Visceral leishmaniasis: a challenging diagnosis in internal medicine
- Authors: Brovko M.I.1, Akulkina L.A.1, Potapov P.P.2, Sholomova V.I.1, Lebedeva M.V.1, Nekrasova T.P.1, Varshavskii V.A.1, Volchkova E.V.1, Rozina T.P.1,2, Nikulkina E.N.1, Karan L.S.3, Moiseev S.V.1,2, Fomin V.V.1
-
Affiliations:
- Sechenov First Moscow State Medical University (Sechenov University)
- Lomonosov Moscow State University
- Central Research Institute of Epidemiology
- Issue: Vol 92, No 11 (2020)
- Pages: 117-121
- Section: Lecture
- Submitted: 26.12.2020
- Accepted: 26.12.2020
- Published: 15.11.2020
- URL: https://ter-arkhiv.ru/0040-3660/article/view/56949
- DOI: https://doi.org/10.26442/00403660.2020.11.000619
- ID: 56949
Cite item
Full Text
Abstract
Leishmaniasis is a vector-born parasitic disease characterized by predominant cutaneous or visceral involvement with fever, hepatosplenomegaly and anemia. Leishmaniasis has relatively high prevalence in tropical and subtropical areas. Several sporadic and mostly imported cases are detected in Russian Federation. Nevertheless, some local incidents are noted in southern areas (Crimea, Dagestan). Lack of epidemiological alertness hampers confirmation of diagnosis and may lead to incorrect treatment. The article summarizes current state of knowledge in epidemiology, diagnostic approach and treatment of leishmaniasis. Particular clinical case is discussed.
Full Text
АИГ – аутоиммунный гепатит
АЛТ – аланинаминотрансфераза
АСТ – аспартатаминотрансфераза
ВЛ – висцеральный лейшманиоз
ВОЗ – Всемирная организация здравоохранения
ГГТ – γ-глутамилтрансфераза
СКВ – системная красная волчанка
ЩФ – щелочная фосфатаза
Введение
Многие инфекционные заболевания могут протекать под маской соматических патологий, в том числе системных ревматологических и гематологических. Дифференциальная диагностика в клинике внутренних болезней требует от врача-интерниста знаний о широком спектре инфекций, обычно не вызывающих затруднений. Вместе с тем повышенная мобильность населения приводит к тому, что в странах с умеренным и холодным климатом все чаще регистрируются заболевания, свойственные экваториальным и тропическим регионам. Среди них стоит особенно выделить так называемые забытые, «пренебрегаемые тропические болезни» (neglected tropical diseases). Согласно перечню Всемирной организации здравоохранения (ВОЗ) [1] к ним относятся трипаносомоз, трахома, лейшманиоз, трихоцефалез, онхоцеркоз и некоторые другие. Помимо патологий с яркой и узнаваемой клинической картиной многие «забытые болезни» приводят к значительным диагностическим трудностям и в том числе – лейшманиоз.
Лейшманиоз представляет собой трансмиссивное заболевание, вызываемое простейшими рода Leishmania и характеризующееся поражением кожи, лимфатических узлов, селезенки, печени и костного мозга. В роли источника инфекции выступают зараженные животные или люди, а передача заболевания происходит через укусы москитов. В Восточном полушарии основными переносчиками лейшманиоза являются москиты рода Phlebotomus; в Северной и Южной Америке в роли переносчика выступают москиты Lutzomyia [2]. Патогенными для человека являются более 20 видов лейшманий. В странах Европы, Азии и Африки возбудители заболевания – Leishmania donovani, L. infantum, L. tropica, L. major и L. aethiopica; в Северной и Южной Америке – L. mexicana, L. venezuelensis, L. amazonensis и L. (Viannia) braziliensis.
Жизненный цикл этих простейших состоит из двух стадий. Амастиготы (безжгутиковая форма) – облигатные внутриклеточные паразиты размером 2,5–3,5 мкм, живущие в макрофагах хозяина. При укусе самка москита поглощает циркулирующие в крови макрофаги вместе с амастиготами, которые в пищеварительном тракте насекомого превращаются в жгутиковую форму – промастиготы размером 12–20 мкм. В течение 4–25 дней промастиготы развиваются в пищеварительном тракте насекомого, постепенно приводя к его закупорке. При повторном укусе насекомое срыгивает простейших в ранку, где они захватываются фагоцитами. В них промастиготы снова трансформируются в амастиготы, что приводит к завершению цикла [2].
