Inflammation and myocardial fibrosis: is there a relation with left bundle branch block
- Authors: Rimskaya E.M.1, Stukalova O.V.1, Aparina O.P.1, Mironova N.A.1, Kuznetsova T.V.1, Chumachenko P.V.1, Golitsyn S.P.1
-
Affiliations:
- Chazov National Medical Research Center of Cardiology
- Issue: Vol 96, No 1 (2024): Outpatient care issues and organization of medical care
- Pages: 22-28
- Section: Original articles
- Submitted: 11.03.2024
- Accepted: 11.03.2024
- Published: 25.01.2024
- URL: https://ter-arkhiv.ru/0040-3660/article/view/628954
- DOI: https://doi.org/10.26442/00403660.2024.01.202575
- ID: 628954
Cite item
Full Text
Abstract
Aim. To assess myocardial changes during left bundle branch block (LBBB) in patients with dilated cardiomyopathy (DCM) and in structurally normal hearts.
Materials and methods. Seventy three patients with clinic-instrumental signs of DCM, were divided into 2 groups with LBBB (group 1; n=41) and without LBBB (group 2; n=32). Moreover, 15 patients with LBBB with no signs of structural heart diseases (group 3) and 10 healthy subjects were included in the study. Fibrosis assessment and the inflammation detection was performed by cardiovascular magnetic resonance (CMR). The inflammation in 15 patients from group 1 and 16 patients from group 2 was confirmed by endomyocardial biopsy (EMB). Moreover, the level of transforming growing factor β1was assessed in serum of all patients and healthy subjects (TGF-β1).
Results. The diffuse inflammatory process was defined in 46.7% cases of group 1 according to EMB data. The frequency of inflammation detection in groups 1 and 2 was comparable in EMB analyses (p=0,64) and CMR analyses (12,2% positive cases in group 1 vs 50% in group 2; p=0,18). The frequency of focal left ventricular fibrosis and intramural scar in the interventricular septum (“stria”) was also comparable in groups 1 and 2: 16 (39%) positive cases with focal fibrosis in group 1 versus 17 (53%) cases in group 2; p=0,35 and 6 (14,6%) cases with intramural scar in group 1 versus 7 (22%) in group 2; p=0,12. Patients from group 3 demonstrated no late gadolinium enhancement on CMR images but increased TGF-β1 level in the serum.
Conclusion. Focal myocardial fibrosis is not related to the LBBB. Patients with idiopathic LBBB are characterized by increased TGF-β1 level with no myocardial fibrosis. Diffuse inflammation in LBBB-DCM patients may contribute to the progression of systolic dysfunction but is not the reason for LBBB formation.
Full Text
Список сокращений
БЛНПГ – блокада левой ножки пучка Гиса
ВИ – взвешенное изображение
ДКМП – дилатационная кардиомиопатия
ЗД – здоровые добровольцы
ЛЖ – левый желудочек
МЖП – межжелудочковая перегородка
МРТ – магнитно-резонансная томография
ОК – отсроченное контрастирование
РК – раннее контрастирование
СН – сердечная недостаточность
ТФР-β1 – трансформирующий фактор роста β1
ЭМБ – эндомиокардиальная биопсия
Введение
За последние десятилетия электрокардиографический феномен блокады левой ножки пучка Гиса (БЛНПГ) стал привлекать к себе все больше внимания исследователей в связи с его этиопатогенетической ролью в развитии сердечной дисфункции при дилатационной кардиомиопатии (ДКМП) [1]. Высокая (почти 40% случаев) частота обнаружения БЛНПГ среди пациентов с ДКМП по сравнению со здоровыми молодыми лицами (от 0,1 до 0,8% у бессимптомных взрослых) [2, 3] не может не заставлять задуматься о причине, лежащей в основе ее возникновения при этом заболевании.
Существует несколько гипотез, объясняющих этиологию БЛНПГ у лиц с сердечной недостаточностью (СН). По одной из них повышение диастолического давления и увеличение давления наполнения левого желудочка (ЛЖ) могут приводить к нарушению коронарной перфузии субэндокардиальных слоев миокарда и способствовать формированию субэндокардиального фиброза ЛЖ, вовлекая расположенные субэндокардиально волокна левой ножки пучка Гиса [3]. В пользу этого свидетельствует наличие у 1/3 больных с ДКМП интрамурального фиброза в межжелудочковой перегородке (МЖП) по типу «стрии», выявляемого по данным «золотого стандарта» диагностики фиброзных изменений миокарда – магнитно-резонансной томографии (МРТ) сердца [4, 5].
