Blood eosinophilia in patients with severe bronchial asthma and chronic polypous rhinosinusitis treated with dupilumab: A review
- Authors: Petukhova A.Y.1, Gromov A.S.1, Solovyov R.V.1, Filippova S.G.1, Prokopieva E.R.1
-
Affiliations:
- Central City Clinical Hospital No. 6
- Issue: Vol 96, No 3 (2024): Issues of pulmonology
- Pages: 303-308
- Section: Reviews
- Submitted: 09.04.2024
- Accepted: 09.04.2024
- Published: 16.04.2024
- URL: https://ter-arkhiv.ru/0040-3660/article/view/630183
- DOI: https://doi.org/10.26442/00403660.2024.03.202650
- ID: 630183
Cite item
Full Text
Abstract
Bronchial asthma and chronic polypous rhinosinusitis are diseases associated with a T2-inflammatory immune response. These nosologies can be combined, creating the preconditions for a more severe course of multimorbidity, requiring the use of genetic engineering biological therapy. Dupilumab is a monoclonal antibody that can specifically bind to the alpha subunit of the interleukin-4 receptor and block the action of interleukins 4 and 13, which play a key role in the development of T2 inflammation. Numerous studies have demonstrated the high effectiveness of this medicament. The use of dupilumab in some cases may be accompanied by an increase in eosinophils in the blood. This article presents scientific base and our own experience in treating patients with dupilumab-associated eosinophilia, in addition we describe an algorithm for examining this group of patients for the purpose of timely diagnosis of diseases such as eosinophilic granulomatosis with polyangiitis, eosinophilic pneumonia, etc. It should be noted that in the most cases eosinophilia during targeted therapy with dupilumab is temporary and does not cause clinical manifestations.
Full Text
Список сокращений
АНЦА – антинейтрофильные цитоплазматические антитела
БА – бронхиальная астма
ВАШ – Визуальная аналоговая шкала
ГИБТ – генно-инженерная биологическая терапия
ИГКС – ингаляционный глюкокортикостероид
ИЛ – интерлейкин
ИНГКС – интраназальный глюкокортикостероид
КДБА – короткодействующий В2-агонист
КЖ – качество жизни
КП – клиническое проявление
КТ ОГК – компьютерная томография органов грудной клетки
КТ ППН – компьютерная томография придаточных пазух носа
НЯ – нежелательное явление
ОФВ1 – объем форсированного выдоха за 1-ю секунду
СГКС – системный глюкокортикостероид
ТТ – таргетная терапия
ФЖЕЛ – объем форсированной жизненной емкости легких
ХПРС – хронический полипозный риносинусит
ЭГПА – эозинофильный гранулематоз с полиангиитом
Ig – иммуноглобулин
АСТ (Asthma Control Test, ACT) – тест по оценке контроля астмы
Введение
Т2-воспаление играет значимую роль в развитии таких заболеваний, как бронхиальная астма (БА), хронический полипозный риносинусит (ХПРС), аллергический ринит, атопический дерматит, эозинофильный эзофагит и др. Несмотря на имеющиеся различия в патогенезе, превалирующим механизмом формирования всех приведенных заболеваний является Т2-воспаление [1]. По данным общероссийского регистра тяжелой БА, у 94,8% пациентов заболевание ассоциировано с Т2-воспалением [2]. Т2-воспалительный ответ является преобладающим эндотипом ХПРС в Европе и наблюдается у 91% пациентов [3]. Учитывая наличие единых патофизиологических механизмов развития Т2-ассоциированных заболеваний, около 20% пациентов с БА имеют сопутствующий ХПРС [4].
Современные стратегии фармакотерапии тяжелой неконтролируемой БА и ХПРС направлены на персонифицированный подход к лечению, основанный на индивидуальных характеристиках пациента и эндотипе болезни. Имеющаяся в настоящее время генно-инженерная биологическая терапия (ГИБТ) нацелена на конкретные воспалительные пути, участвующие в патогенезе БА и ХПРС, особенно у пациентов с эндотипом, обусловленным Т2-воспалением. Уникальным по широте воздействия на Т2-воспаление является генно-инженерный биологический препарат дупилумаб, представляющий собой полностью человеческое рекомбинантное моноклональное антитело, которое связывается с α-субъединицей рецептора интерлейкина(ИЛ)-4 (ИЛ-4Rα), являющейся общей для рецепторных комплексов ИЛ-4 и ИЛ-13. Соответственно, подавляется функция сразу 2 цитокинов, играющих ключевую роль в поддержании эозинофильного аллергического и неаллергического воспаления [5, 6]. В условиях реальной клинической практики продемонстрировано, что таргетная терапия (ТТ) дупилумабом у пациентов с тяжелой БА и сопутствующими Т2-ассоциированными заболеваниями, включая атопический дерматит и полипозный риносинусит, приводит к улучшению контроля астмы и функции внешнего дыхания, снижению частоты среднетяжелых и тяжелых обострений, связанных с применением системных глюкокортикостероидов (СГКС) и/или госпитализацией, положительно влияет на качество жизни (КЖ) и течение коморбидных заболеваний [7].
