Evaluation of the results of magnetic resonance imaging of the brain for cognitive impairment in patients with heart failure: A review
- Authors: Shariya M.A.1,2, Ustyuzhanin D.V.1, Zhirov I.V.1,3, Osmolovskaya Y.F.1, Tereshchenko S.N.1,3
-
Affiliations:
- Chazov National Medical Research Center of Cardiology
- Sechenov First Moscow State Medical University (Sechenov University)
- Russian Medical Academy of Continuous Professional Education
- Issue: Vol 96, No 9 (2024): Issues of cardiology
- Pages: 909-913
- Section: Case reports
- Submitted: 22.07.2024
- Accepted: 22.07.2024
- Published: 10.10.2024
- URL: https://ter-arkhiv.ru/0040-3660/article/view/634504
- DOI: https://doi.org/10.26442/00403660.2024.09.202853
- ID: 634504
Cite item
Full Text
Abstract
Cognitive impairment is a very common comorbidity in patients with heart failure (HF). Patients with HF show signs of memory decline, difficulty concentrating, and attention deficits. Cognitive dysfunction in HF is associated with a poor prognosis. However, the diagnosis of cognitive impairment in heart failure has received insufficient attention in routine clinical practice. Neuropsychological screening tests are available to screen for cognitive impairment, but they are used infrequently. Therefore, it is of practical interest to search for magnetic resonance equivalents of cognitive disorders. The use of magnetic resonance imaging as a tool for identifying and quantifying neural correlates of cognitive functions is discussed.
Full Text
Список сокращений
БВ – белое вещество
ГМ – головной мозг
ИБС – ишемическая болезнь сердца
КН – когнитивное нарушение
КФ – когнитивная функция
ЛИ – лакунарный инфаркт
МВД – медиальная височная доля
МРТ – магнитно-резонансная томография
НА – нейрональная активация
ПВ – пожилой возраст
СВ – серое вещество
СН – сердечная недостаточность
ССЗ – сердечно-сосудистое заболевание
СФ – сердечная функция
ФВЛЖ – фракция выброса левого желудочка
фМРТ – функциональная магнитно-резонансная томография
ФС – физиологическое старение
ЦП – церебральная перфузия
Сердечная недостаточность (СН) является наиболее часто встречаемым сердечно-сосудистым заболеванием (ССЗ), затрагивающим миллионы людей во всем мире, которому сопутствуют высокие показатели смертности, низкое качество жизни вследствие снижения сердечной функции (СФ) и дисфункции других органов. Улучшение выживаемости пациентов с ишемической болезнью сердца (ИБС) и неишемическими кардиомиопатиями в значительной степени способствовало росту распространенности СН.
СН представляет собой сложный клинический синдром с множественным взаимодействием между патологией миокарда и церебральными дисфункциями. Появляется все больше доказательств того, что у пациентов с СН по мере развития заболевания часто развиваются когнитивные нарушения (КН), а лечение требует высокой степени понимания и соблюдения рекомендаций [1].
В настоящее время информация о распространенности, типе и тяжести КН у пациентов с СН ограничена. Вероятно, имеется определенный спектр изменений в мозге у больных со сниженной или сохраненной фракцией выброса (ФВ). Приведенные данные все чаще выявляются у людей не только с тяжелой симптоматикой, но и со стабильной СН с помощью магнитно-резонансной томографии (МРТ) [2].
Появляются данные о том, что низкая ФВ левого желудочка (ФВЛЖ) приводит к снижению церебральной перфузии (ЦП), повреждению структур головного мозга (ГМ), а также может способствовать аномальному старению мозга, структурным нейроанатомическим изменениям и, соответственно, КН, повышенному риску болезни Альцгеймера. В то же время КН уменьшаются, а мозговой кровоток увеличивается более чем на 50% после трансплантации сердца предположительно из-за улучшения СФ. Взаимодействие между ГМ и сердцем подтверждается улучшением состояния обоих органов и при оптимальной терапии СН [3].
Цель исследования – описать взаимодействие мозга и сердца при СН, подчеркнуть роль визуализации в ранней диагностике.
