Modern concept of differential diagnosis of colitis: from G.F. Lang to the present day. A review
- Authors: Parfenov A.I.1, Kagramanova A.V.1,2, Khomeriki S.G.1, Kulakov D.S.1,2
-
Affiliations:
- Loginov Moscow Clinical Scientific Center
- Research Institute of Healthcare Organization and Medical Management
- Issue: Vol 95, No 12 (2023)
- Pages: 1022-1030
- Section: Reviews
- Submitted: 26.12.2023
- Accepted: 26.12.2023
- Published: 28.12.2023
- URL: https://ter-arkhiv.ru/0040-3660/article/view/625315
- DOI: https://doi.org/10.26442/00403660.2023.12.202496
- ID: 625315
Cite item
Full Text
Abstract
The aim of the article is to improve the differential diagnosis of specific and nonspecific inflammatory bowel diseases. In Russia, this scientific direction is associated with the name of G.F. Lang, who performed in 1901–1902 the study „On ulcerative inflammation of the large intestine caused by balantidiasis“. The etiology of specific colitis is associated with infection with parasites, bacteria and viruses that cause inflammation of the intestinal wall, diarrhea, often with an admixture of mucus, pus and blood. Specific colitis (SC) may be accompanied by fever, abdominal pain, and tenesmus. Bacterial colitis is commonly caused by Salmonella, Shigella, Escherichia coli, Clostridium difficile, Campylobacter jejuni, Yersinia enterocolitica, and Mycobacterium tuberculosis. Viral colitis is caused by rotavirus, adenovirus, cytomegalovirus, and norovirus. Parasitic colitis can be caused by Entamoeba histolytica and balantidia. In gay people, SC can cause sexually transmitted infections: Neisseria gonorrhoeae, Chlamydia trachomatis, and treponema pallidum, affecting the rectum. Stool microscopy, culture, and endoscopy are used to establish the diagnosis. Stool culture helps in the diagnosis of bacterial colitis in 50% of patients, and endoscopic studies reveal only nonspecific pathological changes. Differential diagnosis of SC should be carried out with immune-inflammatory bowel diseases (ulcerative colitis, Crohn's disease, undifferentiated colitis), radiation colitis and other iatrogenic bowel lesions. The principles of diagnosis and therapy of inflammatory bowel diseases associated with various etiological
Full Text
Список сокращений
БК – болезнь Крона
ВЗК – воспалительные заболевания кишечника
ГК – геморрагический колит
ИК – ишемический колит
НПВП – нестероидные противовоспалительные препараты
ПМК – псевдомембранозный колит
Введение
Первые научные исследования воспалительных заболеваний кишечника (ВЗК) в России связаны с именем выдающегося интерниста Георгия Федоровича Ланга. Одно из ранних его научных исследований «О язвенном воспалении толстых кишок, вызванном балантидиазом» выполнено в 1901–1902 гг. в клинике факультетской терапии Военно-медицинской академии, возглавляемой учеником Сергея Петровича Боткина профессором Михаилом Владимировичем Яновским. Эта работа заложила основы дифференциальной диагностики ВЗК в России. В 1896 г. Василий Парменович Образцов предложил разделять воспалительные процессы в кишечнике на колиты и энтериты, описал их основные дифференциально-диагностические критерии. В 1924 г., уже после его смерти, вышла его книга «Болезни желудка, кишок и брюшины», где он представил классификацию энтеритов и колитов в зависимости от этиологических факторов, к которым относил различные токсические вещества, микробы, расстройства секреции желудка, поджелудочной железы, патологию органов внутренней секреции, амилоидоз [1].
В 1913 г. на XIII Съезде российских хирургов А.С. Казаченко – сотрудник клиники военно-полевой хирургии Военно-медицинской академии, которой руководил профессор Владимир Андреевич Оппель, – предложил термин «неспецифический язвенный колит», противопоставив его терминам «дизентерия», «амебиаз» и «туберкулез толстой кишки», т.е. поражениям толстой кишки известной этиологии. Синонимами «неспецифического язвенного колита» являлись «геморрагический ректоколит», «тяжелый язвенный колит», «идиопатический язвенный колит», «хронический тромбоязвенный колит», «криптогенный язвенный ректоколит», которые ранее встречались в литературе.
В начале 2000-х годов диффузное язвенно-воспалительное поражение толстой кишки стали обозначать термином «язвенный колит». В названии этой патологии перестали употреблять термин «неспецифический». Между тем термин «неспецифический» отражает суть проблемы иммуновоспалительного поражения толстой кишки, неслучайно он долгие годы широко использовался как в русской, так и зарубежной медицинской литературе вплоть до середины 1990-х годов [2, 3]. Возникает вопрос – насколько это правомочно и оправданно?
Понятие «специфичность» широко употребляется в социологии, психологии, биологии, статистике и имеет многообразные смыслы, которые в конечном итоге сводятся к понятиям «точность» и «однозначность». В медицине, преимущественно в иммунологии и микробиологии, это понятие указывает на причинно-следственные связи и отношения между микро- и макроорганизмом. В статье «специфичность» мы рассматриваем максимально целостно, как характерную гистологическую трансформацию в тканях, характерные лабораторные изменения, которые возникают и присущи воздействию определенного микробиологического агента со свойственной только ему антигенной структурой, тем самым определяя специфику патологического процесса. Таким образом, выявленные специфические лабораторные и/или гистологические изменения позволяют точно установить и сформулировать диагноз и назначить своевременную и адекватную терапию.
Гистологическое исследование в диагностике воспаления кишечника
В настоящее время не существует общепринятых классификаций гистологических паттернов, обнаруживаемых в биоптатах толстой кишки у пациентов с острым колитом, хотя можно выделить 2 основных паттерна в зависимости от механизмов заболевания: воспалительный и ишемический. Инфильтрация слизистой оболочки толстой кишки воспалительными клетками характеризует воспалительный компонент, тогда как гипоперфузия объясняет ишемический генез гистологических изменений. Снижение перфузии может быть результатом нарушения кровообращения или воспалительного/токсического повреждения эндотелия с окклюзионными фибриновыми тромбами или без них. Последнее может быть связано с различной степенью воспаления. Следовательно, эти паттерны не являются взаимоисключающими.
При остром воспалении толстой кишки собственная пластинка часто отечна со смешанными воспалительно-клеточными инфильтратами и обильными нейтрофилами, которые инфильтрируют эпителий крипт (активный криптит), образуя крипт-абсцессы, что приводит к их разрушению и изъязвлению слизистой оболочки. Могут наблюдаться кровоизлияния в собственную пластинку. Далее в течение 2–3 нед количество нейтрофилов уменьшается, а плазматические клетки и эозинофилы рекрутируются в собственную пластинку. Одной из разновидностей острого повреждения кишечника является самокупирующееся воспаление.