Клиническое наблюдение 1
Пациентка С., 39 лет. Обратилась в городское амбулаторно-консультативное отделение аллергологии и иммунологии ГБУЗ СО ЦГКБ №6 г. Екатеринбурга с жалобами на приступы удушья, в том числе ночью, потребность в короткодействующих В2-агонистах (КДБА) до 8 раз в сутки, свистящее дыхание, сухой приступообразный кашель, одышку при выполнении повседневных физических нагрузок, выраженную заложенность носа и снижение обоняния.
На момент обращения пациентка получала ежедневно базисную терапию формотеролом + будесонидом 12/400 мкг по 1 ингаляции 2 раза в сутки в течение 3 лет, а также дополнительно в течение последних 6 мес принимала монтелукаст 10 мг по 1 таблетке в сутки. Для контроля над назальной обструкцией применяла мометазона фуроат 50 мкг по 2 инсуффляции в каждый носовой ход 2 раза в сутки на протяжении последних 5 лет с перерывами каждые 4–6 мес.
Диагноз БА установлен в 17 лет, ХПРС – в 28 лет. Более 15 лет БА характеризовалась среднетяжелым персистирующим течением с редкими обострениями, не более 1 раза в 2–3 года, и контролировалась ежедневным применением средних доз ингаляционных глюкокортикостероидов (ИГКС). Триггерами обострений являлись физическая нагрузка и острые респираторные заболевания. В 33 года отметила ухудшение состояния, когда после перенесенного простудного заболевания приступы удушья и потребность в КДБА стали ежедневными, появилась необходимость в ежемесячных курсах небулайзерной терапии суспензией будесонида 1000–2000 мкг/сут курсами 7 дней, а также потребность в лечении СГКС курсами 5–7 дней 1 раз в 2–3 мес.
Симптомы назальной обструкции и снижение обоняния являлись изначально выраженными, а на фоне нерегулярного применения интраназальных глюкокортикостероидов (ИНГКС) привели к полипотомии через 1 год после верификации ХПРС. Повторная полипотомия выполнена через 6 лет после первой, на фоне прогрессирующих симптомов, несмотря на регулярное использование ИНКГС.
Аллергоанамнез спокоен. При контакте с домашней пылью, животными, пыльцой, плесенью аллергические реакции отрицает. Клинические проявления (КП) пищевой и лекарственной гиперчувствительности, включая непереносимость нестероидных противовоспалительных препаратов и ацетилсалициловой кислоты, отрицает. При проведении накожного аллергологического тестирования в период верификации диагноза сенсибилизации к бытовым и эпидермальным аллергенам не выявлено. У сына диагностирован атопический дерматит.
На момент обращения тест по оценке контроля астмы (Asthma Control Test – ACT) составил 11 баллов, заложенность носа по Визуальной аналоговой шкале (ВАШ) оценена пациенткой в 8 баллов.
При обследовании получены следующие данные лабораторных и инструментальных методов исследования. Флюорография – без патологии. КТ придаточных пазух носа (КТ ППН) – полипозный риносинусит, искривление перегородки носа (протокол и запись исследования на электронном носителе не предоставлены). Эозинофилы в общем анализе крови в течение последнего года: 449–306–966 кл/мкл. Спирометрия: объем форсированного выдоха за 1-ю секунду (ОФВ1) = =1,84 (58,6%) – 2,23 (72,6%), объем форсированной жизненной емкости легких (ФЖЕЛ) = 2,33 (71,9%) – 2,49 (76,7%), ОФВ1/ФЖЕЛ=0,8–0,9; коэффициент бронходилатации 390 мл (21%). Фадиатоп (ингаляционная панель) – класс сенсибилизации 0. Уровень иммуноглобулина (Ig) E общего – 59 МЕ/мл. Паразитарные инвазии исключены.
Таким образом, на основании жалоб пациентки, данных анамнеза и по результатам обследования установлен диагноз. БА, неаллергическая, эозинофильный эндотип, тяжелое персистирующее течение, неконтролируемая. Хронический полипозный риносинусит.
