Tuberculosis infection in patients with inflammatory bowel diseases. Clinacal cases
- Authors: Timanovskaia M.U.1, Shaykhtdinova Y.R.1, Zhulina E.U.1, Kulakov D.S.1, Kagramanova A.V.1, Knyzev O.V.1,2, Parfenov A.I.1
-
Affiliations:
- Loginov Moscow Clinical Scientific Center
- Ryzhikh National Medical Research Centre for Coloproctology
- Issue: Vol 95, No 11 (2023)
- Pages: 979-984
- Section: Case reports
- Submitted: 17.11.2023
- Accepted: 17.11.2023
- Published: 22.12.2023
- URL: https://ter-arkhiv.ru/0040-3660/article/view/623524
- DOI: https://doi.org/10.26442/00403660.2023.11.202489
- ID: 623524
Cite item
Full Text
Abstract
In most cases Tuberculosis (TB) affects the lungs, but 10–15% of patients have extrapulmonary TB localisations, that is difficult to diagnose. TB is more spread among patients having the human immunodeficiency virus and among those who receive immunosuppressive therapy, specifically in patients with inflammatory bowel disease requiring long-term treatment with immunosuppressants and/or biologics. The symptoms of intestinal TB are nonspecific and may include chronic diarrhea, weight loss, fever and ascites. Differential diagnosis includes Crohn's disease, malignant neoplasms, periappendiceal abscesses, yersiniosis, etc. The article presents cases showing similarity of the intestinal form of TB with Crohn's disease, complexity dealing, diagnosing and treating patients with inflammatory bowel disease also having latent tuberculosis infection
Keywords
Full Text
Список сокращений
5-АСК – 5-аминосалициловая кислота
БК – болезнь Крона
ВЗК – воспалительные заболевания кишечника
ГИБП – генно-инженерные биологические препараты
ДСТ – диаскинтест
КТ – компьютерная томография
КУМ – кислотоустойчивые микобактерии
ЛТИ – латентная туберкулезная инфекция
МБТ – M. tuberculosis
ОБП – органы брюшной полости
ОГК – органы грудной клетки
ПЦР – полимеразная цепная реакция
РГ – рентгенография
ТБ – туберкулез
ТИ – туберкулезная инфекция
ФНО-α – фактор некроза опухоли α
ЯК – язвенный колит
Введение
Туберкулез (ТБ) является серьезной проблемой здравоохранения. В 2016 г. он вошел в десятку основных причин смерти во всем мире [1]. Заболеваемость ТБ высока в большинстве стран Азиатско-Тихоокеанского региона и стран Африки, на их долю приходится 56% новых случаев. Один из самых высоких показателей ТБ в Европе в 2016 г. оказался в Румынии (79,7 случая на 100 тыс. населения) [2].
В Российской Федерации отмечают стабильное снижение заболеваемости и смертности от ТБ. Так, в период с 2010 по 2019 г. показатель заболеваемости ТБ в России снизился в 1,9 раза, и в 2021 г. Всемирная организация здравоохранения исключила ее из списка стран с высоким бременем ТБ [3].
По данным этой организации, внелегочные формы ТБ составляют 10–15% от общего числа случаев ТБ, а кишечная форма – 2% [4]. Частота ошибок диагностики внелегочных форм в 2015 г. достигала 50–70% в странах, эндемичных по ТБ [5]. Учитывая многообразие клинических проявлений внелегочных форм ТБ, диагностика их остается сложной и нередко осуществляется специалистами, не имеющими опыта работы с подобным пациентами [6].
Больные с воспалительными заболеваниями кишечника (ВЗК) находятся в группе высокого риска по развитию туберкулезной инфекции (ТИ), что связано с необходимостью длительного или пожизненного применения иммуносупрессивной терапии. Согласно обновленному руководству Европейской организации по изучению болезни Крона и колита (ECCO) по оппортунистическим инфекциям у пациентов с ВЗК все препараты, применяемые для лечения язвенного колита (ЯК) и болезни Крона (БК), обладают иммуносупрессивным действием, степень которого зависит от дозы и длительности приема [7]. Исключение составляют лишь препараты аминосалициловой кислоты (5-АСК) и ведолизумаб. Последний имеет селективную иммуносупрессию.
Особо высоким риском ТБ обладают генно-инженерные биологические препараты (ГИБП), в первую очередь ингибитор фактора некроза опухоли α (ФНО-α), ключевой медиатор гранулематозного воспаления. Блокирование ФНО-α нарушает процесс формирования гранулем, что приводит к недостаточному ограничению очагов ТИ и способствует генерализации процесса [8].