С другой стороны, СН может сопровождаться воспалительными процессами, приводящими к фиброзированию и повреждению не только проводящей системы сердца с формированием БЛНПГ, но и рабочего миокарда в целом [1]. В пользу этого свидетельствуют новейшие данные, полученные при электрофизиологическом картировании проводящей системы сердца и предположившие этиологическую роль диффузного поражения миокарда ЛЖ, а именно диффузного фиброза, в формировании БЛНПГ [6].
Процессы фиброзирования миокарда регулируются трансформирующим фактором роста β1 (ТФР-β1), повышенные концентрации которого можно обнаружить при дилатационной, гипертрофической или ишемической кардиомиопатии [7, 8]. В то же время на сегодняшний день нет данных о взаимосвязи его повышенной концентрации с наличием фибротических изменений в миокарде как больных с ДКМП, так и больных с БЛНПГ.
Отсутствие в современной литературе сложившегося представления о причинах возникновения БЛНПГ и приведенные выше гипотезы послужили поводом для проведения настоящего исследования.
Материалы и методы
Обследованы 88 пациентов, которые в дальнейшем разделены на 4 группы. Клинико-инструментальные характеристики обследованных пациентов представлены в табл. 1.
Таблица 1. Клинико-инструментальные характеристики обследованной группы больных, включенных в исследование Table 1. Clinical and instrumental characteristics of the examined group of study patients | ||||||
Параметры | 1-я группа, ДКМП с БЛНПГ (n=41) | 2-я группа, ДКМП без БЛНПГ (n=32) | p (1–2) | 3-я группа, идиопатическая БЛНПГ (n=15) | 4-я группа, ЗД (n=10) | |
Средний возраст, лет | 47,7±7,1 | 35,4±11,3 | 0,26 | 39,3±11,0 | 32,5±8,3 | |
Мужской пол, абс. (%) | 19 (46,3) | 12 (37,5) | 0,22 | 8 (53,3) | 6 (60) | |
Ширина комплекса QRS, мс | 174,8±24,1 | 80±12,1 | – | 146,3±10,9 | 86±8,5 | |
СН, ФК (NYHA) | II–IV | II–IV | – | 0 | 0 | |
Данные ЭхоКГ | ФВ ЛЖ, % | 31,0±5,7 | 37±8,9 | 0,18 | ≥60 | ≥60 |
КДР ЛЖ, см | 7,1±1,0 | 6,6±0,8 | 0,16 | 4,8±0,5 | 4,8±0,4 | |
КСР ЛЖ, см | 6,1±0,8 | 5,5±1,5 | 0,11 | 3,5±0,5 | 3,1±0,4 | |
Терапия, абс. (%) | иАПФ/БАР/сакубитрил/валсартан | 41 (100) | 30 (93,8) | 0,74 | – | – |
β-Адреноблокаторы | 38 (92,7) | 32 (100) | 0,66 | – | – | |
Диуретики | 33 (80,5) | 26 (81,3) | 0,77 | – | – | |
АМР | 38 (92,7) | 28 (87,5) | 0,56 | – | – | |
Примечание. Данные представлены как М (±σ), как Ме [25; 75] или как число больных (в %); ФК – функциональный класс, ЭхоКГ – эхокардиография, ФВ – фракция выброса, КДР – конечно-диастолический размер, КСР – конечно-систолический размер, иАПФ – ингибиторы ангиотензинпревращающего фермента, БАР – блокаторы ангеотензиновых рецепторов, АМР – антагонисты минералкортикоидных рецепторов. | ||||||
В первые 2 группы (1-я группа; n=41 и 2-я группа; n=32) вошли 73 больных, данные клинико-инструментального обследования у которых соответствовали диагнозу ДКМП (наличие дилатированных камер сердца, снижение сократительной функции ЛЖ). На момент включения в исследование всем пациентам проводилась оптимальная медикаментозная терапия хронической СН согласно действующим рекомендациям [9].
В 1-ю группу (n=41; пациенты с ДКМП и БЛНПГ) включены пациенты с ДКМП и ЭКГ-признаками БЛНПГ. Вторую группу сформировали остальные (n=32) пациенты с ДКМП без признаков БЛНПГ. Кроме того, в исследование включены 15 больных (3-я группа, 8 мужчин и 7 женщин, средний возраст 39,3±11,0 года) со случайно выявленной на ЭКГ БЛПНГ, у которых в процессе клинико-инструментального обследования не обнаружено признаков органического заболевания сердечно-сосудистой системы, что позволило считать нарушения проводимости у пациентов этой группы идиопатическими.
