Expression of motilin and vasoactive intestinal peptide in diverticular disease of the colon
- Authors: Osadchuk M.A.1, Mironova E.D.1, Krylova I.S.2,3, Gulyaev P.V.1, Akhtyamova R.A.1
-
Affiliations:
- Sechenov First Moscow State Medical University (Sechenov University)
- Pavlov First Saint Petersburg State Medical University
- Saint Petersburg State Research Institute of Phthisiopulmonology
- Issue: Vol 96, No 2 (2024): Issues of gastroenterology
- Pages: 97-101
- Section: Original articles
- Submitted: 29.03.2024
- Accepted: 29.03.2024
- Published: 30.03.2024
- URL: https://ter-arkhiv.ru/0040-3660/article/view/629600
- DOI: https://doi.org/10.26442/00403660.2024.02.202588
- ID: 629600
Cite item
Full Text
Abstract
Aim. To determine the role of the expression of motilin and vasoactive intestinal peptide (VIP) in diverticular disease of the large intestine (DD).
Materials and methods. Examined 45 patients with DD. The comparison group consisted of 30 practically healthy people. Patients and healthy people were examined according to a single program, including clinical, instrumental (colonoscopy and ultrasound examination of the abdominal cavity and), laboratory (blood glucose, cholesterol, alanine aminotransferase and aspartate aminotransferase) and immunomorphological research methods – use of primary antibodies to motilin (PA5-76926, Invitrogen, USA) and VIP (Ab22736, 1:800, Abcam, UK).
Results. For DD, clinical symptoms are characteristic, mainly fit into the manifestations of functional disorders (constipation, pain along the colon, bloating and increased gas formation). In patients with DD, an increase in body mass index, cholesterol and glucose levels was found. In this category of patients, examinations often verify diabetes mellitus (40%), arterial hypertension (64.4%), cholelithiasis (44.4%), non-alcoholic fatty liver disease (55.5%), gastroesophageal reflux disease (60%). In the group of patients with DD, a significant decrease in the expression of VIP and motilin in the mucous membrane of the large intestine was recorded compared with the group of healthy people (17.31 vs 34.67; p<0.05 and 64.42 vs 76.50; p<0.05 respectively).
Conclusion. The obtained results give grounds to conclude that a decrease in the expression of VIP and motilin in the mucosa of the sigmoid colon is accompanied by hypotension of the colon, which directly and indirectly leads to a violation of the regeneration of the mucosa, which leads to the manifestation of DD.
Full Text
Список сокращений
ВИП – вазоактивный интестинальный пептид
ГЭРБ – гастроэзофагеальная рефлюксная болезнь
ДБТК – дивертикулярная болезнь толстой кишки
ЖКТ – желудочно-кишечный тракт
ИМТ – индекс массы тела
НАЖБП – неалкогольная жировая болезнь печени
ТК – толстая кишка
PAC1 – соединение-1, активирующее прокаспазу
VPAC1 – вазоактивный интестинальный полипептидный рецептор 1
VPAC2 – вазоактивный интестинальный полипептидный рецептор 2
Введение
Дивертикулярная болезнь толстой кишки (ДБТК и ТК) занимает лидирующие позиции по частоте встречаемости среди анатомических изменений ТК, обнаруживаемых во время колоноскопии [1]. Распространенность данного заболевания составляет около 20% среди лиц в возрасте от 40 до 49 лет и достигает 75% в возрасте 80 лет и старше [1]. ДБТК остается ведущим диагнозом среди заболеваний желудочно-кишечного тракта (ЖКТ) и входит в число 20 основных причин среди всех смертей, связанных с патологией ЖКТ. Известно, что в патогенез заболевания вовлечены многочисленные этиологические сопутствующие факторы, к которым относят особенности структуры стенки ТК, недостаточное потребление клетчатки, ожирение, низкую физическую активность, генетическую предрасположенность, изменения в составе микробиоты кишечника, а также снижение моторно-эвакуаторной активности кишечника [1]. Важно отметить, что ДБТК сопровождается дисфункцией нейрогормональной системы и нарушением продукции факторов пролиферации, что повышает риск формирования не только доброкачественных, но и злокачественных новообразований