучшением под наблюдение эндокринолога Консультативно-диагностического центра ГБУЗ МО «МОНИКИ им. М.Ф. Владимирского» со следующей терапией: преднизолон – 15 мг/сут, флудрокортизон – 0,2 мкг/сут, линаглиптин – 5 мг/сут, калия аспарагинат – 525 мг/сут. Затем в течение месяца под контролем самочувствия дозировка преднизолона постепенно снижена до 7,5 мг/сут, флудрокортизона – до 0,05 мкг/сут; уровень калия нормализовался (4,5 ммоль/л), и препараты калия отменены.
Для поиска первичного эктопического очага гиперсекреции АКТГ пациентка направлена на проведение комбинированной позитронно-эмиссионной и рентгеновской КТ (ПЭТ/КТ) с 68Ga-DOTA-TATE – участков накопления радиофармпрепарата не обнаружено, описано негативное образование в S1/2 доли левого легкого (гамартома?), негативные неравномерные участки уплотнения в S6 правого и S9 левого легкого (рис. 3).
Рис. 3. ПЭТ-КТ с 68Ga-DOTA-TATE, 6 мес после двусторонней адреналэктомии. Признаков 68Ga-DOTA-TATE-позитивной опухоли не выявлено; негативное образование в S1/2 доли левого легкого (гамартома?); негативные неравномерные участки уплотнения S6 правого и S9 левого легкого; негативное образование в правой доле щитовидной железы; кисты почек.
Fig. 3. Positron emission tomography – computed tomography with 68Ga-DOTA-TATE, 6 months after bilateral adrenalectomy. No signs of 68Ga-DOTA-TATE-positive tumor; negative formation in S 1/2 lobe of left lung (hamartoma?); negative irregular areas of consolidation in S6 of right and S9 of left lung; negative formation in right lobe of thyroid gland; renal cysts.
При контрольном обследовании через 4–8 мес после операции отмечено значительное снижение уровня АКТГ до 179,37–169,3 пг/мл (при референсных значениях – 5–46 пг/мл), что не соответствовало значениям до операции. Выдвинута гипотеза о том, что очаг АКТГ-эктопии находился в удаленной ткани надпочечников, в связи с этим проведено иммуногистохимическое (ИГХ) исследование постоперационного материала с использованием антител к АКТГ (рис. 4).
Рис. 4. Правый (a–c) и левый (d–f) надпочечники. Мозговое вещество правого надпочечника имеет нечеткие контуры (a, отмечено звездочкой), а мозговое вещество левого надпочечника утолщено и гиперплазировано (d, отмечено звездочкой). Окраска гематоксилином и эозином, ув. 40. Экспрессия хромогранина А в клетках мозгового вещества правого (b) и левого (e) надпочечников, ув. 125. АКТГ-секретирующие клетки, диффузно распределенные в мозговом веществе правого (c) и левого (f) надпочечников, ув. 250.
Fig. 4. Right (a–c) and left (d–f) adrenal glands. The medulla of the right adrenal gland has fuzzy contours (a, marked with an asterisk), and the medulla of the left adrenal gland is thickened and hyperplastic (d, marked with an asterisk). Hematoxylin and eosin staining, magnification 40. Expression of chromogranin A in the cells of the medulla of the right (b) and left (e) adrenal glands, magnification 125. ACTH-secreting cells diffusely distributed in the medulla of the right (c) and left (f) adrenal glands, magnification 250.
При гистологическом исследовании мозговое вещество правого надпочечника имело нечеткие, несколько размытые контуры (см. рис. 4, а), а в левом надпочечнике, напротив, наблюдались утолщение и гиперплазия мозгового вещества (см. рис. 4, d), что хорошо видно при ИГХ-исследовании с хромогранином А (см. рис. 4, b, e). При этом в мозговом веществе обоих надпочечников при реакции с антителами к АКТГ выявлялись многочисленные диффузно распределенные в их ткани АКТГ-секретирующие клетки (см. рис. 4, c, f).
Таким образом, верифицирован необычный первичный очаг АКТГ-эктопии в мозговом слое обоих надпочечников.
В дальнейшем в динамике, через 3,5 года после адреналэктомии, наблюдалось снижение уровня АКТГ до 33,5 пг/мл на фоне заместительной терапии надпочечниковой недостаточности.