В 2016 г. D. Carpio и соавт. изучили когорту из 50 больных с ВЗК и ТИ, получавших терапию препаратами анти-ФНО-α. Авторы установили, что средняя медиана появления первых симптомов ТИ составляла 155 дней после первого введения анти-ФНО-α, несмотря на соблюдение рекомендованных профилактических мер (рентгенологическое исследование легких и кожный туберкулиновый тест 2 раза в год). У 40% пациентов обнаружен активный ТБ легких, у 34% – диссеминированный ТБ и у 26% – ТБ внелегочной локализации. У 18% пациентов ТБ развился через 3–5 лет после начала лечения. Авторы сделали вывод о необходимости диагностики ТИ в течение 5 лет после окончания использования анти-ФНО-α [9]. Согласно систематическому обзору Т. Kucharzik и соавт. комбинация анти-ФНО-препаратов с метотрексатом или азатиоприном приводит к 13-кратному увеличению риска реактивации ТБ по сравнению с монотерапией анти-ФНО-α-препаратами [7].
Согласно российским национальным клиническим рекомендациям по фтизиатрии скринингу на латентную туберкулезную инфекцию (ЛТИ) подлежат лица детского и подросткового возраста, а также взрослое население в группах высокого риска. Лица с ЛТИ должны обследоваться 2 раза в год по меньшей мере в течение 5 лет с момента установления ЛТИ, что связано с высоким риском развития активного ТБ именно в этот период времени [10].
В 2018 г. К.С. Фролова и С.Е. Борисов сообщили о результатах наблюдения 167 пациентов с ВЗК в ГБУЗ «МНПЦ борьбы с туберкулезом» после начала терапии препаратами анти-ФНО-α. У 10 (6%) из них развился активный ТБ, ЛТИ – у 15 человек (9%) [8].
Ежегодно в отделении патологии кишечника ГБУЗ «МКНЦ имени А.С. Логинова» получают лечение более 1500 больных с ВЗК, из которых 40% (более 600 человек) – ГИБП. В 2022 г. ТИ диагностировали у 7,2% больных на фоне биологических препаратов разных классов. Руководствуясь национальными рекомендациями, мы проводим скрининг на ЛТИ всем первичным пациентам в дебюте ВЗК, а также перед началом терапии тиопуринами, ГИБП и большинству больных перед курсом системных глюкокортикостероидов. При этом каждые 6 мес повторяем обследование пациентов, получающих биологическую терапию. Скрининг включает диаскинтест (ДСТ) и рентгенологическое исследование органов грудной клетки (ОГК) – цифровую флюорографию/рентгенографию (РГ) или компьютерную томографию (КТ). Благодаря строгому соблюдению алгоритма обследования, активному привлечению специалистов мультидисциплинарной команды Центра в большинстве случаев удается своевременно диагностировать ЛТИ, ТБ легких, а также внелегочные формы ТБ и направлять пациентов к специалисту – фтизиатру – для проведения специфической терапии.
Представляем клинические наблюдения шести больных с ВЗК с выявленной ТИ.
Клинические наблюдения
- Пациент Г., 31 г., в 2017 г. перенес резекцию верхней доли правого легкого по поводу туберкулемы с распадом и получал противотуберкулезную терапию с положительным эффектом. В 2019 г. после ее завершения у больного обнаружен левосторонний ЯК. Длительное время получал комбинированную базисную терапию пероральными и ректальными формами препаратов 5-АСК. В 2021 г. зафиксирована умеренная активность заболевания, несмотря на приверженность пациента лечению. Учитывая недостаточный эффект от базисной терапии, невозможность применения гормонов и тиопуринов, начали лечение высокоселективным препаратом – ингибитором α4β7-интегрина – ведолизумабом. Через 6 мес при обследовании зафиксирована первичная неэффективность ведолизумаба (индекс Мейо 7 баллов – среднетяжелая атака). Провели смену препарата на ингибитор интерлейкина-12 и 23 – устекинумаб. В результате достигнута клинико-эндоскопическая ремиссия ЯК, биологическая терапия продолжается, данных за активацию ТБ нет.