Недавние исследования показывают, что частота встречаемости КН при СН составляет 20–80%. Снижение когнитивных функций (КФ) является распространенным состоянием и независимым прогностическим маркером неблагоприятных исходов у больных с СН. Например, у амбулаторных пациентов со стабильной СН более низкая ФВЛЖ и уменьшение объема серого вещества (СВ) предсказывают риск смертности в течение первого года. Наибольшая распространенность, до 80%, отмечается у госпитализированных в связи с острой декомпенсацией. Когнитивной дисфункции у больных с СН способствуют многочисленные факторы, наиболее актуальными из которых являются артериальная гипертензия, фибрилляция предсердий, инсульт и нарушение гемодинамики. Кроме нарушения цереброваскулярной гемодинамики окислительное повреждение и цитокины приводят к структурным изменениям в ГМ, что в комплексе способствует возникновению КН, наблюдаемых у пациентов с СН. Гиперинтенсивность белого вещества (БВ), лакунарные инфаркты (ЛИ), потеря объема СВ являются общими признаками, выявляемыми при помощи методов нейровизуализации, в частности МРТ [4, 5].
В арсенале МРТ имеется ряд импульсных последовательностей и методик, которые потенциально позволяют выявить нейронные корреляты КФ. В частности, Т1-взвешенные изображения помогают количественно оценить СВ. Очаговые изменения в БВ визуализируются на Т2-взвешенных изображениях и FLAIR (Fluid Attenuated Inversion Recovery – последовательность МРТ с восстановлением инверсии), а DTI (Diffusion Tensor Imaging – диффузионно-тензорная визуализация) позволяет оценить нервные тракты и аксональную организацию мозга. С учетом тяжести пациентов с СН заслуживает внимания и методика ASL (Arterial Spin Labeling – бесконтрастная перфузия), которая позволяет выявить дефекты ЦП мозга.
Одним из основных инструментов, позволяющих оценить корковую нейрональную активность, является функциональная МРТ (фМРТ), представляющая собой разновидность МРТ, которая позволяет визуализировать зоны нейрональной активации (НА) в ответ на предъявляемые стимулы. В основе метода лежат 2 основных понятия: нейроваскулярное взаимодействие и BOLD-контраст (Blood-Oxygenation-Level-Dependment – контраст, зависящий от уровня оксигенации крови). Под нейроваскулярным взаимодействием понимается взаимосвязь между НА и региональным кровотоком. В ответ на определенное воздействие в отдельных участках ГМ происходит повышение соотношения окси- и дезоксигемоглобина, приводящее к усилению интенсивности сигнала на серии Т2-взвешенных изображений. Методика позволяет оценить распределение зон активации ГМ и провести корреляцию между анатомической локализацией и функциональной активностью коры ГМ [6].
Особой разновидностью фМРТ является фМРТ покоя. Интерес представляет изучение сети пассивного режима работы ГМ. Во время проведения фМРТ покоя больному не предъявляется стимул. Полагают, что низкочастотные колебания BOLD-сигнала в состоянии покоя отражают базальную активность нейронов, а анатомически удаленные друг от друга зоны активации со сходными частотными и временными характеристиками сигнала считаются функционально взаимосвязанными. Данная связь называется функциональной коннективностью. Различные паттерны НА, обладающие индивидуальными пространственными и частотными характеристиками, формируют сети покоя. Наиболее стабильно выявляется сеть пассивного режима работы ГМ [7], которая состоит из функционально связанных между собой участков ГМ, включающих поясные извилины и задние отделы предклинья, средние и нижние височные извилины, надкраевые и угловые извилины, верхние и средние лобные извилины, медиальную префронтальную и фронтальную кору (рис. 1).
Рис. 1. фМРТ покоя. Групповая карта спонтанной нейрональной активности ГМ в группе пациентов с ИБС. Собственное наблюдение.
Fig. 1. Resting fMRI. Group map of spontaneous neuronal activity of the brain in the group of patients with coronary artery disease. Author’s observation.
Исследователи подчеркивают, что при изучении взаимосвязи СН и КН следует иметь в виду, что и нормальное физиологическое старение (ФС) связано с атрофией СВ, очаговыми изменениями БВ и, соответственно, с функциональным снижением нескольких когнитивных зон. В ряде работ показано уменьшение объема мозга с возрастом, а также то, что распределение возрастной атрофии неоднородно и преимущественно поражает лобную, поясную кору. Напротив, затылочно-теменные области, медиальные височные структуры и подкорковое СВ обычно не подвержены возрастным изменения у обоих полов [8].