Обсуждение
У пациентки с длительно существующим ожирением с равномерным распределением подкожно-жировой клетчатки и контролируемой АГ в возрасте 64 лет резко ухудшилось состояние: появились и прогрессировали отеки, возникла и нарастала мышечная слабость, впервые выявлен СД 2 без значительного повышения уровня HbA1c. Как уже обсуждалось ранее, ожирение, АГ и СД 2 являются частыми проявлениями гиперкортицизма [1–3], с одной стороны. С другой стороны, это часто встречающиеся состояния в общей популяции [10, 11]. Категории взрослых пациентов, кому рекомендовано обследование для исключения гиперкортицизма, включают:
- молодых людей с остеопорозом и низкотравматичными переломами, СД и ожирением, АГ, репродуктивными нарушениями, быстрой прибавкой массы тела в сочетании с выраженной общей и мышечной слабостью;
- пациентов с характерными для гиперкортицизма изменениями внешности и множеством разнообразных клинических проявлений гиперкортицизма; пациентов со случайно выявленным новообразованием надпочечника;
- пациентов любого возраста с плохо контролируемым СД и/или АГ в сочетании с ожирением или быстрой прибавкой массы тела;
- пациентов с переломами тел позвонков, особенно множественными переломами в возрасте до 65 лет [1, 2].
Строго говоря, данная пациентка не подходила ни под одну из них: у пациентки многие годы масса тела была стабильной, хотя и высокой (к тому же при ухудшении состояния она стала терять, а не набирать массу тела), АГ развилась в возрасте 55 лет и была контролируемой, при этом выявление СД 2 у пациентки старше 60 лет с длительно существующим ожирением не является эксклюзивной ситуацией, переломов у пациентки не было. Согласно российским исследованиям, несмотря на значительную вариабельность возраста больных с АКТГ-эктопическим синдромом, медиана возраста пациентов с этим заболеванием соответствует 39–40 годам [4, 5], поэтому возраст дебюта заболевания у пациентки тоже был не самый типичный. Однако поводом для диагностики эндогенного гиперкортицизма явились прогрессирующая мышечная слабость и выявленная тяжелая гипокалиемия, которые характерны для АКТГ-эктопического синдрома [3]. В ходе лабораторного обследования подтверждена гиперсекреция кортизола и АКТГ.
Отсутствие визуализации образований гипофиза не гарантирует наличие эктопической секреции АКТГ, так как кортикотропиномы могут быть микроскопических размеров [1, 2]. Кроме того, описаны случаи сочетания гормонально-неактивной опухоли гипофиза и АКТГ-эктопического синдрома [4]. Однако столь значимо повышенные концентрации АКТГ и кортизола в сочетании с миопатией и некоррегируемой гипокалиемией характерны именно для агрессивного варианта АКТГ-эктопического синдрома [6, 7]. Последующая тактика ведéния пациентки предполагала поиск эктопического очага секреции АКТГ, и по данным МСКТ органов грудной клетки выявлено образование в верхних отделах левого легкого. Новообразования легкого – наиболее частая локализация АКТГ-секретирующих внегипофизарных опухолей [4–6], и мы предположили, что выявленное образование легкого есть источник гиперпродукции АКТГ. Тем не менее быстрое прогрессирование симптомов сердечной недостаточности, несмотря на активное терапевтическое лечение, не позволило закончить топическую диагностику, и была выбрана жизнесохраняющая операция в объеме двусторонней адреналэктомии. Ситуация осложнилась присоединившейся вирусной инфекцией SARS-CoV-2, которая является доказанным фактором высокого риска ухудшения состояния пациентов с гиперкортицизмом [12]. Несмотря на тяжелое состояние пациентки и развившуюся вирусную пневмонию, операция прошла успешно, позволила добиться контроля над симптомами гиперкортицизма и избежать летального исхода. Двусторонняя адреналэктомия – эффективный метод купирования симптомов гиперкортицизма в случае быстропрогрессирующего заболевания [8, 9, 13].
