Barth syndrome in an adult patient: an overview of the problem and case report. A review
- Authors: Muksinova M.D.1, Osmolovskaya Y.F.1, Leontyeva I.V.2, Galaeva M.A.1, Stukalova O.V.1, Beniashvili A.G.3, Safiullina A.A.1, Zhirov I.V.1, Tereshchenko S.N.1
-
Affiliations:
- Chazov National Medical Research Center of Cardiology
- Pirogov Russian National Research Medical University
- Mental Health Science Center
- Issue: Vol 96, No 8 (2024): Treatment issues
- Pages: 812-819
- Section: Reviews
- Submitted: 21.07.2024
- Accepted: 21.07.2024
- Published: 14.09.2024
- URL: https://ter-arkhiv.ru/0040-3660/article/view/634482
- DOI: https://doi.org/10.26442/00403660.2024.08.202815
- ID: 634482
Cite item
Full Text
Abstract
Barth syndrome is a rare genetic disease caused by abnormal cardiolipin metabolism, characterized by high mortality within 5 years of diagnosis due to heart failure and/or infectious complications. This article describes a clinical case of an adult patient with Barth syndrome. The peculiarities of the course of the disease are described, including the transformation of the hypertrophic type of cardiomyopathy into the hypokinetic type as the patient grew older. This article demonstrates the difficulty in selecting the optimal treatment of a patient with Barth syndrome in real clinical practice, in the absence of clearly prescribed recommendations and pathogenetic therapy.
Keywords
Full Text
Список сокращений
ГКМП – гипертрофическая кардиомиопатия
иНГЛТ-2 – ингибиторы натрий-глюкозного котранспортера 2-го типа
КДР – конечно-диастолический размер
КСР - конечно-систолический размер
ЛЖ – левый желудочек
ЛП – левое предсердие
МРТ – магнитно-резонансная томография
ПЖ – правый желудочек
ТМЖП – толщина межжелудочковой перегородки
ФВ – фракция выброса
ЧСС – частота сердечных сокращений
ЭхоКГ – эхокардиография
Введение
Синдром Барта – орфанное заболевание, распространенность которого составляет примерно 1 случай на 1 млн мужского населения, и в настоящее время описано около 230 случаев этой патологии [1]. Данный синдром характеризуется неблагоприятным прогнозом, в основном обусловленным сердечной недостаточностью и инфекционными осложнениями. Средняя продолжительность жизни составляет около 5 лет, хотя в последнее время у пациентов, родившихся после 2000 г., этот показатель увеличился вдвое [2]. Дожитие до 18-летнего возраста у пациентов с синдромом Барта ранее описано только у 1 пациента, и нами далее будет представлено второе описание клинического случая генетически и биохимически подтвержденного синдрома Барта у взрослого больного.
Синдром Барта является Х-сцепленным заболеванием (хромосомная локализация – Xq28), при котором происходит мутация в гене TAZ, в результате чего нарушается работа его продукта, фермента тафаззина, участвующего в процессах ремоделирования кардиолипина [3], что приводит к увеличению содержания монолизокардиолипина, промежуточного продукта ремоделирования кардиолипина, и уменьшению тканево-специфического кардиолипина с четырьмя линолеил-фрагментами (тетралинолеилкардиолипин – L4CL), практически на 80% локализующегося в тканях с высоким окислительным потенциалом (в сердечной и скелетных мышцах) [4], что, соответственно, обусловливает значительное повышение соотношения монолизокардиолипина: L4CL≈18:2 [4, 5]. Данные изменения являются причиной комплексных нарушений в поддержании структуры митохондрий [6], функции ряда митохондриальных белков [7], работы дыхательной цепи и выработке энергии в митохондриях [8], что приводит к усилению зависимости от анаэробного метаболизма для удовлетворения энергетических потребностей [9] и использованию глюкозы в качестве предпочтительного углеродного субстрата [10], а также происходит нарушение митохондриального апоптоза [11]. Тем не менее вследствие крайней редкости патогенез заболевания требует дальнейшего изучения.
Поскольку состояния вызваны аномальным геном на Х-хромосоме, то проявляются преимущественно у мужчин. Женщины, у которых на одной из Х-хромосом присутствует аномальный ген, являются носителями этого заболевания. Впрочем, имеется по крайней мере 1 описание клинического случая синдрома Барта у ребенка женского пола, которое обусловлено мозаицизмом для моносомии Х и для кольцевой Х-хромосомы с большой делецией длинного плеча, включая область Xq28 [12].
Типичными признаками заболевания являются кардио- миопатия (обычно дилатационная, иногда с некомпактностью левого желудочка (ЛЖ) и/или фиброэластозом эндокарда), гораздо реже – с фенотипом гипертрофической кардиомиопатии (ГКМП) [13, 14], жизнеугрожающие нарушения сердечного ритма (удлиненный корригированный интервал QT, желудочковая аритмия), низкая мышечная масса и мышечная слабость, что в свою очередь приводит к непереносимости физических упражнений, трудностям в обучении и проблемам с кормлением (например, затруднения при сосании, глотании или жевании, пациенты демонстрируют определенные предпочтения в еде), задержке роста и развития [2, 14]. К характерным изменениям в лабораторных анализах относится нейтропения (может быть хронической, интермиттирующей, циклической), что обусловливает частые инфекционные осложнения, 3-метилглутаконовая ацид- урия, повышение которой в 5 и более раз является диагностическим критерием синдрома Барта [2, 14]. К более редким лабораторным проявлениям относятся гипогликемия, в том числе гипогликемия натощак (чаще всего в период новорожденности) [2, 14] и гипохолестеринемия [15].
