The introduction into clinical practice of an algorithm for the diagnosis of liver steatosis in patients with viral pneumonia
- Authors: Turankova T.A.1, Brazhnikov A.Y.1, Moroz N.G.1, Mudrova A.V.1, Varganova D.L.2, Pavlov C.S.1,3
-
Affiliations:
- Sechenov First Moscow State Medical University
- Ulyanovsk Regional Clinical Hospital
- Botkin Moscow Multidisciplinary Research and Clinical Center
- Issue: Vol 97, No 8 (2025): Treatment issues
- Pages: 704-710
- Section: Original articles
- Submitted: 12.12.2024
- Accepted: 26.08.2025
- Published: 28.08.2025
- URL: https://ter-arkhiv.ru/0040-3660/article/view/642871
- DOI: https://doi.org/10.26442/00403660.2025.08.203365
- ID: 642871
Cite item
Full Text
Abstract
Aim. To study the ability and significance of detecting liver steatosis during chest computed tomography (CT) in patients with viral pneumonia.
Materials and methods. A prospective cohort study included 100 patients over the age of 18 who were hospitalized with an established diagnosis of viral pneumonia. To CT detection significant liver steatosis (more than 33%), several approaches were used: liver density less than 40 HU; decrease in liver density by at least 10 HU less than the spleen; the ratio of decrease in liver density to the spleen is less than 0.9.
Results. According to CT data 2 groups were identified: 25 patients with existing liver steatosis and metabolically associated fatty liver disease, and 74 patients of the control group without signs of significant steatosis, оne patient was excluded due to alcohol abuse. There was a significant difference in the study of liver density (31.68 ± 10.67 and 54.44 ± 5.95; p < 0.001), the ratio of decrease in liver density to spleen density (0.66 ± 0.22 and 1.16 ± 0.13; p < 0.001), as well as a decrease in liver density relative to the spleen (16.30 ± 10.38 and -7.26 ± 6.10; p < 0.001). In the steatosis group, a more severe course of pneumonia was noted (p = 0.041). The incidence of deterioration according to CT was comparable in both groups: 19 (76%) and 45 (60.8%); p = 0.169, although its severity was higher in the group with steatosis (p = 0.012). Patients from the steatosis group were significantly more often prescribed biological (88.0 and 39.19%; p < 0.001) and antibacterial therapy (68.0 and 40.54%; p = 0.017).
Conclusion. The use of assessment of liver steatosis according to CT data simultaneously with the study of the underlying disease can become an important diagnostic step determining the prognosis of the course of the disease, as well as a tool for risk stratification in patients with metabolically associated fatty liver disease.
Full Text
Список сокращений
АГ – артериальная гипертензия
АЛТ – аланинаминотрансфераза
АСТ – аспартатаминотрансфераза
ДИ – доверительный интервал
ИМТ – индекс массы тела
КТ – компьютерная томография
МАЖБП – метаболически ассоциированная жировая болезнь печени
МРТ – магнитно-резонансная томография
НАЖБП – неалкогольная жировая болезнь печени
ОШ – отношение шансов
СД 2 – сахарный диабет 2-го типа
AUDIT (The Alcohol Use Disorders Identification Test) – тест на выявление расстройств, связанных с употреблением алкоголя
HSI (Hepatic Steatosis Index) – индекс стеатоза печени
ROI (Region of Interest) – область интереса
Введение
Проблема жировой болезни печени, ранее обозначаемой как неалкогольная жировая болезнь печени (НАЖБП), тесно связана с метаболическими нарушениями (рис. 1) [1]. По данным метаанализа 2024 г., глобальная распространенность метаболически ассоциированной жировой болезни печени (МАЖБП) составила примерно 30,2% [2]. Однако мировое научное сообщество подчеркивает, что фактическая распространенность остается недооцененной из-за недостаточного внимания к метаболическим нарушениям у пациентов со стеатозом печени. Учитывая это, на международной конференции в 2023 г. предложена новая номенклатура НАЖБП, или стеатотической болезни печени, связанной с метаболической дисфункцией, которая была принята мировым научным сообществом [3, 4]. Отмечается, что необходимо большее внимание уделять выявлению и дальнейшему наблюдению пациентов с МАЖБП на стадии стеатоза, чтобы предотвратить эволюцию до фиброза, цирроза печени и гепатоцеллюлярной карциномы [5, 6].
Рис. 1. Оптимизированные диагностические критерии МАЖБП, текущий термин – НАЖБП.
Fig. 1. Optimized diagnostic criteria for metabolically associated fatty liver disease, the current term is non-alcoholic fatty liver disease.