Группу контроля (4-я группа) составили 10 здоровых добровольцев (ЗД), сопоставимых по половозрастным характеристикам с пациентами 3-й группы, у которых в процессе клинико-инструментального обследования не выявлено признаков органического заболевания сердечно-сосудистой системы и патологические изменения ЭКГ отсутствовали.
Согласно действующим клиническим рекомендациям [10] и в связи с подозрением на воспалительное поражение миокарда для верификации морфологического диагноза 31 пациенту 1 и 2-й групп выполнена эндомиокардиальная биопсия (ЭМБ). Обработку полученных образцов, гистологический анализ, иммуногистохимическую оценку присутствия иммунных клеток (CD3+, CD4+, CD8+, CD64+, CD45RO), а также количественный анализ фиброза миокарда в образцах проводили по ранее описанной методике [11].
Методика выполнения МРТ сердца с внутривенным контрастированием
МРТ сердца при синхронизации с ЭКГ и внутривенным контрастированием гадолиний-содержащим контрастным препаратом (Магневист, фирма Schering, Германия) выполнялась у пациентов всех трех исследуемых групп на сверхпроводящем магнитно-резонансном томографе Magnetom Avanto (Siemens, Германия) с напряженностью магнитного поля 1,5 Тл по ранее описанному протоколу с оценкой отека миокарда на Т2-взвешенных изображениях (ВИ), раннего контрастирования (РК) на Т1-ВИ и отсроченного контрастирования (ОК). Активный воспалительный процесс в миокарде диагностировался при наличии двух из трех перечисленных феноменов (Lake Louise Criteria) [12, 13].
Определение уровня цитокинов в сыворотке крови проводилось у пациентов всех групп. Исследование концентрации ТФР-β1 в сыворотке проводили стандартным непрямым иммуноферментным методом (ELISA) на планшетном фотометре Anthos-2020 (Anthos Labtec, Австрия) с помощью набора Human TGF-β1 Platinum ELISA (eDioscience – Bender Medsystems, США–Австрия). Результаты сопоставлены с референсными значениями диагностического набора.
Методы статистического анализа
Статистическая обработка полученных результатов включала методы описательной статистики: вычисление средних значений, стандартных отклонений, а также медианы, 25 и 75-го перцентилей в зависимости от нормальности распределения. Нормальность распределения оценивалась с помощью критерия Шапиро–Уилка (при n<50). Сравнение групп осуществлялось с помощью U-критерия Манна–Уитни, t-критерия Стьюдента, T-критерия Уилкоксона, точного критерия Фишера. Анализ номинальных переменных проводился с помощью критерия χ2 Пирсона, точного критерия Фишера. Для оценки меры связи номинальных использовался коэффициент сопряженности φ и коэффициент V Крамера, метод точечной бисериальной корреляции или метод Спирмена. Cтатистически значимыми считались различия при p<0,05. Ввод данных, их редактирование и статистический анализ осуществлялись с помощью статистических пакетов Statistica 8, SPSS 20.
Результаты
Результаты ЭМБ
ЭМБ выполнена 15 больным 1-й группы и 16 больным 2-й группы. Гистологические и иммуногистохимические изменения в эндомиокардиальных биоптатах больных с ДКМП сопоставлены в зависимости от наличия или отсутствия БЛНПГ (табл. 2).