В связи с тяжелым не контролируемым высокими дозами ИГКС течением БА с частыми обострениями и наличием сопутствующего ХПРС с полипотомиями, по результатам консилиума с главным внештатным специалистом аллергологом-иммунологом Минздрава Свердловской области назначена ГИБТ лекарственным препаратом дупилумаб в инициирующей дозе 600 мг подкожно – однократно, далее – по 300 мг, подкожно, 2 раза в месяц.
Дальнейшее наблюдение пациентки на фоне терапии дупилумабом выявило явную положительную динамику. Так, через 4 мес количество дневных приступов удушья уменьшилось до 1–2 раз в неделю, а через 6 мес терапии отмечалось их полное отсутствие. Аналогичная динамика наблюдалась и в отношении ночных приступов затрудненного дыхания. Показатель АСТ составил 23 балла. Совокупность изменений симптоматики привела к отсутствию потребности в КДБА. Пациентка отметила улучшение носового дыхания (ВАШ=3 балла) и полное восстановление обоняния.
Через 6 мес ТТ дупилумабом нарушения бронхиальной обструкции на спирометрии отсутствовали: ОФВ1= =2,39 (85,6%) – 2,47 (92,1%), ФЖЕЛ=2,8 (88,1%) – 3,1 (99%), ОФВ1/ФЖЕЛ=0,8–0,9; бронходилатационный тест – отрицательный.
Однако по данным общего анализа крови предполагаемого снижения уровня эозинофилов крови не произошло. После 6 мес ГИБТ эозинофилия составила 1009 кл/мкл. В связи с высокими значениями эозинофилов с целью исключения системных заболеваний, ассоциированных с гиперэозинофилией, проведена оценка уровня антинейтрофильных цитоплазматических антител (АНЦА) IgG, титр которых находился в пределах референсных значений и составил <1:40.
После 12 мес лечения дупилумабом, на фоне сохраняющейся эозинофилии (1220 кл/мкл) при полном контроле над БА (АСТ=25 баллов) и ХПРС (ВАШ=2 балла), проведен контроль КТ органов грудной клетки (КТ ОГК), по результатам которой патологии легких и средостения не выявлено.
В связи с сохраняющейся эозинофилией крови (через 24 мес ГИБТ – 1645 кл/мкл, через 36 мес – 896 кл/мкл) пациентке проводили ежегодный мониторинг лабораторно-инструментальных исследований для исключения системных васкулитов, в частности эозинофильного гранулематоза с полиангиитом (ЭГПА), эозинофильной пневмонии, гиперэозинофильного синдрома, а также инфекционных заболеваний, вызванных грибами рода Aspergillus – аллергического бронхолегочного аспергиллеза. При этом показатели АНЦА IgG, IgЕ общего, IgE и IgG к Aspergillus fumigatus всегда находились в пределах референсных значений. По данным лабораторного мониторинга (анализ кала на яйца гельминтов, оценка уровня IgG в крови) паразитарные инвазии также не обнаружены. Согласно результатам ежегодной оценки КТ ОГК патологические изменения органов грудной клетки отсутствовали.
Через 36 мес лечения дупилумабом на КТ ППН отмечалась минимальная активность гиперпластического процесса: в основной пазухе определялось незначительное утолщение слизистой оболочки, в лобных пазухах пневматизация была сохранена, верхнечелюстные пазухи визуализировались с небольшим пристеночным утолщением слизистой, больше выраженным слева. Отмечалось сужение остиомеатального комплекса с двух сторон. Ячейки решетчатого лабиринта были заполнены патологическим содержимым. Носовые ходы незначительно сужены с обеих сторон за счет утолщения слизистой оболочки, носовая перегородка несколько искривлена влево.
Необходимо отметить, что полный клинический контроль над симптомами БА (АСТ=25 баллов) и ХПРС (ВАШ=2–3 балла) также соблюдался на протяжении 3 последовательных лет ТТ дупилумабом и продолжает сохраняться и в настоящее время. Обострения БА отсутствуют с начала ГИБТ. Следовательно, данный факт позволяет говорить о ремиссии Т2-ассоциированных заболеваний у пациентки. Исходя из соотношения «риск-польза», принято решение о дальнейшем продолжении терапии дупилумабом.