Эпидемиология
Эндемичными по лейшманиозу считаются страны Южной и Юго-Восточной Азии, Восточной Африки, Средиземноморского региона, Центральной и Южной Америки. В 2017 г. 94% всех случаев лейшманиоза зафиксированы в 7 странах: Бразилии, Эфиопии, Индии, Кении, Сомали, Судане и Южном Судане. На эндемичных по лейшманиозу территориях проживают более 1 млрд человек, из них более 616 млн – на территориях, эндемичных по висцеральному лейшманиозу (ВЛ). По оценкам ВОЗ, каждый год происходит около 300 тыс. случаев заражения ВЛ [3].
Согласно данным ВОЗ в РФ в 2013–2015 гг. выявлено 16 случаев лейшманиоза (из них 5 – случаи ВЛ); ни один из них не связан с местным заражением [3]. Несмотря на то, что Россия не входит в число стран, эндемичных по лейшманиозу, в южных регионах страны (Крым, Дагестан) и Закавказье отмечены случаи инфицирования, не связанные с посещением эндемичных территорий. Так, по данным Института медицинской паразитологии, тропических и трансмиссивных заболеваний им. Е.И. Марциновского, на территории Республики Крым в период 1932–2017 гг. зафиксировано 14 местных случаев заболевания ВЛ [4].
Клиническая картина
В зависимости от преимущественного поражения органов и тканей выделяют 4 варианта развития болезни: кожную (локальную и диффузную), слизисто-кожную, висцеральную (кала-азар) форму лейшманиоза и пост-кала-азар кожный лейшманиоз.
Локальный вариант кожного лейшманиоза развивается на открытых участках тела, которые подвержены укусам насекомых. Наиболее часто в качестве инфекционного агента выступают L. tropica и L. mexicana. Инкубационный период обычно составляет от 1–4 нед до одного года. В дебюте первичный аффект представляет собой папулу диаметром 1–10 мм, сопровождающуюся локальной гиперемией, гипертермией и зудом. В течение нескольких дней папула последовательно трансформируется в везикулу и пустулу, которая при вскрытии формирует безболезненную округлую язву с толстыми стенками c заостренным краем и дном, представленным грануляционной тканью. Язвы самостоятельно рубцуются в течение длительного времени (до 4 лет), но в 1/3 случаев может наблюдаться рецидивирующее течение кожного лейшманиоза [2].
Диффузный кожный лейшманиоз, преимущественно вызываемый L. mexicana, обычно манифестирует в виде плотных эритематозных узелков или красно-коричневых бляшек на открытых участках тела, которые в дальнейшем могут изъязвляться. Для заболевания характерно прогрессирующее течение, при этом процесс может захватывать обширные участки кожи, распространяясь на слизистые оболочки; спонтанной ремиссии не наблюдается [2].
Слизисто-кожный лейшманиоз, преимущественно распространенный в Бразилии, Боливии и Перу (до 90% случаев), чаще всего вызывается L. braziliensis [3]. На ранних стадиях характерно поверхностное поражение слизистой носовой полости, поэтому зачастую слизисто-кожный лейшманиоз может протекать незамеченным в течение длительного времени. Постепенное прогрессирование процесса приводит к его распространению на слизистую оболочку глотки, гортани и пищевода, разрушению миндалин, язычка, хрящевой части носовой перегородки [2].
В клинической картине висцерального лейшманиоза доминируют общие симптомы (фебрильная лихорадка, слабость, похудение) и поражение костного мозга, печени, селезенки, лимфатических узлов; тем не менее изредка отмечается субклиническое течение. К числу типичных лабораторных признаков относятся анемия, гипоальбуминемия и гипергаммаглобулинемия. Основными возбудителями являются L. donovani (Индия, Восточная Африка), L. infantum (Средиземноморский регион), L. chagasi, L. amazonensis и L. tropica в Южной Америке. Инкубационный период висцерального лейшманиоза обычно составляет от 3 до 8 мес, однако может достигать одного года и более. В группе риска находятся дети дошкольного возраста, лица с иммунодефицитом и пониженным питанием [2].
Диагностика
В основе диагностики висцерального лейшманиоза лежит совокупность эпидемиологических, клинических, лабораторных и морфологических данных. Несмотря на типичность основных клинико-лабораторных проявлений ВЛ (лихорадка, гепатоспленомегалия, панцитопения), неспецифичность этих симптомов может существенно затруднить диагностику заболевания. В целях диагностики ВЛ может быть целесообразным использование сразу нескольких методов (гистологические, молекулярные и серологические исследования) [5].
