Exudative pericarditis with tamponade after COVID-19. Case report
- Authors: Dvoretsky L.I.1, Rachina S.A.1, Poltavskaya M.G.1, Andreev D.A.1, Tarykina E.V.2, Plaksina N.A.1, Minaev V.V.1, Terekhova A.V.3
-
Affiliations:
- Sechenov First Moscow State Medical University (Sechenov University)
- Yudin City Clinical Hospital
- Lopukhin Federal Research and Clinical Center of Physical-Chemical Medicine
- Issue: Vol 95, No 11 (2023)
- Pages: 965-969
- Section: Case reports
- Submitted: 24.11.2023
- Accepted: 24.11.2023
- Published: 22.12.2023
- URL: https://ter-arkhiv.ru/0040-3660/article/view/623812
- DOI: https://doi.org/10.26442//00403660.2023.11.202475
- ID: 623812
Cite item
Full Text
Abstract
A description of a COVID-19 patient with the development of exudative pericarditis complicated by cardiac tamponade is provid. A peculiarity of this case is the presence of an underlying disease in the patient (chronic lymphocytic leukemia), which was in remission for 1.5 years after chemotherapy. Another feature of the patient was the relatively small area of lung damage and the hemorrhagic nature of the pericardial effusion, which persisted for a long time. The insignificant activity of inflammatory markers was noteworthy. Possible mechanisms of development and features of the course of exudative pericarditis in the described patient, issues of diagnosis and treatment of this category of patients are discusse.
Full Text
Список сокращений
ГК – грудная клетка
КТ – компьютерная томография
НКИ – новая коронавирусная инфекция
СРБ – C-реактивный белок
ХЛЛ – хронический лимфолейкоз
ЦМВ – цитомегаловирус
ЭП – экссудативный перикардит
Ig – иммуноглобулин
Введение
По мере накопления опыта ведения больных СOVID-19 – новой коронавирусной инфекцией (НКИ) – установлено, что заболевание не ограничивается поражением легких, а носит системный характер, включая патологию сердечно-сосудистой системы [1]. Одним из редких проявлений НКИ является экссудативный перикардит (ЭП), признаки которого выявляются при томографическом исследовании больных с подтвержденной или подозреваемой НКИ в 4,5% случаев [2]. В метаанализе госпитализированных 2676 больных НКИ перикардиальный выпот по данным компьютерной томографии (КТ) органов грудной клетки (ГК) выявлялся у 3% исследованных [3]. Поражение перикарда у больных НКИ описывается в виде отдельных клинических наблюдений, трактующихся как редкое и необычное проявление этой вирусной инфекции. Недавно опубликован систематический анализ 32 случаев поражения перикарда при НКИ в виде изолированного перикардита или миоперикардита [4]. Наличие перикардиального выпота у больных НКИ считается клиническим признаком, свидетельствующим о тяжести заболевания. Так, среди 83 больных НКИ перикардиальный выпот наблюдался у 4 из 25 (16%) лиц, находившихся в критическом состоянии, и отсутствовал у остальных 58 пациентов с легкой формой заболевания [5].
Клиническое наблюдение
Больная К. 47 лет поступила с жалобами на одышку при физической нагрузке, слабость, отеки верхних и нижних конечностей, лица.
В 2019 г. диагностирован хронический лимфолейкоз (ХЛЛ), по поводу которого провели 5 курсов химиотерапии по программе RFC (ритуксимаб, Флударабин, Циклофосфан). В течение 1,5 лет ремиссия. По данным позитронно-эмиссионной томографии, совмещенной с рентгеновской КТ, в марте 2021 г. очагов патологической метаболической активности не выявили. В июне 2021 г. перенесла острую респираторную вирусную инфекцию с субфебрильной температурой, слабостью, катаральными проявлениями со стороны верхних дыхательных путей, нарушениями обоняния и вкуса. К врачу не обращалась, на коронавирусную инфекцию не обследовалась. Ухудшение состояния с июля 2021 г.: появилась одышка при минимальной физической нагрузке, отеки ног, нижней половины тела, лица. Принимала Гипотиазид без эффекта. Амбулаторно при эхокардиографии выявлена жидкость в полости перикарда, в связи с чем в сентябре 2021 г. госпитализирована.
