Possibilities of post-processing of multislice computed tomography results in non-invasive diagnosis of pancreatic fibrosis
- Authors: Khatkov I.E.1,2, Lesko K.A.1, Dubtsova E.A.1, Khomeriki S.G.1, Karnaukhov N.S.1, Vinokurova L.V.1, Shurygina E.I.1, Makarenko N.V.1, Izrailov R.E.1, Savina I.V.1, Salimgereeva D.A.1, Kiriukova M.A.1, Bordin D.S.1,2,3
-
Affiliations:
- Loginov Moscow Clinical Scientific Center
- Russian University of Medicine
- Tver State Medical University
- Issue: Vol 96, No 8 (2024): Treatment issues
- Pages: 780-789
- Section: Original articles
- Submitted: 21.07.2024
- Accepted: 21.07.2024
- Published: 14.09.2024
- URL: https://ter-arkhiv.ru/0040-3660/article/view/634478
- DOI: https://doi.org/10.26442/00403660.2024.08.202831
- ID: 634478
Cite item
Full Text
Abstract
Aim. To evaluate the possibilities of post-processing of multidetector computed tomography (CT) results in the non-invasive diagnosis of pancreatic fibrosis (PF).
Materials and methods. The study included 165 patients aged 57.91±13.5 years who underwent preoperative CT during surgical treatment for chronic pancreatitis and pancreatic cancer from April 2022 to February 2024. The normalized contrast ratios of pancreatic tissue in the pancreatic (NCPP) and venous (NCVP) phases, as well as the contrast ratio (CR) were measured. Pathomorphological assessment of PF performed in tissues outside neoplasm or desmoplastic reaction by the Kloppel and Maillet scale.
Results. The values of post-processing CT results were compared in groups with different degrees of PF. Mean CR values were significantly higher (p=0.001) in patients with severe PF (CR 1.16±0.65 HU) than in patients with mild PF (CR 0.78±0.31 HU). CR value significant increase (p=0.03) was found in patients with signs of inflammatory changes in the pancreas tissue (CR 1.14±0.6 HU) than in those without them (CR 0.81±0.3 HU). There were no significant differences between the values of NCPP and NCVP, and the degree of PF.
Conclusion. The CR value increased in patients with severe degree of PF. There was a relationship between CR value increase and the radiological density of pancreatic tissue in non-contrast phase and presence of early signs of pancreatic inflammatory changes. Thus, there was a relationship between CT postprocessing results and morphological signs of PF, which can be used for pancreatic fibrosis non-invasive diagnosis and identification of additional signs of early chronic pancreatitis.
Keywords
Full Text
Список сокращений
БФ – бесконтрастная фаза
ВФ – венозная фаза
ДИ – доверительный интервал
ед. Х – единицы Хаунсфилда
КК – коэффициент соотношения контрастирования
КП – контрастный препарат
КТ – компьютерная томография
МРТ – магнитно-резонансная томография
МСКТ – мультиспиральная компьютерная томография
НКВФ – нормализованный коэффициент контрастирования в венозную фазу
НКПФ – нормализованный коэффициент контрастирования в панкреатическую фазу
ПЖ – поджелудочная железа
ПФ – панкреатическая фаза
РПЖ – рак поджелудочной железы
СД – сахарный диабет
ХП – хронический панкреатит
ЭУС – эндоскопическое ультразвуковое сканирование
Rho – коэффициент корреляции Спирмена
Введение
Хронический панкреатит (ХП) согласно современному механистическому определению, предложенному группой международных панкреатологических сообществ, представляет собой патологический фиброзно-воспалительный синдром поджелудочной железы (ПЖ) у лиц с генетическими, экологическими и/или другими факторами риска, у которых развиваются стойкие патологические реакции на повреждение паренхимы или стресс. Общие признаки установленного и прогрессирующего ХП включают атрофию ПЖ, фиброз, болевой синдром, деформацию протоков и стриктуры, кальцификацию, экзокринную дисфункцию ПЖ, эндокринную дисфункцию ПЖ и дисплазию [1]. Как видно из этого определения, одним из ключевых аспектов развития ХП является фиброз ПЖ.
Фиброз, прогрессирующий при ХП, существенно нарушает функционирование ПЖ и приводит к деформации протоков, кальцификации и гипотрофии, следовательно, к внешней и внутренней секреторной недостаточности ПЖ и тяжелой хронической боли [2, 3].
У больных с длительным течением ХП в 30% наблюдается развитие сахарного диабета (СД), а у пациентов с более чем 25-летним анамнезом ХП СД развивается в 83% наблюдений [4]. Внешнесекреторная недостаточность ПЖ развивается у 30–90% больных ХП, что приводит к нарушению нутритивного статуса, гиповитаминозам, остеопорозу и другим тяжелым осложнениям вплоть до кахексии, а также оказывает существенное негативное влияние на качество и продолжительность жизни таких пациентов [5].
Диагностика ХП на поздних его стадиях, как правило, не вызывает особых затруднений. Наряду с клинической картиной хронической боли, нарушением пищеварения и СД выявляются характерные структурные признаки фиброза, деформации протоков, кальцификации и/или атрофии ПЖ. При этом для ранней диагностики и эффективного лечения ХП является одним из самых сложных заболеваний [6].
Изначально основное внимание уделялось прогрессирующему ХП с грубыми морфологическими признаками [7].
Во избежание осложнений на поздних стадиях и для улучшения клинических результатов диагностика и лечение необходимы на ранней стадии, прежде чем ХП станет установленным и необратимым [8]. В связи с этим наряду с поздним ХП, отличающимся тяжелым прогрессирующим течением, в последние годы выделяют «ранний ХП». Выделение данной формы как начальной стадии развития ХП обеспечивает возможность раннего и эффективного лечения. При этом определение «ранний» характеризует выраженность заболевания, а не его продолжительность [6, 9, 10]. Исходя из современных представлений о течении раннего ХП, данную форму отличает потенциальная обратимость патологических изменений ПЖ [11].
Согласно международному консенсусу по диагностике и лечению раннего ХП, это заболевание может диагностироваться на основе сочетания факторов высокого риска развития ХП, низкого риска развития других заболеваний с признаками, схожими с ХП, соответствующего клинического контекста и результатов лабораторной диагностики [6, 8]. При этом отмечен ряд проблем в выявлении раннего ХП. В первую очередь это касается методологии, которая не может основываться на прямой визуализации морфологических проявлений ХП методами лучевой диагностики, как при позднем ХП. Это связано с тем, что данные лучевых методов не коррелируют с выраженностью болевого синдрома и активностью заболевания, а исключительно морфологическая диагностика невыполнима ввиду высокого риска потенциальных осложнений [6, 8, 12, 13].