В отличие от ФС при СН наблюдаются более обширные кортикальные и подкорковые изменения. В частности, M. Woo и соавт. (2003 г.) по данным МРТ получили результаты, согласно которым у пациентов с СН наблюдались признаки уменьшения объема СВ ГМ в островковой доле, базальных ганглиях, поясной извилине, парагиппокампальной извилине, дорсальной части среднего мозга, вентральной и верхней лобной коре [9].
O. Almeida и соавт. (2013 г.) продемонстрировали, что СН связана с изменениями в областях мозга, которые важны для когнитивной и эмоциональной обработки. Изменения визуализировали в подкорковых ядрах, хвостатых, передних поясных и лобных долях, а пациенты имели худшую непосредственную и долговременную память, а также скорость психомоторики, чем контрольная группа. Исследователи в течение 2 лет наблюдали больных с СН и ИБС. По результатам полученных данных, СН и ИБС не связаны с непропорциональной потерей СВ ГМ или со снижением КФ в течение 2 лет по сравнению с кардиологически здоровыми людьми. У пациентов с СН через 2 года наблюдалось усиление симптомов тревоги и депрессии по сравнению с контрольной группой. Данная повышенная уязвимость была связана с относительной потерей СВ в областях мозга, которые важны для модуляции эмоций. Физиологические механизмы, связанные с такой дифференциальной гибелью клеток ГМ, еще предстоит определить [10].
В проспективном моноцентровом исследовании COGNITION.MATTERS-HF в течение 3 лет наблюдали пациентов с не прогрессирующей СН. На протяжении периода наблюдения наиболее частым оставался II класс по классификации Нью-Йоркской кардиологической ассоциации без изменений ФВЛЖ или теста 6-минутной ходьбы. По данным МРТ выявили атрофию медиальной височной доли (МВД), охватывающей гиппокамп и ядро миндалевидного тела, как преобладающую морфологическую особенность повреждения ГМ у пациентов с СН по сравнению со здоровыми людьми, в то время как общий объем мозга и степень изменений БВ не различались между группами. За 3 года наблюдения объем гиппокампа уменьшился на 1,8%, что было сопоставимо с ФС. Объем поражения БВ мозга по данным МРТ уменьшился на 6,2% за период наблюдения, но был сопоставим с изменениями в здоровой популяции. Количество и распределение лакун с течением времени не менялись. Иными словами, при адекватной терапии СН структурные изменения ГМ и, соответственно, КН остаются стабильными [11].
Гипоксические/ишемические процессы, возникающие в результате нарушения ЦП из-за низкого сердечного выброса и нарушения дыхания во сне, сопутствующих состояний, включая диабет и гипертонию, могут приводить к изменениям в скорлупе, мамиллярных телах, а также к локальным истончениям коры. Структурные аномалии ГМ, включая гиперинтенсивность БВ, атрофию МВД (гиппокампа), часто обнаруживают на МР-изображениях мозга как у бессимптомных, так и у пожилых людей с КН (рис. 2, 3).
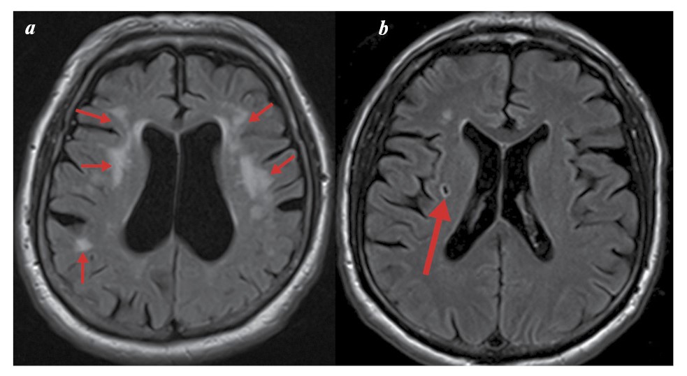
Рис. 2. МР-томограммы ГМ, аксиальные проекции: а – множественные очаговые изменения (стрелки); б – ЛИ (стрелка). Собственное наблюдение.
Fig. 2. MR tomograms of the brain, axial views: a – multiple focal changes (arrows); b – lacunar infarcts (LI) (arrow). Author’s observation.
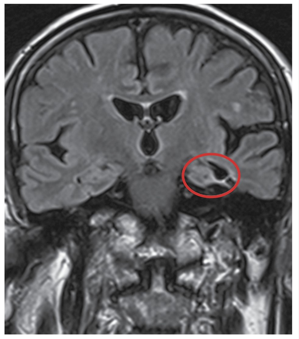
Рис. 3. МР-томограмма ГМ, фронтальная проекция. МР-признаки атрофии МВД слева, хориоидальная щель расширена, толщина гиппокампа снижена.