Обнаружено. Общее состояние средней тяжести. Сознание ясное. Кожные покровы и видимые слизистые обычной окраски. Подкожно-жировой слой развит умеренно. Периферические лимфоузлы не увеличены. Отеки нижних конечностей, кистей, лица. Дыхание везикулярное, хрипов не прослушивается, частота дыхательных движений 19 в минуту, SpO2 96%. Шейные вены набухшие, пульсируют. Верхушечный толчок не определяется. Тоны сердца приглушены, ритмичные. Частота сердечных сокращений 78 уд/мин. Артериальное давление 120/90 мм рт. ст. Язык розового цвета, без налета. Размер живота не увеличен. Живот мягкий, при пальпации безболезненный. Печень выступает из-под нижнего края правой реберной дуги на 4 см, с закругленным краем, мягко-эластической консистенции, болезненная при пальпации. Селезенка не увеличена. Мочеиспускание не нарушено.
Анализ крови общий. Гемоглобин – 132 г/л, эритроциты – 4,82×1012/л, гематокрит – 42,9%, МСН – 27,5 пг, МСV – 89,1 фл, лейкоциты – 4,6×109/л, эозинофилы – 7, палочкоядерные – 2, сегментоядерные – 57, лимфоциты – 27, моноциты – 5, тромбоциты – 173×109/л, скорость оседания эритроцитов – 3 мм/ч.
Биохимический анализ крови, 29 сентября 2021 г. C-реактивный белок (СРБ) – 5,45 мг/л, общий белок – 59 г/л, альбумин – 36,9%, азот мочевины – 3,1 ммоль/л, креатинин – 93 мкмоль/л, мочевая кислота – 375 мкмоль/л, билирубин общий – 28,2 мкмоль/л, глюкоза – 5,8 ммоль/л, натрий – 141 мкмоль/л, калий – 4,1 мкмоль/л, кальций – 2,2 ммоль/л, аспартатаминотрансфераза – 17 Ед/л, аланинаминотрансфераза – 10 Ед/л, γ-глутамилтрансфераза – 10 Ед/л, железо – 13,5 мкмоль/л, тропонин – 0,2 нг/мл, креатинфосфокиназа – 48 Ед/л, холестерин – 5,02 ммоль/л, триглицериды – 2,02 ммоль/л, иммуноглобулин (Ig) A – 0,55 г/л, IgG – 5,7 г/л, IgM – 1,35 г/л, фибриноген – 2,25 г/л, протромбиновое время – 15,7 с, активированное частичное тромбопластиновое время – 31,5 с, электрофорез белков сыворотки крови – в пределах нормы. В крови выявлены IgG-антитела к цитомегаловирусу (ЦМВ), вирусу Эпштейна–Бар и SARC-CoV-2 – 82,8 (норма меньше 10).
Исследование крови на IgG к ЦМВ – в положительном титре, исследование крови на IgG к вирусу Эпштейна–Бар – в положительном титре.
Провели исследования для исключения возможных причин перикардита: системных воспалительных заболеваний (ENA-профиль отрицательный), туберкулеза (диаскинтест отрицательный), боррелиоза (антитела к боррелиям методом иммуноферментного анализа не выявлены), гипотиреоза (тиреотропный гормон – 2 мкМЕ/мл). Содержание онкомаркеров в крови не повышено.
Анализ мочи общий. Относительная плотность – 1028, белок – 0,015, соли – ураты много, нитраты – нет, лейкоциты – 1–2 в п/зр., эритроциты – нет.
