A case of pleuropulmonary dirofilariasis caused by Dirofilaria repens. Case report
- Authors: Kozlov S.S.1,2,3, Ermakova L.A.4, Lobzin Y.V.1,3,5, Nagorny S.A.4, Kornienko I.V.6,7, Telicheva V.O.4, Kaliuzhina M.A.4, Pshenichcnaya N.Y.8
-
Affiliations:
- Pediatric Research and Clinical Center for Infectious Diseases
- Saint Petersburg State Pediatric Medical University
- Kirov Military Medical Academy
- Rostov Research Institute of Microbiology and Parasitology
- Mechnikov North-Western State Medical University
- Federal Research Center Southern Scientific Center of the Russian Academy of Sciences
- Southern Federal University
- Central Research Institute of Epidemiology
- Issue: Vol 95, No 11 (2023)
- Pages: 970-975
- Section: Case reports
- Submitted: 24.11.2023
- Accepted: 24.11.2023
- Published: 22.12.2023
- URL: https://ter-arkhiv.ru/0040-3660/article/view/623809
- DOI: https://doi.org/10.26442/00403660.2023.11.202477
- ID: 623809
Cite item
Full Text
Abstract
The differential diagnosis of neoplasms of various localizations is the primary task in clinical practice of all physicians. We present a description of the case of invasion with Dirofilaria repens in the lung of a 68-year-old patient. In 2016 the patient was diagnosed with cancer of the left kidney and underwent a left-sided nephrectomy. During the dynamic observation in 2019, a lump was found in the left lung, which was regarded as a metastasis. An atypical SIX resection of the left lung was performed. Microscopy of the removed lump revealed the presence of a nematode of the genus Dirofilaria, presumably D. repens. The species identity of D. repens was confirmed by polymerase chain reaction using species-specific primers. It is known that the morphological identification of parasites up to the species in the surgical material presents certain difficulties and requires high professional training of the researcher. Therefore, the diagnosis of dirofilariasis in atypical localizations of nematodes in the human body is of great importance in the differentiation of malignant and benign formations, and the use of the polymerase chain reaction method can significantly increase the accuracy in establishing the final diagnosis.
Full Text
Список сокращений
КТ – компьютерная томография
ПЦР – полимеразная цепная реакция
Введение
Дирофиляриоз – единственный трансмиссивный нематодоз человека, распространенный в странах умеренного климатического пояса земли. Литературные данные свидетельствуют о том, что 7 из 27 известных видов нематод рода Dirofilaria могут паразитировать в организме человека [1], но только 2 вида из них: D. repens и D. immitis – имеют самый широкий ареал распространения. Их очаги регистрируются на территориях стран умеренного климата [2]. Наиболее частыми причинами заболеваний дирофиляриозом человека в Америке и Японии служат нематоды D. immitis (реже – D. tenuis), тогда как на территориях стран Старого Света – D. repens [2–5]. Принципиальным различием биологии данных возбудителей является их избирательность в отношении органов-мишеней в организме дефинитивных хозяев (представителей псовых и кошачьих). Так, нематоды D. repens, как правило, локализуются в подкожной клетчатке, а D. immitis – в легочном стволе и правом желудочке сердца животных [6].
В 2009 г. S. Pampiglione и соавт. [7] на основании проведенного ретроспективного изучения случаев заболеваний дирофиляриозом в странах Старого Света пришли к выводу об отсутствии убедительных доказательств патогенности D. immitis для человека в этом географическом регионе, тогда как в Новом Свете этот вид у человека регистрируется часто. Возможно, это объясняется наличием определенных генетических особенностей, свойственных популяциям одного и того же вида паразита, которые обитают на различных континентах. Известны работы, посвященные изучению генотипа D. immitis [8, 9], однако в них отсутствуют данные о влиянии тех или иных генов на патогенность дирофилярий для человека.
