Combination of Crohn's disease and intestinal tuberculosis. Clinical observation
- Authors: Ruchkina I.N.1, Knyazev O.V.1, Kieva A.A.1, Lishchinskaya A.A.1, Khomeriki S.G.1, Pelipas I.G.2, Lesko K.A.1, Demchenko A.N.1, Рafrfenov A.I.1
-
Affiliations:
- Loginov Moscow Clinical Scientific Center
- Moscow Scientific and Practical Center for Tuberculosis Control
- Issue: Vol 96, No 12 (2024): Vario (various)
- Pages: 1245-1252
- Section: Case reports
- Submitted: 12.09.2024
- Accepted: 16.02.2025
- Published: 27.12.2024
- URL: https://ter-arkhiv.ru/0040-3660/article/view/635987
- DOI: https://doi.org/10.26442/00403660.2024.12.203115
- ID: 635987
Cite item
Full Text
Abstract
According to WHO, extrapulmonary forms of tuberculosis (TB) account for 10–15% of the total number of tuberculosis cases worldwide. Crohn's disease (CD) and intestinal tuberculosis have similar clinical, endoscopic and morphological manifestations in many ways. In all cases, when detecting intestinal CD, it is necessary to exclude tuberculosis infection in biopsies using PCR diagnostics. The risk of developing various forms of TB increases with pathogenetic immunosuppressive therapy for inflammatory bowel diseases. A clinical case of a rare combination of the intestinal form of TB and CD is presented, reflecting the difficulty of diagnosing the two pathologies and the difficulty of choosing therapy when they are combined.
Full Text
Список сокращений
БК – болезнь Крона
ВЗК – воспалительные заболевания кишечника
ГИБП – генно-инженерный биологический препарат
ДПК – двенадцатиперстная кишка
КТ – компьютерная томография
МБТ – Mycobacterium tuberculosis
ОГК – органы грудной клетки
ОИ – оппортунистические инфекции
пре-ШЛУ – пре-широкая лекарственная устойчивость
ПТХТ – противотуберкулезная химиотерапия
ПЦР – полимеразная цепная реакция
ТБ – туберкулез
Введение
Болезнь Крона (БК) – хроническое рецидивирующее заболевание желудочно-кишечного тракта, характеризующееся трансмуральным, сегментарным, гранулематозным воспалением с развитием кишечных и внекишечных осложнений [1]. БК сопровождается частыми рецидивами и высоким риском хирургического вмешательства даже в течение первого года от установления диагноза. БК рассматривается как многофакторное заболевание, в развитии которого играют роль генетическая предрасположенность, нарушения врожденного и приобретенного иммунитета, изменения кишечной микрофлоры и факторы окружающей среды. При БК может поражаться любой отдел желудочно-кишечного тракта, но преимущественной локализацией является илеоцекальный отдел кишечника.
Во всем мире отмечается рост заболеваемости воспалительными заболеваниями кишечника (ВЗК). По последним данным, распространенность язвенного колита в мире достигает 21,0–505,0 случая на 100 тыс. населения, а БК – до 9,0–322,0 случая на 100 тыс. населения в зависимости от региона проживания [2]. Комплексная терапия ВЗК предполагает назначение глюкокортикоидов, цитостатиков, таргетных иммуносупрессоров, генно-инженерных биологических препаратов (ГИБП) с различными механизмами действия, которые приводят к иммуносупрессии и создают риски развития оппортунистических инфекций (ОИ).
ОИ – заболевания, вызываемые условно-патогенными вирусами или клеточными организмами (бактериями, грибами, простейшими), которые обычно не приводят к болезни здоровых людей. Для оппортунистических болезней характерны лимфогенная и гематогенная диссеминация микроорганизмов, образование эктопических очагов и хроническое рецидивирующее течение. Особое место среди ОИ занимает туберкулез (ТБ).
ТБ – инфекционное социально значимое заболевание, вызываемое микобактериями группы Mycobacterium tuberculosis complex (МБТ), относящихся к классу Actinobacteria. ТБ, как правило, поражает легкие, но может нарушать работу и других органов [3]. Среди внелегочного ТБ выделяют абдоминальную форму, которая характеризуется развитием специфического воспаления в органах брюшной полости и составляет примерно 12% от всех случаев внелегочного ТБ, а его доля среди всех впервые выявленных больных ТБ может достигать 3% [3].
В Российской Федерации согласно данным Роспотребнадзора заболеваемость ТБ в 2022 г. составляла 30,71 случая на 100 тыс. населения, что в 1,9 раза ниже среднего многолетнего показателя [4]. Тем не менее пациенты с различными формами ТБ продолжают поступать в отделения общесоматических стационаров, что подчеркивает актуальность проблемы его диагностики.
Истинная распространенность абдоминального ТБ в РФ неизвестна, потому что сочетание ТБ легких с его абдоминальной формой кодируется по патологии легких.
