Clinical cases of microscopic colitis: Diagnosis and treatment issues. Case report
- Authors: Osadchuk A.M.1, Fadeeva N.A.2,3, Dashkina N.A.2, Loranskaya I.D.1, Khomeriki S.G.2
-
Affiliations:
- Russian Medical Academy of Continuous Professional Education
- Loginov Moscow Clinical Scientific and Practical Center
- Research Institute of Health Organization and Medical Management
- Issue: Vol 95, No 11 (2023)
- Pages: 985-990
- Section: Case reports
- Submitted: 16.11.2023
- Accepted: 16.11.2023
- Published: 22.12.2023
- URL: https://ter-arkhiv.ru/0040-3660/article/view/623488
- DOI: https://doi.org/10.26442/00403660.2023.11.202468
- ID: 623488
Cite item
Full Text
Abstract
Currently, there is an increase in the incidence of microscopic colitis. There are difficulties in diagnosing this disease due to the variability of histological signs, variability of morphological changes in the mucous membrane of the colon in different parts of the colon, and the combination in one patient of not only various forms of microscopic colitis, but also other intestinal diseases. The article describes the differential diagnosis, an example of its staging and successful treatment of various forms of microscopic colitis with budesonide (two clinical cases presented).
Full Text
Список сокращений
ВЗК – воспалительные заболевания кишечника
ДПК – двенадцатиперстная кишка
КИ – кишечная инфекция
КК – коллагенозный колит
КР – клиническая ремиссия
КС – колоноскопия
ЛК – лимфоцитарный колит
МК – микроскопический колит
УЗИ – ультразвуковое исследование
ЭГДС – эзофагогастродуоденоскопия
Ig – иммуноглобулин
В настоящее время наблюдается рост заболеваемости микроскопическим колитом (МК), в связи с чем проблема ранней диагностики и лечения этого заболевания становится все более актуальной. Заболеваемость коллагенозным колитом (КК) и лимфоцитарным колитом (ЛК) колеблется от 0,6 до 16,4 случая на 100 тыс. человеко-лет и от 0,6 до 16,0 случая на 100 тыс. человеко-лет соответственно. Как правило, МК поражает лиц старше 50–60 лет, а возраст старше 65 лет является значимым фактором риска МК [1]. Риск развития МК повышается у курящих [2], а также при приеме некоторых лекарственных препаратов [3]. Принадлежность к женскому полу увеличивает вероятность заболеваемости колитом приблизительно в 3 раза [1]. МК – иммуноопосредованное заболевание, патогенез которого складывается из генетической предрасположенности, нарушения эпителиальной проницаемости и метаболизма коллагена (для КК). Диагностика МК часто затруднена, что характеризуется отсутствием видимой органической патологии при выполнении колоноскопии (КС) и достаточно частым отсутствием характерных морфологических признаков МК при исследовании биопсийного материала. Диагноз МК основывается на изучении клинической картины, данных КС, биопсийного материала слизистой оболочки кишечника и эффекта от проводимой терапии. В рамках верификации диагноза МК необходимо исключить различные заболевания, включая инфекционные колиты, воспалительные заболевания кишечника (ВЗК), синдром раздраженного кишечника и глютеновую энтеропатию [4].