«Золотым стандартом» диагностики ВЛ остается гистологическое исследование биоптатов костного мозга, селезенки и лимфатических узлов, окрашенных по методам Романовского–Гимзы или Лейшмана. При лейшманиозе в цитоплазме макрофагов выявляются клетки с бледно-голубой цитоплазмой и крупным красным ядром, рядом с которым находится кинетопласт в основании жгутика, окрашиваемый в темно-красный или фиолетовый цвет [6]. По данным P. Srivastava и соавт., наиболее чувствительным (93,1–98,7%) методом является исследование образцов ткани селезенки, несколько менее эффективно исследование костного мозга и лимфоузлов. Для подтверждения диагноза также могут быть использованы микробиологические методы с культивированием на питательных средах [6].
Другими эффективными способами диагностики ВЛ считаются молекулярно-биологические и серологические методы. Полимеразная цепная реакция (ПЦР) фрагментов ДНК – высокочувствительный метод как при анализе образцов крови, так и при исследовании аспирата костного мозга [7]. В отличие от других форм лейшманиоза для диагностики ВЛ целесообразно использование серологических методов – иммуноферментного анализа, реакции связывания комплемента, чувствительность и специфичность которых достигает 92% [8]. Несмотря на меньшую прогностическую значимость и ненадежность у иммунокомпрометированных лиц, серологические методы относительно просты, в связи с чем они могут быть рекомендованы в качестве 1-й линии диагностики при высокой вероятности ВЛ.
Отмечаются гипергаммаглобулинемия и гипоальбуминемия. В гемограмме имеются признаки гипохромной анемии, пойкилоцитоз, анизоцитоз, анизохромия. Характерны нейтропения и относительный лимфоцитоз, анэозинофилия, увеличение СОЭ.
Лечение
Препаратом выбора для лечения ВЛ, согласно рекомендациям Общества инфекционных болезней Америки и Американского общества тропической медицины и гигиены, остается липосомальная форма амфотерицина В. Подбор дозировки осуществляется на основании иммунного статуса пациента: для иммунокомпетентных лиц рекомендуется внутривенное введение препарата в дозе 3 мг/кг на 1–5, 14 и 21-й дни от начала терапии (суммарная дозировка – 21 мг/кг); лечение иммунокомпрометированных лиц подразумевает более агрессивную стратегию – 4 мг/кг на 1–5, 10, 17, 24, 31 и 38-е сутки (суммарная дозировка – 40 мг/кг). В качестве альтернативных вариантов терапии могут применяться препараты пятивалентной сурьмы: внутривенное или внутримышечное введение стибоглюконата натрия или меглумина антимоната в дозе 20 мг/кг в сутки в пересчете на сурьму в течение 28 дней [5]. Для контроля безопасности терапии рекомендуется как минимум еженедельный контроль ЭКГ, общего и биохимического анализов крови ввиду гепатои кардиотоксичности препаратов. Для лечения ВЛ, вызванного L. donovani, может быть рекомендован пероральный прием милтефозина в течение 28 дней в дозе 50 мг дважды (при массе тела 30–44 кг) или трижды (масса тела ≥45 кг) в сутки [5].