Таблица 2. Сопоставление показателей данных ЭМБ у больных с ДКМП 1-й группы (с БЛНПГ) и 2-й группы (без БЛНПГ) Table 2. Comparison of endomyocardial biopsy (EMB) data in patients with dilated cardiomyopathy of group 1 (with left bundle branch block) and group 2 (without left bundle branch block) | ||||
Параметры | 1-я группа, ДКМП с БЛНПГ (n=15) | 2-я группа, ДКМП без БЛНПГ (n=16) | p | |
Данные ЭМБ | Гистологические характеристики | |||
Процент интерстициального фиброза в препарате | 28,1±12,8 | 22,7±0,7 | 0,35 | |
Степень гипертрофии кардиомиоцитов по трехбалльной шкале | 2,0±0,7 | 1,5±0,7 | 0,046 | |
Признаки активного миокардита, абс. (%) | 7 (46,7) | 8 (50) | 0,64 | |
Качественный и количественный состав клеток в инфильтрате | ||||
CD3+ (Т-клетки) | 0,04 | |||
CD4+ (Т-хелперы) | 0,07 | |||
CD8+ (Т-киллеры) | 0,24 | |||
CD68+ (макрофаги) | 0,17 | |||
CD45RO (активированные Т-клетки) | 2,0 [0; 3] | 0,33 | ||
Примечание. Данные представлены как М (±σ), как Ме [25;75] или как число больных (в %). Здесь и далее на рис. 2, 3: значение р<0,05 считалось статистически значимым. | ||||
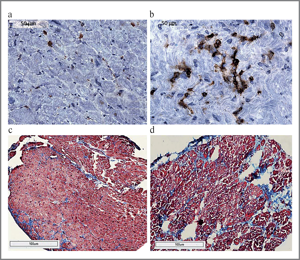
В ходе гистологического и иммуногистохимического анализов в обеих группах обнаружен сопоставимый процент больных с выявленным миокардиальным воспалением. Присутствие клеточной инфильтрации, соответствующее критериям миокардита [10], обнаружено в 7 (46,7%) случаях у больных с БЛНПГ (1-я группа) и в 8 (50%) случаях больных без БЛНПГ (2-я группа); p=0,64. Инфильтрация в биоптатах больных 1-й группы (ДКМП с БЛНПГ) во всех случаях имела диффузный характер без формирования очаговых клеточных скоплений и представлена в основном макрофагами. Отличительной особенностью клеточных инфильтратов у больных с БЛНПГ стало низкое количество CD3+ Т-клеток, что указывало на менее выраженную «остроту» воспаления в миокарде у пациентов этой группы (рис. 1, a). Этот признак вместе с более выраженной гипертрофией миокарда, возможно, указывает на значимую длительность и «хронизацию» патологического процесса в миокарде, что может вносить определенный вклад в прогрессирование патологического ремоделирования сердца у больных с БЛНПГ. Напротив, у 2 больных 2-й группы наблюдалось классическое очаговое поражение миокарда с массивными инфильтратами, представленными скоплением воспалительных клеток, в которых доминировали активированные Т-лимфоциты CD8+, CD45RO-клетки. Располагались данные инфильтраты по ходу интрамуральных сосудов и сопровождались отложением фибрина (рис. 1, b).
Рис. 1. Препараты ЭМБ больных с ДКМП: a, c – больные 1-й группы (ДКМП с БЛНПГ); b, d – больные 2-й группы (ДКМП без БЛНПГ); a, b – препараты ЭМБ, иммуногистохимически окрашенные на воспалительные (коричневый цвет) – CD3 Т-лимфоциты; a – в препарате присутствуют единичные клетки, b – очаговый клеточный инфильтрат. Ядра клеток докрашены гематоксилин-эозином; c, d – оценка интерстициального фиброза в препаратах ЭМБ, окрашенных по Массону. Синим обозначены участки интерстициального фиброза миокарда.
При сопоставлении степени интерстициального фиброза в исследуемых образцах биоптатов больных с БЛНПГ и без нее значимых различий выявить не удалось (28,1±12,8% у пациентов 1-й группы против 22,7±0,7% у больных 2-й группы от общей площади эндомиокардиального биоптата; p=0,35); рис. 1, c, d. Полученные результаты, вероятно, указывают на длительно протекающий патологический процесс, а также на хронический характер воспалительной клеточной реакции в миокарде больных с ДКМП и БЛНПГ, ведущий к значительному структурному ремоделированию в первую очередь самих кардиомиоцитов, а не интерстициального пространства.
Результаты МРТ
Данные МРТ сердца с контрастированием, выполненной у пациентов всех трех групп, представлены в табл. 3. Активный согласно Лейк-Луизским критериям [12, 13] воспалительный процесс выявлен в миокарде 5 (12,2%) больных 1-й группы и у 16 (50%) больных 2-й группы, не выявлялся у больных 3-й группы. Обнаружить соответствия результатов ЭМБ и МРТ в выявлении воспалительного поражения миокарда у больных 1 и 2-й групп в ходе корреляционного анализа не удалось, что, вероятно, связано как с чувствительностью Лейк-Луизских критериев воспаления, так и чувствительностью самого метода ЭМБ.
Таблица 3. Оценка результатов МРТ сердца по трем стандартным методикам, выполненной у больных всех трех исследуемых групп Table 3. Evaluation of cardiac MRI results using three standard methods in patients of all three study groups | ||||
1-я группа, ДКМП с БЛНПГ (n=41) | 2-я группа, ДКМП без БЛНПГ (n=32) | p (1–2) | 3-я группа, идиопатическая БЛНПГ (n=15) | |
Пациенты с признаками отека на Т2-ВИ, абс. (%) | 4 (12,2) | 12 (37,5) | 0,11 | 2 (13,3) |
Пациенты с феноменом РК, абс. (%) | 2 (4,8) | 8 (25) | 0,08 | 4 (26,6) |
Пациенты с наличием ОК, абс. (%) | 16 (39) | 17 (53) | 0,35 | 2 (13) |
Число пациентов с двумя и более положительными МРТ-феноменами (положительными Лейк-Луизскими критериями), абс. (%) | 5 (12,2) | 16 (50) | 0,18 | 0 |
Характеристика очагов фиброза в группах обследованных больных представлена на рис. 2.