По данным литературы [10, 11], в Японии и Америке, где наиболее частым патогеном при инвазиях легких человека является D. immitis, диагноз устанавливался только на основании морфологического исследования гистологических образцов. Тем не менее определение дирофилярий до вида при их атипичной локализации в организме человека – сложная задача, особенно в случаях повреждения гельминтов, что может послужить причиной диагностических ошибок. Так, специалисты из Австралии и Бразилии, описывая случаи легочного дирофиляриоза человека, указывали на невозможность идентификации нематоды до вида на основе только микроскопии [12, 13]. Первый опыт применения метода полимеразной цепной реакции (ПЦР) для идентификации видовой принадлежности дирофилярий, удаленных из организма человека, предпринят итальянскими учеными в 2006 г. [14]. Авторы сообщили о 2 случаях легочного дирофиляриоза, который протекал бессимптомно, и очаги поражения обнаружены случайно при рентгенологическом исследовании органов грудной клетки. Обоим пациентам выполнена торакотомия. В 1-м случае в удаленном образовании находилась неполовозрелая нематода, которая была идентифицирована как D. repens. Во 2-м случае извлеченная нематода была некротизирована, что не позволило точно определить ее вид. Между тем проведенный ПЦР-анализ помог в обоих случаях идентифицировать D. repens.
Описание клинического случая
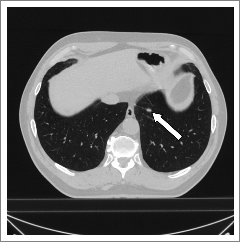
У жителя г. Воронежа 68 лет в 2016 г. диагностирован рак левой почки и выполнена левосторонняя нефрэктомия. Пациент получил 3 курса химиотерапии и ежегодно проходил углубленное обследование. В феврале 2019 г. проведено контрольное обследование – компьютерная томография (КТ) органов грудной клетки. По данным КТ в нижней доле левого легкого SIX «обнаружен очаг, предлежащий к уплотненной междолевой плевре, размером 0,9×0,5 см» (рис. 1).
Рис. 1. КТ органов грудной полости с очагом в нижней доле левого легкого.
Fig. 1. Computed tomography of the chest with a lesion in the lower lobe of the left lung.
При повторно выполненной КТ 24.10.2019 отмечено «увеличение размеров новообразования до 1,5×1 см, остальные уплотнения на междолевой плевре без динамики». Других очагов во внутренних органах и центральной нервной системе не обнаружено. Выявленные изменения послужили основанием для направления пациента на хирургическое лечение, а сам очаг расценен как метастаз.
Больной поступил на лечение в ФГБУ «НМИЦ онкологии имени Н.Н. Блохина» (г. Москва). В предоперационный период результаты клинических и биохимических показателей крови были в пределах референсных возрастных значений.
28.11.2019 малоинвазивным методом пациенту выполнена атипичная резекция SIX левого легкого. В результатах морфологического исследования операционного материала от 04.12.2019 указано: «…лимфоузел легочной связки. При микроскопии – признаки глистной инвазии с обширной зоной некроза, окруженной разрастанием фиброзной ткани с очаговой воспалительной инфильтрацией с многочисленными многоядерными клетками». Послеоперационный период протекал гладко, и 05.12.2019 пациент выписан из стационара.
После выписки по просьбе пациента гистологические препараты были повторно просмотрены во ФГБУ ДНКЦИБ (г. Санкт-Петербург) профессором С.С. Козловым. По его заключению, «в представленных препаратах, окрашенных гематоксилином и эозином, определяются фрагменты тела нематоды. Характерные кутикулярные шипы, строение гиподермы со слоем продольных мышечных клеток и другие морфологические признаки позволяют отнести данную нематоду к роду Dirofilaria, вероятнее, D. repens» (рис. 2). Метастаз опухоли у больного исключен.
Рис. 2. Гистологический срез удаленной ткани легкого с фрагментами паразита. Окраска гематоксилином и эозином. ×100.
Fig. 2. Histological section of the removed lung tissue with fragments of the parasite. Stained with hematoxylin and eosin. ×100.
Для видовой идентификации паразита гистологические срезы (3 стекла) направлены в ФБУН «РостовНИИ микробиологии и паразитологии». При микроскопии гистологических препаратов визуализировались поперечные срезы нематоды – D. repens (рис. 3).
Рис. 3. Гистологический срез удаленной ткани легкого с фрагментами паразита (четко просматриваются шипики на поверхности кутикулы нематоды и характерное строение кожно-мускульного мешка). Окраска гематоксилином и эозином. ×400.