В группу ВЗК известной этиологии входят острые инфекционные энтериты/колиты, паразитарные, протозойные болезни кишечника и лучевой колит (табл. 1).
Таблица 1. Классификация колитов Table 1. Colitis classification | |
Специфические колиты | Неспецифические колиты |
Туберкулезный колит | Язвенный колит |
Цитомегаловирусный колит | БК в форме колита |
Псевдомембранозный колит, ассоциированный с Clostridioides difficile | Микроскопический колит |
Протозойный колит (амебиаз, балантидиаз) | |
Инфекционный колит (сальмонеллез, шигеллез, иерсиниоз, холера) | |
ИК | |
Лучевой (радиационный) колит | |
Нейтропенический колит | |
Иммуноопосредованный колит | |
Токсический, или лекарственный, колит (НПВП-ассоциированная колопатия) | |
COVID-19-ассоциированное поражение кишечника | |
Паттерн острого колита в такой ситуации в первую очередь связан с инфекциями и лекарственными повреждениями, которые вызывают ограниченные повреждения и спонтанно разрешаются после удаления возбудителя или отмены лекарственного препарата. По этой причине термины «острый колит» и «острый самокупирующийся колит» часто взаимозаменяемы, хотя последний неточно отражает клиническую эволюцию заболевания. Некоторые варианты острого колита сохраняются в течение нескольких недель или месяцев, особенно если этиологический фактор невозможно устранить быстро. Кроме того, термин «самокупирующийся» подразумевает, что повреждение легкой степени и лечение может не понадобиться, что не всегда правильно.
Инфекционный колит вызывают пищевые и бактериальные патогены. Заражение возбудителями пищевого происхождения обычно происходит при употреблении загрязненных молочных, мясных и рыбных продуктов. К таким микроорганизмам относятся Campylobacter, Salmonella, Escherichia coli O157:H7, вирус Коксаки, вирус Norwalk, ротавирус, энтеровирус и аденовирус [4]. Большинство инфекционных агентов вызывает очаговый колит и реже – диффузный панколит. Возбудители непищевого происхождения включают Shigella, Yersinia. Хотя может быть вовлечена любая часть толстой кишки, для инфекционных колитов, вызванных определенными микроорганизмами, характерна определенная локализация. Поражение преимущественно проксимального отдела толстой кишки вызывают Campylobacter, Salmonella, Yersinia, туберкулез и амебиаз [5]. Инфекции, передаваемые половым путем, такие как герпес-вирус, гонорея, сифилис и венерическая лимфогранулема, обычно вызывают проктит, в некоторых случаях с распространением в дистальный отдел сигмовидной кишки.
Дифференциальная диагностика острого колита известной этиологии и иммуновоспалительных заболеваний кишечника
Острый колит легко отличить от ВЗК с ранним началом, если биопсию берут вскоре после появления начальных симптомов. Однако большинству пациентов не проводят колоноскопию на ранних стадиях заболевания, биопсию слизистой оболочки выполняют только у пациентов с атипичными проявлениями или у тех, кто не реагирует на антибактериальную терапию. В этой ситуации образцы тканей часто содержат плазматические клетки, эозинофилы и макрофаги в сочетании с небольшим количеством нейтрофилов, что может затруднить отличение острого колита от ранней стадии ВЗК. Разрешение этой диагностической дилеммы, как правило, возможно, когда гистологические данные интерпретируются в свете клинической информации, изложенной в табл. 2.
Таблица 2. Дифференциально-диагностические признаки болезней толстой кишки Table 2. Differential diagnostic signs of colon diseases | |||||||||||||||
Данные анамнеза, симптомы, характеристика | Болезни | ||||||||||||||
Язвенный колит | Гранулематозный колит (БК) | Микроскопический (коллагеновый) колит | Псевдомембранозный колит | Лучевой (радиационный) колит | Колит/энтерит, ассоциированный с SARS-CoV-2 | ИК | Туберкулезный колит | Цитомегаловирусный колит | Нейтропенический колит (тифлит) | Протозойный колит (амебиаз, балантидиаз) | Инфекционный колит (сальмонеллез, шигеллез, иерсиниоз, холера) | Иммуноопосредованный колит | Токсический, или лекарственный, колит (НПВП-ассоциированная колопатия) | ||
Указание на прием лекарственных препаратов определенной группы | - | - | - | + | - | - | ± | - | - | ± | - | - | + | + | |