После стабилизации состояния пациентки продолжен диагностический поиск первичного очага АКТГ-эктопии. При ПЭТ/КТ с 68Ga-DOTA-TATE не выявлено накопления радиофармпрепарата в каких-либо очагах, в том числе в левом легком. Этот метод обследования считается достаточно чувствительным для диагностики АКТГ-секретирующих нейроэндокринных внегипофизарных опухолей [14–16], хотя в последнее время обсуждаются преимущества применения 68Ga-DOTA-TATE при внелегочной локализации нейроэндокринных опухолей [17], а также комбинации методов ПЭТ/КТ с 68Ga-DOTA-TATE и 18F-FDG в диагностически сложных случаях, что позволяет повысить выявляемость АКТГ-эктопических опухолей до 90% случаев [14, 18]. Показано, что ПЭТ/КТ с 18F-FDG также может применяться в диагностике МР-негативных кортикотропином малых размеров1. Но в нашем случае дальнейшее обследование было приостановлено в связи с тем, что через 4 мес после операции зафиксировано значительное снижение уровня АКТГ. Такое возможно только после удаления источника гиперсекреции АКТГ, и этот факт стал основанием для поиска АКТГ-эктопического очага в удаленной ткани надпочечников. Концентрация АКТГ оставалась несколько повышенной, однако – с учетом двусторонней адреналэктомии в анамнезе – можно сказать, что уровень АКТГ соответствовал состоянию первичной надпочечниковой недостаточности [19].
АКТГ может локально вырабатываться хромаффинными клетками мозгового слоя надпочечников – считается, что в физиологических условиях локальная продукция АКТГ является основным медиатором функционального взаимодействия между мозговым и корковыми слоями надпочечника [20]. Аномальная гиперпродукция АКТГ в ткани надпочечника описана и при синдроме гиперкортицизма вследствие двусторонней макронодулярной гиперплазии надпочечников; в таких случаях АКТГ обнаруживается в субпопуляции адренокортикальных клеток, которые сохранили некоторые свойства адреногонадного зачатка в результате нарушенного эмбриогенеза [21]. Таким образом, есть данные о том, что АКТГ осуществляет регуляцию аутокринных/паракринных процессов взаимодействия между различными слоями надпочечника как в физиологических, так и в патологических условиях [20, 21].
Как уже отмечалось, в структуре причин синдрома эктопической продукции АКТГ феохромоцитомы встречаются с частотой 2–6% [1–3, 6]. Однако в нашем случае не было ни образования по данным МСКТ надпочечников, ни феохромоцитомы по данным гистологического исследования, выявлена только гиперплазия мозгового слоя надпочечников. Нам удалось найти в мировой литературе всего 5 схожих клинических случаев, когда у пациентов с АКТГ-эктопическим синдромом с неустановленным очагом выполнена двусторонняя адреналэктомия и по результатам последующего ИГХ-исследования обнаружены диффузно расположенные АКТГ-секретирующие клетки в мозговом слое надпочечников [22–24]. Среди пациентов описаны мужчина 36 лет [22], женщина 44 лет [23], еще одна женщина 28 лет и двое мужчин 28 и 31 года [24]. У всех пациентов диагностирован АКТГ-зависимый эндогенный гиперкортицизм, при этом гормональные показатели существенно варьировали: разброс превышения верхней границы референсных значений для суточной экскреции кортизола с мочой составил от 12 до 130 раз, для уровня утреннего АКТГ крови – от 1,2 до 15 раз [22, 23]; в 1-м случае уровень АКТГ был повышен только в вечернее время [22]. Клинические проявления гиперкортицизма наблюдались у 4 из 5 пациентов [22, 23], в 1 случае у женщины была только генерализованная слабость, акне и гирсутизм, ИМТ был нормальным [24]. При лабораторном обследовании у всех пациентов, как и в нашем случае, наблюдалась выраженная неконтролируемая гипокалиемия до 1,2–2,6 ммоль/л, что в том числе обусловливало тяжесть состояния пациентов. У 1 пациентки по результатам КТ забрюшинного пространства выявлено крупное образование левого надпочечника размерами 5 см, гетерогенной структуры, в связи с чем проведена левосторонняя адреналэктомия [23]. Остальным 4 из 5 пациентов в рамках поиска первичного очага АКТГ-эктопии проведено ПЭТ/КТ [22, 24]. У 1 пациента выявлено позитивное накопление в области носовой пазухи и решетчатого синуса слева, после удаления которого верифицирована нейробластома без АКТГ-секретирующих клеток [24]. Учитывая прогрессирующее ухудшение самочувствия, этим пациентам выполнена жизнесохраняющая операция в объеме двусторонней адреналкэтомии [22, 23]. В цитируемых случаях по результатам ИГХ выявлено наличие АКТГ-секретирующих клеток, диффузно расположенных в мозговом слое надпочечников [22–24]. Некоторые авторы предполагают, что данный феномен мог быть предшественником будущей феохромоцитомы, еще не сопровождающимся повышением уровня метилированных катехоламинов [22].