Таким образом, фиброз ПЖ так или иначе играет значительную роль в прогрессировании ХП, в том числе раннего, в связи с чем существенное значение имеет своевременная неинвазивная диагностика фиброзных изменений в ПЖ [6, 8, 13]. Достаточно продуктивным является использование методов лучевой диагностики, в частности магнитно-резонансной томографии (МРТ) [14]. Так, для количественной оценки тяжести фиброза ПЖ применяются диффузионно-взвешенная визуализация, магнитно-резонансная эластография и Т1-картирование паренхимы ПЖ. Комбинация Т1- и Т2-взвешенных изображений, а также картирования по измеряемому коэффициенту диффузии повысили диагностическую эффективность распознавания раннего ХП по сравнению с магнитно-резонансной холангиопанкреатикографией [15]. Несмотря на инвазивность, определенное значение в диагностике фиброза ПЖ и раннего ХП имеет эндоскопическое ультразвуковое сканирование (ЭУС), при котором описан ряд признаков, в частности гиперэхогенные участки без дорсальной тени и деформация структуры железы, частично отражающие морфологические изменения и заложенные в основы диагностических критериев раннего ХП, предложенных Японским панкреатологическим обществом [16–18]. Широкому применению мультимодальной МРТ и эндоскопического ультразвукового исследования для диагностики фиброза ПЖ и ХП препятствует относительно высокая стоимость, меньшая доступность и в случае эндоскопического ультразвукового исследования – инвазивность.
Наиболее распространенным и в то же время эффективным методом диагностики заболеваний ПЖ является мультиспиральная компьютерная томография (МСКТ). Чувствительность КТ для распознавания ХП составляет 75% (95% доверительный интервал – ДИ 66–83), специфичность – 91% (95% ДИ 81–96). Кроме того, КТ обладает широкими возможностями для диагностики ново- образований ПЖ и заболеваний других органов брюшной полости, а также может использоваться для наблюдения за развитием ХП и его осложнений [19, 20]. Однако отсутствие достоверных визуально определяемых признаков фиброза ограничивает применение КТ, особенно для выявления раннего ХП [21, 22]. Для устранения данной проблемы предложены способы постобработки результатов КТ, которые разрабатывались в первую очередь c целью прогнозирования развития панкреатической фистулы в раннем послеоперационном периоде. Рядом авторов обнаружена связь между характером накопления контрастного препарата (КП) ПЖ и риском развития панкреатической фистулы, причем в основе проведенных исследований лежит именно математическая обработка результатов денситометрического анализа результатов КТ с внутривенным контрастированием [22–25].
Таким образом, в настоящее время остро стоит проблема неинвазивной, доступной и морфологически обос- нованной диагностики фиброза ПЖ, которая в итоге приведет к улучшению качества своевременного распознавания и лечения раннего ХП. В связи с этим нами поставлена цель – оценить возможности постобработки результатов МСКТ в неинвазивной диагностике фиброза ПЖ.
Материалы и методы
Для достижения поставленной цели проведено наблюдательное одноцентровое проспективное исследование в высокопотоковом медицинском центре третьего уровня оказания медицинской помощи – ГБУЗ «МКНЦ им. А.С. Логинова». Протокол исследования зарегистрирован на ресурсе ClinicalTrials.gov NCT05775107 от 07.03.2023. В исследование включены 165 пациентов в возрасте 57,91±13,5 года, в том числе 69 (41,8%) мужчин и 96 (58,2%) женщин. Они были обследованы с апреля 2022 по февраль 2024 г. и подверглись хирургическому лечению рака ПЖ (РПЖ) или ХП. К критериям включения относились возраст пациентов 18–99 лет, запланированное хирургическое лечение в виде резекционного вмешательства на ПЖ, а также согласие пациента на участие в исследовании. В исследование не включались пациенты с нерезектабельными опухолями ПЖ, а также те, кто не мог подписать информированное добровольное согласие на момент включения в исследование. Критерием исключения стала невозможность получения клинических, лабораторных инструментальных данных и морфологического исследования материала. Наряду со стандартным предоперационным обследованием за 3 дня до операции всем пациентам проводили МСКТ с внутривенным контрастированием. Окончательный диагноз устанавливали по данным патоморфологического исследования удаленного препарата. Результаты МСКТ с внутривенным контрастированием и патоморфологического исследования фиксировались в электронной базе данных для последующего анализа.
Проведение МСКТ. Все исследования МСКТ с внутривенным контрастированием проводились на аппарате Aquilion CXL 128 (Toshiba, Tokyo, Japan) с толщиной среза 1 мм и шагом реконструкции 0,5 мм. Такой подход к получению изображений позволил получить изотропную реконструкцию, подходящую для дальнейшего сопоставления с результатами патоморфологического исследования. Применяли неионные рентгеноконтрастные препараты (КП) с содержанием йода 350 мг/мл. КП вводился со скоростью 3,5 мл/с в объеме до 100 мл в зависимости от массы тела пациента из расчета 1 мл/кг. Использовался стандартный мультифазный протокол МСКТ, включающий бесконтрастную фазу (БФ), раннюю артериальную – 15–20 с от начала введения КП, позднюю артериальную или пан- креатическую фазу (ПФ) – 35–40 с от начала введения КП, венозную фазу (ВФ) – 60–80 с от начала введения КП и отсроченную – 5–7 мин от начала введения КП.
Постобработка результатов МСКТ. Все исследования и их постобработка проанализированы специалистом-рентгенологом с опытом работы 14 лет с помощью лицензионного программного обеспечения RadiAnt DICOM-viewer (версия 2023.1). Фиксировались значения рентгеновской плотности по общепринятой шкале в единицах Хаунсфилда (ед. Х) в участках ткани ПЖ, которые планировалось удалить в ходе хирургической операции, что в каждом случае согласовывалось с оперирующим хирургом. В качестве постобработки измерялись нормализованные коэффициенты контрастирования ткани ПЖ в ПФ (НКПФ) и ВФ (НКВФ) по методике, предложенной R. Torphy и соавт. [26] для оценки плотностных характеристик опухолевой ткани, а также коэффициент соотношения контрастирования (КК) по методике Y. Hashimoto и соавт., использованной авторами для прогнозирования формирования панкреатической фистулы в раннем послеоперационном периоде у пациентов, перенесших панкреатодуоденальные резекции [23]. Формулы для расчета указанных показателей приведены в табл. 1.