Анализ мокроты общий. Эритроциты не обнаружены, цилиндрический эпителий – в норме, кислотоустойчивые микроорганизмы не обнаружены, эозинофилы не обнаружены, флора – смешанная умеренно выраженная, кристаллы Шарко–Лейдена не обнаружены, грибы в мокроте не обнаружены, клетки с признаками атипии не обнаружены, альвеолярные макрофаги – много, спирали Куршмана – не обнаружено, эпителий плоский – значительно.
Электрокардиография. Ритм синусовый, частота сердечных сокращений 75 уд/мин, PQ – 0,15 с, QRS – 0,08 с, QT – 0,36 с. Вертикальная электрическая ось сердца (рис. 1).
Рис. 1. Электрокардиограмма больной К.
Fig. 1. Electrocardiogram of patient K.
Эхокардиография. Камеры сердца не расширены. Размеры обоих предсердий на верхней границе нормы. Митральная и трикуспидальная регургитация до 1-й степени. Глобальная и локальная сократимость левого желудочка не нарушена. Диастолическая дисфункция левого желудочка. Признаки умеренной легочной гипертензии. Большое количество жидкости в полости перикарда с признаками сдавления сердца (тампонада); рис. 2.
Рис. 2. Эхокардиограмма больной К.
Fig. 2. Echocardiogram of patient K.
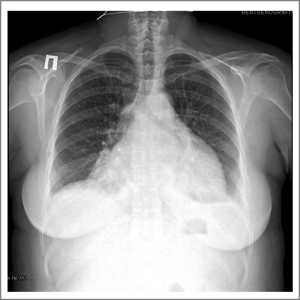
Рентгенография органов ГК. Снижение прозрачности в нижних отделах легких, левосторонний гидроторакс, расширение тени сердца (рис. 3).
Рис. 3. Рентгенограмма органов ГК больной К.
Fig. 3. X-ray of the chest organs of patient K.
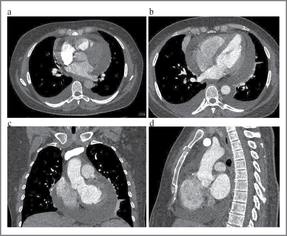
КТ органов ГК, 17сентября 2021 г. В полости перикарда определяется жидкость 30 мм (по задней стенке). Стенка перикарда не накапливает контрастное вещество. Восходящая аорта до 31 мм, нисходящая 22 мм. Легочный ствол 26 мм. Заключение: гидроперикард, двусторонний гидроторакс, в легких определяются небольшие участки фиброза (поствоспалительные изменения), пневматизация и васкуляризация легочной ткани не изменены, лимфатические узлы средостения не увеличены (рис. 4, a, b, c, d)
Рис. 4. Компьютерная томограмма сердца больной К.: a, b – аксиальная проекция; c – корональная проекция; d – сагиттальная проекция.
Fig. 4. Computer tomogram of patient K.’s heart: a, b – axial projection; c – coronal projection; d – sagittal projection.
При КТ органов брюшной полости, забрюшинного пространства и малого таза патологических образований не выявлено.
Клиническая ситуация расценена как экссудативный перикардит с развитием тампонады, в связи с чем проведен перикардиоцентез и удалено около 800 мл геморрагической жидкости. В дальнейшем в связи с накоплением перикардиального выпота произведена повторная пункция (жидкость соломенно-желтая) с последующим длительным дренированием полости перикарда.
Исследование перикардиального выпота. Цвет – серозный, относительная плотность – 1015, проба Ривальты – положительная, белок – 56,0 г/л.
Цитологическое исследование: лимфоциты – 96%, нейтрофилы – 4%, эритроциты – 40–50, сплошь в препарате.
Исследование перикардиальной жидкости методом полимеразной цепной реакции: ДНК комплекса микобактерий туберкулеза и нетуберкулезных микобактерий не обнаружены.
Люминесцентная микроскопия перикардиальной жидкости: кислотоустойчивые микобактерии не обнаружены.
