Язвенный колит и аутоиммунный увеит. Клиническое наблюдение
- Авторы: Каграманова А.В.1,2, Танковский В.Э.3, Демченко А.Н.1, Князев О.В.1,4, Парфенов А.И.1
-
Учреждения:
- ГБУЗ «Московский клинический научно-практический центр им. А.С. Логинова» Департамента здравоохранения г. Москвы
- ГБУ «Научно-исследовательский институт организации здравоохранения и медицинского менеджмента» Департамента здравоохранения г. Москвы
- ФГБУ «Национальный медицинский исследовательский центр глазных болезней им. Гельмгольца» Минздрава России
- ФГБУ «Национальный медицинский исследовательский центр колопроктологии им. А.Н. Рыжих» Минздрава России
- Выпуск: Том 96, № 2 (2024): Вопросы гастроэнтерологии
- Страницы: 143-146
- Раздел: Клинические наблюдения
- Статья получена: 29.03.2024
- Статья одобрена: 29.03.2024
- Статья опубликована: 30.03.2024
- URL: https://ter-arkhiv.ru/0040-3660/article/view/629635
- DOI: https://doi.org/10.26442/00403660.2024.02.202577
- ID: 629635
Цитировать
Полный текст
Аннотация
В статье представлены сведения о патогенезе, классификации и частоте офтальмологических внекишечных проявлений (ВКП) у больных воспалительными заболеваниями кишечника (ВЗК). Описано клиническое наблюдение пациента с аутоиммунным увеитом и ВЗК, демонстрирующее важность ранней диагностики иммуновоспалительных заболеваний в реализации мультидисциплинарного ведения пациентов с ВЗК и ВКП. Применение генно-инженерных биологических препаратов помогает контролировать течение ВЗК, офтальмологические ВКП и предупреждает развитие осложнений.
Ключевые слова
Полный текст
Список сокращений
БК – болезнь Крона
ВЗК – воспалительные заболевания кишечника
ВКП – внекишечные проявления
ЯК – язвенный колит
Болезнь Крона (БК) и язвенный колит (ЯК) относятся к иммуновоспалительным заболеваниям неизвестной этиологии и могут дебютировать анкилозирующим спондилитом, увеитом, первичным склерозирующим холангитом, гангренозной пиодермией и другими аутоиммунными поражениями [1].
Поражение глаз при БК и ЯК, по данным разных исследователей, встречается у 20–30% пациентов, причем чаще у пациентов с БК. К основным офтальмологическим проявлениям относят: эписклерит (29%), склерит (18%), увеит – 17% (передний – 60%, панувеит – 30%), причем он носит рецидивирующий характер и в 50% случаев сопровождается развитием гипопиона [2].
Увеит может возникнуть до установления диагноза воспалительного заболевания кишечника (ВЗК) и проявиться как во время обострения, так и в период ремиссии БК или ЯК [2]. В большинстве случаев увеит протекает бессимптомно и часто сочетается с поражениями суставов и кожи [3]. При увеите воспаление затрагивает радужную оболочку, стекловидное тело, сетчатку, хориоидею. Продолжительное хроническое воспаление при увеите формирует внутриглазные спайки, следствием чего является возникновение глаукомы и катаракты [4].
В 1925 г. впервые B. Crohn описал двух пациентов с ЯК в сочетании с увеитом, кератитом и конъюнктивитом [5].
По данным K. Das, у 52,2% пациентов увеит выявлен до установления диагноза ВЗК. У 26% пациентов симптомы внекишечных проявлений (ВКП) возникали до установки диагноза ВЗК (в среднем за 5 мес до установки – 0–25 мес). Также стоит отметить, что, по наблюдениям К. Das, у 78,5% больных обострение увеита совпадает с рецидивом ВЗК [6]. По данным ряда исследований, риск развития воспаления сосудистой оболочки глаза увеличивается до 33% при наличии симптомов поражения суставов [7]. Мужчины страдают от поражения глаз чаще – в 8% случаев, женщины – в 4,7% [4]. По данным S. Vavricka и соавт., увеит выявлен у 11% общего числа пациентов с БК, при этом заболевание кишечника у них протекало тяжелее. Более 60% пациентов с перекрестом БК и увеита составили женщины.
Склерит и задний увеит чаще всего приводят к потере зрения и встречаются у 1% больных ВЗК. Известны также описания 13 больных ВЗК с явлениями заднего увеита, хориоидита и ретробульбарного неврита [8].