Начало болезни | острое | ± | ± | - | + | - | ± | ± | ± | ± | ± | ± | + | ± | ± |
постепенное | ± | ± | + | - | + | + | ± | + | + | + | ± | ± | + | + | |
Боль | постоянная | ± | ± | ± | - | ± | - | - | - | - | - | - | ± | ± | - |
приступообразная | - | ± | - | - | - | - | ± | - | - | - | ± | ± | - | - | |
Потеря в весе | ± | ± | - | + | + | ± | ± | + | - | - | - | + | - | + | |
Лихорадка | 37,5°C и выше | + | + | ± | + | ± | ± | ± | ± | ± | ± | ± | + | ± | ± |
Понос | скудный | ± | ± | ± | - | + | ± | - | - | - | ± | ± | ± | - | |
обильный | ± | ± | ± | + | - | ± | ± | ± | ± | ± | + | + | - | - | |
Запор | - | - | - | - | ± | - | ± | - | - | - | - | - | - | - | |
Симптомы раздражения брюшины | ± | ± | - | - | - | - | ± | - | - | - | - | - | - | - | |
Признаки кишечной непроходимости | ± | ± | - | - | ± | - | ± | - | - | - | - | - | - | - | |
Кишечные кровотечения | ± | ± | - | - | ± | - | ± | ± | ± | ± | ± | ± | ± | ± | |
Видимая перистальтика (валы) | ± | ± | - | ± | - | - | ± | - | - | - | - | ± | - | - | |
Шум плеска при пальпации слепой кишки | ± | ± | + | + | ± | - | ± | - | - | - | - | - | - | - | |
Инфильтрат в брюшной полости | - | + | - | - | - | - | - | ± | - | - | - | - | - | - | |
Перфорация, образование свищей | ± | ± | - | ± | ± | - | - | ± | - | ± | - | ± | - | - | |
Внекишечные поражения | ± | ± | - | - | - | - | - | - | - | - | - | - | - | - | |
Анемия | + | ± | - | - | - | ± | ± | ± | ± | ± | ± | ± | ± | ± | |
Лейкоцитоз, ускоренная СОЭ | + | + | - | + | ± | ± | ± | ± | ± | - | ± | + | - | - | |
Специфические лабораторные маркеры | ± | ± | - | + | - | + | - | + | + | - | + | + | - | - | |
Характерные рентгенологические признаки | + | + | - | - | - | - | - | + | - | ± | - | - | - | - | |
Характерные эндоскопические признаки | ± | ± | - | + | + | - | + | + | - | ± | - | - | - | - | |
Характерные гистологические признаки | ± | о/м | - | - | ± | - | + | + | - | ± | + | - | - | - | |
Примечание. «-» – Признак не характерен, «±» – признак встречается нерегулярно, «+» – признак характерен для данного заболевания, о/м – признак выявляется по данным исследования операционного материала. | |||||||||||||||
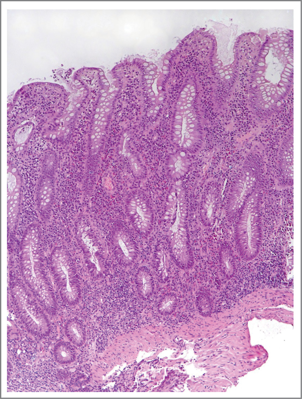
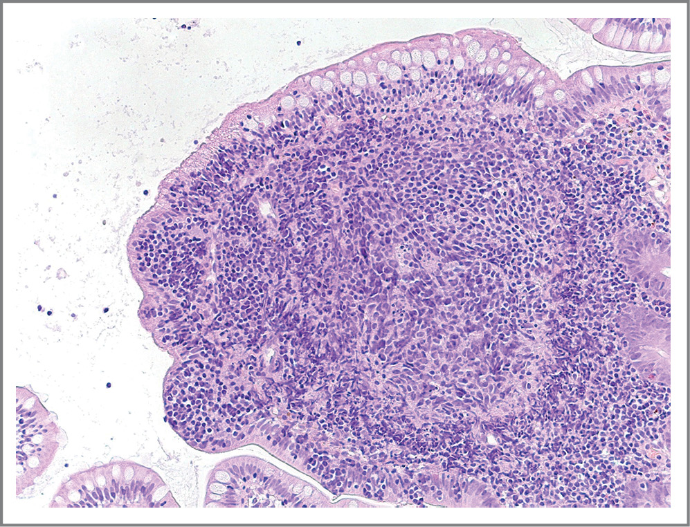
Даже на ранних стадиях язвенный колит характеризуется плотным, трансмукозным, богатым плазматическими клетками воспалением собственной пластинки с ремоделированием крипт (рис. 1).
Рис. 1. Ранние стадии язвенного колита. Деформация крипт, снижение количества бокаловидных клеток, участки базального плазмоцитоза. Клетки густого воспалительного инфильтрата не распространяются за пределы собственной пластинки слизистой оболочки. Окраска гематоксилином и эозином. ×120.
Fig. 1. Early stages of ulcerative colitis. Crypt deformation, decreased number of glass cells, basal plasmocytosis. Dense inflammatory infiltration cells do not spread beyond the mucous membrane’s own plate. Hematoxylin and eosin coloration. ×120.
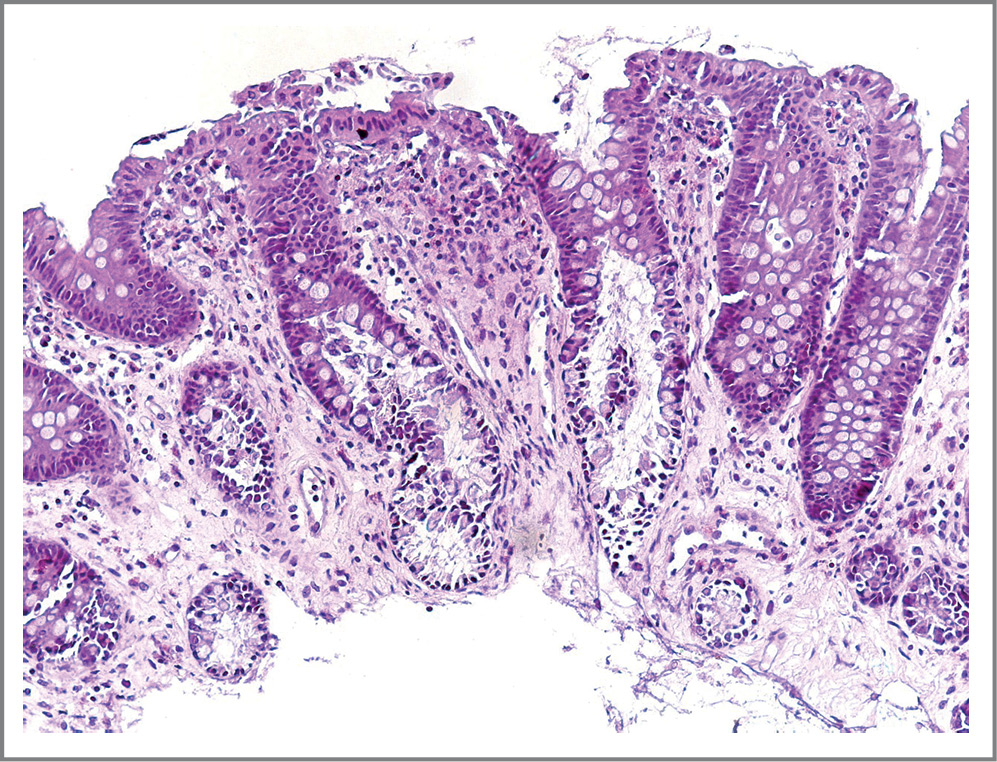
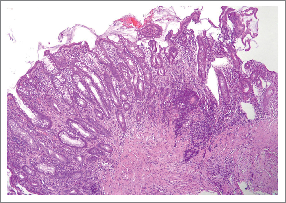
Дифференциальная диагностика острого колита инфекционной этиологии и болезни Крона (БК) гораздо сложнее. Salmonella и Yersinia в первую очередь поражают илеоцекальную область и аппендикс, тем самым имитируя БК. Подобно колиту Крона острый колит любой этиологии часто проявляется очаговым поражением слизистой оболочки толстой кишки. С другой стороны, колит Крона часто вызывает непоследовательные изменения архитектуры крипт, а гранулемы обычно отсутствуют (рис. 2).
Рис. 2. БК с поражением толстой кишки. Очаговые изменения архитектоники кишечных крипт и очаговый характер воспалительной инфильтрации с распространением клеток инфильтрата в подслизистый слой. Гранулемы в слизистой оболочке обычно отсутствуют. Окраска гематоксилином и эозином. ×120.
Fig. 2. Crohn’s colon disease. Focal changes in the archtectonics of the intestinal crypt and the focal character of inflammatory infiltration with the spread of infiltration cells into the submicular layer. Granules in the mucous membrane are usually absent. Coloration with hematoxylin and eosin. ×120.