В нашем клиническом случае катехоламины не исследованы ввиду отсутствия визуализируемых на КТ образований надпочечников и быстропрогрессирующего ухудшения самочувствия пациентки, с одной стороны. С другой стороны, в некоторых приведенных случаях исследованы уровни катехоламинов, и они не были повышены [22, 23].
Заключение
Данный клинический случай демонстрирует необходимость клинической настороженности в отношении эндогенного гиперкортицизма у пациентов любого возраста с быстропрогрессирующими симптомами сердечной недостаточности, а также общей и мышечной слабости на фоне выраженной гипокалиемии. Самым трудоемким этапом диагностического поиска является поиск первичного очага АКТГ-эктопии, и его невозможно осуществить при агрессивном течении заболевания, особенно при уникальной локализации первичного очага АКТГ-эктопии. В таких случаях прибегают к жизнесохраняющей операции в объеме двусторонней адреналэктомии. На примере нашего клинического случая показано, что важна оценка гормонального статуса в послеоперационный период, и при значительном снижении уровня АКТГ после оперативного лечения можно заподозрить наличие очага АКТГ-эктопии в удаленной ткани надпочечников, в том числе в мозговом слое. Мы представляем уникальный – 6-й в мировой литературе – случай АКТГ-эктопического синдрома вследствие гиперплазии мозгового слоя надпочечников.
Раскрытие интересов. Авторы декларируют отсутствие явных и потенциальных конфликтов интересов, связанных с публикацией настоящей статьи.
Disclosure of interest. The authors declare that they have no competing interests.
Вклад авторов. Авторы декларируют соответствие своего авторства международным критериям ICMJE. Все авторы в равной степени участвовали в подготовке публикации: разработка концепции статьи, получение и анализ фактических данных, написание и редактирование текста статьи, проверка и утверждение текста статьи.
Authors’ contribution. The authors declare the compliance of their authorship according to the international ICMJE criteria. All authors made a substantial contribution to the conception of the work, acquisition, analysis, interpretation of data for the work, drafting and revising the work, final approval of the version to be published and agree to be accountable for all aspects of the work.
Источник финансирования. Авторы декларируют отсутствие внешнего финансирования для проведения исследования и публикации статьи.
Funding source. The authors declare that there is no external funding for the exploration and analysis work.
Информированное согласие на публикацию. Пациент подписал форму добровольного информированного согласия на публикацию медицинской информации.
Consent for publication. Written consent was obtained from the patient for publication of relevant medical information and all of accompanying images within the manuscript.
1 Цой У.А., Рыжкова Д.В., Черебилло В.Ю., и др. Способ диагностики МРТ-негативных АКТГ-продуцирующих аденом гипофиза. Патент №2699218 от 03.09.2019 (https://patents.s3.yandex.net/RU2699218C1_20190903.pdf).
About the authors
Maria V. Kats
Vladimirsky Moscow Regional Research Clinical Institute
Author for correspondence.
Email: marykats99@yandex.ru
ORCID iD: 0000-0002-1556-6942
мл. науч. сотр. отд-ния нейроэндокринных заболеваний отд. общей эндокринологии
Russian Federation, MoscowAnna Yu. Lugovskaya
Vladimirsky Moscow Regional Research Clinical Institute
Email: marykats99@yandex.ru
ORCID iD: 0000-0002-5187-1602
науч. сотр. отд-ния нейроэндокринных заболеваний отд. общей эндокринологии
Russian Federation, MoscowIrina V. Komerdus
Vladimirsky Moscow Regional Research Clinical Institute
Email: marykats99@yandex.ru
ORCID iD: 0000-0001-7469-0372
канд. мед. наук, доц., зав. отд-нием эндокринологии
Russian Federation, MoscowTimur A. Britvin
Vladimirsky Moscow Regional Research Clinical Institute