Целью лечения МК являются индукция и поддержание клинической ремиссии (КР). Несмотря на то, что у части пациентов с МК возможна спонтанная ремиссия, бóльшая часть больных нуждаются в назначении будесонида – единственного в настоящее время препарата, эффективность которого в лечении МК доказана как с целью индукции, так и поддержания КР [5]. Будесонид является препаратом 1-й линии для терапии и ЛК, и КК [1]. Клинические исследования показали, что индукция КР при лечении МК будесонидом в дозе 9 мг/сут в течение 6–8 нед составляет примерно 80%. В очень крупном международном исследовании продемонстрирована большая эффективность будесонида в индукции КР МК в сравнении с плацебо. У 61% пациентов КР сопровождалась разрешением гистологических признаков заболевания [6]. Данные результаты также соответствовали результатам ряда исследований, проведенных позднее [7]. По данным кокрановского анализа эффективности лечения КК показано, что при лечении будесонидом отношение шансов клинического ответа чрезвычайно высоко – 12,3 (95% доверительный интервал 5,5–27,5); NNT (number needed to treat) – число пациентов, которых нужно пролечить для получения результата у одного, равно 2. Полученные результаты подчеркивают высокую эффективность будесонида в лечении КК [8]. При анализе базы данных всех пациентов с КР, достигнутой применением будесонида, отмечено, что у 59% из них КР развилась через 2 нед терапии. Через 6 нед КР определялась у 84,6% пациентов. Исходя из этого примерно у 2/3 пациентов при применении будесонида КР наступала быстро, а у 25% сроки развития КР зависели от длительности проводимой терапии (не менее 2 нед и до 6 мес). В ряде исследований обнаружено, что длительная терапия будесонидом снижает частоту рецидивов МК. Сравнительный анализ этих исследований демонстрирует, что ежедневный прием будесонида в дозе 6 мг приводит к значительному удлинению времени до рецидива заболевания [9]. Терапия будесонидом хорошо переносится пациентами без развития серьезных побочных эффектов. Согласно данным многочисленных исследований, частота развития побочных эффектов при применении будесонида составляет 5,3%, что незначительно выше, чем в группе плацебо (3,4%). Применение будесонида как препарата выбора МК рекомендовано Американской гастроэнтерологической ассоциацией (2016 г.) [10] и Европейским обществом по изучению микроскопического колита (2021 г.) [1]; рис. 1, 2.
Рис. 1. Алгоритм лечения МК, предложенный Американской гастроэнтерологической ассоциацией [10].
Fig. 1. Microscopic colitis treatment algorithm proposed by the American Gastroenterological Association [10].
Рис. 2. Алгоритм лечения МК, предложенный Европейской группой по изучению микроскопического колита [1].
Fig. 2. Microscopic colitis treatment algorithm proposed by the European Group for Microscopic Colitis [1]
В России единственным препаратом будесонида с зарегистрированным показанием для терапии МК (коллагенозного) в форме кишечнорастворимых капсул и гранул является Буденофальк®. В активной фазе лечения данный препарат принимают в дозе 9 мг (3 капсулы) однократно утром, курсом 6–8 нед. После окончания курса будесонид можно отменить сразу или постепенно, снижая дозу на 3 мг в неделю. Гранулы Буденофальк® при МК принимаются в дозе 9 мг (1 саше) однократно, утром за 30 мин до еды, не разжевывая, 8 нед. При достижении КР гранулы Буденофальк® можно отменить сразу или принимать с удлиненными интервалами между приемами, например 9 мг/сут через день в течение 2 нед до полной отмены. При необходимости проведения длительного курса поддерживающей терапии рекомендована интермиттирующая схема приема будесонида: через день 3 мг (1 капсула) и 6 мг (2 капсулы), средняя доза – 4,5 мг/сут.
Приводим 2 клинических случая эффективного лечения МК с использованием будесонида (Буденофальк®).
Описание клинического случая 1
Пациент П. 46 лет находился на стационарном лечении и обследовании в ГБУЗ «МКНЦ имени А.С. Логинова» со 02.06.2022 по 15.06.2022. Предъявлял жалобы при поступлении на кашицеобразный стул периодически с примесью слизи, крови на салфетке, ноющие боли в левых отделах живота, вздутие и урчание в животе, общую слабость. Считает себя больным с 2018 г., когда на фоне полного благополучия отметил появление неустойчивого стула до 5 раз в сутки периодически с примесью слизи, ноющие боли в левых отделах живота, вздутие живота.