Признаки, свидетельствующие в пользу диагноза острого колита, а не БК, включают наличие непропорционально большего количества нейтрофилов в собственной пластинке, нежели в криптах, и воспаление толстой кишки, не сопровождающееся поражением подвздошной кишки. Известно, что нестероидные противовоспалительные препараты (НПВП) могут вызывать острый илеит и/или колит с эрозиями и язвами, подобными тем, которые наблюдаются при БК [6, 7]. Единичные язвы в слепой кишке и восходящей ободочной кишке, окруженные нормальной слизистой оболочкой, обычно наблюдаются при НПВП-ассоциированном поражении, хотя может быть поражен любой сегмент толстой кишки. Очаговый нейтрофильный криптит, апоптоз эпителия крипт, увеличение числа межэпителиальных лимфоцитов и регенеративные изменения могут присутствовать в различных сочетаниях, тогда как плазматические клетки и лимфоциты в собственной пластинке встречаются редко. Явные регенеративные изменения крипт и пилорическая метаплазия обычно отсутствуют при НПВП-ассоциированном колите, за исключением случаев, когда пациенты получают длительное время высокие дозы НПВП.
Гистологическая характеристика острого инфекционного колита
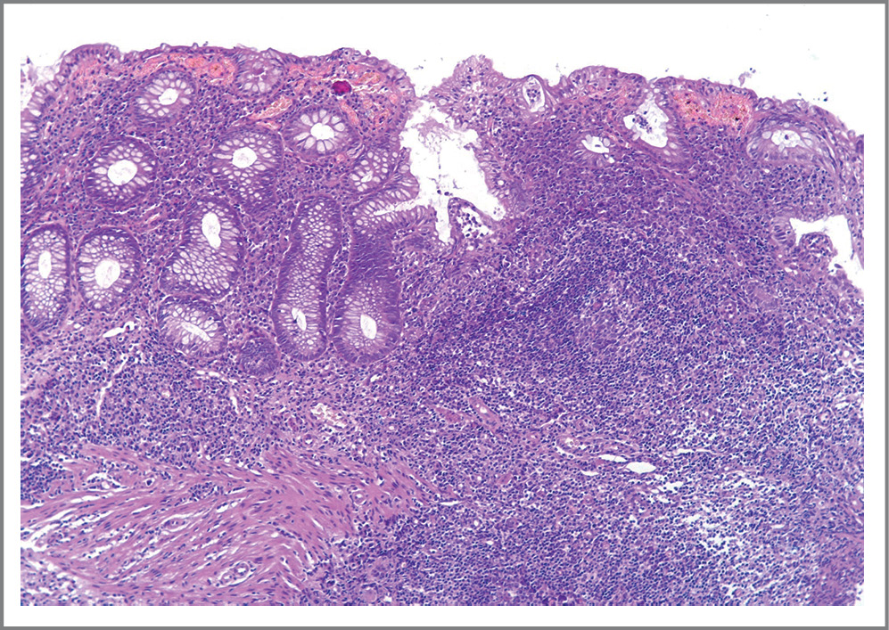
Не брюшнотифозные виды сальмонелл являются пищевыми патогенами, вызывающими острый энтероколит и примерно у 5% пациентов – септицемию. Двумя наиболее распространенными микроорганизмами являются Salmonella Enterica серовар Enteritidis и Salmonella Enterica серовар Typhimurium. Образцы биопсии от пациентов, инфицированных этими энтероинвазивными микроорганизмами, демонстрируют либо классическую картину острого колита, либо подострую картину с меньшим количеством нейтрофилов и большим количеством плазматических клеток и лимфоцитов в собственной пластинке, что может сопровождаться нарушением архитектуры крипт. И наоборот, воспалительная реакция, связанная с инфекцией Salmonella Typhi (S. Enterica subsp. Enterica серовар Typhi), возбудителем брюшного тифа, может полностью отличаться от картины острого колита. Эта факультативная грамотрицательная бацилла также передается через зараженную пищу и воду, поражая 21 млн человек во всем мире и вызывая 200 тыс. смертей в год [8]. При эндоскопическом исследовании правого отдела толстой кишки и терминального отдела подвздошной кишки наблюдаются отек слизистой оболочки и приподнятые узелки, соответствующие гиперплазированным пейеровым бляшкам. Слизистая оболочка покрывается мелкими (афтозными) язвами, имитирующими БК. В запущенных случаях обнаруживаются линейные или дисковидные язвы, склонные к перфорации [9]. Характерными микроскопическими признаками являются тифозные узелки, представляющие собой увеличенные пейеровы бляшки, содержащие скопления макрофагов (рис. 3).
Рис. 3. Инфекционный колит. Отмечается присутствие большого количества нейтрофилов между клетками поверхностного эпителия, деструкция верхних отделов кишечных крипт и гиперплазия лимфоидной ткани пейеровых бляшек с формированием «тифозных узелков», напоминающих афтозные язвы. Окраска гематоксилином и эозином. ×120.
Fig. 3. Infectious colitis. The presence of a large number of neutrophils between the cells of the surface epithelium, the destruction of the upper parts of the intestinal crypts and the hyperplasia of the lymphoid tissue of peyroid plaques with the formation of «typhoid nodules» resembling aphthoid ulcers. Coloration with hematoxylin and eosin. ×120.
Редко можно обнаружить гранулемы. Даже при отсутствии узелковых агрегатов образцы биопсии слизистой оболочки могут содержать многочисленные макрофаги. Таким образом, наличие этого воспалительного паттерна помогает диагностике брюшного тифа у пациентов с острым началом диареи, особенно если симптомы наиболее выражены в терминальном отделе подвздошной кишки и правой части толстой кишки.
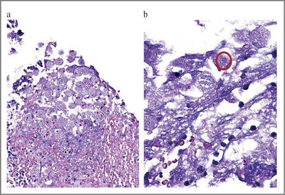
Гистиоциты с эритрофагоцитозом следует дифференцировать от трофозоитов. Entamoeba histolytica поражает 10% населения мира и ежегодно вызывает от 40 до 100 тыс. смертей, что делает ее второй по значимости причиной смерти от паразитарных заболеваний [10]. Другие формы передачи включают оральный и анальный секс, а также зараженные эндоскопы или клизмы. Наиболее часто поражается слепая и восходящая ободочная кишка, в них обнаруживаются дискретные язвы, разделенные нормальной или отечной слизистой оболочкой. Несмотря на обильный некроз тканей, воспаление часто скудное, состоящее из периферически расположенных нейтрофилов, лимфоцитов и гистиоцитов вокруг некротических участков, которые содержат мелкозернистый эозинофильный материал с небольшим количеством ядерных остатков (цитоплазма и центральные ядра). Трофозоиты содержат центральное или несколько эксцентрично расположенное сгущение хроматина (кариосому), имеющее вид черной точки и облегчающее отличие от макрофагов (рис. 4). Фрагменты цитоплазматических эритроцитов позволяют отличить E. histolytica от других видов колитов.