Таблица 1. Формулы расчета показателей коэффициентов контрастирования Table 1. Formulas for calculating the contrast enhancement coefficients | |
Показатель | Формула расчета |
НКПФ | (Плотность в ПФ - Плотность в БФ)/(Плотность крови в аорте в ПФ - Плотность крови в аорте в БФ) |
НКВФ | (Плотность в ВФ - Плотность в БФ)/(Плотность крови в аорте в ВФ - Плотность крови в аорте в БФ) |
КК | (Плотность в ВФ - Плотность в БФ)/(Плотность в ПФ - Плотность в БФ) |
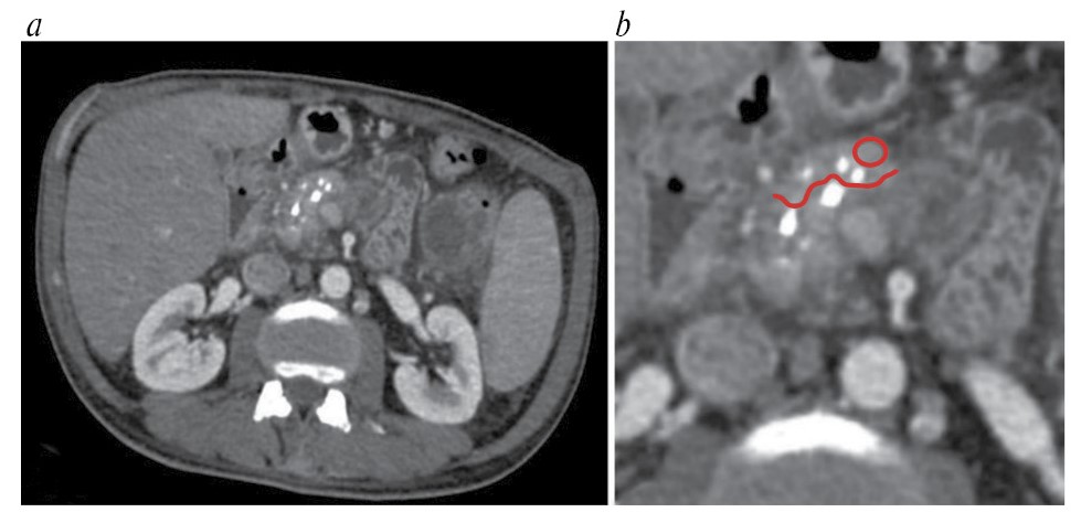
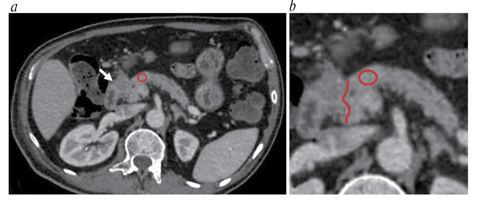
Значения рентгеновской плотности измеряли в участке ткани ПЖ площадью 0,2–0,8 см2 в области, подлежащей удалению в ходе операции. В случае новообразований при измерении отступали на расстояние 20 мм от края ново- образования для исключения из измерения зоны потенциальной десмопластической реакции (рис. 1). У пациентов с ХП измерения проводились в участке тканей, которые планировалось удалить в ходе резекционно-дренирующей операции (рис. 2). При этом участок для измерения выбирали таким образом, чтобы в него не входили кровеносные сосуды, патологические включения и образования, панкреатический проток и его боковые ветви, а также кальцинаты. В измеренных по данным МСКТ участках при патоморфологическом исследовании оценивали степень фиброза ПЖ.
Рис. 1. Пример измерения рентгеновской плотности ткани ПЖ рядом с новообразованием. МСКТ в ПФ: а – томограмма в аксиальной плоскости; b – увеличенный фрагмент томограммы. Белой стрелкой показано новообразование ПЖ, красной линией – граница новообразования, красным кругом – зона измерения.
Fig. 1. An example of measuring the X-ray density of the pancreatic tissue near a neoplasm. MSCT in the pancreatic phase (PP): a – axial plane; b – zoomed fragment of the tomogram. The white arrow shows the pancreatic neoplasm, the red line shows the boundary of the neoplasm, and the red circle indicates the measurement zone.
Рис. 2. Пример измерения рентгеновской плотности ткани ПЖ у пациента с ХП. МСКТ в ПФ: а – томограмма в аксиальной плоскости; b – увеличенный фрагмент томограммы. Красной линией показана планируемая граница резекции, красным кругом – зона измерения.
Fig. 2. An example of measuring the X-ray density of the pancreatic tissue in a patient with chronic pancreatitis (CP). MSCT in the PP: a – axial plane; b – zoomed fragment of the tomogram. The red line shows the planned margin of resection, and the red circle indicates the measurement zone.
Патоморфологическое исследование удаленных препаратов проводилось двумя опытными врачами-патологоанатомами с помощью световой микроскопии микропрепаратов, окрашенных стандартной гистологической методикой гематоксилином и эозином. Оценка фиброза ПЖ проводилась в интактных тканях ПЖ, не включающих новообразование или десмопластическую реакцию (рис. 3).
Рис. 3. Пример получения образца тканей из удаленного препарата с новообразованием ПЖ (а) и при резекционно-дренирующей операции по поводу ХП (b). Черной стрелкой и оранжевым контуром показаны изучаемые участки тканей.
Fig. 3. An example of obtaining a tissue sample from an excised specimen with a pancreatic neoplasm (a) and during drainage surgery for CP (b). The black arrow and orange line show the areas of tissue being examined.
Образец тканей обрабатывали на автоматическом гистологическом процессоре Leica ASP6025S и микротоме Leica RM 2125 RTS (Leica Biosystems, Wetzlar, Germany) с последующей окраской гематоксилином и эозином (Mayer’s hematoxylin and eosin staining). Для морфометрии и микрофотографии микропрепаратов использовали световой микроскоп Olympus BX51 (Olympus, Beijing, China).
Степень фиброза оценивали по шкале Kloppel и Maillet, впервые предложенной для оценки состояния тканей ПЖ у пациентов с ХП с исследовательскими целями и рекомендованной для научных исследований консенсусом Международной ассоциации панкреатологов, Американской панкреатологической ассоциации, Японским панкреатологическим обществом и Европейским пан- креатологическим клубом [27, 28]. Согласно данной шкале различают фокальный и диффузный фиброз, а также пери- и интралобулярную его формы (табл. 2), на основании чего оценивают интегративную степень фиброза по группам – слабую, умеренную и выраженную [18]. При патоморфологическом анализе микропрепаратов также отмечали наличие ранних признаков воспаления, метаплазию протокового эпителия протоков ПЖ и заполнение протоков белковыми пробками.
Таблица 2. Система оценки фиброза ПЖ по G. Kloppel, B. Maillet Table 2. The system for assessing pancreatic fibrosis by G. Kloppel, B. Maillet | |||
Варианты фиброза | Степени фиброза | ||
слабая | умеренная | выраженная | |
Перилобулярный фиброз | |||
Фокальный | 1 | 2 | 3 |
Диффузный | 4 | 5 | 6 |
Интралобулярный фиброз | |||
Фокальный | 1 | 2 | 3 |
Диффузный | 4 | 5 | 6 |
Статистическую обработку проводили при помощи Microsoft Office Excel 2013 и IBM SPSS Statistics 23.0. Для анализа распределения значений использовали тест Колмогорова–Смирнова. С целью определения достоверности и оценки значимости межгрупповых различий между значениями результатов постобработки данных МСКТ, разделенных согласно результатам патоморфологической оценки степени фиброза ПЖ, применяли непараметрические тесты для независимых выборок Манна–Уитни (при попарном анализе групп) и Краскела–Уоллиса (при сравнении значений более чем в двух группах). Парный корреляционный анализ проводили с вычислением коэффициента корреляции Спирмена (rho). ДИ составил 95%, различия считали статистически значимыми при p<0,05.
Результаты
По результатам патоморфологического исследования удаленных препаратов РПЖ диагностирован у 114 (69,1%) пациентов, тяжелый ХП – у 7 (4,2%), нейроэндокринные опухоли и кистозные образования – у 13 (7,9%) и 27 (16,4%) пациентов соответственно. Злокачественные новообразования внепеченочных желчных протоков, не сопровождающиеся дилатацией главного панкреатического протока, но потребовавшие резекции участка ПЖ, диагностированы у 4 (2,4%) пациентов. Распределение пациентов по локализации новообразования и степени фиброза представлено в табл. 3, 4. Патоморфологические признаки воспалительных изменений в ткани ПЖ и метаплазии протоков зафиксированы у 95 (57,6%) и 71 (43%) пациентов соответственно. Размеры нервных стволиков в септах ПЖ увеличены у 72 (43,6%) пациентов.
