Роль данных компьютерно-томографической саркометрии с использованием технологий машинного обучения в прогнозировании послеоперационных исходов у больных раком желудка
- Авторы: Кукарская В.А.1, Агабабян Т.А.1
-
Учреждения:
- Медицинский радиологический научный центр им. А.Ф. Цыба – филиал ФГБУ «Национальный медицинский исследовательский центр радиологии» Минздрава России
- Выпуск: Том 96, № 2 (2024): Вопросы гастроэнтерологии
- Страницы: 122-126
- Раздел: Оригинальные статьи
- Статья получена: 29.03.2024
- Статья одобрена: 29.03.2024
- Статья опубликована: 30.03.2024
- URL: https://ter-arkhiv.ru/0040-3660/article/view/629628
- DOI: https://doi.org/10.26442/00403660.2024.02.202598
- ID: 629628
Цитировать
Полный текст
Аннотация
Обоснование. Саркопения является неблагоприятным прогностическим фактором у онкологических больных и имеет особое значение у больных с высоким риском развития нутритивной недостаточности. Наиболее доступным и распространенным способом неинвазивной оценки мышечной массы является саркометрия методом компьютерной томографии (КТ). Однако его клиническое использование ограничено увеличением трудоемкости ручного измерения мышечной массы на КТ-изображении.
Цель. Оптимизировать применение КТ-саркометрии на дооперационном этапе комбинированного лечения у больных раком желудка (РЖ) для стратификации риска возникновения послеоперационных осложнений с помощью разработанного программного ассистента.
Материалы и методы. На I этапе создан «датасет», содержащий 207 КТ-изображений, с помощью которого произведено обучение модели сегментации мышечной ткани. На относительно малой обучающей выборке достигнуто значение коэффициент схожести Дайса 0,91. На II этапе исследования проанализирована частота встречаемости саркопении у обследованных больных до проведения неоадъювантной химиотерапии и непосредственно перед гастрэктомией. Саркопения отмечена у 41 (63%) из 65 больных и у 50 (77%) больных после проведения неоадъювантной химиотерапии. Послеоперационные осложнения диагностированы у 12 (19%) из 65 больных. Корреляции между частотой их возникновения и мышечным статусом больных не выявлено (p=0,392), однако осложнения тяжелой степени (≥IIIb по классификации Clavien–Dindo) выявлены только в группе больных саркопенией (p<0,001).
Результаты. Таким образом, предоперационная саркопения, выявленная на КТ, является фактором риска развития тяжелых послеоперационных осложнений у пациентов с РЖ, перенесших гастрэктомию. Внедрение технологий глубокого обучения в клиническую практику облегчает оценку саркопении у больных РЖ.
Полный текст
Список сокращений
КТ – компьютерная томография
НХТ – неоадъювантная химиотерапия
РЖ – рак желудка
СМИ – скелетно-мышечный индекс
DSC (Dice similarity coefficient) – коэффициент схожести Дайса
Введение
Рак желудка (РЖ) занимает 5-е место в мире по заболеваемости и 3-е – по смертности от онкологических заболеваний, являясь одной из наиболее распространенных и серьезных злокачественных опухолей [1]. РЖ сопровождается расстройством пищевого поведения в сочетании с повышенным потреблением метаболитов при онкологическом заболевании, и вероятность развития саркопении (согласно определению Европейского консенсуса саркопения – это уменьшение мышечной массы тела и снижение мышечных функций [2]) у этой категории больных выше, чем в общей популяции людей [3]. Данные литературы свидетельствуют, что саркопения оказывает негативное влияние на непосредственные и отдаленные результаты лечения опухолевого процесса различной локализации [4–6].
Вычисление скелетно-мышечного индекса (СМИ) с помощью компьютерной томографии (КТ) является одним из распространенных и достоверных методов диагностики саркопении. Расчет СМИ формируется за счет площади поперечного сечения поясничной мышцы с поправкой на квадрат роста на уровне LIII позвонка [7]. Следует отметить, что КТ по клиническим рекомендациям в настоящее время включена в состав диагностических алгоритмов плановых исследований для диагностики, стадирования, наблюдения и оценки ответа на терапию у онкологических больных. Для оценки структуры тела не нужно проводить дополнительных рентгенологических исследований и тем самым подвергать пациента лучевой нагрузке.