Рис. 4. Амебиаз толстой кишки, ассоциированный с E. histolytica: a – обширные зоны тканевого некроза и эритроцитарных скоплений с небольшим количеством нейтрофилов и гистиоцитов, среди которых при большом увеличении можно выделить единичные трофозоиты; b – трофозоиты содержат эксцентрично расположенное сгущение хроматина (кариосому), имеющее вид черной точки и облегчающее отличие от макрофагов. Окраска гематоксилином и эозином; a – ×120; b – ×500.
Fig. 4. Colon amebiase associated with E. histolytica: a – extensive tissue necrosis and erythrocytic clusters with few neutrophils and histiocytes, among which single trophozites can be distinguished at large; b – Trofozoites contain eccentrically arranged chromatin condensation (karyosoma), which looks like a black dot and makes it easier to distinguish from macrophages. Coloration with hematoxylin and eosin; a – ×120; b – ×500.
Другой микроорганизм – Yersinia, вызывающий воспаление в подвздошной и ободочной кишке, мимикрирующий под БК. Эти грамотрицательные коккобациллы являются распространенной причиной бактериального энтерита в Европе, но в меньшей степени в США [11]. Yersinia enterocolitica и Yersinia pseudotuberculosis – два микроорганизма, связанные с кишечными инфекциями человека, и оба передаются в основном через зараженную пищу и воду. Илеит, аппендицит, мезаденит и колит могут возникать изолированно или в различных сочетаниях. Подобно S. Typhi Yersinia является энтероинвазивным организмом, который в первую очередь поражает пейеровы бляшки и окружающую слизистую оболочку. Эндоскопическая картина афтозных и линейных язв с экссудатом очень похожа на таковую при БК. Характерными гистологическими признаками являются острый колит/энтерит и лимфоидная гиперплазия с не некротическими эпителиоидными гранулемами или гнойными гранулемами с центральными микроабсцессами (рис. 5).
Рис. 5. Иерсиниоз толстой кишки, ассоциированный с Y. pseudotuberculosis. Гиперплазия лимфоидной ткани, формирование не некротических эпителиоидноклеточных гранулем и образование характерных внутриэпителиальных лимфоцитарных микрофолликулов. Окраска гематоксилином и эозином. ×300.
Fig. 5. Colon hierosis associated with Y. pseudotuberculosis. Hyperplasia of lymphoid tissue, formation of non-necrotic epithelial cell granules and formation of characteristic intraepithelial lymphocytic microfollicles. Coloration with hematoxylin and eosin. ×300.
Гнойные гранулемы чаще связаны с псевдотуберкулезом. Также присутствуют язвы, трещины и трансмуральное воспаление, что еще больше усложняет дифференциальную диагностику с БК.
Особой нозологической единицей является колит у пациентов с нейтропенией. Воспалительный процесс почти всегда ограничивается слепой кишкой, поэтому заболевание получило название «нейтропенический тифлит». В тяжелых случаях может наблюдаться более обширное поражение терминального отдела подвздошной кишки, других сегментов тонкой кишки и более дистальных отделов толстой кишки. При отсутствии нейтрофилов микроорганизмы внедряются в слизистую оболочку, которая ранее могла быть повреждена химиотерапией или последствиями трансплантации стволовых клеток. Триада симптомов – боли в животе, лихорадка и диарея у пациентов с необъяснимой бактериемией указывает на это заболевание [12]. При гистологическом исследовании выявляют некроз, язвы, отек, кровоизлияние, бактериальную инвазию и сопутствующую грибковую инфекцию. Несмотря на тяжелое повреждение тканей и инфекцию, воспалительных клеток в инфильтрате непропорционально мало (рис. 6).
Рис. 6. Нейтропенический тифлит. Деструкция эпителия базальных отделов кишечных крипт без значимой воспалительной инфильтрации. Окраска гематоксилином и эозином. ×300.
Fig. 6. Neutropenic enterocolitis. Destruction of basal epithelium sections of intestinal crypts without significant inflammatory infiltration. Coloration of hematoxylin and eosin. ×300.
Ишемическое повреждение кишечника
Различают три гистологических варианта острого колита с ишемическими признаками. Смешанная воспалительно-ишемическая картина характерна для псевдомембранозного колита. Геморрагический колит (ГК) проявляется ишемическим повреждением слизистой оболочки с обширным кровоизлиянием в собственную пластинку и вариабельным воспалением. Третий тип является чисто ишемическим с минимальным воспалением или без него. Правильная идентификация преобладающего паттерна имеет клиническое значение, поскольку существует сильная корреляция между гистологическими признаками и основной этиологией.
Псевдомембранозный колит
Псевдомембранозный колит (ПМК) – это тип повреждения, обычно связанный с инфекцией C. difficile, хотя он не всегда вызывается этим патогеном [13, 14]. Другие причины включают инфекцию E. coli O157:H7, Shigella и другие микроорганизмы, продуцирующие шига-токсин, а также ишемию, острое лучевое поражение и некоторые лекарства. Лекарства, вызывающие ПМК, включают различные антибиотики, алосетрон, цисплатин, кокаин, циклоспорин А, декстроамфетамин, доцетаксел, 5-фторурацил, золото, глутаральдегид, НПВП и паракват.
Заражение C. difficile в основном происходит внутрибольнично, хотя возможно и внебольничное инфицирование. Факторы риска инфицирования включают госпитализацию, прием антибиотиков, пожилой возраст, использование ингибиторов протонной помпы, контакт с носителями микроорганизма и сопутствующие заболевания. Клинические проявления ПМК разнообразны: у некоторых пациентов возможно бессимптомное течение, в то время как у других развивается классический ПМК, который в тяжелых случаях может вызвать токсический мегаколон [15–17]. Поскольку последнее осложнение имеет высокую смертность, может потребоваться хирургическое вмешательство с проведением гемиколэктомии или тотальной колэктомии. При компьютерной энтерографии можно выявить очаговое или диффузное утолщение стенки с тяжами мягких тканей вокруг толстой кишки, утолщение гаустральных складок (так называемый симптом аккордеона) [18]. Диффузно расположенные псевдомембраны обычно обнаруживают при эндоскопии, они характеризуются приподнятыми желто-белыми узелками или бляшками, которые редко превышают 2 см в диаметре. Промежуточная слизистая оболочка может быть нормальной, также могут встречаться грануляции, язвы или отек слизистой оболочки. У некоторых пациентов псевдомембраны отсутствуют, а изменения слизистой оболочки ограничиваются эритемой, рыхлостью или язвами. При биопсии участков воспаления можно выявить диагностический воспалительный паттерн [19].
Повреждение кишки опосредовано двумя токсинами – TcdA и TcdB. Эти молекулы вызывают некроз эпителиальных клеток, воспаление и потерю барьерной функции слизистой оболочки кишечника. В клинической практике наиболее часто используемыми диагностическими тестами являются иммуноферментные анализы, выявляющие оба токсина. У всех пациентов с диареей рекомендовано исследование инфекции C. difficile [20].