- Пациентка С. 69 лет, наблюдается по поводу БК с 1991 г., когда при диагностической лапароскопии в связи с подозрением на острый аппендицит обнаружен инфильтрат правой подвздошной области, стеноз баугиниевой заслонки. Выполнена илеоцекальная резекция. В течение длительного времени принимала препараты 5-АСК. В 2019 г. при эндоскопическом обследовании выявлена БК в фазе язв, формирование тонко-толстокишечного свища (индекс Харви–Брэдшоу 12 – среднетяжелая атака). Учитывая тяжелое течение БК, после успешного скрининга на ЛТИ начата терапия препаратом анти-ФНО-α – цертолизумаба пэгол. В 2020 г. зафиксировали его вторичную неэффективность и произвели смену терапии на ингибитор ФНО-α – адалимумаб. При очередном обследовании в 2021 г. обнаружен положительный ДСТ (гиперемия 1,5 см в диаметре, Т-Spot.ТВ – положительный, 12/20). При анализе мокроты кислотоустойчивые микобактерии (КУМ) не обнаружены. При КТ ОГК – легкие без очаговых и инфильтративных изменений. Пациентка консультирована фтизиатром. Результаты исследований расценены как ЛТИ, данных за активный ТБ легких нет. Терапия препаратами анти-ФНО-α противопоказана. Проведен превентивный курс – изониазид в комбинации с пиразинамидом, 42 дозы. При контрольном лабораторном обследовании Т-Spot.TB – отрицательный (3/20). В 2022 г. начата терапия ведолизумабом. Достигнута клинико-эндоскопическая ремиссия БК, данных за реактивацию ЛТИ нет.
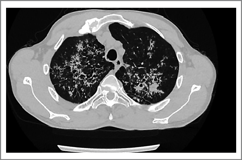
- Пациент М. 54 лет, в 2004 г. перенес экстренную илеоцекальную резекцию из-за кишечной непроходимости. Установлен диагноз БК в форме илеоколита, подтвержденный гистологически. В качестве противорецидивной терапии принимал азатиоприн. После исключения ТИ (ДСТ – отрицательный, РГ ОГК – без патологии) назначен цертолизумаба пэгол. Через 2 мес появилась лихорадка до 39°С, потливость, выраженная общая слабость, непродуктивный кашель. По данным КТ в легких выявлены множественные очаги 1–2 мм, лимфаденопатия средостения; множественные очаги в селезенке от 3 до 19 мм, слабо накапливающие контраст. Анализ крови: лейкоцитоз 13,2×109/л, скорость оседания эритроцитов 86 мм/ч, С-реактивный белок 292 мг/л. Мазок на SARS-CoV-2 – отрицательный. При эзофагогастродуоденоскопии и колоноилеоскопии данных за рецидив БК не получено. Полимеразная цепная реакция (ПЦР) биоптата слизистой оболочки толстой кишки: ДНК Mycobacterium tuberculosis не обнаружена. Терапия антибиотиками широкого спектра оказалась не эффективной. При КТ отрицательная динамика: увеличение количества и размеров очаговых поражений в легких и селезенке до 15 мм, лимфоузлы представлены конгломератами до 25 мм (рис. 1).
Рис. 1. КТ ОГК. Диссеминированный ТБ легких у пациента М. Многочисленные мелкие очаги в легких, увеличенные медиастинальные лимфатические узлы.
Fig. 1. CT scan of thoracic organs: Disseminated pulmonary tuberculosis in patient M. Numerous small lesions in the lungs, increased mediastinal lymph nodes.
Повторный ДСТ – положительный (гиперемия 10 мм). Выполнен T-Spot.TB – результат положительный. Установлен диагноз «гематогенно-диссеминированный ТБ». Пациент переведен в ГБУЗ «МНПЦ борьбы с туберкулезом», где проведена противотуберкулезная терапия. Вышеописанные симптомы регрессировали. При госпитализации в отделение патологии кишечника ГБУЗ «МКНЦ имени А.С. Логинова» в декабре 2022 г. данных за рецидив БК не получено. Пациенту назначен ведолизумаб в качестве поддерживающей противорецидивной терапии БК.
- Пациентка З. 47 лет, в 2021 г. поступила в ГБУЗ «МКНЦ имени А.С. Логинова» в тяжелом состоянии с болевым абдоминальным синдромом, частым жидким стулом. Жалобы постепенно прогрессировали на протяжении года. В приемном отделении выполнена обзорная РГ органов брюшной полости (ОБП). Обнаружены признаки тонко-толстокишечной непроходимости. По данным ультразвукового исследования ОБП установлены эхопризнаки инфильтрата с возможным абсцедированием в правой подвздошной области, тонкокишечной непроходимости, свободной жидкости в брюшной полости. При КТ ОГК очаговых и инфильтративных изменений в легких не выявлено, но обнаружены поствоспалительные изменения – фиброателектаз в СVIII левого легкого и двусторонняя аксиллярная лимфаденопатия. Лабораторно отмечалась белково-энергетическая недостаточность (альбумин 25 г/л), нарушение электролитного баланса (натрий 134,4 ммоль/л, хлор 96,4 ммоль/л), железодефицитная анемия (гемоглобин 90 г/л, эритроциты 3,68×106/мкл, железо 2,1 мкмоль/л, ферритин 10 мкг/л). ДСТ – отрицательный. Установлен предварительный диагноз «БК, тяжелая атака». Начата терапия антибактериальными препаратами (ципрофлоксацин, эртапенем), коррекция водно-электролитных, белково-энергетических нарушений, железодефицитной анемии. Несмотря на проводимую терапию, отмечалось ухудшение состояния: нарастала одышка, интоксикации, отеки нижних конечностей, снижение диуреза. Прогрессировали гипоальбуминемия (до 22,8 г/л), синдром системной воспалительной реакции: лейкоциты до 10,94×109/л, С-реактивный белок до 121,41 мг/л, прокальцитонин 73,1 нг/мл.