Клиническая картина поражения глаз при ВЗК характеризуется болью в глазу, часто иррадиирующей по ходу ветвей тройничного нерва в область зубов, щеки, носа, виска и лба, а также слезотечением, фотофобией, головной болью. Также наблюдаются снижение остроты зрения, фотопсия, метаморфопсия, макро- или микропсия. При осмотре: конъюнктивальная инъекция, гиперемия радужки вплоть до изменения ее цвета, ухудшение зрения (слепота). У пациентов с указанными жалобами следует активно выяснять наличие таких симптомов, как диарея с примесями слизи и крови, боли в животе, тенезмы, тошнота, рвота, снижение массы тела, периферические отеки, тромбофлебиты, боли в крупных и мелких суставах, позвоночнике, появление сыпи и бляшек на коже, повышение температуры тела, выраженная общая слабость. Следует также обратить внимание на наследственный анамнез (наличие у родственников ВЗК и других иммуноопосредованных заболеваний), а также наличие у самого пациента других ранее установленных аутоиммунных заболеваний [9, 10].
К необходимой лабораторной диагностике относят прежде всего показатели крови: уровень гемоглобина, гематокрита, лейкоцитов, скорость оседания эритроцитов, С-реактивный белок, общий белок, альбумин, электролиты, показатели функции печени (аланинаминотрансфераза, аспартатаминотрансфераза, γ-глутамилтранспептидаза, щелочная фосфатаза, билирубин общий, билирубин прямой, билирубин непрямой). Как неинвазивный метод диагностики ВЗК может использоваться анализ кала на кальпротектин [11].
С целью выявления системных заболеваний, ассоциированных с поражениями глаз, назначают исследования крови на ревматоидный фактор, антигены HLA-В27, HLA-В51, антистрептолизин-О, антинуклеарный фактор, антинейтрофильные цитоплазматические антитела, антитела к цитруллинированному пептиду двуспиральной ДНК, к нуклеосомам, кардиолипину; антифосфолипидные антитела [12]. Физикальное исследование и инструментальная диагностика заболеваний глаз включают в себя проведение общего офтальмологического осмотра, измерение остроты зрения – визометрию, измерение внутриглазного давления – офтальмотонометрию, исследование щелевой лампой структур глаза – биомикроскопию, исследование сетчатки глаза – оптическую когерентную томографию, исследование сосудов глаза и зрительного нерва – флюоресцентную ангиографию, биомикрофотографию глазного дна с использованием фундус-камеры, ультразвуковое исследование и периметрию глаза [13].
Клиническое наблюдение
В ГБУЗ «МКНЦ им. А.С. Логинова» обратился пациент У., 30 лет. В 2017 г. впервые появились покраснение глаз и ощущение «песка в глазах». Офтальмологом по месту жительства в г. Оренбурге установлен аутоиммунный увеит и назначено лечение топическими стероидами, но полной ремиссии достичь не удавалось. В 2020 г. у пациента появился жидкий стул с прожилками крови. Колопроктологом обнаружен геморрой, после лечения которого отмечал временное улучшение. В 2021 г. вновь появилась кровавая диарея. В связи с безуспешностью амбулаторного лечения госпитализирован в отделение патологии кишечника ГБУЗ «МКНЦ им. А.С. Логинова».
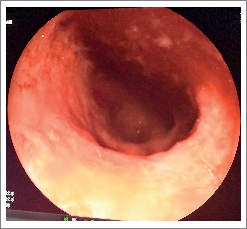
При осмотре обращало на себя внимание покраснение глаз (рис. 1), повышение в крови С-реактивного белка до 37,23 мг/л и лейкоцитов до 12×109/л, а в кале – кальпротектина – до 773 мкг/г. При ультразвуковом исследовании кишечника отмечено утолщение стенки сигмовидной кишки до 5–6 мм. Выполнена колоноскопия: эндоскоп проведен в купол слепой кишки: слизистая оболочка прямой, сигмовидной, нисходящей и поперечно-ободочной кишки отечна, гиперемирована, сосудистый рисунок перестроен, слизистая оболочка рыхлая, с множественными эрозиями до 4–5 мм, покрытыми фибрином. Заключение: ЯК, субтотальное поражение, умеренная активность (рис. 2). Взята биопсия с целью проведения гистологического исследования и методом полимеразной цепной реакции диагностики биоптатов на цитомегаловирусную инфекцию, туберкулез, вирус Эпштейна–Барр.