За последние десятилетия появилось множество точных и воспроизводимых методов оценки тяжести стеатоза. Развитие неинвазивных визуализирующих технологий обеспечило возможность безопасного, быстрого и точного определения степени стеатоза во всех сегментах печени [5, 7]. Клинические рекомендации все чаще отдают им предпочтение в качестве метода выбора в клинической практике, хотя биопсия печени остается «золотым стандартом» диагностики [4, 8–12]. Гистологическая оценка представляет собой подсчет количества гепатоцитов в процентах, содержащих внутриклеточные липидные вакуоли. Согласно классификации E. Brunt, количество таких гепатоцитов менее 5% является нормальным, к 1-й (легкой) степени поражения относится вовлечение 5–33% гепатоцитов, ко 2-й (средней) степени тяжести – 34–66% гепатоцитов, а 3-я (тяжелая) степень соответствует объему более 66% гепатоцитов [13].
Ультразвуковое исследование брюшной полости обладает достаточно высокой точностью и является наиболее распространенным методом визуализации 1-й линии у людей с повышенным уровнем печеночных ферментов или подозрением на МАЖБП [14]. Все более широкое распространение получает метод изучения контролируемого параметра затухания (Controlled Attenuation Parameter), основанный на ослаблении величины ультразвуковой волны, которое соответствует уменьшению амплитуды ультразвуковых волн по мере их распространения через печень [15]. Существуют также методы, основанные на магнитно-резонансной томографии (МРТ): магнитно-резонансная эластография (Magnetic Resonance Elastography), диффузионно-взвешенная МРТ (Diffusion-Weighted Magnetic Resonance Imaging), магнитно-резонансная спектроскопия (Magnetic Resonance Spectroscopy), МРТ протонной плотности жировой фракции (Magnetic Resonance Imaging-Proton Density Fat Fraction), которые продемонстрировали высокие показатели AUROC (площади, ограниченной ROC-кривой) для диагностики стеатоза печени [16, 17].
Хотя МРТ протонной плотности жировой фракции представляет собой наиболее точный и воспроизводимый метод количественного определения жира в печени, компьютерная томография (КТ), обладая сопоставимой диагностической точностью, играет все более важную роль в случайном выявлении стеатоза и его начальной классификации в повседневной клинической практике (табл. 1) [18–21].
Таблица 1. Сравнительные характеристики методов визуализации для диагностики стеатоза печени у пациентов с МАЖБП
Table 1. Comparative characteristics of imaging methods for the diagnosis of liver steatosis in patients with metabolically associated fatty liver disease
Метод | Достоинства | Недостатки | Диагностическая точность (AUROC) |
УЗИ | Относительно недорогой, легкая доступность, безопасный | Результат зависит от оператора, оборудования, сопутствующих факторов (воспаление, отек, фиброз, асцит и т.д.) | 0,93 ДИ (95% ДИ 0,91–0,95) для значительного стеатоза более 33% |
КТ | Относительно недорогой, доступный, быстрое получение результата, простая система оценки | Ионизирующее излучение, возможно вмешивающее влияние сопутствующих факторов (накопление железа, прием амиодарона, отеки и т.д.) | 0,94 ДИ (95% ДИ 0,92–0,96) для значительного стеатоза более 33% |
МРТ | Прямое точное измерение, высокая чувствительность и специфичность, необходимые для проведения клинических исследований | Дорогостоящая процедура, относительно ограниченная доступность в широкой клинической практике, клаустрофобия | Диффузионно-взвешенная МРТ 0,95 (95% ДИ 0,93–0,97); магнитно-резонансная эластография 0,89 (95% ДИ 0,86–0,91); магнитно-резонансная спектроскопия 0,88 (95% ДИ 0,82–0,93) |
Примечание. УЗИ – ультразвуковое исследование.
Используя обычную клиническую КТ грудной клетки и брюшной полости, можно измерять содержание жира в печени без увеличения дозы облучения и применения контраста [22]. Количественный принцип (quantitative computed tomography) для оценки жировой ткани печени заключается в определении значения ослабления рентгеновского излучения в конкретных областях интереса (ROI) в ткани печени и преобразовании его в соотношение объемов чистого жира и чистой ткани печени с помощью фантомного преобразования и формул [23]. Важно отметить, что наличие гепатита, перегрузка гликогеном, прием амиодарона, повышенное содержание железа, йодный контраст могут усиливать ослабление печени [24].
Цель исследования – изучить возможности и значение выявления стеатоза печени во время проведения КТ органов грудной клетки пациентам с вирусной пневмонией.
Материалы и методы
В когортное исследование, одобренное локальным этическим комитетом ФГАОУ ВО «Первый МГМУ им. И.М. Сеченова» (Сеченовский Университет) (протокол №04-21 от 18.04.2021), включены 100 пациентов (40 мужчин и 60 женщин) в возрасте старше 18 лет, госпитализированных с установленным диагнозом COVID-ассоциированной пневмонии в стационар г. Москвы в период с ноября 2021 по январь 2022 г. Все пациенты после подписания формы информированного согласия заполняли анкету AUDIT (The Alcohol Use Disorders Identification Test). Так, количество баллов, набранных для женщин/мужчин, соответствовало следующим оценкам: 0–4/0–8 – относительно низкий риск возникновения проблем, связанных с употреблением алкоголя, 5–9/9–13 – опасное употребление алкоголя, 10/14–16 – пагубное употребление алкоголя, более 11/17 баллов – риск возможной алкогольной зависимости [25]. Во время сбора анамнеза исключались возможные вторичные причины развития стеатоза печени, дополнительно оценивали избыточное потребление алкоголя (более 30 г чистого этанола в сутки для мужчин и более 20 г – для женщин). У всех пациентов исследованы маркеры вирусных гепатитов и ВИЧ-инфекции.