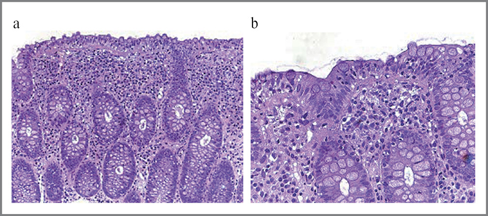
При наблюдении по месту жительства выявлены гепатоспленомегалия (по данным ультразвукового исследования – УЗИ органов брюшной полости), диффузные изменения печени, поджелудочной железы, деформация и взвесь в просвете желчного пузыря. При эзофагогастродуоденоскопии (ЭГДС) выявлены гликогеновый акантоз слизистой пищевода, дистальный рефлюкс-эзофагит, острые эрозии тела желудка. Принимал пробиотики, ингибиторы протонной помпы, препараты урсодезоксихолевой кислоты с временным положительным эффектом. КС выполнена амбулаторно 21.12.2021: илеоцекальный клапан отечен, резко гиперемирован, у устья дугообразно визуализируется эрозия до 3,5 см в диаметре, покрытая налетом фибрина. В правых отделах ободочной кишки слизистая очагово гиперемирована, сосудистый рисунок смазан, отмечаются диффузно петехиальные геморрагии. В поперечно-ободочной кишке и нисходящей ободочной кишке обнаружены единичные петехиальные геморрагии, слизистая умеренно отечная, сосудистый рисунок четкий. В нисходящей ободочной кишке и сигмовидной кишке определяются дивертикулы до 10 штук до 0,5 см в диаметре без признаков воспаления. Слизистая прямой кишки зернистая, покрытая петехиями, сосудистый рисунок смазан. При гистологическом исследовании выявлена гиперплазия части крипт, их деформация, уменьшение в них бокаловидных клеток, определяются участки изъязвления, достигающие собственной мышечной пластинки, покрытые некротическим и клеточным детритом. В строме отмечается густая диффузная лимфоплазмоцитарная воспалительная инфильтрация с примесью гистиоцитов, обильной примесью эозино-, нейтрофилов. Определяются множественные фокусы интраэпителиальной лейкоцитарной воспалительной инфильтрации с разрушением стенок части крипт, встречаются крипт-абсцессы. При ЭГДС от 21.12.2021 определен поверхностный гастрит. В марте 2022 г. у пациента амбулаторно исключены кишечные инфекции – КИ (сальмонеллез, шигеллез, иерсиниоз, клостридиальная инфекция). Кальпротектин от 08.04.2022 – 42,7 мкг/г. Принимал месалазин 3 г/сут – без эффекта, сохранялся диарейный синдром. Госпитализирован в ГБУЗ «МКНЦ имени А.С. Логинова» с предварительным клиническим диагнозом – «язвенный колит, тотальное поражение» для уточнения диагноза и коррекции терапии. При повторной КС от 07.06.2022 выявлен дивертикулез без признаков дивертикулита. Воспалительных изменений в терминальном отделе подвздошной кишки и толстой кишке не выявлено. Цитомегаловирусная инфекция и вирус Эпштейна–Барр в биоптате слизистой оболочки толстой кишки исключены методом полимеразной цепной реакции. Взята лестничная биопсия из всех отделов толстой кишки и подвздошной кишки для идентификации основного заболевания. Выполнена ЭГДС 06.06.2022, взята биопсия из залуковичного отдела двенадцатиперстной кишки (ДПК). При гистологическом исследовании амилоидоз, целиакия, болезнь Уиппла исключены. В гистологическом материале слизистой подвздошной кишки выявлены примерно 25 межэпителиальных лимфоцитов на 100 эпителиоцитов. Собственная пластинка отечная и неравномерно инфильтрирована лимфоцитами и плазмоцитами с примесью эозинофилов, преимущественно в поверхностных отделах. Во всех остальных биоптатах, взятых из толстой кишки, установлены однотипные изменения: дистрофия и участки десквамации клеток поверхностного эпителия. Между клетками эпителия встречались лимфоциты в количестве 30–35 на 100 эпителиоцитов (рис. 3).
Рис. 3. МК в форме ЛК: а – архитектоника кишечных крипт сохранена, собственная пластинка обильно инфильтрирована лимфоцитами и плазмоцитами; b – дистрофия клеток поверхностного эпителия. Увеличение числа межэпителиальных лимфоцитов. Окраска гематоксилином и эозином. Ув. ×120 (а), ×300 (b).
Fig. 3. Microscopic colitis in the form of lymphocytic colitis: a – the archtectonic of the intestinal crypt is preserved, its own plate is abundantly infiltrated by lymphocytes and plasmocytes; b – the dystrophy of surface epithelium cells. Increase in the number of interepithelial lymphocytes. Coloration of hematoxylin and eosin. Magnification of 120 (a), 300 (b).
На некоторых участках отмечалось утолщение слоя субэпителиального коллагена более 5 мкм, но менее 10 мкм. Собственная пластинка отечна и неравномерно инфильтрирована лимфоцитами и плазмоцитами с небольшой примесью эозинофилов, преимущественно в поверхностных отделах. В ней расположены фолликулоподобные скопления лимфоцитов. Признаков ВЗК в исследуемом материале не выявлено. Результаты исследования позволили поставить диагноз – «МК в форме ЛК».