Отличительной особенностью ПМК является наличие слоистых псевдомембран, состоящих из экссудата, богатого фибрином, и слизи со встроенными нейтрофилами и некротизированными эпителиальными клетками. При малом увеличении кажется, что этот экссудат исходит из нижележащих крипт, что сравнимо с извержением вулкана или грибом. Подлежащие крипты расширены, часто заполнены отслоившимися эпителиальными клетками и нейтрофилами или слизью, а поверхностный эпителий, контактирующий с псевдомембраной, либо воспален, либо некротизирован. По мере прогрессирования заболевания развиваются типичные ишемические изменения, сначала поражающие просветную половину крипты, а затем распространяющиеся на всю крипту. Слизистая оболочка, прилегающая к псевдомембране, может иметь признаки острого колита, казаться относительно сохранной или иметь различные кровоизлияния в собственной пластинке. Часто наблюдаются фибриновые тромбы в капиллярах.
Дифференциальная диагностика
При неинфекционном ишемическом колите (ИК) может наблюдаться псевдомембранозный характер поражения. В отличие от диффузного распределения псевдомембран при колите, вызванном C. difficile, поражения при неинфекционной ишемии, как правило, локализованы, и при эндоскопическом исследовании псевдомембраны могут выглядеть как большие полипоидные объемные образования. Если не учитывать клиническую и эндоскопическую картину заболевания, то образцы биопсии слизистой оболочки из этих поражений могут быть неверно истолкованы как колит, ассоциированный с C. difficile. Гиалинизация собственной пластинки и небольшие регенеративные крипты (иссохшие крипты) со скудным воспалением свидетельствуют в пользу диагноза ИК [21].
Геморрагический колит
Известной причиной ГК является инфицирование штаммом кишечной палочки E. coli O157:H7, продуцирующим шига-токсин. Этот микроорганизм преимущественно колонизирует правую половину толстой кишки и вызывает сначала обильную водянистую диарею, а по мере прогрессирования – кровавую диарею. Примерно у 10% пациентов развиваются опасные для жизни внекишечные осложнения, в том числе гемолитико-уремический синдром и тромботическая тромбоцитопеническая пурпура [22, 23].
К сожалению, не существует надежного метода лечения ГК, так как применение антибактериальной терапии приводит к высвобождению шига-токсина, который способствует развитию гемолитико-уремического синдрома [24].
Klebsiella oxytoca – бактерия, которая в течение многих лет считалась безвредным комменсалом, является еще одной причиной ГК. Клинические симптомы обычно следуют за применением антибиотиков, возможно, в результате способности организма продуцировать β-лактамазу [25]. K. oxytoca обычно вызывает сегментарный колит проксимального отдела толстой кишки, который проходит вскоре после прекращения антибактериальной терапии. Другие причины ГК включают шигеллезную инфекцию, неинфекционную острую ишемию и некоторые лекарства, в том числе некоторые антибиотики, интерферон α, гиперосмолярные средства и другие препараты, вызывающие ишемию слизистой оболочки. При ГК собственная пластинка выглядит геморрагической и отечной. Часто наблюдаются фибриновые тромбы в капиллярах. В криптах обнаруживают признаки ишемического повреждения и/или регенеративные процессы, отмечается вариабельное нейтрофильное воспаление. Псевдомембраны могут присутствовать, но не являются преобладающим признаком [26].
Острый ИК
Гипоперфузия толстой кишки из-за недостаточности кровообращения или сосудистых окклюзионных заболеваний является наиболее частой причиной ишемического повреждения толстой кишки. Хотя это во многом объясняет причину развития ИК, множественные этиологические факторы, связанные с этим состоянием, указывают на более сложную патофизиологию [27]. Острый ИК преимущественно наблюдается у пожилых людей с заболеваемостью от 6,1 до 9,9 человеко-лет [28, 29].
Степень повреждения слизистой оболочки при ИК определяет клиническую картину и связана не только с тяжестью дисбаланса кровообращения, но и с основной причиной ишемии. Состояния, связанные с острым ИК, включают сосудистые окклюзионные нарушения, такие как тромбоэмболии, повреждение сосудов во время операции или травмы, васкулит и сосудистые нарушения, связанные с заворотом кишок, инвагинацией и серозными спайками. Неокклюзионные причины включают сердечную недостаточность, шок, сепсис, лекарственные препараты и инфекции. К микроорганизмам, способным вызывать ишемию слизистой оболочки, относятся те, которые связаны с ПМК и ГК (шигеллы, E. coli O157:H7 и C. difficile), кампилобактер, сальмонелла, цитомегаловирус и ангиоинвазивные грибы или паразиты, такие как Angiostrongylus costaricensis [26, 27].
Колоноскопия и биопсия редко выполняются у пациентов с симптомами острого живота из-за эмболической окклюзии или кишечной непроходимости. Состояния, вызывающие острое прогрессирующее снижение кровотока, имеют менее выраженную клиническую картину. Классический сценарий – пожилой пациент со спастической болью в животе, кровянистым стулом и лейкоцитозом, которому иногда предшествует известная причина транзиторной гипоперфузии. В зависимости от степени нарушения перфузии рентгенологические признаки могут представлять очаговое утолщение стенки (отпечаток большого пальца), вызванное подслизистым кровоизлиянием и отеком. Поскольку эти данные сходны с таковыми при других типах колита, необходимо проводить колоноскопию для подтверждения диагноза и оценки степени ишемии [28]. Рыхлость слизистой оболочки с кровоточивостью, петехиальные кровоизлияния, отек, эритема, эрозии и линейные язвы могут наблюдаться в различных сочетаниях. В тяжелых случаях развивается потеря гаустр, цианоз и гангрена [30]. Хотя классическая картина предполагает склонность к ишемическому повреждению в зоне ректосигмоидного перехода, тем не менее ишемическое повреждение может происходить в любом месте толстой кишки.
Ишемический некроз сначала поражает поверхностный эпителий, а затем просветную треть крипт. При ранней ишемии базальные части крипт сохраняются, но при прогрессирующем повреждении наблюдается полная потеря крипт. Ишемические крипты, как правило, имеют меньший диаметр, чем не ишемические аналоги, что объясняет их название «микрокрипты, или увядающие крипты». Как обсуждалось ранее, возможно обнаружение псевдомембран. Изменения в собственной пластинке включают гиалинизацию, отек, кровоизлияние и незначительное воспаление. Иногда наблюдается очаговый нейтрофильный криптит [31].