Абдоминальные формы ТБ могут локализоваться в любом отделе желудочно-кишечного тракта: от ротовой полости до ануса (49%). Изолированное поражение брюшины возможно у 42% пациентов, брыжеечных лимфатических узлов – у 4%. У 5% больных поражаются и внутренние органы, включая печень и панкреатобилиарную систему [3]. Наиболее часто при абдоминальном ТБ в патологический процесс вовлекается илеоцекальный отдел кишечника, объяснением этому служит высокая плотность лимфоидной ткани в этой области, замедление кишечного транзита и другие факторы. Во всем мире выросло число больных с МБТ, устойчивой к традиционной терапии изониазидом, рифампицином, этамбутолом и пиразинамидом. В РФ этот показатель в 2009 г. составлял 13,0%, а в 2021 г. – 33,2% (среди них в Москве – 14,1%) [4].
Введены понятия форм лекарственной устойчивости МБТ:
- Множественная лекарственная устойчивость – подтвержденная любым бактериологическим или молекулярно-генетическим методом лекарственная устойчивость МБТ к изониазиду и рифампицину.
- Пре-широкая лекарственная устойчивость (пре-ШЛУ) МБТ к рифампицину в сочетании с устойчивостью к любому фторхинолону.
- Широкая лекарственная устойчивость МБТ к рифампицину в сочетании с устойчивостью к любому фторхинолону и по крайней мере к линезолиду или бедаквилину.
Больные с ВЗК находятся в группе высокого риска по развитию ТБ, особенно при проведении терапии иммуносупрессивными препаратами и ГИБП, в первую очередь ингибиторами фактора некроза опухоли α: инфликсимабом, адалимумабом, голимумабом, цертолизумаба пэголом и их биосимилярами. При назначении этих препаратов нарушается процесс ограничения очагов ТБ, что ведет к генерализации процесса [5]. Препаратами выбора при развитии ТБ у больных с ВЗК являются месалазины, из ГИБП предпочтение следует отдавать ведолизумабу – блокирующему молекулы адгезии – интегрин α4β7 и оказывающему таргетное действие на кишечник, при этом отсутствует системное иммуносупрессивное действие [6]. Подчеркнем, что при локализации БК в илеоцекальном отделе кишечника всем пациентам следует проводить дифференциальный диагноз с ТБ.
Представляем клиническое наблюдение редкого сочетания БК и ТБ.
Клиническое наблюдение
Пациент Л., 25 лет, в марте 2020 г. отметил появление болей в правой подвздошной области, периодическую субфебрильную лихорадку, кашицеобразный стул до 3 раз в сутки, без патологических примесей. За врачебной помощью не обращался. В ноябре 2020 г. с симптомами острой кишечной непроходимости по скорой помощи госпитализирован в ГБУЗ МО «МОНИКИ им. М.Ф. Владимирского», где ему в экстренном порядке выполнена илеоцекальная резекция с формированием илеостомы. При исследовании операционного материала обнаружена микроскопическая картина БК с наличием неполных свищей. При флюорографии патологии в легких не обнаружено. Пациент выписан с рекомендацией повторной консультации с целью назначения ГИБП. В июле 2021 г. у него вновь развилась клиническая картина острой кишечной непроходимости. По экстренным показаниям больной госпитализирован в ГБУЗ МО «Дубненская больница», где выявлена эвентрация тонкой кишки, осложненная инвагинацией. Пациенту выполнена лапаротомия с адгезиолизисом и реилеостомией. При рентгенографии органов грудной клетки (ОГК) выявлен инфильтративный ТБ верхней доли правого легкого с подозрением на распад. При компьютерной томографии (КТ) ОГК в СVI правого легкого определялись участки инфильтрации неоднородной структуры за счет деструкции, очаги отсева в окружающей легочной ткани. При фибробронхоскопии в бронхоальвеолярном лаваже выявлена ДНК МБТ с лекарственной устойчивостью (пре-ШЛУ).
В феврале 2022 г. больной обследовался в ГБУЗ МО МОКПТД с диагнозом «инфильтративный ТБ СVI правого легкого, фаза распада и обсеменения. МБТ(-), ДНК МБТ(+), пре-ШЛУ», где получал противотуберкулезную химиотерапию (ПТХТ) по схеме: линезолид – 0,6; левофлоксацин – 1,0; циклосерин – 0,75; пиразинамид – 1,5; капреомицин – 1,0 с последующим включением в схему лечения бедаквилина – в интенсивной фазе до 240 доз до августа 2022 г. и в фазе продолжения амбулаторного лечения еще в течение 12 мес – до августа 2023 г. Всего пациент получил 360 доз ПТХТ.
В марте 2023 г. на фоне ПТХТ больной обследован в ФГБУ «НМИЦ колопроктологии им. А.Н. Рыжих», где выявлены признаки умеренной активности БК. При колоноскопии обнаружена картина диверсионного колита, эрозивного анастомозита, при КТ-энтерографии – картина илеита. Проведен пересмотр стеклопрепаратов операционного материала от 2020 г. При морфологическом исследовании подтверждена БК илеоцекального отдела кишечника, а при выполнении исследования методом полимеразной цепной реакции (ПЦР) одного из парафиновых блоков выявлена ДНК МБТ. Пациент повторно консультирован фтизиатром: установлено сочетание БК и ТБ кишечника. Рекомендовано продолжить прием месалазина 4 г/сут и ПТХТ с повторной консультацией через год для решения вопроса о закрытии илеостомы.