В качестве терапии рекомендован прием будесонида в дозе 9 мг/сут в течение 8 нед, далее – 6 мг 4 нед, затем – 3 мг/сут 4 нед. Проведен курс кишечных антисептиков: рифаксимин 400 мг 3 раза в сутки 7 дней. При контрольной КС с лестничной биопсией через 6 мес сохранялся дивертикулез толстой кишки без признаков дивертикулита, по результатам контрольного гистологического исследования слизистой оболочки толстой кишки через 6 мес отмечалось снижение количества лимфоцитов до 12–15 на 100 эпителиоцитов, что соответствовало КР МК.
Описание клинического случая 2
Пациентка Х. 38 лет находилась на стационарном лечении и обследовании в ГБУЗ «МКНЦ имени А.С. Логинова» с 05.06.2023 по 15.06.2023. Предъявляла жалобы при поступлении на дискомфорт в нижних отделах живота, жидкий стул до 7 раз в сутки, без примесей. Из анамнеза известно, что с 2017 г. впервые отметила появление жидкого стула до 7 раз в сутки, без патологических примесей. При обследовании амбулаторно в анализе крови выявлены антитела к тканевой трансглутаминазе: иммуноглобулин (Ig)A от 06.08.2017 – 72 Ед./мл. Предварительно установлен диагноз – «целиакия». Рекомендована аглютеновая диета, со слов больной – без ожидаемого эффекта, соблюдала приблизительно 3 мес, далее самостоятельно ее отменила. К врачам не обращалась. В 2021 г. отметила признаки очаговой алопеции. Проконсультирована эндокринологом: патология щитовидной железы исключена. Консультирована трихологом, принимала ферменты, противодиарейные препараты без эффекта. Из анамнеза известно, что перенесла шигеллезную инфекцию. Амбулаторно проведено УЗИ органов брюшной полости от 21.08.2022 – УЗИ-картина без выраженных изменений. Анализ кала на скрытую кровь от 17.10.2022 – отрицательный. По результатам ЭГДС от 05.11.2022 выявлен поверхностный гастрит. При КС от 05.11.2022 наблюдалась эндоскопическая картина спастической дискинезии толстой кишки. Обнаружен внутренний геморрой 1-й степени тяжести. Принимала ферменты, адсорбенты, бифидобактерии, препараты урсодезоксихолевой кислоты – без эффекта. На амбулаторном этапе исключены КИ (сальмонеллез, иерсиниоз, клостридиальная инфекция). Кальпротектин кала от 09.04.2023 – 215 мкг/г. Анализ крови на антитела к трансглутаминазе от 09.04.2023: IgA – 32 Ед./мл, IgG – 30 Ед./мл.
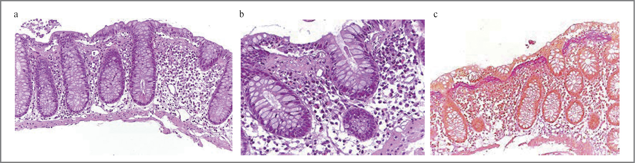
Госпитализирована в гастроэнтерологическое отделение ГБУЗ «МКНЦ имени А.С. Логинова». При УЗИ кишечника (июнь 2023 г.) выявлены эхо-признаки незначительного утолщения стенки в области илеоцекального клапана. При КС от 08.06.2023: во всех отделах толстой и осмотренной части тонкой кишки патологии не выявлено. Взята лестничная биопсия из всех отделов толстой кишки и подвздошной кишки для идентификации основного заболевания. При ЭГДС 08.06.2023 выявлены эндоскопические признаки поверхностного очагового гастрита и эндоскопические признаки целиакии, взята биопсия из залуковичного отдела ДПК для исключения амилоидоза, целиакии, болезни Уиппла. При гистологическом исследовании исключены амилоидоз и болезнь Уиппла. В 3 фрагментах слизистой оболочки ДПК высота кишечных ворсин снижена, некоторые из них деформированы и деэпителизированы. Ворсины выстланы клетками высокого цилиндрического эпителия с единичными бокаловидными клетками. Количество межэпителиальных лимфоцитов составляло 40–50 на 100 эпителиоцитов. Крипты глубокие. Соотношение высоты ворсин к глубине крипты – 1:3. В базальных отделах крипт клетки Панета частично отсутствовали. Собственная пластинка неравномерно инфильтрирована лимфоцитами и плазмоцитами. Подслизистый