Регистрировали массу тела, рост и лабораторные данные, такие как уровни сывороточной аспартатаминотрансферазы (АСТ), аланинаминотрансферазы (АЛТ) и общего анализа крови, полученные в день поведения КТ. Индекс массы тела (ИМТ) рассчитывали как вес (кг), деленный на возведенное в квадрат значение роста (м2).
Диагноз МАЖБП установлен на основании наличия стеатоза печени в сочетании с одним (или более) фактором кардиометаболического риска (см. рис. 1) [1].
В качестве клинического показателя для прогнозирования стеатоза печени рассчитывали индекс стеатоза печени (HSI) по формуле HSI = 8 × (АЛТ/АСТ) + ИМТ (+2 – при СД 2, +2 – для женщин). При значениях < 30,0 HSI исключает стеатоз с чувствительностью 93,1%, при HSI > 36,0 – выявляет его со специфичностью 92,4% [26].
Для обнаружения стеатоза печени с помощью КТ использовалось несколько подходов: плотность печени (КТп) – менее 40 единиц Хаунсфилда (HU), ослабление плотности печени по крайней мере на 10 HU меньше, чем у селезенки (КТп-с), отношение ослабления плотности печени к селезенке – менее 0,9 (КТп/с) [27]. Исследование проводили на мультиспиральном компьютерном томографе Canon Aquilion Prime SP (TSX-303B; Canon Medical Systems, Япония). Стандартный протокол составлен с использованием следующих параметров: скорость сканирования – 100 мм/с, воспроизводимость – ± 0,25 мм, 80-рядное сканирование с толщиной среза 0,5 мм, время вращения – 0,5–0,75 с, пиковое напряжение – 120 кВп, ток в трубке – 150–250 мАс.
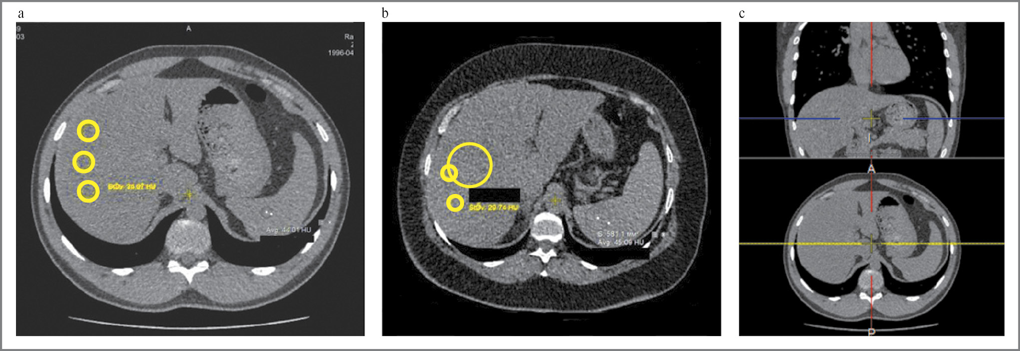
Врач-рентгенолог, ослепленный к результатам физикального и лабораторного обследований, вручную изучал ROI площадью до 1,5 см на КТ-изображениях. Для измерения ослабления сигнала в печени и селезенке ROI были расположены таким образом, чтобы исключить макроскопические сосуды печени, желчные протоки и любые очаговые поражения печени, и находились на расстоянии не менее 5–10 мм от периферии печени. Все ROI размещены в разных местах правой доли печени между сегментами печени V, VI, VII и VIII, которые определены в соответствии с классификационной системой Куино (Couinaud classification) [28]. Ослабление плотности печени измеряли путем нахождения среднего между максимальным и минимальным полученным значением HU, показатель ослабления селезенки – посредством получения одного значения ROI в HU (рис. 2).
Рис. 2. Аксиальные компьютерные томограммы без контраста в печени и селезенке. Желтым кругом выделены ROI: а – мужчина, 25 лет, КТп – 34 HU, КТс – 44 HU; b – женщина, 56 лет, КТп – 29 HU, КТс – 45 HU; c – обзорный снимок, область печени практически полностью попадает в срез при проведении КТ органов грудной клетки.
Fig. 2. Axial сomputed tomograms (CТ) without contrast in the liver and spleen. The areas of interest (ROI) are highlighted in a yellow circle: а – male, 25 years old, CТL – 34 HU, CТS – 44 HU; b – female, 56 years old, CТL – 29 HU, CТS – 45 HU; c – the liver area almost completely falls into the section during chest CT scan.