ТК [2, 3]. В связи с этим в последние годы особое значение приобретает изучение роли нейрогормональной системы ТК в этиопатогенезе ДБТК. К важным составляющим ее факторам относятся вазоактивный интестинальный пептид (ВИП) и мотилин. Данные гормоны регулируют различные функции ЖКТ, а их рецепторы расположены во всех отделах пищеварительной системы [4]. Так, ВИП оказывает множественные плейотропные воздействия на функционирование нейрональных, эпителиальных и эндокринных клеток, которые регулируют секрецию ионов, абсорбцию, перистальтику кишечника, гликемический профиль, канцерогенез, противовоспалительный ответ и иммунную регуляцию, воздействуя на рецепторы, которые располагаются на протяжении всей пищеварительной трубки, в том числе и в ТК [4]. Именно нарушение продукции ВИП может выступать одним из значимых нейрогормональных факторов, отвечающих за развитие ДБТК, с одной стороны. С другой стороны, весомый вклад в патогенез ДБТК может вносить важный регулятор моторики ЖКТ – мотилин, который представляет собой циркулирующий пептид пищеварительной системы. Данный гормон опосредует фазу III межпищеварительного мигрирующего двигательного комплекса, действие которого опосредуется рецептором, связанным с G-белком GPR38, называемым рецептором мотилина (MLN-R), экспрессируемого в двенадцатиперстной кишке и ТК человека. Таким образом, особый интерес представляет изучение роли ВИП и мотилина в развитии ДБТК.
Цель исследования – определить роль экспрессии мотилина и ВИП при ДБТК.
Материалы и методы
В исследование включены 45 пациентов с ДБТК (21 мужчина и 24 женщины, средний возраст – 67,2±7,3 года). Группу сравнения составили 30 практически здоровых испытуемых (12 мужчин и 18 женщин, средний возраст – 39,4±6,5 года). Больные и здоровые обследованы по единой программе, включающей клинические (анамнез и объективный статус), инструментальные (колоноскопию и ультразвуковое исследование органов брюшной полости), лабораторные (биохимический анализ крови и кал на кальпротектин), морфологические и иммуногистохимические методы диагностики.
Забор биопсийного материала, а также прижизненные патологоанатомические исследования осуществляли в соответствии с «Правилами проведения патологоанатомических исследований» [5]. Для иммуногистохимического окрашивания были приготовлены серийные срезы толщиной 4–6 мкм, которые помещали на предметные стекла, покрытые поли-L-лизином (Menzel). Исследования проводили на депарафинизированных и дегидратированных срезах с использованием авидин-биотинового иммунопероксидазного метода. Для верификации экспрессии использовали первичные антитела к мотилину (PA5-76926, Invitrogen, USA) и ВИП (Ab22736, 1:800, Abcam, UK). Полученные микропрепараты сканировали с применением сканера препаратов Leica Aperio AT2 с последующим анализом с использованием программного обеспечения Aperio ImageScope.
Статистический анализ проводили в соответствии с поставленной целью. Для оценки нормальности распределения переменных использовали критерий Шапиро–Уилка. Для числовых переменных были рассчитаны средний показатель и среднеквадратичное отклонение (M±σ), 95% ДИ. В случае подтвержденного нормального распределения совокупностей способом оценки статистической значимости различий между средними величинами использовался t-критерий Стьюдента. В случаях когда распределение хотя бы одной из совокупностей не являлось нормальным, для сравнения использовался метод непараметрического анализа – U-критерий Манна–Уитни. Для проведения статистического анализа применяли программу SPSS 22.0 (SPSS Inc, США) для Windows (Microsoft Corporation, США), причем р<0,05 считался статистически значимым.
Результаты
Анализ клинических проявлений у пациентов с ДБТК позволил прийти к заключению о том, что имеющаяся симптоматика в основном соответствует классической картине данной патологии. Пациенты с ДБТК жаловались на запор (80%), болезненность при пальпации по ходу ТК (84,4%), чувство неполного опорожнения (53,3%), боли по ходу кишечника, связанные с дефекацией (60%), и метеоризм (73,3%).