Позже, 05.05.2023, проведено исследование ОГК: по сравнению с исследованием от 09.12.2021 отмечено рассасывание очагово-инфильтративных изменений в СVI правого легкого, формирование туберкуломы до 17 мм в диаметре на фоне грубого фиброза. Продолжена противотуберкулезная терапия, и к 28.08.2023 по заключению фтизиатра у пациента достигнуто клиническое излечение ТБ легких с исходом в фиброз, кальцинаты и крупный очаг (мелкая туберкулома 17 мм) в СVI правого легкого (рис. 1). Рекомендованы хирургическое лечение туберкуломы после закрытия илеостомы и диспансерное наблюдение в противотуберкулезном диспансере по месту жительства в течение 3 лет.
Рис. 1. КТ ОГК больного Л. до (a) и после (b) противотуберкулезной терапии.
Fig. 1. Computed tomography of the chest organs of patient L. before (a) and after (b) anti-tuberculosis therapy.
В январе 2024 г. пациент обратился в ГБУЗ «МКНЦ им. А.С. Логинова» для выполнения реконструктивно-восстановительной операции с закрытием илеостомы.
При поступлении – состояние удовлетворительное. Больной предъявлял жалобы на слизистые выделения из прямой кишки, вздутие, урчание и периодические боли в животе, опорожнение стомы требовалось до 4–5 раз в сут. Индекс массы тела – 20,9 кг/м2, кожные покровы и видимые слизистые обычной окраски. Грудная клетка симметрична, при пальпации безболезненная. При аускультации – дыхание везикулярное, хрипы не выслушивались. Число дыхательных движений – 16 в минуту. Тоны сердца приглушены, ритмичные, пульс – 68 уд/мин, артериальное давление – 110/80 мм рт. ст. Аппетит сохранен. Слизистая полости рта розовая, чистая. Язык влажный, умеренно обложен белым налетом. При осмотре живота визуализируются послеоперационные рубцы после срединной лапаротомии, функционирующая илеостома. Живот симметричный, не вздут, активно участвует в акте дыхания, при пальпации мягкий, умеренно болезненный в околопупочной области. Печень пальпируется по краю реберной дуги. Симптом поколачивания отрицателен с обеих сторон. Анализы крови – без клинически значимых изменений (табл. 1).
Таблица 1. Лабораторные показатели крови больного Л. от 02.2024
Table 1. Laboratory blood parameters of patient L. dated 02.2024
Показатели | Результат | Ед. изм. | Референсные значения |
Гемоглобин общий | 139 | г/л | 130–160 |
Количество эритроцитов | 4,68 | 1012/л | 4–5 |
Количество тромбоцитов | 300 | г/л | 180–320 |
Количество лейкоцитов | 9,8 | 109/л | 4–9 |
Палочкоядерные нейтрофилы отн. | 3 | % | 1–6 |
Сегментоядерные нейтрофилы, отн. | 58 | % | 47–72 |
СОЭ | 40 | мм/ч | 0–30 |
Железо | 12,5 | мкмоль/л | 11,6–31,3 |
Альбумин | 46,0 | г/л | 34–48 |
Креатинин | 89,4 | мкмоль/л | 80–115 |
Мочевина | 2,81 | ммоль/л | 2,1–7,2 |
Натрий общий | 140,2 | ммоль/л | 136–145 |
Калий общий | 4,56 | ммоль/л | 3,5–5,1 |
Хлор | 101,0 | ммоль/л | 98–107 |
В копрофильтрате отсутствовали токсины Сlostridium difficile; в сыворотке крови и в биоптатах слизистой оболочки кишечника методом ПЦР исключены энтеровирусы (цитомегаловирус, вирус Эпштейна–Барр, Herpes simplex virus типа 6, 1, 2). В посеве кала рост условно-патогенной и патогенной микрофлоры не определялся.
По данным ультразвукового исследования кишечника 01.02.2024 выявлены воспалительные изменения правых отделов ободочной кишки и мезентериальная лимфаденопатия; при гастроскопии – признаки эрозивного дуоденита, при колоноскопии – картина эрозивного илеита и колита отключенной толстой кишки, признаки выраженного спаечного процесса в нижних отделах брюшной полости.