Вирусологическое исследование методом полимеразной цепной реакции: вирус простого герпеса 2-го типа, вирус простого герпеса 1-го типа, герпес-вирус 6-го типа, герпес-вирус 8-го типа, ЦМВ, вирус Эпштейна–Барр, парвовирус B19, аденовирус не обнаружены.
Иммунофенотипическое исследование перикардиальной жидкости: среди лимфоцитов преобладают Т-клетки (более 60%) как за счет Т-хелперов, так и за счет цитотоксических Т-клеток. Отмечается увеличение NK-клеток. Популяция поликлональных В-лимфоцитов составляет около 16%. Заключение: реактивный лимфоцитарный выпот.
Исследование липидов в перикардиальной жидкости: исключен хилезный перикардиальный выпот.
Цитологическое исследование плеврального выпота. Преимущественно зрелые лимфоидные элементы. Убедительных данных за метастатический процесс в пределах представленного материала нет.
Медикаментозное лечение. Колхикум 1 мг/сут, ибупрофен 1800 мг/сут с последующей заменой в связи с отсутствием эффекта на преднизолон 20 мг/сут, затем 40 мг/сут, фуросемид 40 мг/сут, спиронолактон 50 мг/сут, омепразол 40 мг/сут, ребамипид (Ребагит) 300 мг/сут.
На фоне терапии отмечено улучшение состояния: уменьшилась одышка, отеки нижних конечностей. Плевральный выпот и асцит не определяются. Сохраняется небольшое количество жидкости в полости перикарда.
Обсуждение
При обсуждении причины развития ЭП у пациентки наиболее оправданным казалось предположение о рецидиве гемобластоза (ХЛЛ) с экстрамедуллярной локализацией в виде поражения перикарда. Однако отсутствие изменений в периферической крови (абсолютного лимфоцитоза), нормальные показатели эритроцитов и тромбоцитов, цитологическая картина перикардиальной жидкости в виде преобладания зрелых лимфоцитов, а также иммунофенотипическая картина лимфоцитов не подтверждали опухолевую природу ЭП и свидетельствовали о реактивном лимфоцитарном выпоте. Поиск других возможных злокачественных новообразований также не дал результата. Дополнительным аргументом следует считать эффективность лечения противовоспалительными препаратами.
Лимфоцитарный выпот чаще всего является следствием аутоиммунных заболеваний (системная красная волчанка, ревматоидный артрит и др.), а также туберкулезной или вирусной инфекции. Отсутствие ДНК микобактерий в перикардиальной жидкости и признаков перенесенного или активного легочного туберкулеза позволило отвергнуть туберкулезный характер ЭП, а отрицательный ENA-профиль – системные воспалительные заболевания. В то же время хронологическая связь развития заболевания с перенесенной инфекцией, признаки которой (катаральные явления со стороны верхних дыхательных путей, нарушение обоняния) в сочетании с наличием IgG-антител к SARS-CoV-2 в количестве 82,8 (норма меньше 10), наряду с отрицательными результатами вирусологических исследований к другим вирусам, позволяют считать развитие ЭП у пациентки К. проявлением НКИ.
К сожалению, валидированный тест для подтверждения «коронавирусной природы» перикардиальной жидкости еще не разработан. В попытках выявить SARS-CoV-2 в перикардиальной жидкости у 5 больных получено два положительных результата [6, 7]. Обнаружение SARS-CoV-2 у больных ЭП часто затруднено из-за низкого содержания вирусного материала в перикардиальной жидкости по сравнению с респираторными слизистыми [8].
Одной из особенностей представленного случая можно считать отсутствие у больной значимого поражения легких, наиболее частого проявления НКИ, обычно сочетающегося с ЭП [9–11]. В то же время описаны случаи изолированного ЭП с развитием тампонады у пациентов с НКИ с отсутствием легочного поражения [12–15]. По данным метаанализа у 32 больных НКИ с наличием ЭП в 40% случаях отсутствовали признаки поражения легких [4].