Статистический анализ лабораторных данных показал, что пациенты с ДБТК имеют более высокие уровни холестерина и глюкозы в сыворотке крови по сравнению с группой сравнения (для всех р<0,05); табл. 1.
Таблица 1. Лабораторные показатели у пациентов с ДБТК
Table 1. Laboratory indicators in subjects with diverticular colon disease
Показатель, ммоль/л | Группа | M±σ | 95% ДИ | р |
Холестерин | 1-я | 5,63±0,88 | 5,21–6,04 | <0,05 |
2-я | 4,89±0,45 | 4,68–5,11 | ||
Глюкоза | 1-я | 6,35±0,82 | 5,96–6,74 | |
2-я | 4,77±0,41 | 4,58–4,97 | ||
Аланинаминотрансфераза | 1-я | 29,92±12,22 | 27,71–32,13 | |
2-я | 24,7±4,35 | 23,08–26,33 | ||
Аспартатаминотрансфераза | 1-я | 31,42±9,48 | 29,71–33,14 | |
2-я | 25,94±5,25 | 23,97–27,9 | ||
Примечание: 1-я группа (n=45) – пациенты с ДБТК; 2-я группа (n=30) – группа сравнения. | ||||
У лиц с ДБТК более высокий индекс массы тела (ИМТ) по сравнению с группой здоровых пациентов (31,1±2,32 против 26,6±2,85; р<0,05). Оценка сопутствующей патологии показала, что у лиц с ДБТК довольно часто диагностировали сахарный диабет (40%), артериальную гипертензию (64,4%), желчнокаменную болезнь (44,4%), неалкогольную жировую болезнь печени – НАЖБП (55,5%), гастроэзофагеальную рефлюксную болезнь – ГЭРБ (60%).
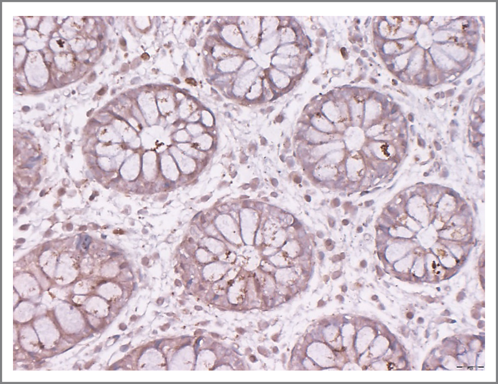
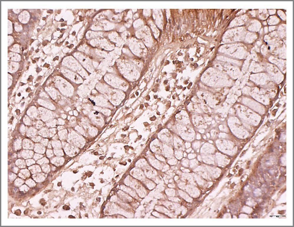
Результаты иммуногистохимического исследования у пациентов с ДБТК свидетельствуют о снижении экспрессии ВИП и мотилина по сравнению со здоровыми пациентами (17,31 против 34,67; р<0,05 и 64,42 против 76,50; р<0,05 соответственно); рис. 1–3.
Рис. 1. Экспрессия (S%) ВИП и мотилина в слизистой оболочке ТК.
Fig. 1. Expression (S%) of vasoactive intestinal peptide and motilin in the mucous membrane of the colon.
Рис. 2. Относительная площадь экспрессии ВИП 17,59% у пациента с ДБТК. Ув. 40.
Fig. 2. The relative expression area of the vasoactive intestinal peptide is 17.59% in a patient with diverticular colon disease. ×40.
Рис. 3. Относительная площадь экспрессии мотилина 65,57% у пациента с ДБТК. Ув. 40.
Fig. 3. The relative expression area of motilin is 65.57% in a patient with diverticular colon disease. ×40.