К описанным клиническим проявлениям можно добавить психоневрологические аспекты синдрома Барта. Показано, что качество жизни, а также параметры физического и психоэмоционального функционирования, связанного со здоровьем, при данном заболевании хуже, чем при сахарном диабете 1-го типа и злокачественных ново- образованиях [16]. Часто к одному из проявлений синдрома Барта добавляется когнитивный дефицит, выявляется снижение зрительно-моторных навыков (у 7 из 10 мальчиков), что связано с изменениями функционирования поперечнополосатой мускулатуры [17]. Описано также значимое ухудшение начальных математических навыков, усиливающееся в случае дожития пациентов до среднего школьного возраста [18].
В настоящее время не существует патогенетического лечения синдрома Барта. Лечебная стратегия направлена на купирование имеющейся клинической симптоматики. Впрочем, во многих случаях возможно управление клиническими проявлениями. Поскольку наличие различного фенотипа кардиомиопатий проявляется развитием сердечной недостаточности, по современным представлениям [19], требуется использование основных групп лекарственных средств для лечения данного симптомокомплекса (ингибиторы ангиотензинпревращающего фермента/блокаторы рецепторов ангиотензина/ангиотензиновых рецепторов и неприлизина ингибитор, β-адреноблокаторы, антагонисты минералокортикоидных рецепторов, ингибиторы натрий-глюкозного котранспортера 2-го типа – иНГЛТ-2) [20].
По данным анализа описаний клинических случаев показано, что вследствие детского возраста пациентов среди кардиотропных препаратов чаще всего использовались β-адреноблокаторы, сердечные гликозиды и петлевые диуретики [21].
Хотя использование иНГЛТ-2 у детей невозможно вследствие показаний к применению только у пациентов старше 18 лет, тем не менее существует гипотеза о возможном благоприятном эффекте препаратов этой группы вследствие повышения уровня циркулирующих кетонов и последующего окисления кетонов в миокарде [22]. При синдроме Барта это важно, поскольку ферменты окисления кетонов практически не зависят от взаимодействия с кардиолипинами из-за их локализации в митохондриальном матриксе [23].
Активно изучаются генная терапия, основанная на доставке генов рекомбинантным аденоассоциированным вирусом к сердцу и скелетным мышцам основных тканей, пораженных при синдроме Барта [24], терапия, нацеленная на усиление транскрипции генов, участвующих в окислительном метаболизме. Последнее направление связано с опытом применения безафибрата, агониста рецептора, активируемого пролифераторами пероксисом, активирующего передачу сигналов 1-α, участвующих в углеводном и липидном обмене. В экспериментальной модели синдрома Барта назначение безафибрата приводило к улучшению систолической функции ЛЖ [25].
Доступны результаты исследования с эламипретидом, который проникает через внешнюю мембрану митохондрии и связывается с кардиолипином, составляющим фосфолипидом внутренней мембраны, и в результате улучшает биоэнергетическую дисфункцию и морфологию митохондрий у пациентов с синдромом Барта. Использование эламипретида в течение 36 недель приводило к уменьшению количества конечных точек, ассоциированных с клинической симптоматикой и качеством жизни [26].
В условиях отсутствия патогенетического лечения методом выбора большинства авторов является метаболическая терапия. Дефицит L-карнитина и коэнзима Q10 при синдроме Барта можно уменьшить путем заместительной терапии. Однако в настоящее время нет ни одного исследования, доказывающего их эффективность [21], и, более того, есть данные об отрицательной роли L-карнитина на течение заболевания [27].
Поскольку в большинстве работ сообщается об использовании полифармакологического подхода, невозможно выделить индивидуальный вклад каждого лекарства или группы лекарственных препаратов. В настоящий момент целью лечения пациентов с синдромом Барта является симптоматическая терапия, доказательная база которой остается крайне низкой.
Клинический случай
Пациент Ж. 1989 года рождения поступил в январе 2023 г. в ФГБУ «НМИЦК им. акад. Е.И. Чазова» с основными жалобами на одышку при минимальной физической нагрузке (подъем на 2-й лестничный пролет), приступы учащенного сердцебиения при незначительной физической нагрузке, постоянную слабость и быструю утомляемость. Аллергологический анамнез отрицает, профессиональные вредности отрицает, из вредных привычек: курение с 17 лет по 0,5–1 пачке в день до сентября 2022 г. Кроме того, из анамнеза жизни известно, что окончил 11 классов, проучился в университете 2 курса, отчислен, затем до 2022 г. работал электромонтажником.
Наследственность по сердечно-сосудистым заболеваниям не отягощена. Возраст матери при рождении ребенка – 36 лет, здорова, жалобы не предъявляет. Физическое развитие – ниже среднего, гармоничное: рост – 158 см, масса – 54 кг. Возраст отца при рождении ребенка – 37 лет, здоров, физическое развитие среднее: рост – 176 см, масса – 70 кг. Первая беременность матери закончилась медицинским абортом. Мальчик от 2-й беременности, протекавшей без токсикоза, мать перенесла грипп на 19–20-й неделях. Роды на 2 нед позже предполагаемого срока, со стимуляцией. Ребенок закричал сразу; масса тела при рождении – 3100 г, длина – 53 см. С рождения беспокоили срыгивания, нарушение сосания, находился на искусственном вскармливании. С 5 мес отмечены плохая прибавка массы тела и задержка статико-моторного и речевого развития. Ребенок начал сидеть с 8 мес, ходить – с 2 лет, говорить простые фразы – с 3 лет. Антропометрические показатели в возрасте 1 года составляли: рост – 70 см (<3 центиля), масса – 7 кг (<3 центиля). С 1 года наблюдался у невролога с диагнозом «миопатия».