слой отечен. Морфологические изменения в слизистой оболочке ДПК характерны для глютеновой энтеропатии Marsh на стадии IIIb, степень В1 по Corazza–Villanacci. Фрагмент слизистой оболочки тонкой кишки – высота кишечных ворсин сохранна, некоторые из них деформированы и деэпителизированы. Ворсины выстланы клетками высокого цилиндрического эпителия со сниженным количеством бокаловидных клеток. Соотношение высоты ворсины к глубине крипты – более 3:1. Количество межэпителиальных лимфоцитов составляло 25–35 на 100 эпителиоцитов. В базальных отделах крипт клетки Панета частично отсутствовали. Собственная пластинка – с умеренно выраженной лимфоплазмоцитарной инфильтрацией с формированием фолликулов. Визуализировались фрагменты слизистой оболочки толстой кишки с отеком и умеренно выраженной лимфоплазмоцитарной инфильтрацией собственной пластинки с примесью эозинофилов и нейтрофилов, формированием в поверхностных участках лимфоидных скоплений. Покровный эпителий частично слущен с очаговыми явлениями лейкопедеза. Базальная мембрана на различных участках утолщена, субэпителиальные отделы – с фиброзными и склеротическими тяжами, лучами, отходящими вглубь собственной пластинки. Согласно результатам морфологического исследования установлен диагноз – «МК в форме КК, целиакия Marsh стадии IIIb» (рис. 4).
Рис. 4. МК в форме КК: a – архитектоника кишечных крипт сохранена, собственная пластинка отечна и умеренно инфильтрирована лимфоцитами и плазмоцитами; b – дистрофия и участки десквамации клеток поверхностного эпителия, резкое утолщение базальной мембраны; с – усиленное отложение коллагена в субэпителиальном слое базальной мембраны. Окраска гематоксилином и эозином (a, b), пикрофуксином по Ван Гизону (с). Ув. ×120 (a, b), ×300 (с).
Fig. 4. Microscopic colitis in the form of collagen colitis: a – the archtectonic of the intestinal crypt is preserved, its own plate is oedematous and moderately infiltrated by lymphocytes and plasmocytes; b – dystrophy and desquamation sites of the surface epithelium cells, abrupt thickening of the basal membrane; c – increased collagen deposition in the subepithelial layer of the basal membrane. Coloration by hematoxylin and eosin (a, b), picrofuxin by Van Gizon (c). Magnification 120 (a, b), 300 (c).
В качестве терапии рекомендован прием будесонида в дозе 9 мг/сут в течение 8 нед, далее – 6 мг 4 нед, затем 3 мг/сут 4 нед и длительно – строгая аглютеновая диета. Через 8 нед у пациентки достигнута КР заболевания. По результатам контрольного гистологического исследования слизистой оболочки толстой кишки через 8 мес отмечалось снижение количества лимфоцитов до 15–18 на 100 эпителиоцитов, уменьшение отека и лимфоплазмоцитарной инфильтрации собственной пластинки, что соответствовало развивающейся ремиссии КК.
Обсуждение
Клинический случай 1 показывает возможность трансформации язвенного колита в МК. Существуют публикации, подтверждающие такую точку зрения. Так, недавно проведенное исследование, охватившее практически 30 тыс. пациентов с МК, доказало возможность синхронного возникновения МК и ВЗК (в 2,9% случаев), а также возможную трансформацию МК в ВЗК (в 2,1%), а ВЗК – в МК (в 4,5% случаев). За время 12-летнего наблюдения у 1,6% пациентов с МК изменилась форма заболевания [11]. Кроме того, у нашего пациента сочетаются МК и дивертикулярная болезнь толстой кишки. Поскольку тяжесть состояния нашего больного определялась клинической картиной МК, представлялось целесообразным дивертикулярную болезнь отметить в качестве сопутствующего заболевания.