Обсуждение
Несмотря на широкое распространение и достаточно высокую заболеваемость ДБТК среди населения, ее патогенез до конца не изучен. В связи с этим особую научную ценность приобретает определение путей стимуляции экспрессии ВИП и мотилина в слизистой оболочке сигмовидной кишки у пациентов с ДБТК, что может быть одним из важных факторов предупреждения развития данной патологии, поскольку эти пептиды обеспечивают регулирование ЖКТ и других систем человеческого организма.
Настоящее исследование дает основание высказать предположение о том, что нарушенная моторная функция кишечника является одним из ведущих факторов развития ДБТК. В проведенном исследовании у пациентов с ДБТК клиническая картина проявлялась преимущественно запором. Вероятно, данная ассоциация напрямую связана со снижением экспрессии ВИП и мотилина, что сопровождается формированием гипотонуса ТК. Так, ВИП обладает миорелаксирующим эффектом на гладкие мышцы ЖКТ в результате активации вазоактивного интестинального полипептидного рецептора 2 (VPAC2) и соединения-1, активирующего прокаспазу (PAC1) [4], что обусловливает снижение перистальтики кишечника при уменьшенной продукции ВИП. В то же время ТК обладает высокой чувствительностью к мотилину, который выступает регулятором перистальтики органов пищеварения, а уменьшение его продукции способствует развитию запоров. Исследования показали, что именно сниженная моторная функция ТК, которая часто сопровождает течение ДБТК, может вызывать патологические паттерны кишечных сокращений, приводящие к зонам высокого давления и последующему формированию грыж слизистого/подслизистого слоя через предварительно сформированные loci minoris resistentiae (место наименьшего сопротивления). Однако неизвестно, происходят ли кишечные нервно-мышечные изменения последовательно до образования дивертикулов ТК или являются вторичными по отношению к воспалительным явлениям во время и после эпизодов дивертикулита.
Известно, что слизистая оболочка ЖКТ является крупнейшей иммунной системой в организме, которая регулируется нейрогуморальными пептидами. Так, ВИП обладает противовоспалительным эффектом, поддерживает иммунологическую толерантность и гомеостаз в кишечнике, а верифицированное нами снижение экспрессии при ДБТК может вносить существенных вклад как в развитие, так и в формирование осложнений данного заболевания. В иммунных клетках вазоактивный интестинальный полипептидный рецептор 1 (VPAC1) экспрессируется на Т-клетках, макрофагах, нейтрофилах, дендритных и тучных клетках [4]. Исследования свидетельствуют о том, что сильные противовоспалительные эффекты ВИП могут быть результатом подавления количества провоспалительных цитокинов и медиаторов, таких как фактор некроза опухоли α, интерлейкины 6 и 12, оксид азота и хемокины [4], увеличения выработки регуляторных Т-клеток, а также сдвига дифференцировки T-хелперов 1 на T-хелперы 2 [4]. Интересен тот факт, что ВИП обладает пролиферативным действием [6], ассоциированным с увеличением экспрессии мРНК моноклональных антител Ki-67 (MKI-67) и кластера гистонов 3, что сопровождает течение ДБТК [2, 3]. В то же время при воспалительных заболеваниях кишечника и внутрипросветном растяжении его стенки происходит подавление и снижение продукции рецепторов мотилина. Эти данные дают основание предположить наличие сложных патогенетических механизмов, связывающих воспалительный процесс в ТК с экспрессией ВИП и мотилина, что требует проведения дополнительных исследований.