Проведено экстренное хирургическое лечение. При ревизии ОБП во всех отделах петли тонкой кишки покрыты налетом фибрина, париетальная и висцеральная брюшина, в том числе и поверхность печени, покрыты милиарными множественными, местами сливными, белесоватыми очагами, плотными при пальпации, т.е. картина распространенного серозно-фибринозного перитонита (рис. 2).
Рис. 2. Петли тонкой кишки, покрытые налетом фибрина, париетальная и висцеральная брюшина с милиарными множественными белесоватыми очагами, плотными при пальпации.
Fig. 2. Small intestine loops, covered with fibrin, parietal and visceral peritoneum, with mylar multiple whitish lesions, dense in palpation.
Выполнена резекция петель подвздошной кишки, илеоцекального угла, вскрыты абсцессы малого таза и брыжейки тонкой кишки, проведены санация брюшной полости и формирование концевых илео-асцендостом. В асцитической жидкости обнаружена M. tuberculosis complex. Морфологическое исследование операционного материала выявило в стенке слепой и подвздошной кишки хроническое продуктивное воспаление с образованием множества эпителиоидно-клеточных гранулем с наличием гигантских многоядерных клеток типа Пирогова–Ланхганса, большинство из которых с абсцедированием, а также изъязвление слизистой оболочки и образование сквозных дефектов до висцеральной брюшины с нейтрофильной инфильтрацией, фиброзом и наложением фибрина на поверхности брюшины. В лимфатических узлах имелись эпителиоидно-клеточные гранулемы с участками казеозного некроза и наличием гигантских многоядерных клеток типа Пирогова–Лангханса. Морфологическая картина с учетом результатов ПЦР-исследования асцитической жидкости характерна для ТБ слепой и подвздошной кишки, ТБ лимфатических узлов брыжейки, с развитием перфорации кишки и формированием разлитого фибринозно-гнойного перитонита (рис. 3).
Рис. 3. Казеозные гранулемы в брыжейке подвздошной кишки.
Fig. 3. Caseous granules in the mesoileum.
Позже пациентка сообщила, что год назад у нее диагностирована ВИЧ-инфекция (антитела ВИЧ 1, 2 + антиген p24 положительные), антиретровирусную терапию не получала. Совместно с фтизиатром и инфекционистом сформулирован диагноз «ВИЧ-инфекция, ТБ кишечника и брыжейки, тазовый локальный перитонит».
Пациентка переведена в ГБУЗ «МНПЦ борьбы с туберкулезом», где вскоре скончалась.
- Пациентка Ш. 67 лет, более 30 лет (с 1987 г.) наблюдалась с диагнозом «ревматоидный артрит, ревматоидный фактор положительный, антитела к циклическому цитруллинсодержащему пептиду положительные, системная склеродермия, лимитированная форма хронического течения, синдром Рейно».
Пациентка регулярно принимала Метипред 8 мг, Плаквенил 200 мг. С ноября 2021 г. ее стали беспокоить боли в нижних отделах живота, которые самостоятельно купировала приемом спазмолитиков. В связи с нарастающим абдоминальным болевым синдромом в мае 2022 г. пациентка госпитализирована в отделение патологии кишечника ГБУЗ «МКНЦ имени А.С. Логинова». При поступлении обращали на себя внимание гипопротеинемия (общий белок 57 г/л, альбумин 31,9 г/л), анемический синдром (гемоглобин 67 г/л, эритроциты 3,44×106/мкл), синдром системной воспалительной реакции (скорость оседания эритроцитов 91 мм/ч, С-реактивный белок 66,45 мг/л), ДСТ – отрицательный. При КТ ОГК обнаружена картина множественных очагов в легких, которые объяснялись поствоспалительными проявлениями перенесенной новой коронавирусной инфекции в ноябре 2021 г. и марте 2022 г. При колоноскопии обнаружено полуциркулярное изъязвление баугиниевой заслонки размерами 3,5–4,0 см с неглубоким дном, подрытыми краями. Просвет терминального отдела подвздошной кишки сужен до 8 мм. Гистологическое исследование показало хроническое продуктивное воспаление с изъязвлением слизистой оболочки и развитием грануляционной ткани. Опухолевого роста в пределах исследованного материала не обнаружено. При КТ-энтерографии выявлено утолщение стенок подвздошной кишки до 9–10 мм со слоистым накоплением контрастного препарата, сужение просвета до нитевидного на уровне илеоцекального клапана, утолщение стенок слепой кишки с уплотнением окружающей клетчатки.