Fig. 3. MR tomogram of the brain, frontal view. MR signs of atrophy of the medial temporal lobe on the left, the choroidal fissure is widened, the thickness of the hippocampus is reduced.
Высказано предположение о том, что ССЗ, приводящие к СН, связаны с высоким риском цереброваскулярных осложнений. Факторы сердечно-сосудистого риска, которые часто сосуществуют у пациентов с СН, такие как гипертония, фибрилляция предсердий и гиперхолестеринемия, считаются основной причиной так называемой подкорковой ишемической болезни сосудов. В работе R. Vogels и соавт. (2007 г.) показано, что очаговое поражение ГМ, ЛИ, атрофия МВД чаще выявляются у пациентов с СН при сравнении с группой с кардиологическими заболеваниями, но без СН. Возраст и ФВЛЖ были независимо связаны с общим объемом поражения БВ [12]. Согласно одному из исследований более высокое бремя очагового поражения ГМ по данным МРТ связано с ухудшением КФ и депрессией у пациентов с СН [13].
В популяционном исследовании LIFE-Adult Study с наблюдением 10 тыс. человек количественная оценка очагового поражения по данным МРТ проведена у 2490 участников с использованием шкалы Фазекас. По итогам работы выявлена независимая связь между продолжительностью СН, инсультом, гипертонией, возрастом и очаговостью по данным МРТ ГМ. Наиболее выраженной была связь с продолжительностью СН и очаговыми изменениями. Нейрокогнитивное тестирование у пациентов с СН продемонстрировало дефицит внимания, рабочей памяти, снижение скорости психомоторных реакций. Однако пожилой возраст (ПВ) являлся самым сильным предиктором худшего результата в отношении КФ. Авторы считают, что необходимы дальнейшие исследования, чтобы выяснить, можно ли использовать очаговость в качестве маркера снижения КФ у пациентов с СН [14].
Другие исследователи оценивали взаимосвязь между нарушением функции сердца и структурными изменениями ГМ, выявленными на МРТ. Проанализированы корреляции биомаркеров СН и количество СВ мозга. Полученные данные продемонстрировали, что ФВЛЖ положительно коррелировала с потерей СВ, тогда как N-концевой прогормон мозгового натрийуретического пептида отрицательно коррелировал с потерей СВ в лобных и теменных долях [15].
Немногочисленные исследования направлены на изучение методом МРТ церебральной микрососудистой ангиопатии при СН с сохраненной ФВ. Повреждение микроциркуляторного русла может привести к острой и хронической гипоперфузии, которая в зависимости от органа-мишени проявляется различными симптомами и нарушениями. В целом патология мелких сосудов представляет собой широкую категорию цереброваскулярных заболеваний различной этиологии, которые в первую очередь поражают перфорантные артериолы, капилляры и венулы. Несмотря на различия в патогенезе, она имеет схожие нейровизуализационные маркеры в соответствии со стандартами описания STRIVE (STandards for ReportIng Vascular changes on nEuroimaging), включая нарушение гематоэнцефалического барьера, атрофию вещества мозга, небольшой подкорковый инфаркт, лакуны предполагаемого сосудистого происхождения, гиперинтенсивность БВ, расширение периваскулярных пространств и микрокровоизлияния в мозг. Особенности нейровизуализационных маркеров являются показательными для этиологического анализа. Кроме того, при атеросклеротическом патогенезе поражение церебрального микрососудистого русла является значимым предиктором инсульта, глобальных КН, психических расстройств и ухудшения качества жизни в более позднем возрасте [16, 17].