Таблица 3. Распределение пациентов по локализации новообразования Table 3. Distribution of patients by neoplasm location | ||
Локализация | Число пациентов | |
абс. | % | |
Крючковидный отросток ПЖ | 15 | 9,1 |
Головка ПЖ | 81 | 49,1 |
Перешеек ПЖ | 4 | 2,4 |
Тело ПЖ | 19 | 11,5 |
Хвост ПЖ | 28 | 17 |
Тотальное поражение ПЖ | 11 | 6,7 |
Образование вне железы | 7 | 4,2 |
Всего | 165 | 100 |
Таблица 4. Распределение пациентов по степени фиброза ПЖ Table 4. Distribution of patients by fibrosis grade | ||
Степень фиброза ПЖ | Абс. | % |
Выраженность перилобулярного фиброза | ||
0 | 5 | 3 |
1 | 33 | 20 |
2 | 19 | 11,5 |
3 | 5 | 3 |
4 | 37 | 22,4 |
5 | 39 | 23,6 |
6 | 27 | 16,4 |
Всего | 165 | 100 |
Выраженность интралобулярного фиброза | ||
0 | 8 | 4,8 |
1 | 47 | 28,5 |
2 | 25 | 15,2 |
3 | 8 | 4,8 |
4 | 38 | 23 |
5 | 22 | 13,3 |
6 | 17 | 10,3 |
Всего | 165 | 100 |
Интегративная степень фиброза | ||
Слабая | 49 | 29,7 |
Умеренная | 61 | 37 |
Выраженная | 55 | 33 |
Всего | 165 | 100 |
Значения показателей постобработки результатов МСКТ сравнивались в группах с разными значениями степеней пери- и интралобулярного фиброза. Также наличие межгрупповых различий значений показателей постобработки результатов МСКТ оценивалось между группами пациентов, разделенных по интегративной степени фиброза ПЖ. Средние значения плотности ткани ПЖ в БФ и ПФ статистически значимо отличались при различных степенях перилобулярного фиброза (p=0,024 и 0,023 соответственно). Обнаружены статистически значимые отличия значений КК (p=0,007). Значения плотности ткани ПЖ в ПФ и КК статистически значимо отличались у пациентов с разной степенью интралобулярного фиброза (p=0,021 и 0,018 соответственно). Между группами пациентов, сформированными по интегративной степени фиброза ПЖ, зафиксированы статистически значимые отличия между средними значениями плотности ткани ПЖ в БФ и ПФ (p=0,004 и 0,012), а также КК (p=0,001). Статистически значимых отличий значений НКПФ и НКВФ при различной степени пери- и интралобулярного фиброза, а также интегративных степенях выраженности фиброза не зафиксировано (p>0,05). Средние значения показателей постобработки результатов КТ представлены в табл. 5. Соотношение средних значений статистически значимых показателей представлено в виде диаграмм размаха (рис. 4). Из таблицы и диаграмм размаха видно, что представленные способы постобработки результатов КТ наиболее эффективны для дифференциации слабой и выраженной степени фиброза ПЖ, в то время как различия с умеренной степенью выраженности фиброза ПЖ проявляются не так явно.
Рис. 4. Диаграммы размаха, отражающие распределение средних значений показателей постобработки результатов КТ, статистически значимо отличающихся между группами пациентов с разной интегративной степенью выраженности фиброза ПЖ.
Fig. 4. Box plots reflecting the distribution of mean CT post-processing values, statistically significantly different between groups of patients with different integrative severity of pancreatic fibrosis.
Таблица 5. Средние значения показателей постобработки результатов КТ в группах пациентов, разделенных по интегративной степени фиброза ПЖ Table 5. Average values of post-treatment CT results in groups of patients divided according to the integrative degree of pancreatic fibrosis | |||||
Интегративная степень фиброза | Плотность тканей ПЖ в БФ, ед. Х | Плотность тканей ПЖ в ПФ, ед. Х | НКПФ, ед. Х | НКВФ, ед. Х | КК, ед. Х |
Слабая | 39,2±8,9 | 94,9±19,4 | 0,34±0,18 | 0,49±0,15 | 0,78±0,31 |
Умеренная | 36,3±10,8 | 93,6±24,9 | 0,34±21 | 0,55±0,15 | 1,03±0,65 |
Выраженная | 32,24±11,8 | 81,52±25,6 | 0,32±0,22 | 0,55±0,2 | 1,16±0,65 |
р | 0,004 | 0,012 | 0,64 | 0,1 | 0,001 |
Средние значения КК оказались статистически значимо (p=0,032) выше у пациентов с признаками метаплазии эпителия протоков ПЖ (1,1±0,7 ед. Х), чем у пациентов без этого признака (0,9±0,4 ед. Х). Также обнаружены статистически значимо более высокие значения КК в группах пациентов с признаками воспалительных изменений (1,14±0,6 ед. Х), чем у пациентов без указанных признаков (0,81±0,3 ед. Х), р-уровень значимости составил 0,0001. Средние значения плотности ткани ПЖ в БФ оказались статистически значимо выше у пациентов с признаками воспалительных изменений (33,9±11,5 ед. Х), чем у пациентов без указанных признаков (38,3±9,7 ед. Х), р-уровень значимости составил 0,004.
Корреляционный анализ
Значения плотности тканей ПЖ в БФ и ПФ, а также КК статистически значимо отрицательно слабо коррелируют со степенью перилобулярного и интралобулярного фиброза ПЖ, а также с интегральной степенью фиброза ПЖ (p<0,05). КК статистически значимо слабо положительно коррелирует со степенью перилобулярного и интралобулярного фиброза ПЖ (p<0,05). Признаков статистически значимых корреляционных связей между уровнями НКПФ и НКВФ и степенью панкреатического фиброза не получено (p>0,05). Обнаружены слабые статистически значимые корреляционные связи между значениями плотности ткани ПЖ в БФ и ПФ, а также с уровнями НКВФ и КК и наличием в исследованных участках тканей ПЖ признаков воспалительных изменений и метаплазии эпителия протоков ПЖ (p<0,05). Результаты анализа корреляционных зависимостей представлены в табл. 6. Наиболее сильные и статистически значимые корреляционные зависимости с интегративной степенью фиброза из них отражены в диаграмме рассеяния (рис. 5).