Рис. 1. Фотография пациента У. с кератоувеитом.
Fig. 1. Photo of Patient U. with keratouveitis.
Рис. 2. Колоноскопия больного У. Сосудистый рисунок смазан, перестроен, множественные эрозии до 3–4 мм. Заключение: ЯК, тотальное поражение, умеренной активности (2 балла по Schroeder).
Fig. 2. Patient U’s colonoscopy. Vascular pattern oiled, rebuilt, multiple erosion up to 3-4 mm. Conclusion: ulcerative colitis, total loss, moderate activity (2 points for Schroeder classification).
В ходе обследования исключены кишечные инфекции, в том числе клостридиальная, туберкулез и ассоциированное с цитомегаловирусной инфекцией поражение кишечника.
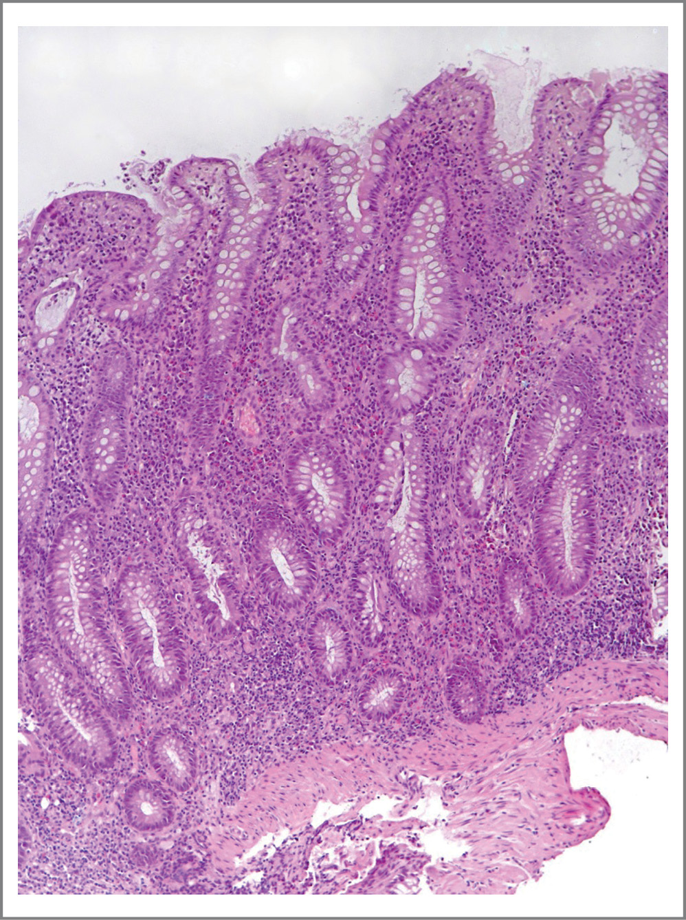
При гистологическом исследовании толстой кишки выявлены деформация крипт, снижение количества бокаловидных клеток, участки базального плазмоцитоза, клетки густого воспалительного инфильтрата не распространяются за пределы собственной пластинки слизистой оболочки (рис. 3).
Рис. 3. Слизистая оболочка толстой кишки больного У. Деформация крипт, снижение количества бокаловидных клеток, участки базального плазмоцитоза. Клетки густого воспалительного инфильтрата не распространяются за пределы собственной пластинки слизистой оболочки. Окраска гематоксилином и эозином. ×120.
Fig. 3. Mucous membrane of patient U’s colon. Crypt deformation, decreased number of Goblet cells, basal plasmacytosis. Coloration with hematoxylin and eosin. Magnification up to 120x.
Учитывая хроническое непрерывное течение ЯК, субтотальное поражение толстой кишки, эндоскопически умеренную степень активности, наличие ВКП в виде аутоиммунного увеита, пациенту назначена терапия адалимумабом – генно-инженерным биологическим препаратом c антицитокиновым механизмом действия. Постепенно наступила клиническая ремиссия.
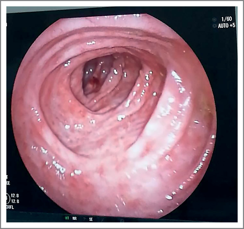
Через 4 мес проведено повторное обследование. Колоноилеоскопия: эндоскоп проведен на 10 см в терминальный отдел подвздошной кишки. Слизистая оболочка слепой, восходящей, поперечно-ободочной, нисходящей и сигмовидной кишки бледно-розовая, очагово гиперемирована, гладкая, блестящая. Гаустры выражены. Сосудистый рисунок очагово смазан. Заключение: ЯК, ремиссия (рис. 4). Офтальмологом отмечен регресс воспалительных изменений глаз (рис. 5).