Диагностические сложности трактовки природы ЭП у пациентки усугублялись наличием геморрагического характера перикардиального выпота, что требовало исключения опухолевого процесса, особенно с учетом в анамнезе ХЛЛ, тем более что имеется описание случая лейкемической инфильтрации перикарда у больного с гематологической ремиссией ХЛЛ, доказанной с помощью фенотипирования лимфоцитов [16]. Именно поэтому для исключения рецидива ХЛЛ у пациентки К. провели исследование фенотипов лимфоцитов перикардиальной жидкости, которое не подтвердило опухолевый процесс и установило реактивную природу перикардиального выпота.
У больной перикардиальный выпот оказался геморрагическим после первого перикардиоцентеза, а при последующих исследованиях в получаемой из дренажа жидкости постоянно выявлялись эритроциты до 80–90 клеток. Вместе с тем у пациентки отсутствовали нарушения показателей гемостаза и были исключены другие причины геморрагического перикардиального выпота. Что касается геморрагического характера ЭП при НКИ, то геморрагический перикардит с развитием тампонады описан у 67-летней женщины с признаками поражения миокарда (кардиомиопатия такоцубо), которая успешно прошла курс лечения перикардиоцентезом, колхицином, глюкокортикоидами и гидроксихлорохином.
Примечательно, что развитие геморрагического ЭП у больной наблюдалось в отсутствие поражения легких [13]. Аналогичный случай ЭП с геморрагическим выпотом и тампонадой описан у 56-летнего больного как единственное проявление верифицированной НКИ, по поводу чего проводился перикардиоцентез [17]. Описанные случаи могут рассматриваться в качестве клинических аналогов нашей пациентки. ЭП у нее сопровождался наличием плеврального выпота, что описано и в других наблюдениях. Так, в одной из публикаций геморрагический ЭП у больной НКИ сопровождался плевральным выпотом с преобладанием лимфоцитов в плевральной жидкости [18]. Лимфоцитарный состав плеврального выпота у обсуждаемой больной позволяет предполагать общую (воспалительную) природу перикардиального и плеврального выпота на фоне НКИ.
Еще одной особенностью течения НКИ в описанном случае является отсутствие реакции со стороны воспалительных маркеров (СРБ, ферритин, фибриноген и др.), что, казалось бы, не подтверждало воспалительный характер патологического процесса. Одним из объяснений можно считать наличие у больной ХЛЛ, леченного цитостатическими препаратами. Несмотря на наличие гематологической ремиссии ХЛЛ, нельзя исключить сохраняющуюся иммунную дисрегуляцию с нарушенным иммуновоспалительным ответом на инфекцию. Синтез СРБ при воспалении повышается под влиянием активированных цитокинов (интерлейкин-1, 6, 8, фактор некроза опухоли α), являющихся индукторами повышенной продукции СРБ гепатоцитами. Есть информация о больной тяжелой НКИ с большим объемом легочного поражения и низкими показателями ферритина, интерлейкина-6, СРБ [19].
Заключение
Таким образом, ЭП является одним из проявлений НКИ. Он может наблюдаться в отсутствие существенного поражения легких и проявляться геморрагическим перикардиальным выпотом. С учетом этого диагностический поиск у больных с неясным ЭП, особенно в современной эпидемиологической ситуации, должен включать возможность НКИ.
Раскрытие интересов. Авторы декларируют отсутствие явных и потенциальных конфликтов интересов, связанных с публикацией настоящей статьи.
Disclosure of interest. The authors declare that they have no competing interests.
Вклад авторов. Авторы декларируют соответствие своего авторства международным критериям ICMJE. Все авторы в равной степени участвовали в подготовке публикации: разработка концепции статьи, получение и анализ фактических данных, написание и редактирование текста статьи, проверка и утверждение текста статьи.