Описание клинического наблюдения
Пациент А., 43 лет, постоянно проживающий на восточном побережье Крымского полуострова, по профессии – корабельный механик, в течение последних 7 лет посещал страны Африки (Сьерра-Леоне, Анголу), Чили, в 2015– 2017 гг. – восточную часть Средиземноморского региона. Заболевание началось остро в октябре 2018 г. с повышения температуры тела до 38,5–40,0ºС, появления озноба, проливного пота, без сопутствующих катаральных симптомов. Пациент самостоятельно принимал нестероидные противовоспалительные препараты с положительным эффектом в виде временной нормализации температуры тела. Эпизоды лихорадки повторялись 1–2 раза в сутки. При обследовании отмечалось повышение уровня воспалительных маркеров: С-реактивного белка – до 12 мг/л (норма 0–5), СОЭ – до 28 мм/ч (норма 3–20), активности трансаминаз – аспартатаминотрансферазы (АСТ) – до 135 Ед/л (норма до 37), аланинаминотрансферазы (АЛТ) – до 114 Ед/л (норма до 41); последнее трактовалось в рамках возможного лекарственного гепатита на фоне частого приема нестероидных противовоспалительных препаратов для купирования лихорадки. Проводилась антибактериальная терапия препаратами широкого спектра действия, без эффекта. Пациент обследован в инфекционном стационаре: исключены ВИЧ-инфекция, туберкулез, вирусные гепатиты, малярия, лептоспироз, токсоплазмоз, шистосомоз, фасциолез, лямблиоз, амебиаз. Выполнены стернальная пункция и трепанобиопсия костного мозга – данных о наличии гемобластоза не получено. В то же время по результатам компьютерной томографии органов брюшной полости с внутривенным контрастированием выявлены гепатоспленомегалия, признаки внутрибрюшной лимфаденопатии, множественные гиподенсивные очаги в ткани селезенки. Учитывая высокий риск развития лимфомы селезенки, в декабре 2018 г. пациенту выполнена спленэктомия с одномоментной биопсией внутрибрюшных лимфатических узлов и печени. Гистологические данные не подтвердили диагноз лимфопролиферативного заболевания: в ткани селезенки выявлена атрофия белой пульпы, в ткани лимфоузла – реактивные изменения с наличием синусового гистиоцитоза. Морфологические результаты исследования биоптата печени соответствовали острому гепатиту – многочисленные коагуляционные некрозы паренхимы в сочетании с умеренной лимфоидно-макрофагальной инфильтрацией портальных трактов. Принимая во внимание нарастание цитолиза (4–5-кратное повышение АСТ, АЛТ), а также появление клинических (желтушность кожи и склер, периодически – потемнение мочи, обесцвеченный кал) и лабораторных [повышение активности щелочной фосфатазы (ЩФ) до 350 Ед/л (норма до 115) и γ-глутамилтрансферазы (ГГТ) – до 479 Ед/л (норма до 75), общего билирубина – до 52 мкмоль/л (норма до 20,5)] признаков холестаза без признаков билиарной обструкции по данным магнитно-резонансной холангиопанкреатографии, обсуждался диагноз аутоиммунного заболевания печени с системными проявлениями. По результатам серологического исследования выявлено наличие небольшого титра антител к микросомальной фракции печени и почек (анти-LKM-1), что в совокупности с результатами лабораторного обследования расценено как проявление аутоиммунного гепатита (АИГ).
С конца декабря 2018 г. пациенту начата терапия глюкокортикостероидами (метилпреднизолон 32 мг/сут), однако какой-либо положительной клинической и лабораторной динамики состояния пациента не наблюдалось. В марте 2019 г. у больного диагностирована внебольничная пневмония тяжелого течения, потребовавшая проведения комбинированной антибактериальной терапии препаратами широкого спектра действия – с эффектом в виде разрешения респираторной симптоматики.
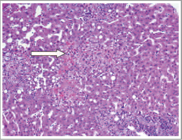
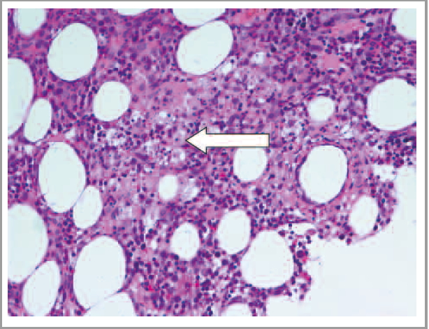
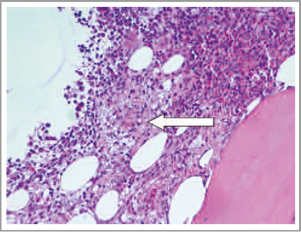