Рис. 4. Колоноскопия больного У. Сосудистый рисунок перестроен, очаговая гиперемия слизистой оболочки толстой кишки (1 балл по Schroeder).
Fig. 4. Vascular pattern rebuilt, focal hyperemia colon mucous (1 points for Schroeder classification).
Рис. 5. Регресс симптомов аутоиммунного увеита у больного У.
Fig. 5. Regression of autoimmune uveitis in patient U.
ВКП при ВЗК разнообразны, и практически любой орган может вовлекаться в патологический процесс, о чем должны быть осведомлены не только врачи-гастроэнтерологи, но также врачи других специальностей (дерматологи, офтальмологи, ревматологи, инфекционисты, гепатологи, хирурги и др.). Представленное клиническое наблюдение имеет своей целью обратить внимание на сочетание ВЗК и ВКП в форме аутоиммунного увеита. Поздняя диагностика ВЗК может обусловливаться тем, что внекишечные поражения органов способны предшествовать классическим кишечным симптомам ЯК и БК. Поэтому клиницистам полезно знать все «маски», под которыми скрываются ВЗК.
Заключение
Многогранность клинической картины ВЗК, сложность диагностики, отсутствие настороженности врачей общей практики относительно ВКП приводят к большому числу диагностических ошибок и, следовательно, к потере времени для назначения адекватного лечения.
Активное выявление, своевременная диагностика системных проявлений ВЗК и назначение оптимального лечения генно-инженерными биологическими препаратами при сочетанной иммуновоспалительной патологии позволяют добиться ремиссии, предотвратить развитие аутоиммунных осложнений и повысить качество жизни пациентов.
Раскрытие интересов. Авторы декларируют отсутствие явных и потенциальных конфликтов интересов, связанных с публикацией настоящей статьи.
Disclosure of interest. The authors declare that they have no competing interests.
Вклад авторов. Авторы декларируют соответствие своего авторства международным критериям ICMJE. Все авторы в равной степени участвовали в подготовке публикации: разработка концепции статьи, получение и анализ фактических данных, написание и редактирование текста статьи, проверка и утверждение текста статьи.
Authors’ contribution. The authors declare the compliance of their authorship according to the international ICMJE criteria. All authors made a substantial contribution to the conception of the work, acquisition, analysis, interpretation of data for the work, drafting and revising the work, final approval of the version to be published and agree to be accountable for all aspects of the work.
Источник финансирования. Авторы декларируют отсутствие внешнего финансирования для проведения исследования и публикации статьи.
Funding source. The authors declare that there is no external funding for the exploration and analysis work.
Информированное согласие на публикацию. Пациент подписал форму добровольного информированного согласия на публикацию медицинской информации.
Consent for publication. Written consent was obtained from the patient for publication of relevant medical information and all of accompanying images within the manuscript.
Об авторах
Анна Валерьевна Каграманова
ГБУЗ «Московский клинический научно-практический центр им. А.С. Логинова» Департамента здравоохранения г. Москвы; ГБУ «Научно-исследовательский институт организации здравоохранения и медицинского менеджмента» Департамента здравоохранения г. Москвы
Email: asfold@mail.ru
ORCID iD: 0000-0002-3818-6205
канд. мед. наук, ст. науч. сотр. отд-ния воспалительных заболеваний кишечника ГБУЗ «МКНЦ им. А.С. Логинова», вед. специалист отд. по колопроктологии ГБУ НИИОЗММ
Россия, Москва; МоскваВладимир Эдуардович Танковский
ФГБУ «Национальный медицинский исследовательский центр глазных болезней им. Гельмгольца» Минздрава России
Email: asfold@mail.ru
д-р мед. наук, ст. науч. сотр. отд. патологии сетчатки и зрительного нерва
Россия, МоскваАлександра Николаевна Демченко
ГБУЗ «Московский клинический научно-практический центр им. А.С. Логинова» Департамента здравоохранения г. Москвы
Email: asfold@mail.ru
мл. науч. сотр. отд-ния воспалительных заболеваний кишечника
Россия, МоскваОлег Владимирович Князев
ГБУЗ «Московский клинический научно-практический центр им. А.С. Логинова» Департамента здравоохранения г. Москвы; ФГБУ «Национальный медицинский исследовательский центр колопроктологии им. А.Н. Рыжих» Минздрава России
Email: asfold@mail.ru
ORCID iD: 0000-0001-7250-0977
д-р мед. наук, зав. отд-нием воспалительных заболеваний кишечника ГБУЗ «МКНЦ им. А.С. Логинова», проф. научно-образовательного отд. ФГБУ «НМИЦ колопроктологии им. А.Н. Рыжих»
Россия, Москва; МоскваАсфольд Иванович Парфенов
ГБУЗ «Московский клинический научно-практический центр им. А.С. Логинова» Департамента здравоохранения г. Москвы
Автор, ответственный за переписку.