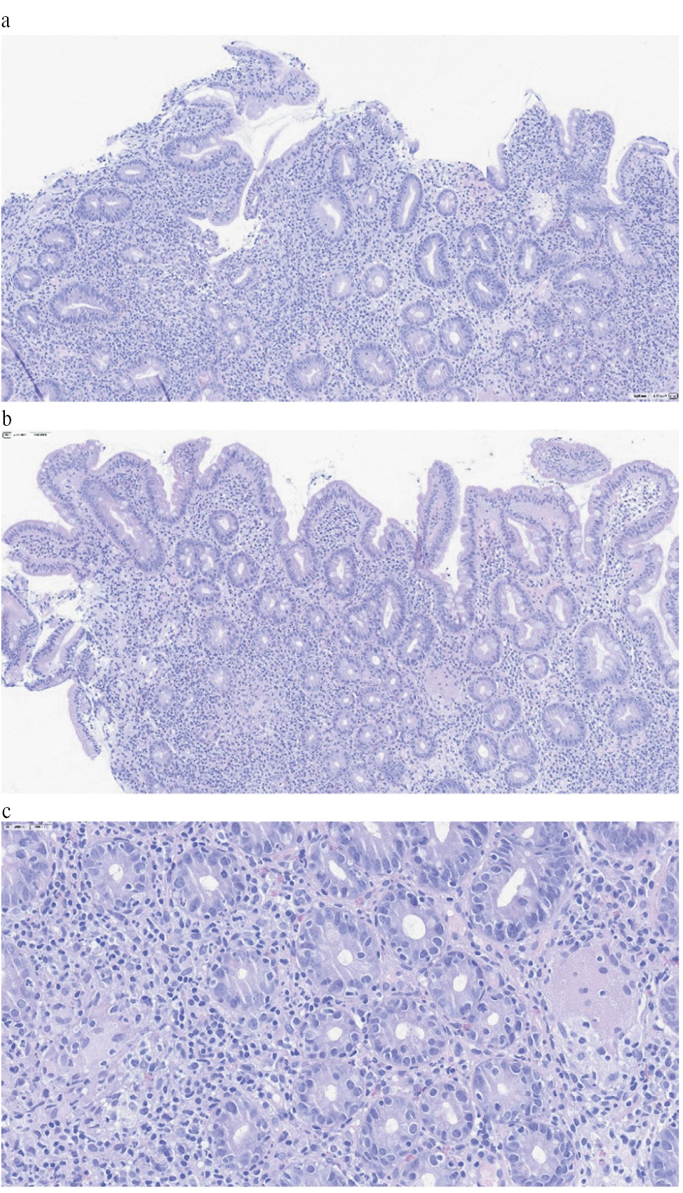
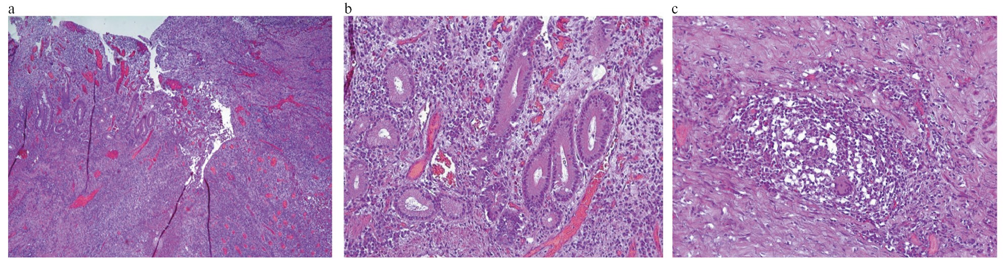
При морфологическом исследовании впервые выявлены признаки БК двенадцатиперстной кишки – ДПК (рис. 2).
Рис. 2. БК с поражением ДПК: a – деструкция кишечных ворсин и крипт с формированием глубокой щелевидной эрозии; b – участки гранулематозного воспаления в собственной пластинке слизистой оболочки ДПК; c – гигантские многоядерные клетки в участках гранулематозного воспаления. Окраска гематоксилином и эозином. Увеличение: a, b – ×120; c – ×500.
Fig. 2. Crohn's disease of the duodenum: a – destruction of intestinal villi and crypts with the formation of deep slit erosion; b – areas of granulomatous inflammation in the proper plate of the mucous membrane of the duodenum; c – giant multinucleated cells in areas of granulomatous inflammation. Stained with hematoxylin and eosin. Magnification: a, b – ×120; c – ×500.
При морфологическом исследовании слизистой оболочки подвздошной кишки выявлен хронический очаговый эрозивный илеит – БК. Данных за ТБ в исследуемом материале не получено.
При выполнении ПЦР в биоптатах подвздошной кишки ДНК микобактерий ТБ не обнаружена.