Рис. 2. Характер очагов ОК по данным МРТ у обследованных больных.
При сопоставлении пациентов 1 и 2-й групп обнаруживался схожий характер очагов ОК (рис. 3). Так, интрамуральное поражение МЖП в виде «стрий» в группах пациентов с ДКМП с БЛНПГ и без БЛНПГ обнаружено в сопоставимом проценте случаев (рис. 3): в 6 (14,6%) случаях в 1-й группе и в 7 (22%) случаях во 2-й группе (p=0,12) и не обнаруживалось у пациентов с идиопатической БЛНПГ (3-я группа).
Рис. 3. Изображения МРТ с ОК, 4-камерная длинная ось ЛЖ: a, c – пациенты 1-й группы (ДКМП с БЛПНГ); b, d – пациенты 2-й группы (ДКМП без БЛНПГ); a, b – отмечается однотипное очаговое накопление контрастного препарата по типу «стрии» в МЖП (указано стрелками); c, d – пациенты без признаков очагового накопления контрастного препарата в миокарде.
Кроме того, пациенты 1 и 2-й групп также статистически значимо не различались по наличию субэпикардиальных очагов фиброза нижне-боковой локализации. Это позволяет предположить, что очаговый фиброз миокарда, в том числе локализованный в МЖП, не всегда является необходимым условием для формирования БЛНПГ как у пациентов с таким тяжелым органическим поражением сердца, как ДКМП, так и у больных без признаков органического поражения сердечно-сосудистой системы.
Исследование уровня ТФР-β1
При анализе уровня этого цитокина (рис. 4) наибольший процент пациентов со значительным превышением референсных значений обнаружен в 3-й группе, у больных с идиопатической БЛНПГ – 73,3% (11 случаев), что достоверно чаще, чем в 1 и 2-й группах (p=0,024 и 0,019 соответственно; см. рис. 4).
Рис. 4. Процент пациентов с уровнем ТФР-β1, превышающим референсные значения, в 1, 2 и 3-й группах.
Проведенный анализ продемонстрировал отсутствие связи повышенного уровня ТФР-β1 в сыворотке крови с фактом наличия фиброза как такового по данным МРТ (r=0,15 соответственно). Повышение уровня ТФР-β1 в сыворотке крови у больных с идиопатической БЛНПГ, возможно, отражает изолированное прогрессирующее фиброзирование проводящей системы сердца, недоступное для выявления современными методами визуализации.
Обсуждение
Научные исследования последних десятилетий привели к смене парадигмы представлений о БЛНПГ от простого электрокардиографического феномена до значимого диагностического критерия, влияющего на выбор стратегий лечения пациентов с СН и предопределяющего его результаты. Тесная патогенетическая связь между БЛНПГ и ДКМП привела к возникновению гипотезы о кардиомиопатии, индуцированной БЛНПГ, объясняющей обратимость систолической дисфункции у части пациентов [14, 15]. В то же время причина возникновения самой БЛНПГ по-прежнему остается неизвестной. В этой связи мы проанализировали наиболее вероятные потенциальные причины ее возникновения – воспаление и фиброз – с помощью ЭМБ и МРТ сердца. Несмотря на то, что уже в ходе анализа эндомиокардиальных биоптатов существенных отличий в степени интерстициального фиброза у больных с ДКМП при наличии и отсутствии БЛНПГ обнаружить не удалось, именно результаты МРТ сердца с ОК, полученные в нашем исследовании, позволили опровергнуть гипотезу о ключевой этиологической роли очагового фиброза миокарда в развитии БЛНПГ. Свидетельством тому является тот факт, что для лиц с идиопатической БЛНПГ (без клинико-инструментальных признаков структурного поражения сердца и нарушения систолической функции ЛЖ) характерно отсутствие значимого очагового фиброза по данным МРТ. Кроме того, среди пациентов с клиническими признаками ДКМП и БЛНПГ очаги ОК обнаружены в 39% случаев, что даже несколько реже, чем в группе ДКМП без БЛНПГ (53%). Более того, результатами данного исследования не обнаружено связи между описанным ранее «типичным» [4, 5] поражением МЖП по типу «стрии» и БЛНПГ. Отсутствие каких-либо отличительных особенностей, характерных для миокарда больных с БЛНПГ, позволяет предположить, что в формировании БЛНПГ принимают участие более тонкие ультраструктурные изменения, затрагивающие межклеточные контакты кардиомиоцитов как рабочего миокарда, так и проводящей системы.