Впервые изменения со стороны сердца выявлены в 1,5 года в виде симметричной необструктивной ГКМП. По данным эхокардиографии (ЭхоКГ) толщина межжелудочковой перегородки (ТМЖП) – 12 мм, задней стенки ЛЖ – 10 мм при норме 5 мм. На ЭКГ – повышение электрической активности ЛЖ, снижение процесса реполяризации в миокарде. В возрасте 3 лет проведено углубленное обследование мальчика в отделении кардиологии в НИИ педиатрии и детской хирургии им. акад. Ю.Е. Вельтищева ФГАОУ ВО «РНИМУ им. Н.И. Пирогова». Одним из основных клинических симптомов являлась задержка физического (рост <3 центиля, масса <10 центиля) и психомоторного развития, отмечены повышенная утомляемость, отставание психоречевого развития. Кожные покровы чистые. В легких дыхание пуэрильное, тоны сердца громкие ритмичные, живот мягкий безболезненный. В неврологическом статусе выявлена гипомимия лицевых мышц, периодически поперхивание, нарушение произнесения некоторых звуков, выражены общая мышечная гипотония и гипотрофия, снижение силы мышц. Сухожильные рефлексы снижены, больше в верхних конечностях. Походка изменена по типу утиной, с трудом поднимался по лестнице. Координаторных нарушений не обнаружено. В психологическом статусе отмечена легкая задержка психического развития. Офтальмологическое обследование изменений глазного дна не выявило.
ЭКГ – ритм синусовый, частота сердечных сокращений (ЧСС) 96 уд/мин – повышение электрической активности ЛЖ, снижение процесса реполяризации в миокарде. По данным ЭхоКГ полости сердца не расширены, сократительная способность не изменена, фракция выброса (ФВ) 66% (по Тейхольцу) в норме, выявлена симметричная не обструктивная ГКМП (ТМЖП – 12 мм, задней стенки ЛЖ – 13 мм при норме 5 мм).
Проведена позитронно-эмиссионная томография сердца. (Исследование выполнено на позитронно-эмиссионном томографе фирмы Scanditronix, Швеция, в Научно-практическом центре «Мозг» г. Санкт-Петербурга.) Энергетический метаболизм миокарда изучали с помощью радиофарм- препарата фтордезоксиглюкозы, меченной фтором-18, в исходе и при гипергликемии (внутривенное введение 10 мл 40% глюкозы), что позволяло оценить не только активность гликолиза, но и резервные возможности этого энергетического пути. Активность перфузии оценивалась по накоплению 13 NH3 в миокарде. Накопление NH3 незначительно снижено во всем миокарде по сравнению с нормой (2,7 при норме 3–4). При нагрузке Но-шпой оно увеличилось на 20% и стало в пределах нормы. Накопление фтордез- оксиглюкозы, меченной фтором-18, снижено (0,9–1,4) по сравнению с нормой (2,0–2,5) во всем миокарде, в меньшей степени – в перегородке и переднеперегородочной области (1,1–1,14), реакция на нагрузку снижена (10–25% при норме 25–30%).
Электроэнцефалография: легкие диффузные изменения биоэлектрической активности головного мозга. Электронейромиография: повышение числа полиморфных потенциалов, диффузные изменения нервно-мышечного характера, миопатический тип кривой. Компьютерная томография головного мозга – картина «пустого» турецкого седла. Содержание в крови тиреотропного гормона и гормонов щитовидной железы – в пределах нормы. При проведении пробы с Клофелином дефицита соматотропного гормона не обнаружено. Рентгенография трубчатых костей выявила остеопороз.
По клиническим анализам крови обнаружена транзиторная нейтропения, анализы мочи без особенностей. Проведенное биохимическое обследование ребенка выявило повышение уровня креатинфосфокиназы до 180 Ед/л, гипогликемию (2,0–3,12 ммоль/л при норме 3,3–5,7). Уровень молочной кислоты в сыворотке крови при повторных исследованиях варьировал от 0,35 до 2,63 ммоль/л (при норме 1,0–1,7 ммоль/л). После нагрузки глюкозой содержание молочной кислоты повысилось до 4,16 ммоль/л. Отмечался высокий уровень пировиноградной кислоты в крови (0,17–0,23 ммоль/л при норме 0,05–0,09 ммоль/л). Спектр аминокислот крови и мочи нормальный. Показатели равновесия кислот и оснований крови – без патологии.
Учитывая повышение уровня лактата и пирувата, транзиторную гипогликемию, сочетание в клинической картине инфантильного соматотипа (отставание в показателях физического развития), миопатического синдрома и кардиомиопатии, не исключалась митохондриальная патология, а также нарушение β-оксидации жирных кислот. Исследование состава органических кислот мочи методом газожидкостной хроматографии – хромато-масс-спектрометрии – обнаружило высокую экскрецию 3-метилглутаконовой, 3-метилглутаровой, 3-гидрокси-3-метилглутаровой кислот. Для исключения митохондриального генеза патологии проведена биопсия скелетной мышцы. Обнаружены очаги региональных некрозов, субсарколеммальные скопления мелкозернистых конгломератов кальция, феномен рваных красных волокон (ragged red fibres) в 15% волокон, субсарколеммальные скопления митохондрий, признаки их деструкции. Активность сукцинатдегидрогеназы и цитохромоксидазы не изменена. Данные свидетельствовали о митохондриальной патологии.