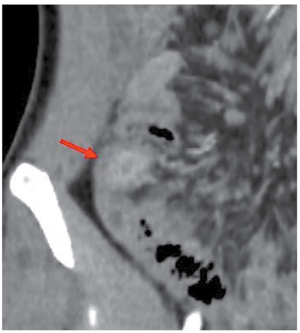
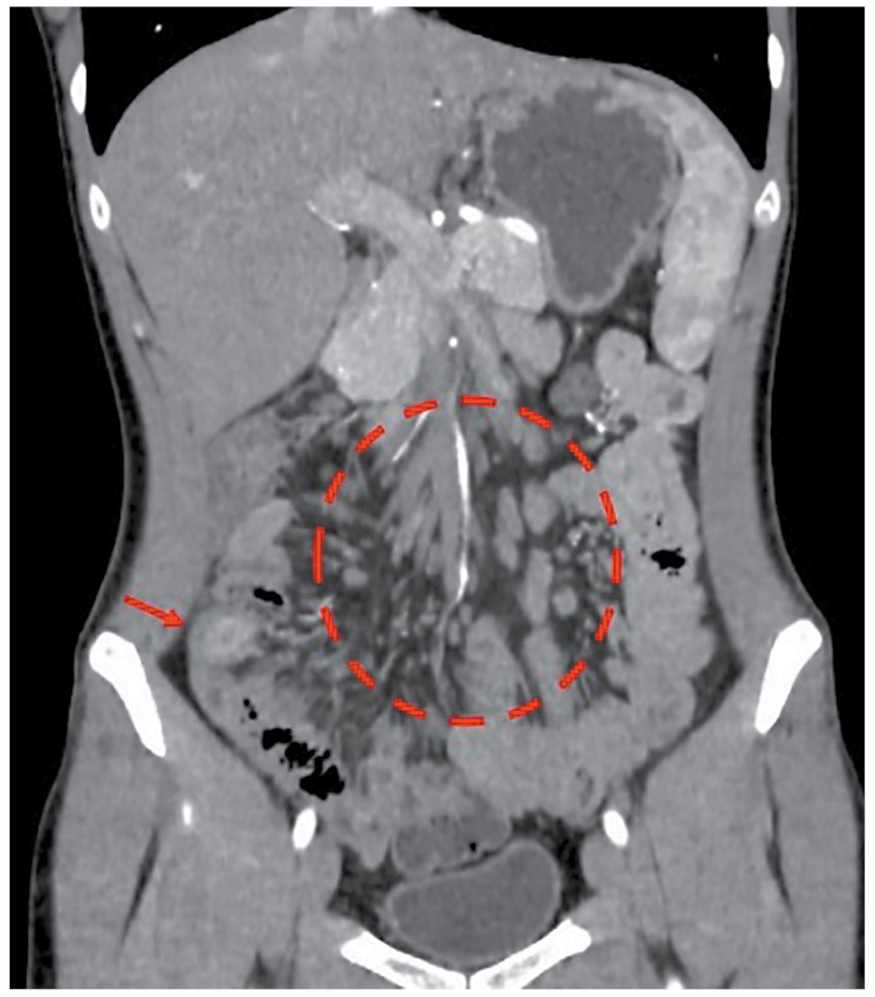
По данным КТ с энтерографией выявлены воспалительные изменения стенок илеостомы (рис. 3), ободочной кишки (рис. 4) и мезентериальная лимфаденопатия (рис. 5).
Рис. 3. КТ-энтерография. Картина воспалительных изменений стенок илеостомы.
Fig. 3. CT-enterography. Inflammatory changes in the walls of the ileostomy.
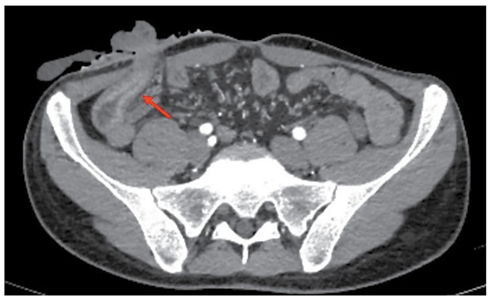
Рис. 4. КТ-энтерография. Картина воспалительных изменений стенок ободочной кишки.
Fig. 4. CT-enterography. Inflammatory changes in the colon.
Рис. 5. КТ-энтерография. Картина мезентериальной лимфаденопатии ободочной кишки.
Fig. 5. CT-enterography. Mesenteric lymphadenopathy of the colon.
Больному выполнен Диаскинтест: гиперемия <10 мм, что соответствует отрицательному результату.
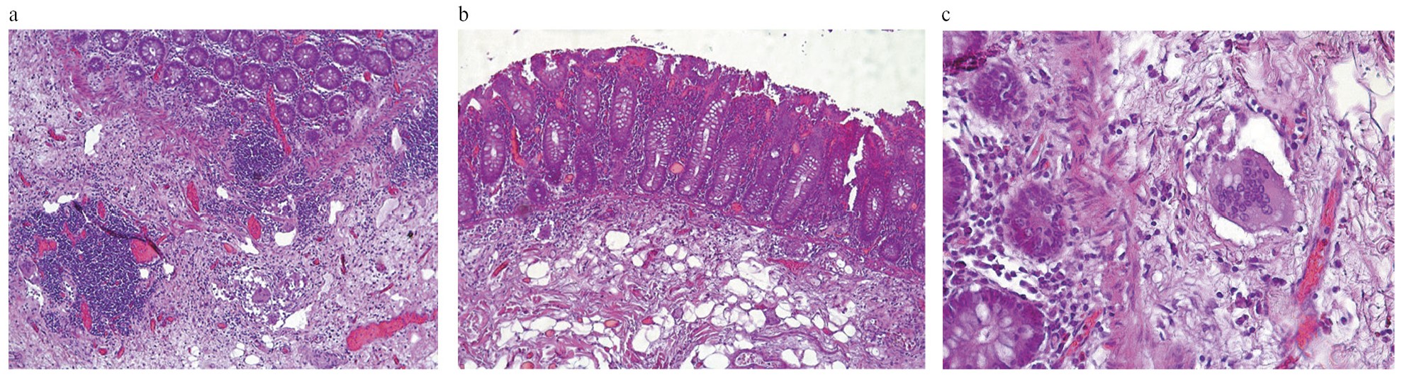
Осуществлен пересмотр стеклопрепаратов операционного материала от 2020 г. Заключение: гистологическая картина хронического очагового трансмурального воспаления толстой и подвздошной кишки с формированием глубоких эрозий, с участками гранулематозного воспаления, соответствующего БК в форме эрозивно-язвенного илеоколита (рис. 6).