Таблица 6. Результаты корреляционного анализа между значениями показателей постобработки данных КТ и патоморфологического исследования [жирным шрифтом выделены статистически значимые корреляционные связи (p<0,05)] Table 6. The results of the correlation analysis between the CT post-processing values and morphological findings [statistically significant correlations are highlighted in bold (p<0.05)] | |||||
Результаты патоморфологического исследования | Плотность тканей ПЖ в БФ, rho; p | Плотность тканей ПЖ в ПФ, rho; p | НКПФ, rho; p | НКВФ, rho; p | КК, rho; p |
Степень перилобулярного фиброза | -0,26; 0,001 | -0,23; 0,004 | -0,068; 0,001 | 0,15; 0,05 | 0,3; 0,0001 |
Степень интралобулярного фиброза | -0,21; 0,006 | -0,19; 0,013 | -0,059; 0,38 | 0,11; 0,15 | 0,23; 0,003 |
Интегративная степень фиброза | -0,26; 0,001 | -0,21; 0,006 | -0,59; 0,45 | 0,13; 0,1 | 0,28; 0,0001 |
Воспалительные изменения в тканях ПЖ | -0,22; 0,004 | -0,14; 0,08 | -0,11; 0,16 | 0,2; 0,008 | 0,29; 0,0001 |
Метаплазия эпителия протоков ПЖ | -0,098; 0,2 | -0,14; 0,07 | 0,04; 0,62 | 0,09; 0,28 | 0,294; 0,032 |
Белковые пробки в протоках ПЖ | -0,07; 0,37 | -0,02; 0,83 | 0,08; 0,3 | 0,11; 0,16 | 0,05; 0,54 |
Рис. 5. Диаграмма рассеяния, отражающая распределение значений постобработки результатов КТ у пациентов с разной интегративной степенью фиброза ПЖ: статистически значимые для КК и статистически не значимые для НКПФ. Обозначения степеней фиброза представлены на диаграмме.
Fig. 5. Scatterplot showing the distribution of CT post-processing values in patients with different integrative grades of pancreatic fibrosis: statistically significant for CR and statistically not significant for CRPP. The designations of the fibrosis grades are presented in the plot.
Обсуждение
Основной особенностью проведенного нами исследования явилось сопоставление результатов КТ с патоморфологической оценкой степени фиброза ПЖ. Обнаружена статистически значимая зависимость между выраженной интегративной степенью фиброза ПЖ и более высокими значениями показателя постобработки результатов КТ – КК, а также более низкими значениями плотности тканей ПЖ в БФ и ПФ. Для слабой степени фиброза ПЖ характерны более низкие значения показателя КК и более высокие значения плотности тканей ПЖ в БФ и ПФ. Это позволит использовать данные показатели для неинвазивной диагностики фиброза ПЖ.
Использование методов лучевой диагностики для оценки панкреатического фиброза является перспективным подходом. При этом могут применяться различные методики визуализации, в том числе КТ с проведением измерения плотности тканей ПЖ, различные подходы к пост- обработке ее результатов, что показано в ряде работ, в том числе опубликованных нами ранее [22–24, 29, 30]. К другим способам постобработки результатов КТ для оценки степени фиброза ПЖ относятся измерения денситометрических показателей в тканях ПЖ и других органах, чаще всего в селезенке, результаты которых, однако, противоречивы [31–34]. В последнее время все чаще в постобработке результатов КТ для оценки степени фиброза ПЖ находят место методики, основывающиеся на технологиях машинной обработки данных, преимущественно с использованием текстурного анализа данных и радиомики, тем не менее внимание авторов обращено преимущественно на уточняющую дифференциальную диагностику опухолей ПЖ [35–38].
Кроме того, для неинвазивной оценки фиброза ПЖ используются другие методы лучевой диагностики – МРТ и ЭУС. В исследовании MINIMAP с помощью комплексного анализа МРТ проанализированы паренхиматозные и протоковые признаки фиброза ПЖ. В результате выделено три количественных параметра – время продольной релаксации, объем внеклеточной фракции и сигнал от жировой фракции, позволяющие повысить эффективность магнитно-резонансной диагностики фиброза ПЖ [39]. В работе Е. Bieliuniene и соавт. панкреатический фиброз оценивали по продольному времени релаксации и картам измеряемого коэффициента диффузии в сочетании с коэффициентом интенсивности T1-взвешенного сигнала при бесконтрастной МРТ [40]. Сочетание ЭУС с эластографией сдвиговой волны обладает наиболее высокой чувствительностью для диагностики фиброза ПЖ [17, 41], но имеет ограничения ввиду инвазивности и невысокой распространенности.
Плотность тканей ПЖ, измеряемая путем денситометрического анализа результатов КТ, зависит от состава измеряемого участка тканей и состояния микроциркуляторного русла в нем [42]. Оценка рентгенологической плотности ткани ПЖ успешно применялась в работе К. Ohgi и соавт., S. Sano и соавт. для прогнозирования формирования панкреатической фистулы во время послеоперационного периода после резекции ПЖ [22, 24]. В этих работах описана корреляционная зависимость между снижением показателя рентгенологической плотности тканей ПЖ и выраженностью фиброза, что напрямую влияет на вероятность формирования панкреатической фистулы после резекции ПЖ. Так, в работе K. Ohgi и соавт. значение плотности ПЖ≥30 ед. Х является независимым фактором риска формирования панкреатической фистулы и показателем меньшей выраженности фиброза ПЖ [22]. Полученные нами результаты сопоставимы с данными, приведенными в работе S. Sano и соавт., которые показали, что для рентгенологически более плотной ткани ПЖ характерны более высокая степень фиброза, определенная патоморфологически, и меньший риск развития панкреатической фистулы [24]. Однако авторами получена более сильная отрицательная корреляционная связь между значением рентгенологической плотности тканей ПЖ по данным КТ и степенью фиброза (rho=-0,609; p<0,001), чем в нашем исследовании (rho=-0,26; p=0,001). В представленном нами исследовании также оценивались значения рентгенологической плотности в различных фазах контрастирования, что отличает его от приведенных работ К. Ohgi и соавт., S. Sano и соавт. При этом статистически значимые отличия при разных степенях фиброза ПЖ получены только для значений рентгенологической плотности тканей ПЖ (p=0,012). Отсутствие связей между значениями рентгенологической плотности тканей ПЖ в другие контрастные фазы может быть связано с неодинаковыми объемом и скоростью введения КП, а также особенностями гемодинамики у разных пациентов, как это отмечено в работе К. Ohgi и соавт. [22].
Помимо измерения рентгенологической плотности используются методики постобработки результатов КТ, которые позволяют избежать искажений, сопровождающих прямой денситометрический анализ данных КТ, и улучшить качество диагностики фиброза ПЖ [43]. Y. Hashimoto и соавт. применяли отношение плотности тканей ПЖ в позднюю и раннюю контрастные фазы, принципиально схожее с использованным нами КК в качестве предсказательного фактора выраженности панкреатического фиброза для прогнозирования панкреатической фистулы [23]. В нашем исследовании значения КК оказались статистически значимо (p=0,001) выше у пациентов в группе с выраженной степенью фиброза ПЖ (КК 1,16±0,65 ед. Х), чем в группе со слабой степенью пан- креатического фиброза (КК 0,78±0,31 ед. Х). Более того, нами обнаружены статистически значимые положительные корреляционные связи между значением КК и степенью пери- и интралобулярного фиброза (rho=0,3; p=0,0001 и rho=0,23; p=0,003 соответственно). Таким образом, полученные нами результаты оказались созвучны данным, представленным Y. Hashimoto и соавт. [23]. Схожий с использованным нами подход применен в работе S. Gnanasekaran и соавт., однако вместо значений плотности тканей ПЖ в ПФ и ВФ в приведенной выше формуле вычисления КК использовали значения плотности тканей ПЖ в раннюю отсроченную фазу и артериальную фазу. Значение полученного показателя охарактеризовано авторами как эффективный прогностический признак развития панкреатической фистулы [31].