Клиническое наблюдение 2
Пациент Ф., 60 лет. Обратился к врачу-оториноларингологу с жалобами на выраженную заложенность носа с оценкой по ВАШ=9 баллов, исчезновение обоняния и нарушение сна в связи с отсутствием носового дыхания. Симптомы сохранялись на фоне сочетанного применения мометазона фуроата 50 мкг по 2 инсуффляции в каждый носовой ход 2 раза в сутки с монтелукастом 10 мг по 1 таблетке в сутки.
Из истории болезни известно, что пациент отмечает затруднение носового дыхания с 30 лет. В 60 лет, на фоне прогрессирующей назальной обструкции, исчезает обоняние. В это же время, в связи с неэффективностью фармакотерапии ИНГКС и выраженным снижением КЖ (нарушение ночного сна, сонливость днем, снижение повседневной активности), ему проведена полипотомия носа. Через год наступил рецидив назальных симптомов со снижением обоняния и потребностью в интраназальных деконгестантах до 10 раз в сутки, в том числе в ночные часы.
Через 3 года после операции, на фоне прогрессирующей назальной обструкции, у пациента впервые появляются приступы удушья, сопровождаемые свистящим дыханием, прогрессирует одышка. По результатам дообследования пульмонологом установлен диагноз БА средней степени тяжести. На фоне проводимой ингаляционной терапии беклометазоном + формотеролом 100/6 мкг по 1 дозе 2 раза в сутки достигли полного контроля над заболеванием с отсутствием обострений и потребности в КДБА.
Аллергоанамнез спокоен. При контакте с домашней пылью, животными, пыльцой аллергические проявления отсутствуют. Лекарственную и пищевую гиперчувствительность отрицает. Наследственность не отягощена по аллергологической патологии.
Оториноларингологический статус: носовое дыхание затруднено, носовые ходы сужены справа и слева за счет выраженного отека, слизистое отделяемое в полости носа; нижние носовые раковины гиперемированы, отечны, многочисленные полипы в обоих носовых ходах; носовая перегородка искривлена с двух сторон.
При обследовании получены следующие данные лабораторных и инструментальных методов исследования. КТ ППН: в лобных, основной и гайморовых пазухах неравномерное протяженное утолщение слизистой с бугристыми внутренними контурами, с субтотальной обтурацией просвета левой верхнечелюстной пазухи. Ячейки решетчатой кости диффузно заполнены патологическим содержимым неоднородной КТ-плотности с истончением костных септ. Носовые ходы субтотально обтурированы полиповидными разрастаниями разных размеров и формы, достигающими хоан. Носовая перегородка S-образно искривлена. Носовые раковины с плохой визуализацией. Заключение: КТ-признаки полипозного пансинусита, хоанальные полипы, S-образное искривление носовой перегородки.
Флюорография – органы грудной клетки без патологии.
Эозинофилия крови в течение 3 последовательных лет: 1227–988–1539 кл/мкл. IgE общий = 112 МЕ/мл. При дообследовании у врача – аллерголога-иммунолога, по результатам накожного аллергологического тестирования, выявлена сенсибилизация к бытовым аллергенам, пыльце деревьев, луговых и сорных трав. При этом КП выявленной сенсибилизации у пациента отсутствовали.
На спирометрии: ОФВ1=3,08 (79%)–3,12 (80%), ФЖЕЛ=3,63 (88%)–3,79 (92%); ОФВ1/ФЖЕЛ=0,84–0,82; коэффициент бронходилатации – 40 мл (1%).
Паразитарные инвазии не обнаружены.
Таким образом, на основании жалоб пациента, данных анамнеза и результатов проведенного обследования установлен диагноз. Хронический полипозный риносинусит, однократная полипотомия в анамнезе. Аносмия. БА, неаллергическая, эозинофильный эндотип, персистирующее течение, средней степени тяжести, контролируемая. Латентная сенсибилизация к бытовым и пыльцевым аллергенам.
В связи с отсутствием контроля над симптомами ХПРС и рецидивом полипов после проведенного оперативного лечения, по результатам консилиума с главным внештатным специалистом-оториноларингологом Минздрава Свердловской области пациенту назначена ГИБТ лекарственным препаратом дупилумаб 300 мг подкожно 2 раза в месяц. Инициация ГИБТ проведена в условиях оториноларингологического отделения круглосуточного стационара ГАУЗ СО ГКБ №40 с последующей маршрутизацией через 6 мес в дневной стационар городского амбулаторно-консультативного отделения аллергологии и иммунологии ГБУЗ СО ЦГКБ №6 г. Екатеринбурга.