Рис. 6. Хронический терминальный илеит БК: a – деструкция кишечных ворсин и крипт с формированием щелевидной язвы в слизистой оболочке подвздошной кишки; b – участки пилорической метаплазии в краях язвенного дефекта; c – эпителиоидноклеточная гранулема с гигантскими многоядерными клетками в толще мышечного слоя. Окраска гематоксилином и эозином. Увеличение: a – ×90; b, c – ×300.
Fig. 6. Chronic terminal ileitis of Crohn's disease: a – destruction of intestinal villi and crypts with the formation of a slit ulcer in the mucous membrane of the ileum; b – areas of pyloric metaplasia at the edges of the ulcerative defect; c – epithelioid cell granuloma with giant multinucleated cells in the thickness of the muscle layer. Stained with hematoxylin and eosin. Magnification: a – ×90; b, c – ×300.
Обращали на себя внимание присутствие в подслизистом слое большого количества эпителиоидно-клеточных гранулем с гигантскими многоядерными клетками без признаков казеозного некроза, наличие множества гигантских многоядерных клеток в лимфатических фолликулах слизистой оболочки, лимфатических узлах, а также свободно лежащих среди волокнистых структур подслизистого слоя. Данные изменения наблюдаются при генерализованной туберкулезной инфекции и не характерны для БК (рис. 7, 8).
Таким образом, на основании выявления ДНК МКБ ТБ и морфологического исследования операционного материала кишки от 2020 г. у пациента подтверждено сочетание БК и ТБ кишечника.
Рис. 7. Специфическое гранулематозное воспаление при ТБ толстой кишки: a – гиперплазия лимфоидной ткани с множественными эпителиоидноклеточными гранулемами; b – эпителиоидноклеточные гранулемы с участками казеозного некроза. Окраска гематоксилином и эозином. Увеличение: a – ×90, b – ×300.
Fig. 7. Specific granulomatous inflammation in tuberculosis of the colon: a – hyperplasia of lymphoid tissue with multiple epithelioid cell granulomas; b – epithelioid cell granulomas with areas of caseous necrosis. Stained with hematoxylin and eosin. Magnification: a – ×90, b – ×300.
Рис. 8. Трансмуральное гранулематозное воспаление в стенке толстой кишки при генерализованном ТБ: a – множественные эпителиоидноклеточные гранулемы в слизистой оболочке и подслизистом слое; b – липоматоз и фиброз подслизистого слоя; c – многоядерные клетки, свободно лежащие среди волокнистых структур. Окраска гематоксилином и эозином. Увеличение: a, b – ×90; c – ×300.
Fig. 8. Transmural granulomatous inflammation in the colon wall in generalized tuberculosis: a – multiple epithelioid cell granulomas in the mucous membrane and submucosal layer; b – lipomatosis and fibrosis of the submucosal layer; c – giant multinucleated cells lying freely among fibrous structures. Stained with hematoxylin and eosin. Magnification: a, b – ×90; c – ×300.
Проведен консилиум в составе гастроэнтеролога, фтизиатра и колопроктолога. Учитывая сочетание БК и ТБ, принято решение отказаться от назначения базисной терапии системными иммуносупрессорами (тиопуринами) в связи с высоким риском активации туберкулезной инфекции. Рекомендованы проведение реконструктивно-восстановительной операции с закрытием илеостомы и продолжение селективной биологической терапии ведолизумабом – препаратом с таргетным механизмом действия.
В феврале 2024 г. больному выполнена реконструктивно-восстановительная операция: ушивание илеостомы, с формированием илеоасцендоанастомоза по типу «бок в бок».
Пациент выписан с диагнозом: «БК с мультифокальным поражением двенадцатиперстной, подвздошной и толстой кишки, хроническое течение, тяжелой степени, умеренной активности, осложненная формированием неполных кишечных свищей и стриктуры терминального отдела подвздошной кишки с развитием острой кишечной непроходимости в ноябре 2020 и в июле 2021 г. Резекция илеоцекального угла и терминального отдела подвздошной кишки с формированием илеостомы (ноябрь 2020 г.). Лапаротомия, адгезиолизис, реилеостомия через стому по поводу невправимого пролапса кишки в июле 2021 г. Закрытие илеостомы 26.02.2024 с формированием илеоасцендоанастомоза по типу “бок в бок”. Клиническое излечение ТБ легких с исходом в фиброз, кальцинаты и крупный очаг (мелкая туберкулома 17 мм) в СVI правого легкого. ТБ кишечника – излечение».
С мая 2024 г. пациент получает ГИБТ препаратом ведолизумаб. На фоне терапии появилась устойчивая положительная динамика в течении БК. Больной находится под динамическим наблюдением фтизиатра и гастроэнтеролога.
Обсуждение
Представлено клиническое наблюдение больного с редким сочетанием БК и ТБ кишечника. Болезнь манифестировала острой кишечной непроходимостью, потребовавшей резекции илеоцекального отдела кишечника с формированием илеостомы. Признаки ТБ легких отсутствовали. Через 8 мес развилась повторная кишечная непроходимость. Одновременно у пациента впервые выявлен ТБ легких с признаками распада, потребовавший лечения у фтизиатра. Особенностью противотуберкулезной терапии явилось формирование устойчивости МБТ к стандартной терапии (пре-ШЛУ).