Представленные в литературе результаты исследований показали, что сниженная перистальтика кишечника сопровождается увеличением времени кишечного транзита и стимулированием реабсорбции кишечного холестерина с последующим повышением его уровня в плазме крови [7, 8], что согласуется с полученными результатами настоящего исследования. В ряде исследований подтверждена выявленная связь между ИМТ и ДБТК и установлено, что ИМТ, окружность талии и соотношение талии и бедер значительно повышают риск развития ДБТК и ее осложнений [9]. Ткань висцерального жира обладает множеством функций, связывающих эндокринную и иммунную системы, с последующей секрецией цитокинов, которые могут играть ключевую роль в патогенезе ДБТК [9], с одной стороны. С другой стороны, значимую роль в регулировании аппетита и формировании чувства насыщения занимает ВИП, контролируя высвобождение анорексигенного глюкагоноподобного пептида-1 и панкреатического полипептида, которые в конечном итоге могут воздействовать на энергетический гомеостаз, массу и состав тела. В экспериментальном исследовании показано, что интрацеребровентрикулярные инъекции ВИП снижают потребление пищи, в то время как ожирение сопровождается уменьшением уровня концентрации ВИП. Низкая экспрессия ВИП ведет к повышению уровня глюкозы, инсулина, лептина, а также к изменению вкусовых предпочтений и увеличению потребления пищи сладкого вкуса. Интересен тот факт, что именно повышенное потребление глюкозы и усиленная секреция инсулина могут выступать одной из причин ингибирования высвобождения мотилина. Тем не менее необходимо проведение дополнительных исследований, которые позволят раскрыть взаимосвязь между секрецией ВИП и мотилина, метаболическим статусом и ДБТК.
Анализ данных настоящего исследования показал, что у пациентов с ДБТК значительно чаще встречалась ГЭРБ [10]. Ранее C. Campbell и соавт. выяснили, что пациенты со сниженной перистальтикой пищевода имеют значительно более высокую частоту и тяжесть ГЭРБ, чем пациенты с нормальной моторикой [11]. Помимо этого, известно, что ГЭРБ ассоциируется со сниженными значениями уровня мотилина [12], а ВИП посредством ингибирования гастрина способен регулировать секрецию желудочного сока. Обнаруженная нами ассоциация между ДБТК с желчнокаменной болезнью и НАЖБП может быть обусловлена высокой распространенностью метаболических нарушений у пациентов с ДБТК, поскольку ранее связь между жировым гепатозом, камнеобразованием и метаболическими нарушениями была подтверждена в многочисленных исследованиях. Вместе с тем длительный транзит пищевого комка по кишечнику может увеличить и риск образования желчных камней за счет усиления образования в просвете кишечника вторичных желчных кислот [7, 8]. У пациентов с холелитиазом отмечается ассоциация между нарушениями перистальтики кишечника и желчного пузыря, которые могут способствовать образованию камней в желчном пузыре [6]. Полученные нами данные находят подтверждение в исследовании J. Capron и соавт., где выявлена высокая распространенность камнеобразования в желчном пузыре у пациентов с ДБТК [13], так же как и в исследовании R. Kempiński и соавт. среди 558 пациентов с НАЖБП примерно у 23% верифицирована ДБТК [14].
Заключение
Таким образом, на основании проведенного исследования можно сделать вывод о том, что на развитие ДБТК влияет снижение экспрессии ВИП и мотилина в слизистой оболочке сигмовидной кишки. ДБТК ассоциирована с увеличением ИМТ, уровней холестерина, глюкозы, аланинаминотрансферазы и аспартатаминотрансферазы. Среди данной категории больных часто верифицируют желчнокаменную болезнь, НАЖБП и ГЭРБ. С этих позиций представляется важным определить роль ВИП и мотилина в возникновении и течении ассоциированных с ДБТК заболеваний пищеварительной системы.
Раскрытие интересов. Авторы декларируют отсутствие явных и потенциальных конфликтов интересов, связанных с публикацией настоящей статьи.
Disclosure of interest. The authors declare that they have no competing interests.
Вклад авторов. Авторы декларируют соответствие своего авторства международным критериям ICMJE. Все авторы в равной степени участвовали в подготовке публикации: разработка концепции статьи, получение и анализ фактических данных, написание и редактирование текста статьи, проверка и утверждение текста статьи.
Authors’ contribution. The authors declare the compliance of their authorship according to the international ICMJE criteria. All authors made a substantial contribution to the conception of the work, acquisition, analysis, interpretation of data for the work, drafting and revising the work, final approval of the version to be published and agree to be accountable for all aspects of the work.
Источник финансирования. Авторы декларируют отсутствие внешнего финансирования для проведения исследования и публикации статьи.
Funding source. The authors declare that there is no external funding for the exploration and analysis work.