Проведен общебольничный консилиум, решено выполнить илеоцекальную резекцию. Однако после колоноскопии у пациентки поднялась температура до 39°С, появилась ночная потливость и потеря аппетита. По данным КТ ОГК обнаружены признаки очагово-инфильтративных изменений в легких, появились зоны консолидации и перибронхиальных очагов в SX правого легкого. Повышались маркеры воспаления. Анализ T-Spot.TB – сомнительный. Учитывая выявленные изменения, высокий риск развития септических осложнений и сопутствующую патологию, от оперативного лечения решено воздержаться. Принято решение о проведении повторной колоноскопии с биопсией для выполнения ПЦР ДНК M. tuberculosis. В области баугиниевой заслонки и медиальной стенки слепой кишки определялось опухолевое инфильтративно-язвенное образование с бугристыми краями. Устье заслонки вовлечено в опухолевый процесс, непроходимо для аппарата. Взят материал для гистологического исследования с использованием методики глубокой лестничной биопсии. В биоптате методом ПЦР обнаружена ДНК M. tuberculosis. Выполнена также бронхоскопия, в бронхоальвеолярном лаваже КУМ не обнаружены. Консультирована фтизиатром. Установлен диагноз «генерализованный ТБ: диссеминированный ТБ легких, фаза инфильтрации, МБТ(-). ТБ подвздошной кишки, МБТ(+)». Пациентка переведена в ГБУЗ «МНПЦ борьбы с туберкулезом» для проведения оперативного вмешательства и специфической терапии. Однако от хирургического лечения отказалась и продолжает лечение под наблюдением фтизиатра.
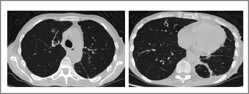
- Пациентка О. 69 лет, с 2017 г. наблюдается в ГБУЗ «МКНЦ имени А.С. Логинова» с БК тонкой кишки. В связи с неэффективностью азатиоприна с апреля 2020 г. инициирована терапия препаратом цертолизумаба пэгол. Предварительно исключена ТИ по данным РГ ОГК и ДСТ. После первого введения цертолизумаба пэгол развилась нежелательная реакция в виде удушья и тахикардии. Препарат отменен. Спустя 4 мес начата терапия ведолизумабом с положительным эффектом. В мае 2021 г. у больной повысилась температура тела до 40°С. По данным КТ ОГК в легких выявлены очаги с деструкцией, левосторонний плеврит, в мокроте обнаружены КУМ (рис. 4).
Рис. 4. КТ ОГК: очаговые изменения легких с деструкцией у пациентки О.
Fig. 4. CT scan of the thoracic organs: focal changes of the lungs with destruction in the patient O.
Установлен диссеминированный ТБ легких в фазе инфильтрации и распада. Назначена противотуберкулезная терапия (этамбутол, пиразинамид, изониазид, 61 доза). Ведолизумаб отменен. В последующем пациентка продолжила лечение месалазином 4 г/сут, ремиссия БК сохраняется по настоящее время.
Обсуждение
В России длительное время не существовало единой концепции диагностики и лечения ЛТИ, и только в 2016 г. впервые опубликованы соответствующие рекомендации [10], которые существенно помогли повысить уровень ведения пациентов с высоким риском активации ЛТИ.
Как сказано выше, ТИ выявлена у 7,2% больных, получавших биологические препараты разных классов в ГБУЗ «МКНЦ имени А.С. Логинова». Приведенные клинические наблюдения показывают, что практикующие врачи должны знать о факторах риска этого заболевания, поскольку одно только предположение о ТБ является первым и наиболее важным шагом на пути ранней диагностики его внелегочных форм. Чаще всего у пациентов с ВЗК ТБ протекает в латентной форме, описанной у пациентки С. (клиническое наблюдение 2), что подчеркивает необходимость своевременного проведения скрининга. Это одна проблема.