В апреле 2019 г. пациент госпитализирован в Университетскую клиническую больницу №3 ФГАОУ ВО «Первый МГМУ им. И.М. Сеченова» (Сеченовский Университет). Сохранялись гектическая лихорадка с проливными потами, выраженная общая слабость, желтушность кожи и склер; за весь период заболевания масса тела снизилась на 25 кг. При лабораторном обследовании, несмотря на продолжение терапии глюкокортикостероидами, отмечались значительное повышение уровня С-реактивного белка до 40 мг/л (норма до 5), признаки цитолиза и холестаза [АСТ – 262 ед/л (норма до 40), АЛТ – 207 ед/л (норма до 40), общий билирубин – 52 мкмоль/л (норма 3–21), прямой билирубин – 38 мкмоль/л (норма до 5), ГГТ – 1198 ед/л (норма до 73), ЩФ – 1982 ед/л (норма 70–360)]. Также обращали на себя внимание снижение уровня альбумина до 22 г/л (норма 35–52), при отсутствии других признаков снижения синтетической функции печени (протромбиновый индекс 98%), умеренная лейкопения (3,5 тыс/мкл), снижение уровня тромбоцитов в динамике (с 750 тыс/мкл после спленэктомии в декабре 2018 г. до 250 тыс/мкл в апреле 2019 г.). На основании серологического исследования исключены бруцеллез и туляремия. Пересмотрены гистологические препараты печени, внутрибрюшного лимфоузла и трепанобиоптат костного мозга, выявлены лимфо-макрофагальная инфильтрация портальных трактов, очажки коагуляционного некроза в паренхиме и строме печени без выраженной воспалительной инфильтрации с признаками кариорексиса (рис. 1, см. на цветной вклейке); гистиоцитоз синусов лимфатического узла, в цитоплазме отдельных макрофагов – мелкие базофильные включения неправильной формы; в трепанобиоптате костного мозга обнаружены макрофагальные гранулемы (рис. 2, а, см. на цветной вклейке), признаки угнетения эритроидного ростка, продуктивного васкулита и мелкие очажки коагуляционного некроза со слабой воспалительной инфильтрацией, признаками кариорексиса (рис. 2, б, см. на цветной вклейке), что в совокупности с клинико-лабораторными данными позволило заподозрить наличие висцерального лейшманиоза. Проведено серологическое иммуноферментное исследование, выявившее антитела к лейшманиям. Для подтверждения диагноза в ФБУН «ЦНИИ эпидемиологии» выполнено ПЦР-исследование крови и трепанобиоптата костного мозга пациента, выявившее ДНК Leishmania spp. (тест-система «АмплиСенс® Лейшманиозы-FL»). Пациент консультирован паразитологом и инфекционистом, рекомендована этиотропная терапия. После начала лечения отмечен быстрый положительный эффект в виде стойкого снижения температуры тела, улучшения лабораторных показателей.
Рис. 1. Очажки коагуляционного некроза в паренхиме и строме печени без выраженной воспалительной инфильтрации, с признаками кариорексиса. Крупнокапельная жировая дистрофия отдельных гепатоцитов. Окраска гематоксилин-эозином, *100
Рис. 2. а - В трепанобиоптате костного мозга располагаются единичные макрофагальные гранулемы. Окраска гематоксилин-эозином, *200
Рис. 2. б - В трепанобиоптате костного мозга определяются мелкие очажки некроза со слабой воспалительной инфильтрацией, признаками кариорексиса. Окраска гематоксилин-эозином, *200
Обсуждение
Висцеральный лейшманиоз является серьезной проблемой для здравоохранения в странах, эндемичных по данному заболеванию. Клиническая картина заболевания (лихорадка, лимфаденопатия, гепатоспленомегалия) неспецифична, поэтому диагностика заболевания при отсутствии эпидемиологической настороженности представляет собой непростую задачу.
В описанном наблюдении установление диагноза в первую очередь требовало проведения дифференциальной диагностики с патологией, сопровождающейся лихорадкой и признаками активного гепатита. Спектр нозологий для проведения диагностического поиска у данного пациента условно разделен на три группы: инфекционные, онкогематологические и аутоиммунные заболевания.
Фебрильная лихорадка, гепатоспленомегалия, лимфаденопатия могут быть проявлениями заболеваний, характеризующихся гематогенной диссеминацией возбудителя, таких как милиарный туберкулез, бруцеллез или инфекционный эндокардит. При данных заболеваниях также типичными находками являются повышение печеночных ферментов (ЩФ, ГГТ, АЛТ, АСТ) и гипербилирубинемия. Основанием для исключения бактериального эндокардита послужили отрицательные результаты посева крови на стерильность и нормальные результаты эхокардиографии. При милиарном туберкулезе с поражением печени клиническая картина обычно дополняется кашлем с отделением мокроты, абдоминалгиями [9]. Отсутствие респираторных симптомов, типичного поражения легких, очаговых изменений по данным компьютерной томографии печени, а также отрицательные кожные туберкулиновые пробы стали основанием для исключения диагноза туберкулеза.