Применяя методику рентгеновской оценки плотности тканей, предложенную в работе R. Torphy и соавт., мы не получили статистически значимых различий между группами пациентов с различными степенями фиброза ПЖ и значениями НКПФ и НКВФ (p>0,05). Это может быть связано с тем, что в работе R. Torphy и соавт. оценивалась плотность не самой панкреатической ткани, а опухоли ПЖ [26]. В опубликованных нами ранее промежуточных результатах исследования обнаружены статистически значимые отличия между значениями НКВФ и интегративной степенью фиброза ПЖ [29]. Это расхождение обусловлено уточнением полученных данных на более крупной когорте обследованных пациентов (165 пациентов) по сравнению с промежуточными результатами, полученными на 74 пациентах.
Обращают на себя внимание результаты, полученные при сравнении различий значений показателей постобработки результатов КТ в группах пациентов, разделенных по наличию признаков ранних воспалительных изменений в тканях ПЖ, что расценивается в рамках проявлений раннего ХП. Значения КК оказались статистически значимо (p=0,0001) выше у пациентов с признаками ранних воспалительных изменений в тканях ПЖ (КК 1,14±0,6 ед. Х), чем в группе пациентов без этих признаков (КК 0,81±0,3 ед. Х). Нами не найдено публикаций, касающихся сопоставления результатов постобработки данных КТ с ранними воспалительными изменениями в ткани ПЖ, поскольку они посвящены диагностике острого панкреатита. Тем не менее обнаруженная связь результатов постобработки данных КТ и ранних признаков воспаления подтверждает возможность применения методики в диагностике раннего ХП.
Наше исследование имеет ряд ограничений. В исследование, проведенное в одном медицинском центре, включено большое число пациентов с РПЖ и другими опухолями ПЖ, что затрудняет масштабирование результатов на когорту пациентов с ранним ХП, однако изучение такой категории пациентов являлось единственной возможностью разработки патоморфологически обоснованной методики оценки фиброза ПЖ с помощью постобработки результатов КТ. Кроме того, сложность при денситометрическом анализе изображений представляла необходимость избежать включения в измеряемый участок зоны десмопластической реакции, что стало возможно только при сопоставлении КТ-изображений с результатами патоморфологического исследования. Для преодоления описанных ограничений планируется дальнейшее изучение возможностей неинвазивной диагностики панкреатического фиброза с помощью КТ на более крупной группе пациентов с включением новых лечебно-диагностических центров, а также использование дополнительных иммуногистохимических маркеров для анализа фиброза ПЖ. Несмотря на эти ограничения, в исследовании получены статистически значимые результаты, которые позволяют судить об эффективности применения использованных способов постобработки данных КТ для неинвазивной оценки степени фиброза ПЖ и возможности получения дополнительных критериев при диагностике раннего ХП.
Заключение
Постобработка результатов КТ с внутривенным контрастированием с расчетом показателя КК и измерением рентгенологической плотности ткани ПЖ в бесконтрастную и панкреатическую фазу позволяют дифференцировать тяжелую и легкую степени фиброза ПЖ, что подтверждается морфологическим анализом интегративной степени фиброза ПЖ. При тяжелой степени фиброза, подтвержденной данными морфологического исследования, значение КК повышается, а значения рентгенологической плотности ткани ПЖ в бесконтрастную и панкреатическую фазу снижаются по сравнению с легкой интегративной степенью фиброза ПЖ. Значения показателей постобработки, основанные на измерении нормализованных коэффициентов контрастирования (НКПФ и НКВФ), не позволяют дифференцировать степень фиброза ПЖ. Кроме того, зафиксирована связь между повышением значений КК и рентгенологической плотности ткани ПЖ в БФ с ранними признаками воспалительных изменений в ткани ПЖ и метаплазии эпителия ПЖ. Таким образом, обнаружена взаимосвязь между данными МСКТ и морфологическими признаками фиброза ПЖ, что может использоваться для неинвазивной диагностики фиброза ПЖ и выявления дополнительных признаков раннего ХП.
Раскрытие интересов. Авторы декларируют отсутствие явных и потенциальных конфликтов интересов, связанных с публикацией настоящей статьи.
Disclosure of interest. The authors declare that they have no competing interests.
Вклад авторов. Авторы декларируют соответствие своего авторства международным критериям ICMJE. Все авторы в равной степени участвовали в подготовке публикации: разработка концепции статьи, получение и анализ фактических данных, написание и редактирование текста статьи, проверка и утверждение текста статьи.
Authors’ contribution. The authors declare the compliance of their authorship according to the international ICMJE criteria. All authors made a substantial contribution to the conception of the work, acquisition, analysis, interpretation of data for the work, drafting and revising the work, final approval of the version to be published and agree to be accountable for all aspects of the work.
Информированное согласие на публикацию. Пациенты подписали форму добровольного информированного согласия на публикацию медицинской информации.
Consent for publication. Written consent was obtained from the patients for publication of relevant medical information and all of accompanying images within the manuscript.
Источник финансирования. Статья подготовлена в рамках реализации научно-практического проекта в сфере медицины «Оценка степени фиброза поджелудочной железы как фактора прогноза течения ее патологии» (соглашение №2412-21/22 от 21.03.2022).
Funding source. The article was prepared within the Scientific and Practical Project in medicine "Assessment of the degree of pancreatic fibrosis as a factor in predicting the course of its pathology" (agreement No. 2412-21/22 dated 21.03.2022).
About the authors
Igor E. Khatkov
Loginov Moscow Clinical Scientific Center; Russian University of Medicine
Email: dbordin@mail.ru
ORCID iD: 0000-0002-4088-8118
акад. РАН, д-р мед. наук, проф., дир., зав. каф. факультетской хирургии №2
Russian Federation, Moscow; MoscowKonstantin A. Lesko
Loginov Moscow Clinical Scientific Center
Email: dbordin@mail.ru
ORCID iD: 0000-0001-9814-0172
канд. мед. наук, врач-рентгенолог рентгеновского отд., науч. сотр. отд. лучевых методов диагностики и лечения
Russian Federation, MoscowElena A. Dubtsova
Loginov Moscow Clinical Scientific Center
Email: dbordin@mail.ru
ORCID iD: 0000-0002-6556-7505
д-р мед. наук, вед. науч. сотр. отд. патологии поджелудочной железы, желчных путей и верхних отдела пищеварительного тракта
Russian Federation, MoscowSergey G. Khomeriki
Loginov Moscow Clinical Scientific Center
Email: dbordin@mail.ru
ORCID iD: 0000-0003-4308-8009
д-р мед. наук, проф., зав. лаб. инновационной патоморфологии
Russian Federation, MoscowNikolay S. Karnaukhov
Loginov Moscow Clinical Scientific Center
Email: dbordin@mail.ru
ORCID iD: 0000-0003-0889-2720
канд. мед. наук, врач-патологоанатом, зав. патологоанатомическим отд.