Однако клиническое использование этой методики ограничено за счет возрастания времени на ручные измерения мышечной массы на КТ-изображении.
Целью исследования явилась оптимизация применения КТ-саркометрии на дооперационном этапе комбинированного лечения у больных РЖ для стратификации риска возникновения послеоперационных осложнений с помощью разработанного программного ассистента.
Материалы и методы
Создан «датасет», содержащий 207 КТ-изображений, с которым произведено обучение модели сегментации мышечной ткани, имеющей архитектуру U-Net.
Далее проанализированы данные 65 пациентов (женщины – 25, мужчины – 40) с морфологически верифицированным диагнозом РЖ в возрасте от 33 до 80 лет, которые получили комбинированное лечение в МРНЦ им. А.Ф. Цыба – филиале ФГБУ «НМИЦ радиологии». Все больные на I этапе комбинированного лечения получили неоадъювантную химиотерапию (НХТ) по схеме FLOT, а далее выполнялась гастрэктомия с лимфодиссекцией D2. КТ выполняли до начала НХТ и через 3,5–5 нед после ее завершения с целью дооперационного стадирования и оценки ответа опухоли на проводимое лечение, а в послеоперационном периоде – при наличии клинических показаний для диагностики ранних послеоперационных осложнений.
После проведения КТ органов брюшной полости и оценки изменений согласно стандартным задачам, стоящим перед исследованием, проводили постпроцессорную обработку данных, включающую в себя выбор наиболее качественного КТ-среза на уровне LIII позвонка с относительно четкими границами периметра мышц живота и тела позвонка. Выбор уровня сегментации обусловлен тем, что, по данным литературы, отмечена выраженная корреляция между результатами измерения площадей скелетной мускулатуры и жировой ткани на уровне тела LIII позвонка и общим объемом мышечного и жирового компонентов тела.
Далее на выбранном срезе КТ производился автоматический расчет площади поперечного сечения сегментированных скелетных мышц на этом уровне (параспинальные, поясничные мышцы, а также прямые, косые и поперечные мышцы живота).
Саркопения оценивалась на основании определения СМИ, который рассчитывался путем определения площади скелетных мышц на уровне LIII позвонка с поправкой на квадрат роста [4].
Состояние мышечной ткани расценивали как саркопению при пороговых значениях СМИ ниже 55 см2/м2 для мужчин и 39 см2/м2 – для женщин [8].
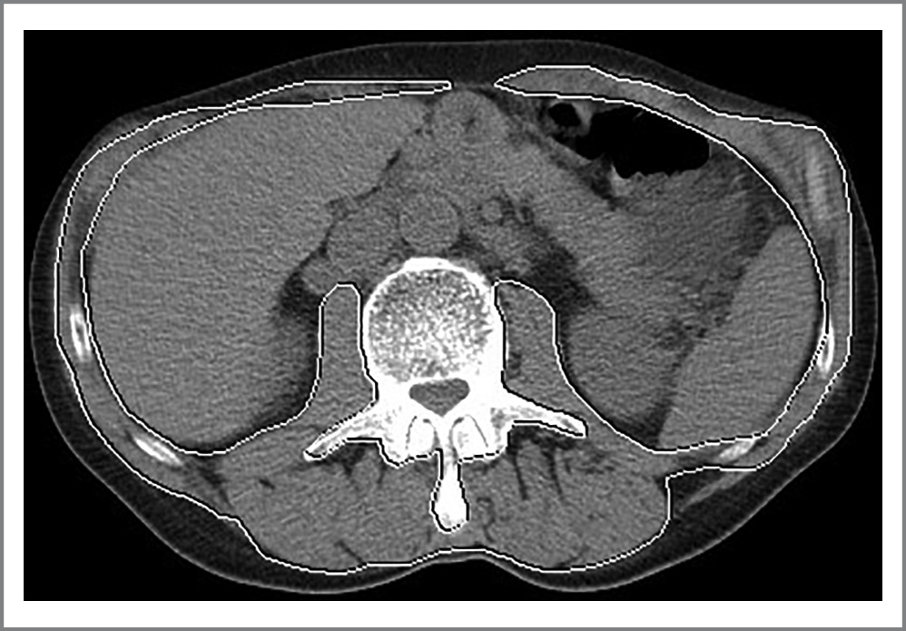
Степень послеоперационных осложнений оценивали по классификации Clavien–Dindo [9] (рис. 1).