Для выбора статистического критерия оценки количественных переменных предварительно проведено сравнение их распределения с нормальным (отдельно для каждой из групп) с использованием критерия Колмогорова–Смирнова. При нормальном распределении для оценки статистической значимости различий применен критерий Стьюдента. Если распределение параметра хотя бы в одной из групп статистически значимо отличалось от нормального, то выбирали критерий Манна–Уитни. Значения нормально распределенных переменных представлено как среднее арифметическое значение (М) ± стандартное отклонение (SD). При несоответствии распределения переменной нормальному значение переменных представлено как медиана (Ме) и 25 и 75-й квартили. Для оценки статистической значимости различий значений качественных переменных применяли критерий χ2 или точный критерий Фишера (если более чем в 25% ячеек ожидаемые значения были меньше 5). Для оценки связи между плотностью печени и HSI использовали регрессионный анализ с построением уравнения линейной регрессии и коэффициент корреляции Спирмена ρ. За уровень значимости принято р ≤ 0,05. Статистический анализ проводили с помощью программы SPSS версии 22.
Результаты
Обследованы 100 пациентов, 1 пациент исключен из исследования в связи со злоупотреблением алкоголем (набрал 17 баллов по данным анкеты AUDIT). На основании данных КТ о плотности печени выделено 2 группы: 25 пациентов со стеатозом печени и МАЖБП, 74 пациента контрольной группы без признаков значительного стеатоза. В группах не наблюдалось различий по полу (р = 0,586) и возрасту (56,84 ± 14,93 и 57 ± 16,2; р = 0,965). Наличие в анамнезе данных об артериальной гипертензии (АГ; р = 0,525) и сахарном диабете 2-го типа (СД 2; р = 0,069) было сопоставимо, тогда как ожирение, определяемое как ИМТ более 30 кг/м2, встречалось чаще в группе стеатоза (р < 0,001). Соответственно, у пациентов со стеатозом печени по сравнению с контрольной группой ИМТ был достоверно выше (р < 0,001), как и окружность талии (р < 0,001; табл. 2).
Таблица 2. Основные характеристики сравниваемых групп
Table 2. The main characteristics of the compared groups
Параметр | Группа | p | |||
стеатоза (n = 25) | контроля (n = 74) | ||||
Показатель | M | SD | M | SD | |
Возраст, лет | 56,84 | 14,93 | 57,0 | 16,19 | 0,965 |
ИМТ, кг/м2 | 32,35 | 5,05 | 27,87 | 5,27 | < 0,001 |
Масса тела, кг | 92,84 | 16,66 | 79,23 | 14,43 | < 0,001 |
Рост, см | 169,36 | 8,50 | 168,96 | 9,14 | 0,848 |
Окружность талии, см | 102,84 | 11,79 | 91,05 | 11,95 | < 0,001 |
AUDIT | 1,44 | 2,00 | 1,19 | 1,53 | 0,792 |
Показатель | Частота, абс. (%) | 95% ДИ | Частота, абс. (%) | 95% ДИ | |
Женщины | 11 (44,0) | 24,40–65,07 | 28 (37,84) | 26,81–49,87 | 0,586 |
Мужчины | 14 (56,0) | 34,93–75,60 | 46 (62,16) | 50,13–73,19 | |
АГ | 14 (56,0) | 34,93–75,60 | 36 (48,65) | 36,85–60,56 | 0,525 |
Ожирение | 17 (68,0) | 46,50–85,05 | 22 (29,73) | 19,66–41,48 | 0,001 |
СД 2 | 6 (24,0) | 9,36–45,13 | 6 (8,11) | 3,03–16,82 | 0,069 |
Плотность печени была ниже в группе со стеатозом, что соответствует значительному накоплению жира (р < 0,001), тогда как плотность селезенки была сопоставимой (47,98 ± 3,86 и 47,17 ± 2,72; р = 0,344; рис. 3). Индексы КТп/с и КТп-с имели достоверную разницу между группами (р < 0,001) 0,66 (± 0,21) vs 1,15 (± 0,14) и 16,3 (± 10,3) vs –7,26 (± 6,1) соответственно.
Рис. 3. Результаты исследования плотности печени и селезенки по данным КТ.
Fig. 3. The results of the study of the density of the liver and spleen according to computed tomography data.
По критерию Колмогорова–Смирнова распределение HSI в группе стеатоза соответствует нормальному (р = 0,20), в группе сравнения статистически значимо отклоняется от него (р = 0,011), поэтому для сравнения выбран непараметрический критерий Манна–Уитни. Различия между медианными значениями статистически значимы: 40,97 (36,91–45,16) и 36,62 (13,92–41,22); р = 0,016.
Корреляционный анализ HSI показал отрицательную связь средней силы с плотностью печени (коэффициент ранговой корреляции Спирмена ρ = –0,34), корреляция статистически значима (p = 0,001). Выявлена статистически значимая (p < 0,001) отрицательная связь слабой силы HSI с критериями КТп/с и КТп-с (р = 0,005, ρ = –0,281 и р = 0,004, ρ = –0,288 соответственно). Проведенный регрессионный анализ между плотностью печени и HSI с построением уравнения линейной регрессии показал статистически значимую обратную связь (коэффициент регрессии –0,1855; р = 0,003). Однако нужно отметить, что точность аппроксимации невелика (R2 = 0,0849), что говорит о том, что в данной выборке только 8,5% дисперсии HIS определяется плотностью печени.