Authors’ contribution. The authors declare the compliance of their authorship according to the international ICMJE criteria. All authors made a substantial contribution to the conception of the work, acquisition, analysis, interpretation of data for the work, drafting and revising the work, final approval of the version to be published and agree to be accountable for all aspects of the work.
Источник финансирования. Авторы декларируют отсутствие внешнего финансирования для проведения исследования и публикации статьи.
Funding source. The authors declare that there is no external funding for the exploration and analysis work.
Информированное согласие на публикацию. Пациент подписал форму добровольного информированного согласия на публикацию медицинской информации.
Consent for publication. Written consent was obtained from the patient for publication of relevant medical information and all of accompanying images within the manuscript.
About the authors
Leonid I. Dvoretsky
Sechenov First Moscow State Medical University (Sechenov University)
Email: dvoretski@mail.ru
ORCID iD: 0000-0003-3186-0102
доктор медицинских наук, профессор, профессор кафедры госпитальной терапии №2 Института клинической медицины имени Н.В. Склифосовского
Russian Federation, MoscowSvetlana A. Rachina
Sechenov First Moscow State Medical University (Sechenov University)
Email: dvoretski@mail.ru
ORCID iD: 0000-0002-3329-7846
профессор РАН, доктор медицинских наук, профессор, зав. кафедры госпитальной терапии №2 Института клинической медицины имени Н.В. Склифосовского
Russian Federation, MoscowMaria G. Poltavskaya
Sechenov First Moscow State Medical University (Sechenov University)
Email: dvoretski@mail.ru
ORCID iD: 0000-0003-4463-2897
доктор медицинских наук, профессор кафедры кардиологии, функциональной и ультразвуковой диагностики
Russian Federation, MoscowDenis A. Andreev
Sechenov First Moscow State Medical University (Sechenov University)
Email: dvoretski@mail.ru
ORCID iD: 0000-0002-0276-7374
доктор медицинских наук, профессор, зав. кафедры кардиологии, функциональной и ультразвуковой диагностики
Russian Federation, MoscowElena V. Tarykina
Yudin City Clinical Hospital
Email: dvoretski@mail.ru
ORCID iD: 0009-0007-2529-3371
зав. терапевтическим отделением
Russian Federation, МоскваNatalya A. Plaksina
Sechenov First Moscow State Medical University (Sechenov University)
Email: dvoretski@mail.ru
ORCID iD: 0000-0003-3782-0769
врач-кардиолог Университетской клинической больницы №1
Russian Federation, MoscowVadim V. Minaev
Sechenov First Moscow State Medical University (Sechenov University)
Email: dvoretski@mail.ru
кандидат медицинских наук, кардиохирург Университетской клинической больницы
Russian Federation, MoscowAngelina V. Terekhova
Lopukhin Federal Research and Clinical Center of Physical-Chemical Medicine
Author for correspondence.