Email: marykats99@yandex.ru
ORCID iD: 0000-0001-6160-1342
д-р мед. наук, рук. хирургического отд-ния №2
Russian Federation, MoscowLarisa E. Gurevich
Vladimirsky Moscow Regional Research Clinical Institute
Email: marykats99@yandex.ru
ORCID iD: 0000-0002-9731-3649
д-р биол. наук, проф., гл. науч. сотр. патологоанатомического отд-ния
Russian Federation, MoscowIrena A. Ilovayskaya
Vladimirsky Moscow Regional Research Clinical Institute
Email: marykats99@yandex.ru
ORCID iD: 0000-0003-3261-7366
д-р мед. наук, проф., рук. отд-ния нейроэндокринных заболеваний отд. общей эндокринологии
Russian Federation, MoscowReferences
- Мельниченко Г.А., Дедов И.И., Белая Ж.Е., и др. Болезнь Иценко–Кушинга: клиника, диагностика, дифференциальная диагностика, методы лечения. Проблемы эндокринологии. 2015;61(2):55-77 [Melnichenko GA, Dedov II, Belaya ZhE, et al. Cushing’s disease: The clinical features, diagnostics, differential diagnostics, and methods of treatment. Problems of Endocrinology. 2015;61(2):55-77 (in Russian)]. doi: 10.14341/probl201561255-77
- Fleseriu M, Auchus R, Bancos I, et al. Consensus on diagnosis and management of Cushing’s disease: A guideline update. Lancet Diabetes Endocrinol. 2021;9(12):847-75. doi: 10.1016/S2213-8587(21)00235-7
- Barbot M, Zilio M, Scaroni C. Cushing's syndrome: Overview of clinical presentation, diagnostic tools and complications. Best Pract Res Clin Endocrinol Metab. 2020;34(2):101380. doi: 10.1016/j.beem.2020.101380
- Голоунина О.О., Белая Ж.Е., Рожинская Л.Я., и др. Клинико-лабораторная характеристика и результаты лечения пациентов с АКТГ-продуцирующими нейроэндокринными опухолями различной локализации. Терапевтический архив. 2021;93(10):1171-8 [Golounina OO, Belaya ZE, Rozhinskaya LYa, et al. Clinical and laboratory characteristics and results of treatment of patients with ACTH-producing neuroendocrine tumors of various localization. Terapevticheskii Arkhiv (Ter. Arkh.). 2021;93(10):1171-8 (in Russian)]. doi: 10.26442/00403660.2021.10.201102
- Гуревич Л.Е., Воронкова И.А., Марова Е.И., и др. Клинико-морфологическая характеристика АКТГ-продуцирующих опухолей различной локализации с эктопическим синдромом Кушинга. Альманах клинической медицины. 2017;45(4):289-301 [Gurevich LE, Voronkova IA, Marova EI, et al. Clinical and morphological characteristic of ACTH producing tumors of various localization and the ectopic Cushing's syndrome. Almanac of Clinical Medicine. 2017;45(4):289-301 (in Russian)]. doi: 10.18786/2072-0505-2017-45-4-289-301
- Ragnarsson O, Juhlin CC, Torpy DJ, Falhammar H. A clinical perspective on ectopic Cushing's syndrome. Trends Endocrinol Metab. 2024;35(4):347-60. doi: 10.1016/j.tem.2023.12.003
- Araujo Castro M, Marazuela Azpiroz M. Two types of ectopic Cushing syndrome or a continuum? Review. Pituitary. 2018;21(5):535-44. doi: 10.1007/s11102-018-0894-2
- Szabo Yamashita T, Sada A, Bancos I, et al. Differences in outcomes of bilateral adrenalectomy in patients with ectopic ACTH producing tumor of known and unknown origin. Am J Surg. 2021;221(2):460-4. doi: 10.1016/J.AMJSURG.2020.08.047
- Young J, Haissaguerre M, Viera-Pinto O, et al. Management of endocrine disease: Cushing’s syndrome due to ectopic ACTH secretion: An expert operational opinion. Eur J Endocrinol. 2020;182(4):R29-58. doi: 10.1530/EJE-19-087
- Бойцов С.А., Драпкина О.М., Шляхто Е.В., и др. Исследование ЭССЕ-РФ (Эпидемиология сердечно-сосудистых заболеваний и их факторов риска в регионах Российской Федерации). Десять лет спустя. Кардиоваскулярная терапия и профилактика. 2021;20(5):3007 [Boytsov SA, Drapkina OM, Shlyakhto EV, et al. Epidemiology of Cardiovascular Diseases and their Risk Factors in Regions of Russian Federation (ESSE-RF) study. Ten years later. Cardiovascular Therapy and Prevention. 2021;20(5):3007 (in Russian)]. doi: 10.15829/1728-8800-2021-3007