Russian Federation, MoscowLudmila V. Vinokurova
Loginov Moscow Clinical Scientific Center
Email: dbordin@mail.ru
ORCID iD: 0000-0002-4556-4681
д-р мед. наук, вед. науч. сотр. отд. патологии поджелудочной железы, желчных путей и верхних отделов пищеварительного тракта
Russian Federation, MoscowElena I. Shurygina
Loginov Moscow Clinical Scientific Center
Email: dbordin@mail.ru
ORCID iD: 0000-0002-0571-2803
врач-патологоанатом патологоанатомического отд-ния
Russian Federation, MoscowNadezhda V. Makarenko
Loginov Moscow Clinical Scientific Center
Email: dbordin@mail.ru
ORCID iD: 0000-0001-7990-3170
врач-патологоанатом патологоанатомического отд-ния
Russian Federation, MoscowRoman E. Izrailov
Loginov Moscow Clinical Scientific Center
Email: dbordin@mail.ru
ORCID iD: 0000-0001-7254-5411
д-р мед. наук, зав. отд. инновационной хирургии
Russian Federation, MoscowIrina V. Savina
Loginov Moscow Clinical Scientific Center
Email: dbordin@mail.ru
врач-гастроэнтеролог отд-ния патологии верхних отделов пищеварительного тракта
Russian Federation, MoscowDiana A. Salimgereeva
Loginov Moscow Clinical Scientific Center
Email: dbordin@mail.ru
ORCID iD: 0000-0001-9742-3955
мл. науч. сотр. центра эндокринной и метаболической хирургии
Russian Federation, MoscowMariia A. Kiriukova
Loginov Moscow Clinical Scientific Center
Email: dbordin@mail.ru
ORCID iD: 0000-0002-6946-3826
мл. науч. сотр. отд. патологии поджелудочной железы, желчных путей и верхних отделов пищеварительного тракта
Russian Federation, MoscowDmitry S. Bordin
Loginov Moscow Clinical Scientific Center; Russian University of Medicine; Tver State Medical University
Author for correspondence.
Email: dbordin@mail.ru
ORCID iD: 0000-0003-2815-3992
д-р мед. наук, зав. отд. патологии поджелудочной железы, желчных путей и верхних отделов пищеварительного тракта, проф. каф. пропедевтики внутренних болезней и гастроэнтерологии, проф. каф. общей врачебной практики и семейной медицины фак-та последипломного образования, секретарь Российского панкреатологического клуба
Russian Federation, Moscow; Moscow; TverReferences
- Whitcomb DC, Frulloni L, Garg P, et al. Chronic pancreatitis: An international draft consensus proposal for a new mechanistic definition. Pancreatology. 2016;16(2):218-24. doi: 10.1016/j.pan.2016.02.001
- Machicado JD, Amann ST, Anderson MA, et al. Quality of Life in Chronic Pancreatitis is Determined by Constant Pain, Disability/Unemployment, Current Smoking, and Associated Co-Morbidities. Am J Gastroenterol. 2017;112(4):633-42. doi: 10.1038/ajg.2017.42
- Хатьков И.Е., Маев И.В., Абдулхаков С.Р., и др. Российский консенсус по диагностике и лечению хронического панкреатита. Терапевтический архив. 2017;89(2):105-13 [Khat’kov IE, Maev IV, Abdulkhakov SR, et al. The Russian consensus on the diagnosis and treatment of chronic pancreatitis. Terapevticheskii Arkhiv (Ter. Arkh.). 2017;89(2):105-13 (in Russian)]. doi: 10.17116/terarkh2017892105-113
- Gudipaty L, Rickels МR. Pancreatogenic (Type 3c) Diabetes. Pancreapedia: Exocrine Pancreas Knowledge Base. doi: 10.3998/panc.2015.35
- Capurso G, Traini M, Piciucchi M, et al. Exocrine pancreatic insufficiency: prevalence, diagnosis, and management. Clin Exp Gastroenterol. 2019;12:129-39. doi: 10.2147/CEG.S168266
- Whitcomb DC, Shimosegawa T, Chari ST, et al. International consensus statements on early chronic Pancreatitis. Recommendations from the working group for the international consensus guidelines for chronic pancreatitis in collaboration with the International Association of Pancreatology, American Pancreatic Association, Japan Pancreas Society, Pancreas Fest Working Group and European Pancreatic Club. Pancreatology. 2018;18(5):516-27. doi: 10.1016/j.pan.2018.05.008
- Etemad B, Whitcomb DC. Chronic pancreatitis: diagnosis, classification, and new genetic developments. Gastroenterology. 2001;120(3):682-707. doi: 10.1053/gast.2001.22586
- Shimosegawa T, Kataoka K, Kamisawa T, et al. The revised Japanese clinical diagnostic criteria for chronic pancreatitis. J Gastroenterol. 2010;45(6):584-91. doi: 10.1007/s00535-010-0242-4
- Masamune A, Nabeshima T, Kikuta K, et al. Prospective study of early chronic pancreatitis diagnosed based on the Japanese diagnostic criteria. J Gastroenterol. 2019;54(10):928-35. doi: 10.1007/s00535-019-01602-9
- Ge QC, Dietrich CF, Bhutani MS, et al. Comprehensive review of diagnostic modalities for early chronic pancreatitis. World J Gastroenterol. 2021;27(27):4342-57. doi: 10.3748/wjg.v27.i27.4342
- Kikuta K, Masamune A. Early Chronic Pancreatitis. In: The Pancreas (eds HG Beger, MW Büchler, RH Hruban, et al). 2023. doi: 10.1002/9781119876007.ch50
- Beyer G, Mahajan UM, Budde C, et al. Development and Validation of a Chronic Pancreatitis Prognosis Score in 2 Independent Cohorts. Gastroenterology. 2017;153(6):1544-54 e2. doi: 10.1053/j.gastro.2017.08.073
- Steinkohl E. Progression of Pancreas Morphology in Chronic Pancreatitis: Exploration of New Potential MRI Biomarkers. Aalborg Universitetsforlag. 2021. 70 p. doi: 10.54337/aau460285861
- Liu C, Shi Y, Lan G, et al. Evaluation of Pancreatic Fibrosis Grading by Multiparametric Quantitative Magnetic Resonance Imaging. J Magn Reson Imaging. 2021;54(5):1417-29. doi: 10.1002/jmri.27626
- Tirkes T, Yadav D, Conwell DL, et al. Diagnosis of chronic pancreatitis using semi-quantitative MRI features of the pancreatic parenchyma: results from the multi-institutional MINIMAP study. Abdom Radiol (NY). 2023;48(10):3162-73. doi: 10.1007/s00261-023-04000-1
- Ito T, Ishiguro H, Ohara H, et al. Evidence-based clinical practice guidelines for chronic pancreatitis 2015. J Gastroenterol. 2016;51(2):85-92. doi: 10.1007/s00535-015-1149-x
- Shah J, Chatterjee A, Kothari TH. The Role of Endoscopic Ultrasound in Early Chronic Pancreatitis. Diagnostics. 2024;14(3):298. doi: 10.3390/diagnostics14030298
- LeBlanc JK, Chen JH, Al-Haddad M, et al. Endoscopic ultrasound and histology in chronic pancreatitis: how are they associated? Pancreas. 2014;43(3):440-4. doi: 10.1097/MPA.0000000000000047
- Löhr JM, Dominguez-Munoz E, Rosendahl J, et al. United European Gastroenterology evidence-based guidelines for the diagnosis and therapy of chronic pancreatitis (HaPanEU). United European Gastroenterol J. 2017;5(2):153-99. doi: 10.1177/2050640616684695