Fig. 3. Histological specimen of the removed lung tissue with fragments of the parasite (comb-shaped outgrowths on the cuticle of the nematode and the characteristic structure of the skin-muscular sac are clearly visible). Stained with hematoxylin and eosin. ×400.
Методика проведения ПЦР гистологических препаратов. Стекла с гистопрепаратами тщательно очищены, и после термической обработки на водяной бане в течение 15 мин с них сняты покровные стекла. Затем стерильным скальпелем соскабливали гистопрепарат с предметного стекла и помещали в стерильную пробирку.
Выделение ДНК из полученного материала проводили 2 способами: при помощи коммерческого набора реагентов DNA IQ (Promega, США) и с помощью фенол-органической экстракции [15]. Преэкстракционная обработка включала инкубацию биологического материала в лизирующих буферах при добавлении в них протеиназы К и дитиотреитола в конечных концентрация 0,6 мг/мл и 50 мМ соответственно. Инкубацию проводили при температуре 65ºС течение 2 ч, затем при 65ºС в течение 18 ч. Далее экстракцию ДНК проводили согласно общепринятым методикам [15].
Качество выделенной ДНК человека оценивали по результатам генотипирования микросателлитных аутосомных локусов с помощью коммерческого набора реагентов COrDIS Plus (ООО «ГОРДИЗ», Россия).
Амплификацию ДНК осуществляли методом ПЦР с помощью термоциклера GeneAmp® PCR System 9700 (Applied Biosystems, Inc., США). Электрофоретическое разделение ампликонов проводили с помощью автоматического ДНК-анализатора ABI PRISM 3130xl (Applied Biosystems, Inc., США). В ходе исследования определили наличие слабо деградированной ДНК, принадлежащей человеку мужского пола.
Приготовление ПЦР-смеси для проведения реакции осуществлялось с использованием набора реагентов для проведения ПЦР в реальном времени в присутствии красителя EVAGreen («СИНТОЛ», Россия). Идентификацию ДНК дирофилярий в препаратах проводили методом энзиматической амплификации на приборе «ДТ-прайм 5» («ДНК-Технология», Россия). Для постановки ПЦР подобраны и синтезированы оригинальные специфичные праймеры на фрагмент гена COI митохондриальной ДНК дирофилярий [находятся на стадии патентования, положительное решение №2021135820/10(075567) от 06.02.2022]. Конечная концентрация ионов магния составляла 2,5 мМ. Режимы амплификации: начальная денатурация при температуре 95ºC в течение 5 мин, затем 45 циклов, включающие денатурацию при 95ºC 10 с, отжиг при 60ºС – 10 с, синтез при 72ºС – 30 с. В качестве положительного контроля использовали морфологически подтвержденные гомогенаты нематод, содержащие ДНК D. repens и D. immitis, в качестве отрицательного – пробу без ДНК (рис. 4).
Рис. 4. Результаты ПЦР в реальном времени: 1 – положительный контрольный образец 1, содержащий ДНК D. repens с праймерами, специфичными к D. repens; 2 – исследуемый образец с праймерами, специфичными к D. repens; 3 – положительный контрольный образец 2, содержащий ДНК D. immitis с праймерами, специфичными к D. immitis; 4 – исследуемый образец с праймерами, специфичными к D. immitis.
Fig. 4. Results of real-time polymerase chain reaction analysis: 1 – a positive control 1 with D. repens DNA with D. repens-specific primers; 2 – a test sample with D. repens-specific primers; 3 – a positive control 2 with D. immitis DNA with D. immitis-specific primers; 4 – a test sample with D. immitis-specific primers.
В результате амплификации с использованием праймеров, специфичных к фрагменту гена COI митохондриальной ДНК D. repens, происходило накопление продуктов ПЦР в пробирках, содержащих исследуемый образец и контрольную ДНК D. repens. При использовании праймеров, специфичных к фрагменту гена COI митохондриальной ДНК D. immitis, ампликоны образовались только в пробирке, содержащей контрольную ДНК D. immitis (рис. 4, 5). Таким образом, молекулярно-генетическими методами подтверждена видовая принадлежность нематоды к виду D. repens.