Другую проблему при диагностике ТИ у пациентов с ВЗК создают ложноотрицательные значения ДСТ. Они формируются на фоне иммуносупрессии и ВИЧ-инфекции, что продемонстрировано в описании клинических наблюдений 4 и 5. По данным R. Houben и соавт. примерно один из 12 больных с впервые выявленной ТИ оказывается инфицированным ВИЧ [11]. В среднем 30% пациентов с ВИЧ/СПИД умирают непосредственно от ТБ. У пациентов с ВИЧ-инфекцией проведение ДСТ целесообразно, как только количество клеток CD4 превысит 200 клеток/мкл, так как при меньшем количестве вероятен ложноотрицательный результат [11]. Чувствительность ДСТ при наличии ВИЧ-инфекции составляет 78,2%, а при ее отсутствии – 85,7% [12]. Зачастую единственными симптомами ТБ являются длительные боли в животе без четкой локализации и неустойчивый стул. Поэтому необходимо проводить дифференциальный диагноз с ВИЧ-ассоциированной энтеропатией, которая является диагнозом исключения. В клинически трудных ситуациях целесообразно использовать дополнительно квантифероновый или Т-Spot.ТВ тесты.
Существенно повышает уровень диагностики ТИ выполнение ПЦР на ДНК М. tuberculosis. В ГБУЗ «МКНЦ имени А.С. Логинова» это исследование проводится всем пациентам при первичной диагностике и при рецидиве ВЗК. Анализ осуществляется в биоптатах, полученных во время колоноилеоскопии из наиболее измененных участков кишечника. Так, в период с января 2022 по май 2023 г. исследованы 464 пробы биопсийного материала кишечника методом ПЦР, из которых 6 оказались положительными.
Понимание аспектов безопасности терапии ВЗК важно для достижения и поддержания ремиссии, минимизации рисков, устранения побочных эффектов и осложнений при их возникновении [13]. В этом контексте представляют интерес данные, свидетельствующие, что риск реактивации ТБ при ВЗК ниже при лечении ведолизумабом и устекинумабом по сравнению с другими ГИБП [14–16]. M. Choi и соавт. предлагают рассматривать эти препараты в качестве оптимального выбора для больных с ВЗК в странах, где бремя ТБ является значительным [17].
Согласно обзору R. Banerjee и соавт. в период с 2016 по 2018 г. в странах Азии, эндемичных по ТБ, зарегистрировано всего 7 случаев развития ТБ на фоне терапии ведолизумабом во время клинических исследований и в постмаркетинговых условиях за более чем 110 тыс. пациенто-лет [14]. Несмотря на приведенные данные о высоком профиле безопасности анти-α4β7-интегринов, клиническое наблюдение 6 демонстрирует развитие активного ТБ легких в процессе терапии селективным биологическим препаратом ведолизумабом. Тем не менее в данном случае нельзя исключать влияния ранее проведенного лечения препаратом из группы анти-ФНО-α, поскольку, по данным D. Carpio и соавт., развитие ТИ наблюдалось у пациентов даже спустя несколько лет после завершения лечения [9]. К тому же накопленные сведения весьма ограниченны, поэтому требуется анализировать каждый случай развития ТИ у больных с ВЗК.
Заключение
Решение о проведении превентивного противотуберкулезного лечения больному с ВЗК необходимо принимать совместно с фтизиатром. Адекватное решение в 4 раза снижает риск развития активного ТБ у пациентов, получающих иммуносупрессивную терапию.
При выявлении активного ТБ терапия препаратами анти-ФНО-α должна быть отменена. После окончания лечения ТБ предпочтение следует отдавать селективным биологическим препаратам. Вопрос о возобновлении лечения анти-ФНО-α остается поводом для дискуссий.
ТБ остается серьезной проблемой у пациентов, получающих иммуносупрессивную терапию, поскольку почти 1/2 случаев заболевания ТБ связана с несоблюдением рекомендаций, практикующие клиницисты должны информировать пациентов о рисках и придерживаться национальных рекомендаций по скринингу ТИ.
Раскрытие интересов. Авторы декларируют отсутствие явных и потенциальных конфликтов интересов, связанных с публикацией настоящей статьи.
Disclosure of interest. The authors declare that they have no competing interests.
Вклад авторов. Авторы декларируют соответствие своего авторства международным критериям ICMJE. Все авторы в равной степени участвовали в подготовке публикации: разработка концепции статьи, получение и анализ фактических данных, написание и редактирование текста статьи, проверка и утверждение текста статьи.