Через 6 мес ГИБТ дупилумабом наблюдалась отчетливая положительная динамика. Пациент сообщил, что заложенность носа присутствует только в утренние и ночные часы, восстановился ночной сон, появилась дневная активность, улучшились память и концентрация внимания на работе, исчезла одышка. При этом сохранялась аносмия. Приступы удушья, потребность в КДБА отсутствовали.
Данные шкал и опросников: ВАШ (заложенность носа) = 5 баллов; сино-назальный оценочный тест = 17 баллов, АСТ=25 баллов.
При этом на фоне значительного уменьшения назальных симптомов и контролируемого течения БА сохранялась эозинофилия крови – 1152 кл/мкл.
Через 12 мес ТТ дупилумабом пациент отмечал дальнейшее уменьшение заложенности носа с ВАШ=3 балла. При этом сино-назальный оценочный тест снизился до 5 баллов, пациент впервые за многие годы начал ощущать резкие запахи.
На фоне сохраняющейся эозинофилии крови, составившей 1325 кл/мкл, пациенту проведен контроль уровня антител к миелопероксидазе, IgE общего, а также IgG и E к Aspergillus fumigatus. Все перечисленные показатели находились в пределах референсных значений. Согласно КТ ОГК патологические изменения отсутствовали.
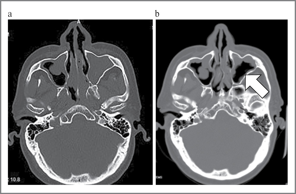
По данным контрольной КТ ППН, через 12 мес проводимой ГИБТ дупилумабом отмечалась существенная положительная динамика в виде сокращения полиповидных разрастаний, уменьшения толщины слизистой оболочки околоносовых пазух, особенно в левой верхнечелюстной пазухе (рис. 1). Отмечалось восстановление пневматизации основной пазухи. Соустья верхнечелюстных пазух были сужены с двух сторон за счет утолщения слизистой. В верхнечелюстных пазухах определялось утолщение слизистой оболочки до 14 мм слева и до 20 мм справа. В ячейках решетчатого лабиринта сохранялось патологическое содержимое до 29 ЕдХ. Значительно уменьшилось утолщение лобных пазух, которое составило не более 4 мм. Носовые ходы были сужены за счет полиповидного утолщения слизистой. Носовая перегородка S-образно искривлена.
Рис. 1. КТ ППН пациента Ф.: a – до терапии дупилумабом; b – через 12 мес терапии дупилумабом. Наблюдается уменьшение тотального заполнения ППН полипозными массами, появляется пневматизация. Особенно отчетливо указанные изменения определяются в левой верхнечелюстной пазухе (стрелка).
Fig. 1. CT of paranasal sinuses of patient's F.: a – before dupilumab therapy; b – after 12 months of dupilumab therapy. There is a decrease in the total filling of paranasal sinuses with polypose masses and aeration appears. The changes are clearly detected in the left maxillary sinus (arrow).
Учитывая отсутствие КП эозинофилии, практически полное восстановление носового дыхания и частичное восстановление обоняния, при сохраняющемся контроле над симптомами БА и существенном улучшении КЖ пациента, исходя из соотношения «риск-польза», ГИБТ дупилумабом продолжается по настоящее время.
Обсуждение
По результатам многочисленных исследований дупилумаб продемонстрировал оптимальный профиль эффективности и безопасности при лечении Т2-ассоциированных заболеваний [8, 9]. При этом одним из нежелательных явлений (НЯ) ГИБТ дупилумабом является транзиторная эозинофилия. Однако необходимо отметить, что преходящее повышение эозинофилов обычно незначительно с клинической точки зрения и связано с механизмом действия лекарственного препарата. В ходе проводимых исследований и клинических наблюдений также сообщалось о редких случаях гиперэозинофилии, связанной с такими клиническими состояниями, как ЭГПА и гиперэозинофильный синдром, причем данные случаи связаны со стероидсберегающим эффектом препарата или естественным течением основного заболевания, а не с прямой причинно-следственной связью с терапией дупилумабом [10].
Так, по данным одного из метаанализов, оценивающих эозинофилию крови у пациентов с различными Т2-зависимыми заболеваниями, лечение дупилумабом приводило к транзиторному увеличению количества эозинофилов при БА, ХПРС и атопическом дерматите. При этом эозинофилия в основном не сопровождалась КП и не оказывала заметного влияния на эффективность лечения. Только у 7 из 4666 пациентов наблюдались КП эозинофилии, причем у 6 из них уровень эозинофилии составил более 3000 кл/мкл. Кроме того, 2 случая НЯ, вероятно связанных с эозинофилией, зарегистрированы у пациентов с ХПРС, получавших плацебо. Интересно, что у пациентов с эозинофильным эзофагитом не наблюдалось транзиторного повышения количества эозинофилов крови [1].