Рис. 5. Кривые плавления ампликонов: 1 – положительный контрольный образец 1, содержащий ДНК D. repens с праймерами, специфичными к D. repens; 2 – исследуемый образец с праймерами, специфичными к D. repens; 3 – положительный контрольный образец 2, содержащий ДНК D. immitis с праймерами, специфичными к D. immitis; 4 – исследуемый образец с праймерами, специфичными к D. immitis.
Fig. 5. Amplicon melting curves: 1 – a positive control sample 1 with D. repens DNA with primers specific to D. repens; 2 – a test sample with primers specific to D. repens; 3 – a positive control sample 2 with D. immitis DNA with primers specific to D. immitis; 4 – a test sample with primers specific to D. immitis.
Обсуждение
На территории Российской Федерации заболеваемость дирофиляриозом по многолетним данным в среднем составляет 0,1% на 100 тыс. населения. В последние годы отмечается расширение нозоареала подкожного дирофиляриоза на территории России, вплоть до 59° 53' с.ш. (г. Санкт-Петербург, г. Великий Новгород) [16–18]. Заражение человека, как правило, происходит в период максимальной активности комаров [19], обычно с июля по октябрь. В подавляющем большинстве случаев этиологическим фактором дирофиляриоза человека служит D. repens, инвазия человека D. immitis фиксируется крайне редко. Например, в 2016 г. описан случай обнаружения неполовозрелой самки дирофилярии у ребенка 14 мес в Московской области, не выезжавшего за пределы места жительства [20]. При морфологическом исследовании паразит идентифицирован как D. immitis. Однако авторы не использовали молекулярно-биологические методы для видовой идентификации нематоды.
Особенностью инвазии человека D. repens является преимущественная локализация нематод подкожно, наиболее часто – в области головы и шеи (до 70% случаев) [1, 21, 22], однако эти гельминты могут локализоваться и в других внутренних органах. В 2011–2015 гг. опубликованы работы, в которых сообщалось о случаях дирофиляриоза легких у человека в России, обусловленные инвазией D. repens [23, 24]. Случай обнаружения возбудителя подкожного дирофиляриоза в лимфатическом узле, идентифицированный морфологически и подтвержденный методом ПЦР, описан у жительницы г. Тюмени в 2019 г. [25].
Во многих случаях фотографии срезов нематод, представленные в публикациях, не позволяют выявить видоспецифические морфологические признаки гельминтов, что приводит к сомнениям в обоснованности заключения о видовой принадлежности паразитов [12, 13].
Заключение
По результатам анализа литературных данных и собственных наблюдений, в отличие от дефинитивных хозяев у человека дирофилярии обоих видов могут паразитировать в различных органах и тканях. Так, D. repens обнаружены в легких [22, 23], а D. immitis – в подкожной клетчатке [19].
Морфологическая идентификация паразитов до вида, по мнению широкого круга исследователей, представляет определенные трудности и требует высокой профессиональной подготовки специалиста.
В клинической практике дифференциальная диагностика новообразований различной локализации является первостепенной задачей для врачей всех специальностей, поскольку выбор дальнейшей тактики по ведéнию больного напрямую зависит от правильно установленного диагноза, который основывается на данных лабораторных исследований.
В связи со сложностями диагностики дирофиляриоза при локализации паразитов во внутренних органах описание таких клинических случаев может являться дополнительным информационным инструментом для клиницистов, сокращающим путь к правильному диагнозу, а использование различных методов лабораторной диагностики – морфологического и ПЦР – позволяет существенно повысить точность диагностики и оптимизировать верификацию диагноза при новообразованиях различной локализации.
Раскрытие интересов. Авторы декларируют отсутствие явных и потенциальных конфликтов интересов, связанных с публикацией настоящей статьи.
Disclosure of interest. The authors declare that they have no competing interests.
Вклад авторов. Авторы декларируют соответствие своего авторства международным критериям ICMJE. Все авторы в равной степени участвовали в подготовке публикации: разработка концепции статьи, получение и анализ фактических данных, написание и редактирование текста статьи, проверка и утверждение текста статьи.