Площадь под ROC-кривой HSI для диагностики стеатоза печени составила 0,662 (95% доверительный интервал – ДИ 0,546–0,778; p = 0,016). При точке отсечки (пороговом значении) для подтверждения наличия стеатоза 35,9 чувствительность составила 84,0%, а специфичность – 45,9%. При точке отсечки 30,1 для исключения стеатоза чувствительность составила 100,0%, а специфичность – 14,9% (рис. 4).
Рис. 4. Диагностическая эффективность HSI при стеатозе печени у пациентов с МАЖБП и вирусной пневмонией по сравнению с плотностью печени по данным КТ: a – график рассеяния уровня HSI в зависимости от HU печени, сплошная линия представляет собой наилучшую линейную регрессию; b – ROC-кривые эффективности HSI при диагностике стеатоза печени по критериям КТ.
Fig. 4. Diagnostic efficacy of HSI in liver steatosis in patients with non-alcoholic fatty liver disease and viral pneumonia compared with liver density according to CT data: a – scatter plots of HSI level as a function of HU liver, solid lines represent best-fit linear regression; b – receiver operating characteristics curves showing the performance of HSI in the diagnosis of hepatic steatosis using CT criteria.
У пациентов с МАЖБП наблюдались более тяжелое течение пневмонии (р = 0,041), более высокие уровни С-реактивного белка (р = 0,011), АСТ (р < 0,001) и АЛТ (р = 0,003) по сравнению с контрольной группой. Частота ухудшения состояния по данным КТ была сопоставима в обеих группах: 19 (76%) и 45 (60,8%); р = 0,169, хотя его тяжесть была выше в группе со стеатозом (р = 0,012). Отмечено также более медленное рассасывание воспалительного инфильтрата при изучении данных КТ перед выпиской (р = 0,01). Установлена связь потребности в назначении биологической терапии со стеатозом (отношение шансов – ОШ 11,4, 95% ДИ [3, 1–41, 5]; р < 0,001) и ожирением (ОШ 2,3, 95% ДИ [1, 02–5, 4]; р = 0,043). Для устранения возможного вмешивающегося влияния ожирения был использован тест Мантела–Хензеля, уточненное ОШ для стеатоза составило 10,2 95% ДИ [2, 6–38, 8]; р = 0,001. Cвязи с СД 2 (р = 0,61) и АГ не выявлено (р = 0,76). Установлена связь потребности в назначении антибактериальной терапии со стеатозом (ОШ 3,1, 95% ДИ [1, 2–8, 1]; р = 0,017) и СД 2 (ОШ 6,8, 95% ДИ [1, 4–32, 7]; р = 0,008), связи с ожирением (р = 0,65) и АГ не выявлено (р = 0,77). Наличие стеатоза существенно не влияло на продолжительность госпитализации (р = 0,076), но увеличивало частоту летальных исходов (р = 0,015). В контрольной группе смертельных исходов не было, а в группе со стеатозом зарегистрировано 3 (12,0%) случая.
Обсуждение
У пациентов с МАЖБП повышен риск сердечно-сосудистых событий и смертности, связанной с заболеваниями печени [29]. Хотя ожирение является фактором риска развития МАЖБП, тем не менее она не связана с ним неразрывно. У части людей с ожирением сохраняется нормальное внутрипеченочное содержание жира, в то время как у значительного числа людей с нормальной массой тела развивается МАЖБП даже при отсутствии резистентности к инсулину, СД 2 и связанных с ним метаболических заболеваний. При отсутствии ранних симптомов и отклонений в лабораторных анализах у людей с нормальной массой тела, скорее всего, не будут выявлять МАЖБП или связанные с ней сопутствующие заболевания [30]. Однако раннее выявление необходимо для предотвращения перехода заболевания в более поздние стадии [31].
Возможности компьютерной томографии, выполненной по любому поводу, позволяют быстро и эффективно провести количественную оценку стеатоза печени путем измерения величины ослабления плотности, выраженной в HU, что повышает ее значение для скрининга популяции.
Распространенность МАЖБП, установленная с помощью КТ-диагностики стеатоза, среди исследуемой нами когорты пациентов сопоставима с популяционной. У таких пациентов отмечалась более высокая степень поражения легких, выраженное повышение уровня С-реактивного белка и печеночных аминотрансфераз. Показано, что стеатоз печени оказывал независимое влияние на потребность в назначении дорогостоящих препаратов и увеличивал вероятность летального исхода.