Поражения кишечника, ассоциированные с COVID-19
Новая коронавирусная инфекция COVID-19 в превалирующем большинстве случаев манифестирует респираторными симптомами и лихорадкой. Однако у некоторых пациентов могут отмечаться сердечно-сосудистые и гастроэнтерологические проявления. Среди них наиболее часто наблюдаются диарея, тошнота или рвота, а также абдоминальная боль. Эти симптомы могут предшествовать появлению респираторных признаков заболевания, а в некоторых случаях выходить на первый план в клинической картине заболевания. Точный патогенез описанных нарушений продолжает изучаться [32, 33]. SARS-CoV-2 оказывает прямое повреждающее действие на слизистую оболочку желудочно-кишечного тракта. Поражению органов пищеварения способствуют повышенная проницаемость слизистой желудочно-кишечного тракта, цитокиновая агрессия, системное воспаление, нарушение структуры и функции микробиоты кишечника. Внутриклеточное окрашивание вирусного нуклеокапсидного белка – доказательство проникновения SARS-CoV-2 в энтероциты. РНК SARS-CoV-2 часто выявляется в образцах стула у пациентов с COVID-19.
Изучение проницаемости кишечной стенки у пациентов с ВЗК после перенесенной коронавирусной инфекции сегодня крайне актуально. Для неинвазивной оценки проницаемости кишечной стенки используется фекальный зонулин – белок, обратимо повышающий проницаемость кишечной стенки путем изменения структуры плотных контактов боковых поверхностей эпителиальных клеток кишечника. По нашим данным, проницаемость кишечной стенки у пациентов с ВЗК и перенесенной новой коронавирусной инфекцией достоверно выше, чем у пациентов с ВЗК без новой коронавирусной инфекции в анамнезе [34, 35].
Заключение
Воспалительное повреждение слизистой оболочки толстой кишки требует тщательной дифференциальной диагностики с обязательным подробным гистологическим исследованием, при котором выявление нескольких гистологических паттернов помогает определить возможные этиологические ассоциации и сформулировать дифференциальный диагноз.
Преобладающая воспалительная реакция (тип острого колита) связана с инфекциями и лекарственными поражениями. Смешанные воспалительно-ишемические паттерны подобно выявляемым при ПМК и ГК, хотя в первую очередь и вызываются специфическими микроорганизмами, а именно C. difficile и E. coli O157:H7, могут быть обусловлены другими инфекционными и неинфекционными причинами.
Наконец, ишемическая картина повреждения может быть связана с лекарственными препаратами и инфекциями в дополнение к нарушениям, вызывающим гипоперфузию.
Правильная диагностика типа ВЗК – залог своевременного и верного лечения, которое, в свою очередь, помогает сохранить жизнь больного и предотвратить фатальные осложнения.
Раскрытие интересов. Авторы декларируют отсутствие явных и потенциальных конфликтов интересов, связанных с публикацией настоящей статьи.
Disclosure of interest. The authors declare that they have no competing interests.
Вклад авторов. Авторы декларируют соответствие своего авторства международным критериям ICMJE. Все авторы в равной степени участвовали в подготовке публикации: разработка концепции статьи, получение и анализ фактических данных, написание и редактирование текста статьи, проверка и утверждение текста статьи.
Authors’ contribution. The authors declare the compliance of their authorship according to the international ICMJE criteria. All authors made a substantial contribution to the conception of the work, acquisition, analysis, interpretation of data for the work, drafting and revising the work, final approval of the version to be published and agree to be accountable for all aspects of the work.
Источник финансирования. Авторы декларируют отсутствие внешнего финансирования для проведения исследования и публикации статьи.
Funding source. The authors declare that there is no external funding for the exploration and analysis work.
About the authors
Asfold I. Parfenov
Loginov Moscow Clinical Scientific Center
Author for correspondence.
Email: asfold@mail.ru
ORCID iD: 0000-0002-9782-4860
доктор медицинских наук, профессор, зав. отдела патологии кишечника
Russian Federation, MoscowAnna V. Kagramanova
Loginov Moscow Clinical Scientific Center; Research Institute of Healthcare Organization and Medical Management
Email: asfold@mail.ru
ORCID iD: 0000-0002-3818-6205
кандидат медицинских наук, ст. научный сотрудник отделения воспалительных заболеваний кишечника, ведущий специалист ГБУ НИИОЗММ
Russian Federation, Moscow; MoscowSergey G. Khomeriki
Loginov Moscow Clinical Scientific Center
Email: asfold@mail.ru
ORCID iD: 0000-0003-4308-8009
доктор медицинских наук, профессор, заведующий лаб. Патоморфологии
Russian Federation, MoscowDmitrii S. Kulakov
Loginov Moscow Clinical Scientific Center; Research Institute of Healthcare Organization and Medical Management
Email: asfold@mail.ru
ORCID iD: 0000-0002-0855-5217
мл. научный сотрудник отделения патологии кишечника, специалист организационно-методического отдела по колопроктологии ГБУ НИИОЗММ
Russian Federation, Moscow; MoscowReferences
- Образцов В.П. Болезни желудка, кишек и брюшины. [Киев], 1924 [Obraztsov VP. Bolezni zheludka, kishek i briushiny. [Kiev], 1924 (in Russian)].
- Hawk WA, Turnbull Jr RB, Schofield PF. Nonspecific ulcerative colitis. Surgery.1969;66(5):953-64.
- Pontes RM, Muarrek FJ, Strauss E, Guembarowski AM. Hepatic changes in patients with nonspecific ulcerative colitis. Arq Gastroenterol. 1995;32(2):48-53 (in Portuguese).
- DuPont HL. Approach to the patient with infectious colitis. Curr Opin Gastroenterol. 2012;28(1):39-46. doi: 10.1097/mog.0b013e32834d3208
- Ющук Н.Д., Бродов Л.Е. Инфекционные диареи. Русский медицинский журнал. 2001;16:679 [Iushchuk ND, Brodov LE. Infektsionnye diarei. Russkii meditsinskii zhurnal. 2001;16:679 (in Russian)].