- Ивашкин В.Т., Кригер А.Г., Охлобыстин А.В., и др. Клинические рекомендации по диагностике и лечению хронического панкреатита. Российский журнал гастроэнтерологии, гепатологии, колопроктологии. 2022;32(2):99-156 [Ivashkin VT, Kriger AG, Okhlobystin AV, et al. Clinical Guidelines of the Russian Society of Surgeons, the Russian Gastroenterological Association, the Association of Surgeons-Hepatologists and the Endoscopic Society “REndO” on Diagnostics and Treatment of Chronic Pancreatitis. Russian Journal of Gastroenterology, Hepatology, Coloproctology. 2022;32(2):99-156 (in Russian)]. doi: 10.22416/1382-4376-2022-32-2-99-156
- Yamashita Y, Ashida R, Kitano M. Imaging of Fibrosis in Chronic Pancreatitis. Front Physiol. 2022;12:800516. doi: 10.3389/fphys.2021.800516
- Ohgi K, Okamura Y, Sugiura T, et al. Pancreatic attenuation on computed tomography predicts pancreatic fistula after pancreaticoduodenectomy. HPB (Oxford). 2020;22(1):67-74. doi: 10.1016/j.hpb.2019.05.008
- Hashimoto Y, Sclabas GM, Takahashi N, et al. Dual-phase computed tomography for assessment of pancreatic fibrosis and anastomotic failure risk following pancreatoduodenectomy. J Gastrointest Surg. 2011;15(12):2193-204. doi: 10.1007/s11605-011-1687-3
- Sano S, Okamura Y, Ohgi K, et al. Histological pancreatic findings correlate with computed tomography attenuation and predict postoperative pancreatic fistula following pancreatoduodenectomy. HPB (Oxford). 2022;24(9):1519-26. doi: 10.1016/j.hpb.2022.03.008
- Hata H, Mori H, Matsumoto S, et al. Fibrous stroma and vascularity of pancreatic carcinoma: correlation with enhancement patterns on CT. Abdom Imaging. 2010;35(2):172-80. doi: 10.1007/s00261-008-9460-0
- Torphy RJ, Wang Z, True-Yasaki A, et al. Stromal Content Is Correlated With Tissue Site, Contrast Retention, and Survival in Pancreatic Adenocarcinoma. JCO Precis Oncol. 2018;2018:PO.17.00121. doi: 10.1200/PO.17.00121
- Klöppel G, Maillet B. Pseudocysts in chronic pancreatitis: A morphological analysis of 57 resection specimens and 9 autopsy pancreata. Pancreas. 1991;6:266-74.
- Esposito I, Hruban RH, Verbeke C, et al. Guidelines on the histopathology of chronic pancreatitis. Recommendations from the working group for the international consensus guidelines for chronic pancreatitis in collaboration with the International Association of Pancreatology, the American Pancreatic Association, the Japan Pancreas Society, and the European Pancreatic Club. Pancreatology. 2020;20(4):586-93. doi: 10.1016/j.pan.2020.04.009
- Khatkov IE, Bordin DS, Lesko KA, et al. Contrast-Enhanced Computed Tomography and Laboratory Parameters as Non-Invasive Diagnostic Markers of Pancreatic Fibrosis. Diagnostics (Basel). 2023;13(14):2435. doi: 10.3390/diagnostics13142435
- Maqueda González R, Di Martino M, Galán González I, et al. Development of a prediction model of pancreatic fistula after duodenopancreatectomy and soft pancreas by assessing the preoperative image. Langenbecks Arch Surg. 2022;407(6):2363-72. doi: 10.1007/s00423-022-02564-y
- Gnanasekaran S, Durgesh S, Gurram R, et al. Do preoperative pancreatic computed tomography attenuation index and enhancement ratio predict pancreatic fistula after pancreaticoduodenectomy?. World J Radiol. 2022;14(6):165-76. doi: 10.4329/wjr.v14.i6.165
- Yardimci S, Kara YB, Tuney D, et al. A Simple Method to Evaluate Whether Pancreas Texture Can Be Used to Predict Pancreatic Fistula Risk After Pancreatoduodenectomy. J Gastrointest Surg. 2015;19(9):1625-31. doi: 10.1007/s11605-015-2855-7
- Lim S, Bae JH, Chun EJ, et al. Differences in pancreatic volume, fat content, and fat density measured by multidetector-row computed tomography according to the duration of diabetes. Acta Diabetol. 2014;51(5):739-48. doi: 10.1007/s00592-014-0581-3
- Barreto SG, Dirkzwager I, Windsor JA, Pandanaboyana S. Predicting post-operative pancreatic fistulae using preoperative pancreatic imaging: a systematic review. ANZ J Surg. 2019;89(6):659-65. doi: 10.1111/ans.14891
- Awe AM, Rendell VR, Lubner MG, Winslow ER. Texture Analysis: An Emerging Clinical Tool for Pancreatic Lesions. Pancreas. 2020;49(3):301-12. doi: 10.1097/MPA.0000000000001495
- Bartoli M, Barat M, Dohan A, et al. CT and MRI of pancreatic tumors: an update in the era of radiomics. Jpn J Radiol. 2020;38(12):1111-24. doi: 10.1007/s11604-020-01057-6
- Mokhtari A, Casale R, Salahuddin Z, et al. Development of Clinical Radiomics-Based Models to Predict Survival Outcome in Pancreatic Ductal Adenocarcinoma: A Multicenter Retrospective Study. Diagnostics (Basel). 2024;14(7):712. doi: 10.3390/diagnostics14070712
- Li Q, Song Z, Li X, et al. Development of a CT radiomics nomogram for preoperative prediction of Ki-67 index in pancreatic ductal adenocarcinoma: a two-center retrospective study. Eur Radiol. 2024;34(5):2934-43. doi: 10.1007/s00330-023-10393-w
- Tirkes T, Yadav D, Conwell DL, et al. Quantitative MRI of chronic pancreatitis: results from a multi-institutional prospective study, magnetic resonance imaging as a non-invasive method for assessment of pancreatic fibrosis (MINIMAP). Abdom Radiol (NY). 2022;47(11):3792-805. doi: 10.1007/s00261-022-03654-7
- Bieliuniene E, Frøkjær JB, Pockevicius A, et al. Magnetic Resonance Imaging as a Valid Noninvasive Tool for the Assessment of Pancreatic Fibrosis. Pancreas. 2019;48(1):85-93. doi: 10.1097/MPA.0000000000001206
- Huang CT, Lin CK, Lee TH, Liang YJ. Pancreatic Fibrosis and Chronic Pancreatitis: Mini-Review of Non-Histologic Diagnosis for Clinical Applications. Diagnostics (Basel). 2020;10(2):87. doi: 10.3390/diagnostics10020087
- Broumas AR, Pollard RE, Bloch SH, et al. Contrast-enhanced computed tomography and ultrasound for the evaluation of tumor blood flow. Invest Radiol. 2005;40(3):134-47. doi: 10.1097/01.rli.0000152833.35744.7f
- Hasel C, Dürr S, Rau B, et al. In chronic pancreatitis, widespread emergence of TRAIL receptors in epithelia coincides with neoexpression of TRAIL by pancreatic stellate cells of early fibrotic areas. Lab Invest. 2003;83(6):825-36. doi: 10.1097/01.lab.0000073126.569
Supplementary files