Рис. 1. Аксиальный КТ-срез. Пациент А. КТ-саркометрия на уровне LIII позвонка до операции. Площадь выделенной зоны 130 см2, СМИ – 32 см2/м2. Саркопения.
Fig. 1. Axial CT slice. Patient A. Computed tomography sarcometry at the level of the LIII vertebra before surgery. The area of the allocated zone is 130 cm2, and the SMI is 32 cm2/m2. Sarcopenia.
С помощью программы SPSS.v.20 производилась статистическая обработка данных, а для определения достоверных различий между группами и подгруппами больных использовали непараметрические методы сравнения (Т-критерий Вилкоксона, критерий χ2 Пирсона). Статистически достоверными различия считались при p<0,05.
Результаты
На текущем этапе программное средство представляет собой прототип, реализующий основные операции по анализу снимков КТ с помощью технологий компьютерного зрения.
В настоящий момент использован набор данных, содержащий 207 снимков, произведено первичное обучение модели сегментации мышечной ткани (т.е. выделения пикселей, относящихся к области интереса). Эта модель имеет архитектуру U-Net, которая наиболее хорошо зарекомендовала себя в решении задач сегментации медицинских снимков.
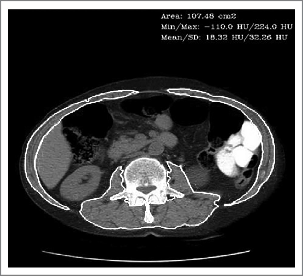
Программный модуль в настоящий момент с КТ-снимками на уровне LIII позвонка производит автоматическую сегментацию мышечной ткани; определяет площадь области интереса, а также минимальных, максимальных и средних значений области интереса в единицах шкалы Хаунсфилда (Hounsfield units – HU); визуализирует контуры мышечной ткани поверх исходных снимков и наносит необходимые значения (рис. 2).
Рис. 2. Аксиальный КТ-срез. Kонтуры мышечной ткани поверх исходных снимков.
Fig. 2. Axial computed tomography slice. Muscle tissue contours over of the original images.
Первичное обучение продемонстрировало перспективность выбранного подхода сегментации: на относительно малой обучающей выборке достигнуто значение коэффициента схожести Дайса (Dice similarity coefficient – DSC) 0,91.
В рамках развития программного решения предполагается дообучение моделей на расширенной выборке, что повысит точность сегментации, создание пользовательского интерфейса с возможностью загрузки подлежащих обработке файлов DICOM и удобного представления результатов обработки пользователю-рентгенологу.
Второй этап нашего исследования начался с анализа частоты встречаемости саркопении у группы больных до начала проведения НХТ (табл. 1).
Таблица 1. Частота встречаемости саркопении у больных до начала проведения НХТ
Table 1. Frequency of occurrence of sarcopenia in patients before neoadjuvant chemotherapy
Наличие саркопении | Число пациентов, абс. (%) | Всего пациентов, абс. (%) | |
мужчин | женщин | ||
Есть | 27 (67) | 14 (56) | 41 (63) |
Нет | 13 (33) | 11 (44) | 24 (37) |
Всего | 40 (100) | 25 (100) | 65 (100) |
По результатам табл. 1 можно увидеть, что довольно высока распространенность саркопении у больных РЖ, так как она выявлена у 41 (63%) из 65 больных.
У этой же группы больных после 4 циклов НХТ по схеме FLOT саркопения отмечена у 50 (77%) больных.
Проанализировав СМИ у 41 больного с саркопенией до начала лечения, мы обнаружили, что у 31 (76%) больного СМИ уменьшился, а у остальных 10 (24%) СМИ увеличился, но остался ниже нормы. Вместе с тем у 9 (38%) из 24 больных до лечения не выявлено саркопении, а после завершения 4 циклов НХТ отметилось ее появление.
По нашим данным можно прийти к выводу, что проводимая НХТ может усугублять состояние мышечного статуса у больных РЖ.
Третий этап анализа заключался в анализе послеоперационных осложнений. Они выявлены у 29 (45%) из 65 больных. Степени данных осложнений у этих больных по классификации Clavien–Dindo: I степень – у 13 (45%), II степень – у 5 (17%), IIIa степень – у 2 (7%), IIIb степень – у 6 (21%), IV степень – у 2 (7%), V степень – у 1 (3%) из 29.