Большая острота воспалительного процесса в миокарде, обнаруженная у пациентов с ДКМП без БЛНПГ, проявляющаяся классическими очаговыми клеточными инфильтратами, а также более высоким содержанием CD3+ Т-лимфоцитов в эндомиокардиальных биоптатах, вероятно, отражает исход активного воспалительного процесса в миокарде этой категории больных. Кроме того, именно у пациентов этой подгруппы чаще выявлялись положительные Лейк-Луизские критерии воспаления. В то же время у пациентов ДКМП с БЛНПГ инфильтрация во всех случаях имела диффузный характер без очаговых клеточных скоплений, тем не менее достигая критериев активного миокардита по данным ЭМБ в 46,7% случаев. Эти данные, возможно, являются следствием более продолжительного течения заболевания в таких случаях, а также указывают на хронический характер воспалительного процесса в миокарде, ведущий к прогрессирующему структурному ремоделированию миокарда и сердечной дисфункции, что подтверждает наблюдение, сделанное ранее A. Angelini и соавт. [16]. Необходимо отметить, что в рамках нашего исследования среди больных с ДКМП с БЛНПГ миокардит по данным МРТ выявлялся всего лишь в 12,2% случаев, что гораздо реже, чем по данным ЭМБ (46,7%). Эти результаты согласуются с данными об ограниченной чувствительности МРТ при так называемом аритмическом варианте миокардита, для которого характерны более низкие проявления некроза и апоптоза [12, 13, 17].
С учетом известной роли ТФР-β1 в регуляции фибротических процессов нами проведена попытка выявить взаимосвязь его повышенной концентрации в периферической крови и выраженности фиброза миокарда. Однако при анализе уровня этого цитокина наибольший процент пациентов со значительным превышением референсных значений показателя обнаружен именно в группе больных с идиопатической БЛНПГ, где фиброз миокарда чаще отсутствовал либо имел минимальные проявления. ТФР-β1 является хорошо известным регулятором многих процессов миокардиального ремоделирования, его повышенный уровень определяет обусловленный воспалением фиброз [18]. Можно предположить, что повышение этого маркера у пациентов с идиопатической БЛНПГ может быть свидетельством изолированного фиброзирования проводящей системы сердца, как это описывали в своих классических работах в 1960-х годах J. Lenegre и M. Lev [19, 20].
Заключение
Очаговый фиброз МЖП не является фактором развития БЛНПГ как у больных с уже имеющейся систолической дисфункцией ЛЖ, так и у больных с сохранной насосной функцией сердца. Пациенты с «идиопатической» БЛНПГ отличаются повышенной концентрацией ТФР-β1 в сыворотке крови, что обнаруживается при полном отсутствии фиброзных изменений миокарда. Можно предположить, что повышенная концентрация ТФР-β1 является отражением необходимых для формирования БЛНПГ тонких ультраструктурных изменений как клеток проводящей системы сердца, так и рабочего миокарда. Выявляемые в ряде случаев данными ЭМБ признаки диффузного воспалительного процесса у пациентов с ДКМП и БЛНПГ, вероятно, также вносят свой вклад в прогрессирование систолической дисфункции у этих больных, но не могут в полной мере рассматриваться в качестве непосредственной причиной возникновения БЛНПГ при ДКМП.
Раскрытие интересов. Авторы декларируют отсутствие явных и потенциальных конфликтов интересов, связанных с публикацией настоящей статьи.
Disclosure of interest. The authors declare that they have no competing interests.
Вклад авторов. Авторы декларируют соответствие своего авторства международным критериям ICMJE. Все авторы в равной степени участвовали в подготовке публикации: разработка концепции статьи, получение и анализ фактических данных, написание и редактирование текста статьи, проверка и утверждение текста статьи.
Authors’ contribution. The authors declare the compliance of their authorship according to the international ICMJE criteria. All authors made a substantial contribution to the conception of the work, acquisition, analysis, interpretation of data for the work, drafting and revising the work, final approval of the version to be published and agree to be accountable for all aspects of the work.
Источник финансирования. Авторы декларируют отсутствие внешнего финансирования для проведения исследования и публикации статьи.
Funding source. The authors declare that there is no external funding for the exploration and analysis work.