Email: asfold@mail.ru
ORCID iD: 0000-0002-9782-4860
д-р мед. наук, проф., зав. отд. патологии кишечника
Россия, МоскваСписок литературы
- Князев О.В., Парфенов А.И., Каграманова А.В., и др. Диагностика и лечение язвенного колита: учебное пособие. М.: Вита-Пресс, 2023 [Kniazev OV, Parfenov AI, Kagramanova AV, et al. Diagnostika i lecheniie iazvennogo kolita: uchebnoie posobiie. Moscow: Vita-Press, 2023 (in Russian)].
- Banares AA, Jover JA, Fernandez-Guiterrez JL. Bowel inflammation in anterior uveitis and spondylarthropathy. J Rheumatol. 1995;22:1112-7.
- Lyons JL, Rosenbaum JT. Uveitis associated with inflammatory bowel disease compared with uveitis associated with spondylarthropathy. Arch Ophthalmol. 1997;115:61-4. doi: 10.1001/archopth.1997.01100150063010
- Horai R, Zarate-Blades CR, Dillenburg-Pilla P, et al. Microbiota-Dependent Activation of an Autoreactive T Cell Receptor Provokes Autoimmunity in an Immunologically Privileged Site. Immunity. 2015;43:343-53. doi: 10.1016/j.immuni.2015.07.014
- Crohn BB. Ocular lesions complicating ulcerative colitis. Am J Med Sci. 1925;3:335-52. doi: 10.3748/wjg.v23.i32.5836
- Das KM. Relationship of extraintestinal involvements in inflammatory bowel disease: new insights into autoimmune pathogenesis. Dig Dis Sci. 1999;44:1-13. doi: 10.1023/a:1026629528233
- Vavricka SR, Schoepfer A, Scharl M. Extraintestinal manifestations of inflammatory bowel disease. Inflamm Bowel Dis. 2015;21:1982-92. doi: 10.1097/MIB.0000000000000392
- Hedin CRH, Vavricka SR, Stagg AJ, et al. The Pathogenesis of Extraintestinal Manifestations: Implications for IBD Research, Diagnosis, and Therapy. J Crohn's Colitis. 2018;13:541-54. doi: 10.1093/ecco-jcc/jjy191
- Schulman MF, Sugar A. Peripheral corneal infiltrates in inflammatory bowel disease. Ann Ophthalmol. 1981;13:109-13.
- Walker JC, Selva D, Pietrus G. Optic disc swelling in Crohn’s disease. Aust NZJ Ophthalmol. 1998;26:329-32. doi: 10.1111/j.1442-9071.1998.tb01338
- Salmi M, Jalkanen S. Endothelial ligands and homing of mucosal leukocytes in extraintestinal manifestations of IBD. Inflamm Bowel Dis. 1998;4:149-56. doi: 10.1002/ibd.3780040210
- Парфенов А.И., Каграманова А.В., Князев О.В. Системные проявления воспалительных заболевания кишечника. Терапевтический архив. 2020;2:4-11 [Parfenov AI, Knyazev OV, Kagramanova AV. Systemic manifestations of inflammatory bowel diseases. Terapevticheskii Arkhiv (Ter. Arkh.). 2020;2:4-11 (in Russian)]. doi: 10.26442/00403660.2020.02.000535
- Нероев В.В., Танковский В.Э. Увеиты (основные симптомы, лечение). М.: Триумф, 2019 [Neroiev VV, Tankovskii VE. Uveity (osnovnyie simptomy, lecheniie). Moscow: Triumf, 2019 (in Russian)].
Дополнительные файлы