- Higuchi K, Umegaki E, Watanabe T, et al. Present status and strategy of NSAIDs-induced small bowel injury. J Gastroenterol. 2009;44(9):879-88. doi: 10.1007/s00535-009-0102-2
- Klein M, Linnemann D, Rosenberg J. Non-steroidal anti-inflammatory drug-induced colopathy. BMJ Case Rep. 2011:bcr1020103436. doi: 10.1136/bcr.10.2010.3436
- Parry CM, Hien TT, Dougan G, et al. Typhoid fever. N Engl J Med. 2002;347(22):1770-82. doi: 10.1056/NEJMra020201
- Lee JH, Kim JJ, Jung JH, et al. Colonoscopic manifestations of typhoid fever with lower gastrointestinal bleeding. Dig Liver Dis. 2004;36(2):141-6. doi: 10.1016/j.dld.2003.10.013
- Stanley Jr SL. Amoebiasis. Lancet. 2003;361(9362):1025-34. doi: 10.1016/S0140-6736(03)12830-9
- Boqvist S, Pettersson H, Svensson A, Andersson Y. Sources of sporadic Yersinia enterocolitica infection in children in Sweden, 2004: a case-control study. Epidemiol Infect. 2009;137(6):897-905. doi: 10.1017/S0950268808001209
- Sachak T, Arnold MA, Naini BV, et al. Neutropenic enterocolitis: new insights into a deadly entity. Am J Surg Pathol. 2015;39(12):1635-42. doi: 10.1097/PAS.0000000000000517
- Farooq PD, Urrunaga NH, Tang DM, von Rosenvinge EC. Pseudomembranous colitis. Dis Mon. 2015;61(5):181-206. doi: 10.1016/j.disamonth.2015.01.006
- Bagdasarian N, Rao K, Malani PN. Diagnosis and treatment of Clostridium difficile in adults: a systematic review. JAMA. 2015;313(4):398-408. doi: 10.1001/jama.2014.17103
- Leffler DA, Lamont JT. Clostridium difficile Infection. N Engl J Med. 2015;372(16):1539-48. doi: 10.1056/NEJMra1403772
- Dupont HL. Diagnosis and management of Clostridium difficile infection. Clin Gastroenterol Hepatol. 2013;11(10):1216-23. doi: 10.1016/j.cgh.2013.03.016
- Sayedy L, Kothari D, Richards RJ. Toxic megacolon associated Clostridium difficile colitis. World J Gastrointest Endosc. 2010;2(8):293-7. doi: 10.4253/wjge.v2.i8.293
- Baker ME. Acute infectious and inflammatory enterocolitides. Radiol Clin North Am. 2015;53(6):1255-71. doi: 10.1016/j.rcl.2015.06.010
- Bartlett JG. Clostridium difficile: progress and challenges. Ann N Y Acad Sci. 2010;1213:62-9. doi: 10.1111/j.1749-6632.2010.05863.x
- Surawicz CM, Brandt LJ, Binion DG, et al. Guidelines for diagnosis, treatment, and prevention of Clostridium difficile infections. Am J Gastroenterol. 2013;108(4):478-98. doi: 10.1038/ajg.2013.4
- Dignan CR, Greenson JK. Can ischemic colitis be differentiated from C difficile colitis in biopsy specimens? Am J Surg Pathol. 1997;21(6):706-10. doi: 10.1097/00000478-199706000-00011
- Ochoa TJ, Cleary TG. Epidemiology and spectrum of disease of Escherichia coli O157. Curr Opin Infect Dis. 2003;16(3):259-63. doi: 10.1097/00001432-200306000-00013
- Karmali MA, Gannon V, Sargeant JM. Verocytotoxin – producing Escherichia coli (VTEC). Vet Microbiol. 2010;140(3–4):360-70. doi: 10.1016/j.vetmic.2009.04.011
- Pacheco AR, Sperandio V. Shiga toxin in enterohemorrhagic E. coli: regulation and novel antivirulence strategies. Front Cell Infect Microbiol. 2012;2:81. doi: 10.3389/fcimb.2012.00081
- Hogenauer Ch, Langner C, Beubler E, et al. Klebsiella oxytoca as a causative organism of antibiotic-associated hemorrhagic colitis. N Engl J Med. 2006;355(23):2418-26. doi: 10.1056/NEJMoa054765
- Cappell MS. Colonic toxicity of administered drugs and chemicals. Am J Gastroenterol. 2004;99(6):1175-90. doi: 10.1111/j.1572-0241.2004.30192.x
- FitzGerald JF, Hernandez LO. Ischemic colitis. Clin Colon Rectal Surg. 2015;28(2):93-8. doi: 10.1055/s-0035-1549099
- Higgins PDR, Davis KJ, Laine L. Systematic review: the epidemiology of ischaemic colitis. Aliment Pharmacol Ther. 2004;19(7):729-38. doi: 10.1111/j.1365-2036.2004.01903.x
- Elder K, Lashner BA, Al Solaiman F. Clinical approach to colonic ischemia. Cleve Clin J Med. 2009;76(7):401-9. doi: 10.3949/ccjm.76a.08089
- Zou X, Cao J, Yao Y, et al. Endoscopic findings and clinicopathologic characteristics of ischemic colitis: a report of 85 cases. Dig Dis Sci. 2009;54(9):2009-15. doi: 10.1007/s10620-008-0579-1
- Glauser PM, Wermuth P, Cathomas G, et al. Ischemic colitis: clinical presentation, localization in relation to risk factors, and long-term results. World J Surg. 2011;35(11):2549-54. doi: 10.1007/s00268-011-1205-5
- Маев И.В., Шпектор А.В., Васильева Е.Ю., и др. Новая коронавирусная инфекция COVID-19: экстрапульмональные проявления. Терапевтический архив. 2020;92(8):4-11 [Maev IV, Shpektor AV, Vasilyeva EY, et al. Novel coronavirus infection COVID-19: extrapulmonary manifestations. Terapevticheskii Arkhiv (Ter. Arkh.). 2020;92(8):4-11 (in Russian)]. doi: 10.26442/00403660.2020.08.000767
- Баймаканова Г.Е., Хатьков И.Е., Дудина Г.А., и др. Клинический портрет пациента с COVID-19. Опыт многопрофильной клиники. Терапевтический архив. 2021;93(11):1283-9 [Baimakanova GE, Khatkov IE, Dudina GA, et al. Clinical portrait of a patient with COVID-19. The experience of a multidisciplinary clinic. Terapevticheskii Arkhiv (Ter Arkh.). 2021;93(11):1283-9 (in Russian)]. doi: 10.26442/00403660.2021.11.201191
- Бахарев С.Д., Новиков А.А., Быкова С.В., Парфенов А.И. Барьерная функция кишечника у больных, перенесших COVID-19 и клостридиальную инфекцию. Тест с зонулином. Материалы 48-й научной сессии ЦНИИ гастроэнтерологии «Детские корни взрослых проблем» (3–4 марта 2022 г.), Москва. Терапевтический архив. 2022;94(2S):295-342 [Bakharev SD, Novikov AA, Bykova SV, Parfenov AI. Barrier function of intestines in patients suffering from COVID-19 and Clostridial infection. Zoulin test. Proceedings of the 48th scientific session of the Central Research Institute of Gastroenterology „Children's roots of adult problems“. 2022 Mar 3–4, Moscow. Terapevticheskii Arkhiv (Ter Arkh.). 2022;94(2S):295-342 (in Russian)]. doi: 10.26442/00403660.2022.02.201385
- Kulakov D, Knyazev O, Kagramanova A, et al. Zonulin concentration in patients with inflammatory bowel diseases with and without COVID-19 infection. The American Journal of Gastroenterology. 2022;117. doi: 10.14309/01.ajg.0000897636.88746.ec
Supplementary files