В связи с активной формой ТБ легких больной с БК получал лечение месалазинами. Противотуберкулезная терапия пациенту проводилась в течение 18 мес: в интенсивной фазе до 240 доз и в фазе продолжения 360 доз.
В связи с высоким риском реактивации туберкулезной инфекции больному рекомендовано оперативное лечение с резекцией туберкулемы. По данным ПЦР в биоптатах операционного материала обнаружена ДНК МБТ. Развитие ТБ кишечника, скорее всего, связано со спутогенным путем инфицирования, т.е. проглатыванием МБТ с мокротой и дальнейшей инвазией в брыжеечные лимфатические узлы через пейеровы бляшки в слизистую оболочку кишечника с поражением илеоцекального отдела [3]. С другой стороны, пациент с БК уже изначально относился к группе иммунокомпрометированных лиц с высоким риском развития ОИ.
Как следует из представленного клинического наблюдения, диагностика абдоминального ТБ представляет значительные трудности. Существенно повышает уровень диагностики ТБ выполнение ПЦР на ДНК М. tuberculosis в биоптатах, полученных при проведении колоноскопии с илеоскопией.
В ГБУЗ «МКНЦ им. А.С. Логинова» данное исследование проводится как пациентам с первично установленной БК, так и длительно получающим терапию иммуносупрессивными препаратами [7]. Всем больным 2 раза в год проводится внутрикожный Диаскинтест, отражающий иммунный ответ на МКБ. Положительный Диаскинтест является признаком активации туберкулезной инфекции и служит основанием для назначения превентивной противотуберкулезной терапии пациентам, получающим иммуносупрессивную терапию, в том числе и ГИБП, осуществляемой под наблюдением фтизиатра.
Терапия ВЗК должна быть не только эффективной, но и достаточно безопасной, с минимальными рисками развития ОИ. Международные контролируемые исследования показали, что частота ТБ, сепсиса и цитомегаловирусного колита составляет у пациентов, получавших ведолизумаб, – 0,07 на пациенто-год, а у получавших плацебо – 0,06 на пациенто-год [6]. Эти данные объясняют преимущество в выборе данного препарата при лечении ВЗК у пациентов, имеющих в анамнезе ТБ [8].
Заключение
Абдоминальный ТБ всегда необходимо иметь в виду при установлении у больных с БК и при необходимости проведения иммуносупрессивной и генно-инженерной биологической терапии. При выявлении активного ТБ должна быть отменена терапия системными глюкокортикоидами, тиопуринами, метотрексатом и препаратами ингибиторов фактора некроза опухоли α. После окончания курса противотуберкулезной терапии предпочтение в лечении ВЗК следует отдавать селективным биологическим препаратам, прежде всего – ингибитору молекул адгезии ведолизумабу.
Благодаря строгому соблюдению алгоритма скрининга на туберкулезную инфекцию (проведение рентгенографии ОГК и Диаскинтеста не реже 2 раз в год) у пациентов с БК, получающих иммуносупрессивную терапию, можно диагностировать туберкулезную инфекцию в ранние сроки, чтобы своевременно назначить им противотуберкулезную терапию.
Раскрытие интересов. Авторы декларируют отсутствие явных и потенциальных конфликтов интересов, связанных с публикацией настоящей статьи.
Disclosure of interest. The authors declare that they have no competing interests.
Вклад авторов. Авторы декларируют соответствие своего авторства международным критериям ICMJE. Все авторы в равной степени участвовали в подготовке публикации: разработка концепции статьи, получение и анализ фактических данных, написание и редактирование текста статьи, проверка и утверждение текста статьи.
Authors’ contribution. The authors declare the compliance of their authorship according to the international ICMJE criteria. All authors made a substantial contribution to the conception of the work, acquisition, analysis, interpretation of data for the work, drafting and revising the work, final approval of the version to be published and agree to be accountable for all aspects of the work.
Источник финансирования. Авторы декларируют отсутствие внешнего финансирования для проведения исследования и публикации статьи.
Funding source. The authors declare that there is no external funding for the exploration and analysis work.
Информированное согласие на публикацию. Пациент подписал форму добровольного информированного согласия на публикацию медицинской информации.
Consent for publication. Written consent was obtained from the patient for publication of relevant medical information and all of accompanying images within the manuscript.
About the authors
Irina N. Ruchkina
Loginov Moscow Clinical Scientific Center
Author for correspondence.
Email: oleg7@bk.ru
ORCID iD: 0000-0002-4571-2883
д-р мед. наук, вед. науч. сотр. отд.
Russian Federation, MoscowOleg V. Knyazev
Loginov Moscow Clinical Scientific Center
Email: oleg7@bk.ru
ORCID iD: 0000-0001-7250-0977
д-р мед. наук, зав. отд-нием
Russian Federation, MoscowAlina A. Kieva
Loginov Moscow Clinical Scientific Center
Email: oleg7@bk.ru
ORCID iD: 0000-0002-8366-101X
лаборант-исследователь отд.