Таким образом, по результатам клинической картины, (инфатильный соматотип, кардиомиопатия, миопатия) проведенных исследований (нейтропения + высокая экскреция 3-метилглутаконовой, 3-метилглутаровой жирных кислот) пациенту поставлен диагноз «синдром Барта». Назначена метаболическая терапия цитохромом С, L-карнитином и коэнзимом Q10. На фоне проводившейся терапии отмечалась положительная динамика с улучшением клинического состояния мальчика: увеличение моторной активности и мышечного тонуса, повышение толерантности к физическим нагрузкам, снижение степени мышечной гипотонии и слабости. На электрокардиограмме также отмечена положительная динамика в виде улучшения процесса реполяризации. По данным ЭхоКГ в возрасте 11 лет (от 2001 г.): ТМЖП – 8,4 мм, толщина задней стенки ЛЖ – 9,7 см, ФВ – 67%, конечно-диастолический размер (КДР) – 34 мм, в общем анализе от 2001 г. крови нейтрофилы на нижней границе нормы (лейкоциты – 5,5×109/л, нейтрофилы – 23%, базофилы – 2%, эозинофилы – 5%, лимфоциты – 62%, моноциты – 8%), отмечено снижение экскреции 3-метилглутаконовой, 3-метилглутаровой и 3-гидрокси-3-метилглутаровой кислот. В возрасте 16 лет показатели физического развития в норме.
С 18 лет наблюдался у терапевта по месту жительства, принимал курсами L-карнитин, коэнзим Q10 и Милдронат. Ухудшение отмечено с лета 2022 г., когда стала прогрессировать одышка при минимальной физической нагрузке. По данным ЭхоКГ от 17.08.2022: объем левого предсердия (ЛП) – 44 мл, КДР – 5,0 см, конечно-систолический размер (КСР) – 3,8 см, ФВ – 44–45%, площадь правого предсердия – 19,5 см2, переднезадний размер правого желудочка (ПЖ) – 4,2 см, повышенная трабекулярность ПЖ. Амбулаторно предпринята попытка назначения сакубитрила + валсартана 25 мг 2 раза в день, бисопролола 2,5 мг и эплеренона 25 мг, однако в связи с симптомной гипотонией, которую пациент плохо переносил, препараты самостоятельно отменил. Из семейного анамнеза известно, что родители и младшая сестра пациента соматически здоровы, а также что родной брат бабушки по материнской линии умер в младенчестве, причина неизвестна.
При осмотре обращают внимание глубоко посаженные глаза, большие уши, которые с возрастом приобрели вид оттопыренных, «гнусавость голоса», слаборазвитая мускулатура (особенно рук и ног). При физикальном осмотре на момент поступления ритм правильный, пульс – 89 уд/мин, артериальное давление – 100/70 мм рт. ст., тест шестиминутной ходьбы – 156 м, признаков декомпенсации не отмечалось: отеки отсутствовали, печень не увеличена, отрицательный гепатоюгулярный рефлюкс, хрипов нет. Помимо этого обращает внимание избыточное потребление сладкого: в среднем пациент потребляет по 5–10 пачек мармелада в день.
На электрокардиограмме (рис. 1) при поступлении регистрировались синусовый ритм с ЧСС 88 уд/мин, изменение зубца Р по типу р-pulmonale и признаки гипертрофии ЛЖ.
Рис. 1. Электрокардиограмма при поступлении. Изменение зубца Р по типу р-pulmonale (указано стрелками) и признаки гипертрофии ЛЖ: отклонение электрической оси сердца влево, дискордантное смещение сегмента ST в V5, V6, I, aVL (обведены), увеличение амплитуды зубца R в V5, V6, aVL и увеличение амплитуды зубца S в III, V1, V2 (указано стрелками).
Fig. 1. Electrocardiogram at presentation. P-pulmonale (indicated by arrows) and signs of LV hypertrophy: left axis deviation, discordant ST-segment displacement in V5, V6, I, aVL (circles), increased amplitude of the R wave in V5, V6, aVL and increased amplitude of the S wave in III, V1, V2 (indicated by arrows).
В общем анализе крови отмечается небольшая нейтропения, в остальном без особенностей (табл. 1), в общем анализе мочи без клинически значимых изменений. В биохимическом анализе крови отмечалось повышение мозгового натрийуретического пептида до 607,4 пг/мл, в остальном – в пределах нормальных значений (глюкоза – 4,80 ммоль/л, креатинин – 88,6 мкмоль/л, скорость клубочковой фильтрации по формуле CKD-EPI – 98,2 мл/мин/1,73 м2, калий – 4,5 ммоль/л, натрий – 138,0 ммоль/л, печеночные ферменты – в пределах референтных значений).