В табл. 2 показана оценка частоты развития послеоперационный осложнений в зависимости от наличия или отсутствия саркопении.
Таблица 2. Частота развития послеоперационных осложнений у больных в зависимости от наличия или отсутствия саркопении
Table 2. The frequency of development of postoperative complications in patients depending on the presence or absence of sarcopenia
Проявления осложнений | Наличие саркопении, абс. (%) | Всего пациентов, абс. (%) | p | |
есть | нет | |||
Есть | 23 (46) | 6 (40) | 29 (45) | 0,392 |
Нет | 27 (54) | 9 (60) | 36 (55) | |
Всего | 50 (100) | 15 (100) | 65 (100) | |
Отдельно отобрана группа с частотой развития тяжелых послеоперационных осложнений (≥IIIb по классификации Clavien–Dindo), а именно: несостоятельность швов анастомоза – 6 больных, панкреонекрозы – 2 больных, смерть – 1 больной. Именно в группе больных с саркопенией у 9 (31%) из 29 больных проявлялись тяжелые послеоперационные осложнения.
Можно сделать вывод, что частота проявления послеоперационных осложнений в группе исследованных больных с саркопенией и без нее после гастрэктомии с лимфодиссекцией D2 статистически не отличалась, вместе с тем тяжелые осложнения встречались только в группе больных с саркопенией.
Обсуждение
Саркопения – это сложный синдром, который в основном связан со старением, но именно рак может являться одной из причин его развития. В статье K. Fearon и соавт. [5] пришли к выводу, что потеря жира или уменьшение скелетных мышц могут быть основными причинами, связанными с опухолью, а также недоедание, которое можно связать с послеоперационными осложнениями и смертностью. Именно метаболизм скелетной мускулатуры, а также повышенный уровень распада могут быть сигналами усиленного катаболизма у онкологических больных и замедления функций органов, что всерьез влияет на физиологию организма, качество жизни пациента, толерантность к лечению [5].
У онкологических больных в зависимости от локализации и распространенности опухолевого процесса существует связь частоты встречаемости саркопении. Чаще всего (в 60–85% случаев) наблюдается нарушение питания при опухолях органов пищеварения, на 2-м месте (в 45–60% случаев) – при опухолях органов дыхания, а реже – при раке молочной железы, матки и яичников (в 30–40% случаев) [10]. Если судить по результатам нашего исследования, то частота встречаемости саркопении составляет 63,1% среди пациентов с РЖ, что соответствует данным литературных источников. Также после проведения НХТ по данным нашего исследования увеличилась частота саркопении до 76,9%, что свидетельствует о том, что проведение этого лечения негативно влияет на состояние мышечной массы. Наши результаты в целом соответствуют литературным данным [11].
При КТ-исследовании брюшной полости, которое считается одним из наиболее распространенных и достоверных методов диагностики саркопении, на уровне LIII позвонка можно измерить площадь поперечного сечения скелетных мышц. Площадь мышечной и жировой ткани, измеренная на уровне поясничного позвонка, достоверно коррелирует с объемом скелетной мускулатуры и жировой клетчатки всего тела у здоровых людей [7]. В качестве пороговых значений СМИ при саркопении, которые приняты международным консенсусом экспертов по раковой кахексии, принимались следующие: ниже 39 см2/м2 для женщин и 55 см2/м2 для мужчин, поэтому эти значения использованы в нашем исследовании [12].
Данные по предоперационной саркопении, имеющиеся в мировой литературе, могут предположить, что предоперационная саркопения может являться предиктором неблагоприятного послеоперационного исхода у онкологических больных [4]. Так, C. Zhou и соавт. [13] не обнаружили значительной разницы у больных с послеоперационными осложнениями III степени и выше по классификации Clavien–Dindo. Однако, по данным H. Otsuji и соавт. [8] и Y. Fukuda и соавт. [9], частота развития осложнений достоверно различима, только если осложнения имеют III и выше степени по классификации Clavien–Dindo. Именно данным этих авторов соответствуют наши данные.
В работе J. Burns и соавт. [14] предлагается применение архитектуры U-Net, для обучения используется набор данных, включающий размеченные вручную снимки 102 пациентов. Усредненный DSC для всех сегментируемых в исследовании групп мышц составляет 0,93. L. Ackermans и соавт. [15] предлагают подход к сегментации мышц и жировой ткани по снимкам КТ на уровне позвонка LIII у пациентов с политравмой, в качестве архитектуры используется U-Net, модель обучена на снимках 3413 пациентов, достигнут средний DSC для мышечной ткани 0,926.