В клинической картине бруцеллеза преобладающими жалобами являются артралгии, лихорадка, ночная потливость, полилимфаденопатия, слабость, вегетативные расстройства. При обследовании гепатои спленомегалия выявляются у 36% пациентов, однако признаки гепатита фиксируются редко (около 4%). В эпидемиологическом анамнезе обычно встречаются упоминания о контакте с животными (крупный и мелкий рогатый скот, собаки) или употреблении продуктов животного происхождения [10]. У данного пациента бруцеллез исключен на основании серологического исследования.
Шистосомоз в ряде случаев может протекать с преимущественным поражением печени. Синдром Катаямы клинически проявляется лихорадкой, артралгиями, миалгиями, гепатоспленомегалией, лимфаденопатией и сыпью. В анализах крови характерны эозинофилия, повышенные уровни иммуноглобулинов классов G и E. В свою очередь, в клинической картине гепатолиенального шистосомоза ведущим синдромом является цирроз печени, при этом отмечаются портальная гипертензия и гиперспленизм на фоне сохранной функции печени. На более поздних стадиях заболевания отмечается появление печеночно-клеточной недостаточности, асцита [11]. В описанном клиническом случае отсутствовала портальная гипертензия, результаты серологического анализа на антитела к шистосомам отрицательные.
Проблема дифференциальной диагностики висцерального лейшманиоза и гемобластозов связана с общностью клинической картины и лабораторных отклонений данных заболеваний. Для многих лимфом (как В-, так и Т-клеточных) характерны так называемые Б-симптомы (субфебрилитет или лихорадка, ночная потливость, слабость, похудение). Аналогично наблюдению представленного пациента, в литературе описаны случаи ошибочной диагностики гематологических заболеваний, приведшие к спленэктомии [12]. Преобладание гепатоспленомегалии, Б-симптомов наиболее характерно для гепатолиенальной Т-клеточной лимфомы, ангиоиммунобластной Т-клеточной лимфомы, а также для лейкоза из больших гранулярных лимфоцитов [13–15]. Лимфома маргинальной зоны селезенки преимущественно поражает лиц старшего возраста. В клинико-лабораторной картине преобладают спленомегалия и лимфоцитоз; при этом заболевании Б-симптомы относительно редки. Помимо селезенки в патологический процесс вовлекаются костный мозг и печень, однако периферическая лимфаденопатия нехарактерна. В биоптате костного мозга выявляют зрелые В-клетки, формирующие инфильтраты [15]. В описанном нами клиническом наблюдении диагноз лимфопролиферативного заболевания исключен на основании не соответствующей ему гистологической картины.
В ряде случаев течение ВЛ клинически может напоминать развитие аутоиммунной патологии: системной красной волчанки (СКВ), АИГ, ревматоидного артрита, первичного билиарного холангита, первичной и вторичной криоглобулинемии. С клинических позиций наиболее сходен с ВЛ синдром Фелти, проявляющийся эрозивным поражением суставов, артралгиями, гепатоспленомегалией, нейтропенией, анемией [16]. Отсутствие суставного синдрома позволило исключить данную патологию из дифференциального диагноза. Случаи ошибочной диагностики АИГ у пациентов с ВЛ носят казуистический характер, при этом у пациентов наблюдают лихорадку, значительное повышение трансаминаз, гипергаммаглобулинемию в сочетании с появлением в крови серологических маркеров АИГ [17]. Причиной исключения АИГ из диагностического поиска у данного пациента стала нетипичная гистологическая картина: отсутствие лобулярного гепатита, мостовидных или ступенчатых некрозов, розеток гепатоцитов, преимущественно лимфо-макрофагальная инфильтрация портальных трактов. В ряде случаев с анемией, лимфопенией, гепатоспленомегалией протекает СКВ. Однако для установления диагноза СКВ требуется наличие лабораторных критериев заболевания, которые не выявлены у пациента. Вместе с этим при висцеральном лейшманиозе возможен широкий спектр аутоиммунных отклонений, которые при соответствующей клинической картине могут привести к выбору неверной тактики ведения. По данным E. Liberopoulos и соавт., разнообразные аутоантитела могут выявляться у многих пациентов с висцеральным лейшманиозом без других признаков аутоиммунных заболеваний [17]. В этом небольшом проспективном исследовании, включившем 16 пациентов, наиболее распространенные иммунологические нарушения представлены повышенными титрами антинуклеарного фактора (88%), ревматоидного фактора (63%), криоглобулинемии (50%). I. Santana и соавт. обобщены 28 случаев, в которых первоначально клинические и лабораторные признаки ВЛ расценены как обострение или дебют СКВ [18].