Таблица 1. Общий анализ крови пациента при поступлении: абсолютная нейтрофилия без повышения общего количества лейкоцитов Table 1. Hematology of the patient at presentation: absolute neutrophilia without an increase of the WBC count | ||
Показатель | Значение | Референс |
Гемоглобин, г/дл | 14,40 | 13,00–18,00 |
Гемотокрит, % | 41,8 | 42,0–52,0 |
Эритроциты, 1012/л | 5,02 | |
Лейкоциты, 109/л | 5,4 | 4,8–10,8 |
Нейтрофилы, тыс./мкл | 1,7 | 1,9–8,0 |
Нейтрофилы, % | 31,7 | 40,0-74,0 |
Базофилы, тыс./мкл | 0,07 | 0,0–0,2 |
Моноциты, тыс./мкл | 0,98 | 0,2–1,0 |
Эозинофилы, тыс./мкл | 0,1 | 0,0–0,8 |
Лимфоциты, тыс./мкл | 2,6 | 0,9–5,2 |
Тромбоциты, 109/л | 202 | 130–400 |
СОЭ, мм/ч | 9,0 | 0–15,0 |
По данным трансторакальной ЭхоКГ: размеры полостей сердца в пределах нормальных значений (КДР ЛЖ – 4,9 см, КСР ЛЖ – 3,6 см, ЛП – 3,6 см, индекс объема ЛП – 21 мл/м2, переднезадний размер ПЖ – 2,7 см, площадь правого предсердия – 17 см2), небольшое снижение глобальной сократимости ЛЖ (ФВ≈45%). Отмечалась сепарация листков перикарда по всему периметру сердца, преимущественно в области атриовентрикулярных борозд (до 1,6 см справа, до 1,2 см слева) со следовым количеством свободной жидкости и наличием дополнительных масс, по структуре напоминающих жировую ткань (рис. 2, a, b, указано стрелкой). Признаков экссудативного и констриктивного перикардита не выявлено, однако требовалось проведение дифференциального диагноза между жировой тканью и фибриновым выпотом.
Рис. 2. ЭхоКГ (жировое отложение указано стрелкой).
Fig. 2. Echocardiography (fat deposition is indicated by an arrow).
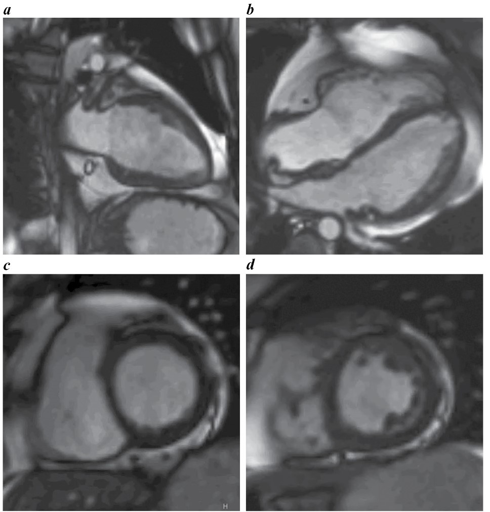
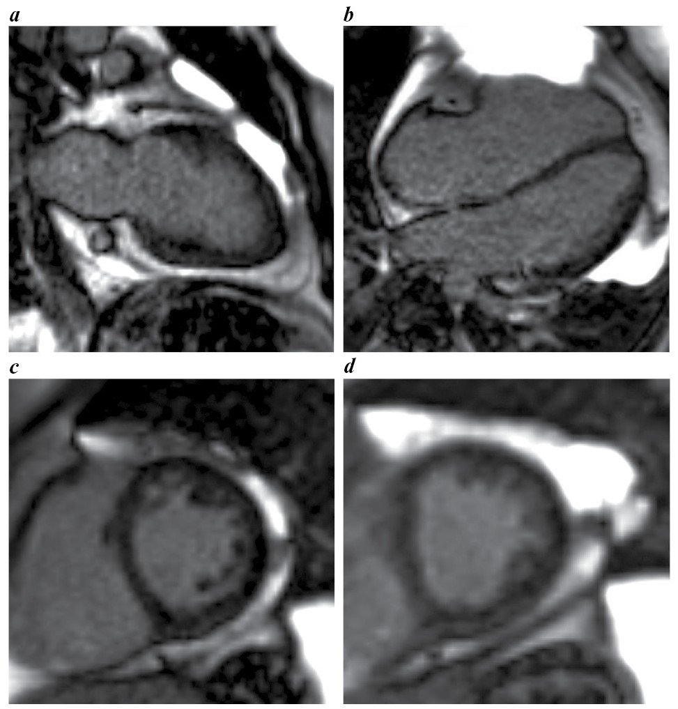
Выполнена магнитно-резонансная томография (МРТ) сердца с контрастированием (рис. 3, a–d), по данным которой очагового поражения миокарда желудочков воспалительного или ишемического характера, признаков отека миокарда и зон фиброза не выявлено. Не обнаружено расширения полостей ЛЖ и ПЖ (индексированный конечный диастолический объем ЛЖ – 60,4 мл/м2, индексированный конечный диастолический объем ПЖ – 47,9 мл/м2). Сократимость ПЖ оставалась в пределах нормы, ЛЖ незначительно снижена – до 54%. Толщина миокарда ЛЖ и ПЖ – в пределах нормы. Визуализировалась трабекулярность боковой стенки ЛЖ, не достигающая критериев некомпактного миокарда (рис. 4, a–d). В полости перикарда не выявлено жидкости, однако обращали внимание скопление эпикардиальной жировой ткани (более 200 г) на уровне атриовентрикулярных борозд, вдоль обоих желудочков, толщиной до 2,3–2,4 см (рис. 5, a–d), также липоматоз межпредсердной перегородки (рис. 5, b), скопление жировой ткани паракардиально (более 100 г).
Рис. 3. МРТ сердца, кино-МРТ, фаза конечной диастолы: a – 2-камерная длинная ось ЛЖ; b – 4-камерная длинная ось ЛЖ; c, d – короткая ось ЛЖ через базальный и средний сегменты.
Fig. 3. Cardiac MRI, cine-MRI, end-diastole phase: a – 2-chamber long axis of the LV; b – 4-chamber long axis of the LV; c, d – short axis of the LV through the basal and middle segments.
Рис. 4. МРТ сердца с отсроченным контрастированием: a – 2-камерная длинная ось ЛЖ; b – 4-камерная длинная ось ЛЖ; c, d – короткая ось ЛЖ через базальный и средний сегменты. Патологическое контрастирование миокарда ЛЖ и ПЖ отсутствует.