Главные достоинства рассмотренных работ заключаются в том, что данные для исследований собираются в медицинских центрах и размечаются квалифицированными рентгенологами, а также в том, что результаты востребованы и протестированы в условиях клинической практики. Однако в большинстве исследований мало внимания уделяется технической реализации решений: предварительной обработке снимков, сравнению различных архитектур методам постобработки масок сегментации. Стоит отметить отсутствие готового программного обеспечения для точной сегментации мышечной ткани по снимкам КТ на уровне позвонка LIII на российском рынке. В связи с этим возникла потребность в реализации собственного программного обеспечения. Разработанный в ходе нашего исследования программный модуль позволяет в автоматическом режиме сегментировать мышечную ткань по снимкам КТ на уровне позвонка LIII. Результаты нашего исследования подтверждают целесообразность применения компьютерного зрения для оценки показателей мышечной ткани.
Заключение
Таким образом, РЖ часто сопровождается развитием саркопении. До и после проведения НХТ КТ-исследование позволяет оценить состояние мышечной массы. Саркопения, выявленная в предоперационном периоде с помощью КТ, у больных РЖ является фактором риска развития тяжелых послеоперационных осложнений после проведения гастрэктомии. Внедрение технологий машинного обучения в клиническую практику может облегчить оценку показателей состава тела у больных РЖ и позволит скорректировать нутритивный статус с учетом индивидуальных особенностей онкологического больного.
Раскрытие интересов. Авторы декларируют отсутствие явных и потенциальных конфликтов интересов, связанных с публикацией настоящей статьи.
Disclosure of interest. The authors declare that they have no competing interests.
Вклад авторов. Авторы декларируют соответствие своего авторства международным критериям ICMJE. Все авторы в равной степени участвовали в подготовке публикации: разработка концепции статьи, получение и анализ фактических данных, написание и редактирование текста статьи, проверка и утверждение текста статьи.
Authors’ contribution. The authors declare the compliance of their authorship according to the international ICMJE criteria. All authors made a substantial contribution to the conception of the work, acquisition, analysis, interpretation of data for the work, drafting and revising the work, final approval of the version to be published and agree to be accountable for all aspects of the work.
Источник финансирования. Авторы декларируют отсутствие внешнего финансирования для проведения исследования и публикации статьи.
Funding source. The authors declare that there is no external funding for the exploration and analysis work.
Информированное согласие на публикацию. Пациенты подписали форму добровольного информированного согласия на публикацию медицинской информации.
Consent for publication. Written consent was obtained from the patients for publication of relevant medical information and all of accompanying images within the manuscript.
Об авторах
Валерия Андреевна Кукарская
Медицинский радиологический научный центр им. А.Ф. Цыба – филиал ФГБУ «Национальный медицинский исследовательский центр радиологии» Минздрава России
Автор, ответственный за переписку.
Email: kukalery@mail.ru
ORCID iD: 0009-0001-4872-3182
клин. ординатор отд-ния лучевой диагностики
Россия, ОбнинскТатев Артаковна Агабабян
Медицинский радиологический научный центр им. А.Ф. Цыба – филиал ФГБУ «Национальный медицинский исследовательский центр радиологии» Минздрава России
Email: kukalery@mail.ru
ORCID iD: 0000-0002-9971-3451
канд. мед. наук, зав. отд-нием лучевой диагностики
Россия, ОбнинскСписок литературы
- Злокачественные новообразования в России в 2021 году (заболеваемость и смертность). Под ред. А.Д. Каприна, В.В. Старинского, А.О. Шахзадовой. М.: МНИОИ им. П.А. Герцена − филиал ФГБУ «НМИЦ радиологии» Минздрава России, 2022 [Zlokachestvennyie novoobrazovaniia v Rossii v 2021 godu (zabolevaiemost' i smertnost'). Pod red. AD Kaprina, VV Starinskogo, AO Shakhzadovoi. Moscow: MNIOI im. PA Gertsena − filial FGBU “NMITS radiologii” Minzdrava Rossii, 2022 (in Russian)].