Authors’ contribution. The authors declare the compliance of their authorship according to the international ICMJE criteria. All authors made a substantial contribution to the conception of the work, acquisition, analysis, interpretation of data for the work, drafting and revising the work, final approval of the version to be published and agree to be accountable for all aspects of the work.
Источник финансирования. Исследование выполнено в рамках реализации государственного задания ФБУН «РостовНИИ микробиологии и паразитологии» МП№121022600151-5 «Разработка новых молекулярно-генетических методик лабораторной диагностики возбудителей гельминтозов, мониторинг трансмиссивных гельминтозов (дирофиляриоз)». Преэкстракционная обработка, выделение и оценка качества ДНК биологических образцов выполнены в рамках реализации государственного задания ЮНЦ РАН, групповой проект №122011900166-9.
Funding source. The study was supported by the Governmental. Task, assignment «Rostov Research Institute of Microbiology and Parasitology» (Rostov-on-Don, Russia) No. 121022600151-5 «Development of new molecular-genetic methods of laboratory diagnostics of pathogens of helminthiasis, monitoring of vector-borne helminthiasis (dirofilariasis)». Prepectoral conversion, separation and DNA quality assessment of biological samples were performed as part of the state task of Federal Research Center Southern Scientific Center of the Russian Academy of Sciences (Rostov-on-Don, Russia) No. 122011900166-9.
Информированное согласие на публикацию. Пациент подписал форму добровольного информированного согласия на публикацию медицинской информации.
Consent for publication. Written consent was obtained from the patient for publication of relevant medical information and all of accompanying images within the manuscript.
About the authors
Sergey S. Kozlov
Pediatric Research and Clinical Center for Infectious Diseases; Saint Petersburg State Pediatric Medical University; Kirov Military Medical Academy
Author for correspondence.
Email: infectology@mail.ru
ORCID iD: 0000-0003-0632-7306
доктор медицинских наук, профессор, врач клинической лабораторной диагностики ФГБУ ДНКЦИБ, профессор ФГБОУ ВО СПбГПМУ, профессор ФГБВОУ ВО «ВМА имени С.М. Кирова»
Russian Federation, Saint Petersburg; Saint Petersburg; Saint PetersburgLarisa A. Ermakova
Rostov Research Institute of Microbiology and Parasitology
Email: infectology@mail.ru
ORCID iD: 0000-0002-8918-2271
кандидат медицинских наук, зав. клиникой инфекционных и паразитарных болезней, врач-инфекционист
Russian Federation, Rostov-on-DonYuri V. Lobzin
Pediatric Research and Clinical Center for Infectious Diseases; Kirov Military Medical Academy; Mechnikov North-Western State Medical University
Email: infectology@mail.ru
ORCID iD: 0000-0002-6934-2223
академик РАН, профессор, президент ФГБУ ДНКЦИБ, гл. научный советник научно-исследовательского центра, зав. кафедры инфекционных болезней
Russian Federation, Saint Petersburg; Saint Petersburg; Saint PetersburgSergey A. Nagorny
Rostov Research Institute of Microbiology and Parasitology
Email: infectology@mail.ru
ORCID iD: 0000-0001-8487-2313
кандидат биол. наук, вед. научный сотрудник лаб. санитарно-паразитологического мониторинга, медицинской паразитологии и иммунологии
Russian Federation, Rostov-on-DonIgor V. Kornienko
Federal Research Center Southern Scientific Center of the Russian Academy of Sciences; Southern Federal University
Email: infectology@mail.ru
ORCID iD: 0000-0003-0274-3302
доктор биол. наук, гл. научный сотрудник, зав. научной лаборатории
Russian Federation, Rostov-on-Don; Rostov-on-DonVictoriya O. Telicheva
Rostov Research Institute of Microbiology and Parasitology
Email: infectology@mail.ru
ORCID iD: 0000-0003-4593-3982