Fig. 4. Cardiac MRI with delayed contrast enhancement: a – 2-chamber long axis of the LV; b – 4-chamber long axis of the LV; c, d – short axis of the LV through the basal and middle segments. No abnormal contrast uptake of the LV and RV myocardium.
Рис. 5. МРТ сердца, импульсная последовательность TRUFI, поперечная плоскость. Стрелки указывают на жировую клетчатку, желтые – расположенные эпикардиально, в том числе в области межпредсердной перегородки, красная – расположенную паракардиально.
Fig. 5. Cardiac MRI, TRUFI pulse sequence, transverse plane. The arrows indicate fat tissue; yellow – located in the epicardium, including in the interatrial septum; red – located paracardially.
По данным холтеровского мониторирования ЭКГ регистрировался синусовый ритм со средней ЧСС 78 уд/мин (минимальная – 62 уд/мин, максимальная – 118 уд/мин), значимых нарушений ритма не выявлено (единичная желудочковая и наджелудочковая экстрасистолия), данных за патологическое удлинение интервала QT не получено (при ЧСС 53 уд/мин QT 430 мс, при ЧСС 120 уд/мин – QT 320 мс).
Пациенту проведена коронарография (рис. 6), по данным которой гемодинамически значимых изменений не выявили.
Рис. 6. Коронарография без гемодинамически значимых стенозов.
Fig. 6. Coronary angiography without hemodynamically significant stenoses.
Психический статус пациента характеризуется существенной для социальной динамики дисгармонией в отношениях со значимыми близкими: личные потребности в большей части, чем это ожидается от мужчины его возраста и культуры, подчинены интересам других. Такого рода альтруистическая, жертвенная позиция сочетается с интенсивной тревогой быть покинутым, остаться наедине с одиночеством. Нужда в эмоциональной поддержке ограничена убеждением в том, что забота о нем обременительна для его опекунов и компаньонов. В рамках этого паттерна депрессивные переживания, отчаяние находят форму самоиронии и горького сарказма в отношении недостижимых аспектов зрелости, строительства семьи, реализации талантов. Компенсаторным образованием можно считать его рационализацию в понимании себя как «выжившего» для поиска спасения тех детей, кого «врачи будут лечить после». В то же время, кроме описанной аномалии в личностной организации, сочетающей отдельные критерии зависимой и мазохистической личности, других когнитивных или аффективных расстройств на текущий период не отмечается.
Для подтверждения диагноза пациент направлен в ФГБУ «Медико-генетический научный центр им. акад Н.П. Бочкова», где по данным проведенных анализов отмечалось повышение органических кислот в моче, в частности 9-кратное увеличение 3-метил-глутаконовой кислоты (до 83,27 мМ/моль СRE), а в результате генетического анализа в экзоне 4 гена TAZ (TAFAZZIN) выявлен вариант: NM_000116.5:c/367C>T(p.Arg123*) в гемизиготном состоянии (глубина покрытия точки ×347), который является патогенным вариантом в международных базах по мутациям: HGMD, ClinVar, ACMG. Таким образом, синдром Барта у данного пациента подтвержден биохимически и молекулярно-генетически.
С учетом симптомной выраженной гипотонии на фоне попыток назначения ингибиторов ангиотензинпревращающего фермента, антагонистов неприлизина пациенту назначены кандесартан 4 мг/сут, бисопролол с титрацией дозы к выписке до 5 мг/сут и спиронолактон 25 мг/сут. С учетом наличия атеросклеротических изменений периферических артерий назначены аторвастатин 20 мг/сут и ацетилсалициловая кислота в дозе 100 мг/сут. Учитывая клинический положительный эффект от ранее проводимой метаболической терапии, продолжены L-карнитин 500 мг/сут, коэнзим Q10 100 мг/сут. На фоне попыток назначения дапаглифлозина у пациента отмечалась симптомная гипогликемия (до 3,0 ммоль/л в течение дня), в связи с чем от дальнейших попыток назначения иНГЛТ-2 решили воздержаться.
На фоне проведенного лечения в стационаре отмечалась положительная динамика в виде уменьшения одышки и увеличения толерантности к физической нагрузке. По данным контрольной ЭхоКГ отмечалось небольшое увеличение ФВ до 52%, в остальном – без существенной динамики.
Обсуждение
Таким образом, нами представлен крайне редкий случай дожития пациента с синдромом Барта до взрослого возраста. Особенностью пациента является атипичное развитие кардиомиопатии, которая манифестировала с редкого при данном состоянии фенотипа ГКМП [13], а при взрослении трансформировалась в недилатационную гипокинетическую кардиомиопатию ЛЖ, наличие которой, по всей вероятности, связано с изменениями энергетического метаболизма сердца. Кроме того, не получено данных у пациента о снижении когнитивных способностей, но имелись личностные изменения, которые обусловлены длительным течением тяжелого заболевания.
Попытка назначения дапаглифлозина, которая привела к симптомной гипогликемии, по нашему мнению, обусловлена снижением реабсорбции глюкозы из клубочкового фильтрата в проксимальных почечных канальцах в условиях повышенной зависимости от анаэробного метаболизма глюкозы для удовлетворения энергетических потребностей. В остальном назначение тройной терапии сердечной недостаточности в комплексе с метаболической терапией привело к увеличению толерантности к физической нагрузке и улучшению ФВ.
Рассматриваемый клинический пример демонстрирует особенности течения кардиомиопатии и сложность в подборе оптимального лечения в условиях отсутствия патогенетической терапии. Описывается несоответствие гипотетически оправданного назначения лекарственных препаратов с возможностями в реальной клинической практике.