Таким образом, двунаправленные обратные взаимодействия между сердцем и мозгом присущи патофизиологии СН: нарушение СФ влияет на структуру и функциональные возможности мозга, а сигналы нейронов – на сердечно-сосудистый континуум. Данные взаимодействия способствуют проявлению симптоматики у пациентов с СН. Более того, сигналы нейро-кардиальной обратной связи значительно способствуют обострению, дальнейшему прогрессированию СН и являются причиной плохого прогноза [18]. Вопрос о взаимосвязи СН со структурными изменениями ГМ и снижением КФ важен, поскольку современные подходы к лечению рассматриваемого заболевания требуют активного участия пациентов. У больных могут возникнуть проблемы с соблюдением медицинских рекомендаций, что приведет к неоптимальной терапии, частым осложнениям. Более того, точная оценка связи между СН и КН может улучшить наше понимание механизмов, которые связывают ССЗ со снижением КФ в ПВ. Необходимы исследования для выяснения связи между структурными изменениями и когнитивным дефицитом, прежде всего деменции, с учетом болезней ПВ. Возможно, что комбинация когнитивного тестирования и МРТ ГМ, сердца поможет классифицировать пациентов с СН по различным группам тяжести и облегчить индивидуализацию лечения.
Раскрытие интересов. Авторы декларируют отсутствие явных и потенциальных конфликтов интересов, связанных с публикацией настоящей статьи.
Disclosure of interest. The authors declare that they have no competing interests.
Вклад авторов. Авторы декларируют соответствие своего авторства международным критериям ICMJE. Все авторы в равной степени участвовали в подготовке публикации: разработка концепции статьи, получение и анализ фактических данных, написание и редактирование текста статьи, проверка и утверждение текста статьи.
Authors’ contribution. The authors declare the compliance of their authorship according to the international ICMJE criteria. All authors made a substantial contribution to the conception of the work, acquisition, analysis, interpretation of data for the work, drafting and revising the work, final approval of the version to be published and agree to be accountable for all aspects of the work.
Источник финансирования. Авторы декларируют отсутствие внешнего финансирования для проведения исследования и публикации статьи.
Funding source. The authors declare that there is no external funding for the exploration and analysis work.
About the authors
Merab A. Shariya
Chazov National Medical Research Center of Cardiology; Sechenov First Moscow State Medical University (Sechenov University)
Email: izhirov@mail.ru
ORCID iD: 0000-0002-0370-5204
доктор медицинских наук, профессор кафедры лучевой диагностики, ведущий научный сотрудник отделения томографии
Russian Federation, Moscow; MoscowDmitry V. Ustyuzhanin
Chazov National Medical Research Center of Cardiology
Email: izhirov@mail.ru
ORCID iD: 0000-0002-0402-3977
кандидат медицинских наук, старший научный сотрудник отд. томографии
Russian Federation, MoscowIgor V. Zhirov
Chazov National Medical Research Center of Cardiology; Russian Medical Academy of Continuous Professional Education
Author for correspondence.
Email: izhirov@mail.ru
ORCID iD: 0000-0002-4066-2661
доктор медицинских наук, профессор каф. кардиологии, ведущий научный сотрудник отд. заболеваний миокарда и сердечной недостаточности
Russian Federation, Moscow; MoscowYulia F. Osmolovskaya
Chazov National Medical Research Center of Cardiology
Email: izhirov@mail.ru
ORCID iD: 0000-0002-7827-2618
кандидат медицинских наук, зав. 8-м кардиологическим отделением, научный сотрудник отделения заболеваний миокарда и сердечной недостаточности
Russian Federation, MoscowSergey N. Tereshchenko
Chazov National Medical Research Center of Cardiology; Russian Medical Academy of Continuous Professional Education
Email: izhirov@mail.ru
ORCID iD: 0000-0001-9234-6129
доктор медицинских наук, профессор, руководитель отделения заболеваний миокарда и сердечной недостаточности, зав. кафедрой кардиологии
Russian Federation, Moscow; MoscowReferences
- Pressler SJ, Kim J, Riley P, et al. Memory dysfunction, psychomotor slowing, and decreased executive function predict mortality in patients with heart failure and low ejection fraction. J Card Fail. 2010;16(9):750-60. doi: 10.1016/j.cardfail.2010.04.007