В исследовании VENTURE в группе дупилумаба выявлено больше случаев транзиторной эозинофилии по сравнению с плацебо (14% vs 1%). В группе дупилумаба было больше пациентов со средним транзиторным повышением количества эозинофилов в крови по сравнению с исходным уровнем по сравнению с группой плацебо, при этом у 13% наблюдалось повышение уровня эозинофилов в крови более 3000 кл/мкл. К концу периода лечения дупилумабом повышенный уровень эозинофилов в крови возвращался к исходному уровню. Транзиторная эозинофилия не сопровождалась КП или неблагоприятными последствиями [11].
В исследованиях SINUS-24 и SINUS-52, как и в предыдущих исследованиях дупилумаба, наблюдалось транзиторное и не значимое повышение среднего (но не медианного) уровня эозинофилов в крови у пациентов с ХПРС, получавших дупилумаб. В исследовании SINUS-52 количество эозинофилов вернулось к исходному уровню к концу 52-недельного периода лечения. У 4 пациентов наблюдалась клинически значимая эозинофилия, описанная как НЯ, связанное с лечением: у одного пациента наблюдался ЭГПА во время лечения дупилумабом; у одного пациента отмечена эозинофилия, сопровождавшаяся артралгией, обострением астмы и бессонницей на фоне терапии дупилумабом; у одного пациента наблюдался ЭГПА спустя более 300 дней после однократного введения дупилумаба; у одного пациента отмечен ЭГПА в группе плацебо [12].
Конкретная причина временного повышения уровня эозинофилов после введения дупилумаба не известна. Предполагаемый механизм временного увеличения количества эозинофилов заключается в ингибировании опосредованной ИЛ-4 и ИЛ-13 продукции эотаксинов и молекул адгезии клеток сосудистого эндотелия 1, что приводит к снижению миграции эозинофилов в ткани дыхательных путей. Данное действие может привести к временному увеличению количества циркулирующих эозинофилов [13, 14].
Необходимо отметить, что при проведении отбора на ГИБТ кандидатов с тяжелыми Т2-ассоциированными заболеваниями важное значение приобретает предварительное обследование пациентов с целью исключения первичных и вторичных эозинофилий. На практике лечащему врачу чаще приходится сталкиваться с необходимостью дифференциальной диагностики именно с неклональными (вторичными) эозинофилиями. К таким заболеваниям, помимо Т2-ассоциированных, принято относить некоторые системные васкулиты (ЭГПА, узелковый полиартериит) и ревматологические заболевания (системную красную волчанку, эозинофильный фасциит, ревматоидный артрит), острые и хронические эозинофильные пневмонии, в том числе синдром Леффлера, а также паразитарные инвазии (токсоплазмоз, токсокароз и другие), аллергический бронхолегочный аспергиллез, первичные эозинофильные заболевания желудочно-кишечного тракта, воспалительные заболевания кишечника, целиакию, дерматологические заболевания неаллергического генеза – синдром Уэллса. Проводя дифференциальную диагностику, необходимо помнить о негематологических и гематологических неопластических процессах, при которых эозинофилы не являются частью неопластического клона, среди которых системный мастоцитоз, солидные опухоли, лимфомы и острый лимфобластный лейкоз [15].
Согласно международным рекомендациям 2023 г. (Global Initiative for Asthma – GINA), программа предварительного обследования претендентов на ГИБТ при текущем уровне эозинофилии ≥300 кл/мкл должна включать диагностику паразитарных инвазий и проведение лечения в случае их выявления [16]. Необходимо отметить, что предварительная диагностика перед назначением ГИБТ и лабораторный скрининг паразитарных инвазий (трехкратное исследование кала на яйца гельминтов, серодиагностика – определение антител к паразитам, выявление возбудителей методом полимеразной цепной реакции) в процессе применения ТТ приобретают важное значение в эндемичных по данным инфекциям районах проживания пациентов.
В случае гиперэозинофилии ≥1500 кл/мкл необходимо исключение ЭГПА, в том числе определение АНЦА в сыворотке крови и проведение КТ ППН [16]. Учитывая наличие доказанного стероидсберегающего эффекта дупилумаба, у некоторых пациентов со стероидзависимой БА отмена СГКС может приводить к манифестации ЭГПА, который ранее не диагностировали и расценивали как БА. Соответственно, важно учитывать классификационные критерии данного заболевания для своевременной верификации диагноза как до ГИБТ, так и в процессе ее проведения.