Заключение
Синдром Барта – это орфанное генетическое заболевание, при котором нет четко прописанных рекомендаций лечения и отсутствует патогенетическая терапия. Описание клинического случая дожития больного с данной патологией до взрослого возраста и особенности клинического течения и лечения при объективном ограничении доказательной базы позволяют выработать эффективную индивидуальную лечебную стратегию.
Раскрытие интересов. Авторы декларируют отсутствие явных и потенциальных конфликтов интересов, связанных с публикацией настоящей статьи.
Disclosure of interest. The authors declare that they have no competing interests.
Вклад авторов. Авторы декларируют соответствие своего авторства международным критериям ICMJE. Все авторы в равной степени участвовали в подготовке публикации: разработка концепции статьи, получение и анализ фактических данных, написание и редактирование текста статьи, проверка и утверждение текста статьи.
Authors’ contribution. The authors declare the compliance of their authorship according to the international ICMJE criteria. All authors made a substantial contribution to the conception of the work, acquisition, analysis, interpretation of data for the work, drafting and revising the work, final approval of the version to be published and agree to be accountable for all aspects of the work.
Источник финансирования. Авторы декларируют отсутствие внешнего финансирования для проведения исследования и публикации статьи.
Funding source. The authors declare that there is no external funding for the exploration and analysis work.
Информированное согласие на публикацию. Пациент подписал форму добровольного информированного согласия на публикацию медицинской информации.
Consent for publication. Written consent was obtained from the patient for publication of relevant medical information and all of accompanying images within the manuscript.
About the authors
Marina D. Muksinova
Chazov National Medical Research Center of Cardiology
Author for correspondence.
Email: mmd6638@yandex.ru
ORCID iD: 0000-0001-6516-5322
канд. мед. наук, врач-кардиолог отд-ния заболеваний миокарда и сердечной недостаточности
Russian Federation, MoscowYulia F. Osmolovskaya
Chazov National Medical Research Center of Cardiology
Email: mmd6638@yandex.ru
ORCID iD: 0000-0002-7827-2618
канд. мед. наук, зав. отд-нием заболеваний миокарда и сердечной недостаточности
Russian Federation, MoscowIrina V. Leontyeva
Pirogov Russian National Research Medical University
Email: mmd6638@yandex.ru
ORCID iD: 0000-0002-5273-6859
д-р мед. наук, проф., гл. науч. сотр. отд. детской кардиологии и аритмологии
Russian Federation, MoscowMareta A. Galaeva
Chazov National Medical Research Center of Cardiology
Email: mmd6638@yandex.ru
ORCID iD: 0000-0002-8097-9030
врач отд-ния ультразвуковых методов исследования
Russian Federation, MoscowOlga V. Stukalova
Chazov National Medical Research Center of Cardiology
Email: mmd6638@yandex.ru
ORCID iD: 0000-0001-8377-2388
канд. мед. наук, ст. науч. сотр. лаб. магнитно-резонансной томографии
Russian Federation, MoscowAllan G. Beniashvili
Mental Health Science Center
Email: mmd6638@yandex.ru
ORCID iD: 0000-0002-5149-3760
канд. мед. наук, ст. науч. сотр. лаб. психофармакологии
Russian Federation, MoscowAlfiya A. Safiullina
Chazov National Medical Research Center of Cardiology
Email: mmd6638@yandex.ru
ORCID iD: 0000-0003-3483-4698
д-р мед. наук, науч. сотр. отд. заболеваний миокарда и сердечной недостаточности
Russian Federation, MoscowIgor V. Zhirov
Chazov National Medical Research Center of Cardiology
Email: mmd6638@yandex.ru
ORCID iD: 0000-0002-4066-2661
д-р мед. наук, проф., вед. науч. сотр. отд. заболеваний миокарда и сердечной недостаточности
Russian Federation, MoscowSergey N. Tereshchenko
Chazov National Medical Research Center of Cardiology
Email: mmd6638@yandex.ru
ORCID iD: 0000-0001-9234-6129
д-р мед. наук, проф., рук. отд. заболеваний миокарда и сердечной недостаточности
Russian Federation, MoscowReferences
- Miller PC, Ren M, Schlame M, et al. A bayesian analysis to determine the prevalence of Barth syndrome in the pediatric population. J Pediatr. 2020;217:139-44. doi: 10.1016/j.jpeds.2019.09.074
- Rigaud C, Lebre A-S, Touraine R, et al. Natural history of Barth Syndrome: A national cohort study of 22 patients. Orphanet J Rare Dis. 2013;8(1):70. doi: 10.1186/1750-1172-8-70
- Bissler JJ, Tsoras M, Göring HH, et al. Infantile dilated X-linked cardiomyopathy, G4.5 mutations, altered lipids, and ultrastructural malformations of mitochondria in heart, liver, and skeletal muscle. Labor Investig. 2002;82(3):335-44. doi: 10.1038/labinvest.3780427
- Acehan D, Malhotra A, Xu Y, et al. Cardiolipin affects the supramolecular organization of ATP synthase in mitochondria. Biophys J. 2011;100(9):2184-92. doi: 10.1016/j.bpj.2011.03.031