Заключение
Несмотря на редкость встречаемости в РФ, ВЛ в ряде случаев должен быть учтен при выработке тактики обследования пациента, особенно при наличии соответствующей клинической картины и эпидемиологического анамнеза. Выявление различных лабораторных эпифеноменов (в том числе признаков аутоиммунных заболеваний) не исключает ВЛ и требует продолжения дифференциально-диагностического поиска.
Авторы заявляют об отсутствии конфликта интересов.
About the authors
M. Iu. Brovko
Sechenov First Moscow State Medical University (Sechenov University)
Email: vsholomova@mail.ru
ORCID iD: 0000-0003-0023-2701
к.м.н., зав. отд-нием профпатологии и пульмонологии, Клиника им. Е.М. Тареева, Университетская клиническая больница №3
Russian Federation, MoscowL. A. Akulkina
Sechenov First Moscow State Medical University (Sechenov University)
Email: vsholomova@mail.ru
ORCID iD: 0000-0002-4307-8882
врач отд-ния профпатологии и пульмонологии, Клиника им. Е.М. Тареева, Университетская клиническая больница №3
Russian Federation, MoscowP. P. Potapov
Lomonosov Moscow State University
Email: vsholomova@mail.ru
ORCID iD: 0000-0003-4366-2832
клинический ординатор каф. внутренних болезней фак-та фундаментальной медицины
Russian Federation, MoscowV. I. Sholomova
Sechenov First Moscow State Medical University (Sechenov University)
Author for correspondence.
Email: vsholomova@mail.ru
ORCID iD: 0000-0002-8785-7968
врач-пульмонолог отд-ния профпатологии и пульмонологии Клиники им. Е.М. Тареева, Университетская клиническая больница №3, ассистент каф. внутренних, профессиональных болезней и ревматологии
Russian Federation, MoscowM. V. Lebedeva
Sechenov First Moscow State Medical University (Sechenov University)
Email: vsholomova@mail.ru
к.м.н., доц. каф. внутренних, профессиональных болезней и ревматологии
Russian Federation, MoscowT. P. Nekrasova
Sechenov First Moscow State Medical University (Sechenov University)
Email: vsholomova@mail.ru
ORCID iD: 0000-0001-6376-9392
к.м.н., доц. каф. патологической анатомии им. А.И. Струкова
Russian Federation, MoscowV. A. Varshavskii
Sechenov First Moscow State Medical University (Sechenov University)
Email: vsholomova@mail.ru
д.м.н., проф. каф. патологической анатомии им. А.И. Струкова
Russian Federation, MoscowE. V. Volchkova
Sechenov First Moscow State Medical University (Sechenov University)
Email: vsholomova@mail.ru
д.м.н., проф., зав. каф. инфекционных болезней
Russian Federation, MoscowT. P. Rozina
Sechenov First Moscow State Medical University (Sechenov University); Lomonosov Moscow State University
Email: vsholomova@mail.ru
ORCID iD: 0000-0002-7939-1416
к.м.н., доц. каф. внутренних, профессиональных болезней и ревматологии; доц. каф. внутренних болезней фак-та фундаментальной медицины
Russian Federation, MoscowE. N. Nikulkina
Sechenov First Moscow State Medical University (Sechenov University)
Email: vsholomova@mail.ru
ORCID iD: 0000-0001-6084-8749
ассистент каф. внутренних, профессиональных болезней и ревматологии
Russian Federation, MoscowL. S. Karan
Central Research Institute of Epidemiology
Email: vsholomova@mail.ru
ORCID iD: 0000-0002-5927-460X
науч. сотр.
Russian Federation, MoscowS. V. Moiseev
Sechenov First Moscow State Medical University (Sechenov University); Lomonosov Moscow State University
Email: vsholomova@mail.ru
ORCID iD: 0000-0002-7232-4640
д.м.н., проф., дир. Клиники им. Е.М. Тареева, зав. каф. внутренних, профессиональных болезней и ревматологии
Russian Federation, MoscowV. V. Fomin
Sechenov First Moscow State Medical University (Sechenov University)
Email: vsholomova@mail.ru
ORCID iD: 0000-0002-2682-4417
чл.-кор. РАН, д.м.н., проф., зав. каф. факультетской терапии №1
Russian Federation, MoscowReferences
- World Health Organization, Working to overcome the global impact of neglected tropical diseases: First WHO Report on neglected tropical diseases (Geneva: World Health Organization 2010). Accessed 7 Oct 2018.