В то же время для скрининга стеатоза предложен индекс HSI с использованием уровней печеночных ферментов, ИМТ, СД 2, пола [32]. Совокупность полученных характеристик (корреляция средней силы, низкая точность аппроксимации линейной регрессионной модели, низкая специфичность) указывает на то, что несмотря на их статистическую значимость, на фоне воспаления HSI обладает ограниченной диагностической ценностью. Таким образом, применение неинвазивных лабораторных шкал для оценки стеатоза имеет ограничения при скрининге пациентов с воспалительными заболеваниями.
Ограничения исследования
Наше исследование имеет ряд ограничений. С одной стороны, они связаны с отсутствием морфологического подтверждения стеатоза печени, являющегося «золотым стандартом» для верификации МАЖБП, с другой стороны, в исследовании не учитывалась степень стеатоза печени (легкая, умеренная и тяжелая). Используемые критерии индексов стеатоза по данным КТ соответствуют диагнозу стеатоза печени средней и тяжелой степени, которые в первую очередь представляют серьезную проблему. Важно также отметить, что потенциальная опасность лучевой нагрузки делает КТ непригодной для первичной диагностики и мониторинга пациентов с МАЖБП.
Заключение
Внедрение оценки степени стеатоза печени по данным КТ одновременно с изучением основного заболевания может стать важным диагностическим этапом, определяющим прогноз течения заболевания, а также инструментом стратификации риска у пациентов с МАЖБП.
Раскрытие интересов. Авторы декларируют отсутствие явных и потенциальных конфликтов интересов, связанных с публикацией настоящей статьи.
Disclosure of interest. The authors declare that they have no competing interests.
Вклад авторов. Т.А. Туранкова – концепция статьи и дизайн исследования, написание текста, сбор и обработка материала, обзор литературы, анализ материала, утверждение окончательного варианта статьи; А.Ю. Бражников – статистическая обработка, утверждение окончательного варианта статьи; Н.Г. Мороз – сбор и обработка материала, утверждение окончательного варианта статьи; А.В. Мудрова – анализ материала, утверждение окончательного варианта статьи; Д.Л. Варганова – обзор литературы, утверждение окончательного варианта статьи; Ч.С. Павлов – редактирование, утверждение окончательного варианта статьи.
Authors’ contribution. T.A. Turankova – conceptualization, study design, writing – original draft, data curation, methodology, literature review, formal analysis, final approval; A.Iu. Brazhnikov – statistical analysis, final approval; N.G. Moroz – data curation, methodology, final approval; A.V. Mudrova – formal analysis, final approval; D.L. Varganova – literature review, final approval; Ch.S. Pavlov – writing – review & editing, final approval.
Источник финансирования. Авторы декларируют отсутствие внешнего финансирования для проведения исследования и публикации статьи.
Funding source. The authors declare that there is no external funding for the exploration and analysis work.
Соответствие принципам этики. Протокол исследования одобрен локальным этическим комитетом ФГАОУ ВО «Первый МГМУ им. И.М. Сеченова» (Сеченовский Университет) (протокол №04-21 от 18.04.2021). Одобрение и процедуру проведения протокола получали по принципам Хельсинкской декларации.
Compliance with the principles of ethics. The study protocol was approved by the local ethics committee Sechenov First Moscow State Medical University (Sechenov University) (Minutes No. 04-21 dated 18.04.2021). Approval and protocol procedure was obtained according to the principles of the Declaration of Helsinki.
Информированное согласие на публикацию. Пациенты подписали форму добровольного информированного согласия на публикацию медицинской информации.
Consent for publication. Written consent was obtained from the patients for publication of relevant medical information and all of accompanying images within the manuscript.
About the authors
Taisia A. Turankova
Sechenov First Moscow State Medical University
Author for correspondence.
Email: turankova_t_a@staff.sechenov.ru
ORCID iD: 0000-0001-8441-7396
SPIN-code: 5631-8691
Scopus Author ID: 57218197799
ассистент каф. терапии Института профессионального образования
Russian Federation, MoscowAlexey Yu. Brazhnikov
Sechenov First Moscow State Medical University
Email: turankova_t_a@staff.sechenov.ru
ORCID iD: 0000-0002-5587-8860
SPIN-code: 5737-5472
Scopus Author ID: 36941944600
канд. мед. наук, доц. каф. эпидемиологии и доказательной медицины Института общественного здоровья
Russian Federation, MoscowNadezhda G. Moroz
Sechenov First Moscow State Medical University
Email: turankova_t_a@staff.sechenov.ru
ORCID iD: 0009-0006-8688-7133
врач-рентгенолог рентгенологического отд-ния Университетской клинической больницы №4
Russian Federation, MoscowAnastasia V. Mudrova
Sechenov First Moscow State Medical University
Email: turankova_t_a@staff.sechenov.ru
ORCID iD: 0009-0000-3536-2296
студентка Института клинической медицины им. Н.В. Склифосовского
Russian Federation, МоскваDaria L. Varganova
Ulyanovsk Regional Clinical Hospital
Email: turankova_t_a@staff.sechenov.ru
ORCID iD: 0000-0002-5745-7605
SPIN-code: 3689-5602
Scopus Author ID: 57196353031
канд. мед. наук, зав. отд-нием гастроэнтерологии
Russian Federation, UlyanovskChavdar S. Pavlov
Sechenov First Moscow State Medical University; Botkin Moscow Multidisciplinary Research and Clinical Center
Email: turankova_t_a@staff.sechenov.ru
ORCID iD: 0000-0001-5031-9798
SPIN-code: 5052-9020
Scopus Author ID: 57196355076
д-р мед. наук, проф., зав. каф. терапии Института профессионального образования; вед. науч. сотр.