- Houtkooper RH, Rodenburg RJ, Thiels C, et al. Cardiolipin and monolysocardiolipin analysis in fibroblasts, lymphocytes, and tissues using high-performance liquid chromatography–mass spectrometry as a diagnostic test for Barth syndrome. Analytic Biochem. 2009;387(2):230-7. doi: 10.1016/j.ab.2009.01.032
- Schlame M, Ren M. The role of Cardiolipin in the structural organization of mitochondrial membranes. Biochimica et Biophysica Acta (BBA) – Biomembranes. 2009;1788(10):2080-3. doi: 10.1016/j.bbamem.2009.04.019
- Schlame M, Towbin JA, Heerdt PM, et al. Deficiency of tetralinoleoyl-cardiolipin in barth syndrome. Ann Neurol. 2002;51(5):634-7. doi: 10.1002/ana.10176
- Klingenberg M. Cardiolipin and mitochondrial carriers. Biochimica et Biophysica Acta (BBA) – Biomembranes. 2009;1788(10):2048-58. doi: 10.1016/j.bbamem.2009.06.007
- Cade WT, Bohnert KL, Peterson LR, et al. Blunted fat oxidation upon submaximal exercise is partially compensated by enhanced glucose metabolism in children, adolescents, and young adults with barth syndrome. J Inherit Metab Dis. 2019;42(3):480-93. doi: 10.1002/jimd.12094
- Fatica EM, DeLeonibus GA, House A, et al. Barth syndrome: Exploring cardiac metabolism with induced pluripotent stem cell-derived cardiomyocytes. Metabolites. 2019;9(12):306. doi: 10.3390/metabo9120306
- Gonzalvez F, Gottlieb E. Cardiolipin: Setting the beat of apoptosis. Apoptosis. 2007;12(5):877-85. doi: 10.1007/s10495-007-0718-8
- Cosson L, Toutain A, Simard G, et al. Barth syndrome in a female patient. Mol Genet Metab. 2012;106(1):115-20. doi: 10.1016/j.ymgme.2012.01.015
- Kang S-L, Forsey J, Dudley D, et al. Clinical characteristics and outcomes of cardiomyopathy in Barth Syndrome: The UK experience. Pediatr Cardiol. 2015;37(1):167-76. doi: 10.1007/s00246-015-1260-z
- Roberts AE, Nixon C, Steward CG, et al. The Barth Syndrome Registry: Distinguishing Disease Characteristics and growth data from a longitudinal study. Am J Med Genet A. 2012;158A(11):2726-32. doi: 10.1002/ajmg.a.35609
- Vernon HJ, Sandlers Y, McClellan R, Kelley RI. Clinical Laboratory Studies in Barth syndrome. Mol Genet Metab. 2014;112(2):143-7. doi: 10.1016/j.ymgme.2014.03.007
- Jacob ML, Johnco C, Dane BF, et al. Psychosocial functioning in Barth Syndrome: Assessment of individual and Parental Adjustment. Children’s Health Care. 2015;46(1):66-92. doi: 10.1080/02739615.2015.1124768
- Mazzocco MMM, Henry AE, Kelly RI. Barth syndrome is associated with a cognitive phenotype. J Development Behav Pediatr. 2007;28(1):22-30. doi: 10.1097/01.dbp.0000257519.79803.90
- Raches D, Mazzocco MM. Emergence and nature of mathematical difficulties in young children with barth syndrome. J Development Behav Pediatr. 2012;33(4):328-35. doi: 10.1097/dbp.0b013e31824c4090
- Arbelo E, Protonotarios A, Gimeno JR, et al. 2023 ESC guidelines for the management of Cardiomyopathies. Eur Heart J. 2023;44(37):3503-626. doi: 10.1093/eurheartj/ehad194
- Терещенко С.Н., Галявич А.С., Ускач Т.М., и др. Хроническая сердечная недостаточность. Клинические рекомендации 2020. Российский кардиологический журнал. 2020;25(11):311-74 [Tereshchenko SN, Galyavich AS, Uskach TM, et al. 2020 Clinical practice guidelines for Chronic heart failure. Russian Journal of Cardiology. 2020;25(11):311-74 (in Russian)]. doi: 10.15829/1560-4071-2020-4083
- Reynolds S. Successful Management of Barth Syndrome: A systematic review highlighting the importance of a flexible and multidisciplinary approach. J Multidiscip Healthc. 2015:8:345-58. doi: 10.2147/jmdh.s54802
- Lopaschuk GD, Verma S. Mechanisms of cardiovascular benefits of sodium glucose co-transporter 2 (SGLT2) inhibitors. JACC. 2020;5(6):632-44. doi: 10.1016/j.jacbts.2020.02.004
- Sumegi B, Srere PA. Binding of the enzymes of fatty acid beta-oxidation and some related enzymes to pig heart inner mitochondrial membrane. J Biol Chem. 1984;259(14):8748-52. doi: 10.1016/s0021-9258(17)47216-4
- Wang D, Tai PW, Gao G. Adeno-associated virus vector as a platform for gene therapy delivery. Nature Rev Drug Discov. 2019;18(5):358-78. doi: 10.1038/s41573-019-0012-9
- Huang Y, Powers C, Moore V, et al. The PPAR panagonist Bezafibrate ameliorates cardiomyopathy in a mouse model of barth syndrome. Orphanet J Rare Dis. 2017;12(1). doi: 10.1186/s13023-017-0605-5
- Sabbah HN. Elamipretide for Barth syndrome cardiomyopathy: Gradual rebuilding of a failed power grid. Heart Failure Rev. 2021;27(5):1911-23. doi: 10.1007/s10741-021-10177-8
- Aljishi E, Ali F. Barth Syndrome: An X-linked cardiomyopathy with a novel mutation. Indian J Pediatr. 2010;77(12):1432-33. doi: 10.1007/s12098-010-0222-y
Supplementary files