Необходимо подчеркнуть, что ведение пациентов с Т2-ассоциированными заболеваниями, такими как БА и ХПРС, требует междисциплинарного подхода с участием врачей: аллерголога-иммунолога, пульмонолога, оториноларинголога. Для исключения системных, инфекционных, а также гематологических заболеваний, ассоциированных с эозинофилией, необходимы консультации врача-ревматолога, инфекциониста (паразитолога) и, в некоторых случаях, гематолога. Врачам, осуществляющим отбор пациентов для назначения ГИБТ, также следует помнить о том, что одним из критериев выбора биологической ТТ дупилумабом является диапазон эозинофилов крови ≥150 кл/мкл и ≤1500/мкл [16].
Заключение
Таким образом, наличие стойкой эозинофилии у пациентов как на этапе выбора, так и в период проведения ТТ, в том числе дупилумабом, требует тщательного наблюдения за КП и мониторинга лабораторно-инструментальных показателей для своевременной диагностики и лечения заболеваний, которые являются истинной причиной эозинофилии в конкретной клинической ситуации. При этом следует подчеркнуть, что накопленный многолетний научный опыт, а также представленные клинические наблюдения авторов данной публикации свидетельствуют о высокой эффективности и безопасности ГИБТ дупилумабом.
Раскрытие интересов. Авторы декларируют отсутствие явных и потенциальных конфликтов интересов, связанных с публикацией настоящей статьи.
Disclosure of interest. The authors declare that they have no competing interests.
Вклад авторов. Авторы декларируют соответствие своего авторства международным критериям ICMJE. Все авторы в равной степени участвовали в подготовке публикации: разработка концепции статьи, получение и анализ фактических данных, написание и редактирование текста статьи, проверка и утверждение текста статьи.
Authors’ contribution. The authors declare the compliance of their authorship according to the international ICMJE criteria. All authors made a substantial contribution to the conception of the work, acquisition, analysis, interpretation of data for the work, drafting and revising the work, final approval of the version to be published and agree to be accountable for all aspects of the work.
Источник финансирования. Авторы декларируют отсутствие внешнего финансирования для проведения исследования и публикации статьи.
Funding source. The authors declare that there is no external funding for the exploration and analysis work.
Информированное согласие на публикацию. Пациенты подписали форму добровольного информированного согласия на публикацию медицинской информации.
Consent for publication. Written consent was obtained from the patients for publication of relevant medical information and all of accompanying images within the manuscript.
About the authors
Anna Yu. Petukhova
Central City Clinical Hospital No. 6
Author for correspondence.
Email: anna-petuhova@mail.ru
ORCID iD: 0000-0002-5103-2446
канд. мед. наук, врач-пульмонолог, врач – аллерголог-иммунолог, зав. городским амбулаторно-консультативным отд-нием аллергологии и иммунологии
Russian Federation, EkaterinburgAleksey S. Gromov
Central City Clinical Hospital No. 6
Email: anna-petuhova@mail.ru
ORCID iD: 0009-0008-5345-7510
врач – аллерголог-иммунолог городского амбулаторно-консультативного отд-ния аллергологии и иммунологии
Russian Federation, EkaterinburgRobert V. Solovyov
Central City Clinical Hospital No. 6
Email: anna-petuhova@mail.ru
ORCID iD: 0009-0004-5821-4340
канд. мед. наук, глав. врач
Russian Federation, EkaterinburgSvetlana G. Filippova
Central City Clinical Hospital No. 6
Email: anna-petuhova@mail.ru
ORCID iD: 0009-0007-3066-8609
зам. глав. врача по амбулаторно-поликлинической службе
Russian Federation, EkaterinburgElmira R. Prokopieva
Central City Clinical Hospital No. 6
Email: anna-petuhova@mail.ru
ORCID iD: 0009-0005-7139-0725
канд. мед. наук, зам. глав. врача по медицинской части
Russian Federation, EkaterinburgReferences