- Cruz-Jentoft AJ, Bahat G, Bauer J, et al. Writing Group for the European Working Group on Sarcopenia in Older People 2 (EWGSOP2), and the Extended Group for EWGSOP2. Sarcopenia: revised European consensus on definition and diagnosis. Age Ageing. 2019;48(1):16-31. doi: 10.1093/ageing/afy169
- Kuwada K, Kuroda S, Kikuchi S, et al. Clinical Impact of Sarcopenia on Gastric Cancer. Anticancer Res. 2019;39(5):2241-9. doi: 10.21873/anticanres.13340
- Дикова Т.С., Зацепина А.Ю., Федоринов Д.С., Лядов В.К. Саркопения, саркопеническое ожирение, миостеатоз как факторы неблагоприятного прогноза при опухолях желудочно-кишечного тракта: обзор литературы. Современная Онкология. 2021;23(1):141-7 [Dikova TS, Zatsepina AYu, Fedorinov DS, Lyadov VK. Sarcopenia, sarcopenic obesity, myosteatosis as factors of poor prognosis in gastrointestinal tract tumors: review. Journal of Modern Oncology. 2021;23(1):141-7 (in Russian)]. doi: 10.26442/18151434.2021.1.200715
- Fearon KC, Jenkins JT, Carli F, Lassen K. Patient optimization for gastrointestinal cancer surgery. Br J Surg. 2013;100(1):15-27. doi: 10.1002/bjs.8988
- Shi B, Liu S, Chen J, et al. Sarcopenia is Associated with Perioperative Outcomes in Gastric Cancer Patients Undergoing Gastrectomy. Ann Nutr Metab. 2019;75(4):213-22. doi: 10.1159/000504283
- Tagliafico AS, Bignotti B, Torri L, Rossi F. Sarcopenia: how to measure, when and why. Radiol Med. 2022;127(3):228-237. doi: 10.1007/s11547-022-01450-3
- Otsuji H, Yokoyama Y, Ebata T, et al. Preoperative sarcopenia negatively impacts postoperative outcomes following major hepatectomy with extrahepatic bile duct resection. World J Surg. 2015;39(6):1494-500. doi: 10.1007/s00268-015-2988-6
- Fukuda Y, Yamamoto K, Hirao M, et al. Sarcopenia is associated with severe postoperative complications in elderly gastric cancer patients undergoing gastrectomy. Gastric Cancer. 2016;19(3):986-93. doi: 10.1007/s10120-015-0546-4
- Хорошилов И.Е. Кахексия и саркопения у онкологических пациентов: диагностика и лечебная тактика. Клиническое питание и метаболизм. 2020;1(1):36-46 [Khoroshilov IE. Cachexia and sarcopenia at oncological patients: diagnostics and treatment tactics. Clinical Nutrition and Metabolism. 2020;1(1):36-46 (in Russian)]. doi: 10.17816/clinutr20650
- Бриш Н.А., Семиглазова Т.Ю., Карачун А.М., и др. Влияние коррекции нутритивной недостаточности на эффективность неоадъювантной химиотерапии у больных местно-распространенным раком желудка. Современная Онкология. 2021;23(3):519-24 [Brish NA, Semiglazova TY, Karachun AM, et al. Influence of correction of nutritive deficiency on the effectiveness of neoadjuvant chemotherapy in patients with locally advanced gastric cancer. Journal of Modern Oncology. 2021;23(3):519-24 (in Russian)]. doi: 10.26442/18151434.2021.3.201075
- Fearon K, Strasser F, Anker SD, et al. Definition and classification of cancer cachexia: an international consensus. Lancet Oncol. 2011;12(5):489-95. doi: 10.1016/S1470-2045(10)70218-7
- Zhou CJ, Zhang FM, Zhang FY, et al. Sarcopenia: a new predictor of postoperative complications for elderly gastric cancer patients who underwent radical gastrectomy. J Surg Res. 2017;211:137-46. doi: 10.1016/j.jss.2016.12.014
- Burns JE, Yao J, Chalhoub D, et al. A Machine Learning Algorithm to Estimate Sarcopenia on Abdominal CT. Acad Radiol. 2020;27(3):311-20. doi: 10.1016/j.acra.2019.03.011
- Ackermans LLGC, Volmer L, Wee L, et al. Deep Learning Automated Segmentation for Muscle and Adipose Tissue from Abdominal Computed Tomography in Polytrauma Patients. Sensors (Basel). 2021;21(6):2083. doi: 10.3390/s21062083
Дополнительные файлы