Информированное согласие на публикацию. Пациенты подписали форму добровольного информированного согласия на публикацию медицинской информации.
Consent for publication. Written consent was obtained from the patient for publication of relevant medical information and all of accompanying images within the manuscript.
About the authors
Elena M. Rimskaya
Chazov National Medical Research Center of Cardiology
Author for correspondence.
Email: eleno4ka_g@mail.ru
ORCID iD: 0000-0002-0063-5474
кандидат медицинских наук, ст. научный сотрудник отд. клинической электрофизиологии и рентгенхирургических методов лечения нарушений ритма сердца
Russian Federation, MoscowOlga V. Stukalova
Chazov National Medical Research Center of Cardiology
Email: eleno4ka_g@mail.ru
ORCID iD: 0000-0001-8377-2388
кандидат медицинских наук, ст. научный сотрудник отд. томографии
Russian Federation, MoscowOlga P. Aparina
Chazov National Medical Research Center of Cardiology
Email: eleno4ka_g@mail.ru
ORCID iD: 0000-0002-4414-698X
кандидат медицинских наук, научный сотрудник отд. клинической электрофизиологии и рентген-хирургических методов лечения нарушений ритма сердца
Russian Federation, MoscowNataliia A. Mironova
Chazov National Medical Research Center of Cardiology
Email: eleno4ka_g@mail.ru
ORCID iD: 0000-0002-2374-3718
кандидат медицинских наук, ст. научный сотрудник отд. клинической электрофизиологии и рентген-хирургических методов лечения нарушений ритма сердца
Russian Federation, MoscowTatiana V. Kuznetsova
Chazov National Medical Research Center of Cardiology
Email: eleno4ka_g@mail.ru
ORCID iD: 0000-0001-5403-3885
кандидат медицинских наук, ст. научный сотрудник лаб. нейрогуморальной регуляции сердечно-сосудистых заболеваний
Russian Federation, MoscowPetr V. Chumachenko
Chazov National Medical Research Center of Cardiology
Email: eleno4ka_g@mail.ru
кандидат медицинских наук, ст. научный сотрудник лаб. патоморфологии сердечно-сосудистых заболеваний
Russian Federation, MoscowSergey P. Golitsyn
Chazov National Medical Research Center of Cardiology
Email: eleno4ka_g@mail.ru
ORCID iD: 0000-0001-9913-9974
доктор медицинских наук, профессор, рук. отд. клинической электрофизиологии и рентген-хирургических методов лечения нарушений ритма сердца
Russian Federation, MoscowReferences
- Римская Е.М., Миронова Н.А., Соколов С.Ф., Голицын С.П. Блокада левой ножки пучка Гиса – дилатационная кардиомиопатия – сердечная недостаточность: общие звенья замкнутой цепи патогенеза. Кардиология. 2023;63(2):68-76 [Rimskaya EM, Mironova NA, Sokolov SF, Golitsyn SP. Left bundle branch block – dilated cardiomyopathy – heart failure: common links in the closed pathogenetic chain. Kardiologiia. 2023;63(2):68-76 (in Russian)]. doi: 10.18087/cardio.2023.2.n1773
- Kuhn H, Breithardt G, Knieriem HJ, et al. Prognosis and possible presymptomatic manifestations of congestive cardiomyopathy (COCM). Postgraduate Medical Journal. 1978;54(633):451-61. doi: 10.1136/pgmj.54.633.45
- Blanc JJ, Fatemi M, Bertault V, et al. Evaluation of left bundle branch block as a reversible cause of non-ischaemic dilated cardiomyopathy with severe heart failure. A new concept of left ventricular dyssynchrony-induced cardiomyopathy. Europace. 2005;7(6):604-10. doi: 10.1016/j.eupc.2005.06.005
- Leyva F, Foley PW, Chalil S, et al. Cardiac resynchronization therapy guided by late gadolinium-enhancement cardiovascular magnetic resonance. J Cardiovasc Magn Reson. 2011;13(1):29. doi: 10.1186/1532-429X-13-29
- Gulati A, Jabbour A, Ismail TF, et al. Association of fibrosis with mortality and sudden cardiac death in patients with nonischemic dilated cardiomyopathy. JAMA. 2013;309(9):896-908. doi: 10.1001/jama.2013.1363
- Upadhyay GA, Cherian T, Shatz DY, et al. Intracardiac Delineation of Septal Conduction in Left Bundle-Branch Block Patterns: Mechanistic Evidence of Left Intrahisian Block Circumvented by His Bundle Pacing. Circulation. 2019;139(16):1876-88. doi: 10.1161/CIRCULATIONAHA.118.038648