биолог клиники инфекционных и паразитарных болезней
Russian Federation, Rostov-on-DonMariia A. Kaliuzhina
Rostov Research Institute of Microbiology and Parasitology
Email: infectology@mail.ru
ORCID iD: 0000-0001-6778-4426
мл. научный сотрудник лаб. санитарно-паразитологического мониторинга, медицинской паразитологии и иммунологии
Russian Federation, Rostov-on-DonNatalia Yu. Pshenichcnaya
Central Research Institute of Epidemiology
Email: infectology@mail.ru
ORCID iD: 0000-0003-2570-711X
доктор медицинских наук, профессор
Russian Federation, MoscowReferences
- Pampiglione S, Rivasi F. Human dirofilariasis due to Dirofilaria (Nochtiella) repens: An update of world literature from 1995 to 2000. Parassitologia. 2000;42(3-4):231-54. PMID: 11686084
- Otranto D, Dantas-Torres F, Brianti E, et al. Vector-borne helminths of dogs and humans in Europe. Parasit Vectors. 2013;6:16. doi: 10.1186/1756-3305-6-16
- Cuervo PF, Fantozzi MC, Di Cataldo S, et al. Analysis of climate and extrinsic incubation of Dirofilaria immitis in southern South America. Geospat Health. 2013;8(1):175-81. doi: 10.4081/gh.2013.64
- Akao N. Human dirofilariasis in Japan. Trop Med Health. 2011;39(1 Suppl. 2):65-71. doi: 10.2149/tmh.39-1-suppl_2-65
- Simón F, Siles-Lucas M, Morchón R, et al. Human and animal dirofilariasis: The emergence of a zoonotic mosaic. Clin Microbiol Rev. 2012;25(3):507-44. doi: 10.1128/CMR.00012-12
- Шуляк Б.Ф., Архипов И.А. Нематодозы собак (зоонозы, зооантропонозы). М.: Консо.Мед, 2010 [Shuliak BF, Arkhipov IA. Nematodozy sobak (zoonozy, zooantroponozy). Moscow: Konso.Med, 2010 (in Russian)].
- Pampiglione S, Rivasi F, Gustinelli A. Dirofilarial human cases in the Old World, attributed to Dirofilaria immitis: A critical analysis. Histopathology. 2009;54(2):192-204. doi: 10.1111/j.1365-2559.2008.03197.x
- Bourguinat C, Keller K, Prichard RK, Geary TG. Genetic polymorphism in Dirofilaria immitis. Vet Parasitol. 2011;176(4):368-73. doi: 10.1016/j.vetpar.2011.01.023
- Frank DN, St Amand AL, Feldman RA, et al. Molecular-phylogenetic characterization of microbial community imbalances in human inflammatory bowel diseases. Proc Natl Acad Sci USA. 2007;104(34):13780-5. doi: 10.1073/pnas.0706625104
- Atsumi E, Matsumoto H, Taira N, et al. Thirteen cases of pulmonary dirofilariasis in a single institution in Okinawa Island. Virchows Arch. 2019;475(3):335-40. doi: 10.1007/s00428-019-02614-9
- McCall JW, Genchi C, Kramer LH, et al. Heartworm disease in animals and humans. Adv Parasitol. 2008;66:193-285. doi: 10.1016/S0065-308X(08)00204-2
- Maxwell G, Sood J, Allpress S. An unexpected zoonosis: pulmonary dirofilaria infection mimicking pulmonary neoplasm. Respirol Case Rep. 2019;7(8):e00484. doi: 10.1002/rcr2.484
- Doltrário AB, Valim NC, Dellaspora EAPB, et al. Human pulmonary dirofilariasis with secondary myocarditis. Rev Soc Bras Med Trop. 2019;52:e20180461. doi: 10.1590/0037-8682-0461-2018
- Rivasi F, Boldorini R, Criante P, et al. Detection of Dirofilaria (Nochtiella) repens DNA by polymerase chain reaction in embedded paraffin tissues from two human pulmonary locations. APMIS. 2006;114(7-8):567-74. doi: 10.1111/j.1600-0463.2006.apm_423.x
- Корниенко И.В., Харламов С.Г. Методы исследования ДНК человека. Выделение ДНК и ее количественная оценка в аспекте судебно-медицинского исследования вещественных доказательств биологического происхождения. Учебно-методическое пособие. Ростов н/Д.: ЮФУ, 2012 [Kornienko IV, Kharlamov SG. Metody issledovaniia DNK cheloveka. Vydelenie DNK i ee kolichestvennaia otsenka v aspekte sudebno-meditsinskogo issledovaniia veshchestvennykh dokazatel'stv biologicheskogo proiskhozhdeniia. Uchebno-metodicheskoe posobie. Rostov-na-Donu: IuFU, 2012 (in Russian)].