Клинический случай 2, так же как и клинический случай 1, демонстрирует наличие у пациентки ряда сопутствующих заболеваний – очаговой алопеции и целиакии. В анамнезе больной обращает на себя внимание перенесенная шигеллезная инфекция. Согласно современным данным развитию МК способствует сочетание сразу нескольких триггерных и патогенетических факторов. Большое число исследователей склоняются к мнению об аутоиммунном механизме возникновения МК, который может индуцировать хронический воспалительный ответ с увеличением содержания интраэпителиальных лимфоцитов в слизистой толстой кишки. Наличие аутоиммунного компонента заболевания подтверждается и тем фактом, что МК часто встречается в комбинации с другими аутоиммунными заболеваниями, при лечении которых достигается хороший эффект терапией глюкокортикостероидами. В последнее время достаточно часто обсуждается инфекционный генез МК. В недавно опубликованном метаанализе более чем 13 тыс. случаев МК показано, что в течение 3 лет после перенесенной КИ риск возникновения МК увеличивается в 3 раза. При этом наибольшему риску подвержены люди, переболевшие инфекцией Clostridioides difficile [12]. Указанные триггерные факторы (аутоиммунный и инфекционный) МК присутствуют в анамнезе нашей пациентки.
Заключение
В настоящее время МК не является редкой патологией. Однако время от появления первых симптомов до постановки окончательного диагноза МК может занимать несколько лет, что значительно снижает качество жизни больного и увеличивает расходы на его лечение. Появление симптомов хронической водянистой диареи у пациента требует проведения широкого дифференциально-диагностического поиска, включающего КИ, ВЗК, глютеновую энтеропатию, системную патологию, которые в ряде случаев могут сочетаться с МК [13]. Наличие МК требует обязательного назначения орального будесонида, являющегося препаратом терапии 1-й линии, в дозе 9 мг/сут сроком на 6–8 нед. При ЛК на фоне рецидива возможно назначение поддерживающей терапии будесонидом на срок не менее 6 мес. При этом данное положение отличается очень низким уровнем доказательности за счет сравнительной редкости возникновения рецидивов ЛК. Назначение будесонида при КК в качестве поддерживающей терапии имеет средний уровень доказанности. Свидетельствуется о том, что лечение будесонидом на протяжении 6 мес позволяет поддерживать КР у 75% пациентов с КК по сравнению с 25% больных, получающих плацебо [14].
Раскрытие интересов. Авторы декларируют отсутствие явных и потенциальных конфликтов интересов, связанных с публикацией настоящей статьи.
Disclosure of interest. The authors declare that they have no competing interests.
Вклад авторов. Авторы декларируют соответствие своего авторства международным критериям ICMJE. Все авторы в равной степени участвовали в подготовке публикации: разработка концепции статьи, получение и анализ фактических данных, написание и редактирование текста статьи, проверка и утверждение текста статьи.
Authors’ contribution. The authors declare the compliance of their authorship according to the international ICMJE criteria. All authors made a substantial contribution to the conception of the work, acquisition, analysis, interpretation of data for the work, drafting and revising the work, final approval of the version to be published and agree to be accountable for all aspects of the work.
Источник финансирования. Авторы декларируют отсутствие внешнего финансирования для проведения исследования и публикации статьи.
Funding source. The authors declare that there is no external funding for the exploration and analysis work.
Информированное согласие на публикацию. Пациенты подписали форму добровольного информированного согласия на публикацию медицинской информации.
Consent for publication. Written consent was obtained from the patients for publication of relevant medical information and all of accompanying images within the manuscript.
About the authors
Alexey M. Osadchuk
Russian Medical Academy of Continuous Professional Education
Author for correspondence.