- Khan R, Sheppard R. Fibrosis in heart disease: understanding the role of transforming growth factor-beta in cardiomyopathy, valvular disease and arrhythmia. Immunology. 2006;118(1):10-24. doi: 10.1111/j.1365-2567.2006.02336.x
- Nattel S. Molecular and cellular mechanisms of atrial fibrosis in atrial fibrillation. JACC Clin Electrophysiol. 2017;3(5):425-35. doi: 10.1016/j.jacep.2017.03.002
- Российское кардиологическое общество (РКО). Хроническая сердечная недостаточность. Клинические рекомендации. 2020. Российский кардиологический журнал. 2020;25(11):4083 [Russian Society of Cardiology (RSC). 2020 Clinical practice guidelines for Chronic heart failure. Russian Journal of Cardiology. 2020;25(11):4083 (in Russian)]. doi: 10.15829/1560-4071-2020-4083
- Арутюнов Г.П., Палеев Ф.Н., Моисеева О.М., Миокардиты у взрослых. Клинические рекомендации 2020. Российский кардиологический журнал. 2021;26(11):4790 [Arutyunov GP, Paleev FN, Moiseeva OM, et al. 2020 Clinical practice guidelines for Myocarditis in adults. Russian Journal of Cardiology. 2021;26(11):4790 (in Russian)]. doi: 10.15829/1560-4071-2021-4790
- Гупало Е.М., Миронова Н.А., Рогова М.М., и др. Исследование клинико-инструментальных и морфологических показателей, а также экспрессии Коксаки-аденовирусного рецептора у больных воспалительными заболеваниями миокарда. Кардиология. 2014;54(5):8-15 [Gupalo EM, Mironova NA, Rogova MM, et al. Assessment of Clinical-Instrumental, Morphological Data and Expression of Coxsackie Adenovirus Receptor in Patients With Inflammatory Cardiac Pathology. Kardiologiia. 2014;54(5):8-15 (in Russian)]. doi: 10.18565/cardio.2014.5.8-15
- Friedrich MG, Sechtem U, Schulz-Menger J, et al. Cardiovascular magnetic resonance in myocarditis: A JACC white paper. J Am Coll Cardiol. 2009;53:1475-87. doi: 10.1016/j.jacc.2009.02.007
- Стукалова О.В., Гупало Е.М., Чумаченко П.В., и др. Возможности магнитно-резонансной томографии в диагностике миокардита с различным клиническим течением. Терапевтический архив. 2019; 91(4):28-36 [Stukalova OV, Gupalo EM, Chumachenko PV, et al. The value of cardiovascular magnetic resonance in myocarditis withdifferent clinical presentation. Terapevticheskii Arkhiv (Ter. Arkh). 2019;91(4):28-36 (in Russian)]. doi: 10.26442/00403660.2019.04.000078
- Sze E, Daubert JP. Left bundle branch block-induced left ventricular remodeling and its potential for reverse remodeling. J Interv Card Electrophysiol. 2018;52(3):343-52. doi: 10.1007/s10840-018-0407-2
- Blanc JJ, Fatemi M, Bertault V, et al. Evaluation of left bundle branch block as a reversible cause of non-ischaemic dilated cardiomyopathy with severe heart failure. A new concept of left ventricular dyssynchrony-induced cardiomyopathy. Europace. 2005;7(6):604-10. doi: 10.1016/j.eupc.2005.06.005
- Angelini A, Calzolari V, Calabrese F, et al. Myocarditis mimicking acute myocardial infarction: role of endomyocardial biopsy in the differential diagnosis. Heart. 2000;84:245-50. doi: 10.1136/heart.84.3.245
- Francone M, Chimenti C, Galea N, et al. CMR sensitivity varies with clinical presentation and extent of cell necrosis in biopsy-proven acute myocarditis. JACC Cardiovasc Imaging. 2014;7:254-63. doi: 10.1016/j.jcmg.2013.10.011
- Yu Q, Horak K, Larson DF. Role of T lymphocytes in hypertension-induced cardiac extracellular matrix remodeling. Hypertension. 2006;48(1):98-104. doi: 10.1161/01.HYP.0000227247.27111.b2
- Lenegre J. Etiology and pathology of bilateral bundle branch block in relation to complete heart block. Prog Cardiovasc Dis. 1964;6:409-44. doi: 10.1016/s0033-0620(64)80001-3
- Lev M. The pathology of complete atrioventricular block. Prog Cardiovasc Dis. 1964;6:317-26. doi: 10.1016/s0033-0620(64)80005-0
Supplementary files