- Torres-Guerrero E, Quintanilla-Cedillo MR, Ruiz-Esmenjaud J, et al. Leishmaniasis: a review. F1000 Res. 2017;6:750.
- WHO. Epidemiological situation. WHO – 2018.
- Баранец М.С., Ермак Т.Н., Понировский Е.Н. Клинико-эпидемиологические особенности висцерального лейшманиоза в Республике Крым. Терапевтический архив. 2017;89(11):100-4 [Baranets MS, Ermak TN, Ponirovsky EN. Clinical and epidemiological features of visceral leishmaniasis in the Republic of Crimea. Therapeutic Archive. 2017;89(11):100-4 (In Russ.)]. doi: 10.17116/terarkh20178911100-104
- Aronson N, Herwaldt BL, Libman M, et al. Diagnosis and Treatment of Leishmaniasis: Clinical Practice Guidelines by the Infectious Diseases Society of America (IDSA) and the American Society of Tropical Medicine and Hygiene (ASTMH). Am J Trop Med Hyg. 2017;96(1):24-5. doi: 10.4269/ajtmh.16-84256
- Srivastava P, Dayama A, Mehrotra S, et al. Diagnosis of visceral leishmaniasis. Trans R Soc Trop Med Hyg. 2011;105(1):1-6. doi: 10.1016/j.trstmh.2010.09.006
- Antinori S, Calattini S, Longhi E, et al. Clinical Use of Polymerase Chain Reaction Performed on Peripheral Blood and Bone Marrow Samples for the Diagnosis and Monitoring of Visceral Leishmaniasis in HIV-Infected and HIV-Uninfected Patients: A Single-Center, 8-Year Experience in Italy and Review of the Literature. Clin Infect Dis. 2007;44(12):1602-10. doi: 10.1086/518167
- Boelaert M, Verdonck K, Menten J. Rapid tests for the diagnosis of visceral leishmaniasis in patients with suspected disease. Cochrane Database Syst Rev. 2014. doi: 10.1002/14651858.CD009135.pub2
- Hickey AJ, Gounder L, Moosa M-YS, et al. A systematic review of hepatic tuberculosis with considerations in human immunodeficiency virus co-infection. BMC Infect Dis. 2015;15:209. doi: 10.1186/s12879-015-0944-6
- Dean AS, Crump L, Greter H, et al. Clinical Manifestations of Human Brucellosis: A Systematic Review and Meta-Analysis. PLoS Negl Trop Dis. 2012;6(12):e1929с. doi: 10.1371/journal.pntd.0001929
- Shaker Y, Samy N, Ashour E. Hepatobiliary Schistosomiasis. J Clin Transl Hepatol. 2014;2(3):212-6. doi: 10.14218/JCTH.2014.00018
- Kawakami A, Fukunaga T, Usui M. Visceral leishmaniasis misdiagnosed as malignant lymphoma. Intern Med. 1996;35(6):502-6. doi: 10.2169/internalmedicine.35.502
- Yabe M, Miranda RN, Medeiros LJ. Hepatosplenic T-cell Lymphoma: a review of clinicopathologic features, pathogenesis, and prognostic factors. Hum Pathol. 2018;74(5):16. doi: 10.1016/j.humpath.2018.01.005
- Lunning MA, Vose JM. Angioimmunoblastic T-cell lymphoma: the many-faced lymphoma. Blood. 2017;129(9):1095-102. doi: 10.1182/blood-2016-09-692541
- Lamy T, Moignet A, Loughran TP. LGL leukemia: from pathogenesis to treatment. Blood. 2017;129(9):1082-94. doi: 10.1182/blood-2016-08-692590
- Owlia MB, Newman K, Akhtari M. Felty’s Syndrome, Insights and Updates. Open Rheumatol J. 2014;8(129):36. doi: 10.2174/1874312901408010129
- Liberopoulos E, Kei A, Apostolou F, et al. Autoimmune manifestations in patients with visceral leishmaniasis. J Microbiol Immunol Infect. 2013;46(4):302-5. doi: 10.1016/j.jmii.2012.01.016
- Santana IU, Dias B, Nunes EAS. Visceral leishmaniasis mimicking systemic lupus erythematosus: Case series and a systematic literature review. Semin. Arthritis Rheum. 2015;44(6):658-65. doi: 10.1016/j.semarthrit.2014.12.004
Supplementary files