Authors’ contribution. The authors declare the compliance of their authorship according to the international ICMJE criteria. All authors made a substantial contribution to the conception of the work, acquisition, analysis, interpretation of data for the work, drafting and revising the work, final approval of the version to be published and agree to be accountable for all aspects of the work.
Источник финансирования. Авторы декларируют отсутствие внешнего финансирования для проведения исследования и публикации статьи.
Funding source. The authors declare that there is no external funding for the exploration and analysis work.
Информированное согласие на публикацию. Пациенты подписали форму добровольного информированного согласия на публикацию медицинской информации.
Consent for publication. Written consent was obtained from the patients for publication of relevant medical information and all of accompanying images within the manuscript.
About the authors
Maria U. Timanovskaia
Loginov Moscow Clinical Scientific Center
Email: asfold@mail.ru
ORCID iD: 0000-0002-7937-2346
мл. научный сотрудник отделения воспалительных заболеваний кишечника
Russian Federation, MoscowYuliya R. Shaykhtdinova
Loginov Moscow Clinical Scientific Center
Email: asfold@mail.ru
ORCID iD: 0009-0005-0482-8555
мл. научный сотрудник отделения воспалительных заболеваний кишечника
Russian Federation, MoscowElena U. Zhulina
Loginov Moscow Clinical Scientific Center
Email: asfold@mail.ru
ORCID iD: 0000-0003-3479-2299
кандидат медицинских наук, научный сотрудник отделения воспалительных заболеваний кишечника
Russian Federation, MoscowDmitrii S. Kulakov
Loginov Moscow Clinical Scientific Center
Email: asfold@mail.ru
ORCID iD: 0000-0002-0855-5217
мл. научный сотрудник отделения воспалительных заболеваний кишечника
Russian Federation, MoscowAnna V. Kagramanova
Loginov Moscow Clinical Scientific Center
Email: asfold@mail.ru
ORCID iD: 0000-0002-3818-6205
кандидат медицинских наук, старший научный сотрудник отделения воспалительных заболеваний кишечника
Russian Federation, MoscowOleg V. Knyzev
Loginov Moscow Clinical Scientific Center; Ryzhikh National Medical Research Centre for Coloproctology
Email: asfold@mail.ru
ORCID iD: 0000-0001-7250-0977
доктор медицинских наук, зав. отделением воспалительных заболеваний кишечника, профессор научно-образовательного отд.
Russian Federation, Moscow; MoscowAsfold I. Parfenov
Loginov Moscow Clinical Scientific Center
Author for correspondence.
Email: asfold@mail.ru
ORCID iD: 0000-0002-9782-4860
доктор медицинских наук, профессор, зав. отд. патологии кишечника
Russian Federation, MoscowReferences
- Yavuz A, Toksöz Yıldırım AN, Akan K, Tuncer I. A Never-Ending Challenge: Intestinal Tuberculosis or Inflammatory Bowel Disease. Cureus. 2021;13(7):e16282. doi: 10.7759/cureus.16282
- Van der Werf MJ, Zellweger JP. Impact of migration on tuberculosis epidemiology and control in the EU/EEA. Euro Surveill. 2016;21(12):pii=30174. doi: 10.2807/1560-7917.ES.2016.21.12.30174
- Министр здравоохранения РФ Михаил Мурашко: Заболеваемость туберкулезом в РФ удерживается на историческом минимуме, 24 марта 2022 г. Режим доступа: https://minzdrav.gov.ru/news/2022/03/24/18525-ministr-zdravoohraneniya-rf-mihail-murashko-zabolevaemost-tuberkulezom-v-rf-uderzhivaetsya-na-istoricheskom-minimume. Ссылка активна на 13.11.2023 [Ministr zdravookhraneniia RF Mikhail Murashko: Zabolevaemost' tuberkulezom v RF uderzhivaetsia na istoricheskom minimume, 24 marta 2022 g. Available at: https://minzdrav.gov.ru/news/2022/03/24/18525-ministr-zdravoohraneniya-rf-mihail-murashko-zabolevaemost-tuberkulezom-v-rf-uderzhivaetsya-na-istoricheskom-minimume. Accessed: 13.11.2023 (in Russian)].
- Global tuberculosis report 2020. Geneva: World Health Organization; 2020. Licence: CC BY-NC-SA 3.0 IGO. Available at: Global tuberculosis report 2020 (who.int) Accessed: 28.06.2021.