- Jefferson AL, Himali JJ, Au R, et al. Relation of left ventricular ejection fraction to cognitive aging (from the Framingham Heart Study). Am J Cardiol. 2011;108(9):1346-51. doi: 10.1016/j.amjcard.2011.06.056
- Markousis-Mavrogenis G, Noutsias M, Rigopoulos AG, et al. The Emerging Role of Combined Brain/Heart Magnetic Resonance Imaging for the Evaluation of Brain/Heart Interaction in Heart Failure. J Clin Med. 2022;11(14):4009. doi: 10.3390/jcm11144009
- Goh FQ, Kong WKF, Wong RCC, et al. Cognitive Impairment in Heart Failure-A Review. Biology (Basel). 2022;11(2):179. doi: 10.3390/biology11020179
- Almeida OP, Garrido GJ, Beer C, et al. Cognitive and brain changes associated with ischaemic heart disease and heart failure. Eur Heart J. 2012;33(14):1769-76. doi: 10.1093/eurheartj/ehr467
- Волель Б.А., Ахапкин Р.В., Устюжанин Д.В., и др. Нейровизуализационные методы в диагностике и терапии депрессивных расстройств. Журнал неврологии и психиатрии им. С.С. Корсакова. 2017;117(2):163-8 [Volel’ BA, Akhapkin RV, Ustyuzhanin DV, et al. Neuroimaging techniques in the diagnosis and treatment of depressive disorders. S.S. Korsakov Journal of Neurology and Psychiatry. 2017;117(2):163-8 (in Russian)]. doi: 10.17116/jnevro201711721163-168
- Зашезова М.Х., Устюжанин Д.В., Каверина А.Р., и др. Особенности активации сети пассивного режима работы головного мозга у людей с высоким уровнем хронического стресса. Российский электронный журнал лучевой диагностики. 2017;7(3):31-9 [Zashezova MKh, Ustyuzhanin DV, Kaverina AR, et al. Features of activation of the default mode network in people with a high level of chronic stress. Russian Electronic Journal of Radiology. 2017;7(3):31-9 (in Russian)]. doi: 10.21569/2222-7415-2017-7-3-31-39
- Farokhian F, Yang C, Beheshti I, et al. Age-Related Gray and White Matter Changes in Normal Adult Brains. Aging Dis. 2017;8(6):899-909. doi: 10.14336/AD.2017.0502
- Woo MA, Macey PM, Fonarow GC, et al. Regional brain gray matter loss in heart failure. J Appl Physiol (1985). 2003;95(2):677-84. doi: 10.1152/japplphysiol.00101.2003
- Almeida OP, Garrido GJ, Etherton-Beer C, et al. Brain and mood changes over 2 years in healthy controls and adults with heart failure and ischaemic heart disease. Eur J Heart Fail. 2013;15(8):850-8. doi: 10.1093/eurjhf/hft029
- Frey A, Homola GA, Henneges C, et al. Temporal changes in total and hippocampal brain volume and cognitive function in patients with chronic heart failure-the COGNITION.MATTERS-HF cohort study. Eur Heart J. 2021;42(16):1569-78. doi: 10.1093/eurheartj/ehab003
- Vogels RLС, van der Flier WM, Van Harten B, et al. Brain magnetic resonance imaging abnormalities in patients with heart failure. Eur J Hear Fail. 2007;9(10):1003-9. doi: 10.1016/j.ejheart.2007.07.006
- Alosco ML, Brickman AM, Spitznagel MB, et al. Cerebral perfusion is associated with white matter hyperintensities in older adults with heart failure. Congest Heart Fail. 2013;19(4):E29-34. doi: 10.1111/chf.12025
- Stegmann T, Chu ML, Witte VA, et al. Heart failure is independently associated with white matter lesions: insights from the population-based LIFE-Adult Study. ESC Heart Fail. 2021;8(1):697-704. doi: 10.1002/ehf2.13166
- Mueller K, Thiel F, Beutner F, et al. Brain Damage with Heart Failure: Cardiac Biomarker Alterations and Gray Matter Decline. Circ Res. 2020;126(6):750-64. doi: 10.1161/CIRCRESAHA.119.315813
- Bennett J, van Dinther M, Voorter P, et al. Assessment of Microvascular Disease in Heart and Brain by MRI: Application in Heart Failure with Preserved Ejection Fraction and Cerebral Small Vessel Disease. Medicina (Kaunas). 2023;59(9):1596. doi: 10.3390/medicina59091596
- Chen X, Wang J, Shan Y, et al. Cerebral small vessel disease: neuroimaging markers and clinical implication. J Neurol. 2019;266(10):2347-62. doi: 10.1007/s00415-018-9077-3
- Doehner W, Ural D, Haeusler KG, et al. Heart and brain interaction in patients with heart failure: overview and proposal for a taxonomy. A position paper from the Study Group on Heart and Brain Interaction of the Heart Failure Association. Eur J Heart Fail. 2018;20(2):199-215. doi: 10.1002/ejhf.1100
Supplementary files