Email: dvoretski@mail.ru
ORCID iD: 0000-0002-5294-6055
врач-кардиолог
Russian Federation, MoscowReferences
- Wang D, Hu B, Hu C, et al. Clinical Characteristics of 138 Hospitalized Patients With 2019 Novel Coronavirus-Infected Pneumonia in Wuhan, China [published correction appears in JAMA. 2021;325(11):1113]. JAMA. 2020;323(11):1061-9. doi: 10.1001/jama.2020.1585
- Bao C, Liu X, Zhang H, et al. Coronavirus disease (COVID-19) CT findings: a systematic review and meta-analysis. J Am Coll Radiol. 2020;17(6):701-9. doi: 10.1016/j.jacr.2020.03.006
- Muhammad SZ, Ahmed A, Shahid I, et al. Chest computed tomography findings in hospitalized COVID-19 patients: a systematic review and meta-analysis. Infez Med. 2020;28(3):295-301. PMID: 32920564
- Diaz-Arocutipa C, Saucedo-Chinchay J, Imazio M. Pericarditis in patients with COVID-19: a systematic review. J Cardiovasc Med (Hagerstown). 2021;22(9):693-700. doi: 10.2459/JCM.0000000000001202
- Li K, Wu J, Wu F, et al. The Clinical and Chest CT Features Associated With Severe and Critical COVID-19 Pneumonia. Invest Radiol. 2020;55(6):327-31. doi: 10.1097/RLI.0000000000000672
- Farina A, Uccello G, Spreafico M, et al. SARS-CoV-2 detection in the pericardial fluid of a patient with cardiac tamponade. Eur J Intern Med. 2020;76:100-1. doi: 10.1016/j.ejim.2020.04.045
- Sauer F, Dagrenat C, Couppie P, et al. Pericardial effusion in patients with COVID-19: case series. Eur Heart J Case Rep. 2020;4(FI1):1-7. doi: 10.1093/ehjcr/ytaa287
- Tong Y, Bao A, Chen H, et al. Necessity for detection of SARS-CoV-2 RNA in multiple types of specimens for the discharge of the patients with COVID-19. J Transl Med. 2020;18(1):411. doi: 10.1186/s12967-020-02580-w
- Naqvi SGZ, Naseeb U, Fatima K, et al. Acute pericarditis and pericardial effusion in a hypertensive COVID-19 patient. Cureus. 2020;12(9):e10705. doi: 10.7759/cureus.10705
- Walker C, Peyko V, Farrell C, et al. Pericardial effusion and cardiac tamponade requiring pericardial window in an otherwise healthy 30-year-old patient with COVID-19: a case report. J Med Case Rep. 2020;14(1):158. doi: 10.1186/s13256-020-02467-w
- Hua A, O’Gallagher K, Sado D, Byrne J. Life-threatening cardiac tamponade complicating myo-pericarditis in COVID-19. Eur Heart J. 2020;41(22):2130. doi: 10.1093/eurheartj/ehaa253
- Dalen H, Holte E, Guldal AU, et al. Acute perimyocarditis with cardiac tamponade in COVID-19 infection without respiratory disease. BMJ Case Rep. 2020;13(8):e236218. doi: 10.1136/bcr-2020-236218
- Dabbagh MF, Aurora L, D'Souza P, et al. Cardiac Tamponade Secondary to COVID-19. JACC Case Rep. 2020;2(9):1326-30. doi: 10.1016/j.jaccas.2020.04.009
- Purohit R, Kanwal A, Pandit A, et al. Acute Myopericarditis with Pericardial Effusion and Cardiac Tamponade in a Patient with COVID-19. Am J Case Rep. 2020;21:e925554. doi: 10.12659/AJCR.925554
- Asif T, Kassab K, Iskander F, Alyousef T. Acute pericarditis and cardiac tamponade in a patient with COVID-19: a therapeutic challenge. Eur J Case Rep Intern Med. 2020;7(6):00171. doi: 10.12890/2020_001701
- Danilova OV, Danilov AV. Pericardial involvement by chronic lymphocytic leukemia/small lymphocytic lymphoma. Blood. 2015;126(3):424. doi: 10.1182/blood-2015-04-641571
- Amoozgar B, Kaushal V, Mubashar U, et al. Symptomatic pericardial effusion in the setting of asymptomatic COVID-19 infection: A case report. Medicine (Baltimore). 2020;99(37):e22093. doi: 10.1097/MD.0000000000022093
- Johny D, Subramanyam K, Baikunje N, Hosmane GB. Cardiac tamponade and massive pleural effusion in a young COVID-19-positive adult. BMJ Case Rep. 2021;14(9):e244518. doi: 10.1136/bcr-2021-244518
- Nainar R, Krishnan D, Kaliannan M, et al. An interesting paradox of COVID-19 illness in chronic lymphocytic leukemia. Indian Journal of Hematology and Blood Transfusion. 2020;36(Suppl. 1):S107-8.
Supplementary files