Информированное согласие на публикацию. Пациенты подписали форму добровольного информированного согласия на публикацию медицинской информации.
Consent for publication. Written consent was obtained from the patients for publication of relevant medical information and all of accompanying images within the manuscript.
About the authors
Mikhail A. Osadchuk
Sechenov First Moscow State Medical University (Sechenov University)
Author for correspondence.
Email: osadchuk.mikhail@yandex.ru
ORCID iD: 0000-0003-0485-6802
д-р мед. наук, проф., зав. каф. поликлинической терапии Института клинической медицины им. Н.В. Склифосовского
Russian Federation, MoscowEkaterina D. Mironova
Sechenov First Moscow State Medical University (Sechenov University)
Email: osadchuk.mikhail@yandex.ru
ORCID iD: 0000-0003-3268-2408
канд. мед. наук, ассистент каф. поликлинической терапии Института клинической медицины им. Н.В. Склифосовского
Russian Federation, MoscowIuliia S. Krylova
Pavlov First Saint Petersburg State Medical University; Saint Petersburg State Research Institute of Phthisiopulmonology
Email: osadchuk.mikhail@yandex.ru
ORCID iD: 0000-0002-8698-7904
канд. мед. наук, ассистент каф. патологической анатомии с патологоанатомическим отделением ФГБОУ ВО «Первый СПб ГМУ им. акад. И.П. Павлова», ст. науч. сотр. ФГБУ «СПб НИИФ»
Russian Federation, Saint Petersburg; Saint PetersburgPavel V. Gulyaev
Sechenov First Moscow State Medical University (Sechenov University)
Email: osadchuk.mikhail@yandex.ru
ORCID iD: 0000-0001-7893-7715
д-р мед. наук, доц. каф. поликлинической терапии Института клинической медицины им. Н.В. Склифосовского
Russian Federation, MoscowRegina A. Akhtyamova
Sechenov First Moscow State Medical University (Sechenov University)
Email: osadchuk.mikhail@yandex.ru
ORCID iD: 0000-0002-7748-0845
студентка V курса Института клинической медицины им. Н.В. Склифосовского
Russian Federation, MoscowReferences
- Violi A, Cambiè G, Miraglia C, et al. Epidemiology and risk factors for diverticular disease. Acta Biomed. 2018;89(Suppl. 9):107-12. doi: 10.23750/abm.v89i9-S.7924
- Осадчук М.А., Свистунов А.А., Золотовицкая А.М., и др. Прогнозирование течения дивертикулярной болезни толстого кишечника при ее сочетании с аденоматозными полипами и раком кишечника в контексте клинико-инструментальных данных и экспрессии Ki-67 и α-SMA в слизистой оболочке кишечника. Медицинский вестник Северного Кавказа. 2019;14(4):609-14 [Osadchuk MA, Svistunov AA, Zolotovickaya AM, et al. Prediction of the course of diverticular disease in its combination with adenomatous polyps and colorectal cancer in the context of clinical and instrumental data and expression of Ki67 and α-SMA in the intestinal mucosa. Medical News of North Caucasus. 2019;14(4):609-14 (in Russian)]. doi: 10.14300/mnnc.2019.14152
- Осадчук М.А., Свистунов А.А., Золотовицкая А.М., и др. Дивертикулярная болезнь толстой кишки и ее ассоциация с полипами и колоректальным раком: клинико-инструментальное и иммуноморфологическое исследование. Медицинский вестник Северного Кавказа. 2020;15(1):52-7 [Osadchuk MA, Svistunov AA, Zolotovickaya AM, et al. Diverticular disease of the colon and its assotiation with polyps and colorectal cancer: A clinical, instrumental and immunomorphological study. Medical News of North Caucasus. 2020;15(1):52-7 (in Russian)]. doi: 10.14300/mnnc.2020.15011
- Iwasaki M, Akiba Y, Kaunitz JD. Recent advances in vasoactive intestinal peptide physiology and pathophysiology: Focus on the gastrointestinal system. F1000Res. 2019;8:F1000 Faculty Rev-1629. doi: 10.12688/f1000research.18039.1
- О Правилах проведения патологоанатомических исследований. Приказ Минздрава России от 24.03.2016 №179н. Режим доступа: http://ivo.garant.ru/#/document/71379748/paragraph/1/doclist/1999/1/0/0/О%20правилах%20проведения%20патологоанатомических%20исследований:1. Ссылка активна на 25.12.2023 [O Pravilakh provedeniia patologoanatomicheskikh issledovanii. Prikaz Minzdrava Rossii ot 24.03.2016 №179n. Available at: http://ivo.garant.ru/#/document/71379748/paragraph/1/doclist/1999/1/0/0/О%20правилах%20проведения%20патологоанатомических%20исследований:1. Accessed: 25.12.2023 (in Russian)].