Russian Federation, Moscow; MoscowReferences
- Райхельсон К.Л., Маевская М.В., Жаркова М.С., и др. Жировая болезнь печени: новая номенклатура и ее адаптация в Российской Федерации. Российский журнал гастроэнтерологии, гепатологии, колопроктологии. 2024;34(2):35-44 [Raikhelson KL, Maevskaya MV, Zharkova MS, et al. Steatotic liver disease: New nomenclature and its localization in the Russian Federation. Russian Journal of Gastroenterology, Hepatology, Coloproctology. 2024;34(2):35-44 (in Russian)]. doi: 10.22416/1382-4376-2024-961
- Amini-Salehi E, Letafatkar N, Norouzi N, et al. Global prevalence of nonalcoholic fatty liver disease: an updated meta-analysis on 78 million population over 38 countries. Arch Med Res. 2024;55(6):103043. doi: 10.1016/j.arcmed.2024.103043
- Rinella ME, Lazarus JV, Ratziu V, et al. A multisociety Delphi consensus statement on new fatty liver disease nomenclature. Hepatology. 2023;78(6):1966-86. doi: 10.1097/HEP.0000000000000520
- Павлов Ч.С., Теплюк Д.А., Лазебник Л.Б., и др. Взгляд клинициста на преимущества и противоречия новой номенклатуры стеатозной болезни печени. Терапевтический архив. 2024;96(4):429-35 [Pavlov ChS, Teplyuk DA, Lazebnik LB, et al. The clinician's view on the advantages and contradictions of the new nomenclature of steatotic liver disease: A review. Terapevticheskii Arkhiv (Ter. Arkh.). 2024;96(4):429-35 (in Russian)]. doi: 10.26442/00403660.2024.04.202747
- Tacke F, Horn P, Wai-Sun Wong V, et al. EASL–EASD–EASO Clinical Practice Guidelines on the management of metabolic dysfunction-associated steatotic liver disease (MASLD). J Hepatol. 2024;81(3):492-542. doi: 10.1016/j.jhep.2024.04.031
- Драпкина О.М., Мартынов А.И., Арутюнов Г.П., и др. Резолюция Форума экспертов «Новые терапевтические горизонты НАЖБП». Терапевтический архив. 2024;96(2):186-93 [Drapkina OM, Martynov AI, Arutyunov GP, et al. Resolution of the Expert Forum "New therapeutic horizons of NAFLD". Terapevticheskii Arkhiv (Ter. Arkh.). 2024;96(2):186-93 (in Russian)]. doi: 10.26442/00403660.2024.02.202648
- Bae JS, Lee DH, Suh KS, et al. Noninvasive assessment of hepatic steatosis using a pathologic reference standard: comparison of CT, MRI, and US-based techniques. Ultrasonography. 2022;41(2):344-54. doi: 10.14366/usg.21150
- Kazi IN, Kuo L, Tsai E. Noninvasive methods for assessing liver fibrosis and steatosis. Gastroenterol Hepatol (N Y). 2024;20(1):21-9. PMID: 38405045
- Cusi K, Isaacs S, Barb D, et al. American Association of Clinical Endocrinology Clinical Practice Guideline for the diagnosis and management of nonalcoholic fatty liver disease in primary care and endocrinology clinical settings: Co-sponsored by the American Association for the Study of Liver Diseases (AASLD). Endocr Pract. 2022;28(5):528-62. doi: 10.1016/j.eprac.2022.03.010
- European Association for the Study of the Liver (EASL); European Association for the Study of Diabetes (EASD); European Association for the Study of Obesity (EASO). EASL Clinical Practice Guidelines on non-invasive tests for evaluation of liver disease severity and prognosis – 2021 update. J Hepatol. 2024;81(3):492-542. doi: 10.1016/j.jhep.2024.04.031
- Farrell GC, McCullough AJ, Day CP. (Eds.) Non-alcoholic fatty liver disease: A practical guide. New York: Wiley Blackwell, 2013.