- Дедов И.И., Шестакова М.В., Викулова О.К., и др. Сахарный диабет в Российской Федерации: динамика эпидемиологических показателей по данным Федерального регистра сахарного диабета за период 2010–2022 гг. Сахарный диабет. 2023;26(2):104-23 [Dedov II, Shestakova MV, Vikulova OK, et al. Diabetes mellitus in the Russian Federation: Dynamics of epidemiological indicators according to the Federal Register of Diabetes Mellitus for the period 2010–2022. Diabetes Mellitus. 2023;26(2):104-23 (in Russian)]. doi: 10.14341/DM13035
- Attia A, Bertherat J. Cushing's syndrome and COVID-19. Pituitary. 2024;27(6):945-54. doi: 10.1007/s11102-024-01466-0
- Lase I, Grönberg M, Norlén O, et al. Adrenalectomy in ectopic Cushing's syndrome: A retrospective cohort study from a tertiary care centre. J Neuroendocrinol. 2021;33(12):e13030. doi: 10.1111/jne.13030
- Хорошавина А.А., Орлова Г.А., Рыжкова Д.В. Радиоизотопная диагностика эндогенного АКТГ-зависимого гиперкортицизма: обзор. Лучевая диагностика и терапия. 2023;14(4):19-27 [Khoroshavina АА, Orlova GA, Ryzhkova DV. Radioisotope diagnostics of endogenous ACTH-dependent hypercorticism: A review. Diagnostic Radiology and Radiotherapy. 2023;14(4):19-27 (in Russian)]. doi: 10.22328/2079-5343-2023-14-4-19-27
- Wannachalee T, Turcu AF, Bancos I, et al. The clinical impact of [68Ga]-DOTATATE PET/CT for the diagnosis and management of ectopic adrenocorticotropic hormone – secreting tumours. Clin Endocrinol (Oxf). 2019;91(2):288-94. doi: 10.1111/cen.14008
- Varlamov E, Hinojosa-Amaya JM, Stack M, Fleseriu M. Diagnostic utility of Gallium-68-somatostatin receptor PET/CT in ectopic ACTH-secreting tumors: A systematic literature review and single-center clinical experience. Pituitary. 2019;22(5):445-55. doi: 10.1007/s11102-019-00972-w
- Wang J, Luan Z, Li T, Guan X. Site-specific performance of 68Ga-DOTATATE PET/CT in detecting tumors with ectopic adrenocorticotropic hormone secretion. Front Oncol. 2023;13:1204963. doi: 10.3389/fonc.2023.1204963
- Liu Q, Zang J, Yang Y, et al. Head-to-head comparison of 68Ga-DOTATATE PET/CT and 18F-FDG PET/CT in localizing tumors with ectopic adrenocorticotropic hormone secretion: A prospective study. Eur J Nucl Med Mol Imaging. 2021;48(13):4386-95. doi: 10.1007/s00259-021-05370-8
- Эндокринология: национальное руководство. Под ред. И.И. Дедова, Г.А. Мельниченко. 2-е изд., перераб. и доп. М.: ГЭОТАР-Медиа, 2021 [Endokrinologiia: natsional'noe rukovodstvo. Pod red. II Dedova, GA Mel'nichenko. 2-e izd., pererab. i dop. Moscow: GEOTAR-Media, 2021 (in Russian)].
- Lefebvre H, Thomas M, Duparc C, et al. Role of ACTH in the interactive/paracrine regulation of adrenal steroid secretion in physiological and pathophysiological conditions. Front Endocrinol (Lausanne). 2016;7:98. doi: 10.3389/fendo.2016.00098
- Louiset E, Duparc C, Young J, et al. Intraadrenal corticotropin in bilateral macronodular adrenal hyperplasia. N Engl J Med. 2013;369(22):2115-25. doi: 10.1056/NEJMoa1215245
- Ершова Е.В., Сенюшкина Е.С., Трошина Е.А. АКТГ-эктопированный синдром у пациента без верифицированной опухоли. Ожирение и метаболизм. 2018;15(3):59-64 [Ershova EV, Senyushkina ES, Troshina EA. Syndrome of ectopic ACTH secretion in a patient without a verified tumor. Obesity and Metabolism. 2018;15(3):59-64 (in Russian)]. doi: 10.14341/omet9402
- Falhammar H, Calissendorff J, Höybye C. Frequency of Cushing’s syndrome due to ACTH-secreting adrenal medullary lesions: A retrospective study over 10 years from a single center. Endocrine. 2017;55(1):296-302. doi: 10.1007/s12020-016-1127-y
- Cheng Y, Li J, Dou J, et al. Case report: Three rare cases of ectopic ACTH syndrome caused by adrenal medullary hyperplasia. Front Endocrinol (Lausanne). 2021;12:1-8. doi: 10.3389/fendo.2021.687809
Supplementary files