- Козлов С.С., Вецмадян О.Т., Алентьев С.А., Турицин В.С. Ультразвуковое исследование как эффективный метод диагностики подкожного дирофиляриоза человека. Вестник рентгенологии и радиологии. 2016;97(2):101-4 [Kozlov SS, Vecmadyan OT, Mostovaya OT, Turicin VS. Ultrasonography as an effective diagnostic method for human subcutaneous dirofilariasis. Journal of Radiology and Nuclear Medicine. 2016;97(2):101-4 (in Russian)]. doi: 10.20862/0042-4676-2016-97-2-101-104
- Росоловский А.П., Пьяных В.А., Игнатьева В.И., и др. Дирофиляриоз в Новгородской области. Медицинская паразитология и паразитарные болезни. 2013;1:34-5 [Rosolovskiĭ AP, P'ianykh VA, Ignat'eva VI, et al. Dirofilariasis in the Nizhny Novgorod Region. Med Parazitol (Mosk). 2013;(1):34-5 (in Russian)]. PMID: 23805487
- Ласкин А.В. Случай подкожного дирофиляриоза у больной, поступившей в хирургический стационар Санкт-Петербурга. Инфекция и иммунитет. 2012;2(1-2):369-70 [Laskin AV. A case of subcutaneous dirofilariasis in a patient admitted to a surgical hospital in St. Petersburg. Infection and Immunity. 2012;2(1-2):369-70 (in Russian)].
- Нагорный С.А., Ермакова Л.А., Думбадзе О.С., и др. Дирофиляриоз в Ростовской области. Медицинская паразитология и паразитарные болезни. 2007;2:42-6 [Nagorny SA, Ermakova LA, Dumbadze OS, et al. Dirofilariasis in the Rostov region. Medical Parasitology and Parasitic Diseases. 2007;2:42-6 (in Russian)].
- Tumolskaya N, Pozio E, Rakova V, et al. Dirofilaria immitis in a child from the Russian Federation. Parasite. 2016;23:37. doi: 10.1051/parasite/2016037
- Ermakova L, Nagorny S, Pshenichnaya N, et al. Clinical and laboratory features of human dirofilariasis in Russia. IDCases. 2017;9:112-5. doi: 10.1016/j.idcr.2017.07.006
- Kalogeropoulos CD, Stefaniotou MI, Gorgoli KE, et al. Ocular dirofilariasis: A case series of 8 patients. Middle East Afr J Ophthalmol. 2014;21(4):312-6. doi: 10.4103/0974-9233.142267
- Бронштейн А.М., Малышев Н.А., Лучшев В.И., и др. Первый аутохтонный случай дирофиляриоза легких в России. Эпидемиология и инфекционные болезни. 2011;6(3):50-3 [Bronshteyn AM, Malyshev NA, Luchshev VI, et al. The first autochthonic case of pulmonary dirofilariasis in Russia. Epidemiologiya i Infektsionnye Bolezni. 2011;16(3):50-3 (in Russian)]. doi: 10.17816/EID40599
- Бронштейн A.M., Малышев Н.А., Федянина Л.В., и др. Клинические маски дирофиляриоза легких и плевры: анализ собственных наблюдений и обзор литературы. Эпидемиология и инфекционные болезни. 2015;20(1):43-9 [Bronshtein AM, Malyshev NA, Fedyanina LV, et al. Clinical masks of pleuropuhnonary dirofilariasis, a rare clinical presentation of dirofilariasis in Russia: A report of four cases and literature review. Epidemiologiya i Infektsionnye Bolezni. 2015;20(1):43-9 (in Russian)].
- Ermakova L, Nagorny S, Kornienko I, et al. Description of the rare localization of Dirofilaria repens in human in the right inguinal lymph node. IDCases. 2021;23:e01010. doi: 10.1016/j.idcr.2020.e01010
Supplementary files