- Chitturi S, Wong VW, Chan WK, et al. The Asia-Pacific Working Party on Non-alcoholic Fatty Liver Disease Guidelines 2017 – Part 2: Management and special groups. J Gastroenterol Hepatol. 2018;33(1):86-98. doi: 10.1111/jgh.13856
- Brunt EM. Nonalcoholic fatty liver disease: Pros and cons of histologic systems of evaluation. Int J Mol Sci. 2016;17(1):97. doi: 10.3390/ijms17010097
- Bozic D, Podrug K, Mikolasevic I, Grgurevic I. Ultrasound methods for the assessment of liver steatosis: A critical appraisal. Diagnostics (Basel). 2022;12(10):2287. doi: 10.3390/diagnostics12102287
- Cao YT, Xiang LL, Qi F, et al. Accuracy of controlled attenuation parameter (CAP) and liver stiffness measurement (LSM) for assessing steatosis and fibrosis in non-alcoholic fatty liver disease: A systematic review and meta-analysis. EClinicalMedicine. 2022;51:101547. doi: 10.1016/j.eclinm.2022.101547
- Gu J, Liu S, Du S, et al. Diagnostic value of MRI-PDFF for hepatic steatosis in patients with non-alcoholic fatty liver disease: A meta-analysis. Eur Radiol. 2019;29(7):3564-73. doi: 10.1007/s00330-019-06072-4
- Wang XM, Zhang XJ, Ma L. Diagnostic performance of magnetic resonance technology in detecting steatosis or fibrosis in patients with nonalcoholic fatty liver disease: A meta-analysis. Medicine (Baltimore). 2018;97(21):e10605. doi: 10.1097/MD.0000000000010605
- Jawahar A, Gonzalez B, Balasubramanian N, et al. Comparison of computed tomography hepatic steatosis criteria for identification of abnormal liver function and clinical risk factors, in incidentally noted fatty liver. Eur J Gastroenterol Hepatol. 2020;32(2):216-21. doi: 10.1097/MEG.0000000000001502
- Byun J, Lee SS, Sung YS, et al. CT indices for the diagnosis of hepatic steatosis using non-enhanced CT images: Development and validation of diagnostic cut-off values in a large cohort with pathological reference standard. Eur Radiol. 2019;29(8):4427-35. doi: 10.1007/s00330-018-5905-1
- Park HJ, Kim KW, Kwon HJ, et al. CT-based visual grading system for assessment of hepatic steatosis: Diagnostic performance and interobserver agreement. Hepatol Int. 2022;16(5):1075-84. doi: 10.1007/s12072-022-10373-0
- Guo Z, Blake GM, Li K, et al. Liver fat content measurement with quantitative CT validated against MRI proton density fat fraction: A prospective study of 400 healthy volunteers. Radiology. 2020;294(1):89-97. doi: 10.1148/radiol.2019190467
- Hu N, Yan G, Tang M, et al. CT-based methods for assessment of metabolic dysfunction associated with fatty liver disease. Eur Radiol Exp. 2023;7(1):72. doi: 10.1186/s41747-023-00387-0
- Engelke K. Quantitative computed tomography – Current status and new developments. J Clin Densitom. 2017;20(3):309-21. doi: 10.1016/j.jocd.2017.06.017
- Starekova J, Hernando D, Pickhardt PJ, Reeder SB. Quantification of liver fat content with CT and MRI: State of the art. Radiology. 2021;301(2):250-62. doi: 10.1148/radiol.2021204288
- Jophlin LL, Singal AK, Bataller R, et al. ACG Clinical Guideline: Alcohol-associated liver disease. Am J Gastroenterol. 2024;119(1):30-54. doi: 10.14309/ajg.0000000000002572
- Lee JH, Kim D, Kim HJ, et al. Hepatic steatosis index: A simple screening tool reflecting nonalcoholic fatty liver disease. Dig Liver Dis. 2010;42(7):503-8. doi: 10.1016/j.dld.2009.08.002
- Lawrence DA, Oliva IB, Israel GM. Detection of hepatic steatosis on contrast-enhanced CT images: Diagnostic accuracy of identification of areas of presumed focal fatty sparing. AJR Am J Roentgenol. 2012;199(1):44-7. doi: 10.2214/AJR.11.7838
- Lebre MA, Vacavant A, Grand-Brochier M, et al. Automatic segmentation methods for liver and hepatic vessels from CT and MRI volumes, applied to the Couinaud scheme. Comput Biol Med. 2019;110:42-51. doi: 10.1016/j.compbiomed.2019.04.014
- Wong VW, Ekstedt M, Wong GL, Hagström H. Changing epidemiology, global trends and implications for outcomes of NAFLD. J Hepatol. 2023;79(3): 842-52. doi: 10.1016/j.jhep.2023.04.036
- DiStefano JK, Gerhard GS. NAFLD in normal weight individuals. Diabetol Metab Syndr. 2022;14(1):45. doi: 10.1186/s13098-022-00814-z
- Tan D, Chan KE, Wong ZY, et al. Global epidemiology of cirrhosis: Changing etiological basis and comparable burden of nonalcoholic steatohepatitis between males and females. Dig Dis. 2023;41(6):900-12. doi: 10.1159/000533946
- Chung J, Park HS, Kim YJ, et al. Association of Hepatic Steatosis Index with nonalcoholic fatty liver disease diagnosed by non-enhanced CT in a screening population. Diagnostics (Basel). 2021;11(12):2168. doi: 10.3390/diagnostics11122168
Supplementary files