- Сюнякова Д.А. Особенности эпидемиологии туберкулеза в мире и в России в период 2015–2020 гг. Аналитический обзор. Социальные аспекты здоровья населения. 2021;67(3):11 [Syunyakova DA. Features of the epidemiology of tuberculosis in the world and in Russia in the period 2015–2020. Analytical survey. Social'nye aspekty zdorov'a naselenia=Social Aspects of Population Health. 2021;67(3):11 (in Russian)]. doi: 10.21045/2071-5021-2021-67-3-11
- Князев О.В., Каграманова А.В., Фадеева Н.А., и др. Трудности дифференциальной диагностики туберкулеза кишечника и болезни Крона. Клиническое наблюдение. Consilium Medicum. 2022;24(5):287-90 [Knyazev OV, Kagramanova AV, Fadeeva NA, et al. Difficulties in differential diagnosis tuberculosis and Crohn's disease. Case report. Consilium Medicum. 2022;24(5):287-90 (in Russian)]. doi: 10.26442/20751753.2022.5.201760
- Kucharzik Т, Ellul P, Greuter T, et al. ECCO Guidelines on the Prevention, Diagnosis, and Management of Infections in Inflammatory Bowel Disease. J Crohns Colitis. 2021;15(6):879-913. doi: 10.1093/ecco-jcc/jjab052
- Фролова К.С., Борисов С.Е. Риск развития туберкулеза у больных c воспалительными заболеваниями кишечника на фоне лечения ИФНО-α. Колопроктология. 2018;(1):49-56 [Frolova KS, Borisov SE. Risk of developing active TB in IBD patients treated with anti-TNF. Koloproktologia. 2018;(1):49-56 (in Russian)]. doi: 10.33878/2073-7556-2018-0-1-49-56
- Carpio D, Jauregui-Amezaga A, de Francisco R, et al; GETECCU. Tuberculosis in Anti-Tumour Necrosis Factor-treated Inflammatory Bowel Disease Patients After the Implementation of Preventive Measures: Compliance With Recommendations and Safety of Retreatment. J Crohns Colitis. 2016;10(10):1186-93. doi: 10.1093/ecco-jcc/jjw022
- Фтизиатрия. Национальные клинические рекомендации. Под ред. П.К. Яблонского. М.: ГЭОТАР-Медиа, 2016 [Ftiziatriia. Natsional'nye klinicheskie rekomendatsii. Pod red. P.K. Iablonskogo. Moscow: GEOTAR-Media, 2016 (in Russian)].
- Houben RM, Dodd PJ. The Global Burden of Latent Tuberculosis Infection: A Re-estimation Using Mathematical Modelling. PLoS Med. 2016;13(10):e1002152. doi: 10.1371/journal.pmed.1002152
- Global tuberculosis report 2022. Geneva: World Health Organization; 2022. Licence: CC BY-NC-SA 3.0 IGO. Available at: Global Tuberculosis Report 2022 (who.int) Accessed: 13.11.2023.
- Слогоцкая Л.В., Филиппов А.В., Кочетков Я.А., и др. Чувствительность и специфичность Диаскинтеста при внелегочной локализации туберкулеза у больных с ВИЧ-инфекцией и без нее. Иммунология. 2011;32(3):116-9 [Slogotskaya LV, Filippov AV, Kochetkov YaA, et al. The efficacy of application of Diaskintest in patients presenting with extrapulmonary localization of tuberculosis and concomitant HIV infection or without it. Immunologiia. 2011;32(3):116-9 (in Russian)].
- Тарасова Л.В., Бусалаева Е.И., Цыганова Ю.В., и др. Опыт применения ведолизумаба при язвенном колите (клинический случай). Доказательная гастроэнтерология. 2020;9(3):77‑82 [Tarasova LV, Busalaeva EI, Tsyganova YuV, et al. Vedolizumab in ulcerative colitis: clinical case. Russian Journal of Evidence-based Gastroenterology. 2020;9(3):77‑82 (in Russian)]. doi: 10.17116/dokgastro2020903177
- Banerjee R, Ali RAR, Wei SC, Adsul S. Biologics for the Management of Inflammatory Bowel Disease: A Review in Tuberculosis-Endemic Countries. Gut Liver. 2020;14(6):685-98. doi: 10.5009/gnl19209
- Kim K, Jo KW, Shim TS, et al. Frequency of Positive Conversion of Interferon-Gamma Release Assay Results Among Patients With Inflammatory Bowel Disease Treated With Non-tumor Necrosis Factor Inhibitors. Front Med (Lausanne). 2021;8:670242. doi: 10.3389/fmed.2021.670242
- Choi MG, Ye BD, Yang SK, et al. The Risk of Tuberculosis in Patients With Inflammatory Bowel Disease Treated With Vedolizumab or Ustekinumab in Korea. J Korean Med Sci. 2022;37(14):e107. doi: 10.3346/jkms.2022.37.e107
Supplementary files