Russian Federation, MoscowAlbina A. Lishchinskaya
Loginov Moscow Clinical Scientific Center
Email: oleg7@bk.ru
ORCID iD: 0000-0001-7891-2702
канд. мед. наук, ст. науч. сотр. отд-ния
Russian Federation, MoscowSergey G. Khomeriki
Loginov Moscow Clinical Scientific Center
Email: oleg7@bk.ru
ORCID iD: 0000-0003-4308-8009
д-р мед. наук, проф., зав. лаб.
Russian Federation, MoscowIrina G. Pelipas
Moscow Scientific and Practical Center for Tuberculosis Control
Email: oleg7@bk.ru
зам. зав.
Russian Federation, MoscowKonstantin A. Lesko
Loginov Moscow Clinical Scientific Center
Email: oleg7@bk.ru
ORCID iD: 0000-0001-9814-0172
врач-рентгенолог
Russian Federation, MoscowAlexandra N. Demchenko
Loginov Moscow Clinical Scientific Center
Email: oleg7@bk.ru
врач-гастроэнтеролог
Russian Federation, MoscowAsfold I. Рafrfenov
Loginov Moscow Clinical Scientific Center
Email: oleg7@bk.ru
ORCID iD: 0000-0002-9782-4860
д-р мед. наук, проф., зав. отд.
Russian Federation, MoscowReferences
- Шелыгин Ю.А., Ивашкин В.Т., Ачкасов С.И., и др. Клинические рекомендации. Болезнь Крона (К50), взрослые. Колопроктология. 2023;22(3):10-49 [Shelygin YuA, Ivashkin VT, Achkasov SI, et al. Clinical guidelines. Crohn’s disease (К50), adults. Koloproktologia. 2023;22(3):10-49 (in Russian)]. doi: 10.33878/2073-7556-2023-22-3-10-49
- Князев О.В., Шкурко Т.В., Каграманова А.В., и др. Эпидемиология воспалительных заболеваний кишечника. Современное состояние проблемы (обзор литературы). Доказательная гастроэнтерология. 2020;9(2):66-73 [Kniazev OV, Shkurko TV, Kagramanova AV, et al. Epidemiology of inflammatory bowel disease. State of the problem (review). Russian Journal of Evidence-Based. Gastroenterology. 2020;9(2):66-73 (in Russian)]. doi: 10.17116/dokgastro2020902166
- Дифференциальная диагностика абдоминального туберкулеза: методические рекомендации. Cост.: Е.М. Богородская, Д.В. Плоткин, М.Н. Решетников и др. М.: МНПЦ борьбы с туберкулезом, 2024 [Differentsialnaia diagnostika abdominalnogo tuberkuleza: metodicheskie rekomendatsii. Sost.: EM Bogorodskaia, DV Plotkin, MN Reshetnikov i dr. Moscow: MNPTS borby s tuberkulezom, 2024 (in Russian)].
- Государственный доклад: О состоянии санитарно-эпидемиологического благополучия населения в Российской Федерации в 2022 году. Федеральная служба по надзору в сфере защиты прав потребителей и благополучия человека, 2023 [Gosudarstvennyi doklad: O sostoianii sanitarno-epidemiologicheskogo blagopoluchiia naseleniia v Rossiiskoi Federatsii v 2022 godu. Federalnaia sluzhba po nadzoru v sfere zashchity prav potrebiteleiy i blagopoluchiia cheloveka, 2023 (in Russian)].
- Фролова К.С., Борисов С.Е. Риск развития туберкулеза у больных c воспалительными заболеваниями кишечника на фоне лечения ИФНО-α. Колопроктология. 2018;1:49-56 [Frolova KS, Borisov SE. Risk of developing active TB in IBD patients treated with anti-TNF. Koloproktologia. 2018;1:49-56 (in Russian)]. doi: 10.33878/2073-7556-2018-0-1-49-56
- Харитонов А.Г. Эффективность и безопасность применения ведолизумаба при болезни Крона (обзор литературы). Колопроктология. 2017;3:71-9 [Kharitonov A.G. Efficacy and safety of vedolizumab in Crohn's disease (review). Koloproktologia. 2017;3:71-9 (in Russian)]. doi: 10.33878/2073-7556-2017-0-3-71-79
- Тимановская М.Ю., Шайхтдинова Ю.Р., Жулина Е.Ю., и др. Туберкулезная инфекция у пациентов с воспалительными заболеваниями кишечника. Клинические наблюдения. Терапевтический архив. 2023;95(11):979-84 [Timanovskaia MU, Shaykhtdinova YuR, Zhulina EU, et al. Tuberculosis infection in patients with inflammatory bowel diseases. Clinical cases. Terapevticheskii Arkhiv (Ter. Arkh.). 2023;95(11):979-84 (in Russian)]. doi: 10.26442/00403660.2023.11.202489
- Kucharzik Т, Ellul P, Greuter T, et al. ECCO Guidelines on the Prevention, Diagnosis, and Management of Infections in Inflammatory Bowel Disease. J Crohns Colitis. 2021;15(6):879-913. doi: 10.1093/ecco-jcc/jjab052
Supplementary files