- Khedr MEMS, Abdelmotelb AM, Bedwell TA, et al. Vasoactive intestinal peptide induces proliferation of human hepatocytes. Cell Prolif. 2018;51(5):e12482. doi: 10.1111/cpr.12482
- Вахрушев Я.М., Хохлачева Н.А. Факторы, способствующие образованию желчных камней, и их взаимодействие. Терапевтический архив. 2010;82(1):8-11 [Vahrushev YaM, Hohlacheva NA. Factors contributing to gallstone formation and their interaction. Terapevticheskii Arkhiv (Ter. Arkh.). 2010;82(1):8-11 (in Russian)].
- Свистунов А.А., Осадчук М.А., Миронова Е.Д., и др. Роль основных факторов риска и эндокринных клеток антрального отдела желудка, продуцирующих мотилин, в возникновении желчнокаменной болезни. Терапевтический архив. 2022;94(2):194-9 [Svistunov AA, Osadchuk MA, Mironova ED, et al. The role of the main risk factors and endocrine cells of the antrum of the stomach producing motilin in the occurrence of cholelithiasis. Terapevticheskii Arkhiv (Ter. Arkh.). 2022;94(2):194-9 (in Russian)]. doi: 10.26442/00403660.2022.02.201370
- Андреев Д.Н., Кучерявый Ю.А. Ожирение как фактор риска заболеваний пищеварительной системы. Терапевтический архив. 2021;93(8):954-62 [Andreev DN, Kucheryavyy YuA. Obesity as a risk factor for diseases of the digestive system. Terapevticheskii Arkhiv (Ter. Arkh.). 2021;93(8):954-62 (in Russian)]. doi: 10.26442/00403660.2021.08.200983
- Трухманов А.С., Ивашкина Н.Ю. Клиническое значение нарушений двигательной функции пищевода, желудка и двенадцатиперстной кишки. Терапевтический архив. 2019;91(8):127-34 [Trukhmanov AS, Ivashkina NYu. The clinical significance of disorders of the motor function of the esophagus, stomach and duodenum. Terapevticheskii Arkhiv (Ter. Arkh.). 2019;91(8):127-34 (in Russian)]. doi: 10.26442/00403660.2019.08.000390
- Campbell C, Levine MS, Rubesin SE, et al. Association between esophageal dysmotility and gastroesophaeal reflux on barium studies. Eur J Radiol. 2006;59(1):88-92. doi: 10.1016/j.ejrad.2006.02.002
- Deng Y, Pan L, Qian W. Associations between the severity of reflux esophagitis in children and changes in oxidative stress, serum inflammation, vasoactive intestinal peptide and motilin. Exp Ther Med. 2019;18(5):3509-13. doi: 10.3892/etm.2019.7978
- Capron JP, Piperaud R, Dupas JL, et al. Evidence for an association between cholelithiasis and diverticular disease of the colon: A case-controlled study. Dig Dis Sci. 1981;26(6):523-7. doi: 10.1007/BF01308101
- Kempiński R, Łukawska A, Krzyżanowski F, et al. Clinical outcomes of non-alcoholic fatty liver disease: Polish-case control study. Adv Clin Exp Med. 2019;28(12):1615-20. doi: 10.17219/acem/106173
Supplementary files