Email: a.m.osadchuk2020@mail.ru
ORCID iD: 0000-0002-8488-9235
Scopus Author ID: 24576966600
доктор медицинских наук, профессор, профессор кафедры гастроэнтерологии
Russian Federation, MoscowNina A. Fadeeva
Loginov Moscow Clinical Scientific and Practical Center; Research Institute of Health Organization and Medical Management
Email: n.fadeeva@mknc.ru
ORCID iD: 0000-0002-0524-2514
SPIN-code: 6047-7590
кандидат медицинских наук, зав. гастроэнтерологическим отделением, старший научный сотрудник отделения лечения воспалительных заболеваний кишечника, вед. специалист
Russian Federation, Moscow; MoscowNuriya A. Dashkina
Loginov Moscow Clinical Scientific and Practical Center
Email: n.dashkina@mknc.ru
ORCID iD: 0009-0001-6455-4921
врач-гастроэнтеролог гастроэнтерологического отделения
Russian Federation, MoscowIrina D. Loranskaya
Russian Medical Academy of Continuous Professional Education
Email: gastromapo@yandex.ru
ORCID iD: 0000-0002-3681-4132
Scopus Author ID: 36164230100
зав. кафедры гастроэнтерологии
Russian Federation, MoscowSergey G. Khomeriki
Loginov Moscow Clinical Scientific and Practical Center
Email: s.khomeriki@mknc.ru
ORCID iD: 0000-0003-4308-8009
доктор медицинских наук, профессор, зав. лаб. инновационной патоморфологии ГБУЗ «МКНЦ имени А.С. Логинова»
Russian Federation, MoscowReferences
- Miehlke S, Guagnozzi D, Zabana Y, et al. European guidelines on microscopic colitis: United European Gastroenterology and European Microscopic Colitis Group statements and recommendations. United European Gastroenterol J. 2021;9(1):13-37. doi: 10.1177/2050640620951905
- Nielsen JA, Steephen A, Lewin M. Angiotensin-II inhibitor (olmesartan)-induced collagenous sprue with resolution following discontinuation of drug. World J Gastroenterol. 2013;19(40):6928-30. doi: 10.3748/wjg.v19.i40.6928
- Jaruvongvanich V, Poonsombudlert K, Ungprasert P. Smoking and risk of microscopic colitis: A systematic review and meta-analysis. Inflamm Bowel Dis. 2019;25:672-8. doi: 10.1093/ibd/izy296
- Barrett K. Microscopic colitis: A guide for general practice. Br J Gen Pract. 2020;71(702):41-2. doi: 10.3399/bjgp21X714593
- Miehlke S, Heymer P, Bethke B, et al. Budesonide treatment for collagenous colitis: A randomized, double-blind, placebo-controlled, multicenter trial. Gastroenterology. 2002;123(4):978-84. doi: 10.1053/gast.2002.36042
- Bonderup OK, Hansen JB, Birket-Smith L, et al. Budesonide treatment of collagenous colitis: A randomised, double blind, placebo controlled trial with morphometric analysis. Gut. 2003;52(2):248-51. doi: 10.1136/gut.52.2.248
- Miehlke S, Madisch A, Kupcinskas L, et al. BUC-60/COC Study Group. Budesonide is more effective than mesalamine or placebo in short-term treatment of collagenous colitis. Gastroenterology. 2014;146(5):1222-30.e1-2. doi: 10.1053/j.gastro.2014.01.019
- Temmerman F., Baert F. Collagenous and lymphocytic colitis: systematic review and update of the literature. Dig Dis. 2009;27(Suppl. 1):137-45. doi: 10.1159/000268134
- Bonderup OK, Hansen JB, Teglbjaerg PS, et al. Long-term budesonide treatment of collagenous colitis: A randomised, double-blind, placebo-controlled trial. Gut. 2009;58(1):68-72. doi: 10.1136/gut.2008.156513
- Nguyen GC, Smalley WE, Vege SS, Carrasco-Labra A; Clinical Guidelines Committee. American Gastroenterological Association Institute Guideline on the medical management of microscopic colitis. Gastroenterology. 2016;150(1):242-6; quiz e17-8. doi: 10.1053/j.gastro.2015.11.008
- Sonnenberg A, Genta RM. Temporal changes in the histology of microscopic colitis. J Crohns Colitis. 2022;16(9):1415-9. doi: 10.1093/ecco-jcc/jjac046
- Khalili H, Axelrad JE, Roelstraete B, et al. Gastrointestinal infection and risk of microscopic colitis: A nationwide case-control study in Sweden. Gastroenterology. 2021;160(5):1599-607.e5. doi: 10.1053/j.gastro.2021.01.004
- Фадеева Н.А., Осадчук А.М., Куколева Е.О., и др. Проблемы диагностики и лечения сочетания целиакии и микроскопического колита. Эффективная фармакотерапия. 2022;18(22):112-6 [Fadeeva NA, Osadchuk AM, Kukoleva EO, et al. The problems of diagnosis and treatment the comorbidity of celiac disease and miscroscopic colitis. Effective Pharmacotherapy. 2022;18(22):112-6 (in Russian)]. doi: 10.33978/2307-3586-2022-18-22-112-116
- Virine B, Chande N, Driman DK. Biopsies from ascending and descending colon are sufficient for diagnosis of microscopic colitis. Clin Gastroenterol Hepatol. 2020;18(9):2003-9. doi: 10.1016/j.cgh.2020.02.036
Supplementary files