- Wechsler ME, Klion AD, Paggiaro P, et al. Effect of Dupilumab on Blood Eosinophil Counts in Patients With Asthma, Chronic Rhinosinusitis With Nasal Polyps, Atopic Dermatitis, or Eosinophilic Esophagitis. J Allergy Clin Immunol Pract. 2022;10(10):2695-709. doi: 10.1016/j.jaip.2022.05.019
- Белевский А.С., Ненашева Н.М., Кравченко Н.Ю., и др. Данные Общероссийского регистра пациентов с тяжелой бронхиальной астмой. Терапевтический архив. 2022;94(7):865-71 [Belevskiy AS, Nenasheva NM, Kravchenko NYu, et al. Data from the Russian Severe Asthma Registry (RSAR). Terapevticheskii Arkhiv (Ter. Arkh.). 2022;94(7):865-71 (in Russian)]. doi: 10.26442/00403660.2022.07.201713
- Fokkens WJ, Lund VJ, Hopkins C, et al. European Position Paper on Rhinosinusitis and Nasal Polyps 2020. Rhinology. 2020;58(Suppl. S29):1-464. doi: 10.4193/Rhin20.600
- Ricciardolo FLM, Levra S, Sprio AE, et al. A real-world assessment of asthma with chronic rhinosinusitis. Ann Allergy Asthma Immunol. 2020;125(1):65-71. doi: 10.1016/j.anai.2020.03.004
- Vatrella A, Fabozzi I, Calabrese C, et al. Dupilumab: a novel treatment for asthma. J Asthma Allergy. 2014;7:123-30. doi: 10.2147/JAA.S52387
- Slager RE, Otulana BA, Hawkins GA, et al. IL-4 receptor polymorphisms predict reduction in asthma exacerbations during response to an anti-IL-4 receptor α antagonist. J Allergy Clin Immunol. 2012;130(2):516-22.e4. doi: 10.1016/j.jaci.2012.03.030
- Фомина Д.С., Федосенко С.В., Бобрикова Е.Н., и др. Эффективность дупилумаба в реальной практике лечения тяжелых форм бронхиальной астмы и атопического дерматита. Терапевтический архив. 2023;95(7):568-73 [Fomina DS, Fedosenko SV, Bobrikova EN, et al. Efficacy of dupilumab in real practice in the treatment of severe forms of asthma and atopic dermatitis (comparative retrospective study). Terapevticheskii Arkhiv (Ter. Arkh.). 2023;95(7):568-73. doi: 10.26442/00403660.2023.07.202309 (in Russian)].
- Wechsler ME, Ford LB, Maspero JF, et al. Long-term safety and efficacy of dupilumab in patients with moderate-to-severe asthma (TRAVERSE): an open-label extension study. Lancet Respir Med. 2022;10(1):11-25. doi: 10.1016/S2213-2600(21)00322-2
- Bachert C, Han JK, Desrosiers M, et al. Efficacy and safety of dupilumab in patients with severe chronic rhinosinusitis with nasal polyps (LIBERTY NP SINUS-24 and LIBERTY NP SINUS-52): results from two multicentre, randomised, double-blind, placebo-controlled, parallel-group phase 3 trials. Lancet. 2019;394(10209):1638-50. doi: 10.1016/S0140-6736(19)31881-1
- Caminati M, Micheletto C, Norelli F, et al. Safety of dupilumab in T2 airways conditions: focus on eosinophilia across trials and real-life evidence. Expert Opin Biol Ther. 2024;24(1-2):15-23. doi: 10.1080/14712598.2024.2304556
- Rabe KF, Nair P, Brusselle G, et al. Efficacy and Safety of Dupilumab in Glucocorticoid-Dependent Severe Asthma. N Engl J Med. 2018;378(26):2475-85. doi: 10.1056/NEJMoa1804093
- Bachert C, Han JK, Desrosiers M, et al. Efficacy and safety of dupilumab in patients with severe chronic rhinosinusitis with nasal polyps (LIBERTY NP SINUS-24 and LIBERTY NP SINUS-52): results from two multicentre, randomised, double-blind, placebo-controlled, parallel-group phase 3 trials. Lancet. 2019;394(10209):1638-50. doi: 10.1016/S0140-6736(19)31881-1
- Shinkai A, Yoshisue H, Koike M, et al. A novel human CC chemokine, eotaxin-3, which is expressed in IL-4-stimulated vascular endothelial cells, exhibits potent activity toward eosinophils. J Immunol. 1999;163(3):1602-10
- Yoshifuku K, Matsune S, Ohori J, et al. IL-4 and TNF-alpha increased the secretion of eotaxin from cultured fibroblasts of nasal polyps with eosinophil infiltration. Rhinology. 2007;45(3):235-41.
- Butt NM, Lambert J, Ali S, et al. Guideline for the investigation and management of eosinophilia. Br J Haematol. 2017;176(4):553-72. doi: 10.1111/bjh.14488
- Global Initiative for Asthma (GINA). Global strategy for asthma management and prevention. Available at: https://ginasthma.org/2023-gina-main-report. Accessed: 02.12.2023.
Supplementary files




